Spandidos Publications Logo
  • About
    • About Spandidos
    • Aims and Scopes
    • Abstracting and Indexing
    • Editorial Policies
    • Reprints and Permissions
    • Job Opportunities
    • Terms and Conditions
    • Contact
  • Journals
    • All Journals
    • Oncology Letters
      • Oncology Letters
      • Information for Authors
      • Editorial Policies
      • Editorial Board
      • Aims and Scope
      • Abstracting and Indexing
      • Bibliographic Information
      • Archive
    • International Journal of Oncology
      • International Journal of Oncology
      • Information for Authors
      • Editorial Policies
      • Editorial Board
      • Aims and Scope
      • Abstracting and Indexing
      • Bibliographic Information
      • Archive
    • Molecular and Clinical Oncology
      • Molecular and Clinical Oncology
      • Information for Authors
      • Editorial Policies
      • Editorial Board
      • Aims and Scope
      • Abstracting and Indexing
      • Bibliographic Information
      • Archive
    • Experimental and Therapeutic Medicine
      • Experimental and Therapeutic Medicine
      • Information for Authors
      • Editorial Policies
      • Editorial Board
      • Aims and Scope
      • Abstracting and Indexing
      • Bibliographic Information
      • Archive
    • International Journal of Molecular Medicine
      • International Journal of Molecular Medicine
      • Information for Authors
      • Editorial Policies
      • Editorial Board
      • Aims and Scope
      • Abstracting and Indexing
      • Bibliographic Information
      • Archive
    • Biomedical Reports
      • Biomedical Reports
      • Information for Authors
      • Editorial Policies
      • Editorial Board
      • Aims and Scope
      • Abstracting and Indexing
      • Bibliographic Information
      • Archive
    • Oncology Reports
      • Oncology Reports
      • Information for Authors
      • Editorial Policies
      • Editorial Board
      • Aims and Scope
      • Abstracting and Indexing
      • Bibliographic Information
      • Archive
    • Molecular Medicine Reports
      • Molecular Medicine Reports
      • Information for Authors
      • Editorial Policies
      • Editorial Board
      • Aims and Scope
      • Abstracting and Indexing
      • Bibliographic Information
      • Archive
    • World Academy of Sciences Journal
      • World Academy of Sciences Journal
      • Information for Authors
      • Editorial Policies
      • Editorial Board
      • Aims and Scope
      • Abstracting and Indexing
      • Bibliographic Information
      • Archive
    • International Journal of Functional Nutrition
      • International Journal of Functional Nutrition
      • Information for Authors
      • Editorial Policies
      • Editorial Board
      • Aims and Scope
      • Abstracting and Indexing
      • Bibliographic Information
      • Archive
    • International Journal of Epigenetics
      • International Journal of Epigenetics
      • Information for Authors
      • Editorial Policies
      • Editorial Board
      • Aims and Scope
      • Abstracting and Indexing
      • Bibliographic Information
      • Archive
    • Medicine International
      • Medicine International
      • Information for Authors
      • Editorial Policies
      • Editorial Board
      • Aims and Scope
      • Abstracting and Indexing
      • Bibliographic Information
      • Archive
  • Articles
  • Information
    • Information for Authors
    • Information for Reviewers
    • Information for Librarians
    • Information for Advertisers
    • Conferences
  • Language Editing
Spandidos Publications Logo
  • About
    • About Spandidos
    • Aims and Scopes
    • Abstracting and Indexing
    • Editorial Policies
    • Reprints and Permissions
    • Job Opportunities
    • Terms and Conditions
    • Contact
  • Journals
    • All Journals
    • Biomedical Reports
      • Information for Authors
      • Editorial Policies
      • Editorial Board
      • Aims and Scope
      • Abstracting and Indexing
      • Bibliographic Information
      • Archive
    • Experimental and Therapeutic Medicine
      • Information for Authors
      • Editorial Policies
      • Editorial Board
      • Aims and Scope
      • Abstracting and Indexing
      • Bibliographic Information
      • Archive
    • International Journal of Epigenetics
      • Information for Authors
      • Editorial Policies
      • Editorial Board
      • Aims and Scope
      • Abstracting and Indexing
      • Bibliographic Information
      • Archive
    • International Journal of Functional Nutrition
      • Information for Authors
      • Editorial Policies
      • Editorial Board
      • Aims and Scope
      • Abstracting and Indexing
      • Bibliographic Information
      • Archive
    • International Journal of Molecular Medicine
      • Information for Authors
      • Editorial Policies
      • Editorial Board
      • Aims and Scope
      • Abstracting and Indexing
      • Bibliographic Information
      • Archive
    • International Journal of Oncology
      • Information for Authors
      • Editorial Policies
      • Editorial Board
      • Aims and Scope
      • Abstracting and Indexing
      • Bibliographic Information
      • Archive
    • Medicine International
      • Information for Authors
      • Editorial Policies
      • Editorial Board
      • Aims and Scope
      • Abstracting and Indexing
      • Bibliographic Information
      • Archive
    • Molecular and Clinical Oncology
      • Information for Authors
      • Editorial Policies
      • Editorial Board
      • Aims and Scope
      • Abstracting and Indexing
      • Bibliographic Information
      • Archive
    • Molecular Medicine Reports
      • Information for Authors
      • Editorial Policies
      • Editorial Board
      • Aims and Scope
      • Abstracting and Indexing
      • Bibliographic Information
      • Archive
    • Oncology Letters
      • Information for Authors
      • Editorial Policies
      • Editorial Board
      • Aims and Scope
      • Abstracting and Indexing
      • Bibliographic Information
      • Archive
    • Oncology Reports
      • Information for Authors
      • Editorial Policies
      • Editorial Board
      • Aims and Scope
      • Abstracting and Indexing
      • Bibliographic Information
      • Archive
    • World Academy of Sciences Journal
      • Information for Authors
      • Editorial Policies
      • Editorial Board
      • Aims and Scope
      • Abstracting and Indexing
      • Bibliographic Information
      • Archive
  • Articles
  • Information
    • For Authors
    • For Reviewers
    • For Librarians
    • For Advertisers
    • Conferences
  • Language Editing
Login Register Submit
  • This site uses cookies
  • You can change your cookie settings at any time by following the instructions in our Cookie Policy. To find out more, you may read our Privacy Policy.

    I agree
Search articles by DOI, keyword, author or affiliation
Search
Advanced Search
presentation
Experimental and Therapeutic Medicine
Join Editorial Board Propose a Special Issue
Print ISSN: 1792-0981 Online ISSN: 1792-1015
Journal Cover
September-2014 Volume 8 Issue 3

Full Size Image

Sign up for eToc alerts
Recommend to Library

Journals

International Journal of Molecular Medicine

International Journal of Molecular Medicine

International Journal of Molecular Medicine is an international journal devoted to molecular mechanisms of human disease.

International Journal of Oncology

International Journal of Oncology

International Journal of Oncology is an international journal devoted to oncology research and cancer treatment.

Molecular Medicine Reports

Molecular Medicine Reports

Covers molecular medicine topics such as pharmacology, pathology, genetics, neuroscience, infectious diseases, molecular cardiology, and molecular surgery.

Oncology Reports

Oncology Reports

Oncology Reports is an international journal devoted to fundamental and applied research in Oncology.

Experimental and Therapeutic Medicine

Experimental and Therapeutic Medicine

Experimental and Therapeutic Medicine is an international journal devoted to laboratory and clinical medicine.

Oncology Letters

Oncology Letters

Oncology Letters is an international journal devoted to Experimental and Clinical Oncology.

Biomedical Reports

Biomedical Reports

Explores a wide range of biological and medical fields, including pharmacology, genetics, microbiology, neuroscience, and molecular cardiology.

Molecular and Clinical Oncology

Molecular and Clinical Oncology

International journal addressing all aspects of oncology research, from tumorigenesis and oncogenes to chemotherapy and metastasis.

World Academy of Sciences Journal

World Academy of Sciences Journal

Multidisciplinary open-access journal spanning biochemistry, genetics, neuroscience, environmental health, and synthetic biology.

International Journal of Functional Nutrition

International Journal of Functional Nutrition

Open-access journal combining biochemistry, pharmacology, immunology, and genetics to advance health through functional nutrition.

International Journal of Epigenetics

International Journal of Epigenetics

Publishes open-access research on using epigenetics to advance understanding and treatment of human disease.

Medicine International

Medicine International

An International Open Access Journal Devoted to General Medicine.

Journal Cover
September-2014 Volume 8 Issue 3

Full Size Image

Sign up for eToc alerts
Recommend to Library

  • Article
  • Citations
    • Cite This Article
    • Download Citation
    • Create Citation Alert
    • Remove Citation Alert
    • Cited By
  • Similar Articles
    • Related Articles (in Spandidos Publications)
    • Similar Articles (Google Scholar)
    • Similar Articles (PubMed)
  • Download PDF
  • Download XML
  • View XML
Article

Progesterone protects blood‑brain barrier function and improves neurological outcome following traumatic brain injury in rats

  • Authors:
    • Daowen Si
    • Juan Li
    • Jiang  Liu
    • Xiaoyin Wang
    • Zifeng Wei
    • Qingyou Tian
    • Haitao Wang
    • Gang Liu
  • View Affiliations / Copyright

    Affiliations: School of Basic Medical Sciences, Hebei United University, Tangshan, Hebei 063000, P.R. China, Department of Biochemistry and Molecular Biology, Xinxiang Medical College, Xinxiang, Henan 453000, P.R. China, Department of Neurosurgery, Affiliated Hospital of Hebei United University, Tangshan, Hebei 063000, P.R. China
  • Pages: 1010-1014
    |
    Published online on: July 11, 2014
       https://doi.org/10.3892/etm.2014.1840
  • Expand metrics +
Metrics: Total Views: 0 (Spandidos Publications: | PMC Statistics: )
Metrics: Total PDF Downloads: 0 (Spandidos Publications: | PMC Statistics: )
Cited By (CrossRef): 0 citations Loading Articles...

This article is mentioned in:



Abstract

Inflammatory responses are associated with blood‑brain barrier (BBB) dysfunction and neurological deficits following traumatic brain injury (TBI). The aim of the present study was to investigate the effects of progesterone on the expression of the inflammatory mediators prostaglandin E2 (PGE2), cyclooxygenase‑2 (COX‑2), nuclear factor κB (NF‑κB) and tumor necrosis factor‑α (TNF‑α) in the brain, BBB permeability, cerebral edema and neurological outcome, as well as to explore the mechanism of its neuroprotective effect. In this study, male rats were randomly divided into three groups: a sham‑operated group (SHAM), a TBI group (TBI) and a progesterone treatment group (TBI‑PROG). The TBI model was established using a modified Feeney's weight‑dropping method. Brain samples were extracted 24 h following injury. The expression levels of COX‑2 and NF‑κB were examined using immunohistochemistry, whilst the expression levels of PGE2 and TNF‑α were detected by enzyme‑linked immunosorbent assay. BBB permeability was analyzed using Evans blue and cerebral edema was determined using the dry‑wet method. The neurological outcome was evaluated using the modified neurological severity score test. The results revealed that progesterone treatment significantly reduced post‑injury inflammatory response, brain edema and Evans blue dye extravasation, and improved neurological scores compared with those in the TBI group. In conclusion, the inhibition of inflammation may be an important mechanism by which progesterone protects the BBB and improves neurological outcome.

Introduction

Traumatic brain injury (TBI) is caused by both primary and secondary injury. Primary injury occurs from the forces at the time of injury and is known to be irreversible. However, it is the complex secondary mechanisms initiated at the time of trauma that have an important role in the delayed progression of the brain damage, which may present novel opportunities for therapeutic strategies. One of the secondary injury processes that may promote delayed neuronal death is post-traumatic inflammation, which has been shown to increase blood-brain barrier (BBB) permeability, cerebral edema and intracranial pressure, resulting in neuronal dysfunction following TBI (1).

During post-traumatic inflammation, metabolic products of arachidonic acid, known as prostanoids, including prostaglandins, prostacyclin and thromboxanes, are released. These aggravate the injury process and have a central role in the central nervous system (CNS) in brain injury (2). Prostaglandin E2 (PGE2) synthesis is regulated by cyclooxygenase (COX) that is present in at least two isoforms, COX-1, the constitutive form, and COX-2, the inducible form (3). COX-2 regulates the critical metabolic step in the biosynthesis of PGE2, which is considered to have a significant role in the inflammatory response following TBI. In addition, nuclear factor κB (NF-κB) is an important transcription factor complex that modulates the expression of numerous genes involved in immune and inflammatory responses, including COX-2 and tumor necrosis factor-α (TNF-α), which are considered to be significant in secondary injury (4). Following TBI, the overproduction of inflammatory mediators within the injured brain, including PGE2, COX-2, NF-κB and TNF-α, are believed to contribute to the cerebral damage, cell death and BBB dysfunction (5). Therefore, inflammation is a significant contributor to secondary injury, and control of the inflammatory response benefits BBB and neurological outcome.

Progesterone is considered to have a neuroprotective effect, and this has been demonstrated in a variety of animal models, including ischemic and traumatic brain insult models (6). Previous studies have shown that post-injury treatment with progesterone decreases brain edema (7), attenuates free radical damage (8), reduces neuronal loss (9), inhibits the inflammatory response (10), restores BBB function (11), increases the levels of endothelial progenitor cells (12) and promotes behavioral recovery (13). In addition, the neuroprotective effect has been confirmed in clinical trials in which progesterone treatment was administered following TBI (14,15). Due to these promising results, a large multicenter phase III clinical trial (ProTECT III) is being conducted in order to further assess the safety and efficacy of this treatment for adults with moderate to severe acute TBI (16). Previous studies have demonstrated that progesterone reduces BBB degeneration (8,11,17–19); however, the mechanism by which progesterone mediates its neuroprotective effects on the BBB has yet to be elucidated. A number of studies have demonstrated that the protective effect of progesterone BBB is associated with reductions of lipid peroxidation and matrix metalloproteinase (MMP) expression (8,11,17–19). Since inflammatory mediators, including PGE2, COX-2, NF-κB and TNF-α, following TBI are associated with the disruption of the BBB, it was hypothesized in the present study that progesterone may promote BBB recovery from TBI by reducing the expression levels of inflammatory mediators. Therefore, the present study investigated whether progesterone inhibits the expression of the important inflammatory molecules PGE2, COX-2, NF-κB and TNF-α following TBI in rats. The ability of progesterone to protect BBB function, reduce brain edema and improve neurological function in the brain-injured rats was also evaluated.

Materials and methods

Animals and groups

A total of 90 adult male Sprague-Dawley rats (weighing between 250 and 300 g) were purchased from the Beijing Experimental Animal Center (Beijing, China). The animals were housed in a light controlled room under a 12 h light-dark cycle and maintained at a temperature of 25°C. Animals were given unrestricted access to food and water. All procedures were approved by the Animal Care Committee of Hebei United University (Tangshan, China) and were in accordance with the guidelines of the National Institutes of Health (Bethesda, MD, USA) on the care and use of animals.

The rats were randomly divided into three experimental groups: a sham-operated group (SHAM), a TBI group (TBI) and a progesterone treatment group (TBI-PROG), with 30 rats in each group. Animals in each group were assigned to subgroups for immunohistochemical analysis, enzyme-linked immunosorbent assay (ELISA), detection of Evan’s blue (EB) dye extravasation, determination of brain water content and modified neurological severity score (n=18 per assay; 6 rats from each group).

TBI model

The TBI model was established on experimental rats by modified Feeney’s weight-dropping method, as previously described (20). In this method, the rats were anesthetized with an intraperitoneal injection of 40 mg/kg sodium pentobarbital. A right parietal craniotomy (5 mm diameter) was drilled under aseptic conditions, 1 mm posteriorly and 2 mm laterally to the bregma. A steel rod (weighing 40 g) with a flat end diameter of 4 mm was allowed to fall from a height of 25 cm onto a piston resting on the exposed intact cranial dura. Rats in the SHAM group were subjected to skull fenestration without brain injury. Rats in the TBI-PROG group received injections of progesterone (Sigma, St Louis, MO, USA), in accordance a previous study (21). Progesterone was dissolved in 22.5% 2-hydroxypropyl-β-cyclodextrin and administered at a dose of 16 mg/kg by intraperitoneal injection 1 h post injury to ensure more rapid absorption following TBI. Subsequent injections of 16 mg/kg were administered subcutaneously 6 h and 12 h following TBI. Rats in the SHAM and TBI groups received equivalent volumes of 2-hydroxypropyl-β-cyclodextrin at the same time following the surgery.

Immunohistochemistry

The animals were decapitated 24 h following injury for tissue assays. The rats were anesthetized and perfused through the heart with 4% paraformaldehyde. Brains were carefully removed and immersed in fixative. A 3 mm-thick coronal slice of each brain, containing the area surrounding the injury site, was dehydrated and embedded in paraffin. Coronal sections of the brain (10 μm thickness) were cut and rinsed in phosphate-buffered saline (PBS). The sections were incubated in PBS-Triton (PBS-T) containing 0.1% H2O2 for 30 min to block the endogenous peroxidase. The sections were rinsed three times for 5 min in PBS-T and incubated with 1.5% normal goat serum for 30 min. The sections were then incubated overnight (4°C) using anti-COX-2 (Santa Cruz Biotechnology, Santa Cruz, CA, USA) or anti-NF-κB (Santa Cruz Biotechnology) primary antibodies, diluted 1:100 with PBS. Following extensive rinsing steps in PBS, sections were reincubated in biotinylated goat anti-rabbit antibody (Zhongshan Biotechnology Co., Ltd., Beijing, China) for 1 h at room temperature. The immunocomplex was visualized using diaminobenzidine as a chromogen in a reaction with peroxidase. For negative controls, the primary antibody was omitted.

Enzyme-linked immunosorbent assay (ELISA)

The animals were decapitated 24 h after brain injury. The brain tissues were isolated from the skull and washed with ice-cold physiological saline to remove surface blood. The cortex was then separated, weighed and placed in a homogenizer. The tissue was homogenized with 1 ml ice-cold physiological saline per 100 mg brain tissue. Hypothermal centrifugation was performed at 302 × g for 10 min, and the supernatant was obtained. An ELISA kit (Shanghai Saimo Biotechnology, Shanghai, China) on a microplate reader (Hyperion MR III; Hyperion Inc., Miami, FL, USA) was used to determine the levels of PGE2 and TNF-α.

Detection of EB dye extravasation

The BBB permeability was determined by EB extravasation 24 h following TBI. A dose of 2 ml/kg 2% EB was injected intravenously through the tail vein. Animals were anesthetized after 1 h and perfused using saline to remove intravascular EB dye. Animals were then decapitated, the brains removed and homogenized in PBS. The protein was precipitated by adding trichloroacetic acid, and the samples were cooled and centrifuged. The resulting supernatant was measured for absorbance of EB at 610 nm using a spectrophotometer (model VIS722; Aoxi, Shanghai, China).

Determination of brain water content

Coronal sections of the frontal cortex of the brain (4 mm thick) were weighed to obtain the wet weight, placed in an oven at 90°C for 2 days and then weighed again to obtain the dry weight. The formula used to calculate the water content was as follows: Brain water (%) = [(wet weight-dry weight)/wet weight] × 100.

Modified neurological severity score (mNSS)

The neurological function of the rats was assessed using the mNSS test (22), which includes motor, sensory, reflex and balance tests. In the mNSS test, the neurological function was graded on a scale of 0–18. The test was performed 24 h following TBI in a blinded manner. The higher the score, the more severe the injury. A score of 0 indicates no neurological deficit, whilst a score of 18 indicates the most severe impairment.

Statistical analysis

All results are expressed as mean ± standard error of the mean. SPSS software, version 16.0 was used for statistical analysis of the data (SPSS, Inc., Chicago, IL, USA). A one-way analysis of variance was performed to determine the differences among the groups followed by a least significance difference in order to compare the differences between groups. P<0.05 was considered to indicate a statistically significant result.

Results

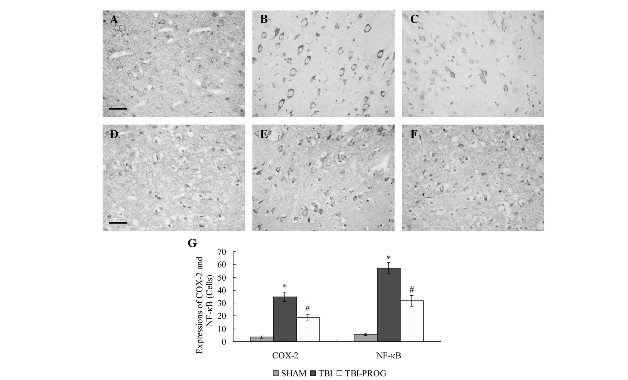
Progesterone treatment inhibits COX-2 and NF-κB expression

Immunohistochemical analysis revealed that the expression levels of COX-2 and NF-κB in the cortex were low in the SHAM group. Following TBI, significant increases in COX-2 and NF-κB expression levels were observed in the cortex of rats in the TBI group compared with those in the SHAM group (P<0.05). The expression levels of COX-2 and NF-κB were decreased by progesterone administration in the TBI-PROG group compared with those in the TBI group (P<0.05; Fig. 1).

Figure 1

Immunohistochemical analysis of COX-2 and NF-κB in the cortex of rats in the SHAM, TBI and TBI-PROG groups. Immunohistochemistry of (A–C) COX-2 and (D–F) NF-κB expression. (A, D) The SHAM group showed few positive cells, (B,E) The TBI group showed strongly stained positive cells, and (C, F) the TBI-PROG group showed fewer positive cells compared with the TBI group (scale bar, 50 μm; magnification, ×400). (G) Administration of progesterone significantly inhibited the TBI-induced upregulation of COX-2 and NF-κB expression in the cortex (n=6/group); *P<0.05, compared with the SHAM group; #P<0.05, compared with the TBI group. COX-2, cyclooxygenase 2; NF-κB, nuclear factor κB; TBI, traumatic brain injury, PROG, progesterone.

Progesterone treatment decreases PGE2 and TNF-α levels

The expression levels of PGE2 and TNF-α were low in the brains of rats in the SHAM group. Compared with those in the SHAM group, the PGE2 and TNF-α levels were markedly increased following TBI (P<0.05), whilst the administration of progesterone significantly decreased the PGE2 and TNF-α expression levels compared with those in the TBI group (P<0.05; Table I).

Table I

Effects of PROG on PGE2, TNF-α, blood-brain barrier permeability and WC in the cerebral cortex following TBI in rats.

Table I

Effects of PROG on PGE2, TNF-α, blood-brain barrier permeability and WC in the cerebral cortex following TBI in rats.

GroupPGE2 (ng/g)TNF-α (ng/g)EB (μg/g)WC (%)
SHAM2.3±0.510.6±0.183.2±0.5474.3±0.92
TBI7.1±0.94a1.7±0.32a14.6±1.79a82.6±2.13a
PROG4.5±0.68b1.2±0.29b8.3±1.87b78.4±1.47b

{ label (or @symbol) needed for fn[@id='tfn1-etm-08-03-1010'] } Data are presented as the mean ± standard error of the mean (n=6).

a P<0.05 vs. SHAM group;

b P<0.05 vs. TBI and SHAM groups.

{ label (or @symbol) needed for fn[@id='tfn4-etm-08-03-1010'] } PGE2, prostaglandin E2; TNF-α, tumor necrosis factor α; EB, Evans blue; WC, water content; TBI, traumatic brain injury, PROG, progesterone.

Progesterone treatment decreases BBB permeability

Low EB extravasation was observed in rats in the SHAM group. However, rats in the TBI group demonstrated a significant increase in BBB permeability compared with that of the rats in the SHAM group (P<0.05). Progesterone significantly inhibited EB extravasation in the animals with brain injury (P<0.05; Table I).

Progesterone treatment reduces brain water content

The brain water content in the TBI group was significantly increased compared with that in the SHAM group (P<0.05). Following progesterone administration, the brain water content in the TBI-PROG group was significantly reduced compared with that in the TBI group (P<0.05; Table I).

Progesterone treatment improves neurological outcome

The mNSSs for rats in the SHAM group were low (0.5±0.54). The mNSSs for rats in the TBI-PROG group (10.5±1.37) were significantly lower following TBI compared with those of rats in the TBI group (14.8±2.75; P<0.05). These results indicate that progesterone treatment improves the neurological functional outcome following TBI in rats.

Discussion

In the present study, it was demonstrated that TBI results in an increased expression of PGE2, COX-2, NF-κB and TNF-α in the cortex in rats, and the increase in these inflammatory mediators in the brain following TBI was associated with BBB dysfunction, brain edema and the development of functional deficits. Progesterone was observed to significantly reduce post-injury inflammatory response, BBB permeability and cerebral edema, as well as improve functional outcome.

Inflammatory processes are considered major components of the secondary injury cascade following TBI (23). PGE2, the metabolic product of arachidonic acid, is a key regulator. Overexpression of PGE2 produced by COX-2 is an important determinant of the cytotoxicity associated with inflammation following injury to the brain (24). PGE2 may affect pathological processes through the modulation of glutamate release, cerebral vasoconstriction and neuroendocrine function (24). Furthermore, PGE2 has been shown to be associated with the generation of highly reactive oxygen species (ROS), which have potential deleterious effects on lipids, proteins and DNA, and lead to a breakdown of the BBB following TBI (25). In addition, NF-κB is an upstream regulator of inflammation that activates TBI-induced inflammatory molecules, including COX-2 and TNF-α (26). TNF-α is involved in BBB injury and edema formation through a mechanism involving MMP upregulation (11). In combination, this indicates that secondary inflammation exacerbates BBB dysfunction following TBI.

Progesterone has been shown to be a potent antagonist of CNS inflammation and cerebral edema following TBI (6). Previous studies in aged rats showed that progesterone decreases acute inflammation by preventing the expression of inflammatory mediators, including COX-2, IL-6 and NF-κB following TBI (27). Pettus et al (28) suggested that progesterone administered following TBI may reduce the initial cytotoxic surge of inflammatory factors, including complement factor C3, glial fibrillary acidic protein and NF-κB. Progesterone may also reduce the injury-induced expression of inflammatory mediators interleukin-1 β (IL-1β) and TNF-α (29). The fact that progesterone reduces inflammation following TBI may also contribute to the widely observed beneficial effects of the hormone on edema (28). Administration of progesterone following brain injury has been shown to attenuate edema, even when the progesterone treatment was delayed for up to 24 h following injury (30). In the present study, it was found that progesterone treatment inhibited the expression of the inflammatory mediators PGE2, COX-2, NF-κB and TNF-α that accompanied TBI, and it was observed that brain edema in the injured rat brain following TBI was decreased by progesterone administration, which is in agreement with previous studies (27–29).

The protective effect of progesterone on the BBB has been previously investigated and a number of studies have suggested that treatment with progesterone following TBI attenuates BBB permeability following brain injury (8,11,17–19). Ishrat et al (19) studied the changes of MMPs and inflammation following permanent middle cerebral artery occlusion (pMCAO). The authors found that ischemic injury significantly increased the expression levels of MMP-9, MMP-2, TNF-α and IL-6, and EB extravasation, but progesterone attenuated BBB disruption by reducing MMP levels and the inflammatory response. A previous study has also shown BBB leakage to be significantly decreased in progesterone-treated animals following TBI, and this decrease was accompanied by a reduction in lipid peroxidation (8). Although previous studies have demonstrated that the protective effect of progesterone on BBB may be associated with a reduction of lipid peroxidation, reduction of MMP expression and attenuation of TNF-α and IL-6 levels, little is known about the effect of progesterone on BBB permeability and the expression levels inflammatory mediators COX-2, PGE2 and NF-κB in the brain. In the present study, it was demonstrated that TBI in rats results in reductions in the expression levels of PGE2, COX-2, NF-κB and TNF-α in the cortex, as well as BBB dysfunction, and that the administration of progesterone significantly reduces the expression levels of these inflammatory mediators. Inflammation is known to contribute to secondary BBB damage, which may explain the mechanism of the effect of progesterone on the BBB. In addition, in the present study it was also demonstrated using the mNSS test, which is a well-established scoring system to determine the neurologic performance of rats following brain injury (22), that the administration of progesterone is able to enhance functional recovery. Since BBB disruption is considered to be associated with the development of neurological deficits following TBI (31), the improvement of neurological function by progesterone may be linked with the protection of BBB function.

In conclusion, the present study demonstrated that progesterone treatment is able to significantly inhibit the inflammatory response, attenuate BBB disruption and brain edema and improve functional recovery following traumatic brain injury. Since the inflammatory response is a cause of considerable secondary BBB damage following brain trauma, the inhibition of inflammation may be another crucial mechanism by which progesterone protects the BBB and improves neurological outcome.

Acknowledgements

This study was supported by the National Natural Science Foundation of China (81201048) and the Natural Science Foundation of Hebei Province (H2012401009), China.

References

1 

Kumar A and Loane DJ: Neuroinflammation after traumatic brain injury: opportunities for therapeutic intervention. Brain Behav Immun. 26:1191–1201. 2012. View Article : Google Scholar : PubMed/NCBI

2 

Knöferl MW, Diodato MD, Schwacha MG, Cioffi WG, Bland KI and Chaudry IH: Cyclooxygenase-2-mediated regulation of Kupffer cell interleukin-6 production following trauma-hemorrhage and subsequent sepsis. Shock. 16:479–483. 2001.PubMed/NCBI

3 

Vane JR, Bakhle YS and Botting RM: Cyclooxygenases 1 and 2. Annu Rev Pharmacol Toxicol. 38:97–120. 1998. View Article : Google Scholar

4 

Morganti-Kossmann MC, Satgunaseelan L, Bye N and Kossmann T: Modulation of immune response by head injury. Injury. 38:1392–1400. 2007. View Article : Google Scholar : PubMed/NCBI

5 

Allan SM and Rothwell NJ: Inflammation in central nervous system injury. Philos Trans R Soc Lond B Biol Sci. 358:1669–1677. 2003. View Article : Google Scholar : PubMed/NCBI

6 

Deutsch ER, Espinoza TR, Atif F, Woodall E, Kaylor J and Wright DW: Progesterone’s role in neuroprotection, a review of the evidence. Brain Res. 1530:82–105. 2013.

7 

Shahrokhi N, Khaksari M, Soltani Z, Mahmoodi M and Nakhaee N: Effect of sex steroid hormones on brain edema, intracranial pressure, and neurologic outcomes after traumatic brain injury. Can J Physiol Pharmacol. 88:414–421. 2010. View Article : Google Scholar

8 

Roof RL, Hoffman SW and Stein DG: Progesterone protects against lipid peroxidation following traumatic brain injury in rats. Mol Chem Neuropathol. 31:1–11. 1997. View Article : Google Scholar : PubMed/NCBI

9 

Djebaili M, Hoffman SW and Stein DG: Allopregnanolone and progesterone decrease cell death and cognitive deficits after a contusion of the rat pre-frontal cortex. Neuroscience. 123:349–359. 2004. View Article : Google Scholar : PubMed/NCBI

10 

Grossman KJ, Goss CW and Stein DG: Effects of progesterone on the inflammatory response to brain injury in the rat. Brain Res. 1008:29–39. 2004. View Article : Google Scholar : PubMed/NCBI

11 

Wang J, Jiang C, Li X, Liu C, Cheng N and Hao Y: The protective mechanism of progesterone on blood-brain barrier in cerebral ischemia in rats. Brain Res Bull. 79:426–430. 2009. View Article : Google Scholar : PubMed/NCBI

12 

Li Z, Wang B, Kan Z, Zhang B, Yang Z, Chen J, et al: Progesterone increases circulating endothelial progenitor cells and induces neural regeneration after traumatic brain injury in aged rats. J Neurotrauma. 29:343–353. 2012. View Article : Google Scholar

13 

Wali B, Sayeed I and Stein DG: Improved behavioral outcomes after progesterone administration in aged male rats with traumatic brain injury. Restor Neurol Neurosci. 29:61–71. 2011.PubMed/NCBI

14 

Wright DW, Kellermann AL, Hertzberg VS, Clark PL, Frankel M, Goldstein FC, et al: ProTECT: a randomized clinical trial of progesterone for acute traumatic brain injury. Ann Emerg Med. 49:391–402. 402:2007.PubMed/NCBI

15 

Xiao G, Wei J, Yan W, Wang W and Lu Z: Improved outcomes from the administration of progesterone for patients with acute severe traumatic brain injury: a randomized controlled trial. Crit Care. 12:R612008. View Article : Google Scholar : PubMed/NCBI

16 

ProTECT III. Progesterone for the Treatment of Traumatic Brain Injury (ProTECT III). http://clinicaltrials.gov/ct2/show/record/NCT00822900uri. Accessed November 14, 2013

17 

Wang X, Zhang J, Yang Y, Dong W, Wang F, Wang L and Li X: Progesterone attenuates cerebral edema in neonatal rats with hypoxic-ischemic brain damage by inhibiting the expression of matrix metalloproteinase-9 and aquaporin-4. Exp Ther Med. 6:263–267. 2013.PubMed/NCBI

18 

Shahrokhi N, Haddad MK, Joukar S, Shabani M, Keshavarzi Z and Shahozehi B: Neuroprotective antioxidant effect of sex steroid hormones in traumatic brain injury. Pak J Pharm Sci. 25:219–225. 2012.PubMed/NCBI

19 

Ishrat T, Sayeed I, Atif F, Hua F and Stein DG: Progesterone and allopregnanolone attenuate blood-brain barrier dysfunction following permanent focal ischemia by regulating the expression of matrix metalloproteinases. Exp Neurol. 226:183–190. 2010. View Article : Google Scholar

20 

Feeney DM, Boyeson MG, Linn RT, Murray HM and Dail WG: Responses to cortical injury: I. Methodology and local effects of contusions in the rat. Brain Res. 211:67–77. 1981. View Article : Google Scholar : PubMed/NCBI

21 

Goss CW, Hoffman SW and Stein DG: Behavioral effects and anatomic correlates after brain injury: a progesterone dose-response study. Pharmacol Biochem Behav. 76:231–242. 2003. View Article : Google Scholar : PubMed/NCBI

22 

Chen J, Li Y, Wang L, Zhang Z, Lu D, Lu M and Chopp M: Therapeutic benefit of intravenous administration of bone marrow stromal cells after cerebral ischemia in rats. Stroke. 32:1005–1011. 2001. View Article : Google Scholar : PubMed/NCBI

23 

Israelsson C, Bengtsson H, Kylberg A, Kullander K, Lewén A, Hillered L and Ebendal T: Distinct cellular patterns of upregulated chemokine expression supporting a prominent inflammatory role in traumatic brain injury. J Neurotrauma. 25:959–974. 2008. View Article : Google Scholar : PubMed/NCBI

24 

Buccellati C, Folco GC, Sala A, Scelsi R, Masoero E, Poggi P, et al: Inhibition of prostanoid synthesis protects against neuronal damage induced by focal ischemia in rat brain. Neurosci Lett. 257:123–126. 1998. View Article : Google Scholar : PubMed/NCBI

25 

Beaumont A, Marmarou A, Fatouros P and Corwin F: Secondary insults worsen blood brain barrier dysfunction assessed by MRI in cerebral contusion. Acta Neurochir Suppl. 81:217–219. 2002.PubMed/NCBI

26 

Ghosh S and Karin M: Missing pieces in the NF-kappaB puzzle. Cell. 109(Suppl): S81–S96. 2002. View Article : Google Scholar : PubMed/NCBI

27 

Cutler SM, Cekic M, Miller DM, Wali B, VanLandingham JW and Stein DG: Progesterone improves acute recovery after traumatic brain injury in the aged rat. J Neurotrauma. 24:1475–1486. 2007. View Article : Google Scholar : PubMed/NCBI

28 

Pettus EH, Wright DW, Stein DG and Hoffman SW: Progesterone treatment inhibits the inflammatory agents that accompany traumatic brain injury. Brain Res. 1049:112–119. 2005. View Article : Google Scholar : PubMed/NCBI

29 

He J, Evans CO, Hoffman SW, Oyesiku NM and Stein DG: Progesterone and allopregnanolone reduce inflammatory cytokines after traumatic brain injury. Exp Neurol. 189:404–412. 2004. View Article : Google Scholar : PubMed/NCBI

30 

Roof RL, Duvdevani R, Heyburn JW and Stein DG: Progesterone rapidly decreases brain edema: treatment delayed up to 24 hours is still effective. Exp Neurol. 138:246–251. 1996. View Article : Google Scholar : PubMed/NCBI

31 

McIntosh TK, Smith DH, Meaney DF, Kotapka MJ, Gennarelli TA and Graham DI: Neuropathological sequelae of traumatic brain injury: relationship to neurochemical and biomechanical mechanisms. Lab Invest. 74:315–342. 1996.PubMed/NCBI

Related Articles

  • Abstract
  • View
  • Download
  • Twitter
Copy and paste a formatted citation
Spandidos Publications style
Si D, Li J, Liu J, Wang X, Wei Z, Tian Q, Wang H and Liu G: Progesterone protects blood‑brain barrier function and improves neurological outcome following traumatic brain injury in rats. Exp Ther Med 8: 1010-1014, 2014.
APA
Si, D., Li, J., Liu, J., Wang, X., Wei, Z., Tian, Q. ... Liu, G. (2014). Progesterone protects blood‑brain barrier function and improves neurological outcome following traumatic brain injury in rats. Experimental and Therapeutic Medicine, 8, 1010-1014. https://doi.org/10.3892/etm.2014.1840
MLA
Si, D., Li, J., Liu, J., Wang, X., Wei, Z., Tian, Q., Wang, H., Liu, G."Progesterone protects blood‑brain barrier function and improves neurological outcome following traumatic brain injury in rats". Experimental and Therapeutic Medicine 8.3 (2014): 1010-1014.
Chicago
Si, D., Li, J., Liu, J., Wang, X., Wei, Z., Tian, Q., Wang, H., Liu, G."Progesterone protects blood‑brain barrier function and improves neurological outcome following traumatic brain injury in rats". Experimental and Therapeutic Medicine 8, no. 3 (2014): 1010-1014. https://doi.org/10.3892/etm.2014.1840
Copy and paste a formatted citation
x
Spandidos Publications style
Si D, Li J, Liu J, Wang X, Wei Z, Tian Q, Wang H and Liu G: Progesterone protects blood‑brain barrier function and improves neurological outcome following traumatic brain injury in rats. Exp Ther Med 8: 1010-1014, 2014.
APA
Si, D., Li, J., Liu, J., Wang, X., Wei, Z., Tian, Q. ... Liu, G. (2014). Progesterone protects blood‑brain barrier function and improves neurological outcome following traumatic brain injury in rats. Experimental and Therapeutic Medicine, 8, 1010-1014. https://doi.org/10.3892/etm.2014.1840
MLA
Si, D., Li, J., Liu, J., Wang, X., Wei, Z., Tian, Q., Wang, H., Liu, G."Progesterone protects blood‑brain barrier function and improves neurological outcome following traumatic brain injury in rats". Experimental and Therapeutic Medicine 8.3 (2014): 1010-1014.
Chicago
Si, D., Li, J., Liu, J., Wang, X., Wei, Z., Tian, Q., Wang, H., Liu, G."Progesterone protects blood‑brain barrier function and improves neurological outcome following traumatic brain injury in rats". Experimental and Therapeutic Medicine 8, no. 3 (2014): 1010-1014. https://doi.org/10.3892/etm.2014.1840
Follow us
  • Twitter
  • LinkedIn
  • Facebook
About
  • Spandidos Publications
  • Careers
  • Cookie Policy
  • Privacy Policy
How can we help?
  • Help
  • Live Chat
  • Contact
  • Email to our Support Team