Spandidos Publications Logo
  • About
    • About Spandidos
    • Aims and Scopes
    • Abstracting and Indexing
    • Editorial Policies
    • Reprints and Permissions
    • Job Opportunities
    • Terms and Conditions
    • Contact
  • Journals
    • All Journals
    • Oncology Letters
      • Oncology Letters
      • Information for Authors
      • Editorial Policies
      • Editorial Board
      • Aims and Scope
      • Abstracting and Indexing
      • Bibliographic Information
      • Archive
    • International Journal of Oncology
      • International Journal of Oncology
      • Information for Authors
      • Editorial Policies
      • Editorial Board
      • Aims and Scope
      • Abstracting and Indexing
      • Bibliographic Information
      • Archive
    • Molecular and Clinical Oncology
      • Molecular and Clinical Oncology
      • Information for Authors
      • Editorial Policies
      • Editorial Board
      • Aims and Scope
      • Abstracting and Indexing
      • Bibliographic Information
      • Archive
    • Experimental and Therapeutic Medicine
      • Experimental and Therapeutic Medicine
      • Information for Authors
      • Editorial Policies
      • Editorial Board
      • Aims and Scope
      • Abstracting and Indexing
      • Bibliographic Information
      • Archive
    • International Journal of Molecular Medicine
      • International Journal of Molecular Medicine
      • Information for Authors
      • Editorial Policies
      • Editorial Board
      • Aims and Scope
      • Abstracting and Indexing
      • Bibliographic Information
      • Archive
    • Biomedical Reports
      • Biomedical Reports
      • Information for Authors
      • Editorial Policies
      • Editorial Board
      • Aims and Scope
      • Abstracting and Indexing
      • Bibliographic Information
      • Archive
    • Oncology Reports
      • Oncology Reports
      • Information for Authors
      • Editorial Policies
      • Editorial Board
      • Aims and Scope
      • Abstracting and Indexing
      • Bibliographic Information
      • Archive
    • Molecular Medicine Reports
      • Molecular Medicine Reports
      • Information for Authors
      • Editorial Policies
      • Editorial Board
      • Aims and Scope
      • Abstracting and Indexing
      • Bibliographic Information
      • Archive
    • World Academy of Sciences Journal
      • World Academy of Sciences Journal
      • Information for Authors
      • Editorial Policies
      • Editorial Board
      • Aims and Scope
      • Abstracting and Indexing
      • Bibliographic Information
      • Archive
    • International Journal of Functional Nutrition
      • International Journal of Functional Nutrition
      • Information for Authors
      • Editorial Policies
      • Editorial Board
      • Aims and Scope
      • Abstracting and Indexing
      • Bibliographic Information
      • Archive
    • International Journal of Epigenetics
      • International Journal of Epigenetics
      • Information for Authors
      • Editorial Policies
      • Editorial Board
      • Aims and Scope
      • Abstracting and Indexing
      • Bibliographic Information
      • Archive
    • Medicine International
      • Medicine International
      • Information for Authors
      • Editorial Policies
      • Editorial Board
      • Aims and Scope
      • Abstracting and Indexing
      • Bibliographic Information
      • Archive
  • Articles
  • Information
    • Information for Authors
    • Information for Reviewers
    • Information for Librarians
    • Information for Advertisers
    • Conferences
  • Language Editing
Spandidos Publications Logo
  • About
    • About Spandidos
    • Aims and Scopes
    • Abstracting and Indexing
    • Editorial Policies
    • Reprints and Permissions
    • Job Opportunities
    • Terms and Conditions
    • Contact
  • Journals
    • All Journals
    • Biomedical Reports
      • Information for Authors
      • Editorial Policies
      • Editorial Board
      • Aims and Scope
      • Abstracting and Indexing
      • Bibliographic Information
      • Archive
    • Experimental and Therapeutic Medicine
      • Information for Authors
      • Editorial Policies
      • Editorial Board
      • Aims and Scope
      • Abstracting and Indexing
      • Bibliographic Information
      • Archive
    • International Journal of Epigenetics
      • Information for Authors
      • Editorial Policies
      • Editorial Board
      • Aims and Scope
      • Abstracting and Indexing
      • Bibliographic Information
      • Archive
    • International Journal of Functional Nutrition
      • Information for Authors
      • Editorial Policies
      • Editorial Board
      • Aims and Scope
      • Abstracting and Indexing
      • Bibliographic Information
      • Archive
    • International Journal of Molecular Medicine
      • Information for Authors
      • Editorial Policies
      • Editorial Board
      • Aims and Scope
      • Abstracting and Indexing
      • Bibliographic Information
      • Archive
    • International Journal of Oncology
      • Information for Authors
      • Editorial Policies
      • Editorial Board
      • Aims and Scope
      • Abstracting and Indexing
      • Bibliographic Information
      • Archive
    • Medicine International
      • Information for Authors
      • Editorial Policies
      • Editorial Board
      • Aims and Scope
      • Abstracting and Indexing
      • Bibliographic Information
      • Archive
    • Molecular and Clinical Oncology
      • Information for Authors
      • Editorial Policies
      • Editorial Board
      • Aims and Scope
      • Abstracting and Indexing
      • Bibliographic Information
      • Archive
    • Molecular Medicine Reports
      • Information for Authors
      • Editorial Policies
      • Editorial Board
      • Aims and Scope
      • Abstracting and Indexing
      • Bibliographic Information
      • Archive
    • Oncology Letters
      • Information for Authors
      • Editorial Policies
      • Editorial Board
      • Aims and Scope
      • Abstracting and Indexing
      • Bibliographic Information
      • Archive
    • Oncology Reports
      • Information for Authors
      • Editorial Policies
      • Editorial Board
      • Aims and Scope
      • Abstracting and Indexing
      • Bibliographic Information
      • Archive
    • World Academy of Sciences Journal
      • Information for Authors
      • Editorial Policies
      • Editorial Board
      • Aims and Scope
      • Abstracting and Indexing
      • Bibliographic Information
      • Archive
  • Articles
  • Information
    • For Authors
    • For Reviewers
    • For Librarians
    • For Advertisers
    • Conferences
  • Language Editing
Login Register Submit
  • This site uses cookies
  • You can change your cookie settings at any time by following the instructions in our Cookie Policy. To find out more, you may read our Privacy Policy.

    I agree
Search articles by DOI, keyword, author or affiliation
Search
Advanced Search
presentation
Experimental and Therapeutic Medicine
Join Editorial Board Propose a Special Issue
Print ISSN: 1792-0981 Online ISSN: 1792-1015
Journal Cover
July-2018 Volume 16 Issue 1

Full Size Image

Sign up for eToc alerts
Recommend to Library

Journals

International Journal of Molecular Medicine

International Journal of Molecular Medicine

International Journal of Molecular Medicine is an international journal devoted to molecular mechanisms of human disease.

International Journal of Oncology

International Journal of Oncology

International Journal of Oncology is an international journal devoted to oncology research and cancer treatment.

Molecular Medicine Reports

Molecular Medicine Reports

Covers molecular medicine topics such as pharmacology, pathology, genetics, neuroscience, infectious diseases, molecular cardiology, and molecular surgery.

Oncology Reports

Oncology Reports

Oncology Reports is an international journal devoted to fundamental and applied research in Oncology.

Experimental and Therapeutic Medicine

Experimental and Therapeutic Medicine

Experimental and Therapeutic Medicine is an international journal devoted to laboratory and clinical medicine.

Oncology Letters

Oncology Letters

Oncology Letters is an international journal devoted to Experimental and Clinical Oncology.

Biomedical Reports

Biomedical Reports

Explores a wide range of biological and medical fields, including pharmacology, genetics, microbiology, neuroscience, and molecular cardiology.

Molecular and Clinical Oncology

Molecular and Clinical Oncology

International journal addressing all aspects of oncology research, from tumorigenesis and oncogenes to chemotherapy and metastasis.

World Academy of Sciences Journal

World Academy of Sciences Journal

Multidisciplinary open-access journal spanning biochemistry, genetics, neuroscience, environmental health, and synthetic biology.

International Journal of Functional Nutrition

International Journal of Functional Nutrition

Open-access journal combining biochemistry, pharmacology, immunology, and genetics to advance health through functional nutrition.

International Journal of Epigenetics

International Journal of Epigenetics

Publishes open-access research on using epigenetics to advance understanding and treatment of human disease.

Medicine International

Medicine International

An International Open Access Journal Devoted to General Medicine.

Journal Cover
July-2018 Volume 16 Issue 1

Full Size Image

Sign up for eToc alerts
Recommend to Library

  • Article
  • Citations
    • Cite This Article
    • Download Citation
    • Create Citation Alert
    • Remove Citation Alert
    • Cited By
  • Similar Articles
    • Related Articles (in Spandidos Publications)
    • Similar Articles (Google Scholar)
    • Similar Articles (PubMed)
  • Download PDF
  • Download XML
  • View XML
Article Open Access

Establishment of a novel rat model of blast‑related diffuse axonal injury

  • Authors:
    • Jun‑Hai Zhang
    • Jian‑Wen Gu
    • Bing‑Cang Li
    • Fa‑Bao Gao
    • Xiao‑Ming Liao
    • Shao‑Jie Cui
  • View Affiliations / Copyright

    Affiliations: Department of Neurosurgery, The 306th Hospital of the People's Liberation Army, Beijing 100101, P.R. China, Research Institute of Surgery, State Key Laboratory of Trauma, Burns and Combined Injury, Third Military Medical University, Chongqing 400042, P.R. China, Department of Radiology and Molecular Imaging Center, West China Hospital, Sichuan University, Chengdu, Sichuan 610041, P.R. China, The Professional Laboratory, College of Materials Science and Engineering, Sichuan University, Chengdu, Sichuan 610065, P.R. China
    Copyright: © Zhang et al. This is an open access article distributed under the terms of Creative Commons Attribution License.
  • Pages: 93-102
    |
    Published online on: May 10, 2018
       https://doi.org/10.3892/etm.2018.6146
  • Expand metrics +
Metrics: Total Views: 0 (Spandidos Publications: | PMC Statistics: )
Metrics: Total PDF Downloads: 0 (Spandidos Publications: | PMC Statistics: )
Cited By (CrossRef): 0 citations Loading Articles...

This article is mentioned in:



Abstract

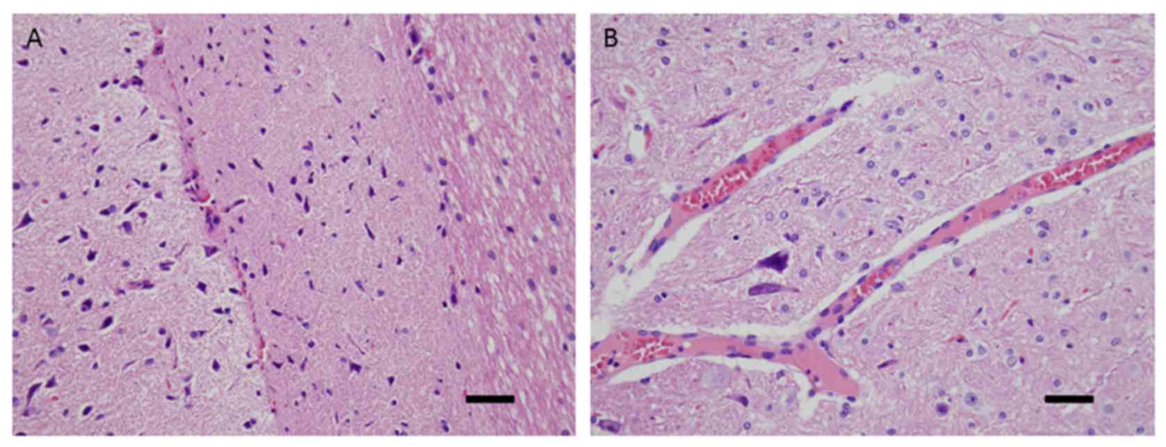
Although studies concerning blast‑related traumatic brain injury (bTBI) have demonstrated the significance of diffuse axonal injury (DAI), no standard models for this type of injury have been widely accepted. The present study investigated a mechanism of inducing DAI through real blast injury, which was achieved by performing instantaneous high‑speed swinging of the rat head, thus establishing a stable animal model of blast DAI. Adult Sprague‑Dawley rats weighing 150±10 g were randomly divided into experimental (n=16), control (n=10) and sham control (n=6) groups. The frontal, parietal and occipital cortex of the rats in the experimental group were exposed, whereas those of the control group were unexposed; the sham control group rats were anesthetized and attached to the craniocerebral blast device without experiencing a blast. The rats were subjected to craniocerebral blast injury through a blast equivalent to 400 mg of trinitrotoluene using an electric detonator. Biomechanical parameters, and physical and behavioural changes of the sagittal head swing were measured using a high‑speed camera. Magnetic resonance imaging (MRI) scans were conducted at 2, 12, 24 and 48 h after craniocerebral injury, only the experimental group indicated brain stem injury. The rats were sacrificed immediately following the MRI at 48 h for pathological examination of the brain stem using haematoxylin and eosin staining. The results indicated that 14 rats (87.5%) in the experimental group exhibited blast DAI, while no DAI was observed in the control and sham control groups, and the difference between the groups was significant (P<0.05). The present results indicated that this experimental design may serve to provide a stable model of blast DAI in rats.
View Figures

Figure 1

Figure 2

Figure 3

Figure 4

Figure 5

Figure 6

View References

1 

Benzinger TL, Brody D, Cardin S, Curley KC, Mintun MA, Mun SK, Wong KH and Wrathall JR: Blast-related brain injury: Imaging for clinical and research applications: Report of the 2008 st. Louis workshop. J Neurotrauma. 26:2127–2144. 2009. View Article : Google Scholar : PubMed/NCBI

2 

Zhao Y and Wang ZG: Blast-induced traumatic brain injury: A new trend of blast injury research. Chin J Traumatol. 18:201–203. 2015. View Article : Google Scholar : PubMed/NCBI

3 

Heinzelmann M, Reddy SY, French LM, Wang D, Lee H, Barr T, Baxter T, Mysliwiec V and Gill J: Military personnel with chronic symptoms following blast traumatic brain injury have differential expression of neuronal recovery and epidermal growth factor receptor genes. Front Neurol. 5:1982014. View Article : Google Scholar : PubMed/NCBI

4 

Valiyaveettil M, Alamneh YA, Miller SA, Hammamieh R, Arun P, Wang Y, Wei Y, Oguntayo S, Long JB and Nambiar MP: Modulation of cholinergic pathways and inflammatory mediators in blast-induced traumatic brain injury. Chem Biol Interact. 203:371–375. 2013. View Article : Google Scholar : PubMed/NCBI

5 

Courtney A and Courtney M: The complexity of biomechanics causing primary blast-induced traumatic brain injury: A review of potential mechanisms. Front Neurol. 6:2212015. View Article : Google Scholar : PubMed/NCBI

6 

Edwards MJ, Lustik M, Carlson T, Tabak B, Farmer D, Edwards K and Eichelberger M: Surgical interventions for pediatric blast injury: An analysis from Afghanistan and Iraq 2002 to 2010. J Trauma Acute Care Surg. 76:854–858. 2014. View Article : Google Scholar : PubMed/NCBI

7 

Chen YC, Smith DH and Meaney DF: In-vitro approaches for studying blast-induced traumatic brain injury. J Neurotrauma. 26:861–876. 2009. View Article : Google Scholar : PubMed/NCBI

8 

Wang Y, Wei Y, Oguntayo S, Wilkins W, Arun P, Valiyaveettil M, Song J, Long JB and Nambiar MP: Tightly coupled repetitive blast-induced traumatic brain injury: Development and characterization in mice. J Neurotrauma. 28:2171–2183. 2011. View Article : Google Scholar : PubMed/NCBI

9 

Svetlov SI, Prima V, Kirk DR, Gutierrez H, Curley KC, Hayes RL and Wang KK: Morphologic and biochemical characterization of brain injury in a model of controlled blast overpressure exposure. J Trauma. 69:795–804. 2010. View Article : Google Scholar : PubMed/NCBI

10 

Ling G, Bandak F, Armonda R, Grant G and Ecklund J: Explosive blast neurotrauma. J Neurotrauma. 26:815–825. 2009. View Article : Google Scholar : PubMed/NCBI

11 

Risling M, Plantman S, Angeria M, Rostami E, Bellander BM, Kirkegaard M, Arborelius U and Davidsson J: Mechanisms of blast induced brain injuries, experimental studies in rats. Neuroimage. 54 Suppl 1:S89–S97. 2011. View Article : Google Scholar : PubMed/NCBI

12 

Bell MK: Standardized model is needed to study the neurological effects of primary blast wave exposure. Mil Med. 173:v–viii. 2008.PubMed/NCBI

13 

Zhao Y, Zhao Y, Zhang M, Zhao J, Ma X, Huang T, Pang H, Li J and Song J: Inhibition of TLR4 signalling-induced inflammation attenuates secondary injury after diffuse axonal injury in rats. Mediators Inflamm. 2016:47069152016. View Article : Google Scholar : PubMed/NCBI

14 

Gennarelli TA, Thibault LE, Tipperman R, Tomei G, Sergot R, Brown M, Maxwell WL, Graham DI, Adams JH, Irvine A, et al: Axonal injury in the optic nerve: A model simulating diffuse axonal injury in the brain. J Neurosurg. 71:244–253. 1989. View Article : Google Scholar : PubMed/NCBI

15 

Dixon CE, Lyeth BG, Povlishock JT, Findling RL, Hamm RJ, Marmarou A, Young HF and Hayes RL: A fluid percussion model of experimental brain injury in the rat. J Neurosurg. 67:110–119. 1987. View Article : Google Scholar : PubMed/NCBI

16 

Marmarou A, Foda MA, van den Brink W, Campbell J, Kita H and Demetriadou K: A new model of diffuse brain injury in rats. Part I: Pathophysiology and biomechanics. J Neurosurg. 80:291–300. 1994. View Article : Google Scholar : PubMed/NCBI

17 

Wang HC, Duan ZX, Wu FF, Xie L, Zhang H and Ma YB: A new rat model for diffuse axonal injury using a combination of linear acceleration and angular acceleration. J Neurotrauma. 27:707–719. 2010. View Article : Google Scholar : PubMed/NCBI

18 

Nishimoto T and Murakami S: Relation between diffuse axonal injury and internal head structures on blunt impact. J Biomech Eng. 120:140–147. 1998. View Article : Google Scholar : PubMed/NCBI

19 

Garman RH, Jenkins LW, Switzer RC III, Bauman RA, Tong LC, Swauger PV, Parks SA, Ritzel DV, Dixon CE, Clark RS, et al: Blast exposure in rats with body shielding is characterized primarily by diffuse axonal injury. J Neurotrauma. 28:947–959. 2011. View Article : Google Scholar : PubMed/NCBI

20 

Säljö A, Bao F, Haglid KG and Hansson HA: Blast exposure causes redistribution of phosphorylated neurofilament subunits in neurons of the adult rat brain. J Neurotrauma. 17:719–726. 2000. View Article : Google Scholar : PubMed/NCBI

21 

Xiao-Sheng H, Sheng-Yu Y, Xiang Z, Zhou F and Jian-ning Z: Diffuse axonal injury due to lateral head rotation in a rat model. J Neurosurg. 93:626–633. 2000. View Article : Google Scholar : PubMed/NCBI

22 

Cheng J, Gu J, Ma Y, Yang T, Kuang Y, Li B and Kang J: Development of a rat model for studying blast-induced traumatic brain injury. J Neurol Sci. 294:23–28. 2010. View Article : Google Scholar : PubMed/NCBI

23 

Elder GA, Sosa Gama MA, De Gasperi R, Stone JR, Dickstein DL, Haghighi F, Hof PR and Ahlers ST: Vascular and inflammatory factors in the pathophysiology of blast-induced brain injury. Front Neurol. 6:482015. View Article : Google Scholar : PubMed/NCBI

24 

Huo J, Liu J, Wang J, Zhang Y, Wang C, Yang Y, Sun W and Xu S: Early hyperbaric oxygen therapy inhibits aquaporin 4 and adrenocorticotropic hormone expression in the pituitary gland of rabbits with blast-induced craniocerebral injury. Neural Regen Res. 7:1729–1735. 2012.PubMed/NCBI

25 

Gennarelli TA, Thibault LE, Adams JH, Graham DI, Thompson CJ and Marcincin RP: Diffuse axonal injury and traumatic coma in the primate. Ann Neurol. 12:564–574. 1982. View Article : Google Scholar : PubMed/NCBI

26 

Meythaler JM, Peduzzi JD, Eleftheriou E and Novack TA: Current concepts: Diffuse axonal injury-associated traumatic brain injury. Arch Phys Med Rehabil. 82:1461–1471. 2001. View Article : Google Scholar : PubMed/NCBI

27 

Hill CS, Coleman MP and Menon DK: Traumatic axonal injury: Mechanisms and translational opportunities. Trends Neurosci. 39:311–324. 2016. View Article : Google Scholar : PubMed/NCBI

28 

Siedler DG, Chuah MI, Kirkcaldie MT, Vickers JC and King AE: Diffuse axonal injury in brain trauma: Insights from alterations in neurofilaments. Front Cell Neurosci. 8:4292014. View Article : Google Scholar : PubMed/NCBI

29 

Fijalkowski RJ, Stemper BD, Pintar FA, Yoganandan N, Crowe MJ and Gennarelli TA: New rat model for diffuse brain injury using coronal plane angular acceleration. J Neurotrauma. 24:1387–1398. 2007. View Article : Google Scholar : PubMed/NCBI

30 

Ma J, Zhang K, Wang Z and Chen G: Progress of research on diffuse axonal injury after traumatic brain injury. Neural Plast. 2016:97463132016. View Article : Google Scholar : PubMed/NCBI

31 

Margulies SS, Thibault LE and Gennarelli TA: Physical model simulations of brain injury in the primate. J Biomech. 23:823–836. 1990. View Article : Google Scholar : PubMed/NCBI

32 

Maxwell WL, Watt C, Graham DI and Gennarelli TA: Ultrastructural evidence of axonal shearing as a result of lateral acceleration of the head in non-human primates. Acta Neuropathol. 86:136–144. 1993. View Article : Google Scholar : PubMed/NCBI

Related Articles

  • Abstract
  • View
  • Download
  • Twitter
Copy and paste a formatted citation
Spandidos Publications style
Zhang JH, Gu JW, Li BC, Gao FB, Liao XM and Cui SJ: Establishment of a novel rat model of blast‑related diffuse axonal injury. Exp Ther Med 16: 93-102, 2018.
APA
Zhang, J., Gu, J., Li, B., Gao, F., Liao, X., & Cui, S. (2018). Establishment of a novel rat model of blast‑related diffuse axonal injury. Experimental and Therapeutic Medicine, 16, 93-102. https://doi.org/10.3892/etm.2018.6146
MLA
Zhang, J., Gu, J., Li, B., Gao, F., Liao, X., Cui, S."Establishment of a novel rat model of blast‑related diffuse axonal injury". Experimental and Therapeutic Medicine 16.1 (2018): 93-102.
Chicago
Zhang, J., Gu, J., Li, B., Gao, F., Liao, X., Cui, S."Establishment of a novel rat model of blast‑related diffuse axonal injury". Experimental and Therapeutic Medicine 16, no. 1 (2018): 93-102. https://doi.org/10.3892/etm.2018.6146
Copy and paste a formatted citation
x
Spandidos Publications style
Zhang JH, Gu JW, Li BC, Gao FB, Liao XM and Cui SJ: Establishment of a novel rat model of blast‑related diffuse axonal injury. Exp Ther Med 16: 93-102, 2018.
APA
Zhang, J., Gu, J., Li, B., Gao, F., Liao, X., & Cui, S. (2018). Establishment of a novel rat model of blast‑related diffuse axonal injury. Experimental and Therapeutic Medicine, 16, 93-102. https://doi.org/10.3892/etm.2018.6146
MLA
Zhang, J., Gu, J., Li, B., Gao, F., Liao, X., Cui, S."Establishment of a novel rat model of blast‑related diffuse axonal injury". Experimental and Therapeutic Medicine 16.1 (2018): 93-102.
Chicago
Zhang, J., Gu, J., Li, B., Gao, F., Liao, X., Cui, S."Establishment of a novel rat model of blast‑related diffuse axonal injury". Experimental and Therapeutic Medicine 16, no. 1 (2018): 93-102. https://doi.org/10.3892/etm.2018.6146
Follow us
  • Twitter
  • LinkedIn
  • Facebook
About
  • Spandidos Publications
  • Careers
  • Cookie Policy
  • Privacy Policy
How can we help?
  • Help
  • Live Chat
  • Contact
  • Email to our Support Team