Spandidos Publications Logo
  • About
    • About Spandidos
    • Aims and Scopes
    • Abstracting and Indexing
    • Editorial Policies
    • Reprints and Permissions
    • Job Opportunities
    • Terms and Conditions
    • Contact
  • Journals
    • All Journals
    • Oncology Letters
      • Oncology Letters
      • Information for Authors
      • Editorial Policies
      • Editorial Board
      • Aims and Scope
      • Abstracting and Indexing
      • Bibliographic Information
      • Archive
    • International Journal of Oncology
      • International Journal of Oncology
      • Information for Authors
      • Editorial Policies
      • Editorial Board
      • Aims and Scope
      • Abstracting and Indexing
      • Bibliographic Information
      • Archive
    • Molecular and Clinical Oncology
      • Molecular and Clinical Oncology
      • Information for Authors
      • Editorial Policies
      • Editorial Board
      • Aims and Scope
      • Abstracting and Indexing
      • Bibliographic Information
      • Archive
    • Experimental and Therapeutic Medicine
      • Experimental and Therapeutic Medicine
      • Information for Authors
      • Editorial Policies
      • Editorial Board
      • Aims and Scope
      • Abstracting and Indexing
      • Bibliographic Information
      • Archive
    • International Journal of Molecular Medicine
      • International Journal of Molecular Medicine
      • Information for Authors
      • Editorial Policies
      • Editorial Board
      • Aims and Scope
      • Abstracting and Indexing
      • Bibliographic Information
      • Archive
    • Biomedical Reports
      • Biomedical Reports
      • Information for Authors
      • Editorial Policies
      • Editorial Board
      • Aims and Scope
      • Abstracting and Indexing
      • Bibliographic Information
      • Archive
    • Oncology Reports
      • Oncology Reports
      • Information for Authors
      • Editorial Policies
      • Editorial Board
      • Aims and Scope
      • Abstracting and Indexing
      • Bibliographic Information
      • Archive
    • Molecular Medicine Reports
      • Molecular Medicine Reports
      • Information for Authors
      • Editorial Policies
      • Editorial Board
      • Aims and Scope
      • Abstracting and Indexing
      • Bibliographic Information
      • Archive
    • World Academy of Sciences Journal
      • World Academy of Sciences Journal
      • Information for Authors
      • Editorial Policies
      • Editorial Board
      • Aims and Scope
      • Abstracting and Indexing
      • Bibliographic Information
      • Archive
    • International Journal of Functional Nutrition
      • International Journal of Functional Nutrition
      • Information for Authors
      • Editorial Policies
      • Editorial Board
      • Aims and Scope
      • Abstracting and Indexing
      • Bibliographic Information
      • Archive
    • International Journal of Epigenetics
      • International Journal of Epigenetics
      • Information for Authors
      • Editorial Policies
      • Editorial Board
      • Aims and Scope
      • Abstracting and Indexing
      • Bibliographic Information
      • Archive
    • Medicine International
      • Medicine International
      • Information for Authors
      • Editorial Policies
      • Editorial Board
      • Aims and Scope
      • Abstracting and Indexing
      • Bibliographic Information
      • Archive
  • Articles
  • Information
    • Information for Authors
    • Information for Reviewers
    • Information for Librarians
    • Information for Advertisers
    • Conferences
  • Language Editing
Spandidos Publications Logo
  • About
    • About Spandidos
    • Aims and Scopes
    • Abstracting and Indexing
    • Editorial Policies
    • Reprints and Permissions
    • Job Opportunities
    • Terms and Conditions
    • Contact
  • Journals
    • All Journals
    • Biomedical Reports
      • Information for Authors
      • Editorial Policies
      • Editorial Board
      • Aims and Scope
      • Abstracting and Indexing
      • Bibliographic Information
      • Archive
    • Experimental and Therapeutic Medicine
      • Information for Authors
      • Editorial Policies
      • Editorial Board
      • Aims and Scope
      • Abstracting and Indexing
      • Bibliographic Information
      • Archive
    • International Journal of Epigenetics
      • Information for Authors
      • Editorial Policies
      • Editorial Board
      • Aims and Scope
      • Abstracting and Indexing
      • Bibliographic Information
      • Archive
    • International Journal of Functional Nutrition
      • Information for Authors
      • Editorial Policies
      • Editorial Board
      • Aims and Scope
      • Abstracting and Indexing
      • Bibliographic Information
      • Archive
    • International Journal of Molecular Medicine
      • Information for Authors
      • Editorial Policies
      • Editorial Board
      • Aims and Scope
      • Abstracting and Indexing
      • Bibliographic Information
      • Archive
    • International Journal of Oncology
      • Information for Authors
      • Editorial Policies
      • Editorial Board
      • Aims and Scope
      • Abstracting and Indexing
      • Bibliographic Information
      • Archive
    • Medicine International
      • Information for Authors
      • Editorial Policies
      • Editorial Board
      • Aims and Scope
      • Abstracting and Indexing
      • Bibliographic Information
      • Archive
    • Molecular and Clinical Oncology
      • Information for Authors
      • Editorial Policies
      • Editorial Board
      • Aims and Scope
      • Abstracting and Indexing
      • Bibliographic Information
      • Archive
    • Molecular Medicine Reports
      • Information for Authors
      • Editorial Policies
      • Editorial Board
      • Aims and Scope
      • Abstracting and Indexing
      • Bibliographic Information
      • Archive
    • Oncology Letters
      • Information for Authors
      • Editorial Policies
      • Editorial Board
      • Aims and Scope
      • Abstracting and Indexing
      • Bibliographic Information
      • Archive
    • Oncology Reports
      • Information for Authors
      • Editorial Policies
      • Editorial Board
      • Aims and Scope
      • Abstracting and Indexing
      • Bibliographic Information
      • Archive
    • World Academy of Sciences Journal
      • Information for Authors
      • Editorial Policies
      • Editorial Board
      • Aims and Scope
      • Abstracting and Indexing
      • Bibliographic Information
      • Archive
  • Articles
  • Information
    • For Authors
    • For Reviewers
    • For Librarians
    • For Advertisers
    • Conferences
  • Language Editing
Login Register Submit
  • This site uses cookies
  • You can change your cookie settings at any time by following the instructions in our Cookie Policy. To find out more, you may read our Privacy Policy.

    I agree
Search articles by DOI, keyword, author or affiliation
Search
Advanced Search
presentation
Biomedical Reports
Join Editorial Board Propose a Special Issue
Print ISSN: 2049-9434 Online ISSN: 2049-9442
Journal Cover
November-2024 Volume 21 Issue 5

Full Size Image

Sign up for eToc alerts
Recommend to Library

Journals

International Journal of Molecular Medicine

International Journal of Molecular Medicine

International Journal of Molecular Medicine is an international journal devoted to molecular mechanisms of human disease.

International Journal of Oncology

International Journal of Oncology

International Journal of Oncology is an international journal devoted to oncology research and cancer treatment.

Molecular Medicine Reports

Molecular Medicine Reports

Covers molecular medicine topics such as pharmacology, pathology, genetics, neuroscience, infectious diseases, molecular cardiology, and molecular surgery.

Oncology Reports

Oncology Reports

Oncology Reports is an international journal devoted to fundamental and applied research in Oncology.

Experimental and Therapeutic Medicine

Experimental and Therapeutic Medicine

Experimental and Therapeutic Medicine is an international journal devoted to laboratory and clinical medicine.

Oncology Letters

Oncology Letters

Oncology Letters is an international journal devoted to Experimental and Clinical Oncology.

Biomedical Reports

Biomedical Reports

Explores a wide range of biological and medical fields, including pharmacology, genetics, microbiology, neuroscience, and molecular cardiology.

Molecular and Clinical Oncology

Molecular and Clinical Oncology

International journal addressing all aspects of oncology research, from tumorigenesis and oncogenes to chemotherapy and metastasis.

World Academy of Sciences Journal

World Academy of Sciences Journal

Multidisciplinary open-access journal spanning biochemistry, genetics, neuroscience, environmental health, and synthetic biology.

International Journal of Functional Nutrition

International Journal of Functional Nutrition

Open-access journal combining biochemistry, pharmacology, immunology, and genetics to advance health through functional nutrition.

International Journal of Epigenetics

International Journal of Epigenetics

Publishes open-access research on using epigenetics to advance understanding and treatment of human disease.

Medicine International

Medicine International

An International Open Access Journal Devoted to General Medicine.

Journal Cover
November-2024 Volume 21 Issue 5

Full Size Image

Sign up for eToc alerts
Recommend to Library

  • Article
  • Citations
    • Cite This Article
    • Download Citation
    • Create Citation Alert
    • Remove Citation Alert
    • Cited By
  • Similar Articles
    • Related Articles (in Spandidos Publications)
    • Similar Articles (Google Scholar)
    • Similar Articles (PubMed)
  • Download PDF
  • Download XML
  • View XML
Case Report Open Access

Laparoscopic resection of liver PEComa associated with Li‑Fraumeni syndrome: A case report

  • Authors:
    • Ryuji Takada
    • Makoto Takahashi
    • Tatsuya Hayashi
    • Taku Higashihara
    • Yasuhiro Morita
    • Dai Inoue
    • Haruka Okada
    • Junko Araki
  • View Affiliations / Copyright

    Affiliations: Department of Surgery, Tokyo Metropolitan Tama Medical Center, Tokyo 183‑8524, Japan, Department of Gastroenterology and Hepatology, Tokyo Metropolitan Tama Medical Center, Tokyo 183‑8524, Japan, Department of Pathology, Tokyo Metropolitan Tama Medical Center, Tokyo 183‑8524, Japan, Department of Radiology, Tokyo Metropolitan Tama Medical Center, Tokyo 183‑8524, Japan
    Copyright: © Takada et al. This is an open access article distributed under the terms of Creative Commons Attribution License.
  • Article Number: 154
    |
    Published online on: August 23, 2024
       https://doi.org/10.3892/br.2024.1842
  • Expand metrics +
Metrics: Total Views: 0 (Spandidos Publications: | PMC Statistics: )
Metrics: Total PDF Downloads: 0 (Spandidos Publications: | PMC Statistics: )
Cited By (CrossRef): 0 citations Loading Articles...

This article is mentioned in:



Abstract

Li‑Fraumeni syndrome (LFS) is a hereditary cancer predisposition syndrome associated with germline mutations in tumor suppressor gene TP53. Perivascular epithelioid cell tumors (PEComas) are a group of tumors by the World Health Organization Classification as mesenchymal tumors composed of histologically and immunohistochemically distinctive PECs. The present study reports a rare case of PEComa associated with LFS. A 32‑year‑old female patient was referred to Tokyo Metropolitan Tama Medical Center (Tokyo, Japan) in March 2022 for a detailed examination of a liver mass. The patient had received a diagnosis of LFS based on a history of sarcoma and germline variants of TP53 7 years previously. Magnetic resonance imaging revealed a ring‑enhanced mass in the liver segment 8 (S8). This was observed in the arterial phase, followed by washout of contrast media in the venous phase. Owing to the possibility of malignancy (such as metastatic liver tumor or hepatocellular carcinoma), the patient was referred for diagnostic surgery. In August 2022, a laparoscopic partial hepatectomy of S8 was performed without complications and she was discharged on postoperative day 7. The pathological findings led to the diagnosis of PEComa. The patient is currently under follow‑up at 1 year and 4 months postoperative. Laparoscopic hepatectomy was useful as a diagnostic treatment because it was relatively non‑invasive. Mutations in TP53 are involved in the development of PEComa. Further cases and studies are required to clarify the relationship between LFS and PEComa.

Introduction

Li-Fraumeni syndrome (LFS) was first reported by Li et al (1). LFS is a hereditary cancer predisposition syndrome associated with germline mutations in tumor suppressor gene TP53. It is most frequently associated with soft tissue sarcoma, osteosarcoma, breast cancer, leukemia and brain and adrenal tumors. However, they can also cause other types of tumor (2). The prevalence of cancer is extremely high during childhood compared with the general population (3). Although Li-Fraumeni syndrome has been considered a very rare genetic disorder, the frequency of pathogenic variants of TP53 in the general population is recently reported to be one in 5000-20,000 (4,5).

Perivascular epithelioid cell tumors (PEComas) were first described by Bonetti et al in 1992(6). PEComas are a group of tumors defined in the World Health Organization (WHO) Classification of bone and soft tissue tumors in 2002(7) as mesenchymal tumors composed of histologically and immunohistochemically distinctive PECs. PEComas belong to a family of tumors that include angiomyolipoma of the kidney, clear cell sugar tumor of the lung, lymphangioleiomyomatosis of the lung, myomelanocytic clear cell tumors of the round ligament/sickle cell ligament, and perivascular epithelioid cell tumor not otherwise specified (PEComa-NOS). PEComa-NOS tumors can occur at any anatomical site, including the liver (8).

To the best of our knowledge, there are a few reports of PEComas complicating LFS (8-11) and the association between these diseases has not been clarified. The present study reports a rare case of liver PEComa associated with LFS.

Case report

In March 2022, a 32-year-old female patient with a history of LFS was referred to the Department of Gastroenterology and Hepatology and Clinical Genomics at the Tokyo Metropolitan Tama Medical Center (Tokyo, Japan) for a detailed examination of a liver tumor detected by abdominal ultrasound. The patient had received a diagnosis of LFS based on a history of sarcoma and germline variants of TP53 7 years previously. The patient had a history of right hamstring pleomorphic rhabdomyosarcoma at 2 years of age, right femoral osteosarcoma at 11 years, left tibial osteosarcoma at 22 years and sigmoid adenocarcinoma at 24 years. Her paternal grandfather had prostate cancer, paternal grandmother had oral and laryngeal cancer and maternal relatives had Ewing's sarcoma. The results of blood analysis, such as complete blood count, biochemical examination and blood coagulation test, were within normal limits. Liver function test results and tumor marker values were as follows: Indocyanine green retention, 3.0% (normal, <10.0%); carcinoembryonic antigen, 1.1 ng/ml (normal, <5.0 ng/ml) and carbohydrate antigen 19-9, 9.5 U/ml (normal, <37.0 U/ml).

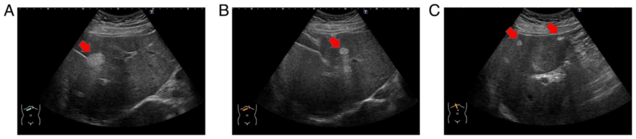
Ultrasonography revealed multiple hyperechoic tumors in the liver (Fig. 1A-C). Magnetic resonance imaging (MRI) was performed before a dynamic computed tomography (CT) scan to limit radiation exposure (8,12). MRI examinations were performed using 1.5-T MR systems (MAGNETOM Sola, Siemens Medical Solutions, Erlangen, Germany). The gradient strengths were 45mT/m with a slew rate of 200T/m/second. Eighteen-element phased array matrix coil was used for signal reception. MRI showed that the main tumor in segment (S)8 had low signal intensity on both T1- and T2-weighted images and slightly high signal intensity on diffusion-weighted imaging (Fig. 2A-C). Contrast-enhanced MRI revealed that the S8 tumor was enhanced in a ring shape during the early contrast phase (Fig. 2D). In the hepatobiliary phase, the periphery had a high signal intensity and the interior had a low signal intensity (Fig. 2E). Near the main tumor in S8, two small tumors were heavily contrasted in the early phase but were not identified in the hepatobiliary phase (Fig. 3). Numerous tumors suspected to be lipomas, focal nodular hyperplasia or arterio-portal shunts were also observed in the liver.

Figure 1

Ultrasonography showed multiple hyperechoic tumors in the liver. (A) 30 and (B) 18-mm hyperechoic lesion was detected near the gallbladder (arrow). (C) Multiple hyperechoic lesions were detected in the right lobe of the liver (arrows).

Figure 2

MRI findings of primary tumor. MRI showed that the primary tumor in S8 had a low signal in (A) T1 and (B) T2 (arrow). (C) Primary tumor in S8 had a slightly high signal in diffusion-weighted images (arrow). (D) On contrast-enhanced MRI, the primary tumor in S8 was enhanced in a ring shape in the early contrast phase (arrow). (E) In the hepatobiliary phase, the periphery of the tumor had a high signal and the interior had a low signal (arrow). S8, segment 8.

Figure 3

MRI findings of two small tumors. On (A) left and (B) dorsal side near the primary tumor in S8, a small tumor was observed that were heavily contrasted in the early phase (arrow). (C) Small tumor on the (C) left and (D) dorsal side near the main tumor could not be identified in the hepatocellular phase. S8, segment 8.

Because of the difficulty in confirming diagnosis using MRI alone, dynamic CT was performed with informed consent, which revealed that the main S8 tumor was contrast-enhanced in a ring shape in the early phase and washed out in the late phase (Fig. 4); it also showed low density on plain CT. A total of two small tumors near the primary tumor were also enhanced in the early phase of dynamic CT but were not identified in the late phase (Fig. 5). Upper and lower gastrointestinal endoscopy showed no malignant findings.

Figure 4

Dynamic CT findings of primary tumor. (A) In early phase, the main segment 8 tumor was contrast-enhanced in a ring shape (arrow). (B) In portal phase, the contrast medium of tumor was washed out (arrow). (C) In late phase, the contrast medium of tumor was washed out (arrow).

Figure 5

Dynamic CT findings of two small tumors. On the (A) left and (B) dorsal side near the primary tumor in S8, a small tumor was enhanced in the early phase (arrow). (C) Small tumor on the left side near the main tumor was not be identified in the late portal phase. (D) A small tumor on the dorsal side near the main tumor could not be identified in the late portal phase. (E) A small tumor on the left side near the main tumor could not be identified in the late phase. (F) A small tumor on the dorsal side near the main tumor could not be identified in the late phase.

The primary tumor in S8 could be benign, such as a hepatic hemangioma; however, a malignant tumor, such as a metastatic liver tumor or hepatocellular carcinoma (HCC), could not be ruled out and it was difficult to perform a biopsy because the tumor was localized just below the diaphragm. The lesions surrounding the primary tumor in S8 were suspected to be arterio-portal shunts or focal nodular hyperplasia. A number of other liver tumors were considered lipomas. Therefore, the patient was referred for diagnostic surgery. In August 2022, laparoscopic partial hepatectomy of the S8 was performed without complications. A camera port in the umbilicus, 5-mm port in the pericardial fossa and right lateral abdomen and two 12-mm ports in the right subxiphoid region were placed. The operative time was 5 h and 8 min and the blood loss was 10 ml. The patient was discharged on postoperative day 7.

Tissue samples were fixed in 10% neutral buffered formalin solution at room temperature for 24 to 48 h, paraffin embedded, cut to 3 µm thick, and dewaxed as per standard procedures (13). Staining was performed at room temperature for 10 min for Hematoxylin and 4 min for Eosin. The microscope was an Olympus BX53 (light microscope) and the magnification was 200x. The following primary antibodies were used: smooth muscle actin (SMA) (1:5; clone1A4; Cat. No.: IR61161-2; Dako), and human melanocyte black-45 (HMB45) (1:50, clone HMB45; Cat. No.: M063401-2; Dako). CC1 buffer (Cat. No.: 950-124; Roche) was used for antigen retrieval. The antigen retrieval step was performed at 95˚C for 64 min. Primary antibody incubation was performed at 36˚C for 32 min. Secondary antibody (ultraView Universal DAB Detection Kit; cat. No.; 05269806001; Roche) incubation was performed at 36˚C for 32 min.

Histopathological findings showed a well-demarcated white mass with a necrotic center (Fig. 6A). Hematoxylin-Eosin staining showed round, spindle-shaped cells with pale sporangia against a background of tumor vascular growth. This indicated nuclear polymorphism and a lack of nuclear fission (Fig. 6B). Immunohistochemical staining was positive for SMA and HMB-45 (Fig. 6C and D), leading to diagnosis of PEComa.

Figure 6

Macro and microscopic findings. (A) Histopathological findings showed a well-demarcated white tumor with a necrotic center (arrow). (B) Hematoxylin-eosin staining showed round, spindle-shaped cells with pale sporangia against a background of tumor vascular growth that showed nuclear polymorphism and lacked nuclear fission. Scale bar, 100 µm. (C) Tumor cells were positive for smooth muscle actin. Scale bar, 100 µm. (D) Tumor cells were positive for human melanocyte black-45. Scale bar, 100 µm.

In the specimen, there were two nodules in addition to the primary lesion, which were also PEComas. All lesions lacked nuclear fission. The three PEComas in the specimen suggest the possibility of multiple PEComas remaining in the liver. MRI performed 7 months after surgery showed no significant changes. The patient is currently under follow-up, with no recurrence at 16 months post-surgery. Regular follow-ups, breast MRI, mammography and abdominal ultrasound and MRI annually and upper- and lower-gastrointestinal endoscopy every 2-5 years are planned.

Discussion

LFS is an autosomal dominant syndrome that results in multiple types of cancer. To the best of our knowledge, <400 families have been reported with this syndrome. Mutations in the TP53 gene are present in 50-80% of affected families. This syndrome has a high incidence of malignancy at a young age and a high frequency of breast cancer, osteosarcoma, soft tissue sarcoma [penetrance: 14.3-26.7%, SIR: 302.8 (130.4-596.8), RR: 61 (33-102)], brain tumor [penetrance: 5.4-13.0%, SIR: 45.0 (9.0-131.5), RR: 35 (19-60)] and adrenocortical cancer [penetrance: 1.7-13.0%, SIR: unknown, RR: 2047 (455-9212)]. These tumors are defined as ‘core tumors’ in LFS. Other types of cancer, such as hematological malignancy, epithelial cancer and pediatric cancers such as neuroblastoma, can also develop (14). The lifetime probability of developing cancer of a TP53 pathological variant carrier is ~75% in males and almost 100% in females (15).

PEComas were first described by Bonetti et al (6) in 1992 and are defined as tumors resulting from PEC differentiation. PEComa is a mesenchymal tumor composed of cells associated with blood vessel walls that express melanocytes and smooth muscle markers and is more common in female patients. PEComa can occur in any organ of the body, but the kidneys, genitourinary organs and uterus are the most common sites, whereas tumors of a hepatic origin are relatively rare (16-19). These include angiomyolipoma, clear-cell tumor and lymphangioleiomyomatosis. They are mostly benign, but they could also be malignant (20-22). Folpe et al (23) reported PEComa grading based on tumor diameter and pathological findings; high-risk factors include: i) Tumor diameter >5 cm; ii) invasive growth pattern; iii) severe nuclear atypia and increased cell density; iv) fission pattern (>1/50 high-power fields); v) necrosis and vi) vascular invasion. Cases with ≥2 high-risk factors are classified as malignant disease, one risk factor (a nuclear polymorphism or multinucleated giant cells or a tumor diameter >5 cm) is classified as disease of uncertain malignant potential and no risk factors are considered benign, as in the present case.

Hepatic PEComas typically show low signal intensity on T1-weighted MRI and high signal intensity on T2-weighted MRI (24); however, the present mass showed low signal intensity on both T1- and T2-weighted images, which was atypical, making preoperative diagnosis difficult. This also suggested a benign tumor, such as a hepatic hemangioma; nonetheless, the possibility of malignancy (such as metastatic liver tumor or HCC) could not be ruled out. Some studies have reported that outflow vessels of hepatic PEComas consist of the hepatic venous system, distinguishing them from HCC (25,26). In the present case, the primary tumor was contrast-enhanced in a ring shape in the early phase and washed out in the late phase; therefore, the possibility of malignancy could not be ruled out. As PEComa is associated with upregulation of the mTOR pathway, which regulates glucose transporter-1 function, fluorodeoxyglucose-positron emission tomography/CT findings would likely have been positive (27,28).

The primary lesion was located at the S8 of the liver, just below the diaphragm; therefore, liver biopsy was difficult. Laparoscopic excisional biopsy is less invasive and useful for lesions for which malignancy cannot be ruled out.

Alterations in three main pathways have been described in PEComa pathogenesis. LOH (loss of function) in tuberous sclerosis complex subunits 1 (~27%) and 2 (~73%) is the most common (29,30). Rearrangement affecting transcription factor binding to immunoglobulin heavy contrast mu enhancer 3, which is implicated in cell differentiation, is another key molecular feature of PEComa pathogenesis (23%) (29,30). Rearrangements of RAD51 binding protein B have been identified in uterine PEComas (29).

To the best of our knowledge, there have only been six reported cases of LFS complicated by PEComa, including the present case, with two other cases being siblings of the present patient, both diagnosed with LFS (Table I) (8-11). All six patients (four female and two male) were aged <50 years. Although the observation period was ≤3 years in each case, none of the patients experienced a recurrence of PEComa. In all six cases, the tumors did not appear to be highly malignant.

Table I

Reported cases of Li-Fraumeni syndrome complicated by perivascular epithelioid cell tumor.

Table I

Reported cases of Li-Fraumeni syndrome complicated by perivascular epithelioid cell tumor.

Case no.Age, yearsSexOrganTreatmentFollow-upFirst author, year(Refs.)
124FKidney, liverSurgeryNo recurrence at 1 yearNeofytou et al, 2015(9)
229FLiverSurgeryNo recurrence at 1 yearGalera López et al, 2020(8)
327MLiverSurgeryNo recurrence at 9 monthsGalera López et al, 2020(8)
438MFemoral muscle, lung metastasisSurgery; chemoradiationNo recurrence at 7 monthsButz et al, 2022(10)
549FLiverSurgeryNo recurrence at 3 yearsYang et al, 2024(11)
632FLiverSurgeryNo recurrence at 16 monthsPresent case, 2024-

[i] F, female; M, male.

The etiology of PEComa and its association with LFS are unknown; however, Butz et al (10) identified site-specific LOH in PEComa tissue with respect to a novel TP53 pathogenic variant. This suggests a role of the defective TP53 pathway in the pathogenesis of PEComa, which is also associated with the malignant and metastatic form of this tumor type.

Cancer surveillance and treatment for the present patient will be continued in accordance with the medical guidelines for LFS 2019, version 1.1(14). The most common cause of PEComa recurrence is residual liver; however, pulmonary metastases have also been reported (31). When PEComa recurs, re-resection should be considered if possible. Nab-sirolimus, an mTOR inhibitor, was recently demonstrated as effective against PEComa (32). The patient will undergo breast MRI, mammography and abdominal ultrasound and MRI annually and upper- and lower-gastrointestinal endoscopy every 2-5 years due to the presence of LFS. An orthopedic surgeon and dermatologist will also have annual consultations.

Further case series are required to determine the association between LFS and PEComa.

Although rare, the possibility of a PEComa should be considered when liver tumors are found in patients with LFS. Laparoscopic liver resection is beneficial as a diagnostic treatment.

Acknowledgements

Not applicable.

Funding

Funding: No funding was received.

Availability of data and materials

The data generated in the present study may be requested from the corresponding author.

Authors' contributions

RT and MT conceived and designed the study. MT revised the manuscript. MT, THa and RT performed surgery. DI performed preoperative examination and postoperative follow-up. JA made the diagnosis based on the imaging findings. HO performed the pathological diagnosis. THi and YM decided on a treatment plan for the patient. RT and MT confirm the authenticity of all the raw data. All authors have read and approved the final manuscript.

Ethics approval and consent to participate

Not applicable.

Patient consent for publication

Written informed consent was obtained from the patient for the publication of this case report.

Competing interests

The authors declare that they have no competing interests.

References

1 

Li FP, Fraumeni JF Jr, Mulvihill JJ, Blattner WA, Dreyfus MG, Tucker MA and Miller RW: A cancer family syndrome in twenty-four kindreds. Cancer Res. 48:5358–5362. 1988.PubMed/NCBI

2 

Yoshida GJ, Fuchimoto Y, Osumi T, Shimada H, Hosaka S, Morioka H, Mukai M, Masugi Y, Sakamoto M and Kuroda T: Li-Fraumeni syndrome with simultaneous osteosarcoma and liver cancer: Increased expression of a CD44 variant isoform after chemotherapy. BMC Cancer. 12(444)2012.PubMed/NCBI View Article : Google Scholar

3 

Amadou A, Achatz MIW and Hainaut P: Revisiting tumor patterns and penetrance in germline TP53 mutation carriers: Temporal phases of Li-Fraumeni syndrome. Curr Opin Oncol. 30:23–29. 2018.PubMed/NCBI View Article : Google Scholar

4 

Peng G, Bojadzieva J, Ballinger ML, Li J, Blackford AL, Mai PL, Savage SA, Thomas DM, Strong LC and Wang W: Estimating TP53 mutation carrier probability in families with Li-Fraumeni syndrome using LFSPRO. Cancer Epidemiol Biomarkers Prev. 26:837–844. 2017.PubMed/NCBI View Article : Google Scholar

5 

Gonzalez KD, Noltner KA, Buzin CH, Gu D, Wen-Fong CY, Nguyen VQ, Han JH, Lowstuter K, Longmate J, Sommer SS and Weitzel JN: Beyond Li Fraumeni syndrome: Clinical characteristics of families with p53 germline mutations. J Clin Oncol. 27:1250–1256. 2009.PubMed/NCBI View Article : Google Scholar

6 

Bonetti F, Pea M, Martignoni G and Zamboni G: PEC and sugar. Am J Surg Pathol. 16:307–308. 1992.PubMed/NCBI View Article : Google Scholar

7 

Folpe AL and Kwiatkowski DJ: Perivascular epithelioid cell neoplasms: Pathology and pathogenesis. Hum Pathol. 41:1–15. 2010.PubMed/NCBI View Article : Google Scholar

8 

Galera López MDM, Márquez Rodas I, Agra Pujol C, García Pérez Á, Velasco Sánchez E and Álvarez Álvarez R: Simultaneous diagnosis of liver PEComa in a family with known Li-Fraumeni syndrome: A case report. Clin Sarcoma Res. 10(24)2020.PubMed/NCBI View Article : Google Scholar

9 

Neofytou K, Famularo S and Khan AZ: PEComa in a young patient with known Li-Fraumeni syndrome. Case Rep Med. 2015(906981)2015.PubMed/NCBI View Article : Google Scholar

10 

Butz H, Lövey J, Szentkereszty M, Bozsik A, Tóth E and Patócs A: Case report: A novel pathomechanism in PEComa by the loss of heterozygosity of TP53. Front Oncol. 12(849004)2022.PubMed/NCBI View Article : Google Scholar

11 

Yang Y, Lee J, Woo CG, Lee OJ and Son SM: Epithelioid angiomyolipoma of the liver in a patient with Li-Fraumeni syndrome: A case report. Diagn Pathol. 19(16)2024.PubMed/NCBI View Article : Google Scholar

12 

Funato M, Tsunematsu Y, Yamazaki F, Tamura C, Kumamoto T, Takagi M, Kato S, Sugimura H and Tamura K: Characteristics of Li-Fraumeni syndrome in Japan; a review study by the special committee of JSHT. Cancer Sci. 112:2821–2834. 2021.PubMed/NCBI View Article : Google Scholar

13 

Sato M, Kojima M, Nagatsuma AK, Nakamura Y, Saito N and Ochiai A: Optimal fixation for total preanalytic phase evaluation in pathology laboratories: A comprehensive study including immunohistochemistry, DNA, and mRNA assays. Pathol Int. 64:209–216. 2014.PubMed/NCBI View Article : Google Scholar

14 

Kumamoto T, Yamazaki F, Nakano Y, Tamura C, Tashiro S, Hattori H, Nakagawara A and Tsunematsu Y: Medical guidelines for Li-Fraumeni syndrome. 2019, version 1.1. Int J Clin Oncol. 26:2161–2178. 2021.PubMed/NCBI View Article : Google Scholar

15 

Bougeard G, Renaux-Petel M, Flaman JM, Charbonnier C, Fermey P, Belotti M, Gauthier-Villars M, Stoppa-Lyonnet D, Consolino E, Brugières L, et al: Revisiting Li-Fraumeni syndrome from TP53 mutation carriers. J Clin Oncol. 33:2345–2352. 2015.PubMed/NCBI View Article : Google Scholar

16 

Jeon IS and Lee SM: Multimodal treatment using surgery, radiotherapy, and chemotherapy in a patient with a perivascular epithelioid cell tumor of the uterus. J Pediatr Hematol Oncol. 27:681–684. 2005.PubMed/NCBI View Article : Google Scholar

17 

Liu CH, Chao WT, Lin SC, Lau HY, Wu HH and Wang PH: Malignant perivascular epithelioid cell tumor in the female genital tract: Preferred reporting items for systematic reviews and meta-analyses. Medicine (Baltimore). 98(e14072)2019.PubMed/NCBI View Article : Google Scholar

18 

Khaja F, Carilli A, Baidas S, Sriharan A and Norford S: PEComa: A perivascular epithelioid cell tumor in the liver-a case report and review of the literature. Case Rep Med. 2013(904126)2013.PubMed/NCBI View Article : Google Scholar

19 

Fang SH, Zhou LN, Jin M and Hu JB: Perivascular epithelioid cell tumor of the liver: A report of two cases and review of the literature. World J Gastroenterol. 13:5537–5539. 2007.PubMed/NCBI View Article : Google Scholar

20 

Armah HB and Parwani AV: Perivascular epithelioid cell tumor. Arch Pathol Lab Med. 133:648–654. 2009.PubMed/NCBI View Article : Google Scholar

21 

Kirste S, Kayser G, Zipfel A, Grosu AL and Brunner T: Unresectable hepatic PEComa: A rare malignancy treated with stereotactic body radiation therapy (SBRT) followed by complete resection. Radiat Oncol. 13(28)2018.PubMed/NCBI View Article : Google Scholar

22 

Lin KH, Chang NJ, Liou LR, Su MS, Tsao MJ and Huang ML: Successful management of perivascular epithelioid cell tumor of the rectum with recurrent liver metastases: A case report. Medicine (Baltimore). 97(e11679)2018.PubMed/NCBI View Article : Google Scholar

23 

Folpe AL, Mentzel T, Lehr HA, Fisher C, Balzer BL and Weiss SW: Perivascular epithelioid cell neoplasms of soft tissue and gynecologic origin: A clinicopathologic study of 26 cases and review of the literature. Am J Surg Pathol. 29:1558–1575. 2005.PubMed/NCBI View Article : Google Scholar

24 

Tan Y, Zhang H and Xiao EH: Perivascular epithelioid cell tumour: Dynamic CT, MRI and clinicopathological characteristics-analysis of 32 cases and review of the literature. Clin Radiol. 68:555–561. 2013.PubMed/NCBI View Article : Google Scholar

25 

Zheng RQ, Kudo M, Ishikawa E, Chung H, Minami Y, Ogawa C, Sakaguchi Y, Kitano M, Kawasaki T and Maekawa K: Hepatic angiomyolipoma: Identification of an efferent vessel as a hepatic vein by contrast-enhanced harmonic sonography. J Med Ultrason (2001). 32:191–196. 2005.PubMed/NCBI View Article : Google Scholar

26 

Akitake R, Kimura H, Sekoguchi S, Nakamura H, Seno H, Chiba T and Fujimoto S: Perivascular epithelioid cell tumor (PEComa) of the liver diagnosed by contrast-enhanced ultrasonography. Intern Med. 48:2083–2086. 2009.PubMed/NCBI View Article : Google Scholar

27 

Sun L, Sun X, Li Y and Xing L: The role of (18)F-FDG PET/CT imaging in patient with malignant PEComa treated with mTOR inhibitor. Onco Targets Ther. 8:1967–1970. 2015.PubMed/NCBI View Article : Google Scholar

28 

Takahashi M, Nojima H, Kuboki S, Horikoshi T, Yokota T, Yoshitomi H, Furukawa K, Takayashiki T, Takano S and Ohtsuka M: Comparing prognostic factors of Glut-1 expression and maximum standardized uptake value by FDG-PET in patients with resectable pancreatic cancer. Pancreatology. 20:1205–1212. 2020.PubMed/NCBI View Article : Google Scholar

29 

Agaram NP, Sung YS, Zhang L, Chen CL, Chen HW, Singer S, Dickson MA, Berger MF and Antonescu CR: Dichotomy of genetic abnormalities in PEComas with therapeutic implications. Am J Surg Pathol. 39:813–825. 2015.PubMed/NCBI View Article : Google Scholar

30 

Bing Z, Yao Y, Pasha T, Tomaszewski JE and Zhang PJ: p53 in pure epithelioid PEComa: An immunohistochemistry study and gene mutation analysis. Int J Surg Pathol. 20:115–122. 2012.PubMed/NCBI View Article : Google Scholar

31 

Rakheja R, Abikhzer G, Alabed YZ, Nahal A and Lisbona R: The appearance of osseous PEComa on F-18 FDG PET/CT. Clin Nucl Med. 37:190–192. 2012.PubMed/NCBI View Article : Google Scholar

32 

Wagner AJ, Ravi V, Riedel RF, Ganjoo K, Van Tine BA, Chugh R, Cranmer L, Gordon EM, Hornick JL, Du H, et al: nab-Sirolimus for patients with malignant perivascular epithelioid cell tumors. J Clin Oncol. 39:3660–3670. 2021.PubMed/NCBI View Article : Google Scholar

Related Articles

  • Abstract
  • View
  • Download
  • Twitter
Copy and paste a formatted citation
Spandidos Publications style
Takada R, Takahashi M, Hayashi T, Higashihara T, Morita Y, Inoue D, Okada H and Araki J: Laparoscopic resection of liver PEComa associated with Li‑Fraumeni syndrome: A case report. Biomed Rep 21: 154, 2024.
APA
Takada, R., Takahashi, M., Hayashi, T., Higashihara, T., Morita, Y., Inoue, D. ... Araki, J. (2024). Laparoscopic resection of liver PEComa associated with Li‑Fraumeni syndrome: A case report. Biomedical Reports, 21, 154. https://doi.org/10.3892/br.2024.1842
MLA
Takada, R., Takahashi, M., Hayashi, T., Higashihara, T., Morita, Y., Inoue, D., Okada, H., Araki, J."Laparoscopic resection of liver PEComa associated with Li‑Fraumeni syndrome: A case report". Biomedical Reports 21.5 (2024): 154.
Chicago
Takada, R., Takahashi, M., Hayashi, T., Higashihara, T., Morita, Y., Inoue, D., Okada, H., Araki, J."Laparoscopic resection of liver PEComa associated with Li‑Fraumeni syndrome: A case report". Biomedical Reports 21, no. 5 (2024): 154. https://doi.org/10.3892/br.2024.1842
Copy and paste a formatted citation
x
Spandidos Publications style
Takada R, Takahashi M, Hayashi T, Higashihara T, Morita Y, Inoue D, Okada H and Araki J: Laparoscopic resection of liver PEComa associated with Li‑Fraumeni syndrome: A case report. Biomed Rep 21: 154, 2024.
APA
Takada, R., Takahashi, M., Hayashi, T., Higashihara, T., Morita, Y., Inoue, D. ... Araki, J. (2024). Laparoscopic resection of liver PEComa associated with Li‑Fraumeni syndrome: A case report. Biomedical Reports, 21, 154. https://doi.org/10.3892/br.2024.1842
MLA
Takada, R., Takahashi, M., Hayashi, T., Higashihara, T., Morita, Y., Inoue, D., Okada, H., Araki, J."Laparoscopic resection of liver PEComa associated with Li‑Fraumeni syndrome: A case report". Biomedical Reports 21.5 (2024): 154.
Chicago
Takada, R., Takahashi, M., Hayashi, T., Higashihara, T., Morita, Y., Inoue, D., Okada, H., Araki, J."Laparoscopic resection of liver PEComa associated with Li‑Fraumeni syndrome: A case report". Biomedical Reports 21, no. 5 (2024): 154. https://doi.org/10.3892/br.2024.1842
Follow us
  • Twitter
  • LinkedIn
  • Facebook
About
  • Spandidos Publications
  • Careers
  • Cookie Policy
  • Privacy Policy
How can we help?
  • Help
  • Live Chat
  • Contact
  • Email to our Support Team