Spandidos Publications Logo
  • About
    • About Spandidos
    • Aims and Scopes
    • Abstracting and Indexing
    • Editorial Policies
    • Reprints and Permissions
    • Job Opportunities
    • Terms and Conditions
    • Contact
  • Journals
    • All Journals
    • Oncology Letters
      • Oncology Letters
      • Information for Authors
      • Editorial Policies
      • Editorial Board
      • Aims and Scope
      • Abstracting and Indexing
      • Bibliographic Information
      • Archive
    • International Journal of Oncology
      • International Journal of Oncology
      • Information for Authors
      • Editorial Policies
      • Editorial Board
      • Aims and Scope
      • Abstracting and Indexing
      • Bibliographic Information
      • Archive
    • Molecular and Clinical Oncology
      • Molecular and Clinical Oncology
      • Information for Authors
      • Editorial Policies
      • Editorial Board
      • Aims and Scope
      • Abstracting and Indexing
      • Bibliographic Information
      • Archive
    • Experimental and Therapeutic Medicine
      • Experimental and Therapeutic Medicine
      • Information for Authors
      • Editorial Policies
      • Editorial Board
      • Aims and Scope
      • Abstracting and Indexing
      • Bibliographic Information
      • Archive
    • International Journal of Molecular Medicine
      • International Journal of Molecular Medicine
      • Information for Authors
      • Editorial Policies
      • Editorial Board
      • Aims and Scope
      • Abstracting and Indexing
      • Bibliographic Information
      • Archive
    • Biomedical Reports
      • Biomedical Reports
      • Information for Authors
      • Editorial Policies
      • Editorial Board
      • Aims and Scope
      • Abstracting and Indexing
      • Bibliographic Information
      • Archive
    • Oncology Reports
      • Oncology Reports
      • Information for Authors
      • Editorial Policies
      • Editorial Board
      • Aims and Scope
      • Abstracting and Indexing
      • Bibliographic Information
      • Archive
    • Molecular Medicine Reports
      • Molecular Medicine Reports
      • Information for Authors
      • Editorial Policies
      • Editorial Board
      • Aims and Scope
      • Abstracting and Indexing
      • Bibliographic Information
      • Archive
    • World Academy of Sciences Journal
      • World Academy of Sciences Journal
      • Information for Authors
      • Editorial Policies
      • Editorial Board
      • Aims and Scope
      • Abstracting and Indexing
      • Bibliographic Information
      • Archive
    • International Journal of Functional Nutrition
      • International Journal of Functional Nutrition
      • Information for Authors
      • Editorial Policies
      • Editorial Board
      • Aims and Scope
      • Abstracting and Indexing
      • Bibliographic Information
      • Archive
    • International Journal of Epigenetics
      • International Journal of Epigenetics
      • Information for Authors
      • Editorial Policies
      • Editorial Board
      • Aims and Scope
      • Abstracting and Indexing
      • Bibliographic Information
      • Archive
    • Medicine International
      • Medicine International
      • Information for Authors
      • Editorial Policies
      • Editorial Board
      • Aims and Scope
      • Abstracting and Indexing
      • Bibliographic Information
      • Archive
  • Articles
  • Information
    • Information for Authors
    • Information for Reviewers
    • Information for Librarians
    • Information for Advertisers
    • Conferences
  • Language Editing
Spandidos Publications Logo
  • About
    • About Spandidos
    • Aims and Scopes
    • Abstracting and Indexing
    • Editorial Policies
    • Reprints and Permissions
    • Job Opportunities
    • Terms and Conditions
    • Contact
  • Journals
    • All Journals
    • Biomedical Reports
      • Information for Authors
      • Editorial Policies
      • Editorial Board
      • Aims and Scope
      • Abstracting and Indexing
      • Bibliographic Information
      • Archive
    • Experimental and Therapeutic Medicine
      • Information for Authors
      • Editorial Policies
      • Editorial Board
      • Aims and Scope
      • Abstracting and Indexing
      • Bibliographic Information
      • Archive
    • International Journal of Epigenetics
      • Information for Authors
      • Editorial Policies
      • Editorial Board
      • Aims and Scope
      • Abstracting and Indexing
      • Bibliographic Information
      • Archive
    • International Journal of Functional Nutrition
      • Information for Authors
      • Editorial Policies
      • Editorial Board
      • Aims and Scope
      • Abstracting and Indexing
      • Bibliographic Information
      • Archive
    • International Journal of Molecular Medicine
      • Information for Authors
      • Editorial Policies
      • Editorial Board
      • Aims and Scope
      • Abstracting and Indexing
      • Bibliographic Information
      • Archive
    • International Journal of Oncology
      • Information for Authors
      • Editorial Policies
      • Editorial Board
      • Aims and Scope
      • Abstracting and Indexing
      • Bibliographic Information
      • Archive
    • Medicine International
      • Information for Authors
      • Editorial Policies
      • Editorial Board
      • Aims and Scope
      • Abstracting and Indexing
      • Bibliographic Information
      • Archive
    • Molecular and Clinical Oncology
      • Information for Authors
      • Editorial Policies
      • Editorial Board
      • Aims and Scope
      • Abstracting and Indexing
      • Bibliographic Information
      • Archive
    • Molecular Medicine Reports
      • Information for Authors
      • Editorial Policies
      • Editorial Board
      • Aims and Scope
      • Abstracting and Indexing
      • Bibliographic Information
      • Archive
    • Oncology Letters
      • Information for Authors
      • Editorial Policies
      • Editorial Board
      • Aims and Scope
      • Abstracting and Indexing
      • Bibliographic Information
      • Archive
    • Oncology Reports
      • Information for Authors
      • Editorial Policies
      • Editorial Board
      • Aims and Scope
      • Abstracting and Indexing
      • Bibliographic Information
      • Archive
    • World Academy of Sciences Journal
      • Information for Authors
      • Editorial Policies
      • Editorial Board
      • Aims and Scope
      • Abstracting and Indexing
      • Bibliographic Information
      • Archive
  • Articles
  • Information
    • For Authors
    • For Reviewers
    • For Librarians
    • For Advertisers
    • Conferences
  • Language Editing
Login Register Submit
  • This site uses cookies
  • You can change your cookie settings at any time by following the instructions in our Cookie Policy. To find out more, you may read our Privacy Policy.

    I agree
Search articles by DOI, keyword, author or affiliation
Search
Advanced Search
presentation
Biomedical Reports
Join Editorial Board Propose a Special Issue
Print ISSN: 2049-9434 Online ISSN: 2049-9442
Journal Cover
September-2024 Volume 21 Issue 3

Full Size Image

Sign up for eToc alerts
Recommend to Library

Journals

International Journal of Molecular Medicine

International Journal of Molecular Medicine

International Journal of Molecular Medicine is an international journal devoted to molecular mechanisms of human disease.

International Journal of Oncology

International Journal of Oncology

International Journal of Oncology is an international journal devoted to oncology research and cancer treatment.

Molecular Medicine Reports

Molecular Medicine Reports

Covers molecular medicine topics such as pharmacology, pathology, genetics, neuroscience, infectious diseases, molecular cardiology, and molecular surgery.

Oncology Reports

Oncology Reports

Oncology Reports is an international journal devoted to fundamental and applied research in Oncology.

Experimental and Therapeutic Medicine

Experimental and Therapeutic Medicine

Experimental and Therapeutic Medicine is an international journal devoted to laboratory and clinical medicine.

Oncology Letters

Oncology Letters

Oncology Letters is an international journal devoted to Experimental and Clinical Oncology.

Biomedical Reports

Biomedical Reports

Explores a wide range of biological and medical fields, including pharmacology, genetics, microbiology, neuroscience, and molecular cardiology.

Molecular and Clinical Oncology

Molecular and Clinical Oncology

International journal addressing all aspects of oncology research, from tumorigenesis and oncogenes to chemotherapy and metastasis.

World Academy of Sciences Journal

World Academy of Sciences Journal

Multidisciplinary open-access journal spanning biochemistry, genetics, neuroscience, environmental health, and synthetic biology.

International Journal of Functional Nutrition

International Journal of Functional Nutrition

Open-access journal combining biochemistry, pharmacology, immunology, and genetics to advance health through functional nutrition.

International Journal of Epigenetics

International Journal of Epigenetics

Publishes open-access research on using epigenetics to advance understanding and treatment of human disease.

Medicine International

Medicine International

An International Open Access Journal Devoted to General Medicine.

Journal Cover
September-2024 Volume 21 Issue 3

Full Size Image

Sign up for eToc alerts
Recommend to Library

  • Article
  • Citations
    • Cite This Article
    • Download Citation
    • Create Citation Alert
    • Remove Citation Alert
    • Cited By
  • Similar Articles
    • Related Articles (in Spandidos Publications)
    • Similar Articles (Google Scholar)
    • Similar Articles (PubMed)
  • Download PDF
  • Download XML
  • View XML
Article Open Access

Alleviative effect of scopolamine‑induced memory deficit via enhancing antioxidant and cholinergic function in rats by pinostrobin from Boesenbergia rotunda (L.)

  • Authors:
    • Sitthisak Thongrong
    • Tichanon Promsrisuk
    • Napatr Sriraksa
    • Serm Surapinit
    • Jinatta Jittiwat
    • Ratchaniporn Kongsui
  • View Affiliations / Copyright

    Affiliations: Division of Anatomy, School of Medical Sciences, University of Phayao, Muang Phayao, Phayao 56000, Thailand, Division of Physiology, School of Medical Sciences, University of Phayao, Muang Phayao, Phayao 56000, Thailand, Department of Medical Technology, School of Allied Health Sciences, University of Phayao, Muang Phayao, Phayao 56000, Thailand, Faculty of Medicine, Mahasarakham University, Mahasarakham 44000, Thailand
    Copyright: © Thongrong et al. This is an open access article distributed under the terms of Creative Commons Attribution License.
  • Article Number: 130
    |
    Published online on: July 8, 2024
       https://doi.org/10.3892/br.2024.1818
  • Expand metrics +
Metrics: Total Views: 0 (Spandidos Publications: | PMC Statistics: )
Metrics: Total PDF Downloads: 0 (Spandidos Publications: | PMC Statistics: )
Cited By (CrossRef): 0 citations Loading Articles...

This article is mentioned in:



Abstract

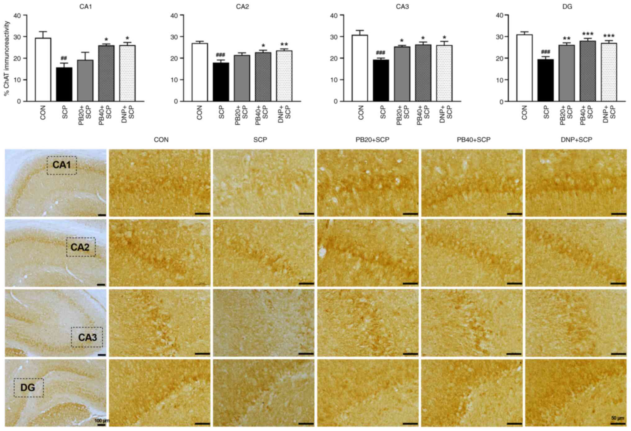
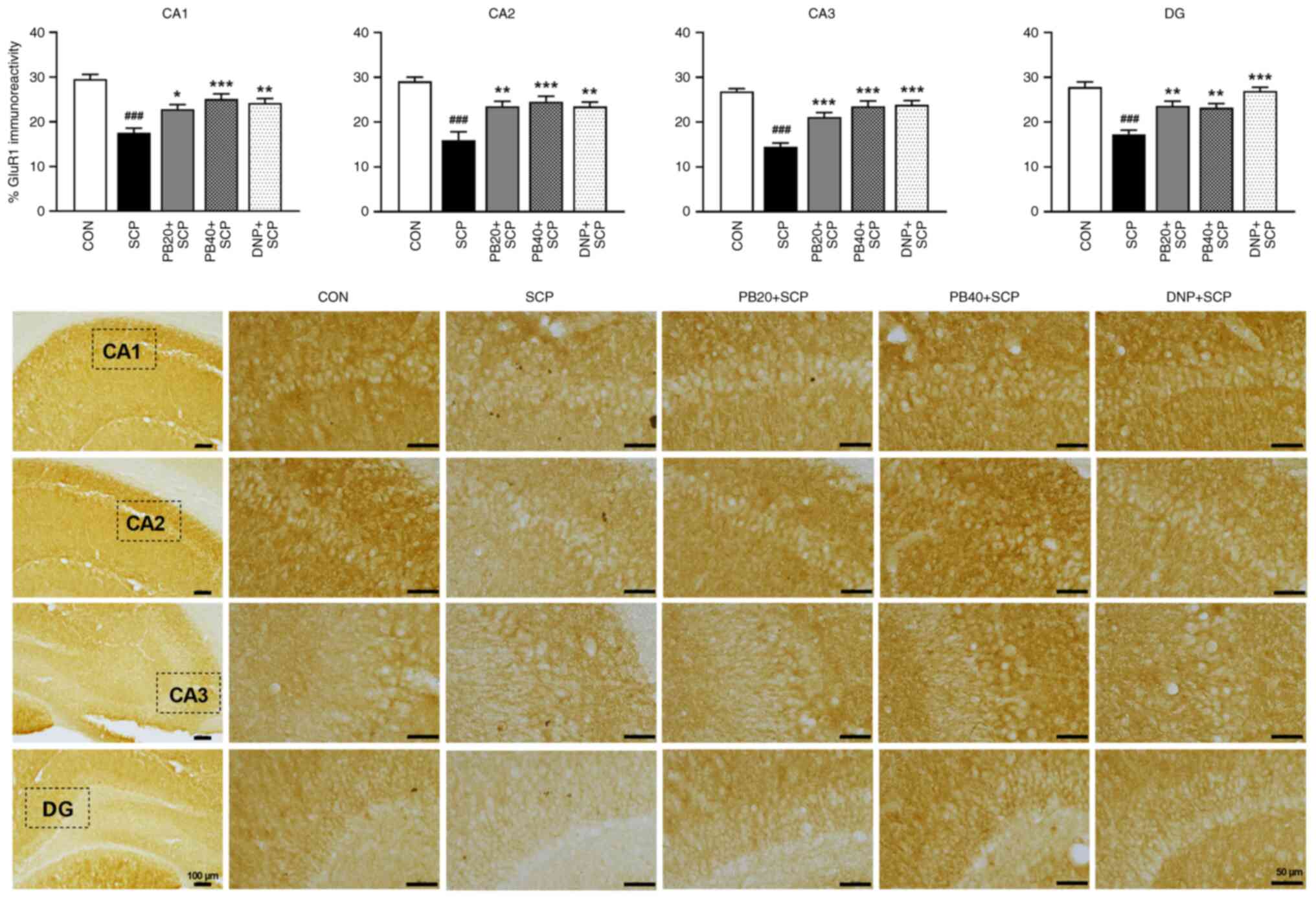
Pinostrobin, a key bioactive compound found in the medicinal plant Boesenbergia rotunda (L.), has been noted for its beneficial biological properties including antioxidant, anti‑inflammation, anti‑cancer and anti‑amnesia activities. In view of this, the present study purposed to evaluate the neuroprotective potential of pinostrobin in reversing scopolamine‑induced cognitive impairment involving oxidative stress and cholinergic function in rats. A total of 30 male Wistar rats were randomly divided into five groups (n=6): Group 1 received vehicle as a control, group 2 received vehicle + scopolamine (3 mg/kg, i.p.), group 3 received pinostrobin (20 mg/kg, p.o.) + scopolamine, group 4 received pinostrobin (40 mg/kg, p.o.) + scopolamine and group 5 received donepezil (5 mg/kg, p.o.) + scopolamine. Treatments were administered orally to the rats for 14 days. During the final 7 days of treatment, a daily injection of scopolamine was administered. Scopolamine impaired learning and memory performance, as measured by the novel object recognition test and the Y‑maze test. Additionally, oxidative stress marker levels, acetylcholinesterase (AChE) activity, choline acetyltransferase (ChAT) and glutamate receptor 1 (GluR1) expression were determined. Consequently, the findings demonstrated that the administration of pinostrobin (20 and 40 mg/kg) markedly improved cognitive function as indicated by an increase in recognition index and by spontaneous alternation behaviour. Pinostrobin also modulated the levels of oxidative stress by causing a decrease in malondialdehyde levels accompanied by increases in superoxide dismutase and glutathione activities. Similarly, pinostrobin markedly enhanced cholinergic function by decreasing AChE activity and promoting ChAT immunoreactivity in the hippocampus. Additionally, the reduction in GluR1 expression due to scopolamine was diminished by treatment with pinostrobin. The findings indicated that pinostrobin exhibited a significant restoration of scopolamine‑induced memory impairment by regulating oxidative stress and cholinergic system function. Thus, pinostrobin could serve as a potential therapeutic agent for the management of neurodegenerative diseases such as Alzheimer's disease.
View Figures

Figure 1

Figure 2

Figure 3

Figure 4

Figure 5

Figure 6

View References

1 

Mat Nuri TH, Hong YH, Ming LC, Mohd Joffry S, Othman MF and Neoh CF: Knowledge on Alzheimer's disease among public hospitals and health clinics pharmacists in the State of Selangor, Malaysia. Front Pharmacol. 8(739)2017.PubMed/NCBI View Article : Google Scholar

2 

Djeuzong E, Kandeda AK, Djiogue S, Stéphanie L, Nguedia D, Ngueguim F, Djientcheu JP, Kouamouo J and Dimo T: Antiamnesic and neuroprotective effects of an aqueous extract of ziziphus jujuba mill. (rhamnaceae) on scopolamine-induced cognitive impairments in rats. Evid Based Complement Alternat Med. 2021(5577163)2021.PubMed/NCBI View Article : Google Scholar

3 

Shabani S and Mirshekar MA: Diosmin is neuroprotective in a rat model of scopolamine-induced cognitive impairment. Biomed Pharmacother. 108:1376–1383. 2018.PubMed/NCBI View Article : Google Scholar

4 

Mahdy K, Shaker O, Wafay H, Nassar Y, Hassan H and Hussein A: Effect of some medicinal plant extracts on the oxidative stress status in Alzheimer's disease induced in rats. Eur Rev Med Pharmacol Sci. 16 (Suppl 3):S31–S42. 2012.PubMed/NCBI

5 

von Bernhardi R, Eugenin-von Bernhardi L and Eugenin J: Microglial cell dysregulation in brain aging and neurodegeneration. Front Aging Neurosci. 7(124)2015.PubMed/NCBI View Article : Google Scholar

6 

Blake MG, Krawczyk MC, Baratti CM and Boccia MM: Neuropharmacology of memory consolidation and reconsolidation: Insights on central cholinergic mechanisms. J Physiol Paris. 108:286–291. 2014.PubMed/NCBI View Article : Google Scholar

7 

Lee JS, Kim HG, Lee HW, Han JM, Lee SK, Kim DW, Saravanakumar A and Son CG: Hippocampal memory enhancing activity of pine needle extract against scopolamine-induced amnesia in a mouse model. Sci Rep. 5(9651)2015.PubMed/NCBI View Article : Google Scholar

8 

Choi JH, Lee EB, Jang HH, Cha YS, Park YS and Lee SH: Allium hookeri extracts improve scopolamine-induced cognitive impairment via activation of the cholinergic system and anti-neuroinflammation in mice. Nutrients. 13(2890)2021.PubMed/NCBI View Article : Google Scholar

9 

Tang KS: The cellular and molecular processes associated with scopolamine-induced memory deficit: A model of Alzheimer's biomarkers. Life Sci. 233(116695)2019.PubMed/NCBI View Article : Google Scholar

10 

Hussain H, Ahmad S, Shah SWA, Ullah A, Ali N, Almehmadi M, Ahmad M, Khalil AAK, Jamal SB, Ahmad H and Halawi M: Attenuation of scopolamine-induced amnesia via cholinergic modulation in mice by synthetic curcumin analogs. Molecules. 27(2468)2022.PubMed/NCBI View Article : Google Scholar

11 

Kim Y, Kim J, He M, Lee A and Cho E: Apigenin ameliorates scopolamine-induced cognitive dysfunction and neuronal damage in mice. Molecules. 26(5192)2021.PubMed/NCBI View Article : Google Scholar

12 

Safar MM, Arab HH, Rizk SM and El-Maraghy SA: Bone marrow-derived endothelial progenitor cells protect against scopolamine-induced alzheimer-like pathological aberrations. Mol Neurobiol. 53:1403–1418. 2016.PubMed/NCBI View Article : Google Scholar

13 

Danysz W and Parsons CG: Alzheimer's disease, β-amyloid, glutamate, NMDA receptors and memantine-searching for the connections. Br J Pharmacol. 167:324–352. 2012.PubMed/NCBI View Article : Google Scholar

14 

Eder P, Reinprecht I, Schreiner E, Skofitsch G and Windisch M: Increased density of glutamate receptor subunit 1 due to Cerebrolysin treatment: An immunohistochemical study on aged rats. Histochem J. 33:605–612. 2001.PubMed/NCBI View Article : Google Scholar

15 

Dewar D, Chalmers DT, Graham DI and McCulloch J: Glutamate metabotropic and AMPA binding sites are reduced in Alzheimer's disease: an autoradiographic study of the hippocampus. Brain Res. 553:58–64. 1991.PubMed/NCBI View Article : Google Scholar

16 

Ding R, Li Y, Du A, Yu H, He B, Shen R, Zhou J, Li L, Cui W, Zhang G, et al: Changes in hippocampal AMPA receptors and cognitive impairments in chronic ketamine addiction models: Another understanding of ketamine CNS toxicity. Sci Rep. 6(38771)2016.PubMed/NCBI View Article : Google Scholar

17 

Yang YJ, Chen HB, Wei B, Wang W, Zhou PL, Zhan JQ, Hu MR, Yan K, Hu B and Yu B: Cognitive decline is associated with reduced surface GluR1 expression in the hippocampus of aged rats. Neurosci Lett. 591:176–181. 2015.PubMed/NCBI View Article : Google Scholar

18 

Aigner TG: Pharmacology of memory: Cholinergic-glutamatergic interactions. Curr Opin Neurobiol. 5:155–160. 1995.PubMed/NCBI View Article : Google Scholar

19 

Francis PT, Parsons CG and Jones RW: Rationale for combining glutamatergic and cholinergic approaches in the symptomatic treatment of Alzheimer's disease. Expert Rev Neurother. 12:1351–1365. 2012.PubMed/NCBI View Article : Google Scholar

20 

Wu Y, Luo X, Liu X, Liu D, Wang X, Guo Z, Zhu L, Tian Q, Yang X and Wang JZ: Intraperitoneal administration of a novel TAT-BDNF peptide ameliorates cognitive impairments via modulating multiple pathways in two Alzheimer's rodent models. Sci Rep. 5(15032)2015.PubMed/NCBI View Article : Google Scholar

21 

Fahey JW and Stephenson KK: Pinostrobin from honey and Thai ginger (Boesenbergia pandurata): A potent flavonoid inducer of mammalian phase 2 chemoprotective and antioxidant enzymes. J Agric Food Chem. 50:7472–7476. 2002.PubMed/NCBI View Article : Google Scholar

22 

Ijaz MU, Shahzadi S, Hamza A, Azmat R, Anwar H, Afsar T, Shafique H, Bhat MA, Naglah AM, Al-Omar MA and Razak S: Alleviative effects of pinostrobin against cadmium-induced renal toxicity in rats by reducing oxidative stress, apoptosis, inflammation, and mitochondrial dysfunction. Front Nutr. 10(1175008)2023.PubMed/NCBI View Article : Google Scholar

23 

Wu D, Nair MG and DeWitt DL: Novel compounds from Piper methysticum Forst (Kava Kava) roots and their effect on cyclooxygenase enzyme. J Agric Food Chem. 50:701–705. 2002.PubMed/NCBI View Article : Google Scholar

24 

Patel NK and Bhutani KK: Pinostrobin and Cajanus lactone isolated from Cajanus cajan (L.) leaves inhibits TNF-α and IL-1β production: In vitro and in vivo experimentation. Phytomedicine. 21:946–953. 2014.PubMed/NCBI View Article : Google Scholar

25 

Zhao LL, Jayeoye TJ, Ashaolu TJ and Olatunji OJ: Pinostrobin, a dietary bioflavonoid exerts antioxidant, anti-inflammatory, and anti-apoptotic protective effects against methotrexate-induced ovarian toxicity in rats. Tissue Cell. 85(102254)2023.PubMed/NCBI View Article : Google Scholar

26 

Thongrong S, Surapinit S, Promsrisuk T, Jittiwat J and Kongsui R: Pinostrobin alleviates chronic restraint stress-induced cognitive impairment by modulating oxidative stress and the function of astrocytes in the hippocampus of rats. Biomed Rep. 18(20)2023.PubMed/NCBI View Article : Google Scholar

27 

Kongsui R, Surapinit S, Promsrisuk T and Thongrong S: Pinostrobin from Boesenbergia rotunda attenuates oxidative stress and promotes functional recovery in rat model of sciatic nerve crush injury. Braz J Med Biol Res. 56(e12578)2023.PubMed/NCBI View Article : Google Scholar

28 

Lin J, Huang L, Yu J, Xiang S, Wang J, Zhang J, Yan X, Cui W, He S and Wang Q: Fucoxanthin, a marine carotenoid, reverses scopolamine-induced cognitive impairments in mice and inhibits acetylcholinesterase in vitro. Mar Drugs. 14(67)2016.PubMed/NCBI View Article : Google Scholar

29 

Woo Y, Lim JS, Oh J, Lee JS and Kim JS: Neuroprotective effects of euonymus alatus extract on scopolamine-induced memory deficits in mice. Antioxidants (Basel). 9(449)2020.PubMed/NCBI View Article : Google Scholar

30 

Lowry OH, Rosebrough NJ, Farr AL and Randall RJ: Protein measurement with the Folin phenol reagent. J Biol Chem. 193:265–275. 1951.PubMed/NCBI

31 

Nakmareong S, Kukongviriyapan U, Pakdeechote P, Donpunha W, Kukongviriyapan V, Kongyingyoes B, Sompamit K and Phisalaphong C: Antioxidant and vascular protective effects of curcumin and tetrahydrocurcumin in rats with L-NAME-induced hypertension. Naunyn Schmiedebergs Arch Pharmacol. 383:519–529. 2011.PubMed/NCBI View Article : Google Scholar

32 

Srdjenovic B, Mrdjanovic J, Galovic AJ, Kladar N, Bozin B, Jurisic V and Bogdanovic G: Effect of ELF-EMF on antioxidant status and micronuclei in K562 cells and normal lymphocytes. Open Life Sci. 9:931–940. 2014.

33 

Polycarp TN, Obukowho EB and Yusoff SM: Changes in haematological parameters and oxidative stress response of goats subjected to road transport stress in a hot humid tropical environment. Comp Clin Pathol. 25:285–293. 2016.

34 

Hinwood M, Tynan RJ, Charnley JL, Beynon SB, Day TA and Walker FR: Chronic stress induced remodeling of the prefrontal cortex: Structural re-organization of microglia and the inhibitory effect of minocycline. Cereb Cortex. 23:1784–1797. 2013.PubMed/NCBI View Article : Google Scholar

35 

Johnson SJ and Walker FR: Strategies to improve quantitative assessment of immunohistochemical and immunofluorescent labelling. Sci Rep. 5(10607)2015.PubMed/NCBI View Article : Google Scholar

36 

Batool Z, Sadir S, Liaquat L, Tabassum S, Madiha S, Rafiq S, Tariq S, Batool TS, Saleem S, Naqvi F, et al: Repeated administration of almonds increases brain acetylcholine levels and enhances memory function in healthy rats while attenuates memory deficits in animal model of amnesia. Brain Res Bull. 120:63–74. 2016.PubMed/NCBI View Article : Google Scholar

37 

Mooshekhian A, Sandini T, Wei Z, Van Bruggen R, Li H, Li XM and Zhang Y: Low-field magnetic stimulation improved cuprizone-induced depression-like symptoms and demyelination in female mice. Exp Ther Med. 23(210)2022.PubMed/NCBI View Article : Google Scholar

38 

Klinkenberg I and Blokland A: The validity of scopolamine as a pharmacological model for cognitive impairment: A review of animal behavioral studies. Neurosci Biobehav Rev. 34:1307–1350. 2010.PubMed/NCBI View Article : Google Scholar

39 

Rahimzadegan M and Soodi M: Comparison of memory impairment and oxidative stress following single or repeated doses administration of scopolamine in rat hippocampus. Basic Clin Neurosci. 9:5–14. 2018.PubMed/NCBI View Article : Google Scholar

40 

Terry AV and Callahan PM: Nicotinic acetylcholine receptor ligands, cognitive function, and preclinical approaches to drug discovery. Nicotine Tob Res. 21:383–394. 2019.PubMed/NCBI View Article : Google Scholar

41 

Kraeuter AK, Guest PC and Sarnyai Z: The Y-maze for assessment of spatial working and reference memory in mice. Methods Mol Biol. 1916:105–111. 2019.PubMed/NCBI View Article : Google Scholar

42 

Afzal M, Alzarea SI, Alharbi KS, Alzarea AI, Alenezi SK, Alshammari MS, Alquraini AH and Kazmi I: Rosiridin attenuates scopolamine-induced cognitive impairments in rats via inhibition of oxidative and nitrative stress leaded caspase-3/9 and TNF-α signaling pathways. Molecules. 27(5888)2022.PubMed/NCBI View Article : Google Scholar

43 

Bhuvanendran S, Kumari Y, Othman I and Shaikh MF: Amelioration of cognitive deficit by embelin in a scopolamine-induced Alzheimer's disease-like condition in a rat model. Front Pharmacol. 9(665)2018.PubMed/NCBI View Article : Google Scholar

44 

Li J, O W, Li W, Jiang ZG and Ghanbari HA: Oxidative stress and neurodegenerative disorders. Int J Mol Sci. 14:24438–24475. 2013.PubMed/NCBI View Article : Google Scholar

45 

Fan Y, Hu J, Li J, Yang Z, Xin X, Wang J, Ding J and Geng M: Effect of acidic oligosaccharide sugar chain on scopolamine-induced memory impairment in rats and its related mechanisms. Neurosci Lett. 374:222–226. 2005.PubMed/NCBI View Article : Google Scholar

46 

Budzynska B, Boguszewska-Czubara A, Kruk-Slomka M, Skalicka-Wozniak K, Michalak A, Musik I and Biala G: Effects of imperatorin on scopolamine-induced cognitive impairment and oxidative stress in mice. Psychopharmacology (Berl). 232:931–942. 2015.PubMed/NCBI View Article : Google Scholar

47 

Uma G and Maheswari SU: Neuroprotective effects of polyherbal formulation (Indian NONI) on scopolamine-induced memory impairment in mice. Int J Pharm Pharm Sci. 6:354–357. 2014.

48 

Abd-El-Fattah MA, Abdelakader NF and Zaki HF: Pyrrolidine dithiocarbamate protects against scopolamine-induced cognitive impairment in rats. Eur J Pharmacol. 723:330–338. 2014.PubMed/NCBI View Article : Google Scholar

49 

Hernández-Rodríguez M, Arciniega-Martínez IM, García-Marín ID, Correa-Basurto J and Rosales-Hernández MC: Chronic administration of scopolamine increased GSK3βP9, beta secretase, amyloid beta, and oxidative stress in the hippocampus of wistar rats. Mol Neurobiol. 57:3979–3988. 2020.PubMed/NCBI View Article : Google Scholar

50 

Butterfield DA, Castegna A, Lauderback CM and Drake J: Evidence that amyloid beta-peptide-induced lipid peroxidation and its sequelae in Alzheimer's disease brain contribute to neuronal death. Neurobiol Aging. 23:655–664. 2002.PubMed/NCBI View Article : Google Scholar

51 

Gul S, Attaullah S, Alsugoor MH, Bawazeer S, Shah SA, Khan S, Salahuddin HS and Ullah M: Folicitin abrogates scopolamine induced oxidative stress, hyperlipidemia mediated neuronal synapse and memory dysfunction in mice. Heliyon. 9(e16930)2023.PubMed/NCBI View Article : Google Scholar

52 

Guo C, Shen J, Meng Z, Yang X and Li F: Neuroprotective effects of polygalacic acid on scopolamine-induced memory deficits in mice. Phytomedicine. 23:149–155. 2016.PubMed/NCBI View Article : Google Scholar

53 

Liao J, Nai Y, Feng L, Chen Y, Li M and Xu H: Walnut oil prevents scopolamine-induced memory dysfunction in a mouse model. Molecules. 25(1630)2020.PubMed/NCBI View Article : Google Scholar

54 

Ghias M, Shoaib M, Ali Shah SW, Umar MN and Ullah S, Ali N, Shah I and Ullah S: Nootropic effects of synthetic flavonoid derivatives on scopolamine induced memory impairment in mice via cholinesterase inhibition and antioxidant system. Pak J Pharm Sci. 32 (5 Suppl):S2325–S2332. 2019.PubMed/NCBI

55 

Soodi M, Naghdi N, Hajimehdipoor H, Choopani S and Sahraei E: Memory-improving activity of Melissa officinalis extract in naive and scopolamine-treated rats. Res Pharm Sci. 9:107–114. 2014.PubMed/NCBI

56 

Yadang FSA, Nguezeye Y, Kom CW, Betote PHD, Mamat A, Tchokouaha LRY, Taiwé GS, Agbor GA and Bum EN: Scopolamine-induced memory impairment in mice: Neuroprotective effects of carissa edulis (forssk.) valh (apocynaceae) aqueous extract. Int J Alzheimers Dis. 2020(6372059)2020.PubMed/NCBI View Article : Google Scholar

57 

Chaudhaery SS, Roy KK, Shakya N, Saxena G, Sammi SR, Nazir A, Nath C and Saxena AK: Novel carbamates as orally active acetylcholinesterase inhibitors found to improve scopolamine-induced cognition impairment: Pharmacophore-based virtual screening, synthesis, and pharmacology. J Med Chem. 53:6490–6505. 2010.PubMed/NCBI View Article : Google Scholar

58 

Härtl R, Gleinich A and Zimmermann M: Dramatic increase in readthrough acetylcholinesterase in a cellular model of oxidative stress. J Neurochem. 116:1088–1096. 2011.PubMed/NCBI View Article : Google Scholar

59 

Eshaghi Ghalibaf MH, Rajabian A, Parviz M, Akbarian M, Amirahmadi S, Vafaee F and Hosseini M: Minocycline alleviated scopolamine-induced amnesia by regulating antioxidant and cholinergic function. Heliyon. 9(e13452)2023.PubMed/NCBI View Article : Google Scholar

60 

Oda Y: Choline acetyltransferase: The structure, distribution and pathologic changes in the central nervous system. Pathol Int. 49:921–937. 1999.PubMed/NCBI View Article : Google Scholar

61 

Sohn E, Lim HS, Kim YJ, Kim BY and Jeong SJ: Annona atemoya leaf extract improves scopolamine-induced memory impairment by preventing hippocampal cholinergic dysfunction and neuronal cell death. Int J Mol Sci. 20(3538)2019.PubMed/NCBI View Article : Google Scholar

62 

Lim DW, Son HJ, Um MY, Kim IH, Han D, Cho S and Lee CH: Enhanced cognitive effects of demethoxycurcumin, a natural derivative of curcumin on scopolamine-induced memory impairment in mice. Molecules. 21(1022)2016.PubMed/NCBI View Article : Google Scholar

63 

Olayinka JN, Eduviere A, Adeoluwa O, Akinluyi E, Obisesan A, Akawa O and Adebanjo A: Quercetin mitigates scopolamine-induced memory dysfunction: Impact on oxidative stress and cholinergic mechanisms. Metab Brain Dis. 37:265–277. 2022.PubMed/NCBI View Article : Google Scholar

64 

Cheng YJ, Lin CH and Lane HY: Involvement of cholinergic, adrenergic, and glutamatergic network modulation with cognitive dysfunction in Alzheimer's disease. Int J Mol Sci. 22(2283)2021.PubMed/NCBI View Article : Google Scholar

65 

Hascup KN, Findley CA, Sime LN and Hascup ER: Hippocampal alterations in glutamatergic signaling during amyloid progression in AβPP/PS1 mice. Sci Rep. 10(14503)2020.PubMed/NCBI View Article : Google Scholar

66 

Kwon O, Feng L, Druckmann S and Kim J: Schaffer collateral inputs to CA1 excitatory and inhibitory neurons follow different connectivity rules. J Neurosci. 38:5140–5152. 2018.PubMed/NCBI View Article : Google Scholar

67 

Royo M, Escolano BA, Madrigal MP and Jurado S: AMPA receptor function in hypothalamic synapses. Front Synaptic Neurosci. 14(833449)2022.PubMed/NCBI View Article : Google Scholar

68 

Hayashi Y, Shi SH, Esteban JA, Piccini A, Poncer JC and Malinow R: Driving AMPA receptors into synapses by LTP and CaMKII: requirement for GluR1 and PDZ domain interaction. Science. 287:2262–2267. 2000.PubMed/NCBI View Article : Google Scholar

69 

Henley JM and Wilkinson KA: AMPA receptor trafficking and the mechanisms underlying synaptic plasticity and cognitive aging. Dialogues Clin Neurosci. 15:11–27. 2013.PubMed/NCBI View Article : Google Scholar

70 

Bye CM and McDonald RJ: A specific role of hippocampal NMDA receptors and arc protein in rapid encoding of novel environmental representations and a more general long-term consolidation function. Front Behav Neurosci. 13(8)2019.PubMed/NCBI View Article : Google Scholar

71 

Yamada K, Arai M, Suenaga T and Ichitani Y: Involvement of hippocampal NMDA receptors in encoding and consolidation, but not retrieval, processes of spontaneous object location memory in rats. Behav Brain Res. 331:14–19. 2017.PubMed/NCBI View Article : Google Scholar

72 

Li C, Tang B, Feng Y, Tang F, Pui-Man Hoi M, Su Z and Ming-Yuen Lee S: Pinostrobin exerts neuroprotective actions in neurotoxin-induced Parkinson's disease models through Nrf2 induction. J Agric Food Chem. 66:8307–8318. 2018.PubMed/NCBI View Article : Google Scholar

73 

Gao WY, Chen PY, Chen SF, Wu MJ, Chang HY and Yen JH: Pinostrobin inhibits proprotein convertase subtilisin/kexin-type 9 (PCSK9) gene expression through the modulation of FoxO3a protein in HepG2 cells. J Agric Food Chem. 66:6083–6093. 2018.PubMed/NCBI View Article : Google Scholar

74 

Kicuntod J, Khuntawee W, Wolschann P, Pongsawasdi P, Chavasiri W, Kungwan N and Rungrotmongkol T: Inclusion complexation of pinostrobin with various cyclodextrin derivatives. J Mol Graph Model. 63:91–98. 2016.PubMed/NCBI View Article : Google Scholar

75 

Yang ZH, Sun X, Qi Y, Mei C, Sun XB and Du GH: Uptake characteristics of pinocembrin and its effect on p-glycoprotein at the blood-brain barrier in in vitro cell experiments. J Asian Nat Prod Res. 14:14–21. 2012.PubMed/NCBI View Article : Google Scholar

Related Articles

  • Abstract
  • View
  • Download
  • Twitter
Copy and paste a formatted citation
Spandidos Publications style
Thongrong S, Promsrisuk T, Sriraksa N, Surapinit S, Jittiwat J and Kongsui R: Alleviative effect of scopolamine‑induced memory deficit via enhancing antioxidant and cholinergic function in rats by pinostrobin from <em>Boesenbergia</em> <em>rotunda</em> (L.). Biomed Rep 21: 130, 2024.
APA
Thongrong, S., Promsrisuk, T., Sriraksa, N., Surapinit, S., Jittiwat, J., & Kongsui, R. (2024). Alleviative effect of scopolamine‑induced memory deficit via enhancing antioxidant and cholinergic function in rats by pinostrobin from <em>Boesenbergia</em> <em>rotunda</em> (L.). Biomedical Reports, 21, 130. https://doi.org/10.3892/br.2024.1818
MLA
Thongrong, S., Promsrisuk, T., Sriraksa, N., Surapinit, S., Jittiwat, J., Kongsui, R."Alleviative effect of scopolamine‑induced memory deficit via enhancing antioxidant and cholinergic function in rats by pinostrobin from <em>Boesenbergia</em> <em>rotunda</em> (L.)". Biomedical Reports 21.3 (2024): 130.
Chicago
Thongrong, S., Promsrisuk, T., Sriraksa, N., Surapinit, S., Jittiwat, J., Kongsui, R."Alleviative effect of scopolamine‑induced memory deficit via enhancing antioxidant and cholinergic function in rats by pinostrobin from <em>Boesenbergia</em> <em>rotunda</em> (L.)". Biomedical Reports 21, no. 3 (2024): 130. https://doi.org/10.3892/br.2024.1818
Copy and paste a formatted citation
x
Spandidos Publications style
Thongrong S, Promsrisuk T, Sriraksa N, Surapinit S, Jittiwat J and Kongsui R: Alleviative effect of scopolamine‑induced memory deficit via enhancing antioxidant and cholinergic function in rats by pinostrobin from <em>Boesenbergia</em> <em>rotunda</em> (L.). Biomed Rep 21: 130, 2024.
APA
Thongrong, S., Promsrisuk, T., Sriraksa, N., Surapinit, S., Jittiwat, J., & Kongsui, R. (2024). Alleviative effect of scopolamine‑induced memory deficit via enhancing antioxidant and cholinergic function in rats by pinostrobin from <em>Boesenbergia</em> <em>rotunda</em> (L.). Biomedical Reports, 21, 130. https://doi.org/10.3892/br.2024.1818
MLA
Thongrong, S., Promsrisuk, T., Sriraksa, N., Surapinit, S., Jittiwat, J., Kongsui, R."Alleviative effect of scopolamine‑induced memory deficit via enhancing antioxidant and cholinergic function in rats by pinostrobin from <em>Boesenbergia</em> <em>rotunda</em> (L.)". Biomedical Reports 21.3 (2024): 130.
Chicago
Thongrong, S., Promsrisuk, T., Sriraksa, N., Surapinit, S., Jittiwat, J., Kongsui, R."Alleviative effect of scopolamine‑induced memory deficit via enhancing antioxidant and cholinergic function in rats by pinostrobin from <em>Boesenbergia</em> <em>rotunda</em> (L.)". Biomedical Reports 21, no. 3 (2024): 130. https://doi.org/10.3892/br.2024.1818
Follow us
  • Twitter
  • LinkedIn
  • Facebook
About
  • Spandidos Publications
  • Careers
  • Cookie Policy
  • Privacy Policy
How can we help?
  • Help
  • Live Chat
  • Contact
  • Email to our Support Team