Spandidos Publications Logo
  • About
    • About Spandidos
    • Aims and Scopes
    • Abstracting and Indexing
    • Editorial Policies
    • Reprints and Permissions
    • Job Opportunities
    • Terms and Conditions
    • Contact
  • Journals
    • All Journals
    • Oncology Letters
      • Oncology Letters
      • Information for Authors
      • Editorial Policies
      • Editorial Board
      • Aims and Scope
      • Abstracting and Indexing
      • Bibliographic Information
      • Archive
    • International Journal of Oncology
      • International Journal of Oncology
      • Information for Authors
      • Editorial Policies
      • Editorial Board
      • Aims and Scope
      • Abstracting and Indexing
      • Bibliographic Information
      • Archive
    • Molecular and Clinical Oncology
      • Molecular and Clinical Oncology
      • Information for Authors
      • Editorial Policies
      • Editorial Board
      • Aims and Scope
      • Abstracting and Indexing
      • Bibliographic Information
      • Archive
    • Experimental and Therapeutic Medicine
      • Experimental and Therapeutic Medicine
      • Information for Authors
      • Editorial Policies
      • Editorial Board
      • Aims and Scope
      • Abstracting and Indexing
      • Bibliographic Information
      • Archive
    • International Journal of Molecular Medicine
      • International Journal of Molecular Medicine
      • Information for Authors
      • Editorial Policies
      • Editorial Board
      • Aims and Scope
      • Abstracting and Indexing
      • Bibliographic Information
      • Archive
    • Biomedical Reports
      • Biomedical Reports
      • Information for Authors
      • Editorial Policies
      • Editorial Board
      • Aims and Scope
      • Abstracting and Indexing
      • Bibliographic Information
      • Archive
    • Oncology Reports
      • Oncology Reports
      • Information for Authors
      • Editorial Policies
      • Editorial Board
      • Aims and Scope
      • Abstracting and Indexing
      • Bibliographic Information
      • Archive
    • Molecular Medicine Reports
      • Molecular Medicine Reports
      • Information for Authors
      • Editorial Policies
      • Editorial Board
      • Aims and Scope
      • Abstracting and Indexing
      • Bibliographic Information
      • Archive
    • World Academy of Sciences Journal
      • World Academy of Sciences Journal
      • Information for Authors
      • Editorial Policies
      • Editorial Board
      • Aims and Scope
      • Abstracting and Indexing
      • Bibliographic Information
      • Archive
    • International Journal of Functional Nutrition
      • International Journal of Functional Nutrition
      • Information for Authors
      • Editorial Policies
      • Editorial Board
      • Aims and Scope
      • Abstracting and Indexing
      • Bibliographic Information
      • Archive
    • International Journal of Epigenetics
      • International Journal of Epigenetics
      • Information for Authors
      • Editorial Policies
      • Editorial Board
      • Aims and Scope
      • Abstracting and Indexing
      • Bibliographic Information
      • Archive
    • Medicine International
      • Medicine International
      • Information for Authors
      • Editorial Policies
      • Editorial Board
      • Aims and Scope
      • Abstracting and Indexing
      • Bibliographic Information
      • Archive
  • Articles
  • Information
    • Information for Authors
    • Information for Reviewers
    • Information for Librarians
    • Information for Advertisers
    • Conferences
  • Language Editing
Spandidos Publications Logo
  • About
    • About Spandidos
    • Aims and Scopes
    • Abstracting and Indexing
    • Editorial Policies
    • Reprints and Permissions
    • Job Opportunities
    • Terms and Conditions
    • Contact
  • Journals
    • All Journals
    • Biomedical Reports
      • Information for Authors
      • Editorial Policies
      • Editorial Board
      • Aims and Scope
      • Abstracting and Indexing
      • Bibliographic Information
      • Archive
    • Experimental and Therapeutic Medicine
      • Information for Authors
      • Editorial Policies
      • Editorial Board
      • Aims and Scope
      • Abstracting and Indexing
      • Bibliographic Information
      • Archive
    • International Journal of Epigenetics
      • Information for Authors
      • Editorial Policies
      • Editorial Board
      • Aims and Scope
      • Abstracting and Indexing
      • Bibliographic Information
      • Archive
    • International Journal of Functional Nutrition
      • Information for Authors
      • Editorial Policies
      • Editorial Board
      • Aims and Scope
      • Abstracting and Indexing
      • Bibliographic Information
      • Archive
    • International Journal of Molecular Medicine
      • Information for Authors
      • Editorial Policies
      • Editorial Board
      • Aims and Scope
      • Abstracting and Indexing
      • Bibliographic Information
      • Archive
    • International Journal of Oncology
      • Information for Authors
      • Editorial Policies
      • Editorial Board
      • Aims and Scope
      • Abstracting and Indexing
      • Bibliographic Information
      • Archive
    • Medicine International
      • Information for Authors
      • Editorial Policies
      • Editorial Board
      • Aims and Scope
      • Abstracting and Indexing
      • Bibliographic Information
      • Archive
    • Molecular and Clinical Oncology
      • Information for Authors
      • Editorial Policies
      • Editorial Board
      • Aims and Scope
      • Abstracting and Indexing
      • Bibliographic Information
      • Archive
    • Molecular Medicine Reports
      • Information for Authors
      • Editorial Policies
      • Editorial Board
      • Aims and Scope
      • Abstracting and Indexing
      • Bibliographic Information
      • Archive
    • Oncology Letters
      • Information for Authors
      • Editorial Policies
      • Editorial Board
      • Aims and Scope
      • Abstracting and Indexing
      • Bibliographic Information
      • Archive
    • Oncology Reports
      • Information for Authors
      • Editorial Policies
      • Editorial Board
      • Aims and Scope
      • Abstracting and Indexing
      • Bibliographic Information
      • Archive
    • World Academy of Sciences Journal
      • Information for Authors
      • Editorial Policies
      • Editorial Board
      • Aims and Scope
      • Abstracting and Indexing
      • Bibliographic Information
      • Archive
  • Articles
  • Information
    • For Authors
    • For Reviewers
    • For Librarians
    • For Advertisers
    • Conferences
  • Language Editing
Login Register Submit
  • This site uses cookies
  • You can change your cookie settings at any time by following the instructions in our Cookie Policy. To find out more, you may read our Privacy Policy.

    I agree
Search articles by DOI, keyword, author or affiliation
Search
Advanced Search
presentation
Biomedical Reports
Join Editorial Board Propose a Special Issue
Print ISSN: 2049-9434 Online ISSN: 2049-9442
Journal Cover
November-2023 Volume 19 Issue 5

Full Size Image

Sign up for eToc alerts
Recommend to Library

Journals

International Journal of Molecular Medicine

International Journal of Molecular Medicine

International Journal of Molecular Medicine is an international journal devoted to molecular mechanisms of human disease.

International Journal of Oncology

International Journal of Oncology

International Journal of Oncology is an international journal devoted to oncology research and cancer treatment.

Molecular Medicine Reports

Molecular Medicine Reports

Covers molecular medicine topics such as pharmacology, pathology, genetics, neuroscience, infectious diseases, molecular cardiology, and molecular surgery.

Oncology Reports

Oncology Reports

Oncology Reports is an international journal devoted to fundamental and applied research in Oncology.

Experimental and Therapeutic Medicine

Experimental and Therapeutic Medicine

Experimental and Therapeutic Medicine is an international journal devoted to laboratory and clinical medicine.

Oncology Letters

Oncology Letters

Oncology Letters is an international journal devoted to Experimental and Clinical Oncology.

Biomedical Reports

Biomedical Reports

Explores a wide range of biological and medical fields, including pharmacology, genetics, microbiology, neuroscience, and molecular cardiology.

Molecular and Clinical Oncology

Molecular and Clinical Oncology

International journal addressing all aspects of oncology research, from tumorigenesis and oncogenes to chemotherapy and metastasis.

World Academy of Sciences Journal

World Academy of Sciences Journal

Multidisciplinary open-access journal spanning biochemistry, genetics, neuroscience, environmental health, and synthetic biology.

International Journal of Functional Nutrition

International Journal of Functional Nutrition

Open-access journal combining biochemistry, pharmacology, immunology, and genetics to advance health through functional nutrition.

International Journal of Epigenetics

International Journal of Epigenetics

Publishes open-access research on using epigenetics to advance understanding and treatment of human disease.

Medicine International

Medicine International

An International Open Access Journal Devoted to General Medicine.

Journal Cover
November-2023 Volume 19 Issue 5

Full Size Image

Sign up for eToc alerts
Recommend to Library

  • Article
  • Citations
    • Cite This Article
    • Download Citation
    • Create Citation Alert
    • Remove Citation Alert
    • Cited By
  • Similar Articles
    • Related Articles (in Spandidos Publications)
    • Similar Articles (Google Scholar)
    • Similar Articles (PubMed)
  • Download PDF
  • Download XML
  • View XML
Article Open Access

Differentiation of glioblastoma and primary central nervous system lymphomas using multiparametric diffusion and perfusion magnetic resonance imaging

  • Authors:
    • Nguyen Duy Hung
    • Nguyen Ngoc Anh
    • Nguyen Dinh Minh
    • Dang Khanh Huyen
    • Nguyen Minh Duc
  • View Affiliations / Copyright

    Affiliations: Department of Radiology, Hanoi Medical University, Hanoi 100000, Vietnam, Department of Radiology, Viet Duc Hospital, Hanoi 100000, Vietnam, Department of Radiology, Pham Ngoc Thach University of Medicine, Ho Chi Minh 700000, Vietnam
    Copyright: © Hung et al. This is an open access article distributed under the terms of Creative Commons Attribution License.
  • Article Number: 82
    |
    Published online on: September 22, 2023
       https://doi.org/10.3892/br.2023.1664
  • Expand metrics +
Metrics: Total Views: 0 (Spandidos Publications: | PMC Statistics: )
Metrics: Total PDF Downloads: 0 (Spandidos Publications: | PMC Statistics: )
Cited By (CrossRef): 0 citations Loading Articles...

This article is mentioned in:



Abstract

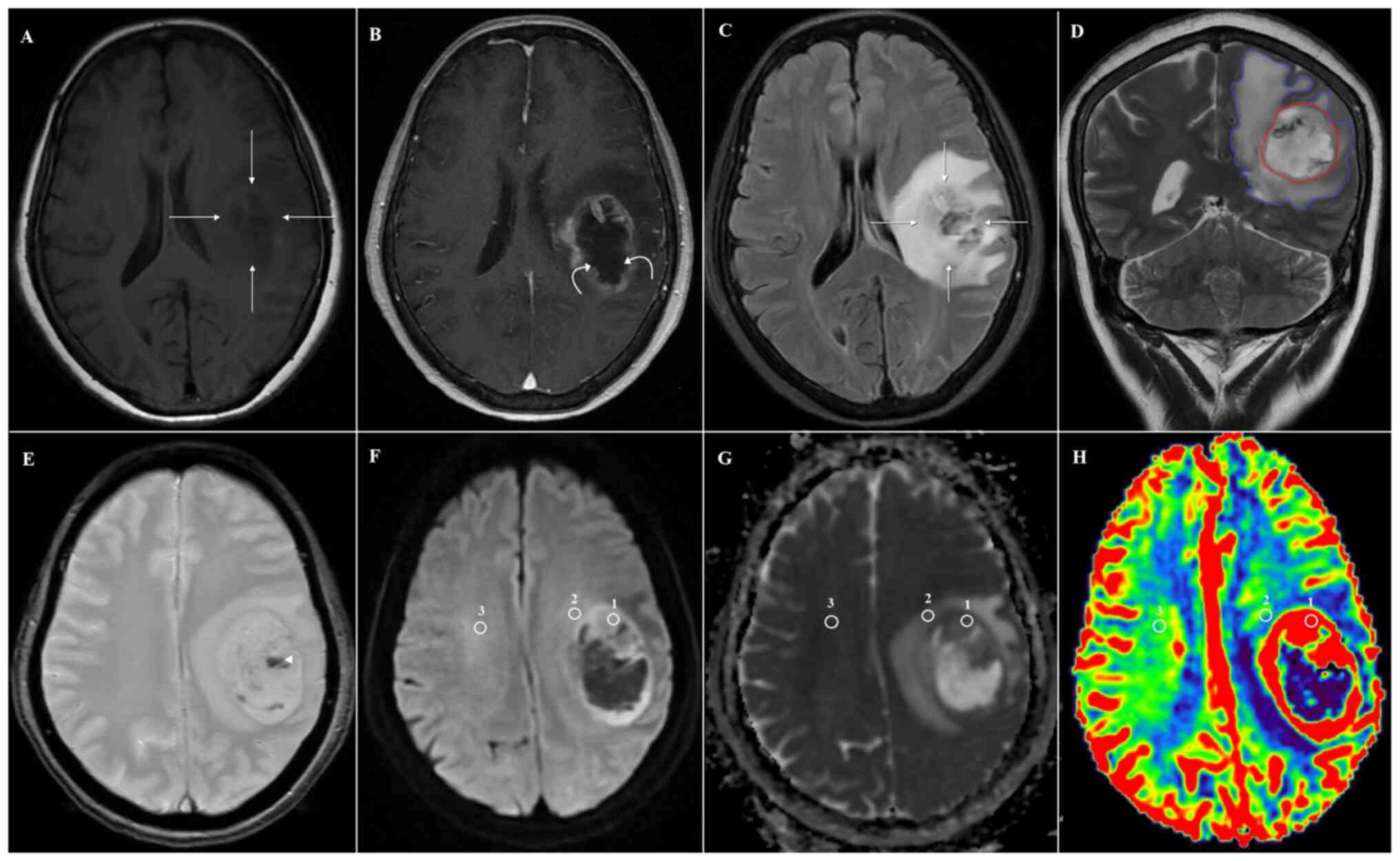
The present study aimed to determine whether combining diffusion‑weighted (DWI) and dynamic susceptibility contrast‑enhanced perfusion‑weighted (DSC‑PWI) magnetic resonance imaging (MRI) could differentiate between primary central nervous system lymphoma (PCNSL) and glioblastoma (GBM). The present retrospective study evaluated 45 patients with histologically confirmed brain tumors, of which 18 had PCNSLs and 27 had GBMs. All patients underwent conventional, DWI, and DSC‑PWI MRIs before the surgical removal of the lesion or stereotactic biopsy. The solid tumor component, peritumoral edema, and abnormal white matter were measured in three regions of interest to evaluate relative cerebral blood volume (rCBV), apparent diffusion coefficient (ADC) and DWI. In conventional MRI, there were significant differences in tumor numbers, tumor enhancement type, tumor necrosis, hemorrhage and open‑ring sign between GBM and PCNSL. Solid tumor ADC and rCBV values (ADCt and rCBVt, respectively) and their ratios with abnormal white matter amounts were significantly higher in GBM cases than in PCNSL cases (P<0.05). The rCBV value for peritumoral edema (rCBVe) and its ratio with abnormal white matter amount (rCBVe/n) were significantly higher in GBM cases than in PCNSL cases (P<0.05). However, ADC values did not differ significantly for peritumoral edema. DWI values did not differ significantly. Combining rCBVt and rCBVe/n provided a perfect area under the receiver operating characteristic curve of 1.00, with 100% sensitivity and 100% specificity for distinguishing GBM from PCNSL. In the results of the present study, the major criterion in the decision‑making process distinguishing PCNSL from GBM was the combined rCBVt and rCBVe/n parameter. A minor criterion was the ADCt value of the lesion.
View Figures

Figure 1

Figure 2

Figure 3

Figure 4

View References

1 

Hanif F, Muzaffar K, Perveen K, Malhi SM and Simjee SU: Glioblastoma multiforme: A review of its epidemiology and pathogenesis through clinical presentation and treatment. Asian Pac J Cancer Prev. 18:3–9. 2017.PubMed/NCBI View Article : Google Scholar

2 

Salacz ME, Watson KR and Schomas DA: Glioblastoma: Part I. Current state of affairs. Mo Med. 108:187–194. 2011.PubMed/NCBI

3 

Lee SC, Moon WJ, Choi JW, Roh HG, Bak SH, Yi JG, Yim YJ and Chung EC: Differentitation between primary central nervous system lymphoma and glioblastoma: Added value of quantitative analysis of CT attenuation and apparent diffusion coefficient. J Korean Soc Magn Reson Med. 16:226–235. 2012.

4 

Tang YZ, Booth TC, Bhogal P, Malhotra A and Wilhelm T: Imaging of primary central nervous system lymphoma. Clin Radiol. 66:768–777. 2011.

5 

Konjević G, Jurisić V, Banićevic B and Spuzić I: The difference in NK-cell activity between patients with non-Hodgkin's lymphomas and Hodgkin's disease. Br J Haematol. 104:144–151. 1999.PubMed/NCBI View Article : Google Scholar

6 

Jurišić V, Konjević G, Banićević B, Duricić B and Spuzić I: Different alterations in lactate dehydrogenase activity and profile of peripheral blood mononuclear cells in Hodgkin's and non-Hodgkin's lymphomas. Eur J Haematol. 64:259–266. 2000.PubMed/NCBI View Article : Google Scholar

7 

Han CH and Batchelor TT: Diagnosis and management of primary central nervous system lymphoma. Cancer. 123:4314–4324. 2017.PubMed/NCBI View Article : Google Scholar

8 

Urbańska K, Sokołowska J, Szmidt M and Sysa P: Glioblastoma multiforme-an overview. Contemp Oncol (Pozn). 18:307–312. 2014.PubMed/NCBI View Article : Google Scholar

9 

Mizobuchi Y, Nakajima K, Fujihara T, Matsuzaki K, Mure H, Nagahiro S and Takagi Y: The risk of hemorrhage in stereotactic biopsy for brain tumors. J Med Invest. 66:314–318. 2019.PubMed/NCBI View Article : Google Scholar

10 

Vaquero J, Martínez R and Manrique M: Stereotactic biopsy for brain tumors: Is it always necessary? Surg Neurol. 53:432–437. 2000.PubMed/NCBI View Article : Google Scholar

11 

Han Y, Wang ZJ, Li WH, Yang Y, Zhang J, Yang XB, Zuo L, Xiao G, Wang SZ, Yan LF and Cui GB: Differentiation between primary central nervous system lymphoma and atypical glioblastoma based on MRI morphological feature and signal intensity ratio: A retrospective multicenter study. Front Oncol. 12(811197)2022.PubMed/NCBI View Article : Google Scholar

12 

Kickingereder P, Wiestler B, Sahm F, Heiland S, Roethke M, Schlemmer HP, Wick W, Bendszus M and Radbruch A: Primary central nervous system lymphoma and atypical glioblastoma: Multiparametric differentiation by using diffusion-, perfusion-, and susceptibility-weighted MR imaging. Radiology. 272:843–850. 2014.PubMed/NCBI View Article : Google Scholar

13 

Kono K, Inoue Y, Nakayama K, Shakudo M, Morino M, Ohata K, Wakasa K and Yamada R: The role of diffusion-weighted imaging in patients with brain tumors. AJNR Am J Neuroradiol. 22:1081–1088. 2001.PubMed/NCBI

14 

Aronen HJ, Gazit IE, Louis DN, Buchbinder BR, Pardo FS, Weisskoff RM, Harsh GR, Cosgrove GR, Halpern EF and Hochberg FH: Cerebral blood volume maps of gliomas: Comparison with tumor grade and histologic findings. Radiology. 191:41–51. 1994.PubMed/NCBI View Article : Google Scholar

15 

Neska-Matuszewska M, Bladowska J, Sąsiadek M and Zimny A: Differentiation of glioblastoma multiforme, metastases and primary central nervous system lymphomas using multiparametric perfusion and diffusion MR imaging of a tumor core and a peritumoral zone-Searching for a practical approach. PLoS One. 13(e0191341)2018.PubMed/NCBI View Article : Google Scholar

16 

Feng A, Li L, Huang T, Li S, He N, Huang L, Zeng M and Lyu J: Differentiating glioblastoma from primary central nervous system lymphoma of atypical manifestation using multiparametric magnetic resonance imaging: A comparative study. Heliyon. 9(e15150)2023.PubMed/NCBI View Article : Google Scholar

17 

Bao S, Watanabe Y, Takahashi H, Tanaka H, Arisawa A, Matsuo C, Wu R, Fujimoto Y and Tomiyama N: Differentiating between glioblastoma and primary CNS lymphoma using combined whole-tumor histogram analysis of the normalized cerebral blood volume and the apparent diffusion coefficient. Magn Reson Med Sci. 18:53–61. 2019.PubMed/NCBI View Article : Google Scholar

18 

Makino K, Hirai T, Nakamura H, Kuroda JI, Shinojima N, Uetani H, Kitajima M and Yano S: Differentiating between primary central nervous system lymphomas and glioblastomas: Combined use of perfusion-weighted and diffusion-weighted magnetic resonance imaging. World Neurosurg. 112:e1–e6. 2018.PubMed/NCBI View Article : Google Scholar

19 

Nakajima S, Okada T, Yamamoto A, Kanagaki M, Fushimi Y, Okada T, Arakawa Y, Takagi Y, Miyamoto S and Togashi K: Differentiation between primary central nervous system lymphoma and glioblastoma: A comparative study of parameters derived from dynamic susceptibility contrast-enhanced perfusion-weighted MRI. Clin Radiol. 70:1393–1399. 2015.PubMed/NCBI View Article : Google Scholar

20 

Abul-Kasim K, Maly P, Strömbeck A, Svensson J and Sundgren PC: Perfusion weighted MR imaging may differentiate primary CNS lymphoma from other homogeneously enhancing brain tumors. Neuroradiol J. 21:637–644. 2008.PubMed/NCBI View Article : Google Scholar

21 

Ko CC, Tai MH, Li CF, Chen TY, Chen JH, Shu G, Kuo YT and Lee YC: Differentiation between glioblastoma multiforme and primary cerebral lymphoma: Additional benefits of quantitative diffusion-weighted MR imaging. PLoS One. 11(e0162565)2016.PubMed/NCBI View Article : Google Scholar

22 

Osborn AG, Louis DN, Poussaint TY, Linscott LL and Salzman KL: The 2021 world health organization classification of tumors of the central nervous system: What neuroradiologists need to know. AJNR Am J Neuroradiol. 43:928–937. 2022.PubMed/NCBI View Article : Google Scholar

23 

Das S and Marsden PA: Angiogenesis in glioblastoma. N Engl J Med. 369:1561–1563. 2013.PubMed/NCBI View Article : Google Scholar

24 

Lugano R, Ramachandran M and Dimberg A: Tumor angiogenesis: Causes, consequences, challenges and opportunities. Cell Mol Life Sci. 77:1745–1770. 2020.PubMed/NCBI View Article : Google Scholar

25 

Zhang D, Hu LB, Henning TD, Ravarani EM, Zou LG, Feng XY, Wang WX and Wen L: MRI findings of primary CNS lymphoma in 26 immunocompetent patients. Korean J Radiol. 11:269–277. 2010.PubMed/NCBI View Article : Google Scholar

26 

Malikova H, Koubska E, Weichet J, Klener J, Rulseh A, Liscak R and Vojtech Z: Can morphological MRI differentiate between primary central nervous system lymphoma and glioblastoma? Cancer Imaging. 16(40)2016.PubMed/NCBI View Article : Google Scholar

27 

Osborn AG, Salzman KL and Jhaveri MD (eds): Diagnostic Imaging Brain. 3rd edition. Elsevier, Philadelphia, PA, 2016.

28 

Haldorsen IS, Kråkenes J, Krossnes BK, Mella O and Espeland A: CT and MR imaging features of primary central nervous system lymphoma in Norway, 1989-2003. AJNR Am J Neuroradiol. 30:744–751. 2009.PubMed/NCBI View Article : Google Scholar

29 

Yamashita K, Yoshiura T, Hiwatashi A, Togao O, Yoshimoto K, Suzuki SO, Abe K, Kikuchi K, Maruoka Y, Mizoguchi M, et al: Differentiating primary CNS lymphoma from glioblastoma multiforme: assessment using arterial spin labeling, diffusion-weighted imaging, and 18F-fluorodeoxyglucose positron emission tomography. Neuroradiology. 55:135–143. 2013.PubMed/NCBI View Article : Google Scholar

30 

Server A, Kulle B, Maehlen J, Josefsen R, Schellhorn T, Kumar T, Langberg CW and Nakstad PH: Quantitative apparent diffusion coefficients in the characterization of brain tumors and associated peritumoral edema. Acta Radiol. 50:682–689. 2009.PubMed/NCBI View Article : Google Scholar

31 

Martín-Noguerol T, Mohan S, Santos-Armentia E, Cabrera-Zubizarreta A and Luna A: Advanced MRI assessment of non-enhancing peritumoral signal abnormality in brain lesions. Eur J Radiol. 143(109900)2021.PubMed/NCBI View Article : Google Scholar

32 

Koeller KK, Smirniotopoulos JG and Jones RV: Primary central nervous system lymphoma: Radiologic-pathologic correlation. Radiographics. 17:1497–1526. 1997.PubMed/NCBI View Article : Google Scholar

33 

Lasocki A and Gaillard F: Non-contrast-enhancing tumor: A new frontier in glioblastoma research. AJNR Am J Neuroradiol. 40:758–765. 2019.PubMed/NCBI View Article : Google Scholar

Related Articles

  • Abstract
  • View
  • Download
  • Twitter
Copy and paste a formatted citation
Spandidos Publications style
Hung ND, Anh NN, Minh ND, Huyen DK and Duc NM: Differentiation of glioblastoma and primary central nervous system lymphomas using multiparametric diffusion and perfusion magnetic resonance imaging. Biomed Rep 19: 82, 2023.
APA
Hung, N.D., Anh, N.N., Minh, N.D., Huyen, D.K., & Duc, N.M. (2023). Differentiation of glioblastoma and primary central nervous system lymphomas using multiparametric diffusion and perfusion magnetic resonance imaging. Biomedical Reports, 19, 82. https://doi.org/10.3892/br.2023.1664
MLA
Hung, N. D., Anh, N. N., Minh, N. D., Huyen, D. K., Duc, N. M."Differentiation of glioblastoma and primary central nervous system lymphomas using multiparametric diffusion and perfusion magnetic resonance imaging". Biomedical Reports 19.5 (2023): 82.
Chicago
Hung, N. D., Anh, N. N., Minh, N. D., Huyen, D. K., Duc, N. M."Differentiation of glioblastoma and primary central nervous system lymphomas using multiparametric diffusion and perfusion magnetic resonance imaging". Biomedical Reports 19, no. 5 (2023): 82. https://doi.org/10.3892/br.2023.1664
Copy and paste a formatted citation
x
Spandidos Publications style
Hung ND, Anh NN, Minh ND, Huyen DK and Duc NM: Differentiation of glioblastoma and primary central nervous system lymphomas using multiparametric diffusion and perfusion magnetic resonance imaging. Biomed Rep 19: 82, 2023.
APA
Hung, N.D., Anh, N.N., Minh, N.D., Huyen, D.K., & Duc, N.M. (2023). Differentiation of glioblastoma and primary central nervous system lymphomas using multiparametric diffusion and perfusion magnetic resonance imaging. Biomedical Reports, 19, 82. https://doi.org/10.3892/br.2023.1664
MLA
Hung, N. D., Anh, N. N., Minh, N. D., Huyen, D. K., Duc, N. M."Differentiation of glioblastoma and primary central nervous system lymphomas using multiparametric diffusion and perfusion magnetic resonance imaging". Biomedical Reports 19.5 (2023): 82.
Chicago
Hung, N. D., Anh, N. N., Minh, N. D., Huyen, D. K., Duc, N. M."Differentiation of glioblastoma and primary central nervous system lymphomas using multiparametric diffusion and perfusion magnetic resonance imaging". Biomedical Reports 19, no. 5 (2023): 82. https://doi.org/10.3892/br.2023.1664
Follow us
  • Twitter
  • LinkedIn
  • Facebook
About
  • Spandidos Publications
  • Careers
  • Cookie Policy
  • Privacy Policy
How can we help?
  • Help
  • Live Chat
  • Contact
  • Email to our Support Team