Spandidos Publications Logo
  • About
    • About Spandidos
    • Aims and Scopes
    • Abstracting and Indexing
    • Editorial Policies
    • Reprints and Permissions
    • Job Opportunities
    • Terms and Conditions
    • Contact
  • Journals
    • All Journals
    • Oncology Letters
      • Oncology Letters
      • Information for Authors
      • Editorial Policies
      • Editorial Board
      • Aims and Scope
      • Abstracting and Indexing
      • Bibliographic Information
      • Archive
    • International Journal of Oncology
      • International Journal of Oncology
      • Information for Authors
      • Editorial Policies
      • Editorial Board
      • Aims and Scope
      • Abstracting and Indexing
      • Bibliographic Information
      • Archive
    • Molecular and Clinical Oncology
      • Molecular and Clinical Oncology
      • Information for Authors
      • Editorial Policies
      • Editorial Board
      • Aims and Scope
      • Abstracting and Indexing
      • Bibliographic Information
      • Archive
    • Experimental and Therapeutic Medicine
      • Experimental and Therapeutic Medicine
      • Information for Authors
      • Editorial Policies
      • Editorial Board
      • Aims and Scope
      • Abstracting and Indexing
      • Bibliographic Information
      • Archive
    • International Journal of Molecular Medicine
      • International Journal of Molecular Medicine
      • Information for Authors
      • Editorial Policies
      • Editorial Board
      • Aims and Scope
      • Abstracting and Indexing
      • Bibliographic Information
      • Archive
    • Biomedical Reports
      • Biomedical Reports
      • Information for Authors
      • Editorial Policies
      • Editorial Board
      • Aims and Scope
      • Abstracting and Indexing
      • Bibliographic Information
      • Archive
    • Oncology Reports
      • Oncology Reports
      • Information for Authors
      • Editorial Policies
      • Editorial Board
      • Aims and Scope
      • Abstracting and Indexing
      • Bibliographic Information
      • Archive
    • Molecular Medicine Reports
      • Molecular Medicine Reports
      • Information for Authors
      • Editorial Policies
      • Editorial Board
      • Aims and Scope
      • Abstracting and Indexing
      • Bibliographic Information
      • Archive
    • World Academy of Sciences Journal
      • World Academy of Sciences Journal
      • Information for Authors
      • Editorial Policies
      • Editorial Board
      • Aims and Scope
      • Abstracting and Indexing
      • Bibliographic Information
      • Archive
    • International Journal of Functional Nutrition
      • International Journal of Functional Nutrition
      • Information for Authors
      • Editorial Policies
      • Editorial Board
      • Aims and Scope
      • Abstracting and Indexing
      • Bibliographic Information
      • Archive
    • International Journal of Epigenetics
      • International Journal of Epigenetics
      • Information for Authors
      • Editorial Policies
      • Editorial Board
      • Aims and Scope
      • Abstracting and Indexing
      • Bibliographic Information
      • Archive
    • Medicine International
      • Medicine International
      • Information for Authors
      • Editorial Policies
      • Editorial Board
      • Aims and Scope
      • Abstracting and Indexing
      • Bibliographic Information
      • Archive
  • Articles
  • Information
    • Information for Authors
    • Information for Reviewers
    • Information for Librarians
    • Information for Advertisers
    • Conferences
  • Language Editing
Spandidos Publications Logo
  • About
    • About Spandidos
    • Aims and Scopes
    • Abstracting and Indexing
    • Editorial Policies
    • Reprints and Permissions
    • Job Opportunities
    • Terms and Conditions
    • Contact
  • Journals
    • All Journals
    • Biomedical Reports
      • Information for Authors
      • Editorial Policies
      • Editorial Board
      • Aims and Scope
      • Abstracting and Indexing
      • Bibliographic Information
      • Archive
    • Experimental and Therapeutic Medicine
      • Information for Authors
      • Editorial Policies
      • Editorial Board
      • Aims and Scope
      • Abstracting and Indexing
      • Bibliographic Information
      • Archive
    • International Journal of Epigenetics
      • Information for Authors
      • Editorial Policies
      • Editorial Board
      • Aims and Scope
      • Abstracting and Indexing
      • Bibliographic Information
      • Archive
    • International Journal of Functional Nutrition
      • Information for Authors
      • Editorial Policies
      • Editorial Board
      • Aims and Scope
      • Abstracting and Indexing
      • Bibliographic Information
      • Archive
    • International Journal of Molecular Medicine
      • Information for Authors
      • Editorial Policies
      • Editorial Board
      • Aims and Scope
      • Abstracting and Indexing
      • Bibliographic Information
      • Archive
    • International Journal of Oncology
      • Information for Authors
      • Editorial Policies
      • Editorial Board
      • Aims and Scope
      • Abstracting and Indexing
      • Bibliographic Information
      • Archive
    • Medicine International
      • Information for Authors
      • Editorial Policies
      • Editorial Board
      • Aims and Scope
      • Abstracting and Indexing
      • Bibliographic Information
      • Archive
    • Molecular and Clinical Oncology
      • Information for Authors
      • Editorial Policies
      • Editorial Board
      • Aims and Scope
      • Abstracting and Indexing
      • Bibliographic Information
      • Archive
    • Molecular Medicine Reports
      • Information for Authors
      • Editorial Policies
      • Editorial Board
      • Aims and Scope
      • Abstracting and Indexing
      • Bibliographic Information
      • Archive
    • Oncology Letters
      • Information for Authors
      • Editorial Policies
      • Editorial Board
      • Aims and Scope
      • Abstracting and Indexing
      • Bibliographic Information
      • Archive
    • Oncology Reports
      • Information for Authors
      • Editorial Policies
      • Editorial Board
      • Aims and Scope
      • Abstracting and Indexing
      • Bibliographic Information
      • Archive
    • World Academy of Sciences Journal
      • Information for Authors
      • Editorial Policies
      • Editorial Board
      • Aims and Scope
      • Abstracting and Indexing
      • Bibliographic Information
      • Archive
  • Articles
  • Information
    • For Authors
    • For Reviewers
    • For Librarians
    • For Advertisers
    • Conferences
  • Language Editing
Login Register Submit
  • This site uses cookies
  • You can change your cookie settings at any time by following the instructions in our Cookie Policy. To find out more, you may read our Privacy Policy.

    I agree
Search articles by DOI, keyword, author or affiliation
Search
Advanced Search
presentation
Experimental and Therapeutic Medicine
Join Editorial Board Propose a Special Issue
Print ISSN: 1792-0981 Online ISSN: 1792-1015
Journal Cover
December 2013 Volume 6 Issue 6

Full Size Image

Sign up for eToc alerts
Recommend to Library

Journals

International Journal of Molecular Medicine

International Journal of Molecular Medicine

International Journal of Molecular Medicine is an international journal devoted to molecular mechanisms of human disease.

International Journal of Oncology

International Journal of Oncology

International Journal of Oncology is an international journal devoted to oncology research and cancer treatment.

Molecular Medicine Reports

Molecular Medicine Reports

Covers molecular medicine topics such as pharmacology, pathology, genetics, neuroscience, infectious diseases, molecular cardiology, and molecular surgery.

Oncology Reports

Oncology Reports

Oncology Reports is an international journal devoted to fundamental and applied research in Oncology.

Experimental and Therapeutic Medicine

Experimental and Therapeutic Medicine

Experimental and Therapeutic Medicine is an international journal devoted to laboratory and clinical medicine.

Oncology Letters

Oncology Letters

Oncology Letters is an international journal devoted to Experimental and Clinical Oncology.

Biomedical Reports

Biomedical Reports

Explores a wide range of biological and medical fields, including pharmacology, genetics, microbiology, neuroscience, and molecular cardiology.

Molecular and Clinical Oncology

Molecular and Clinical Oncology

International journal addressing all aspects of oncology research, from tumorigenesis and oncogenes to chemotherapy and metastasis.

World Academy of Sciences Journal

World Academy of Sciences Journal

Multidisciplinary open-access journal spanning biochemistry, genetics, neuroscience, environmental health, and synthetic biology.

International Journal of Functional Nutrition

International Journal of Functional Nutrition

Open-access journal combining biochemistry, pharmacology, immunology, and genetics to advance health through functional nutrition.

International Journal of Epigenetics

International Journal of Epigenetics

Publishes open-access research on using epigenetics to advance understanding and treatment of human disease.

Medicine International

Medicine International

An International Open Access Journal Devoted to General Medicine.

Journal Cover
December 2013 Volume 6 Issue 6

Full Size Image

Sign up for eToc alerts
Recommend to Library

  • Article
  • Citations
    • Cite This Article
    • Download Citation
    • Create Citation Alert
    • Remove Citation Alert
    • Cited By
  • Similar Articles
    • Related Articles (in Spandidos Publications)
    • Similar Articles (Google Scholar)
    • Similar Articles (PubMed)
  • Download PDF
  • Download XML
  • View XML
Case Report

Paraquat poisoning by skin absorption: Two case reports and a literature review

  • Authors:
    • Qian Zhou
    • Baotian Kan
    • Xiangdong Jian
    • Wei Zhang
    • Huimin Liu
    • Zhongchen Zhang
  • View Affiliations / Copyright

    Affiliations: Department of Poisoning and Occupational Disease, Qilu Hospital of Shandong University, Jinan, Shandong 250012, P.R. China
  • Pages: 1504-1506
    |
    Published online on: September 27, 2013
       https://doi.org/10.3892/etm.2013.1320
  • Expand metrics +
Metrics: Total Views: 0 (Spandidos Publications: | PMC Statistics: )
Metrics: Total PDF Downloads: 0 (Spandidos Publications: | PMC Statistics: )
Cited By (CrossRef): 0 citations Loading Articles...

This article is mentioned in:



Abstract

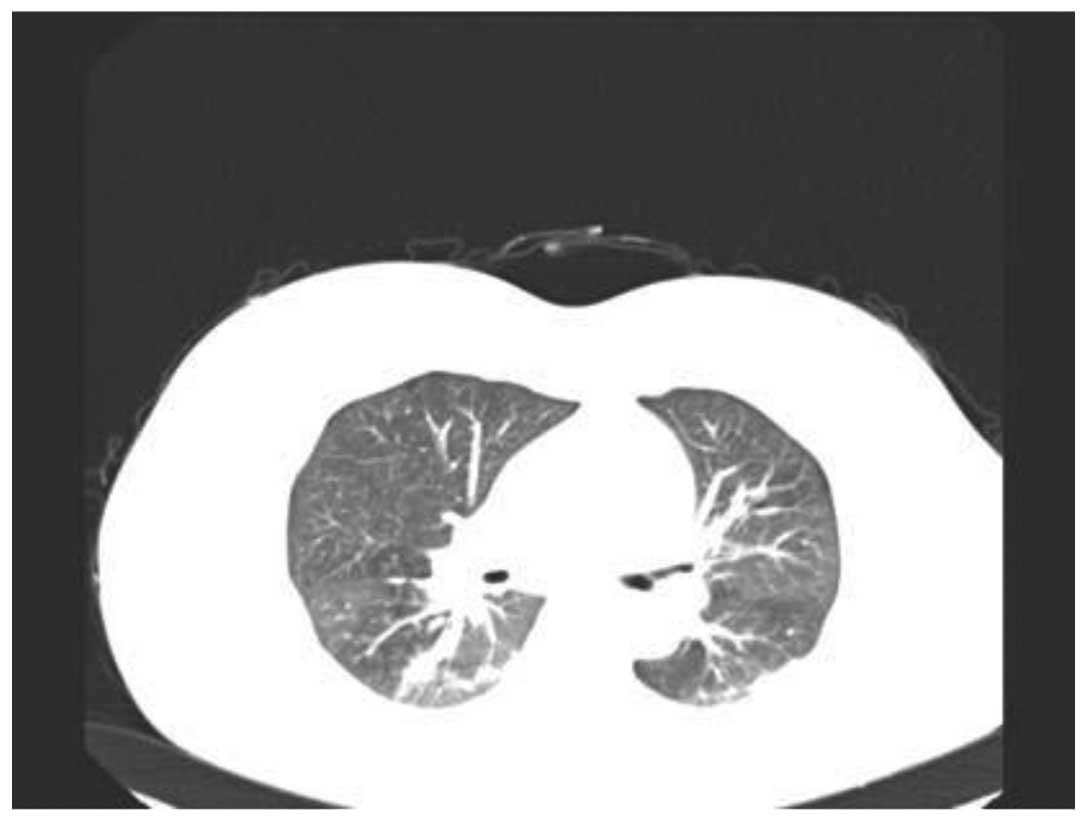
The present report describes two cases of paraquat poisoning by skin absorption. The cases involved contractual workers who were spraying paraquat in an orchard. Whilst spraying, some solution adhered to their skin. The skin developed erythema followed by blistering and hemorrhaging hemorrhagic diabrosis. Six days later the patients were admitted to the Department of Poisoning and Occupational Disease, Qilu Hospital of Shandong University (Jinan, China) with 3 and 2% total body surface area (TBSA) burns, respectively. Surgical debridement was performed and immunosuppressants were administered during the patients' treatment. The patients were treated successfully and had made a complete recovery following 21 days. From these cases it was examined how paraquat may cause skin injuries and occasionally poisoning. To the best of our knowledge, cases of paraquat poisoning are rare in China. A review of the relevant literature was performed.
View Figures

Figure 1

Figure 2

Figure 3

View References

1 

Carson DJ and Carson ED: The increasing use of paraquat as a suicidal agent. Forensic Sci. 7:151–160. 1976. View Article : Google Scholar : PubMed/NCBI

2 

Huang CJ, Yang MC and Ueng SH: Subacute pulmonary manifestation in a survivor of severe paraquat intoxication. Am J Med Sci. 330:254–256. 2005. View Article : Google Scholar : PubMed/NCBI

3 

Sagar GR: Uses and usefulness of paraquat. Hum Toxicol. 6:7–11. 1987. View Article : Google Scholar : PubMed/NCBI

4 

Rhodes ML, Zavala DC and Brown D: Hypoxic protection in paraquat poisoning. Lab Invest. 35:496–500. 1976.PubMed/NCBI

5 

Rebello G and Mason JK: Pulmonary histological appearances in fatal paraquat poisoning. Histopathology. 2:53–66. 1978. View Article : Google Scholar : PubMed/NCBI

6 

Dinis-Oliveira RJ, Sarmento A, Reis P, et al: Acute paraquat poisoning: report of a survival case following intake of a potential lethal dose. Pediatr Emerg Care. 22:537–540. 2006. View Article : Google Scholar : PubMed/NCBI

7 

Newhouse M, McEvoy D and Rosenthal D: Percutaneous paraquat absorption. An association with cutaneous lesions and respiratory failure. Arch Dermatol. 114:1516–1519. 1978. View Article : Google Scholar : PubMed/NCBI

8 

Bismuth C, Garnier R, Dally S, et al: Prognosis and treatment of paraquat poisoning: a review of 28 cases. J Toxicol Clin Toxicol. 19:461–474. 1982. View Article : Google Scholar : PubMed/NCBI

9 

Tungsanga K, Chusilp S, Israsena S and Sitprija V: Paraquat poisoning: evidence of systemic toxicity after dermal exposure. Postgrad Med J. 59:338–339. 1983. View Article : Google Scholar : PubMed/NCBI

10 

Gear AJ, Ahrenholz DH and Solem LD: Paraquat poisoning in a burn patient. J Burn Care Rehabil. 22:347–351. 2001. View Article : Google Scholar : PubMed/NCBI

11 

Ruan YJ, Jian XD and Guo GR: Progress in research on mechanism of pathogenesis and treatment of acute paraquat poisoning. Zhonghua Lao Dong Wei Sheng Zhi Ye Bing Za Zhi. 27:114–116. 2009.(In Chinese).

12 

Wesseling C, van Wendel de Joode B, Ruepert C, et al: Paraquat in developing countries. Int J Occup Environ Health. 7:275–286. 2001. View Article : Google Scholar : PubMed/NCBI

13 

WHO. The WHO Recommended Classification of Pesticides by Hazard and Guidelines to Classification: 2004. World Health Organization; Geneva, Switzerland: pp. 21–25. 2005

14 

Sabzghabaee AM, Eizadi-Mood N, Montazeri K, et al: Fatality in paraquat poisoning. Singapore Med J. 51:496–500. 2010.PubMed/NCBI

15 

Gawarammana IB and Dawson AH: Peripheral burning sensation: a novel clinical marker of poor prognosis and higher plasma-paraquat concentrations in paraquat poisoning. Clin Toxicol (Phila). 48:347–349. 2010. View Article : Google Scholar : PubMed/NCBI

16 

Chen JG, Eldridge DL, Lodeserto FJ, et al: Paraquat ingestion: a challenging diagnosis. Pediatrics. 125:e1505–e1509. 2010. View Article : Google Scholar : PubMed/NCBI

17 

Hoffer E and Taitelman U: Exposure to paraquat through skin absorption: clinical and laboratory observations of accidental splashing on healthy skin of agricultural workers. Hum Toxicol. 8:483–485. 1989. View Article : Google Scholar : PubMed/NCBI

18 

Ronnen M, Klin B and Suster S: Mixed diquat/paraquat-induced burns. Int J Dermatol. 34:23–25. 1995. View Article : Google Scholar : PubMed/NCBI

19 

Soloukides A, Moutzouris DA, Kassimatis T, et al: A fatal case of paraquat poisoning following minimal dermal exposure. Ren Fail. 29:375–377. 2007. View Article : Google Scholar : PubMed/NCBI

20 

Peiró AM, Zapater P, Alenda C, et al: Hepatotoxicity related to paraquat and diquat absorption through intact skin. Dig Dis Sci. 52:3282–3284. 2007.PubMed/NCBI

21 

Lin NC, Lin JL, Lin-Tan DT and Yu CC: Combined initial cyclophosphamide with repeated methylprednisolone pulse therapy for severe paraquat poisoning from dermal exposure. J Toxicol Clin Toxicol. 41:877–881. 2003. View Article : Google Scholar : PubMed/NCBI

22 

Jian XD, Guo GR, Ruan YJ, et al: Clinical study on treatment of acute paraquat poisoning. Zhonghua Lao Dong Wei Sheng Zhi Ye Bing Za Zhi. 26:549–552. 2008.PubMed/NCBI

Related Articles

  • Abstract
  • View
  • Download
  • Twitter
Copy and paste a formatted citation
Spandidos Publications style
Zhou Q, Kan B, Jian X, Zhang W, Liu H and Zhang Z: Paraquat poisoning by skin absorption: Two case reports and a literature review. Exp Ther Med 6: 1504-1506, 2013.
APA
Zhou, Q., Kan, B., Jian, X., Zhang, W., Liu, H., & Zhang, Z. (2013). Paraquat poisoning by skin absorption: Two case reports and a literature review. Experimental and Therapeutic Medicine, 6, 1504-1506. https://doi.org/10.3892/etm.2013.1320
MLA
Zhou, Q., Kan, B., Jian, X., Zhang, W., Liu, H., Zhang, Z."Paraquat poisoning by skin absorption: Two case reports and a literature review". Experimental and Therapeutic Medicine 6.6 (2013): 1504-1506.
Chicago
Zhou, Q., Kan, B., Jian, X., Zhang, W., Liu, H., Zhang, Z."Paraquat poisoning by skin absorption: Two case reports and a literature review". Experimental and Therapeutic Medicine 6, no. 6 (2013): 1504-1506. https://doi.org/10.3892/etm.2013.1320
Copy and paste a formatted citation
x
Spandidos Publications style
Zhou Q, Kan B, Jian X, Zhang W, Liu H and Zhang Z: Paraquat poisoning by skin absorption: Two case reports and a literature review. Exp Ther Med 6: 1504-1506, 2013.
APA
Zhou, Q., Kan, B., Jian, X., Zhang, W., Liu, H., & Zhang, Z. (2013). Paraquat poisoning by skin absorption: Two case reports and a literature review. Experimental and Therapeutic Medicine, 6, 1504-1506. https://doi.org/10.3892/etm.2013.1320
MLA
Zhou, Q., Kan, B., Jian, X., Zhang, W., Liu, H., Zhang, Z."Paraquat poisoning by skin absorption: Two case reports and a literature review". Experimental and Therapeutic Medicine 6.6 (2013): 1504-1506.
Chicago
Zhou, Q., Kan, B., Jian, X., Zhang, W., Liu, H., Zhang, Z."Paraquat poisoning by skin absorption: Two case reports and a literature review". Experimental and Therapeutic Medicine 6, no. 6 (2013): 1504-1506. https://doi.org/10.3892/etm.2013.1320
Follow us
  • Twitter
  • LinkedIn
  • Facebook
About
  • Spandidos Publications
  • Careers
  • Cookie Policy
  • Privacy Policy
How can we help?
  • Help
  • Live Chat
  • Contact
  • Email to our Support Team