Spandidos Publications Logo
  • About
    • About Spandidos
    • Aims and Scopes
    • Abstracting and Indexing
    • Editorial Policies
    • Reprints and Permissions
    • Job Opportunities
    • Terms and Conditions
    • Contact
  • Journals
    • All Journals
    • Oncology Letters
      • Oncology Letters
      • Information for Authors
      • Editorial Policies
      • Editorial Board
      • Aims and Scope
      • Abstracting and Indexing
      • Bibliographic Information
      • Archive
    • International Journal of Oncology
      • International Journal of Oncology
      • Information for Authors
      • Editorial Policies
      • Editorial Board
      • Aims and Scope
      • Abstracting and Indexing
      • Bibliographic Information
      • Archive
    • Molecular and Clinical Oncology
      • Molecular and Clinical Oncology
      • Information for Authors
      • Editorial Policies
      • Editorial Board
      • Aims and Scope
      • Abstracting and Indexing
      • Bibliographic Information
      • Archive
    • Experimental and Therapeutic Medicine
      • Experimental and Therapeutic Medicine
      • Information for Authors
      • Editorial Policies
      • Editorial Board
      • Aims and Scope
      • Abstracting and Indexing
      • Bibliographic Information
      • Archive
    • International Journal of Molecular Medicine
      • International Journal of Molecular Medicine
      • Information for Authors
      • Editorial Policies
      • Editorial Board
      • Aims and Scope
      • Abstracting and Indexing
      • Bibliographic Information
      • Archive
    • Biomedical Reports
      • Biomedical Reports
      • Information for Authors
      • Editorial Policies
      • Editorial Board
      • Aims and Scope
      • Abstracting and Indexing
      • Bibliographic Information
      • Archive
    • Oncology Reports
      • Oncology Reports
      • Information for Authors
      • Editorial Policies
      • Editorial Board
      • Aims and Scope
      • Abstracting and Indexing
      • Bibliographic Information
      • Archive
    • Molecular Medicine Reports
      • Molecular Medicine Reports
      • Information for Authors
      • Editorial Policies
      • Editorial Board
      • Aims and Scope
      • Abstracting and Indexing
      • Bibliographic Information
      • Archive
    • World Academy of Sciences Journal
      • World Academy of Sciences Journal
      • Information for Authors
      • Editorial Policies
      • Editorial Board
      • Aims and Scope
      • Abstracting and Indexing
      • Bibliographic Information
      • Archive
    • International Journal of Functional Nutrition
      • International Journal of Functional Nutrition
      • Information for Authors
      • Editorial Policies
      • Editorial Board
      • Aims and Scope
      • Abstracting and Indexing
      • Bibliographic Information
      • Archive
    • International Journal of Epigenetics
      • International Journal of Epigenetics
      • Information for Authors
      • Editorial Policies
      • Editorial Board
      • Aims and Scope
      • Abstracting and Indexing
      • Bibliographic Information
      • Archive
    • Medicine International
      • Medicine International
      • Information for Authors
      • Editorial Policies
      • Editorial Board
      • Aims and Scope
      • Abstracting and Indexing
      • Bibliographic Information
      • Archive
  • Articles
  • Information
    • Information for Authors
    • Information for Reviewers
    • Information for Librarians
    • Information for Advertisers
    • Conferences
  • Language Editing
Spandidos Publications Logo
  • About
    • About Spandidos
    • Aims and Scopes
    • Abstracting and Indexing
    • Editorial Policies
    • Reprints and Permissions
    • Job Opportunities
    • Terms and Conditions
    • Contact
  • Journals
    • All Journals
    • Biomedical Reports
      • Information for Authors
      • Editorial Policies
      • Editorial Board
      • Aims and Scope
      • Abstracting and Indexing
      • Bibliographic Information
      • Archive
    • Experimental and Therapeutic Medicine
      • Information for Authors
      • Editorial Policies
      • Editorial Board
      • Aims and Scope
      • Abstracting and Indexing
      • Bibliographic Information
      • Archive
    • International Journal of Epigenetics
      • Information for Authors
      • Editorial Policies
      • Editorial Board
      • Aims and Scope
      • Abstracting and Indexing
      • Bibliographic Information
      • Archive
    • International Journal of Functional Nutrition
      • Information for Authors
      • Editorial Policies
      • Editorial Board
      • Aims and Scope
      • Abstracting and Indexing
      • Bibliographic Information
      • Archive
    • International Journal of Molecular Medicine
      • Information for Authors
      • Editorial Policies
      • Editorial Board
      • Aims and Scope
      • Abstracting and Indexing
      • Bibliographic Information
      • Archive
    • International Journal of Oncology
      • Information for Authors
      • Editorial Policies
      • Editorial Board
      • Aims and Scope
      • Abstracting and Indexing
      • Bibliographic Information
      • Archive
    • Medicine International
      • Information for Authors
      • Editorial Policies
      • Editorial Board
      • Aims and Scope
      • Abstracting and Indexing
      • Bibliographic Information
      • Archive
    • Molecular and Clinical Oncology
      • Information for Authors
      • Editorial Policies
      • Editorial Board
      • Aims and Scope
      • Abstracting and Indexing
      • Bibliographic Information
      • Archive
    • Molecular Medicine Reports
      • Information for Authors
      • Editorial Policies
      • Editorial Board
      • Aims and Scope
      • Abstracting and Indexing
      • Bibliographic Information
      • Archive
    • Oncology Letters
      • Information for Authors
      • Editorial Policies
      • Editorial Board
      • Aims and Scope
      • Abstracting and Indexing
      • Bibliographic Information
      • Archive
    • Oncology Reports
      • Information for Authors
      • Editorial Policies
      • Editorial Board
      • Aims and Scope
      • Abstracting and Indexing
      • Bibliographic Information
      • Archive
    • World Academy of Sciences Journal
      • Information for Authors
      • Editorial Policies
      • Editorial Board
      • Aims and Scope
      • Abstracting and Indexing
      • Bibliographic Information
      • Archive
  • Articles
  • Information
    • For Authors
    • For Reviewers
    • For Librarians
    • For Advertisers
    • Conferences
  • Language Editing
Login Register Submit
  • This site uses cookies
  • You can change your cookie settings at any time by following the instructions in our Cookie Policy. To find out more, you may read our Privacy Policy.

    I agree
Search articles by DOI, keyword, author or affiliation
Search
Advanced Search
presentation
Biomedical Reports
Join Editorial Board Propose a Special Issue
Print ISSN: 2049-9434 Online ISSN: 2049-9442
Journal Cover
October-2023 Volume 19 Issue 4

Full Size Image

Sign up for eToc alerts
Recommend to Library

Journals

International Journal of Molecular Medicine

International Journal of Molecular Medicine

International Journal of Molecular Medicine is an international journal devoted to molecular mechanisms of human disease.

International Journal of Oncology

International Journal of Oncology

International Journal of Oncology is an international journal devoted to oncology research and cancer treatment.

Molecular Medicine Reports

Molecular Medicine Reports

Covers molecular medicine topics such as pharmacology, pathology, genetics, neuroscience, infectious diseases, molecular cardiology, and molecular surgery.

Oncology Reports

Oncology Reports

Oncology Reports is an international journal devoted to fundamental and applied research in Oncology.

Experimental and Therapeutic Medicine

Experimental and Therapeutic Medicine

Experimental and Therapeutic Medicine is an international journal devoted to laboratory and clinical medicine.

Oncology Letters

Oncology Letters

Oncology Letters is an international journal devoted to Experimental and Clinical Oncology.

Biomedical Reports

Biomedical Reports

Explores a wide range of biological and medical fields, including pharmacology, genetics, microbiology, neuroscience, and molecular cardiology.

Molecular and Clinical Oncology

Molecular and Clinical Oncology

International journal addressing all aspects of oncology research, from tumorigenesis and oncogenes to chemotherapy and metastasis.

World Academy of Sciences Journal

World Academy of Sciences Journal

Multidisciplinary open-access journal spanning biochemistry, genetics, neuroscience, environmental health, and synthetic biology.

International Journal of Functional Nutrition

International Journal of Functional Nutrition

Open-access journal combining biochemistry, pharmacology, immunology, and genetics to advance health through functional nutrition.

International Journal of Epigenetics

International Journal of Epigenetics

Publishes open-access research on using epigenetics to advance understanding and treatment of human disease.

Medicine International

Medicine International

An International Open Access Journal Devoted to General Medicine.

Journal Cover
October-2023 Volume 19 Issue 4

Full Size Image

Sign up for eToc alerts
Recommend to Library

  • Article
  • Citations
    • Cite This Article
    • Download Citation
    • Create Citation Alert
    • Remove Citation Alert
    • Cited By
  • Similar Articles
    • Related Articles (in Spandidos Publications)
    • Similar Articles (Google Scholar)
    • Similar Articles (PubMed)
  • Download PDF
  • Download XML
  • View XML
Case Report Open Access

Gastric metastasis in patients with leiomyosarcoma: A case report

  • Authors:
    • Teruya Uchiyama
    • Tomoki Nakamura
    • Kenta Nakata
    • Ryohei Adachi
    • Tomohito Hagi
    • Kunihiro Asanuma
    • Akihiro Sudo
  • View Affiliations / Copyright

    Affiliations: Department of Orthopaedic Surgery, Mie University Graduate School of Medicine, Tsu, Mie 514‑8507, Japan
    Copyright: © Uchiyama et al. This is an open access article distributed under the terms of Creative Commons Attribution License.
  • Article Number: 75
    |
    Published online on: September 4, 2023
       https://doi.org/10.3892/br.2023.1657
  • Expand metrics +
Metrics: Total Views: 0 (Spandidos Publications: | PMC Statistics: )
Metrics: Total PDF Downloads: 0 (Spandidos Publications: | PMC Statistics: )
Cited By (CrossRef): 0 citations Loading Articles...

This article is mentioned in:



Abstract

Soft tissue sarcomas (STS) are very rare tumors, accounting for <1% of all malignancies. Leiomyosarcoma (LMS), accounts for 10‑20% of STS. Gastric metastasis of LMS is extremely rare, and only a few cases have been reported. In the present report, two clinical cases of LMS with gastric metastasis. In the present cases, the metastases presented as a solitary lesion and was located in the upper body anterior wall in case 1, and body‑greater curvature in case 2. It is debatable whether to perform any local treatment for gastric metastasis due to its poor prognosis. However, the progression of metastatic cancer in the stomach can lead to gastric bleeding, abdominal pain, and dysphagia, which may further shorten survival and decrease a patient's quality of life. Therefore, metastasectomy was performed in the present cases. This should be considered if digestive tract symptoms occur during the treatment of LMS.

Introduction

Soft tissue sarcomas (STS) are very rare tumors, accounting for <1% of all malignancies. Leiomyosarcoma (LMS), which accounts for 10-20% of STS cases, has a poor prognosis, with a tendency for distant recurrence and a decreased disease-free survival (1,2). The 5-year survival rate for patients with LMS is reported to be 72% (3), and common metastatic sites include the lung, liver, and bone. Gastric metastasis in patients with STS including LMS is rare (4). Only a few cases of gastric metastasis in patients with LMS from the viscera such as the atrium, kidney, and uterus have been reported and there are no studies concerning gastric metastasis from soft tissue LMS (5-8). In the present study, two cases of soft tissue LMS that developed gastric metastasis are described. Surgical treatment was performed in the current cases to improve or maintain a patient's quality of life. It was suggested that surgical treatment may be considered in select patients with symptomatic metastasis.

Case reports

Case 1

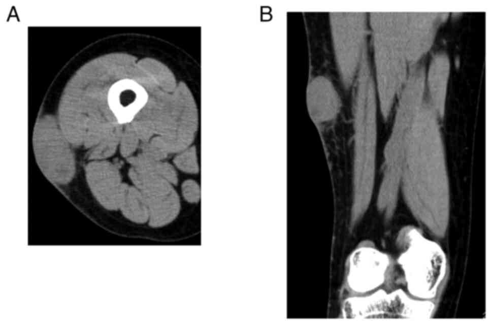
A 59-year-old woman visited Mie University hospital on January, 2013 due to a painless mass on her right thigh. After a needle biopsy was performed and she was diagnosed with LMS, she was subsequently referred to Mie University hospital. A physical examination and computed tomography (CT) confirmed a mass with a diameter of 5 cm on the postero-lateral side of the right thigh (Fig. 1). CT of the chest, abdomen and pelvis did not demonstrate any distant metastases. Wide resection of the tumor was performed. Tissue was fixed in 10% neutral-buffered formalin, embedded in paraffin. Tissue sections were sliced at 4 µm thickness, and stained with hematoxylin and eosin. Histological analysis using light microscope showed the proliferation of spindle cells with pleomorphic nuclei. The cells were set in long intersecting fascicles parallel and perpendicular to the plane of the section. Immunohistochemically, the tumor was positive for α-smooth muscle actin, desmin, and HHF35, but negative for S100 (Table I), which was consistent with the findings of LMS (Figs. 2A and B, and 3). After 1 year, she developed lung and bone metastases. Therefore, systemic chemotherapy using doxorubicin and ifosfamide was administered. Radiofrequency ablation (RFA) was performed for multiple bilateral pulmonary metastases. The bone metastasis was located in the mid-shaft of the femur. Cryoablation, curettage, and fixation with plate and cementation were performed to prevent fracturing. A total of 3 years after the initial surgery, she developed a bone metastasis in the right sixth rib. A resection of the sixth rib combined with resection of the fifth and seventh rib, to acquire a wide surgical margin was performed. A total of 5 years after the surgery, the patient developed sacral and skull bone metastases; thus, 11 cycles of trabectedin plus radiotherapy was prescribed. RFA was performed for residual multiple bilateral pulmonary metastases. After 6 years, abdominal CT revealed pancreatic metastasis. Therefore, eribulin treatment was administered. After 9 years, the patient was admitted to the general hospital for melaena. A submucosal tumor with central erosion was identified in the stomach by endoscopy, and a biopsy was performed (Fig. 4). The histological findings were consistent with a diagnosis of LMS. On CT, the gastric metastatic tumor was not detected, and the size of the metastatic mass in the pancreas was found to be gradually increasing (Fig. 5). The resection ability of both pancreatic and gastric metastatic tumors was discussed with a multidisciplinary team, and laparoscopic distal pancreatectomy and splenectomy, with partial gastrectomy, were performed. Subsequent histopathological examination confirmed metastasis of the LMS (Fig. 2C). At the final follow-up, 6 months after the gastrectomy (10 years from initial treatment), systemic chemotherapy was administered for residual pulmonary nodules.

Figure 1

Computed tomography showing a 5 cm mass in the thigh (A) Axial view and (B) coronal view (Case 1).

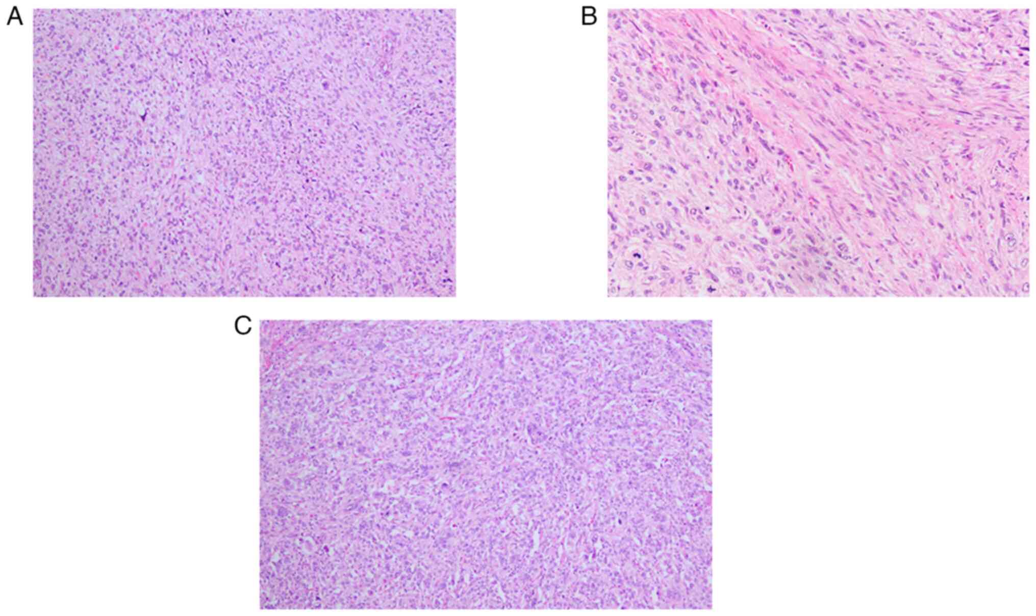
Figure 2

Microscopic findings showing the proliferation of spindle cells with pleomorphic nuclei (Case 1). H&E staining (A) magnification, x10; and (B) magnification, x20 of the primary site. (C) H&E staining of the stomach leiomyosarcoma; magnification, x10.

Figure 3

Immunohistochemical staining showing positive expression of (A) α-smooth muscle actin, (B) HHF35, (C) desmin and (D) S-100. Magnification, x20 (Case 1).

Figure 4

Gastroscopy showing a submucosal tumor with central erosion in the anterior upper body of the stomach (Case 2).

Figure 5

Computed tomography scan showing a pancreatic mass (arrow) (Case 2).

Table I

Antibodies used for immunohistochemical staining.

Table I

Antibodies used for immunohistochemical staining.

Antibody nameSourceTypecat. no./cloneDilutionPretreatmentManufacturer
CD56MouseMonoclonalNCL-CD56/1B61:400Heat (95˚C, 36 min)Novocastra; Leica Biosystems
S100Rabbitpolyclonal760-25231:100Heat (95˚C, 36 min)Roche Diagnostics
DesminMouseMonoclonalM0760/D331:400Heat (95˚C, 8 min)DAKO; Agilent Technologies, Inc.
Smooth Muscle ActionMouseMonoclonalM0851/1A41:400NoneDAKO; Agilent Technologies, Inc.
CaldesmonMouseMonoclonalM3557/h-CD1:200Heat (95˚C, 36 min)DAKO; Agilent Technologies, Inc.
Pan-CKMouseMonoclonal NCL-PAN-CK/5D3+LP341:400Heat (95˚C, 64 min)Novocastra; Leica Biosystems
HHF35MouseMonoclonalM0635/HHF351:200NoneDAKO; Agilent Technologies, Inc.
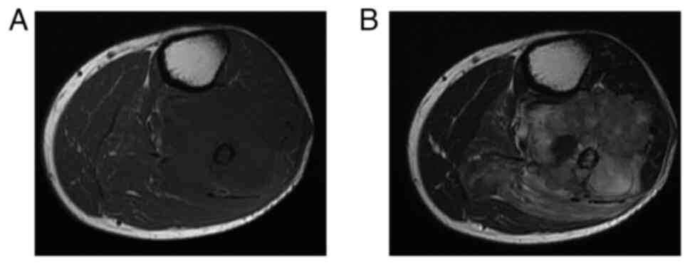
Case 2

A 64-year-old man was referred to Mie University hospital on October, 2011 due to a mass on the posterior aspect of the left proximal leg. The patient had a history of a Billroth I gastroduodenostomy for a peptic ulcer. A radiograph showed an osteolytic lesion in the left proximal fibula. MRI of the left knee revealed a 6 cm mass around the proximal left fibula (Fig. 6). CT of the head, chest, abdomen, and pelvis did not demonstrate any distant metastases. An incisional biopsy was performed. Histological analysis revealed remarkably polymorphous spindle cell proliferation. Immunohistochemically, the tumor was positive for α-smooth muscle actin, desmin, and caldesmon, but negative for S100, C56, and pan CK (Table I). The aforementioned morphological and immunohistochemical findings were consistent with LMS (Figs. 7A and B, and 8). Neoadjuvant chemotherapy using doxorubicin and ifosfamide was administered. However, the lower leg could not be salvaged due to the diffuse spread to the tibia and popliteal artery. Thus, an above-knee amputation was performed. A total of 2 months after surgery, he developed multiple lung metastases. RFA was performed regularly for the lung metastases. After 1 year, the patient developed a bone metastasis of the left femur, and cryoablation and internal fixation, using a compression hip screw were performed. After 2 years, the patient presented with severe anemia without any gastrointestinal manifestations. CT revealed a protruding mass in the upper part of the stomach (Fig. 9A), and a large pericardial mass with a diameter of 56 mm. Intense FDG uptake in the stomach, left diaphragm, pericardial mass, and paraspinal muscles at the L1 and L4 levels were observed on FDG-Positron emission tomography (Fig. 9B). Cryoablation was performed for the diaphragm metastasis and paraspinal muscle metastasis. Endoscopy revealed a protruding lesion in the anastomotic site of the Billroth I, which was spreading to the jejunum (Fig. 10). The patient underwent combined resection of the stomach and transverse colon. Subsequent histochemical staining confirmed the diagnosis of gastric metastasis from LMS (Fig. 7C).

Figure 6

Magnetic resonance imaging showing a 6 cm mass around the proximal left fibula (A) T1 signal intensity; (B) T2 signal intensity (Case 2).

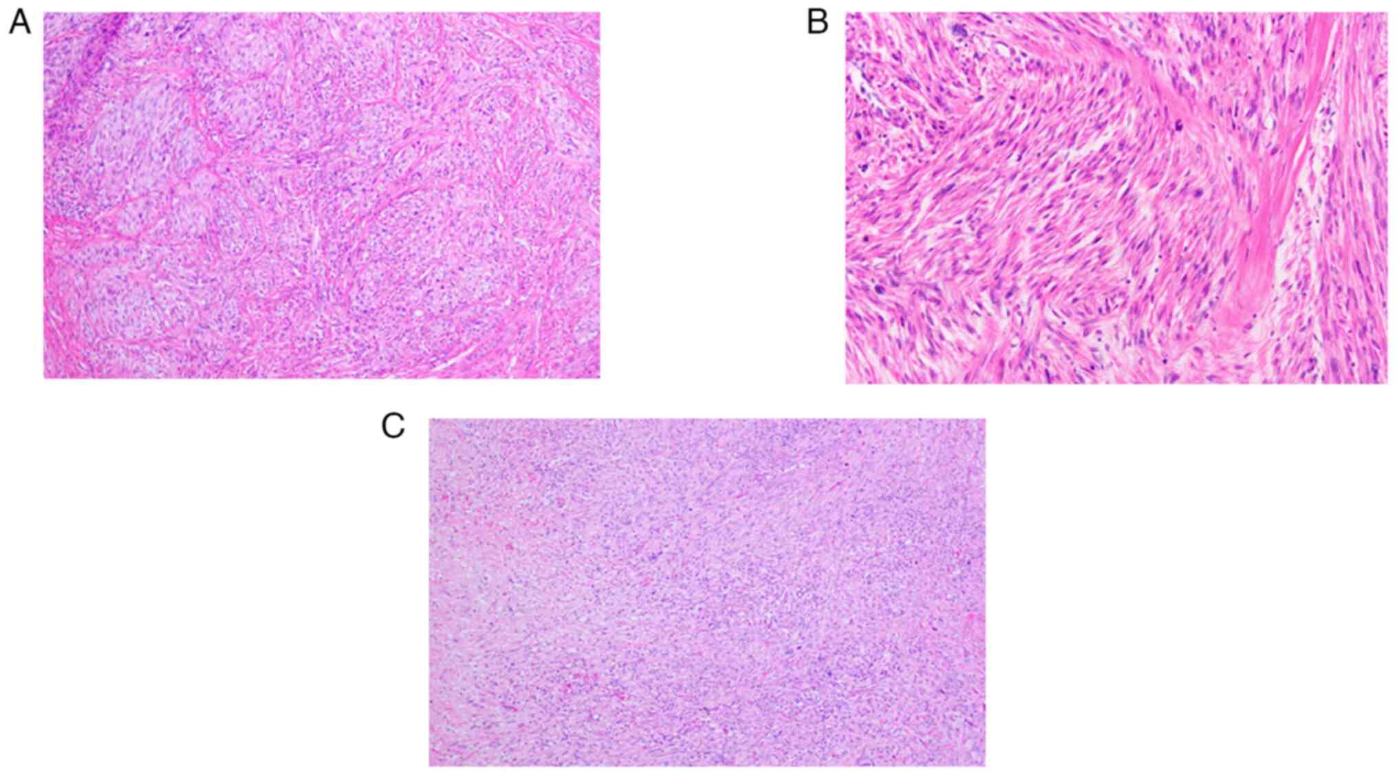
Figure 7

Microscopic findings showing polymorphous spindle cell proliferation at the primary site (Case 2). H&E staining (A) magnification, x10; and (B) magnification, x20 of the primary site. (C) H&E staining of the stomach leiomyosarcoma; magnification, x10.

Figure 8

Immunohistochemical staining showing positive expression of (A) α-smooth muscle actin, (B) caldesmon and (C) desmin, and (D) negative expression of C 56, (E) pan CK and (F) S-100; magnification, x20 (Case 2).

Figure 9

(A) Computed tomography scan showing a protruding mass in the upper part of the stomach (arrow). (B) FDG-positron emission tomography showing FDG uptake in the stomach (arrow), and pericardial metastasis (Case 2).

Figure 10

Gastroscopy showing a submucosal tumor in the anastomotic site of Billroth I, which was spreading to the jejunum (Case 2).

Systemic chemotherapy using gemcitabine and docetaxel was performed for the multiple metastases. However, it was discontinued due to a decrease in appetite and fatigue. Finally, the patient received the best supportive care available. He died from the sarcoma 6 months after gastrectomy (33 months after initial treatment).

Discussion

The lung and liver are the most common sites of metastasis for LMS. Metastasectomy may contribute to prolonging survival, although survival after metastasis is generally poor (9). Previously, the feasibility and effectiveness of local interventional treatments, such as RFA, cryoablation, and stereotactic body radiation therapy for lung and liver metastasis were reported (10-13). Gastric metastasis is rare, with an estimated incidence at autopsy in patients with cancer varying from 1.7 to 5.4% (14). Breast cancer is the most common type of tumor that metastasizes to the stomach (27.9%), followed by lung cancer (23.8%), esophageal cancer (19.1%), renal cell carcinoma (RCC; 7.6%), and malignant melanoma (7.0%) (15).

The mechanisms underlying gastric metastasis have not been clearly elucidated; four pathways may be involved in the metastatic spread of an original primary cancer to the stomach: Peritoneal dissemination, hematogenous dissemination, lymphatic spread, and direct tumor invasion (15). Chest radiography and CT scans during follow-up are recommended as the lung is the most common site of metastasis from STS (16). A chest CT scan typically includes the upper abdomen, leading to an evaluation of the upper part of the stomach. However, it is difficult to identify gastric metastasis on CT images. The rate of detection of early gastric cancer, which is confined to the mucosa or submucosa, on CT is low, at 14.3% (17). In case 1, the gastric metastasis was confined to the submucosa, therefore the metastatic lesion was not detected on CT. Conversely, endoscopic screening reduced the incidence of advanced gastric cancer and mortality from gastric cancer in the Japanese population. In the endoscopic screening group, the mortality from gastric cancer and incidence of advanced gastric cancer were reduced by 61 and 22%, respectively (18). However, endoscopy is not usually performed except for cases with gastrointestinal manifestations. Therefore, gastric metastasis is difficult to detect in the early stages.

Palma et al (19) reviewed 64 patients with gastric metastasis from solid malignant tumors, which included one case of STS. It was found that the mean time between the diagnosis of primary tumors and the development of metastatic lesions was 25.7 months (1-40 months).

In >50% of patients with gastric metastases, they are symptomatic, most commonly with bleeding, epigastric pain, vomiting, and anorexia (19). In the present cases, melena was observed in case 1 and severe anemia in case 2. The possibility of gastric metastasis should be considered in patients who present with gastrointestinal manifestations. In the endoscopic findings, the metastases presented as solitary (65%) or multiple lesions (35%), and were more frequently located in the middle or upper third of the stomach (14). In the present study, the metastasis presented as a solitary lesion, and was located in the anterior wall of the upper body in case 1, and the greater curvature of the body in case 2.

Generally, the patient's prognosis after gastric metastasis was poor as the presence of gastric metastasis is indicative of advanced-stage disease (19). Although there have been no reports concerning gastric metastasis from soft tissue LMS, to the best of our knowledge, gastric metastasis from other subtypes of STS have been reported (20,21). Akatsu et al (22) reported a case and reviewed 10 cases of malignant fibrous histiocytoma with gastric metastases. The patients they reported on underwent surgery as they suffered from uncontrollable tumor bleeding, which led to severe anemia; 60% (6/10) of the reported cases of gastric metastases were treated with distal gastrectomy and only 2 of these patients survived >16 months. The average survival time for the other 4 patients who underwent resection was 7 months. Therefore, the prognosis of patients with gastric metastasis is poor. Samuel et al (20) reported a case of synovial sarcoma with gastric metastasis. The patient developed gastric and lung metastases. Complete resection of the primary lesion with postoperative chemotherapy was performed. However, the CT scan performed after chemotherapy revealed an increase in the size of the bilateral lung nodules and stomach mass, along with a new liver lesion, which was to be a liver metastasis. They did not administer local treatment for gastric metastasis as the patient was asymptomatic. It is debatable whether to perform local treatment for gastric metastasis due to its poor prognosis.

Appropriate systemic treatment for metastatic tumors in the stomach is the preferred mode of treatment. However, the progression of metastatic cancer in the stomach can lead to gastric bleeding, abdominal pain, and dysphagia, which may shorten survival and negatively impact a patient's quality of life. Surgical resection of metastatic gastric tumors may be recommended to control hemorrhaging, thus improving a patient's quality of life (15). Endoscopic resection, which is minimally invasive, is effective for submucosal metastasis, such as in Case 1.

In conclusion, our experience of gastric metastases from soft tissue LMS in 2 cases was reported. Gastric metastasis may be suspected in LMS patients with digestive tract symptoms. Surgical treatment may be considered in select patients with symptomatic metastasis. Minimally invasive treatment such as endoscopic resection is a potential treatment option to improve or maintain a patient's quality of life, even if their prognosis is poor.

Acknowledgements

Not applicable.

Funding

Funding: No funding was received.

Availability of data and materials

All data generated or analyzed during this study are included in this published article.

Authors' contributions

TN conceived the study, treated the patients, collected the data and wrote the manuscript. TU collected the data and wrote the manuscript. TH, KN and RA collected, analyzed, and interpreted the clinical data. KA performed the surgery, and analyzed and interpreted the clinical data. AS analyzed and interpreted the clinical data, and reviewed the manuscript. All authors have read and approved the final manuscript. KA and TH confirm the authenticity of all the raw data.

Ethics approval and consent to participate

The requirement for institutional review board approval from our institute was waived owing to the anonymized and retrospective nature of this report; however, written informed consent was obtained from the patient to perform further studies when they received surgery.

Patient consent to publication

Written informed consent was obtained from the patients to perform further studies when they received surgery.

Competing interests

The authors declare that they have no competing interests.

References

1 

Pisters PW, Leung DH, Woodruff J, Shi W and Brennan MF: Analysis of prognostic factors in 1,041 patients with localized soft tissue sarcomas of the extremities. J Clin Oncol. 14:1679–1689. 1996.PubMed/NCBI View Article : Google Scholar

2 

Gronchi A, Strauss DC, Miceli R, Bonvalot S, Swallow CJ, Hohenberger P, Van Coevorden F, Rutkowski P, Callegaro D, Hayes AJ, et al: Variability in patterns of recurrence after resection of primary retroperitoneal sarcoma (RPS): A report on 1007 patients from the multi-institutional collaborative RPS working group. Ann Surg. 263:1002–1009. 2016.PubMed/NCBI View Article : Google Scholar

3 

Ogura K, Higashi T and Kawai A: Statistics of soft-tissue sarcoma in Japan: Report from the bone and soft tissue tumor registry in Japan. J Orthop Sci. 22:755–764. 2017.PubMed/NCBI View Article : Google Scholar

4 

Menuck LS and Amberg JR: Metastatic disease involving the stomach. Am J Dig Dis. 20:903–913. 1975.PubMed/NCBI View Article : Google Scholar

5 

Yodonawa S, Ogawa I, Yoshida S, Ito H, Kato A, Kubokawa R, Tokoshima E and Shimoyamada H: Gastric metastasis from a primary renal leiomyosarcoma. Case Rep Gastroenterol. 6:314–318. 2012.PubMed/NCBI View Article : Google Scholar

6 

Abe K, Seo K, Yagi M, Sasajima Y, Yagi T, Inaba T and Fukushima R: Gastrointestinal metastasis of cardiac leiomyosarcoma. Endoscopy. 48:E349–E350. 2016.PubMed/NCBI View Article : Google Scholar

7 

Costa M, Ivanova E and Esteves J: Upper gastrointestinal bleeding due to gastric metastasis from a primary uterine leiomyosarcoma. Acta Clin Belg. 71:271–272. 2016.PubMed/NCBI View Article : Google Scholar

8 

Okagawa Y, Yoshinaga S, Noguchi E and Sekine S: Gastric metastasis from primary leiomyosarcoma of the broad ligament. Jpn J Clin Oncol. 51:846–847. 2021.PubMed/NCBI View Article : Google Scholar

9 

Delisle M, Alshamsan B, Nagaratnam K, Smith D, Wang Y and Srikanthan A: Metastasectomy in leiomyosarcoma: A systematic review and pooled survival analysis. Cancers (Basel). 14(3055)2022.PubMed/NCBI View Article : Google Scholar

10 

Berber E, Ari E, Herceg N and Siperstein A: Laparoscopic radiofrequency thermal ablation for unusual hepatic tumors: Operative indications and outcomes. Surg Endosc. 19:1613–1617. 2005.PubMed/NCBI View Article : Google Scholar

11 

Jones RL, McCall J, Adam A, O'Donnell D, Ashley S, Al-Muderis O, Thway K, Fisher C and Judson IR: Radiofrequency ablation is a feasible therapeutic option in the multi modality management of sarcoma. Eur J Surg Oncol. 36:477–482. 2010.PubMed/NCBI View Article : Google Scholar

12 

Nakamura T, Matsumine A, Yamakado K, Matsubara T, Takaki H, Nakatsuka A, Takeda K, Abo D, Shimizu T and Uchida A: Lung radiofrequency ablation in patients with pulmonary metastases from musculoskeletal sarcomas [corrected]. Cancer. 115:3774–3781. 2009.PubMed/NCBI View Article : Google Scholar

13 

Navarria P, Ascolese AM, Cozzi L, Tomatis S, D'Agostino GR, De Rose F, De Sanctis R, Marrari A, Santoro A, Fogliata A, et al: Stereotactic body radiation therapy for lung metastases from soft tissue sarcoma. Eur J Cancer. 51:668–674. 2015.PubMed/NCBI View Article : Google Scholar

14 

Oda Kondo H, Yamao T, Saito D, Ono H, Gotoda T, Yamaguchi H, Yoshida S and Shimoda T: Metastatic tumors to the stomach: Analysis of 54 patients diagnosed at endoscopy and 347 autopsy cases. Endoscopy. 33:507–510. 2001.PubMed/NCBI View Article : Google Scholar

15 

Namikawa T and Hanazaki K: Clinicopathological features and treatment outcomes of metastatic tumors in the stomach. Surg Today. 44:1392–1399. 2014.PubMed/NCBI View Article : Google Scholar

16 

Gronchi A, Miah AB, Dei Tos AP, Abecassis N, Bajpai J, Bauer S, Biagini R, Bielack S, Blay JY, Bolle S, et al: Soft tissue and visceral sarcomas: ESMO-EURACAN-GENTURIS clinical practice guidelines for diagnosis, treatment and follow-up☆. Ann Oncol. 32:1348–1365. 2021.PubMed/NCBI View Article : Google Scholar

17 

Woo SK, Kim S, Kim TU, Lee JW, Kim GH, Choi KU and Jeon TY: Investigation of the association between CT detection of early gastric cancer and ultimate histology. Clin Radiol. 63:1236–1244. 2008.PubMed/NCBI View Article : Google Scholar

18 

Narii N, Sobue T, Zha L, Kitamura T, Iwasaki M, Inoue M, Yamaji T, Tsugane S and Sawada N: Effectiveness of endoscopic screening for gastric cancer: The Japan public health center-based prospective study. Cancer Sci. 113:3922–3931. 2022.PubMed/NCBI View Article : Google Scholar

19 

De Palma GD, Masone S, Rega M, Simeoli I, Donisi M, Addeo P, Iannone L, Pilone V and Persico G: Metastatic tumors to the stomach: Clinical and endoscopic features. World J Gastroenterol. 12:7326–7328. 2006.PubMed/NCBI View Article : Google Scholar

20 

Samuel T, Norly S and Ros'aini P: Gastric ulcer that turned out to be metastasis of a synovial sarcoma: A case report and literature review. Med J Malaysia. 71:363–365. 2016.PubMed/NCBI

21 

Dent LL, Cardona CY, Buchholz MC, Peebles R, Scott JD, Beech DJ and Ballard BR: Soft tissue sarcoma with metastasis to the stomach: A case report. World J Gastroenterol. 16:5130–5134. 2010.PubMed/NCBI View Article : Google Scholar

22 

Akatsu Y, Saikawa Y, Kubota T, Kiyota T, Nakamura R, Akatsu T, Takahashi T, Yoshida M, Otani Y, Kumai K and Kitajima M: Metastatic gastric cancer from malignant fibrous histiocytoma: Report of a case. Surg Today. 36:385–389. 2006.PubMed/NCBI View Article : Google Scholar

Related Articles

  • Abstract
  • View
  • Download
  • Twitter
Copy and paste a formatted citation
Spandidos Publications style
Uchiyama T, Nakamura T, Nakata K, Adachi R, Hagi T, Asanuma K and Sudo A: Gastric metastasis in patients with leiomyosarcoma: A case report. Biomed Rep 19: 75, 2023.
APA
Uchiyama, T., Nakamura, T., Nakata, K., Adachi, R., Hagi, T., Asanuma, K., & Sudo, A. (2023). Gastric metastasis in patients with leiomyosarcoma: A case report. Biomedical Reports, 19, 75. https://doi.org/10.3892/br.2023.1657
MLA
Uchiyama, T., Nakamura, T., Nakata, K., Adachi, R., Hagi, T., Asanuma, K., Sudo, A."Gastric metastasis in patients with leiomyosarcoma: A case report". Biomedical Reports 19.4 (2023): 75.
Chicago
Uchiyama, T., Nakamura, T., Nakata, K., Adachi, R., Hagi, T., Asanuma, K., Sudo, A."Gastric metastasis in patients with leiomyosarcoma: A case report". Biomedical Reports 19, no. 4 (2023): 75. https://doi.org/10.3892/br.2023.1657
Copy and paste a formatted citation
x
Spandidos Publications style
Uchiyama T, Nakamura T, Nakata K, Adachi R, Hagi T, Asanuma K and Sudo A: Gastric metastasis in patients with leiomyosarcoma: A case report. Biomed Rep 19: 75, 2023.
APA
Uchiyama, T., Nakamura, T., Nakata, K., Adachi, R., Hagi, T., Asanuma, K., & Sudo, A. (2023). Gastric metastasis in patients with leiomyosarcoma: A case report. Biomedical Reports, 19, 75. https://doi.org/10.3892/br.2023.1657
MLA
Uchiyama, T., Nakamura, T., Nakata, K., Adachi, R., Hagi, T., Asanuma, K., Sudo, A."Gastric metastasis in patients with leiomyosarcoma: A case report". Biomedical Reports 19.4 (2023): 75.
Chicago
Uchiyama, T., Nakamura, T., Nakata, K., Adachi, R., Hagi, T., Asanuma, K., Sudo, A."Gastric metastasis in patients with leiomyosarcoma: A case report". Biomedical Reports 19, no. 4 (2023): 75. https://doi.org/10.3892/br.2023.1657
Follow us
  • Twitter
  • LinkedIn
  • Facebook
About
  • Spandidos Publications
  • Careers
  • Cookie Policy
  • Privacy Policy
How can we help?
  • Help
  • Live Chat
  • Contact
  • Email to our Support Team