Spandidos Publications Logo
  • About
    • About Spandidos
    • Aims and Scopes
    • Abstracting and Indexing
    • Editorial Policies
    • Reprints and Permissions
    • Job Opportunities
    • Terms and Conditions
    • Contact
  • Journals
    • All Journals
    • Oncology Letters
      • Oncology Letters
      • Information for Authors
      • Editorial Policies
      • Editorial Board
      • Aims and Scope
      • Abstracting and Indexing
      • Bibliographic Information
      • Archive
    • International Journal of Oncology
      • International Journal of Oncology
      • Information for Authors
      • Editorial Policies
      • Editorial Board
      • Aims and Scope
      • Abstracting and Indexing
      • Bibliographic Information
      • Archive
    • Molecular and Clinical Oncology
      • Molecular and Clinical Oncology
      • Information for Authors
      • Editorial Policies
      • Editorial Board
      • Aims and Scope
      • Abstracting and Indexing
      • Bibliographic Information
      • Archive
    • Experimental and Therapeutic Medicine
      • Experimental and Therapeutic Medicine
      • Information for Authors
      • Editorial Policies
      • Editorial Board
      • Aims and Scope
      • Abstracting and Indexing
      • Bibliographic Information
      • Archive
    • International Journal of Molecular Medicine
      • International Journal of Molecular Medicine
      • Information for Authors
      • Editorial Policies
      • Editorial Board
      • Aims and Scope
      • Abstracting and Indexing
      • Bibliographic Information
      • Archive
    • Biomedical Reports
      • Biomedical Reports
      • Information for Authors
      • Editorial Policies
      • Editorial Board
      • Aims and Scope
      • Abstracting and Indexing
      • Bibliographic Information
      • Archive
    • Oncology Reports
      • Oncology Reports
      • Information for Authors
      • Editorial Policies
      • Editorial Board
      • Aims and Scope
      • Abstracting and Indexing
      • Bibliographic Information
      • Archive
    • Molecular Medicine Reports
      • Molecular Medicine Reports
      • Information for Authors
      • Editorial Policies
      • Editorial Board
      • Aims and Scope
      • Abstracting and Indexing
      • Bibliographic Information
      • Archive
    • World Academy of Sciences Journal
      • World Academy of Sciences Journal
      • Information for Authors
      • Editorial Policies
      • Editorial Board
      • Aims and Scope
      • Abstracting and Indexing
      • Bibliographic Information
      • Archive
    • International Journal of Functional Nutrition
      • International Journal of Functional Nutrition
      • Information for Authors
      • Editorial Policies
      • Editorial Board
      • Aims and Scope
      • Abstracting and Indexing
      • Bibliographic Information
      • Archive
    • International Journal of Epigenetics
      • International Journal of Epigenetics
      • Information for Authors
      • Editorial Policies
      • Editorial Board
      • Aims and Scope
      • Abstracting and Indexing
      • Bibliographic Information
      • Archive
    • Medicine International
      • Medicine International
      • Information for Authors
      • Editorial Policies
      • Editorial Board
      • Aims and Scope
      • Abstracting and Indexing
      • Bibliographic Information
      • Archive
  • Articles
  • Information
    • Information for Authors
    • Information for Reviewers
    • Information for Librarians
    • Information for Advertisers
    • Conferences
  • Language Editing
Spandidos Publications Logo
  • About
    • About Spandidos
    • Aims and Scopes
    • Abstracting and Indexing
    • Editorial Policies
    • Reprints and Permissions
    • Job Opportunities
    • Terms and Conditions
    • Contact
  • Journals
    • All Journals
    • Biomedical Reports
      • Information for Authors
      • Editorial Policies
      • Editorial Board
      • Aims and Scope
      • Abstracting and Indexing
      • Bibliographic Information
      • Archive
    • Experimental and Therapeutic Medicine
      • Information for Authors
      • Editorial Policies
      • Editorial Board
      • Aims and Scope
      • Abstracting and Indexing
      • Bibliographic Information
      • Archive
    • International Journal of Epigenetics
      • Information for Authors
      • Editorial Policies
      • Editorial Board
      • Aims and Scope
      • Abstracting and Indexing
      • Bibliographic Information
      • Archive
    • International Journal of Functional Nutrition
      • Information for Authors
      • Editorial Policies
      • Editorial Board
      • Aims and Scope
      • Abstracting and Indexing
      • Bibliographic Information
      • Archive
    • International Journal of Molecular Medicine
      • Information for Authors
      • Editorial Policies
      • Editorial Board
      • Aims and Scope
      • Abstracting and Indexing
      • Bibliographic Information
      • Archive
    • International Journal of Oncology
      • Information for Authors
      • Editorial Policies
      • Editorial Board
      • Aims and Scope
      • Abstracting and Indexing
      • Bibliographic Information
      • Archive
    • Medicine International
      • Information for Authors
      • Editorial Policies
      • Editorial Board
      • Aims and Scope
      • Abstracting and Indexing
      • Bibliographic Information
      • Archive
    • Molecular and Clinical Oncology
      • Information for Authors
      • Editorial Policies
      • Editorial Board
      • Aims and Scope
      • Abstracting and Indexing
      • Bibliographic Information
      • Archive
    • Molecular Medicine Reports
      • Information for Authors
      • Editorial Policies
      • Editorial Board
      • Aims and Scope
      • Abstracting and Indexing
      • Bibliographic Information
      • Archive
    • Oncology Letters
      • Information for Authors
      • Editorial Policies
      • Editorial Board
      • Aims and Scope
      • Abstracting and Indexing
      • Bibliographic Information
      • Archive
    • Oncology Reports
      • Information for Authors
      • Editorial Policies
      • Editorial Board
      • Aims and Scope
      • Abstracting and Indexing
      • Bibliographic Information
      • Archive
    • World Academy of Sciences Journal
      • Information for Authors
      • Editorial Policies
      • Editorial Board
      • Aims and Scope
      • Abstracting and Indexing
      • Bibliographic Information
      • Archive
  • Articles
  • Information
    • For Authors
    • For Reviewers
    • For Librarians
    • For Advertisers
    • Conferences
  • Language Editing
Login Register Submit
  • This site uses cookies
  • You can change your cookie settings at any time by following the instructions in our Cookie Policy. To find out more, you may read our Privacy Policy.

    I agree
Search articles by DOI, keyword, author or affiliation
Search
Advanced Search
presentation
Experimental and Therapeutic Medicine
Join Editorial Board Propose a Special Issue
Print ISSN: 1792-0981 Online ISSN: 1792-1015
Journal Cover
August-2015 Volume 10 Issue 2

Full Size Image

Sign up for eToc alerts
Recommend to Library

Journals

International Journal of Molecular Medicine

International Journal of Molecular Medicine

International Journal of Molecular Medicine is an international journal devoted to molecular mechanisms of human disease.

International Journal of Oncology

International Journal of Oncology

International Journal of Oncology is an international journal devoted to oncology research and cancer treatment.

Molecular Medicine Reports

Molecular Medicine Reports

Covers molecular medicine topics such as pharmacology, pathology, genetics, neuroscience, infectious diseases, molecular cardiology, and molecular surgery.

Oncology Reports

Oncology Reports

Oncology Reports is an international journal devoted to fundamental and applied research in Oncology.

Experimental and Therapeutic Medicine

Experimental and Therapeutic Medicine

Experimental and Therapeutic Medicine is an international journal devoted to laboratory and clinical medicine.

Oncology Letters

Oncology Letters

Oncology Letters is an international journal devoted to Experimental and Clinical Oncology.

Biomedical Reports

Biomedical Reports

Explores a wide range of biological and medical fields, including pharmacology, genetics, microbiology, neuroscience, and molecular cardiology.

Molecular and Clinical Oncology

Molecular and Clinical Oncology

International journal addressing all aspects of oncology research, from tumorigenesis and oncogenes to chemotherapy and metastasis.

World Academy of Sciences Journal

World Academy of Sciences Journal

Multidisciplinary open-access journal spanning biochemistry, genetics, neuroscience, environmental health, and synthetic biology.

International Journal of Functional Nutrition

International Journal of Functional Nutrition

Open-access journal combining biochemistry, pharmacology, immunology, and genetics to advance health through functional nutrition.

International Journal of Epigenetics

International Journal of Epigenetics

Publishes open-access research on using epigenetics to advance understanding and treatment of human disease.

Medicine International

Medicine International

An International Open Access Journal Devoted to General Medicine.

Journal Cover
August-2015 Volume 10 Issue 2

Full Size Image

Sign up for eToc alerts
Recommend to Library

  • Article
  • Citations
    • Cite This Article
    • Download Citation
    • Create Citation Alert
    • Remove Citation Alert
    • Cited By
  • Similar Articles
    • Related Articles (in Spandidos Publications)
    • Similar Articles (Google Scholar)
    • Similar Articles (PubMed)
  • Download PDF
  • Download XML
  • View XML
Article

Resveratrol relieves ischemia‑induced oxidative stress in the hippocampus by activating SIRT1

  • Authors:
    • Zhuangzhi Meng
    • Jianguo Li
    • Honglin Zhao
    • Haiying Liu
    • Guowei Zhang
    • Lingzhan Wang
    • He Hu
    • Di Li
    • Mingjing Liu
    • Fulong Bi
    • Xiaoping Wang
    • Geng Tian
    • Qiang Liu
    • Batu Buren
  • View Affiliations / Copyright

    Affiliations: Department of Human Anatomy, The School of Medicine of Inner Mongolia University for The Nationalities, Tongliao, Inner Mongolia 028041, P.R. China, Tianjin Key Laboratory of Molecular Nuclear Medicine, Institute of Radiation Medicine, Chinese Academy of Medical Science and Peking Union Medical College, Tianjin 300192, P.R. China, Laboratory of Biomedicine and Department of Mongolian Medicine Hematology-Oncology, The Affiliated Hospital of Inner Mongolia University for The Nationalities, Tongliao, Inner Mongolia 028007, P.R. China
  • Pages: 525-530
    |
    Published online on: June 5, 2015
       https://doi.org/10.3892/etm.2015.2555
  • Expand metrics +
Metrics: Total Views: 0 (Spandidos Publications: | PMC Statistics: )
Metrics: Total PDF Downloads: 0 (Spandidos Publications: | PMC Statistics: )
Cited By (CrossRef): 0 citations Loading Articles...

This article is mentioned in:



Abstract

Resveratrol, a naturally occurring phytoalexin, acts as an activator of sirtuin 1 (SIRT1) and has been shown to have a neuroprotective role in various models. Healthy adult male Sprague‑Dawley rats were subjected to cerebral ischemia in order to study the protective effect of resveratrol on the brain following ischemia, and to investigate the effects of SIRT1 activation on the hippocampus. Untreated and resveratrol‑treated rats were anesthetized prior to undergoing surgery to induce middle cerebral artery occlusion followed by reperfusion. SIRT1 expression was evaluated by immunohistochemistry, western blotting and reverse transcription-quantitative polymerase chain reaction, and SIRT1 activity was also evaluated. In addition, terminal deoxynucleotidyl transferase dUTP nick end‑labeling (TUNEL) and Nissl staining assays were conducted and the levels of reactive oxygen species were determined. It was observed that resveratrol significantly decreased the number of TUNEL‑positive cells and increased the expression of SIRT1 mRNA in a dose‑dependent manner. This was accompanied by increases in SIRT1 protein expression levels and SIRT1 activity. The results demonstrate the neuroprotective and antioxidant effects of resveratrol against ischemia‑induced apoptosis in the rat hippocampus.

Introduction

Stroke has been recognized as a leading cause of disability and is the second most common cause of mortality in adults worldwide (1). Research has indicated that the use of neuroprotective agents may be a suitable approach to the treatment of stroke. Although numerous clinical trials have been conducted with potentially neuroprotective agents, few have been used clinically (2,3).

During ischemic insult, the production of reactive oxygen species (ROS) increases. This leads to neuronal death, brain edema and inflammation (4). ROS produced at the early phase of neuronal apoptosis act as mediators of intracellular apoptotic signaling cascades (5), and pathologically accelerate the release of cytochrome c from mitochondria (6,7). ROS production evidently increases following ischemia, which leads to oxidative stress (8–10). Studies have revealed that at least some of the effects on cells of exposure to ROS are similar to those of ischemic insult. The brain, which is a major metabolic organ of oxygen and has relatively weak protective antioxidant mechanisms, is particularly vulnerable to the insult perpetrated by ROS. The neuroprotective role of sirtuin 1 (SIRT1) has been demonstrated in models of various neurodegenerative diseases, including Alzheimer's disease, Parkinson's disease and Huntington's disease (11,12).

Resveratrol (RSV; 3,5,4′-trihydroxy-trans-stilbene) is a naturally occurring phytoalexin that is present in the skin of red grapes and is a component of red wine (13,14). It mediates a variety of biological activities that are associated with extension of life span, even in those with a high caloric diet, and cancer prevention (15,16). Resveratrol acts as an activator of SIRT1 and has been shown to be neuroprotective in various models (16–18). The hippocampus is a region of active proliferation and neurogenesis within the brain. Ischemia induces apoptosis of neurons in the subventricular zone of the lateral ventricles and in the subgranular zone of the hippocampus in the adult brain. Transient global ischemia induces neuronal damage specifically in the hippocampus of rats (19,20).

In the current study, the aim was to investigate whether resveratrol inhibits the caspase cell death pathway to protect hippocampal neurons from ischemia and evaluate the effects of SIRT1 activation in the hippocampus. The mechanisms that lead to this phenomenon within neurons were also investigated.

Materials and methods

Chemicals and animals

Resveratrol was obtained from Sigma Chemicals (St. Louis, MO, USA). Male Sprague-Dawley rats weighing 200–220 g (n=24) were obtained from the Experimental Animal Research Center, Institute of Radiation Medicine, Chinese Academy of Medical Sciences and Peking Union Medical College, Tianjin, China. The rats were maintained in a room at 22±2°C, with a relative humidity of 50±10%, on a 12 h light-dark cycle. All animal experiments were conducted in accordance with a protocol approved by the Institutional Animal Care and Use Committee (IACUC) of the Institute of Radiation Medicine, Chinese Academy of Medical Sciences. (No. 1204). Rats were randomly divided into four groups (6 rats/group). These were the ischemia group (ISC group), the ischemia with 5 mg/kg resveratrol group (ISC + RSV-5 group), the ischemia with 10 mg/kg resveratrol group (ISC + RSV-10 group) and the control group.

Drug treatments

Rats in the control and ISC groups were given distilled water, while the rats in the ISC + RSV-5 and ISC + RSV-10 groups were respectively given drinking water plus 5 and 10 mg/kg resveratrol for 21 days.

Middle cerebral artery occlusion

Rats in the ISC group and the two ISC + RSV groups were anesthetized with 2% Napental (4 mg/kg, intraperitoneally) and then underwent surgery to induce middle cerebral artery occlusion. The middle cerebral artery was ligated with an intraluminal filament for 1.5 h and then reperfused for 24 h. For the sham group, the external carotid artery was surgically prepared for insertion of the filament, but no filament was inserted. During the experimental procedures, blood pressure, blood gas level and glucose levels were monitored. Rectal temperature was maintained at 37.0–37.5°C with a heating pad, and body temperature was maintained at 37°C with a thermostatically controlled infrared lamp. Brain temperature was maintained at 36–37°C and monitored with a 29-gauge thermocouple in the right corpus striatum and a temperature-regulating lamp. An electroencephalogram was taken to ensure isoelectricity during the ischemic period (19).

Tissue preparation

At 24 h after the experimental interventions, the rats were deeply anesthetized, sacrificed by an overdose of anesthesia and quickly treated with a cardiac perfusion of 4% paraformaldehyde. The hippocampi from 3 rats per group were extracted and cut into 12-µm coronal sections with a cryostat (CM 3000; Leica, Manheim, Germany) then placed on glass slides and stored at −80°C (21,22).

Immunohistology, terminal deoxynucleotidyl transferase dUTP nick end-labeling (TUNEL) staining and cresyl violet (CV) staining

The avidin-biotin-peroxidase complex method of immunohistochemical staining was conducted as previously described (23). DNA fragmentation was detected using a TUNEL kit (Roche Diagnostics Corporation, Indianapolis, IN, USA) according to the manufacturer's instructions. The sections were stained with cresyl violet (CV) using the conventional method and mounted (24).

Western blot analysis

The total protein and nuclear protein were isolated from hippocampi using RIPA buffer (Beyotime, Jiangsu, China) according to the manufacturer's instructions. The protein concentration of the supernatant homogenate was determined using a Bio-Rad kit (Bio-Rad, Hercules, CA, USA) at an absorbance of 595 nm. The samples (80 µg) were transferred to polyvinylidene difluoride membranes and incubated with the following primary antibodies: Rabbit monoclonal anti-SIRT1 antibodies obtained from Cell Signaling Technology (dilution 1:500; cat. no. 9475P, Beverly, MA, USA); rabbit monoclonal anti-β-actin (dilution 1:1,500; Sangon Biotech, Shanghai, China) was used for loading control and the secondary antibody was goat anti-rabbit IgG conjugated to horseradish peroxidase (dilution 1:500; ZSGB-Bio, Beijing, China).

RNA extraction, cDNA synthesis and reverse transcription-quantitative polymerase chain reaction (RT-qPCR)

Total RNA was purified and extracted as described previously by Chen et al (25). Equal concentrations of total RNA were reverse-transcribed using Prime Script RT reagent kit (Takara Bio Inc., Shiga, Japan) according to the manufacturer's instructions. cDNA samples were blended with primers and SYBR Master Mix (Invitrogen Life Technologies, Carlsbad, CA, USA) in a total volume of 25 ml. The samples were assayed in triplicate using an ABI PRISM® 7500 Sequence Detection system (Applied Biosystems-Life Technologies, Foster City, CA, USA). The cycle threshold (CT) values for each reaction were determined and the mean was calculated using TaqMan SDS analysis software (Applied Biosystems-Life Technologies). The expression levels of target genes were determined by the comparative CT method (fold change = 2−ΔΔCT). PCR primers for SIRT1 were obtained from Sangon Biotech (Shanghai, China). The primer pairs for SIRT1 were as follows: forward, 5′-CCAGATCCTCAAGCCATGT-3′ and reverse, 5′-TTGGATTCCTGCAACCTG-3′ (26).

Analysis of reactive oxygen species and SIRT1 activity

The fluorogenic probe 2′,7′-dichlorodihydrofluorescein diacetate was used to assess the production of ROS, as previously described (22). The activity of SIRT1 was analyzed using a fluorogenic assay according to the technique previously described by Li et al (22).

Statistical analysis

Data are presented as the mean ± standard deviation. Data were analyzed using one-way analysis of variance with a post hoc test (multiple comparison test), which determined the significant differences among groups. P<0.05 was considered to indicate a statistically significant difference.

Results

Immunohistology and TUNEL-positive cells within the hippocampi

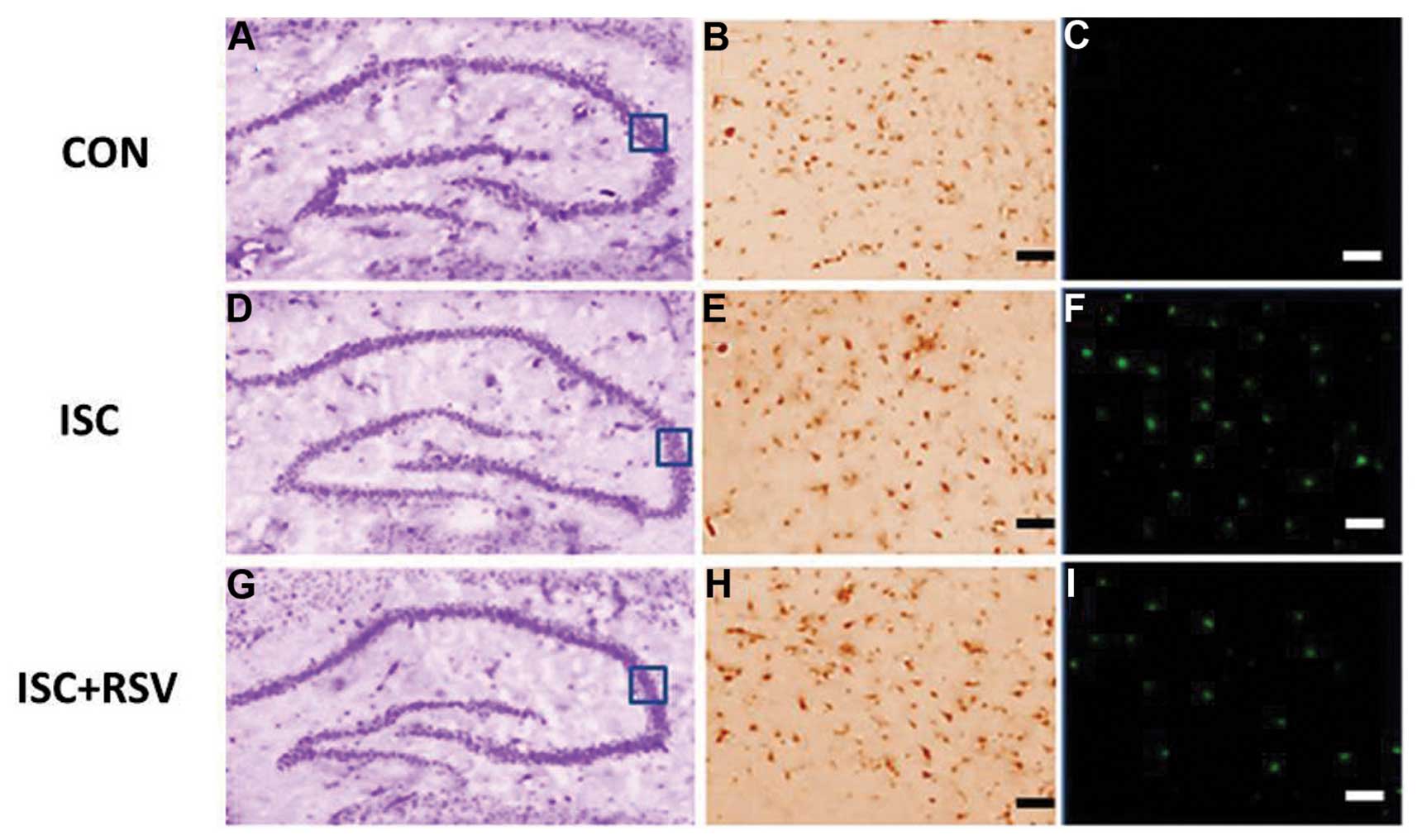
CV staining was conducted to stain Nissl bodies a purple-blue color (Fig. 1A, D and G). This revealed that distinct damage of neurons occurred in the ISC and ISC + RSV-10 groups (Fig. 1D and G) when compared with the control group (Fig. 1A). Immunohistochemical staining of SIRT1 in the hippocampi of the ISC group (Fig. 1H) was more intense than in the ISC + RSV group (Fig. 1E), which in turn was more intense than that in the control group (Fig. 1B). TUNEL-positive cells were most visible in the hippocampi of the ISC group (Fig. 1F), and visible at lower levels in the ISC + RSV group (Fig. 1I). The number of TUNEL-positive cells detected in the control rats was low (Fig. 1C) compared with that in the other two groups. These results indicate that RSV attenuated the ischemia-induced damage. The neurons in the hippocampi from control rats displayed few positive neurons. Rats in the ISC group notably became evident by a prominent growth in the number of TUNEL positive cells. TUNEL positive neurons in the ISC+RSV group markedly decreased compared with ischemia only (Fig. 2A).

Figure 1.

Representative images for (A, D, G) CV, (B, E, H) SIRT1 and (C, F, I) TUNEL staining in the CA3 hippocampal region. Scale bars: (B, C, E, F, H, I) 50 µm. The box indicates the image positioning of SIRT1 and TUNEL. CV, cresyl violet; TUNEL, terminal deoxynucleotidyl transferase dUTP nick end-labeling; SIRT1, sirtuin 1; CON, control; ISC, ischemia; RSV, resveratrol-10.

Figure 2.

(A) TUNEL staining results and (B) mean values of ROS production. TUNEL, terminal deoxynucleotidyl transferase dUTP nick end-labeling; ROS, reactive oxygen species; DCF, dichlorofluorescein; Con, control; ISC, ischemia; RSV-5, 5 mg/kg resveratrol; RSV-10, 10 mg/kg resveratrol. *P<0.05, **P<0.01.

ROS accumulation

As shown in Fig. 2B, ischemia increased the levels of ROS that were detected in the rat hippocampi. In addition, RSV effectively attenuated the ischemia-induced ROS production in the RSV-treated groups in a dose-dependent manner.

SIRT1 expression determined by western blotting and RT-qPCR analysis and SIRT1 activity

The expression levels of SIRT1 in the ISC and ISC + RSV groups exhibited significant differences compared with those in the control group at the protein and mRNA levels (Fig. 3). Treatment with resveratrol increased the expression of SIRT1 in a concentration-dependent manner (Fig. 3). SIRT1 activity was significantly increased following ischemia, and was particularly high in the ISC + RSV-5 and ISC + RSV-10 groups, where resveratrol increased the SIRT1 activity in a concentration-dependent manner (Fig. 4).

Figure 3.

Effects of resveratrol on the expression levels of SIRT1. (A) Western blotting results, (B) protein expression levels and (C) mRNA expression levels (expressed as relative values, which are mean ± standard deviation values compared with the control). SIRT1, sirtuin 1; Con, control; ISC, ischemia; RSV-5, 5 mg/kg resveratrol; RSV-10, 10 mg/kg resveratrol. *P<0.05, **P<0.01.

Figure 4.

SIRT1 enzyme activity in rats following ischemia (ISC) and resveratrol treatment, measured in total protein extracts from the hippocampal tissues. Results were normalized to control levels. SIRT1, sirtuin 1; RSV-5, 5 mg/kg resveratrol; RSV-10, 10 mg/kg resveratrol. **P<0.01.

Discussion

The results of the present study revealed that SIRT1 was highly expressed in rat hippocampal neurons following ischemia and that resveratrol effectively antagonized the oxidation induced by ischemia. SIRT1 provides neurons with tolerance against oxidative stress. It also plays an important role in the regulation of cellular functions. It can act on numerous non-histone proteins, including transcription factors and transcriptional coregulatory proteins (11,13). SIRT1 participates in the control of systemic metabolism via the regulation of glucose and lipid homeostasis by deacetylating various targets, and also increases chromatin silencing. Various target proteins are substrates for SIRT1 (27). Histone acetylation is closely associated with active transcription, and histone methylation is often associated with transcriptional repression (28). SIRT1 suppresses the expression of inflammatory genes by enhancing the activities of histone methyl transferases. For example, SIRT1 deacetylates and activates histone methyl transferase, resulting in increased levels of trimethyl-substituted histone, which suppresses the expression of inducible inflammatory genes (29).

Previous studies have suggested that SIRT1 activation elicits resistance to oxidative stress through the regulation of transcription factors and coactivators such as Hif-2a and NF-κB (30). P53 is an important factor involved in myocardial apoptosis, whose effects are achieved through the activation of the renin-angiotensin system. A study has indicated that when myocardial ischemia occurs, SIRT1 reduces the activity of P53 through deacetylation (31). SIRT1 is ubiquitously expressed in all tissues, particularly in the brain, and has been demonstrated to be a nuclear protein (32). However, SIRT1 has both nuclear import and export sequences and has been found to be present in the cytosolic fraction of mouse brains (33). Oxidative stress occurs as the result of a shift in balance that favors the generation of oxygen-derived ROS over certain antioxidant defense mechanisms. ROS can cause lipid peroxidation and lead to a loss of membrane integrity, reduction of mitochondrial membrane potential and increased permeability to Ca2+ in the plasma membrane (34). In the central nervous system, neurons are particularly vulnerable to assault by neurotoxins. Ischemia and oxidative stress are common underlying factors in this type of damage. In addition to exerting direct effects on vascular tone, ROS also impair vasomotor responses to other stimuli. Resveratrol has been identified to have notable antiinflammatory activity. It downregulates the activation of immune cells and the subsequent synthesis and release of pro-inflammatory mediators through the inhibition of transcriptional factors such as NF-κB. Resveratrol has also been shown to inhibit the activation of microglia (35,36).

In a number of experimental paradigms, resveratrol is used to increase SIRT1 activity. However, recent studies (26,37,38) have demonstrated that resveratrol does not directly activate SIRT1, which indicates that mediators may be involved in the activation process. Certain studies, discussed in a review (38), support the hypothesis that mechanisms other than direct activation bring about P53 acetylation by resveratrol. Another study demonstrated that SIRT1-dependent pathways, in addition to nitric oxide (NO)-dependent mechanisms, contribute to the beneficial mitochondrial and cellular effects of dietary restriction (39). Many of the effects that have been observed in resveratrol-treated animals are consistent with the modulation of SIRT1 targets (40). SIRT1 may regulate a number of pathways involved in mitochondrial biogenesis. The pathways controlled by endothelium-derived NO are suggested to be the most important (41). Resveratrol improves NO production by upregulating endothelial NO synthase at the level of transcription (42). However, whether resveratrol modulates other critical genes remains unclear. Although SIRT1 levels have been observed to increase following the administration of resveratrol, the protective effect of resveratrol may be SIRT1-independent. Future studies to clarify the understanding of the cellular mechanisms involved in the neuroprotective effects of resveratrol may provide new avenues for the treatment of ischemia-induced disorders and experiments using SIRT1-knockout rats may reveal the true correlation between SIRT1 and resveratrol.

In conclusion, in the present study, it was observed that resveratrol significantly decreased the number of TUNEL-positive cells, and increased SIRT1 mRNA expression levels, in addition to increasing the expression levels of SIRT1 protein and SIRT1 activity. The results indicate the neuroprotective and antioxidant effects of resveratrol against ischemia-induced apoptosis in the rat hippocampus.

Acknowledgements

The authors are grateful to the National Science & Technology Pillar Program during the 12th Five-year Plan Period (No. 2012BA127B02) and the PUMC graduate student innovation fund.

References

1 

Feigin VL, Lawes CM, Bennett DA and Anderson CS: Stroke epidemiology: A review of population-based studies of incidence, prevalence and case-fatality in the late 20th century. Lancet Neurol. 2:43–53. 2003. View Article : Google Scholar : PubMed/NCBI

2 

Green AR, Odergren T and Ashwood T: Animal models of stroke: Do they have value for discovering neuroprotective agents. Trend Pharmacol Sci. 24:402–408. 2003. View Article : Google Scholar

3 

Xu SY and Pan SY: The failure of animal models of neuroprotection in acute ischemic stroke to translate to clinical efficacy. Med Sci Monit Basic Res. 19:37–45. 2013. View Article : Google Scholar : PubMed/NCBI

4 

Moro MA, Almeida A, Bolanos JP and Lizasoain I: Mitochondrial respiratory chain and free radical generation in stroke. Free Radic Biol Med. 39:1291–1304. 2005. View Article : Google Scholar : PubMed/NCBI

5 

Martin-Romero FJ, Garcia-Martin E and Gutierrez-Merino C: Inhibition of oxidative stress produced by plasma membrane NADH oxidase delays low-potassium-induced apoptosis of cerebellar granule cells. J Neurochem. 82:705–715. 2002. View Article : Google Scholar : PubMed/NCBI

6 

Atlante A, Bobba A, Calissano P, Passarella S and Marra E: The apoptosis/necrosis transition in cerebellar granule cells depends on the mutual relationship of the antioxidant and the proteolytic systems which regulate ROS production and cytochrome c release enroute to death. J Neurochem. 84:960–971. 2003. View Article : Google Scholar : PubMed/NCBI

7 

Li J, Wang Y, Du L, Xu C, Cao J, Wang Q, Liu Q and Fan F: Radiation-induced cytochrome c release and the neuroprotective effects of the pan-caspase inhibitor z-VAD-fmk in the hypoglossal nucleus. Exp Ther Med. 7:383–388. 2014.PubMed/NCBI

8 

Kleikers PW, Wingler K, Hermans JJ, Diebold I, Altenhöfer S, Radermacher KA, Janssen B, Görlach A and Schmidt HH: NADPH oxidases as a source of oxidative stress and molecular target in ischemia/reperfusion injury. J Mol Med (Berl). 90:1391–1406. 2012. View Article : Google Scholar : PubMed/NCBI

9 

Zuo L and Motherwell MS: The impact of reactive oxygen species and genetic mitochondrial mutations in Parkinson's disease. Gene. 532:18–23. 2013. View Article : Google Scholar : PubMed/NCBI

10 

Sochocka M, Koutsouraki ES, Gasiorowski K and Leszek J: Vascular oxidative stress and mitochondrial failure in the pathobiology of Alzheimer's disease: A new approach to therapy. CNS Neurol Disord Drug Targets. 12:870–881. 2013. View Article : Google Scholar : PubMed/NCBI

11 

Jeong H, Cohen DE, Cui L, Supinski A, Savas JN, Mazzulli JR, Yates JR III, Bordone L, Guarente L and Krainc D: SIRT1 mediates neuroprotection from mutant huntingtin by activation of the TORC1 and CREB transcriptional pathway. Nat Med. 18:159–165. 2011. View Article : Google Scholar : PubMed/NCBI

12 

Donmez G, Arun A, Chung CY, McLean PJ, Lindquist S and Guarente L: SIRT1 protects against alpha-synuclein aggregation by activating molecular chaperones. J Neurosci. 32:124–132. 2012. View Article : Google Scholar : PubMed/NCBI

13 

Chong ZZ, Shang YC, Wang S and Maiese K: SIRT1: New avenues of discovery for disorders of oxidative stress. Expert Opin Ther Targets. 16:167–178. 2012. View Article : Google Scholar : PubMed/NCBI

14 

Nakata R, Takahashi S and Inoue H: Recent advances in the study on resveratrol. Biol Pharm Bull. 35:273–279. 2012. View Article : Google Scholar : PubMed/NCBI

15 

Gruber J, Tang SY and Halliwell B: Evidence for a trade-off between survival and fitness caused by resveratrol treatment of Caenorhabditis elegans. Ann NY Acad Sci. 1100:530–542. 2007. View Article : Google Scholar : PubMed/NCBI

16 

Pasinetti GM, Wang J, Marambaud P, Ferruzzi M, Gregor P, Knable LA and Ho L: Neuroprotective and metabolic effects of resveratrol: Therapeutic implications for Huntington's disease and other neurodegenerative disorders. Exp Neurol. 232:1–6. 2011. View Article : Google Scholar : PubMed/NCBI

17 

Brasnyó P, Molnár GA, Mohás M, Markó L, Laczy B, Cseh J, Mikolás E, Szijártó IA, Mérei A, Halmai R, Mészáros LG, et al: Resveratrol improves insulin sensitivity, reduces oxidative stress and activates the Akt pathway in type 2 diabetic patients. Br J Nutr. 106:383–389. 2011. View Article : Google Scholar : PubMed/NCBI

18 

Bradamante S, Barenghi L and Villa A: Cardiovascular protective effects of resveratrol. Cardiovasc Drug Rev. 22:169–188. 2004. View Article : Google Scholar : PubMed/NCBI

19 

Pulsinelli WA, Brierley JB and Plum F: Temporal profile of neuronal damage in a model of transient forebrain ischemia. Ann Neurol. 11:491–498. 1982. View Article : Google Scholar : PubMed/NCBI

20 

Nikonenko AG, Radenovic L, Andjus PR and Skibo GG: Structural features of ischemic damage in the hippocampus. Anat Rec (Hoboken). 292:1914–1921. 2009. View Article : Google Scholar : PubMed/NCBI

21 

Li H, Zhang Y, Yu Y, Li B, Chen Y, Wu H, Wang J, Li J, Xiong X, He Q, Tian J, et al: Systemic revealing pharmacological signalling pathway networks in the hippocampus of ischaemia-reperfusion rats treated with baicalin. Evid Based Complement Alternat Med. 2013:6307232013.PubMed/NCBI

22 

Li J, Feng L, Xing Y, Wang Y, Du L, Xu C, Cao J, Wang Q, Fan S, Liu Q and Fan F: Radioprotective and Antioxidant effect of Resveratrol in Hippocampus by activating SIRT1. Int J Mol Sci. 15:5928–5939. 2014. View Article : Google Scholar : PubMed/NCBI

23 

Kang Y, Jung WY, Lee H, Lee E, Kim A and Kim BH: Expression of SIRT1 and DBC1 in gastric adenocarcinoma. Korean J Pathol. 46:523–531. 2012. View Article : Google Scholar : PubMed/NCBI

24 

Matsushita T, Sasaki H, Takayama K, Ishida K, Matsumoto T, Kubo S, Matsuzaki T, Nishida K, Kurosaka M and Kuroda R: The overexpression of SIRT1 inhibited osteoarthritic gene expression changes induced by interleukin-1β in human chondrocytes. J Orthop Res. 31:531–537. 2013. View Article : Google Scholar : PubMed/NCBI

25 

Chen F, Xu C, Du L, Wang Y, Cao J, Fu Y, Guo Y, Liu Q and Fan F: Tat-SmacN7 induces radiosensitization in cancer cells through the activation of caspases and induction of apoptosis. Int J Oncol. 42:985–992. 2013.PubMed/NCBI

26 

Fu Y, Wang Y, Du L, Xu C, Cao J, Fan T, Liu J, Su F, Fan S, Liu Q and Fan F: Resveratrol inhibits ionising irradiation-induced inflammation in MSCs by activating SIRT1 and limiting NLRP-3 inflammasome activation. Int J Mol Sci. 14:14105–14118. 2013. View Article : Google Scholar : PubMed/NCBI

27 

Kitada M and Koya D: SIRT1 in Type 2 Diabetes: Mechanisms and therapeutic potential. Diabetes Metab J. 37:315–325. 2013. View Article : Google Scholar : PubMed/NCBI

28 

Bernstein BE, Meissner A and Lander ES: The mammalian epigenome. Cell. 128:669–681. 2007. View Article : Google Scholar : PubMed/NCBI

29 

Vaquero A, Scher M, Erdjument-Bromage H, Tempst P, Serrano L and Reinberg D: SIRT1 regulates the histone methyl-transferase SUV39H1 during heterochromatin formation. Nature. 450:440–444. 2007. View Article : Google Scholar : PubMed/NCBI

30 

Nadtochiy SM, Redman E, Rahman I and Brookes PS: Lysine deacetylation in ischaemic preconditioning: The role of SIRT1. Cardiovasc Res. 89:643–649. 2011. View Article : Google Scholar : PubMed/NCBI

31 

Shin SM, Cho IJ and Kim SG: Resveratrol protects mitochondria against oxidative stress through AMP-activated protein kinase-mediated glycogen synthase kinase-3beta inhibition downstream of poly (ADP-ribose) polymerase-LKB1 pathway. Mol Pharmacol. 76:884–895. 2009. View Article : Google Scholar : PubMed/NCBI

32 

Ramadori G, Lee CE, Bookout AL, Lee S, Williams KW, Anderson J, Elmquist JK and Coppari R: Brain SIRT1: anatomical distribution and regulation byenergy availability. J Neurosci. 28:9989–9996. 2008. View Article : Google Scholar : PubMed/NCBI

33 

Tanno M, Sakamoto J, Miura T, Shimamoto K and Horio Y: Nucleocytoplasmic shuttling of the NAD+-dependent histone deacetylase SIRT1. J Biol Chem. 282:6823–6832. 2007. View Article : Google Scholar : PubMed/NCBI

34 

Wassmann S, Wassmann K and Nickenig G: Modulation of oxidant and antioxidant enzyme expression and function in vascular cells. Hypertension. 44:381–386. 2004. View Article : Google Scholar : PubMed/NCBI

35 

Lu X, Ma L, Ruan L, Kong Y, Mou H, Zhang Z, Wang Z, Wang JM and Le Y: Resveratrol differentially modulates inflammatory responses of microglia and astrocytes. J Neuroinflammation. 7:462010. View Article : Google Scholar : PubMed/NCBI

36 

Terashvili M, Pratt PF, Gebremedhin D, Narayanan J and Harder DR: Reactive oxygen species cerebral autoregulation in health and disease. Pediatr Clin North Am. 53:1029–1037. 2006. View Article : Google Scholar : PubMed/NCBI

37 

Zhang F, Liu J and Shi JS: Anti-inflammatory activities of resveratrol in the brain: Role of resveratrol in microglial activation. Eur J Pharmacol. 636:1–7. 2010. View Article : Google Scholar : PubMed/NCBI

38 

Hu Y, Liu J, Wang J and Liu Q: The controversial links among calorie restriction, SIRT1 and resveratrol. Free Radic Biol Med. 51:250–256. 2011. View Article : Google Scholar : PubMed/NCBI

39 

Nisoli E, Tonello C, Cardile A, Cozzi V, Bracale R, Tedesco L, Falcone S, Valerio A, Cantoni O, Clementi E, Moncada S, et al: Calorie restriction promotes mitochondrial biogenesis byinducing the expression of eNOS. Science. 310:314–317. 2005. View Article : Google Scholar : PubMed/NCBI

40 

Lagouge M, Argmann C, Gerhart-Hines Z, Meziane H, Lerin C, Daussin F, Messadeq N, Milne J, Lambert P, Elliott P, Geny B, et al: Resveratrol improves mitochondrial function and protects against metabolic disease by activating SIRT1 and PGC-1alpha. Cell. 127:1109–1122. 2006. View Article : Google Scholar : PubMed/NCBI

41 

Csiszar A, Labinskyy N, Pinto JT, Ballabh P, Zhang H, Losonczy G, Pearson K, de Cabo R, Pacher P, Zhang C, et al: Resveratrol induces mitochondrial biogenesis in endothelial cells. Am J Physiol Heart Circ Physiol. 297:H13–H20. 2009. View Article : Google Scholar : PubMed/NCBI

42 

Pearson KJ, Baur JA, Lewis KN, Peshkin L, Price NL, Labinskyy N, et al: Resveratrol delays age-related deterioration and mimics transcriptional aspects of dietary restriction without extending life span. Cell Metab. 8:157–168. 2008.

Lu X, Ma L, Ruan L, Kong Y, Mou H, Zhang Z, Wang Z, Wang JM and Le Y: Resveratrol differentially modulates inflammatory responses of microglia and astrocytes. J Neuroinflammation. 7:462010. View Article : Google Scholar : PubMed/NCBI

Related Articles

  • Abstract
  • View
  • Download
  • Twitter
Copy and paste a formatted citation
Spandidos Publications style
Meng Z, Li J, Zhao H, Liu H, Zhang G, Wang L, Hu H, Li D, Liu M, Bi F, Bi F, et al: Resveratrol relieves ischemia‑induced oxidative stress in the hippocampus by activating SIRT1. Exp Ther Med 10: 525-530, 2015.
APA
Meng, Z., Li, J., Zhao, H., Liu, H., Zhang, G., Wang, L. ... Buren, B. (2015). Resveratrol relieves ischemia‑induced oxidative stress in the hippocampus by activating SIRT1. Experimental and Therapeutic Medicine, 10, 525-530. https://doi.org/10.3892/etm.2015.2555
MLA
Meng, Z., Li, J., Zhao, H., Liu, H., Zhang, G., Wang, L., Hu, H., Li, D., Liu, M., Bi, F., Wang, X., Tian, G., Liu, Q., Buren, B."Resveratrol relieves ischemia‑induced oxidative stress in the hippocampus by activating SIRT1". Experimental and Therapeutic Medicine 10.2 (2015): 525-530.
Chicago
Meng, Z., Li, J., Zhao, H., Liu, H., Zhang, G., Wang, L., Hu, H., Li, D., Liu, M., Bi, F., Wang, X., Tian, G., Liu, Q., Buren, B."Resveratrol relieves ischemia‑induced oxidative stress in the hippocampus by activating SIRT1". Experimental and Therapeutic Medicine 10, no. 2 (2015): 525-530. https://doi.org/10.3892/etm.2015.2555
Copy and paste a formatted citation
x
Spandidos Publications style
Meng Z, Li J, Zhao H, Liu H, Zhang G, Wang L, Hu H, Li D, Liu M, Bi F, Bi F, et al: Resveratrol relieves ischemia‑induced oxidative stress in the hippocampus by activating SIRT1. Exp Ther Med 10: 525-530, 2015.
APA
Meng, Z., Li, J., Zhao, H., Liu, H., Zhang, G., Wang, L. ... Buren, B. (2015). Resveratrol relieves ischemia‑induced oxidative stress in the hippocampus by activating SIRT1. Experimental and Therapeutic Medicine, 10, 525-530. https://doi.org/10.3892/etm.2015.2555
MLA
Meng, Z., Li, J., Zhao, H., Liu, H., Zhang, G., Wang, L., Hu, H., Li, D., Liu, M., Bi, F., Wang, X., Tian, G., Liu, Q., Buren, B."Resveratrol relieves ischemia‑induced oxidative stress in the hippocampus by activating SIRT1". Experimental and Therapeutic Medicine 10.2 (2015): 525-530.
Chicago
Meng, Z., Li, J., Zhao, H., Liu, H., Zhang, G., Wang, L., Hu, H., Li, D., Liu, M., Bi, F., Wang, X., Tian, G., Liu, Q., Buren, B."Resveratrol relieves ischemia‑induced oxidative stress in the hippocampus by activating SIRT1". Experimental and Therapeutic Medicine 10, no. 2 (2015): 525-530. https://doi.org/10.3892/etm.2015.2555
Follow us
  • Twitter
  • LinkedIn
  • Facebook
About
  • Spandidos Publications
  • Careers
  • Cookie Policy
  • Privacy Policy
How can we help?
  • Help
  • Live Chat
  • Contact
  • Email to our Support Team