Spandidos Publications Logo
  • About
    • About Spandidos
    • Aims and Scopes
    • Abstracting and Indexing
    • Editorial Policies
    • Reprints and Permissions
    • Job Opportunities
    • Terms and Conditions
    • Contact
  • Journals
    • All Journals
    • Oncology Letters
      • Oncology Letters
      • Information for Authors
      • Editorial Policies
      • Editorial Board
      • Aims and Scope
      • Abstracting and Indexing
      • Bibliographic Information
      • Archive
    • International Journal of Oncology
      • International Journal of Oncology
      • Information for Authors
      • Editorial Policies
      • Editorial Board
      • Aims and Scope
      • Abstracting and Indexing
      • Bibliographic Information
      • Archive
    • Molecular and Clinical Oncology
      • Molecular and Clinical Oncology
      • Information for Authors
      • Editorial Policies
      • Editorial Board
      • Aims and Scope
      • Abstracting and Indexing
      • Bibliographic Information
      • Archive
    • Experimental and Therapeutic Medicine
      • Experimental and Therapeutic Medicine
      • Information for Authors
      • Editorial Policies
      • Editorial Board
      • Aims and Scope
      • Abstracting and Indexing
      • Bibliographic Information
      • Archive
    • International Journal of Molecular Medicine
      • International Journal of Molecular Medicine
      • Information for Authors
      • Editorial Policies
      • Editorial Board
      • Aims and Scope
      • Abstracting and Indexing
      • Bibliographic Information
      • Archive
    • Biomedical Reports
      • Biomedical Reports
      • Information for Authors
      • Editorial Policies
      • Editorial Board
      • Aims and Scope
      • Abstracting and Indexing
      • Bibliographic Information
      • Archive
    • Oncology Reports
      • Oncology Reports
      • Information for Authors
      • Editorial Policies
      • Editorial Board
      • Aims and Scope
      • Abstracting and Indexing
      • Bibliographic Information
      • Archive
    • Molecular Medicine Reports
      • Molecular Medicine Reports
      • Information for Authors
      • Editorial Policies
      • Editorial Board
      • Aims and Scope
      • Abstracting and Indexing
      • Bibliographic Information
      • Archive
    • World Academy of Sciences Journal
      • World Academy of Sciences Journal
      • Information for Authors
      • Editorial Policies
      • Editorial Board
      • Aims and Scope
      • Abstracting and Indexing
      • Bibliographic Information
      • Archive
    • International Journal of Functional Nutrition
      • International Journal of Functional Nutrition
      • Information for Authors
      • Editorial Policies
      • Editorial Board
      • Aims and Scope
      • Abstracting and Indexing
      • Bibliographic Information
      • Archive
    • International Journal of Epigenetics
      • International Journal of Epigenetics
      • Information for Authors
      • Editorial Policies
      • Editorial Board
      • Aims and Scope
      • Abstracting and Indexing
      • Bibliographic Information
      • Archive
    • Medicine International
      • Medicine International
      • Information for Authors
      • Editorial Policies
      • Editorial Board
      • Aims and Scope
      • Abstracting and Indexing
      • Bibliographic Information
      • Archive
  • Articles
  • Information
    • Information for Authors
    • Information for Reviewers
    • Information for Librarians
    • Information for Advertisers
    • Conferences
  • Language Editing
Spandidos Publications Logo
  • About
    • About Spandidos
    • Aims and Scopes
    • Abstracting and Indexing
    • Editorial Policies
    • Reprints and Permissions
    • Job Opportunities
    • Terms and Conditions
    • Contact
  • Journals
    • All Journals
    • Biomedical Reports
      • Information for Authors
      • Editorial Policies
      • Editorial Board
      • Aims and Scope
      • Abstracting and Indexing
      • Bibliographic Information
      • Archive
    • Experimental and Therapeutic Medicine
      • Information for Authors
      • Editorial Policies
      • Editorial Board
      • Aims and Scope
      • Abstracting and Indexing
      • Bibliographic Information
      • Archive
    • International Journal of Epigenetics
      • Information for Authors
      • Editorial Policies
      • Editorial Board
      • Aims and Scope
      • Abstracting and Indexing
      • Bibliographic Information
      • Archive
    • International Journal of Functional Nutrition
      • Information for Authors
      • Editorial Policies
      • Editorial Board
      • Aims and Scope
      • Abstracting and Indexing
      • Bibliographic Information
      • Archive
    • International Journal of Molecular Medicine
      • Information for Authors
      • Editorial Policies
      • Editorial Board
      • Aims and Scope
      • Abstracting and Indexing
      • Bibliographic Information
      • Archive
    • International Journal of Oncology
      • Information for Authors
      • Editorial Policies
      • Editorial Board
      • Aims and Scope
      • Abstracting and Indexing
      • Bibliographic Information
      • Archive
    • Medicine International
      • Information for Authors
      • Editorial Policies
      • Editorial Board
      • Aims and Scope
      • Abstracting and Indexing
      • Bibliographic Information
      • Archive
    • Molecular and Clinical Oncology
      • Information for Authors
      • Editorial Policies
      • Editorial Board
      • Aims and Scope
      • Abstracting and Indexing
      • Bibliographic Information
      • Archive
    • Molecular Medicine Reports
      • Information for Authors
      • Editorial Policies
      • Editorial Board
      • Aims and Scope
      • Abstracting and Indexing
      • Bibliographic Information
      • Archive
    • Oncology Letters
      • Information for Authors
      • Editorial Policies
      • Editorial Board
      • Aims and Scope
      • Abstracting and Indexing
      • Bibliographic Information
      • Archive
    • Oncology Reports
      • Information for Authors
      • Editorial Policies
      • Editorial Board
      • Aims and Scope
      • Abstracting and Indexing
      • Bibliographic Information
      • Archive
    • World Academy of Sciences Journal
      • Information for Authors
      • Editorial Policies
      • Editorial Board
      • Aims and Scope
      • Abstracting and Indexing
      • Bibliographic Information
      • Archive
  • Articles
  • Information
    • For Authors
    • For Reviewers
    • For Librarians
    • For Advertisers
    • Conferences
  • Language Editing
Login Register Submit
  • This site uses cookies
  • You can change your cookie settings at any time by following the instructions in our Cookie Policy. To find out more, you may read our Privacy Policy.

    I agree
Search articles by DOI, keyword, author or affiliation
Search
Advanced Search
presentation
Experimental and Therapeutic Medicine
Join Editorial Board Propose a Special Issue
Print ISSN: 1792-0981 Online ISSN: 1792-1015
Journal Cover
November-2017 Volume 14 Issue 5

Full Size Image

Sign up for eToc alerts
Recommend to Library

Journals

International Journal of Molecular Medicine

International Journal of Molecular Medicine

International Journal of Molecular Medicine is an international journal devoted to molecular mechanisms of human disease.

International Journal of Oncology

International Journal of Oncology

International Journal of Oncology is an international journal devoted to oncology research and cancer treatment.

Molecular Medicine Reports

Molecular Medicine Reports

Covers molecular medicine topics such as pharmacology, pathology, genetics, neuroscience, infectious diseases, molecular cardiology, and molecular surgery.

Oncology Reports

Oncology Reports

Oncology Reports is an international journal devoted to fundamental and applied research in Oncology.

Experimental and Therapeutic Medicine

Experimental and Therapeutic Medicine

Experimental and Therapeutic Medicine is an international journal devoted to laboratory and clinical medicine.

Oncology Letters

Oncology Letters

Oncology Letters is an international journal devoted to Experimental and Clinical Oncology.

Biomedical Reports

Biomedical Reports

Explores a wide range of biological and medical fields, including pharmacology, genetics, microbiology, neuroscience, and molecular cardiology.

Molecular and Clinical Oncology

Molecular and Clinical Oncology

International journal addressing all aspects of oncology research, from tumorigenesis and oncogenes to chemotherapy and metastasis.

World Academy of Sciences Journal

World Academy of Sciences Journal

Multidisciplinary open-access journal spanning biochemistry, genetics, neuroscience, environmental health, and synthetic biology.

International Journal of Functional Nutrition

International Journal of Functional Nutrition

Open-access journal combining biochemistry, pharmacology, immunology, and genetics to advance health through functional nutrition.

International Journal of Epigenetics

International Journal of Epigenetics

Publishes open-access research on using epigenetics to advance understanding and treatment of human disease.

Medicine International

Medicine International

An International Open Access Journal Devoted to General Medicine.

Journal Cover
November-2017 Volume 14 Issue 5

Full Size Image

Sign up for eToc alerts
Recommend to Library

  • Article
  • Citations
    • Cite This Article
    • Download Citation
    • Create Citation Alert
    • Remove Citation Alert
    • Cited By
  • Similar Articles
    • Related Articles (in Spandidos Publications)
    • Similar Articles (Google Scholar)
    • Similar Articles (PubMed)
  • Download PDF
  • Download XML
  • View XML
Article

Effects of wogonin on the mechanism of melanin synthesis in A375 cells

  • Authors:
    • Xi Chen
    • Ting Gu
    • Jing‑Hua Wang
    • Hui Xiong
    • Ye‑Qiu Wang
    • Guo‑Liang Liu
    • Yan Qu
    • Ning Zhang
  • View Affiliations / Copyright

    Affiliations: Institute of Medicinal Plant Development, Chinese Academy of Medical Sciences and Peking Union Medical College, Beijing 100193, P.R. China, College of Pharmacy, Heilongjiang University of Chinese Medicine, Harbin, Heilongjiang 150040, P.R. China, College of Pharmacy, Mudanjiang Medical University, Mudanjiang, Heilongjiang 157011, P.R. China, College of Jiamusi, Heilongjiang University of Chinese Medicine, Jiamusi, Heilongjiang 154007, P.R. China
  • Pages: 4547-4553
    |
    Published online on: August 30, 2017
       https://doi.org/10.3892/etm.2017.5070
  • Expand metrics +
Metrics: Total Views: 0 (Spandidos Publications: | PMC Statistics: )
Metrics: Total PDF Downloads: 0 (Spandidos Publications: | PMC Statistics: )
Cited By (CrossRef): 0 citations Loading Articles...

This article is mentioned in:



Abstract

The present study aimed to investigate the effect of wogonin on the mechanism of melanin synthesis in the A375 melanoma cell line. A375 cells, cultured in vitro, were treated with wogonin and the activity of tyrosinase (TYR) and melanin synthesis were examined via MTT assay, L‑dopa oxidation assay and an NaOH lysis assay. Protein expression levels of TYR and c‑Jun N‑terminal kinase (JNK) were examined via western blotting. mRNA expression levels of TYR, tyrosinase related protein (TRP)‑1, TRP‑2, extracellular signal‑regulated kinase (ERK)‑1, ERK‑2 and JNK‑2 were analyzed by reverse transcription‑quantitative polymerase chain reaction. Furthermore, the effect of wogonin on estrogen receptor inhibitor (ICI182780) and ERK pathway inhibitor (U0126) was investigated. Safe doses of wogonin (10, 1, 10‑1, 10‑2 or 10‑3 µmol/l) significantly inhibited melanin synthesis and TYR activity (P<0.05). Wogonin (10 µmol/l) inhibited the protein expression levels of TYR, JNK and mRNA expression levels of TYR, TRP‑1, TRP‑2, ERK‑1, ERK‑2, JNK‑2 in A375 cells (P<0.01). The estrogen receptor inhibitor, ICI182780, and MEK inhibitor, U0126, significantly reversed the effects of wogonin on protein and mRNA expression levels of TYR, TRP‑1, TRP‑2, ERK‑1, ERK‑2 and JNK‑2 (all P<0.01). To conclude, the present study identified that wogonin is able to inhibit the synthesis of melanin in A375 cells, through inhibiting protein and mRNA expression levels of TYR, TRP‑1, and TRP‑2, and ERK1, ERK2 and JNK2, respectively.

Introduction

Wogonin is a flavonoid-like chemical compound that was identified in Eucommia ulmoides (1). Eucommia ulmoides extract is a valuable Chinese herbal medicine which is considered a raw material of gum as it is sweet, has a pungent taste and is non-toxic. Furthermore, this compound may aid hepatic and renal function, improve memory and relieve fatigue (2). Previous studies have demonstrated that Eucommia ulmoides possesses estrogen-like effects (3,4). The extract of Eucommia ulmoides is able to decrease the bone loss in ovariectomized rats with diabetes mellitus through increasing levels of estrogen (3). Phytoestrogen properties of Eucommia ulmoides include: Flavonoid components (wogonin and baicalein), lignan components (pinoresinol and diglucoside) and iridoid glycosides (aucubin, geniposidic acid and eucommiol), which have the material basis to produce estrogen-like effects (5,6). Phytoestrogen, a bisphenol structure chemical compound, elicits estrogen-like effects without provoking estrogen-like side effects such as increased risk of breast cancer, endometrial cancer and ovarian cancers (7), and is an area of interest for the treatment of skin disease as a substitute for estrogen (8). A previous study revealed that Eucommia ulmoides may inhibit melanocyte proliferation, tyrosinase activity and melanin synthesis (9). Betulinic acid, a phytoestrogen identified in Eucommia ulmoides, may inhibit the proliferation of melanocyte and melanoma cells (10) and was revealed to induce cell apoptosis and the expression of induced myeloid leukemia cell differentiation protein.

The present study investigated the effect of wogonin on the mechanism of melanin synthesis in A375 cells. The effect of wogonin on melanogenesis may be associated with the regulation of the ER-MAPK signaling pathway and TYR activity.

Materials and methods

Cells and reagents

Human A375 cells were supplied by the Cell Center of Chinese Academy of Sciences (Beijing, China). Tissue and cell lysis solution histiocyte lysate (WIP; Beyotime Institute of Biotechnology, Haimen, China); MTT (Sigma-Aldrich; Merck Millipore, Darmstadt, Germany); primer (Shanghai Shengong Biology Engineering Technology Service, Ltd., Shanghai, China); Dulbecco's modified Eagles medium (DMEM; Hyclone; GE Healthcare Life Sciences, Logan, UT, USA); goat anti-mouse immunoglobulin G (IgG) marked by horseradish peroxidase (HRP; cat no. BST08k13B; Wuhan Boster Biological Technology, Ltd., Wuhan, China); mouse anti-β-actin monoclonal antibody (cat no. 140925; Beijing Zhongshan Jinqiao Biotechnology Co., Ltd., Beijing China); mouse anti-tyrosinase monoclonal antibody (cat no. F0811; Santa Cruz Biotechnology, Inc., Dallas, TX, USA); and mouse anti-c-Jun N-terminal kinase (JNK) monoclonal antibody (cat no. G0913) and TRIzol reagent (both Gibco; Thermo Fisher Scientific, Inc., Waltham, MA, USA).

Instruments

Nano-100 Micro spectrophotometer (Hangzhou Allsheng Instruments Co., Ltd., Hangzhou, China); TCL6G-C table-top high-speed refrigerated centrifuge (Shanghai Anting Scientific Instrument Factory, Shanghai, China); TProfessional Basic PCR Amplification instrument (Biometra GmbH, Göttingen, Germany); MK3 enzyme microplate reader (Redian, Shanghai, China); DYCZ-40B transfer electrophoresis (Beijing Liuyi Biotechnology Co., Ltd., Beijing, China); and SmartChemi500 one piece micro-ChemiDoc XRS gel imaging system (Beijing Sage Creation Science Co., Ltd., Beijing, China).

Drugs

Wogonin with a purity >98% (cat no. MUST-13092303; Nanjing Zelang Medical Technology Co., Ltd., Nanjing, China); estradiol with a purity >98% (cat no. L750N46; J&K Scientific, Ltd., Beijing, China); ICI182780 (cat no. 20A/129473; Tocris Bioscience, Bristol, UK); and U0126 (S110202; Selleck Chemicals, Houston, TX, USA).

Preparation of drug solution

A total of 5.5 mg estradiol was dissolved in 4 ml anhydrous alcohol and combined with DMEM to prepare a stock solution at a concentration of 20 µmol/l, which was diluted to 1×10−3 µmol/l when used. Wogonin (5.69 mg) was dissolved in DMEM to prepare a solution with an initial concentration of 200 µmol/l, diluted to 10 µmol/l when used. ICI182780 (5 mg) was dissolved in 1% dimethyl sulphoxide (DMSO), and added to DMEM to prepare a solution with an initial concentration of 200 µmol/l, which was diluted to 1 µmol/l when used. U0126 (8.53 mg) was dissolved in 1% DMSO and combined with DMEM to prepare a stock solution at a concentration of 400 µmol/l, which was diluted to 10 µmol/l when used. All solutions were filtered and sterilized using a 0.22-µm filter membrane, and stored at −20°C.

Cell grouping and culture

A375 cells were grown to 80% confluence and digested with 0.25% Trypsin, centrifuged at 1,000 × g for 5 min at room temperature, and resuspended. Subsequently, cells were transferred onto 96-well plates (200 µl DMEM with ~4,500 cells/well) or 6-well plates (2 ml DMEM with 24×104 cells/well) and incubated at 37°C in an atmosphere containing 5% CO2 for 24 h. The medium was discarded and cells were divided into different groups according to the treatment administered, including: The control group, cells in the presence of DMEM without treatment; estradiol group, cells in the presence of estradiol (10−3 µmol/l); wogonin group, cells in the presence of wogonin (10 µmol/l) solution; wogonin + ICI182780 group, cells in the presence of ICI182780 (1 µmol/l) and 10 µmol/l of wogonin; and wogonin + U0126 group, cells in the presence of U0126 (10 µmol/l) and 10 µmol/l of wogonin. All groups were cultured for 48 h. There are 6 wells for duplicate in 96-well plates, 4 wells for duplicate in 6-well plates.

Cell activity

Cells were seeded at a density of 8×103 cells/well. MTT solution (20 µl) was added into each well of the 96-well plates and cultured for 4 h at 37°C. Following the discarding of the solution, 150 µl of DMSO solution was added to dissolve the crystals and incubated at 37°C using an incubator shaker for 10 min. To detect the optical density (OD), plates were read at a wavelength of 490 nm using a microplate reader. The same volume of PBS was used as a blank control.

Melanin synthesis

Solution in 6-well plates was discarded and cells were washed with phosphate-buffered saline (PBS) twice, digested with 1 ml 0.25% pancreatin for 1 min, and 1 ml of DMEM was subsequently added to terminate digestion. Cell suspension was collected in 15 ml centrifuge tubes, and centrifuged at 1,000 × g for 5 min at 25°C and the supernatant was discarded. A total of 100 µl of 1 mol/l NaOH was added and the solution was mixed and incubated at 37°C for 1 h. Following this, 400 µl of double distilled water was added and 100 µl of solution from each centrifuge tube was transferred onto 96-well plates. To detect the OD, plates were read at a wavelength of 490 nm using a microplate reader.

TYR activity

Solution was discarded and cells in the 96-well plates were washed with PBS twice, 100 µl Triton 1% was added in each well, and cells were frozen at −80°C for 30 min before 50 µl PBS (supplemented with 0.2% L-dopa; pH 6.8) was added and cells were incubated at 37°C for 3 h. To detect the OD, plates were read at a wavelength of 490 nm using a microplate reader.

Western blot analysis

To analyze the protein expression of TYR and JNK, total protein of each group in 6-well plates were separated by SDS-PAGE. When cells reached 80% confluence, they were incubated with WIP cell lysis buffer for 30 min at 0°C and centrifuged at 30,000 × g for 15 min at 4°C to extract the total protein. A total of 30 µg total protein was loaded into each lane and separated by 12% SDS-PAGE. The proteins were transferred onto a polyvinylidene difluoride membrane, and blocked with 5% skim milk for 1 h at room temperature to prevent non-specific binding. The membrane was subsequently incubated with primary antibodies (all 1:300) overnight at 4°C. The primary antibodies used were as follows: Mouse anti-β-actin monoclonal antibody, mouse anti-tyrosinase monoclonal antibody and mouse anti-c-Jun N-terminal kinase (JNK) monoclonal antibody. The membrane was washed with TBST 3 times for 10 min and incubated with the corresponding HRP goat anti-mouse IgG (1:10,000) for 1 h at room temperature. The membrane was washed again and bands were visualized using enhanced chemiluminescence. Images were captured and analyzed. The quantity of target protein was indicated by the ratio of its gray value to an internal reference (β-actin). Bands were quantified using lane 1D gel imaging analysis software (SmartChemi 500; Beijing Innovation Technology, Ltd., Beijing, China).

Reverse transcription-polymerase chain reaction (RT-PCR) analysis

In order to detect the expression levels of TYR, TRP-1, TRP-2, extracellular signal-regulated kinase (ERK)1, ERK2 and JNK2 mRNA, total RNA was extracted from each group of cells in 6-well plates using TRIzol reagent. The concentration and purity of the total RNA extracted from A375 cells were measured using the Nano-100 micro-spectrophotometer. A total of 3 µg of RNA was reverse transcribed into cDNA using the AMV First-Strand cDNA Synthesis kit (Sangon Biotech Co., Ltd., Shanghai, China). Total RNA was combined with 1 µl oligo(dT) primer and made up to 11 µl with RNase-free water and centrifuged at 5,000 × g for 3–5 sec at 25°C. The centrifuge tube was placed in a water bath at 70°C for 5 min followed by an ice bath for 30 sec. Primer sequences were designed and provided by Sangon Biotech Co., Ltd. and are indicated in Table I, along with the β-actin internal reference. A final reaction volume of 25 µl was used for PCR amplification, comprising 16.1 µl ddH2O, 2.5 µl 10X PCR buffer, 2.5 µl dNTP, 1.3 µl MgCl2,1.5 µl cDNA, 0.5 µl forward primer, 0.5 µl reverse primer and 0.1 µl Taq DNA polymerase. cDNA amplification conditions included: Initial denaturation at 94°C for 2 min; denaturation for 30 sec at 94°C; annealing for 40 sec (TYR at 60°C, TRP-1 at 58°C, TYP-2 at 58°C, ERK-1 at 58°C, ERK-2 at 55°C, JNK-2 at 55°C, and β-actin at 55°C); and extension for 40 sec at 70°C. A total of 35 PCR cycles were used for the amplification of the samples. A total of 5 µl of PCR amplification products were combined with 1 µl DNA loading buffer (6X) and the PCR products were fractionated using 1.5% agarose gel electrophoresis containing 0.5 µg/ml ethidium bromide at a constant voltage of 120 V for 30 min. Results were detected using the gel imaging system, and analyzed using gel-pro analysis software (SmartChemi 500; Beijing Innovation Technology, Ltd.). mRNA levels of each group were expressed according to the relative value (TYR/β-actin, TRP-1/β-actin, TRP-2/β-actin, ERK-1/β-actin, ERK-2/β-actin, and JNK-2/β-actin).

Table I.

Primer sequences.

Table I.

Primer sequences.

GeneUpstream primerDownstream primerAmplified fragment (bp)
TYR 5′TCACGGCTCTGTTGAATGTCT3′ 5′CTGAAGTTGGGCGAGATGAT3′300
TRP-1 5′ACATCATTCCCTCACCAAAGAC3′ 5′AGAAGTCCGAAAGCCAAGTAAA3′303
TRP-2 5′GTTCCTTTCTTCCCTCCAGTG3′ 5′TTCCTTTATTGTCAGCGTCAG3′300
ERK1 5′GGGAGGTGGAGATGGTGAAG3′ 5′AGCAGGTTGGAGGGCTTTAGAT3′441
ERK2 5′ACCCACACAAGAGGATTGAAGT3 5′AAAAGCCACAACTACCAGAAAC3′353
JNK2 5′CCTTCTTTACCAGATGCTTTGTG3′ 5′ATACGGTCAGTGCCTTGGAATA3′303
β-actin 5′CGTGGACATCCGCAAAGAC3′ 5′AAGAAAGGGTGTAACGCAACTA3′302

[i] TYR, tyrosinase; TRP-1, tyrosinase related protein 1; TRP-2, tyrosinase related protein 2; ERK1, extracellular signal-regulated kinase 1; ERK2, extracellular signal-regulated kinase 2; JNK2, c-Jun N-terminal kinase 2.

Statistical analysis

All data were expressed as the mean ± standard deviation. One-way analysis of variance was used to analyze data, using the SPSS software (version 19.0; IBM SPSS, Armonk, NY, USA). A 2:2 comparison was made using Fisher's least significant difference. P<0.05 was considered to indicate a statistically significant difference.

Results

Effect of wogonin on cell activity

Effects of wogonin on A375 cell activity are displayed in Table II. Results from the wogonin group indicate that 10 µmol/l of wogonin had no significant effect on A375 cell activity when compared with the control group; therefore, 10 µmol/l of wogonin was used in subsequent experiments.

Table II.

Effects of wogonin on A375 cell activity.

Table II.

Effects of wogonin on A375 cell activity.

GroupConcentration (µmol/l)ODCell proliferation rate (%)
Control group–0.470±0.014100.00
Estradiol group   10−3 0.570±0.023a121.70a
Wogonin group100.448±0.032   95.32

{ label (or @symbol) needed for fn[@id='tfn2-etm-0-0-5070'] } Data are presented as the mean ± standard deviation (n=6).

a P<0.01 vs. the control group. OD, optical density.

Effects of wogonin on melanin synthesis of A375 cells

Wogonin was demonstrated to significantly inhibit melanin synthesis, which was indicated by the significant decrease exhibited in the wogonin group (45.99%) when compared with the control group (100%; P<0.01; Table III). Both ICI182780 and U0126 treatment was indicated to reverse the melanin decline elicited by wogonin, as demonstrated by the significant increase exhibited by the wogonin + ICI182780 and wogonin + U0126 groups (77.37 and 62.04%, respectively) when compared with the wogonin group (45.99%; P<0.01; Table III).

Table III.

Effects of wogonin on the melanin synthesis of A375 cells.

Table III.

Effects of wogonin on the melanin synthesis of A375 cells.

Group (µmol/l)ODOD treatment group/OD control group (%)
Control group (−)0.138±0.009100.00
Estradiol group (10−3) 0.167±0.006a121.90a
Wogonin group (10) 0.063±0.013a   45.99a
Wogonin group (10) + ICI182780 (1) 0.106±0.003a,b   77.37a,b
Wogonin group (10) + U0126 (10) 0.085±0.005a,b   62.04a,b

{ label (or @symbol) needed for fn[@id='tfn4-etm-0-0-5070'] } Data are presented as the (mean ± standard deviation, n=4)

a P<0.01 vs. the control group

b P<0.01 vs. the wogonin group. ICI182780, estrogen inhibitor; U0126, extracellular signal-regulated kinase inhibitor; OD, optical density.

Effects of wogonin on the TYR activity of A375 cells

Wogonin significantly inhibited TYR activity, which was indicated by the significant decrease exhibited by the wogonin group (65.53%) when compared with the control group (100%; P<0.01; Table IV). ICI182780 and U0126 were demonstrated to reverse the decline of TYR activity elicited by wogonin, as indicated by the significant increases observed in the wogonin + ICI182780 group (83.53%) and the wogonin + U0126 group (77.65%) when compared with the wogonin group (63.53%; P<0.01; Table IV).

Table IV.

Effects of wogonin on the TYR activity of A375 cells.

Table IV.

Effects of wogonin on the TYR activity of A375 cells.

Group (µmol/l)ODOD treatment group/OD control group (%)
Control group (−)0.085±0.005100.00
Estradiol group (10−3) 0.106±0.004a124.71a
Wogonin group (10) 0.054±0.004a   63.53a
Wogonin group (10) + ICI182780 (1) 0.071±0.011a,b   83.53a,b
Wogonin group (10) + U0126 (10) 0.066±0.009a,b   77.65a,b

{ label (or @symbol) needed for fn[@id='tfn7-etm-0-0-5070'] } Data are presented as the mean ± standard deviation (n=6).

a P<0.01 vs. the control group

b P<0.01 vs. the wogonin group. ICI182780, estrogen inhibitor; U0126, extracellular signal-regulated kinase inhibitor; OD, optical density; TYR, tyrosinase.

Effects of wogonin on expression of TYR and JNK protein

The wogonin group indicated that the presence of wogonin significantly inhibited the expression levels of TYR and JNK protein when compared with the control group (P<0.01; Table V and Fig. 1). ICI182780 was indicated to reverse the decline exhibited in the protein expression levels of TYR and JNK initiated by wogonin, as suggested by the significant increase displayed by the wogonin + ICI182780 group (TYR, 0.413±0.052 and JNK, 0.339±0.035) when compared with the wogonin group (TYR, 0.302±0.013 and JNK, 0.214±0.023; P<0.01; Table V).

Figure 1.

Expression levels of TYR and JNK protein were detected in (A) the control group, (B) the estradiol group, (C) the wogonin group and (D) wogonin + ICI182780 group using western blot analysis. TYR, tyrosinase; JNK, c-Jun N-terminal kinase; control group, cells in the presence of Dulbecco's modified Eagle medium without treatment; estradiol group, cells in the presence of estradiol (10−3 µmol/l); wogonin group, cells in the presence of wogonin (10 µmol/l); wogonin + ICI182780 group, cells in the presence of ICI182780 (1 µmol/l) and 10 µmol/l of wogonin.

Table V.

Expression levels of TYR and JNK protein in different groups.

Table V.

Expression levels of TYR and JNK protein in different groups.

Group (µmol/l)TYR/β-actinJNK/β-actin
Control group (−)0.488±0.0180.428±0.009
Estradiol group (10−3) 0.645±0.020a 0.520±0.012a
Wogonin group (10) 0.302±0.013a 0.214±0.023a
Wogonin group (10) + ICI182780 (1) 0.413±0.052a,b 0.339±0.035a,b

{ label (or @symbol) needed for fn[@id='tfn10-etm-0-0-5070'] } Data are presented as the mean ± standard deviation (n=4).

a P<0.01 vs. the control group

b P<0.01 vs. the wogonin group. ICI182780, estrogen inhibitor; U0126, extracellular signal-regulated kinase inhibitor; OD, optical density; TYR, tyrosinase; JNK, c-Jun N-terminal kinase.

Effects of wogonin and ICI182780 on the mRNA expression levels of TYR, TRP-1, TRP-2, ERK1, ERK2 and JNK2 in A375 cells

The significantly decreased levels of mRNA expression of TYR, TRP-1, TRP-2, ERK1, ERK2 and JNK2 in the wogonin group suggested that wogonin significantly inhibited the mRNA expression levels of TYR, TRP-1, TRP-2, ERK1, ERK2 and JNK2 when compared with the control group (P<0.01; Table VI and Fig. 2). ICI182780 was able to reverse the decline of the mRNA expression levels of TYR, TRP-1, TRP-2, ERK1, ERK2 and JNK2 instigated by wogonin, as indicated by the significant increases in mRNA expression levels of TYR, TRP-1, TRP-2, ERK1, ERK2 and JNK2 in the wogonin + ICI182780 group when compared with the TYR, TRP-1, TRP-2, ERK1, ERK2 and JNK2 mRNA expression levels of the wogonin group (P<0.05; Table VI).

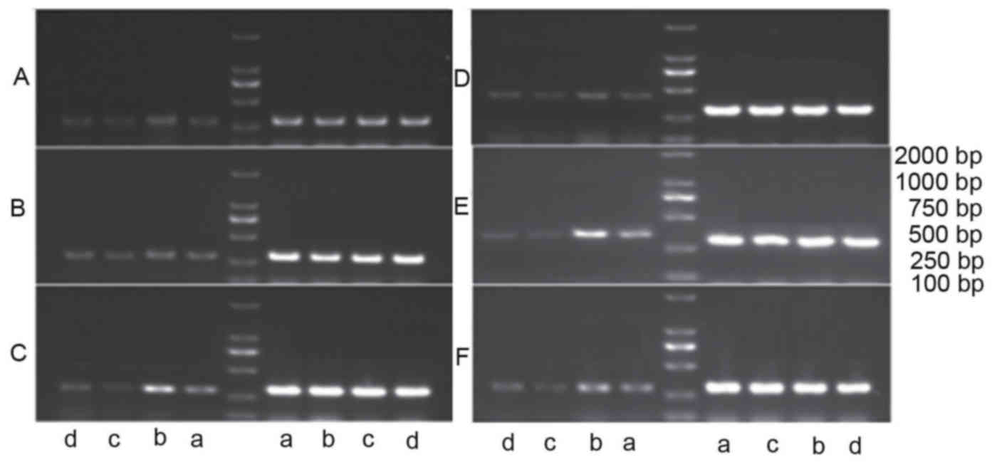
Figure 2.

mRNA expression levels of (A) TYR, (B) TRP-1, (C) TRP-2, (D) ERK1, (E) ERK2 and (F) JNK2 were detected in A375 cells by reverse transcription-quantitative polymerase chain reaction. Groups were divided into (a) the control group, (b) the estradiol group, (c) the wogonin group and (d) the wogonin + ICI182780 group. β-actin bands are shown on the right of the ladder. ICI182780, estrogen inhibitor; TYR, tyrosinase; TRP-1, tyrosinase related protein 1; TRP-2, tyrosinase related protein 2; ERK1, extracellular signal-regulated kinase 1; ERK2, extracellular signal-regulated kinase 2; JNK2, c-Jun N-terminal kinase 2; control group, cells in the presence of Dulbecco's modified Eagle medium without treatment; estradiol group, cells in the presence of estradiol (10−3 µmol/l); wogonin group, cells in the presence of wogonin (10 µmol/l); wogonin + ICI182780 group, cells in the presence of ICI182780 (1 µmol/l) and 10 µmol/l of wogonin.

Table VI.

Polymerase chain reaction results of the mRNA expression levels of TYR, TRP-1, TRP-2, ERK1, ERK2, JNK2 mRNA in different groups.

Table VI.

Polymerase chain reaction results of the mRNA expression levels of TYR, TRP-1, TRP-2, ERK1, ERK2, JNK2 mRNA in different groups.

mRNAControl groupEstradiol group (10−3 µmol/l)Wogonin group (10 µmol/l)Wogonin group (10 µmol/l)+ ICI182780 group (10 µmol/l)
TYR/β-actin0.505±0.012 0.666±0.031a 0.381±0.019a 0.453±0.033a,b
TRP-1/β-actin0.441±0.024 0.515±0.005a 0.298±0.012a 0.389±0.018a,b
TRP-2/β-actin0.419±0.022 0.584±0.023a 0.231±0.012a 0.323±0.014a,c
ERK1/β-actin0.501±0.018 0.623±0.021a 0.252±0.032a 0.453±0.016a,c
ERK2/β-actin0.486±0.019 0.633±0.030a 0.292±0.031a 0.399±0.022a,c
JNK2/β-actin0.408±0.014 0.513±0.028a 0.252±0.021a 0.297±0.021a,c

{ label (or @symbol) needed for fn[@id='tfn13-etm-0-0-5070'] } Data are presented as the mean ± standard deviation (n=4).

a P<0.01 vs. the control group

b P<005

c P<0.01 vs. the wogonin group. ICI182780, estrogen inhibitor; U0126, extracellular signal-regulated kinase inhibitor; TYR, tyrosinase; TRP-1, tyrosinase related protein 1; TRP-2, tyrosinase related protein 2; ERK1, extracellular signal-regulated kinase 1; ERK2, extracellular signal-regulated kinase 2; JNK2, c-Jun N-terminal kinase 2.

Effects of wogonin and U0126 on mRNA expression levels of TYR, TRP-1 and TRP-2 in A375 cells

Results in the wogonin group indicated that wogonin significantly inhibited the mRNA expression levels of TYR, TRP-1 and TRP-2 when compared with the control group (P<0.01; Table VII and Fig. 3). The presence of U0126 resulted in the reversal of declined mRNA expression levels of TYR, TRP-1 and TRP-2 elicited by wogonin, which was suggested by the significant increases in mRNA expression levels of TYR (0.511±0.030), TRP-1 (0.340±0.039) and TRP-2 (0.299±0.023) exhibited in the wogonin + U0126 group when compared with the mRNA expression levels of TYR (0.405±0.018), TRP-1 (0.290±0.023) and TRP-2 (0.235±0.010) in the wogonin group (P<0.05; Table VII).

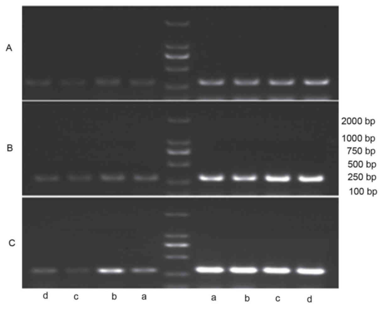
Figure 3.

mRNA expression levels of (A) TYR, (B) TRP-1 and (C) TRP-2 in A375 cells were detected by reverse transcription-quantitative polymerase chain reaction in (a) the control group, (b) the estradiol group, (c) the wogonin group and (d) the wogonin + ICI182780 group. β-actin bands are shown on the right of the ladder ICI182780, estrogen inhibitor; TYR, tyrosinase; TRP-1, tyrosinase related protein 1; TRP-2, tyrosinase related protein 2; ERK1, extracellular signal-regulated kinase 1; ERK2, extracellular signal-regulated kinase 2; JNK2, c-Jun N-terminal kinase 2; control group, cells in the presence of Dulbecco's modified Eagle medium without treatment; estradiol group, cells in the presence of estradiol (10−3 µmol/l); wogonin group, cells in the presence of wogonin (10 µmol/l); wogonin + ICI182780 group, cells in the presence of ICI182780 (1 µmol/l) and 10 µmol/l of wogonin.

Table VII.

Polymerase chain reaction results of the mRNA expression levels of TYR, TRP-1, TRP-2 mRNA in different groups.

Table VII.

Polymerase chain reaction results of the mRNA expression levels of TYR, TRP-1, TRP-2 mRNA in different groups.

mRNAControl groupEstradiol group (10−3 µmol/l)Wogonin group (10 µmol/l)Wogonin group (10 µmol/l)+ICI182780 group (10 µmol/l)
TYR/β-actin0.576±0.018 0.654±0.040a 0.405±0.018a 0.511±0.030a,b
TRP-1/β-actin0.462±0.013 0.578±0.012a 0.290±0.023a 0.340±0.039a,b
TRP-2/β-actin0.426±0.033 0.591±0.014a 0.235±0.010a 0.299±0.023a,c

{ label (or @symbol) needed for fn[@id='tfn17-etm-0-0-5070'] } Data are presented as the mean ± standard deviation (n=4).

a P<0.01 vs. the control group

b P<005

c P<0.01 vs. the wogonin group. ICI182780, estrogen inhibitor; U0126, extracellular signal-regulated kinase inhibitor; TYR, tyrosinase; TRP-1, tyrosinase related protein 1; TRP-2, tyrosinase related protein 2; ERK1, extracellular signal-regulated kinase 1; ERK2, extracellular signal-regulated kinase 2; JNK2, c-Jun N-terminal kinase 2.

Discussion

In humans, melanin is the primary determinant of skin color (11), with a greater production of melanin resulting in darker skin pigmentation (12). Melanogenesis is a complicated process that occurs within the melanosome of melanocytes and consists of a series of oxidation reactions catalyzed by various enzymes that are regulated by the tyrosinase gene, including TYR, TRP-1 and TRP-2 (13–15). Estrogen is able to bind to the estrogen receptor present in melanocytes and consequently activate the ER-mediated mitogen-activated protein kinase (MAPK) signaling pathway. MAPK is a type of kinase that is specific to serine or threonine and predominantly interacts with three members: JNK, ERK and p38 MAPK (16).

Various studies have demonstrated that the MAPK signaling pathway is involved in the regulation of melanogenesis and has an important role in the regulation of the activity and function of melanocytes (17). Park et al (18) indicated that the activated ERK pathway may inhibit melanin synthesis through decreasing the expression of the microphthalmia-associated transcription factor gene, and an alternative study suggested the p38 MAPK pathway may promote melanin synthesis through increasing the expression of the tyrosinase gene (19). Furthermore the JNK pathway may be implicated in the inhibition of melanin synthesis (20). A previous study revealed that phytoestrogen extracted from Eucommia ulmoides may inhibit melanocyte proliferation, melanin synthesis and tyrosinase activity (9); however, the regulation of these mechanisms have not yet been fully clarified.

In the present study, safe doses of wogonin were indicated to significantly inhibit melanin synthesis and tyrosinase activity in A375 cells. Furthermore, this action was reversed by the presence of the estrogen receptor inhibitor, ICI182780, and the ERK inhibitor, U0126. The present findings indicate that wogonin may inhibit melanin synthesis by decreasing tyrosinase activity via the ER-ERK pathway. Western blot analysis revealed that wogonin significantly inhibited the protein expression levels of TYR and JNK in A375 cells, which was reversed by ICI182780. Decreasing the protein expression levels of TYR and JNK may therefore be associated with the regulation of melanin synthesis. RT-PCR showed that wogonin significantly inhibited mRNA expression levels of TYR, TRP-1, TRP-2, ERK1, ERK2 and JNK2, which may be involved in the regulation of melanin synthesis. To conclude, the present study revealed that wogonin may inhibit the synthesis of melanin in A375 cells by inhibiting the expression of TYR, TRP-1, TRP-2 and ERK1, ERK2 and JNK2.

Acknowledgements

The present study was supported by the National Natural Science Foundation of China (grant no. 81173645), Heilongjiang Province postdoctoral Research Starting Capital (grant no. LBH-Q13162) and the Heilongjiang University of Chinese Medicine Excellent Innovation Talents (grant no. 2012RCD22).

References

1 

Akinyi M, Gao XM, Li YH, Wang BY, Liu EW, Chai LJ, JawoBah A and Fan GW: Vascular relaxation induced by Eucommiae ulmoides Oliv. and its compounds Oroxylin A and wogonin: Implications on their cytoprotection action. Int J Clin Exp Med. 7:3164–3180. 2014.PubMed/NCBI

2 

Ye WF: Advance in studies on chemical ingredient and pharmacological activities of Eucommiae ulmoides Oliv. leaves and their utility. Lin Chan Hua Gong Tong Xun. 38:40–44. 2004.(In Chinese).

3 

Ong VY and Tan BK: Novel phytoandrogens and lipidic augmenters from Eucommia ulmoides. BMC Complement Altern Med. 7:32007. View Article : Google Scholar : PubMed/NCBI

4 

Yin ZY: Studies of Eucommia ulmoides Oliv phytoestrogen (unpublished thesis). Tianjin University. 2010.(In Chinese).

5 

Xu Y, Zhang ZJ, Geng F, Su SB, White KN, Bligh SW, Branford-White CJ and Wang ZT: Treatment with Qing'E, A kidney-invigorating Chinese herbal formula, antagonizes the estrogen decline in ovariectomized mice. Rejuvenation Res. 13:479–488. 2010. View Article : Google Scholar : PubMed/NCBI

6 

Wang H, Li MC, Yang J, Yang D, Su YF, Fan GW, Zhu Y, Gao XM and Paoletti R: Estrogenic properties of six compounds derived from Eucommia ulmoides Oliv. and their differing biological activity through estrogen receptors alpha and beta. Food Chem. 129:408–416. 2011. View Article : Google Scholar

7 

Tian ZH: Phytoestrogens and human health. Shanghai Yufang Yixue. 19:359–361. 2007.(In Chinese).

8 

Shelly W, Draper MW, Krishnan V, Wong M and Jaffe RB: Selective estrogen receptor modulators: An update on recent clinical findings. Obstet Gynecol Surv. 63:163–181. 2008.PubMed/NCBI

9 

Chen L, Zheng Y, Gao J and Zhang JM: Effects of Yangyanqingewan on the tyrosinase activity and melanogenesis in B-16 murine melanoma cells. Chin J Hosp Pharm. 22:151–153. 2002.

10 

Selzer E, Pimentel E, Wacheck V, Schlegel W, Pehambergera H, Jansen B and Kodym R: Effects of betulinic acid alone and in combination with irradiation in human melanoma cells. J Invest Dermatol. 114:935–940. 2000. View Article : Google Scholar : PubMed/NCBI

11 

Wang Y, Gu H, Meihua G, Tu Y, Xu D and He L: Pathogenesis research study in melasma: P-593. J Dermatol. 41:932014.

12 

Punnonen K, Puntala A, Jansén CT and Ahotupa M: UVB irradiation induces lipid peroxidation and reduces antioxidant enzyme activities in human keratinocytes in vitro. Acta Denn Venereol. 71:239–242. 1991.

13 

Hashimoto Y, Ito Y, Kato T, Motokawa T, Katagiri T and Itoh M: Expression profiles of melanogenesis-related genes and proteins in acquired melanocytic nevus. J Cutan Pathol. 33:207–215. 2006. View Article : Google Scholar : PubMed/NCBI

14 

Lu F, Yan D, Zhou X, Hu DN and Qu J: Expression of melanin-related genes in cultured adult human retinal pigment epithelium and uveal melanoma cells. Mol Vis. 13:2066–2072. 2007.PubMed/NCBI

15 

Fang D, Kute T and Setaluri V: Regulation of tyrosinase-related protein-2 (TYRP2) in human melanocytes: Relationship to growth and morphology. Pigment Cell Res. 14:132–139. 2001. View Article : Google Scholar : PubMed/NCBI

16 

Johnson GL and Lapadat R: Mitogen-activated protein kinase pathways mediated by ERK, JNK, and p38 protein kinase. Science. 298:1911–1912. 2002. View Article : Google Scholar : PubMed/NCBI

17 

Jiang ZQ: The mechanism of active components of two Chinese traditional medicines on melanogenesis. Biochem Molecular Biol. 2009.

18 

Park SH, Kim DS, Kim WG, Ryoo IJ, Lee DH, Huh CH, Youn SW, Yoo ID and Park KC: Terrein: A new melanogenesis inhibitor and its mechanism. Cell Mol Life Sci. 61:2878–2885. 2004. View Article : Google Scholar : PubMed/NCBI

19 

Singh SK, Sarkar C, Mallick S, Saha B, Bera R and Bhadra R: Human placental lipid induces melanogenesis through p38 MAPK in B16F10 mouse melanoma cells. Pigment Cell Res. 18:113–121. 2005. View Article : Google Scholar : PubMed/NCBI

20 

Bu J, Ma PC, Chen ZQ, Zhou WQ, Fu YJ, Li LJ and Li CR: Inhibition of MITF and tyrosinase by paeond-stimulated JNK/SAPK to reduction of phosphorylated CREB. Am J Chin Med. 36:245–263. 2008. View Article : Google Scholar : PubMed/NCBI

Related Articles

  • Abstract
  • View
  • Download
  • Twitter
Copy and paste a formatted citation
Spandidos Publications style
Chen X, Gu T, Wang JH, Xiong H, Wang YQ, Liu GL, Qu Y and Zhang N: Effects of wogonin on the mechanism of melanin synthesis in A375 cells. Exp Ther Med 14: 4547-4553, 2017.
APA
Chen, X., Gu, T., Wang, J., Xiong, H., Wang, Y., Liu, G. ... Zhang, N. (2017). Effects of wogonin on the mechanism of melanin synthesis in A375 cells. Experimental and Therapeutic Medicine, 14, 4547-4553. https://doi.org/10.3892/etm.2017.5070
MLA
Chen, X., Gu, T., Wang, J., Xiong, H., Wang, Y., Liu, G., Qu, Y., Zhang, N."Effects of wogonin on the mechanism of melanin synthesis in A375 cells". Experimental and Therapeutic Medicine 14.5 (2017): 4547-4553.
Chicago
Chen, X., Gu, T., Wang, J., Xiong, H., Wang, Y., Liu, G., Qu, Y., Zhang, N."Effects of wogonin on the mechanism of melanin synthesis in A375 cells". Experimental and Therapeutic Medicine 14, no. 5 (2017): 4547-4553. https://doi.org/10.3892/etm.2017.5070
Copy and paste a formatted citation
x
Spandidos Publications style
Chen X, Gu T, Wang JH, Xiong H, Wang YQ, Liu GL, Qu Y and Zhang N: Effects of wogonin on the mechanism of melanin synthesis in A375 cells. Exp Ther Med 14: 4547-4553, 2017.
APA
Chen, X., Gu, T., Wang, J., Xiong, H., Wang, Y., Liu, G. ... Zhang, N. (2017). Effects of wogonin on the mechanism of melanin synthesis in A375 cells. Experimental and Therapeutic Medicine, 14, 4547-4553. https://doi.org/10.3892/etm.2017.5070
MLA
Chen, X., Gu, T., Wang, J., Xiong, H., Wang, Y., Liu, G., Qu, Y., Zhang, N."Effects of wogonin on the mechanism of melanin synthesis in A375 cells". Experimental and Therapeutic Medicine 14.5 (2017): 4547-4553.
Chicago
Chen, X., Gu, T., Wang, J., Xiong, H., Wang, Y., Liu, G., Qu, Y., Zhang, N."Effects of wogonin on the mechanism of melanin synthesis in A375 cells". Experimental and Therapeutic Medicine 14, no. 5 (2017): 4547-4553. https://doi.org/10.3892/etm.2017.5070
Follow us
  • Twitter
  • LinkedIn
  • Facebook
About
  • Spandidos Publications
  • Careers
  • Cookie Policy
  • Privacy Policy
How can we help?
  • Help
  • Live Chat
  • Contact
  • Email to our Support Team