Spandidos Publications Logo
  • About
    • About Spandidos
    • Aims and Scopes
    • Abstracting and Indexing
    • Editorial Policies
    • Reprints and Permissions
    • Job Opportunities
    • Terms and Conditions
    • Contact
  • Journals
    • All Journals
    • Oncology Letters
      • Oncology Letters
      • Information for Authors
      • Editorial Policies
      • Editorial Board
      • Aims and Scope
      • Abstracting and Indexing
      • Bibliographic Information
      • Archive
    • International Journal of Oncology
      • International Journal of Oncology
      • Information for Authors
      • Editorial Policies
      • Editorial Board
      • Aims and Scope
      • Abstracting and Indexing
      • Bibliographic Information
      • Archive
    • Molecular and Clinical Oncology
      • Molecular and Clinical Oncology
      • Information for Authors
      • Editorial Policies
      • Editorial Board
      • Aims and Scope
      • Abstracting and Indexing
      • Bibliographic Information
      • Archive
    • Experimental and Therapeutic Medicine
      • Experimental and Therapeutic Medicine
      • Information for Authors
      • Editorial Policies
      • Editorial Board
      • Aims and Scope
      • Abstracting and Indexing
      • Bibliographic Information
      • Archive
    • International Journal of Molecular Medicine
      • International Journal of Molecular Medicine
      • Information for Authors
      • Editorial Policies
      • Editorial Board
      • Aims and Scope
      • Abstracting and Indexing
      • Bibliographic Information
      • Archive
    • Biomedical Reports
      • Biomedical Reports
      • Information for Authors
      • Editorial Policies
      • Editorial Board
      • Aims and Scope
      • Abstracting and Indexing
      • Bibliographic Information
      • Archive
    • Oncology Reports
      • Oncology Reports
      • Information for Authors
      • Editorial Policies
      • Editorial Board
      • Aims and Scope
      • Abstracting and Indexing
      • Bibliographic Information
      • Archive
    • Molecular Medicine Reports
      • Molecular Medicine Reports
      • Information for Authors
      • Editorial Policies
      • Editorial Board
      • Aims and Scope
      • Abstracting and Indexing
      • Bibliographic Information
      • Archive
    • World Academy of Sciences Journal
      • World Academy of Sciences Journal
      • Information for Authors
      • Editorial Policies
      • Editorial Board
      • Aims and Scope
      • Abstracting and Indexing
      • Bibliographic Information
      • Archive
    • International Journal of Functional Nutrition
      • International Journal of Functional Nutrition
      • Information for Authors
      • Editorial Policies
      • Editorial Board
      • Aims and Scope
      • Abstracting and Indexing
      • Bibliographic Information
      • Archive
    • International Journal of Epigenetics
      • International Journal of Epigenetics
      • Information for Authors
      • Editorial Policies
      • Editorial Board
      • Aims and Scope
      • Abstracting and Indexing
      • Bibliographic Information
      • Archive
    • Medicine International
      • Medicine International
      • Information for Authors
      • Editorial Policies
      • Editorial Board
      • Aims and Scope
      • Abstracting and Indexing
      • Bibliographic Information
      • Archive
  • Articles
  • Information
    • Information for Authors
    • Information for Reviewers
    • Information for Librarians
    • Information for Advertisers
    • Conferences
  • Language Editing
Spandidos Publications Logo
  • About
    • About Spandidos
    • Aims and Scopes
    • Abstracting and Indexing
    • Editorial Policies
    • Reprints and Permissions
    • Job Opportunities
    • Terms and Conditions
    • Contact
  • Journals
    • All Journals
    • Biomedical Reports
      • Information for Authors
      • Editorial Policies
      • Editorial Board
      • Aims and Scope
      • Abstracting and Indexing
      • Bibliographic Information
      • Archive
    • Experimental and Therapeutic Medicine
      • Information for Authors
      • Editorial Policies
      • Editorial Board
      • Aims and Scope
      • Abstracting and Indexing
      • Bibliographic Information
      • Archive
    • International Journal of Epigenetics
      • Information for Authors
      • Editorial Policies
      • Editorial Board
      • Aims and Scope
      • Abstracting and Indexing
      • Bibliographic Information
      • Archive
    • International Journal of Functional Nutrition
      • Information for Authors
      • Editorial Policies
      • Editorial Board
      • Aims and Scope
      • Abstracting and Indexing
      • Bibliographic Information
      • Archive
    • International Journal of Molecular Medicine
      • Information for Authors
      • Editorial Policies
      • Editorial Board
      • Aims and Scope
      • Abstracting and Indexing
      • Bibliographic Information
      • Archive
    • International Journal of Oncology
      • Information for Authors
      • Editorial Policies
      • Editorial Board
      • Aims and Scope
      • Abstracting and Indexing
      • Bibliographic Information
      • Archive
    • Medicine International
      • Information for Authors
      • Editorial Policies
      • Editorial Board
      • Aims and Scope
      • Abstracting and Indexing
      • Bibliographic Information
      • Archive
    • Molecular and Clinical Oncology
      • Information for Authors
      • Editorial Policies
      • Editorial Board
      • Aims and Scope
      • Abstracting and Indexing
      • Bibliographic Information
      • Archive
    • Molecular Medicine Reports
      • Information for Authors
      • Editorial Policies
      • Editorial Board
      • Aims and Scope
      • Abstracting and Indexing
      • Bibliographic Information
      • Archive
    • Oncology Letters
      • Information for Authors
      • Editorial Policies
      • Editorial Board
      • Aims and Scope
      • Abstracting and Indexing
      • Bibliographic Information
      • Archive
    • Oncology Reports
      • Information for Authors
      • Editorial Policies
      • Editorial Board
      • Aims and Scope
      • Abstracting and Indexing
      • Bibliographic Information
      • Archive
    • World Academy of Sciences Journal
      • Information for Authors
      • Editorial Policies
      • Editorial Board
      • Aims and Scope
      • Abstracting and Indexing
      • Bibliographic Information
      • Archive
  • Articles
  • Information
    • For Authors
    • For Reviewers
    • For Librarians
    • For Advertisers
    • Conferences
  • Language Editing
Login Register Submit
  • This site uses cookies
  • You can change your cookie settings at any time by following the instructions in our Cookie Policy. To find out more, you may read our Privacy Policy.

    I agree
Search articles by DOI, keyword, author or affiliation
Search
Advanced Search
presentation
Biomedical Reports
Join Editorial Board Propose a Special Issue
Print ISSN: 2049-9434 Online ISSN: 2049-9442
Journal Cover
April-2025 Volume 22 Issue 4

Full Size Image

Sign up for eToc alerts
Recommend to Library

Journals

International Journal of Molecular Medicine

International Journal of Molecular Medicine

International Journal of Molecular Medicine is an international journal devoted to molecular mechanisms of human disease.

International Journal of Oncology

International Journal of Oncology

International Journal of Oncology is an international journal devoted to oncology research and cancer treatment.

Molecular Medicine Reports

Molecular Medicine Reports

Covers molecular medicine topics such as pharmacology, pathology, genetics, neuroscience, infectious diseases, molecular cardiology, and molecular surgery.

Oncology Reports

Oncology Reports

Oncology Reports is an international journal devoted to fundamental and applied research in Oncology.

Experimental and Therapeutic Medicine

Experimental and Therapeutic Medicine

Experimental and Therapeutic Medicine is an international journal devoted to laboratory and clinical medicine.

Oncology Letters

Oncology Letters

Oncology Letters is an international journal devoted to Experimental and Clinical Oncology.

Biomedical Reports

Biomedical Reports

Explores a wide range of biological and medical fields, including pharmacology, genetics, microbiology, neuroscience, and molecular cardiology.

Molecular and Clinical Oncology

Molecular and Clinical Oncology

International journal addressing all aspects of oncology research, from tumorigenesis and oncogenes to chemotherapy and metastasis.

World Academy of Sciences Journal

World Academy of Sciences Journal

Multidisciplinary open-access journal spanning biochemistry, genetics, neuroscience, environmental health, and synthetic biology.

International Journal of Functional Nutrition

International Journal of Functional Nutrition

Open-access journal combining biochemistry, pharmacology, immunology, and genetics to advance health through functional nutrition.

International Journal of Epigenetics

International Journal of Epigenetics

Publishes open-access research on using epigenetics to advance understanding and treatment of human disease.

Medicine International

Medicine International

An International Open Access Journal Devoted to General Medicine.

Journal Cover
April-2025 Volume 22 Issue 4

Full Size Image

Sign up for eToc alerts
Recommend to Library

  • Article
  • Citations
    • Cite This Article
    • Download Citation
    • Create Citation Alert
    • Remove Citation Alert
    • Cited By
  • Similar Articles
    • Related Articles (in Spandidos Publications)
    • Similar Articles (Google Scholar)
    • Similar Articles (PubMed)
  • Download PDF
  • Download XML
  • View XML
Case Report Open Access

Acute neurological regression following fever as presenting sign of pontocerebellar hypoplasia type 2D (SEPSECS mutation)

  • Authors:
    • Fabio Pettinato
    • Viviana Marzà
    • Fiorella Ciantia
    • Giorgia Romanello
    • Maria Donatella Cocuzza
    • Marco Fichera
    • Renata Rizzo
    • Rita Barone
  • View Affiliations / Copyright

    Affiliations: Child and Adolescent Neurology and Psychiatric Section, Azienda Ospedaliera Universitaria Policlinico ‘G.Rodolico‑San Marco’, Department of Clinical and Experimental Medicine, University of Catania, I-95124 Catania, Italy, Department of Biomedical and Biotechnological Sciences, Medical Genetics, University of Catania, I-95124 Catania, Italy
    Copyright: © Pettinato et al. This is an open access article distributed under the terms of Creative Commons Attribution License.
  • Article Number: 67
    |
    Published online on: February 14, 2025
       https://doi.org/10.3892/br.2025.1945
  • Expand metrics +
Metrics: Total Views: 0 (Spandidos Publications: | PMC Statistics: )
Metrics: Total PDF Downloads: 0 (Spandidos Publications: | PMC Statistics: )
Cited By (CrossRef): 0 citations Loading Articles...

This article is mentioned in:



Abstract

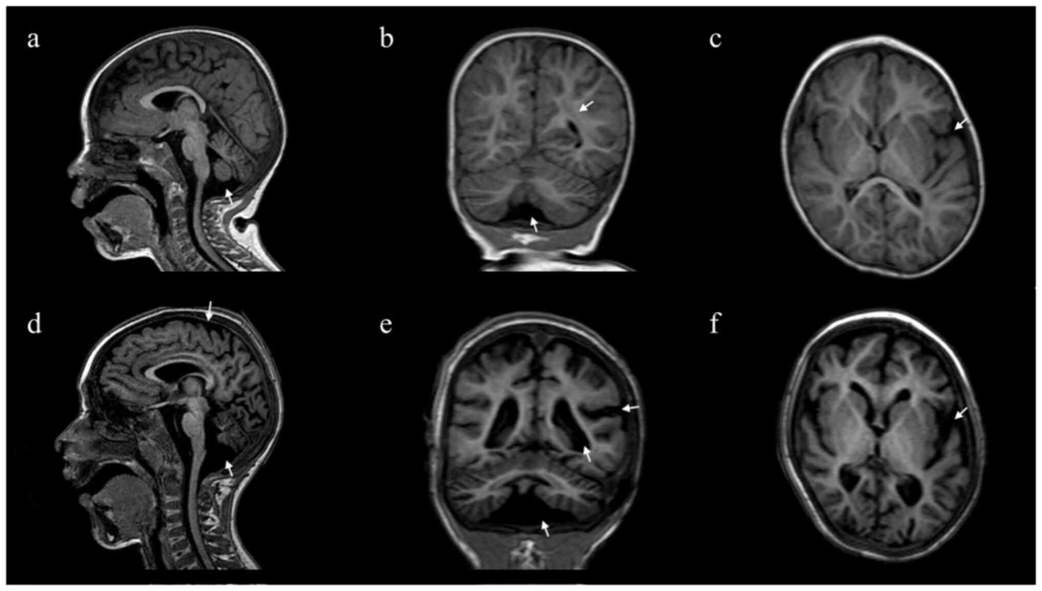
Pontocerebellar hypoplasia type 2D (PCH2D) is caused by mutations in the gene encoding O‑phosphoseryl‑tRNA:selenocysteinyl‑tRNA synthase (SEPSECS; chromosome 4p15.2). This is a key enzyme in the biosynthesis of selenoproteins, which act in maintaining antioxidant systems. To date, 26 patients with PCH2D have been reported, all with neurological involvement characterized by progressive pontocerebellar and cerebral atrophy. The present study reports on a patient with compound heterozygosity in the SEPSECS gene, including a novel missense variant, c.440G>A (p.Ser147Asn). The patient exhibited acute neurological regression following a vaccination‑related fever, which is reminiscent of primary mitochondrial disease. In addition, the patient displayed severe spastic tetraparesis, convergent strabismus and postnatal onset of microcephaly, as well as recurrent blood lactate elevation. Brain MRI showed multiple alterations in the peri/supraventricular and subcortical white matter and progressive pontocerebellar and cerebral atrophy. A review of the clinical spectrum associated with SEPSECS mutations was conducted and the first report on a patient with SEPSECS mutations of acute neurological regression following a catabolic stressor at the onset of PCH2D was provided. This study broadens the genetic background of PCH2D and associated PCH2D phenotype, supporting the causal link between selenoprotein biosynthesis deficiency and mitochondrial disorders.
View Figures

Figure 1

Figure 2

View References

1 

Ghasemi MR, Tehrani Fateh S, Moeinafshar A, Sadeghi H, Karimzadeh P, Mirfakhraie R, Rezaei M, Hashemi-Gorji F, Rezvani Kashani M, Fazeli Bavandpour F, et al: Broadening the phenotype and genotype spectrum of novel mutations in pontocerebellar hypoplasia with a comprehensive molecular literature review. BMC Med Genomics. 17(51)2024.PubMed/NCBI View Article : Google Scholar

2 

Wirth EK, Bharathi BS, Hatfield D, Conrad M, Brielmeier M and Schweizer U: Cerebellar hypoplasia in mice lacking selenoprotein biosynthesis in neurons. Biol Trace Elem Res. 158:203–210. 2014.PubMed/NCBI View Article : Google Scholar

3 

Bellinger FP, Raman AV, Reeves MA and Berry MJ: Regulation and function of selenoproteins in human disease. Biochem J. 422:11–22. 2009.PubMed/NCBI View Article : Google Scholar

4 

Ben-Zeev B, Hoffman C, Lev D, Watemberg N, Malinger G, Brand N and Lerman-Sagie T: Progressive cerebellocerebral atrophy: A new syndrome with microcephaly, mental retardation, and spastic quadriplegia. J Med Genet. 40(e96)2003.PubMed/NCBI View Article : Google Scholar

5 

Agamy O, Ben Zeev B, Lev D, Marcus B, Fine D, Su D, Narkis G, Ofir R, Hoffmann C, Leshinsky-Silver E, et al: Mutations disrupting selenocysteine formation cause progressive cerebello-cerebral atrophy. Am J Hum Genet. 87:538–544. 2010.PubMed/NCBI View Article : Google Scholar

6 

Makrythanasis P, Nelis M, Santoni FA, Guipponi M, Vannier A, Béna F, Gimelli S, Stathaki E, Temtamy S, Mégarbané A, et al: Diagnostic exome sequencing to elucidate the genetic basis of likely recessive disorders in consanguineous families. Hum Mutat. 35:1203–1210. 2014.PubMed/NCBI View Article : Google Scholar

7 

Alazami AM, Patel N, Shamseldin HE, Anazi S, Al-Dosari MS, Alzahrani F, Hijazi H, Alshammari M, Aldahmesh MA, Salih MA, et al: Accelerating novel candidate gene discovery in neurogenetic disorders via whole-exome sequencing of prescreened multiplex consanguineous families. Cell Rep. 10:148–161. 2015.PubMed/NCBI View Article : Google Scholar

8 

Anttonen AK, Hilander T, Linnankivi T, Isohanni P, French RL, Liu Y, Simonović M, Söll D, Somer M, Muth-Pawlak D, et al: Selenoprotein biosynthesis defect causes progressive encephalopathy with elevated lactate. Neurology. 85:306–315. 2015.PubMed/NCBI View Article : Google Scholar

9 

Zhu X, Petrovski S, Xie P, Ruzzo EK, Lu YF, McSweeney KM, Ben-Zeev B, Nissenkorn A, Anikster Y, Oz-Levi D, et al: Whole-exome sequencing in undiagnosed genetic diseases: Interpreting 119 trios. Genet Med. 17:774–781. 2015.PubMed/NCBI View Article : Google Scholar

10 

Iwama K, Sasaki M, Hirabayashi S, Ohba C, Iwabuchi E, Miyatake S, Nakashima M, Miyake N, Ito S, Saitsu H and Matsumoto N: Milder progressive cerebellar atrophy caused by biallelic SEPSECS mutations. J Hum Genet. 61:527–531. 2016.PubMed/NCBI View Article : Google Scholar

11 

Pavlidou E, Salpietro V, Phadke R, Hargreaves IP, Batten L, McElreavy K, Pitt M, Mankad K, Wilson C, Cutrupi MC, et al: Pontocerebellar hypoplasia type 2D and optic nerve atrophy further expand the spectrum associated with selenoprotein biosynthesis deficiency. Eur J Paediatr Neurol. 20:483–438. 2016.PubMed/NCBI View Article : Google Scholar

12 

Olson HE, Kelly M, LaCoursiere CM, Pinsky R, Tambunan D, Shain C, Ramgopal S, Takeoka M, Libenson MH, Julich K, et al: Genetics and genotype-phenotype correlations in early onset epileptic encephalopathy with burst suppression. Ann Neurol. 81:419–429. 2017.PubMed/NCBI View Article : Google Scholar

13 

van Dijk T, Vermeij JD, van Koningsbruggen S, Lakeman P, Baas F and Poll-The BT: A SEPSECS mutation in a 23-year-old woman with microcephaly and progressive cerebellar ataxia. J Inherit Metab Dis. 41:897–898. 2018.PubMed/NCBI View Article : Google Scholar

14 

Hengel H, Buchert R, Sturm M, Haack TB, Schelling Y, Mahajnah M, Sharkia R, Azem A, Balousha G, Ghanem Z, et al: First-line exome sequencing in Palestinian and Israeli Arabs with neurological disorders is efficient and facilitates disease gene discovery. Eur J Hum Genet. 28:1034–1043. 2020.PubMed/NCBI View Article : Google Scholar

15 

Arrudi-Moreno M, Fernández-Gómez A and Peña-Segura JL: A new mutation in the SEPSECS gene related to pontocerebellar hypoplasia type 2D. Med Clin (Barc). 156:94–95. 2021.PubMed/NCBI View Article : Google Scholar : (In English, Spanish).

16 

Nicita F, Travaglini L, Bombelli F, Tosi M, Pro S, Bertini E and D'Amico A: Novel SEPSECS pathogenic variants featuring unusual phenotype of complex movement disorder with thin corpus callosum: A case report. Neurol Genet. 8(e661)2021.PubMed/NCBI View Article : Google Scholar

17 

Martínez-Martín Á, García-García J, Díaz-Maroto Cicuéndez I, Quintanilla-Mata ML and Segura T: Bringing light into the darkness: Autosomal recessive cerebellar ataxia due to a recessive mutation in the SEPSECS gene. Neurologia (Engl Ed). 37:709–710. 2022.PubMed/NCBI View Article : Google Scholar

18 

Ramadesikan S, Hickey S, De Los Reyes E, Patel AD, Franklin SJ, Brennan P, Crist E, Lee K, White P, McBride KL, et al: Biallelic SEPSECS variants in two siblings with pontocerebellar hypoplasia type 2D underscore the relevance of splice-disrupting synonymous variants in disease. Cold Spring Harb Mol Case Stud. 8(a006165)2022.PubMed/NCBI View Article : Google Scholar

19 

Rong T, Yao R, Deng Y, Lin Q, Wang G, Wang J, Jiang F and Jiang Y: Case Report: A relatively mild phenotype produced by novel mutations in the SEPSECS Gene. Front Pediatr. 9(805575)2022.PubMed/NCBI View Article : Google Scholar

20 

Schlüter A, Rodríguez-Palmero A, Verdura E, Vélez-Santamaría V, Ruiz M, Fourcade S, Planas-Serra L, Martínez JJ, Guilera C, Girós M, et al: Diagnosis of Genetic White Matter Disorders by Singleton Whole-Exome and Genome Sequencing Using Interactome-Driven Prioritization. Neurology. 98:e912–e923. 2022.PubMed/NCBI View Article : Google Scholar

21 

Zhao R, Zhang L and Lu H: Analysis of the Clinical Features and Imaging Findings of Pontocerebellar Hypoplasia Type 2D Caused by Mutations in SEPSECS Gene. Cerebellum. 22:938–946. 2023.PubMed/NCBI View Article : Google Scholar

22 

Barone R, Alaimo S, Messina M, Pulvirenti A and Bastin J: MIMIC-Autism Group. Ferro A, Frye RE and Rizzo R: A Subset of Patients With Autism Spectrum Disorders Show a Distinctive Metabolic Profile by Dried Blood Spot Analyses. Front Psychiatry. 9(636)2018.PubMed/NCBI View Article : Google Scholar

23 

Barone R, Carchon H, Jansen E, Pavone L, Fiumara A, Bosshard NU, Gitzelmann R and Jaeken J: Lysosomal enzyme activities in serum and leukocytes from patients with carbohydrate-deficient glycoprotein syndrome type IA (phosphomannomutase deficiency). J Inherit Metab Dis. 21:167–172. 1998.PubMed/NCBI View Article : Google Scholar

24 

Richards S, Aziz N, Bale S, Bick D, Das S, Gastier-Foster J, Grody WW, Hegde M, Lyon E, Spector E, et al: ACMG Laboratory Quality Assurance Committee. Standards and guidelines for the interpretation of sequence variants: A joint consensus recommendation of the American College of Medical Genetics and Genomics and the Association for Molecular Pathology. Genet Med. 17:405–424. 2015.PubMed/NCBI View Article : Google Scholar

25 

Mailloux RJ, Jin X and Willmore WG: Redox regulation of mitochondrial function with emphasis on cysteine oxidation reactions. Redox Biol. 2:123–139. 2013.PubMed/NCBI View Article : Google Scholar

26 

Puppala AK, French RL, Matthies D, Baxa U, Subramaniam S and Simonović M: Structural basis for early-onset neurological disorders caused by mutations in human selenocysteine synthase. Sci Rep. 6(32563)2016.PubMed/NCBI View Article : Google Scholar

27 

Muraresku CC, McCormick EM and Falk MJ: Mitochondrial Disease: Advances in clinical diagnosis, management, therapeutic development, and preventative strategies. Curr Genet Med Rep. 6:62–72. 2018.PubMed/NCBI View Article : Google Scholar

28 

Ferreira GC and McKenna MC: L-Carnitine and Acetyl-L-carnitine Roles and Neuroprotection in Developing Brain. Neurochem Res. 42:1661–1675. 2017.PubMed/NCBI View Article : Google Scholar

Related Articles

  • Abstract
  • View
  • Download
  • Twitter
Copy and paste a formatted citation
Spandidos Publications style
Pettinato F, Marzà V, Ciantia F, Romanello G, Cocuzza MD, Fichera M, Rizzo R and Barone R: Acute neurological regression following fever as presenting sign of pontocerebellar hypoplasia type 2D (<em>SEPSECS</em> mutation). Biomed Rep 22: 67, 2025.
APA
Pettinato, F., Marzà, V., Ciantia, F., Romanello, G., Cocuzza, M.D., Fichera, M. ... Barone, R. (2025). Acute neurological regression following fever as presenting sign of pontocerebellar hypoplasia type 2D (<em>SEPSECS</em> mutation). Biomedical Reports, 22, 67. https://doi.org/10.3892/br.2025.1945
MLA
Pettinato, F., Marzà, V., Ciantia, F., Romanello, G., Cocuzza, M. D., Fichera, M., Rizzo, R., Barone, R."Acute neurological regression following fever as presenting sign of pontocerebellar hypoplasia type 2D (<em>SEPSECS</em> mutation)". Biomedical Reports 22.4 (2025): 67.
Chicago
Pettinato, F., Marzà, V., Ciantia, F., Romanello, G., Cocuzza, M. D., Fichera, M., Rizzo, R., Barone, R."Acute neurological regression following fever as presenting sign of pontocerebellar hypoplasia type 2D (<em>SEPSECS</em> mutation)". Biomedical Reports 22, no. 4 (2025): 67. https://doi.org/10.3892/br.2025.1945
Copy and paste a formatted citation
x
Spandidos Publications style
Pettinato F, Marzà V, Ciantia F, Romanello G, Cocuzza MD, Fichera M, Rizzo R and Barone R: Acute neurological regression following fever as presenting sign of pontocerebellar hypoplasia type 2D (<em>SEPSECS</em> mutation). Biomed Rep 22: 67, 2025.
APA
Pettinato, F., Marzà, V., Ciantia, F., Romanello, G., Cocuzza, M.D., Fichera, M. ... Barone, R. (2025). Acute neurological regression following fever as presenting sign of pontocerebellar hypoplasia type 2D (<em>SEPSECS</em> mutation). Biomedical Reports, 22, 67. https://doi.org/10.3892/br.2025.1945
MLA
Pettinato, F., Marzà, V., Ciantia, F., Romanello, G., Cocuzza, M. D., Fichera, M., Rizzo, R., Barone, R."Acute neurological regression following fever as presenting sign of pontocerebellar hypoplasia type 2D (<em>SEPSECS</em> mutation)". Biomedical Reports 22.4 (2025): 67.
Chicago
Pettinato, F., Marzà, V., Ciantia, F., Romanello, G., Cocuzza, M. D., Fichera, M., Rizzo, R., Barone, R."Acute neurological regression following fever as presenting sign of pontocerebellar hypoplasia type 2D (<em>SEPSECS</em> mutation)". Biomedical Reports 22, no. 4 (2025): 67. https://doi.org/10.3892/br.2025.1945
Follow us
  • Twitter
  • LinkedIn
  • Facebook
About
  • Spandidos Publications
  • Careers
  • Cookie Policy
  • Privacy Policy
How can we help?
  • Help
  • Live Chat
  • Contact
  • Email to our Support Team