Spandidos Publications Logo
  • About
    • About Spandidos
    • Aims and Scopes
    • Abstracting and Indexing
    • Editorial Policies
    • Reprints and Permissions
    • Job Opportunities
    • Terms and Conditions
    • Contact
  • Journals
    • All Journals
    • Oncology Letters
      • Oncology Letters
      • Information for Authors
      • Editorial Policies
      • Editorial Board
      • Aims and Scope
      • Abstracting and Indexing
      • Bibliographic Information
      • Archive
    • International Journal of Oncology
      • International Journal of Oncology
      • Information for Authors
      • Editorial Policies
      • Editorial Board
      • Aims and Scope
      • Abstracting and Indexing
      • Bibliographic Information
      • Archive
    • Molecular and Clinical Oncology
      • Molecular and Clinical Oncology
      • Information for Authors
      • Editorial Policies
      • Editorial Board
      • Aims and Scope
      • Abstracting and Indexing
      • Bibliographic Information
      • Archive
    • Experimental and Therapeutic Medicine
      • Experimental and Therapeutic Medicine
      • Information for Authors
      • Editorial Policies
      • Editorial Board
      • Aims and Scope
      • Abstracting and Indexing
      • Bibliographic Information
      • Archive
    • International Journal of Molecular Medicine
      • International Journal of Molecular Medicine
      • Information for Authors
      • Editorial Policies
      • Editorial Board
      • Aims and Scope
      • Abstracting and Indexing
      • Bibliographic Information
      • Archive
    • Biomedical Reports
      • Biomedical Reports
      • Information for Authors
      • Editorial Policies
      • Editorial Board
      • Aims and Scope
      • Abstracting and Indexing
      • Bibliographic Information
      • Archive
    • Oncology Reports
      • Oncology Reports
      • Information for Authors
      • Editorial Policies
      • Editorial Board
      • Aims and Scope
      • Abstracting and Indexing
      • Bibliographic Information
      • Archive
    • Molecular Medicine Reports
      • Molecular Medicine Reports
      • Information for Authors
      • Editorial Policies
      • Editorial Board
      • Aims and Scope
      • Abstracting and Indexing
      • Bibliographic Information
      • Archive
    • World Academy of Sciences Journal
      • World Academy of Sciences Journal
      • Information for Authors
      • Editorial Policies
      • Editorial Board
      • Aims and Scope
      • Abstracting and Indexing
      • Bibliographic Information
      • Archive
    • International Journal of Functional Nutrition
      • International Journal of Functional Nutrition
      • Information for Authors
      • Editorial Policies
      • Editorial Board
      • Aims and Scope
      • Abstracting and Indexing
      • Bibliographic Information
      • Archive
    • International Journal of Epigenetics
      • International Journal of Epigenetics
      • Information for Authors
      • Editorial Policies
      • Editorial Board
      • Aims and Scope
      • Abstracting and Indexing
      • Bibliographic Information
      • Archive
    • Medicine International
      • Medicine International
      • Information for Authors
      • Editorial Policies
      • Editorial Board
      • Aims and Scope
      • Abstracting and Indexing
      • Bibliographic Information
      • Archive
  • Articles
  • Information
    • Information for Authors
    • Information for Reviewers
    • Information for Librarians
    • Information for Advertisers
    • Conferences
  • Language Editing
Spandidos Publications Logo
  • About
    • About Spandidos
    • Aims and Scopes
    • Abstracting and Indexing
    • Editorial Policies
    • Reprints and Permissions
    • Job Opportunities
    • Terms and Conditions
    • Contact
  • Journals
    • All Journals
    • Biomedical Reports
      • Information for Authors
      • Editorial Policies
      • Editorial Board
      • Aims and Scope
      • Abstracting and Indexing
      • Bibliographic Information
      • Archive
    • Experimental and Therapeutic Medicine
      • Information for Authors
      • Editorial Policies
      • Editorial Board
      • Aims and Scope
      • Abstracting and Indexing
      • Bibliographic Information
      • Archive
    • International Journal of Epigenetics
      • Information for Authors
      • Editorial Policies
      • Editorial Board
      • Aims and Scope
      • Abstracting and Indexing
      • Bibliographic Information
      • Archive
    • International Journal of Functional Nutrition
      • Information for Authors
      • Editorial Policies
      • Editorial Board
      • Aims and Scope
      • Abstracting and Indexing
      • Bibliographic Information
      • Archive
    • International Journal of Molecular Medicine
      • Information for Authors
      • Editorial Policies
      • Editorial Board
      • Aims and Scope
      • Abstracting and Indexing
      • Bibliographic Information
      • Archive
    • International Journal of Oncology
      • Information for Authors
      • Editorial Policies
      • Editorial Board
      • Aims and Scope
      • Abstracting and Indexing
      • Bibliographic Information
      • Archive
    • Medicine International
      • Information for Authors
      • Editorial Policies
      • Editorial Board
      • Aims and Scope
      • Abstracting and Indexing
      • Bibliographic Information
      • Archive
    • Molecular and Clinical Oncology
      • Information for Authors
      • Editorial Policies
      • Editorial Board
      • Aims and Scope
      • Abstracting and Indexing
      • Bibliographic Information
      • Archive
    • Molecular Medicine Reports
      • Information for Authors
      • Editorial Policies
      • Editorial Board
      • Aims and Scope
      • Abstracting and Indexing
      • Bibliographic Information
      • Archive
    • Oncology Letters
      • Information for Authors
      • Editorial Policies
      • Editorial Board
      • Aims and Scope
      • Abstracting and Indexing
      • Bibliographic Information
      • Archive
    • Oncology Reports
      • Information for Authors
      • Editorial Policies
      • Editorial Board
      • Aims and Scope
      • Abstracting and Indexing
      • Bibliographic Information
      • Archive
    • World Academy of Sciences Journal
      • Information for Authors
      • Editorial Policies
      • Editorial Board
      • Aims and Scope
      • Abstracting and Indexing
      • Bibliographic Information
      • Archive
  • Articles
  • Information
    • For Authors
    • For Reviewers
    • For Librarians
    • For Advertisers
    • Conferences
  • Language Editing
Login Register Submit
  • This site uses cookies
  • You can change your cookie settings at any time by following the instructions in our Cookie Policy. To find out more, you may read our Privacy Policy.

    I agree
Search articles by DOI, keyword, author or affiliation
Search
Advanced Search
presentation
Experimental and Therapeutic Medicine
Join Editorial Board Propose a Special Issue
Print ISSN: 1792-0981 Online ISSN: 1792-1015
Journal Cover
May-2015 Volume 9 Issue 5

Full Size Image

Sign up for eToc alerts
Recommend to Library

Journals

International Journal of Molecular Medicine

International Journal of Molecular Medicine

International Journal of Molecular Medicine is an international journal devoted to molecular mechanisms of human disease.

International Journal of Oncology

International Journal of Oncology

International Journal of Oncology is an international journal devoted to oncology research and cancer treatment.

Molecular Medicine Reports

Molecular Medicine Reports

Covers molecular medicine topics such as pharmacology, pathology, genetics, neuroscience, infectious diseases, molecular cardiology, and molecular surgery.

Oncology Reports

Oncology Reports

Oncology Reports is an international journal devoted to fundamental and applied research in Oncology.

Experimental and Therapeutic Medicine

Experimental and Therapeutic Medicine

Experimental and Therapeutic Medicine is an international journal devoted to laboratory and clinical medicine.

Oncology Letters

Oncology Letters

Oncology Letters is an international journal devoted to Experimental and Clinical Oncology.

Biomedical Reports

Biomedical Reports

Explores a wide range of biological and medical fields, including pharmacology, genetics, microbiology, neuroscience, and molecular cardiology.

Molecular and Clinical Oncology

Molecular and Clinical Oncology

International journal addressing all aspects of oncology research, from tumorigenesis and oncogenes to chemotherapy and metastasis.

World Academy of Sciences Journal

World Academy of Sciences Journal

Multidisciplinary open-access journal spanning biochemistry, genetics, neuroscience, environmental health, and synthetic biology.

International Journal of Functional Nutrition

International Journal of Functional Nutrition

Open-access journal combining biochemistry, pharmacology, immunology, and genetics to advance health through functional nutrition.

International Journal of Epigenetics

International Journal of Epigenetics

Publishes open-access research on using epigenetics to advance understanding and treatment of human disease.

Medicine International

Medicine International

An International Open Access Journal Devoted to General Medicine.

Journal Cover
May-2015 Volume 9 Issue 5

Full Size Image

Sign up for eToc alerts
Recommend to Library

  • Article
  • Citations
    • Cite This Article
    • Download Citation
    • Create Citation Alert
    • Remove Citation Alert
    • Cited By
  • Similar Articles
    • Related Articles (in Spandidos Publications)
    • Similar Articles (Google Scholar)
    • Similar Articles (PubMed)
  • Download PDF
  • Download XML
  • View XML
Case Report

Fahr's disease in two siblings in a family: A case report

  • Authors:
    • Hong Wang
    • Bei Shao
    • Liuqing Wang
    • Qiang Ye
  • View Affiliations / Copyright

    Affiliations: Department of Neurology, The First Affiliated Hospital of Wenzhou Medical University, Wenzhou, Zhejiang 325015, P.R. China, Department of Neurology, Gaochun People's Hospital, Nanjing, Jiangsu 211300, P.R. China
  • Pages: 1931-1933
    |
    Published online on: March 16, 2015
       https://doi.org/10.3892/etm.2015.2356
  • Expand metrics +
Metrics: Total Views: 0 (Spandidos Publications: | PMC Statistics: )
Metrics: Total PDF Downloads: 0 (Spandidos Publications: | PMC Statistics: )
Cited By (CrossRef): 0 citations Loading Articles...

This article is mentioned in:



Abstract

Idiopathic basal ganglia calcification, also known as Fahr's disease, is a rare neurological disease characterized by basal ganglia calcification, Parkinsonism and psychiatric symptoms. The majority of patients with Fahr's disease are adults. The present study describes the cases of two patients with Fahr's disease. The patients were brother and sister and their parents were close relatives. The onset age of Fahr's disease in these two patients was early, with the onset age of the brother being in the teens and the sister in early childhood. The patients exhibited different clinical manifestations. The main symptoms of the male patient were Parkinson's disease appearance and the loss of the ability to carry out simple calculations, while the main symptoms of the female patient were grand mal seizures and cerebellar ataxia. Although the two patients had distinct clinical manifestations, they both had similar intracranial multiple calcifications. The computed tomography scan remains the main method used in the diagnosis of Fahr's disease. Following treatment with dopamine and a dopamine receptor agonist, the extra‑pyramidal symptoms of the male were significantly relieved. The female patient was administered antiepileptic drugs and there was no recurrence of epilepsy following treatment.

Introduction

Fahr's disease is a relatively rare neurological disease (1), which is characterized by basal ganglia calcification (2). Fahr's disease is generally of autosomal dominant or recessive inheritance, but the disease-causing gene is not known (3). It is reported that the disease locus is predominately distributed on chromosome 14q (4,5), and the disease is primarily inherited by the autosomal dominant pattern (6); however, the etiology and pathogenesis of Fahr's disease are not fully understood. Fahr's disease is generally characterized by extra-pyramidal symptoms, but sometimes the patients have other clinical manifestations, such as psychiatric abnormalities (7) and cognitive impairment (8). The possible pathological mechanism of Fahr's disease is the deposit of calcium, eosinophilic material and lipids around the small arteries and veins (9). Fahr's disease is a central nervous system disease which causes neurological, mental and cognitive impairment due to abnormal calcium salt deposition (10,11). Basal neuron infarction in small blood vessels is blocked following ischemia. Calcification increases with the progression of Fahr's disease with age (12). Neuronal damage in Fahr's disease may be evident by stroke-like events or epileptic seizures, and cognitive dysfunction (10,13). Furthermore, Fahr's disease is associated with pyramidal tract damage, ataxia, Parkinson's syndrome, rigidity, hypokinesia, tremors, choreoathetosis, and psychiatric and mood disorders (9–12). The preferred method for evaluating the extent of cerebral calcifications and diagnosing Fahr's disease is the computed tomography scan (9). Currently, Fahr's disease is mainly treated with symptomatic treatment (14). No cure or a standard course of treatment is available for the treatment of Fahr's disease and the prognosis of the disease is hard to predict (15).

Case report

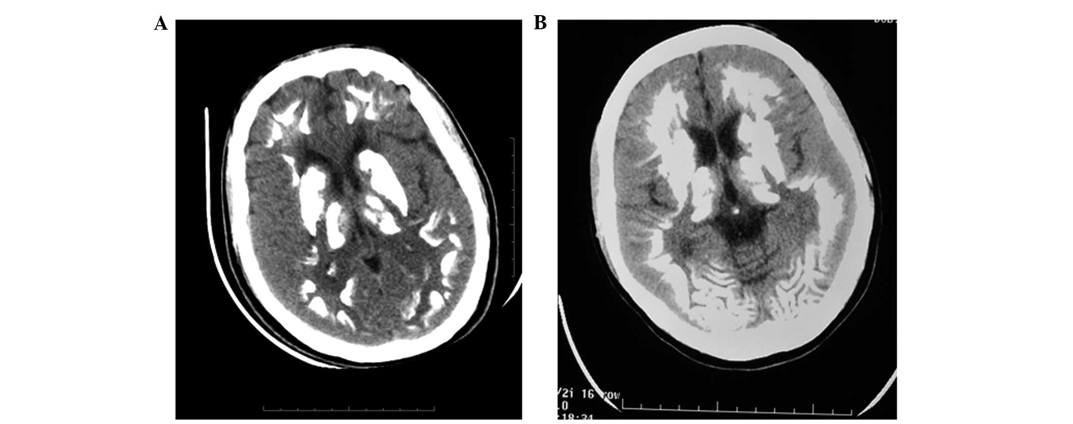
In the present study, two cases of patients with Fahr's disease were reported. Prior written and informed consent was obtained from both patients and the study was approved by the Ethics Review Board of Wenzhou Medical University (Wenzhou, China). The propositus was a 31-year-old male. At the time of the patient's admission to hospital in February 2012, he had progressive extra-pyramidal signs and had experienced progressive deterioration of motor function and calculation ability. The patient had experienced movement problems for 15 years, although he had a fully developed male body. Neurological examination showed that the patient had a poor calculation ability; for example, he could not calculate the result of simple mathematical problems such as 93-7. The patient also had hypermyotonia, particularly in the lower part of the body, which caused compulsive hypokinesia and abnormal gait. As a result, he could not maintain coordination and his walking gait was fairly slow. Although the patient had normal muscle tone, examination revealed that both of the bilateral Babinski's signs were negative. Biochemical examination showed that levels of parathyroid hormone (PTH), serum calcium, serum phosphate and cerebrospinal fluid (CSF) were all in the range of normal values. CT scanning showed multiple bilaterally symmetrical calcification lesions in the regions of the basal ganglia, cerebellum, thalamus and subcortical white matter (Fig. 1A). Magnetic resonance imaging (MRI) results indicated encephalatrophy. Following treatment with dopamine and an agonist of the dopamine receptor, the patient showed less hypermyotonia and he moved more quickly than before; however, his calculation ability remained unimproved.

Figure 1.

Brain computed tomography images showing calcification in the brains of patients with Fahr's disease. (A) Male patient. (B) Female patient.

Subsequent to talking with the propositus and his relatives, we learned that his sister, now aged 29, was also a victim of Fahr's disease. The sister began her epileptic seizure history when she was two years old and the seizure was a generalized seizure; however, there was no history of epilepsy in the other family members. She received continuous antiepileptic drug therapy and was fortunate to become pregnant, giving birth to a healthy child. When the sister was 25, she exhibited a failure to walk steadily, and gradually showed speech disorders, characterized by a progressively slurred speech. She had a normal female body but neurological examination showed that she had ataxia and slurred speech without extra-pyramidal symptoms. CT scanning showed that she also had symmetrical calcification in the regions of the basal ganglia, cerebellum, thalamus and subcortical white matter (Fig. 1B). This CT presentation was consistent with that of her brother. MRI results also indicated encephalatrophy and biochemical examination revealed that levels of PTH, serum calcium, serum phosphate and CSF were all within normal ranges.

The parents, who were cousins, had no clinical symptoms and lived a normal life. Biochemical examination revealed that they had normal levels of PTH, serum calcium and serum phosphate. Similarly, the children of the patients and of the patients' sister had normal brain CT results and normal levels of PTH, serum calcium and serum phosphate.

Since Fahr's disease is very rare, we explored the history of the family and collected blood samples. The family tree is shown in Fig. 2. Long-term follow-up is to be performed in the family members to observe any changes in intracranial calcification, as revealed by brain CT. In order to clarify whether the case is sporadic or familial, image scanning of the parents and other kindred is a reliable method. To reveal the genetic inheritance in the family, we plan to carry out gene detection once the informed consent of the family members is obtained.

Figure 2.

Family tree.

Discussion

The etiology of Fahr's disease is unclear. Clinical data show that the majority of the patients with Fahr's disease are adults (16), and Fahr's disease is generally characterized by extra-pyramidal symptoms (10,17). For the two cases in this study, the patients first showed the featured symptoms when they were a toddler (female) and teenager (male). Although the brain CT results were similar, the symptoms of the two patients were different. The male patient only showed extra-pyramidal signs, although the CT scanning showed calcification lesions in the subcortical white matter. The female patient only had the symptom of seizure, although there was calcification in the basal ganglia. This may be due to the loci and degree of calcification, which cannot be detected by CT scanning. Alternatively, the different clinical manifestations may be associated with the disease duration and the initially involved lesion sites. The prognosis is variable and hard to predict (18). The calcification may become aggravated as the patients grow older and thus the symptoms may also become worse. Additionally, this may be due to the fact that there are different neural pathways in different lesion sites and that the metabolic levels of glucose decrease in these lesion sites. Studies have shown that decreases in the level of glucose metabolism is not only confined to the calcification, but also affects other calcification sites, and that functional changes occur earlier than the emergence of calcification (10,19,20).

CT is a common method for the diagnosis of Fahr's disease (17). If symmetrical calcification lesions are found in the regions of the basal ganglia, cerebellum, thalamus and subcortical white matter, and other diseases are excluded, a diagnosis of Fahr's disease should be considered. To confirm the diagnosis of Fahr's disease, the family history of patients and a long-term follow-up should be performed. In the process of clinical diagnosis of Fahr's disease, other causes of intracranial calcification, such as tuberous sclerosis, Down's syndrome, Tay-Sachs disease, Cockayne syndrome and hypoparathyroidism, must be ruled out.

There are no radical treatments for Fahr's disease. Both cases were treated with symptomatic support. The male patient received dopamine and a dopamine receptor agonist. After one month of treatment, his extra-pyramidal symptoms were significantly relieved. The female patient was given antiepileptic drugs. There was no recurrence of epilepsy subsequent to treatment; however, there were no effective drugs or therapies for the cerebellar ataxia and slurred speech.

Acknowledgements

The authors would like to thank the patients and their families for providing the relevant information and agreeing to the publishing of the case report.

References

1 

Harrington MG, Macpherson P, McIntosh WB, Allam BF and Bone I: The significance of the incidental finding of basal ganglia calcification on computed tomography. J Neurol Neurosurg Psychiatry. 44:1168–1170. 1981. View Article : Google Scholar : PubMed/NCBI

2 

Fujita D, Terada S, Ishizu H, et al: Immunohistochemical examination on intracranial calcification in neurodegenerative diseases. Acta Neuropathol. 105:259–264. 2003.PubMed/NCBI

3 

Oliveira JR, Spiteri E, Sobrido MJ, et al: Genetic heterogeneity in familial idiopathic basal ganglia calcification (Fahr disease). Neurology. 63:2165–2167. 2004. View Article : Google Scholar : PubMed/NCBI

4 

Kawaguchi Y, Okamoto T, Taniwaki M, et al: CAG expansions in a novel gene for Machado-Joseph disease at chromosome 14q32.1. Nat Genet. 8:221–228. 1994. View Article : Google Scholar : PubMed/NCBI

5 

Geschwind DH, Loginov M and Stern JM: Identification of a locus on chromosome 14q for idiopathic basal ganglia calcification (Fahr disease). Am J Hum Genet. 65:764–772. 1999. View Article : Google Scholar : PubMed/NCBI

6 

Moskowitz MA, Winickoff RN and Heinz ER: Familial calcification of the basal ganglions: A metabolic and genetic study. N Engl J Med. 285:72–77. 1971. View Article : Google Scholar : PubMed/NCBI

7 

Lam JS, Fong SY, Yiu GC and Wing YK: Fahr's disease: A differential diagnosis of frontal lobe syndrome. Hong Kong Med J. 13:75–77. 2007.PubMed/NCBI

8 

Calabrò RS, Spadaro L, Marra A and Bramanti P: Fahr's disease presenting with dementia at onset: A case report and literature review. Behav Neurol. 2014:7509752014.PubMed/NCBI

9 

Manyam BV: What is and what is not ‘Fahr's disease’. Parkinsonism Relat Disord. 11:73–80. 2005. View Article : Google Scholar : PubMed/NCBI

10 

Benke T, Karner E, Seppi K, Delazer M, Marksteiner J and Donnemiller E: Subacute dementia and imaging correlates in a case of Fahr's disease. J Neurol Neurosurg Psychiatry. 75:1163–1165. 2004. View Article : Google Scholar : PubMed/NCBI

11 

Lauterbach EC, Cummings JL, Duffy J, et al: Neuropsychiatric correlates and treatment of lenticulostriatal diseases: A review of the literature and overview of research opportunities in Huntington's, Wilson's, and Fahr's diseases. J Neuropsychiatry Clin Neurosci. 10:249–266. 1998. View Article : Google Scholar : PubMed/NCBI

12 

Manyam BV, Walters AS and Narla KR: Bilateral striopallidodentate calcinosis: Clinical characteristics of patients seen in a registry. Mov Disord. 16:258–264. 2001. View Article : Google Scholar : PubMed/NCBI

13 

Modrego PJ, Mojonero J, Serrano M and Fayed N: Fahr's syndrome presenting with pure and progressive presenile dementia. Neurol Sci. 26:367–369. 2005. View Article : Google Scholar : PubMed/NCBI

14 

Saleem S, Aslam HM, Anwar M, et al: Fahr's syndrome: Literature review of current evidence. Orphanet J Rare Dis. 8:1562013. View Article : Google Scholar : PubMed/NCBI

15 

Abubakar SA and Saidu S: Idiopathic bilateral strio-pallido-dentate calcinosis (Fahr's disease): A case report and review of the literature. Ann Afr Med. 11:234–237. 2012. View Article : Google Scholar : PubMed/NCBI

16 

Cummings JL, Gosenfeld LF, Houlihan JP and McCaffrey T: Neuropsychiatric disturbances associated with idiopathic calcification of the basal ganglia. Biol Psychiatry. 18:591–601. 1983.PubMed/NCBI

17 

Avrahami E, Cohn DF, Feibel M and Tadmor R: MRI demonstration and CT correlation of the brain in patients with idiopathic intracerebral calcification. J Neurol. 241:381–384. 1994. View Article : Google Scholar : PubMed/NCBI

18 

Brodaty H, Mitchell P, Luscombe G, et al: Familial idiopathic basal ganglia calcification (Fahr's disease) without neurological, cognitive and psychiatric symptoms is not linked to the IBGC1 locus on chromosome 14q. Hum Genet. 110:8–14. 2002. View Article : Google Scholar : PubMed/NCBI

19 

Cartier L, Passig C, Gormaz A and López J: Neuropsychological and neurophysiological features of Fahr's disease. Rev Med Chil. 130:1383–1390. 2002.[(In Spanish)]. PubMed/NCBI

20 

Hempel A, Henze M, Berghoff C, Garcia N, Ody R and Schröder J: PET findings and neuropsychological deficits in a case of Fahr's disease. Psychiatry Res. 108:133–140. 2001. View Article : Google Scholar : PubMed/NCBI

Related Articles

  • Abstract
  • View
  • Download
  • Twitter
Copy and paste a formatted citation
Spandidos Publications style
Wang H, Shao B, Wang L and Ye Q: Fahr's disease in two siblings in a family: A case report. Exp Ther Med 9: 1931-1933, 2015.
APA
Wang, H., Shao, B., Wang, L., & Ye, Q. (2015). Fahr's disease in two siblings in a family: A case report. Experimental and Therapeutic Medicine, 9, 1931-1933. https://doi.org/10.3892/etm.2015.2356
MLA
Wang, H., Shao, B., Wang, L., Ye, Q."Fahr's disease in two siblings in a family: A case report". Experimental and Therapeutic Medicine 9.5 (2015): 1931-1933.
Chicago
Wang, H., Shao, B., Wang, L., Ye, Q."Fahr's disease in two siblings in a family: A case report". Experimental and Therapeutic Medicine 9, no. 5 (2015): 1931-1933. https://doi.org/10.3892/etm.2015.2356
Copy and paste a formatted citation
x
Spandidos Publications style
Wang H, Shao B, Wang L and Ye Q: Fahr's disease in two siblings in a family: A case report. Exp Ther Med 9: 1931-1933, 2015.
APA
Wang, H., Shao, B., Wang, L., & Ye, Q. (2015). Fahr's disease in two siblings in a family: A case report. Experimental and Therapeutic Medicine, 9, 1931-1933. https://doi.org/10.3892/etm.2015.2356
MLA
Wang, H., Shao, B., Wang, L., Ye, Q."Fahr's disease in two siblings in a family: A case report". Experimental and Therapeutic Medicine 9.5 (2015): 1931-1933.
Chicago
Wang, H., Shao, B., Wang, L., Ye, Q."Fahr's disease in two siblings in a family: A case report". Experimental and Therapeutic Medicine 9, no. 5 (2015): 1931-1933. https://doi.org/10.3892/etm.2015.2356
Follow us
  • Twitter
  • LinkedIn
  • Facebook
About
  • Spandidos Publications
  • Careers
  • Cookie Policy
  • Privacy Policy
How can we help?
  • Help
  • Live Chat
  • Contact
  • Email to our Support Team