Spandidos Publications Logo
  • About
    • About Spandidos
    • Aims and Scopes
    • Abstracting and Indexing
    • Editorial Policies
    • Reprints and Permissions
    • Job Opportunities
    • Terms and Conditions
    • Contact
  • Journals
    • All Journals
    • Oncology Letters
      • Oncology Letters
      • Information for Authors
      • Editorial Policies
      • Editorial Board
      • Aims and Scope
      • Abstracting and Indexing
      • Bibliographic Information
      • Archive
    • International Journal of Oncology
      • International Journal of Oncology
      • Information for Authors
      • Editorial Policies
      • Editorial Board
      • Aims and Scope
      • Abstracting and Indexing
      • Bibliographic Information
      • Archive
    • Molecular and Clinical Oncology
      • Molecular and Clinical Oncology
      • Information for Authors
      • Editorial Policies
      • Editorial Board
      • Aims and Scope
      • Abstracting and Indexing
      • Bibliographic Information
      • Archive
    • Experimental and Therapeutic Medicine
      • Experimental and Therapeutic Medicine
      • Information for Authors
      • Editorial Policies
      • Editorial Board
      • Aims and Scope
      • Abstracting and Indexing
      • Bibliographic Information
      • Archive
    • International Journal of Molecular Medicine
      • International Journal of Molecular Medicine
      • Information for Authors
      • Editorial Policies
      • Editorial Board
      • Aims and Scope
      • Abstracting and Indexing
      • Bibliographic Information
      • Archive
    • Biomedical Reports
      • Biomedical Reports
      • Information for Authors
      • Editorial Policies
      • Editorial Board
      • Aims and Scope
      • Abstracting and Indexing
      • Bibliographic Information
      • Archive
    • Oncology Reports
      • Oncology Reports
      • Information for Authors
      • Editorial Policies
      • Editorial Board
      • Aims and Scope
      • Abstracting and Indexing
      • Bibliographic Information
      • Archive
    • Molecular Medicine Reports
      • Molecular Medicine Reports
      • Information for Authors
      • Editorial Policies
      • Editorial Board
      • Aims and Scope
      • Abstracting and Indexing
      • Bibliographic Information
      • Archive
    • World Academy of Sciences Journal
      • World Academy of Sciences Journal
      • Information for Authors
      • Editorial Policies
      • Editorial Board
      • Aims and Scope
      • Abstracting and Indexing
      • Bibliographic Information
      • Archive
    • International Journal of Functional Nutrition
      • International Journal of Functional Nutrition
      • Information for Authors
      • Editorial Policies
      • Editorial Board
      • Aims and Scope
      • Abstracting and Indexing
      • Bibliographic Information
      • Archive
    • International Journal of Epigenetics
      • International Journal of Epigenetics
      • Information for Authors
      • Editorial Policies
      • Editorial Board
      • Aims and Scope
      • Abstracting and Indexing
      • Bibliographic Information
      • Archive
    • Medicine International
      • Medicine International
      • Information for Authors
      • Editorial Policies
      • Editorial Board
      • Aims and Scope
      • Abstracting and Indexing
      • Bibliographic Information
      • Archive
  • Articles
  • Information
    • Information for Authors
    • Information for Reviewers
    • Information for Librarians
    • Information for Advertisers
    • Conferences
  • Language Editing
Spandidos Publications Logo
  • About
    • About Spandidos
    • Aims and Scopes
    • Abstracting and Indexing
    • Editorial Policies
    • Reprints and Permissions
    • Job Opportunities
    • Terms and Conditions
    • Contact
  • Journals
    • All Journals
    • Biomedical Reports
      • Information for Authors
      • Editorial Policies
      • Editorial Board
      • Aims and Scope
      • Abstracting and Indexing
      • Bibliographic Information
      • Archive
    • Experimental and Therapeutic Medicine
      • Information for Authors
      • Editorial Policies
      • Editorial Board
      • Aims and Scope
      • Abstracting and Indexing
      • Bibliographic Information
      • Archive
    • International Journal of Epigenetics
      • Information for Authors
      • Editorial Policies
      • Editorial Board
      • Aims and Scope
      • Abstracting and Indexing
      • Bibliographic Information
      • Archive
    • International Journal of Functional Nutrition
      • Information for Authors
      • Editorial Policies
      • Editorial Board
      • Aims and Scope
      • Abstracting and Indexing
      • Bibliographic Information
      • Archive
    • International Journal of Molecular Medicine
      • Information for Authors
      • Editorial Policies
      • Editorial Board
      • Aims and Scope
      • Abstracting and Indexing
      • Bibliographic Information
      • Archive
    • International Journal of Oncology
      • Information for Authors
      • Editorial Policies
      • Editorial Board
      • Aims and Scope
      • Abstracting and Indexing
      • Bibliographic Information
      • Archive
    • Medicine International
      • Information for Authors
      • Editorial Policies
      • Editorial Board
      • Aims and Scope
      • Abstracting and Indexing
      • Bibliographic Information
      • Archive
    • Molecular and Clinical Oncology
      • Information for Authors
      • Editorial Policies
      • Editorial Board
      • Aims and Scope
      • Abstracting and Indexing
      • Bibliographic Information
      • Archive
    • Molecular Medicine Reports
      • Information for Authors
      • Editorial Policies
      • Editorial Board
      • Aims and Scope
      • Abstracting and Indexing
      • Bibliographic Information
      • Archive
    • Oncology Letters
      • Information for Authors
      • Editorial Policies
      • Editorial Board
      • Aims and Scope
      • Abstracting and Indexing
      • Bibliographic Information
      • Archive
    • Oncology Reports
      • Information for Authors
      • Editorial Policies
      • Editorial Board
      • Aims and Scope
      • Abstracting and Indexing
      • Bibliographic Information
      • Archive
    • World Academy of Sciences Journal
      • Information for Authors
      • Editorial Policies
      • Editorial Board
      • Aims and Scope
      • Abstracting and Indexing
      • Bibliographic Information
      • Archive
  • Articles
  • Information
    • For Authors
    • For Reviewers
    • For Librarians
    • For Advertisers
    • Conferences
  • Language Editing
Login Register Submit
  • This site uses cookies
  • You can change your cookie settings at any time by following the instructions in our Cookie Policy. To find out more, you may read our Privacy Policy.

    I agree
Search articles by DOI, keyword, author or affiliation
Search
Advanced Search
presentation
Biomedical Reports
Join Editorial Board Propose a Special Issue
Print ISSN: 2049-9434 Online ISSN: 2049-9442
Journal Cover
May-2026 Volume 24 Issue 5

Full Size Image

Sign up for eToc alerts
Recommend to Library

Journals

International Journal of Molecular Medicine

International Journal of Molecular Medicine

International Journal of Molecular Medicine is an international journal devoted to molecular mechanisms of human disease.

International Journal of Oncology

International Journal of Oncology

International Journal of Oncology is an international journal devoted to oncology research and cancer treatment.

Molecular Medicine Reports

Molecular Medicine Reports

Covers molecular medicine topics such as pharmacology, pathology, genetics, neuroscience, infectious diseases, molecular cardiology, and molecular surgery.

Oncology Reports

Oncology Reports

Oncology Reports is an international journal devoted to fundamental and applied research in Oncology.

Experimental and Therapeutic Medicine

Experimental and Therapeutic Medicine

Experimental and Therapeutic Medicine is an international journal devoted to laboratory and clinical medicine.

Oncology Letters

Oncology Letters

Oncology Letters is an international journal devoted to Experimental and Clinical Oncology.

Biomedical Reports

Biomedical Reports

Explores a wide range of biological and medical fields, including pharmacology, genetics, microbiology, neuroscience, and molecular cardiology.

Molecular and Clinical Oncology

Molecular and Clinical Oncology

International journal addressing all aspects of oncology research, from tumorigenesis and oncogenes to chemotherapy and metastasis.

World Academy of Sciences Journal

World Academy of Sciences Journal

Multidisciplinary open-access journal spanning biochemistry, genetics, neuroscience, environmental health, and synthetic biology.

International Journal of Functional Nutrition

International Journal of Functional Nutrition

Open-access journal combining biochemistry, pharmacology, immunology, and genetics to advance health through functional nutrition.

International Journal of Epigenetics

International Journal of Epigenetics

Publishes open-access research on using epigenetics to advance understanding and treatment of human disease.

Medicine International

Medicine International

An International Open Access Journal Devoted to General Medicine.

Journal Cover
May-2026 Volume 24 Issue 5

Full Size Image

Sign up for eToc alerts
Recommend to Library

  • Article
  • Citations
    • Cite This Article
    • Download Citation
    • Create Citation Alert
    • Remove Citation Alert
    • Cited By
  • Similar Articles
    • Related Articles (in Spandidos Publications)
    • Similar Articles (Google Scholar)
    • Similar Articles (PubMed)
  • Download PDF
  • Download XML
  • View XML
Case Report Open Access

Understanding and managing dextrocardia with situs inversus: A case report

  • Authors:
    • Nihaal Dinesh
    • Madhuvan Hithelmane Sreeramaiah
    • Sai Chakith Matta Ravi
    • Kalabharathi Hampapura Lakkappa Gowda
  • View Affiliations / Copyright

    Affiliations: Department of General Medicine, Akash Institute of Medical Sciences and Research Centre, Bengaluru, Karnataka 562110, India, Department of Cell Biology and Molecular Genetics, Sri Devaraj Urs Academy of Higher Education and Research, Kolar, Karnataka 563103, India, Department of Pharmacology, Jagadguru Sri Shivarathreeshwara Medical College, Jagadguru Sri Shivarathreeshwara Academy of Higher Education and Research, Mysuru, Karnataka 570015, India
    Copyright: © Dinesh et al. This is an open access article distributed under the terms of Creative Commons Attribution License.
  • Article Number: 59
    |
    Published online on: March 18, 2026
       https://doi.org/10.3892/br.2026.2132
  • Expand metrics +
Metrics: Total Views: 0 (Spandidos Publications: | PMC Statistics: )
Metrics: Total PDF Downloads: 0 (Spandidos Publications: | PMC Statistics: )
Cited By (CrossRef): 0 citations Loading Articles...

This article is mentioned in:


Abstract

Dextrocardia with situs inversus is an uncommon congenital disorder in which the heart and other organs in the chest and abdomen are reversed. Although it rarely causes symptoms, it can be linked to heart or systemic disorders and is challenging to diagnose due to its unique architecture. The present report describes the case of a 27-year-old man who presented with sudden breathing problems. A physical examination revealed no heartbeat on the left side and odd cardiac noises. Further electrocardiogram tests revealed classic symptoms of dextrocardia, including right axis deviation and inverted P and T waves in Lead 1. Imaging scans confirmed the diagnosis of dextrocardia with situs inversus totalis, which placed the liver and gallbladder on the left and the spleen on the right. Despite these uncommon structural abnormalities, the patient's heart functioned normally, as shown by echocardiography. The patient was provided with treatment (expectorant and mucolytics) for the breathing symptoms and directed to cardiologists and pulmonologists. The present case emphasizes the significance of conducting a thorough clinical and diagnostic investigation when encountering odd results. The report highlights the importance of practitioners being aware of unusual illnesses, such as situs inversus, to prevent misdiagnoses and unnecessary operations. The case is notable for the absence of structural cardiac damage despite a complete reversal of the internal architecture.

Introduction

Dextrocardia with situs inversus, also known as situs inversus totalis, is a rare congenital condition where the major visceral organs are mirrored from their normal positions. The heart is located on the right side of the thoracic cavity instead of the left, and other organs, such as the liver, spleen, stomach and intestines, are also reversed. This condition occurs in ~1 in 10,000 live births (1). The exact cause of dextrocardia with situs inversus is not fully understood; however, it is believed to involve a combination of genetic and environmental factors. Situs inversus is often inherited in an autosomal recessive manner, meaning both parents must carry a copy of the mutated gene to pass it on to their child (2). Specific genes associated with laterality defects, such as zinc finger protein of the cerebellum 3, located on the X chromosome (Xq26); it encodes a transcription factor critical for early embryonic patterning and regulates signaling pathways (notably NODAL pathway) that establish the left-right body axis. Dynein axonemal heavy chain 5 (DNAH5) encodes a dynein arm motor protein in the outer dynein arm of motile cilia, and DNAH11 is another outer dynein arm heavy chain essential for effective ciliary beating, have been implicated in the development of this condition (3). During normal embryonic development, the organs undergo a complex process of rotation and positioning. In individuals with situs inversus, this process is altered, leading to the mirror-image positioning of the organs. This reversal happens early in embryogenesis, typically within the first few weeks of gestation. People with dextrocardia with situs inversus usually do not have any symptoms directly related to the positioning of their organs and can lead normal, healthy lives (1). However, they may be at an increased risk for certain complications, such as Kartagener syndrome (OMIM: 244400). Approximately 25% of individuals with situs inversus have Kartagener syndrome, which includes chronic sinusitis, bronchiectasis and infertility due to ciliary dysfunction. While most individuals with situs inversus have a structurally normal heart, there is an increased incidence of congenital heart defects, such as transposition of the great arteries, atrial septal defects (OMIM: 600747) or ventricular septal defects (OMIM: 600996), and tetralogy of Fallot (4). Dextrocardia with situs inversus is typically diagnosed through imaging studies, including chest X-ray, which reveals the heart's position on the right side of the chest, echocardiogram, which provides detailed images of the heart's structure and function, and abdominal ultrasound or CT scans, which confirm the reversed positioning of the abdominal organs. Management of dextrocardia with situs inversus focuses on monitoring for and addressing any associated conditions or complications. Regular follow-up with a healthcare provider is essential to ensure any potential issues are identified and treated promptly. The prognosis for individuals with dextrocardia with situs inversus is generally good, especially in the absence of significant congenital heart defects or other associated syndromes (5). With appropriate medical care, most individuals can expect to live a normal lifespan.

Case report

Presentation

A 27-year-old man presented to the Akash Institute of Medical Sciences and Research Centre (Bengaluru, India) in May 2023 with a history of a cough with expectoration and fever with chills that had persisted for 4 days. The patient had no known comorbidities, no notable family history of congenital disorders and was born of a non-consanguineous marriage. The patient reported no history of smoking or alcohol consumption.

On examination, the patient's vital signs were as follows: Pulse, 110 bpm (tachycardia); blood pressure, 122/74 mmHg; respiratory rate, 20 cycles per min; SpO2, 96%; and temperature, 99.8˚F. The apex beat was not palpable on the left side and only faint heart sounds were heard in the left hemithorax. Percussion revealed a tympanic note over the right thorax. On abdominal examination, liver dullness was detected on the left side, suggesting visceral transposition (Table I).

Table I

Clinical and diagnostic summary of the patient with dextrocardia and situs inversus.

Table I

Clinical and diagnostic summary of the patient with dextrocardia and situs inversus.

ParameterFindings
Age, years27
SexMale
Date of presentationMay 2023
Place of presentationAkash Institute of Medical Sciences and Research Centre (Bengaluru, India)
Chief complaintsCough with expectoration, fever with chills (4 days duration)
HabitsNon-smoker and non-drinker
ComorbiditiesNone
Vital signsPulse, 110 bpm (tachycardia); blood pressure, 122/74 mmHg; respiratory rate, 20 cpm; SpO2, 96%; temperature, 99.8˚F
Cardiovascular examApex beat not palpable on left; faint heart sounds on left
Respiratory examTympanic percussion note on the right thorax
Abdominal examLiver dullness on the left side
ECG findingsSinus rhythm; right axis deviation; negative QRS in Lead 1; inverted P and T waves in Lead 1; decreasing R wave amplitude from V1 to V6
Imaging investigationsChest X-ray: Dextrocardia suspected. 2D echocardiography: Dextrocardia with normal cardiac function. Abdominal US: Liver and gallbladder on left, spleen on right
Provisional diagnosisDextrocardia with situs inversus
Laboratory tests conducted atAkash Institute of Medical Sciences and Research Centre, (Bengaluru, India)
ManagementSymptomatic treatment (for fever and coughing), referred to a cardiologist and pulmonologist

[i] ECG, electrocardiogram; US, ultrasonography.

Investigations

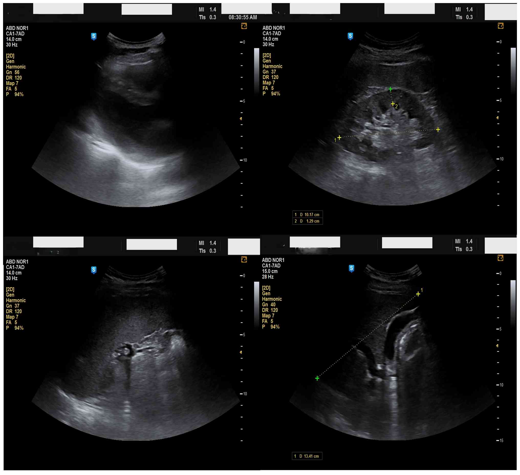
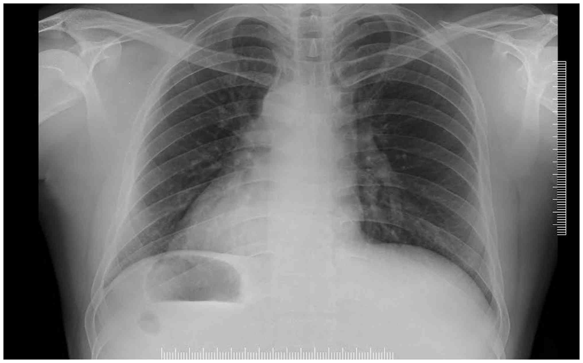
An electrocardiogram revealed sinus rhythm with right axis deviation, a negative QRS complex in Lead 1, and inverted P and T waves in Lead 1, with a progressively decreasing R-wave amplitude from V1 to V6. A chest X-ray demonstrated a right-sided cardiac shadow consistent with dextrocardia (Fig. 1). An electrocardiogram revealed sinus rhythm with right axis deviation, a negative QRS complex in Lead 1, and inverted P and T waves in Lead 1, with a progressively decreasing R-wave amplitude from V1 to V6 (Fig. 2). Ultrasonography showed the spleen on the right (Fig. 3) (splenomegaly 14.5 cm), with normal kidneys, consistent with situs inversus totalis.

Chest X-ray demonstrating a
right-sided cardiac shadow consistent with dextrocardia.

Figure 1

Chest X-ray demonstrating a right-sided cardiac shadow consistent with dextrocardia.

Two-dimensional electrocardiography
report of the patient. I, II and III represent the bipolar ECG
leads and aVR, aVL and aVF represent the augmented unipolar ECG
limb leads. ECG, electrocardiogram.

Figure 2

Two-dimensional electrocardiography report of the patient. I, II and III represent the bipolar ECG leads and aVR, aVL and aVF represent the augmented unipolar ECG limb leads. ECG, electrocardiogram.

Abdominal ultrasonography showing the
spleen in the right hypochondrium.

Figure 3

Abdominal ultrasonography showing the spleen in the right hypochondrium.

Baseline laboratory investigations were also performed. Hematology showed a white blood cell count of 4,910/mm3 (normal 4,000-10,500/mm3), a red blood cell count of 4.29 million/mm3 (normal range, 4.5-5.9 million/mm3) hemoglobin 12.5 g/dl (normal range, 13.5-17.5 g/dl), a packed cell volume of 38.2% (normal range, 41-53%) and a platelet count of 1.64 lakh/mm3 (normal range, 150-400 lakh/mm3). The differential count revealed 65% neutrophils (normal range, 40-70%), 31% lymphocytes (normal range, 20-40%) and 2% monocytes (normal range, 2-8%), with absent eosinophils (normal range, 1-4%) and basophils (normal range, 0-1%). Biochemical tests showed normal renal and liver function, with 0.9 mg/dl serum creatinine (normal range, 0.7-1.3 mg/dl), 9.4 mg/dl urea (normal range, 20-40 mg/dl) and 3.2 mg/dl uric acid (normal range, 3.5-7.2 mg/dl). Inflammatory markers, including erythrocyte sedimentation rate and C-reactive protein, were within normal limits, and troponin-I was negative, ruling out myocardial ischemia.

Serological screening for infectious diseases was negative, including hepatitis B surface antigen, human immunodeficiency virus 1/2, hepatitis C virus and dengue virus [non-structural protein 1 antigen, immunoglobulin (Ig)M and IgG antibodies]. Urine analysis was normal, with no evidence of proteinuria, hematuria or infection.

These electrocardiogram (ECG) findings are characteristic of dextrocardia with situs inversus, which helps in diagnosing the condition. The distinct ECG findings, combined with clinical examination and imaging studies, allowed for a comprehensive understanding of the patient's unique anatomical and physiological presentation.

Outcome and follow-up

The patient was managed with symptomatic treatment, including paracetamol for fever and expectorants for the cough. Paracetamol was provided at 500 mg every 6 h for 3 days and bromhexine was provided at 8 mg three times a day for 3 days. No specific cardiac therapy was required, as echocardiography confirmed normal cardiac function. The patient was referred to the Departments of Cardiology and Pulmonology for further evaluation and follow-up. The respiratory symptoms of the patient improved during the hospital stay, and was discharged in stable condition. At the 3-month follow-up in August 2023, the patient remained asymptomatic and repeat echocardiography showed normal findings. No features were present to suggest Kartagener syndrome, and genetic testing was not pursued. The patient was educated about the implications of situs inversus for emergency and surgical care, and was advised to wear a medical alert bracelet.

Discussion

The present case emphasizes the importance of combining physical examination with electrocardiographic and imaging findings when diagnosing dextrocardia with situs inversus, especially in patients who present with non-specific symptoms. The present patient, a young adult with no known comorbidities, showed normal cardiac anatomy and function despite a complete mirror-image arrangement of the thoracoabdominal organs. The present case highlights the significance of recognizing unique ECG abnormalities that could otherwise lead to misinterpretation and unnecessary testing. Such clinical vigilance is vital to prevent diagnostic errors and overtreatment.

In the present study, differential diagnoses considered at presentation included pneumonia, bronchitis, tuberculosis, congenital heart disease, pericarditis, gastroesophageal reflux disease and cholecystitis. These were excluded based on normal inflammatory markers, negative serology and supportive imaging studies, which confirmed situs inversus totalis with dextrocardia and no structural cardiac defects.

Dextrocardia with situs inversus presents a unique diagnostic challenge due to its frequent association with congenital cardiac anomalies. When dextrocardia is associated with situs solitus, the incidence of notable cardiac defects, such as atrial septal defects, ventricular septal defects and the transposition of the great vessels, is high, reaching 90-95% (6-8). By contrast, patients with situs inversus totalis, as in the present case, often have structurally normal hearts, although other anomalies may still be present.

Associated defects in situs inversus may go beyond the cardiovascular system and include duodenal atresia (OMIM: 223400), asplenism (OMIM: 271400) or polysplenia, ectopic or horseshoe kidneys and various pulmonary abnormalities, such as chronic sinopulmonary infections and bronchiectasis (8). The presence of situs inversus along with primary ciliary dyskinesia (OMIM: 613807) leads to Kartagener syndrome, which is characterized by chronic sinusitis, bronchiectasis and infertility caused by impaired ciliary function (9,10).

The cause of laterality defects such as dextrocardia with situs inversus remains multifactorial. Genetic factors, including mutations in the DNAH5 gene, are essential in disrupting left-right asymmetry during embryogenesis (11). Environmental influences such as maternal diabetes, teratogenic exposure and rare cases of conjoined twinning have also been linked (11,12).

Management requires a multidisciplinary approach tailored to the patient's specific anatomical and functional anomalies. A comprehensive cardiac evaluation using echocardiography and ECG is essential for detecting structural or electrical abnormalities (1,2). Respiratory assessments and physiotherapy become particularly important in patients with suspected or confirmed Kartagener syndrome (9,10).

When surgical intervention is needed, careful attention should be paid to reversed organ orientation to prevent intraoperative errors. Genetic counseling should be provided to affected individuals and their families, especially those planning future pregnancies, to understand hereditary risks and implications (11-13). Advances in diagnostic imaging and genetic testing have greatly improved early detection and enabled personalized treatment strategies.

The present case report highlights the educational importance of recognizing such rare congenital conditions and stresses the need for a high index of suspicion in atypical clinical cases. Early detection, proper referral and structured follow-up are essential for improving outcomes in patients with dextrocardia and situs inversus.

Acknowledgements

Not applicable.

Funding

Funding: No funding was received.

Availability of data and materials

The data generated in the present study may be requested from the corresponding author.

Authors' contributions

ND contributed to the conception and design of the study, participated in data collection, analysis and interpretation, conducted the literature review, and drafted the manuscript. MHS contributed to data collection, as well as the analysis and interpretation of the patient data. SCMR contributed to the conception and design of the study, participated in the interpretation of clinical findings, and critically revised the manuscript for important intellectual content, providing substantial scientific input that shaped the discussion and clinical interpretation. KHLG contributed to the interpretation of patient data and clinical decision-making aspects of the case, and critically revised the manuscript for important intellectual content with significant academic and clinical input. ND and KHLG confirm the authenticity of all the raw data. All authors have read and approved the final manuscript and agree to be accountable for all aspects of the work.

Ethics approval and consent to participate

Not applicable.

Patient consent for publication

The patient consented to the publication of the case report and the associated images.

Competing interests

The authors declare that they have no competing interests.

References

1 

Deshimo G, Abebe H, Damtew G, Demeke E and Feleke S: A case report of dextrocardia with Situs inversus: A rare condition and its clinical importance. Case Rep Med. 2024(2435938)2024.PubMed/NCBI View Article : Google Scholar

2 

Karki S, Khadka N, Kashyap B, Sharma S, Rijal S and Basnet A: Incidental finding of dextrocardia with Situs inversus and absent left kidney: A case report. JNMA J Nepal Med Assoc. 60:196–199. 2022.PubMed/NCBI View Article : Google Scholar

3 

Bellchambers HM and Ware SM: ZIC3 in heterotaxy. Adv Exp Med Biol. 1046:301–327. 2018.PubMed/NCBI View Article : Google Scholar

4 

Balbino M, Montatore M, Masino F and Guglielmi G: Kartagener's syndrome: A rare condition diagnosed in a young male patient. Radiol Case Rep. 19:2741–2744. 2024.PubMed/NCBI View Article : Google Scholar

5 

Rao PS and Rao NS: Diagnosis of dextrocardia with a pictorial rendition of terminology and diagnosis. Children (Basel). 9(1977)2022.PubMed/NCBI View Article : Google Scholar

6 

Madan KK, Babu C, Chander S, Kumar A, Balchander J and Nachipaan M: Complete A-V canal defect with dextrocardia with CCTGA-A case report. IJTCVS. 19(55)2003.

7 

Iino K, Watanabe G, Ishikawa N and Tomita S: Total endoscopic robotic atrial septal defect repair in a patient with dextrocardia and situs inversus totalis. Interact CardioVasc Thorac Surg. 14:476–477. 2012.PubMed/NCBI View Article : Google Scholar

8 

Piryani RM, Shukla A, Prasad DN, Kohli SC, Shrestha G and Singh D: Situs inversus with dextrocardia with multiple cardiac lesions in adult. Kathmandu Univ Med J (KUMJ). 5:247–249. 2007.PubMed/NCBI

9 

Ortega HA, Vega NDA, Santos BQ and Maia GT: Primary ciliary dyskinesia: Considerations regarding six cases of Kartagener syndrome. J Bras Pneumol. 33:602–608. 2007.PubMed/NCBI View Article : Google Scholar : (In English, Portuguese).

10 

Holzmann D, Ott PM and Felix H: Diagnostic approach to primary ciliary dyskinesia: A review. Eur J Pediatr. 159:95–98. 2000.PubMed/NCBI View Article : Google Scholar

11 

Olbrich H, Häffner K, Kispert A, Völkel A, Volz A, Sasmaz G, Reinhardt R, Hennig S, Lehrach H, Konietzko N, et al: Mutations in DNAH5 cause primary ciliary dyskinesia and randomization of left-right asymmetry. Nat Gente. 30:143–144. 2002.PubMed/NCBI View Article : Google Scholar

12 

Agirbashi M, Hamid R, Jennings HS III and Tiller GE: Situs inversus and hypertrophic cardiomyopathy in identical twins. Am J Genet. 91:327–330. 2000.PubMed/NCBI

13 

Distefano G, Romeo MG, Grasso S, Mazonne D, Sciacca P and Mollica F: Dextrocardia with and without situs viscerum inversus in two sibs. Am J Med Genet. 27:929–934. 1987.PubMed/NCBI View Article : Google Scholar

Related Articles

  • Abstract
  • View
  • Download
  • Twitter
Copy and paste a formatted citation
Spandidos Publications style
Dinesh N, Sreeramaiah MH, Matta Ravi S and Hampapura Lakkappa Gowda K: Understanding and managing dextrocardia with <em>situs inversus</em>: A case report. Biomed Rep 24: 59, 2026.
APA
Dinesh, N., Sreeramaiah, M.H., Matta Ravi, S., & Hampapura Lakkappa Gowda, K. (2026). Understanding and managing dextrocardia with <em>situs inversus</em>: A case report. Biomedical Reports, 24, 59. https://doi.org/10.3892/br.2026.2132
MLA
Dinesh, N., Sreeramaiah, M. H., Matta Ravi, S., Hampapura Lakkappa Gowda, K."Understanding and managing dextrocardia with <em>situs inversus</em>: A case report". Biomedical Reports 24.5 (2026): 59.
Chicago
Dinesh, N., Sreeramaiah, M. H., Matta Ravi, S., Hampapura Lakkappa Gowda, K."Understanding and managing dextrocardia with <em>situs inversus</em>: A case report". Biomedical Reports 24, no. 5 (2026): 59. https://doi.org/10.3892/br.2026.2132
Copy and paste a formatted citation
x
Spandidos Publications style
Dinesh N, Sreeramaiah MH, Matta Ravi S and Hampapura Lakkappa Gowda K: Understanding and managing dextrocardia with <em>situs inversus</em>: A case report. Biomed Rep 24: 59, 2026.
APA
Dinesh, N., Sreeramaiah, M.H., Matta Ravi, S., & Hampapura Lakkappa Gowda, K. (2026). Understanding and managing dextrocardia with <em>situs inversus</em>: A case report. Biomedical Reports, 24, 59. https://doi.org/10.3892/br.2026.2132
MLA
Dinesh, N., Sreeramaiah, M. H., Matta Ravi, S., Hampapura Lakkappa Gowda, K."Understanding and managing dextrocardia with <em>situs inversus</em>: A case report". Biomedical Reports 24.5 (2026): 59.
Chicago
Dinesh, N., Sreeramaiah, M. H., Matta Ravi, S., Hampapura Lakkappa Gowda, K."Understanding and managing dextrocardia with <em>situs inversus</em>: A case report". Biomedical Reports 24, no. 5 (2026): 59. https://doi.org/10.3892/br.2026.2132
Follow us
  • Twitter
  • LinkedIn
  • Facebook
About
  • Spandidos Publications
  • Careers
  • Cookie Policy
  • Privacy Policy
How can we help?
  • Help
  • Live Chat
  • Contact
  • Email to our Support Team