Spandidos Publications Logo
  • About
    • About Spandidos
    • Aims and Scopes
    • Abstracting and Indexing
    • Editorial Policies
    • Reprints and Permissions
    • Job Opportunities
    • Terms and Conditions
    • Contact
  • Journals
    • All Journals
    • Oncology Letters
      • Oncology Letters
      • Information for Authors
      • Editorial Policies
      • Editorial Board
      • Aims and Scope
      • Abstracting and Indexing
      • Bibliographic Information
      • Archive
    • International Journal of Oncology
      • International Journal of Oncology
      • Information for Authors
      • Editorial Policies
      • Editorial Board
      • Aims and Scope
      • Abstracting and Indexing
      • Bibliographic Information
      • Archive
    • Molecular and Clinical Oncology
      • Molecular and Clinical Oncology
      • Information for Authors
      • Editorial Policies
      • Editorial Board
      • Aims and Scope
      • Abstracting and Indexing
      • Bibliographic Information
      • Archive
    • Experimental and Therapeutic Medicine
      • Experimental and Therapeutic Medicine
      • Information for Authors
      • Editorial Policies
      • Editorial Board
      • Aims and Scope
      • Abstracting and Indexing
      • Bibliographic Information
      • Archive
    • International Journal of Molecular Medicine
      • International Journal of Molecular Medicine
      • Information for Authors
      • Editorial Policies
      • Editorial Board
      • Aims and Scope
      • Abstracting and Indexing
      • Bibliographic Information
      • Archive
    • Biomedical Reports
      • Biomedical Reports
      • Information for Authors
      • Editorial Policies
      • Editorial Board
      • Aims and Scope
      • Abstracting and Indexing
      • Bibliographic Information
      • Archive
    • Oncology Reports
      • Oncology Reports
      • Information for Authors
      • Editorial Policies
      • Editorial Board
      • Aims and Scope
      • Abstracting and Indexing
      • Bibliographic Information
      • Archive
    • Molecular Medicine Reports
      • Molecular Medicine Reports
      • Information for Authors
      • Editorial Policies
      • Editorial Board
      • Aims and Scope
      • Abstracting and Indexing
      • Bibliographic Information
      • Archive
    • World Academy of Sciences Journal
      • World Academy of Sciences Journal
      • Information for Authors
      • Editorial Policies
      • Editorial Board
      • Aims and Scope
      • Abstracting and Indexing
      • Bibliographic Information
      • Archive
    • International Journal of Functional Nutrition
      • International Journal of Functional Nutrition
      • Information for Authors
      • Editorial Policies
      • Editorial Board
      • Aims and Scope
      • Abstracting and Indexing
      • Bibliographic Information
      • Archive
    • International Journal of Epigenetics
      • International Journal of Epigenetics
      • Information for Authors
      • Editorial Policies
      • Editorial Board
      • Aims and Scope
      • Abstracting and Indexing
      • Bibliographic Information
      • Archive
    • Medicine International
      • Medicine International
      • Information for Authors
      • Editorial Policies
      • Editorial Board
      • Aims and Scope
      • Abstracting and Indexing
      • Bibliographic Information
      • Archive
  • Articles
  • Information
    • Information for Authors
    • Information for Reviewers
    • Information for Librarians
    • Information for Advertisers
    • Conferences
  • Language Editing
Spandidos Publications Logo
  • About
    • About Spandidos
    • Aims and Scopes
    • Abstracting and Indexing
    • Editorial Policies
    • Reprints and Permissions
    • Job Opportunities
    • Terms and Conditions
    • Contact
  • Journals
    • All Journals
    • Biomedical Reports
      • Information for Authors
      • Editorial Policies
      • Editorial Board
      • Aims and Scope
      • Abstracting and Indexing
      • Bibliographic Information
      • Archive
    • Experimental and Therapeutic Medicine
      • Information for Authors
      • Editorial Policies
      • Editorial Board
      • Aims and Scope
      • Abstracting and Indexing
      • Bibliographic Information
      • Archive
    • International Journal of Epigenetics
      • Information for Authors
      • Editorial Policies
      • Editorial Board
      • Aims and Scope
      • Abstracting and Indexing
      • Bibliographic Information
      • Archive
    • International Journal of Functional Nutrition
      • Information for Authors
      • Editorial Policies
      • Editorial Board
      • Aims and Scope
      • Abstracting and Indexing
      • Bibliographic Information
      • Archive
    • International Journal of Molecular Medicine
      • Information for Authors
      • Editorial Policies
      • Editorial Board
      • Aims and Scope
      • Abstracting and Indexing
      • Bibliographic Information
      • Archive
    • International Journal of Oncology
      • Information for Authors
      • Editorial Policies
      • Editorial Board
      • Aims and Scope
      • Abstracting and Indexing
      • Bibliographic Information
      • Archive
    • Medicine International
      • Information for Authors
      • Editorial Policies
      • Editorial Board
      • Aims and Scope
      • Abstracting and Indexing
      • Bibliographic Information
      • Archive
    • Molecular and Clinical Oncology
      • Information for Authors
      • Editorial Policies
      • Editorial Board
      • Aims and Scope
      • Abstracting and Indexing
      • Bibliographic Information
      • Archive
    • Molecular Medicine Reports
      • Information for Authors
      • Editorial Policies
      • Editorial Board
      • Aims and Scope
      • Abstracting and Indexing
      • Bibliographic Information
      • Archive
    • Oncology Letters
      • Information for Authors
      • Editorial Policies
      • Editorial Board
      • Aims and Scope
      • Abstracting and Indexing
      • Bibliographic Information
      • Archive
    • Oncology Reports
      • Information for Authors
      • Editorial Policies
      • Editorial Board
      • Aims and Scope
      • Abstracting and Indexing
      • Bibliographic Information
      • Archive
    • World Academy of Sciences Journal
      • Information for Authors
      • Editorial Policies
      • Editorial Board
      • Aims and Scope
      • Abstracting and Indexing
      • Bibliographic Information
      • Archive
  • Articles
  • Information
    • For Authors
    • For Reviewers
    • For Librarians
    • For Advertisers
    • Conferences
  • Language Editing
Login Register Submit
  • This site uses cookies
  • You can change your cookie settings at any time by following the instructions in our Cookie Policy. To find out more, you may read our Privacy Policy.

    I agree
Search articles by DOI, keyword, author or affiliation
Search
Advanced Search
presentation
Experimental and Therapeutic Medicine
Join Editorial Board Propose a Special Issue
Print ISSN: 1792-0981 Online ISSN: 1792-1015
Journal Cover
June-2018 Volume 15 Issue 6

Full Size Image

Sign up for eToc alerts
Recommend to Library

Journals

International Journal of Molecular Medicine

International Journal of Molecular Medicine

International Journal of Molecular Medicine is an international journal devoted to molecular mechanisms of human disease.

International Journal of Oncology

International Journal of Oncology

International Journal of Oncology is an international journal devoted to oncology research and cancer treatment.

Molecular Medicine Reports

Molecular Medicine Reports

Covers molecular medicine topics such as pharmacology, pathology, genetics, neuroscience, infectious diseases, molecular cardiology, and molecular surgery.

Oncology Reports

Oncology Reports

Oncology Reports is an international journal devoted to fundamental and applied research in Oncology.

Experimental and Therapeutic Medicine

Experimental and Therapeutic Medicine

Experimental and Therapeutic Medicine is an international journal devoted to laboratory and clinical medicine.

Oncology Letters

Oncology Letters

Oncology Letters is an international journal devoted to Experimental and Clinical Oncology.

Biomedical Reports

Biomedical Reports

Explores a wide range of biological and medical fields, including pharmacology, genetics, microbiology, neuroscience, and molecular cardiology.

Molecular and Clinical Oncology

Molecular and Clinical Oncology

International journal addressing all aspects of oncology research, from tumorigenesis and oncogenes to chemotherapy and metastasis.

World Academy of Sciences Journal

World Academy of Sciences Journal

Multidisciplinary open-access journal spanning biochemistry, genetics, neuroscience, environmental health, and synthetic biology.

International Journal of Functional Nutrition

International Journal of Functional Nutrition

Open-access journal combining biochemistry, pharmacology, immunology, and genetics to advance health through functional nutrition.

International Journal of Epigenetics

International Journal of Epigenetics

Publishes open-access research on using epigenetics to advance understanding and treatment of human disease.

Medicine International

Medicine International

An International Open Access Journal Devoted to General Medicine.

Journal Cover
June-2018 Volume 15 Issue 6

Full Size Image

Sign up for eToc alerts
Recommend to Library

  • Article
  • Citations
    • Cite This Article
    • Download Citation
    • Create Citation Alert
    • Remove Citation Alert
    • Cited By
  • Similar Articles
    • Related Articles (in Spandidos Publications)
    • Similar Articles (Google Scholar)
    • Similar Articles (PubMed)
  • Download PDF
  • Download XML
  • View XML
Article Open Access

Interactions between dendritic cells and T lymphocytes in pathogenesis of nasal polyps

  • Authors:
    • Xinsheng Lin
    • Xiayan Zhuang
    • Chuangwei Li
    • Xin Wang
  • View Affiliations / Copyright

    Affiliations: Department of Otolaryngology, Head and Neck Surgery, Shantou Central Hospital, Shantou, Guangdong 515031, P.R. China, Department of Otolaryngology, Head and Neck Surgery, The First Hospital of Jilin University, Changchun, Jilin 130000, P.R. China
    Copyright: © Lin et al. This is an open access article distributed under the terms of Creative Commons Attribution License.
  • Pages: 5167-5172
    |
    Published online on: May 3, 2018
       https://doi.org/10.3892/etm.2018.6128
  • Expand metrics +
Metrics: Total Views: 0 (Spandidos Publications: | PMC Statistics: )
Metrics: Total PDF Downloads: 0 (Spandidos Publications: | PMC Statistics: )
Cited By (CrossRef): 0 citations Loading Articles...

This article is mentioned in:



Abstract

The aim of the present study was to investigate the functional status of dendritic cells (DCs) in nasal polyps (NP) and their interactions with T lymphocytes. The interactions between DC and T lymphocytes in the pathogenesis of NP was also studied. The expression of cluster of differentiation (CD)1a and CD83 in NP was detected using immunohistochemistry and the ratio of CD83 DC/CD1a+DC was counted. The distribution of DCs in NP and normal inferior turbinate mucosa (nITM) was evaluated using double immunostaining (CD1a/CD40) and low illumination fluorescence microscopy. The number of CD1a+ cells, CD83+ cells and CD1a/CD40‑dual positive cells in was significantly higher in NP tissues compared with nITM. Furthermore, the density of DCs observed in NP was significantly greater than that observed in nITM. The ratio of CD83 DC/CD1a+DC in NP was significantly higher compared with in nITM tissues. The results of the present study revealed significant infiltration of DCs in NP, with the majority being mature DCs. DCs are able to interact with T cells via the CD40/CD40L costimulatory factor, thus serving an important role in the development and progression of NP.

Introduction

Dendritic cells (DCs) are potent antigen presenting cells (APCs) that stimulate naïve T cell proliferation to initiate the in vivo immune response (1). T cell negative selection may be induced by the continuously unstable interaction between immature DCs and T cells, due to a deficiency of mature DCs, which may further lead to immune tolerance (2). DCs are considered to be important cells for studying the initiation and development of various inflammatory diseases (3).

Nasal polyps (NP) are one of the most common diseases in otorhinolaryngology, as well as head and neck surgery (4). The pathogenesis of NP remains to be elucidates; however, it is thought a combination of factors, including inflammation and allergies, cause this disease (5). Some scholars classify NP into inflammatory NP and allergic NP, with inflammatory NP characterized by the infiltration of lymphocytes and neutrophils, and allergic NP characterized by the infiltration of lymphocytes, plasma cells, eosinophils or neutrophils (5). Eosinophil infiltration is the most characteristic pathological change of NP and is caused by interactions between various cytokines, of which interleukin (IL)-5 is the main cytokine that causes eosinophil infiltration. During the initial stages of NP, the main source of IL-5 is Th2 cells (6). Lymphocyte infiltration in NP tissues may induce an imbalance of Th1/Th2, leading to the over expression of Th2 compared with Th1 (7). However, inflammatory cell infiltration and inflammatory mediators in NP tissues are observed during the middle and high-stages of the inflammatory response and the characteristics of early pathogenesis of NP remain unclear (8).

A previous study by our group revealed that NP tissues are characterized by the infiltration of a large number of DCs, which are mainly distributed in the submucosa and are concentrated in the epithelium (9). The role of DCs in the pathogenesis of NP and the interaction between DCs and T cells remain to be elucidated. The aim of the present study was to investigate the expression of cluster of differentiation (CD)1a and CD83, as well as the ratio of CD83+ DCs/CD1a+DCs, in NP tissues and the distribution of DCs in NP and normal inferior turbinate mucosa (nITM) tissues.

Materials and methods

Patients

A total of 30 patients underwent endoscopic NP resection (experiment group, E), 10 patients underwent simultaneous nasal septal construction and inferior turbinate resection (control group, C), and 1 patient (male, 53 years old) underwent esophageal cancer resection (positive control group) (10) between October 2015 to September 2016 at Shantou Central Hospital (Shantou, China). Group E included 16 males and 14 females, aged 14–72 years old (mean, 36 years). Group C included 7 males and 3 females, aged 16–60 years old (mean, 34 years). Exclusion criteria were as follows: History of allergic rhinitis and application of systemic or local glucocorticoids, immunosuppressive agents, or any kinds of nasal spray in the 2 weeks prior to the study. All specimens were confirmed as NP or nITM tissues by HE staining.

All tissues were washed three times with PBS, fixed with 4% paraformaldehyde at 4°C for >24 h, dehydrated with a graded series of ethanol at room temperature, cleared with xylene and embedded in paraffin. Sections were then cut (5 µm) and stained at room temperature with haematoxylin (ZLI-9610; ZSGB-Bio Inc., Beijing, China) for 15 min and eosin solution for 10–30 sec at room temperature (ZLI-9613; ZSJQ Biotechnology, Inc.). Each slide was examined at a magnification of 40× using a light microscope (Axioplan 2; Carl Zeiss AG; Oberkochen, Germany).

The present study was conducted in accordance with the Declaration of Helsinki and was approved by the Ethics Committee of Shantou Central Hospital (Shantou, China). Written informed consent was obtained from all participants.

Immunohistochemistry

Tissues were fixed with 4% paraformaldehyde at 4°C for >24 h, dehydrated with a graded series of ethanol at room temperature, cleared in xylene and embedded in paraffin. Serial 5 µm sections were then cut and underwent conventional dewaxing and rehydration, followed by incubation for 10 min at room temperature with 3% hydrogen peroxide to block endogenous peroxidase activity. Sections were rinsed and incubated with citrate buffer (pH 6.0) at room temperature for 15 min. The solution was allowed to cool to room temperature and sections were rinsed three times with PBS for 2 min. Sections were subsequently incubated overnight at 4°C with primary antibodies against CD1a (1:50; cat. no. EP3622; Neomarkers, Inc., Portsmouth, NH, USA) and CD83 (1:100; cat. no. LP0306577; Bio-Rad Laboratories, Inc., Hercules, CA, USA). Sections were rinsed with PBS three times for 2 min followed by incubation with mouse anti-rabbit horseradish peroxidase-conjugated secondary antibodies (1:100; cat. no. L111327; KPL, Inc., Gaithersburg, MD, USA) at 37°C for 30 min. Sections were rinsed again with PBS three times for 2 min and subjected to DAB staining for 5 min at room temperature, hematoxylin counter-staining for 2 min at room temperature, decolored in 1% HCl-alcohol, lithium carbonate red-blue-staining for 15 sec at room temperature, conventional dehydration and hyalinization, followed by sealing in natural resin. Sections were digested in the 1 mM EDTA (pH 8.0) containing CD1a in an autoclave for 7.5 min, followed by digestion in the solution containing CD83 (cat. no. LP0306577; Bio-Rad Laboratories, Inc., Hercules, CA, USA) and 0.1% trypsin-containing CaCl2 (Shanghai Huajing Biotech Corp., Shanghai, China) at 37°C for 10.3 min. PBS was used to replace the primary antibodies as the negative control and one esophageal cancer sample was selected as the positive control.

Result determination and observation indexes

CD1a+ and CD83+DCs were identified according to the staining and morphology of cells. For each section, the number of DCs was counted in five high-magnification fields at a magnification of ×40 with a light microscope (Axioplan 2; Carl Zeiss AG) and the mean number of the positive cells in these fields was calculated to determine the degree of DC infiltration in this sample. The observation indices included the following: i) The infiltration of CD1a+DCs; ii) the infiltration of CD83+DCs; and iii) the ratio of CD83+/CD1a+DCs.

Double immunostaining

The 4-µm paraffin-embedded sections were subjected to the following treatments: Gradual alcohol dewaxing, rinsing with PBS, incubation in 3% H2O2 to block the endogenous peroxidase activity, PBS rinsing, antigen repair in in 0.01 M citrate buffer and further PBS rinsing. Sections were then incubated with primary antibodies against CD1a (cat. no. MA119314; rat anti-human monoclonal antibody; LAbVision, AB, Värmdö, Sweden; 1:50) and CD40 (cat. no. PA137334; rabbit anti-human monoclonal antibody Santa Cruz Biotechnology, Inc., Dallas, TX, USA; 1:50) at 37.5°C for 2 h and washed with PBS. Subsequently, sections were incubated with secondary anti-rat antibody IgG-fluorescein isothiocyanate (FITC; Seracare, Milford, MA, USA; 1:100) and secondary anti-rabbit IgG-phycoerithrin (PE; Santa Cruz Biotechnology, Inc.; 1:100) at 37.5°C for 30 min and mounted. Control tissues were treated as above with PBS in place of the antibodies. In addition, the esophageal cancer sample was used as the positive control.

Low-illumination fluorescence microscopy analysis

An Axioplan 2 imaging multi-function automatic fluorescence microscope, Axio Cam digital camera (magnification, 40×; resolution 3,900× 3,090 pixels) and a KS400 image analysis system (version 3.0) were used in the present study (all Zeiss AG, Oberkochen, Germany). The three-fluorescence-excitation light filter (Zeiss AG) was used to observe the cells. CD1a+cells exhibited yellow-green fluorescence and CD40+ cells exhibited red fluorescence. The area positive for double immunostaining per section was measured using the KS400 image analysis system and distribution density of double-positive cells was calculated.

Statistical analysis

SPSS10.0 (SPSS, Inc., Chicago, IL, USA) was used for data analysis. All data are expressed as the mean ± standard deviation and analyzed using Student's t-test. P<0.05 was considered to indicate a statistically significant difference.

Results

Light microscopy

The DCs exhibited irregular shapes with dendrites of varying lengths unevenly distributed in NP and nITM. Commonly concentrated and formed foci were observed and DCs were mainly distributed in T cell-concentrated areas. Many dendrites were in physical contact with the surrounding lymphocytes (Fig. 1).

Figure 1.

Dendritic cells distribute unevenly in the inferior turbanate mucosa tissue and more aggregate in T cell-concentrated regions Magnification, ×40.

Distribution density of CD1a+DCs and CD83+DCs

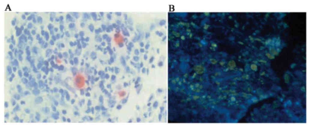
As presented in Fig. 2 and Table I, the distribution density [total number of CD1a+ cells in the unit area (mm2)] of CD1a+DCs in NP tissues was significantly higher compared with nITM tissues (39.8±3.5 and 11.1±4.9 cells/mm2, respectively). Similarly, the distribution density of CD83+ DCs in NP tissues were also significantly higher compared with nITM tissues (distribution density, 26.9±2.3 and 8.7±3.3 cells/mm2, respectively).

Figure 2.

CD1a is mainly expressed in the cytoplasm and cell membrane of DCs in NP. Magnification, ×40.

Table I.

Comparison of distribution density and ratio of CD1a+DCs and CD83+DCs between NP and nITM.

Table I.

Comparison of distribution density and ratio of CD1a+DCs and CD83+DCs between NP and nITM.

Distribution density of CD1a+ and CD83+DCs (cell/mm2)Ratio of CD83+ and CD1a+DCs


GroupnCD1a+DCsCD83+DCsCD83+/CD1a+DCs
C1011.1±4.98.7±3.30.78±0.67
E3039.8±3.5a26.9±2.3a 0.68±0.66a

a P<0.01 vs. group C. CD, cluster of differentiation; DC, dendritic cell; NP, nasal polyp; nITM, normal inferior turbinate mucosa; C, control group; E, experimental group.

Number of DCs

The results of the present study revealed that the ratio of CD83+DCs/CD1a+DCs in Group C was significantly higher compared with Group E (Fig. 3A, Table I). The number of CD83+DCs was significantly higher in nITM tissues compared with NP tissues.

Figure 3.

(A) CD83 is mainly expressed in the cell membrane of DCs in NP (×40). (B) CD1a/CD40 double-stained cells are more distributed in the submucous layer of NP Magnification, ×40.

Comparison of distribution area, number and density of CD1a/CD40DC

As presented in Fig. 3 and Table II, the total area of CD1a/CD40 double stained DCs in nITM tissues (285.2±169.6 µm2) was significantly lower than compared with NP tissues (3,417.3±755.1 µm2). Furthermore, the number and density of CD1a/CD40 double stained DCs in nITM tissues (42.9±33.5 and 566±389 cells/cm2, respectively) were significantly lower compared with NP tissues (692.3±247.1 and 7,327±2,429 cells/cm2, respectively).

Table II.

Comparison of distribution area, number and density of CD1a/CD40 DCs between NP and nITM.

Table II.

Comparison of distribution area, number and density of CD1a/CD40 DCs between NP and nITM.

GroupnTotal area (µm2)Total number (cells)Density (cells/cm2)
C10   285.2±169.642.9±33.5566±389
E303,417.3±755.1692.3±247.17,327±2,429
P-value <0.01<0.01<0.01

[i] CD, cluster of differentiation; DC, dendritic cell; NP, nasal polyp; nITM, normal inferior turbinate mucosa; C, control group; E, experimental group.

Discussion

CD1a is a marker of DCs and the double phenotypes of CD1a and CD40 used in the present study are specific DC markers. Furthermore, CD40+ staining indicates that DCs are in the mature phase and interacting with the T cells (11). The results of the present study indicate that the number of DCs in nITM tissue is significantly lower compared with NP tissues, which is consistent with previous reports (12) and suggests that DCs may serve an important role in the onset and development of NP. CD40+ staining suggests that DCs may be associated with the pathogenesis of NP, mainly via impacting the differentiation of T cells (13). In addition, the results of the present study revealed that CD83 was overexpressed in the DCs of nITM tissues compared with NP, which was consistent with previous studies (9,14). In addition, CD83 is a specific surface molecule expressed in mature DCs, suggesting that DCs in NP immature. Partially mature DCs express CD40, which then interacts with T cells and mediates the immune responses (15).

In the present study it was demonstrated that DCs are mainly distributed in the submucosal layer in NP tissues and DCs near the epithelium are relatively dense. DCs most likely infiltrate the lamina propria, explaining the gradual decrease from the outside to the inside (14). Such distribution characteristics of DCs may be due to the effect of chemotactic adhesion factor; Yoshimi et al (16) observed that DCs are mainly located in the squamous epithelium of NP and rarely distributed in the pseudo stratified ciliated columnar epithelium. Yoshimi et al considered that this may be due to the fact that keratinocytes are mainly constructed by the squamous epithelium and are able to secrete DC chemokines, including IL-1 and GM-CSF, to attract DCs onto NP tissues via chemotaxis. The submucosal lamina propria is the site in which DCs interact with Eosnophils (EOS) and T cells: DCs are mainly distributed in the submucosal lamina propria and EOS, T cells and other inflammatory cells mainly infiltrate the submucosal lamina propria of NP (17). It has also been reported that (the expression of Toll-like receptors (TRL-2/TRL-4) in NP are significantly enhanced and mainly expressed in the submucosa (18). DCs are able to upregulate TRLs (19). The present study, combined with these previous reports, suggests that DCs upregulate TRLs in NP to identify pathogen associated molecular patterns (PAMPs). Interactions of PAMPs with TLRs on DCs leads to the maturation of DCs via the NF-κB pathway during an immune response, which may result in the secretion of major histocompatibility complex class II, over-expression of costimulatory molecules and the secretion of proinflammatory cytokines (IL-1, TNF-α, IL-6, or IL-12). T cells may then become activated by these costimulatory molecules and cytokines, which further promotes the immune response (20).

The results of the present study show that the DCs in NP are significantly increased and are CD40-positive, suggesting that DCs may activate the expression of B7-1 (CD80) and B7-2 (CD86) by binding to T cells' CD40L; the B7 molecule expressed by DCs may then activate the T cells via the CD28/CTLA-4 pathway (21). This antigen presentation process is a two-way process, in which DC mediates the activation of T cells and receives an activation signal feedback from T cell to enter the so-called terminal mature stage, during which DCs highly express CD80/CD86 on their surface and lose their adhesiveness and phagocytosis (22). The interaction between DCs and T cells may lead to T cell maturation and cytokine secretion, which may induce a greater infiltration of DCs and T cells into NP tissues, resulting in the increased number of DCs and T cells observed in the present study, which further exacerbates NP.

Increase numbers of DCs and T cells in NP tissues produces several effects. The increase of DCs and T cells in NP is crucial to maintain the Th1/Th2 ratio in NP (23), with predominant expression of the Th2 cytokine. This may be achieved via various mechanisms: i) Jahnsen et al (24) demonstrated that an increase in the number of DC2 in the mucosa induces Th2, thus resulting in a significant increase in Th2 cells in NP and upregulation of the Th2 cytokines; ii) DC-induced maturation and differentiation of T cells may occur via connecting to surface molecules and secreting cytokines. DC-expressed CD86 is the costimulatory molecule that causes Th0 to differentiate into Th2. CD80 mainly induces the differentiation of Th1 (25), and DC is able to cause an imbalance of Th1/Th2 in NP by altering the CD80/CD86 ratio; iii) When T cells interact with DCs, they are able to induce DCs to secrete IL-12 via CD40/CD40L and IL-12 is the most important cytokine during Th0 differentiation into Th1 cells (26). However, IL-10 has been reported to be highly expressed in NP (27). Reider et al (28) also confirmed that IL-10 acting on DCs may cause defective IL-12 secretion, thus inhibiting the differentiation of T cells into Th1 cells while inducing their polarization toward Th2; iv) DCM is able to induce the production of IL-4 in DCs (29). IL-4 is the most important cytokine during Th0 cell differentiation into Th2 cells. IL-4 is increased in NP tissues, thus prompting the Th0 cells to differentiate toward the Th2 cells. The Th2 cells can also secrete IL-4 and this cycle can promote the dominance of Th2 in NP. In addition, IL-4 can promote the B cells to transform toward the plasma cells and secrete IgE (30); IgE overexpression is known to be one of the factors associated with NP onset and its increase is positively correlated with EOS infiltration (31).

The increased number of DCs and T cells in NP is also responsible for the overexpression of IL-5 in NP. It has been reported that DCs are able to induce T cells to secrete IL-5 (32). IL-5 is one of the most important cytokines and has been confirmed to be associated with the onset and development of NP (33). During the early stages of NP, Th2 cells are the main source of IL-5; however, as the disease progresses, EOS gradually replaces Th2 and becomes a direct source of IL-5 in NP (34). It has been reported that IL-5 is able to directly inhibit the differentiation and maturation of DCs (35). Therefore, DCs may promote the infiltration of EOS by inducing the IL-5 secretion pathway in T cells in NP. The infiltration of EOS may then inhibit the differentiation and maturation of DCs by secreting IL-5, thus keeping the DCs in an immature stage to promote the development of NP.

In summary, the present study demonstrated that the submucosal layer of NP has a large number of DCs, whereas the ratio of CD83+ DCs is relatively low in NP, indicating that more DCs are in non-mature stages. Partially mature DCs interact with T cells via the CD40/CD40L costimulatory factor, thus serving an important role in the development and progression of NP. This process may be regulated by the immune response signaling pathway. The results of the present study indicate that the interaction between DCs and T cells is associated with the pathogenesis of NP, which might further contribute to Th1/Th2 imbalance and cytokine secretion. However, there were a number of limitations in the present study, including the small sample size, which needs to be addressed.

Future studies should investigate the signaling pathways involved in the interaction between DC and T-cells in NP at the cytological and molecular levels. Closer attention should be paid to the interaction between DCs and T cells to develop targets for the prevention and treatment of NP, thus helping to improve our understanding of the pathogenesis of NP.

Acknowledgements

Not applicable.

Funding

The study was supported by the Medical Science Research Foundation of Guangdong Province (A2015080).

Availability of data and materials

The datasets used and/or analyzed during the current study are available from the corresponding author on reasonable request.

Authors' contributions

XL collected the samples; XZ performed immunohistochemistry and immunostaining; CL performed statistical analysis; XW planned the study and wrote the manuscript.

Ethics approval and consent to participate

The present study was conducted in accordance with the Declaration of Helsinki and was approved by the Ethics Committee of Shantou Central Hospital (Shantou, China). Written informed consent was obtained from all participants.

Consent for publication

Not applicable.

Competing interests

The authors declare that they have no competing interests.

References

1 

Collin M, McGovern N and Haniffa M: Human dendritic cell subsets. Immunology. 140:22–30. 2013. View Article : Google Scholar : PubMed/NCBI

2 

Banchereau J, Briere F, Caux C, Davoust J, Lebecque S, Liu YJ, Pulendran B and Palucka K: Immunobiology of dendritic cells. Annu Rev Immunol. 18:767–811. 2000. View Article : Google Scholar : PubMed/NCBI

3 

Xie ZX, Zhang HL, Wu XJ, Zhu J, Ma DH and Jin T: Role of the immunogenic and tolerogenic subsets of dendritic cells in multiple sclerosis. Mediators Inflamm. 2015:5132952015. View Article : Google Scholar : PubMed/NCBI

4 

Tanos V, Berry KE, Seikkula J, Raad Abi E, Stavroulis A, Sleiman Z, Campo R and Gordts S: The management of polyps in female reproductive organs. Int J Surg. 43:7–16. 2017. View Article : Google Scholar : PubMed/NCBI

5 

Hulse KE, Stevens WW, Tan BK and Schleimer RP: Pathogenesis of nasal polyposis. Clin Exp Allergy. 45:328–346. 2015. View Article : Google Scholar : PubMed/NCBI

6 

Varricchi G, Bagnasco D, Borriello F, Heffler E and Canonica GW: Interleukin-5 pathway inhibition in the treatment of eosinophilic respiratory disorders: Evidence and unmet needs. Curr Opin Allergy Clin Immunol. 16:186–200. 2016. View Article : Google Scholar : PubMed/NCBI

7 

Kim DW, Eun KM, Jin HR, Cho SH and Kim DK: Prolonged allergen exposure is associated with increased thymic stromal lymphopoietin expression and Th2-skewing in mouse models of chronic rhinosinusitis. Laryngoscope. 126:E265–E272. 2016. View Article : Google Scholar : PubMed/NCBI

8 

Cheng KJ, Zhou ML, Xu YY and Zhou SH: The role of local allergy in the nasal inflammation. Eur Arch Otorhinolaryngol. 274:3275–3281. 2017. View Article : Google Scholar : PubMed/NCBI

9 

Lin XS, Luo XY, Wang HG, Li CW, Lin X and Yan C: Expression and distribution of dendritic cells in nasal polyps. Exp Ther Med. 5:1476–1480. 2013. View Article : Google Scholar : PubMed/NCBI

10 

Yang WF and Wang SZ: Expression of CD1a, CD80, CD86 in dendritic cell of tumor tissue and regional lymph node in esophageal carcinoma. Ai Zheng. 23:189–192. 2004.(In Chinese). PubMed/NCBI

11 

Tay NQ, Lee DCP, Chua YL, Prabhu N, Gascoigne NRJ and Kemeny DM: CD40L expression allows CD8+ T cells to promote their own expansion and differentiation through dendritic cells. Front Immunol. 8:14842017. View Article : Google Scholar : PubMed/NCBI

12 

Till SJ, Jacobson MR, O'Brien F, Durham SR, KleinJan A, Fokkens WJ, Juliusson S and Löwhagen O: Recruitment of CD1a+ Langerhans cells to the nasal mucosa in seasonal allergic rhinitis and effects of topical corticosteroid therapy. Allergy. 56:126–131. 2001. View Article : Google Scholar : PubMed/NCBI

13 

Elizondo D, Andargie T, Kubhar D, Gugssa A and Lipscomb M: CD40-CD40L cross-talk drives fascin expression in dendritic cells for efficient antigen presentation to CD4+ T cells. Int Immunol. 29:121–131. 2017. View Article : Google Scholar : PubMed/NCBI

14 

Liang Z, Yang T, Xu W, Huang Y, Jiang L, Yin Z and Qin G: The role of dendritic cells in immune regulation of nasal polyps. Histol Histopathol. 32:87–97. 2017.PubMed/NCBI

15 

Ju X, Silveira PA, Hsu WH, Elgundi Z, Alingcastre R, Verma ND, Fromm PD, Hsu JL, Bryant C, Li Z, et al: The analysis of CD83 expression on human immune cells identifies a unique CD83+-activated t cell population. J Immunol. 197:4613–4625. 2016. View Article : Google Scholar : PubMed/NCBI

16 

Yoshimi R, Takamura H, Takasaki K and Kumagami H: Immunohistologic study of the nasal mucosa with reference to Langerhans cells. Nihon Jibiinkoka Gakkai Kaiho. 96:1252–1257. 1993.(In Japanese). View Article : Google Scholar : PubMed/NCBI

17 

van Rijt LS, Kuipers H, Vos N, Hijdra D, Hoogsteden HC and Lambrecht BN: A rapid flow cytometric method for determining the cellular composition of bronchoalveolar lavage fluid cells in mouse models of asthma. J Immunol Methods. 288:111–121. 2004. View Article : Google Scholar : PubMed/NCBI

18 

Mulligan JK, White DR, Wang EW, Sansoni SR, Moses H, Yawn RJ, Wagner C, Casey SE, Mulligan RM and Schlosser RJ: Vitamin D3 deficiency increases sinus mucosa dendritic cells in pediatric chronic rhinosinusitis with nasal polyps. Otolaryngol Head Neck Surg. 147:773–781. 2012. View Article : Google Scholar : PubMed/NCBI

19 

Berzi A, Varga N, Sattin S, Antonazzo P, Biasin M, Cetin I, Trabattoni D, Bernardi A and Clerici M: Pseudo-mannosylated DC-SIGN ligands as potential adjuvants for HIV vaccines. Viruses. 6:391–403. 2014. View Article : Google Scholar : PubMed/NCBI

20 

Raymond CR and Wilkie BN: Toll-like receptor, MHC II, B7 and cytokine expression by porcine monocytes and monocyte-derived dendritic cells in response to microbial pathogen-associated molecular patterns. Vet Immunol Immunopathol. 107:235–247. 2005. View Article : Google Scholar : PubMed/NCBI

21 

Grewal IS, Foellmer HG, Grewal KD, Xu J, Hardardottir F, Baron JL, Janeway CA Jr and Flavell RA: Requirement for CD40 ligand in costimulation induction, T cell activation, and experimental allergic encephalomyelitis. Science. 273:1864–1867. 1996. View Article : Google Scholar : PubMed/NCBI

22 

Kitajima T, Caceres-Dittmar G, Tapia FJ, Jester J, Bergstresser PR and Takashima A: T cell-mediated terminal maturation of dendritic cells: Loss of adhesive and phagocytotic capacities. J Immunol. 157:2340–2347. 1996.PubMed/NCBI

23 

Mulligan JK, Mulligan RM, Atkinson C and Schlosser RJ: Human sinonasal epithelial cells direct dendritic function and T-cell T helper 1/T helper 2 skewing following Aspergillus exposure. Int Forum Allergy Rhinol. 1:268–274. 2011. View Article : Google Scholar : PubMed/NCBI

24 

Jahnsen FL, Lund-Johansen F, Dunne JF, Farkas L, Haye R and Brandtzaeg P: Experimentally induced recruitment of plasmacytoid (CD123high) dendritic cells in human nasal allergy. J Immunol. 165:4062–4068. 2000. View Article : Google Scholar : PubMed/NCBI

25 

Kuchroo VK, Das MP, Brown JA, Ranger AM, Zamvil SS, Sobel RA, Weiner HL, Nabavi N and Glimcher LH: B7-1 and B7-2 costimulatory molecules activate differentially the Th1/Th2 developmental pathways: Application to autoimmune disease therapy. Cell. 80:707–718. 1995. View Article : Google Scholar : PubMed/NCBI

26 

Kelsall BL, Stüber E, Neurath M and Strober W: Interleukin-12 production by dendritic cells. The role of CD40-CD40L interactions in Th1 T-cell responses. Ann N Y Acad Sci. 795:116–126. 1996. View Article : Google Scholar : PubMed/NCBI

27 

Faith A, Singh N, Farooque S, Dimeloe S, Richards DF, Lu H, Roberts D, Chevretton E, Lee TH, Corrigan CJ and Hawrylowicz CM: T cells producing the anti-inflammatory cytokine IL-10 regulate allergen-specific Th2 responses in human airways. Allergy. 67:1007–1013. 2012. View Article : Google Scholar : PubMed/NCBI

28 

Reider N, Reider D, Ebner S, Holzmann S, Herold M, Fritsch P and Romani N: Dendritic cells contribute to the development of atopy by an insufficiency in IL-12 production. J Allergy Clin Immunol. 109:89–95. 2002. View Article : Google Scholar : PubMed/NCBI

29 

Redecke V, Häcker H, Datta SK, Fermin A, Pitha PM, Broide DH and Raz E: Cutting edge: Activation of Toll-like receptor 2 induces a Th2 immune response and promotes experimental asthma. J Immunol. 172:2739–2743. 2004. View Article : Google Scholar : PubMed/NCBI

30 

Sánchez-Segura A, Brieva JA and Rodríguez C: T lymphocytes that infiltrate nasal polyps have a specialized phenotype and produce a mixed TH1/TH2 pattern of cytokines. J Allergy Clin Immunol. 102:953–960. 1998. View Article : Google Scholar : PubMed/NCBI

31 

Sokolovska A, Hem SL and HogenEsch H: Activation of dendritic cells and induction of CD4(+) T cell differentiation by aluminum-containing adjuvants. Vaccine. 25:4575–4585. 2007. View Article : Google Scholar : PubMed/NCBI

32 

Rissoan MC, Soumelis V, Kadowaki N, Grouard G, Briere F, de Waal Malefyt R and Liu YJ: Reciprocal control of T helper cell and dendritic cell differentiation. Science. 283:1183–1186. 1999. View Article : Google Scholar : PubMed/NCBI

33 

Sun C, Ouyang H and Luo R: Distinct characteristics of nasal polyps with and without eosinophilia. Braz J Otorhinolaryngol. 83:66–72. 2017. View Article : Google Scholar : PubMed/NCBI

34 

Dhariwal J, Cameron A, Trujillo-Torralbo MB, Del Rosario A, Bakhsoliani E, Paulsen M, Jackson DJ, Edwards MR, Rana BMJ, Cousins DJ, et al: Mucosal type 2 innate Lymphoid cells are a key component of the allergic response to aeroallergens. Am J Respir Crit Care Med. 195:1586–1596. 2017. View Article : Google Scholar : PubMed/NCBI

35 

Yi H, Zhang L, Zhen Y, He X and Zhao Y: Dendritic cells induced in the presence of GM-CSF and IL-5. Cytokine. 37:35–43. 2007. View Article : Google Scholar : PubMed/NCBI

Related Articles

  • Abstract
  • View
  • Download
  • Twitter
Copy and paste a formatted citation
Spandidos Publications style
Lin X, Zhuang X, Li C and Wang X: Interactions between dendritic cells and T lymphocytes in pathogenesis of nasal polyps. Exp Ther Med 15: 5167-5172, 2018.
APA
Lin, X., Zhuang, X., Li, C., & Wang, X. (2018). Interactions between dendritic cells and T lymphocytes in pathogenesis of nasal polyps. Experimental and Therapeutic Medicine, 15, 5167-5172. https://doi.org/10.3892/etm.2018.6128
MLA
Lin, X., Zhuang, X., Li, C., Wang, X."Interactions between dendritic cells and T lymphocytes in pathogenesis of nasal polyps". Experimental and Therapeutic Medicine 15.6 (2018): 5167-5172.
Chicago
Lin, X., Zhuang, X., Li, C., Wang, X."Interactions between dendritic cells and T lymphocytes in pathogenesis of nasal polyps". Experimental and Therapeutic Medicine 15, no. 6 (2018): 5167-5172. https://doi.org/10.3892/etm.2018.6128
Copy and paste a formatted citation
x
Spandidos Publications style
Lin X, Zhuang X, Li C and Wang X: Interactions between dendritic cells and T lymphocytes in pathogenesis of nasal polyps. Exp Ther Med 15: 5167-5172, 2018.
APA
Lin, X., Zhuang, X., Li, C., & Wang, X. (2018). Interactions between dendritic cells and T lymphocytes in pathogenesis of nasal polyps. Experimental and Therapeutic Medicine, 15, 5167-5172. https://doi.org/10.3892/etm.2018.6128
MLA
Lin, X., Zhuang, X., Li, C., Wang, X."Interactions between dendritic cells and T lymphocytes in pathogenesis of nasal polyps". Experimental and Therapeutic Medicine 15.6 (2018): 5167-5172.
Chicago
Lin, X., Zhuang, X., Li, C., Wang, X."Interactions between dendritic cells and T lymphocytes in pathogenesis of nasal polyps". Experimental and Therapeutic Medicine 15, no. 6 (2018): 5167-5172. https://doi.org/10.3892/etm.2018.6128
Follow us
  • Twitter
  • LinkedIn
  • Facebook
About
  • Spandidos Publications
  • Careers
  • Cookie Policy
  • Privacy Policy
How can we help?
  • Help
  • Live Chat
  • Contact
  • Email to our Support Team