Spandidos Publications Logo
  • About
    • About Spandidos
    • Aims and Scopes
    • Abstracting and Indexing
    • Editorial Policies
    • Reprints and Permissions
    • Job Opportunities
    • Terms and Conditions
    • Contact
  • Journals
    • All Journals
    • Oncology Letters
      • Oncology Letters
      • Information for Authors
      • Editorial Policies
      • Editorial Board
      • Aims and Scope
      • Abstracting and Indexing
      • Bibliographic Information
      • Archive
    • International Journal of Oncology
      • International Journal of Oncology
      • Information for Authors
      • Editorial Policies
      • Editorial Board
      • Aims and Scope
      • Abstracting and Indexing
      • Bibliographic Information
      • Archive
    • Molecular and Clinical Oncology
      • Molecular and Clinical Oncology
      • Information for Authors
      • Editorial Policies
      • Editorial Board
      • Aims and Scope
      • Abstracting and Indexing
      • Bibliographic Information
      • Archive
    • Experimental and Therapeutic Medicine
      • Experimental and Therapeutic Medicine
      • Information for Authors
      • Editorial Policies
      • Editorial Board
      • Aims and Scope
      • Abstracting and Indexing
      • Bibliographic Information
      • Archive
    • International Journal of Molecular Medicine
      • International Journal of Molecular Medicine
      • Information for Authors
      • Editorial Policies
      • Editorial Board
      • Aims and Scope
      • Abstracting and Indexing
      • Bibliographic Information
      • Archive
    • Biomedical Reports
      • Biomedical Reports
      • Information for Authors
      • Editorial Policies
      • Editorial Board
      • Aims and Scope
      • Abstracting and Indexing
      • Bibliographic Information
      • Archive
    • Oncology Reports
      • Oncology Reports
      • Information for Authors
      • Editorial Policies
      • Editorial Board
      • Aims and Scope
      • Abstracting and Indexing
      • Bibliographic Information
      • Archive
    • Molecular Medicine Reports
      • Molecular Medicine Reports
      • Information for Authors
      • Editorial Policies
      • Editorial Board
      • Aims and Scope
      • Abstracting and Indexing
      • Bibliographic Information
      • Archive
    • World Academy of Sciences Journal
      • World Academy of Sciences Journal
      • Information for Authors
      • Editorial Policies
      • Editorial Board
      • Aims and Scope
      • Abstracting and Indexing
      • Bibliographic Information
      • Archive
    • International Journal of Functional Nutrition
      • International Journal of Functional Nutrition
      • Information for Authors
      • Editorial Policies
      • Editorial Board
      • Aims and Scope
      • Abstracting and Indexing
      • Bibliographic Information
      • Archive
    • International Journal of Epigenetics
      • International Journal of Epigenetics
      • Information for Authors
      • Editorial Policies
      • Editorial Board
      • Aims and Scope
      • Abstracting and Indexing
      • Bibliographic Information
      • Archive
    • Medicine International
      • Medicine International
      • Information for Authors
      • Editorial Policies
      • Editorial Board
      • Aims and Scope
      • Abstracting and Indexing
      • Bibliographic Information
      • Archive
  • Articles
  • Information
    • Information for Authors
    • Information for Reviewers
    • Information for Librarians
    • Information for Advertisers
    • Conferences
  • Language Editing
Spandidos Publications Logo
  • About
    • About Spandidos
    • Aims and Scopes
    • Abstracting and Indexing
    • Editorial Policies
    • Reprints and Permissions
    • Job Opportunities
    • Terms and Conditions
    • Contact
  • Journals
    • All Journals
    • Biomedical Reports
      • Information for Authors
      • Editorial Policies
      • Editorial Board
      • Aims and Scope
      • Abstracting and Indexing
      • Bibliographic Information
      • Archive
    • Experimental and Therapeutic Medicine
      • Information for Authors
      • Editorial Policies
      • Editorial Board
      • Aims and Scope
      • Abstracting and Indexing
      • Bibliographic Information
      • Archive
    • International Journal of Epigenetics
      • Information for Authors
      • Editorial Policies
      • Editorial Board
      • Aims and Scope
      • Abstracting and Indexing
      • Bibliographic Information
      • Archive
    • International Journal of Functional Nutrition
      • Information for Authors
      • Editorial Policies
      • Editorial Board
      • Aims and Scope
      • Abstracting and Indexing
      • Bibliographic Information
      • Archive
    • International Journal of Molecular Medicine
      • Information for Authors
      • Editorial Policies
      • Editorial Board
      • Aims and Scope
      • Abstracting and Indexing
      • Bibliographic Information
      • Archive
    • International Journal of Oncology
      • Information for Authors
      • Editorial Policies
      • Editorial Board
      • Aims and Scope
      • Abstracting and Indexing
      • Bibliographic Information
      • Archive
    • Medicine International
      • Information for Authors
      • Editorial Policies
      • Editorial Board
      • Aims and Scope
      • Abstracting and Indexing
      • Bibliographic Information
      • Archive
    • Molecular and Clinical Oncology
      • Information for Authors
      • Editorial Policies
      • Editorial Board
      • Aims and Scope
      • Abstracting and Indexing
      • Bibliographic Information
      • Archive
    • Molecular Medicine Reports
      • Information for Authors
      • Editorial Policies
      • Editorial Board
      • Aims and Scope
      • Abstracting and Indexing
      • Bibliographic Information
      • Archive
    • Oncology Letters
      • Information for Authors
      • Editorial Policies
      • Editorial Board
      • Aims and Scope
      • Abstracting and Indexing
      • Bibliographic Information
      • Archive
    • Oncology Reports
      • Information for Authors
      • Editorial Policies
      • Editorial Board
      • Aims and Scope
      • Abstracting and Indexing
      • Bibliographic Information
      • Archive
    • World Academy of Sciences Journal
      • Information for Authors
      • Editorial Policies
      • Editorial Board
      • Aims and Scope
      • Abstracting and Indexing
      • Bibliographic Information
      • Archive
  • Articles
  • Information
    • For Authors
    • For Reviewers
    • For Librarians
    • For Advertisers
    • Conferences
  • Language Editing
Login Register Submit
  • This site uses cookies
  • You can change your cookie settings at any time by following the instructions in our Cookie Policy. To find out more, you may read our Privacy Policy.

    I agree
Search articles by DOI, keyword, author or affiliation
Search
Advanced Search
presentation
Experimental and Therapeutic Medicine
Join Editorial Board Propose a Special Issue
Print ISSN: 1792-0981 Online ISSN: 1792-1015
Journal Cover
August-2016 Volume 12 Issue 2

Full Size Image

Sign up for eToc alerts
Recommend to Library

Journals

International Journal of Molecular Medicine

International Journal of Molecular Medicine

International Journal of Molecular Medicine is an international journal devoted to molecular mechanisms of human disease.

International Journal of Oncology

International Journal of Oncology

International Journal of Oncology is an international journal devoted to oncology research and cancer treatment.

Molecular Medicine Reports

Molecular Medicine Reports

Covers molecular medicine topics such as pharmacology, pathology, genetics, neuroscience, infectious diseases, molecular cardiology, and molecular surgery.

Oncology Reports

Oncology Reports

Oncology Reports is an international journal devoted to fundamental and applied research in Oncology.

Experimental and Therapeutic Medicine

Experimental and Therapeutic Medicine

Experimental and Therapeutic Medicine is an international journal devoted to laboratory and clinical medicine.

Oncology Letters

Oncology Letters

Oncology Letters is an international journal devoted to Experimental and Clinical Oncology.

Biomedical Reports

Biomedical Reports

Explores a wide range of biological and medical fields, including pharmacology, genetics, microbiology, neuroscience, and molecular cardiology.

Molecular and Clinical Oncology

Molecular and Clinical Oncology

International journal addressing all aspects of oncology research, from tumorigenesis and oncogenes to chemotherapy and metastasis.

World Academy of Sciences Journal

World Academy of Sciences Journal

Multidisciplinary open-access journal spanning biochemistry, genetics, neuroscience, environmental health, and synthetic biology.

International Journal of Functional Nutrition

International Journal of Functional Nutrition

Open-access journal combining biochemistry, pharmacology, immunology, and genetics to advance health through functional nutrition.

International Journal of Epigenetics

International Journal of Epigenetics

Publishes open-access research on using epigenetics to advance understanding and treatment of human disease.

Medicine International

Medicine International

An International Open Access Journal Devoted to General Medicine.

Journal Cover
August-2016 Volume 12 Issue 2

Full Size Image

Sign up for eToc alerts
Recommend to Library

  • Article
  • Citations
    • Cite This Article
    • Download Citation
    • Create Citation Alert
    • Remove Citation Alert
    • Cited By
  • Similar Articles
    • Related Articles (in Spandidos Publications)
    • Similar Articles (Google Scholar)
    • Similar Articles (PubMed)
  • Download PDF
  • Download XML
  • View XML
Case Report

Thromboembolic events secondary to tirofiban-induced thrombocytopenia being treated with thrombopoietin: A case report

  • Authors:
    • Yanhua Li
    • Qiang Xu
    • Xinhong Guo
  • View Affiliations / Copyright

    Affiliations: Department of Cardiology, Chinese PLA General Hospital, Beijing 100853, P.R. China
  • Pages: 1177-1180
    |
    Published online on: June 8, 2016
       https://doi.org/10.3892/etm.2016.3439
  • Expand metrics +
Metrics: Total Views: 0 (Spandidos Publications: | PMC Statistics: )
Metrics: Total PDF Downloads: 0 (Spandidos Publications: | PMC Statistics: )
Cited By (CrossRef): 0 citations Loading Articles...

This article is mentioned in:



Abstract

A 68-year-old man presented with acute coronary syndrome (ACS). The glycoprotein/IIb/IIIa receptor antagonist tirofiban was administered to the patient to treat a right coronary artery slow flow detected during percutaneous coronary intervention. The patient developed very severe thrombocytopenia 8 h after tirofiban infusion with no signs of bleeding. Antiplatelet medication was discontinued immediately, methylprednisolone was administered and platelets were transfused. Thrombopoietin (TPO) was also applied to the patient as recommended by a hematology consultant. As a result, the patient had in‑stent thrombosis and cerebral infarction, then another sirolimus‑eluting stent was implanted in the proximal right coronary artery and intensive anti‑platelet as well as intermittent dehydration to reduce intracranial pressure, and protection of the nervous system function treatment was also provided. The patient was left with a decreased muscle strength in the right limb muscle and fine movement disorder, which may have lead to a poor prognosis. To the best of our knowledge, this is the first case report of tirofiban‑induced severe thrombocytopenia with secondary in‑stent thrombosis and cerebral infarction from China. The experience of the diagnosis and treatment of this case may shed some light on the clinical use of TPO in tirofiban-induced thrombocytopenia.

Introduction

The platelet membrane glycoprotein IIb/IIIa receptor antagonist (GPRA) tirofiban is widely used for the treatment of acute coronary syndrome (ACS). However, tirofiban may induce thrombocytopenia in certain patients (1). Prior studies have shown that the incidence of GPRA-induced thrombocytopenia (GIT) is 1–5% (2), and 0.2–0.5% for severe GIT (3). Tirofiban is currently the only available GPRA in China, and the incidence of GIT caused by tirofiban in the Chinese population has not been reported, to the best of our knowledge. Due to a lack of associated guidelines or expert consensus, treatment of GIT is inconsistent. Thrombopoietin (TPO) is one of the most effective thrombocytopenic medication (4). While there are some reports on TPO in the treatment of heparin-induced thrombocytopenia (HIT) (5,6), it is not clear whether TPO can be effectively used for the treatment of GIT (4).

In the present study, a case of tirofiban-induced severe thrombocytopenia, or GIT, with secondary in-stent thrombosis and cerebral infarction following TPO treatment is reported. This example of the diagnosis and treatment of a case of ACS highlights the need for caution and careful monitoring of the clinical use of tirofiban and TPO in patients with ACS and recognition of the risk of tirofiban-induced thrombocytopenia.

Case report

A 68-year-old man presented in the Department of Cardiology on July 4th, 2012, Chinese PLA General Hospital (Beijing, China), with paroxysmal chest depression of 1-month duration. The patient had a past medical history of hypertension, and was not allergic to any medication. After admission, the patient began to receive dual antiplatelet therapy with aspirin (100 mg, Bayer AG, Leverkusen, Germany) and clopidogrel (75 mg, Sanofi Pharmaceutical Co., Ltd., Hangzhou, China) without heparin (SPH No. 1 Biochemical & Pharmaceutical Co., Ltd., Shanghai). Patient informed consent was obtained for the present study.

Five days after admission, coronary angiography (GE Medical Systems Ltd., Chalfont St Giles, UK) detected a 50% stenosis at the proximal left anterior descending artery, 30% stenosis at the proximal circumflex branch, and 90% stenosis at the mid-portion of the right coronary artery. A sirolimus-eluting stent (3.5×21 mm; Cypher™; Cordis Corporation, Bridgewater Township, NJ, USA) was implanted at the right coronary artery and the patient received a total of 10,500 units of heparin (SPH No. 1 Biochemical & Pharmaceutical Co., Ltd.,). During the surgical procedure, the patient displayed coronary slow flow, and tirofiban (8 ml/h, total 0.4 mg; Great Medical China Co., Ltd., Wuhan, Hubei, China) was administered intravenously. At 8 h after the procedure, the platelet count of the patient decreased from 234×109/l to 10×109/l, while hemoglobin levels, clotting function, and hepatic and renal functions were normal. When the platelet count was repeated, manually, a further reduction to 3×109/l was noted. All antiplatelet and antithrombotic agents were discontinued immediately, and following consultation with a hematologist, 40 mg methylprednisolone (Pfizer Inc., New York, NY, USA) and 1 unit platelets were administered intravenously, and 15,000 units TPO (3S Bio Inc., Hong Kong, China) were injected subcutaneously once daily. The platelet count rose to 34×109/l after 48 h and to 71×109/l after 4 days of treatment. TPO was discontinued (total of 60,000 IU), and aspirin, clopidogrel and a low-molecular-weight heparin (60 mg, twice a day, Sanofi Pharmaceutical Co., Ltd.) therapy were administered.

On the seventh morning of GIT and 3 days after the discontinuation of TPO, the patient complained of acute chest pain. Electrocardiography (MAC 5000 ECG Analysis System, GE Medical Systems Ltd.) suggested acute inferior wall myocardial infarction (Fig. 1). The platelet count was 179×109/l (normal range: 100–300×109/l), and the platelet aggregation test showed a value of 62% (normal range: 20–60%, calculated using Turbidimetric platelet aggregometry, aggregation remote analyzer module, Helena Laboratories, Beaumont, TX, USA). In brief, the procedure is as follows: Blood specimen is collected and handled. The aggregation reagents are reconstituted according to the directions of the manual. ADP, epinephrine and collagen reagents should be used undiluted and will have the final concentrations given below when mixed with the PRP during testing. The aggregometer was prepared for use and a 450 µl pipette of platelet poor plasma (PPP) was added to a cuvette. This blank was used to set the 100% aggregation value. The cuvette was incubated at 37°C between one and three minutes. Next, the PPP cuvette was inserted into the appropriate channel and the instrument was set to 100% aggregation, and the cuvette set into the appropriate channel. Next, 50 µl of the aggregating reagent dilutions were added to the PRP cuvette and the percentage of aggregation was recorded (instrument sets 0% when the aggregation agent is added and the channel activated).

Figure 1.

Electrocardiogram of a 68-year-old man showing acute inferior wall myocardial infarction after 7 days of glycoprotein IIb/IIIa receptor antagonist-induced thrombocytopenia and 3 days after the discontinuation of thrombopoietin.

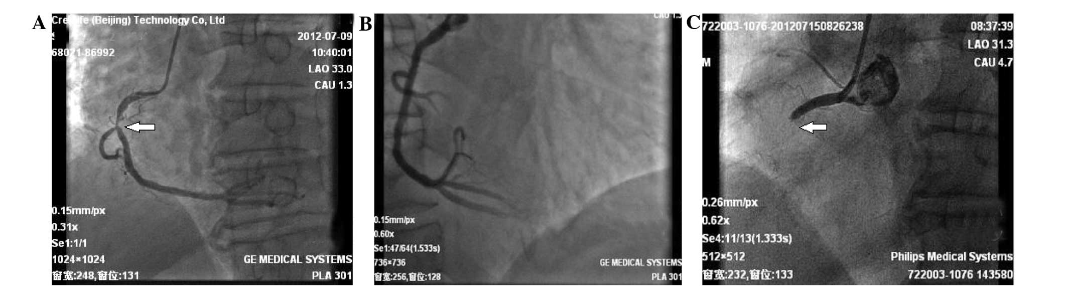
Following intensified antiplatelet treatment with 300 mg clopidogrel and 100 mg aspirin, a repeat coronary angiography (Philips Medical Systems, Eindhoven, Holland) was performed, which showed in-stent thrombosis and total occlusion of the right coronary artery (Fig. 2). After thrombus aspiration, another sirolimus-eluting stent (3.5×33 mm; Firebird; MicroPort Medical Group, Co., Ltd., Shanghai, China) was implanted, and a Thrombolysis In Myocardial Infarction blood flow at level 3 was restored. Dual anti-platelet therapy with 100 mg of aspirin and 150 mg of clopidogrel was applied. Heparin was injected intravenously for anticoagulation.

Figure 2.

Coronary angiography. (A) Approximately 90% stenosis of the right coronary artery (arrow) was observed. (B) A drug-eluting stent was successfully implanted. (C) Right coronary acute stent thrombosis and total occlusion of the right coronary (arrow).

On day 9 after GIT and 5 days after the discontinuation of TPO, the platelet count rose to 314×109/l, and the platelet aggregation rate was 54%. The patient had dysarthrosis, flatness of the right nasolabial groove, and a deteriorated pain sensation; the muscle force of his right-sided extremities became <5°. An emergency cranial computed tomography (CT; Siemens dual-source computer tomography, Munich, Germany) scan ruled out cerebral hemorrhage, and no definite ischemic lesion was found. As these symptoms appeared on the third day after coronary intervention, cerebral embolism caused by plaque shedding during the procedure could be ruled out. Acute cerebral infarction was confirmed by cranial CT 1 week later (Fig. 3). The platelet count increased progressively, and 11 days after the initiation of GIT treatment (7 days after discontinuing TPO), it leveled out at 834×109/l, while the platelet aggregation rate was 24%. Hydroxycarbamide (1 g, twice daily; (Shandong Qilu, Xinghua, China) was applied to reduce the platelet count. After administering hydroxycarbamide for 7 days, the platelet count was gradually reduced to 636×109/l, and hydroxycarbamide was discontinued. Antiplatelet treatment with aspirin (100 mg) and clopidogrel (150 mg) daily and anticoagulant treatment was continued with fondaparinux sodium (2.5 mg; GlaxoSmithKline, Cedex, France).

Figure 3.

Computed tomography scan showing cerebral capsule infarction of the left part of the brain (arrow).

At 10 days after the withdrawal of hydroxycarbamide, when the platelet count was reduced to 186×109/l (Fig. 4), the patient was discharged. At the 28-month follow-up examination, the patient's medical condition was stable.

Figure 4.

Change in platelet (PLT) count over time. A 68-year-old man presented with acute coronary syndrome and tirofiban was administered (0 h). Glycoprotein IIb/IIIa receptor antagonist-induced thrombocytopenia (GIT) occurred after 8 h of tirofiban use (8 h), then thrombopoietin (TPO) was administered and tirofiban was withdrawn. TPO was withdrawn at 104 h, and at 176 h inferior wall myocardial infarction (AMI) occurred and cerebral infarction (stroke) occurred at 224 h of GIT. The PLT count peaked at 272 h and declined until measurement was discontinued at 696 h.

Discussion

The mechanism of GIT remains unclear, but may be associated with an autoimmune reaction (5). According to this theory, a GRPA can alter the configuration of the platelet glycoprotein receptor, thereby creating a new antigenic determinant. This antigen is recognized by serum antibodies, leading to the removal of thrombocytes from the blood circulation. The prognosis for patients with GIT is poor (7). Evaluation of abciximab (c7E3 Fab), a monoclonal antibody that binds to the platelet glycoprotein IIb/IIIa receptor and inhibits platelet aggregation, in the Prevention of Ischemic Complications (EPIC) study (8) showed that patients with GIT have a high risk of mortality, myocardial infarction and revascularization. In the present case, the patient received multiple antithrombotic agents, such as aspirin, clopidogrel, unfractionated heparin and tirofiban prior to thrombocytopenia. After analyzing the case, and considering that the clinical diagnostic criteria of GIT are primarily based on the relationship between the timing of medical administration and thrombocytopenia, a clear conclusion could be made that the patient's thrombocytopenia was induced by tirofiban. Since heparin was administered during the stent implantation procedure, heparin-induced thrombocytopenia could be ruled out. The patient had no past history of heparin contact, and thrombocytopenia developed fairly early and severely, which was not compliant with the typical characteristics of type I or type II HIT (9). In addition, following the discontinuation of tirofiban, the platelet count reverted to the normal range. During the procedure of revascularization of the right coronary artery, the large dosage of heparin did not trigger thrombocytopenia. Therefore, it is likely that in the present case thrombocytopenia was induced by tirofiban.

TPO is an effective thrombocytopenic medication that may act directly on bone marrow hematopoietic stem cells to specifically raise platelet counts (10). However, the effect of TPO starts slowly; the platelet count starts to rise at 4–9 days, and reaches a peak at 12–16 days after subcutaneous injection (8). Since the patient with GIT in the present study had normal bone marrow function, when the effect of TPO started, the patient theoretically might have already recovered from GIT, and therefore TPO could have promoted a further rise in platelet numbers, thus increasing the possibility of thrombosis. However, when the thrombotic events occurred, the platelet count was relatively low within the normal range. It is difficult to determine whether the thrombotic events were drug-related, but the use of TPO may have been an important contributing factor.

In summary, from this case, the conclusion can be drawn that administration of tirofiban should be conducted under careful clinical monitoring in order to detect GIT as early as possible. GIT usually develops within 24 h after tirofiban administration, and the platelet count resumes to a normal range 1–6 days after discontinuation of tirofiban (11). In the present case, it was critically important to discontinue tirofiban once GIT was detected. Moreover, in view of the possible thrombotic risk of TPO application, it should be cautiously used in the treatment of GIT.

References

1 

Dasgupta H, Blankenship JC, Wood GC, Frey CM, Demko SL and Menapace FJ: Thrombocytopenia complicating treatment with intravenous glycoprotein IIb/IIIa receptor inhibitors: A pooled analysis. Am Heart J. 140:206–211. 2000. View Article : Google Scholar : PubMed/NCBI

2 

Yeung J and Holinstat M: Newer agents in antiplatelet therapy: A review. J Blood Med. 3:33–42. 2012.PubMed/NCBI

3 

Labinaz M, Ho C, Banerjee S, Martin J, Chen S and Mensinkai S: Meta-analysis of clinical efficacy and bleeding risk with intravenous glycoprotein IIb/IIIa antagonists for percutaneous coronary intervention. Can J Cardiol. 23:963–970. 2007. View Article : Google Scholar : PubMed/NCBI

4 

Li B, Ji Y, Shao Q, Zhu Z, Ji D, Li F and Chen G: Comparative efficacy and cost effectiveness of splenectomy and thrombopoietin prior to peginterferon and ribavirin therapy with compensatory cirrhosis associated with hepatitis C and thrombocytopenia. Exp Ther Med. 10:2180–2186. 2015.PubMed/NCBI

5 

Gudbrandsdottir S, Frederiksen H, Birgens HS, Nielsen CH, Nielsen OJ, Stentoft J and Hasselbalch HC: New treatment options for primary immune thrombocytopenia. Ugeskr Laeger. 173:271–274. 2011.(In Danish). PubMed/NCBI

6 

Yuan SM: Report: Heparin-induced thrombocytopenia associated with cardiopulmonary bypass: Preliminary attempt with recombinant human thrombopoietin therapy. Pak J Pharm Sci. 28:1793–1796. 2015.PubMed/NCBI

7 

Tuhta AG, Yeşildağ O and Köprülü D: Tirofiban-associated acute thrombocytopenia. Acta Cardiol. 61:577–579. 2006. View Article : Google Scholar : PubMed/NCBI

8 

Kuter DJ: The biology of thrombopoietin and thrombopoietin receptor agonists. Int J Hematol. 98:10–23. 2013. View Article : Google Scholar : PubMed/NCBI

9 

Huxtable LM, Tafreshi MJ and Rakkar AN: Frequency and management of thrombocytopenia with the glycoprotein IIb/IIIa receptor antagonists. Am J Cardiol. 97:426–429. 2006. View Article : Google Scholar : PubMed/NCBI

10 

Kuter DJ: Thrombopoietin: Biology and clinical applications. Oncologist. 1:98–106. 1996.PubMed/NCBI

11 

Aster RH: Immune thrombocytopenia caused by glycoprotein IIb/IIIa inhibitors. Chest. 127(2 Suppl): 53S–59S. 2005. View Article : Google Scholar : PubMed/NCBI

Related Articles

  • Abstract
  • View
  • Download
  • Twitter
Copy and paste a formatted citation
Spandidos Publications style
Li Y, Xu Q and Guo X: Thromboembolic events secondary to tirofiban-induced thrombocytopenia being treated with thrombopoietin: A case report. Exp Ther Med 12: 1177-1180, 2016.
APA
Li, Y., Xu, Q., & Guo, X. (2016). Thromboembolic events secondary to tirofiban-induced thrombocytopenia being treated with thrombopoietin: A case report. Experimental and Therapeutic Medicine, 12, 1177-1180. https://doi.org/10.3892/etm.2016.3439
MLA
Li, Y., Xu, Q., Guo, X."Thromboembolic events secondary to tirofiban-induced thrombocytopenia being treated with thrombopoietin: A case report". Experimental and Therapeutic Medicine 12.2 (2016): 1177-1180.
Chicago
Li, Y., Xu, Q., Guo, X."Thromboembolic events secondary to tirofiban-induced thrombocytopenia being treated with thrombopoietin: A case report". Experimental and Therapeutic Medicine 12, no. 2 (2016): 1177-1180. https://doi.org/10.3892/etm.2016.3439
Copy and paste a formatted citation
x
Spandidos Publications style
Li Y, Xu Q and Guo X: Thromboembolic events secondary to tirofiban-induced thrombocytopenia being treated with thrombopoietin: A case report. Exp Ther Med 12: 1177-1180, 2016.
APA
Li, Y., Xu, Q., & Guo, X. (2016). Thromboembolic events secondary to tirofiban-induced thrombocytopenia being treated with thrombopoietin: A case report. Experimental and Therapeutic Medicine, 12, 1177-1180. https://doi.org/10.3892/etm.2016.3439
MLA
Li, Y., Xu, Q., Guo, X."Thromboembolic events secondary to tirofiban-induced thrombocytopenia being treated with thrombopoietin: A case report". Experimental and Therapeutic Medicine 12.2 (2016): 1177-1180.
Chicago
Li, Y., Xu, Q., Guo, X."Thromboembolic events secondary to tirofiban-induced thrombocytopenia being treated with thrombopoietin: A case report". Experimental and Therapeutic Medicine 12, no. 2 (2016): 1177-1180. https://doi.org/10.3892/etm.2016.3439
Follow us
  • Twitter
  • LinkedIn
  • Facebook
About
  • Spandidos Publications
  • Careers
  • Cookie Policy
  • Privacy Policy
How can we help?
  • Help
  • Live Chat
  • Contact
  • Email to our Support Team