Spandidos Publications Logo
  • About
    • About Spandidos
    • Aims and Scopes
    • Abstracting and Indexing
    • Editorial Policies
    • Reprints and Permissions
    • Job Opportunities
    • Terms and Conditions
    • Contact
  • Journals
    • All Journals
    • Oncology Letters
      • Oncology Letters
      • Information for Authors
      • Editorial Policies
      • Editorial Board
      • Aims and Scope
      • Abstracting and Indexing
      • Bibliographic Information
      • Archive
    • International Journal of Oncology
      • International Journal of Oncology
      • Information for Authors
      • Editorial Policies
      • Editorial Board
      • Aims and Scope
      • Abstracting and Indexing
      • Bibliographic Information
      • Archive
    • Molecular and Clinical Oncology
      • Molecular and Clinical Oncology
      • Information for Authors
      • Editorial Policies
      • Editorial Board
      • Aims and Scope
      • Abstracting and Indexing
      • Bibliographic Information
      • Archive
    • Experimental and Therapeutic Medicine
      • Experimental and Therapeutic Medicine
      • Information for Authors
      • Editorial Policies
      • Editorial Board
      • Aims and Scope
      • Abstracting and Indexing
      • Bibliographic Information
      • Archive
    • International Journal of Molecular Medicine
      • International Journal of Molecular Medicine
      • Information for Authors
      • Editorial Policies
      • Editorial Board
      • Aims and Scope
      • Abstracting and Indexing
      • Bibliographic Information
      • Archive
    • Biomedical Reports
      • Biomedical Reports
      • Information for Authors
      • Editorial Policies
      • Editorial Board
      • Aims and Scope
      • Abstracting and Indexing
      • Bibliographic Information
      • Archive
    • Oncology Reports
      • Oncology Reports
      • Information for Authors
      • Editorial Policies
      • Editorial Board
      • Aims and Scope
      • Abstracting and Indexing
      • Bibliographic Information
      • Archive
    • Molecular Medicine Reports
      • Molecular Medicine Reports
      • Information for Authors
      • Editorial Policies
      • Editorial Board
      • Aims and Scope
      • Abstracting and Indexing
      • Bibliographic Information
      • Archive
    • World Academy of Sciences Journal
      • World Academy of Sciences Journal
      • Information for Authors
      • Editorial Policies
      • Editorial Board
      • Aims and Scope
      • Abstracting and Indexing
      • Bibliographic Information
      • Archive
    • International Journal of Functional Nutrition
      • International Journal of Functional Nutrition
      • Information for Authors
      • Editorial Policies
      • Editorial Board
      • Aims and Scope
      • Abstracting and Indexing
      • Bibliographic Information
      • Archive
    • International Journal of Epigenetics
      • International Journal of Epigenetics
      • Information for Authors
      • Editorial Policies
      • Editorial Board
      • Aims and Scope
      • Abstracting and Indexing
      • Bibliographic Information
      • Archive
    • Medicine International
      • Medicine International
      • Information for Authors
      • Editorial Policies
      • Editorial Board
      • Aims and Scope
      • Abstracting and Indexing
      • Bibliographic Information
      • Archive
  • Articles
  • Information
    • Information for Authors
    • Information for Reviewers
    • Information for Librarians
    • Information for Advertisers
    • Conferences
  • Language Editing
Spandidos Publications Logo
  • About
    • About Spandidos
    • Aims and Scopes
    • Abstracting and Indexing
    • Editorial Policies
    • Reprints and Permissions
    • Job Opportunities
    • Terms and Conditions
    • Contact
  • Journals
    • All Journals
    • Biomedical Reports
      • Information for Authors
      • Editorial Policies
      • Editorial Board
      • Aims and Scope
      • Abstracting and Indexing
      • Bibliographic Information
      • Archive
    • Experimental and Therapeutic Medicine
      • Information for Authors
      • Editorial Policies
      • Editorial Board
      • Aims and Scope
      • Abstracting and Indexing
      • Bibliographic Information
      • Archive
    • International Journal of Epigenetics
      • Information for Authors
      • Editorial Policies
      • Editorial Board
      • Aims and Scope
      • Abstracting and Indexing
      • Bibliographic Information
      • Archive
    • International Journal of Functional Nutrition
      • Information for Authors
      • Editorial Policies
      • Editorial Board
      • Aims and Scope
      • Abstracting and Indexing
      • Bibliographic Information
      • Archive
    • International Journal of Molecular Medicine
      • Information for Authors
      • Editorial Policies
      • Editorial Board
      • Aims and Scope
      • Abstracting and Indexing
      • Bibliographic Information
      • Archive
    • International Journal of Oncology
      • Information for Authors
      • Editorial Policies
      • Editorial Board
      • Aims and Scope
      • Abstracting and Indexing
      • Bibliographic Information
      • Archive
    • Medicine International
      • Information for Authors
      • Editorial Policies
      • Editorial Board
      • Aims and Scope
      • Abstracting and Indexing
      • Bibliographic Information
      • Archive
    • Molecular and Clinical Oncology
      • Information for Authors
      • Editorial Policies
      • Editorial Board
      • Aims and Scope
      • Abstracting and Indexing
      • Bibliographic Information
      • Archive
    • Molecular Medicine Reports
      • Information for Authors
      • Editorial Policies
      • Editorial Board
      • Aims and Scope
      • Abstracting and Indexing
      • Bibliographic Information
      • Archive
    • Oncology Letters
      • Information for Authors
      • Editorial Policies
      • Editorial Board
      • Aims and Scope
      • Abstracting and Indexing
      • Bibliographic Information
      • Archive
    • Oncology Reports
      • Information for Authors
      • Editorial Policies
      • Editorial Board
      • Aims and Scope
      • Abstracting and Indexing
      • Bibliographic Information
      • Archive
    • World Academy of Sciences Journal
      • Information for Authors
      • Editorial Policies
      • Editorial Board
      • Aims and Scope
      • Abstracting and Indexing
      • Bibliographic Information
      • Archive
  • Articles
  • Information
    • For Authors
    • For Reviewers
    • For Librarians
    • For Advertisers
    • Conferences
  • Language Editing
Login Register Submit
  • This site uses cookies
  • You can change your cookie settings at any time by following the instructions in our Cookie Policy. To find out more, you may read our Privacy Policy.

    I agree
Search articles by DOI, keyword, author or affiliation
Search
Advanced Search
presentation
Biomedical Reports
Join Editorial Board Propose a Special Issue
Print ISSN: 2049-9434 Online ISSN: 2049-9442
Journal Cover
May-2026 Volume 24 Issue 5

Full Size Image

Sign up for eToc alerts
Recommend to Library

Journals

International Journal of Molecular Medicine

International Journal of Molecular Medicine

International Journal of Molecular Medicine is an international journal devoted to molecular mechanisms of human disease.

International Journal of Oncology

International Journal of Oncology

International Journal of Oncology is an international journal devoted to oncology research and cancer treatment.

Molecular Medicine Reports

Molecular Medicine Reports

Covers molecular medicine topics such as pharmacology, pathology, genetics, neuroscience, infectious diseases, molecular cardiology, and molecular surgery.

Oncology Reports

Oncology Reports

Oncology Reports is an international journal devoted to fundamental and applied research in Oncology.

Experimental and Therapeutic Medicine

Experimental and Therapeutic Medicine

Experimental and Therapeutic Medicine is an international journal devoted to laboratory and clinical medicine.

Oncology Letters

Oncology Letters

Oncology Letters is an international journal devoted to Experimental and Clinical Oncology.

Biomedical Reports

Biomedical Reports

Explores a wide range of biological and medical fields, including pharmacology, genetics, microbiology, neuroscience, and molecular cardiology.

Molecular and Clinical Oncology

Molecular and Clinical Oncology

International journal addressing all aspects of oncology research, from tumorigenesis and oncogenes to chemotherapy and metastasis.

World Academy of Sciences Journal

World Academy of Sciences Journal

Multidisciplinary open-access journal spanning biochemistry, genetics, neuroscience, environmental health, and synthetic biology.

International Journal of Functional Nutrition

International Journal of Functional Nutrition

Open-access journal combining biochemistry, pharmacology, immunology, and genetics to advance health through functional nutrition.

International Journal of Epigenetics

International Journal of Epigenetics

Publishes open-access research on using epigenetics to advance understanding and treatment of human disease.

Medicine International

Medicine International

An International Open Access Journal Devoted to General Medicine.

Journal Cover
May-2026 Volume 24 Issue 5

Full Size Image

Sign up for eToc alerts
Recommend to Library

  • Article
  • Citations
    • Cite This Article
    • Download Citation
    • Create Citation Alert
    • Remove Citation Alert
    • Cited By
  • Similar Articles
    • Related Articles (in Spandidos Publications)
    • Similar Articles (Google Scholar)
    • Similar Articles (PubMed)
  • Download PDF
  • Download XML
  • View XML

  • Supplementary Files
    • Supplementary_Data.pdf
Case Report Open Access

Clinically aggressive early‑onset pancreatic ductal adenocarcinoma with KRAS wild‑type status: A case report

  • Authors:
    • Maria E. Avendaño
    • Cristopher San Martin Abello
    • Fernán Gómez‑Valenzuela
    • Ian Silva
    • Ignacio N. Retamal
    • Benjamín García‑Bloj
    • Tomás De Mayo Glaser
    • Matías Muñoz‑Medel
    • Alex Gómez
    • Carolina Sánchez
    • Felipe Pinto
    • Paola Aravena
    • Andrea C. Sabioncello
    • Marcelo Garrido Villanueva
    • Fernando Sigler Chávez
    • Ignacio Corvalán
    • Henry Barrios
    • Mauricio A. Sáez
    • José M. Erpel
    • Patricio A. Manque
    • Juvenal A. Rios
    • Juan A. Godoy
    • Marcelo Garrido
  • View Affiliations / Copyright

    Affiliations: Precision Oncology Center, Universidad Mayor, Santiago 7550000, Chile, Precision Health Research Laboratory, Department of Diagnostic Processes and Evaluation, Faculty of Health Sciences, Catholic University of Temuco, Temuco 4810399, Chile, ICR Research, National Cancer Institute (INCANCER), Santiago 8380455, Chile
    Copyright: © Avendaño et al. This is an open access article distributed under the terms of Creative Commons Attribution License.
  • Article Number: 55
    |
    Published online on: March 6, 2026
       https://doi.org/10.3892/br.2026.2128
  • Expand metrics +
Metrics: Total Views: 0 (Spandidos Publications: | PMC Statistics: )
Metrics: Total PDF Downloads: 0 (Spandidos Publications: | PMC Statistics: )
Cited By (CrossRef): 0 citations Loading Articles...

This article is mentioned in:


Abstract

Pancreatic ductal adenocarcinoma (PDAC) represents one of the most lethal and challenging gastrointestinal (GI) malignancies. Predominant driver mutations for this cancer include KRAS, which is present in >90% of cases, alongside inactivating mutations in various tumor suppressor genes, such as CDKN2A, TP53 and SMAD4. The present case report explores a case of early onset pancreatic cancer in a 45‑year‑old patient with cancer antigen 19‑9 (CA 19‑9) levels within the minimal range, a finding typically associated with advanced disease. Specifically, the tumor exhibited an atypical somatic molecular profile, characterized by mutations in the ERBB2, MSH3, MUC1/MUC16 genes and the absence of KRAS mutations (KRAS wild type), which is an uncommon occurrence in PDAC. The presence of liver metastases and vascular invasion at diagnosis, coupled with the lack of response to standard FOLFIRINOX treatment, underscored the aggressiveness of the disease and highlighted the need to explore novel targeted therapies. The patient underwent surgery and has maintained a favorable response to date. This case of PDAC in a relatively young patient underscored a distinctive molecular profile that especially lacked KRAS mutations whilst featuring alterations in ERBB2, MSH3 and MUC1/MUC16, potentially indicating a unique subgroup with unique biological and treatment responses. Additionally, CA19‑9 levels within the minimal range suggest the need to identify alternative novel biomarkers with adequate sensitivity and specificity. This is because in >80% PDAC cases with stage II disease and beyond, CA‑19‑9 levels are elevated. The rarity of the present case, combined with the rapid progression despite FOLFIRINOX treatment, suggests that additional human epidermal growth factor receptor 2‑targeted therapies may be necessary during disease progression.

Introduction

Pancreatic ductal adenocarcinoma (PDAC) is one of the most lethal and challenging malignancies, with rising incidence and mortality rates. According to the Global Cancer Observatory (GLOBOCAN) in 2022, pancreatic cancer was ranked 12th in terms of global incidence and 6th in terms of cancer-related mortality. Geographically, 45.5% cases were reported in Asia, followed by Europe (28.7%), North America (13.1%), Latin America and the Caribbean (8%), Africa (3.7%) and Oceania (0.95%) (1). GLOBOCAN projects that pancreatic cancer will become the second leading cause of cancer-related mortality in the United States by 2025(2). In Chile, pancreatic cancer accounted for 5% cancer-related mortality in 2012, increasing to 5.6% in 2018, making it is the seventh leading cause of cancer-related mortality (3). Despite significant advances in cancer research, PDAC still has a 5-year survival rate of only ~10% (4,5). PDAC is the most prevalent histological type of pancreatic cancer, accounting for >90% of cases. Other types include cystadenocarcinoma, acinar cell carcinoma and neuroendocrine tumors (6). According to age at diagnosis, pancreatic cancer is stratified into early-onset pancreatic cancer (EOPC), defined as diagnosis before 50 years of age, and late-onset pancreatic cancer (LOPC), diagnosed at 50 years of age or older (7). Advances in understanding the molecular basis of PDAC and the development of targeted therapies have provided new therapeutic hope (7-9). On molecular level, PDAC is caused by either inherited (germline) or acquired (somatic) mutations. PDAC is primarily driven by four genes, namely KRAS, CDKN2A (p16), TP53 and SMAD4. The most frequently mutated gene is KRAS, a member of the RAS family of small GTPases that plays a role in early carcinogenesis (10). Additionally, CDKN2A, a tumor suppressor gene responsible for regulating the cell cycle, has been found to be inactivated in ~95% of cases, thereby accelerating cell cycle progression. Similarly, TP53 has been shown to be mutated in 50-75% tumors, causing it to lose the ability to repair DNA damage and facilitate the proliferation of damaged cells. Furthermore, 50% cases involve the inactivation of SMAD4, leading to alterations in cell cycle regulation, constitutive activation of signaling pathways and uncontrolled cell proliferation (9,10). The present case of PDAC represents an early-onset presentation with a distinctive molecular profile, notably characterized by the absence of KRAS mutations.

Case report

A 45-year-old male with no significant medical history presented to Indisa Clinic in Santiago, Chile, in October 2024 with persistent epigastric pain and mild jaundice. Physical examination revealed a palpable mass in the epigastric region with no other notable findings. Upper gastrointestinal endoscopy revealed an infiltrating duodenal lesion and biopsy-confirmed infiltrative adenocarcinoma. Laboratory results (Table I) indicated several genomic abnormalities consistent with those observed in advanced pancreatic cancer. Mild anemia is a common finding in patients with cancer and was observed in this patient. Elevated total and direct bilirubin levels, along with progressively increasing alkaline phosphatase and high γ-glutamyl transferase levels, strongly suggest hepatic dysfunction, likely secondary to bile duct obstruction. A low albumin level was also noted, potentially reflecting malnutrition or further liver involvement. Lactate dehydrogenase (LDH) levels were within normal limits. Additionally, mild hyperglycemia was present, possibly associated with altered cancer metabolism. Some laboratory parameters were found to be within normal limits (Table SI).

Table I

Variants of uncertain significance in a patient with early-onset of ductal pancreatic adenocarcinoma: A genomic molecular study.

Table I

Variants of uncertain significance in a patient with early-onset of ductal pancreatic adenocarcinoma: A genomic molecular study.

GeneResultRegionTranscriptFrequency (%)Level of mutation
MSH3p.A57_A62del (c.162_179del)EX1NM_002439.51.92Tier III
MUC1p.P143Q (c.428C>A)EX2NM_001371720.11.56Tier III
CHD1p.S1687F (c.5060C>T)EX36ENM_001270.40.51Tier III
ZC3H7Bp.T833M (c.2498 C>T)EX21NM_017590.60.24Tier III
MUC16p.S2342Ll (c.7025C>T)EX1NM_024690.20.16Tier III
ERBB2p.S413L (c.1238C>T)EX11NM_004448.40.14Tier III
AFDNp.E838K (c.2512G>A)EX19NM_001386888.10.1%Tier III

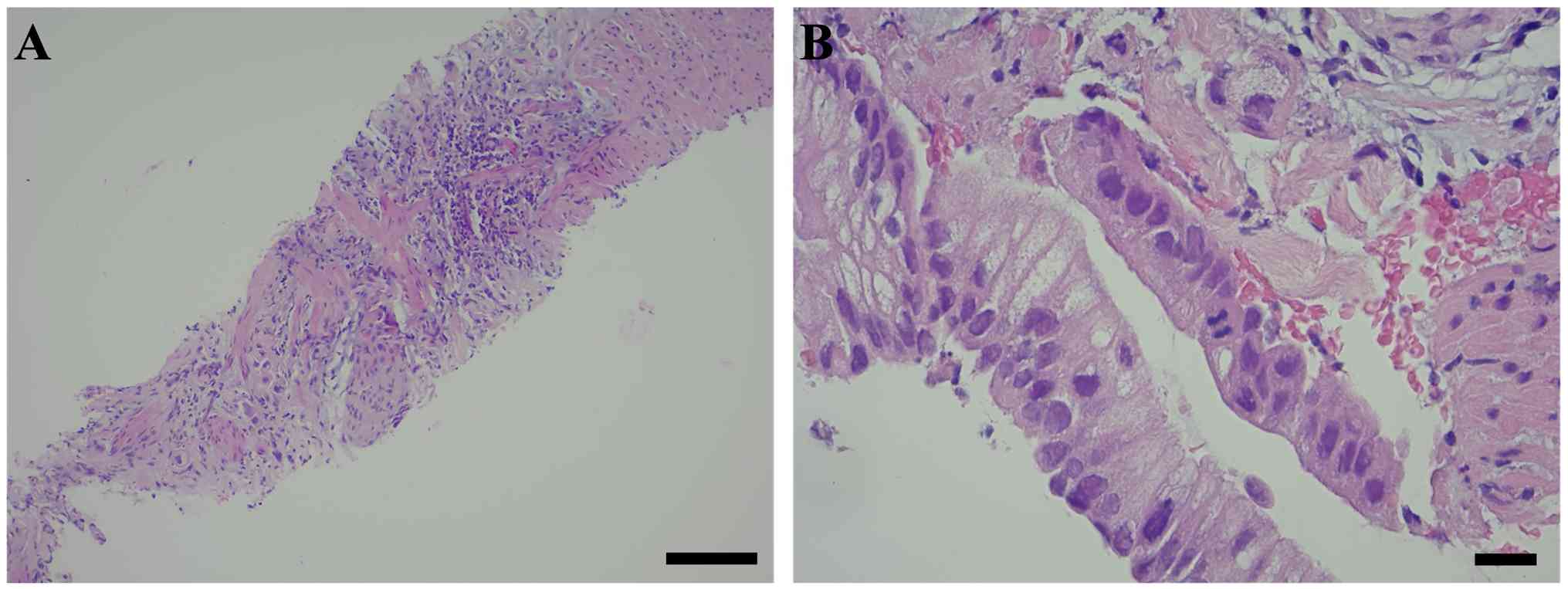
An endoscopic ultrasound-guided biopsy was performed. Histological examination using H&E (Sigma-Aldrich; Merck KGaA) was performed. Tissue specimens were fixed in 10% neutral buffered formalin at room temperature for 24-48 h, followed by routine processing and paraffin embedding. Paraffin sections were cut manually to a thickness of 4 µm and mounted on glass slides. Staining was performed manually using commercially available reagents (Sigma-Aldrich; Merck KGaA) according to the manufacturer's instructions. Staining was performed using hematoxylin for ~5 min and eosin for 1-2 min, both carried out at room temperature. Histological assessment was performed using light microscopy. Staining revealed fibroconnective tissue exhibiting a desmoplastic reaction and a chronic non-specific inflammatory response infiltrated by isolated clusters of epithelial neoplastic malignant cells. No normal glandular pancreatic structures were observed (Fig. 1A). At higher magnification, another fragment of fibroconnective tissue was noted, infiltrated by isolated neoplastic malignant epithelial cells containing mucin-filled vacuoles (upper right), alongside atypical glandular epithelium displaying architectural disarray and high-grade nuclear and cytological atypia (upper left and central). These findings are consistent with high-grade dysplasia, potentially indicative of pancreatic intraepithelial neoplasia, PanIN 3 (high-grade; Fig. 1B).

Representative photomicrographs of the
pancreatic lesion submitted for histopathological analysis. The
sample was obtained by endoscopic ultrasound needle guided-biopsy.
(A) Low-power view showing fibroconnective tissue with a
desmoplastic reaction and chronic non-specific inflammatory
response, infiltrated by isolated single groups of epithelial
neoplastic malignant cells. No normal pancreatic glandular
structures are observed (H&E staining; magnification, x40;
scale bar, 50 µM). (B) Higher-magnification view highlighting
another fragment of fibroconnective tissue infiltrated by isolated
neoplastic malignant epithelial cells with mucin-containing
vacuoles (upper right) and atypical glandular epithelium showing
architectural disarrangement, high grade nuclear and cytological
atypia (upper left and center), compatible with high grade
dysplasia, possibly in context of pancreatic intraepithelial
neoplasia (PanIN-3, high grade) (H&E staining; magnification
x200; scale bar, 10 µM).

Figure 1

Representative photomicrographs of the pancreatic lesion submitted for histopathological analysis. The sample was obtained by endoscopic ultrasound needle guided-biopsy. (A) Low-power view showing fibroconnective tissue with a desmoplastic reaction and chronic non-specific inflammatory response, infiltrated by isolated single groups of epithelial neoplastic malignant cells. No normal pancreatic glandular structures are observed (H&E staining; magnification, x40; scale bar, 50 µM). (B) Higher-magnification view highlighting another fragment of fibroconnective tissue infiltrated by isolated neoplastic malignant epithelial cells with mucin-containing vacuoles (upper right) and atypical glandular epithelium showing architectural disarrangement, high grade nuclear and cytological atypia (upper left and center), compatible with high grade dysplasia, possibly in context of pancreatic intraepithelial neoplasia (PanIN-3, high grade) (H&E staining; magnification x200; scale bar, 10 µM).

Radiological assessments indicated that the lesion in the initial portion of the duodenum lacked a discernible division plane, resulting in dilation of the central pancreatic duct and mild tail atrophy. Vascular structures, including the celiac trunk and superior mesenteric artery, appeared to maintain a division plane with the neoplasm (Fig. 2A). PET-CT revealed three focal hypodense liver lesions in segments VI, IVa, and II, all without metabolic activity (Fig. 2A). One lesion was suspicious for metastasis on PET-CT (Fig. 2B, dotted circle) and was subsequently confirmed on MRI, which demonstrated ring-like enhancement following gadolinium administration on ADC-weighted imaging (Fig. 2C, dotted circle). Several focal hepatic lesions with a non-suspicious appearance, such as hemangiomas, were also noted (Fig. 3). A mass was identified in the head of the pancreas (Fig. 3A, dashed circles), exhibiting perivascular invasion that compromised the superior mesenteric artery, inferior vena cava and abdominal aorta (Fig. 3C, dotted circle). The lesion appeared hyperintense on T2-weighted images (Fig. 3A-C, circles). Dixon-weighted sequence post-gadolinium administration demonstrated heterogeneous enhancement, which was highly suggestive of an aggressive neoplastic process (Fig. 3D, dashed circle). The out-of-phase image from the dual fast-field echo sequence displayed a heterogeneous signal intensity, indicating a hemorrhagic component and/or associated vascular changes (Fig. 3E, dashed circle). Furthermore, restricted diffusion of water molecules was observed on high-value diffusion-weighted imaging, supporting this diagnosis (Fig. 3F, dashed circle). Collectively, these imaging findings confirmed the diagnosis of an unresectable PDAC (T4N0M1; Grade IV).

FDG PET-CT in early-onset of
pancreatic ductal adenocarcinoma. (A) Imaging reveals increased FDG
uptake in the pancreatic head region (dashed circle). (B) A
suspected metastatic lesion in the liver was identified (dotted
circle). (C) The lesion was confirmed on MRI as a ring-like
enhancement after gadolinium administration on apparent diffusion
coefficient-weighted imaging (dot-dashed circle). FDG,
fluorodeoxyglucose, PET, positron emission tomography, CT, computed
tomography.

Figure 2

FDG PET-CT in early-onset of pancreatic ductal adenocarcinoma. (A) Imaging reveals increased FDG uptake in the pancreatic head region (dashed circle). (B) A suspected metastatic lesion in the liver was identified (dotted circle). (C) The lesion was confirmed on MRI as a ring-like enhancement after gadolinium administration on apparent diffusion coefficient-weighted imaging (dot-dashed circle). FDG, fluorodeoxyglucose, PET, positron emission tomography, CT, computed tomography.

Abdominal MRI of early-onset of ductal
pancreatic adenocarcinoma. (A) A lesion is visible in the
pancreatic head (dashed circles), demonstrating signs of
perivascular invasion. (A-C) The mass appears hyperintense on
T2-weighted images. (D) A Dixon-weighted sequence with gadolinium
contrast reveals heterogeneous enhancement. (E) The out-of-phase
image from the dual fast-field echo sequence shows heterogeneous
signal intensity, suggestive of a hemorrhagic component. (F)
Vascular involvement is evident along with restricted diffusion of
water molecules on high-b-value DWI, consistent with malignancy.
MRI, magnetic resonance imaging; DWI, diffusion-weighted
imaging.

Figure 3

Abdominal MRI of early-onset of ductal pancreatic adenocarcinoma. (A) A lesion is visible in the pancreatic head (dashed circles), demonstrating signs of perivascular invasion. (A-C) The mass appears hyperintense on T2-weighted images. (D) A Dixon-weighted sequence with gadolinium contrast reveals heterogeneous enhancement. (E) The out-of-phase image from the dual fast-field echo sequence shows heterogeneous signal intensity, suggestive of a hemorrhagic component. (F) Vascular involvement is evident along with restricted diffusion of water molecules on high-b-value DWI, consistent with malignancy. MRI, magnetic resonance imaging; DWI, diffusion-weighted imaging.

Genomic analysis was performed by BGI on circulating tumor DNA (ctDNA) using the Sentis™ Cancer + Discovery panel, a targeted 816-gene NGS assay on the DNBSEQ-G400/T7 platform with high sequencing depth (≥2700X). Sequencing and library preparation were performed according to the manufacturer's protocols, and variants were interpreted using the BGI Shizhen Database, which provides guidance on targeted therapy, chemotherapy, immunotherapy, and hereditary tumor risk assessment. KRAS mutations were not detected, but multiple variants of uncertain significance (VUS) were detected in the following genes: MSH3 (1.92%); MUC1 (1.56%), CHD1 (0.51%), ZC3H7B (0.24%), MUC16 (0.16%), ERBB2 (0.14%) and AFDN (0.12%). Furthermore, it revealed low microsatellite stability (MSI-L/MSS) and low tumor mutational burden (bTMB: 1.26 Muts/Mb). No pathogenic germline mutations were identified in this patient (Table I).

Given the advanced stage and initially unresectable nature of the disease, first-line systemic therapy with eight cycles of FOLFIRINOX was initiated, resulting in disease stabilization without radiological disease progression. Nevertheless, the rarity of this presentation and the limited clinical benefit observed with chemotherapy alone led to a reassessment of the therapeutic approach, resulting in a reconsideration of surgical management. As the disease progresses, these findings support the need to explore additional therapeutic strategies, including human epidermal growth factor receptor 2 (HER2)-targeted approaches.

Discussion

PDAC is characterized by KRAS mutations, which exhibit a high frequency of constitutive activation in 90% of cases. The patient in this case report presented with advanced clinical progression of pancreatic cancer, marked by obstructive jaundice and abdominal pain radiating to the back. Among these symptoms, abdominal pain tends to be the most prevalent, occurring in 79% of cases (10). Physical examination typically reveals a palpable epigastric mass in only 9% of cases (11). Obstructive jaundice results from common bile duct obstruction caused by a mass in the pancreatic head (12). These findings indicated an advanced stage of pancreatic cancer with hepatic and systemic involvement, consistent with the PET-CT results showing three hypodense focal lesions in liver segments VI, IVa and II (≤9 mm) without increased metabolic activity.

Given the diagnostic and prognostic significance of tumor markers in pancreatic cancer, CA19-9 is the most widely used biomarker in clinical practice. In symptomatic patients, levels >37 U/ml demonstrate a sensitivity of 79-80% and specificity of 82-90%, whilst values >100 U/ml reach a specificity of 98% (13). However, its utility as a screening tool in the general population is limited, with a positive predictive value of only 0.9%. Additionally, ~10% of the population lacks the Lewis blood group antigen, which is required for CA19-9 production, leading to reduced sensitivity (14,15). Although CA19-9 is not specific for the initial diagnosis, it can also be elevated in other malignancies, including biliary, gastric, colorectal, liver and lung cancers. Instead, its primary value lies in disease monitoring, treatment response assessment and recurrence detection. In the present case, the CA19-9 level was recorded at 1 U/ml, which is an unusually low value for symptomatic, unresectable and metastatic pancreatic adenocarcinoma. MicroRNAs (miR) detected in blood, such as miR-21, miR-155, miR-196a and miR-200c, have shown significant diagnostic and prognostic potential in PDAC and can be incorporated as complementary biomarkers (16).

To further investigate the molecular profile of the tumor and advance the diagnostic workup, liquid biopsy was performed. The analysis identified seven mutations of uncertain significance. Notably, the KRAS oncogene was not detected, which was an atypical finding, since invasive ductal adenocarcinomas exhibit the highest frequency of KRAS alterations, with constitutive activation in ~90% of the cases. In the absence of KRAS mutations, further liquid biopsy analysis identified seven VUS. One such VUS was the MUC1 gene, in which the amino acid proline, encoded by codon 143 exon 2, is substituted by glutamine. MUC1 encodes mucin 1, a component of mucus that lubricates and protects various body surfaces, including the respiratory, digestive and reproductive tracts (17). This gene is expressed in nearly all pancreaticobiliary and invasive PDACs. In tumor contexts, MUC1 protein expression is predominantly localized to the luminal membrane of duct-forming regions but may also be detected in the cytoplasm of poorly differentiated areas, a pattern associated with increased tumor aggressiveness (18,19). MUC1 homodimers interact with HER2 to facilitate constitutive activation. Furthermore, they may stabilize HER2-HER3 and HER2-EGFR heterodimers, thereby extending downstream signaling, even in the absence of ligand stimulation, likely by enhancing the stability of these receptor complexes (20). The Cancer Genome Atlas reports that MUC1 mutations are present in ~0.56% pancreatic adenocarcinoma cases, underscoring the low frequency of this gene mutation in this malignancy. It is also well known that the frequency of HERBB2 overexpression in PDAC is low (21). In a previous study of 37,864 cases, 2,072 (5.47%) were identified as pancreatic adenocarcinomas, of which 2.7% tested positive for HER2. Mutations in ERBB2 have been reported in 1.8% of various cancers according to analyses of 7,300 solid tumor samples, with the highest prevalence observed in breast, lung, ovarian, and colon cancers (22,23).

In the present case, the S413L mutation (c.1238C>T) was identified in exon 11 of ERBB2, resulting in a serine-to-leucine substitution due to a single nucleotide change. This variant is classified as a VUS according to the American College of Medical Genetics and Genomics criteria as implemented by Franklin (https://franklin.genoox.com/) (24). Although it meets some pathogenic indicators, such as PM2 (absence in healthy populations, extremely low frequency) and PP2 (high prevalence of pathogenic missense variants in ERBB2), there is no conclusive evidence that it is a pathogenic mutation. Notably, to the best of our knowledge, this mutation has not been previously reported in PDAC and refractory metastatic breast cancer (25).

Consequently, therapeutic decisions should not be based on this variant as there is no substantial evidence supporting its pathogenicity or functional role in pancreatic cancer. Future investigations into its relevance to tumor biology and its association with targeted therapies could enhance its clinical significance. Translational research and precision medicine will be crucial to determine its potential as a future biomarker. Notably, no mutations were identified in the four most frequently described genes involved in PDAC tumorigenesis, which may indicate the involvement of an alternative, non-canonical molecular pathway in this context.

In conclusion, the present case report of an early onset PDAC with atypical mutations and the absence of the four central driver genes highlight an uncommon molecular profile. The lack of mutations in KRAS, TP53, CDKN2A and SMAD4, together with the presence of mutations in ERBB2 S413L, MSH3 and MUC1/MUC16, suggests a non-canonical oncogenic pathway driving tumor progression independently of the currently known classical PDAC mechanisms. In the present case, the exceptionally low levels of CA19-9, despite metastatic disease, highlights known limitations of this biomarker and suggests that alternative or complementary biomarkers may be needed in selecting patient subsets. Furthermore, the presence of multiple VUS, the lack of reported cases with the same mutations in other pancreatic cancer reports, poor response to FOLFIRINOX and the rapid clinical progression highlight the urgency of exploring targeted therapies and reinforce the value of precision medicine in advanced PDAC.

Supplementary Material

Laboratory test results across the clinical course.

Acknowledgements

Not applicable.

Funding

Funding: The present study was funded by Fondo Nacional de Desarrollo Científico y Tecnológico (FONDECYT; grant no. 1221499).

Availability of data and materials

The data generated in the present study may be found in the NCBI Sequence Read Archive under SRA run accession no. SRR36377907 or at the following URL: https://www.ncbi.nlm.nih.gov/sra/SRX31406456.

Authors' contributions

MEA, CSMA, FGV, IS, INR and BGB were involved in the conceptualization of the study. TDMG, MMM, AG, CS, FP and PA contributed to the study methodology, including clinical data collection, molecular analysis, and data interpretation. ACS, MGV, FSC, IC, HB, MAS, JME, PAM and JAR, performed the investigations and data acquisition. JAG and MG were involved in the study conceptualization, wrote the original draft, and reviewed and edited the manuscript to produce the final version. JAG and MG confirm the authenticity of all the raw data. All authors have read and approved the final manuscript.

Ethics approval and consent to participate

This case report was performed following the ethical standards of the ‘Declaration of Helsinki’ (1964) and its later amendments.

Patient consent for publication

The patient provided written informed consent for the publication of this case report and the accompanying diagnostic images.

Competing interests

MG has been involved as a principal investigator in clinical trials from Merck Sharp & Dohme, Bristol Myers Squibb, Novartis, Roche, Astellas, Deciphera, Thermo Fisher Scientific, IMS Health and Quintiles (IQVIA), Bayer, Principia, Covance, Daiichi-Sankyo, Basilea, PRA-Exelisis, Syneos and Zimeworks. All other authors declare that they have no competing interests.

References

1 

International Agency for Research on Cancer. Pancreas Fact Sheet. International Agency for Research on Cancer. Lyon. Available from: https://gco.iarc.who.int/media/globocan/factsheets/cancers/13-pancreas-fact-sheet.pdf. Accessed February 20, 2025.

2 

International Agency for Research on Cancer. Cancer Tomorrow. Global Cancer Observatory. Available from: https://gco.iarc.who.int/tomorrow/en/dataviz/isotype?cancers=13&single_unit=50000&years=2050. Accessed February 20, 2025.

3 

Chilean Society of Gastroenterology. World Pancreatic Cancer Day-Significant increase in pancreatic cancer in the coming years: Is there a possibility of reversing this situation? SCHGE, Santiago, 2024. Available from: https://sociedadgastro.cl/gastroweb/index.php/prensa/prensa-schge/572-dia-mundial-contra-el-cancer-de-pancreas-importante-incremento-en-el-cancer-de-pancreas-en-los-proximos-anos-existe-posibilidad-de-revertir-esta-situacion. Accessed May 6, 2025.

4 

Department of Health Statistics and Information. Santiago: Ministry of Health of Chile (MINSAL). Available from: https://informesdeis.minsal.cl/SASVisualAnalytics/?reportUri=%2Freports%2Freports%2Fbcf6e81f-d7f9-4f69-8703-9a83c3eb5da9&sectionIndex=0&sso_guest=true&reportViewOnly=true&reportContextBar=false&sas-welcome=false. Accessed October 10, 2023.

5 

International Agency for Research on Cancer. Chile fact sheet. Global Cancer Observatory. Available from: https://gco.iarc.who.int/media/globocan/factsheets/populations/152-chile-fact-sheet.pdf. Accessed February 20, 2025.

6 

Puckett Y and Garfield K: Pancreatic Cancer. In: StatPearls. StatPearls Publishing, Treasure Island, FL, 2025.

7 

He TC, Li JA, Xu ZH, Chen QD, Yin HL, Pu N, Wang WQ and Liu L: Biological and clinical implications of early-onset cancers: A unique subtype. Crit Rev Oncol Hematol. 190(104120)2023.PubMed/NCBI View Article : Google Scholar

8 

Hu ZI and O'Reilly EM: Therapeutic developments in pancreatic cancer. Nat Rev Gastroenterol Hepatol. 21:7–24. 2024.PubMed/NCBI View Article : Google Scholar

9 

Goldman KC (ed): Tratado de Medicina Interna. 27th edition. Elsevier, Amsterdam, pp1354-1357, 2024.

10 

Luo J: KRAS mutation in pancreatic cancer. Semin Oncol. 48:10–18. 2021.PubMed/NCBI View Article : Google Scholar

11 

Park W, Chawla A and O'Reilly EM: Pancreatic cancer: A review. JAMA. 326:851–862. 2021.PubMed/NCBI View Article : Google Scholar

12 

Porta M, Fabregat X, Malats N, Guarner L, Carrato A, de Miguel A, Ruiz L, Jariod M, Costafreda S, Coll S, et al: Exocrine pancreatic cancer: Symptoms at presentation and their relation to tumour site and stage. Clin Transl Oncol. 7:189–197. 2005.PubMed/NCBI View Article : Google Scholar

13 

Kleeff J, Korc M, Apte M, La Vecchia C, Johnson CD, Biankin AV, Neale RE, Tempero M, Tuveson DA, Hruban RH and Neoptolemos JP: Pancreatic cancer. Nat Rev Dis Primers. 2(16022)2016.PubMed/NCBI View Article : Google Scholar

14 

Kamisawa T, Wood LD, Itoi T and Takaori K: Pancreatic cancer. Lancet. 388:73–85. 2016.PubMed/NCBI View Article : Google Scholar

15 

Ye C, Sadula A, Ren S, Guo X, Yuan M, Yuan C and Xiu D: The prognostic value of CA19-9 response after neoadjuvant therapy in patients with pancreatic cancer: A systematic review and pooled analysis. Cancer Chemother Pharmacol. 86:731–740. 2020.PubMed/NCBI View Article : Google Scholar

16 

Parra-Robert M, Santos VM, Canis SM, Pla XF, Fradera JMA and Porto RM: Relationship between CA 19.9 and the lewis phenotype: Options to improve diagnostic efficiency. Anticancer Res. 38:5883–5888. 2018.PubMed/NCBI View Article : Google Scholar

17 

Ozawa H, Takahashi K, Motegi T, Jacobi J, Bhattarchya A, Shigeta K, Takamori S, Onishi M, Luan Z, Fukuda K, et al: Targeting KRAS inhibitor-resistant pancreatic cancer with an MUC1-C antibody-drug conjugate. Clin Cancer Res. 31:5246–5260. 2025.PubMed/NCBI View Article : Google Scholar

18 

Hull A, Li Y, Bartholomeusz D, Hsieh W, Tieu W, Pukala TL, Staudacher AH and Bezak E: Preliminary development and testing of C595 radioimmunoconjugates for targeting MUC1 cancer epitopes in pancreatic ductal adenocarcinoma. Cells. 11(2983)2022.PubMed/NCBI View Article : Google Scholar

19 

Basturk O, Hong SM, Wood LD, Adsay NV, Albores-Saavedra J, Biankin AV, Brosens LA, Fukushima N, Goggins M, Hruban RH, et al: A revised classification system and recommendations from the Baltimore consensus meeting for neoplastic precursor lesions in the pancreas. Am J Surg Pathol. 39:1730–1741. 2015.PubMed/NCBI View Article : Google Scholar

20 

Raina D, Uchida Y, Kharbanda A, Rajabi H, Panchamoorthy G, Jin C, Kharbanda S, Scaltriti M, Baselga J and Kufe D: Targeting the MUC1-C oncoprotein downregulates HER2 activation and abrogates trastuzumab resistance in breast cancer cells. Oncogene. 33:3422–3431. 2014.PubMed/NCBI View Article : Google Scholar

21 

Yan M, Schwaederle M, Arguello D, Millis SZ, Gatalica Z and Kurzrock R: HER2 expression status in diverse cancers: Review of results from 37,992 patients. Cancer Metastasis Rev. 34:157–164. 2015.PubMed/NCBI View Article : Google Scholar

22 

Chou A, Waddell N, Cowley MJ, Gill AJ, Chang DK, Patch AM, Nones K, Wu J, Pinese M, Johns AL, et al: Clinical and molecular characterization of HER2 amplified-pancreatic cancer. Genome Med. 5(78)2013.PubMed/NCBI View Article : Google Scholar

23 

Chmielecki J, Ross JS, Wang K, Frampton GM, Palmer GA, Ali SM, Palma N, Morosini D, Miller VA, Yelensky R, et al: Oncogenic alterations in ERBB2/HER2 represent potential therapeutic targets across tumors from diverse anatomic sites of origin. Oncologist. 20:7–12. 2015.PubMed/NCBI View Article : Google Scholar

24 

Richards S, Aziz N, Bale S, Bick D, Das S, Gastier-Foster J, Grody WW, Hegde M, Lyon E, Spector E, et al: Standards and guidelines for the interpretation of sequence variants: A joint consensus recommendation of the American college of medical genetics and genomics and the association for molecular pathology. Genet Med. 17:405–424. 2015.PubMed/NCBI View Article : Google Scholar

25 

Park YH, Shin HT, Jung HH, Choi YL, Ahn T, Park K, Lee A, Do IG, Kim JY, Ahn JS, et al: Role of HER2 mutations in refractory metastatic breast cancers: Targeted sequencing results in patients with refractory breast cancer. Oncotarget. 6:32027–32038. 2015.PubMed/NCBI View Article : Google Scholar

Related Articles

  • Abstract
  • View
  • Download
  • Twitter
Copy and paste a formatted citation
Spandidos Publications style
Avendaño ME, San Martin Abello C, Gómez‑Valenzuela F, Silva I, Retamal IN, García‑Bloj B, De Mayo Glaser T, Muñoz‑Medel M, Gómez A, Sánchez C, Sánchez C, et al: Clinically aggressive early‑onset pancreatic ductal adenocarcinoma with KRAS wild‑type status: A case report. Biomed Rep 24: 55, 2026.
APA
Avendaño, M.E., San Martin Abello, C., Gómez‑Valenzuela, F., Silva, I., Retamal, I.N., García‑Bloj, B. ... Garrido, M. (2026). Clinically aggressive early‑onset pancreatic ductal adenocarcinoma with KRAS wild‑type status: A case report. Biomedical Reports, 24, 55. https://doi.org/10.3892/br.2026.2128
MLA
Avendaño, M. E., San Martin Abello, C., Gómez‑Valenzuela, F., Silva, I., Retamal, I. N., García‑Bloj, B., De Mayo Glaser, T., Muñoz‑Medel, M., Gómez, A., Sánchez, C., Pinto, F., Aravena, P., Sabioncello, A. C., Garrido Villanueva, M., Sigler Chávez, F., Corvalán, I., Barrios, H., Sáez, M. A., Erpel, J. M., Manque, P. A., Rios, J. A., Godoy, J. A., Garrido, M."Clinically aggressive early‑onset pancreatic ductal adenocarcinoma with KRAS wild‑type status: A case report". Biomedical Reports 24.5 (2026): 55.
Chicago
Avendaño, M. E., San Martin Abello, C., Gómez‑Valenzuela, F., Silva, I., Retamal, I. N., García‑Bloj, B., De Mayo Glaser, T., Muñoz‑Medel, M., Gómez, A., Sánchez, C., Pinto, F., Aravena, P., Sabioncello, A. C., Garrido Villanueva, M., Sigler Chávez, F., Corvalán, I., Barrios, H., Sáez, M. A., Erpel, J. M., Manque, P. A., Rios, J. A., Godoy, J. A., Garrido, M."Clinically aggressive early‑onset pancreatic ductal adenocarcinoma with KRAS wild‑type status: A case report". Biomedical Reports 24, no. 5 (2026): 55. https://doi.org/10.3892/br.2026.2128
Copy and paste a formatted citation
x
Spandidos Publications style
Avendaño ME, San Martin Abello C, Gómez‑Valenzuela F, Silva I, Retamal IN, García‑Bloj B, De Mayo Glaser T, Muñoz‑Medel M, Gómez A, Sánchez C, Sánchez C, et al: Clinically aggressive early‑onset pancreatic ductal adenocarcinoma with KRAS wild‑type status: A case report. Biomed Rep 24: 55, 2026.
APA
Avendaño, M.E., San Martin Abello, C., Gómez‑Valenzuela, F., Silva, I., Retamal, I.N., García‑Bloj, B. ... Garrido, M. (2026). Clinically aggressive early‑onset pancreatic ductal adenocarcinoma with KRAS wild‑type status: A case report. Biomedical Reports, 24, 55. https://doi.org/10.3892/br.2026.2128
MLA
Avendaño, M. E., San Martin Abello, C., Gómez‑Valenzuela, F., Silva, I., Retamal, I. N., García‑Bloj, B., De Mayo Glaser, T., Muñoz‑Medel, M., Gómez, A., Sánchez, C., Pinto, F., Aravena, P., Sabioncello, A. C., Garrido Villanueva, M., Sigler Chávez, F., Corvalán, I., Barrios, H., Sáez, M. A., Erpel, J. M., Manque, P. A., Rios, J. A., Godoy, J. A., Garrido, M."Clinically aggressive early‑onset pancreatic ductal adenocarcinoma with KRAS wild‑type status: A case report". Biomedical Reports 24.5 (2026): 55.
Chicago
Avendaño, M. E., San Martin Abello, C., Gómez‑Valenzuela, F., Silva, I., Retamal, I. N., García‑Bloj, B., De Mayo Glaser, T., Muñoz‑Medel, M., Gómez, A., Sánchez, C., Pinto, F., Aravena, P., Sabioncello, A. C., Garrido Villanueva, M., Sigler Chávez, F., Corvalán, I., Barrios, H., Sáez, M. A., Erpel, J. M., Manque, P. A., Rios, J. A., Godoy, J. A., Garrido, M."Clinically aggressive early‑onset pancreatic ductal adenocarcinoma with KRAS wild‑type status: A case report". Biomedical Reports 24, no. 5 (2026): 55. https://doi.org/10.3892/br.2026.2128
Follow us
  • Twitter
  • LinkedIn
  • Facebook
About
  • Spandidos Publications
  • Careers
  • Cookie Policy
  • Privacy Policy
How can we help?
  • Help
  • Live Chat
  • Contact
  • Email to our Support Team