Considerations for two inoculation methods of rabbit hepatic tumors: Pathology and image features
- Authors:
- Published online on: December 28, 2011 https://doi.org/10.3892/etm.2011.435
- Pages: 386-390
Abstract
Introduction
Hepatocellular carcinoma (HCC) is one of the most common forms of malignant tumor occurring in the liver, and is the third leading cause of mortality from cancer worldwide (1,2). Research has demonstrated that Southeast-Asian regions, including China, have a higher incidence rate of HCC, due to the endemic nature of hepatitis B and C in these countries (2,3). Surgical interventions, including complete resection and liver transplantation, demonstrate potentially curative treatments when the tumor is restricted to the liver, which offer the best prognosis for HCC (4,5). However, surgical resection is only possible in a small proportion of patients with HCC due to advanced liver disease, extrahepatic metastases or underlying severe liver cirrhosis, inadequate functional hepatic reserve and poor general condition of the patient (6,7). The difficulties posed by HCC treatment have prompted the development of a number of potential, non-surgical treatments, including transcatheter arterial chemoembolization (TACE), radiofrequency ablation (RFA), percutaneous ethanol injection therapy (PEI) and high-intensity focused ultrasound (HIFU) therapy (8–10). A suitable hepatic tumor animal model is crucial for the investigation of liver cancer diagnostics and therapeutics (11,12).
VX2 carcinoma is an animal carcinoma, first developed by Shope and Hurst (13), and is derived from a rabbit papilloma. Previous research has demonstrated that the rabbit VX2 hepatic tumor grows rapidly, that its arterial blood supply is similar to that of human liver cancer and that its size is large enough to be observed by clinical imaging (14–15). As such, the rabbit VX2 hepatic tumor model has been widely used to study various aspects of liver tumor behavior and is generally accepted for the inoculation of liver cancer (16–18). However, in terms of the inoculation method, there are a number of different approaches to the induction of the VX2 tumor in the liver of recipient rabbits. In previous studies, VX2 tumor cell suspension was injected into the portal vein or hepatic artery (19), or directly into the liver parenchyma (20,21) in order to achieve hepatic tumor growth. In addition, some investigators implanted small tumor pieces into the liver of rabbits by open laparotomy (22–24). Previous results have revealed varying degrees of success of tumor inoculation.
In the present study, in order to identify the preferred method for the inoculation of the VX2 tumor into the rabbit liver, we compared the injection of VX2 tumor cell suspension versus implantation of small, minced tumor fragment suspension using a fine needle. To the best of our knowledge, there is no literature comparing these two methods for inoculating VX2 tumors in the rabbit liver.
Materials and methods
Animals
This study was approved by the Animal Use and Care Committee of Zhejiang University (China). All New Zealand White rabbits used in this research, 2–3 months old, weighing 2–3 kg, were provided by the experimental animal center, College of Medicine, Zhejiang University.
Preparation of suspension of VX2 cells and VX2 tumor fragments
Hind limb tumors of rabbits were used to propagate and maintain the VX2 tumor. All rabbits were anesthetized using a mixed solution of ketamine hydrochloride injection (25 mg/kg, intramuscular) and promethazine hydrochloride injection (10 mg/kg, intramuscular). With a fine needle, 0.2 ml of VX2 cell suspension was injected into the muscles of the hind limbs of the rabbits. Following implantation into the hind limbs, the tumor grew rapidly. Two weeks following implantation, the tumor grew to a size of approximately 3 cm in diameter. Rabbits were later sacrificed and hind limb tumors harvested.
The VX2 tumor was aseptically resected from the hind limb and minced with surgical scissors and knives in normal saline (NS). The suspension was then filtered through an iron mesh with 0.08 mm2 pores to remove other tissue fragments. The filtrate was centrifuged at 1,500 rev/min for 8 min at room temperature and resuspended using NS at a concentration of 1x107 cells/ml.
After the tumor was stripped from the hind leg of the rabbit, the surrounding and necrotic tissues were removed from the tumor. The tumor was then cut into 1-mm3 fragments and resuspended in a NS solution. The VX2 tumor fragment suspension was then ready for injection.
Implantation of VX2 tumors into liver
A total of 44 New Zealand White rabbits were randomly divided into 2 groups. All inoculations were performed by open laparotomy. To implant the VX2 tumor cell suspension or VX2 tumor fragments into the liver parenchyma, a sub-xyphoid laparotomy, approximately 3 cm in length, was performed to expose the left liver lobe following anaesthesia with the mixed solution of ketamine hydrochloride injection (25 mg/kg, intramuscular) and promethazine hydrochloride injection (10 mg/kg, intramuscular).
In group 1, a fresh VX2 tumor cell suspension containing 2x106 cells in a volume of 0.2 ml, was injected slowly into the liver parenchyma of the left lobe, using an 18-gauge needle with a 1-ml syringe. In group 2, following the exposure of the left lobe of the liver, a suspension containing 1-mm3 fragments of VX2 tumor in a volume of 0.2 ml was injected into the parenchyma of the left lobe of the liver, using an 18-gauge needle with a 1-ml syringe (Fig. 1). Following removal of the needles, all puncture places were gently compressed for 5 min in order to prevent leakage of cancer cells and bleeding from the liver parenchyma. Following confirmation of the absence of leakage of cancer cells and bleeding, the liver was repositioned back to its original abdominal space. The abdominal incision was then closed in layers. Antibiotic ointment was applied along the suture line.
Computed tomography (CT) examination and angiography
A total of 2 weeks following liver tumor implantation, all rabbits were anesthetized and placed into a helical CT scanner (General Electric Co, Milwaukee, WI, USA). Each animal underwent a conventional CT-scanning series, including plan scanning and enhancement scanning in order to detect tumor growth. Immediately following CT-scanning, surgical cut-down of the right femoral artery of the rabbits and insertion of a 2.7-F-diameter microcatheter (Terumo, Tokyo, Japan) were performed in order to gain access into the celiac trunk or common hepatic artery. Selective angiography was then carried out using a digital subtraction angiography (DSA) system (Allura Xper FD 20; Philips Medical Systems, Best, The Netherlands) to identify the tumor.
Necropsy and histopathology
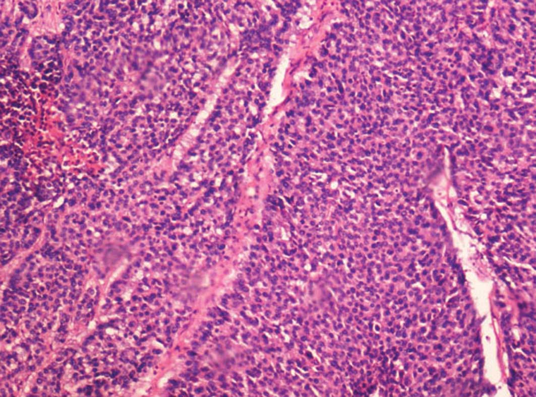
Following completion of the CT scan and angiography, each rabbit was sacrificed and underwent a full necropsy to determine the tumor growth in the liver and extrahepatic metastases. All liver tumors were removed for pathological examination using hematoxylin and eosin staining.
Statistical analyses
Statistical analyses were carried out using SPSS software (ver. 11.0; SPSS Inc., Chicago, IL, USA). The Chi-square test was employed to determine significant statistical differences between the groups. However, when the sample size was too small to use the Chi-square test, Fisher's exact test was used instead. A P-value (two-tailed) <0.05 was considered to indicate statistically significantly differences.
Results
All rabbits (donors and recipients) successfully tolerated VX2 tumor inoculation. No mortality was observed at the time of implantation. All liver tumors were confirmed upon CT-scan and angiography, and were further confirmed by necropsy and pathological examination with hematoxylin and eosin staining.
In group 1, 8 rabbits displayed no evidence of liver tumor growth at 2 weeks following implantation. Liver tumors were grown in 14 out of 22 rabbits with an overall success rate of 63.6%. In group 2, only 1 rabbit displayed no evidence of liver tumor growth. Successful liver tumor growth was achieved in 21 out of the 22 rabbits with an overall success rate of 95.5%. Upon further sub-analysis, single nodular tumors in the liver were observed in 4 out of 14 rabbits in group 1 (28.6%) and 14 out of 21 rabbits in group 2 (66.7%) (Figs. 2–5). Multinodular tumors in the liver were grown in 10 out of 14 rabbits in group 1 (71.4%) and in 7 out of 21 rabbits in group 2 (33.3%) (Fig. 6). In addition, extrahepatic metastases were observed in 5 out of 14 rabbits in group 1 (35.7%) and in 1 of 21 rabbits in group 2 (4.9%) (Fig. 7). There were statistically significant differences between the 2 groups. The overall liver tumor growth rate of group 1 was significantly lower than that of group 2 (P=0.025). Furthermore, the single nodular tumor growth rate of group 1 was significantly lower than that of group 2, and the multinodular tumor growth rate of group 1 was significantly higher than that of group 2 (P=0.041). Finally, a higher incidence of extrahepatic metastasis was observed in group 1 (P=0.028).
Discussion
Liver cancer, particularly HCC, is a form of highly malignant tumor with a poor prognosis of only several months survival from the time of diagnosis (1,25). A suitable hepatic tumor animal model is essential for investigations of HCC diagnostics and therapeutics. Over the past few decades, despite the fact that VX2 carcinoma originated from rabbit malignant aplastic squamous cell carcinoma, it has been widely used as an experimental model for HCC studies of diagnosis and treatment due to its hepatic arterial supply and rapid growth pattern (16,19–21).
In the present study, imaging and pathological examinations revealed that the VX2 liver tumor grew progressively 2 weeks following implantation. It is clear that successful tumor inoculation and growth in the rabbit liver leads to successful experimental investigations, and that incessant improvement of the tumor implantation technique may improve our knowledge regarding the selective use of the rabbit VX2 liver tumor. In addition, during previous similar experiments, we noticed that the implantation method of the tumor may not only affect the success rate of tumor growth and the animal expenses, but also, at times, the results of the study. Therefore, we initiated this study to attempt to identify a more desirable liver VX2 implantation method than previously.
Our experimental data revealed that the tumor growth success rate was as low as 63.6% in group 1, using the method of injecting VX2 cell suspension into the liver with a fine needle. Furthermore, multinodular liver tumor growth rates and extrahepatic metastasis rates were as high as 71.4 and 35.7%, respectively. Tumor cells, injected into the liver, may not only enter the parenchyma, but also the bile ducts and liver blood vessels. Conversely, tumor cells may leak from the liver puncture site. These may cause the previously mentioned results of a lower tumor growth success rate, and a higher incidence of multinodular liver tumor growth and extrahepatic metastases. Despite ensuring that the needle was not in a bile duct or a vessel prior to injection of the tumor cells and compression of the puncture site in an attempt to achieve a better outcome, often the results remained unsatisfactory (19,20). Conversely, the success rate of implanting liver VX2 tumors increased from 63.6 to 95.5% when a suspension of tumor fragments was used instead of the VX2 cell suspension. Moreover, the use of a VX2 tumor fragment suspension resulted in a higher liver single nodular tumor growth rate, as well as a statistically reduced incidence of extrahepatic metastasis.
Previously, certain investigators achieved a good liver tumor growth rate by implanting VX2 tumor fragments via surgical placement of these fragments in the liver parenchyma (26–29). Surgical implantation of VX2 tumor fragments controls the site of tumor growth more effectively, while tending to reduce the incidence of intra- and extrahaptic metastasis as compared to the method of injecting tumor cell suspension (28). However, there are also certain disadvantages of the surgical tumor fragment placement method. Of note, the surgical technique is more traumatic than the use of the cell suspension injection method using a fine needle. Surgical complications, including bile leakage, hemorrhage or abscess formation are more likely to occur (26). In addition, it is difficult to ensure that the implanted tumor fragment from the ‘mother’ tumor is viable tumor tissue. Unfortunately, failure of tumor induction may occur when necrotic tissue is placed into the liver. Our data revealed that the implantation of tumor fragment suspension into the liver directly using a fine needle (surgically placing VX2 tumor fragments into the rabbit liver) may be a more promising method than the inoculation method of injecting cell suspension (injecting tumor cells).
However, there were a number of limitations to the present study. Firstly, we did not compare all previously published induction methods of rabbit liver VX2 tumor. Secondly, the number of animals used in this research was small, which decreased the statistical power of the results, although this was sufficiently large to draw the main conclusion. Thirdly, the short-term follow-up period up of 2 weeks prevented the determination of the long-term fate of the hepatic tumor and the rabbits.
yIn conclusion, as a simple and effective method for the induction of a hepatic tumor, the direct implantation of VX2 tumor fragment suspension into the liver using a fine needle achieves a higher success tumor growth rate and a lower incidence of intra- and extrahepatic metastasis than the method of injecting VX2 tumor cells suspension into the liver using a fine needle. The results from our study may prove to be significant to future investigations and may help improve the efficiency of tumor inoculation, thereby reducing the number of rabbits required for study, as well as animal expenses.
Acknowledgements
This study was supported by the National Natural Science Foundation of China (No. 30901446), the Program for Innovative Research Team of Science and Technology of Zhejiang Province (No. 2009R50038), the Medical Health Fund of Zhejiang Province (No.2008A053), the Fundamental Research Funds for the Central Universities (2011KYJD023) and the Programme of Chinese Medical Science of Zhejiang Province (No.2009CB040).








