Spandidos Publications Logo
  • About
    • About Spandidos
    • Aims and Scopes
    • Abstracting and Indexing
    • Editorial Policies
    • Reprints and Permissions
    • Job Opportunities
    • Terms and Conditions
    • Contact
  • Journals
    • All Journals
    • Oncology Letters
      • Oncology Letters
      • Information for Authors
      • Editorial Policies
      • Editorial Board
      • Aims and Scope
      • Abstracting and Indexing
      • Bibliographic Information
      • Archive
    • International Journal of Oncology
      • International Journal of Oncology
      • Information for Authors
      • Editorial Policies
      • Editorial Board
      • Aims and Scope
      • Abstracting and Indexing
      • Bibliographic Information
      • Archive
    • Molecular and Clinical Oncology
      • Molecular and Clinical Oncology
      • Information for Authors
      • Editorial Policies
      • Editorial Board
      • Aims and Scope
      • Abstracting and Indexing
      • Bibliographic Information
      • Archive
    • Experimental and Therapeutic Medicine
      • Experimental and Therapeutic Medicine
      • Information for Authors
      • Editorial Policies
      • Editorial Board
      • Aims and Scope
      • Abstracting and Indexing
      • Bibliographic Information
      • Archive
    • International Journal of Molecular Medicine
      • International Journal of Molecular Medicine
      • Information for Authors
      • Editorial Policies
      • Editorial Board
      • Aims and Scope
      • Abstracting and Indexing
      • Bibliographic Information
      • Archive
    • Biomedical Reports
      • Biomedical Reports
      • Information for Authors
      • Editorial Policies
      • Editorial Board
      • Aims and Scope
      • Abstracting and Indexing
      • Bibliographic Information
      • Archive
    • Oncology Reports
      • Oncology Reports
      • Information for Authors
      • Editorial Policies
      • Editorial Board
      • Aims and Scope
      • Abstracting and Indexing
      • Bibliographic Information
      • Archive
    • Molecular Medicine Reports
      • Molecular Medicine Reports
      • Information for Authors
      • Editorial Policies
      • Editorial Board
      • Aims and Scope
      • Abstracting and Indexing
      • Bibliographic Information
      • Archive
    • World Academy of Sciences Journal
      • World Academy of Sciences Journal
      • Information for Authors
      • Editorial Policies
      • Editorial Board
      • Aims and Scope
      • Abstracting and Indexing
      • Bibliographic Information
      • Archive
    • International Journal of Functional Nutrition
      • International Journal of Functional Nutrition
      • Information for Authors
      • Editorial Policies
      • Editorial Board
      • Aims and Scope
      • Abstracting and Indexing
      • Bibliographic Information
      • Archive
    • International Journal of Epigenetics
      • International Journal of Epigenetics
      • Information for Authors
      • Editorial Policies
      • Editorial Board
      • Aims and Scope
      • Abstracting and Indexing
      • Bibliographic Information
      • Archive
    • Medicine International
      • Medicine International
      • Information for Authors
      • Editorial Policies
      • Editorial Board
      • Aims and Scope
      • Abstracting and Indexing
      • Bibliographic Information
      • Archive
  • Articles
  • Information
    • Information for Authors
    • Information for Reviewers
    • Information for Librarians
    • Information for Advertisers
    • Conferences
  • Language Editing
Spandidos Publications Logo
  • About
    • About Spandidos
    • Aims and Scopes
    • Abstracting and Indexing
    • Editorial Policies
    • Reprints and Permissions
    • Job Opportunities
    • Terms and Conditions
    • Contact
  • Journals
    • All Journals
    • Biomedical Reports
      • Information for Authors
      • Editorial Policies
      • Editorial Board
      • Aims and Scope
      • Abstracting and Indexing
      • Bibliographic Information
      • Archive
    • Experimental and Therapeutic Medicine
      • Information for Authors
      • Editorial Policies
      • Editorial Board
      • Aims and Scope
      • Abstracting and Indexing
      • Bibliographic Information
      • Archive
    • International Journal of Epigenetics
      • Information for Authors
      • Editorial Policies
      • Editorial Board
      • Aims and Scope
      • Abstracting and Indexing
      • Bibliographic Information
      • Archive
    • International Journal of Functional Nutrition
      • Information for Authors
      • Editorial Policies
      • Editorial Board
      • Aims and Scope
      • Abstracting and Indexing
      • Bibliographic Information
      • Archive
    • International Journal of Molecular Medicine
      • Information for Authors
      • Editorial Policies
      • Editorial Board
      • Aims and Scope
      • Abstracting and Indexing
      • Bibliographic Information
      • Archive
    • International Journal of Oncology
      • Information for Authors
      • Editorial Policies
      • Editorial Board
      • Aims and Scope
      • Abstracting and Indexing
      • Bibliographic Information
      • Archive
    • Medicine International
      • Information for Authors
      • Editorial Policies
      • Editorial Board
      • Aims and Scope
      • Abstracting and Indexing
      • Bibliographic Information
      • Archive
    • Molecular and Clinical Oncology
      • Information for Authors
      • Editorial Policies
      • Editorial Board
      • Aims and Scope
      • Abstracting and Indexing
      • Bibliographic Information
      • Archive
    • Molecular Medicine Reports
      • Information for Authors
      • Editorial Policies
      • Editorial Board
      • Aims and Scope
      • Abstracting and Indexing
      • Bibliographic Information
      • Archive
    • Oncology Letters
      • Information for Authors
      • Editorial Policies
      • Editorial Board
      • Aims and Scope
      • Abstracting and Indexing
      • Bibliographic Information
      • Archive
    • Oncology Reports
      • Information for Authors
      • Editorial Policies
      • Editorial Board
      • Aims and Scope
      • Abstracting and Indexing
      • Bibliographic Information
      • Archive
    • World Academy of Sciences Journal
      • Information for Authors
      • Editorial Policies
      • Editorial Board
      • Aims and Scope
      • Abstracting and Indexing
      • Bibliographic Information
      • Archive
  • Articles
  • Information
    • For Authors
    • For Reviewers
    • For Librarians
    • For Advertisers
    • Conferences
  • Language Editing
Login Register Submit
  • This site uses cookies
  • You can change your cookie settings at any time by following the instructions in our Cookie Policy. To find out more, you may read our Privacy Policy.

    I agree
Search articles by DOI, keyword, author or affiliation
Search
Advanced Search
presentation
Biomedical Reports
Join Editorial Board Propose a Special Issue
Print ISSN: 2049-9434 Online ISSN: 2049-9442
Journal Cover
August-2024 Volume 21 Issue 2

Full Size Image

Sign up for eToc alerts
Recommend to Library

Journals

International Journal of Molecular Medicine

International Journal of Molecular Medicine

International Journal of Molecular Medicine is an international journal devoted to molecular mechanisms of human disease.

International Journal of Oncology

International Journal of Oncology

International Journal of Oncology is an international journal devoted to oncology research and cancer treatment.

Molecular Medicine Reports

Molecular Medicine Reports

Covers molecular medicine topics such as pharmacology, pathology, genetics, neuroscience, infectious diseases, molecular cardiology, and molecular surgery.

Oncology Reports

Oncology Reports

Oncology Reports is an international journal devoted to fundamental and applied research in Oncology.

Experimental and Therapeutic Medicine

Experimental and Therapeutic Medicine

Experimental and Therapeutic Medicine is an international journal devoted to laboratory and clinical medicine.

Oncology Letters

Oncology Letters

Oncology Letters is an international journal devoted to Experimental and Clinical Oncology.

Biomedical Reports

Biomedical Reports

Explores a wide range of biological and medical fields, including pharmacology, genetics, microbiology, neuroscience, and molecular cardiology.

Molecular and Clinical Oncology

Molecular and Clinical Oncology

International journal addressing all aspects of oncology research, from tumorigenesis and oncogenes to chemotherapy and metastasis.

World Academy of Sciences Journal

World Academy of Sciences Journal

Multidisciplinary open-access journal spanning biochemistry, genetics, neuroscience, environmental health, and synthetic biology.

International Journal of Functional Nutrition

International Journal of Functional Nutrition

Open-access journal combining biochemistry, pharmacology, immunology, and genetics to advance health through functional nutrition.

International Journal of Epigenetics

International Journal of Epigenetics

Publishes open-access research on using epigenetics to advance understanding and treatment of human disease.

Medicine International

Medicine International

An International Open Access Journal Devoted to General Medicine.

Journal Cover
August-2024 Volume 21 Issue 2

Full Size Image

Sign up for eToc alerts
Recommend to Library

  • Article
  • Citations
    • Cite This Article
    • Download Citation
    • Create Citation Alert
    • Remove Citation Alert
    • Cited By
  • Similar Articles
    • Related Articles (in Spandidos Publications)
    • Similar Articles (Google Scholar)
    • Similar Articles (PubMed)
  • Download PDF
  • Download XML
  • View XML
Case Report Open Access

Imaging‑based diagnosis of intrapancreatic accessory spleen: A case report

  • Authors:
    • Karla Kovačević
    • Biljana Jelić Puškarić
    • Dragica Obad Kovačević
  • View Affiliations / Copyright

    Affiliations: Department of Diabetes and Endocrinology, Vuk Vrhovac University Clinic for Diabetes, Endocrinology and Metabolic Diseases, Merkur University Hospital, 10 000 Zagreb, Croatia, Department of Pathology and Cytology, Merkur University Hospital, 10 000 Zagreb, Croatia, Department of Diagnostic and Interventional Radiology, Merkur University Hospital, 10 000 Zagreb, Croatia
    Copyright: © Kovačević et al. This is an open access article distributed under the terms of Creative Commons Attribution License.
  • Article Number: 114
    |
    Published online on: June 12, 2024
       https://doi.org/10.3892/br.2024.1801
  • Expand metrics +
Metrics: Total Views: 0 (Spandidos Publications: | PMC Statistics: )
Metrics: Total PDF Downloads: 0 (Spandidos Publications: | PMC Statistics: )
Cited By (CrossRef): 0 citations Loading Articles...

This article is mentioned in:



Abstract

During a routine ultrasound examination of the abdomen, a 60‑year‑old male patient was diagnosed with mass in the tail of the pancreas. However, computed tomography (CT) suggested that the lesion was an intrapancreatic accessory spleen (IPAS). IPAS is a congenital anomaly, which usually does not present with symptoms. IPAS occurs during embryologic splenic development when a portion of the splenic tissue fails to fuse with the main body of the spleen. IPAS does not require treatment, except when it is combined with idiopathic thrombocytopenic purpura. In the present case, the diagnosis of IPAS was confirmed using magnetic resonance imaging (MRI). On CT and MRI, the IPAS had a density and intensity comparable with that of the spleen in all plain and contrast‑enhanced phases. Due to comorbidities, the patient refused further evaluation or surgery. The lesion was periodically monitored using CT every 1‑2 years. Since the tumour was stable during the 7‑year follow‑up, it was concluded that it was an IPAS. In patients that cannot undergo surgery, a characteristic location (near the spleen) and imaging features (such as a ‘zebra‑patterned’ enhancement in the arterial phase on CT and high signal intensity on diffusion‑weighted imaging sequences on MRI, which is comparative to that of the normal spleen) may allow for a diagnose of IPAS with a high level of certainty. Being aware of this condition could aid a correct diagnosis of IPAS and prevent unnecessary surgery.

Introduction

An accessory spleen (AS) is a relatively common finding, with a prevalence of 10-30% in 3,000 autopsies of male patients performed in the Veterans Administration Hospital (Houston, USA), in the period from 1st October 1949 to 11th September 1958 (1-5). The most common location of the AS is the splenic hilum (80%), followed by in the pancreatic tail (17%) (1). The remaining 3% of ASs may be located in the greater omentum, the splenic ligament, the small and large bowel mesentery, the wall of the small bowel, the female adnexa, and the scrotum (2).

Intrapancreatic AS (IPAS) is a benign congenital anomaly of unknown aetiology, which usually does not present with any symptoms and is revealed in a patient during unrelated investigations (1-5). To the best of our knowledge, there is not a described case of symptomatic IPAS in the literature. IPAS occurs during embryologic splenic development when a portion of the splenic tissue fails to fuse with the main body of the spleen (1). There are no risk factors that are associated with the occurrence of IPAS and, at present, there are no reported mortalities from IPAS in the literature. Although IPAS was found in ~17% of patients identified with ASs during the 3,000 autopsies in the Veterans Administration Hospital between 1949 and 1958(6), there are only 23 cases of IPAS that have been histologically confirmed and reported in the English literature (3). This is because most IPASs are asymptomatic and too small to be detected by routine diagnostic procedures (3). Tumours such as IPAS were rarely revealed prior to the present era of modern radiology, because they do not cause symptoms or clinical consequences (3).

The more frequent detection of asymptomatic and benign pancreatic tumours, such as IPAS, can be attributed to the widespread use of various radiological imaging techniques, such as ultrasound (US), computed tomography (CT) and magnetic resonance imaging (MRI) (1). The proportion of incidentally discovered tumours increased from 9 to 40% over the two decades of data collection (7). Although 60-75% of pancreatic incidentalomas are reported to be malignant or premalignant lesions, the remainder, including IPAS, are benign (3). Therefore, it is important to accurately and differentially diagnose IPASs from other potentially malignant tumours [such as pancreatic ductal carcinoma, pancreatic neuroendocrine tumour (PNET), solid pseudopapillary tumours and metastatic tumours] and prevent unnecessary surgery (3-6).

Case study

A 60-year-old male patient presented to the Department of Diagnostic and Interventional Radiology at Merkur University Hospital (Zagreb, Croatia) in June 2016 with a suspected pancreatic tumour. The patient was diagnosed with a mass in the tail of the pancreas during a routine US examination of the abdomen (data not shown). The remainder of the pancreas and abdomen were normal. The patient had several diagnoses that conferred a risk for cardiovascular disease, namely: Arterial hypertension, type II diabetes, coronary artery disease with three stent implants and a cerebrovascular accident in 2006, from which the patient fully recovered. The patient had no history of malignant diseases.

A physical examination was unremarkable. Laboratory findings of serum amylase (51 U/l; reference range, 23-91 U/l), lipase (18 U/l; reference range, #x003C;67 U/l), carcinoembryonic antigen (0.8 µg/l; reference range, #x003C;3.8 µg/l) and carbohydrate antigen 19-9 (8.1 kIU/l; reference range, #x003C;34 kIU/l) were within the reference ranges. Additionally, the laboratory data on inflammation, such as white blood cells (8.81x109/l; reference range, 3.4-9.7x109/l) and C-reactive protein (0.2 mg/l; reference range, #x003C;5 mg/l), were within normal ranges and there were no signs of inflammation from the laboratory results. The patient did not present with any of the symptoms of a functioning PNET, such as tachycardia, flushing, fainting, wheezing, fatigue, diarrhoea, skin rash, constipation and weakness.

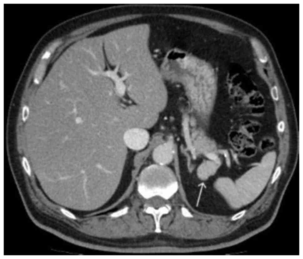
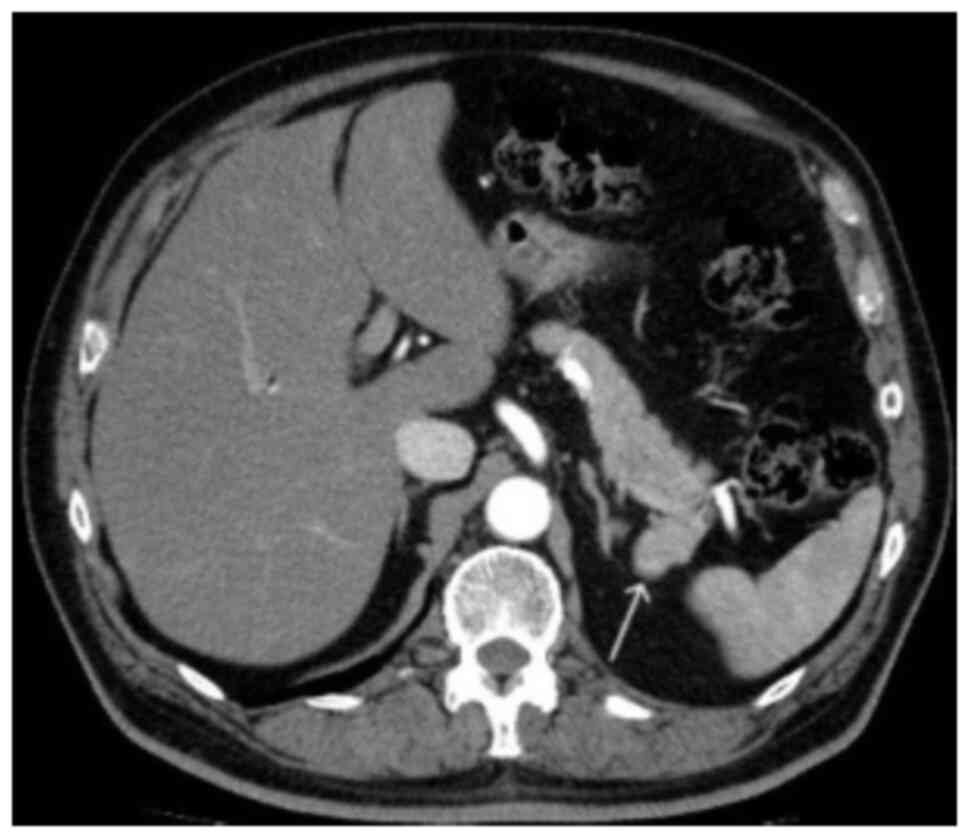
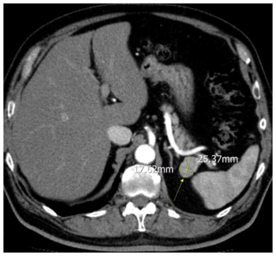
A triple-phased CT was used for further evaluation. CT revealed an ovoid well-demarcated hypervascular pancreatic tail lesion, without contact with the pancreatic ducts, measuring 25x17 mm (Fig. 1). Pre-contrast CT demonstrated a mass in the tail of the pancreas (Fig. 2), and the density of the lesion corresponded with that of the spleen. In the arterial phase, the mass showed an inhomogeneous zebra-patterned enhancement, such as that observed in the spleen (Fig. 3). In the portal venous phase, the mass revealed a homogeneous enhancement, similar to that in the spleen (Fig. 4). Differential diagnoses included IPAS and non-functioning PNET. The density of the lesion corresponded to that of the spleen on all imaging phases, which was suggestive of an IPAS.

Figure 1

Axial computed tomography scan of the abdomen in the arterial phase revealed an ovoid well-demarcated hypervascular mass (arrow) in the tail of the pancreas, measuring 25x17 mm, without contact with the pancreatic duct.

Figure 2

Pre-contrast axial computed tomography scan of the abdomen revealed a mass (arrow) in the pancreatic tail. The density of the lesion was similar to that of the spleen.

Figure 3

Axial computed tomography scan of the abdomen in the arterial phase revealed a hypervascular mass (arrow) in the tail of the pancreas with a heterogeneous ‘zebra’ enhancement pattern.

Figure 4

Axial computed tomography scan of the abdomen in the portal-venous phase demonstrated a homogeneous enhanced mass (arrow) in the pancreatic tail.

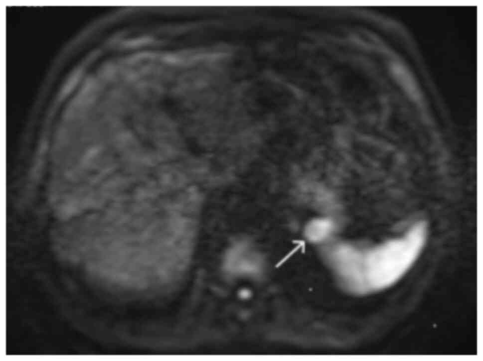
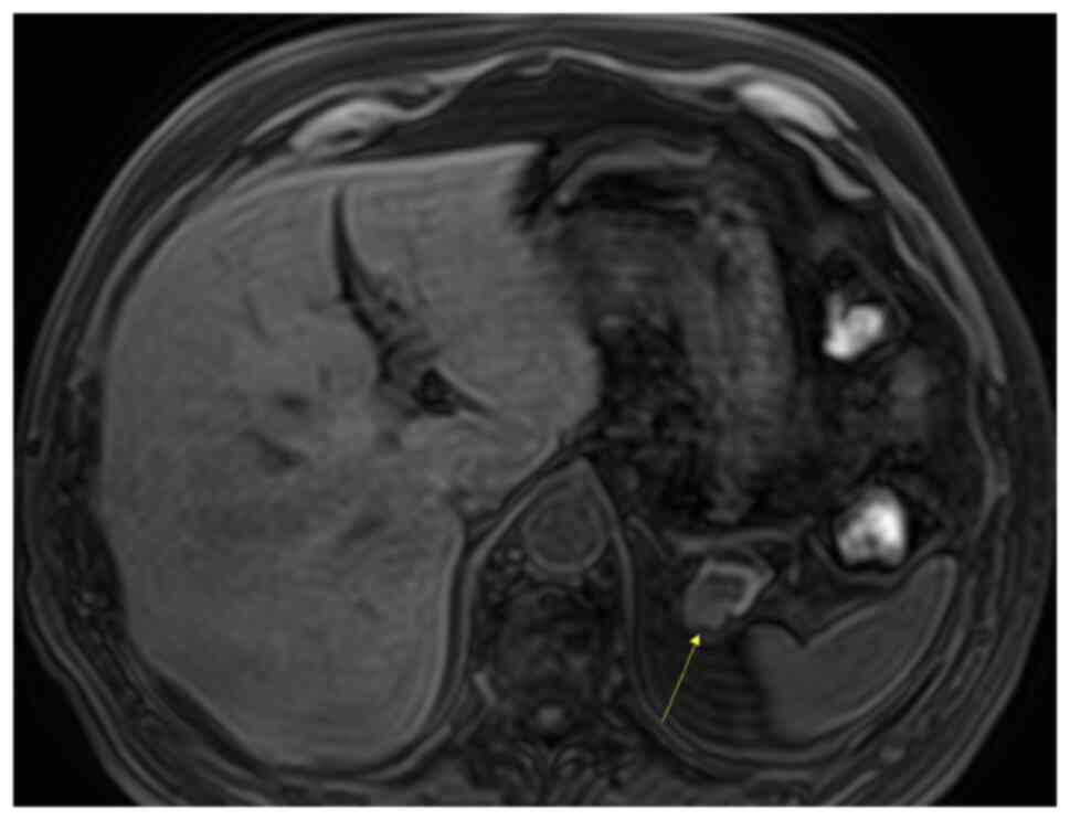
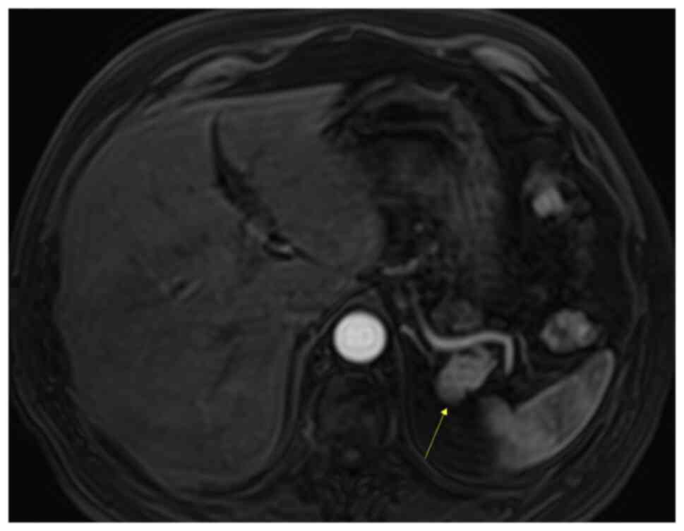
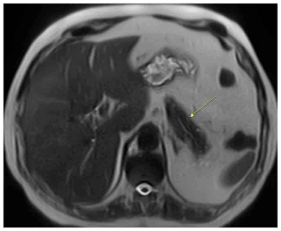
The patient was referred for an MRI. The MRI demonstrated a mass in the pancreatic tail, which was mildly hypointense on T1-weighted imaging (Fig. 5) and more intensive on T2-weighted imaging (Fig. 6), when compared with the surrounding pancreas (Fig. 7). The mass had the same intensity as the spleen on all unenhanced sequences, including diffusion-weighted imaging (DWI) sequences (Fig. 8). Using dynamic contrast-enhanced MRI, the mass showed an enhancement pattern similar to that of the spleen (Fig. 9). The apparent diffusion coefficient (ADC) value of the mass was notably decreased compared with that of a normal pancreas, but similar to that of the spleen.

Figure 5

Axial T1-weighted magnetic resonance imaging demonstrated a mass (arrow) in the pancreatic tail. The mass was mildly hypointense on T1-weighted imaging when compared with the surrounding pancreas and was the same intensity as the spleen.

Figure 6

Axial T2-weighted magnetic resonance imaging revealed a mass (arrow) in the pancreatic tail. The mass was more intensive when compared with the surrounding pancreas and was the same intensity as the spleen.

Figure 7

Axial T2-weighted magnetic resonance imaging demonstrated the signal intensity of the pancreas (arrow).

Figure 8

Axial diffusion-weighted magnetic resonance imaging revealed a mass (arrow) in the pancreatic tail. The mass was hyperintense compared with the surrounding pancreas and isointense compared with the spleen.

Figure 9

Axial dynamic contrast-enhanced magnetic resonance imaging revealed a mass (arrow) in the pancreatic tail with an enhancement pattern similar to that of the spleen.

No enlarged lymph nodes or other pathological processes were observed in the abdomen or the rest of the pancreas on either CT or MRI scans.

Due to comorbidities, the patient refused further evaluation or surgery. The lesion was periodically monitored using CT scans every 1-2 years. At the last medical check-up in November 2023, the patient was doing well with no new symptoms and the CT scan revealed that the mass had remained static (Fig. 10). Since the tumour remained static during the 7-year follow-up, it was concluded that it was an IPAS.

Figure 10

Axial computed tomography scan of the abdomen in the portal-venous phase demonstrated that the mass (arrow) in the pancreatic tail had remained static during the 7-year follow-up.

Discussion

Congenital foci of splenic tissue, which are common (with a prevalence of 10-30% found in an autopsy series of 3,000 people) and in most cases present without symptoms, are termed ASs (8,9). They are usually located near the splenic hilum, with ~20% located in or near the pancreatic tail (8). In order to avoid unnecessary surgery and reduce possible patient morbidity and mortality, it is necessary to diagnose IPAS non-invasively (9). For an accurate non-invasive diagnosis of IPAS, multimodal imaging is important.

Using sonography, IPASs are well-defined structures that can be round, ovoid or lobulated in shape (8). Pancreatic parenchyma has an increased echogenicity compared with that of IPASs (10). All IPASs exhibit echogenicity, which is homogenous and identical to that of the main spleen (10). Sonography has advantages and disadvantages for its use in diagnosis; while it is cost-effective, it is operator-dependent and lacks sensitivity, which makes it a less useful method in several circumstances. For example, in patients that are obese, the pancreatic tail is hard to visualise (11). However, contrast-enhanced sonography may improve the diagnostic power of US. In the arterial phase, there is a typical inhomogeneous enhancement due to the different flow rates through the splenic cords (5). In the venous phase, IPASs show dense end persistent enhancement lasting 3-5 min (5,8). Endoscopic US (EUS), particularly when used with elastography, has an increased resolution and sensitivity compared with abdominal US (1). According to the study by Li et al (12), EUS-fine-needle aspiration (FNA) biopsy has a low diagnostic value, and is associated with a risk of intra-abdominal bleeding and a misdiagnosis for PNET. However, the study by Marques et al (1) considered that EUS-FNA is an effective tool to obtain a definitive IPAS diagnosis.

Scintigraphy and single-photon emission CT both have a reduced spatial resolution compared with other cross-sectional imaging techniques, such as the plain and the contrast-enhanced CT and MRI, which can result in false-negative findings for small IPASs. Therefore, these methods are used in combination with other cross-sectional imaging techniques (12).

IPAS may show heterogeneous enhancement on the early CT phase (usually within 70 sec after contrast administration), which is explained by the different flow rates through the cords of the red and white pulp (2,5,8,10,11). The same pattern of enhancement is seen in the spleen (2,5,8,10,11). If the enhancement of the focal lesion tracks that of the spleen in all CT phases, particularly if the typical ‘zebra’ pattern of the spleen is observed in the arterial phase, IPAS can be diagnosed with near certainty using CT (2). This was the case in the present study. Typically, the attenuation of IPAS is increased compared with that of the pancreas in the arterial, pancreatic and portal venous phases (2). However, this typical pattern is not always visible in the IPAS. This may be due to the small size of the IPAS or due to a different mixture of red and white pulp, as compared with the main spleen (12). In contrast to IPAS, other hypervascular pancreatic tumours show signs of hyperattenuation in the arterial phase and isoattenuation or hypoattenuation to the adjacent pancreas in the venous phase (2).

When visualized using MRI, IPASs are hypointense on T1-weighted images and hyperintense [or more intense (as in the present case)] on T2-weighted images compared with the pancreas that is surrounding it (2). In addition, IPASs exhibit a heterogeneous enhancement on arterial-phase gadolinium-based-enhanced MRI, which is comparative to that of the normal spleen (2,9,12). In the portal venous phase, the IPAS is homogeneously hyperintense, and in the delayed phase it is isointense compared with the adjacent pancreas (2).

DWI has been used to successfully diagnose IPAS, and it has the ability to differentiate it from a solid pancreatic tumour. It also shows notable differences between pancreatic and splenic tissue (13). The signal intensity from DWI with high B values and the ADC are useful in differentiating IPAS from other solid pancreatic tumours, since the spleen shows the lowest ADC among the organs of the upper abdomen (13,14). IPASs have a reduced ADC value and an increased high signal intensity on DWI compared with other pancreatic tumours (13,14). The signal intensities of IPASs are identical to those of the spleen on multiple MRI sequences, which is key in diagnosis (15).

On CT and MRI, an IPAS is often described as a small (1-3-cm), well-defined lesion that has a density and intensity comparable to that of the spleen in all plain and contrast-enhanced phases. Its feature is that it remains stable over consecutive imaging (6). Although biopsies are useful for diagnosing primary and secondary tumours throughout the body and can improve the outcomes of patients by enabling a prompt diagnosis and the appropriate treatments, in the case of IPASs it is important to avoid biopsy (16).

An IPAS is a benign entity, which does not require therapy, except when it is combined with idiopathic thrombocytopenic purpura (ITP) (12,17). Accessory splenectomy should be considered in any patient with a recurrence of ITP if clinical examinations are suggestive of residual functional splenic tissue (17). Only in rare cases do IPASs cause symptoms, and these are due to the following events: Compression, torsion, spontaneous rupture and haemorrhage (12). To the best of our knowledge, only 2 cases of symptomatic ASs have been reported in the English literature (18,19).

Unnecessary surgeries performed due to IPASs being falsely diagnosed as primary pancreatic tumours, or even hypervascular metastases, have revealed most of the previously reported IPASs (2). Despite the high diagnostic accuracy of imaging studies, IPAS is often unidentified and unnecessary surgery is performed in up to 66.6% of cases (20).

The present study presented a novel case of IPAS that was reliably recognized using non-invasive imaging techniques, so that unnecessary surgery was avoided. In conclusion, the characteristic location and features of an IPAS on non-invasive diagnostic imaging techniques, such as CT and MRI, may be specific enough to allow for a close follow-up of patients that present with small well-circumscribed lesions in the pancreatic tail without proven malignant disease and are either poor candidates for surgery or refuse surgery. If the lesion remains static during follow-up for 5-6 years, an IPAS could be diagnosed with a high degree of certainty.

Acknowledgements

Not applicable.

Funding

Funding: No funding was received.

Availability of data and materials

The data generated in the present study may be requested from the corresponding author.

Authors' contributions

KK collected the data, assisted in drafting the case report section, critically revised the manuscript and wrote the manuscript. DOK and BJP collected the data, assisted in drafting the case report section and critically revised the manuscript. All authors confirm the authenticity of all the raw data. All authors read and approved the final version of the manuscript.

Ethics approval and consent to participate

Not applicable.

Patient consent for publication

Written informed consent for the publication of the patient's clinical information and images was obtained from the patient.

Competing interests

The authors declare that they have no competing interests.

References

1 

Marques S, Bispo M and Noia L: Intrapancreatic accessory spleen: A diagnosis not to forget! Case Rep. Gastroenterol. 10:749–754. 2016.PubMed/NCBI View Article : Google Scholar

2 

Kim SH, Lee JM, Han JK, Lee JY, Kim KW, Cho KC, Cho KC and Choi BI: Intrapancreatic accessory spleen: Findings on MR imaging, CT, US and scintigraphy, and the pathologic analysis. Korean J Radiol. 9:162–174. 2008.PubMed/NCBI View Article : Google Scholar

3 

Hwang HS, Lee SS, Kim SC, Seo DW and Kim J: Intrapancreatic accessory spleen: Clinicopathologic analysis of 12 cases. Pancreas. 40:956–965. 2011.PubMed/NCBI View Article : Google Scholar

4 

Osher E, Scapa E, Klausner J, Greenman Y, Tordjman K, Melhem A, Nachmany I, Sofer Y, Geva R, Blachar A, et al: Pancreatic incidentaloma: Differentiating nonfunctioning pancreatic neuroendocrine tumours from intrapancreatic accessory spleen. Endocr Pract. 22:773–779. 2016.PubMed/NCBI View Article : Google Scholar

5 

Massani M, Maccatrozzo P, Morana G, Fabris L, Ruffolo C, Bonariol L, Pauletti B and Bassi N: Diagnostic difficulties and therapeutic choices in intrapancreatic accessory spleen: Case reports. Open Access Surg. 9:15–20. 2016.

6 

Spencer LA, Spizarny DL and Williams TR: Imaging features of intrapancreatic accessory spleen. Br J Radiol. 83:668–673. 2010.PubMed/NCBI View Article : Google Scholar

7 

Santo E and Bar-Yishay I: Pancreatic solid incidentalomas. Endosc Ultrasound. 6 (Suppl 3):S99–S103. 2017.PubMed/NCBI View Article : Google Scholar

8 

Rahbar H, Bhargava P, Vaidya S and Medverd JR: Intrapancreatic accessory spleen. Radiol Case Rep. 5(386)2015.PubMed/NCBI View Article : Google Scholar

9 

Loureiro AL, Ferreira AO, Palmeiro M and Penedo JP: Intrapancreatic accessory spleen: A misleading diagnosis. BMJ Case Rep. 2013(bcr2012008471)2013.PubMed/NCBI View Article : Google Scholar

10 

Guo W, Han W, Liu J, Jin L, Li JS, Zhang ZT and Wang Y: Intrapancreatic accessory spleen: A case report and review of the literature. World J Gastroenterol. 15:1141–1143. 2009.PubMed/NCBI View Article : Google Scholar

11 

Kykalos S, Machairas N, Molmenti EP and Sotiropoulos G: Intrapancreatic accessory spleen: Two case reports of a rare entity. Cureus. 12(e8797)2020.PubMed/NCBI View Article : Google Scholar

12 

Li BQ, Xu XQ and Guo JC: Intrapancreatic accessory spleen: A diagnostic dilemma. HPB (Oxford). 20:1004–1011. 2018.PubMed/NCBI View Article : Google Scholar

13 

Munk-Madsen MZ, Zakarian K, Sandor Oturai P, Hansen CP, Federspiel B, Fallentin E and Linno Willemoe G: Intrapancreatic accessory spleen mimicking malignant tumour: Three case reports. Acta Radiol Open. 8(2058460119859347)2019.PubMed/NCBI View Article : Google Scholar

14 

Contractor U, Henderson I and Zaitoun MD: Intrapancreatic accessory spleen: An important differential to consider before surgery. Hum Pathol Case Rep. 1:49–51. 2014.

15 

Chavan N, Desai GS, Tampi C and Wagle P: Intrapancreatic accessory spleen: An enigmatic entity. BMJ Case Rep. 12(e228510)2019.PubMed/NCBI View Article : Google Scholar

16 

Hashimoto K, Nishimura S, Ito T, Oka N and Akagi M: Limitations and usefulness of biopsy techniques for the diagnosis of metastatic bone and soft tissue tumours. Ann Med Surg (Lond). 68(102581)2021.PubMed/NCBI View Article : Google Scholar

17 

García AF and Sanjuanbenito Dehesa A: Intrapancreatic accessory spleen: A rare cause of recurrence of immune thrombocytopenic purpura. Clin Case Rep. 4:979–981. 2016.PubMed/NCBI View Article : Google Scholar

18 

Obuchi T, Takagane A, Sato K, Yonezawa H, Funato O and Kobayashi M: Single-incision laparoscopic excision of symptomatic accessory spleen in the pelvis: An initial report. J Minim Access Surg. 13:321–322. 2017.PubMed/NCBI View Article : Google Scholar

19 

Hems TE and Bellringer JF: Torsion of an accessory spleen in an elderly patient. Postgrad Med J. 66:838–839. 1990.PubMed/NCBI View Article : Google Scholar

20 

O'Riordan B, Rodendo O and Stafford A: Laparoscopic distal pancreatectomy and splenectomy for an intrapancreatic accessory spleen-a case report and review of the literature. Mesentery Peritoneum. 6(AB154)2022.

Related Articles

  • Abstract
  • View
  • Download
  • Twitter
Copy and paste a formatted citation
Spandidos Publications style
Kovačević K, Puškarić BJ and Kovačević DO: Imaging‑based diagnosis of intrapancreatic accessory spleen: A case report. Biomed Rep 21: 114, 2024.
APA
Kovačević, K., Puškarić, B.J., & Kovačević, D.O. (2024). Imaging‑based diagnosis of intrapancreatic accessory spleen: A case report. Biomedical Reports, 21, 114. https://doi.org/10.3892/br.2024.1801
MLA
Kovačević, K., Puškarić, B. J., Kovačević, D. O."Imaging‑based diagnosis of intrapancreatic accessory spleen: A case report". Biomedical Reports 21.2 (2024): 114.
Chicago
Kovačević, K., Puškarić, B. J., Kovačević, D. O."Imaging‑based diagnosis of intrapancreatic accessory spleen: A case report". Biomedical Reports 21, no. 2 (2024): 114. https://doi.org/10.3892/br.2024.1801
Copy and paste a formatted citation
x
Spandidos Publications style
Kovačević K, Puškarić BJ and Kovačević DO: Imaging‑based diagnosis of intrapancreatic accessory spleen: A case report. Biomed Rep 21: 114, 2024.
APA
Kovačević, K., Puškarić, B.J., & Kovačević, D.O. (2024). Imaging‑based diagnosis of intrapancreatic accessory spleen: A case report. Biomedical Reports, 21, 114. https://doi.org/10.3892/br.2024.1801
MLA
Kovačević, K., Puškarić, B. J., Kovačević, D. O."Imaging‑based diagnosis of intrapancreatic accessory spleen: A case report". Biomedical Reports 21.2 (2024): 114.
Chicago
Kovačević, K., Puškarić, B. J., Kovačević, D. O."Imaging‑based diagnosis of intrapancreatic accessory spleen: A case report". Biomedical Reports 21, no. 2 (2024): 114. https://doi.org/10.3892/br.2024.1801
Follow us
  • Twitter
  • LinkedIn
  • Facebook
About
  • Spandidos Publications
  • Careers
  • Cookie Policy
  • Privacy Policy
How can we help?
  • Help
  • Live Chat
  • Contact
  • Email to our Support Team