Spandidos Publications Logo
  • About
    • About Spandidos
    • Aims and Scopes
    • Abstracting and Indexing
    • Editorial Policies
    • Reprints and Permissions
    • Job Opportunities
    • Terms and Conditions
    • Contact
  • Journals
    • All Journals
    • Oncology Letters
      • Oncology Letters
      • Information for Authors
      • Editorial Policies
      • Editorial Board
      • Aims and Scope
      • Abstracting and Indexing
      • Bibliographic Information
      • Archive
    • International Journal of Oncology
      • International Journal of Oncology
      • Information for Authors
      • Editorial Policies
      • Editorial Board
      • Aims and Scope
      • Abstracting and Indexing
      • Bibliographic Information
      • Archive
    • Molecular and Clinical Oncology
      • Molecular and Clinical Oncology
      • Information for Authors
      • Editorial Policies
      • Editorial Board
      • Aims and Scope
      • Abstracting and Indexing
      • Bibliographic Information
      • Archive
    • Experimental and Therapeutic Medicine
      • Experimental and Therapeutic Medicine
      • Information for Authors
      • Editorial Policies
      • Editorial Board
      • Aims and Scope
      • Abstracting and Indexing
      • Bibliographic Information
      • Archive
    • International Journal of Molecular Medicine
      • International Journal of Molecular Medicine
      • Information for Authors
      • Editorial Policies
      • Editorial Board
      • Aims and Scope
      • Abstracting and Indexing
      • Bibliographic Information
      • Archive
    • Biomedical Reports
      • Biomedical Reports
      • Information for Authors
      • Editorial Policies
      • Editorial Board
      • Aims and Scope
      • Abstracting and Indexing
      • Bibliographic Information
      • Archive
    • Oncology Reports
      • Oncology Reports
      • Information for Authors
      • Editorial Policies
      • Editorial Board
      • Aims and Scope
      • Abstracting and Indexing
      • Bibliographic Information
      • Archive
    • Molecular Medicine Reports
      • Molecular Medicine Reports
      • Information for Authors
      • Editorial Policies
      • Editorial Board
      • Aims and Scope
      • Abstracting and Indexing
      • Bibliographic Information
      • Archive
    • World Academy of Sciences Journal
      • World Academy of Sciences Journal
      • Information for Authors
      • Editorial Policies
      • Editorial Board
      • Aims and Scope
      • Abstracting and Indexing
      • Bibliographic Information
      • Archive
    • International Journal of Functional Nutrition
      • International Journal of Functional Nutrition
      • Information for Authors
      • Editorial Policies
      • Editorial Board
      • Aims and Scope
      • Abstracting and Indexing
      • Bibliographic Information
      • Archive
    • International Journal of Epigenetics
      • International Journal of Epigenetics
      • Information for Authors
      • Editorial Policies
      • Editorial Board
      • Aims and Scope
      • Abstracting and Indexing
      • Bibliographic Information
      • Archive
    • Medicine International
      • Medicine International
      • Information for Authors
      • Editorial Policies
      • Editorial Board
      • Aims and Scope
      • Abstracting and Indexing
      • Bibliographic Information
      • Archive
  • Articles
  • Information
    • Information for Authors
    • Information for Reviewers
    • Information for Librarians
    • Information for Advertisers
    • Conferences
  • Language Editing
Spandidos Publications Logo
  • About
    • About Spandidos
    • Aims and Scopes
    • Abstracting and Indexing
    • Editorial Policies
    • Reprints and Permissions
    • Job Opportunities
    • Terms and Conditions
    • Contact
  • Journals
    • All Journals
    • Biomedical Reports
      • Information for Authors
      • Editorial Policies
      • Editorial Board
      • Aims and Scope
      • Abstracting and Indexing
      • Bibliographic Information
      • Archive
    • Experimental and Therapeutic Medicine
      • Information for Authors
      • Editorial Policies
      • Editorial Board
      • Aims and Scope
      • Abstracting and Indexing
      • Bibliographic Information
      • Archive
    • International Journal of Epigenetics
      • Information for Authors
      • Editorial Policies
      • Editorial Board
      • Aims and Scope
      • Abstracting and Indexing
      • Bibliographic Information
      • Archive
    • International Journal of Functional Nutrition
      • Information for Authors
      • Editorial Policies
      • Editorial Board
      • Aims and Scope
      • Abstracting and Indexing
      • Bibliographic Information
      • Archive
    • International Journal of Molecular Medicine
      • Information for Authors
      • Editorial Policies
      • Editorial Board
      • Aims and Scope
      • Abstracting and Indexing
      • Bibliographic Information
      • Archive
    • International Journal of Oncology
      • Information for Authors
      • Editorial Policies
      • Editorial Board
      • Aims and Scope
      • Abstracting and Indexing
      • Bibliographic Information
      • Archive
    • Medicine International
      • Information for Authors
      • Editorial Policies
      • Editorial Board
      • Aims and Scope
      • Abstracting and Indexing
      • Bibliographic Information
      • Archive
    • Molecular and Clinical Oncology
      • Information for Authors
      • Editorial Policies
      • Editorial Board
      • Aims and Scope
      • Abstracting and Indexing
      • Bibliographic Information
      • Archive
    • Molecular Medicine Reports
      • Information for Authors
      • Editorial Policies
      • Editorial Board
      • Aims and Scope
      • Abstracting and Indexing
      • Bibliographic Information
      • Archive
    • Oncology Letters
      • Information for Authors
      • Editorial Policies
      • Editorial Board
      • Aims and Scope
      • Abstracting and Indexing
      • Bibliographic Information
      • Archive
    • Oncology Reports
      • Information for Authors
      • Editorial Policies
      • Editorial Board
      • Aims and Scope
      • Abstracting and Indexing
      • Bibliographic Information
      • Archive
    • World Academy of Sciences Journal
      • Information for Authors
      • Editorial Policies
      • Editorial Board
      • Aims and Scope
      • Abstracting and Indexing
      • Bibliographic Information
      • Archive
  • Articles
  • Information
    • For Authors
    • For Reviewers
    • For Librarians
    • For Advertisers
    • Conferences
  • Language Editing
Login Register Submit
  • This site uses cookies
  • You can change your cookie settings at any time by following the instructions in our Cookie Policy. To find out more, you may read our Privacy Policy.

    I agree
Search articles by DOI, keyword, author or affiliation
Search
Advanced Search
presentation
Experimental and Therapeutic Medicine
Join Editorial Board Propose a Special Issue
Print ISSN: 1792-0981 Online ISSN: 1792-1015
Journal Cover
December 2013 Volume 6 Issue 6

Full Size Image

Sign up for eToc alerts
Recommend to Library

Journals

International Journal of Molecular Medicine

International Journal of Molecular Medicine

International Journal of Molecular Medicine is an international journal devoted to molecular mechanisms of human disease.

International Journal of Oncology

International Journal of Oncology

International Journal of Oncology is an international journal devoted to oncology research and cancer treatment.

Molecular Medicine Reports

Molecular Medicine Reports

Covers molecular medicine topics such as pharmacology, pathology, genetics, neuroscience, infectious diseases, molecular cardiology, and molecular surgery.

Oncology Reports

Oncology Reports

Oncology Reports is an international journal devoted to fundamental and applied research in Oncology.

Experimental and Therapeutic Medicine

Experimental and Therapeutic Medicine

Experimental and Therapeutic Medicine is an international journal devoted to laboratory and clinical medicine.

Oncology Letters

Oncology Letters

Oncology Letters is an international journal devoted to Experimental and Clinical Oncology.

Biomedical Reports

Biomedical Reports

Explores a wide range of biological and medical fields, including pharmacology, genetics, microbiology, neuroscience, and molecular cardiology.

Molecular and Clinical Oncology

Molecular and Clinical Oncology

International journal addressing all aspects of oncology research, from tumorigenesis and oncogenes to chemotherapy and metastasis.

World Academy of Sciences Journal

World Academy of Sciences Journal

Multidisciplinary open-access journal spanning biochemistry, genetics, neuroscience, environmental health, and synthetic biology.

International Journal of Functional Nutrition

International Journal of Functional Nutrition

Open-access journal combining biochemistry, pharmacology, immunology, and genetics to advance health through functional nutrition.

International Journal of Epigenetics

International Journal of Epigenetics

Publishes open-access research on using epigenetics to advance understanding and treatment of human disease.

Medicine International

Medicine International

An International Open Access Journal Devoted to General Medicine.

Journal Cover
December 2013 Volume 6 Issue 6

Full Size Image

Sign up for eToc alerts
Recommend to Library

  • Article
  • Citations
    • Cite This Article
    • Download Citation
    • Create Citation Alert
    • Remove Citation Alert
    • Cited By
  • Similar Articles
    • Related Articles (in Spandidos Publications)
    • Similar Articles (Google Scholar)
    • Similar Articles (PubMed)
  • Download PDF
  • Download XML
  • View XML
Article

Effect of traditional Chinese medicine (Xiaochaihu Tang) on the expression of MMP‑2 and MMP‑9 in rats with endometriosis

  • Authors:
    • Luyang Jiao
    • Xiaofen Qi
    • Guangjian Lu
    • Qunmei Zhang
    • Chunxiao Zhang
    • Jianhui Gao
  • View Affiliations / Copyright

    Affiliations: Department of Laboratory, The First Affiliated Hospital of Xinxiang Medical University, Weihui, Henan 453100, P.R. China, Department of Emergency, The First Affiliated Hospital of Xinxiang Medical University, Weihui, Henan 453100, P.R. China, Department of Blood Transfusion, The First Affiliated Hospital of Xinxiang Medical University, Weihui, Henan 453100, P.R. China, Department of Tuberculosis III, The First Affiliated Hospital of Xinxiang Medical University, Weihui, Henan 453100, P.R. China, Department of Science and Technology, Xinxiang Medical University, Xinxiang, Henan 453003, P.R. China
  • Pages: 1385-1389
    |
    Published online on: September 26, 2013
       https://doi.org/10.3892/etm.2013.1316
  • Expand metrics +
Metrics: Total Views: 0 (Spandidos Publications: | PMC Statistics: )
Metrics: Total PDF Downloads: 0 (Spandidos Publications: | PMC Statistics: )
Cited By (CrossRef): 0 citations Loading Articles...

This article is mentioned in:



Abstract

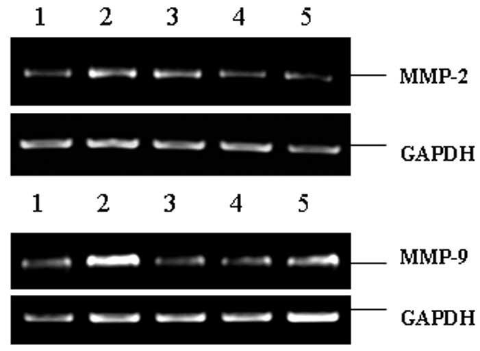
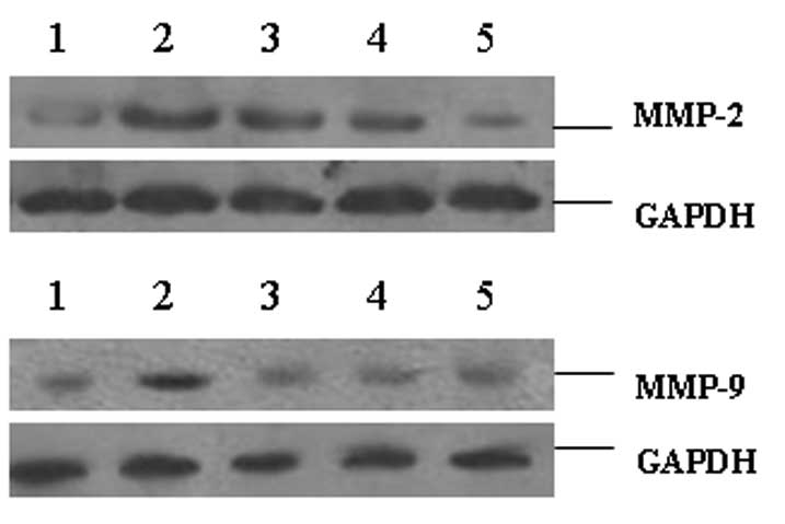
The aim of this study was to explore the effect of a traditional Chinese medicine (Xiaochaihu Tang, XCHT) on the expression of matrix metalloproteinase‑2 (MMP‑2) and MMP‑9 in rats with endometriosis (EMs). A total of 48 specific‑pathogen‑free (SPF) female Sprague‑Dawley (SD) rats were randomly divided into control (n=8) and EMs (n=40) groups. The EMs model was established using a surgical procedure. At 21 days, the rats with EMs were screened and divided into four subgroups (n=8): the model control, low‑dose (7.5 g/kg) XCHT‑treated, high‑dose (15 g/kg) XCHT‑treated and gestrinone‑treated (0.5 mg/kg) groups. Following 21 days of treatment, the rats were sacrificed. Reverse transcription‑polymerase chain reaction (RT‑PCR) and western blotting were used to examine the mRNA and protein levels of MMP‑2 and MMP‑9 in the endometrium. The expression levels of MMP‑2 and MMP‑9 were significantly increased in the rats with EMs compared with those in normal rats. Moreover, XCHT was able to significantly inhibit the expression of MMP‑2 and MMP‑9 compared with that in the model control group. In conclusion, XCHT was able to decrease the expression of MMP‑2 and MMP‑9 in the ectopic endometrium. The present results may provide a potential theoretical basis for the therapy of EMs.
View Figures

Figure 1

Figure 2

Figure 3

View References

1 

Sampson JA: Metastatic or embolic endometriosis, due to the menstrual dissemination of endometrial tissue into the venous circulation. Am J Pathol. 3:93–110. 1927.PubMed/NCBI

2 

Umezawa M, Saito Y, Tanaka-Hattori N, Takeda K, Ihara T and Sugamata M: Expression profile of extracellular matrix and adhesion molecules in the development of endometriosis in a mouse model. Reprod Sci. 19:1365–1372. 2012. View Article : Google Scholar : PubMed/NCBI

3 

Zheng H, Zuo LD, Li HY, Zhang WJ and Wang ZN: Effects of Xiaochaihu Tang, a traditional Chinese medicinal preparation, on ectopic endometrium in rats. Di Yi Jun Yi Da Xue Xue Bao. 24:1319–1321. 2004.(In Chinese).

4 

Zheng H, Zuo LD, Li HY and Jin HY: Effects of Xiaochaihu Tang on morphology of ectopic endometrium in experimentally induced endometriosis in rats. Chin J New Drugs Clin Rem. 24:200–202. 2005.(In Chinese).

5 

Zhang WJ, Wang ZN and Zheng PE: Regulation effects of Xiaochaihu Tang on IL-8 and TNF-α in endometriosis. Shanxi J Trad Chin Med. 25:468–470. 2004.(In Chinese).

6 

Jones RC: The effect of a luteinizing hormone releasing hormone (LRH) agonist (Wy-40,972), levonorgestrel, danazol and ovariectomy on experimental endometriosis in the rat. Acta Endocrinol (Copenh). 106:282–288. 1984.PubMed/NCBI

7 

Wang J and Ma X: Effects of estrogen and progestin on expression of MMP-2 and TIMP-2 in a nude mouse model of endometriosis. Clin Exp Obstet Gynecol. 39:229–233. 2012.PubMed/NCBI

8 

Moroz A, Delella FK, Lacorte LM, Deffune E and Felisbino SL: Fibronectin induces MMP2 expression in human prostate cancer cells. Biochem Biophys Res Commun. 430:1319–1321. 2013. View Article : Google Scholar : PubMed/NCBI

9 

Hu X, Li D, Zhang W, Zhou J, Tang B and Li L: Matrix metalloproteinase-9 expression correlates with prognosis and involved in ovarian cancer cell invasion. Arch Gynecol Obstet. 286:1537–1543. 2012. View Article : Google Scholar : PubMed/NCBI

10 

Malvezzi H, Aguiar VG, Paz CC, Tanus-Santos JE, Penna IA and Navarro PA: Increased circulating MMP-2 levels in infertile patients with moderate and severe pelvic endometriosis. Reprod Sci. 20:557–562. 2013. View Article : Google Scholar : PubMed/NCBI

11 

Weigel MT, Krämer J, Schem C, et al: Differential expression of MMP-2, MMP-9 and PCNA in endometriosis and endometrial carcinoma. Eur J Obstet Gynecol Reprod Biol. 160:74–78. 2012. View Article : Google Scholar : PubMed/NCBI

12 

Chen Q, Qiu N, Pu D, Zhou Y, Li T and Yang H: Change profiles in matrix metalloproteinase-2 and -9 in induced endometriosis in mice. J Huazhong Univ Sci Technolog Med Sci. 30:188–192. 2010. View Article : Google Scholar : PubMed/NCBI

13 

Pan L and Zheng H: Effect of Xiaochaihu Soup on the expression of COX-2 and P450arom of endometriosis in rats. Bull Med Res. 40(8): 126–128. 2011.(In Chinese).

14 

Zhang J and Wan SQ: The therapeutic effects of scutellarin on endometriosis in rats. Lishizhen Med Mat Med Res. 18:895–897. 2007.(In Chinese).

15 

Song ZY, Fu K, Hu LY, Zheng ZR, Ge WJ and Li ZA: The influence of ginsenoside Rg3 on ID-1 and NRP-1 gene expression in endometriotic tissues. Chin Rem Clin. 11:768–771. 2011.(In Chinese).

Related Articles

  • Abstract
  • View
  • Download
  • Twitter
Copy and paste a formatted citation
Spandidos Publications style
Jiao L, Qi X, Lu G, Zhang Q, Zhang C and Gao J: Effect of traditional Chinese medicine (Xiaochaihu Tang) on the expression of MMP‑2 and MMP‑9 in rats with endometriosis. Exp Ther Med 6: 1385-1389, 2013.
APA
Jiao, L., Qi, X., Lu, G., Zhang, Q., Zhang, C., & Gao, J. (2013). Effect of traditional Chinese medicine (Xiaochaihu Tang) on the expression of MMP‑2 and MMP‑9 in rats with endometriosis. Experimental and Therapeutic Medicine, 6, 1385-1389. https://doi.org/10.3892/etm.2013.1316
MLA
Jiao, L., Qi, X., Lu, G., Zhang, Q., Zhang, C., Gao, J."Effect of traditional Chinese medicine (Xiaochaihu Tang) on the expression of MMP‑2 and MMP‑9 in rats with endometriosis". Experimental and Therapeutic Medicine 6.6 (2013): 1385-1389.
Chicago
Jiao, L., Qi, X., Lu, G., Zhang, Q., Zhang, C., Gao, J."Effect of traditional Chinese medicine (Xiaochaihu Tang) on the expression of MMP‑2 and MMP‑9 in rats with endometriosis". Experimental and Therapeutic Medicine 6, no. 6 (2013): 1385-1389. https://doi.org/10.3892/etm.2013.1316
Copy and paste a formatted citation
x
Spandidos Publications style
Jiao L, Qi X, Lu G, Zhang Q, Zhang C and Gao J: Effect of traditional Chinese medicine (Xiaochaihu Tang) on the expression of MMP‑2 and MMP‑9 in rats with endometriosis. Exp Ther Med 6: 1385-1389, 2013.
APA
Jiao, L., Qi, X., Lu, G., Zhang, Q., Zhang, C., & Gao, J. (2013). Effect of traditional Chinese medicine (Xiaochaihu Tang) on the expression of MMP‑2 and MMP‑9 in rats with endometriosis. Experimental and Therapeutic Medicine, 6, 1385-1389. https://doi.org/10.3892/etm.2013.1316
MLA
Jiao, L., Qi, X., Lu, G., Zhang, Q., Zhang, C., Gao, J."Effect of traditional Chinese medicine (Xiaochaihu Tang) on the expression of MMP‑2 and MMP‑9 in rats with endometriosis". Experimental and Therapeutic Medicine 6.6 (2013): 1385-1389.
Chicago
Jiao, L., Qi, X., Lu, G., Zhang, Q., Zhang, C., Gao, J."Effect of traditional Chinese medicine (Xiaochaihu Tang) on the expression of MMP‑2 and MMP‑9 in rats with endometriosis". Experimental and Therapeutic Medicine 6, no. 6 (2013): 1385-1389. https://doi.org/10.3892/etm.2013.1316
Follow us
  • Twitter
  • LinkedIn
  • Facebook
About
  • Spandidos Publications
  • Careers
  • Cookie Policy
  • Privacy Policy
How can we help?
  • Help
  • Live Chat
  • Contact
  • Email to our Support Team