Spandidos Publications Logo
  • About
    • About Spandidos
    • Aims and Scopes
    • Abstracting and Indexing
    • Editorial Policies
    • Reprints and Permissions
    • Job Opportunities
    • Terms and Conditions
    • Contact
  • Journals
    • All Journals
    • Oncology Letters
      • Oncology Letters
      • Information for Authors
      • Editorial Policies
      • Editorial Board
      • Aims and Scope
      • Abstracting and Indexing
      • Bibliographic Information
      • Archive
    • International Journal of Oncology
      • International Journal of Oncology
      • Information for Authors
      • Editorial Policies
      • Editorial Board
      • Aims and Scope
      • Abstracting and Indexing
      • Bibliographic Information
      • Archive
    • Molecular and Clinical Oncology
      • Molecular and Clinical Oncology
      • Information for Authors
      • Editorial Policies
      • Editorial Board
      • Aims and Scope
      • Abstracting and Indexing
      • Bibliographic Information
      • Archive
    • Experimental and Therapeutic Medicine
      • Experimental and Therapeutic Medicine
      • Information for Authors
      • Editorial Policies
      • Editorial Board
      • Aims and Scope
      • Abstracting and Indexing
      • Bibliographic Information
      • Archive
    • International Journal of Molecular Medicine
      • International Journal of Molecular Medicine
      • Information for Authors
      • Editorial Policies
      • Editorial Board
      • Aims and Scope
      • Abstracting and Indexing
      • Bibliographic Information
      • Archive
    • Biomedical Reports
      • Biomedical Reports
      • Information for Authors
      • Editorial Policies
      • Editorial Board
      • Aims and Scope
      • Abstracting and Indexing
      • Bibliographic Information
      • Archive
    • Oncology Reports
      • Oncology Reports
      • Information for Authors
      • Editorial Policies
      • Editorial Board
      • Aims and Scope
      • Abstracting and Indexing
      • Bibliographic Information
      • Archive
    • Molecular Medicine Reports
      • Molecular Medicine Reports
      • Information for Authors
      • Editorial Policies
      • Editorial Board
      • Aims and Scope
      • Abstracting and Indexing
      • Bibliographic Information
      • Archive
    • World Academy of Sciences Journal
      • World Academy of Sciences Journal
      • Information for Authors
      • Editorial Policies
      • Editorial Board
      • Aims and Scope
      • Abstracting and Indexing
      • Bibliographic Information
      • Archive
    • International Journal of Functional Nutrition
      • International Journal of Functional Nutrition
      • Information for Authors
      • Editorial Policies
      • Editorial Board
      • Aims and Scope
      • Abstracting and Indexing
      • Bibliographic Information
      • Archive
    • International Journal of Epigenetics
      • International Journal of Epigenetics
      • Information for Authors
      • Editorial Policies
      • Editorial Board
      • Aims and Scope
      • Abstracting and Indexing
      • Bibliographic Information
      • Archive
    • Medicine International
      • Medicine International
      • Information for Authors
      • Editorial Policies
      • Editorial Board
      • Aims and Scope
      • Abstracting and Indexing
      • Bibliographic Information
      • Archive
  • Articles
  • Information
    • Information for Authors
    • Information for Reviewers
    • Information for Librarians
    • Information for Advertisers
    • Conferences
  • Language Editing
Spandidos Publications Logo
  • About
    • About Spandidos
    • Aims and Scopes
    • Abstracting and Indexing
    • Editorial Policies
    • Reprints and Permissions
    • Job Opportunities
    • Terms and Conditions
    • Contact
  • Journals
    • All Journals
    • Biomedical Reports
      • Information for Authors
      • Editorial Policies
      • Editorial Board
      • Aims and Scope
      • Abstracting and Indexing
      • Bibliographic Information
      • Archive
    • Experimental and Therapeutic Medicine
      • Information for Authors
      • Editorial Policies
      • Editorial Board
      • Aims and Scope
      • Abstracting and Indexing
      • Bibliographic Information
      • Archive
    • International Journal of Epigenetics
      • Information for Authors
      • Editorial Policies
      • Editorial Board
      • Aims and Scope
      • Abstracting and Indexing
      • Bibliographic Information
      • Archive
    • International Journal of Functional Nutrition
      • Information for Authors
      • Editorial Policies
      • Editorial Board
      • Aims and Scope
      • Abstracting and Indexing
      • Bibliographic Information
      • Archive
    • International Journal of Molecular Medicine
      • Information for Authors
      • Editorial Policies
      • Editorial Board
      • Aims and Scope
      • Abstracting and Indexing
      • Bibliographic Information
      • Archive
    • International Journal of Oncology
      • Information for Authors
      • Editorial Policies
      • Editorial Board
      • Aims and Scope
      • Abstracting and Indexing
      • Bibliographic Information
      • Archive
    • Medicine International
      • Information for Authors
      • Editorial Policies
      • Editorial Board
      • Aims and Scope
      • Abstracting and Indexing
      • Bibliographic Information
      • Archive
    • Molecular and Clinical Oncology
      • Information for Authors
      • Editorial Policies
      • Editorial Board
      • Aims and Scope
      • Abstracting and Indexing
      • Bibliographic Information
      • Archive
    • Molecular Medicine Reports
      • Information for Authors
      • Editorial Policies
      • Editorial Board
      • Aims and Scope
      • Abstracting and Indexing
      • Bibliographic Information
      • Archive
    • Oncology Letters
      • Information for Authors
      • Editorial Policies
      • Editorial Board
      • Aims and Scope
      • Abstracting and Indexing
      • Bibliographic Information
      • Archive
    • Oncology Reports
      • Information for Authors
      • Editorial Policies
      • Editorial Board
      • Aims and Scope
      • Abstracting and Indexing
      • Bibliographic Information
      • Archive
    • World Academy of Sciences Journal
      • Information for Authors
      • Editorial Policies
      • Editorial Board
      • Aims and Scope
      • Abstracting and Indexing
      • Bibliographic Information
      • Archive
  • Articles
  • Information
    • For Authors
    • For Reviewers
    • For Librarians
    • For Advertisers
    • Conferences
  • Language Editing
Login Register Submit
  • This site uses cookies
  • You can change your cookie settings at any time by following the instructions in our Cookie Policy. To find out more, you may read our Privacy Policy.

    I agree
Search articles by DOI, keyword, author or affiliation
Search
Advanced Search
presentation
Experimental and Therapeutic Medicine
Join Editorial Board Propose a Special Issue
Print ISSN: 1792-0981 Online ISSN: 1792-1015
Journal Cover
April-2016 Volume 11 Issue 4

Full Size Image

Sign up for eToc alerts
Recommend to Library

Journals

International Journal of Molecular Medicine

International Journal of Molecular Medicine

International Journal of Molecular Medicine is an international journal devoted to molecular mechanisms of human disease.

International Journal of Oncology

International Journal of Oncology

International Journal of Oncology is an international journal devoted to oncology research and cancer treatment.

Molecular Medicine Reports

Molecular Medicine Reports

Covers molecular medicine topics such as pharmacology, pathology, genetics, neuroscience, infectious diseases, molecular cardiology, and molecular surgery.

Oncology Reports

Oncology Reports

Oncology Reports is an international journal devoted to fundamental and applied research in Oncology.

Experimental and Therapeutic Medicine

Experimental and Therapeutic Medicine

Experimental and Therapeutic Medicine is an international journal devoted to laboratory and clinical medicine.

Oncology Letters

Oncology Letters

Oncology Letters is an international journal devoted to Experimental and Clinical Oncology.

Biomedical Reports

Biomedical Reports

Explores a wide range of biological and medical fields, including pharmacology, genetics, microbiology, neuroscience, and molecular cardiology.

Molecular and Clinical Oncology

Molecular and Clinical Oncology

International journal addressing all aspects of oncology research, from tumorigenesis and oncogenes to chemotherapy and metastasis.

World Academy of Sciences Journal

World Academy of Sciences Journal

Multidisciplinary open-access journal spanning biochemistry, genetics, neuroscience, environmental health, and synthetic biology.

International Journal of Functional Nutrition

International Journal of Functional Nutrition

Open-access journal combining biochemistry, pharmacology, immunology, and genetics to advance health through functional nutrition.

International Journal of Epigenetics

International Journal of Epigenetics

Publishes open-access research on using epigenetics to advance understanding and treatment of human disease.

Medicine International

Medicine International

An International Open Access Journal Devoted to General Medicine.

Journal Cover
April-2016 Volume 11 Issue 4

Full Size Image

Sign up for eToc alerts
Recommend to Library

  • Article
  • Citations
    • Cite This Article
    • Download Citation
    • Create Citation Alert
    • Remove Citation Alert
    • Cited By
  • Similar Articles
    • Related Articles (in Spandidos Publications)
    • Similar Articles (Google Scholar)
    • Similar Articles (PubMed)
  • Download PDF
  • Download XML
  • View XML
Article Open Access

Hepatoprotective effect of resveratrol against ethanol-induced oxidative stress through induction of superoxide dismutase in vivo and in vitro

  • Authors:
    • Wei‑Ming Chen
    • Lee‑Hsin Shaw
    • Pey‑Jium Chang
    • Shui‑Yi Tung
    • Te‑Sheng Chang
    • Chein‑Heng Shen
    • Yung‑Yu Hsieh
    • Kuo‑Liang Wei
  • View Affiliations / Copyright

    Affiliations: Division of Gastroenterology and Hepatology, Department of Internal Medicine, Chang Gung Memorial Hospital, Puzi, Chiayi 61363, Taiwan, R.O.C., Institute of Traditional Medicine, National Yang‑Ming University, Taipei 11221, Taiwan, R.O.C., Graduate Institute of Clinical Medical Sciences, College of Medicine, Chang Gung University, Taoyuan 333, Taiwan, R.O.C.
    Copyright: © Chen et al. This is an open access article distributed under the terms of Creative Commons Attribution License.
  • Pages: 1231-1238
    |
    Published online on: February 16, 2016
       https://doi.org/10.3892/etm.2016.3077
  • Expand metrics +
Metrics: Total Views: 0 (Spandidos Publications: | PMC Statistics: )
Metrics: Total PDF Downloads: 0 (Spandidos Publications: | PMC Statistics: )
Cited By (CrossRef): 0 citations Loading Articles...

This article is mentioned in:



Abstract

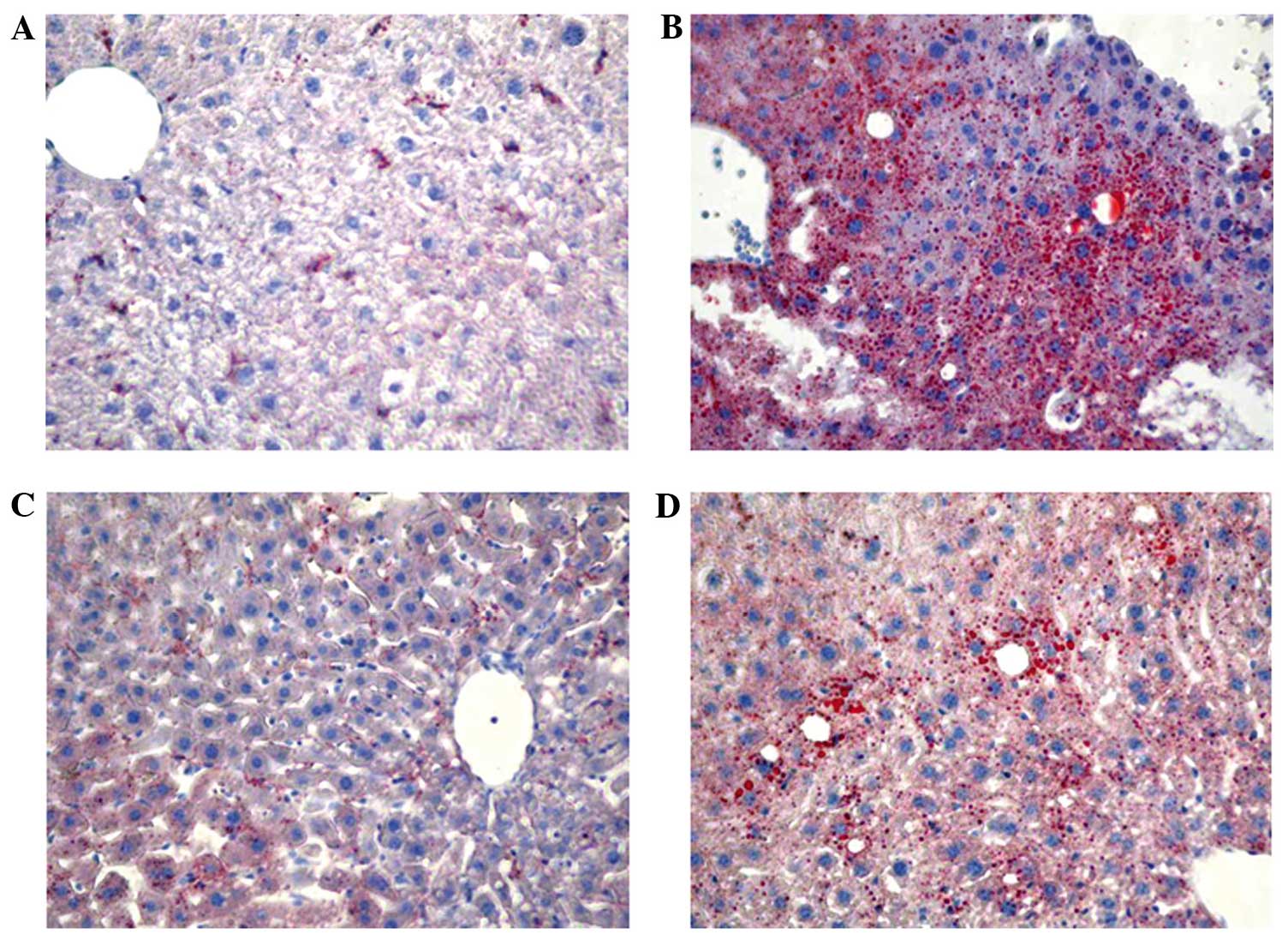
The present study aimed to investigate the hepatoprotective effect of resveratrol (RSV) against ethanol-induced oxidative stress in vivo, and investigate the underlying mechanisms by which RSV exerts its anti‑oxidative effects on hepatic cells. C57BL/6J mice were divided into four groups: Untreated control, ethanol-treated, RSV-treated, and ethanol + RSV‑treated. The plasma lipid profile, hepatic lipid accumulation and antioxidative enzyme activities were analyzed. HepG2 cells were used as a cellular model to analyze the effects of superoxide dismutase (SOD), catalase (CAT), glutathione peroxidase (GPx) and peroxisome proliferator-activated receptors (PPARs) in the RSV‑mediated protection of ethanol‑induced oxidative stress. In C57BL/6J mice, ethanol caused a significant increase in plasma triglyceride levels and hepatic lipid accumulation (P<0.05), whereas RSV notably increased SOD activity. In HepG2 cells, SOD activity was enhanced in the RSV‑treated HepG2 cells, whereas the activity of CAT and GPx was not affected. Western blot and quantitative polymerase chain reaction analyses demonstrated that RSV significantly increased SOD protein and mRNA expression levels (P<0.05). Using a transient transfection assay, PPARγ was observed to participate in the regulation of SOD gene expression in RSV-administered HepG2 cells. To conclude, the results from the present study suggest that RSV may contribute towards the protection of hepatic cells from ethanol‑induced oxidative stress via the induction of SOD activity and gene expression.
View Figures

Figure 1

Figure 2

Figure 3

Figure 4

Figure 5

View References

1 

Pirola L and Fröjdö S: Resveratrol: One molecule, many targets. IUBMB Life. 60:323–332. 2008. View Article : Google Scholar : PubMed/NCBI

2 

Shakibaei M, Harikumar KB and Aggarwal BB: Resveratrol addiction: To die or not to die. Mol Nutr Food Res. 53:115–128. 2009. View Article : Google Scholar : PubMed/NCBI

3 

Leonard SS, Xia C, Jiang BH, Stinefelt B, Klandorf H, Harris GK and Shi X: Resveratrol scavenges reactive oxygen species and effects radical-induced cellular responses. Biochem Biophys Res Commun. 309:1017–1026. 2003. View Article : Google Scholar : PubMed/NCBI

4 

Lasa A, Schweiger M, Kotzbeck P, Churruca I, Simón E, Zechner R and Portillo MP: Resveratrol regulates lipolysis via adipose triglyceride lipase. J Nutr Biochem. 23:379–384. 2012. View Article : Google Scholar : PubMed/NCBI

5 

Mikuła-Pietrasik J, Kuczmarska A, Rubiś B, Filas V, Murias M, Zieliński P, Piwocka K and Książek K: Resveratrol delays replicative senescence of human mesothelial cells via mobilization of antioxidative and DNA repair mechanisms. Free Radic Biol Med. 52:2234–2245. 2012. View Article : Google Scholar : PubMed/NCBI

6 

Park DW, Kim JS, Chin BR and Baek SH: Resveratrol inhibits inflammation induced by heat-killed Listeria monocytogenes. J Med Food. 15:788–794. 2012. View Article : Google Scholar : PubMed/NCBI

7 

Voloshyna I, Hussaini SM and Reiss AB: Resveratrol in cholesterol metabolism and atherosclerosis. J Med Food. 15:763–773. 2012. View Article : Google Scholar : PubMed/NCBI

8 

Bhatt JK, Thomas S and Nanjan MJ: Resveratrol supplementation improves glycemic control in type 2 diabetes mellitus. Nutr Res. 32:537–541. 2012. View Article : Google Scholar : PubMed/NCBI

9 

Chang CC, Chang CY, Huang JP and Hung LM: Effect of resveratrol on oxidative and inflammatory stress in liver and spleen of streptozotocin-induced type 1 diabetic rats. Chin J Physiol. 55:192–201. 2012. View Article : Google Scholar : PubMed/NCBI

10 

Sadruddin S and Arora R: Resveratrol: Biologic and therapeutic implications. J Cardiometab Syndr. 4:102–106. 2009. View Article : Google Scholar : PubMed/NCBI

11 

Tomé-Carneiro J, Gonzálvez M, Larrosa M, García-Almagro FJ, Avilés-Plaza F, Parra S, Yáñez-Gascón MJ, Ruiz-Ros JA, García-Conesa MT, Tomás-Barberán FA and Espín JC: Consumption of a grape extract supplement containing resveratrol decreases oxidized LDL and ApoB in patients undergoing primary prevention of cardiovascular disease: A triple-blind, 6-month follow-up, placebo-controlled, randomized trial. Mol Nutr Food Res. 56:810–821. 2012. View Article : Google Scholar : PubMed/NCBI

12 

Cesaratto L, Vascotto C, Calligaris S and Tell G: The importance of redox state in liver damage. Ann Hepatol. 3:86–92. 2004.PubMed/NCBI

13 

Room R, Babor T and Rehm J: Alcohol and public health. Lancet. 365:519–530. 2005. View Article : Google Scholar : PubMed/NCBI

14 

Cahill A, Cunningham CC, Adachi M, Ishii H, Bailey SM, Fromenty B and Davies A: Effects of alcohol and oxidative stress on liver pathology: The role of the mitochondrion. Alcohol Clin Exp Res. 26:907–915. 2002. View Article : Google Scholar : PubMed/NCBI

15 

Hoek JB and Pastorino JG: Cellular signaling mechanisms in alcohol-induced liver damage. Semin Liver Dis. 24:257–272. 2004. View Article : Google Scholar : PubMed/NCBI

16 

Wu KC, Liu J and Klaassen CD: Role of Nrf2 in preventing ethanol-induced oxidative stress and lipid accumulation. Toxicol Appl Pharmacol. 262:321–329. 2012. View Article : Google Scholar : PubMed/NCBI

17 

de Alwis NM and Day CP: Non-alcoholic fatty liver disease: The mist gradually clears. J Hepatol. 48(Suppl 1): S104–S112. 2008. View Article : Google Scholar : PubMed/NCBI

18 

Mann RE, Smart RG and Govoni R: The epidemiology of alcoholic liver disease. Alcohol Res Health. 27:209–219. 2003.PubMed/NCBI

19 

Kumar M, Sharma VL, Sehgal A and Jain M: Protective effects of green and white tea against benzo(a)pyrene induced oxidative stress and DNA damage in murine model. Nutr Cancer. 64:300–306. 2012. View Article : Google Scholar : PubMed/NCBI

20 

Pigeolet E, Corbisier P, Houbion A, Lambert D, Michiels C, Raes M, Zachary MD and Remacle J: Glutathione peroxidase, superoxide dismutase, and catalase inactivation by peroxides and oxygen derived free radicals. Mech Ageing Dev. 3:283–297. 1990. View Article : Google Scholar

21 

Jonker JW, Suh JM, Atkins AR, Ahmadian M, Li P, Whyte J, He M, Juguilon H, Yin YQ, Phillips CT, et al: A PPARγ-FGF1 axis is required for adaptive adipose remodelling and metabolic homeostasis. Nature. 485:391–394. 2012. View Article : Google Scholar : PubMed/NCBI

22 

Kidani Y and Bensinger SJ: Liver X receptor and peroxisome proliferator-activated receptor as integrators of lipid homeostasis and immunity. Immunol Rev. 249:72–83. 2012. View Article : Google Scholar : PubMed/NCBI

23 

Berger J and Moller DE: The mechanisms of action of PPARs. Annu Rev Med. 53:409–435. 2002. View Article : Google Scholar : PubMed/NCBI

24 

Huang J, Jia Y, Fu T, Viswakarma N, Bai L, Rao MS, Zhu Y, Borensztajn J and Reddy JK: Sustained activation of PPARα by endogenous ligands increases hepatic fatty acid oxidation and prevents obesity in ob/ob mice. FASEB J. 26:628–638. 2012. View Article : Google Scholar : PubMed/NCBI

25 

Takahashi N, Senda M, Lin S, Goto T, Yano M, Sasaki T, Murakami S and Kawada T: Auraptene regulates gene expression involved in lipid metabolism through PPARα activation in diabetic obese mice. Mol Nutr Food Res. 55:1791–1797. 2011. View Article : Google Scholar : PubMed/NCBI

26 

Chong HC, Tan MJ, Philippe V, Tan SH, Tan CK, Ku CW, Goh YY, Wahli W, Michalik L and Tan NS: Regulation of epithelial-mesenchymal IL-1 signaling by PPARbeta/delta is essential for skin homeostasis and wound healing. J Cell Biol. 184:817–831. 2009. View Article : Google Scholar : PubMed/NCBI

27 

Man MQ, Barish GD, Schmuth M, Crumrine D, Barak Y, Chang S, Jiang Y, Evans RM, Elias PM and Feingold KR: Deficiency of PPARbeta/delta in the epidermis results in defective cutaneous permeability barrier homeostasis and increased inflammation. J Invest Dermatol. 128:370–377. 2008. View Article : Google Scholar : PubMed/NCBI

28 

Müller R, Rieck M and Müller-Brüsselbach S: Regulation of cell proliferation and differentiation by PPARβ/δ. PPAR Res. 2008:6148522008. View Article : Google Scholar : PubMed/NCBI

29 

Yoo HY, Chang MS and Rho HM: Induction of the rat Cu/Zn superoxide dismutase gene through the peroxisome proliferator-responsive element by arachidonic acid. Gene. 234:87–91. 1999. View Article : Google Scholar : PubMed/NCBI

30 

Girnun GD, Domann FE, Moore SA and Robbins ME: Identification of a functional peroxisome proliferator-activated receptor response element in the rat catalase promoter. Mol Endocrinol. 16:2793–2801. 2002. View Article : Google Scholar : PubMed/NCBI

31 

Jung KH, Chu K, Lee ST, Kim SJ, Song EC, Kim EH, Park DK, Sinn DI, Kim JM, Kim M and Roh JK: Blockade of AT1 receptor reduces apoptosis, inflammation, and oxidative stress in normotensive rats with intracerebral hemorrhage. J Pharmacol Exp Ther. 322:1051–1058. 2007. View Article : Google Scholar : PubMed/NCBI

32 

National Research Council (US) Institute for Laboratory Animal Research: Guide for the Care and Use of Laboratory Animals. Washington (DC): National Academies Press (US). 1996.

33 

Lin KY, Chen YL, Shih CC, Pan JP, Chan WE and Chiang AN: Contribution of HDL-apolipoproteins to the inhibition of low density lipoprotein oxidation and lipid accumulation in macrophages. J Cell Biochem. 86:258–267. 2002. View Article : Google Scholar : PubMed/NCBI

34 

Cui W, Chen SL and Hu KQ: Quantification and mechanisms of oleic acid-induced steatosis in HepG2 cells. Am J Transl Res. 2:95–104. 2010.PubMed/NCBI

35 

Carmichael J, DeGraff WG, Gazdar AF, Minna JD and Mitchell JB: Evaluation of a tetrazolium-based semiautomated colorimetric assay: Assessment of chemosensitivity testing. Cancer Res. 47:936–942. 1987.PubMed/NCBI

36 

LeBel CP, Ischiropoulos H and Bondy SC: Evaluation of the probe 2′,7′-dichlorofluorescin as an indicator of reactive oxygen species formation and oxidative stress. Chem Res Toxicol. 5:227–231. 1992. View Article : Google Scholar : PubMed/NCBI

37 

Oyanagui Y: Reevaluation of assay methods and establishment of kit for superoxide dismutase activity. Anal Biochem. 142:290–296. 1984. View Article : Google Scholar : PubMed/NCBI

38 

Chen J, Rogers SC and Kavdia M: Analysis of kinetics of dihydroethidium fluorescence with superoxide using xanthine oxidase and hypoxanthine assay. Ann Biomed Eng. 41:327–337. 2013. View Article : Google Scholar : PubMed/NCBI

39 

Aebi H: Catalase in vitro. Methods Enzymol. 105:121–126. 1984. View Article : Google Scholar : PubMed/NCBI

40 

Flohé L and Günzler WA: Assays of glutathione peroxidase. Methods Enzymol. 105:114–121. 1984. View Article : Google Scholar : PubMed/NCBI

41 

Bradford MM: A Rapid and sensitive method for the quantitation of microgram quantities of protein utilizing the principle of protein-dye binding. Anal Biochem. 72:248–254. 1976. View Article : Google Scholar : PubMed/NCBI

42 

Xu CL, Wang YZ, Guo J, Liu JX and Feng J: Comparison of age-related differences in expression of antioxidant enzyme mRNA and activity in various tissues of pigs. Comp Biochem Physiol B Biochem Mol Biol. 147:445–451. 2007. View Article : Google Scholar : PubMed/NCBI

43 

Patel DN, King CA, Bailey SR, Holt JW, Venkatachalam K, Agrawal A, Valente AJ and Chandrasekar B: Interleukin-17 stimulates C-reactive protein expression in hepatocytes and smooth muscle cells via p38 MAPK and ERK1/2-dependent NF-kappaB and C/EBPbeta activation. J Biol Chem. 282:27229–27238. 2007. View Article : Google Scholar : PubMed/NCBI

44 

Young DC, Kingsley SD, Ryan KA and Dutko FJ: Selective inactivation of eukaryotic β-galactosidase in assays for inhibitors of HIV-1 TAT using bacterial β-galactosidase as a reporter enzyme. Anal Biochem. 215:24–30. 1993. View Article : Google Scholar : PubMed/NCBI

45 

Pochareddy S and Edenberg HJ: Chronic alcohol exposure alters gene expression in HepG2 cells. Alcohol Clin Exp Res. 36:1021–1033. 2012. View Article : Google Scholar : PubMed/NCBI

46 

Tsukamoto H and Lu SC: Current concepts in the pathogenesis of alcoholic liver injury. FASEB J. 15:1335–1349. 2001. View Article : Google Scholar : PubMed/NCBI

47 

Comporti M, Signorini C, Leoncini S, Gardi C, Ciccoli L, Giardini A, Vecchio D and Arezzini B: Ethanol-induced oxidative stress: Basic knowledge. Genes Nutr. 2:101–109. 2010. View Article : Google Scholar

48 

Park DW, Baek K, Kim JR, Lee JJ, Ryu SH, Chin BR and Baek SH: Resveratrol inhibits foam cell formation via NADPH oxidase 1-mediated reactive oxygen species and monocyte chemotactic protein-1. Exp Mol Med. 41:171–179. 2009. View Article : Google Scholar : PubMed/NCBI

49 

Matés JM, Pérez-Gómez C and de Núñez Castro I: Antioxidant enzymes and human diseases. Clin Biochem. 32:595–603. 1999. View Article : Google Scholar : PubMed/NCBI

50 

Kasdallah-Grissa A, Mornagui B, Aouani E, Hammami M, El May M, Gharbi N, Kamoun A and El-Fazaâ S: Resveratrol, a red wine polyphenol, attenuates ethanol-induced oxidative stress in rat liver. Life Sci. 80:1033–1039. 2007. View Article : Google Scholar : PubMed/NCBI

51 

Cheng G, Zhang X, Gao D, Jiang X and Dong W: Resveratrol inhibits MMP-9 expression by up-regulating PPAR alpha expression in an oxygen glucose deprivation-exposed neuron model. Neurosci Lett. 451:105–108. 2009. View Article : Google Scholar : PubMed/NCBI

52 

Kennedy A, Overman A, Lapoint K, Hopkins R, West T, Chuang CC, Martinez K, Bell D and McIntosh M: Conjugated linoleic acid-mediated inflammation and insulin resistance in human adipocytes are attenuated by resveratrol. J Lipid Res. 50:225–232. 2009. View Article : Google Scholar : PubMed/NCBI

Related Articles

  • Abstract
  • View
  • Download
  • Twitter
Copy and paste a formatted citation
Spandidos Publications style
Chen WM, Shaw LH, Chang PJ, Tung SY, Chang TS, Shen CH, Hsieh YY and Wei KL: Hepatoprotective effect of resveratrol against ethanol-induced oxidative stress through induction of superoxide dismutase in vivo and in vitro. Exp Ther Med 11: 1231-1238, 2016.
APA
Chen, W., Shaw, L., Chang, P., Tung, S., Chang, T., Shen, C. ... Wei, K. (2016). Hepatoprotective effect of resveratrol against ethanol-induced oxidative stress through induction of superoxide dismutase in vivo and in vitro. Experimental and Therapeutic Medicine, 11, 1231-1238. https://doi.org/10.3892/etm.2016.3077
MLA
Chen, W., Shaw, L., Chang, P., Tung, S., Chang, T., Shen, C., Hsieh, Y., Wei, K."Hepatoprotective effect of resveratrol against ethanol-induced oxidative stress through induction of superoxide dismutase in vivo and in vitro". Experimental and Therapeutic Medicine 11.4 (2016): 1231-1238.
Chicago
Chen, W., Shaw, L., Chang, P., Tung, S., Chang, T., Shen, C., Hsieh, Y., Wei, K."Hepatoprotective effect of resveratrol against ethanol-induced oxidative stress through induction of superoxide dismutase in vivo and in vitro". Experimental and Therapeutic Medicine 11, no. 4 (2016): 1231-1238. https://doi.org/10.3892/etm.2016.3077
Copy and paste a formatted citation
x
Spandidos Publications style
Chen WM, Shaw LH, Chang PJ, Tung SY, Chang TS, Shen CH, Hsieh YY and Wei KL: Hepatoprotective effect of resveratrol against ethanol-induced oxidative stress through induction of superoxide dismutase in vivo and in vitro. Exp Ther Med 11: 1231-1238, 2016.
APA
Chen, W., Shaw, L., Chang, P., Tung, S., Chang, T., Shen, C. ... Wei, K. (2016). Hepatoprotective effect of resveratrol against ethanol-induced oxidative stress through induction of superoxide dismutase in vivo and in vitro. Experimental and Therapeutic Medicine, 11, 1231-1238. https://doi.org/10.3892/etm.2016.3077
MLA
Chen, W., Shaw, L., Chang, P., Tung, S., Chang, T., Shen, C., Hsieh, Y., Wei, K."Hepatoprotective effect of resveratrol against ethanol-induced oxidative stress through induction of superoxide dismutase in vivo and in vitro". Experimental and Therapeutic Medicine 11.4 (2016): 1231-1238.
Chicago
Chen, W., Shaw, L., Chang, P., Tung, S., Chang, T., Shen, C., Hsieh, Y., Wei, K."Hepatoprotective effect of resveratrol against ethanol-induced oxidative stress through induction of superoxide dismutase in vivo and in vitro". Experimental and Therapeutic Medicine 11, no. 4 (2016): 1231-1238. https://doi.org/10.3892/etm.2016.3077
Follow us
  • Twitter
  • LinkedIn
  • Facebook
About
  • Spandidos Publications
  • Careers
  • Cookie Policy
  • Privacy Policy
How can we help?
  • Help
  • Live Chat
  • Contact
  • Email to our Support Team