Spandidos Publications Logo
  • About
    • About Spandidos
    • Aims and Scopes
    • Abstracting and Indexing
    • Editorial Policies
    • Reprints and Permissions
    • Job Opportunities
    • Terms and Conditions
    • Contact
  • Journals
    • All Journals
    • Oncology Letters
      • Oncology Letters
      • Information for Authors
      • Editorial Policies
      • Editorial Board
      • Aims and Scope
      • Abstracting and Indexing
      • Bibliographic Information
      • Archive
    • International Journal of Oncology
      • International Journal of Oncology
      • Information for Authors
      • Editorial Policies
      • Editorial Board
      • Aims and Scope
      • Abstracting and Indexing
      • Bibliographic Information
      • Archive
    • Molecular and Clinical Oncology
      • Molecular and Clinical Oncology
      • Information for Authors
      • Editorial Policies
      • Editorial Board
      • Aims and Scope
      • Abstracting and Indexing
      • Bibliographic Information
      • Archive
    • Experimental and Therapeutic Medicine
      • Experimental and Therapeutic Medicine
      • Information for Authors
      • Editorial Policies
      • Editorial Board
      • Aims and Scope
      • Abstracting and Indexing
      • Bibliographic Information
      • Archive
    • International Journal of Molecular Medicine
      • International Journal of Molecular Medicine
      • Information for Authors
      • Editorial Policies
      • Editorial Board
      • Aims and Scope
      • Abstracting and Indexing
      • Bibliographic Information
      • Archive
    • Biomedical Reports
      • Biomedical Reports
      • Information for Authors
      • Editorial Policies
      • Editorial Board
      • Aims and Scope
      • Abstracting and Indexing
      • Bibliographic Information
      • Archive
    • Oncology Reports
      • Oncology Reports
      • Information for Authors
      • Editorial Policies
      • Editorial Board
      • Aims and Scope
      • Abstracting and Indexing
      • Bibliographic Information
      • Archive
    • Molecular Medicine Reports
      • Molecular Medicine Reports
      • Information for Authors
      • Editorial Policies
      • Editorial Board
      • Aims and Scope
      • Abstracting and Indexing
      • Bibliographic Information
      • Archive
    • World Academy of Sciences Journal
      • World Academy of Sciences Journal
      • Information for Authors
      • Editorial Policies
      • Editorial Board
      • Aims and Scope
      • Abstracting and Indexing
      • Bibliographic Information
      • Archive
    • International Journal of Functional Nutrition
      • International Journal of Functional Nutrition
      • Information for Authors
      • Editorial Policies
      • Editorial Board
      • Aims and Scope
      • Abstracting and Indexing
      • Bibliographic Information
      • Archive
    • International Journal of Epigenetics
      • International Journal of Epigenetics
      • Information for Authors
      • Editorial Policies
      • Editorial Board
      • Aims and Scope
      • Abstracting and Indexing
      • Bibliographic Information
      • Archive
    • Medicine International
      • Medicine International
      • Information for Authors
      • Editorial Policies
      • Editorial Board
      • Aims and Scope
      • Abstracting and Indexing
      • Bibliographic Information
      • Archive
  • Articles
  • Information
    • Information for Authors
    • Information for Reviewers
    • Information for Librarians
    • Information for Advertisers
    • Conferences
  • Language Editing
Spandidos Publications Logo
  • About
    • About Spandidos
    • Aims and Scopes
    • Abstracting and Indexing
    • Editorial Policies
    • Reprints and Permissions
    • Job Opportunities
    • Terms and Conditions
    • Contact
  • Journals
    • All Journals
    • Biomedical Reports
      • Information for Authors
      • Editorial Policies
      • Editorial Board
      • Aims and Scope
      • Abstracting and Indexing
      • Bibliographic Information
      • Archive
    • Experimental and Therapeutic Medicine
      • Information for Authors
      • Editorial Policies
      • Editorial Board
      • Aims and Scope
      • Abstracting and Indexing
      • Bibliographic Information
      • Archive
    • International Journal of Epigenetics
      • Information for Authors
      • Editorial Policies
      • Editorial Board
      • Aims and Scope
      • Abstracting and Indexing
      • Bibliographic Information
      • Archive
    • International Journal of Functional Nutrition
      • Information for Authors
      • Editorial Policies
      • Editorial Board
      • Aims and Scope
      • Abstracting and Indexing
      • Bibliographic Information
      • Archive
    • International Journal of Molecular Medicine
      • Information for Authors
      • Editorial Policies
      • Editorial Board
      • Aims and Scope
      • Abstracting and Indexing
      • Bibliographic Information
      • Archive
    • International Journal of Oncology
      • Information for Authors
      • Editorial Policies
      • Editorial Board
      • Aims and Scope
      • Abstracting and Indexing
      • Bibliographic Information
      • Archive
    • Medicine International
      • Information for Authors
      • Editorial Policies
      • Editorial Board
      • Aims and Scope
      • Abstracting and Indexing
      • Bibliographic Information
      • Archive
    • Molecular and Clinical Oncology
      • Information for Authors
      • Editorial Policies
      • Editorial Board
      • Aims and Scope
      • Abstracting and Indexing
      • Bibliographic Information
      • Archive
    • Molecular Medicine Reports
      • Information for Authors
      • Editorial Policies
      • Editorial Board
      • Aims and Scope
      • Abstracting and Indexing
      • Bibliographic Information
      • Archive
    • Oncology Letters
      • Information for Authors
      • Editorial Policies
      • Editorial Board
      • Aims and Scope
      • Abstracting and Indexing
      • Bibliographic Information
      • Archive
    • Oncology Reports
      • Information for Authors
      • Editorial Policies
      • Editorial Board
      • Aims and Scope
      • Abstracting and Indexing
      • Bibliographic Information
      • Archive
    • World Academy of Sciences Journal
      • Information for Authors
      • Editorial Policies
      • Editorial Board
      • Aims and Scope
      • Abstracting and Indexing
      • Bibliographic Information
      • Archive
  • Articles
  • Information
    • For Authors
    • For Reviewers
    • For Librarians
    • For Advertisers
    • Conferences
  • Language Editing
Login Register Submit
  • This site uses cookies
  • You can change your cookie settings at any time by following the instructions in our Cookie Policy. To find out more, you may read our Privacy Policy.

    I agree
Search articles by DOI, keyword, author or affiliation
Search
Advanced Search
presentation
Experimental and Therapeutic Medicine
Join Editorial Board Propose a Special Issue
Print ISSN: 1792-0981 Online ISSN: 1792-1015
Journal Cover
August-2018 Volume 16 Issue 2

Full Size Image

Sign up for eToc alerts
Recommend to Library

Journals

International Journal of Molecular Medicine

International Journal of Molecular Medicine

International Journal of Molecular Medicine is an international journal devoted to molecular mechanisms of human disease.

International Journal of Oncology

International Journal of Oncology

International Journal of Oncology is an international journal devoted to oncology research and cancer treatment.

Molecular Medicine Reports

Molecular Medicine Reports

Covers molecular medicine topics such as pharmacology, pathology, genetics, neuroscience, infectious diseases, molecular cardiology, and molecular surgery.

Oncology Reports

Oncology Reports

Oncology Reports is an international journal devoted to fundamental and applied research in Oncology.

Experimental and Therapeutic Medicine

Experimental and Therapeutic Medicine

Experimental and Therapeutic Medicine is an international journal devoted to laboratory and clinical medicine.

Oncology Letters

Oncology Letters

Oncology Letters is an international journal devoted to Experimental and Clinical Oncology.

Biomedical Reports

Biomedical Reports

Explores a wide range of biological and medical fields, including pharmacology, genetics, microbiology, neuroscience, and molecular cardiology.

Molecular and Clinical Oncology

Molecular and Clinical Oncology

International journal addressing all aspects of oncology research, from tumorigenesis and oncogenes to chemotherapy and metastasis.

World Academy of Sciences Journal

World Academy of Sciences Journal

Multidisciplinary open-access journal spanning biochemistry, genetics, neuroscience, environmental health, and synthetic biology.

International Journal of Functional Nutrition

International Journal of Functional Nutrition

Open-access journal combining biochemistry, pharmacology, immunology, and genetics to advance health through functional nutrition.

International Journal of Epigenetics

International Journal of Epigenetics

Publishes open-access research on using epigenetics to advance understanding and treatment of human disease.

Medicine International

Medicine International

An International Open Access Journal Devoted to General Medicine.

Journal Cover
August-2018 Volume 16 Issue 2

Full Size Image

Sign up for eToc alerts
Recommend to Library

  • Article
  • Citations
    • Cite This Article
    • Download Citation
    • Create Citation Alert
    • Remove Citation Alert
    • Cited By
  • Similar Articles
    • Related Articles (in Spandidos Publications)
    • Similar Articles (Google Scholar)
    • Similar Articles (PubMed)
  • Download PDF
  • Download XML
  • View XML
Article Open Access

Clinical significance of changes in IL-6, CRP and S100 in serum and NO in cerebrospinal fluid in subarachnoid hemorrhage and prognosis

  • Authors:
    • Wensheng Zhang
    • Leitao Sun
    • Lixin Ma
    • Zefu Li
  • View Affiliations / Copyright

    Affiliations: Department of Neurosurgery, Binzhou Medical University Hospital, Binzhou, Shandong 256603, P.R. China
  • Pages: 816-820
    |
    Published online on: May 29, 2018
       https://doi.org/10.3892/etm.2018.6231
  • Expand metrics +
Metrics: Total Views: 0 (Spandidos Publications: | PMC Statistics: )
Metrics: Total PDF Downloads: 0 (Spandidos Publications: | PMC Statistics: )
Cited By (CrossRef): 0 citations Loading Articles...

This article is mentioned in:



Abstract

Clinical significance of changes in interleukin-6 (IL-6), C-reactive protein (CRP) and S100 in serum and NO was investigated in cerebrospinal fluid (CSF) in subarachnoid hemorrhage (SAH) and its prognosis. A total of 43 SAH patients and 23 healthy subjects were selected and divided into cerebral vasospasm (CVS) group and non-CVS group, and favorable prognosis group and unfavorable prognosis group according to Hunt-Hess grade. The levels of IL-6, CRP, S100 and NO in CSF were detected, respectively, followed by statistical analysis of correlation. The higher the Hunt grade was, the higher the factor expression was; the expression levels of IL-6, CRP, S100 and NO in CSF were gradually increased in CVS group and unfavorable prognosis group, and the differences were significant compared with those in the control group. There was a positive correlation between the expression levels of each of the two factors among IL-6, CRP, S100 and NO in CSF, and the differences were statistically significant (P<0.05). The expression levels of IL-6, CRP, S100 and NO in CSF in SAH patients are significantly increased, showing positive correlations and participating in the occurrence and development of SAH, which provide new directions for the early clinical diagnosis of SAH.

Introduction

Subarachnoid hemorrhage (SAH) refers to the syndrome where the blood reaches the intracranial or intraspinal subarachnoid space after intracranial vascular rupture caused by many factors (1). It is reported that SAH accounts for approximately 15% of cerebrovascular diseases (2). If there is no effective clinical treatment in the early stages of bleeding, approximately 13% patients will die suddenly (3,4).

Cerebral vasospasm (CVS) usually occurs after SAH, and it can cause cerebral infarction in case of severe condition (5,6), so the early diagnosis of this disease is particularly important. Increasing number of scholars believe that SAH is closely related to the body's inflammatory response. They think that the occurrence and development of SAH are also associated with the body's cytokine expression (7–10).

In the present study, the changes in interleukin-6 (IL-6), C-reactive protein (CRP) and S100 in serum and NO in cerebrospinal fluid (CSF) in SAH patients were detected to investigate the possible pathogenesis of SAH, so as to provide new directions for the early clinical diagnosis of SAH.

Patients and methods

Patients

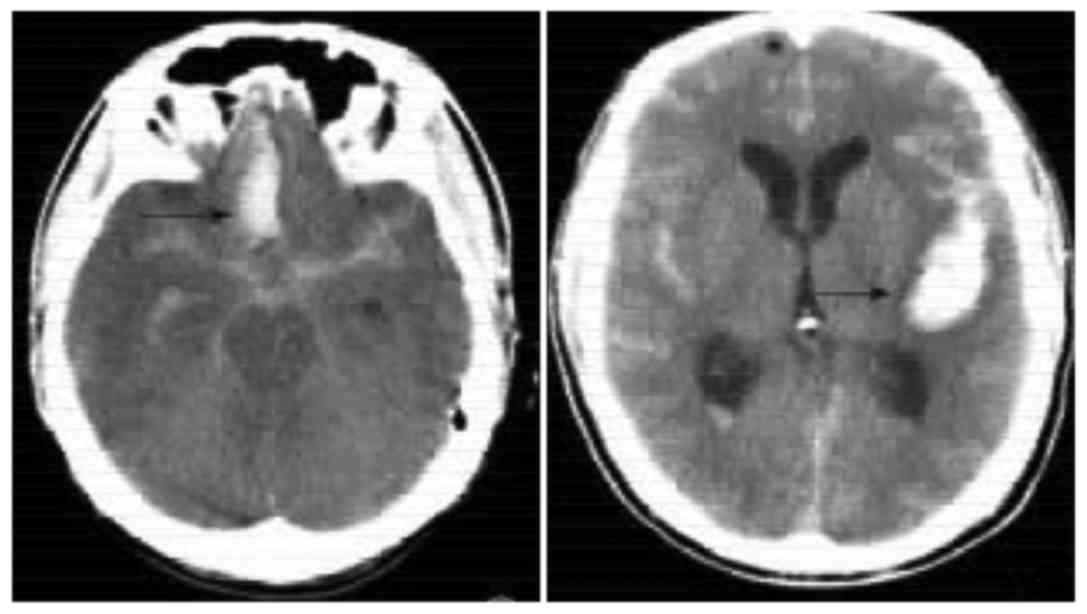
A total of 43 patients clinically confirmed as SAH were selected (Fig. 1), including 27 males and 16 females aged 61±5 years. The clinical data were sorted by Hunt-Hess grade and the results were evaluated by the specialist. Exclusion criteria: Patients with the onset time of more than 3 days, used to receive the clinic treatment in other hospitals, with liver, kidney, heart or lung insufficiency or infectious diseases. This study was approved by the Ethics Committee of Binzhou Medical University Hospital (Binzhou, China). Signed written informed consents were obtained from all participants before the study. Control group: 23 healthy subjects were selected, including 13 males and 10 females aged 58±4 years. SAH patients were divided into the CVS and the non-CVS groups according to whether there was CVS, and patients were also divided into the favorable prognosis and the unfavorable prognosis groups according to APACHE II score. All patients and healthy subjects signed the informed consent.

Figure 1.

Representative images of SAH with a CT scan. SAH, subarachnoid hemorrhage.

Experimental reagents

Human IL-6, CRP and S100 enzyme-linked immunosorbent assay (ELISA) kits (Shanghai Genetimes ExCell Biotechnology Co., Ltd., Shanghai, China) and NO kit (Wenzhou ERKN Biotechnology Co., Ltd., Wenzhou, China).

Detection of IL-6, CRP and S100 in serum

Human IL-6, CRP and S100 ELISA kits were purchased from Shanghai Genetimes ExCell Biotechnology Co., Ltd. The expression levels of IL-6, CRP and S100 in serum samples were detected according to the instructions.

The contents of IL-6, CRP and S100 were detected according to the instructions of IL-6, CR and S100 ELISA kit.

Detection of NO level in CSF

The chemical property of NO is more active, which can be quickly metabolized and converted into NO2− and NO3−, and NO2− will be further converted into NO3−. In this study, the nitrate reductase method was used to specifically reduce NO3− into NO2−, the latter of which can react with the developer and produce colored substances. Finally, the absorbance value was detected.

The level of NO in CSF was detected according to the instructions of NO kit.

Statistical analysis

In this study, SPSS 17.0 (SPSS, Inc., Chicago, IL, USA) software was used for analysis. Data were presented as mean ± standard deviation. Comparison between groups was done using One-way ANOVA test followed by post hoc test (Least Significant Difference). Pearson's analysis was used to test the correlation between the two factors. α=0.05 was set as the inspection standard.

Results

Contents of serum IL-6, CRP and S100 in SAH patients

The expression levels of IL-6, CRP and S100 in serum of SAH patients were significantly higher than those in the normal control group, and the differences of each Hunt grade were statistically significant compared with the normal control group (P<0.05). The expression levels of IL-6, CRP and S100 in serum of SAH patients were gradually increased with the increase of Hunt grade (Fig. 2).

Figure 2.

Contents of serum IL-6, CRP and S100 in SAH patients. The expression levels of IL-6, CRP and S100 in serum of SAH patients were significantly higher than those in the normal control group. *P<0.05, compared with the normal control group. IL-6, interleukin-6; CRP, C-reactive protein; SAH, subarachnoid hemorrhage.

Content of NO in CSF

The expression level of NO in CSF of SAH patients was significantly higher than that in the normal control group, and the difference of each Hunt grade was statistically significant compared with the normal control group (P<0.05). The expression level of NO in CSF of SAH patients was gradually increased with the increase of Hunt grade (Fig. 3).

Figure 3.

Content of NO in CSF. The expression level of NO in CSF of SAH patients was significantly higher than that in the normal control group. *P<0.05, compared with the normal control group. CSF, cerebrospinal fluid; SAH, subarachnoid hemorrhage.

Contents of serum IL-6, CRP and S100 and NO in CSF in the CVS and non-CVS groups

The levels of IL-6, CRP, S100 and NO in CSF in CVS group were higher than those in the normal control group at 1, 4, 7 and 10 days, and the differences were significant. The contents of serum IL-6, CRP and S100 and NO in CSF in the CVS group were significantly higher than those in the non-CVS group, and the differences were statistically significant (P<0.05). The contents of IL-6, CRP, S100 and NO in CSF in the CVS group were increased gradually with the extension of time, while the contents of IL-6, CRP, S100 and NO in CSF in the non-CVS group reached the peak at 4 days and then gradually declined (Table I).

Table I.

Contents of serum IL-6, CRP, S100 and NO in CSF in the CVS and the non-CVS groups (mean ± standard deviation).

Table I.

Contents of serum IL-6, CRP, S100 and NO in CSF in the CVS and the non-CVS groups (mean ± standard deviation).

GroupnDaysIL-6 (pg/ml)CRP (mg/l)S100 (µg/l)NO (µmol/l)
Control23 4.01±5.361.15±0.220.25±0.042.31±1.02
CVS251 10.65±4.91a,b 5.99±1.03a,b 0.53±0.02a,b 4.14±0.69a,b
4 29.26±9.49a,b 13.83±0.95a,b 0.81±0.14a,b 5.97±1.16a,b
7 37.93±14.07a,b 15.17±2.36a,b 1.03±0.22a,b 7.82±1.63a,b
10 52.39±20.81a,b 25.82±4.41a,b1. 71±0.14a,b 8.85±1.07a,b
Non-CVS181 7.11±4.25a 3.05±0.27a 0.39±0.03a 3.77±0.65a
4 25.94±6.35a 11.48±1.33a 0.68±0.08a 5.31±1.04a
7 22.19±10.31a 9.29±0.37a 0.55±0.11a 4.85±0.97a
10 15.88±8.37a 6.73±1.29a 0.51±0.04a 4.42±0.73a

a P<0.05, compared with the control group

b P<0.05, compared with non-CVS group. IL-6, interleukin-6; CRP, C-reactive protein; CSF, cerebrospinal fluid; CVS, cerebral vasospasm.

Factor contents in favorable prognosis group and unfavorable prognosis group

Compared with those in the normal control group, the expression levels of IL-6, CRP, S100 and NO in CSF in unfavorable prognosis group were higher at 1, 4, 7 and 10 days, and the differences were statistically significant (P<0.05). Compared with those in favorable prognosis group, the levels in the unfavorable prognosis group were significantly higher at 1, 4, 7 and 10 days (P<0.05). The levels of IL-6, CRP, S100 and NO in CSF in the unfavorable prognosis group were gradually increased, while the levels in favorable prognosis group reached the peak at 4 days and then declined gradually (Table II).

Table II.

Contents of IL-6, CRP, S100 and NO in CSF in the favorable prognosis and the unfavorable prognosis groups (mean ± standard deviation).

Table II.

Contents of IL-6, CRP, S100 and NO in CSF in the favorable prognosis and the unfavorable prognosis groups (mean ± standard deviation).

GroupnDaysIL-6 (pg/ml)CRP (mg/l)S100 (µg/l)NO (µmol/l)
Control23 4.01±5.361.15±0.220.25±0.042.31±1.02
Favorable prognosis321 6.48±3.13a 2.94±0.18a 0.28±0.03a 3.18±0.47a
4 23.74±5.96a 10.85±1.48a 0.55±0.08a 5.22±0.97a
7 19.86±7.75a 8.37±0.29a 0.47±0.05a 4.77±0.58a
10 13.03±9.16a 6.15±0.77a 0.39±0.04a 3.35±0.26a
Unfavorable prognosis111 9.03±3.37a,b 4.52±0.99a,b 0.44±0.03a,b 3.27±0.55a,b
4 28.47±8.59a,b 13.03±1.25a,b 0.67±0.16a,b 4.85±0.94a,b
7 35.14±12.55a,b 18.74±1.99a,b 1.33±0.19a,b 6.69±1.36a,b
10 48.02±17.83a,b 27.85±2.76a,b 1.68±0.25a,b 7.57±1.11a,b

a P<0.05, compared with control group

b P<0.05, compared with favorable prognosis group. IL-6, interleukin-6; CRP, C-reactive protein; CSF, cerebrospinal fluid.

Correlation among IL-6, CRP, S100 and NO in CSF

The correlations among IL-6, CRP, S100 and NO in CSF were detected via Pearson's analysis. It was found that there was a positive correlation between IL-6 and NO, between CRP and NO and between S100 and NO (r1=0.417, P<0.05; r2=0.552, P<0.05; r3=0.505, P<0.05), and the differences were statistically significant (Fig.4). The expression of IL-6 was elevated when the inflammatory response occurred, and the contents of CRP, S100 and NO in CSF were also increased.

Figure 4.

Correlation analysis among IL-6, CRP, S100 and NO in CSF were detected via Pearson's analysis. (A) Between IL-6 and NO; (B) between CRP and NO; and (C) between S100 and NO.

Discussion

SAH is a clinical syndrome caused by many factors with a high mortality rate, which refers to the blood reaching the intracranial or intraspinal subarachnoid space after intracranial vascular rupture (11,12). IL-6, as a kind of glycoprotein, can participate in the collective inflammatory response and anti-infective defense mechanisms (13,14). At present, it is recognized that IL-6 is a kind of multi-functional glycoprotein cell inflammatory factor involved in various inflammatory reactions of central nervous system, which can cause immune response to the brain tissue damage and inflammation (15). CRP can be synthesized after IL-6 induction, thus activating the body's complement system and improving the immunity (16,17). Some scholars have pointed out that CRP can be associated with prognosis as a continuous variable (18). When SAH occurs, neuroglia cells will be damaged, thus increasing the S100 protein level. Therefore, S100 is often used as one of the markers of SAH (19,20).

In this study, 43 patients diagnosed as SAH were selected and the levels of IL-6, CRP, S100 and NO in CSF were detected. The results showed that the expression of IL-6, CRP, S100 and NO in CSF in SAH patients were higher than those in the healthy normal control group. And the difference of each Hunt grade was significant compared with the normal control group. The contents of IL-6, CRP, S100 and NO in CSF in SAH patients were gradually increased with the increase of Hunt grade. The levels of IL-6, CRP, S100 and NO in CSF in CVS group at 1, 4, 7 and 10 days were higher than those in the normal control group. Compared with those in the non-CVS group, the levels of the four factors in the CVS group were significantly higher. The levels of IL-6, CRP, S100 and NO in CSF in the CVS group were increased gradually with the extension of time, while the levels of IL-6, CRP, S100 and NO in CSF in the non-CVS group reached the peak at 4 days, and then gradually declined. Compared with those in the normal control group, the expression levels of IL-6, CRP, S100 and NO in CSF in the unfavorable prognosis group were higher at 1, 4, 7 and 10 days. Compared with those in the favorable prognosis group, the levels in the unfavorable prognosis group at 1, 4, 7 and 10 days were higher. The levels of IL-6, CRP, S100 and NO in CSF in the unfavorable prognosis group were gradually increased, while the levels in the favorable prognosis group reached the peak at 4 days, and then declined gradually. The expression levels of IL-6, CRP, S100 and NO in CSF in SAH patients were generally higher than those in the healthy normal control group. And the difference of each Hunt grade was significant compared with the normal control group. The contents of IL-6, CRP, S100 and NO in CSF in SAH patients were gradually increased with the increase of Hunt grade. There were positive correlations among the levels of IL-6, CRP, S100 and NO in CSF in SAH patients, confirming that IL-6, CRP, S100 and NO in CSF in SAH patients can reflect the severity and development process of inflammatory response, and may be involved in the occurrence and development of disease, late CVS and prognosis.

In conclusion, the levels of IL-6, CRP, S100 and NO in CSF of SAH patients were detected in this study, and it was found that there is a positive correlation between each of the two factors, which can reflect the development process of SAH and has a certain guiding significance for the clinical diagnosis of SAH.

Acknowledgements

Not applicable.

Funding

No funding was received.

Availability of data and materials

All data generated or analyzed during this study are included in this published article.

Authors' contributions

WZ designed the study, LS and LM collected the data, ZL analyzed the data. All authors read and approved the final manuscript.

Ethics approval and consent to participate

This study was approved by the Ethics Committee of Binzhou Medical University Hospital (Binzhou, China). Signed informed consents were obtained from the patients or the guardians.

Patient consent for publication

Not applicable.

Competing interests

The authors declare that they have no competing interests.

References

1 

Srinivasan A, Aggarwal A, Gaudihalli S, Mohanty M, Dhandapani M, Singh H, Mukherjee KK and Dhandapani S: Impact of early leukocytosis and elevated High-Sensitivity C-Reactive protein on delayed cerebral ischemia and neurologic outcome after subarachnoid hemorrhage. World Neurosurg. 90:91–95. 2016. View Article : Google Scholar : PubMed/NCBI

2 

Jeon YT, Lee JH, Lee H, Lee HK, Hwang JW, Lim YJ and Park HP: The postoperative C-reactive protein level can be a useful prognostic factor for poor outcome and symptomatic vasospasm in patients with aneurysmal subarachnoid hemorrhage. J Neurosurg Anesthesiol. 24:317–324. 2012. View Article : Google Scholar : PubMed/NCBI

3 

Jethwa PR, Punia V, Patel TD, Duffis EJ, Gandhi CD and Prestigiacomo CJ: Cost-effectiveness of digital subtraction angiography in the setting of computed tomographic angiography negative subarachnoid hemorrhage. Neurosurgery. 72:511–519. 2013. View Article : Google Scholar : PubMed/NCBI

4 

Lee JH, Park JW, Kwon BS, Ryu KH, Lee HJ, Park YG, Chang JH and Sim KB: Dysphagia due to retropharyngeal abscess that incidentally detected in subarachnoid hemorrhage patient. Ann Rehabil Med. 36:861–865. 2012. View Article : Google Scholar : PubMed/NCBI

5 

Kellermann I, Kleindienst A, Hore N, Buchfelder M and Brandner S: Early CSF and serum S100B concentrations for outcome prediction in traumatic brain injury and subarachnoid hemorrhage. Clin Neurol Neurosurg. 145:79–83. 2016. View Article : Google Scholar : PubMed/NCBI

6 

Zhuang YT, Xu DY, Wang GY, Sun JL, Huang Y and Wang SZ: IL-6 induced lncRNA MALAT1 enhances TNF-α expression in LPS-induced septic cardiomyocytes via activation of SAA3. Eur Rev Med Pharmacol Sci. 21:302–309. 2017.PubMed/NCBI

7 

Zhong W, Zhang Z, Zhao P, Shen J, Li X, Wang D, Li G and Su W: The impact of initial systemic inflammatory response after aneurysmal subarachnoid hemorrhage. Turk Neurosurg. 27:346–352. 2017.PubMed/NCBI

8 

Shim JH, Yoon SM, Bae HG, Yun IG, Shim JJ, Lee KS and Doh JW: Which treatment modality is more injurious to the brain in patients with subarachnoid hemorrhage? Degree of brain damage assessed by serum S100 protein after aneurysm clipping or coiling. Cerebrovasc Dis. 34:38–47. 2012. View Article : Google Scholar : PubMed/NCBI

9 

Brandner S, Thaler C, Buchfelder M and Kleindienst A: Brain-derived protein concentrations in the cerebrospinal fluid: Contribution of trauma resulting from ventricular drain insertion. J Neurotrauma. 30:1205–1210. 2013. View Article : Google Scholar : PubMed/NCBI

10 

Park J and Lee D: Intraarterial schwannoma in horizontal segment of middle cerebral artery causing subarachnoid hemorrhage. J Neurosurg. 118:1069–1071. 2013. View Article : Google Scholar : PubMed/NCBI

11 

Larsen CC and Astrup J: Rebleeding after aneurysmal subarachnoid hemorrhage: A literature review. World Neurosurg. 79:307–312. 2013. View Article : Google Scholar : PubMed/NCBI

12 

Tykocki T, Kostyra K, Bojanowski K and Kostkiewicz B: Analysis of the serum components in acute period after subarachnoid hemorrhage. Turk Neurosurg. 24:672–678. 2014.PubMed/NCBI

13 

Galea J, Ogungbenro K, Hulme S, Patel H, Scarth S, Hoadley M, Illingworth K, McMahon CJ, Tzerakis N, King AT, et al: Reduction of inflammation after administration of interleukin-1 receptor antagonist following aneurysmal subarachnoid hemorrhage: results of the Subcutaneous Interleukin-1Ra in SAH (SCIL-SAH) study. J Neurosurg. 128:515–523. 2018. View Article : Google Scholar : PubMed/NCBI

14 

Liu Y, Wang J, Zhang L, Wang C, Wu J, Zhou Y, Gao X, Wang A, Wu S and Zhao X: Relationship between C-reactive protein and stroke: A large prospective community based study. PLoS One. 9:1070172014. View Article : Google Scholar

15 

Alfotih GT, Li F, Xu X and Zhang S: Risk factors for re-bleeding of aneurysmal subarachnoid hemorrhage: Meta-analysis of observational studies. Neurol Neurochir Pol. 48:346–355. 2014.PubMed/NCBI

16 

Changyaleket B, Xu H, Vetri F, Valyi-Nagy T, Paisansathan C, Chong ZZ, Pelligrino DA and Testai FD: Intracerebroventricular application of S100B selectively impairs pial arteriolar dilating function in rats. Brain Res. 1634:171–178. 2016. View Article : Google Scholar : PubMed/NCBI

17 

Romero FR, Cataneo DC and Cataneo AJ: C-reactive protein and vasospasm after aneurysmal subarachnoid hemorrhage. Acta Cir Bras. 29:340–345. 2014. View Article : Google Scholar : PubMed/NCBI

18 

Lenski M, Huge V, Briegel J, Tonn JC, Schichor C and Thon N: Interleukin 6 in the cerebrospinal fluid as a biomarker for onset of vasospasm and ventriculitis after severe subarachnoid hemorrhage. World Neurosurg. 99:132–139. 2017. View Article : Google Scholar : PubMed/NCBI

19 

Li H, Wu W, Sun Q, Liu M, Li W, Zhang XS, Zhou ML and Hang CH: Expression and cell distribution of receptor for advanced glycation end-products in the rat cortex following experimental subarachnoid hemorrhage. Brain Res. 1543:315–323. 2014. View Article : Google Scholar : PubMed/NCBI

20 

Frontera JA, Provencio JJ, Sehba FA, McIntyre TM, Nowacki AS, Gordon E, Weimer JM and Aledort L: The role of platelet activation and inflammation in early brain injury following subarachnoid hemorrhage. Neurocrit Care. 26:48–57. 2017. View Article : Google Scholar : PubMed/NCBI

Related Articles

  • Abstract
  • View
  • Download
  • Twitter
Copy and paste a formatted citation
Spandidos Publications style
Zhang W, Sun L, Ma L and Li Z: Clinical significance of changes in IL-6, CRP and S100 in serum and NO in cerebrospinal fluid in subarachnoid hemorrhage and prognosis . Exp Ther Med 16: 816-820, 2018.
APA
Zhang, W., Sun, L., Ma, L., & Li, Z. (2018). Clinical significance of changes in IL-6, CRP and S100 in serum and NO in cerebrospinal fluid in subarachnoid hemorrhage and prognosis . Experimental and Therapeutic Medicine, 16, 816-820. https://doi.org/10.3892/etm.2018.6231
MLA
Zhang, W., Sun, L., Ma, L., Li, Z."Clinical significance of changes in IL-6, CRP and S100 in serum and NO in cerebrospinal fluid in subarachnoid hemorrhage and prognosis ". Experimental and Therapeutic Medicine 16.2 (2018): 816-820.
Chicago
Zhang, W., Sun, L., Ma, L., Li, Z."Clinical significance of changes in IL-6, CRP and S100 in serum and NO in cerebrospinal fluid in subarachnoid hemorrhage and prognosis ". Experimental and Therapeutic Medicine 16, no. 2 (2018): 816-820. https://doi.org/10.3892/etm.2018.6231
Copy and paste a formatted citation
x
Spandidos Publications style
Zhang W, Sun L, Ma L and Li Z: Clinical significance of changes in IL-6, CRP and S100 in serum and NO in cerebrospinal fluid in subarachnoid hemorrhage and prognosis . Exp Ther Med 16: 816-820, 2018.
APA
Zhang, W., Sun, L., Ma, L., & Li, Z. (2018). Clinical significance of changes in IL-6, CRP and S100 in serum and NO in cerebrospinal fluid in subarachnoid hemorrhage and prognosis . Experimental and Therapeutic Medicine, 16, 816-820. https://doi.org/10.3892/etm.2018.6231
MLA
Zhang, W., Sun, L., Ma, L., Li, Z."Clinical significance of changes in IL-6, CRP and S100 in serum and NO in cerebrospinal fluid in subarachnoid hemorrhage and prognosis ". Experimental and Therapeutic Medicine 16.2 (2018): 816-820.
Chicago
Zhang, W., Sun, L., Ma, L., Li, Z."Clinical significance of changes in IL-6, CRP and S100 in serum and NO in cerebrospinal fluid in subarachnoid hemorrhage and prognosis ". Experimental and Therapeutic Medicine 16, no. 2 (2018): 816-820. https://doi.org/10.3892/etm.2018.6231
Follow us
  • Twitter
  • LinkedIn
  • Facebook
About
  • Spandidos Publications
  • Careers
  • Cookie Policy
  • Privacy Policy
How can we help?
  • Help
  • Live Chat
  • Contact
  • Email to our Support Team