Spandidos Publications Logo
  • About
    • About Spandidos
    • Aims and Scopes
    • Abstracting and Indexing
    • Editorial Policies
    • Reprints and Permissions
    • Job Opportunities
    • Terms and Conditions
    • Contact
  • Journals
    • All Journals
    • Oncology Letters
      • Oncology Letters
      • Information for Authors
      • Editorial Policies
      • Editorial Board
      • Aims and Scope
      • Abstracting and Indexing
      • Bibliographic Information
      • Archive
    • International Journal of Oncology
      • International Journal of Oncology
      • Information for Authors
      • Editorial Policies
      • Editorial Board
      • Aims and Scope
      • Abstracting and Indexing
      • Bibliographic Information
      • Archive
    • Molecular and Clinical Oncology
      • Molecular and Clinical Oncology
      • Information for Authors
      • Editorial Policies
      • Editorial Board
      • Aims and Scope
      • Abstracting and Indexing
      • Bibliographic Information
      • Archive
    • Experimental and Therapeutic Medicine
      • Experimental and Therapeutic Medicine
      • Information for Authors
      • Editorial Policies
      • Editorial Board
      • Aims and Scope
      • Abstracting and Indexing
      • Bibliographic Information
      • Archive
    • International Journal of Molecular Medicine
      • International Journal of Molecular Medicine
      • Information for Authors
      • Editorial Policies
      • Editorial Board
      • Aims and Scope
      • Abstracting and Indexing
      • Bibliographic Information
      • Archive
    • Biomedical Reports
      • Biomedical Reports
      • Information for Authors
      • Editorial Policies
      • Editorial Board
      • Aims and Scope
      • Abstracting and Indexing
      • Bibliographic Information
      • Archive
    • Oncology Reports
      • Oncology Reports
      • Information for Authors
      • Editorial Policies
      • Editorial Board
      • Aims and Scope
      • Abstracting and Indexing
      • Bibliographic Information
      • Archive
    • Molecular Medicine Reports
      • Molecular Medicine Reports
      • Information for Authors
      • Editorial Policies
      • Editorial Board
      • Aims and Scope
      • Abstracting and Indexing
      • Bibliographic Information
      • Archive
    • World Academy of Sciences Journal
      • World Academy of Sciences Journal
      • Information for Authors
      • Editorial Policies
      • Editorial Board
      • Aims and Scope
      • Abstracting and Indexing
      • Bibliographic Information
      • Archive
    • International Journal of Functional Nutrition
      • International Journal of Functional Nutrition
      • Information for Authors
      • Editorial Policies
      • Editorial Board
      • Aims and Scope
      • Abstracting and Indexing
      • Bibliographic Information
      • Archive
    • International Journal of Epigenetics
      • International Journal of Epigenetics
      • Information for Authors
      • Editorial Policies
      • Editorial Board
      • Aims and Scope
      • Abstracting and Indexing
      • Bibliographic Information
      • Archive
    • Medicine International
      • Medicine International
      • Information for Authors
      • Editorial Policies
      • Editorial Board
      • Aims and Scope
      • Abstracting and Indexing
      • Bibliographic Information
      • Archive
  • Articles
  • Information
    • Information for Authors
    • Information for Reviewers
    • Information for Librarians
    • Information for Advertisers
    • Conferences
  • Language Editing
Spandidos Publications Logo
  • About
    • About Spandidos
    • Aims and Scopes
    • Abstracting and Indexing
    • Editorial Policies
    • Reprints and Permissions
    • Job Opportunities
    • Terms and Conditions
    • Contact
  • Journals
    • All Journals
    • Biomedical Reports
      • Information for Authors
      • Editorial Policies
      • Editorial Board
      • Aims and Scope
      • Abstracting and Indexing
      • Bibliographic Information
      • Archive
    • Experimental and Therapeutic Medicine
      • Information for Authors
      • Editorial Policies
      • Editorial Board
      • Aims and Scope
      • Abstracting and Indexing
      • Bibliographic Information
      • Archive
    • International Journal of Epigenetics
      • Information for Authors
      • Editorial Policies
      • Editorial Board
      • Aims and Scope
      • Abstracting and Indexing
      • Bibliographic Information
      • Archive
    • International Journal of Functional Nutrition
      • Information for Authors
      • Editorial Policies
      • Editorial Board
      • Aims and Scope
      • Abstracting and Indexing
      • Bibliographic Information
      • Archive
    • International Journal of Molecular Medicine
      • Information for Authors
      • Editorial Policies
      • Editorial Board
      • Aims and Scope
      • Abstracting and Indexing
      • Bibliographic Information
      • Archive
    • International Journal of Oncology
      • Information for Authors
      • Editorial Policies
      • Editorial Board
      • Aims and Scope
      • Abstracting and Indexing
      • Bibliographic Information
      • Archive
    • Medicine International
      • Information for Authors
      • Editorial Policies
      • Editorial Board
      • Aims and Scope
      • Abstracting and Indexing
      • Bibliographic Information
      • Archive
    • Molecular and Clinical Oncology
      • Information for Authors
      • Editorial Policies
      • Editorial Board
      • Aims and Scope
      • Abstracting and Indexing
      • Bibliographic Information
      • Archive
    • Molecular Medicine Reports
      • Information for Authors
      • Editorial Policies
      • Editorial Board
      • Aims and Scope
      • Abstracting and Indexing
      • Bibliographic Information
      • Archive
    • Oncology Letters
      • Information for Authors
      • Editorial Policies
      • Editorial Board
      • Aims and Scope
      • Abstracting and Indexing
      • Bibliographic Information
      • Archive
    • Oncology Reports
      • Information for Authors
      • Editorial Policies
      • Editorial Board
      • Aims and Scope
      • Abstracting and Indexing
      • Bibliographic Information
      • Archive
    • World Academy of Sciences Journal
      • Information for Authors
      • Editorial Policies
      • Editorial Board
      • Aims and Scope
      • Abstracting and Indexing
      • Bibliographic Information
      • Archive
  • Articles
  • Information
    • For Authors
    • For Reviewers
    • For Librarians
    • For Advertisers
    • Conferences
  • Language Editing
Login Register Submit
  • This site uses cookies
  • You can change your cookie settings at any time by following the instructions in our Cookie Policy. To find out more, you may read our Privacy Policy.

    I agree
Search articles by DOI, keyword, author or affiliation
Search
Advanced Search
presentation
Biomedical Reports
Join Editorial Board Propose a Special Issue
Print ISSN: 2049-9434 Online ISSN: 2049-9442
Journal Cover
March-2026 Volume 24 Issue 3

Full Size Image

Sign up for eToc alerts
Recommend to Library

Journals

International Journal of Molecular Medicine

International Journal of Molecular Medicine

International Journal of Molecular Medicine is an international journal devoted to molecular mechanisms of human disease.

International Journal of Oncology

International Journal of Oncology

International Journal of Oncology is an international journal devoted to oncology research and cancer treatment.

Molecular Medicine Reports

Molecular Medicine Reports

Covers molecular medicine topics such as pharmacology, pathology, genetics, neuroscience, infectious diseases, molecular cardiology, and molecular surgery.

Oncology Reports

Oncology Reports

Oncology Reports is an international journal devoted to fundamental and applied research in Oncology.

Experimental and Therapeutic Medicine

Experimental and Therapeutic Medicine

Experimental and Therapeutic Medicine is an international journal devoted to laboratory and clinical medicine.

Oncology Letters

Oncology Letters

Oncology Letters is an international journal devoted to Experimental and Clinical Oncology.

Biomedical Reports

Biomedical Reports

Explores a wide range of biological and medical fields, including pharmacology, genetics, microbiology, neuroscience, and molecular cardiology.

Molecular and Clinical Oncology

Molecular and Clinical Oncology

International journal addressing all aspects of oncology research, from tumorigenesis and oncogenes to chemotherapy and metastasis.

World Academy of Sciences Journal

World Academy of Sciences Journal

Multidisciplinary open-access journal spanning biochemistry, genetics, neuroscience, environmental health, and synthetic biology.

International Journal of Functional Nutrition

International Journal of Functional Nutrition

Open-access journal combining biochemistry, pharmacology, immunology, and genetics to advance health through functional nutrition.

International Journal of Epigenetics

International Journal of Epigenetics

Publishes open-access research on using epigenetics to advance understanding and treatment of human disease.

Medicine International

Medicine International

An International Open Access Journal Devoted to General Medicine.

Journal Cover
March-2026 Volume 24 Issue 3

Full Size Image

Sign up for eToc alerts
Recommend to Library

  • Article
  • Citations
    • Cite This Article
    • Download Citation
    • Create Citation Alert
    • Remove Citation Alert
    • Cited By
  • Similar Articles
    • Related Articles (in Spandidos Publications)
    • Similar Articles (Google Scholar)
    • Similar Articles (PubMed)
  • Download PDF
  • Download XML
  • View XML
Case Report

Personalized surveillance in giant congenital melanocytic nevus, including the role of AI, histopathology and MC1R genotyping: A case report

  • Authors:
    • Preslav Vasilev
    • Ivelina Yordanova
    • Savelina Popovska
    • Zornitsa Kamburova
  • View Affiliations / Copyright

    Affiliations: Department of Dermatology, Venereology and Allergology, Faculty of Medicine, Medical University‑Pleven, 5800 Pleven, Bulgaria, Department of General and Clinical Pathology, Faculty of Medicine, Medical University‑Pleven, 5800 Pleven, Bulgaria, Centre of Competence in Personalized Medicine, 3D and Telemedicine, Robotic Assisted and Minimally Invasive Surgery‑‘Leonardo da Vinci’, 5800 Pleven, Bulgaria
  • Article Number: 34
    |
    Published online on: January 20, 2026
       https://doi.org/10.3892/br.2026.2107
  • Expand metrics +
Metrics: Total Views: 0 (Spandidos Publications: | PMC Statistics: )
Metrics: Total PDF Downloads: 0 (Spandidos Publications: | PMC Statistics: )
Cited By (CrossRef): 0 citations Loading Articles...

This article is mentioned in:


Abstract

Giant congenital melanocytic nevi (GCMN) are rare pigmented skin lesions present at birth that carry an increased risk of malignant melanoma and neurocutaneous melanosis. Early diagnosis and long‑term follow‑up care are essential for high‑risk patients. The combination of modern imaging techniques with genetic testing can enable a more comprehensive risk assessment. The present case describes a 55‑year‑old woman with a bathing‑trunk‑type GCMN and >30 additional nevi. The patient was monitored using total body mapping combined with artificial intelligence (AI)‑assisted dermoscopy (MoleAnalyzer Pro; FotoFinder Systems GmbH). Due to suspicious features, several lesions were surgically excised. Histopathology revealed a rare plexiform melanocytic schwannoma with low proliferative activity, showing immunopositivity for S100 protein and SOX10, with focal expression of Melan‑A (MART‑1). Germline testing by next‑generation sequencing identified two high‑risk melanocortin 1 receptor (MC1R) variants, p.Arg151Cys and p.Arg160Trp, in compound heterozygous state, both associated with melanoma susceptibility. No pathogenic variants were detected in NRAS or BRAF. The present case highlighted the integrative value of AI‑assisted dermoscopy, histopathology, and genetic profiling in the surveillance of patients with GCMN. Compound heterozygosity for MC1R high‑risk alleles may explain the extensive nevus burden and support intensified surveillance. Personalized follow‑up strategies guided by advanced imaging and genomics can improve early detection and prevention of melanoma.

Introduction

Giant congenital melanocytic nevi (GCMN) are rare pigmented skin lesions present at birth, often enlarging to 20 cm in adulthood (1,2). Their development results from an abnormal migration and proliferation of neural crest-derived melanoblasts, which may involve not only the skin but also deeper structures such as leptomeninges (1). Individuals with GCMN face a higher lifetime risk of malignant melanoma and neurocutaneous melanosis (1,2). Modern surveillance combines clinical examination with total body mapping and artificial intelligence (AI)-assisted dermoscopy. These technologies allow sensitive detection of morphological changes and objective comparison over time, thus facilitating early recognition of malignant transformation (3,4). Alongside imaging, genetic predisposition strongly influences melanoma risk. The melanocortin 1 receptor (MC1R) gene is central in regulating pigmentation, and its high-risk variants are well documented as low- to moderate-penetrance melanoma susceptibility alleles. Identifying such variants may explain individual nevus burden and guide tailored follow-up. The aim of the present case report was to present a patient with a bathing-trunk-type GCMN who underwent integrative follow-up with AI-enhanced dermoscopy, histopathology, and germline genetic analysis. The case illustrates how combining clinical and molecular tools supports personalized surveillance in high-risk patients (5,6).

Case report

Patient

A 55-year-old woman was referred for dermatologic evaluation due to a bathing-trunk type GCMN and multiple additional nevi distributed over the trunk and extremities. The present study was approved (approval no.755/19.12.2023) by the Ethics Commission of the Medical University-Pleven, (Pleven Bulgaria). Written informed consent for participation and publication was obtained from the patient in the present study.

Dermatological еvaluation

Cutaneous examination was performed with total body mapping using an AI-assisted dermoscopy system (MoleAnalyzer Pro version 3.5.6.0; FotoFinder Systems GmbH). The software applies convolutional neural networks trained on large annotated image datasets to identify and score melanocytic lesions according to asymmetry, border, color, and structure. Sequential imaging allows objective detection of new or evolving lesions.

Germline pathogenic variant detection

After informed consent, peripheral blood was collected in EDTA tubes. DNA extraction was performed with the MagCore® Genomic DNA Whole Blood Kit (cat. no. MGB400-04; RBC Bioscience Corp.). Genomic DNA integrity was assessed using an Agilent 2200 TapeStation system with Genomic DNA ScreenTape (Agilent Technologies, Inc.), following the manufacturer's instructions. Concentration and purity were evaluated using the Qubit 4 Fluorometer and NanoDrop One spectrophotometer (both from Thermo Fisher Scientific, Inc.). Genetic analysis was performed with massive parallel next-generation sequencing (NGS). Library preparation was carried out using the TruSight One Expanded Panel (6699 genes; Illumina, Inc.), followed by paired-end sequencing (2x150 bp) on the Illumina NextSeq 550 High Output Kit v2.5 (300 cycles; cat. no. 20024907; Illumina Inc.). Bioinformatic processing included alignment to hg19 and generation of gVCF files. The mean sequencing depth across all targeted regions was 256. Coverage analysis demonstrated that ≥99% of target regions were covered at ≥20x. Variants were filtered using custom thresholds: Minimum depth ≥20x, variant allele frequency (VAF) ≥0.20, exclusion of synonymous variants, and prioritization of nonsynonymous, splicing, and frameshift changes. Variant annotation used ClinVar, dbSNP, and Ensembl databases. Classification followed the ACMG five-tier framework (7).

Histopathology

Excised lesions were fixed in 10% neutral buffered formalin (Sigma-Aldrich; Merck KGaA) for 12-24 h at room temperature, paraffin-embedded, and sectioned at 3-4 µm. Sections were stained with hematoxylin and eosin following standard histopathological procedures. Hematoxylin staining was performed at room temperature for 4-6 min, followed by eosin staining at room temperature for 1-2 min. Hematoxylin (Mayer's hematoxylin; Merck KGaA) and eosin (Eosin Y; Merck KGaA) were used according to the manufacturer's protocols. Formalin-fixed, paraffin-embedded tissue sections (4 µm) were deparaffinized in xylene, rehydrated through a descending ethanol series, and subjected to heat-induced antigen retrieval in citrate buffer (pH 6.0) at 95-98˚C for 20 min. Endogenous peroxidase activity was quenched using 3% hydrogen peroxide for 10 min, followed by blocking with 5% normal goat serum (Vector Laboratories, Inc.) for 20 min at room temperature. Primary antibodies were applied under the following conditions: S100 (1:400; overnight at 4˚C; cat. no. IR504; Dako; Agilent Technologies, Inc.); SOX10 (1:200; overnight at 4˚C; cat. no. A-1028, Cell Marque/Merck KGaA); Melan-A (1:100; 1 h at room temperature; code no. M7196; Dako; Agilent Technologies, Inc.) Sections were incubated with the EnVision+ System HRP secondary antibody (cat. no. K4001; Dako; Agilent Technologies, Inc.) for 30 min at room temperature, and chromogenic detection was performed using DAB+ (code no. K3468; Dako; Agilent Technologies, Inc.). Slides were counterstained with Mayer's hematoxylin (Merck KGaA) at room temperature (20-25˚C) for 1-2 min, dehydrated through graded alcohols, cleared in xylene, and mounted. Immunoreactivity was evaluated using a bright-field microscope (Olympus BX43; Olympus Corporation) at a magnification of x100-x400.

Clinical presentation and histopathological findings

The female patient presented with a large bathing-trunk-type GCMN, accompanied by over 30 satellite nevi (0.5-7 cm) across the trunk and limbs. Neurological examinations, performed due to prior seizure episodes, revealed no structural abnormalities. In 2023 (at the age of 54 years), three pigmented tumors (total diameter 28 cm) in the lumbar region were surgically excised. Histology revealed a multinodular plexiform melanocytic schwannoma composed of spindle-shaped melanocytes, extending into subcutaneous tissue, with low mitotic activity. Immunohistochemistry showed diffuse S100 and SOX10 positivity, focal Melan A expression, and a low Ki-67 index. These markers supported schwannoma with melanocytic differentiation rather than malignant melanoma.

Dermatological status

Cutaneous examination revealed extensive pigmentary changes involving the face, trunk, and both upper and lower extremities. The findings included a symmetrically distributed bathing-trunk-type GCMN, accompanied by multiple satellite nevi ranging from 0.5 to 7 cm in diameter. In the sacral region, a linear, cross-shaped atrophic scar was noted, consistent with the site of prior surgical excision. The scar was surrounded by numerous dark brown to black colored macules. (Fig. 1A-C) The dermatological examination with a Total body mapping and AI dermoscopy device (MoleAnalyzer Pro) did not identify melanoma-like evolution. Histopathological analysis of the excised multinodular, plexiform, non-encapsulated lesion demonstrated a proliferation of oval and spindle-shaped cells extending from the epidermis through the dermis and into the deep subcutaneous adipose tissue, as visualized with hematoxylin and eosin staining (Fig. 2). Immunohistochemistry showed diffuse S100 and SOX10 positivity, focal Melan A expression, and a low Ki-67 index (Fig. 3A-D). These markers supported schwannoma with melanocytic differentiation rather than malignant melanoma. NGS analysis identified two pathogenic MC1R variants: c.451C>T (p.Arg151Cys) and c.478C>T (p.Arg160Trp), both in compound heterozygous state (Fig. 4). No pathogenic variants were detected in NRAS or BRAF. No additional high-risk variants were identified across the panel.

Cutaneous findings in the patient with
extensive congenital melanocytic nevi. (A) Multiple pigmented nevi
involving the upper and lower back. Of note the central
hyperpigmented plaque with thickened skin and irregular borders.
(B) Extension of the pigmented lesion over the gluteal region and
posterior thighs. Lichenification and verrucous appearance are
present. (C) Distribution of satellite nevi over the lower legs,
showing sharply demarcated pigmented macules and plaques.

Figure 1

Cutaneous findings in the patient with extensive congenital melanocytic nevi. (A) Multiple pigmented nevi involving the upper and lower back. Of note the central hyperpigmented plaque with thickened skin and irregular borders. (B) Extension of the pigmented lesion over the gluteal region and posterior thighs. Lichenification and verrucous appearance are present. (C) Distribution of satellite nevi over the lower legs, showing sharply demarcated pigmented macules and plaques.

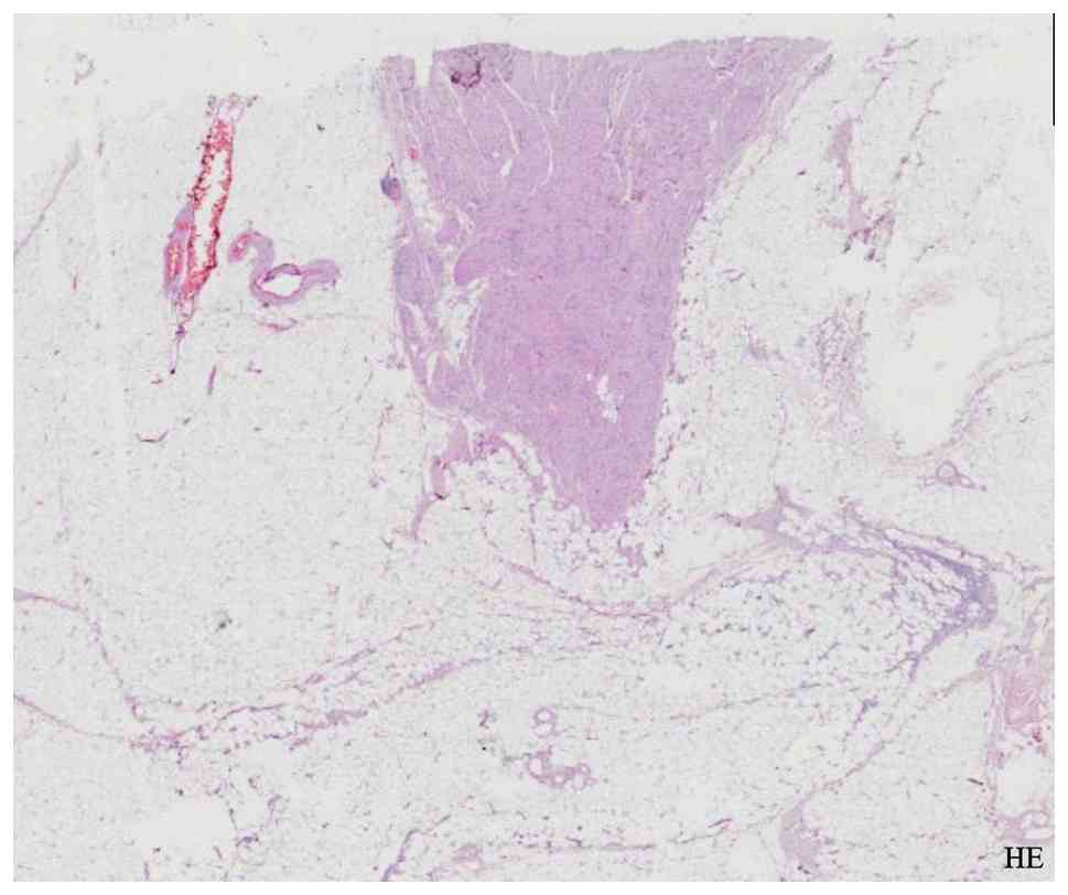
Histopathological evaluation of a
pigmented skin lesion (hematoxylin and eosin staining; x200
magnification). Moderately cellular lesion located in the dermis,
composed of spindle-shaped melanocytes with bland nuclear features.
There is no significant mitotic activity or atypia.

Figure 2

Histopathological evaluation of a pigmented skin lesion (hematoxylin and eosin staining; x200 magnification). Moderately cellular lesion located in the dermis, composed of spindle-shaped melanocytes with bland nuclear features. There is no significant mitotic activity or atypia.

Immunohistochemical profile of the
lesion. (A) Ki-67 showed very low proliferative index. (B) Diffuse
nuclear and cytoplasmic positivity for S100 in the melanocytic
population. (C) Nuclear expression of SOX10 in the neoplastic
cells. (D) Focal positivity for HMB-45 predominantly in the
superficial dermis.

Figure 3

Immunohistochemical profile of the lesion. (A) Ki-67 showed very low proliferative index. (B) Diffuse nuclear and cytoplasmic positivity for S100 in the melanocytic population. (C) Nuclear expression of SOX10 in the neoplastic cells. (D) Focal positivity for HMB-45 predominantly in the superficial dermis.

Genomic visualization of MC1R variant
using Integrative Genomics Viewer. Snapshot of next-generation
sequencing data aligned to the human genome (hg19), showing a
heterozygous variant in the MC1R gene. The base substitution is
visualized as a T peak in both forward and reverse reads. MC1R,
melanocortin 1 receptor.

Figure 4

Genomic visualization of MC1R variant using Integrative Genomics Viewer. Snapshot of next-generation sequencing data aligned to the human genome (hg19), showing a heterozygous variant in the MC1R gene. The base substitution is visualized as a T peak in both forward and reverse reads. MC1R, melanocortin 1 receptor.

Discussion

GCMN represent rare developmental anomalies of melanoblast migration and proliferation, with a reported melanoma risk of ~5% over a lifetime (8,9). Early recognition of malignant transformation is essential. These developmental abnormalities are frequently linked to somatic mutations in genes such as NRAS (particularly Q61 variants) and BRAF (notably V600 mutations), as well as dysregulation of pathways involving hepatocyte growth factor/scatter factor (10).

Various classification systems exist for CMN, with the most widely accepted being that of Kopf et al (11), which categorizes lesions by maximum diameter: Small (<1.5 cm), medium (1.5-19.9 cm), and large or giant CMN (>20 cm) . The overall incidence of CMN in neonates ranges from 0.2 to 2.1%, with a slight female predominance reported (male-to-female ratios between 1:1.17 and 1:1.4) (12). Data from the Giant Congenital Melanocytic Nevus Registry at the Federal University of Minas Gerais, based on patient records between 1999 and 2011, estimated the lifetime risk of melanoma in individuals with GCMN to be ~5% (13). Anatomical distribution patterns showed a predominance on the trunk (68.4%), followed by the head and neck (17.5%), and the extremities (14.1%) (13).

Total body mapping involves systematic photographic documentation of the entire skin surface, followed by digital dermoscopic analysis of selected melanocytic lesions. This approach facilitates longitudinal comparison, enabling the detection of subtle morphological changes or the emergence of new lesions over time (14). In the present case, total body mapping combined with AI-enhanced dermoscopy was employed, offering a sensitive and objective method for surveillance. Regular imaging at 6 to 12-month intervals is especially beneficial in individuals with GCMN, where early recognition of malignant transformation is critical.

Surgical management remains a topic of ongoing discussion. A systematic review by Krengel et al (12), analyzing 49 reported cases of CMN-associated melanoma, found that in 67% of patients the malignant transformation occurred within the congenital lesion itself . Based on such findings, prophylactic surgical excision is sometimes advocated, particularly in large or atypical nevi. While the impact of surgery on melanoma risk reduction remains inconclusive, the procedure often yields aesthetic and functional improvements, which are important considerations for both patients and families when deciding on treatment.

The histological diagnosis of plexiform melanocytic schwannoma required careful differentiation from melanoma. Positive staining for S100 and SOX10 confirmed Schwann cell origin, while focal Melan A expression reflected melanocytic differentiation. Similar immunoprofiles have been reported in rare schwannoma variants (15). Although an association between MC1R and schwannomas was not established, the findings of the present study raise the question whether pigmentation genes may modulate tumor phenotype, a hypothesis warranting further investigation. Ranson et al (16) described a case involving a 66-year-old man with a tumor sharing similar histological and immunophenotypic characteristics, including co-expression of S100, SOX10, and HMB45, consistent with the findings in the present case.

Pigmentation traits such as red hair, fair skin, freckling, and poor tanning capacity have long been recognized as genetically driven risk factors for both melanoma and non-melanocytic skin cancers particularly when combined with environmental exposure to ultraviolet radiation (17). MC1R, a G protein-coupled receptor expressed in cutaneous melanocytes located in the basal epidermal layer, plays a central role in regulating pigment production (18,19). Genetic variation within the MC1R gene contributes substantially to interindividual differences in skin phototype and pigmentation phenotype.

MC1R variants are typically categorized into two groups: Low-penetrance alleles (denoted as ‘r’) and high-penetrance alleles (‘R’) in relation to their association with red hair color and melanoma risk (20,21). Common ‘r’ alleles include Val60Leu, Val92Met, and Arg163Gln, while ‘R’ alleles, such as Asp84Glu, Arg142His, Arg151Cys, Ile155Thr, Arg160Trp, and Asp294His, are more strongly associated with phenotypic traits and increased susceptibility to skin malignancies (20).

In the current case, genetic analysis identified two high-risk MC1R alleles (Arg151Cys and Arg160Trp), both categorized as ‘R’ variants. Compound heterozygosity for R alleles is linked to fair phototype, high nevus count, and increased melanoma susceptibility. Both variants have been shown to exert dominant-negative effects by impairing MC1R receptor trafficking and downstream cAMP signaling (22). This genotype aligns with findings by van der Poel et al (23), who demonstrated a positive association between the ‘R/R’ genotype and increased total nevus count. Consistently, the patient in the present case had >30 nevi and a large back-located GCMN. Further supporting this association, a more recent study involving 175 healthy carriers of MC1R variants reported that individuals with ‘R’ alleles tend to develop larger nevi, particularly on the back and upper limbs. Moreover, their nevi often displayed dermoscopic features such as visible vascular structures, globules, and pigmented spots (24). These features were also observed in the present case, reinforcing the phenotypic impact of the compound ‘R’ genotype on nevus morphology and distribution. The limitations of the present case report include its basis in a single patient, the absence of functional validation or familial segregation studies, and the analysis of only germline DNA; somatic alterations in lesional tissue remain unknown. Despite these limitations, the case illustrated the integrative value of combining clinical imaging and genomic data. In conclusion the present case emphasized that personalized surveillance of patients with GCMN benefits from integration of AI-assisted dermoscopy, histopathology, and germline genetics. The compound heterozygous MC1R variants may explain the nevus burden of the patient and justified intensified follow-up. AI technology allowed precise, noninvasive monitoring, while histology ruled out melanoma and guided management. An integrative, multidisciplinary approach should be considered standard for high-risk GCMN patients, as it enhances early detection and supports informed clinical decisions.

Acknowledgements

Not applicable.

Funding

Funding: The present study was financed by the European Union-NextGenerationEU, through the National Recovery and Resilience Plan of the Republic of Bulgaria, project no. BG-RRP-2.004-0003, and supported by Project BG16RFPR002-1.014-0002-С001, ‘Centre of Competence in Personalized Medicine, 3D and Telemedicine, Robotic-Assisted and Minimally Invasive Surgery,’ funded by PRIDST 2021-2027 and co-funded by the EU.

Availability of data and materials

The data generated in the present study may be found in ClinVar under accession numbers SUB15686128 and SUB15686145.

Authors' contributions

PV recruited the patients. IY, PV, ZK and SP collected clinical and biological data. ZK performed the molecular analysis. PV and IY were responsible for diagnosis and treatment of the patient. ZK analyzed the data. PV, ZK, SP and IY were involved in the writing and revision of the manuscript. SP and IY reviewed and revised the manuscript. All authors read and approved the final manuscript. ZK and PV confirm the authenticity of all the raw data.

Ethics approval and consent to participate

The present study was approved (approval no.755/19.12.2023) by the Ethics Commission of the Medical University-Pleven, (Pleven Bulgaria). Written informed consent for participation was obtained from the patient.

Patient consent for publication

Written informed consent for publication was obtained from the patient.

Competing interests

The authors declare that they have no competing interests.

References

1 

Kinsler VA, O'Hare P, Bulstrode N, Calonje JE, Chong WK, Hargrave D, Jacques T, Lomas D, Sebire NJ and Slater O: Melanoma in congenital melanocytic naevi. Br J Dermatol. 176:1131–1143. 2017.PubMed/NCBI View Article : Google Scholar

2 

Krengel S, Scope A, Dusza SW, Vonthein R and Marghoob AA: New recommendations for the categorization of cutaneous features of congenital melanocytic nevi. J Am Acad Dermatol. 68:441–451. 2013.PubMed/NCBI View Article : Google Scholar

3 

Marghoob AA, Swindle LD, Moricz CZ, Sanchez Negron FA, Slue B, Halpern AC and Kopf AW: Instruments and new technologies for the in vivo diagnosis of melanoma. J Am Acad Dermatol. 49:777–799. 2003.PubMed/NCBI View Article : Google Scholar

4 

Haenssle HA, Fink C, Schneiderbauer R, Toberer F, Buhl T, Blum A, Kalloo A, Hassen ABH, Thomas L, Enk A, et al: Man against machine: Diagnostic performance of a deep learning convolutional neural network for dermoscopic melanoma recognition in comparison to 58 dermatologists. Ann Oncol. 29:1836–1842. 2018.PubMed/NCBI View Article : Google Scholar

5 

Raimondi S, Sera F, Gandini S, Iodice S, Caini S, Maisonneuve P and Fargnoli MC: MC1R variants, melanoma and red hair color phenotype: A meta-analysis. Int J Cancer. 122:2753–2760. 2008.PubMed/NCBI View Article : Google Scholar

6 

Tagliabue E, Gandini S, Bellocco R, Maisonneuve P, Newton-Bishop J, Polsky D, Lazovich D, Kanetsky PA, Ghiorzo P, Gruis NA, et al: MC1R variants as melanoma risk factors independent of at-risk phenotypic characteristics: a pooled analysis from the M-SKIP project. Cancer Manag Res. 10:1143–1154. 2018.PubMed/NCBI View Article : Google Scholar

7 

Richards S, Aziz N, Bale S, Bick D, Das S, Gastier-Foster J, Grody WW, Hegde M, Lyon E, Spector E, et al: Standards and guidelines for the interpretation of sequence variants: A joint consensus recommendation of the American college of medical genetics and genomics and the association for molecular pathology. Genet Med. 17:405–424. 2015.PubMed/NCBI View Article : Google Scholar

8 

Viana AC, Gontijo B and Bittencourt FV: Giant congenital melanocytic nevus. An Bras Dermatol. 88:863–878. 2013.PubMed/NCBI View Article : Google Scholar

9 

Arneja JS and Gosain AK: Giant congenital melanocytic nevi of the trunk and an algorithm for treatment. J Craniofac Surg. 16:886–893. 2005.PubMed/NCBI View Article : Google Scholar

10 

Meshram GG, Kaur N and Hura KS: Giant congenital melanocytic nevi: An update and emerging therapies. Case Rep Dermatol. 10:24–28. 2018.PubMed/NCBI View Article : Google Scholar

11 

Kopf AW, Bart RS and Hennessey P: Congenital nevocytic nevi and malignant melanomas. J Am Acad Dermatol. 1:123–130. 1979.PubMed/NCBI View Article : Google Scholar

12 

Krengel S, Hauschild A and Schäfer T: Melanoma risk in congenital melanocytic naevi: a systematic review. Br J Dermatol. 155:1–8. 2006.PubMed/NCBI View Article : Google Scholar

13 

Viana ACL, Goulart EMA, Gontijo B and Bittencourt FV: A prospective study of patients with large congenital melanocytic nevi and the risk of melanoma. An Bras Dermatol. 92:200–205. 2017.PubMed/NCBI View Article : Google Scholar

14 

Barcaui C, Bakos RM, Paschoal FM, Bittencourt FV, de Sá BCS and Miot HA: Total body mapping in the follow-up of melanocytic lesions: Recommendations of the Brazilian society of dermatology. An Bras Dermatol. 96:472–476. 2021.PubMed/NCBI View Article : Google Scholar

15 

Torres-Mora J, Dry S, Li X, Binder S, Amin M and Folpe AL: Malignant melanotic schwannian tumor: a clinicopathologic, immunohistochemical, and gene expression profiling study of 40 cases, with a proposal for the reclassification of "melanotic schwannoma". Am J Surg Pathol. 38:94–105. 2014.PubMed/NCBI View Article : Google Scholar

16 

Ranson M, Lai J, Van Brenk B, McCalmont TH and Walsh NM: Plexiform melanocytic schwannoma: Report of a second case and overview of a rare entity. Am J Dermatopathol. 44:943–947. 2022.PubMed/NCBI View Article : Google Scholar

17 

Sturm RA: Skin colour and skin cancer-MC1R, the genetic link. Melanoma Res. 12:405–416. 2002.PubMed/NCBI View Article : Google Scholar

18 

Cai M and Hruby VJ: The melanocortin receptor system: A target for multiple degenerative diseases. Curr Protein Pept Sci. 17:488–96. 2016.PubMed/NCBI View Article : Google Scholar

19 

Roberts DW, Newton RA, Beaumont KA, Leonard JH and Sturm RA: Quantitative analysis of MC1R gene expression in human skin cell cultures. Pigment Cell Res. 19:76–89. 2006.PubMed/NCBI View Article : Google Scholar

20 

Beaumont KA, Liu YY and Sturm RA: The melanocortin-1 receptor gene polymorphism and association with human skin cancer. Prog Mol Biol Transl Sci. 88:85–153. 2009.PubMed/NCBI View Article : Google Scholar

21 

Pasquali E, García-Borrón JC, Fargnoli MC, Gandini S, Maisonneuve P, Bagnardi V, Specchia C, Liu F, Kayser M, Nijsten T, et al: MC1R variants increased the risk of sporadic cutaneous melanoma in darker-pigmented Caucasians: A pooled-analysis from the M-SKIP project. Int J Cancer. 136:618–631. 2015.PubMed/NCBI View Article : Google Scholar

22 

Beaumont KA, Shekar SN, Newton RA, James MR, Stow JL, Duffy DL and Sturm RA: Receptor function, dominant negative activity and phenotype correlations for MC1R variant alleles. Hum Mol Genet. 16:2249–2260. 2007.PubMed/NCBI View Article : Google Scholar

23 

van der Poel LAJ, Bergman W, Gruis NA and Kukutsch NA: The role of MC1R gene variants and phenotypical features in predicting high nevus count. Melanoma Res. 30:511–514. 2020.PubMed/NCBI View Article : Google Scholar

24 

Vallone MG, Tell-Marti G, Potrony M, Rebollo-Morell A, Badenas C, Puig-Butille JA, Gimenez-Xavier P, Carrera C, Malvehy J and Puig S: Melanocortin 1 receptor (MC1R) polymorphisms' influence on size and dermoscopic features of nevi. Pigment Cell Melanoma Res. 31:39–50. 2018.PubMed/NCBI View Article : Google Scholar

Related Articles

  • Abstract
  • View
  • Download
  • Twitter
Copy and paste a formatted citation
Spandidos Publications style
Vasilev P, Yordanova I, Popovska S and Kamburova Z: <p>Personalized surveillance in giant congenital melanocytic nevus, including the role of AI, histopathology and MC1R genotyping: A case report</p>. Biomed Rep 24: 34, 2026.
APA
Vasilev, P., Yordanova, I., Popovska, S., & Kamburova, Z. (2026). <p>Personalized surveillance in giant congenital melanocytic nevus, including the role of AI, histopathology and MC1R genotyping: A case report</p>. Biomedical Reports, 24, 34. https://doi.org/10.3892/br.2026.2107
MLA
Vasilev, P., Yordanova, I., Popovska, S., Kamburova, Z."<p>Personalized surveillance in giant congenital melanocytic nevus, including the role of AI, histopathology and MC1R genotyping: A case report</p>". Biomedical Reports 24.3 (2026): 34.
Chicago
Vasilev, P., Yordanova, I., Popovska, S., Kamburova, Z."<p>Personalized surveillance in giant congenital melanocytic nevus, including the role of AI, histopathology and MC1R genotyping: A case report</p>". Biomedical Reports 24, no. 3 (2026): 34. https://doi.org/10.3892/br.2026.2107
Copy and paste a formatted citation
x
Spandidos Publications style
Vasilev P, Yordanova I, Popovska S and Kamburova Z: <p>Personalized surveillance in giant congenital melanocytic nevus, including the role of AI, histopathology and MC1R genotyping: A case report</p>. Biomed Rep 24: 34, 2026.
APA
Vasilev, P., Yordanova, I., Popovska, S., & Kamburova, Z. (2026). <p>Personalized surveillance in giant congenital melanocytic nevus, including the role of AI, histopathology and MC1R genotyping: A case report</p>. Biomedical Reports, 24, 34. https://doi.org/10.3892/br.2026.2107
MLA
Vasilev, P., Yordanova, I., Popovska, S., Kamburova, Z."<p>Personalized surveillance in giant congenital melanocytic nevus, including the role of AI, histopathology and MC1R genotyping: A case report</p>". Biomedical Reports 24.3 (2026): 34.
Chicago
Vasilev, P., Yordanova, I., Popovska, S., Kamburova, Z."<p>Personalized surveillance in giant congenital melanocytic nevus, including the role of AI, histopathology and MC1R genotyping: A case report</p>". Biomedical Reports 24, no. 3 (2026): 34. https://doi.org/10.3892/br.2026.2107
Follow us
  • Twitter
  • LinkedIn
  • Facebook
About
  • Spandidos Publications
  • Careers
  • Cookie Policy
  • Privacy Policy
How can we help?
  • Help
  • Live Chat
  • Contact
  • Email to our Support Team