Spandidos Publications Logo
  • About
    • About Spandidos
    • Aims and Scopes
    • Abstracting and Indexing
    • Editorial Policies
    • Reprints and Permissions
    • Job Opportunities
    • Terms and Conditions
    • Contact
  • Journals
    • All Journals
    • Oncology Letters
      • Oncology Letters
      • Information for Authors
      • Editorial Policies
      • Editorial Board
      • Aims and Scope
      • Abstracting and Indexing
      • Bibliographic Information
      • Archive
    • International Journal of Oncology
      • International Journal of Oncology
      • Information for Authors
      • Editorial Policies
      • Editorial Board
      • Aims and Scope
      • Abstracting and Indexing
      • Bibliographic Information
      • Archive
    • Molecular and Clinical Oncology
      • Molecular and Clinical Oncology
      • Information for Authors
      • Editorial Policies
      • Editorial Board
      • Aims and Scope
      • Abstracting and Indexing
      • Bibliographic Information
      • Archive
    • Experimental and Therapeutic Medicine
      • Experimental and Therapeutic Medicine
      • Information for Authors
      • Editorial Policies
      • Editorial Board
      • Aims and Scope
      • Abstracting and Indexing
      • Bibliographic Information
      • Archive
    • International Journal of Molecular Medicine
      • International Journal of Molecular Medicine
      • Information for Authors
      • Editorial Policies
      • Editorial Board
      • Aims and Scope
      • Abstracting and Indexing
      • Bibliographic Information
      • Archive
    • Biomedical Reports
      • Biomedical Reports
      • Information for Authors
      • Editorial Policies
      • Editorial Board
      • Aims and Scope
      • Abstracting and Indexing
      • Bibliographic Information
      • Archive
    • Oncology Reports
      • Oncology Reports
      • Information for Authors
      • Editorial Policies
      • Editorial Board
      • Aims and Scope
      • Abstracting and Indexing
      • Bibliographic Information
      • Archive
    • Molecular Medicine Reports
      • Molecular Medicine Reports
      • Information for Authors
      • Editorial Policies
      • Editorial Board
      • Aims and Scope
      • Abstracting and Indexing
      • Bibliographic Information
      • Archive
    • World Academy of Sciences Journal
      • World Academy of Sciences Journal
      • Information for Authors
      • Editorial Policies
      • Editorial Board
      • Aims and Scope
      • Abstracting and Indexing
      • Bibliographic Information
      • Archive
    • International Journal of Functional Nutrition
      • International Journal of Functional Nutrition
      • Information for Authors
      • Editorial Policies
      • Editorial Board
      • Aims and Scope
      • Abstracting and Indexing
      • Bibliographic Information
      • Archive
    • International Journal of Epigenetics
      • International Journal of Epigenetics
      • Information for Authors
      • Editorial Policies
      • Editorial Board
      • Aims and Scope
      • Abstracting and Indexing
      • Bibliographic Information
      • Archive
    • Medicine International
      • Medicine International
      • Information for Authors
      • Editorial Policies
      • Editorial Board
      • Aims and Scope
      • Abstracting and Indexing
      • Bibliographic Information
      • Archive
  • Articles
  • Information
    • Information for Authors
    • Information for Reviewers
    • Information for Librarians
    • Information for Advertisers
    • Conferences
  • Language Editing
Spandidos Publications Logo
  • About
    • About Spandidos
    • Aims and Scopes
    • Abstracting and Indexing
    • Editorial Policies
    • Reprints and Permissions
    • Job Opportunities
    • Terms and Conditions
    • Contact
  • Journals
    • All Journals
    • Biomedical Reports
      • Information for Authors
      • Editorial Policies
      • Editorial Board
      • Aims and Scope
      • Abstracting and Indexing
      • Bibliographic Information
      • Archive
    • Experimental and Therapeutic Medicine
      • Information for Authors
      • Editorial Policies
      • Editorial Board
      • Aims and Scope
      • Abstracting and Indexing
      • Bibliographic Information
      • Archive
    • International Journal of Epigenetics
      • Information for Authors
      • Editorial Policies
      • Editorial Board
      • Aims and Scope
      • Abstracting and Indexing
      • Bibliographic Information
      • Archive
    • International Journal of Functional Nutrition
      • Information for Authors
      • Editorial Policies
      • Editorial Board
      • Aims and Scope
      • Abstracting and Indexing
      • Bibliographic Information
      • Archive
    • International Journal of Molecular Medicine
      • Information for Authors
      • Editorial Policies
      • Editorial Board
      • Aims and Scope
      • Abstracting and Indexing
      • Bibliographic Information
      • Archive
    • International Journal of Oncology
      • Information for Authors
      • Editorial Policies
      • Editorial Board
      • Aims and Scope
      • Abstracting and Indexing
      • Bibliographic Information
      • Archive
    • Medicine International
      • Information for Authors
      • Editorial Policies
      • Editorial Board
      • Aims and Scope
      • Abstracting and Indexing
      • Bibliographic Information
      • Archive
    • Molecular and Clinical Oncology
      • Information for Authors
      • Editorial Policies
      • Editorial Board
      • Aims and Scope
      • Abstracting and Indexing
      • Bibliographic Information
      • Archive
    • Molecular Medicine Reports
      • Information for Authors
      • Editorial Policies
      • Editorial Board
      • Aims and Scope
      • Abstracting and Indexing
      • Bibliographic Information
      • Archive
    • Oncology Letters
      • Information for Authors
      • Editorial Policies
      • Editorial Board
      • Aims and Scope
      • Abstracting and Indexing
      • Bibliographic Information
      • Archive
    • Oncology Reports
      • Information for Authors
      • Editorial Policies
      • Editorial Board
      • Aims and Scope
      • Abstracting and Indexing
      • Bibliographic Information
      • Archive
    • World Academy of Sciences Journal
      • Information for Authors
      • Editorial Policies
      • Editorial Board
      • Aims and Scope
      • Abstracting and Indexing
      • Bibliographic Information
      • Archive
  • Articles
  • Information
    • For Authors
    • For Reviewers
    • For Librarians
    • For Advertisers
    • Conferences
  • Language Editing
Login Register Submit
  • This site uses cookies
  • You can change your cookie settings at any time by following the instructions in our Cookie Policy. To find out more, you may read our Privacy Policy.

    I agree
Search articles by DOI, keyword, author or affiliation
Search
Advanced Search
presentation
Experimental and Therapeutic Medicine
Join Editorial Board Propose a Special Issue
Print ISSN: 1792-0981 Online ISSN: 1792-1015
Journal Cover
December 2013 Volume 6 Issue 6

Full Size Image

Sign up for eToc alerts
Recommend to Library

Journals

International Journal of Molecular Medicine

International Journal of Molecular Medicine

International Journal of Molecular Medicine is an international journal devoted to molecular mechanisms of human disease.

International Journal of Oncology

International Journal of Oncology

International Journal of Oncology is an international journal devoted to oncology research and cancer treatment.

Molecular Medicine Reports

Molecular Medicine Reports

Covers molecular medicine topics such as pharmacology, pathology, genetics, neuroscience, infectious diseases, molecular cardiology, and molecular surgery.

Oncology Reports

Oncology Reports

Oncology Reports is an international journal devoted to fundamental and applied research in Oncology.

Experimental and Therapeutic Medicine

Experimental and Therapeutic Medicine

Experimental and Therapeutic Medicine is an international journal devoted to laboratory and clinical medicine.

Oncology Letters

Oncology Letters

Oncology Letters is an international journal devoted to Experimental and Clinical Oncology.

Biomedical Reports

Biomedical Reports

Explores a wide range of biological and medical fields, including pharmacology, genetics, microbiology, neuroscience, and molecular cardiology.

Molecular and Clinical Oncology

Molecular and Clinical Oncology

International journal addressing all aspects of oncology research, from tumorigenesis and oncogenes to chemotherapy and metastasis.

World Academy of Sciences Journal

World Academy of Sciences Journal

Multidisciplinary open-access journal spanning biochemistry, genetics, neuroscience, environmental health, and synthetic biology.

International Journal of Functional Nutrition

International Journal of Functional Nutrition

Open-access journal combining biochemistry, pharmacology, immunology, and genetics to advance health through functional nutrition.

International Journal of Epigenetics

International Journal of Epigenetics

Publishes open-access research on using epigenetics to advance understanding and treatment of human disease.

Medicine International

Medicine International

An International Open Access Journal Devoted to General Medicine.

Journal Cover
December 2013 Volume 6 Issue 6

Full Size Image

Sign up for eToc alerts
Recommend to Library

  • Article
  • Citations
    • Cite This Article
    • Download Citation
    • Create Citation Alert
    • Remove Citation Alert
    • Cited By
  • Similar Articles
    • Related Articles (in Spandidos Publications)
    • Similar Articles (Google Scholar)
    • Similar Articles (PubMed)
  • Download PDF
  • Download XML
  • View XML
Article

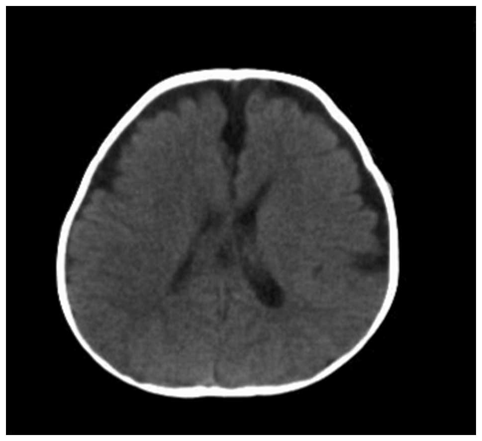
Application of 256-slice computed tomography with low radiation doses in neonates with hypoxic-ischemic encephalopathy

  • Authors:
    • Liu Qing
    • Xiangxing Ma
  • View Affiliations / Copyright

    Affiliations: Radiology Department, Qilu Hospital, Shandong University, Jinan, Shandong 250012, P.R. China
  • Pages: 1414-1416
    |
    Published online on: September 30, 2013
       https://doi.org/10.3892/etm.2013.1322
  • Expand metrics +
Metrics: Total Views: 0 (Spandidos Publications: | PMC Statistics: )
Metrics: Total PDF Downloads: 0 (Spandidos Publications: | PMC Statistics: )
Cited By (CrossRef): 0 citations Loading Articles...

This article is mentioned in:



Abstract

Hypoxic-ischemic encephalopathy (HIE), an injury or disease with lack of oxygen in the brain, may occur at any stage in childhood but the exact mechanisms that cause HIE remain unknown. In this study, 150 newborns suspected of having neonatal HIE and scheduled for a brain CT scan were randomly assigned to three equally sized groups as follows: standard dose group (120 kV, 250 mAsec), low dose group 1 (120 kV, 150 mAsec) and low dose group 2 (120 kV, 50 mAsec). All other acquisition parameters were the same in all groups. The CT dose index (CTDI), dose length product (DLP) and the image noise were compared among the three groups. The image quality was evaluated by blinded readers. The DLP of low dose group 2 was 19.3% of that of the standard dose group without a significant difference (P>0.05). The image noise of the low dose group 1 was greater than that of the standard dose group with a significant difference (P<0.01). Low dose scanning is feasible in the screening of HIE in neonates and is beneficial in protecting newborns against unnecessary radiation damage.
View Figures

Figure 1

Figure 2

Figure 3

View References

1 

McKinney AM, Teksam M, Felice R, et al: Diffusion-weighted imaging in the setting of diffuse cortical laminar necrosis and hypoxic-ischemic encephalopathy. AJNR Am J Neuroradiol. 25:1659–1665. 2004.PubMed/NCBI

2 

Fee SC, Malee K, Deddish R, et al: Severe acidosis and subsequent neurologic status. Am J Obstet Gynecol. 162:802–806. 1990. View Article : Google Scholar : PubMed/NCBI

3 

Ferrari F, Todeschini A, Guidotti I, et al: General movements in full-term infants with perinatal asphyxia are related to Basal Ganglia and thalamic lesions. J Pediatr. 158:904–911. 2011. View Article : Google Scholar : PubMed/NCBI

4 

Berrington de González A, Mahesh M, Kim KP, et al: Projected cancer risks from computed tomographic scans performed in the United States in 2007. Arch Int Med. 169:2071–2077. 2009.PubMed/NCBI

5 

Mori S, Endo M, Nishizawa K, et al: Comparison of patient doses in 256-slice CT and 16-slice CT scanners. Br J Radiol. 79:56–61. 2006. View Article : Google Scholar : PubMed/NCBI

6 

Endo M, Mori S, Tsunoo T and Miyazaki H: Magnitude and effects of x-ray scatter in a 256-slice CT scanner. Med Phys. 33:3359–3368. 2006. View Article : Google Scholar : PubMed/NCBI

7 

Pearce MS, Salotti JA, Little MP, et al: Radiation exposure from CT scans in childhood and subsequent risk of leukaemia and brain tumours: a retrospective cohort study. Lancet. 380:499–505. 2012. View Article : Google Scholar : PubMed/NCBI

8 

Strauss KJ, Goske MJ, Kaste SC, et al: Image gently: ten steps you can take to optimize image quality and lower CT dose for pediatric patients. AJR Am J Roentgenol. 94:868–873. 2010. View Article : Google Scholar : PubMed/NCBI

Related Articles

  • Abstract
  • View
  • Download
  • Twitter
Copy and paste a formatted citation
Spandidos Publications style
Qing L and Ma X: Application of 256-slice computed tomography with low radiation doses in neonates with hypoxic-ischemic encephalopathy. Exp Ther Med 6: 1414-1416, 2013.
APA
Qing, L., & Ma, X. (2013). Application of 256-slice computed tomography with low radiation doses in neonates with hypoxic-ischemic encephalopathy. Experimental and Therapeutic Medicine, 6, 1414-1416. https://doi.org/10.3892/etm.2013.1322
MLA
Qing, L., Ma, X."Application of 256-slice computed tomography with low radiation doses in neonates with hypoxic-ischemic encephalopathy". Experimental and Therapeutic Medicine 6.6 (2013): 1414-1416.
Chicago
Qing, L., Ma, X."Application of 256-slice computed tomography with low radiation doses in neonates with hypoxic-ischemic encephalopathy". Experimental and Therapeutic Medicine 6, no. 6 (2013): 1414-1416. https://doi.org/10.3892/etm.2013.1322
Copy and paste a formatted citation
x
Spandidos Publications style
Qing L and Ma X: Application of 256-slice computed tomography with low radiation doses in neonates with hypoxic-ischemic encephalopathy. Exp Ther Med 6: 1414-1416, 2013.
APA
Qing, L., & Ma, X. (2013). Application of 256-slice computed tomography with low radiation doses in neonates with hypoxic-ischemic encephalopathy. Experimental and Therapeutic Medicine, 6, 1414-1416. https://doi.org/10.3892/etm.2013.1322
MLA
Qing, L., Ma, X."Application of 256-slice computed tomography with low radiation doses in neonates with hypoxic-ischemic encephalopathy". Experimental and Therapeutic Medicine 6.6 (2013): 1414-1416.
Chicago
Qing, L., Ma, X."Application of 256-slice computed tomography with low radiation doses in neonates with hypoxic-ischemic encephalopathy". Experimental and Therapeutic Medicine 6, no. 6 (2013): 1414-1416. https://doi.org/10.3892/etm.2013.1322
Follow us
  • Twitter
  • LinkedIn
  • Facebook
About
  • Spandidos Publications
  • Careers
  • Cookie Policy
  • Privacy Policy
How can we help?
  • Help
  • Live Chat
  • Contact
  • Email to our Support Team