Spandidos Publications Logo
  • About
    • About Spandidos
    • Aims and Scopes
    • Abstracting and Indexing
    • Editorial Policies
    • Reprints and Permissions
    • Job Opportunities
    • Terms and Conditions
    • Contact
  • Journals
    • All Journals
    • Oncology Letters
      • Oncology Letters
      • Information for Authors
      • Editorial Policies
      • Editorial Board
      • Aims and Scope
      • Abstracting and Indexing
      • Bibliographic Information
      • Archive
    • International Journal of Oncology
      • International Journal of Oncology
      • Information for Authors
      • Editorial Policies
      • Editorial Board
      • Aims and Scope
      • Abstracting and Indexing
      • Bibliographic Information
      • Archive
    • Molecular and Clinical Oncology
      • Molecular and Clinical Oncology
      • Information for Authors
      • Editorial Policies
      • Editorial Board
      • Aims and Scope
      • Abstracting and Indexing
      • Bibliographic Information
      • Archive
    • Experimental and Therapeutic Medicine
      • Experimental and Therapeutic Medicine
      • Information for Authors
      • Editorial Policies
      • Editorial Board
      • Aims and Scope
      • Abstracting and Indexing
      • Bibliographic Information
      • Archive
    • International Journal of Molecular Medicine
      • International Journal of Molecular Medicine
      • Information for Authors
      • Editorial Policies
      • Editorial Board
      • Aims and Scope
      • Abstracting and Indexing
      • Bibliographic Information
      • Archive
    • Biomedical Reports
      • Biomedical Reports
      • Information for Authors
      • Editorial Policies
      • Editorial Board
      • Aims and Scope
      • Abstracting and Indexing
      • Bibliographic Information
      • Archive
    • Oncology Reports
      • Oncology Reports
      • Information for Authors
      • Editorial Policies
      • Editorial Board
      • Aims and Scope
      • Abstracting and Indexing
      • Bibliographic Information
      • Archive
    • Molecular Medicine Reports
      • Molecular Medicine Reports
      • Information for Authors
      • Editorial Policies
      • Editorial Board
      • Aims and Scope
      • Abstracting and Indexing
      • Bibliographic Information
      • Archive
    • World Academy of Sciences Journal
      • World Academy of Sciences Journal
      • Information for Authors
      • Editorial Policies
      • Editorial Board
      • Aims and Scope
      • Abstracting and Indexing
      • Bibliographic Information
      • Archive
    • International Journal of Functional Nutrition
      • International Journal of Functional Nutrition
      • Information for Authors
      • Editorial Policies
      • Editorial Board
      • Aims and Scope
      • Abstracting and Indexing
      • Bibliographic Information
      • Archive
    • International Journal of Epigenetics
      • International Journal of Epigenetics
      • Information for Authors
      • Editorial Policies
      • Editorial Board
      • Aims and Scope
      • Abstracting and Indexing
      • Bibliographic Information
      • Archive
    • Medicine International
      • Medicine International
      • Information for Authors
      • Editorial Policies
      • Editorial Board
      • Aims and Scope
      • Abstracting and Indexing
      • Bibliographic Information
      • Archive
  • Articles
  • Information
    • Information for Authors
    • Information for Reviewers
    • Information for Librarians
    • Information for Advertisers
    • Conferences
  • Language Editing
Spandidos Publications Logo
  • About
    • About Spandidos
    • Aims and Scopes
    • Abstracting and Indexing
    • Editorial Policies
    • Reprints and Permissions
    • Job Opportunities
    • Terms and Conditions
    • Contact
  • Journals
    • All Journals
    • Biomedical Reports
      • Information for Authors
      • Editorial Policies
      • Editorial Board
      • Aims and Scope
      • Abstracting and Indexing
      • Bibliographic Information
      • Archive
    • Experimental and Therapeutic Medicine
      • Information for Authors
      • Editorial Policies
      • Editorial Board
      • Aims and Scope
      • Abstracting and Indexing
      • Bibliographic Information
      • Archive
    • International Journal of Epigenetics
      • Information for Authors
      • Editorial Policies
      • Editorial Board
      • Aims and Scope
      • Abstracting and Indexing
      • Bibliographic Information
      • Archive
    • International Journal of Functional Nutrition
      • Information for Authors
      • Editorial Policies
      • Editorial Board
      • Aims and Scope
      • Abstracting and Indexing
      • Bibliographic Information
      • Archive
    • International Journal of Molecular Medicine
      • Information for Authors
      • Editorial Policies
      • Editorial Board
      • Aims and Scope
      • Abstracting and Indexing
      • Bibliographic Information
      • Archive
    • International Journal of Oncology
      • Information for Authors
      • Editorial Policies
      • Editorial Board
      • Aims and Scope
      • Abstracting and Indexing
      • Bibliographic Information
      • Archive
    • Medicine International
      • Information for Authors
      • Editorial Policies
      • Editorial Board
      • Aims and Scope
      • Abstracting and Indexing
      • Bibliographic Information
      • Archive
    • Molecular and Clinical Oncology
      • Information for Authors
      • Editorial Policies
      • Editorial Board
      • Aims and Scope
      • Abstracting and Indexing
      • Bibliographic Information
      • Archive
    • Molecular Medicine Reports
      • Information for Authors
      • Editorial Policies
      • Editorial Board
      • Aims and Scope
      • Abstracting and Indexing
      • Bibliographic Information
      • Archive
    • Oncology Letters
      • Information for Authors
      • Editorial Policies
      • Editorial Board
      • Aims and Scope
      • Abstracting and Indexing
      • Bibliographic Information
      • Archive
    • Oncology Reports
      • Information for Authors
      • Editorial Policies
      • Editorial Board
      • Aims and Scope
      • Abstracting and Indexing
      • Bibliographic Information
      • Archive
    • World Academy of Sciences Journal
      • Information for Authors
      • Editorial Policies
      • Editorial Board
      • Aims and Scope
      • Abstracting and Indexing
      • Bibliographic Information
      • Archive
  • Articles
  • Information
    • For Authors
    • For Reviewers
    • For Librarians
    • For Advertisers
    • Conferences
  • Language Editing
Login Register Submit
  • This site uses cookies
  • You can change your cookie settings at any time by following the instructions in our Cookie Policy. To find out more, you may read our Privacy Policy.

    I agree
Search articles by DOI, keyword, author or affiliation
Search
Advanced Search
presentation
Experimental and Therapeutic Medicine
Join Editorial Board Propose a Special Issue
Print ISSN: 1792-0981 Online ISSN: 1792-1015
Journal Cover
April 2013 Volume 5 Issue 4

Full Size Image

Sign up for eToc alerts
Recommend to Library

Journals

International Journal of Molecular Medicine

International Journal of Molecular Medicine

International Journal of Molecular Medicine is an international journal devoted to molecular mechanisms of human disease.

International Journal of Oncology

International Journal of Oncology

International Journal of Oncology is an international journal devoted to oncology research and cancer treatment.

Molecular Medicine Reports

Molecular Medicine Reports

Covers molecular medicine topics such as pharmacology, pathology, genetics, neuroscience, infectious diseases, molecular cardiology, and molecular surgery.

Oncology Reports

Oncology Reports

Oncology Reports is an international journal devoted to fundamental and applied research in Oncology.

Experimental and Therapeutic Medicine

Experimental and Therapeutic Medicine

Experimental and Therapeutic Medicine is an international journal devoted to laboratory and clinical medicine.

Oncology Letters

Oncology Letters

Oncology Letters is an international journal devoted to Experimental and Clinical Oncology.

Biomedical Reports

Biomedical Reports

Explores a wide range of biological and medical fields, including pharmacology, genetics, microbiology, neuroscience, and molecular cardiology.

Molecular and Clinical Oncology

Molecular and Clinical Oncology

International journal addressing all aspects of oncology research, from tumorigenesis and oncogenes to chemotherapy and metastasis.

World Academy of Sciences Journal

World Academy of Sciences Journal

Multidisciplinary open-access journal spanning biochemistry, genetics, neuroscience, environmental health, and synthetic biology.

International Journal of Functional Nutrition

International Journal of Functional Nutrition

Open-access journal combining biochemistry, pharmacology, immunology, and genetics to advance health through functional nutrition.

International Journal of Epigenetics

International Journal of Epigenetics

Publishes open-access research on using epigenetics to advance understanding and treatment of human disease.

Medicine International

Medicine International

An International Open Access Journal Devoted to General Medicine.

Journal Cover
April 2013 Volume 5 Issue 4

Full Size Image

Sign up for eToc alerts
Recommend to Library

  • Article
  • Citations
    • Cite This Article
    • Download Citation
    • Create Citation Alert
    • Remove Citation Alert
    • Cited By
  • Similar Articles
    • Related Articles (in Spandidos Publications)
    • Similar Articles (Google Scholar)
    • Similar Articles (PubMed)
  • Download PDF
  • Download XML
  • View XML
Case Report

Massive right coronary air embolism in the right coronary artery during left coronary angiography: A case report

  • Authors:
    • Chang-Bum Park
    • Hui-Jeong Hwang
    • Jin-Man Cho
    • Byung-Hyun Jo
    • Chong-Jin Kim
  • View Affiliations / Copyright

    Affiliations: Department of Internal Medicine, Kyung Hee University, Kyung Hee University Hospital at Gangdong, Seoul 134-727, Republic of Korea
  • Pages: 1073-1074
    |
    Published online on: January 30, 2013
       https://doi.org/10.3892/etm.2013.939
  • Expand metrics +
Metrics: Total Views: 0 (Spandidos Publications: | PMC Statistics: )
Metrics: Total PDF Downloads: 0 (Spandidos Publications: | PMC Statistics: )
Cited By (CrossRef): 0 citations Loading Articles...

This article is mentioned in:



Abstract

Coronary air embolism is one of the inadvertent complications of coronary angiography. We report a case of unexpected massive right coronary air embolism during left coronary angiography with a JL4 diagnostic catheter. This report demonstrates that air embolism may occur in the contralateral coronary artery and therefore complete air aspiration must be ensured during coronary angiography.

Introduction

Coronary air embolism is a well-recognized complication of coronary catheterization and occurs in 0.1–0.3% of cases (1,2). The causes of coronary artery air embolism include incomplete aspiration of angiographic or guiding catheters, balloon rupture, insinuation of air with balloon catheter introduction or withdrawal, structural failures of the equipment and constant negative suction of self-venting catheters left out of the body (2,3). Herein, we report a rare case of unexpected contralateral coronary artery air embolism during left-side coronary angiography.

Case report

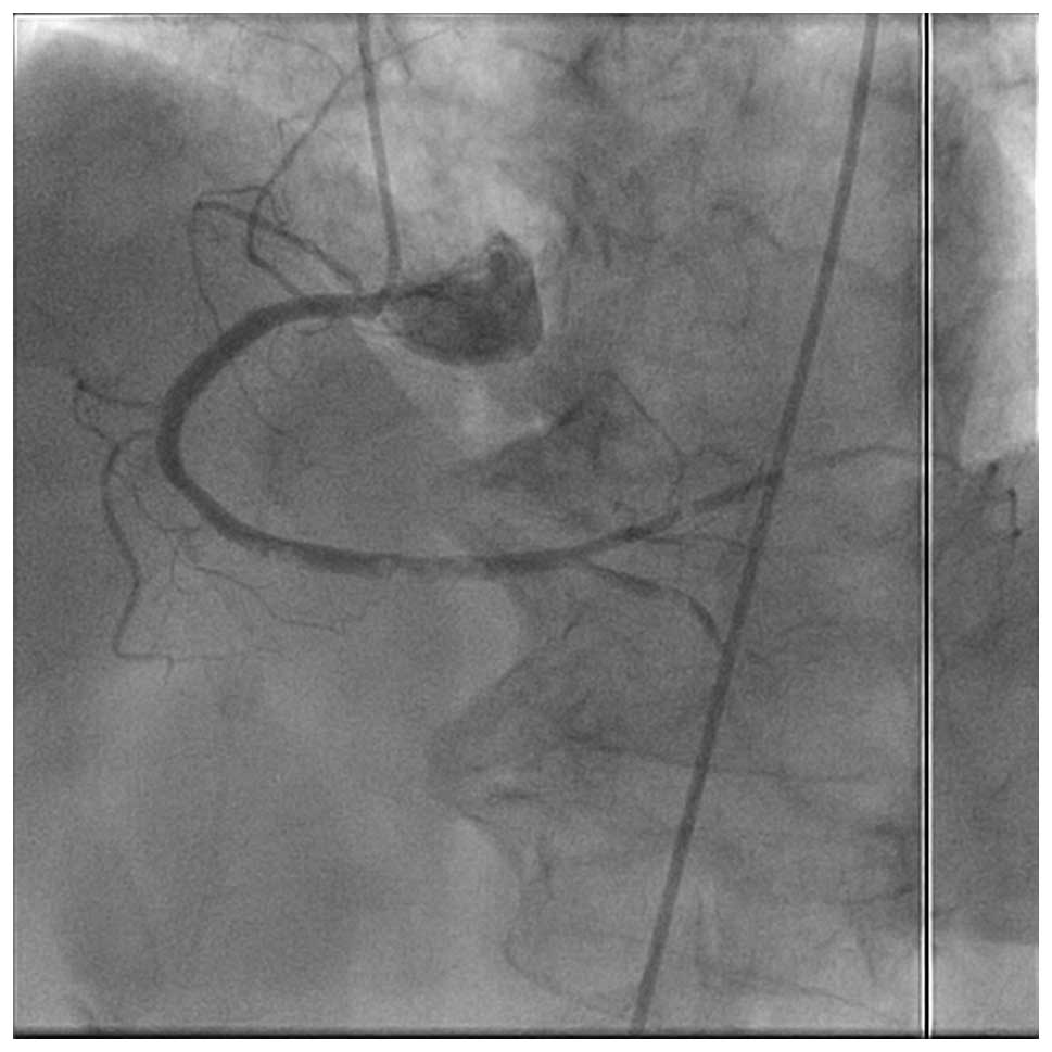
A 65-year-old female with stable angina was scheduled to undergo follow-up for coronary angiography 9 months after the performance of an index procedure. According to the routine procedure, a standard JL4 diagnostic catheter via the right femoral artery was employed to catheterize the left coronary artery. On engagement and initial injection of the left coronary artery, the patient began to experience severe chest pain and the ST segment in leads II and III began to rise. Immediately, the catheter was exchanged and right coronary artery angiography was performed. Multiple small bead-like shadow defects suspected to be air bubbles were present in the mid-portion of the right coronary artery and interruption of blood flow was observed (Fig. 1). The patient went into a shock state with complete atrioventricular block and hypotension. Immediately, the patient received 100% oxygen inhalation through a facemask. Contrast dye was forcefully injected several times and the air bubbles dispersed distally (Fig. 2). The treatments were successful in terms of improvement in the condition of the patient. Subsequently, the patient recovered from the state of shock. Later, angiography confirmed the disappearance of air embolism and sufficient blood flow was obtained in the right coronary artery. The patient had an uneventful overnight stay and was discharged the following day with a normal electrocardiogram (ECG) and cardiac enzyme levels. Written informed consent was obtained from the patient.

Figure 1

Right coronary artery immediately after left coronary angiography. A massive air embolism interrupted the blood flow in the mid-portion of the right coronary artery.

Figure 2

Right coronary angiogram immediately after left coronary angiography. Small shadow defects were considered to be air bubbles present in the distal portion of the right coronary artery and later the bubbles dispersed distally.

Discussion

Our case demonstrated an unusual process by which air was introduced into the right coronary artery during left coronary artery angiography. The cause may be due to incomplete aspiration of the angiographic catheter. However, the mechanism of contralateral air embolism is unclear. Inoue et al (4) reported similar cases and insisted that the air was injected through the sidehole. However, we used a diagnostic catheter without a sidehole so this does not explain the mechanism of contralateral air embolism. Another report (5) speculated that the air trapped in the catheter lumen followed the path of least resistance and exited forcefully from the end hole of the diagnostic catheter. The force of the contrast injection directed the mixture of blood-air towards the medial wall of the left aortic cusp from where it rebound towards the right coronary cusp, resulting in its admixture with the forward ejectate, which was then distributed into the right coronary artery and aortic arch vessels.

Immediate management of coronary air embolism has not yet been established. When small to moderate amounts of air are involved, inhalation of 100% oxygen is appropriate since oxygen facilitates the absorption of the air embolus through the microcirculation. When large amounts of air are involved, more aggressive modalities, including air aspiration and forceful injection of saline or contrast medium are suggested (2,3,6,7). Previously, stirring the mass of air using a 0.014-inch guidewire and balloon catheter for coronary angioplasty has also been suggested, which worked by breaking up the larger air mass into a number of smaller bubbles to increase the surface area (4).

Prevention of iatrogenic massive air embolism is paramount. Back bleeding from the catheter during its introduction is protective against the entrapment of any air present in the catheter. In addition, the catheter should be tested in the ascending aorta, distal to the aortic cusp to prevent the occurrence of adverse events (5).

In conclusion, awareness that air embolism may occur in contralateral coronary artery angiography is essential, and complete air aspiration during coronary angiography should be ensured.

References

1 

Dodek A, Boone JA, Hooper RO, et al: Complications of left coronary arteriography. Can Med Assoc J. 128:934–936. 1983.

2 

Khan M, Schmidt DH, Bajwa T and Shalev Y: Coronary air embolism: incidence, severity, and suggested approaches to treatment. Cathet Cardiovasc Diagn. 36:313–318. 1995. View Article : Google Scholar : PubMed/NCBI

3 

Khan JK and Hartzler GO: The spectrum of symptomatic coronary air embolism during balloon angioplasty: causes, consequences, and management. Am Heart J. 119:1374–1377. 1990. View Article : Google Scholar : PubMed/NCBI

4 

Inoue T, Yaguchi I, Mizoguchi K, et al: Air embolism in the right coronary artery occurring during the left coronary angioplasty using the guiding catheter with a side hole. Catheter Cardiovasc Interv. 49:331–334. 2000. View Article : Google Scholar

5 

Janin Y: Letter to the editor by Janin. Catheter Cardiovasc Interv. 50:5102000. View Article : Google Scholar

6 

Solodky A, Birnbaum Y, Assali A, et al: Coronary air embolism treated by bubble aspiration. Catheter Cardiovasc Interv. 49:452–454. 2000. View Article : Google Scholar : PubMed/NCBI

7 

Patterson MS and Kiemeneij F: Coronary air embolism treated with aspiration catheter. Heart. 91:e362005. View Article : Google Scholar : PubMed/NCBI

Related Articles

  • Abstract
  • View
  • Download
  • Twitter
Copy and paste a formatted citation
Spandidos Publications style
Park C, Hwang H, Cho J, Jo B and Kim C: Massive right coronary air embolism in the right coronary artery during left coronary angiography: A case report. Exp Ther Med 5: 1073-1074, 2013.
APA
Park, C., Hwang, H., Cho, J., Jo, B., & Kim, C. (2013). Massive right coronary air embolism in the right coronary artery during left coronary angiography: A case report. Experimental and Therapeutic Medicine, 5, 1073-1074. https://doi.org/10.3892/etm.2013.939
MLA
Park, C., Hwang, H., Cho, J., Jo, B., Kim, C."Massive right coronary air embolism in the right coronary artery during left coronary angiography: A case report". Experimental and Therapeutic Medicine 5.4 (2013): 1073-1074.
Chicago
Park, C., Hwang, H., Cho, J., Jo, B., Kim, C."Massive right coronary air embolism in the right coronary artery during left coronary angiography: A case report". Experimental and Therapeutic Medicine 5, no. 4 (2013): 1073-1074. https://doi.org/10.3892/etm.2013.939
Copy and paste a formatted citation
x
Spandidos Publications style
Park C, Hwang H, Cho J, Jo B and Kim C: Massive right coronary air embolism in the right coronary artery during left coronary angiography: A case report. Exp Ther Med 5: 1073-1074, 2013.
APA
Park, C., Hwang, H., Cho, J., Jo, B., & Kim, C. (2013). Massive right coronary air embolism in the right coronary artery during left coronary angiography: A case report. Experimental and Therapeutic Medicine, 5, 1073-1074. https://doi.org/10.3892/etm.2013.939
MLA
Park, C., Hwang, H., Cho, J., Jo, B., Kim, C."Massive right coronary air embolism in the right coronary artery during left coronary angiography: A case report". Experimental and Therapeutic Medicine 5.4 (2013): 1073-1074.
Chicago
Park, C., Hwang, H., Cho, J., Jo, B., Kim, C."Massive right coronary air embolism in the right coronary artery during left coronary angiography: A case report". Experimental and Therapeutic Medicine 5, no. 4 (2013): 1073-1074. https://doi.org/10.3892/etm.2013.939
Follow us
  • Twitter
  • LinkedIn
  • Facebook
About
  • Spandidos Publications
  • Careers
  • Cookie Policy
  • Privacy Policy
How can we help?
  • Help
  • Live Chat
  • Contact
  • Email to our Support Team