Spandidos Publications Logo
  • About
    • About Spandidos
    • Aims and Scopes
    • Abstracting and Indexing
    • Editorial Policies
    • Reprints and Permissions
    • Job Opportunities
    • Terms and Conditions
    • Contact
  • Journals
    • All Journals
    • Oncology Letters
      • Oncology Letters
      • Information for Authors
      • Editorial Policies
      • Editorial Board
      • Aims and Scope
      • Abstracting and Indexing
      • Bibliographic Information
      • Archive
    • International Journal of Oncology
      • International Journal of Oncology
      • Information for Authors
      • Editorial Policies
      • Editorial Board
      • Aims and Scope
      • Abstracting and Indexing
      • Bibliographic Information
      • Archive
    • Molecular and Clinical Oncology
      • Molecular and Clinical Oncology
      • Information for Authors
      • Editorial Policies
      • Editorial Board
      • Aims and Scope
      • Abstracting and Indexing
      • Bibliographic Information
      • Archive
    • Experimental and Therapeutic Medicine
      • Experimental and Therapeutic Medicine
      • Information for Authors
      • Editorial Policies
      • Editorial Board
      • Aims and Scope
      • Abstracting and Indexing
      • Bibliographic Information
      • Archive
    • International Journal of Molecular Medicine
      • International Journal of Molecular Medicine
      • Information for Authors
      • Editorial Policies
      • Editorial Board
      • Aims and Scope
      • Abstracting and Indexing
      • Bibliographic Information
      • Archive
    • Biomedical Reports
      • Biomedical Reports
      • Information for Authors
      • Editorial Policies
      • Editorial Board
      • Aims and Scope
      • Abstracting and Indexing
      • Bibliographic Information
      • Archive
    • Oncology Reports
      • Oncology Reports
      • Information for Authors
      • Editorial Policies
      • Editorial Board
      • Aims and Scope
      • Abstracting and Indexing
      • Bibliographic Information
      • Archive
    • Molecular Medicine Reports
      • Molecular Medicine Reports
      • Information for Authors
      • Editorial Policies
      • Editorial Board
      • Aims and Scope
      • Abstracting and Indexing
      • Bibliographic Information
      • Archive
    • World Academy of Sciences Journal
      • World Academy of Sciences Journal
      • Information for Authors
      • Editorial Policies
      • Editorial Board
      • Aims and Scope
      • Abstracting and Indexing
      • Bibliographic Information
      • Archive
    • International Journal of Functional Nutrition
      • International Journal of Functional Nutrition
      • Information for Authors
      • Editorial Policies
      • Editorial Board
      • Aims and Scope
      • Abstracting and Indexing
      • Bibliographic Information
      • Archive
    • International Journal of Epigenetics
      • International Journal of Epigenetics
      • Information for Authors
      • Editorial Policies
      • Editorial Board
      • Aims and Scope
      • Abstracting and Indexing
      • Bibliographic Information
      • Archive
    • Medicine International
      • Medicine International
      • Information for Authors
      • Editorial Policies
      • Editorial Board
      • Aims and Scope
      • Abstracting and Indexing
      • Bibliographic Information
      • Archive
  • Articles
  • Information
    • Information for Authors
    • Information for Reviewers
    • Information for Librarians
    • Information for Advertisers
    • Conferences
  • Language Editing
Spandidos Publications Logo
  • About
    • About Spandidos
    • Aims and Scopes
    • Abstracting and Indexing
    • Editorial Policies
    • Reprints and Permissions
    • Job Opportunities
    • Terms and Conditions
    • Contact
  • Journals
    • All Journals
    • Biomedical Reports
      • Information for Authors
      • Editorial Policies
      • Editorial Board
      • Aims and Scope
      • Abstracting and Indexing
      • Bibliographic Information
      • Archive
    • Experimental and Therapeutic Medicine
      • Information for Authors
      • Editorial Policies
      • Editorial Board
      • Aims and Scope
      • Abstracting and Indexing
      • Bibliographic Information
      • Archive
    • International Journal of Epigenetics
      • Information for Authors
      • Editorial Policies
      • Editorial Board
      • Aims and Scope
      • Abstracting and Indexing
      • Bibliographic Information
      • Archive
    • International Journal of Functional Nutrition
      • Information for Authors
      • Editorial Policies
      • Editorial Board
      • Aims and Scope
      • Abstracting and Indexing
      • Bibliographic Information
      • Archive
    • International Journal of Molecular Medicine
      • Information for Authors
      • Editorial Policies
      • Editorial Board
      • Aims and Scope
      • Abstracting and Indexing
      • Bibliographic Information
      • Archive
    • International Journal of Oncology
      • Information for Authors
      • Editorial Policies
      • Editorial Board
      • Aims and Scope
      • Abstracting and Indexing
      • Bibliographic Information
      • Archive
    • Medicine International
      • Information for Authors
      • Editorial Policies
      • Editorial Board
      • Aims and Scope
      • Abstracting and Indexing
      • Bibliographic Information
      • Archive
    • Molecular and Clinical Oncology
      • Information for Authors
      • Editorial Policies
      • Editorial Board
      • Aims and Scope
      • Abstracting and Indexing
      • Bibliographic Information
      • Archive
    • Molecular Medicine Reports
      • Information for Authors
      • Editorial Policies
      • Editorial Board
      • Aims and Scope
      • Abstracting and Indexing
      • Bibliographic Information
      • Archive
    • Oncology Letters
      • Information for Authors
      • Editorial Policies
      • Editorial Board
      • Aims and Scope
      • Abstracting and Indexing
      • Bibliographic Information
      • Archive
    • Oncology Reports
      • Information for Authors
      • Editorial Policies
      • Editorial Board
      • Aims and Scope
      • Abstracting and Indexing
      • Bibliographic Information
      • Archive
    • World Academy of Sciences Journal
      • Information for Authors
      • Editorial Policies
      • Editorial Board
      • Aims and Scope
      • Abstracting and Indexing
      • Bibliographic Information
      • Archive
  • Articles
  • Information
    • For Authors
    • For Reviewers
    • For Librarians
    • For Advertisers
    • Conferences
  • Language Editing
Login Register Submit
  • This site uses cookies
  • You can change your cookie settings at any time by following the instructions in our Cookie Policy. To find out more, you may read our Privacy Policy.

    I agree
Search articles by DOI, keyword, author or affiliation
Search
Advanced Search
presentation
Experimental and Therapeutic Medicine
Join Editorial Board Propose a Special Issue
Print ISSN: 1792-0981 Online ISSN: 1792-1015
Journal Cover
October 2014 Volume 8 Issue 4

Full Size Image

Sign up for eToc alerts
Recommend to Library

Journals

International Journal of Molecular Medicine

International Journal of Molecular Medicine

International Journal of Molecular Medicine is an international journal devoted to molecular mechanisms of human disease.

International Journal of Oncology

International Journal of Oncology

International Journal of Oncology is an international journal devoted to oncology research and cancer treatment.

Molecular Medicine Reports

Molecular Medicine Reports

Covers molecular medicine topics such as pharmacology, pathology, genetics, neuroscience, infectious diseases, molecular cardiology, and molecular surgery.

Oncology Reports

Oncology Reports

Oncology Reports is an international journal devoted to fundamental and applied research in Oncology.

Experimental and Therapeutic Medicine

Experimental and Therapeutic Medicine

Experimental and Therapeutic Medicine is an international journal devoted to laboratory and clinical medicine.

Oncology Letters

Oncology Letters

Oncology Letters is an international journal devoted to Experimental and Clinical Oncology.

Biomedical Reports

Biomedical Reports

Explores a wide range of biological and medical fields, including pharmacology, genetics, microbiology, neuroscience, and molecular cardiology.

Molecular and Clinical Oncology

Molecular and Clinical Oncology

International journal addressing all aspects of oncology research, from tumorigenesis and oncogenes to chemotherapy and metastasis.

World Academy of Sciences Journal

World Academy of Sciences Journal

Multidisciplinary open-access journal spanning biochemistry, genetics, neuroscience, environmental health, and synthetic biology.

International Journal of Functional Nutrition

International Journal of Functional Nutrition

Open-access journal combining biochemistry, pharmacology, immunology, and genetics to advance health through functional nutrition.

International Journal of Epigenetics

International Journal of Epigenetics

Publishes open-access research on using epigenetics to advance understanding and treatment of human disease.

Medicine International

Medicine International

An International Open Access Journal Devoted to General Medicine.

Journal Cover
October 2014 Volume 8 Issue 4

Full Size Image

Sign up for eToc alerts
Recommend to Library

  • Article
  • Citations
    • Cite This Article
    • Download Citation
    • Create Citation Alert
    • Remove Citation Alert
    • Cited By
  • Similar Articles
    • Related Articles (in Spandidos Publications)
    • Similar Articles (Google Scholar)
    • Similar Articles (PubMed)
  • Download PDF
  • Download XML
  • View XML
Article Open Access

46,XY female sex reversal syndrome with bilateral gonadoblastoma and dysgerminoma

  • Authors:
    • Xue Du
    • Xuhong Zhang
    • Yongmei Li
    • Yukun Han
  • View Affiliations / Copyright

    Affiliations: Department of Obstetrics and Gynecology, General Hospital, Tianjin Medical University, Tianjin 300052, P.R. China, Department of Microbiology and Immunology, Tianjin Medical University, Tianjin 300070, P.R. China
  • Pages: 1102-1104
    |
    Published online on: August 19, 2014
       https://doi.org/10.3892/etm.2014.1922
  • Expand metrics +
Metrics: Total Views: 0 (Spandidos Publications: | PMC Statistics: )
Metrics: Total PDF Downloads: 0 (Spandidos Publications: | PMC Statistics: )
Cited By (CrossRef): 0 citations Loading Articles...

This article is mentioned in:



Abstract

Sex reversal syndrome is a rare congenital condition of complete or disordered gonadal development leading to discordance between the genetic, gonadal and phenotypic sexes, including 46,XX and 46,XY. The gonadoblastoma on the Y‑chromosome (GBY) region is associated with an increased risk of developing type II germ cell tumors/cancer. The present study reports a unique case of a phenotypically normal female (age 17 years), presenting with primary amenorrhea and later diagnosed with 46,XY female sex reversal syndrome. Following bilateral gonadectomy, bilateral gonadoblastoma and dysgerminoma were diagnosed. Thus, estrogen replacement therapy was administered periodically to promote the development of secondary sexual characteristics and menstruation, and to prevent osteoporosis. A four year follow‑up showed no tumor recurrence and a regular menstrual cycle in this patient.

Introduction

The 46,XY sex reversal syndrome (SRS) is characterized by a 46,XY karyotype, normal female external genitalia, completely undeveloped (‘streak’) gonads, no sperm production and the presence of normal Müllerian structures. The syndrome occurs with an estimated incidence of 1:5,000 (1). Individuals with an underlying SRS, particularly those with specific Y chromosomal material in their karyotype, have an increased risk of developing a type II germ cell tumor/cancer (GCC) (1). GCCs arise from primordial germ cells or gonocytes and may be subdivided into seminomas/dysgerminomas and non-seminomas with carcinoma in situ or gonadoblastomas as precursor lesions (2). This study presents a unique case with bilateral gonadoblastoma and dysgerminoma in a girl presenting with primary amenorrhea at the age of 17 years, who was initially diagnosed with 46,XY SRS.

Case report

A 17-year-old girl was admitted to the General Hospital of Tianjin Medical University (Tianjin, China) with no menarche and continuous height growth. The patient was treated with artificial estrogen and progesterone to induce an artificial menstrual cycle for two months, but only a small amount of pink secretion was observed in the vagina. The patient was born following a full-term normal delivery to non-consanguineous parents, and her mother denied the use of any sex hormone drugs or exposure to radioactive substances during pregnancy. The younger brother of the patient exhibited a normal phenotype. Physical examination showed that the patient had relatively long upper extremities, and the arm span was greater than the height of the patient. The patient exhibited a female appearance and voice, with little subcutaneous fat, no beard or laryngeal prominence, and hypoplastic breasts with a light areola. No palpable mass was identified in the groin or labia majora. The patient exhibited female external genitalia, with normal labia majora and minora, sparse pubic hair and a visible vaginal orifice. The anal examination showed a small uterus, a mass of ~4.0×3.0 cm in the right adnexa, and another mass of ~3.0×3.0 cm in the left adnexa, both of which were hard and mobile. The B-mode ultrasound showed an infantile uterus, the endometrium appeared as a thin echogenic line, and the masses in the adnexa were non-homogeneous measuring ~45×15 mm (right) and ~33×14 mm (left), respectively. Serum sex hormone analysis revealed that the follicle-stimulating hormone level was 104.5 IU/l, the luteinizing hormone level was 43.1 IU/l, the estradiol level was <10 pg/ml and the testosterone level was 55 ng/dl. The patient exhibited a slightly higher level of serum testosterone than normal and a low level of serum estrogen. Peripheral blood chromosome analysis showed the 46,XY karyotype. No gene deletions were detected at sY84, sY86, sY127, sY134, sY254 and sY255 of the sex determining region Y (SRY) gene. The patient was diagnosed with 46,XY female SRS, simple gonadal dysgenesis and unclear bilateral gonadal mass.

During the laparotomy, the small uterus was apparent with a size of 5.0×5.0 cm. The right gonad measured 4.0×3.0×3.0 cm, had an ovary-like appearance with a complete capsule, and was white, smooth and hard in texture; while the left gonad measured 3.0×3.0×3.0 cm and had a similar appearance to the right gonad. The uterine tubes were narrow. No testes or associated tissues were identified in the region between the superficial and deep inguinal rings and the urinary bladder, and the bifurcation of the common iliac artery. Bilateral gonadectomy was performed for simple gonadal dysgenesis. The patient was then pathologically diagnosed with bilateral ovarian gonadoblastoma and right dysgerminoma. The patient was genetically male due to her 46,XY karyotype, but socially and psychologically female in every respect; thus, an important aspect of postoperative treatment was to maintain the female characteristics. Estrogen (Premarin) and medroxyprogesterone acetate replacement therapy was administered. A four year follow-up showed that the patient treated with a sequential therapy of estrogen and progesterone had a regular menstrual cycle and no tumor recurrence.

This study was approved by the Ethics committee of Tianjin Medical University (Tianjin, China) and patient informed consent was obtained.

Discussion

Although the genetic sex of an individual is determined at fertilization, it is at the embryonic stage that the sexual differentiation of the reproductive system begins. The primordial gonad is bipotential and can differentiate into a testis or an ovary, depending on the SRY gene located in the short arm of the Y-chromosome. The absence of SRY permits the bipotential gonad to differentiate into an ovary at the eighth week of the embryo, leading to the female phenotype. The mutation, deletion or translocation of SRY can affect the binding of the SRY proteins with DNA, and consequently contribute to sex reversal (3). In the present case, the patient with a positive SRY gene on the Y-chromosome had no testes, but had an ovarian cortex and hypoplastic female external genitalia. This finding indicates that the SRY gene is not the only gene responsible for testis development, and there may be other genes besides the SRY gene involved as well (4). Duplication of the DAX1 (also known as NR0B1) and WNT4 genes, as well as haploinsufficiency of the SOX9, SF1, WT1 and DMRT1-DMRT2 genes, have been considered responsible for the development of 46,XY sex reversal (5,6) and therefore the SRY gene does not play a significant role in the etiology of the disease in this case. No gene deletions including sY84, sY86, sY127, sY134, sY254 and sY255 loci of the SRY gene were detected; future studies are required to focus on other loci of the SRY gene. Although no genetic abnormality was detected in this patient, there may be abnormalities in the content and function of SRY protein, which may result in the lack of testis development and the lack of secretion of testosterone and Müllerian-inhibiting factor. As a result, the Wolffian duct degenerates and does not differentiate into the male reproductive tract. By contrast, in the absence of Müllerian-inhibiting factor, the Müllerian duct differentiates into the oviducts, uterus, cervix and upper vagina. However, such female patients without the presence of XX chromosomes do not have a properly developed uterus or ovary, which is characterized by primary amenorrhea, high height, poorly developed secondary sex characteristics and external genitalia. The discordance between chromosomal and gonadal sex is determined as SRS (4), including 46,XX male and 46,XY female SRS.

The undeveloped primordial gonad does not have a normal physiological function, and thus has a potential risk of malignancy. Patients with chromosomal disorders of sex development (DSD) that have specific Y-chromosomal material in their karyotype, the gonadoblastoma on the Y-chromosome (GBY) region, have an increased risk of developing GCC (7). GCC risk varies, but is estimated to be >30% in patients with simple gonadal dysgenesis and is often bilateral (8).

GCC may be induced by the interaction of abnormal streak gonads with the intra-abdominal environment, or by gene mutation. As a result, gonadectomy should be performed on the diseased side or bilaterally for prophylactic purposes. In the present case, the patient received bilateral gonadectomy. Fig. 1 shows the pathological features of the ovarian gonadoblastoma: the supporting cells and granular cells are arranged around the gonadoblastoma nests, and the mixed cells are at the center of the nests. It is also noted that the intercellular substance is calcified, and thus the section is off-white or grayish yellow, like sandstone. Gonadoblastoma can be either in a pure form or mixed with other germ cell tumors. In 50–60% of cases gonadoblastomas are associated with malignant germ cell tumours, most presented as pure dysgerminom or less frequently as immature teratoma, Yolk sac tumour (9). The mixed gonadoblastoma is potentially malignant and has a poor prognosis. In the present case, the patient was diagnosed as having stage-Ia gonadoblastoma mixed with malignant dysgerminoma in the right ovary, and pure benign gonadoblastoma in the left ovary, as shown in Fig. 2. Follow-up was performed at a fixed interval. In this case, although the chromosomal sex of the SRS patient was male, the patient had female external genitalia and had been living as a female in the preceding years. Thus, estrogen replacement therapy was administered periodically to promote the development of secondary sexual characteristics and menstruation, and at the same time, measures were taken to prevent osteoporosis. It allowed the patient to have a more regular menstrual cycle, and the four year follow-up showed no tumor recurrence.

Figure 1

Gonadoblastoma (magnification, ×400; hematoxylin and eosin staining). The tumor cells, round or ovoid in shape, form nests that vary greatly in size. The nests are surrounded by fibrous connective tissue and have distinct borders. At the center of the nest are large and round germ cells with abundant transparent cytoplasm and deeply stained nucleus. The supporting cells and granular cells, small in size and spindle or ovoid in shape, are arranged in clusters around the nests.

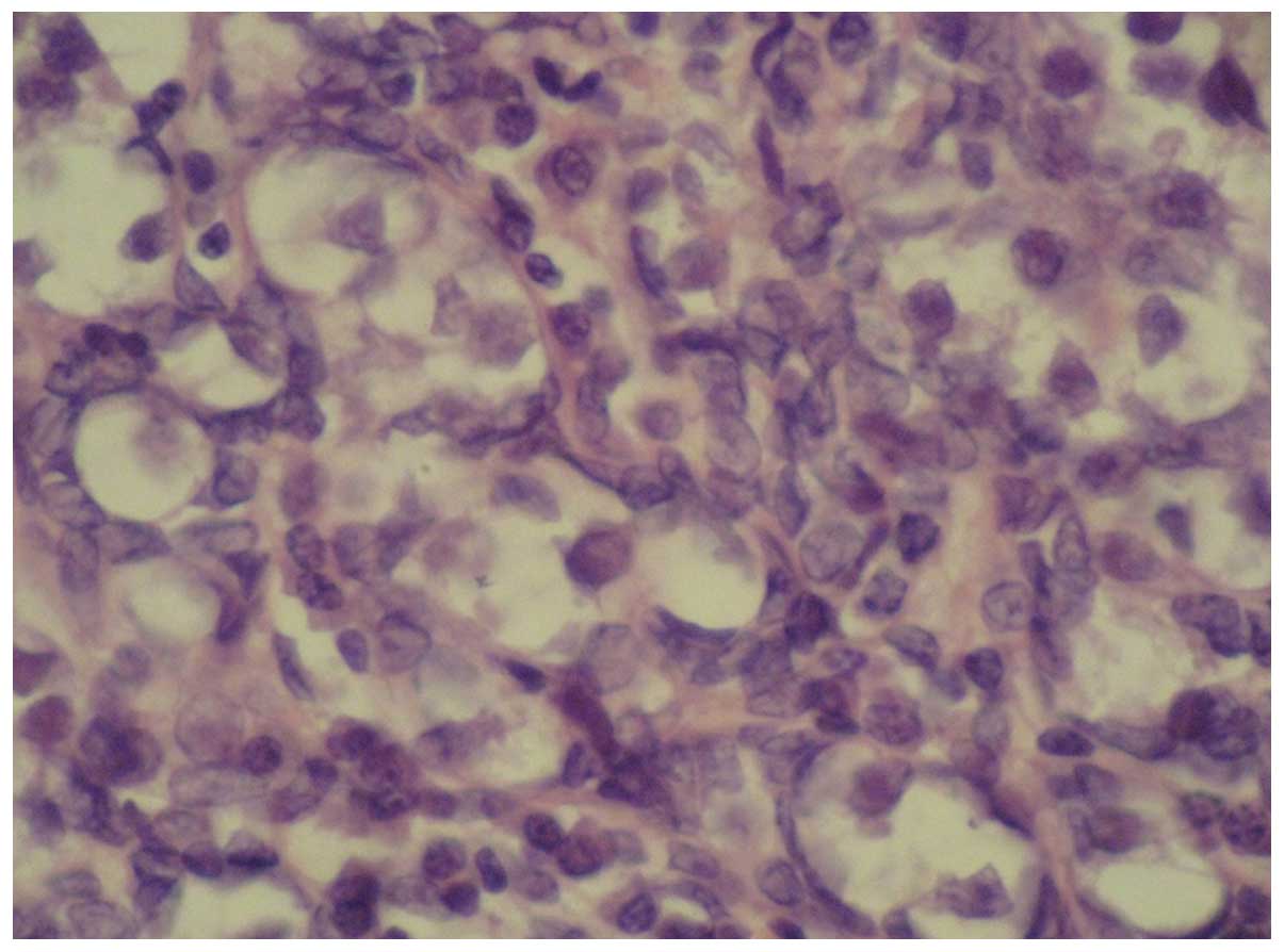
Figure 2

Dysgerminoma (magnification, ×400, hematoxylin and eosin staining). The tumor cells are large in size and round or ovoid in shape, and have distinct borders. The nucleus at the center of the cell is large and round, and nuclear division is often observed. There is abundant transparent cytoplasm. Lymphocyte infiltration is observed in the connective tissue.

Acknowledgements

This study was supported by the National Natural Science Foundation of China (grant nos. 81303108 and 81201871).

References

1 

Hughes IA, Houk C, Ahmed SF and Lee PA: Consensus statement on management of intersex disorders. Arch Dis Child. 91:554–563. 2006. View Article : Google Scholar : PubMed/NCBI

2 

Hersmus R, de Leeuw BH, Wolffenbuttel KP, et al: New insights into type II germ cell tumor pathogenesis based on studies of patients with various forms of disorders of sex development (DSD). Mol Cell Endocrinol. 291:1–10. 2008. View Article : Google Scholar : PubMed/NCBI

3 

Wu GF, Jin RL and Jia HP: Diagnosis of the missense mutation of SRY gene in a patient with 46XY female sex reverse. Medical & Pharmaceutical Journal of Chinese People’s Liberation Army. 23:4–6. 2011.(In Chinese).

4 

Bao MS, Wu XB, Chen SH, et al: Analysis of SRY gene in patients with sex reversal syndrome. The Journal of Practical Medicine. 23:348–350. 2007.(In Chinese).

5 

Sukumaran A, Desmangles JC, Gartner LA and Buchlis J: Duplication of dosage sensitive sex reversal area in a 46, XY patient with normal sex determining region of Y causing complete sex reversal. J Pediatr Endocrinol Metab. 26:775–779. 2013. View Article : Google Scholar : PubMed/NCBI

6 

Domenice S, Corrêa RV, Costa EM, et al: Mutations in the SRY, DAX1, SF1 and WNT4 genes in Brazilian sex-reversed patients. Braz J Med Biol Res. 37:145–150. 2004. View Article : Google Scholar : PubMed/NCBI

7 

Hersmus R, Stoop H, Turbitt E, et al: SRY mutation analysis by next generation (deep) sequencing in a cohort of chromosomal Disorders of Sex Development (DSD) patients with a mosaic karyotype. BMC Med Genet. 13:1082012. View Article : Google Scholar : PubMed/NCBI

8 

Cools M, Drop SL, Wolffenbuttel KP, Oosterhuis JW and Looijenga LH: Germ cell tumors in the intersex gonad: old paths, new directions, moving frontiers. Endocr Rev. 27:468–484. 2006. View Article : Google Scholar : PubMed/NCBI

9 

Kanagal DV, Prasad K, Rajesh A, et al: Ovarian gonadoblastoma with dysgerminoma in a young girl with 46, XX Karyotype: A Case Report. J Clin Diagn Res. 9:2021–2022. 2013.PubMed/NCBI

Related Articles

  • Abstract
  • View
  • Download
  • Twitter
Copy and paste a formatted citation
Spandidos Publications style
Du X, Zhang X, Li Y and Han Y: 46,XY female sex reversal syndrome with bilateral gonadoblastoma and dysgerminoma. Exp Ther Med 8: 1102-1104, 2014.
APA
Du, X., Zhang, X., Li, Y., & Han, Y. (2014). 46,XY female sex reversal syndrome with bilateral gonadoblastoma and dysgerminoma. Experimental and Therapeutic Medicine, 8, 1102-1104. https://doi.org/10.3892/etm.2014.1922
MLA
Du, X., Zhang, X., Li, Y., Han, Y."46,XY female sex reversal syndrome with bilateral gonadoblastoma and dysgerminoma". Experimental and Therapeutic Medicine 8.4 (2014): 1102-1104.
Chicago
Du, X., Zhang, X., Li, Y., Han, Y."46,XY female sex reversal syndrome with bilateral gonadoblastoma and dysgerminoma". Experimental and Therapeutic Medicine 8, no. 4 (2014): 1102-1104. https://doi.org/10.3892/etm.2014.1922
Copy and paste a formatted citation
x
Spandidos Publications style
Du X, Zhang X, Li Y and Han Y: 46,XY female sex reversal syndrome with bilateral gonadoblastoma and dysgerminoma. Exp Ther Med 8: 1102-1104, 2014.
APA
Du, X., Zhang, X., Li, Y., & Han, Y. (2014). 46,XY female sex reversal syndrome with bilateral gonadoblastoma and dysgerminoma. Experimental and Therapeutic Medicine, 8, 1102-1104. https://doi.org/10.3892/etm.2014.1922
MLA
Du, X., Zhang, X., Li, Y., Han, Y."46,XY female sex reversal syndrome with bilateral gonadoblastoma and dysgerminoma". Experimental and Therapeutic Medicine 8.4 (2014): 1102-1104.
Chicago
Du, X., Zhang, X., Li, Y., Han, Y."46,XY female sex reversal syndrome with bilateral gonadoblastoma and dysgerminoma". Experimental and Therapeutic Medicine 8, no. 4 (2014): 1102-1104. https://doi.org/10.3892/etm.2014.1922
Follow us
  • Twitter
  • LinkedIn
  • Facebook
About
  • Spandidos Publications
  • Careers
  • Cookie Policy
  • Privacy Policy
How can we help?
  • Help
  • Live Chat
  • Contact
  • Email to our Support Team