Spandidos Publications Logo
  • About
    • About Spandidos
    • Aims and Scopes
    • Abstracting and Indexing
    • Editorial Policies
    • Reprints and Permissions
    • Job Opportunities
    • Terms and Conditions
    • Contact
  • Journals
    • All Journals
    • Oncology Letters
      • Oncology Letters
      • Information for Authors
      • Editorial Policies
      • Editorial Board
      • Aims and Scope
      • Abstracting and Indexing
      • Bibliographic Information
      • Archive
    • International Journal of Oncology
      • International Journal of Oncology
      • Information for Authors
      • Editorial Policies
      • Editorial Board
      • Aims and Scope
      • Abstracting and Indexing
      • Bibliographic Information
      • Archive
    • Molecular and Clinical Oncology
      • Molecular and Clinical Oncology
      • Information for Authors
      • Editorial Policies
      • Editorial Board
      • Aims and Scope
      • Abstracting and Indexing
      • Bibliographic Information
      • Archive
    • Experimental and Therapeutic Medicine
      • Experimental and Therapeutic Medicine
      • Information for Authors
      • Editorial Policies
      • Editorial Board
      • Aims and Scope
      • Abstracting and Indexing
      • Bibliographic Information
      • Archive
    • International Journal of Molecular Medicine
      • International Journal of Molecular Medicine
      • Information for Authors
      • Editorial Policies
      • Editorial Board
      • Aims and Scope
      • Abstracting and Indexing
      • Bibliographic Information
      • Archive
    • Biomedical Reports
      • Biomedical Reports
      • Information for Authors
      • Editorial Policies
      • Editorial Board
      • Aims and Scope
      • Abstracting and Indexing
      • Bibliographic Information
      • Archive
    • Oncology Reports
      • Oncology Reports
      • Information for Authors
      • Editorial Policies
      • Editorial Board
      • Aims and Scope
      • Abstracting and Indexing
      • Bibliographic Information
      • Archive
    • Molecular Medicine Reports
      • Molecular Medicine Reports
      • Information for Authors
      • Editorial Policies
      • Editorial Board
      • Aims and Scope
      • Abstracting and Indexing
      • Bibliographic Information
      • Archive
    • World Academy of Sciences Journal
      • World Academy of Sciences Journal
      • Information for Authors
      • Editorial Policies
      • Editorial Board
      • Aims and Scope
      • Abstracting and Indexing
      • Bibliographic Information
      • Archive
    • International Journal of Functional Nutrition
      • International Journal of Functional Nutrition
      • Information for Authors
      • Editorial Policies
      • Editorial Board
      • Aims and Scope
      • Abstracting and Indexing
      • Bibliographic Information
      • Archive
    • International Journal of Epigenetics
      • International Journal of Epigenetics
      • Information for Authors
      • Editorial Policies
      • Editorial Board
      • Aims and Scope
      • Abstracting and Indexing
      • Bibliographic Information
      • Archive
    • Medicine International
      • Medicine International
      • Information for Authors
      • Editorial Policies
      • Editorial Board
      • Aims and Scope
      • Abstracting and Indexing
      • Bibliographic Information
      • Archive
  • Articles
  • Information
    • Information for Authors
    • Information for Reviewers
    • Information for Librarians
    • Information for Advertisers
    • Conferences
  • Language Editing
Spandidos Publications Logo
  • About
    • About Spandidos
    • Aims and Scopes
    • Abstracting and Indexing
    • Editorial Policies
    • Reprints and Permissions
    • Job Opportunities
    • Terms and Conditions
    • Contact
  • Journals
    • All Journals
    • Biomedical Reports
      • Information for Authors
      • Editorial Policies
      • Editorial Board
      • Aims and Scope
      • Abstracting and Indexing
      • Bibliographic Information
      • Archive
    • Experimental and Therapeutic Medicine
      • Information for Authors
      • Editorial Policies
      • Editorial Board
      • Aims and Scope
      • Abstracting and Indexing
      • Bibliographic Information
      • Archive
    • International Journal of Epigenetics
      • Information for Authors
      • Editorial Policies
      • Editorial Board
      • Aims and Scope
      • Abstracting and Indexing
      • Bibliographic Information
      • Archive
    • International Journal of Functional Nutrition
      • Information for Authors
      • Editorial Policies
      • Editorial Board
      • Aims and Scope
      • Abstracting and Indexing
      • Bibliographic Information
      • Archive
    • International Journal of Molecular Medicine
      • Information for Authors
      • Editorial Policies
      • Editorial Board
      • Aims and Scope
      • Abstracting and Indexing
      • Bibliographic Information
      • Archive
    • International Journal of Oncology
      • Information for Authors
      • Editorial Policies
      • Editorial Board
      • Aims and Scope
      • Abstracting and Indexing
      • Bibliographic Information
      • Archive
    • Medicine International
      • Information for Authors
      • Editorial Policies
      • Editorial Board
      • Aims and Scope
      • Abstracting and Indexing
      • Bibliographic Information
      • Archive
    • Molecular and Clinical Oncology
      • Information for Authors
      • Editorial Policies
      • Editorial Board
      • Aims and Scope
      • Abstracting and Indexing
      • Bibliographic Information
      • Archive
    • Molecular Medicine Reports
      • Information for Authors
      • Editorial Policies
      • Editorial Board
      • Aims and Scope
      • Abstracting and Indexing
      • Bibliographic Information
      • Archive
    • Oncology Letters
      • Information for Authors
      • Editorial Policies
      • Editorial Board
      • Aims and Scope
      • Abstracting and Indexing
      • Bibliographic Information
      • Archive
    • Oncology Reports
      • Information for Authors
      • Editorial Policies
      • Editorial Board
      • Aims and Scope
      • Abstracting and Indexing
      • Bibliographic Information
      • Archive
    • World Academy of Sciences Journal
      • Information for Authors
      • Editorial Policies
      • Editorial Board
      • Aims and Scope
      • Abstracting and Indexing
      • Bibliographic Information
      • Archive
  • Articles
  • Information
    • For Authors
    • For Reviewers
    • For Librarians
    • For Advertisers
    • Conferences
  • Language Editing
Login Register Submit
  • This site uses cookies
  • You can change your cookie settings at any time by following the instructions in our Cookie Policy. To find out more, you may read our Privacy Policy.

    I agree
Search articles by DOI, keyword, author or affiliation
Search
Advanced Search
presentation
Experimental and Therapeutic Medicine
Join Editorial Board Propose a Special Issue
Print ISSN: 1792-0981 Online ISSN: 1792-1015
Journal Cover
October-2016 Volume 12 Issue 4

Full Size Image

Sign up for eToc alerts
Recommend to Library

Journals

International Journal of Molecular Medicine

International Journal of Molecular Medicine

International Journal of Molecular Medicine is an international journal devoted to molecular mechanisms of human disease.

International Journal of Oncology

International Journal of Oncology

International Journal of Oncology is an international journal devoted to oncology research and cancer treatment.

Molecular Medicine Reports

Molecular Medicine Reports

Covers molecular medicine topics such as pharmacology, pathology, genetics, neuroscience, infectious diseases, molecular cardiology, and molecular surgery.

Oncology Reports

Oncology Reports

Oncology Reports is an international journal devoted to fundamental and applied research in Oncology.

Experimental and Therapeutic Medicine

Experimental and Therapeutic Medicine

Experimental and Therapeutic Medicine is an international journal devoted to laboratory and clinical medicine.

Oncology Letters

Oncology Letters

Oncology Letters is an international journal devoted to Experimental and Clinical Oncology.

Biomedical Reports

Biomedical Reports

Explores a wide range of biological and medical fields, including pharmacology, genetics, microbiology, neuroscience, and molecular cardiology.

Molecular and Clinical Oncology

Molecular and Clinical Oncology

International journal addressing all aspects of oncology research, from tumorigenesis and oncogenes to chemotherapy and metastasis.

World Academy of Sciences Journal

World Academy of Sciences Journal

Multidisciplinary open-access journal spanning biochemistry, genetics, neuroscience, environmental health, and synthetic biology.

International Journal of Functional Nutrition

International Journal of Functional Nutrition

Open-access journal combining biochemistry, pharmacology, immunology, and genetics to advance health through functional nutrition.

International Journal of Epigenetics

International Journal of Epigenetics

Publishes open-access research on using epigenetics to advance understanding and treatment of human disease.

Medicine International

Medicine International

An International Open Access Journal Devoted to General Medicine.

Journal Cover
October-2016 Volume 12 Issue 4

Full Size Image

Sign up for eToc alerts
Recommend to Library

  • Article
  • Citations
    • Cite This Article
    • Download Citation
    • Create Citation Alert
    • Remove Citation Alert
    • Cited By
  • Similar Articles
    • Related Articles (in Spandidos Publications)
    • Similar Articles (Google Scholar)
    • Similar Articles (PubMed)
  • Download PDF
  • Download XML
  • View XML
Article

Mediastinal syndrome: A report of three cases

  • Authors:
    • Enrico Maria Zardi
    • Maria Elena Pipita
    • Antonella Afeltra
  • View Affiliations / Copyright

    Affiliations: Department of Clinical Medicine and Rheumatology, Campus Bio‑Medico University of Rome, I‑00128 Rome, Italy
  • Pages: 2237-2240
    |
    Published online on: August 12, 2016
       https://doi.org/10.3892/etm.2016.3596
  • Expand metrics +
Metrics: Total Views: 0 (Spandidos Publications: | PMC Statistics: )
Metrics: Total PDF Downloads: 0 (Spandidos Publications: | PMC Statistics: )
Cited By (CrossRef): 0 citations Loading Articles...

This article is mentioned in:



Abstract

Mediastinal syndromes are a group of disorders involving the anatomical structures of the mediastinum. An increase in the incidence of this syndrome has been observed following the widespread use of diagnostic imaging. In the present study, three different cases of mediastinal syndrome, one of which was complicated by superior vena cava syndrome, are discussed. The treatment in the three cases was dependent on the etiology. While a patient with goiter experienced resolution of the symptoms following thyroidectomy, and a patient with lymphoma experienced beneficial effects following medical treatment, the patient with lymph node metastasis caused by a gastric tumor succumbed to the disease. In conclusion, the present case reports demonstrated that mediastinal syndrome is a life threatening condition whose prognosis depends on the underlying cause.

Introduction

Mediastinal syndromes are a group of disorders characterized by infiltration, entrapment or compression of mediastinal structures. The mediastinum is anatomically divided into the anterior, medium and posterior regions. Symptoms of the syndromes are associated with the anatomic structures involved; the compression of the trachea results in dyspnea and respiratory insufficiency, whereas compression of the esophagus results in dysphagia. The superior vena cava (SVC) and nerves can become trapped, resulting in vein distention, edema of the face or upper extremities, and nervous system symptoms (1). Mediastinal syndrome can be due to malignant or non-malignant conditions. Malignant health conditions generally include lymphomas, thymomas, germ cell tumors, thyroid neoplasms and metastases from serous or mucinous tumors, as ovary, gastrointestinal tract or small cell lung cancer (1,2). Non-malignant causes include goiter and large aortic aneurisms. Generally, 3–6% of mediastinal anterior masses are represented by intrathoracic goiter and 5–17% are carcinomas (1). Superior vena cava syndrome is the most severe complication of mediastinal syndromes and is considered to be a medical emergency (1,2). In addition, pulmonary cancer is the most common cause of mediastinal syndrome. Treatment of mediastinal syndrome involves chemotherapy and radiation, radiation alone or surgery according to the etiology. Supportive therapies may help manage this syndrome, however, the prognosis, depending on the type of malignancy, is poor in the majority of cases (1,2). A total of 40% of patients diagnosed with lung cancer have signs and symptoms of mediastinal syndrome (3). Furthermore, lung cancer accounts for 46–75% of all cases of SVC obstruction (4). In the present study, three rare causes of mediastinal syndrome in three respective cases are discussed.

Case report

Case 1

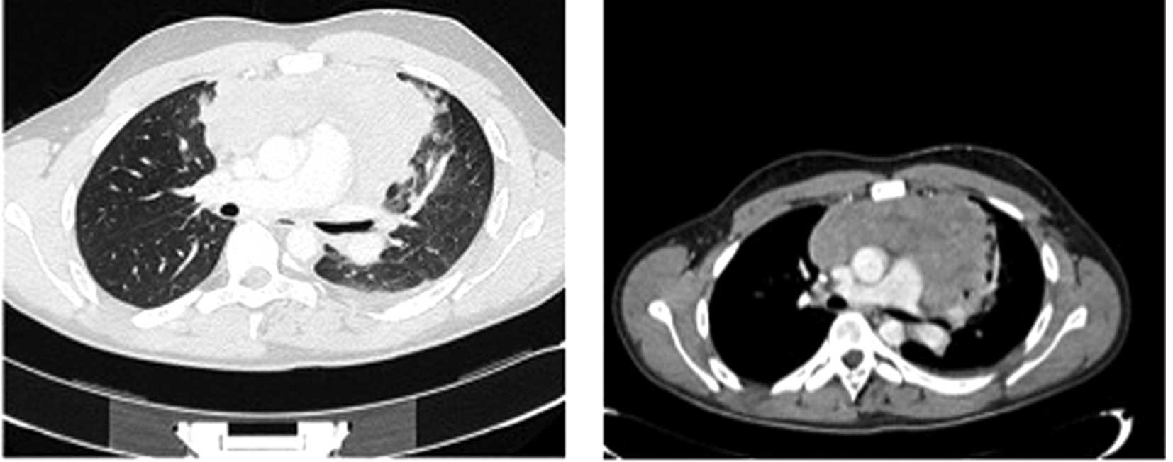
A 85-year-old female was transferred on the 14th of January, 2014 to the Department of Clinical Medicine and Rheumatology, Campus Bio-Medico University of Rome (Rome, Italy) with acute respiratory failure and pneumonia. Arterial blood gas (ABG) analysis showed the following: pH, 7.43; pO2, 54 mmHg; pCO2, 40 mmHg; and HCO3, 28 mmol/l, and pneumonia. Venous blood tests demonstrated the following: Hemoglobin (Hb), 11.6 g/dl; platelets, 166,000 cells/µl; white blood cell (WBC), 6,490 cells/µl (neutrophils, 4,860 cells/µl; lymphocytes, 860 cells/µl); and creatinine, 0.84 mg/dl. Following admission, oxygen therapy using a Venturi mask (40%) at 8 l/min and antibiotic therapy using piperacilline/tazobactam (4.5 g three times a day) were administered intravenously. The patient's medical history included several years of follow-up for a thyroid goiter; however, computed tomography (CT) analysis of the neck demonstrated a multinodular goiter in the mediastinum with severe compression of the tracheal lumen that appeared markedly reduced in size and was deformed in a way that it resembled a mouse tail (Fig. 1). In addition, a sliding gastric hiatal hernia resulted in compression of the anterior-medial part of the left inferior lobe. This induced marked dilation of the esophageal lumen with ‘air-fluid level’.

Figure 1.

Axial computed tomography with a contrast agent in the mediastinal window (right) and in the parenchymal window (left). It shows a multinodular goiter in the mediastinum with severe compression of the tracheal lumen and a marked reduction in size and deformation of the trachea is observed.

Due to the severe clinical condition of the patient, surgical aspiration of the goiter was performed without any complications. Clinical conditions improved a few days after the surgery. ABG analysis at discharge demonstrated the following: pH, 7.44; pO2, 85 mmHg; pCO2, 26 mmHg; and HCO3, 24 mmol/l. Oxygen therapy was reduced and subsequently discontinued, and the patient was discharged on the 2nd of February, 2014 and referred to a long-term care provider.

Case 2

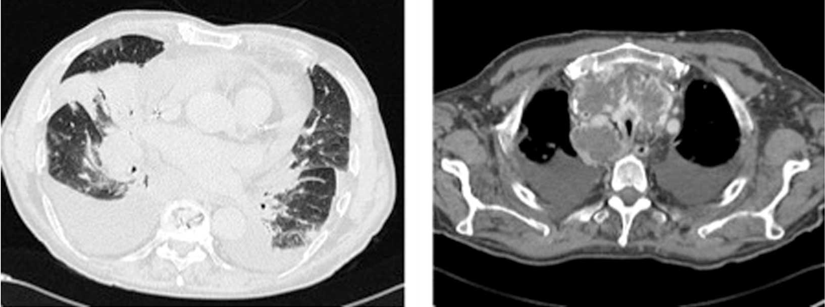
A 21-year-old male was admitted on the 17th of April, 2014 to the Department of Clinical Medicine and Rheumatology, Campus Bio-Medico University of Rome with fatigue, fever and a voluminous painless neck mass. The patient was referred on May 2, 2014 to hematologists. Venous blood tests showed the following: Hb, 12.6 g/dl; platelets, 428,000 cells/µl; WBC, 12,460 cells/µl (neutrophils, 10,370 cells/µl; lymphocytes, 690 cells/µl; macrophages, 1,240 cells /µl) and erythrocyte sedimentation rate, 120 mm/h. CT examination identified a voluminous solid mass with spiculated margins and internal necrosis, localized on the left anterior superior mediastinum. This mass caused severe compression of the left lung apex and jugular vein (Fig. 2). Subsequent echocardiography demonstrated pericardial effusion. A biopsy of the mass was performed with a menghini needle (Hepafix, B. Braun, Melsungen, Germany). The specimen was formalin-fixed and paraffin-embedded; 3 mm thick sections were cut and stained with H&E and observed with a BX51 light microscope (Olympus Corporation, Tokyo, Japan). Histochemical and immunophenotypic analyses were performed on additional sections. Histological examination revealed an unclassifiable B-cell lymphoma, with features that were indicative of diffuse large B-cell lymphoma and classical Hodgkin's lymphoma stage IIB (5). The patient was subsequently referred to hematologists on May 13th and began a bleomycin, etoposide, doxorubicin, cyclophosphamide, vincristine, procarbazine and prednisone chemotherapy regimen. The patient had four cycles of chemotherapy, and the control positron emission tomography comparison demonstrated a reduction of the mediastinal mass.

Figure 2.

Axial computed tomography without a contrast agent in the mediastinal window (right) and with a contrast agent in the parenchymal window (left) shows mixed lymphoma appearing as a voluminous solid mass with irregular margins, and internal necrosis in the left anterior superior mediastinum; compression of the left lung apex, jugular vein and the left common vein is observed.

Case 3

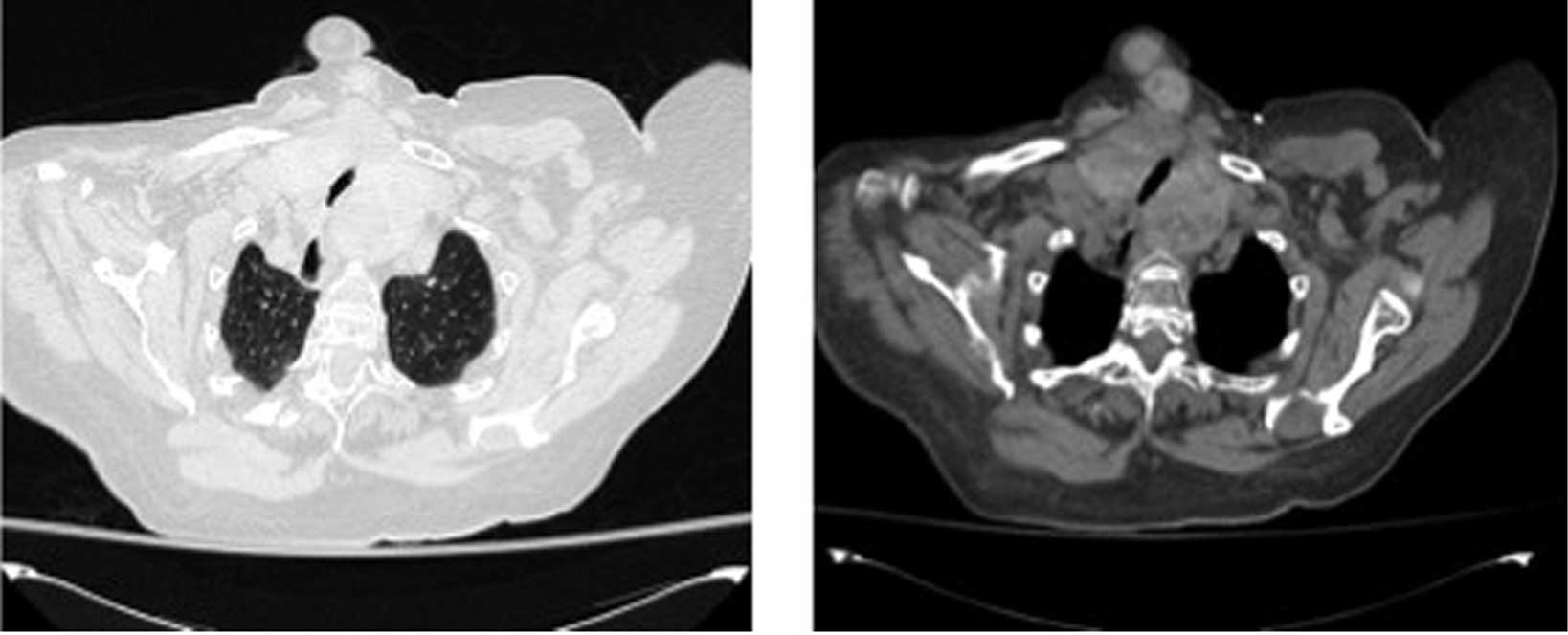
A 63 year-old male, suffering from an operated gastric tumor, was admitted on 21st of November, 2013 to the Department of Clinical Medicine and Rheumatology, Campus Bio-Medico University of Rome with lobar pneumonia of the right lung, and bilateral pleural effusions. In addition, the patient presented with severe dyspnea and edema of the neck and the face. ABG analysis demonstrated the following: pH, 7.45; pO2, 53 mmHg; pCO2, 34 mmHg; sO2, 88%; and HCO3, 25 mmol/l. Venous blood tests results were as follows: Creatinine, 1.5 mg/dl; Hb, 17.2 g/dl; WBC, 12,120 cells/µl, neutrophils, 10,740 cells/µl; lymphocytes, 589 cells/µl; and platelets, 189,000 cells/µl.

CT examination showed multiple mediastinal lymph nodes with internal liquefactive necrotic phenomena; lymphadenopathy was extended to the bronchovascular structures and to the esophagus, causing a significant reduction in the diameter of the tracheal lumen on the superior mediastinum (Fig. 3). In addition, CT indicated compression of the SVC, infiltration of the right pulmonary artery, moderate pericardial effusion and bilateral pleural effusion (Fig. 3). The patient was administered palliative care, including physiologic salt solution, and morphine (4 mg; Mundipharma Pharmaceuticals srl, Milan, Italy) and methylprednisolone (40 mg; Pfizer srl, Milan, Italy) intravenously. The patient succumbed to acute respiratory failure after 4 days.

Figure 3.

Axial computed tomography with a contrast agent in the mediastinal window (right) and in the parenchymal window (left) shows multiple lymphadenopathy with marked necrotic phenomena inside, occupying the mediastinum; the lymph nodes extend towards all the bronchovascular structures and to the esophagus causing a significant reduction in the tracheal caliber in the superior mediastinum. Compression of the superior vena cava and infiltration of the right pulmonary artery is observed.

Discussion

Mediastinal syndromes include a group of syndromes characterized by the compression of mediastinal structures. Causes of mediastinal syndromes are classified according to the anatomic division of the mediastinum, including the anterior, medium and posterior regions (Table I) (1,2). Typically, 3–6% of mediastinal anterior masses are represented by intrathoracic goiter, and 5–17% are carcinomas (1). The most severe complication of mediastinal syndrome is SVC syndrome (6), which affected the patient in case 3.

Table I.

Causes of mediastinal syndrome based on anatomical divisions of the mediastinum.

Table I.

Causes of mediastinal syndrome based on anatomical divisions of the mediastinum.

Anterior mediastinumMedium mediastinumPosterior mediastinum
AneurysmBronchogenic cystAneurysm
Angiomatous tumorBronchogenic tumorBronchogenic tumor
GoiterLymph node hyperplasiaEsophageal diverticular
LipomaLymphomaEsophageal tumor
LymphomaPleuropericardial cystNeurogenic tumor
Morgagni herniaVascular massesParathyroid tumor
Pericardial cyst
Teratoma
Thymoma
Thyroid tumor

As observed in case 1, intrathoracic goiter is typically a multinodular benign disease (thyroid cancer is only identified in 2.5–16% of cases) (7) that may become a life-threatening condition when it causes the obstruction of respiratory and neurovascular structures (1). It is understood that 80% of intrathoracic goiters are located in the anterior mediastinum, as was observed in case 1, whereas 10–15% are situated in the posterior mediastinum (8). In case 1, mediastinal syndrome was life threatening due to severe tracheal lumen compression, which lead to acute respiratory insufficiency. Following thyroidectomy, the patient experienced rapid clinical benefit, and dyspnea and respiratory insufficiency ceased. In this case, a surgical approach was the preferable option, particularly in the absence of contraindications, as intrathoracic goiter can represent an emergency. Short-term complications of intrathoracic goiter include the development of severe acute respiratory failure that may require intubation, whereas long-term complications include the development of thyroid cancer (8).

Case 2 described a young male affected by lymphoma. Hodgkin's lymphoma predominantly affects the mediastinum in 50–70% of patients, compared with 20% of those with non-Hodgkin's lymphoma (2,9). If the lymphoma is bulky, it compresses the trachea, heart, esophagus and large vessels (2); therefore, symptoms are dependent on the anatomical structures involved (2). Histological analysis of the patient in case 2 resulted in a diagnosis of bulky unclassifiable B-cell lymphoma, with features intermediate between diffuse large B-cell lymphoma and classical Hodgkin's lymphoma. Initially, the neoplasm had compressed the jugular and subclavian veins and the pulmonary apex, and may have caused Bernard Horner Syndrome and SVC syndrome. Since the treatment for these tumors depends on etiology, in this case a chemotherapeutic regimen was administered; the volume of the mass rapidly reduced and the patient's clinical condition improved.

In case 3, the patient presented with mediastinal syndrome complicated by SVC syndrome. SVC syndrome is considered a medical emergency. The vena cava is easily compressible, and prompt and aggressive therapy should be commenced as soon as possible. The severity of the emergency depends on how fast the obstruction of the vessels occurs; if the development of the obstruction is slow, collateral circulation may develop (10).

Malignant etiology is observed in 70–90% of cases of SVC syndrome, whereas a non-malignant etiology is demonstrated in 10–30% of cases (11). Common malignancies include bronchogenic cancer, large cell Hodgkin's lymphomas, thymoma, lung cancer, germ cell tumor and metastatic tumors, particularly from breast cancer (2,7). Non-malignant diseases are caused by intravascular devices (2), goiter, aspergilloma, large ascending aortic aneurysm, pacemakers or internal defibrillators (2,7,8).

The clinical presentation of SVC syndrome may be acute or chronic, depending on the etiology. Clinical symptoms can be due to passive venous congestion and elevated upper venous pressure, leading to dyspnea, cough, orthopnea, and edema of upper extremities and the face (2,12). In addition, muscle weakness caused by Lambert-Eaton myasthenic syndrome may be present (13).

Regardless of whether a life-threatening condition is present, such as acute respiratory insufficiency, neurological dysfunction or acute cardiac insufficiency, treatment of SVC syndrome should be commenced as soon as possible. However, it is necessary to identify the type of cancer prior to administering antineoplastic therapy (10). Clinicians should evaluate the advantages and disadvantages of performing a biopsy, due to the high risk of bleeding as a result of the elevated central venous pressure (10). Mediastinoscopy or thoracotomy may be considered for diagnosis or de-bulking treatment (10).

Therapeutic management of SVC syndrome caused by malignant diseases includes the treatment of the cancer and the relief of symptoms, even if prognosis is poor (10). Initial management includes supportive measures, such as elevating the head of bed, and the use of diuretics, oxygen and steroids for the treatment of symptoms. Treatment depends on the etiology, therefore, radiotherapy and chemotherapy are used in in tumours that are sensitive to these treatments (1,2). Cancers sensitive to radiation, such as lymphomas, should be treated promptly (10). The patient in case 3 developed SVC syndrome due to lymph nodes metastasis of a gastric cancer. This was the only patient who was diagnosed with a vena cava syndrome; however, this co-morbidity may have been undiscovered in cases 2 and 3. In case 3, palliative treatment to alleviate acute respiratory insufficiency and provide symptom relief was administered. Radiotherapy and surgery were contraindicated, in this case, due to very poor clinical conditions, and the patient succumbed to acute respiratory failure after 4 days.

In conclusion, mediastinal syndrome is a life threatening condition typically caused by tumors. Notably, in 40% of cases, mediastinal masses are asymptomatic and are incidentally discovered by routine chest radiographs (14). To date, improved interpretation of radiographic signs has ameliorated the detection and localization of the mediastinal masses, which has increased the treatment options available. It is crucial that a diagnosis is reached as soon as possible and that treatment commences quickly in order to avoid emergency treatment and improve the prognosis. Treatment may be curative, depending on the etiology and the capacity for rapid diagnosis. Therefore, clinicians should appreciate the urgency of the situation.

Glossary

Abbreviations

Abbreviations:

ABG

arterial blood gas

CT

computed tomography

Hb

hemoglobin

WBC

white blood cell

References

1 

Shahrzad M, Le TS, Silva M, Bankier AA and Eisenberg RL: Anterior mediastinal masses. AJR Am J Roentgenol. 203:W128–W138. 2014. View Article : Google Scholar : PubMed/NCBI

2 

Petersdorf SH and Wood DE: Lymphoproliferative disorders presenting as mediastinal neoplasms. Semin Thorac Cardiovasc Surg. 12:290–300. 2000. View Article : Google Scholar : PubMed/NCBI

3 

Collins LG, Haines C, Perkel R and Enck RE: Lung cancer: diagnosis and management. Am Fam Physician. 75:56–63. 2007.PubMed/NCBI

4 

Van Houtte P, De Jager R, Lustman-Maréchal J and Kenis Y: Prognostic value of the superior vena cava syndrome as the presenting sign of small cell anaplastic carcinoma of the lung. Eur J Cancer. 16:1447–1450. 1980. View Article : Google Scholar : PubMed/NCBI

5 

Campo E, Swerdlow SH, Harris NL, Pileri S, Stein H and Jaffe ES: The 2008 WHO classification of lymphoid neoplasms and beyond: evolving concepts and practical applications. Blood. 117:5019–5032. 2011. View Article : Google Scholar : PubMed/NCBI

6 

Kishi K, Sonomura T, Mitsuzane K, Nishida N, Yang RJ, Sato M, Yamada R, Shirai S and Kobayashi H: Self-expandable metallic stent therapy for superior vena cava syndrome: Clinical observations. Radiology. 189:531–535. 1993. View Article : Google Scholar : PubMed/NCBI

7 

Andrade MA: A review of 128 cases of posterior mediastinal goiter. World J Surg. 1:789–797. 1977. View Article : Google Scholar : PubMed/NCBI

8 

Xu J, Shen B, Li Y and Zhang T: Enormous goiter in posterior mediastinum: Report of 2 cases and literature review. J Formos Med Assoc. 108:337–343. 2009. View Article : Google Scholar : PubMed/NCBI

9 

Strollo DC, Rosado-de-Christenson ML and Jett JR: Primary mediastinal tumors: Part II. Tumors of the middle and posterior mediastinum. Chest. 112:1344–1357. 1997. View Article : Google Scholar : PubMed/NCBI

10 

Markman M: Diagnosis and management of superior vena cava syndrome. Cleve Clin J Med. 66:59–61. 1999. View Article : Google Scholar : PubMed/NCBI

11 

Aroor AR, Prakasha SR, Seshadri S, S T and Raghuraj U: A study of clinical characteristics of mediastinal mass. J Clin Diagn Res. 8:77–80. 2014.PubMed/NCBI

12 

Cheng S: Superior vena cava syndrome: A contemporary review of a historic disease. Cardiol Rev. 17:16–23. 2009. View Article : Google Scholar : PubMed/NCBI

13 

Zhang K, Liu W, Li Y, Zhang K, Gao X and Wang J: Mediastinal small cell cancer associated with Lambert-Eaton myasthenic syndrome: A case report. Exp Ther Med. 10:117–120. 2015.PubMed/NCBI

14 

Davis RD Jr, Oldham HN Jr and Sabiston DC Jr: Primary cysts and neoplasms of the mediastinum: Recent changes in clinical presentation, methods of diagnosis, management, and results. Ann Thorac Surg. 44:229–237. 1987. View Article : Google Scholar : PubMed/NCBI

Related Articles

  • Abstract
  • View
  • Download
  • Twitter
Copy and paste a formatted citation
Spandidos Publications style
Zardi EM, Pipita ME and Afeltra A: Mediastinal syndrome: A report of three cases. Exp Ther Med 12: 2237-2240, 2016.
APA
Zardi, E.M., Pipita, M.E., & Afeltra, A. (2016). Mediastinal syndrome: A report of three cases. Experimental and Therapeutic Medicine, 12, 2237-2240. https://doi.org/10.3892/etm.2016.3596
MLA
Zardi, E. M., Pipita, M. E., Afeltra, A."Mediastinal syndrome: A report of three cases". Experimental and Therapeutic Medicine 12.4 (2016): 2237-2240.
Chicago
Zardi, E. M., Pipita, M. E., Afeltra, A."Mediastinal syndrome: A report of three cases". Experimental and Therapeutic Medicine 12, no. 4 (2016): 2237-2240. https://doi.org/10.3892/etm.2016.3596
Copy and paste a formatted citation
x
Spandidos Publications style
Zardi EM, Pipita ME and Afeltra A: Mediastinal syndrome: A report of three cases. Exp Ther Med 12: 2237-2240, 2016.
APA
Zardi, E.M., Pipita, M.E., & Afeltra, A. (2016). Mediastinal syndrome: A report of three cases. Experimental and Therapeutic Medicine, 12, 2237-2240. https://doi.org/10.3892/etm.2016.3596
MLA
Zardi, E. M., Pipita, M. E., Afeltra, A."Mediastinal syndrome: A report of three cases". Experimental and Therapeutic Medicine 12.4 (2016): 2237-2240.
Chicago
Zardi, E. M., Pipita, M. E., Afeltra, A."Mediastinal syndrome: A report of three cases". Experimental and Therapeutic Medicine 12, no. 4 (2016): 2237-2240. https://doi.org/10.3892/etm.2016.3596
Follow us
  • Twitter
  • LinkedIn
  • Facebook
About
  • Spandidos Publications
  • Careers
  • Cookie Policy
  • Privacy Policy
How can we help?
  • Help
  • Live Chat
  • Contact
  • Email to our Support Team