Spandidos Publications Logo
  • About
    • About Spandidos
    • Aims and Scopes
    • Abstracting and Indexing
    • Editorial Policies
    • Reprints and Permissions
    • Job Opportunities
    • Terms and Conditions
    • Contact
  • Journals
    • All Journals
    • Oncology Letters
      • Oncology Letters
      • Information for Authors
      • Editorial Policies
      • Editorial Board
      • Aims and Scope
      • Abstracting and Indexing
      • Bibliographic Information
      • Archive
    • International Journal of Oncology
      • International Journal of Oncology
      • Information for Authors
      • Editorial Policies
      • Editorial Board
      • Aims and Scope
      • Abstracting and Indexing
      • Bibliographic Information
      • Archive
    • Molecular and Clinical Oncology
      • Molecular and Clinical Oncology
      • Information for Authors
      • Editorial Policies
      • Editorial Board
      • Aims and Scope
      • Abstracting and Indexing
      • Bibliographic Information
      • Archive
    • Experimental and Therapeutic Medicine
      • Experimental and Therapeutic Medicine
      • Information for Authors
      • Editorial Policies
      • Editorial Board
      • Aims and Scope
      • Abstracting and Indexing
      • Bibliographic Information
      • Archive
    • International Journal of Molecular Medicine
      • International Journal of Molecular Medicine
      • Information for Authors
      • Editorial Policies
      • Editorial Board
      • Aims and Scope
      • Abstracting and Indexing
      • Bibliographic Information
      • Archive
    • Biomedical Reports
      • Biomedical Reports
      • Information for Authors
      • Editorial Policies
      • Editorial Board
      • Aims and Scope
      • Abstracting and Indexing
      • Bibliographic Information
      • Archive
    • Oncology Reports
      • Oncology Reports
      • Information for Authors
      • Editorial Policies
      • Editorial Board
      • Aims and Scope
      • Abstracting and Indexing
      • Bibliographic Information
      • Archive
    • Molecular Medicine Reports
      • Molecular Medicine Reports
      • Information for Authors
      • Editorial Policies
      • Editorial Board
      • Aims and Scope
      • Abstracting and Indexing
      • Bibliographic Information
      • Archive
    • World Academy of Sciences Journal
      • World Academy of Sciences Journal
      • Information for Authors
      • Editorial Policies
      • Editorial Board
      • Aims and Scope
      • Abstracting and Indexing
      • Bibliographic Information
      • Archive
    • International Journal of Functional Nutrition
      • International Journal of Functional Nutrition
      • Information for Authors
      • Editorial Policies
      • Editorial Board
      • Aims and Scope
      • Abstracting and Indexing
      • Bibliographic Information
      • Archive
    • International Journal of Epigenetics
      • International Journal of Epigenetics
      • Information for Authors
      • Editorial Policies
      • Editorial Board
      • Aims and Scope
      • Abstracting and Indexing
      • Bibliographic Information
      • Archive
    • Medicine International
      • Medicine International
      • Information for Authors
      • Editorial Policies
      • Editorial Board
      • Aims and Scope
      • Abstracting and Indexing
      • Bibliographic Information
      • Archive
  • Articles
  • Information
    • Information for Authors
    • Information for Reviewers
    • Information for Librarians
    • Information for Advertisers
    • Conferences
  • Language Editing
Spandidos Publications Logo
  • About
    • About Spandidos
    • Aims and Scopes
    • Abstracting and Indexing
    • Editorial Policies
    • Reprints and Permissions
    • Job Opportunities
    • Terms and Conditions
    • Contact
  • Journals
    • All Journals
    • Biomedical Reports
      • Information for Authors
      • Editorial Policies
      • Editorial Board
      • Aims and Scope
      • Abstracting and Indexing
      • Bibliographic Information
      • Archive
    • Experimental and Therapeutic Medicine
      • Information for Authors
      • Editorial Policies
      • Editorial Board
      • Aims and Scope
      • Abstracting and Indexing
      • Bibliographic Information
      • Archive
    • International Journal of Epigenetics
      • Information for Authors
      • Editorial Policies
      • Editorial Board
      • Aims and Scope
      • Abstracting and Indexing
      • Bibliographic Information
      • Archive
    • International Journal of Functional Nutrition
      • Information for Authors
      • Editorial Policies
      • Editorial Board
      • Aims and Scope
      • Abstracting and Indexing
      • Bibliographic Information
      • Archive
    • International Journal of Molecular Medicine
      • Information for Authors
      • Editorial Policies
      • Editorial Board
      • Aims and Scope
      • Abstracting and Indexing
      • Bibliographic Information
      • Archive
    • International Journal of Oncology
      • Information for Authors
      • Editorial Policies
      • Editorial Board
      • Aims and Scope
      • Abstracting and Indexing
      • Bibliographic Information
      • Archive
    • Medicine International
      • Information for Authors
      • Editorial Policies
      • Editorial Board
      • Aims and Scope
      • Abstracting and Indexing
      • Bibliographic Information
      • Archive
    • Molecular and Clinical Oncology
      • Information for Authors
      • Editorial Policies
      • Editorial Board
      • Aims and Scope
      • Abstracting and Indexing
      • Bibliographic Information
      • Archive
    • Molecular Medicine Reports
      • Information for Authors
      • Editorial Policies
      • Editorial Board
      • Aims and Scope
      • Abstracting and Indexing
      • Bibliographic Information
      • Archive
    • Oncology Letters
      • Information for Authors
      • Editorial Policies
      • Editorial Board
      • Aims and Scope
      • Abstracting and Indexing
      • Bibliographic Information
      • Archive
    • Oncology Reports
      • Information for Authors
      • Editorial Policies
      • Editorial Board
      • Aims and Scope
      • Abstracting and Indexing
      • Bibliographic Information
      • Archive
    • World Academy of Sciences Journal
      • Information for Authors
      • Editorial Policies
      • Editorial Board
      • Aims and Scope
      • Abstracting and Indexing
      • Bibliographic Information
      • Archive
  • Articles
  • Information
    • For Authors
    • For Reviewers
    • For Librarians
    • For Advertisers
    • Conferences
  • Language Editing
Login Register Submit
  • This site uses cookies
  • You can change your cookie settings at any time by following the instructions in our Cookie Policy. To find out more, you may read our Privacy Policy.

    I agree
Search articles by DOI, keyword, author or affiliation
Search
Advanced Search
presentation
Experimental and Therapeutic Medicine
Join Editorial Board Propose a Special Issue
Print ISSN: 1792-0981 Online ISSN: 1792-1015
Journal Cover
December-2017 Volume 14 Issue 6

Full Size Image

Sign up for eToc alerts
Recommend to Library

Journals

International Journal of Molecular Medicine

International Journal of Molecular Medicine

International Journal of Molecular Medicine is an international journal devoted to molecular mechanisms of human disease.

International Journal of Oncology

International Journal of Oncology

International Journal of Oncology is an international journal devoted to oncology research and cancer treatment.

Molecular Medicine Reports

Molecular Medicine Reports

Covers molecular medicine topics such as pharmacology, pathology, genetics, neuroscience, infectious diseases, molecular cardiology, and molecular surgery.

Oncology Reports

Oncology Reports

Oncology Reports is an international journal devoted to fundamental and applied research in Oncology.

Experimental and Therapeutic Medicine

Experimental and Therapeutic Medicine

Experimental and Therapeutic Medicine is an international journal devoted to laboratory and clinical medicine.

Oncology Letters

Oncology Letters

Oncology Letters is an international journal devoted to Experimental and Clinical Oncology.

Biomedical Reports

Biomedical Reports

Explores a wide range of biological and medical fields, including pharmacology, genetics, microbiology, neuroscience, and molecular cardiology.

Molecular and Clinical Oncology

Molecular and Clinical Oncology

International journal addressing all aspects of oncology research, from tumorigenesis and oncogenes to chemotherapy and metastasis.

World Academy of Sciences Journal

World Academy of Sciences Journal

Multidisciplinary open-access journal spanning biochemistry, genetics, neuroscience, environmental health, and synthetic biology.

International Journal of Functional Nutrition

International Journal of Functional Nutrition

Open-access journal combining biochemistry, pharmacology, immunology, and genetics to advance health through functional nutrition.

International Journal of Epigenetics

International Journal of Epigenetics

Publishes open-access research on using epigenetics to advance understanding and treatment of human disease.

Medicine International

Medicine International

An International Open Access Journal Devoted to General Medicine.

Journal Cover
December-2017 Volume 14 Issue 6

Full Size Image

Sign up for eToc alerts
Recommend to Library

  • Article
  • Citations
    • Cite This Article
    • Download Citation
    • Create Citation Alert
    • Remove Citation Alert
    • Cited By
  • Similar Articles
    • Related Articles (in Spandidos Publications)
    • Similar Articles (Google Scholar)
    • Similar Articles (PubMed)
  • Download PDF
  • Download XML
  • View XML
Article

HMGB1, TGF‑β and NF‑κB are associated with chronic allograft nephropathy

  • Authors:
    • Shi‑Qi Zhao
    • Zhen‑Zhen Xue
    • Ling‑Zhang Wang
  • View Affiliations / Copyright

    Affiliations: Emergency Intensive Care Unit, Linyi People's Hospital, Linyi, Shandong 276003, P.R. China
  • Pages: 6138-6146
    |
    Published online on: October 17, 2017
       https://doi.org/10.3892/etm.2017.5319
  • Expand metrics +
Metrics: Total Views: 0 (Spandidos Publications: | PMC Statistics: )
Metrics: Total PDF Downloads: 0 (Spandidos Publications: | PMC Statistics: )
Cited By (CrossRef): 0 citations Loading Articles...

This article is mentioned in:



Abstract

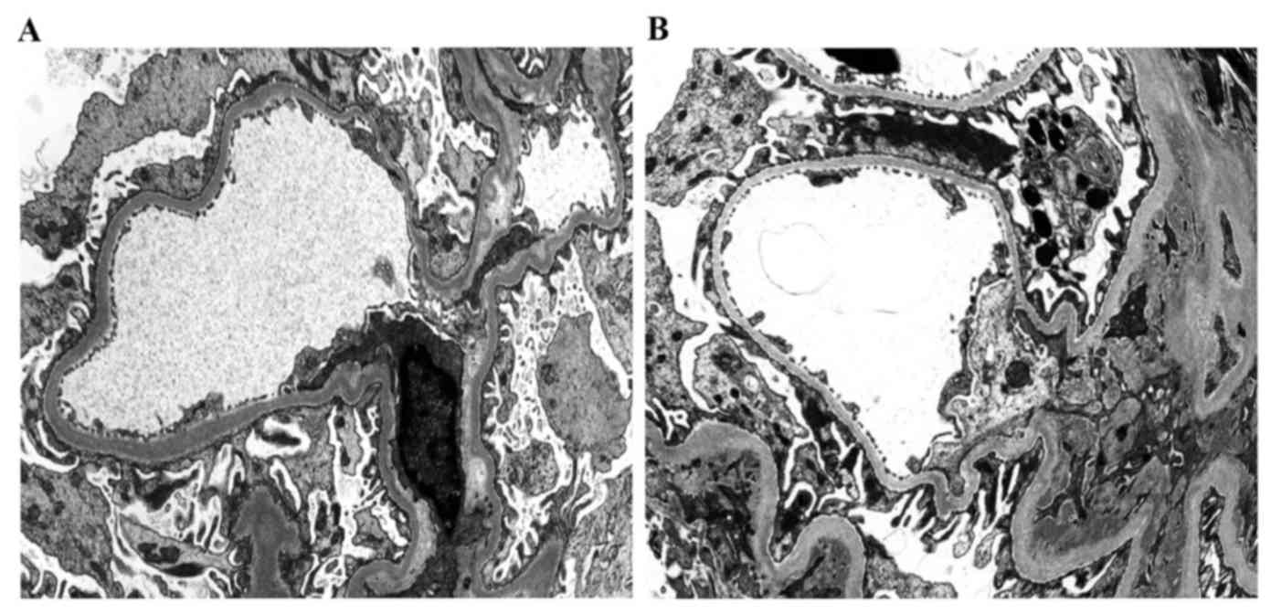
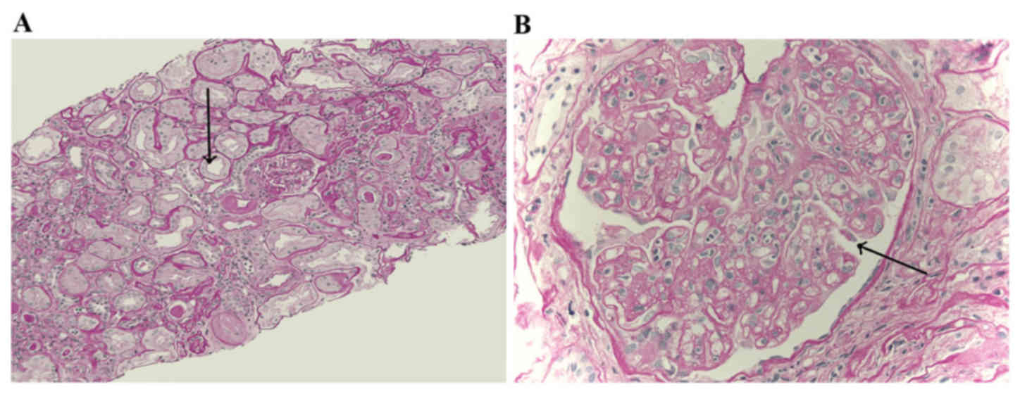
The present study aimed to investigate the association between high mobility group protein B1 (HMGB1), transforming growth factor‑β1 (TGF‑β1), nuclear factor‑κB (NF‑κB) and chronic allograft nephropathy (CAN) and to identify the clinical significance of HMGB1, TGF‑β1, NF‑κB on patients with CAN. Between September 2012 and November 2014, 27 patients with CAN diagnosed by biopsy were enrolled in the present study and a further 30 patients that underwent nephrectomy following trauma were selected as the control group. Immunohistochemical staining with HMGB1, TGF‑β1 and NF‑κB expression in the renal tissues, and western blot analysis were used to measure the relative expression of HMGB1, TGF‑β1 and NF‑κB. Reverse transcription‑quantitative polymerase chain reaction (RT‑qPCR) was used to estimate the relative expression of HMGB1, TGF‑β1 and NF‑κB mRNA. Statistical analysis was used to calculate the association between HMGB1, TGF‑β1 and NF‑κB expression and CAN grade. Immunohistochemical staining demonstrated that HMGB1, TGF‑β1 and NF‑κB had markedly positive expression rates in renal tubular epithelial cell cytoplasm and membranes in CAN renal tissues, and the positive rates of HMGB1, TGF‑β1 and NF‑κB increased with the aggravation of CAN pathological grade (I, II and III). The results of western blot analysis indicated that the expression levels of HMGB1, TGF‑β1 and NF‑κB were significantly higher in the CAN group, compared with the normal group (P<0.05), and the expression levels increased with the progression of CAN grade. A positive association among HMGB1, TGF‑β1 and NF‑κB expression was identified. RT‑qPCR analysis demonstrated that the expression of HMGB1, TGF‑β1 and NF‑κB mRNA in the CAN group was significantly higher than in the normal group (P<0.05), and the relative expression level of HMGB1, TGF‑β1 and NF‑κB mRNA not only increased with the aggravation of CAN grade, but was also positively associated with the expression of HMGB1, TGF‑β1 and NF‑κB, respectively. The abnormal expression of HMGB1, TGF‑β1 and NF‑κB is therefore, an important manifestation of CAN and the expression of HMGB1, TGF‑β1 and NF‑κB mRNA in the renal tissues are significantly associated with CAN pathological progression. HMGB1, TGF‑β1 and NF‑κB may form a signaling pathway that leads to the occurrence of CAN, which induces renal interstitial fibrosis.
View Figures

Figure 1

Figure 2

Figure 3

Figure 4

Figure 5

View References

1 

Cui Y, Huang Q, Auman JT, Knight B, Jin X, Blanchard KT, Chou J, Jayadev S and Paules RS: Genomic-derived markers for early detection of calcineurin inhibitor immunosuppressant-mediated nephrotoxicity. Toxicol Sci. 124:23–34. 2011. View Article : Google Scholar : PubMed/NCBI

2 

Lamb KE, Lodhi S and Meier-Kriesche HU: Long-term renal allograft survival in the United States: A critical reappraisal. Am J Transplant. 11:450–462. 2011. View Article : Google Scholar : PubMed/NCBI

3 

Cassidy H, Slyne J, O'Kelly P, Traynor C, Conlon PJ, Johnston O, Slattery C, Ryan MP and McMorrow T: Urinary biomarkers of chronic allograft nephropathy. Proteomics Clin Appl. 9:574–585. 2015. View Article : Google Scholar : PubMed/NCBI

4 

Weir MR and Wali RK: Minimizing the risk of chronic allograft nephropathy. Transplantation. 87 8 Suppl:S14–S18. 2009. View Article : Google Scholar : PubMed/NCBI

5 

Birnbaum LM, Lipman M, Paraskevas S, Chaudhury P, Tchervenkov J, Baran D, Herrera-Gayol A and Cantarovich M: Management of chronic allograft nephropathy: A systematic review. Clin J Am Soc Nephrol. 4:860–865. 2009. View Article : Google Scholar : PubMed/NCBI

6 

Lukenda V, Mikolasevic I, Racki S, Jelic I, Stimac D and Orlic L: Transient elastography: A new noninvasive diagnostic tool for assessment of chronic allograft nephropathy. Int Urol Nephrol. 46:1435–1440. 2014. View Article : Google Scholar : PubMed/NCBI

7 

Arndt R, Schmidt S, Loddenkemper C, Grünbaum M, Zidek W, van der Giet M and Westhoff TH: Noninvasive evaluation of renal allograft fibrosis by transient elastography-a pilot study. Transpl Int. 23:871–877. 2010.PubMed/NCBI

8 

Sayin B, Karakayali H, Colak T, Sevmis S, Pehlivan S, Demirhan B and Haberal M: Conversion to sirolimus for chronic allograft nephropathy and calcineurin inhibitor toxicity and the adverse effects of sirolimus after conversion. Transplant Proc. 41:2789–2793. 2009. View Article : Google Scholar : PubMed/NCBI

9 

Haas M: Chronic allograft nephropathy or interstitial fibrosis and tubular atrophy: What is in a name? Curr Opin Nephrol Hypertens. 23:245–250. 2014. View Article : Google Scholar : PubMed/NCBI

10 

Del Bello A, Rostaing L, Congy-Jolivet N, Sallusto F, Gamé X and Kamar N: Kidney nephrectomy after allograft failure. Nephrol Ther. 9:189–194. 2013.(In French). View Article : Google Scholar : PubMed/NCBI

11 

Wang K and Liu QZ: Effect analysis of 1-year posttransplant body mass index on chronic allograft nephropathy in renal recipients. Transplant Proc. 43:2592–2595. 2011. View Article : Google Scholar : PubMed/NCBI

12 

Johnston O, Cassidy H, O'Connell S, O'Riordan A, Gallagher W, Maguire PB, Wynne K, Cagney G, Ryan MP, Conlon PJ and McMorrow T: Identification of β2-microglobulin as a urinary biomarker for chronic allograft nephropathy using proteomic methods. Proteomics Clin Appl. 5:422–431. 2011. View Article : Google Scholar : PubMed/NCBI

13 

Zhu P, Xie L, Ding HS, Gong Q, Yang J and Yang L: High mobility group box 1 and kidney diseases (Review). Int J Mol Med. 31:763–768. 2013. View Article : Google Scholar : PubMed/NCBI

14 

Srinivasan M, Banerjee S, Palmer A, Zheng G, Chen A, Bosland MC, Kajdacsy-Balla A, Kalyanasundaram R and Munirathinam G: HMGB1 in hormone-related cancer: A potential therapeutic target. Horm Cancer. 5:127–139. 2014. View Article : Google Scholar : PubMed/NCBI

15 

Kang R, Chen R, Zhang Q, Hou W, Wu S, Cao L, Huang J, Yu Y, Fan XG, Yan Z, et al: HMGB1 in health and disease. Mol Aspects Med. 40:1–116. 2014. View Article : Google Scholar : PubMed/NCBI

16 

Li J, Gong Q, Zhong S, Wang L, Guo H, Xiang Y, Ichim TE, Wang CY, Chen S, Gong F and Chen G: Neutralization of the extracellular HMGB1 released by ischaemic damaged renal cells protects against renal ischaemia-reperfusion injury. Nephrol Dial Transplant. 26:469–478. 2011. View Article : Google Scholar : PubMed/NCBI

17 

Bruchfeld A, Qureshi AR, Lindholm B, Barany P, Yang L, Stenvinkel P and Tracey KJ: High Mobility Group Box Protein-1 correlates with renal function in chronic kidney disease (CKD). Mol Med. 14:109–115. 2008. View Article : Google Scholar : PubMed/NCBI

18 

Leelahavanichkul A, Huang Y, Hu X, Zhou H, Tsuji T, Chen R, Kopp JB, Schnermann J, Yuen PS and Star RA: Chronic kidney disease worsens sepsis and sepsis-induced acute kidney injury by releasing High Mobility Group Box Protein-1. Kidney Int. 80:1198–1211. 2011. View Article : Google Scholar : PubMed/NCBI

19 

Zakiyanov O, Kriha V, Vachek J, Zima T, Tesar V and Kalousova M: Placental growth factor, pregnancy-associated plasma protein-A, soluble receptor for advanced glycation end products, extracellular newly identified receptor for receptor for advanced glycation end products binding protein and high mobility group box 1 levels in patients with acute kidney injury: A cross sectional study. BMC Nephrol. 14:2452013. View Article : Google Scholar : PubMed/NCBI

20 

Oyama Y, Hashiguchi T, Taniguchi N, Tancharoen S, Uchimura T, Biswas KK, Kawahara K, Nitanda T, Umekita Y, Lotz M and Maruyama I: High-mobility group box-1 protein promotes granulomatous nephritis in adenine-induced nephropathy. Lab Invest. 90:853–866. 2010. View Article : Google Scholar : PubMed/NCBI

21 

Bhatelia K, Singh K and Singh R: TLRs: Linking inflammation and breast cancer. Cell Signal. 26:2350–2357. 2014. View Article : Google Scholar : PubMed/NCBI

22 

Zhou TB: Role of high mobility group box 1 and its signaling pathways in renal diseases. J Recept Signal Transduct Res. 34:348–350. 2014. View Article : Google Scholar : PubMed/NCBI

23 

Pateras I, Giaginis C, Tsigris C, Patsouris E and Theocharis S: NF-κB signaling at the crossroads of inflammation and atherogenesis: Searching for new therapeutic links. Expert Opin Ther Targets. 18:1089–1101. 2014. View Article : Google Scholar : PubMed/NCBI

24 

Hayden MS and Ghosh S: Regulation of NF-κB by TNF family cytokines. Semin Immunol. 26:253–266. 2014. View Article : Google Scholar : PubMed/NCBI

25 

Sanz AB, Sanchez-Niño MD, Ramos AM, Moreno JA, Santamaria B, Ruiz-Ortega M, Egido J and Ortiz A: NF-kappaB in renal inflammation. J Am Soc Nephrol. 21:1254–1262. 2010. View Article : Google Scholar : PubMed/NCBI

26 

Mohammed-Ali Z, Cruz GL and Dickhout JG: Crosstalk between the unfolded protein response and NF-κB-mediated inflammation in the progression of chronic kidney disease. J Immunol Res. 2015:4285082015. View Article : Google Scholar : PubMed/NCBI

27 

Harris S, Coupes BM, Roberts SA, Roberts IS, Short CD and Brenchley PE: TGF-beta1 in chronic allograft nephropathy following renal transplantation. J Nephrol. 20:177–185. 2007.PubMed/NCBI

28 

Daniel C, Vogelbacher R, Stief A, Grigo C and Hugo C: Long-term gene therapy with thrombospondin 2 inhibits TGF-β activation, inflammation and angiogenesis in chronic allograft nephropathy. PLoS One. 8:e838462013. View Article : Google Scholar : PubMed/NCBI

29 

Ding Y and Choi ME: Regulation of autophagy by TGF-β: Emerging role in kidney fibrosis. Semin Nephrol. 34:62–71. 2014. View Article : Google Scholar : PubMed/NCBI

30 

Choi ME, Ding Y and Kim SI: TGF-β signaling via TAK1 pathway: Role in kidney fibrosis. Semin Nephrol. 32:244–252. 2012. View Article : Google Scholar : PubMed/NCBI

31 

Li Y, Ge Y, Liu FY, Peng YM, Sun L, Li J, Chen Q, Sun Y and Ye K: Norcantharidin, a protective therapeutic agent in renal tubulointerstitial fibrosis. Mol Cell Biochem. 361:79–83. 2012. View Article : Google Scholar : PubMed/NCBI

32 

Ka SM, Yeh YC, Huang XR, Chao TK, Hung YJ, Yu CP, Lin TJ, Wu CC, Lan HY and Chen A: Kidney-targeting Smad7 gene transfer inhibits renal TGF-β/MAD homologue (SMAD) and nuclear factor κB (NF-κB) signalling pathways and improves diabetic nephropathy in mice. Diabetologia. 55:509–519. 2012. View Article : Google Scholar : PubMed/NCBI

33 

Lan HY and Chung AC: TGF-β/Smad signaling in kidney disease. Semin Nephrol. 32:236–243. 2012. View Article : Google Scholar : PubMed/NCBI

34 

Srinivas TR and Oppenheimer F: Identifying endpoints to predict the influence of immunosuppression on long-term kidney graft survival. Clin Transplant. 29:644–653. 2015. View Article : Google Scholar : PubMed/NCBI

35 

Xia SQ, Fan Y, Tan MY and Zheng JH: Five-year follow-up after conversion from calcineurin inhibitor to sirolimus-based treatment in kidney transplant patients with chronic allograft nephropathy. Int J Clin Exp Med. 8:3552–3558. 2015.PubMed/NCBI

36 

Shrestha B and Haylor J: Experimental rat models of chronic allograft nephropathy: A review. Int J Nephrol Renovasc Dis. 7:315–322. 2014. View Article : Google Scholar : PubMed/NCBI

37 

Timsit MO, Yuan X, Floerchinger B, Ge X and Tullius SG: Consequences of transplant quality on chronic allograft nephropathy. Kidney Int Suppl. S54–S58. 2010. View Article : Google Scholar : PubMed/NCBI

38 

Leca N: Focal segmental glomerulosclerosis recurrence in the renal allograft. Adv Chronic Kidney Dis. 21:448–452. 2014. View Article : Google Scholar : PubMed/NCBI

39 

Liao QB, Guo JQ, Zheng XY, Zhou ZF, Li H, Lai XY and Ye JF: Test performance of sputum microRNAs for lung cancer: A meta-analysis. Genet Test Mol Biomarkers. 18:562–567. 2014. View Article : Google Scholar : PubMed/NCBI

40 

Schinstock CA, Stegall M and Cosio F: New insights regarding chronic antibody-mediated rejection and its progression to transplant glomerulopathy. Curr Opin Nephrol Hypertens. 23:611–618. 2014. View Article : Google Scholar : PubMed/NCBI

41 

Tan Y, Wang Q, She Y, Bi X and Zhao B: Ketamine reduces LPS-induced HMGB1 via activation of the Nrf2/HO-1 pathway and NF-κB suppression. J Trauma Acute Care Surg. 78:784–792. 2015. View Article : Google Scholar : PubMed/NCBI

42 

Shi Z, Lian A and Zhang F: Nuclear factor-κB activation inhibitor attenuates ischemia reperfusion injury and inhibits Hmgb1 expression. Inflamm Res. 63:919–925. 2014. View Article : Google Scholar : PubMed/NCBI

43 

Zhou XJ, Dong ZG, Yang YM, Du LT, Zhang X and Wang CX: Limited diagnostic value of microRNAs for detecting colorectal cancer: A meta-analysis. Asian Pac J Cancer Prev. 14:4699–4704. 2013. View Article : Google Scholar : PubMed/NCBI

44 

Terhzaz S, Overend G, Sebastian S, Dow JA and Davies SA: The D. Melanogaster capa-1 neuropeptide activates renal NF-kB signaling. Peptides. 53:218–224. 2014. View Article : Google Scholar : PubMed/NCBI

45 

Kim HJ, Kim JG, Moon MY, Park SH and Park JB: IκB kinase γ/nuclear factor-κB-essential modulator (IKKγ/NEMO) facilitates RhoA GTPase activation, which, in turn, activates Rho-associated KINASE (ROCK) to phosphorylate IKKβ in response to transforming growth factor (TGF)-β1. J Biol Chem. 289:1429–1440. 2014. View Article : Google Scholar : PubMed/NCBI

46 

Jia QQ, Wang JC, Long J, Zhao Y, Chen SJ, Zhai JD, Wei LB, Zhang Q, Chen Y and Long HB: Sesquiterpene lactones and their derivatives inhibit high glucose-induced NF-κB activation and MCP-1 and TGF-β1 expression in rat mesangial cells. Molecules. 18:13061–13077. 2013. View Article : Google Scholar : PubMed/NCBI

47 

Oo YH, Shetty S and Adams DH: The role of chemokines in the recruitment of lymphocytes to the liver. Dig Dis. 28:31–44. 2010. View Article : Google Scholar : PubMed/NCBI

48 

Saigo K, Akutsu N, Maruyama M, Otsuki K, Hasegawa M, Aoyama H, Matsumoto I, Asano T and Kenmochi T: Study of transforming growth factor-β1 gene, mRNA, and protein in Japanese renal transplant recipients. Transplant Proc. 46:372–375. 2014. View Article : Google Scholar : PubMed/NCBI

49 

Assadiasl S, Ahmadpoor P, Nafar M, Pezeshki Lessan M, Pourrezagholi F, Parvin M, Shahlaee A, Sepanjnia A, Nicknam MH and Amirzargar A: Regulatory T cell subtypes and TGF-β1 gene expression in chronic allograft dysfunction. Iran J Immunol. 11:139–152. 2014.PubMed/NCBI

50 

Liu H, Sun W, Wan YG, Tu Y, Yu BY and Hu H: Regulatory mechanism of NF-kappaB signaling pathway on renal tissue inflammation in chronic kidney disease and interventional effect of traditional Chinese medicine. Zhongguo Zhong Yao Za Zhi. 38:4246–4251. 2013.(In Chinese). PubMed/NCBI

51 

Braz MM, Ramalho FS, Cardoso RL, Zucoloto S, Costa RS and Ramalho LN: Slight activation of nuclear factor kappa-B is associated with increased hepatic stellate cell apoptosis in human schistosomal fibrosis. Acta Trop. 113:66–71. 2010. View Article : Google Scholar : PubMed/NCBI

52 

Guicciardi ME and Gores GJ: Apoptosis as a mechanism for liver disease progression. Semin Liver Dis. 30:402–410. 2010. View Article : Google Scholar : PubMed/NCBI

53 

Qin L and Han YP: Epigenetic repression of matrix metalloproteinases in myofibroblastic hepatic stellate cells through histone deacetylases 4: Implication in tissue fibrosis. Am J Pathol. 177:1915–1928. 2010. View Article : Google Scholar : PubMed/NCBI

54 

Liu GQ, Zuo XH, Jiang LN, Zhang YP, Zhang LM, Zhao ZG and Niu CY: Inhibitory effect of post-hemorrhagic shock mesenteric lymph drainage on the HMGB1 and RAGE in mouse kidney. Ren Fail. 38:131–136. 2016. View Article : Google Scholar : PubMed/NCBI

55 

Qie GQ, Wang CT, Chu YF and Wang R: Expression of HMGB1/RAGE protein in renal carcinoma and its clinical significance. Int J Clin Exp Pathol. 8:6262–6268. 2015.PubMed/NCBI

56 

Karuppagounder V, Arumugam S, Thandavarayan RA, Pitchaimani V, Sreedhar R, Afrin R, Harima M, Suzuki H, Nomoto M, Miyashita S, et al: Modulation of HMGB1 translocation and RAGE/NFκB cascade by quercetin treatment mitigates atopic dermatitis in NC/Nga transgenic mice. Exp Dermatol. 24:418–423. 2015. View Article : Google Scholar : PubMed/NCBI

57 

Kang N, Hai Y, Yang J, Liang F and Gao CJ: Hyperbaric oxygen intervention reduces secondary spinal cord injury in rats via regulation of HMGB1/TLR4/NF-κB signaling pathway. Int J Clin Exp Pathol. 8:1141–1153. 2015.PubMed/NCBI

58 

Sun J, Shi S, Wang Q, Yu K and Wang R: Continuous hemodiafiltration therapy reduces damage of multi-organs by ameliorating of HMGB1/TLR4/NFκB in a dog sepsis model. Int J Clin Exp Pathol. 8:1555–1564. 2015.PubMed/NCBI

Related Articles

  • Abstract
  • View
  • Download
  • Twitter
Copy and paste a formatted citation
Spandidos Publications style
Zhao SQ, Xue ZZ and Wang LZ: HMGB1, TGF‑β and NF‑κB are associated with chronic allograft nephropathy. Exp Ther Med 14: 6138-6146, 2017.
APA
Zhao, S., Xue, Z., & Wang, L. (2017). HMGB1, TGF‑β and NF‑κB are associated with chronic allograft nephropathy. Experimental and Therapeutic Medicine, 14, 6138-6146. https://doi.org/10.3892/etm.2017.5319
MLA
Zhao, S., Xue, Z., Wang, L."HMGB1, TGF‑β and NF‑κB are associated with chronic allograft nephropathy". Experimental and Therapeutic Medicine 14.6 (2017): 6138-6146.
Chicago
Zhao, S., Xue, Z., Wang, L."HMGB1, TGF‑β and NF‑κB are associated with chronic allograft nephropathy". Experimental and Therapeutic Medicine 14, no. 6 (2017): 6138-6146. https://doi.org/10.3892/etm.2017.5319
Copy and paste a formatted citation
x
Spandidos Publications style
Zhao SQ, Xue ZZ and Wang LZ: HMGB1, TGF‑β and NF‑κB are associated with chronic allograft nephropathy. Exp Ther Med 14: 6138-6146, 2017.
APA
Zhao, S., Xue, Z., & Wang, L. (2017). HMGB1, TGF‑β and NF‑κB are associated with chronic allograft nephropathy. Experimental and Therapeutic Medicine, 14, 6138-6146. https://doi.org/10.3892/etm.2017.5319
MLA
Zhao, S., Xue, Z., Wang, L."HMGB1, TGF‑β and NF‑κB are associated with chronic allograft nephropathy". Experimental and Therapeutic Medicine 14.6 (2017): 6138-6146.
Chicago
Zhao, S., Xue, Z., Wang, L."HMGB1, TGF‑β and NF‑κB are associated with chronic allograft nephropathy". Experimental and Therapeutic Medicine 14, no. 6 (2017): 6138-6146. https://doi.org/10.3892/etm.2017.5319
Follow us
  • Twitter
  • LinkedIn
  • Facebook
About
  • Spandidos Publications
  • Careers
  • Cookie Policy
  • Privacy Policy
How can we help?
  • Help
  • Live Chat
  • Contact
  • Email to our Support Team