Spandidos Publications Logo
  • About
    • About Spandidos
    • Aims and Scopes
    • Abstracting and Indexing
    • Editorial Policies
    • Reprints and Permissions
    • Job Opportunities
    • Terms and Conditions
    • Contact
  • Journals
    • All Journals
    • Oncology Letters
      • Oncology Letters
      • Information for Authors
      • Editorial Policies
      • Editorial Board
      • Aims and Scope
      • Abstracting and Indexing
      • Bibliographic Information
      • Archive
    • International Journal of Oncology
      • International Journal of Oncology
      • Information for Authors
      • Editorial Policies
      • Editorial Board
      • Aims and Scope
      • Abstracting and Indexing
      • Bibliographic Information
      • Archive
    • Molecular and Clinical Oncology
      • Molecular and Clinical Oncology
      • Information for Authors
      • Editorial Policies
      • Editorial Board
      • Aims and Scope
      • Abstracting and Indexing
      • Bibliographic Information
      • Archive
    • Experimental and Therapeutic Medicine
      • Experimental and Therapeutic Medicine
      • Information for Authors
      • Editorial Policies
      • Editorial Board
      • Aims and Scope
      • Abstracting and Indexing
      • Bibliographic Information
      • Archive
    • International Journal of Molecular Medicine
      • International Journal of Molecular Medicine
      • Information for Authors
      • Editorial Policies
      • Editorial Board
      • Aims and Scope
      • Abstracting and Indexing
      • Bibliographic Information
      • Archive
    • Biomedical Reports
      • Biomedical Reports
      • Information for Authors
      • Editorial Policies
      • Editorial Board
      • Aims and Scope
      • Abstracting and Indexing
      • Bibliographic Information
      • Archive
    • Oncology Reports
      • Oncology Reports
      • Information for Authors
      • Editorial Policies
      • Editorial Board
      • Aims and Scope
      • Abstracting and Indexing
      • Bibliographic Information
      • Archive
    • Molecular Medicine Reports
      • Molecular Medicine Reports
      • Information for Authors
      • Editorial Policies
      • Editorial Board
      • Aims and Scope
      • Abstracting and Indexing
      • Bibliographic Information
      • Archive
    • World Academy of Sciences Journal
      • World Academy of Sciences Journal
      • Information for Authors
      • Editorial Policies
      • Editorial Board
      • Aims and Scope
      • Abstracting and Indexing
      • Bibliographic Information
      • Archive
    • International Journal of Functional Nutrition
      • International Journal of Functional Nutrition
      • Information for Authors
      • Editorial Policies
      • Editorial Board
      • Aims and Scope
      • Abstracting and Indexing
      • Bibliographic Information
      • Archive
    • International Journal of Epigenetics
      • International Journal of Epigenetics
      • Information for Authors
      • Editorial Policies
      • Editorial Board
      • Aims and Scope
      • Abstracting and Indexing
      • Bibliographic Information
      • Archive
    • Medicine International
      • Medicine International
      • Information for Authors
      • Editorial Policies
      • Editorial Board
      • Aims and Scope
      • Abstracting and Indexing
      • Bibliographic Information
      • Archive
  • Articles
  • Information
    • Information for Authors
    • Information for Reviewers
    • Information for Librarians
    • Information for Advertisers
    • Conferences
  • Language Editing
Spandidos Publications Logo
  • About
    • About Spandidos
    • Aims and Scopes
    • Abstracting and Indexing
    • Editorial Policies
    • Reprints and Permissions
    • Job Opportunities
    • Terms and Conditions
    • Contact
  • Journals
    • All Journals
    • Biomedical Reports
      • Information for Authors
      • Editorial Policies
      • Editorial Board
      • Aims and Scope
      • Abstracting and Indexing
      • Bibliographic Information
      • Archive
    • Experimental and Therapeutic Medicine
      • Information for Authors
      • Editorial Policies
      • Editorial Board
      • Aims and Scope
      • Abstracting and Indexing
      • Bibliographic Information
      • Archive
    • International Journal of Epigenetics
      • Information for Authors
      • Editorial Policies
      • Editorial Board
      • Aims and Scope
      • Abstracting and Indexing
      • Bibliographic Information
      • Archive
    • International Journal of Functional Nutrition
      • Information for Authors
      • Editorial Policies
      • Editorial Board
      • Aims and Scope
      • Abstracting and Indexing
      • Bibliographic Information
      • Archive
    • International Journal of Molecular Medicine
      • Information for Authors
      • Editorial Policies
      • Editorial Board
      • Aims and Scope
      • Abstracting and Indexing
      • Bibliographic Information
      • Archive
    • International Journal of Oncology
      • Information for Authors
      • Editorial Policies
      • Editorial Board
      • Aims and Scope
      • Abstracting and Indexing
      • Bibliographic Information
      • Archive
    • Medicine International
      • Information for Authors
      • Editorial Policies
      • Editorial Board
      • Aims and Scope
      • Abstracting and Indexing
      • Bibliographic Information
      • Archive
    • Molecular and Clinical Oncology
      • Information for Authors
      • Editorial Policies
      • Editorial Board
      • Aims and Scope
      • Abstracting and Indexing
      • Bibliographic Information
      • Archive
    • Molecular Medicine Reports
      • Information for Authors
      • Editorial Policies
      • Editorial Board
      • Aims and Scope
      • Abstracting and Indexing
      • Bibliographic Information
      • Archive
    • Oncology Letters
      • Information for Authors
      • Editorial Policies
      • Editorial Board
      • Aims and Scope
      • Abstracting and Indexing
      • Bibliographic Information
      • Archive
    • Oncology Reports
      • Information for Authors
      • Editorial Policies
      • Editorial Board
      • Aims and Scope
      • Abstracting and Indexing
      • Bibliographic Information
      • Archive
    • World Academy of Sciences Journal
      • Information for Authors
      • Editorial Policies
      • Editorial Board
      • Aims and Scope
      • Abstracting and Indexing
      • Bibliographic Information
      • Archive
  • Articles
  • Information
    • For Authors
    • For Reviewers
    • For Librarians
    • For Advertisers
    • Conferences
  • Language Editing
Login Register Submit
  • This site uses cookies
  • You can change your cookie settings at any time by following the instructions in our Cookie Policy. To find out more, you may read our Privacy Policy.

    I agree
Search articles by DOI, keyword, author or affiliation
Search
Advanced Search
presentation
Biomedical Reports
Join Editorial Board Propose a Special Issue
Print ISSN: 2049-9434 Online ISSN: 2049-9442
Journal Cover
April-2025 Volume 22 Issue 4

Full Size Image

Sign up for eToc alerts
Recommend to Library

Journals

International Journal of Molecular Medicine

International Journal of Molecular Medicine

International Journal of Molecular Medicine is an international journal devoted to molecular mechanisms of human disease.

International Journal of Oncology

International Journal of Oncology

International Journal of Oncology is an international journal devoted to oncology research and cancer treatment.

Molecular Medicine Reports

Molecular Medicine Reports

Covers molecular medicine topics such as pharmacology, pathology, genetics, neuroscience, infectious diseases, molecular cardiology, and molecular surgery.

Oncology Reports

Oncology Reports

Oncology Reports is an international journal devoted to fundamental and applied research in Oncology.

Experimental and Therapeutic Medicine

Experimental and Therapeutic Medicine

Experimental and Therapeutic Medicine is an international journal devoted to laboratory and clinical medicine.

Oncology Letters

Oncology Letters

Oncology Letters is an international journal devoted to Experimental and Clinical Oncology.

Biomedical Reports

Biomedical Reports

Explores a wide range of biological and medical fields, including pharmacology, genetics, microbiology, neuroscience, and molecular cardiology.

Molecular and Clinical Oncology

Molecular and Clinical Oncology

International journal addressing all aspects of oncology research, from tumorigenesis and oncogenes to chemotherapy and metastasis.

World Academy of Sciences Journal

World Academy of Sciences Journal

Multidisciplinary open-access journal spanning biochemistry, genetics, neuroscience, environmental health, and synthetic biology.

International Journal of Functional Nutrition

International Journal of Functional Nutrition

Open-access journal combining biochemistry, pharmacology, immunology, and genetics to advance health through functional nutrition.

International Journal of Epigenetics

International Journal of Epigenetics

Publishes open-access research on using epigenetics to advance understanding and treatment of human disease.

Medicine International

Medicine International

An International Open Access Journal Devoted to General Medicine.

Journal Cover
April-2025 Volume 22 Issue 4

Full Size Image

Sign up for eToc alerts
Recommend to Library

  • Article
  • Citations
    • Cite This Article
    • Download Citation
    • Create Citation Alert
    • Remove Citation Alert
    • Cited By
  • Similar Articles
    • Related Articles (in Spandidos Publications)
    • Similar Articles (Google Scholar)
    • Similar Articles (PubMed)
  • Download PDF
  • Download XML
  • View XML

  • Supplementary Files
    • Supplementary_Data.pdf
Case Report Open Access

Salivary gland secretory carcinoma with an ETV6::RET fusion: A case report

  • Authors:
    • Arisu Ishihara
    • Hiroko Kuwabara
    • Emi Yasuda
    • Tsuyoshi Jinnin
    • Masaaki Higashino
    • Toshitaka Nagao
    • Shin-Ichi Haginomori
    • Yoshinobu Hirose
  • View Affiliations / Copyright

    Affiliations: Department of Pathology, Osaka Medical and Pharmaceutical University, Takatsuki, Osaka 569‑8686, Japan, Department of Otorhinolaryngology, Head and Neck Surgery, Osaka Medical and Pharmaceutical University, Takatsuki, Osaka 569‑8686, Japan, Department of Pathology, Tokyo Medical University, Tokyo 160‑8402, Japan
    Copyright: © Ishihara et al. This is an open access article distributed under the terms of Creative Commons Attribution License.
  • Article Number: 73
    |
    Published online on: February 21, 2025
       https://doi.org/10.3892/br.2025.1951
  • Expand metrics +
Metrics: Total Views: 0 (Spandidos Publications: | PMC Statistics: )
Metrics: Total PDF Downloads: 0 (Spandidos Publications: | PMC Statistics: )
Cited By (CrossRef): 0 citations Loading Articles...

This article is mentioned in:



Abstract

The present study reports the case of a 25‑year‑old male patient with salivary gland secretory carcinoma (SC) with the ETV6::RET gene fusion. The patient presented with a left parotid mass and was treated using a superficial parotidectomy. Histological analysis of the tumor demonstrated a combination of cystic, follicular and trabecular patterns in cells, with eosinophilic secretions and a vacuolated cytoplasm. Tumor cells exhibited infiltrative growth into muscle and nerve tissues, accompanied by central stromal hyalinized sclerosis. Immunohistochemically, the tumor cells were positive for S‑100, mammaglobin and GATA binding protein 3, and negative for DOG1. The results of the present case demonstrated that the patient possessed SC with the ETV6::RET gene fusion. Following the operation, the patient underwent radiotherapy, leading to a disease‑free state at the last follow‑up at 1 year and 3 months following surgery. A comprehensive review of 21 SC cases with this gene fusion, including the case reported in the present study, demonstrated that invasive growth, neural and lymphovascular invasion and hyalinized sclerosis were frequently seen on histology, and 11 cases (52%) exhibited advanced‑stage disease (>T3 or M1). Thus, salivary gland SC with an ETV6::RET fusion may show infiltrative growth and may be more aggressive compared with salivary gland SC with an ETV6::NTRK3 fusion, which is often associated with an indolent clinical course. Therefore, confirmation of the genetic profile of SC is crucial for the prediction of patient prognosis and administration of an effective therapeutic course.

Introduction

Salivary gland secretory carcinoma (SC), previously referred to as mammary analogue SC, is comparable with breast SC and is typically immunopositive for the S100 protein and mammaglobin (1). The majority of SC cases (>90%) exhibit translocation t(12;15)(p13;q25), resulting in the ETV6::NTRK3 gene fusion. The gene ETS variant 6 (ETV6) located on the short arm of chromosome 12 encodes an ETS-domain transcription factor and the neurotrophic tyrosine kinase receptor 3 (NTRK3) located on the long arm of chromosome 5 encodes tropomyosin receptor kinase C (TRKC). In tumors with an ETV6-NTRK3 fusion, the helix-loop-helix protein dimerization domain of ETV6 is fused with the kinase domain of TRKC, resulting in constitutive activation of mitogen-activated protein kinase and phosphorylating pathways and potent oncogenic transformation (2). Notably, a small number of cases (2-5%) exhibit ETV6 rearrangement with non-NTRK3 partners (ETV6::X fusions), including rearranged during transfection (RET), MET and mastermind like transcriptional coactivator 3 (3,4). RET is a single-pass receptor tyrosine kinase, and RET fusions, which are oncogenic drivers in certain tumor types, result in cell proliferation and survival (5). In salivary glands, SC with an ETV6::NTRK3 fusion typically presents as circumscribed, cystic lesions with low-grade features, leading to a favorable clinical outcome in patients (1,6). In individuals with the ETV6-X fusion, infiltrative growth and aggressiveness of the tumor are observed (7,8). High-grade transformation (HGT), which is associated with aggressive clinical behaviour, such as cervical lymph node or distant metastasis, is rarely seen in salivary gland SC (6). ETV6::RET translocation is prone to occur in the HGT SC, compared with the conventional ETV6::NTRK3(9). These findings suggest that the prognosis of patients with SC varies depending on the fusion partner with ETV6. Of note, in acute myeloid leukemia (AML), ETV6::AML1 fusions are associated with favorable patient outcomes, and homeobox HB9::ETV6 fusions are associated with poor patient outcomes (10).

The recommended treatment for SC ranges from simple excision to radical resection (1), and for patients with SC presenting with locally advanced, recurrent or metastatic disease, precision medical treatment is required. The administration of NTRK inhibitors shows a favorable response in SC with ETV6::NTRK3 (11,12), while SC with ETV6::RET shows no response to the drug and RET kinase inhibitors may be a promising treatment option (13). Taken together, the confirmation of the ETV6-partner gene is essential for predicting the prognosis and selecting an appropriate therapeutic course for SC. The present study reported a case of salivary gland SC with an ETV6::RET fusion and aimed to review comparable cases to further elucidate the clinicopathological features of this disease.

Case report

Case presentation

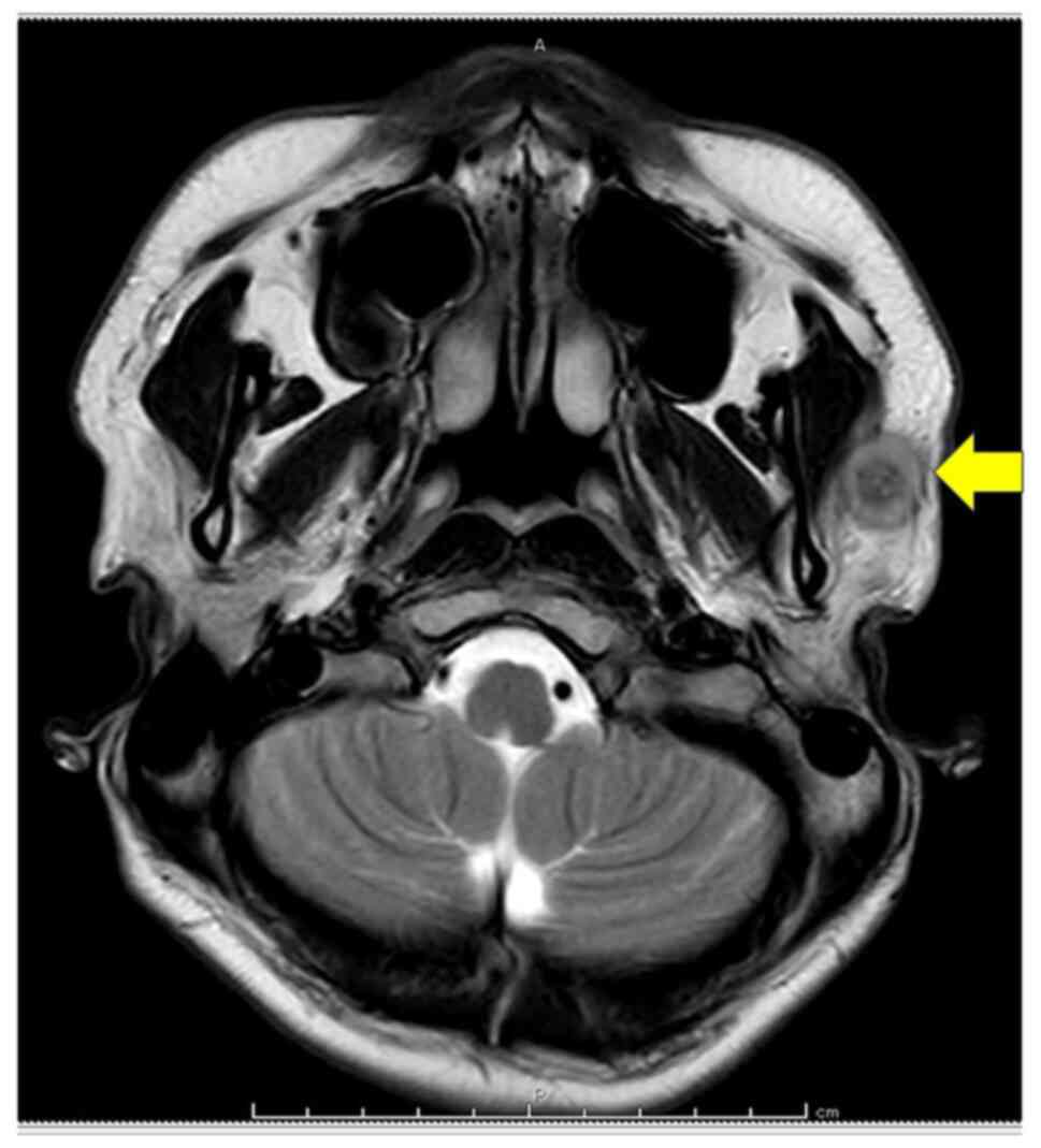
A 25-year-old male patient presented to Osaka Medical and Pharmaceutical University Hospital (Osaka, Japan) in June 2023 with symptoms of pain and firm left preauricular nodules that had persisted for six months. Magnetic resonance imaging of the neck showed a mass in the lower portion of the left parotid gland (Fig. 1). Following superficial parotidectomy and radiotherapy, no medication was administered and semiannual follow-up was continued. The patient has remained asymptomatic for one year and three months.

Figure 1

T2-weighted MRI showing a mass in the left parotid gland, indicated using an arrow.

Pathology

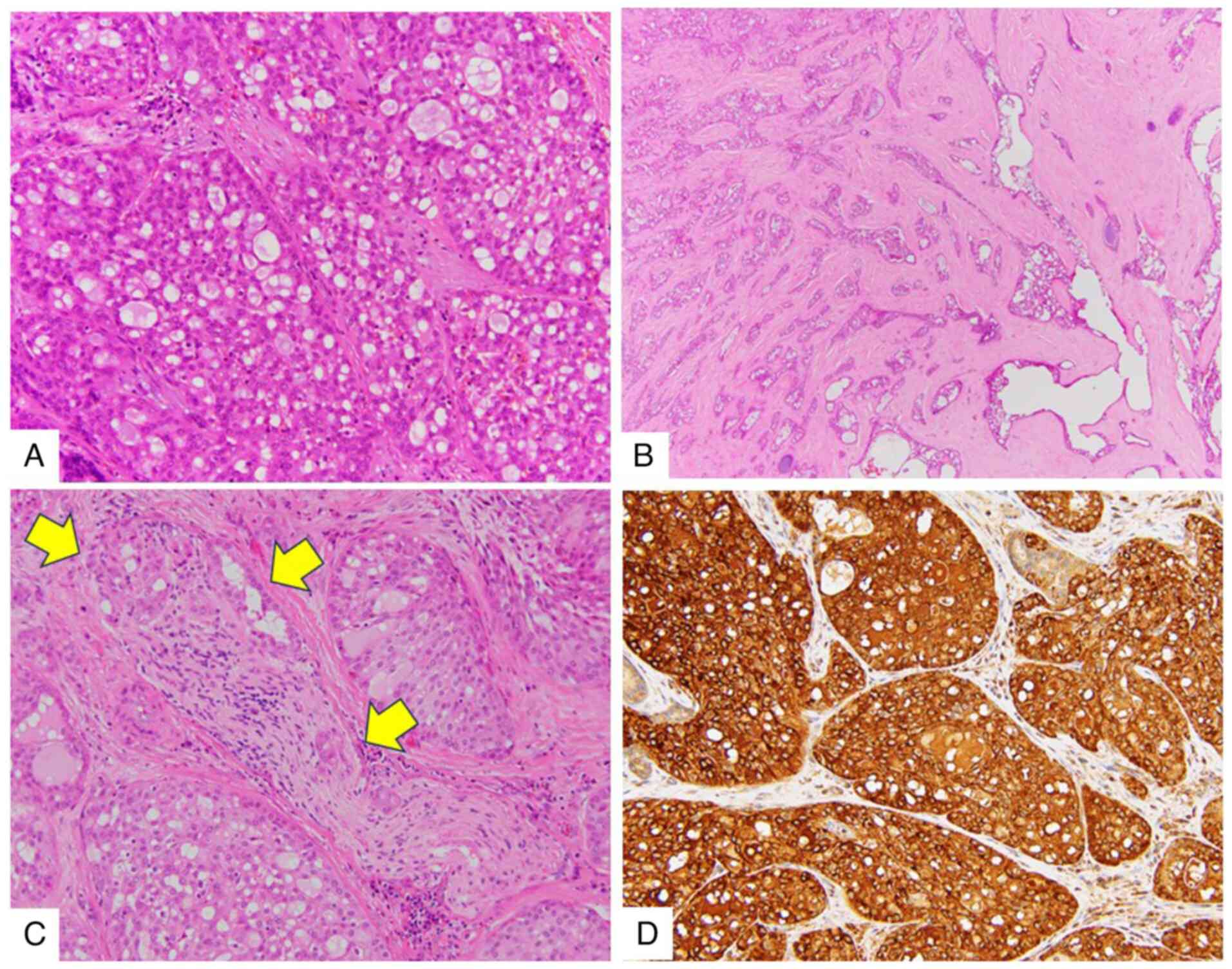
Macroscopic examination showed a firm, solid tumor measuring 1.8 cm, which was ill-defined and without encapsulation. The tissue was fixed in 10% neutral buffered formalin overnight at room temperature (RT) and embedded in paraffin wax for H&E and immunohistochemical staining. Sections of 4 µm thickness from the paraffin block were dewaxed and rehydrated, and they were stained with hematoxylin for 5 min and eosin for 1 min at RT. The stained sections were examined under a light microscope (BX53; Olympus Corp.). Histological analysis showed a lobulated growth pattern, characterized by microcystic and follicular structures with colloid-like secretions. In addition, eosinophilic and occasionally vacuolated cytoplasm were observed (Fig. 2A). Nuclei were oval to round with a single nucleolus, demonstrating mild pleomorphism. There was no evidence of mitotic figures or necrosis. Central tumor regions showed macrocystic and trabecular structures in a prominent hyalinized sclerotic stroma (Fig. 2B). Tumor infiltration extended into surrounding connective tissue, muscle and nerve (Fig. 2C). For immunohistochemical analysis, an automated immunostaining device, the VENTANA BenchMark ULTRA (Roche Tissue Diagnostics) was used, and the procedures including antigen retrieval, blocking, washing and detection using secondary antibodies followed the manufacturer's instructions. In brief, before staining, to block endogenous peroxidases, the immunohistochemistry device-dedicated reagent (UltraView DAB Universal; Roche Tissue Diagnostics) was used. In the deparaffinization process, EZ prep (Roche Tissue Diagnostics) was used. The stained sections were observed under a light microscope (BX53; Olympus Corp.). Immunohistochemistry showed that tumor cells were positive for S100 protein (cat. no. 518-110109) (Fig. S1A), mammaglobin (cat. no. 518-111380) (Fig. 2D) and GATA binding protein 3 (cat. no. 518-111953) (Fig. S1B). The tumor cells were negative for DOG1 (cat. no. 518-110789). The Ki-67 (cat. no. 518-102456) labelling index was maximally 8% (Fig. S1C). All antibodies were from Roche Tissue Diagnostics and prediluted.

Figure 2

Pathological and immunohistochemical findings of the left parotid gland tumor. (A) Microcystic and follicular structures with colloid-like secretions (H&E; magnification, x100). (B) Macrocystic and trabecular structures in the prominent fibrosclerotic stroma (H&E; magnification, x40). (C) Neural invasion indicated by arrows (H&E; magnification, x200). (D) Mammaglobin-positive tumor cells (magnification, x100).

Molecular genetic analysis

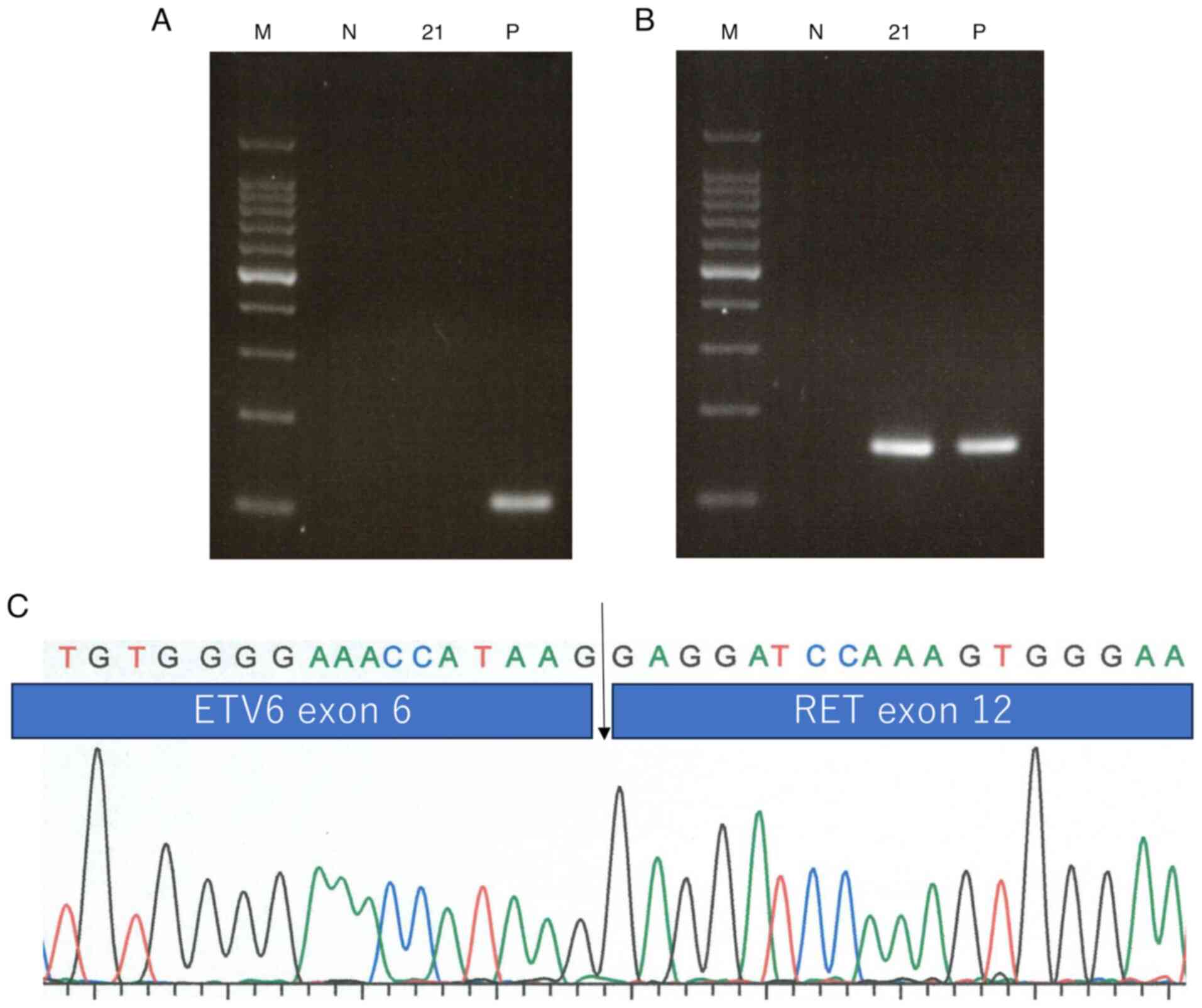
Reverse transcription (RT)-PCR was performed using paraffin-embedded tissue. Total RNA was extracted and the cDNA samples were then subjected to PCR as previously described (1,3). The primer sequences are shown in Table I. The RT-PCR results demonstrated the presence of ETV6::RET fusion and the absence of an ETV6::NTRK3 fusion (Fig. 3A and B). The ETV6::RET fusion was confirmed following direct sequencing of the PCR fragment using a Big Dye Terminator Sequence kit (Applied Biosystems; Thermo Fisher Scientific, Inc.) (Fig. 3C). The analysis was performed according to the manufacturer's instructions.

Figure 3

RT-PCR determining the expression of (A) ETV6::NTRK3 and (B) ETV6::RET fusion transcripts. 21, present case; M, marker; N, negative amplification control; P, positive amplification control. (C) Sequence analysis of the ETV6::RET fusion transcript. The black arrow indicates the area of fusion. ETV6, ETS variant 6; NTRK3, neurotrophic tyrosine kinase receptor 3; RET, rearranged during transfection.

Table I

Sequences of primers for PCR.

Table I

Sequences of primers for PCR.

ETV6::NTRK3
Forward 5'-ACCACATCATGGTCTCTGTCTC CC-3'
Reverse5'-CAGTTCTCGCTTCAGCAC GATG-3'
ETV6::RET
Forward 5'-CGATGGGAGGACAAAGAATC-3'
Reverse 5'-GACCACTTTTCCAAATTCGCC-3'

[i] ETV6, ETS variant 6; NTRK3, neurotrophic tyrosine kinase receptor 3; RET, rearranged during transfection.

Literature review

Literature analysis was performed using PubMed database (https://pubmed.ncbi.nlm.nih.gov/) using the key words ‘secretory carcinoma’, ‘salivary gland’ and ‘ETV6-RET’. In total, 21 SC cases with ETV6::RET fusion were reviewed, including the case reported in the present study. Clinical and pathological characteristics of these cases are detailed in Table II (3,4,9,14-17). The median patient age at diagnosis was 40 years (range, 14-77 years), with a higher number of cases reported in male patients (male/female, 15:6). Tumors primarily affected the parotid gland (14 cases), submandibular glands (6 cases) and lip (1 case), and tumor sizes averaged 29.0 mm (range, 12-70 mm). Regarding the TNM classification, 3 cases of T1, 2 cases of T2, 8 cases of T3 and 1 case of T4 were included, and lymph node and distant metastases were observed in 3 and 2 cases, respectively. Lymphovascular and neural invasions were seen in 6 and 6 cases, respectively, and 8 cases presented with hyalinized sclerotic stroma.

Table II

Secretory carcinoma with ETV6::RET fusion.

Table II

Secretory carcinoma with ETV6::RET fusion.

Case no.Age/sexLocationTumor size, mmTNMMeta-stasisLymphova scular invasionNeural invasionPeripheral invasionCapsuleThick fibrous septumHyalinized sclerosisCystHGTNecrosisFollow-upOutcome(Refs.)
150/MLip15NANANANANANA-----NANA(3)
229/MParotid23pT3pN1M0Lymph node++Extraglandular,-+++---4y6moAlive, NED(3)
331/MSubmandibular30pT3pN0M0--+muscle--++++---4yAlive, NED(3)
477/FSubmandibular70pT3N0M0----focal++---3yDOC(3)
551/MParotid10pT3N0M0--+--++++--+8moAlive, NED(3)
620/FParotid40pT3N0M0---Extraglandular-++---NANA(3)
755/MParotid70pT3N0M1Bone++Perivascular-+++-+2yDOD(3)
828/FParotid12pT1N0M0---Intraglandular-++---2yAlive, NED(3)
933/MParotid17pT1pN0----+--+--3y9moAlive, NED(3)
1034/MParotid19pT2N0M0----+-----4y2moAlive, NED(3)
1142/MParotid29pT3pN0M0-+-MuscleNANANANA-NA4yAlive, NED(4)
1268/MSubmandibular15NANA---NANANANA-NA21yRecurrence(4)
1354/FParotid30M1Lung, bone, pleural+effusion+--NANANANA-NA<1yDOD(4)
1418/MParotid20pT1NANA--NANANA+--9moAlive, NED(14)
1520/MSubmandibular21pT2pN0----+--+--1yAlive, NED(15)
1614/FSubmandibular21NANANANA-NANANA--NA1y6moAlive, NED(16)
1734/FParotid21T4aN1M0NA+NAInfiltrativeNANANA+-NA4moAlive, NED(17)
1862/MParotid42pN1M1lung++NANANANANA++72moMultiple recurrence(9)
1946/MParotid30pN0M0---NANANANANA++12moAlive, NED(9)
2051/MSubmandibular55pN0M0---NANANANANA++40moAlive, NED(9)
2125/MParotid18pT3N0M0--+Muscle-+++---1y3moAlive, NEDPresent case

[i] M, male; F, female; NA, not available; NED, no evidence of disease; DOC, dead of other causes; DOD, dead of disease; HGT, high-grade transformation; y, year; mo, months.

Discussion

Salivary gland tumors exhibit certain characteristic gene abnormalities, including point mutations and fusions. The majority of salivary gland SC possess the ETV6::NTRK3 fusion, characterized by circumscribed lesions with a cystic component, low-grade features and favorable clinical outcomes (1,6). Cases of SC harboring the ETV6::non-NTRK3 (ETV6::X) fusion, which is morphologically and immunohistochemically typical for SC, have been previously reported. SC with an ETV6::X fusion shows a histology of marked stromal fibrosis and invasive features of perineural or vascular tumor involvement, and one of these previously reported cases showed regional lymph node metastasis (7). SC with ETV6::RET fusion demonstrates three histological growth patterns (3). The first is well-circumscribed and surrounded by a thick, focally uninterrupted fibrous capsule. The second is a solid and microcystic growth with a multilobular structure divided by thin fibrous septa, lacking a capsule or only partially encapsulated with prominent infiltrating borders. The third is a prominent hyalinized sclerotic stroma in the center of the tumor. The present case demonstrated the combination of the latter two patterns. Recently, a 3-tiered grading system of salivary gland SC, namely Grade (G)1, G2 and G3, was proposed (18). This grading system associates high-grade tumors with a solid architecture, more prominent hyalinization, infiltrative tumor borders, nuclear pleomorphism, the presence of perineural and/or lymphovascular invasion and a Ki-67 proliferative index of >30%, and a high grade is associated with an unfavorable prognosis. The present case exhibited the aforementioned features; however, the Ki-67 index was relatively low, aligning with G2. A review of patients with ETV6::RET fusion SC (Table II) showed that 52% of cases included T3 tumors (tumors >4 cm and/or with extraparenchymal extension) or distant metastasis, and ETV6::RET fusion SC may be characterized by advanced tumor stage and high grade, revealing invasive growth, neural and/or lymphovascular invasion and hyalinized sclerosis.

Both NTRK3 and RET, as ETV6 fusion partners, induce constitutively active chimeric tyrosine kinases. NTRK inhibitors, such as entrectinib and larotrectinib, are considered effective treatment options, leading to favorable responses in patients with ETV6::NTRK3 fusion-positive SC (11,12). Of note, NTRK fusions are more frequently associated with microsatellite instability-high cancers compared with RET fusions (19), meaning that patients with NTRK fusion may benefit from immune checkpoint inhibitor therapy. Conversely, RET fusions occur in 1-2% of cases of non-small cell lung cancer, and in ~20% of cases of papillary thyroid cancer and thyroid medullary carcinoma. In addition, inhibitors of RET receptor tyrosine kinase, such as selpercatinib and pralsetinib, demonstrated efficacy in RET fusion-positive solid tumors other than lung or thyroid tumors (13). These aforementioned therapeutic responses were also observed in salivary gland tumors, including salivary duct carcinoma, regardless of the tumor type or RET fusion partner (13).

In conclusion, salivary gland SC with ETV6::RET fusion may be associated with advanced tumor stage and a high histological grade, exhibiting invasive growth, neural and/or lymphovascular invasion and stromal hyalinized sclerosis. Detection of the ETV6 fusion partner is crucial for the prediction of patient prognosis and the selection of an appropriate therapy.

Supplementary Material

Immunohistochemical findings of the left parotid gland tumor. (A) S-100-positive tumors cells; (B) GATA binding protein 3-positive tumor cells; (C) Ki-67 immunostaining (Ki-67 labelling index was maximally 8%) (magnification, x100).

Acknowledgements

Not applicable.

Funding

Funding: No funding was received.

Availability of data and materials

The data generated in the present study may be requested from the corresponding author.

Authors' contributions

AI collected and analyzed data. HK, EY, TN and YH designed the study and evaluated the pathological findings. TJ, MH and SH contributed to clinical data acquisition and interpretation. HK wrote the manuscript. All authors have read and approved the final manuscript. HK and EY confirm the authenticity of all the raw data.

Ethics approval and consent to participate

Not applicable.

Patient consent for publication

Written informed consent was obtained from the patient for the publication of this case report, including medical information and images.

Competing interests

The authors declare that they have no competing interests.

References

1 

Skálová A, Vanecek T, Sima R, Laco J, Weinreb I, Peres-Ordonez B, Starek I, Geierova M, Simpson RHW, Passador-Santos F, et al: Mammary analogue secretory carcinoma of salivary glands, containing the ETV6-NTRK3 fusion gene: A hitherto undescribed salivary gland tumor entity. Am J Surg Pathol. 34:599–608. 2010.PubMed/NCBI View Article : Google Scholar

2 

Cocco E, Scaltriti M and Drilon A: NTRK fusion-positive cancers and TRK inhibitor therapy. Nat Rev Clin Oncol. 15:731–747. 2018.PubMed/NCBI View Article : Google Scholar

3 

Skalova A, Vanecek T, Martinek P, Weinreb I, Stevens TM, Simpson RHW, Hyrcza M, Rupp NJ, Baneckova M, Michal M Jr, et al: Molecular profiling of mammary analog secretory carcinoma revealed a subset of tumors harboring a novel ETV6-RET translocation. Report of 10 cases. Am J Surg Pathol. 42:234–246. 2018.PubMed/NCBI View Article : Google Scholar

4 

Guilmette J, Dias-Santagata D, Nose V, Lennerz JK and Sadow PM: Novel gene fusions in secretory carcinoma of the salivary glands: Enlarging the ETV6 family. Hum Pathol. 83:50–58. 2019.PubMed/NCBI View Article : Google Scholar

5 

Drilon A, Hu ZI, Lai GGY and Tan DSW: Targeting RET-driven cancers: Lessons from evolving preclinical and clinical landscapes. Nat Rev Clin Oncol. 15:151–167. 2018.PubMed/NCBI View Article : Google Scholar

6 

Skalova A, Bishop JA, Kholova I and Urano M: Secretory carcinoma. In: WHO Classification of Tumours. 5th edition. International Agency for Research on Cancer, Lyon, pp210-212, 2024.

7 

Ito Y, Ishibashi K, Masaki A, Fujii K, Fujiyoshi Y, Hattori H, Kawakita D, Matsumoto M, Miyabe S, Shimozato K, et al: Mammary analogue secretory carcinoma of salivary glands: A clinicopathologic and molecular study including 2 cases harboring ETV6-X fusion. Am J Surg Pathol. 39:602–610. 2015.PubMed/NCBI View Article : Google Scholar

8 

Skálová A, Vanecek T, Simpson RHW, Laco J, Majewska H, Baneckova M, Steiner P and Michal M: Mammary analogue secretory carcinoma of salivary glands. Molecular analysis of 25 ETV6 gene rearranged tumors with lack of detection of classical ETV6-NTRK3 fusion transcript by standard RT-PCR: Report of 4 cases harboring ETV6-X gene fusion. AmJ Surg Pathol. 40:3–13. 2016.PubMed/NCBI View Article : Google Scholar

9 

Wang Y, Sun J, Sun B, Zhang C, Tian Z, Wang L and Li J: The genetic and immune features of salivary gland secretory carcinoma with high-grade transformation. Oral Dis. 30:4320–4330. 2024.PubMed/NCBI View Article : Google Scholar

10 

von Bergh ARM, van Drunen E, van Wering ER, van Zutven LJCM, Hainmann I, Lönnerholm G, Meijerink JP, Pieters R and Beverloo HB: High incidence of t(7;12)(q36;p13) in infant AML but not in infant ALL, with a dismal outcome and ectopic expression of HLXB9. Genes Chromosomes Cancer. 45:731–739. 2006.PubMed/NCBI View Article : Google Scholar

11 

Yokota T, Yukino H, Doi M and Ohori H: Real-world experience of tropomyosin receptor kinase inhibition with entrectinib in ETV6-NTRK3 positive metastatic salivary secretory carcinoma: A case series. Head Neck. 45:E10–E15. 2023.PubMed/NCBI View Article : Google Scholar

12 

Moriyama E, Nagasu S, Tanaka T, Shimotsuura Y, Ono T, Umeno H, Akiba J, Kawahara A, Fujita F, Kawaguchi T and Miwa K: Case report: A case of complete response to entrectinib in NTRK fusion gene-positive parotid gland cancer. Front Oncol. 13(1247435)2023.PubMed/NCBI View Article : Google Scholar

13 

Subbiah V, Cassier PA, Siena S, Garralda E, Paz-Ares L, Garrido P, Nadal E, Vuky J, Lopes G, Kalemkerian GP, et al: Pan-cancer efficacy of pralsetinib in patients with RET fusion-positive solid tumors from the phase 1/2 ARROW trial. Nat Med. 28:1640–1645. 2022.PubMed/NCBI View Article : Google Scholar

14 

Black M, Liu CZ, Onozato M, Iafrate AJ, Darvishian F, Jour G and Cotzia P: Concurrent identification of novel EGFR-SEPT14 fusion and ETV6-RET fusion in secretory carcinoma of the salivary gland. Head Neck Pathol. 14:817–821. 2020.PubMed/NCBI View Article : Google Scholar

15 

Smith ME, Surrey LF, Zhang PJ, Weinstein GS and LiVolsi VA: Molecular identification of an ETV6-RET fusion in a secretory carcinoma associated with a pleomorphic adenoma. Oral Surg Oral Med Oral Pathol Oral Radiol. 134:733–738. 2022.PubMed/NCBI View Article : Google Scholar

16 

Salgado CM, Alaggio R, Reyes-Mugica M, Zin A and de Vito R: Clinicopathologic and molecular characterization of four cases of pediatric salivary secretory carcinoma (SSC), one with ETV6-RET fusion. Head Neck Pathol. 15:796–802. 2021.PubMed/NCBI View Article : Google Scholar

17 

Su YJ, Lee YH, Jin YT and Hsieh MS: Using pan-TRK and RET immunohistochemistry for the detection of fusion types of salivary gland secretory carcinoma. Appl Immunohistochem Mol Morphol. 30:264–272. 2022.PubMed/NCBI View Article : Google Scholar

18 

Baněčková M, Thompson LDR, Hyrcza MD, Vaněček T, Agaimy A, Laco J, Simpson RHW, Di Palma S, Stevens TM, Brcic L, et al: Salivary gland secretory carcinoma: Clinicopathologic and genetic characteristics of 215 cases and proposal for a grading system. Am J Surg Pathol. 47:661–677. 2023.PubMed/NCBI View Article : Google Scholar

19 

Wang J, Li R, Li J, Yi Y, Liu X, Chen J, Zhang H, Lu J, Li C, Wu H and Liang Z: Comprehensive analysis of oncogenic fusions in mismatch repair deficient colorectal carcinomas by sequential DNA and RNA next generation sequencing. J Transl Med. 19(433)2021.PubMed/NCBI View Article : Google Scholar

Related Articles

  • Abstract
  • View
  • Download
  • Twitter
Copy and paste a formatted citation
Spandidos Publications style
Ishihara A, Kuwabara H, Yasuda E, Jinnin T, Higashino M, Nagao T, Haginomori S and Hirose Y: Salivary gland secretory carcinoma with an ETV6::RET fusion: A case report. Biomed Rep 22: 73, 2025.
APA
Ishihara, A., Kuwabara, H., Yasuda, E., Jinnin, T., Higashino, M., Nagao, T. ... Hirose, Y. (2025). Salivary gland secretory carcinoma with an ETV6::RET fusion: A case report. Biomedical Reports, 22, 73. https://doi.org/10.3892/br.2025.1951
MLA
Ishihara, A., Kuwabara, H., Yasuda, E., Jinnin, T., Higashino, M., Nagao, T., Haginomori, S., Hirose, Y."Salivary gland secretory carcinoma with an ETV6::RET fusion: A case report". Biomedical Reports 22.4 (2025): 73.
Chicago
Ishihara, A., Kuwabara, H., Yasuda, E., Jinnin, T., Higashino, M., Nagao, T., Haginomori, S., Hirose, Y."Salivary gland secretory carcinoma with an ETV6::RET fusion: A case report". Biomedical Reports 22, no. 4 (2025): 73. https://doi.org/10.3892/br.2025.1951
Copy and paste a formatted citation
x
Spandidos Publications style
Ishihara A, Kuwabara H, Yasuda E, Jinnin T, Higashino M, Nagao T, Haginomori S and Hirose Y: Salivary gland secretory carcinoma with an ETV6::RET fusion: A case report. Biomed Rep 22: 73, 2025.
APA
Ishihara, A., Kuwabara, H., Yasuda, E., Jinnin, T., Higashino, M., Nagao, T. ... Hirose, Y. (2025). Salivary gland secretory carcinoma with an ETV6::RET fusion: A case report. Biomedical Reports, 22, 73. https://doi.org/10.3892/br.2025.1951
MLA
Ishihara, A., Kuwabara, H., Yasuda, E., Jinnin, T., Higashino, M., Nagao, T., Haginomori, S., Hirose, Y."Salivary gland secretory carcinoma with an ETV6::RET fusion: A case report". Biomedical Reports 22.4 (2025): 73.
Chicago
Ishihara, A., Kuwabara, H., Yasuda, E., Jinnin, T., Higashino, M., Nagao, T., Haginomori, S., Hirose, Y."Salivary gland secretory carcinoma with an ETV6::RET fusion: A case report". Biomedical Reports 22, no. 4 (2025): 73. https://doi.org/10.3892/br.2025.1951
Follow us
  • Twitter
  • LinkedIn
  • Facebook
About
  • Spandidos Publications
  • Careers
  • Cookie Policy
  • Privacy Policy
How can we help?
  • Help
  • Live Chat
  • Contact
  • Email to our Support Team