Spandidos Publications Logo
  • About
    • About Spandidos
    • Aims and Scopes
    • Abstracting and Indexing
    • Editorial Policies
    • Reprints and Permissions
    • Job Opportunities
    • Terms and Conditions
    • Contact
  • Journals
    • All Journals
    • Oncology Letters
      • Oncology Letters
      • Information for Authors
      • Editorial Policies
      • Editorial Board
      • Aims and Scope
      • Abstracting and Indexing
      • Bibliographic Information
      • Archive
    • International Journal of Oncology
      • International Journal of Oncology
      • Information for Authors
      • Editorial Policies
      • Editorial Board
      • Aims and Scope
      • Abstracting and Indexing
      • Bibliographic Information
      • Archive
    • Molecular and Clinical Oncology
      • Molecular and Clinical Oncology
      • Information for Authors
      • Editorial Policies
      • Editorial Board
      • Aims and Scope
      • Abstracting and Indexing
      • Bibliographic Information
      • Archive
    • Experimental and Therapeutic Medicine
      • Experimental and Therapeutic Medicine
      • Information for Authors
      • Editorial Policies
      • Editorial Board
      • Aims and Scope
      • Abstracting and Indexing
      • Bibliographic Information
      • Archive
    • International Journal of Molecular Medicine
      • International Journal of Molecular Medicine
      • Information for Authors
      • Editorial Policies
      • Editorial Board
      • Aims and Scope
      • Abstracting and Indexing
      • Bibliographic Information
      • Archive
    • Biomedical Reports
      • Biomedical Reports
      • Information for Authors
      • Editorial Policies
      • Editorial Board
      • Aims and Scope
      • Abstracting and Indexing
      • Bibliographic Information
      • Archive
    • Oncology Reports
      • Oncology Reports
      • Information for Authors
      • Editorial Policies
      • Editorial Board
      • Aims and Scope
      • Abstracting and Indexing
      • Bibliographic Information
      • Archive
    • Molecular Medicine Reports
      • Molecular Medicine Reports
      • Information for Authors
      • Editorial Policies
      • Editorial Board
      • Aims and Scope
      • Abstracting and Indexing
      • Bibliographic Information
      • Archive
    • World Academy of Sciences Journal
      • World Academy of Sciences Journal
      • Information for Authors
      • Editorial Policies
      • Editorial Board
      • Aims and Scope
      • Abstracting and Indexing
      • Bibliographic Information
      • Archive
    • International Journal of Functional Nutrition
      • International Journal of Functional Nutrition
      • Information for Authors
      • Editorial Policies
      • Editorial Board
      • Aims and Scope
      • Abstracting and Indexing
      • Bibliographic Information
      • Archive
    • International Journal of Epigenetics
      • International Journal of Epigenetics
      • Information for Authors
      • Editorial Policies
      • Editorial Board
      • Aims and Scope
      • Abstracting and Indexing
      • Bibliographic Information
      • Archive
    • Medicine International
      • Medicine International
      • Information for Authors
      • Editorial Policies
      • Editorial Board
      • Aims and Scope
      • Abstracting and Indexing
      • Bibliographic Information
      • Archive
  • Articles
  • Information
    • Information for Authors
    • Information for Reviewers
    • Information for Librarians
    • Information for Advertisers
    • Conferences
  • Language Editing
Spandidos Publications Logo
  • About
    • About Spandidos
    • Aims and Scopes
    • Abstracting and Indexing
    • Editorial Policies
    • Reprints and Permissions
    • Job Opportunities
    • Terms and Conditions
    • Contact
  • Journals
    • All Journals
    • Biomedical Reports
      • Information for Authors
      • Editorial Policies
      • Editorial Board
      • Aims and Scope
      • Abstracting and Indexing
      • Bibliographic Information
      • Archive
    • Experimental and Therapeutic Medicine
      • Information for Authors
      • Editorial Policies
      • Editorial Board
      • Aims and Scope
      • Abstracting and Indexing
      • Bibliographic Information
      • Archive
    • International Journal of Epigenetics
      • Information for Authors
      • Editorial Policies
      • Editorial Board
      • Aims and Scope
      • Abstracting and Indexing
      • Bibliographic Information
      • Archive
    • International Journal of Functional Nutrition
      • Information for Authors
      • Editorial Policies
      • Editorial Board
      • Aims and Scope
      • Abstracting and Indexing
      • Bibliographic Information
      • Archive
    • International Journal of Molecular Medicine
      • Information for Authors
      • Editorial Policies
      • Editorial Board
      • Aims and Scope
      • Abstracting and Indexing
      • Bibliographic Information
      • Archive
    • International Journal of Oncology
      • Information for Authors
      • Editorial Policies
      • Editorial Board
      • Aims and Scope
      • Abstracting and Indexing
      • Bibliographic Information
      • Archive
    • Medicine International
      • Information for Authors
      • Editorial Policies
      • Editorial Board
      • Aims and Scope
      • Abstracting and Indexing
      • Bibliographic Information
      • Archive
    • Molecular and Clinical Oncology
      • Information for Authors
      • Editorial Policies
      • Editorial Board
      • Aims and Scope
      • Abstracting and Indexing
      • Bibliographic Information
      • Archive
    • Molecular Medicine Reports
      • Information for Authors
      • Editorial Policies
      • Editorial Board
      • Aims and Scope
      • Abstracting and Indexing
      • Bibliographic Information
      • Archive
    • Oncology Letters
      • Information for Authors
      • Editorial Policies
      • Editorial Board
      • Aims and Scope
      • Abstracting and Indexing
      • Bibliographic Information
      • Archive
    • Oncology Reports
      • Information for Authors
      • Editorial Policies
      • Editorial Board
      • Aims and Scope
      • Abstracting and Indexing
      • Bibliographic Information
      • Archive
    • World Academy of Sciences Journal
      • Information for Authors
      • Editorial Policies
      • Editorial Board
      • Aims and Scope
      • Abstracting and Indexing
      • Bibliographic Information
      • Archive
  • Articles
  • Information
    • For Authors
    • For Reviewers
    • For Librarians
    • For Advertisers
    • Conferences
  • Language Editing
Login Register Submit
  • This site uses cookies
  • You can change your cookie settings at any time by following the instructions in our Cookie Policy. To find out more, you may read our Privacy Policy.

    I agree
Search articles by DOI, keyword, author or affiliation
Search
Advanced Search
presentation
Experimental and Therapeutic Medicine
Join Editorial Board Propose a Special Issue
Print ISSN: 1792-0981 Online ISSN: 1792-1015
Journal Cover
November-2014 Volume 8 Issue 5

Full Size Image

Sign up for eToc alerts
Recommend to Library

Journals

International Journal of Molecular Medicine

International Journal of Molecular Medicine

International Journal of Molecular Medicine is an international journal devoted to molecular mechanisms of human disease.

International Journal of Oncology

International Journal of Oncology

International Journal of Oncology is an international journal devoted to oncology research and cancer treatment.

Molecular Medicine Reports

Molecular Medicine Reports

Covers molecular medicine topics such as pharmacology, pathology, genetics, neuroscience, infectious diseases, molecular cardiology, and molecular surgery.

Oncology Reports

Oncology Reports

Oncology Reports is an international journal devoted to fundamental and applied research in Oncology.

Experimental and Therapeutic Medicine

Experimental and Therapeutic Medicine

Experimental and Therapeutic Medicine is an international journal devoted to laboratory and clinical medicine.

Oncology Letters

Oncology Letters

Oncology Letters is an international journal devoted to Experimental and Clinical Oncology.

Biomedical Reports

Biomedical Reports

Explores a wide range of biological and medical fields, including pharmacology, genetics, microbiology, neuroscience, and molecular cardiology.

Molecular and Clinical Oncology

Molecular and Clinical Oncology

International journal addressing all aspects of oncology research, from tumorigenesis and oncogenes to chemotherapy and metastasis.

World Academy of Sciences Journal

World Academy of Sciences Journal

Multidisciplinary open-access journal spanning biochemistry, genetics, neuroscience, environmental health, and synthetic biology.

International Journal of Functional Nutrition

International Journal of Functional Nutrition

Open-access journal combining biochemistry, pharmacology, immunology, and genetics to advance health through functional nutrition.

International Journal of Epigenetics

International Journal of Epigenetics

Publishes open-access research on using epigenetics to advance understanding and treatment of human disease.

Medicine International

Medicine International

An International Open Access Journal Devoted to General Medicine.

Journal Cover
November-2014 Volume 8 Issue 5

Full Size Image

Sign up for eToc alerts
Recommend to Library

  • Article
  • Citations
    • Cite This Article
    • Download Citation
    • Create Citation Alert
    • Remove Citation Alert
    • Cited By
  • Similar Articles
    • Related Articles (in Spandidos Publications)
    • Similar Articles (Google Scholar)
    • Similar Articles (PubMed)
  • Download PDF
  • Download XML
  • View XML
Article Open Access

Effect of Hyssopus officinalis L. on inhibiting airway inflammation and immune regulation in a chronic asthmatic mouse model

  • Authors:
    • Xiaojuan Ma
    • Xiumin Ma
    • Zhixing Ma
    • Jing Wang
    • Zhan Sun
    • Wenyan Yu
    • Fengsen Li
    • Jianbing Ding
  • View Affiliations / Copyright

    Affiliations: Xinjiang National Clinical Research Base of Traditional Chinese Medicine, Xinjiang Medical University, Ürümqi, Xinjiang 830011, P.R. China, Department of Clinical Laboratory, First Affiliated Hospital of Xinjiang Medical University, Ürümqi, Xinjiang 830054, P.R. China, Ürümqi General Hospital of Lanzhou Military Area Command, Ürümqi, Xinjiang 830000, P.R. China, Department of Immunology, College of Basic Medicine, Ürümqi, Xinjiang 830011, P.R. China
  • Pages: 1371-1374
    |
    Published online on: September 18, 2014
       https://doi.org/10.3892/etm.2014.1978
  • Expand metrics +
Metrics: Total Views: 0 (Spandidos Publications: | PMC Statistics: )
Metrics: Total PDF Downloads: 0 (Spandidos Publications: | PMC Statistics: )
Cited By (CrossRef): 0 citations Loading Articles...

This article is mentioned in:



Abstract

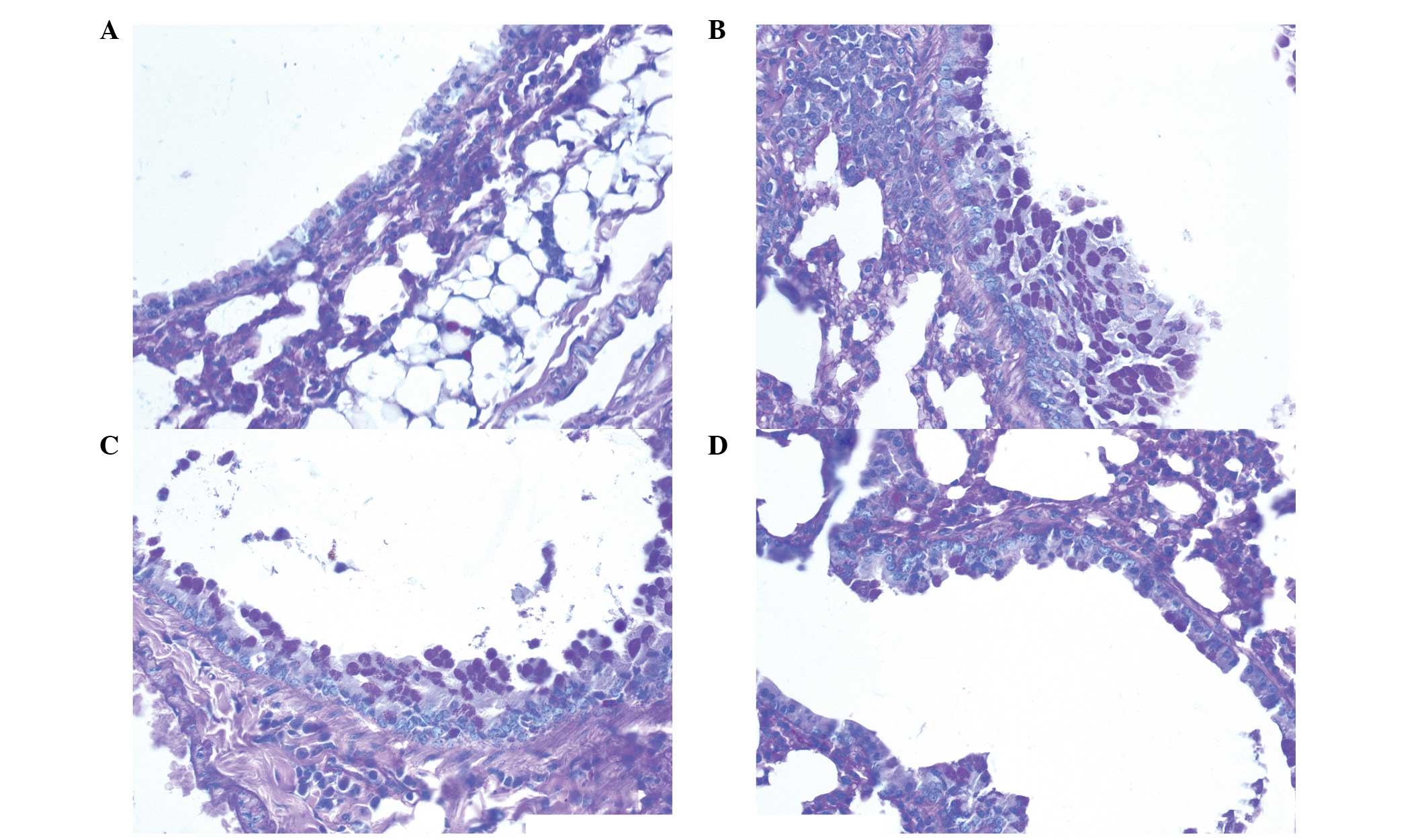
The Uygur herb, Hyssopus officinalis L., has been demonstrated to affect the levels of a number of cytokines in asthmatic mice, including interleukin‑4, ‑6 and ‑17 and interferon‑γ. In the present study, the effect of Hyssopus officinalis L. on airway immune regulation and airway inflammation was investigated in a mouse model of chronic asthma. A total of 32 BALB/c mice were randomly divided into four groups, which included the normal, chronic asthmatic, dexamethasone treatment and Hyssopus officinalis L. treatment groups. Mice were sensitized and challenged with ovalbumin to establish an asthma model and the ratio of eosinophils (EOS) in the bronchoalveolar lavage fluid (BALF) was determined. In addition, the levels of immunoglobulin (Ig)E and IgG were detected using an enzyme‑linked immunosorbent assay. The degree of airway mucus secretion was observed using the periodic acid‑Schiff stain method. The results demonstrated that the ratio of EOS in the BALF and the level of serum IgE in the chronic asthmatic and dexamethasone treatment groups increased, while the level of serum IgG decreased, when compared with the normal group. In addition, excessive secretion of airway mucus was observed in these two groups. However, the EOS ratio in the BALF and the levels of serum IgE and IgG in the Hyssopus officinalis L. treatment group were similar to the results observed in the normal group. In conclusion, Hyssopus officinalis L. not only plays an anti‑inflammatory role by inhibiting the invasion of EOS and decreasing the levels of IgE, but also affects immune regulation.
View Figures

Figure 1

Figure 2

Figure 3

Figure 4

View References

1 

Lemanske RF Jr and Busse WW: Asthma: clinical expression and molecular mechanisms. J Allergy Clin Immunol. 125(Suppl 2): S95–S102. 2010. View Article : Google Scholar : PubMed/NCBI

2 

Herrick CA and Bottomly K: To respond or not to respond: T cells in allergic asthma. Nat Rev Immunol. 3:405–412. 2003. View Article : Google Scholar : PubMed/NCBI

3 

Wei M, Chu X, Guan M, et al: Protocatechuicacid suppresses ovalbumin-induced airway inflammation in a mouse allergic asthma model. Int Immunopharmacol. 4:780–788. 2013. View Article : Google Scholar : PubMed/NCBI

4 

Wang W, Huang KW, Wu BM, Wang YJ and Wang C: Correlation of eosinophil counts in induced sputum and fractional concentration of exhaled nitric oxide and lung functions in patients with mild to moderate asthma. Chin Med J (Engl). 125:3157–3160. 2012.PubMed/NCBI

5 

Hannah JG and Sutton BJ: IgE in allergy and asthma today. Nat Rev Immunol. 8:205–217. 2008. View Article : Google Scholar

6 

Rogers DF: Airway mucus hypersecretion in asthma: an undervalued pathology? Curr Opin Pharmacol. 4:241–250. 2004. View Article : Google Scholar : PubMed/NCBI

7 

Zhao KZ, Lu JR, Zhang YF, et al: Changes of the levels of interleukin-13 and total immunoglobulin E in children with asthma. Jilin Da Xue Xue Bao Yi Xue Ban. 29:212–213. 2003.(In Chinese).

8 

Wang YN, Ma J, Ma XM, et al: Effects of Uygur herb Hyssopus officinalis L. on cytokines in allergic asthma mice. Shanghai Zhong Yiyao Daxue Xuebao. 22:58–60. 2008.

9 

Hou M, Zhu M, Ma XM, et al: Effects of Uygur medicine Hyssopus officinalis L. on serum IL-17 level and balance of Th1/Th2 of asthma rats. Zhongguo Xian Dai Yi Xue Za Zhi. 20:365–368. 2010.(In Chinese).

10 

Hou M, Ma XM, Ding JB, et al: Effect of Uygur medicine Hyssopus officinalis L. on serum eotaxin-2, eotaxin-3 and sP-selectin level of asthma rats. Science & Technology Review. 28:90–93. 2009.

11 

Ma XP, Ma XM, Ding JB, et al: Extraction process of polysaccharide from Hyssopus officinalis. Chin JMAP. 28:437–439. 2011.

12 

Du Q, Zhang Q, Shen L, et al: Effects of astragaloside IV on airway remodeling in a murine model of chronic asthma. Zhongguo Yao Li Xue Tong Bao. 27:1430–1434. 2011.(In Chinese).

13 

Kim MS, Cho KA, Cho YJ and Woo SY: Effects of interleukin-9 blockade on chronic airway inflammation in murine asthma models. Allergy Asthma Immunol Res. 5:197–206. 2013. View Article : Google Scholar : PubMed/NCBI

14 

Chong L, Zhang W, Nie Y, Yu G, Liu L, et al: Protective effect of curcumin on acute airway inflammation of allergic asthma in mice through Notch1–GATA3 signaling pathway. Inflammation. Apr 6–2014.(Epub ahead of print).

15 

Blonder JP, Mutka SC, Sun X, Qiu J, et al: Pharmacologic inhibition of S-nitrosoglutathione reductase protects against experimental asthma in BALB/c mice through attenuation of both bronchoconstriction and inflammation. BMC Pulm Med. 14:32014. View Article : Google Scholar

16 

Asano T, Kume H, Taki F, et al: Thalidomide attenuates airway hyperresponsiveness and eosinophilic inflammation in a murine model of allergic asthma. Biol Pharm Bull. 33:1028–1032. 2010. View Article : Google Scholar : PubMed/NCBI

17 

Lu S, Li C, Ming M and Luo Z: Inhalation of inactivated Mycobacterium phlei down-regulates expression of nuclear factor-kappa B and intercellular adhesion molecule in asthmatic mice. Chinese J Pathophysiol. 30:333–338. 2014.

18 

Zhang W, Zhu T, Wang D, et al: Rosuvastatin attenuates airway inflammation of chronic asthma in mice. Med J West China. 26:150–153. 2014.

19 

Chu Y: Progress in the association of high affinity IgE receptor with asthma. Int J Pediatrics. 38:280–282. 2011.

20 

Stone KD, Prussin C and Metcalfe DD: IgE, mast cells, basophils, and eosinophils. J Allergy Clin Immunol. 125(Suppl 2): S73–S80. 2010. View Article : Google Scholar : PubMed/NCBI

21 

Locksley RM: Asthma and allergic inflammation. Cell. 140:777–783. 2010. View Article : Google Scholar : PubMed/NCBI

22 

Hargreave FE and Nair P: Point: Is measuring sputum eosinophils useful in the management of severe asthma? Yes Chest. 139:1270–1273. 2011. View Article : Google Scholar : PubMed/NCBI

23 

Regina MCPinto, Alberto C, Luciene A, et al: Clinical characteristics and possible phenotypes of an adult severe asthma population. Respir Med. 106:47–56. 2012. View Article : Google Scholar : PubMed/NCBI

24 

Jatakanon A, Lim S, Kharitonov SA, Chung KF and Barnes PJ: Correlation between exhaled nitric oxide, sputum eosinophils, and methacholine responsiveness in patients with mild asthma. Thorax. 53:91–95. 1998. View Article : Google Scholar : PubMed/NCBI

25 

Ichiki H, Hoshino T, Kinoshita T, et al: Thioredoxin suppresses airway hyperresponsiveness and airway inflammation in asthma. Biochem Biophys Res Commun. 334:1141–1148. 2005. View Article : Google Scholar : PubMed/NCBI

26 

Liu YM and Wushati Y: Hyssopus offcinalis L.. J Uygur Med. Xinjiang Science & Technology & Hygiene Publishing House; Ürümqi, China: pp. 423–429. 1999

Related Articles

  • Abstract
  • View
  • Download
  • Twitter
Copy and paste a formatted citation
Spandidos Publications style
Ma X, Ma X, Ma Z, Wang J, Sun Z, Yu W, Li F and Ding J: Effect of Hyssopus officinalis L. on inhibiting airway inflammation and immune regulation in a chronic asthmatic mouse model. Exp Ther Med 8: 1371-1374, 2014.
APA
Ma, X., Ma, X., Ma, Z., Wang, J., Sun, Z., Yu, W. ... Ding, J. (2014). Effect of Hyssopus officinalis L. on inhibiting airway inflammation and immune regulation in a chronic asthmatic mouse model. Experimental and Therapeutic Medicine, 8, 1371-1374. https://doi.org/10.3892/etm.2014.1978
MLA
Ma, X., Ma, X., Ma, Z., Wang, J., Sun, Z., Yu, W., Li, F., Ding, J."Effect of Hyssopus officinalis L. on inhibiting airway inflammation and immune regulation in a chronic asthmatic mouse model". Experimental and Therapeutic Medicine 8.5 (2014): 1371-1374.
Chicago
Ma, X., Ma, X., Ma, Z., Wang, J., Sun, Z., Yu, W., Li, F., Ding, J."Effect of Hyssopus officinalis L. on inhibiting airway inflammation and immune regulation in a chronic asthmatic mouse model". Experimental and Therapeutic Medicine 8, no. 5 (2014): 1371-1374. https://doi.org/10.3892/etm.2014.1978
Copy and paste a formatted citation
x
Spandidos Publications style
Ma X, Ma X, Ma Z, Wang J, Sun Z, Yu W, Li F and Ding J: Effect of Hyssopus officinalis L. on inhibiting airway inflammation and immune regulation in a chronic asthmatic mouse model. Exp Ther Med 8: 1371-1374, 2014.
APA
Ma, X., Ma, X., Ma, Z., Wang, J., Sun, Z., Yu, W. ... Ding, J. (2014). Effect of Hyssopus officinalis L. on inhibiting airway inflammation and immune regulation in a chronic asthmatic mouse model. Experimental and Therapeutic Medicine, 8, 1371-1374. https://doi.org/10.3892/etm.2014.1978
MLA
Ma, X., Ma, X., Ma, Z., Wang, J., Sun, Z., Yu, W., Li, F., Ding, J."Effect of Hyssopus officinalis L. on inhibiting airway inflammation and immune regulation in a chronic asthmatic mouse model". Experimental and Therapeutic Medicine 8.5 (2014): 1371-1374.
Chicago
Ma, X., Ma, X., Ma, Z., Wang, J., Sun, Z., Yu, W., Li, F., Ding, J."Effect of Hyssopus officinalis L. on inhibiting airway inflammation and immune regulation in a chronic asthmatic mouse model". Experimental and Therapeutic Medicine 8, no. 5 (2014): 1371-1374. https://doi.org/10.3892/etm.2014.1978
Follow us
  • Twitter
  • LinkedIn
  • Facebook
About
  • Spandidos Publications
  • Careers
  • Cookie Policy
  • Privacy Policy
How can we help?
  • Help
  • Live Chat
  • Contact
  • Email to our Support Team