Spandidos Publications Logo
  • About
    • About Spandidos
    • Aims and Scopes
    • Abstracting and Indexing
    • Editorial Policies
    • Reprints and Permissions
    • Job Opportunities
    • Terms and Conditions
    • Contact
  • Journals
    • All Journals
    • Oncology Letters
      • Oncology Letters
      • Information for Authors
      • Editorial Policies
      • Editorial Board
      • Aims and Scope
      • Abstracting and Indexing
      • Bibliographic Information
      • Archive
    • International Journal of Oncology
      • International Journal of Oncology
      • Information for Authors
      • Editorial Policies
      • Editorial Board
      • Aims and Scope
      • Abstracting and Indexing
      • Bibliographic Information
      • Archive
    • Molecular and Clinical Oncology
      • Molecular and Clinical Oncology
      • Information for Authors
      • Editorial Policies
      • Editorial Board
      • Aims and Scope
      • Abstracting and Indexing
      • Bibliographic Information
      • Archive
    • Experimental and Therapeutic Medicine
      • Experimental and Therapeutic Medicine
      • Information for Authors
      • Editorial Policies
      • Editorial Board
      • Aims and Scope
      • Abstracting and Indexing
      • Bibliographic Information
      • Archive
    • International Journal of Molecular Medicine
      • International Journal of Molecular Medicine
      • Information for Authors
      • Editorial Policies
      • Editorial Board
      • Aims and Scope
      • Abstracting and Indexing
      • Bibliographic Information
      • Archive
    • Biomedical Reports
      • Biomedical Reports
      • Information for Authors
      • Editorial Policies
      • Editorial Board
      • Aims and Scope
      • Abstracting and Indexing
      • Bibliographic Information
      • Archive
    • Oncology Reports
      • Oncology Reports
      • Information for Authors
      • Editorial Policies
      • Editorial Board
      • Aims and Scope
      • Abstracting and Indexing
      • Bibliographic Information
      • Archive
    • Molecular Medicine Reports
      • Molecular Medicine Reports
      • Information for Authors
      • Editorial Policies
      • Editorial Board
      • Aims and Scope
      • Abstracting and Indexing
      • Bibliographic Information
      • Archive
    • World Academy of Sciences Journal
      • World Academy of Sciences Journal
      • Information for Authors
      • Editorial Policies
      • Editorial Board
      • Aims and Scope
      • Abstracting and Indexing
      • Bibliographic Information
      • Archive
    • International Journal of Functional Nutrition
      • International Journal of Functional Nutrition
      • Information for Authors
      • Editorial Policies
      • Editorial Board
      • Aims and Scope
      • Abstracting and Indexing
      • Bibliographic Information
      • Archive
    • International Journal of Epigenetics
      • International Journal of Epigenetics
      • Information for Authors
      • Editorial Policies
      • Editorial Board
      • Aims and Scope
      • Abstracting and Indexing
      • Bibliographic Information
      • Archive
    • Medicine International
      • Medicine International
      • Information for Authors
      • Editorial Policies
      • Editorial Board
      • Aims and Scope
      • Abstracting and Indexing
      • Bibliographic Information
      • Archive
  • Articles
  • Information
    • Information for Authors
    • Information for Reviewers
    • Information for Librarians
    • Information for Advertisers
    • Conferences
  • Language Editing
Spandidos Publications Logo
  • About
    • About Spandidos
    • Aims and Scopes
    • Abstracting and Indexing
    • Editorial Policies
    • Reprints and Permissions
    • Job Opportunities
    • Terms and Conditions
    • Contact
  • Journals
    • All Journals
    • Biomedical Reports
      • Information for Authors
      • Editorial Policies
      • Editorial Board
      • Aims and Scope
      • Abstracting and Indexing
      • Bibliographic Information
      • Archive
    • Experimental and Therapeutic Medicine
      • Information for Authors
      • Editorial Policies
      • Editorial Board
      • Aims and Scope
      • Abstracting and Indexing
      • Bibliographic Information
      • Archive
    • International Journal of Epigenetics
      • Information for Authors
      • Editorial Policies
      • Editorial Board
      • Aims and Scope
      • Abstracting and Indexing
      • Bibliographic Information
      • Archive
    • International Journal of Functional Nutrition
      • Information for Authors
      • Editorial Policies
      • Editorial Board
      • Aims and Scope
      • Abstracting and Indexing
      • Bibliographic Information
      • Archive
    • International Journal of Molecular Medicine
      • Information for Authors
      • Editorial Policies
      • Editorial Board
      • Aims and Scope
      • Abstracting and Indexing
      • Bibliographic Information
      • Archive
    • International Journal of Oncology
      • Information for Authors
      • Editorial Policies
      • Editorial Board
      • Aims and Scope
      • Abstracting and Indexing
      • Bibliographic Information
      • Archive
    • Medicine International
      • Information for Authors
      • Editorial Policies
      • Editorial Board
      • Aims and Scope
      • Abstracting and Indexing
      • Bibliographic Information
      • Archive
    • Molecular and Clinical Oncology
      • Information for Authors
      • Editorial Policies
      • Editorial Board
      • Aims and Scope
      • Abstracting and Indexing
      • Bibliographic Information
      • Archive
    • Molecular Medicine Reports
      • Information for Authors
      • Editorial Policies
      • Editorial Board
      • Aims and Scope
      • Abstracting and Indexing
      • Bibliographic Information
      • Archive
    • Oncology Letters
      • Information for Authors
      • Editorial Policies
      • Editorial Board
      • Aims and Scope
      • Abstracting and Indexing
      • Bibliographic Information
      • Archive
    • Oncology Reports
      • Information for Authors
      • Editorial Policies
      • Editorial Board
      • Aims and Scope
      • Abstracting and Indexing
      • Bibliographic Information
      • Archive
    • World Academy of Sciences Journal
      • Information for Authors
      • Editorial Policies
      • Editorial Board
      • Aims and Scope
      • Abstracting and Indexing
      • Bibliographic Information
      • Archive
  • Articles
  • Information
    • For Authors
    • For Reviewers
    • For Librarians
    • For Advertisers
    • Conferences
  • Language Editing
Login Register Submit
  • This site uses cookies
  • You can change your cookie settings at any time by following the instructions in our Cookie Policy. To find out more, you may read our Privacy Policy.

    I agree
Search articles by DOI, keyword, author or affiliation
Search
Advanced Search
presentation
Experimental and Therapeutic Medicine
Join Editorial Board Propose a Special Issue
Print ISSN: 1792-0981 Online ISSN: 1792-1015
Journal Cover
August-2014 Volume 8 Issue 2

Full Size Image

Sign up for eToc alerts
Recommend to Library

Journals

International Journal of Molecular Medicine

International Journal of Molecular Medicine

International Journal of Molecular Medicine is an international journal devoted to molecular mechanisms of human disease.

International Journal of Oncology

International Journal of Oncology

International Journal of Oncology is an international journal devoted to oncology research and cancer treatment.

Molecular Medicine Reports

Molecular Medicine Reports

Covers molecular medicine topics such as pharmacology, pathology, genetics, neuroscience, infectious diseases, molecular cardiology, and molecular surgery.

Oncology Reports

Oncology Reports

Oncology Reports is an international journal devoted to fundamental and applied research in Oncology.

Experimental and Therapeutic Medicine

Experimental and Therapeutic Medicine

Experimental and Therapeutic Medicine is an international journal devoted to laboratory and clinical medicine.

Oncology Letters

Oncology Letters

Oncology Letters is an international journal devoted to Experimental and Clinical Oncology.

Biomedical Reports

Biomedical Reports

Explores a wide range of biological and medical fields, including pharmacology, genetics, microbiology, neuroscience, and molecular cardiology.

Molecular and Clinical Oncology

Molecular and Clinical Oncology

International journal addressing all aspects of oncology research, from tumorigenesis and oncogenes to chemotherapy and metastasis.

World Academy of Sciences Journal

World Academy of Sciences Journal

Multidisciplinary open-access journal spanning biochemistry, genetics, neuroscience, environmental health, and synthetic biology.

International Journal of Functional Nutrition

International Journal of Functional Nutrition

Open-access journal combining biochemistry, pharmacology, immunology, and genetics to advance health through functional nutrition.

International Journal of Epigenetics

International Journal of Epigenetics

Publishes open-access research on using epigenetics to advance understanding and treatment of human disease.

Medicine International

Medicine International

An International Open Access Journal Devoted to General Medicine.

Journal Cover
August-2014 Volume 8 Issue 2

Full Size Image

Sign up for eToc alerts
Recommend to Library

  • Article
  • Citations
    • Cite This Article
    • Download Citation
    • Create Citation Alert
    • Remove Citation Alert
    • Cited By
  • Similar Articles
    • Related Articles (in Spandidos Publications)
    • Similar Articles (Google Scholar)
    • Similar Articles (PubMed)
  • Download PDF
  • Download XML
  • View XML
Article

Pomegranate (Punica granatum) juice reduces oxidative injury and improves sperm concentration in a rat model of testicular torsion-detorsion

  • Authors:
    • Dogan Atilgan
    • Bekir Parlaktas
    • Nihat Uluocak
    • Yusuf Gencten
    • Fikret  Erdemir
    • Huseyin Ozyurt
    • Unal Erkorkmaz
    • Huseyin Aslan
  • View Affiliations / Copyright

    Affiliations: Department of Urology, Faculty of Medicine, Gaziosmanpasa University, Tokat 60100, Turkey, Department of Biochemistry, Faculty of Medicine, Gaziosmanpasa University, Tokat 60100, Turkey, Department of Biostatistics and Medical Informatics, Faculty of Medicine, Sakarya University, Sakarya 54100, Turkey, Department of Histology and Embryology, Faculty of Medicine, Gaziosmanpasa University, Tokat 60100, Turkey
  • Pages: 478-482
    |
    Published online on: June 12, 2014
       https://doi.org/10.3892/etm.2014.1782
  • Expand metrics +
Metrics: Total Views: 0 (Spandidos Publications: | PMC Statistics: )
Metrics: Total PDF Downloads: 0 (Spandidos Publications: | PMC Statistics: )
Cited By (CrossRef): 0 citations Loading Articles...

This article is mentioned in:



Abstract

The present study aimed to evaluate the effect of pomegranate juice (PJ) on oxidative stress (OS) and sperm concentration in a rat model of testicular torsion‑detorsion. A total of 21 Wistar albino rats were randomly divided into three groups, each consisting of seven rats, as follows: i) control group, which underwent sham surgery; ii) ischemia/reperfusion (I/R) group, designed to determine the effects of the testicular torsion‑detorsion process on rats; and iii) PJ+I/R group, designed to evaluate the effect of PJ on the OS and sperm cell concentrations induced by the torsion‑detorsion process. In the PJ+I/R group, the rats were given 0.4 ml/day PJ orally over a period of eight weeks prior to surgery. Ipsilateral orchiectomy was carried out and 5‑cm3 blood samples were obtained from the inferior vena cava of all rats. Biochemical analyses were performed to calculate the superoxide dismutase (SOD) activity and malondialdehyde (MDA) levels in the testicular tissue and serum. The concentrations of spermatids, spermatocytes and spermatogonia in the seminiferous tubules were assessed using histopathological methods. Serum and tissue SOD and MDA levels were significantly higher in rats from the I/R group compared with the control group (P<0.001). PJ treatment significantly decreased the SOD and MDA levels in both the serum and testicular tissue of the rats (P<0.001). The spermatid, spermatocyte and spermatogonia concentrations were significantly reduced in the I/R group compared with the control group (P<0.001). PJ treatment significantly improved the concentrations of spermatids, spermatocytes and spermatogonia compared with those in the I/R group (P=0.008). The experimentally established testicular torsion‑detorsion model led to OS in the rat testes. Daily consumption of PJ prior to surgery reduced OS parameters and improved sperm cell concentrations.

Introduction

The pomegranate (Punica granatum) is a small, fruit-bearing tree that has been cultivated and naturalized since ancient times throughout the entire Mediterranean region. One of its extracts, pomegranate juice (PJ), is consumed around the world. A previous study revealed that PJ contains certain constituents that appear to have beneficial therapeutic properties, including antioxidative effects (1). Consequently, the protective effect of PJ consumption on various diseases is receiving considerable attention at present in all medical fields. The anticancer, antimicrobial, antiproliferative and cardioprotective effects of PJ and its metabolites have also been demonstrated in numerous previous studies (2–5). Pomegranate contains a number of polyphenols, including anthocyanins, minor flavonoids and punicalagin, which is the most important member of the ellagitannins family. The punicalagin is the largest polyphenol among the pomegranate ellagitannins and it is responsible from most of the antioxidant activity of the PJ (6). The potent antioxidant effects of polyphenols have been demonstrated in clinical and experimental studies (7,8). Thus, the pomegranate and its extracts have powerful antioxidant effects, which have also been revealed for other fruit juices, including grape, blackberry and branberry juice, and in green tea (9).

Testicular torsion is a rarely observed, serious urologic emergency, usually encountered in prepubertal males, which requires immediate surgical examination for proper treatment. It has been hypothesized that treatment for testicular torsion may lead to long-term infertility due to ischemia/reperfusion (I/R) injury which occurs following surgical correction of the torsed testis (10). Oxidative stress (OS) is a complex phenomenon that causes tissue damage and occurs due to an excessive production of reactive oxygen species (ROS) that are not adequately eliminated by the natural antioxidant defence mechanisms in the body. OS may cause significant damage to tissues by inducing differentiation in the cell membranes leading to irreversible cellular damage (11). In this context, OS increases the levels of malondialdehyde (MDA) and protein carbonyls (PCs) in the tissues, which are the end products of lipid peroxidation and protein oxidation, respectively.

Under physiological conditions, the enzymes belonging to the natural antioxidant defence system, including superoxide dismutase (SOD), catalase and glutathione peroxidase (GSH-Px), eliminate the ROS, which are released as a result of normal cellular metabolism (12). Excess levels of ROS particularly target unsaturated fatty acids, which play an important role in the constitution of cell membranes. Since the membranes of sperm contain a high abundance of unsaturated fatty acids (13), these cells are severely affected by peroxidation damage caused by ROS. Lipid peroxidation destroys the structure of the lipid matrix in the membranes of spermatozoa and is associated with the loss of motility and defects in membrane integrity (14).

In the present experimental study, a rat model of testicular torsion-induced OS was established. The biochemical and histopathological effects of daily PJ consumption on the OS parameters and sperm concentrations of the rats were subsequently evaluated.

Materials and methods

Study animals

Upon obtaining consent from the Gaziosmanpasa University Local Ethics Committee for Animal Experiments (Tokat, Turkey), 21 male Wistar albino rats (aged 5–6 months) were purchased Gaziosmanpasa University Experimental Medicine Research Center (Tokat, Turkey)for use in the present study. The experimental animals were housed at 18–22°C, under a 12 h light/dark cycle throughout the study period. Surgical procedures were performed under ketamine/xylazine anesthesia in sterile conditions. All rats were sacrificed following the experimental procedures.

Group allocation

The rats were randomly divided into three groups, each group consisting of seven rats, as follows: i) control group, which underwent a sham surgical procedure to determine the basal values for biochemical and histopathological evaluations; ii) I/R group, designed to study the effects of the testicular torsion-detorsion process on the ipsilateral testicle and; iii) PJ+I/R group, designed to determine the effect of PJ on OS indicators and sperm parameters following unilateral testicular torsion-detorsion. In the PJ+I/R group, the rats were given 0.4 ml/day commercially-available PJ (Ersu® Fruit and Food Industries Inc., Konya, Turkey) orally over a period of eight weeks prior to surgery.

Surgical procedure

In the control group rats, the testicle was exposed through a midline incision, a 4-0 silk suture was fixed through the tunica albuginea and the testicle was replaced into the scrotum with no additional intervention. In the rats in the I/R and PJ+I/R groups, the tunica vaginalis was opened and the right testis exposed to allow surgical intervention. It was rotated 720° in a clockwise direction and maintained in this torsed position by fixing the testicle to the scrotum with a 4-0 silk suture. After 1 h, the spermatic cord was detorsed and orchiectomy was performed on the right side. The resected testicular tissue specimens were separated into two parts for histopathological (sperm parameters) and biochemical (tissue MDA and SOD level) analyses. Furthermore, ~5-cm3 blood samples were obtained from the inferior vena cava of the rats to determine the blood levels of MDA and SOD.

Biochemical analyses

Blood samples were drawn into heparin-free tubes for biochemical analysis. Following centrifugation (2,000 × g for 15 min at 4°C), the serum samples were frozen and stored at −70°C until required. Commercially-available chemical supplies (Sigma; St. Louis, MO, USA) were used for the determination of the following parameters in the serum samples.

Serum antioxidant enzyme analysis

Total (Cu-Zn and Mn) SOD [enzyme commission (EC) number 1.15.1.1) activity was determined according to a previous method described by Sun et al (15). The principle of the method is based on the inhibition of nitroblue tetrazolium (NBT) reduction by the xanthine-xanthine oxidase system as a superoxide generator. Activity was assessed in the ethanol phase of the supernatant following the addition of 1.0 ml ethanol/chloroform mixture (5:3, v/v) to the same volume of sample and centrifugation (1,500 × g for 10 min). One unit of SOD was defined as the amount causing a 50% inhibition of the NBT reduction rate. The SOD activity was expressed in U/ml.

Determination of the levels of MDA

The level of tissue thiobarbituric acid reactive substance (TBARS) was determined by a method based on a reaction with thiobarbituric acid (TBA) at 90–100°C that was previously described by Esterbauer and Cheeseman (16). In the TBA test reaction, MDA or MDA-like substances and TBA react to produce a pink pigment with an absorption maximum at 532 nm. The reaction was performed at pH 2–3 and 90°C for 15 min. The sample was mixed with a double volume of cold 10% (w/v) trichloroacetic acid to precipitate the protein. The precipitate was pelleted by centrifugation (1,500 × g for 10 min) and an aliquot of the supernatant was reacted with an equal volume of 0.67% (w/v) TBA in a boiling water bath for 10 min. Following cooling, the absorbance at 532 nm was measured (GBC Cintra 10e UV/VIS Spectrophotometer, Victoria, Australia). Results are expressed in ng/ml, according to the graphic standard prepared from measurements with a standard solution (1,1,3,3-tetramethoxypropane).

Histological examination

The rat testes were fixed in Bouin’s solution (Polysciences Europe GmbH, Eppelheim, BadenWürttemberg, Germany) and passed through an increasing alcohol series. The testicular tissue was processed for paraffin embedding following treatment with xylene and paraffin. Subsequently, 5- and 20-μm-thick sections were obtained with a rotary microtome (LeicaRM 2135, Leica Instruments, Nussloch, Germany). The sections were randomly sampled and stained with Periodic acid-Schiff (PAS). Finally, the spermatogenic cells in the seminiferous tubules, including the spermatids, spermatocytes and spermatogonia, were counted with an optical fractionator (Stereology workstation: Trinokulermicroskop Leica DM 2500, Leica Instruments; motorizedstage: Ludlelectronics, New York, NY, USA; digitalmicrocator: Heidenhain, Traunreut, Germany, StereoInvestigator: MBF Biosciences, Williston, VT, USA). The spermatogenic cell concentrations are expressed in number of cells/mm3).

Statistical analysis

Kruskal-Wallis one-way analysis of variance was used to compare the biochemical and sperm parameters among groups. For multiple comparisons, the Bonferroni adjusted Mann-Whitney U test was performed. Data are expressed as the median and interquartile range (IQR). P<0.05 was considered to indicate a statistically significant difference. Analyses were carried out using a commercially-available software (IBM SPSS Statistics 19; IBM, Armonk, NY, USA).

Results

SOD activity and MDA levels in the serum and testicular tissue

The levels of MDA and SOD in the serum and tissue samples of the three groups of rats are presented in Table I. No statistically significant differences were identified between the groups in terms of testicular tissue weights. In the I/R group, the SOD activity and MDA levels in the serum and testicular tissue were significantly higher compared with those in the control group (P<0.001). The consumption of PJ significantly reduced the SOD activity and MDA levels in the serum and tissue compared with those in the I/R group (P<0.001).

Table I

Levels of superoxide dismutase (SOD) and malondialdehyde (MDA) in the serum and testicular tissue of rats from the different groups.

Table I

Levels of superoxide dismutase (SOD) and malondialdehyde (MDA) in the serum and testicular tissue of rats from the different groups.

VariableControlI/RPJ+I/RP-value
tSOD (U/ml)13.18 (7.86–17.54)29.37 (26.45–38.26)a12.04 (8.61–13.66)<0.001
tMDA (ng/ml)86.09 (66–139.71)270.37 (237.86–316.39)a81.84 (70.08–103.53)<0.001
sSOD (U/ml)26.76 (23.67–29.52)73.45 (61.66–81.47)a22.1 (16.9–25.2)<0.001
sMDA (ng/ml)1660.6 (1589.3–1747.0)2605.0 (2518.0–2894.8)a1592.3 (1467.8–1706.6)<0.001
Tissue weights (g)0.23±0.030.23±0.020.23±0.030.860

{ label (or @symbol) needed for fn[@id='tfn1-etm-08-02-0478'] } Data are expressed as median (interquartile range).

a Significantly different from the control and PJ+I/R groups;

{ label (or @symbol) needed for fn[@id='tfn3-etm-08-02-0478'] } I/R, ischemia/reperfusion; PJ, pomegranate juice; t, tissue; s, serum; SOD, superoxide dismutase; MDA, malondialdehyde.

Spermatogenic cell concentrations

The comparison of spermatogenic cell concentrations in the three groups of rats is presented in Table II. The concentrations of spermatids, spermatocytes and spermatogonia were significantly reduced in the I/R group compared with those in the control group (P<0.001). However, the consumption of PJ over a period of eight weeks significantly improved the spermatid, spermatocyte and spermatogonia concentrations compared with those in the I/R group (P=0.008).

Table II

Comparison of the concentrations of spermatogenic cells between groups.

Table II

Comparison of the concentrations of spermatogenic cells between groups.

Cell typeControlI/RPJ+I/RP-value
Spermatids32.22 (28.35–36.35)21.04 (17.16–28.01)a28.68 (24.86–37.24)P<0.001
Spermatocytes18.56 (15.53–21.27)11.53 (8.89–14.57)a16.22 (13.84–18.39)P<0.001
Spermatogonia8.48 (6.89–10.06)6.09 (4.10–7.35)a7.81 (6.41–9.28)P=0.008

{ label (or @symbol) needed for fn[@id='tfn4-etm-08-02-0478'] } Data are expressed as median (interquartile range) ×106.

a Significantly different from the control and PJ+I/R groups;

{ label (or @symbol) needed for fn[@id='tfn6-etm-08-02-0478'] } I/R, ischemia/reperfusion; PJ, pomegranate juice.

Histopathological analysis

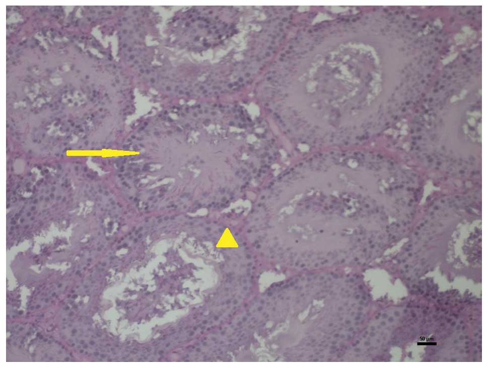
In the histopathological analysis of the testicular tissues, intensive vacuolization with irregularities in the germ cell sequences were observed in the I/R group. A reduced incidence of vacuolizations and regular germ cell formation, comparable to that observed in the control group, were present in the PJ+I/R group. Representative microscopic images of the testicular tissues in the three groups are presented in Figs. 1–3.

Figure 1

In the control group, the germ cells in seminiferous tubules were observed in regular form. Magnification, ×10.

Figure 3

In the pomegranate juice + ischemia/reperfusion group, vacuolization and irregularities were observed in the seminiferous tubules (yellow arrowhead). However, similarly to the control group, a regular formation of germ cells was also detected in numerous seminiferous tubules (yellow arrow). Magnification, ×20.

Discussion

Since it contains a high amount of polyphenols, PJ possesses strong antioxidant properties. The antioxidant effects of polyphenols, particularly ellagitannins, have been previously demonstrated in numerous studies (17–19). Ellagitannins and other polyphenols are hydrolyzed into ellagic acid (EA), which is responsible for their antioxidant activities in vivo (20). An in vitro study has revealed the ability of EA to easily pass through the mitochondrial membrane (21). In the present study, testicular torsion-detorsion caused elevations in the levels of SOD and MDA, which are the indirect indicators of oxidative injury. However, pretreatment with PJ over eight weeks decreased the levels of SOD and MDA in the serum and testicular tissue.

Under normal conditions, sperm cells produce high amounts of ROS as a result of their physiological metabolism (22). As testicular tissue contains a high amount of unsaturated fatty acids, it is very sensitive to the detrimental effects of ROS. Lipid peroxidation is able to damage the structure of the lipid matrix in sperm membranes, decrease intracellular levels of ATP leading to reduced sperm viability, cause axonemal damage and increase mid-piece morphological defects (23. However, testicular tissue contains numerous antioxidant enzymes and ROS scavengers that protect its spermatogenic function from OS and in particular from peroxidative damage, which is the most important cause of spermatogenic dysfunction (24,25). This antioxidant defence system scavenges considerable numbers of ROS in order to protect sperm cells from their harmful effects and preserves only a small number of ROS to maintain normal cell function. Without this defence system, the ROS cause thinning of the germ layer, decreased spermatogenic cell density and sperm motility, and an increased production of abnormal sperm cells (26).

The current study demonstrated that testicular torsion-detorsion induced OS in testicular tissue and caused a reduction in the concentrations of all spermatogenic cell types, including spermatogonia, spermatocytes and spermatids. The reduction in spermatogenic cell concentration, which occurred without any reduction in testicular tissue weight, may indicate that OS was the most important reason for this pathology. However, the daily consumption of PJ over a period of eight weeks prior to the torsion-detorsion surgery resulted in a reduction in the OS parameters and a significant increase in the spermatogenic cell concentration.

Similarly, in a previous experimental study, Türk et al revealed that the daily consumption of PJ over a period of seven weeks caused a reduction in OS parameters and a marked increase in the levels of spermatogenic cells and the thickness of the germ layer (27). Furthermore, Mansour et al demonstrated that the daily consumption of PJ at various doses for a period of six weeks resulted in a significiant increase in serum glutathione peroxidase (GSH-Px) and catalase activities in rats. The study also noted that PJ consumption significantly increased epididymal sperm concentration and sperm motility parameters and decreased abnormal sperm production (28).

In the current experimental study, it was indicated that testicular torsion-detorsion caused OS, which may have led to reduced sperm concentrations in the rat testes. However, the daily consumption of PJ prior to the torsion-detorsion surgery resulted in a reduction in the parameters of OS and produced an increment in spermatogenic cell concentrations.

References

1 

Aviram M, Dornfeld L, Kaplan M, Coleman R, Gaitini D, Nitecki, et al: Pomegranate juice flavonoids inhibit low-density lipoprotein oxidation and cardiovasculardiseases: studies in atherosclerotic mice and in humans. Drugs Exp Clin Res. 28:49–62. 2002.PubMed/NCBI

2 

Seeram NP, Adams LS, Henning SM, Niu Y, Zhang Y, Nair MG and Heber D: In vitro antiproliferative, apoptotic and antioxidant activities of punicalagin, ellagic acid and a total pomegranate tannin extract are enhanced in combination with other polyphenols as found in pomegranate juice. J Nutr Biochem. 16:360–367. 2005. View Article : Google Scholar

3 

Aslam MN, Lansky EP and Varani J: Pomegranate as a cosmeceutical source: pomegranate fractions promote proliferation and procollagen synthesis and inhibit matrix metalloproteinase-1 production in human skin cells. J Ethnopharmacol. 103:311–318. 2006.

4 

Aviram M and Dornfeld L: Pomegranate juice consumption inhibits serum angiotensin converting enzyme activity and reduces systolic blood pressure. Atherosclerosis. 158:195–198. 2001. View Article : Google Scholar

5 

Aviram M, Rosenblat M, Gaitini D, Nitecki S, Hoffman A, Dornfeld L, et al: Pomegranate juice consumption for 3 years by patients with carotid artery stenosis reduces common carotid intima-media thickness, blood pressure and LDL oxidation. Clin Nutr. 23:423–433. 2004.

6 

Seeram N, Lee R, Hardy M and Heber D: Rapid large scale purification of ellagitannins from pomegranate husk, a byproduct of the commercial juice industry. Sep Purif Technol. 41:49–55. 2005. View Article : Google Scholar

7 

Hermann DD: Naturoceutical agents in the management of cardiovascular disease. Am J Cardiovasc Drugs. 2:173–196. 2002. View Article : Google Scholar : PubMed/NCBI

8 

Seeram NP, Aviram M, Volkova N, Zhang Y, Henning SM, Nair M and Heber D: Dietary polyphenols derived from pomegranates are potent antioxidants: evaluation in various in vitro models of antioxidation. Presented at 228th National Meeting of the American Chemical Society; pp. Abstract AGFD442004, http://oasys2.confex.com/acs/228nm/techprogram/P787337.HTMuri.

9 

Gil MI, Tomás-Barberán FA, Hess-Pierce B, Holcroft DM and Kader AA: Antioxidant activity of pomegranate juice and its relationship with phenolic composition and processing. J Agric Food Chem. 48:4581–4589. 2000. View Article : Google Scholar : PubMed/NCBI

10 

Turner TT, Bang HJ and Lysiak JL: The molecular pathology of experimental testicular torsion suggests adjunct therapy to surgical repair. J Urol. 172:2574–2578. 2004. View Article : Google Scholar : PubMed/NCBI

11 

Aitken RJ, Baker MA and Sawyer D: Oxidative stress in the male germ line and its role in the aetiology of male infertility and genetic disease. Reprod Biomed Online. 7:65–70. 2003. View Article : Google Scholar : PubMed/NCBI

12 

Tremellen K: Oxidative stress and male infertility - a clinical perspective. Hum Reprod Update. 14:243–258. 2008. View Article : Google Scholar : PubMed/NCBI

13 

Sanocka D and Kurpisz M: Reactive oxygen species and sperm cells. Reprod Biol Endocrinol. 2:122004. View Article : Google Scholar : PubMed/NCBI

14 

de Lamirande E, Jiang H, Zini A, Kodama H and Gagnon C: Reactive oxygen species and sperm physiology. Rev Reprod. 2:48–54. 1997.PubMed/NCBI

15 

Sun Y, Oberley LW and Li Y: A simple method for clinical assay of superoxide dismutase. Clin Chem. 34:497–500. 1988.PubMed/NCBI

16 

Esterbauer H and Cheeseman KH: Determination of aldehydic lipid peroxidation products: malonaldehyde and 4-hydroxynonenal. Methods Enzymol. 186:407–421. 1990. View Article : Google Scholar : PubMed/NCBI

17 

Manach C, Mazur A and Scalbert A: Polyphenols and prevention of cardiovascular diseases. Curr Opin Lipidol. 16:77–84. 2005. View Article : Google Scholar : PubMed/NCBI

18 

Cerdá B, Espín JC, Parra S, Martínez P and Tomás-Barberán FA: The potent in vitro antioxidant ellagitannins from pomegranate juice are metabolised into bioavailable but poor antioxidant hydroxy-6H-dibenzopyran-6-one derivatives by the colonic microflora of healthy humans. Eur J Nutr. 43:205–220. 2004.

19 

Cerdá B, Llorach R, Cerón JJ, Espín JC and Tomás-Barberán FA: Evaluation of the bioavailability and metabolism in the rat of punicalagin, an antioxidant polyphenol from pomegranate juice. Eur J Nutr. 42:18–28. 2003.PubMed/NCBI

20 

Larrosa M, Tomás-Barberán FA and Espín JC: The dietary hydrolysable tannin punicalagin releases ellagic acid that induces apoptosis in human colon adenocarcinoma Caco-2 cells by using the mitochondrial pathway. J Nutr Biochem. 17:611–625. 2006. View Article : Google Scholar

21 

Seeram NP, Lee R and Heber D: Bioavailability of ellagic acid in human plasma after consumption of ellagitannins from pomegranate (Punica granatum L.) juice. Clin Chim Acta. 348:63–68. 2004. View Article : Google Scholar : PubMed/NCBI

22 

Sikka SC: Oxidative stresss and role of antioxidants in normal and abnormal sperm function. Front Biosci. 1:e78–e86. 1996.PubMed/NCBI

23 

Henkel R: The impact of oxidants on sperm functions. Andrologia. 37:205–206. 2005. View Article : Google Scholar : PubMed/NCBI

24 

Koksal IT, Usta M, Orhan I, Abbasoglu S and Kadioglu A: Potential role of reactive oxygen species on testicular pathology associated with infertility. Asian J Androl. 5:95–99. 2003.PubMed/NCBI

25 

Turner TT and Lysiak JJ: Oxidative stress: a common factor in testicular dysfunction. J Androl. 29:488–498. 2008. View Article : Google Scholar : PubMed/NCBI

26 

Alkan I, Simşek F, Haklar G, Kervancioğlu E, Ozveri H, Yalçin S and Akdaş A: Reactive oxygen species production by the spermatozoa of patients with idiopathic infertility: relationship to seminal plasma antioxidants. J Urol. 157:140–143. 1997. View Article : Google Scholar : PubMed/NCBI

27 

Türk G, Sönmez M, Aydin M, Yüce A, Gür S, Yüksel M, Aksu EH and Aksoy H: Effects of pomegranate juice consumption on sperm quality, spermatogenic cell density, antioxidant activity and testosterone level in male rats. Clin Nutr. 27:289–96. 2008.PubMed/NCBI

28 

Mansour SW, Sangi S, Harsha S, Khaleel MA, Ibrahim AR and Eldin TA: Sensibility of male rats fertility against olive oil, Nigella sativa oil and pomegranate extract. Asian Pac J Trop Biomed. 3:563–568. 2013. View Article : Google Scholar : PubMed/NCBI

Related Articles

  • Abstract
  • View
  • Download
  • Twitter
Copy and paste a formatted citation
Spandidos Publications style
Atilgan D, Parlaktas B, Uluocak N, Gencten Y, Erdemir F, Ozyurt H, Erkorkmaz U and Aslan H: Pomegranate (Punica granatum) juice reduces oxidative injury and improves sperm concentration in a rat model of testicular torsion-detorsion. Exp Ther Med 8: 478-482, 2014.
APA
Atilgan, D., Parlaktas, B., Uluocak, N., Gencten, Y., Erdemir, F., Ozyurt, H. ... Aslan, H. (2014). Pomegranate (Punica granatum) juice reduces oxidative injury and improves sperm concentration in a rat model of testicular torsion-detorsion. Experimental and Therapeutic Medicine, 8, 478-482. https://doi.org/10.3892/etm.2014.1782
MLA
Atilgan, D., Parlaktas, B., Uluocak, N., Gencten, Y., Erdemir, F., Ozyurt, H., Erkorkmaz, U., Aslan, H."Pomegranate (Punica granatum) juice reduces oxidative injury and improves sperm concentration in a rat model of testicular torsion-detorsion". Experimental and Therapeutic Medicine 8.2 (2014): 478-482.
Chicago
Atilgan, D., Parlaktas, B., Uluocak, N., Gencten, Y., Erdemir, F., Ozyurt, H., Erkorkmaz, U., Aslan, H."Pomegranate (Punica granatum) juice reduces oxidative injury and improves sperm concentration in a rat model of testicular torsion-detorsion". Experimental and Therapeutic Medicine 8, no. 2 (2014): 478-482. https://doi.org/10.3892/etm.2014.1782
Copy and paste a formatted citation
x
Spandidos Publications style
Atilgan D, Parlaktas B, Uluocak N, Gencten Y, Erdemir F, Ozyurt H, Erkorkmaz U and Aslan H: Pomegranate (Punica granatum) juice reduces oxidative injury and improves sperm concentration in a rat model of testicular torsion-detorsion. Exp Ther Med 8: 478-482, 2014.
APA
Atilgan, D., Parlaktas, B., Uluocak, N., Gencten, Y., Erdemir, F., Ozyurt, H. ... Aslan, H. (2014). Pomegranate (Punica granatum) juice reduces oxidative injury and improves sperm concentration in a rat model of testicular torsion-detorsion. Experimental and Therapeutic Medicine, 8, 478-482. https://doi.org/10.3892/etm.2014.1782
MLA
Atilgan, D., Parlaktas, B., Uluocak, N., Gencten, Y., Erdemir, F., Ozyurt, H., Erkorkmaz, U., Aslan, H."Pomegranate (Punica granatum) juice reduces oxidative injury and improves sperm concentration in a rat model of testicular torsion-detorsion". Experimental and Therapeutic Medicine 8.2 (2014): 478-482.
Chicago
Atilgan, D., Parlaktas, B., Uluocak, N., Gencten, Y., Erdemir, F., Ozyurt, H., Erkorkmaz, U., Aslan, H."Pomegranate (Punica granatum) juice reduces oxidative injury and improves sperm concentration in a rat model of testicular torsion-detorsion". Experimental and Therapeutic Medicine 8, no. 2 (2014): 478-482. https://doi.org/10.3892/etm.2014.1782
Follow us
  • Twitter
  • LinkedIn
  • Facebook
About
  • Spandidos Publications
  • Careers
  • Cookie Policy
  • Privacy Policy
How can we help?
  • Help
  • Live Chat
  • Contact
  • Email to our Support Team