Spandidos Publications Logo
  • About
    • About Spandidos
    • Aims and Scopes
    • Abstracting and Indexing
    • Editorial Policies
    • Reprints and Permissions
    • Job Opportunities
    • Terms and Conditions
    • Contact
  • Journals
    • All Journals
    • Oncology Letters
      • Oncology Letters
      • Information for Authors
      • Editorial Policies
      • Editorial Board
      • Aims and Scope
      • Abstracting and Indexing
      • Bibliographic Information
      • Archive
    • International Journal of Oncology
      • International Journal of Oncology
      • Information for Authors
      • Editorial Policies
      • Editorial Board
      • Aims and Scope
      • Abstracting and Indexing
      • Bibliographic Information
      • Archive
    • Molecular and Clinical Oncology
      • Molecular and Clinical Oncology
      • Information for Authors
      • Editorial Policies
      • Editorial Board
      • Aims and Scope
      • Abstracting and Indexing
      • Bibliographic Information
      • Archive
    • Experimental and Therapeutic Medicine
      • Experimental and Therapeutic Medicine
      • Information for Authors
      • Editorial Policies
      • Editorial Board
      • Aims and Scope
      • Abstracting and Indexing
      • Bibliographic Information
      • Archive
    • International Journal of Molecular Medicine
      • International Journal of Molecular Medicine
      • Information for Authors
      • Editorial Policies
      • Editorial Board
      • Aims and Scope
      • Abstracting and Indexing
      • Bibliographic Information
      • Archive
    • Biomedical Reports
      • Biomedical Reports
      • Information for Authors
      • Editorial Policies
      • Editorial Board
      • Aims and Scope
      • Abstracting and Indexing
      • Bibliographic Information
      • Archive
    • Oncology Reports
      • Oncology Reports
      • Information for Authors
      • Editorial Policies
      • Editorial Board
      • Aims and Scope
      • Abstracting and Indexing
      • Bibliographic Information
      • Archive
    • Molecular Medicine Reports
      • Molecular Medicine Reports
      • Information for Authors
      • Editorial Policies
      • Editorial Board
      • Aims and Scope
      • Abstracting and Indexing
      • Bibliographic Information
      • Archive
    • World Academy of Sciences Journal
      • World Academy of Sciences Journal
      • Information for Authors
      • Editorial Policies
      • Editorial Board
      • Aims and Scope
      • Abstracting and Indexing
      • Bibliographic Information
      • Archive
    • International Journal of Functional Nutrition
      • International Journal of Functional Nutrition
      • Information for Authors
      • Editorial Policies
      • Editorial Board
      • Aims and Scope
      • Abstracting and Indexing
      • Bibliographic Information
      • Archive
    • International Journal of Epigenetics
      • International Journal of Epigenetics
      • Information for Authors
      • Editorial Policies
      • Editorial Board
      • Aims and Scope
      • Abstracting and Indexing
      • Bibliographic Information
      • Archive
    • Medicine International
      • Medicine International
      • Information for Authors
      • Editorial Policies
      • Editorial Board
      • Aims and Scope
      • Abstracting and Indexing
      • Bibliographic Information
      • Archive
  • Articles
  • Information
    • Information for Authors
    • Information for Reviewers
    • Information for Librarians
    • Information for Advertisers
    • Conferences
  • Language Editing
Spandidos Publications Logo
  • About
    • About Spandidos
    • Aims and Scopes
    • Abstracting and Indexing
    • Editorial Policies
    • Reprints and Permissions
    • Job Opportunities
    • Terms and Conditions
    • Contact
  • Journals
    • All Journals
    • Biomedical Reports
      • Information for Authors
      • Editorial Policies
      • Editorial Board
      • Aims and Scope
      • Abstracting and Indexing
      • Bibliographic Information
      • Archive
    • Experimental and Therapeutic Medicine
      • Information for Authors
      • Editorial Policies
      • Editorial Board
      • Aims and Scope
      • Abstracting and Indexing
      • Bibliographic Information
      • Archive
    • International Journal of Epigenetics
      • Information for Authors
      • Editorial Policies
      • Editorial Board
      • Aims and Scope
      • Abstracting and Indexing
      • Bibliographic Information
      • Archive
    • International Journal of Functional Nutrition
      • Information for Authors
      • Editorial Policies
      • Editorial Board
      • Aims and Scope
      • Abstracting and Indexing
      • Bibliographic Information
      • Archive
    • International Journal of Molecular Medicine
      • Information for Authors
      • Editorial Policies
      • Editorial Board
      • Aims and Scope
      • Abstracting and Indexing
      • Bibliographic Information
      • Archive
    • International Journal of Oncology
      • Information for Authors
      • Editorial Policies
      • Editorial Board
      • Aims and Scope
      • Abstracting and Indexing
      • Bibliographic Information
      • Archive
    • Medicine International
      • Information for Authors
      • Editorial Policies
      • Editorial Board
      • Aims and Scope
      • Abstracting and Indexing
      • Bibliographic Information
      • Archive
    • Molecular and Clinical Oncology
      • Information for Authors
      • Editorial Policies
      • Editorial Board
      • Aims and Scope
      • Abstracting and Indexing
      • Bibliographic Information
      • Archive
    • Molecular Medicine Reports
      • Information for Authors
      • Editorial Policies
      • Editorial Board
      • Aims and Scope
      • Abstracting and Indexing
      • Bibliographic Information
      • Archive
    • Oncology Letters
      • Information for Authors
      • Editorial Policies
      • Editorial Board
      • Aims and Scope
      • Abstracting and Indexing
      • Bibliographic Information
      • Archive
    • Oncology Reports
      • Information for Authors
      • Editorial Policies
      • Editorial Board
      • Aims and Scope
      • Abstracting and Indexing
      • Bibliographic Information
      • Archive
    • World Academy of Sciences Journal
      • Information for Authors
      • Editorial Policies
      • Editorial Board
      • Aims and Scope
      • Abstracting and Indexing
      • Bibliographic Information
      • Archive
  • Articles
  • Information
    • For Authors
    • For Reviewers
    • For Librarians
    • For Advertisers
    • Conferences
  • Language Editing
Login Register Submit
  • This site uses cookies
  • You can change your cookie settings at any time by following the instructions in our Cookie Policy. To find out more, you may read our Privacy Policy.

    I agree
Search articles by DOI, keyword, author or affiliation
Search
Advanced Search
presentation
Biomedical Reports
Join Editorial Board Propose a Special Issue
Print ISSN: 2049-9434 Online ISSN: 2049-9442
Journal Cover
March-2025 Volume 22 Issue 3

Full Size Image

Sign up for eToc alerts
Recommend to Library

Journals

International Journal of Molecular Medicine

International Journal of Molecular Medicine

International Journal of Molecular Medicine is an international journal devoted to molecular mechanisms of human disease.

International Journal of Oncology

International Journal of Oncology

International Journal of Oncology is an international journal devoted to oncology research and cancer treatment.

Molecular Medicine Reports

Molecular Medicine Reports

Covers molecular medicine topics such as pharmacology, pathology, genetics, neuroscience, infectious diseases, molecular cardiology, and molecular surgery.

Oncology Reports

Oncology Reports

Oncology Reports is an international journal devoted to fundamental and applied research in Oncology.

Experimental and Therapeutic Medicine

Experimental and Therapeutic Medicine

Experimental and Therapeutic Medicine is an international journal devoted to laboratory and clinical medicine.

Oncology Letters

Oncology Letters

Oncology Letters is an international journal devoted to Experimental and Clinical Oncology.

Biomedical Reports

Biomedical Reports

Explores a wide range of biological and medical fields, including pharmacology, genetics, microbiology, neuroscience, and molecular cardiology.

Molecular and Clinical Oncology

Molecular and Clinical Oncology

International journal addressing all aspects of oncology research, from tumorigenesis and oncogenes to chemotherapy and metastasis.

World Academy of Sciences Journal

World Academy of Sciences Journal

Multidisciplinary open-access journal spanning biochemistry, genetics, neuroscience, environmental health, and synthetic biology.

International Journal of Functional Nutrition

International Journal of Functional Nutrition

Open-access journal combining biochemistry, pharmacology, immunology, and genetics to advance health through functional nutrition.

International Journal of Epigenetics

International Journal of Epigenetics

Publishes open-access research on using epigenetics to advance understanding and treatment of human disease.

Medicine International

Medicine International

An International Open Access Journal Devoted to General Medicine.

Journal Cover
March-2025 Volume 22 Issue 3

Full Size Image

Sign up for eToc alerts
Recommend to Library

  • Article
  • Citations
    • Cite This Article
    • Download Citation
    • Create Citation Alert
    • Remove Citation Alert
    • Cited By
  • Similar Articles
    • Related Articles (in Spandidos Publications)
    • Similar Articles (Google Scholar)
    • Similar Articles (PubMed)
  • Download PDF
  • Download XML
  • View XML
Case Report Open Access

Genetic profiling of osteosarcoma in an adolescent using a next‑generation sequencing panel and Sanger sequencing: A case report and review of the literature

  • Authors:
    • Mariana Chantre‑Justino
    • Rafaele Tavares Silvestre
    • Thiago Luz De Castro
    • Eliane Luz
    • Rafael De Castro E Silva Pinheiro
    • Anabela Caruso
    • Ana Cristina De Sá Lopes
    • Walter Meohas
    • Gilda Alves
    • Maria Helena Faria Ornellas
  • View Affiliations / Copyright

    Affiliations: Research Division, National Institute of Traumatology and Orthopedics, Rio de Janeiro 20940‑070, Brazil, Circulating Biomarkers Laboratory, Pathology Department, Faculty of Medical Sciences, Rio de Janeiro State University, Rio de Janeiro 20550‑170, Brazil, Specialized Care Center for Orthopedic Oncology, National Institute of Traumatology and Orthopedics, Rio de Janeiro 20940‑070, Brazil
    Copyright: © Chantre‑Justino et al. This is an open access article distributed under the terms of Creative Commons Attribution License.
  • Article Number: 42
    |
    Published online on: January 3, 2025
       https://doi.org/10.3892/br.2025.1920
  • Expand metrics +
Metrics: Total Views: 0 (Spandidos Publications: | PMC Statistics: )
Metrics: Total PDF Downloads: 0 (Spandidos Publications: | PMC Statistics: )
Cited By (CrossRef): 0 citations Loading Articles...

This article is mentioned in:



Abstract

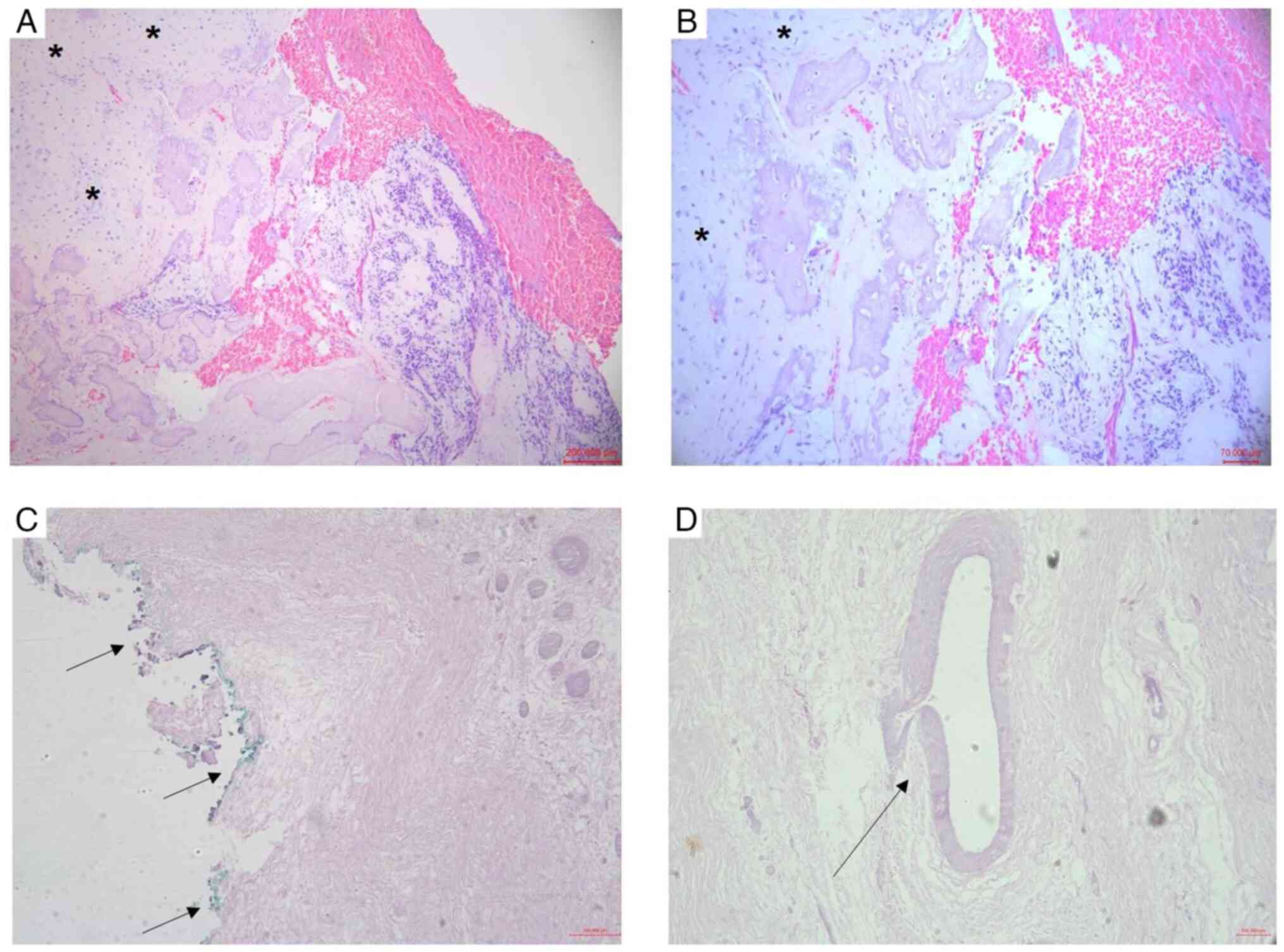
Osteosarcoma (OS) is the most common malignant bone tumor affecting adolescents and young adults and it usually occurs in the long bones of the extremities. The detection of cancer‑related genetic alterations has a growing effect in guiding diagnosis, prognosis and targeted therapies. However, little is known about the molecular aspects involved in the etiology and progression of OS, which limits options for targeted therapies. The present study described a case of an adolescent patient (16‑years‑old) who was diagnosed with conventional central OS in the right distal femur without the evidence of pulmonary metastases; the patient was treated with surgery and adjuvant chemotherapy. Genetic alterations in resected tumor tissue were investigated via next‑generation sequencing (NGS) technology using a targeted NGS panel. Sanger sequencing was also performed to investigate somatic and germline TP53 mutations (exons 4‑8). NGS analysis revealed an intratumor heterogeneity signature in OS tumor, including several single nucleotide variants identified in genes encoding tyrosine kinase proteins. No PCR products for TP53 exon 5 were detected in the tumor sample by PCR analysis prior to Sanger sequencing, suggesting a significant deletion in this exon. Sanger sequencing analysis revealed the missense variant TP53 c.712T>A (p.Cys238Ser) in tumor tissue sample, thus reinforcing the role of TP53 somatic mutations in OS development. Additionally, the TP53 c.215C>G (p.Pro72Arg) germline missense variant was identified in the peripheral blood sample. In conclusion, the findings provided new information on genetic aspects that may contribute to OS development, especially in pediatric patients.
View Figures

Figure 1

Figure 2

Figure 3

Figure 4

Figure 5

View References

1 

Lee JA, Lim J, Jin HY, Park M, Park HJ, Park JW, Kim JH, Kang HG and Won YJ: Osteosarcoma in adolescents and young adults. Cells. 10(2684)2021.PubMed/NCBI View Article : Google Scholar

2 

Ottaviani G and Jaffe N: The epidemiology of osteosarcoma. Cancer Treat Res. 152:3–13. 2009.PubMed/NCBI View Article : Google Scholar

3 

Siegel RL, Miller KD, Wagle NS and Jemal A: Cancer statistics, 2023. CA Cancer J Clin. 73:17–48. 2023.PubMed/NCBI View Article : Google Scholar

4 

Balach T, Stacy GS and Peabody TD: The clinical evaluation of bone tumors. Radiol Clin North Am. 49:1079–1093. 2011.PubMed/NCBI View Article : Google Scholar

5 

Carrle D and Bielack SS: Current strategies of chemotherapy in osteosarcoma. Int Orthop. 30:445–451. 2006.PubMed/NCBI View Article : Google Scholar

6 

Zoumpoulidou G, Alvarez-Mendoza C, Mancusi C, Ahmed RM, Denman M, Steele CD, Tarabichi M, Roy E, Davies LR, Manji J, et al: Therapeutic vulnerability to PARP1,2 inhibition in RB1-mutant osteosarcoma. Nat Commun. 12(7064)2021.PubMed/NCBI View Article : Google Scholar

7 

Astolfi A, Nannini M, Indio V, Schipani A, Rizzo A, Perrone AM, De Iaco P, Pirini MG, De Leo A, Urbini M, et al: Genomic database analysis of uterine leiomyosarcoma mutational profile. Cancers (Basel). 12(2126)2020.PubMed/NCBI View Article : Google Scholar

8 

Rizzo A, Pantaleo MA, Saponara M and Nannini M: Current status of the adjuvant therapy in uterine sarcoma: A literature review. World J Clin Cases. 7:1753–1763. 2019.PubMed/NCBI View Article : Google Scholar

9 

Rizzo A, Nannini M, Astolfi A, Indio V, De Iaco P, Perrone AM, De Leo A, Incorvaia L, Di Scioscio V and Pantaleo MA: Impact of chemotherapy in the adjuvant setting of early stage uterine leiomyosarcoma: A systematic review and updated meta-analysis. Cancers (Basel). 12(1899)2020.PubMed/NCBI View Article : Google Scholar

10 

Boye K, Longhi A, Guren T, Lorenz S, Næss S, Pierini M, Taksdal I, Lobmaier I, Cesari M, Paioli A, et al: Pembrolizumab in advanced osteosarcoma: Results of a single-arm, open-label, phase 2 trial. Cancer Immunol Immunother. 70:2617–2624. 2021.PubMed/NCBI View Article : Google Scholar

11 

Davis KL, Fox E, Merchant MS, Reid JM, Kudgus RA, Liu X, Minard CG, Voss S, Berg SL, Weigel BJ and Mackall CL: Nivolumab in children and young adults with relapsed or refractory solid tumours or lymphoma (ADVL1412): A multicentre, open-label, single-arm, phase 1-2 trial. Lancet Oncol. 21:541–550. 2020.PubMed/NCBI View Article : Google Scholar

12 

Monga V, Dodd R, Scherer A, Gutierrez WR, Tanas M, Mott SL and Milhem M: Phase Ib study of decitabine in combination with gemcitabine in treatment of advanced soft tissue and bone sarcomas. J Clin Oncol. 38:11550. 2020.

13 

Krishnadas DK, Shusterman S, Bai F, Diller L, Sullivan JE, Cheerva AC, George RE and Lucas KG: A phase I trial combining decitabine/dendritic cell vaccine targeting MAGE-A1, MAGE-A3 and NY-ESO-1 for children with relapsed or therapy-refractory neuroblastoma and sarcoma. Cancer Immunol Immunother. 64:1251–1260. 2015.PubMed/NCBI View Article : Google Scholar

14 

Chi SN, Yi JS, Williams PM, Roy-Chowdhuri S, Patton DR, Coffey BD, Reid JM, Piao J, Saguilig L, Alonzo TA, et al: Tazemetostat in patients with tumors with alterations in EZH2 or the SWI/SNF complex: Results from NCI-COG pediatric MATCH trial Arm C (APEC1621C). J Clin Oncol. 40 (16 Suppl)(10009)2022.

15 

Hanahan D: Hallmarks of cancer: New dimensions. Cancer Discov. 12:31–46. 2022.PubMed/NCBI View Article : Google Scholar

16 

Schwartzberg L, Kim ES, Liu D and Schrag D: Precision oncology: Who, how, what, when, and when not? Am Soc Clin Oncol Educ Book. 37:160–169. 2017.PubMed/NCBI View Article : Google Scholar

17 

Gagan J and Van Allen EM: Next-generation sequencing to guide cancer therapy. Genome Med. 7(80)2015.PubMed/NCBI View Article : Google Scholar

18 

Chen X, Bahrami A, Pappo A, Easton J, Dalton J, Hedlund E, Ellison D, Shurtleff S, Wu G, Wei L, et al: Recurrent somatic structural variations contribute to tumorigenesis in pediatric osteosarcoma. Cell Rep. 7:104–112. 2014.PubMed/NCBI View Article : Google Scholar

19 

Czarnecka AM, Synoradzki K, Firlej W, Bartnik E, Sobczuk P, Fiedorowicz M, Grieb P and Rutkowski P: Molecular biology of osteosarcoma. Cancers (Basel). 12(2130)2020.PubMed/NCBI View Article : Google Scholar

20 

Leite C, Delmonico L, Alves G, Gomes RJ, Martino MR, Silva AR, Moreira ADS, Maioli MC, Scherrer LR, Bastos EF, et al: Screening of mutations in the additional sex combs like 1, transcriptional regulator, tumor protein p53, and KRAS proto-oncogene, GTPase/NRAS proto-oncogene, GTPase genes of patients with myelodysplastic syndrome. Biomed Rep. 7:343–348. 2017.PubMed/NCBI View Article : Google Scholar

21 

Pestana RC, Groisberg R, Roszik J and Subbiah V: Precision oncology in sarcomas: Divide and conquer. JCO Precis Oncol. 3(PO.18.00247)2019.PubMed/NCBI View Article : Google Scholar

22 

Bousoik E and Aliabadi HM: ‘Do We Know Jack’ about JAK? A closer look at JAK/STAT signaling pathway. Front Oncol. 8(287)2018.PubMed/NCBI View Article : Google Scholar

23 

Hu X, Li J, Fu M, Zhao X and Wang W: The JAK/STAT signaling pathway: From bench to clinic. Signal Transduct Target Ther. 6(402)2021.PubMed/NCBI View Article : Google Scholar

24 

Albacker LA, Wu J, Smith P, Warmuth M, Stephens PJ, Zhu P, Yu L and Chmielecki J: Loss of function JAK1 mutations occur at high frequency in cancers with microsatellite instability and are suggestive of immune evasion. PLoS One. 12(e0176181)2017.PubMed/NCBI View Article : Google Scholar

25 

Carvalho TG, Carvalho AC, Maia DCC, Ogawa JK, Carvalho AL and Vettore AL: Search for mutations in signaling pathways in head and neck squamous cell carcinoma. Oncol Rep. 30:334–340. 2013.PubMed/NCBI View Article : Google Scholar

26 

Corte CMD, Viscardi G, Liello R, Fasano M, Martinelli E, Troiani T, Ciardiello F and Morgillo F: Role and targeting of anaplastic lymphoma kinase in cancer. Mol Cancer. 17(30)2018.PubMed/NCBI View Article : Google Scholar

27 

Ordulu Z, Giunta P, Hung WT, Hung YP, Simon J, Fintelmann FJ, Lennerz JK, Naxerova K and Cote GM: Sensitivity to ALK-directed therapy in osteosarcoma with an acquired ALK rearrangement. JCO Precis Oncol. 7(e2300287)2023.PubMed/NCBI View Article : Google Scholar

28 

Takeyasu Y, Okuma HS, Kojima Y, Nishikawa T, Tanioka M, Sudo K, Shimoi T, Noguchi E, Arakawa A, Mori T, et al: Impact of ALK inhibitors in patients with ALK-rearranged nonlung solid tumors. JCO Precis Oncol. 5(PO.20.00383)2021.PubMed/NCBI View Article : Google Scholar

29 

Pan ZW, Wang XJ, Chen T, Ding XW, Jiang X, Gao Y, Mo WJ, Huang Y, Lou CJ and Cao WM: Deleterious mutations in DNA repair gene FANCC exist in BRCA1/2-negative Chinese familial breast and/or ovarian cancer patients. Front Oncol. 9(169)2019.PubMed/NCBI View Article : Google Scholar

30 

Noguchi K, Ikawa Y, Takenaka M, Sakai Y, Fujiki T, Kuroda R, Ikeda H, Abe T, Sakai S and Wada T: Acquired L1196M ALK mutation in anaplastic lymphoma kinase-positive anaplastic large cell lymphoma during alectinib administration. EJHaem. 4:305–308. 2023.PubMed/NCBI View Article : Google Scholar

31 

Machlowska J, Kapusta P, Baj J, Morsink FHM, Wołkow P, Maciejewski R, Offerhaus GJA and Sitarz R: High-throughput sequencing of gastric cancer patients: Unravelling genetic predispositions towards an early-onset subtype. Cancers (Basel). 12(1981)2020.PubMed/NCBI View Article : Google Scholar

32 

Taher MM, Hassan AA, Saeed M, Jastania RA, Nageeti TH, Alkhalidi H, Dairi G, Abduljaleel Z, Athar M, Bouazzaoui A, et al: Next generation DNA sequencing of atypical choroid plexus papilloma of brain: Identification of novel mutations in a female patient by Ion Proton. Oncol Lett. 18:5063–5076. 2019.PubMed/NCBI View Article : Google Scholar

33 

Choi YL, Soda M, Yamashita Y, Ueno T, Takashima J, Nakajima T, Yatabe Y, Takeuchi K, Hamada T, Haruta H, et al: EML4-ALK mutations in lung cancer that confer resistance to ALK inhibitors. N Engl J Med. 363:1734–1739. 2010.PubMed/NCBI View Article : Google Scholar

34 

Doebele RC, Pilling AB, Aisner DL, Kutateladze TG, Le AT, Weickhardt AJ, Kondo KL, Linderman DJ, Heasley LE, Franklin WA, et al: Mechanisms of resistance to crizotinib in patients with ALK gene rearranged non-small cell lung cancer. Clin Cancer Res. 18:1472–1482. 2012.PubMed/NCBI View Article : Google Scholar

35 

Wegert J, Ishaque N, Vardapour R, Geörg C, Gu Z, Bieg M, Ziegler B, Bausenwein S, Nourkami N, Ludwig N, et al: Mutations in the SIX1/2 pathway and the DROSHA/DGCR8 miRNA microprocessor complex underlie high-risk blastemal type Wilms tumors. Cancer Cell. 27:298–311. 2015.PubMed/NCBI View Article : Google Scholar

36 

Dai S, Zhou Z, Chen Z, Xu G and Chen Y: Fibroblast growth factor receptors (FGFRs): Structures and small molecule inhibitors. Cells. 8(614)2019.PubMed/NCBI View Article : Google Scholar

37 

Su N, Jin M and Chen L: Role of FGF/FGFR signaling in skeletal development and homeostasis: Learning from mouse models. Bone Res. 2(14003)2014.PubMed/NCBI View Article : Google Scholar

38 

Barøy T, Chilamakuri CSR, Lorenz S, Sun J, Bruland ØS, Myklebost O and Meza-Zepeda LA: Genome analysis of osteosarcoma progression samples identifies FGFR1 overexpression as a potential treatment target and CHM as a candidate tumor suppressor gene. PLoS One. 11(e0163859)2016.PubMed/NCBI View Article : Google Scholar

39 

Brown LM, Ekert PG and Fleuren EDG: Biological and clinical implications of FGFR aberrations in paediatric and young adult cancers. Oncogene. 42:1875–1888. 2023.PubMed/NCBI View Article : Google Scholar

40 

Davis LE, Bolejack V, Ryan CW, Ganjoo KN, Loggers ET, Chawla S, Agulnik M, Livingston MB, Reed D, Keedy V, et al: Randomized double-blind phase II study of Regorafenib in patients with metastatic osteosarcoma. J Clin Oncol. 37:1424–1431. 2019.PubMed/NCBI View Article : Google Scholar

41 

Duffaud F, Mir O, Boudou-Rouquette P, Piperno-Neumann S, Penel N, Bompas E, Delcambre C, Kalbacher E, Italiano A, Collard O, et al: Efficacy and safety of regorafenib in adult patients with metastatic osteosarcoma: A non-comparative, randomised, double-blind, placebo-controlled, phase 2 study. Lancet Oncol. 20:120–133. 2019.PubMed/NCBI View Article : Google Scholar

42 

Du X, Xie Y, Xian CJ and Chen L: Role of FGFs/FGFRs in skeletal development and bone regeneration. J Cell Physiol. 227:3731–3743. 2012.PubMed/NCBI View Article : Google Scholar

43 

Xue Y, Sun A, Mekikian PB, Martin J, Rimoin DL, Lachman RS and Wilcox WR: FGFR3 mutation frequency in 324 cases from the international skeletal dysplasia registry. Mol Genet Genomic Med. 2:497–503. 2014.PubMed/NCBI View Article : Google Scholar

44 

Wen X, Li X, Tang Y, Tang J, Zhou S, Xie Y, Guo J, Yang J, Du X, Su N and Chen L: Chondrocyte FGFR3 regulates bone mass by inhibiting osteogenesis. J Biol Chem. 291:24912–24921. 2016.PubMed/NCBI View Article : Google Scholar

45 

Mansour H, Ouhajjou A, Bajic VB and Incitti R: Next-Generation sequencing at high sequencing depth as a tool to study the evolution of metastasis driven by genetic change events of lung squamous cell carcinoma. Front Oncol. 10(1215)2020.PubMed/NCBI View Article : Google Scholar

46 

Kassem NM, Kassem HA, Selim H and Hafez M: Targeted next generation sequencing provides insight for the genetic alterations in liquid biopsy of Egyptian brain tumor patients. Egypt J Med Hum Genet. 23(23)2022.

47 

Loriguet L, Morisse MC, Dremaux J, Collet L, Attencourt C, Coutte A, Boone M, Sevestre H, Galmiche A, Gubler B, et al: Combining genomic analyses with tumour-derived slice cultures for the characterization of an EGFR-activating kinase mutation in a case of glioblastoma. BMC Cancer. 18(964)2018.PubMed/NCBI View Article : Google Scholar

48 

Moazeni-Roodi A, Sarabandi S, Karami S, Hashemi M and Ghavami S: An updated meta-analysis of the association between fibroblast growth factor receptor 4 polymorphisms and susceptibility to cancer. Biosci Rep. 40(BSR20192051)2020.PubMed/NCBI View Article : Google Scholar

49 

Sun Y, Yue L, Xu P and Hu W: An overview of agents and treatments for PDGFRA-mutated gastrointestinal stromal tumors. Front Oncol. 12(927587)2022.PubMed/NCBI View Article : Google Scholar

50 

Velghe AI, Cauwenberghe SV, Polyansky AA, Chand D, Montano-Almendras CP, Charni S, Hallberg B, Essaghir A and Demoulin JB: PDGFRA alterations in cancer: Characterization of a gain-of-function V536E transmembrane mutant as well as loss-of-function and passenger mutations. Oncogene. 33:2568–2576. 2014.PubMed/NCBI View Article : Google Scholar

51 

Wagner AJ, Kindler H, Gelderblom H, Schöffski P, Bauer S, Hohenberger P, Kopp HG, Lopez-Martin JA, Peeters M, Reichardt P, et al: A phase II study of a human anti-PDGFRα monoclonal antibody (olaratumab, IMC-3G3) in previously treated patients with metastatic gastrointestinal stromal tumors. Ann Oncol. 28:541–546. 2017.PubMed/NCBI View Article : Google Scholar

52 

Armstrong AE, Walterhouse DO, Leavey PJ, Reichek J and Walz AL: Prolonged response to sorafenib in a patient with refractory metastatic osteosarcoma and a somatic PDGFRA D846V mutation. Pediatr Blood Cancer. 66(e27493)2019.PubMed/NCBI View Article : Google Scholar

53 

Guimarães GM, Tesser-Gamba F, Petrilli AS, Donato-Macedo CRP, Alves MTS, de Lima FT, Garcia-Filho RJ, Oliveira R and Toledo SRC: Molecular profiling of osteosarcoma in children and adolescents from different age groups using a next-generation sequencing panel. Cancer Genet. 258-259:85–92. 2021.PubMed/NCBI View Article : Google Scholar

54 

Jin R, Peng L, Shou J, Wang J, Jin Y, Liang F, Zhao J, Wu M, Li Q, Zhang B, et al: EGFR-Mutated squamous cell lung cancer and its association with outcomes. Front Oncol. 11(680804)2021.PubMed/NCBI View Article : Google Scholar

55 

Liu H, Zhang B and Sun Z: Spectrum of EGFR aberrations and potential clinical implications: Insights from integrative pan-cancer analysis. Cancer Commun (Lond). 40:43–59. 2020.PubMed/NCBI View Article : Google Scholar

56 

Nan X, Xie C, Yu X and Liu J: EGFR TKI as first-line treatment for patients with advanced EGFR mutation-positive non-small-cell lung cancer. Oncotarget. 8:75712–75726. 2017.PubMed/NCBI View Article : Google Scholar

57 

Geißler AL, Geißler M, Kottmann D, Lutz L, Fichter CD, Fritsch R, Weddeling B, Makowiec F, Werner M and Lassmann S: ATM mutations and E-cadherin expression define sensitivity to EGFR-targeted therapy in colorectal cancer. Oncotarget. 8:17164–17190. 2017.PubMed/NCBI View Article : Google Scholar

58 

Capalbo C, Belardinilli F, Filetti M, Parisi C, Petroni M, Colicchia V, Tessitore A, Santoni M, Coppa A, Giannini G and Marchetti P: Effective treatment of a platinum-resistant cutaneous squamous cell carcinoma case by EGFR pathway inhibition. Mol Clin Oncol. 9:30–34. 2018.PubMed/NCBI View Article : Google Scholar

59 

Verrienti A, Grani G, Sponziello M, Pecce V, Damante G, Durante C, Russo D and Filetti S: Precision oncology for RET-related tumors. Front Oncol. 12(992636)2022.PubMed/NCBI View Article : Google Scholar

60 

Kovac M, Woolley C, Ribi S, Blattmann C, Roth E, Morini M, Kovacova M, Ameline B, Kulozik A, Bielack S, et al: Germline RET variants underlie a subset of paediatric osteosarcoma. J Med Genet. 58:20–24. 2021.PubMed/NCBI View Article : Google Scholar

61 

Sklarz LM, Wittke C, Krohn S, GROßE-Thie C, Junghanss C, Escobar HM and Glaeser H: Genetic mutations in a patient with chronic myeloid leukemia showing blast crisis 10 years after presentation. Anticancer Res. 38:3961–3966. 2018.PubMed/NCBI View Article : Google Scholar

62 

Huang L, Guo Z, Wang F and Fu L: KRAS mutation: From undruggable to druggable in cancer. Signal Transduct Target Ther. 6(386)2021.PubMed/NCBI View Article : Google Scholar

63 

Chen C, Shi Q, Xu J, Ren T, Huang Y and Guo W: Current progress and open challenges for applying tyrosine kinase inhibitors in osteosarcoma. Cell Death Discov. 8(488)2022.PubMed/NCBI View Article : Google Scholar

64 

Tian Z, Niu X and Yao W: Receptor tyrosine kinases in osteosarcoma treatment: Which is the key target? Front Oncol. 10(1642)2020.PubMed/NCBI View Article : Google Scholar

65 

Borrero LJH and El-Deiry WS: Tumor suppressor p53: Biology, signaling pathways, and therapeutic targeting. Biochim Biophys Acta Rev Cancer. 1876(188556)2021.PubMed/NCBI View Article : Google Scholar

66 

Mirabello L, Yeager M, Mai PL, Gastier-Foster JM, Gorlick R, Khanna C, Patiño-Garcia A, Sierrasesúmaga L, Lecanda F, Andrulis IL, et al: Germline TP53 variants and susceptibility to osteosarcoma. J Natl Cancer Inst. 107(djv101)2015.PubMed/NCBI View Article : Google Scholar

67 

Hameed M and Mandelker D: Tumor syndromes predisposing to osteosarcoma. Adv Anat Pathol. 25:217–222. 2018.PubMed/NCBI View Article : Google Scholar

68 

Petitjean A, Mathe E, Kato S, Ishioka C, Tavtigian SV, Hainaut P and Olivier M: Impact of mutant p53 functional properties on TP53 mutation patterns and tumor phenotype: lessons from recent developments in the IARC TP53 database. Hum Mutat. 28:622–629. 2007.PubMed/NCBI View Article : Google Scholar

69 

Wunder JS, Gokgoz N, Parkes R, Bull SB, Eskandarian S, Davis AM, Beauchamp CP, Conrad EU, Grimer RJ, Healey JH, et al: TP53 mutations and outcome in osteosarcoma: a prospective, multicenter study. J Clin Oncol. 23:1483–1490. 2005.PubMed/NCBI View Article : Google Scholar

70 

Ribi S, Baumhoer D, Lee K, Edison Teo AS, Madan B, Zhang K, Kohlmann WK, Yao F, Lee WH, et al: TP53 intron 1 hotspot rearrangements are specific to sporadic osteosarcoma and can cause Li-Fraumeni syndrome. Oncotarget. 6:7727–7740. 2015.PubMed/NCBI View Article : Google Scholar

71 

Bousquet M, Noirot C, Accadbled F, de Gauzy JS, Castex MP, Brousset P and Gomez-Brouchet A: Whole-exome sequencing in osteosarcoma reveals important heterogeneity of genetic alterations. Ann Oncol. 27:738–744. 2016.PubMed/NCBI View Article : Google Scholar

72 

Balmaña J, Nomdedéu J, Díez O, Sabaté JM, Balil A, Pericay C, López JJ, Brunet J, Baiget M and Alonso C: Description of a new TP53 gene germline mutation in a family with the Li-Fraumeni syndrome. Genetic counselling to healthy mutation carriers. Med Clin (Barc). 119:497–499. 2002.PubMed/NCBI View Article : Google Scholar : (In Spanish).

73 

Haslam A, Kim MS and Prasad V: Updated estimates of eligibility for and response to genome-targeted oncology drugs among US cancer patients, 2006-2020. Ann Oncol. 32:926–932. 2021.PubMed/NCBI View Article : Google Scholar

Related Articles

  • Abstract
  • View
  • Download
  • Twitter
Copy and paste a formatted citation
Spandidos Publications style
Chantre‑Justino M, Silvestre RT, De Castro TL, Luz E, Pinheiro RD, Caruso A, Lopes AD, Meohas W, Alves G, Ornellas MF, Ornellas MF, et al: Genetic profiling of osteosarcoma in an adolescent using a next‑generation sequencing panel and Sanger sequencing: A case report and review of the literature. Biomed Rep 22: 42, 2025.
APA
Chantre‑Justino, M., Silvestre, R.T., De Castro, T.L., Luz, E., Pinheiro, R.D., Caruso, A. ... Ornellas, M.F. (2025). Genetic profiling of osteosarcoma in an adolescent using a next‑generation sequencing panel and Sanger sequencing: A case report and review of the literature. Biomedical Reports, 22, 42. https://doi.org/10.3892/br.2025.1920
MLA
Chantre‑Justino, M., Silvestre, R. T., De Castro, T. L., Luz, E., Pinheiro, R. D., Caruso, A., Lopes, A. D., Meohas, W., Alves, G., Ornellas, M. F."Genetic profiling of osteosarcoma in an adolescent using a next‑generation sequencing panel and Sanger sequencing: A case report and review of the literature". Biomedical Reports 22.3 (2025): 42.
Chicago
Chantre‑Justino, M., Silvestre, R. T., De Castro, T. L., Luz, E., Pinheiro, R. D., Caruso, A., Lopes, A. D., Meohas, W., Alves, G., Ornellas, M. F."Genetic profiling of osteosarcoma in an adolescent using a next‑generation sequencing panel and Sanger sequencing: A case report and review of the literature". Biomedical Reports 22, no. 3 (2025): 42. https://doi.org/10.3892/br.2025.1920
Copy and paste a formatted citation
x
Spandidos Publications style
Chantre‑Justino M, Silvestre RT, De Castro TL, Luz E, Pinheiro RD, Caruso A, Lopes AD, Meohas W, Alves G, Ornellas MF, Ornellas MF, et al: Genetic profiling of osteosarcoma in an adolescent using a next‑generation sequencing panel and Sanger sequencing: A case report and review of the literature. Biomed Rep 22: 42, 2025.
APA
Chantre‑Justino, M., Silvestre, R.T., De Castro, T.L., Luz, E., Pinheiro, R.D., Caruso, A. ... Ornellas, M.F. (2025). Genetic profiling of osteosarcoma in an adolescent using a next‑generation sequencing panel and Sanger sequencing: A case report and review of the literature. Biomedical Reports, 22, 42. https://doi.org/10.3892/br.2025.1920
MLA
Chantre‑Justino, M., Silvestre, R. T., De Castro, T. L., Luz, E., Pinheiro, R. D., Caruso, A., Lopes, A. D., Meohas, W., Alves, G., Ornellas, M. F."Genetic profiling of osteosarcoma in an adolescent using a next‑generation sequencing panel and Sanger sequencing: A case report and review of the literature". Biomedical Reports 22.3 (2025): 42.
Chicago
Chantre‑Justino, M., Silvestre, R. T., De Castro, T. L., Luz, E., Pinheiro, R. D., Caruso, A., Lopes, A. D., Meohas, W., Alves, G., Ornellas, M. F."Genetic profiling of osteosarcoma in an adolescent using a next‑generation sequencing panel and Sanger sequencing: A case report and review of the literature". Biomedical Reports 22, no. 3 (2025): 42. https://doi.org/10.3892/br.2025.1920
Follow us
  • Twitter
  • LinkedIn
  • Facebook
About
  • Spandidos Publications
  • Careers
  • Cookie Policy
  • Privacy Policy
How can we help?
  • Help
  • Live Chat
  • Contact
  • Email to our Support Team