Spandidos Publications Logo
  • About
    • About Spandidos
    • Aims and Scopes
    • Abstracting and Indexing
    • Editorial Policies
    • Reprints and Permissions
    • Job Opportunities
    • Terms and Conditions
    • Contact
  • Journals
    • All Journals
    • Oncology Letters
      • Oncology Letters
      • Information for Authors
      • Editorial Policies
      • Editorial Board
      • Aims and Scope
      • Abstracting and Indexing
      • Bibliographic Information
      • Archive
    • International Journal of Oncology
      • International Journal of Oncology
      • Information for Authors
      • Editorial Policies
      • Editorial Board
      • Aims and Scope
      • Abstracting and Indexing
      • Bibliographic Information
      • Archive
    • Molecular and Clinical Oncology
      • Molecular and Clinical Oncology
      • Information for Authors
      • Editorial Policies
      • Editorial Board
      • Aims and Scope
      • Abstracting and Indexing
      • Bibliographic Information
      • Archive
    • Experimental and Therapeutic Medicine
      • Experimental and Therapeutic Medicine
      • Information for Authors
      • Editorial Policies
      • Editorial Board
      • Aims and Scope
      • Abstracting and Indexing
      • Bibliographic Information
      • Archive
    • International Journal of Molecular Medicine
      • International Journal of Molecular Medicine
      • Information for Authors
      • Editorial Policies
      • Editorial Board
      • Aims and Scope
      • Abstracting and Indexing
      • Bibliographic Information
      • Archive
    • Biomedical Reports
      • Biomedical Reports
      • Information for Authors
      • Editorial Policies
      • Editorial Board
      • Aims and Scope
      • Abstracting and Indexing
      • Bibliographic Information
      • Archive
    • Oncology Reports
      • Oncology Reports
      • Information for Authors
      • Editorial Policies
      • Editorial Board
      • Aims and Scope
      • Abstracting and Indexing
      • Bibliographic Information
      • Archive
    • Molecular Medicine Reports
      • Molecular Medicine Reports
      • Information for Authors
      • Editorial Policies
      • Editorial Board
      • Aims and Scope
      • Abstracting and Indexing
      • Bibliographic Information
      • Archive
    • World Academy of Sciences Journal
      • World Academy of Sciences Journal
      • Information for Authors
      • Editorial Policies
      • Editorial Board
      • Aims and Scope
      • Abstracting and Indexing
      • Bibliographic Information
      • Archive
    • International Journal of Functional Nutrition
      • International Journal of Functional Nutrition
      • Information for Authors
      • Editorial Policies
      • Editorial Board
      • Aims and Scope
      • Abstracting and Indexing
      • Bibliographic Information
      • Archive
    • International Journal of Epigenetics
      • International Journal of Epigenetics
      • Information for Authors
      • Editorial Policies
      • Editorial Board
      • Aims and Scope
      • Abstracting and Indexing
      • Bibliographic Information
      • Archive
    • Medicine International
      • Medicine International
      • Information for Authors
      • Editorial Policies
      • Editorial Board
      • Aims and Scope
      • Abstracting and Indexing
      • Bibliographic Information
      • Archive
  • Articles
  • Information
    • Information for Authors
    • Information for Reviewers
    • Information for Librarians
    • Information for Advertisers
    • Conferences
  • Language Editing
Spandidos Publications Logo
  • About
    • About Spandidos
    • Aims and Scopes
    • Abstracting and Indexing
    • Editorial Policies
    • Reprints and Permissions
    • Job Opportunities
    • Terms and Conditions
    • Contact
  • Journals
    • All Journals
    • Biomedical Reports
      • Information for Authors
      • Editorial Policies
      • Editorial Board
      • Aims and Scope
      • Abstracting and Indexing
      • Bibliographic Information
      • Archive
    • Experimental and Therapeutic Medicine
      • Information for Authors
      • Editorial Policies
      • Editorial Board
      • Aims and Scope
      • Abstracting and Indexing
      • Bibliographic Information
      • Archive
    • International Journal of Epigenetics
      • Information for Authors
      • Editorial Policies
      • Editorial Board
      • Aims and Scope
      • Abstracting and Indexing
      • Bibliographic Information
      • Archive
    • International Journal of Functional Nutrition
      • Information for Authors
      • Editorial Policies
      • Editorial Board
      • Aims and Scope
      • Abstracting and Indexing
      • Bibliographic Information
      • Archive
    • International Journal of Molecular Medicine
      • Information for Authors
      • Editorial Policies
      • Editorial Board
      • Aims and Scope
      • Abstracting and Indexing
      • Bibliographic Information
      • Archive
    • International Journal of Oncology
      • Information for Authors
      • Editorial Policies
      • Editorial Board
      • Aims and Scope
      • Abstracting and Indexing
      • Bibliographic Information
      • Archive
    • Medicine International
      • Information for Authors
      • Editorial Policies
      • Editorial Board
      • Aims and Scope
      • Abstracting and Indexing
      • Bibliographic Information
      • Archive
    • Molecular and Clinical Oncology
      • Information for Authors
      • Editorial Policies
      • Editorial Board
      • Aims and Scope
      • Abstracting and Indexing
      • Bibliographic Information
      • Archive
    • Molecular Medicine Reports
      • Information for Authors
      • Editorial Policies
      • Editorial Board
      • Aims and Scope
      • Abstracting and Indexing
      • Bibliographic Information
      • Archive
    • Oncology Letters
      • Information for Authors
      • Editorial Policies
      • Editorial Board
      • Aims and Scope
      • Abstracting and Indexing
      • Bibliographic Information
      • Archive
    • Oncology Reports
      • Information for Authors
      • Editorial Policies
      • Editorial Board
      • Aims and Scope
      • Abstracting and Indexing
      • Bibliographic Information
      • Archive
    • World Academy of Sciences Journal
      • Information for Authors
      • Editorial Policies
      • Editorial Board
      • Aims and Scope
      • Abstracting and Indexing
      • Bibliographic Information
      • Archive
  • Articles
  • Information
    • For Authors
    • For Reviewers
    • For Librarians
    • For Advertisers
    • Conferences
  • Language Editing
Login Register Submit
  • This site uses cookies
  • You can change your cookie settings at any time by following the instructions in our Cookie Policy. To find out more, you may read our Privacy Policy.

    I agree
Search articles by DOI, keyword, author or affiliation
Search
Advanced Search
presentation
Experimental and Therapeutic Medicine
Join Editorial Board Propose a Special Issue
Print ISSN: 1792-0981 Online ISSN: 1792-1015
Journal Cover
January-2016 Volume 11 Issue 1

Full Size Image

Sign up for eToc alerts
Recommend to Library

Journals

International Journal of Molecular Medicine

International Journal of Molecular Medicine

International Journal of Molecular Medicine is an international journal devoted to molecular mechanisms of human disease.

International Journal of Oncology

International Journal of Oncology

International Journal of Oncology is an international journal devoted to oncology research and cancer treatment.

Molecular Medicine Reports

Molecular Medicine Reports

Covers molecular medicine topics such as pharmacology, pathology, genetics, neuroscience, infectious diseases, molecular cardiology, and molecular surgery.

Oncology Reports

Oncology Reports

Oncology Reports is an international journal devoted to fundamental and applied research in Oncology.

Experimental and Therapeutic Medicine

Experimental and Therapeutic Medicine

Experimental and Therapeutic Medicine is an international journal devoted to laboratory and clinical medicine.

Oncology Letters

Oncology Letters

Oncology Letters is an international journal devoted to Experimental and Clinical Oncology.

Biomedical Reports

Biomedical Reports

Explores a wide range of biological and medical fields, including pharmacology, genetics, microbiology, neuroscience, and molecular cardiology.

Molecular and Clinical Oncology

Molecular and Clinical Oncology

International journal addressing all aspects of oncology research, from tumorigenesis and oncogenes to chemotherapy and metastasis.

World Academy of Sciences Journal

World Academy of Sciences Journal

Multidisciplinary open-access journal spanning biochemistry, genetics, neuroscience, environmental health, and synthetic biology.

International Journal of Functional Nutrition

International Journal of Functional Nutrition

Open-access journal combining biochemistry, pharmacology, immunology, and genetics to advance health through functional nutrition.

International Journal of Epigenetics

International Journal of Epigenetics

Publishes open-access research on using epigenetics to advance understanding and treatment of human disease.

Medicine International

Medicine International

An International Open Access Journal Devoted to General Medicine.

Journal Cover
January-2016 Volume 11 Issue 1

Full Size Image

Sign up for eToc alerts
Recommend to Library

  • Article
  • Citations
    • Cite This Article
    • Download Citation
    • Create Citation Alert
    • Remove Citation Alert
    • Cited By
  • Similar Articles
    • Related Articles (in Spandidos Publications)
    • Similar Articles (Google Scholar)
    • Similar Articles (PubMed)
  • Download PDF
  • Download XML
  • View XML
Article Open Access

Hepcidin in non-alcoholic fatty liver disease regulated by the TLR4/NF-κB signaling pathway

  • Authors:
    • Wei Chen
    • Xiaowei Wang
    • Li Huang
    • Bo Liu
  • View Affiliations / Copyright

    Affiliations: Department of Gastroenterology, Xiangyang Hospital Affiliated to Hubei University of Medicine, Xiangyang, Hubei 441000, P.R China, Department of Neurology, Xiangyang Hospital Affiliated to Hubei University of Medicine, Xiangyang, Hubei 441000, P.R China
    Copyright: © Chen et al. This is an open access article distributed under the terms of Creative Commons Attribution License.
  • Pages: 73-76
    |
    Published online on: November 17, 2015
       https://doi.org/10.3892/etm.2015.2873
  • Expand metrics +
Metrics: Total Views: 0 (Spandidos Publications: | PMC Statistics: )
Metrics: Total PDF Downloads: 0 (Spandidos Publications: | PMC Statistics: )
Cited By (CrossRef): 0 citations Loading Articles...

This article is mentioned in:



Abstract

The aim of our study was to analyze the role of toll-like receptor 4 (TLR4)/nuclear factor (NF)-κB signal pathway on Hepcidin regulation in non‑alcoholic fatty liver disease (NAFLD). A total of 60 male Sprague‑Dawley rats were randomly divided into the control, NAFLD and intervention groups. Rats in the control group were fed with standard laboratory diet, and rats in the NAFLD and intervention groups were fed with a high‑fat diet. A final volume of 2 ml of pathenolide (10 µmol/l) was administered intraperitoneally only to the rats in the intervention group. The tissue sections were stained with hematoxylin and eosin and the pathological changes in liver tissues were observed and scored. The levels of TLR4 and NF‑κB in liver tissues were quantified by western blotting. NAFLD rats appeared to have typical liver fatty degeneration and the expression of TLR4/NF‑κB proteins and Hepcidin mRNA was significantly higher than that in the control group (P<0.05). However, the pathological changes observed in the intervention group had a marked improvement with a significant reduction in the TLR4/NF-κB protein and Hepcidin mRNA expression (P<0.05). In conclusion, the abnormal activation of the TLR4/NF-κB signaling pathway may cause NAFLD through the overexpression of Hepcidin.

Introduction

In recent years, high-fat diet due to the improvement of standards of living have led to an increase in the morbidity of non-alcoholic fatty liver disease (NAFLD), particularly in younger patients in countries such as China (1–3). NAFLD is a medical condition characterized by a series of hepatic pathological changes including simple steatosis, non-alcoholic steatohepatitis and cirrhosis (4–6).

Hepcidin, secreted by hepatic cells, is a key regulator of the absorption of iron into the blood circulation in human. The association between disturbances in iron metabolism and the manifestation of NAFLD is well established (7). Since Hepcidin regulates iron absorption, its increased level can accelerate the development of the disease. Nuclear factor (NF)-κB is known to play a crucial role in the transformation from simple steatosis to steatohepatitis (8). The excitation of toll-like receptor 4 (TLR4) activates NF-κB through a cascade of signal transduction, which, in turn, promotes the release of transforming growth factor-β (TGF-β), ultimately inducing the necrosis of liver cells, inflammation and the formation of fibrosis (9).

The aim of the present study was to investigate the manner in which Hepcidin in NAFLD is regulated by the TLR4/NF-κB signaling pathway by observing changes in Hepcidin expression in NAFLD rats treated with pathenolide, an established NF-κB inhibitor.

Materials and methods

Animals

Sixty male Sprague-Dawley rats (200±20 g) were obtained from the Animal Center of Wuhan University (Wuhan, China) were used for the study. Following an acclimatization period, the rats were randomly divided into the control, NAFLD and intervention groups (n=20 animals per group). The rats of the control group received standard laboratory diet, the NAFLD group received high-fat diet (standard laboratory diet + 2% cholesterol + 10% lard + 2.5% vegetable oil) and the intervention group received high-fat diet and was also administered with 10 µmmol/2 ml of pathenolide intraperitoneally. The rats were maintained and fed for 28 days. After 28 days, the rats were sacrificed by cervical dislocation under ether anesthesia and a small portion of hepatic tissue from the right lobe of the liver was excised.

Chemicals

Pathenolide was purchased from Sigma-Aldrich China, Inc. (Shanghai, China). Rabbit anti-human TLR4 antibody, goat anti-mouse NF-κB antibody and rabbit anti-rat Hepcidin antibody were purchased from Santa Cruz Biotechnology, Inc. (Santa Cruz, CA, USA). Rabbit anti-goat immunoglobulin G (IgG) was purchased from Wuhan Boster Biological Technology, Ltd. (Wuhan, China). The quantitative polymerase chain reaction (qPCR) kit was purchased from Takara Biomedical Technology Co., Ltd. (Beijing, China).

Histological analysis

The excised tissues were fixed in 10% formalin, embedded in paraffin, and cut into 4 µm sections. The microsections were stained with hematoxylin and eosin. The stained sections were observed under a microscope (Olympus CX31-LV320; Olympus, Tokyo, Japan) and the changes recorded. Fat dying was analyzed by oil red staining in which the liver cell nucleus became hyacinthine and the lipid droplets red.

Evaluation of liver histopathology

The degree of fat degeneration was evaluated by taking into account the ratio of the number of lipid droplets in the hepatic lobule/total number of cells, which was scored as: 0 (−), <1/3 (+), 1/3–2/3 (++), >2/3(+++), and =1 (++++).

Quantification of TLR4 and NF-κB

Total protein from hepatic tissue was extracted from cell lysate using TRIzol reagent (Invitrogen-Life Technologies, Carlsbad, CA, USA). Protein concentration was determined by Coomassie Brilliant Blue Staining method. Protein (20 µg) was loaded and resolved using a 10% SDS-PAGE and transferred to a nitrocellulose membrane. The membrane was blocked with 5% non-fat skim milk at room temperature (25°C). The membrane was then incubated with primary antibodies such as rabbit anti-human TLR4 polyclonal antibody and goat anti-rat NF-κB (dilution 1:500) for 12 h. Subsequently, horseradish peroxidase conjugated rabbit anti-goat IgG (dilution 1:1,000) was added and the membrane was incubated for 1 h at room temperature. Enhanced chemiluminescence reagent (Boster Biological Technology, Ltd., Wuhan, China) was used to detect hybridization signal and Quantity One® software (Bio-Rad Laboratories, Inc., Hercules, CA, USA) was used to analyze the relative amount of TLR4 and NF-κB proteins. β-actin served as the internal reference.

qPCR quantification of Hepcidin mRNA

Total RNA was extracted using TRIzol reagent. The isolated RNA was quantified spectrophotometrically at a wavelenghth of 260 nm. qPCR analysis was conducted as per the manufacturer's instructions (Takara Biomedical Technology Co., Ltd.). Obtained amplicons were subjected to agarose gel (Sigma-Aldrich Inc., Shanghai, China) electrophoresis. qPCR data analysis was performed by normalization of data to β-actin as the standard to determine the absolute quantity of starting Hepcidin gene expression. The primer sequences used to analyze the Hepcidin gene are shown in Table I.

Table I.

Primer sequences used for quantitative polymerase chain reaction.

Table I.

Primer sequences used for quantitative polymerase chain reaction.

GenePrimer sequenceAmplicon (bp)
HepcidinUpstream: 5′-TGTCTCCTGCTTCTCCTCCTTG-3′291
Downstream: 5′-GGAGGGCAGGAATAAATAATGG-3′
β-actinUpstream: 5′-CCACAGCTGAGAGGGAAATC-3′108
Downstream: 5′-TCTCTTCCCACTCACGGGTTGIL-3′
Statistical analysis

Data were analyzed using SPSS 15.0 statistical software (SPSS, Inc., Chicago, IL, USA) and presented as mean ± standard deviation. P<0.05 was considered to indicate a statistically significant difference.

Results

Visual screening of liver

The shape, texture and color of the liver in the control group appeared normal. However, in the NAFLD group, the volume of the liver had increased with an obtuse margin and the section appeared faint yellow and was slightly greasy. The appearance of liver in the intervention group was similar to the control group.

Histopathology of liver

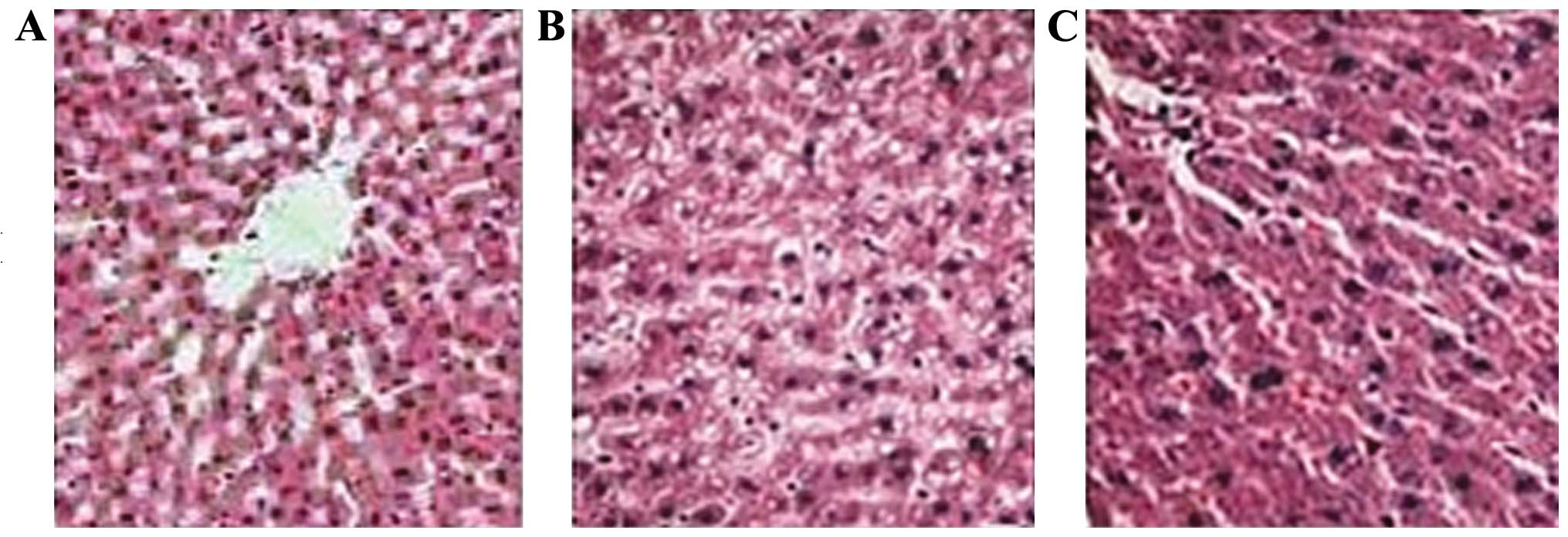
In the control group, the structure of the hepatic lobule and hepatic cords appeared normal and the cells were arranged in an orderly manner. At the center of the cells, the nucleus was intact and the cytoplasm was well distributed without the lipid droplet (Fig. 1A). In the NAFLD group, the structure of the hepatic lobule was irregular. Diffuse and numerous round fat vacuoles of varying size with hydropic degeneration and inflammatory cell infiltration were observed. A number of cells contained large red fat vacuoles (Fig. 1B). In the intervention group, a few microvesicular fat droplets were evident (Fig. 1C).

Figure 1.

Histological analysis of liver biopsy. (A) Control, (B) non-alcoholic fatty liver disease and (C) intervention groups.

Downregulation of TLR4 and NF-κB proteins

The levels of TLR4 and NF-κB in the NAFLD group were significantly higher when compared with the control group (P<0.05; Table II and Fig. 2). TLR4 and NF-κB levels in the intervention group were significantly decreased (P<0.05) in comparison with the NAFLD group as shown in Table II and. Fig. 2

Figure 2.

Western blot analysis of toll like receptor 4 (TLR4) and nuclear factor (NF)-κB. (1) Control, (2) non-alcoholic fatty liver disease and (3) intervention groups

Table II.

The relative amount of TLR4 and NK-κB proteins in the control, NAFLD and intervention groups.

Table II.

The relative amount of TLR4 and NK-κB proteins in the control, NAFLD and intervention groups.

GroupTLR4NK-κB
Control0.24±0.170.92±0.14
NAFLD 1.53±0.18a 1.63±0.12a
Intervention 0.31±0.11b 1.01±0.09b

a P<0.05 vs. control group;

b P<0.05 vs. NAFLD group. TLR4, toll-like receptor 4; NK-κB, nuclear factor-κB; NAFLD, non-alcoholic fatty liver disease.

Downregulation of Hepcidin by pathenolide

Hepcidin was found to be overexpressed in the NAFLD group as compared to the control group (P<0.05) (Fig. 3). Hepcidin was significantly downregulated by pathenolide in the intervention group as compared to the NAFLD group (P<0.05).

Figure 3.

Quantitative polymerase chain reaction examination of Hepcidin mRNA of (1) control, (2) non-alcoholic fatty liver disease and (3) intervention groups. (M) 100 bp marker.

Discussion

Hepcidin is a key regulatory factor of iron homeostasis (10,11) in which iron absorption and recycling is affected by the degradation of ferroprotein, thereby downregulating iron concentration in intestinal mucosa cells and macrophage cells and hepatocytes (12). Currently, iron overload has been identified in several types of chronic diseases due to imbalances in iron homeostasis. Previous findings suggested that during the transformation from simple hepatic steatosis into non-alcoholic steatohepatitis, the iron deposition in the liver gradually increases, showing a significant positive correlation with the severity of disease (13,14).

NF-κB is a crucial transcriptional regulator that regulates genes involved in the induction of inflammation. The adipose tissue is the main source of cytokines. However, the condition of liver cell steatosis promotes the release of various cytokines that have a strong proinflammatory effect such as tumor necrosis factor-α, while TGF-β plays an important role through the signaling pathway of NF-κB (15–18). Since inflammation during liver steatosis is capable of upregulating TLR4/NF-κB, which in turn leads to the overexpression of Hepcidin, this may be a possible reason for the accumulation of excess iron in the liver of NAFLD patients (19,20).

The present study has demonstrated that the NAFLD group exhibited typical steatosis. However, following intervention with the NF-κB inhibitor, Pathenolide, the pathological changes attributed to NAFLD had reversed to normal. Similarly, the expression of TLR4,/NF-κB proteins and Hepcidin mRNA in NAFLD was higher than that of the control group. However, the expression of TLR4/NF-κB proteins and Hepcidin mRNA were decreased close to the values of the control, indicating that, inhibiting the TLR4/NF-κB pathway can repress the expression of Hepcidin, thus reverting pathological characteristic changes of NAFLD.

In conclusion, inhibition of the activation of the TLR4/NF-κB pathway using pathenolide, downregulated the expression of Hepcidin. This findings is crucial in the prevention and treatment of steatohepatitis and repression of the pathological process of liver fibrosis in NAFLD.

References

1 

Rinella ME: Nonalcoholic fatty liver disease: a systematic review. JAMA. 313:2263–2273. 2015. View Article : Google Scholar : PubMed/NCBI

2 

Targher G, Chonchol MB and Byrne CD: CKD and nonalcoholic fatty liver disease. Am J Kidney Dis. 64:638–652. 2014. View Article : Google Scholar : PubMed/NCBI

3 

Granér M, Nyman K, Siren R, Pentikäinen MO, Lundbom J, Hakkarainen A, Lauerma K, Lundbom N, Nieminen MS and Taskinen MR: Ectopic fat depots and left ventricular function in nondiabetic men with nonalcoholic fatty liver disease. Circ Cardiovasc Imaging. 8:e0019792015. View Article : Google Scholar : PubMed/NCBI

4 

Fargion S, Porzio M and Fracanzani AL: Nonalcoholic fatty liver disease and vascular disease: state-of-the-art. World J Gastroenterol. 20:13306–13324. 2014. View Article : Google Scholar : PubMed/NCBI

5 

Wu H, Jin M, Han D, Zhou M, Mei X, Guan Y and Liu C: Protective effects of aerobic swimming training on high-fat diet induced nonalcoholic fatty liver disease: Regulation of lipid metabolism via PANDER-AKT pathway. Biochem Biophys Res Commun. 458:862–868. 2015. View Article : Google Scholar : PubMed/NCBI

6 

Paradies G, Paradies V, Ruggiero FM and Petrosillo G: Oxidative stress, cardiolipin and mitochondrial dysfunction in nonalcoholic fatty liver disease. World J Gastroenterol. 20:14205–14218. 2014. View Article : Google Scholar : PubMed/NCBI

7 

Haap M, Machann J, von Friedeburg C, Schick F, Stefan N, Schwenzer NF, Fritsche A, Häring HU and Thamer C: Insulin sensitivity and liver fat: role of iron load. J Clin Endocrinol Metab. 96:E958–E961. 2011. View Article : Google Scholar : PubMed/NCBI

8 

Zhao CY, Yan L, Wang YD, Wang W, Zhou JY and Zhen Z: Role of resistin in inflammation of hepatocytes in nonalcoholic steatohepatitis. Zhonghua Gan Zang Bing Za Zhi. 17:683–687. 2009.(In Chinese). PubMed/NCBI

9 

Rivera CA, Adegboyega P, van Rooijen N, Tagalicud A, Allman M and Wallace M: Toll-like receptor-4 signaling and Kupffer cells play pivotal roles in the pathogenesis of non-alcoholic steatohepatitis. J Hepatol. 47:571–579. 2007. View Article : Google Scholar : PubMed/NCBI

10 

Aboul-Enein A, El-Beshlawy A, Hamdy M, Shaheen I, El-Saadany Z, Samir A and El-Samie HA: Peripheral expression of hepcidin gene in Egyptian β-thalassemia major. Gene. 564:206–209. 2015. View Article : Google Scholar : PubMed/NCBI

11 

Boumaiza M, Ezzine A, Jaouen M, Sari MA and Marzouki MN: Molecular characterization of a novel hepcidin (HepcD) from Camelus dromedarius. Synthetic peptide forms exhibit antibacterial activity. J Pept Sci. 20:680–688. 2014. View Article : Google Scholar : PubMed/NCBI

12 

Ganz T: Hepcidin and iron regulation, 10 years later. Blood. 117:4425–4433. 2011. View Article : Google Scholar : PubMed/NCBI

13 

Mitsuyoshi H, Yasui K, Harano Y, Endo M, Tsuji K, Minami M, Itoh Y, Okanoue T and Yoshikawa T: Analysis of hepatic genes involved in the metabolism of fatty acids and iron in nonalcoholic fatty liver disease. Hepatol Res. 39:366–373. 2009. View Article : Google Scholar : PubMed/NCBI

14 

Tsuchiya H, Ashla AA, Hoshikawa Y, Matsumi Y, Kanki K, Enjoji M, Momosaki S, Nakamuta M, Taketomi A, Maehara Y, et al: Iron state in association with retinoid metabolism in non-alcoholic fatty liver disease. Hepatol Res. 40:1227–1238. 2010. View Article : Google Scholar : PubMed/NCBI

15 

Csak T, Ganz M, Pespisa J, Kodys K, Dolganiuc A and Szabo G: Fatty acid and endotoxin activate inflammasomes in mouse hepatocytes that release danger signals to stimulate immune cells. Hepatology. 54:133–144. 2011. View Article : Google Scholar : PubMed/NCBI

16 

Amacher DE: Progress in the search for circulating biomarkers of nonalcoholic fatty liver disease. Biomarkers. 19:541–552. 2014. View Article : Google Scholar : PubMed/NCBI

17 

Hassan K, Bhalla V, El Regal ME and A-Kader HH: Nonalcoholic fatty liver disease: a comprehensive review of a growing epidemic. World J Gastroenterol. 20:12082–12101. 2014. View Article : Google Scholar : PubMed/NCBI

18 

Wynn TA: Cellular and molecular mechanisms of fibrosis. J Pathol. 214:199–210. 2008. View Article : Google Scholar : PubMed/NCBI

19 

Kelley CE, Brown AJ, Diehl AM and Setji TL: Review of nonalcoholic fatty liver disease in women with polycystic ovary syndrome. World J Gastroenterol. 20:14172–14184. 2014. View Article : Google Scholar : PubMed/NCBI

20 

Fitzpatrick E and Dhawan A: Noninvasive biomarkers in non-alcoholic fatty liver disease: current status and a glimpse of the future. World J Gastroenterol. 20:10851–10863. 2014. View Article : Google Scholar : PubMed/NCBI

Related Articles

  • Abstract
  • View
  • Download
  • Twitter
Copy and paste a formatted citation
Spandidos Publications style
Chen W, Wang X, Huang L and Liu B: Hepcidin in non-alcoholic fatty liver disease regulated by the TLR4/NF-κB signaling pathway. Exp Ther Med 11: 73-76, 2016.
APA
Chen, W., Wang, X., Huang, L., & Liu, B. (2016). Hepcidin in non-alcoholic fatty liver disease regulated by the TLR4/NF-κB signaling pathway. Experimental and Therapeutic Medicine, 11, 73-76. https://doi.org/10.3892/etm.2015.2873
MLA
Chen, W., Wang, X., Huang, L., Liu, B."Hepcidin in non-alcoholic fatty liver disease regulated by the TLR4/NF-κB signaling pathway". Experimental and Therapeutic Medicine 11.1 (2016): 73-76.
Chicago
Chen, W., Wang, X., Huang, L., Liu, B."Hepcidin in non-alcoholic fatty liver disease regulated by the TLR4/NF-κB signaling pathway". Experimental and Therapeutic Medicine 11, no. 1 (2016): 73-76. https://doi.org/10.3892/etm.2015.2873
Copy and paste a formatted citation
x
Spandidos Publications style
Chen W, Wang X, Huang L and Liu B: Hepcidin in non-alcoholic fatty liver disease regulated by the TLR4/NF-κB signaling pathway. Exp Ther Med 11: 73-76, 2016.
APA
Chen, W., Wang, X., Huang, L., & Liu, B. (2016). Hepcidin in non-alcoholic fatty liver disease regulated by the TLR4/NF-κB signaling pathway. Experimental and Therapeutic Medicine, 11, 73-76. https://doi.org/10.3892/etm.2015.2873
MLA
Chen, W., Wang, X., Huang, L., Liu, B."Hepcidin in non-alcoholic fatty liver disease regulated by the TLR4/NF-κB signaling pathway". Experimental and Therapeutic Medicine 11.1 (2016): 73-76.
Chicago
Chen, W., Wang, X., Huang, L., Liu, B."Hepcidin in non-alcoholic fatty liver disease regulated by the TLR4/NF-κB signaling pathway". Experimental and Therapeutic Medicine 11, no. 1 (2016): 73-76. https://doi.org/10.3892/etm.2015.2873
Follow us
  • Twitter
  • LinkedIn
  • Facebook
About
  • Spandidos Publications
  • Careers
  • Cookie Policy
  • Privacy Policy
How can we help?
  • Help
  • Live Chat
  • Contact
  • Email to our Support Team