Spandidos Publications Logo
  • About
    • About Spandidos
    • Aims and Scopes
    • Abstracting and Indexing
    • Editorial Policies
    • Reprints and Permissions
    • Job Opportunities
    • Terms and Conditions
    • Contact
  • Journals
    • All Journals
    • Oncology Letters
      • Oncology Letters
      • Information for Authors
      • Editorial Policies
      • Editorial Board
      • Aims and Scope
      • Abstracting and Indexing
      • Bibliographic Information
      • Archive
    • International Journal of Oncology
      • International Journal of Oncology
      • Information for Authors
      • Editorial Policies
      • Editorial Board
      • Aims and Scope
      • Abstracting and Indexing
      • Bibliographic Information
      • Archive
    • Molecular and Clinical Oncology
      • Molecular and Clinical Oncology
      • Information for Authors
      • Editorial Policies
      • Editorial Board
      • Aims and Scope
      • Abstracting and Indexing
      • Bibliographic Information
      • Archive
    • Experimental and Therapeutic Medicine
      • Experimental and Therapeutic Medicine
      • Information for Authors
      • Editorial Policies
      • Editorial Board
      • Aims and Scope
      • Abstracting and Indexing
      • Bibliographic Information
      • Archive
    • International Journal of Molecular Medicine
      • International Journal of Molecular Medicine
      • Information for Authors
      • Editorial Policies
      • Editorial Board
      • Aims and Scope
      • Abstracting and Indexing
      • Bibliographic Information
      • Archive
    • Biomedical Reports
      • Biomedical Reports
      • Information for Authors
      • Editorial Policies
      • Editorial Board
      • Aims and Scope
      • Abstracting and Indexing
      • Bibliographic Information
      • Archive
    • Oncology Reports
      • Oncology Reports
      • Information for Authors
      • Editorial Policies
      • Editorial Board
      • Aims and Scope
      • Abstracting and Indexing
      • Bibliographic Information
      • Archive
    • Molecular Medicine Reports
      • Molecular Medicine Reports
      • Information for Authors
      • Editorial Policies
      • Editorial Board
      • Aims and Scope
      • Abstracting and Indexing
      • Bibliographic Information
      • Archive
    • World Academy of Sciences Journal
      • World Academy of Sciences Journal
      • Information for Authors
      • Editorial Policies
      • Editorial Board
      • Aims and Scope
      • Abstracting and Indexing
      • Bibliographic Information
      • Archive
    • International Journal of Functional Nutrition
      • International Journal of Functional Nutrition
      • Information for Authors
      • Editorial Policies
      • Editorial Board
      • Aims and Scope
      • Abstracting and Indexing
      • Bibliographic Information
      • Archive
    • International Journal of Epigenetics
      • International Journal of Epigenetics
      • Information for Authors
      • Editorial Policies
      • Editorial Board
      • Aims and Scope
      • Abstracting and Indexing
      • Bibliographic Information
      • Archive
    • Medicine International
      • Medicine International
      • Information for Authors
      • Editorial Policies
      • Editorial Board
      • Aims and Scope
      • Abstracting and Indexing
      • Bibliographic Information
      • Archive
  • Articles
  • Information
    • Information for Authors
    • Information for Reviewers
    • Information for Librarians
    • Information for Advertisers
    • Conferences
  • Language Editing
Spandidos Publications Logo
  • About
    • About Spandidos
    • Aims and Scopes
    • Abstracting and Indexing
    • Editorial Policies
    • Reprints and Permissions
    • Job Opportunities
    • Terms and Conditions
    • Contact
  • Journals
    • All Journals
    • Biomedical Reports
      • Information for Authors
      • Editorial Policies
      • Editorial Board
      • Aims and Scope
      • Abstracting and Indexing
      • Bibliographic Information
      • Archive
    • Experimental and Therapeutic Medicine
      • Information for Authors
      • Editorial Policies
      • Editorial Board
      • Aims and Scope
      • Abstracting and Indexing
      • Bibliographic Information
      • Archive
    • International Journal of Epigenetics
      • Information for Authors
      • Editorial Policies
      • Editorial Board
      • Aims and Scope
      • Abstracting and Indexing
      • Bibliographic Information
      • Archive
    • International Journal of Functional Nutrition
      • Information for Authors
      • Editorial Policies
      • Editorial Board
      • Aims and Scope
      • Abstracting and Indexing
      • Bibliographic Information
      • Archive
    • International Journal of Molecular Medicine
      • Information for Authors
      • Editorial Policies
      • Editorial Board
      • Aims and Scope
      • Abstracting and Indexing
      • Bibliographic Information
      • Archive
    • International Journal of Oncology
      • Information for Authors
      • Editorial Policies
      • Editorial Board
      • Aims and Scope
      • Abstracting and Indexing
      • Bibliographic Information
      • Archive
    • Medicine International
      • Information for Authors
      • Editorial Policies
      • Editorial Board
      • Aims and Scope
      • Abstracting and Indexing
      • Bibliographic Information
      • Archive
    • Molecular and Clinical Oncology
      • Information for Authors
      • Editorial Policies
      • Editorial Board
      • Aims and Scope
      • Abstracting and Indexing
      • Bibliographic Information
      • Archive
    • Molecular Medicine Reports
      • Information for Authors
      • Editorial Policies
      • Editorial Board
      • Aims and Scope
      • Abstracting and Indexing
      • Bibliographic Information
      • Archive
    • Oncology Letters
      • Information for Authors
      • Editorial Policies
      • Editorial Board
      • Aims and Scope
      • Abstracting and Indexing
      • Bibliographic Information
      • Archive
    • Oncology Reports
      • Information for Authors
      • Editorial Policies
      • Editorial Board
      • Aims and Scope
      • Abstracting and Indexing
      • Bibliographic Information
      • Archive
    • World Academy of Sciences Journal
      • Information for Authors
      • Editorial Policies
      • Editorial Board
      • Aims and Scope
      • Abstracting and Indexing
      • Bibliographic Information
      • Archive
  • Articles
  • Information
    • For Authors
    • For Reviewers
    • For Librarians
    • For Advertisers
    • Conferences
  • Language Editing
Login Register Submit
  • This site uses cookies
  • You can change your cookie settings at any time by following the instructions in our Cookie Policy. To find out more, you may read our Privacy Policy.

    I agree
Search articles by DOI, keyword, author or affiliation
Search
Advanced Search
presentation
Experimental and Therapeutic Medicine
Join Editorial Board Propose a Special Issue
Print ISSN: 1792-0981 Online ISSN: 1792-1015
Journal Cover
August-2015 Volume 10 Issue 2

Full Size Image

Sign up for eToc alerts
Recommend to Library

Journals

International Journal of Molecular Medicine

International Journal of Molecular Medicine

International Journal of Molecular Medicine is an international journal devoted to molecular mechanisms of human disease.

International Journal of Oncology

International Journal of Oncology

International Journal of Oncology is an international journal devoted to oncology research and cancer treatment.

Molecular Medicine Reports

Molecular Medicine Reports

Covers molecular medicine topics such as pharmacology, pathology, genetics, neuroscience, infectious diseases, molecular cardiology, and molecular surgery.

Oncology Reports

Oncology Reports

Oncology Reports is an international journal devoted to fundamental and applied research in Oncology.

Experimental and Therapeutic Medicine

Experimental and Therapeutic Medicine

Experimental and Therapeutic Medicine is an international journal devoted to laboratory and clinical medicine.

Oncology Letters

Oncology Letters

Oncology Letters is an international journal devoted to Experimental and Clinical Oncology.

Biomedical Reports

Biomedical Reports

Explores a wide range of biological and medical fields, including pharmacology, genetics, microbiology, neuroscience, and molecular cardiology.

Molecular and Clinical Oncology

Molecular and Clinical Oncology

International journal addressing all aspects of oncology research, from tumorigenesis and oncogenes to chemotherapy and metastasis.

World Academy of Sciences Journal

World Academy of Sciences Journal

Multidisciplinary open-access journal spanning biochemistry, genetics, neuroscience, environmental health, and synthetic biology.

International Journal of Functional Nutrition

International Journal of Functional Nutrition

Open-access journal combining biochemistry, pharmacology, immunology, and genetics to advance health through functional nutrition.

International Journal of Epigenetics

International Journal of Epigenetics

Publishes open-access research on using epigenetics to advance understanding and treatment of human disease.

Medicine International

Medicine International

An International Open Access Journal Devoted to General Medicine.

Journal Cover
August-2015 Volume 10 Issue 2

Full Size Image

Sign up for eToc alerts
Recommend to Library

  • Article
  • Citations
    • Cite This Article
    • Download Citation
    • Create Citation Alert
    • Remove Citation Alert
    • Cited By
  • Similar Articles
    • Related Articles (in Spandidos Publications)
    • Similar Articles (Google Scholar)
    • Similar Articles (PubMed)
  • Download PDF
  • Download XML
  • View XML
Case Report Open Access

Brainstem edema caused by traumatic carotid-cavernous fistula: A case report and review of the literature

  • Authors:
    • Jinlu Yu
    • Yunbao Guo
    • Shujie Zhao
    • Kan Xu
  • View Affiliations / Copyright

    Affiliations: Department of Neurosurgery, The First Affiliated Hospital of Jilin University, Changchun, Jilin 130021, P.R. China, Intensive Care Unit, The First Affiliated Hospital of Jilin University, Changchun, Jilin 130021, P.R. China
    Copyright: © Yu et al. This is an open access article distributed under the terms of Creative Commons Attribution License.
  • Pages: 445-450
    |
    Published online on: May 21, 2015
       https://doi.org/10.3892/etm.2015.2507
  • Expand metrics +
Metrics: Total Views: 0 (Spandidos Publications: | PMC Statistics: )
Metrics: Total PDF Downloads: 0 (Spandidos Publications: | PMC Statistics: )
Cited By (CrossRef): 0 citations Loading Articles...

This article is mentioned in:



Abstract

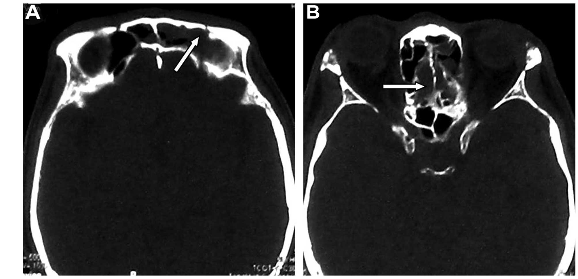
Brainstem edema caused by traumatic carotid-cavernous fistula (TCCF) is rare, and there is little information available regarding its clinical characteristics. The present report describes the case of a 51‑year‑old man with TCCF, who presented with right exophthalmos and intracranial bruit for 1 week. One month prior to admission at hospital, he fractured the frontal and ethmoid sinuses. Digital subtraction angiography confirmed the diagnosis of TCCF, and magnetic resonance imaging (MRI) suggested edema on the right side of the pons. Five days after admission, the patient exhibited left hemiparesis, and MRI revealed aggravation of the brainstem edema. Following treatment with transarterial balloon embolization, the clinical symptoms, including hemiparesis, were relieved; at the 1‑month follow‑up, the brain edema had disappeared. The patient was normal at the 6‑month follow‑up. Following the report of the present case, we reviewed six additional cases previously reported in the literature and discussed the potential mechanisms of TCCF‑associated brainstem edema. We conclude that occlusion of the superior petrosal sinus may contribute to brainstem edema caused by TCCF. Relief of the brainstem edema and brainstem edema‑associated clinical symptoms can be achieved with transarterial coil or balloon embolization of the TCCF to reduce the drainage pressure in the brainstem veins.
View Figures

Figure 1

Figure 2

Figure 3

Figure 4

Figure 5

Figure 6

View References

1 

Kato M, Ikegame Y, Toyoda I, Ogura S, Kitajima H, Yoshimura S and Iwama T: Hemispheric laminar necrosis as a complication of traumatic carotid-cavernous sinus fistula. Neurol Med Chir (Tokyo). 49:26–29. 2009. View Article : Google Scholar : PubMed/NCBI

2 

Turner DM, Vangilder JC, Mojtahedi S and Pierson EW: Spontaneous intracerebral hematoma in carotid-cavernous fistula. Report of three cases. J Neurosurg. 59:680–686. 1983. View Article : Google Scholar : PubMed/NCBI

3 

Teng MM, Chang T, Pan DH, Chang CN, Huang CI, Guo WY, Chen CC, Pang RG and Lee LS: Brainstem edema: An unusual complication of carotid cavernous fistula. AJNR Am J Neuroradiol. 12:139–142. 1991.PubMed/NCBI

4 

Murata H, Kubota T, Murai M, Kanno H, Fujii S and Yamamoto I: Brainstem congestion caused by direct carotid-cavernous fistula - case report. Neurol Med Chir (Tokyo). 43:255–258. 2003. View Article : Google Scholar : PubMed/NCBI

5 

Bussière M, Lownie SP, Pelz DM and Nicolle D: Direct carotid-cavernous fistula causing brainstem venous congestion. J Neuroophthalmol. 29:21–25. 2009. View Article : Google Scholar : PubMed/NCBI

6 

Ract I, Drier A, Leclercq D, Sourour N, Gabrieli J, Yger M, Nouet A, Dormont D, Chiras J and Clarençon F: Extensive basal ganglia edema caused by a traumatic carotid-cavernous fistula: A rare presentation related to a basal vein of Rosenthal anatomical variation. J Neurosurg. 121:63–66. 2014. View Article : Google Scholar : PubMed/NCBI

7 

de Keizer R: Carotid-cavernous and orbital arteriovenous fistulas: Ocular features, diagnostic and hemodynamic considerations in relation to visual impairment and morbidity. Orbit. 22:121–142. 2003. View Article : Google Scholar : PubMed/NCBI

8 

Rhoton AL Jr: The cavernous sinus, the cavernous venous plexus and the carotid collar. Neurosurgery. 51 (4 Suppl):S375–S410. 2002. View Article : Google Scholar : PubMed/NCBI

9 

Fusco MR and Harrigan MR: Cerebrovascular dissections: A review. Part II: Blunt cerebrovascular injury. Neurosurgery. 68:517–530. 2011. View Article : Google Scholar : PubMed/NCBI

10 

Chang CM and Cheng CS: Late intracranial haemorrhage and subsequent carotid-cavernous sinus fistula after fracture of the facial bones. Br J Oral Maxillofac Surg. 51:e296–e298. 2013. View Article : Google Scholar : PubMed/NCBI

11 

Asano T, Houkin K, Moriwaki T, Niiya Y and Mabuchi S: Case of direct carotid-cavernous fistula presenting with subarachnoid hemorrhage. No Shinkei Geka. 40:235–239. 2012.(In Japanese). PubMed/NCBI

12 

Ringer AJ, Salud L and Tomsick TA: Carotid cavernous fistulas: Anatomy, classification and treatment. Neurosurg Clin N Am. 16:279–295. 2005. View Article : Google Scholar : PubMed/NCBI

13 

Kalra VB, Malhotra A and Matouk CC: Teaching neuroimages: Susceptibility-weighted MRI: First clue to DAVF complicating sinovenous thrombosis. Neurology. 80:e2282013. View Article : Google Scholar : PubMed/NCBI

14 

Blanc R, Maia Barros AD, Brugieres P, Meder JF and Gaston A: Cavernous sinus dural arteriovenous fistula complicated by edematous cerebral lesions from venous etiology. J Neuroradiol. 31:220–224. 2004.(In French). View Article : Google Scholar : PubMed/NCBI

15 

Miyamoto N, Naito I, Takatama S, Shimizu T, Iwai T and Shimaguchi H: Clinical and angiographic characteristics of cavernous sinus dural arteriovenous fistulas manifesting as venous infarction and/or intracranial hemorrhage. Neuroradiology. 51:53–60. 2009. View Article : Google Scholar : PubMed/NCBI

16 

Curé JK, Van Tassel P and Smith MT: Normal and variant anatomy of the dural venous sinuses. Semin Ultrasound CT MR. 15:499–519. 1994. View Article : Google Scholar : PubMed/NCBI

17 

Churojana A, Chawalaparit O, Chiewwit P and Suthipongchai S: Spontaneous occlusion of a bilateral post traumatic carotid cavernous fistula. Interv Neuroradiol. 7:245–252. 2001.PubMed/NCBI

18 

Uchino A, Takase Y, Koizumi T and Kudo S: Spontaneous thrombosis of a high-flow carotid-cavernous fistula after failed transarterial balloon occlusion. Interv Neuroradiol. 10:253–256. 2004.PubMed/NCBI

19 

Sasaki H, Nukui H, Kaneko M, Mitsuka S, Hosaka T, Kakizawa T, Kimura R, Nagaseki Y and Naganuma H: Long-term observations in cases with spontaneous carotid-cavernous fistulas. Acta Neurochir (Wien). 90:117–120. 1988. View Article : Google Scholar : PubMed/NCBI

20 

Komiyama M, Nakajima H, Nishikawa M and Kan M: Traumatic carotid cavernous sinus fistula: Serial angiographic studies from the day of trauma. AJNR Am J Neuroradiol. 19:1641–1644. 1998.PubMed/NCBI

21 

Iseki S, Ito Y, Nakao Y, Yamamoto T and Mori K: Proptosis caused by partially thrombosed orbital varix of the superior orbital vein associated with traumatic carotid-cavernous sinus fistula - case report. Neurol Med Chir (Tokyo). 50:33–36. 2010. View Article : Google Scholar : PubMed/NCBI

22 

Nishijima M, Iwai R, Horie Y, Oka N and Takaku A: Spontaneous occlusion of traumatic carotid cavernous fistula after orbital venography. Surg Neurol. 23:489–492. 1985. View Article : Google Scholar : PubMed/NCBI

23 

Castillo M, Silverstein M, Hoffman JC Jr and Barrow D: Spontaneous thrombosis of a direct carotid cavernous sinus fistula: Confirmation by Gd-DTPA-enhanced MR. AJNR Am J Neuroradiol. 10 (5 Suppl):S75–S76. 1989.PubMed/NCBI

24 

Gupta RK, Bapuraj JR, Khandelwal N and Khurana D: Prognostic indices for cerebral venous thrombosis on CT perfusion: A prospective study. Eur J Radiol. 83:185–190. 2014. View Article : Google Scholar : PubMed/NCBI

Related Articles

  • Abstract
  • View
  • Download
  • Twitter
Copy and paste a formatted citation
Spandidos Publications style
Yu J, Guo Y, Zhao S and Xu K: Brainstem edema caused by traumatic carotid-cavernous fistula: A case report and review of the literature. Exp Ther Med 10: 445-450, 2015.
APA
Yu, J., Guo, Y., Zhao, S., & Xu, K. (2015). Brainstem edema caused by traumatic carotid-cavernous fistula: A case report and review of the literature. Experimental and Therapeutic Medicine, 10, 445-450. https://doi.org/10.3892/etm.2015.2507
MLA
Yu, J., Guo, Y., Zhao, S., Xu, K."Brainstem edema caused by traumatic carotid-cavernous fistula: A case report and review of the literature". Experimental and Therapeutic Medicine 10.2 (2015): 445-450.
Chicago
Yu, J., Guo, Y., Zhao, S., Xu, K."Brainstem edema caused by traumatic carotid-cavernous fistula: A case report and review of the literature". Experimental and Therapeutic Medicine 10, no. 2 (2015): 445-450. https://doi.org/10.3892/etm.2015.2507
Copy and paste a formatted citation
x
Spandidos Publications style
Yu J, Guo Y, Zhao S and Xu K: Brainstem edema caused by traumatic carotid-cavernous fistula: A case report and review of the literature. Exp Ther Med 10: 445-450, 2015.
APA
Yu, J., Guo, Y., Zhao, S., & Xu, K. (2015). Brainstem edema caused by traumatic carotid-cavernous fistula: A case report and review of the literature. Experimental and Therapeutic Medicine, 10, 445-450. https://doi.org/10.3892/etm.2015.2507
MLA
Yu, J., Guo, Y., Zhao, S., Xu, K."Brainstem edema caused by traumatic carotid-cavernous fistula: A case report and review of the literature". Experimental and Therapeutic Medicine 10.2 (2015): 445-450.
Chicago
Yu, J., Guo, Y., Zhao, S., Xu, K."Brainstem edema caused by traumatic carotid-cavernous fistula: A case report and review of the literature". Experimental and Therapeutic Medicine 10, no. 2 (2015): 445-450. https://doi.org/10.3892/etm.2015.2507
Follow us
  • Twitter
  • LinkedIn
  • Facebook
About
  • Spandidos Publications
  • Careers
  • Cookie Policy
  • Privacy Policy
How can we help?
  • Help
  • Live Chat
  • Contact
  • Email to our Support Team