Spandidos Publications Logo
  • About
    • About Spandidos
    • Aims and Scopes
    • Abstracting and Indexing
    • Editorial Policies
    • Reprints and Permissions
    • Job Opportunities
    • Terms and Conditions
    • Contact
  • Journals
    • All Journals
    • Oncology Letters
      • Oncology Letters
      • Information for Authors
      • Editorial Policies
      • Editorial Board
      • Aims and Scope
      • Abstracting and Indexing
      • Bibliographic Information
      • Archive
    • International Journal of Oncology
      • International Journal of Oncology
      • Information for Authors
      • Editorial Policies
      • Editorial Board
      • Aims and Scope
      • Abstracting and Indexing
      • Bibliographic Information
      • Archive
    • Molecular and Clinical Oncology
      • Molecular and Clinical Oncology
      • Information for Authors
      • Editorial Policies
      • Editorial Board
      • Aims and Scope
      • Abstracting and Indexing
      • Bibliographic Information
      • Archive
    • Experimental and Therapeutic Medicine
      • Experimental and Therapeutic Medicine
      • Information for Authors
      • Editorial Policies
      • Editorial Board
      • Aims and Scope
      • Abstracting and Indexing
      • Bibliographic Information
      • Archive
    • International Journal of Molecular Medicine
      • International Journal of Molecular Medicine
      • Information for Authors
      • Editorial Policies
      • Editorial Board
      • Aims and Scope
      • Abstracting and Indexing
      • Bibliographic Information
      • Archive
    • Biomedical Reports
      • Biomedical Reports
      • Information for Authors
      • Editorial Policies
      • Editorial Board
      • Aims and Scope
      • Abstracting and Indexing
      • Bibliographic Information
      • Archive
    • Oncology Reports
      • Oncology Reports
      • Information for Authors
      • Editorial Policies
      • Editorial Board
      • Aims and Scope
      • Abstracting and Indexing
      • Bibliographic Information
      • Archive
    • Molecular Medicine Reports
      • Molecular Medicine Reports
      • Information for Authors
      • Editorial Policies
      • Editorial Board
      • Aims and Scope
      • Abstracting and Indexing
      • Bibliographic Information
      • Archive
    • World Academy of Sciences Journal
      • World Academy of Sciences Journal
      • Information for Authors
      • Editorial Policies
      • Editorial Board
      • Aims and Scope
      • Abstracting and Indexing
      • Bibliographic Information
      • Archive
    • International Journal of Functional Nutrition
      • International Journal of Functional Nutrition
      • Information for Authors
      • Editorial Policies
      • Editorial Board
      • Aims and Scope
      • Abstracting and Indexing
      • Bibliographic Information
      • Archive
    • International Journal of Epigenetics
      • International Journal of Epigenetics
      • Information for Authors
      • Editorial Policies
      • Editorial Board
      • Aims and Scope
      • Abstracting and Indexing
      • Bibliographic Information
      • Archive
    • Medicine International
      • Medicine International
      • Information for Authors
      • Editorial Policies
      • Editorial Board
      • Aims and Scope
      • Abstracting and Indexing
      • Bibliographic Information
      • Archive
  • Articles
  • Information
    • Information for Authors
    • Information for Reviewers
    • Information for Librarians
    • Information for Advertisers
    • Conferences
  • Language Editing
Spandidos Publications Logo
  • About
    • About Spandidos
    • Aims and Scopes
    • Abstracting and Indexing
    • Editorial Policies
    • Reprints and Permissions
    • Job Opportunities
    • Terms and Conditions
    • Contact
  • Journals
    • All Journals
    • Biomedical Reports
      • Information for Authors
      • Editorial Policies
      • Editorial Board
      • Aims and Scope
      • Abstracting and Indexing
      • Bibliographic Information
      • Archive
    • Experimental and Therapeutic Medicine
      • Information for Authors
      • Editorial Policies
      • Editorial Board
      • Aims and Scope
      • Abstracting and Indexing
      • Bibliographic Information
      • Archive
    • International Journal of Epigenetics
      • Information for Authors
      • Editorial Policies
      • Editorial Board
      • Aims and Scope
      • Abstracting and Indexing
      • Bibliographic Information
      • Archive
    • International Journal of Functional Nutrition
      • Information for Authors
      • Editorial Policies
      • Editorial Board
      • Aims and Scope
      • Abstracting and Indexing
      • Bibliographic Information
      • Archive
    • International Journal of Molecular Medicine
      • Information for Authors
      • Editorial Policies
      • Editorial Board
      • Aims and Scope
      • Abstracting and Indexing
      • Bibliographic Information
      • Archive
    • International Journal of Oncology
      • Information for Authors
      • Editorial Policies
      • Editorial Board
      • Aims and Scope
      • Abstracting and Indexing
      • Bibliographic Information
      • Archive
    • Medicine International
      • Information for Authors
      • Editorial Policies
      • Editorial Board
      • Aims and Scope
      • Abstracting and Indexing
      • Bibliographic Information
      • Archive
    • Molecular and Clinical Oncology
      • Information for Authors
      • Editorial Policies
      • Editorial Board
      • Aims and Scope
      • Abstracting and Indexing
      • Bibliographic Information
      • Archive
    • Molecular Medicine Reports
      • Information for Authors
      • Editorial Policies
      • Editorial Board
      • Aims and Scope
      • Abstracting and Indexing
      • Bibliographic Information
      • Archive
    • Oncology Letters
      • Information for Authors
      • Editorial Policies
      • Editorial Board
      • Aims and Scope
      • Abstracting and Indexing
      • Bibliographic Information
      • Archive
    • Oncology Reports
      • Information for Authors
      • Editorial Policies
      • Editorial Board
      • Aims and Scope
      • Abstracting and Indexing
      • Bibliographic Information
      • Archive
    • World Academy of Sciences Journal
      • Information for Authors
      • Editorial Policies
      • Editorial Board
      • Aims and Scope
      • Abstracting and Indexing
      • Bibliographic Information
      • Archive
  • Articles
  • Information
    • For Authors
    • For Reviewers
    • For Librarians
    • For Advertisers
    • Conferences
  • Language Editing
Login Register Submit
  • This site uses cookies
  • You can change your cookie settings at any time by following the instructions in our Cookie Policy. To find out more, you may read our Privacy Policy.

    I agree
Search articles by DOI, keyword, author or affiliation
Search
Advanced Search
presentation
Experimental and Therapeutic Medicine
Join Editorial Board Propose a Special Issue
Print ISSN: 1792-0981 Online ISSN: 1792-1015
Journal Cover
September-2019 Volume 18 Issue 3

Full Size Image

Sign up for eToc alerts
Recommend to Library

Journals

International Journal of Molecular Medicine

International Journal of Molecular Medicine

International Journal of Molecular Medicine is an international journal devoted to molecular mechanisms of human disease.

International Journal of Oncology

International Journal of Oncology

International Journal of Oncology is an international journal devoted to oncology research and cancer treatment.

Molecular Medicine Reports

Molecular Medicine Reports

Covers molecular medicine topics such as pharmacology, pathology, genetics, neuroscience, infectious diseases, molecular cardiology, and molecular surgery.

Oncology Reports

Oncology Reports

Oncology Reports is an international journal devoted to fundamental and applied research in Oncology.

Experimental and Therapeutic Medicine

Experimental and Therapeutic Medicine

Experimental and Therapeutic Medicine is an international journal devoted to laboratory and clinical medicine.

Oncology Letters

Oncology Letters

Oncology Letters is an international journal devoted to Experimental and Clinical Oncology.

Biomedical Reports

Biomedical Reports

Explores a wide range of biological and medical fields, including pharmacology, genetics, microbiology, neuroscience, and molecular cardiology.

Molecular and Clinical Oncology

Molecular and Clinical Oncology

International journal addressing all aspects of oncology research, from tumorigenesis and oncogenes to chemotherapy and metastasis.

World Academy of Sciences Journal

World Academy of Sciences Journal

Multidisciplinary open-access journal spanning biochemistry, genetics, neuroscience, environmental health, and synthetic biology.

International Journal of Functional Nutrition

International Journal of Functional Nutrition

Open-access journal combining biochemistry, pharmacology, immunology, and genetics to advance health through functional nutrition.

International Journal of Epigenetics

International Journal of Epigenetics

Publishes open-access research on using epigenetics to advance understanding and treatment of human disease.

Medicine International

Medicine International

An International Open Access Journal Devoted to General Medicine.

Journal Cover
September-2019 Volume 18 Issue 3

Full Size Image

Sign up for eToc alerts
Recommend to Library

  • Article
  • Citations
    • Cite This Article
    • Download Citation
    • Create Citation Alert
    • Remove Citation Alert
    • Cited By
  • Similar Articles
    • Related Articles (in Spandidos Publications)
    • Similar Articles (Google Scholar)
    • Similar Articles (PubMed)
  • Download PDF
  • Download XML
  • View XML
Article

Commiphora myrrha inhibits itch‑associated histamine and IL‑31 production in stimulated mast cells

  • Authors:
    • Jae Young Shin
    • Denis Nchang Che
    • Byoung Ok Cho
    • Hyun Ju Kang
    • Jisu Kim
    • Seon Il Jang
  • View Affiliations / Copyright

    Affiliations: Department of Health Management, Jeonju University, Jeonju, Jeollabuk 55069, Republic of Korea, Research Institute, ATO Q&A Co., Ltd., Jeonju, Jeollabuk 54840, Republic of Korea
  • Pages: 1914-1920
    |
    Published online on: July 1, 2019
       https://doi.org/10.3892/etm.2019.7721
  • Expand metrics +
Metrics: Total Views: 0 (Spandidos Publications: | PMC Statistics: )
Metrics: Total PDF Downloads: 0 (Spandidos Publications: | PMC Statistics: )
Cited By (CrossRef): 0 citations Loading Articles...

This article is mentioned in:



Abstract

Commiphora myrrha (Myrrh) is widely recognized for its anti‑inflammatory and antimicrobial properties, which are utilized for the treatment of oral ulcers, gingivitis, sinusitis, glomerulonephritis, brucellosis and a variety of skin disorders. The current study aimed to assess whether myrrh modulates itch‑associated interleukin (IL)‑31 cytokine production and histamine release in stimulated human mast cells (HMC‑1). To realize this, molecular biology techniques including real‑time quantitiative PCR, western blotting and ELISA were employed. The results indicated that Myrrh successfully suppressed phorbol myristate acetate and calcium ionophore‑stimulated mRNA expression, and reduced the production of IL‑31 in HMC‑1 cells. In addition, myrrh served as a suppressor of extracellular signal‑regulated kinase and NF‑κB activation, indicating its mechanism in the prevention of HMC‑1 cell IL‑31 production. Myrrh also prevented the release of histamine in HMC‑1 cells. Whilst the present study awaits in vivo support, the pharmacological actions of myrrh provide new indications as to its potential applicability for itch treatment, which cannot be treated with histamine receptor blockers alone.

Introduction

Pruritus (itch) is the hallmark of atopic dermatitis (AD) that can severely impair patient quality of life (1). Therefore, the ultimate aim of AD management is to successfully treat itch. However, treatment is difficult due to a lack of information and an insufficient understanding of itch etiology within AD (2). A number of mediators have been implicated in the pathogenesis of AD itch, most notably including histamine, which has been extensively studied (3). Histamine is released from mast cells when tissues are inflamed or stimulated by allergens and functions to induce itch by triggering the excitation of a subset of unmyelinated C-fibers (4). Previous studies have identified four subtypes of histamine receptor coupled to guanine nucleotide-binding proteins, which include histamine receptor subtype I (H1R), histamine receptor subtype II, histamine receptor subtype III and histamine receptor subtype IV (H4R). H1R and H4R have been extensively studied and are considered to be the primary receptors that mediate AD itch, leading to the extensive use of their antagonists when managing and alleviating itch symptoms (5,6). Histamine has been previously demonstrated to stimulate the release of various cytokines, including interleukin (IL)-1α and IL-6, which have also been indicated to serve a role in itch (7,8). The signaling pathway of histamine production involves phospholipase C (PLC), phosphatidylinositol 3-kinase and protein kinase C (PKC) (8). PLCγ catalyzes phosphatidylinositol 4,5-bisphosphate hydrolysis, yielding diacylglycerol and inositol trisphosphate, which respectively results in PKC activation and the liberation of intracellular calcium (8). These signals subsequently lead to mast cell degranulation (8). Cytokines have also been demonstrated to induce itch and activate neuropeptide release from sensory nerves located in the skin of patients with AD (9,10). Previous studies have revealed a cytokine (IL-31) of the glycoprotein130/IL-6 family, which directly serves a role in AD development in mice and humans (11,12). The results of the aforementioned studies indicate that transgenic mice that overexpress IL-31 or wild-type mice administered with recombinant IL-31 protein, develop characteristic skin phenotypes which mimic that of mice with AD. Itch in AD has also been associated with IL-31 expression in mice. In a previous study, IL-31 mRNA was expressed in NC/Nga AD model mice, who experienced itch (13). These results indicate the importance of IL-31 in the pathogenesis of AD and particularly in itch. Until recently, various treatments have been used to relieve itch in patients with AD (14). The use of immunomodulators and topical applications of corticosteroids result in the cessation of itch (14). However, long-term applications may result in serious and imminent side effects such as stretch marks, small red/purple spots, small and dilated blood vessels on the surface of the skin and skin thinning, atrophy (14). Chronic itch is difficult to treat as current therapeutic options are frequently ineffective, which emphasizes the requirement for more effective therapeutic approaches (15). Furthermore, difficulties are experienced due to the failure of most antihistamines used in AD treatment, as histamine is not the sole mediator of itch (16). The requirement for new therapies for itch treatment are therefore essential.

Recently, natural plant extracts and phytochemicals have been reported to potentially prevent and treat several diseases, including AD. Commiphora myrrha (Myrrh), a member of the Burseraceae plant family, is an indigenous tree native to Somalia, Ethiopia and northern Kenya (17). Myrrh has been traditionally used in perfumes, balms for mummification, skin disease treatments and for healing wounds (18). Myrrh is also used as an anti-inflammatory and antimicrobial agent for the treatment of oral ulcers, gingivitis, sinusitis, glomerulonephritis, brucellosis and parasitic infections (19). In Germany, a herbal preparation containing myrrh, coffee and chamomile flower extracts with a well-known safety profile and has been used for >50 years in treatments for gastrointestinal disorders (20). A randomized clinical trial involving the same herbal preparation demonstrated that it was well tolerated in patients and demonstrated a good safety profile, while demonstrating potential efficacy for the treatment of ulcerative colitis (21). Previous studies have reported that myrrh contains biologically active metabolites, including volatile oils (eugenol, cuminic aldehyde, metacresol, pinene, diterpenes, limonene and sesquiterpenes), steroids, flavonoids, terpenoids, tannins, saponins and carbohydrates (22,23). Despite the anti-inflammatory properties of myrrh extracts, their effect on itch-associated IL-31 cytokine and histamine secretion has not yet, to the best of our knowledge, been investigated. The current study hypothesized that myrrh may inhibit IL-31 and histamine secretion in phorbol-12-myristate 13-acetate (PMA) and calcium ionophore (A23187) stimulated human mast cells (HMC-1).

Materials and methods

Chemicals

Antibodies against IL-31 (cat. no. sc-515415), ERK1/2 (cat. no. sc-135900), phospho-ERK1/2 (cat. no. sc-81492), p38 (cat. no. sc-81621), phospho-p38 (cat. no. sc-166182), JNK (cat. no. sc-7345), phospho-JNK (cat. no. sc-293136), NF-κB/p65 (cat. no. sc-8008) and phospho-NF-κB/p65 (cat. no. sc-136548) were purchased from Santa Cruz Biotechnology, Inc. Antibodies against β-actin (cat. no. 612657) were purchased from Bioscience. PMA and A23187 were purchased from Sigma-Aldrich (Merck KGaA). Western blotting reagent and western blotting buffer were purchased from Bio-Rad Laboratories, Inc. and Thermo Fisher Scientific, Inc., respectively. ELISA kits for IL-31 (cat. no. 445704) and histamine (cat. no. ENZKIT140-0001) were purchased from Biolegend, Inc. and Enzo Life Sciences, Inc., respectively. All subsequent chemicals used in the current study were reagent grade and have been listed within the text.

Plant extraction

Commiphora myrrha (Myrrh) was purchased from Omniherb (cat. no. MYR-1601). The plant was authenticated by Professor Kim Hong-Jun of the College of Oriental Medicine, Woosuk University (Jeollabuk-do, Republic of Korea) and a reference sample was stored in the laboratory. Following the method of a previous study (24), myrrh was extracted in 80% (V/V) ethanol in 2,000 ml water for 72 h at room temperature on a shaker. The extracted sample was passed through filter paper with a pore size of 0.45 µm (Advantec Co., Ltd.), prior to being concentrated under reduced pressure in a vacuum (<1 bar). The concentrated sample was then lyophilized to obtain a powder, which was stored at −20°C for subsequent use. The percentage yield of myrrh extract was 20% (w/w).

Cell culture and treatment with myrrh

HMC-1 cells were cultured in Iscove's modified Dulbecco's medium (Gibco; Thermo Fisher Scientific) at 37°C with 5% CO2 in a humidified incubator. Culture media was supplemented with 10% heat-inactivated FBS (Gibco; Thermo Fisher Scientific, Inc.) and 1% penicillin-streptomycin antibiotics (Sigma-Aldrich; Merck KGaA). Cells (5×105 cells/ml) were seeded into sterile six or 24-well plates for 16 h at 37°C and treated with or without myrrh. This was performed 1 h prior to cell stimulation with 50 nM PMA and 1 µM A23187 for the indicated time periods. The control group was neither treated with myrrh extract nor stimulated with PMA+A23187. For treatment, myrrh extracts were dissolved in dimethyl sulfoxide (DMSO). The final concentration of DMSO in cells undergoing treatment was below the <0.01% non-toxicity level.

Cell viability assay

A Water-soluble Tetrazolium salts (WST) assay was used to determine cell viability. Cells were pre-treated with various concentrations of myrrh (0, 3.125, 6.25, 12.5, 25, 50 and 100 µg/ml) for 24 h at 37°C. A total of 0.01 ml EZ-Cytox reagent (DoGenBio) was added and cells were subsequently incubated at 37°C for 4 h. Absorbance was measured at 540 nm using a microplate reader (Tecan Group, Ltd.).

Reverse transcription-quantitative (RT-q)-PCR analysis

HMC-1 cells (5×105 cells/ml) were cultured in sterile six-well dishes, pre-treated with or without myrrh at 25 and 50 µ/ml for 1 h and then stimulated with 50 nM PMA and 1 µM A23189 for 3 h at 37°C. Total RNA was isolated and purified using an RNeasy Mini extraction kit (Qiagen GmbH), according to the manufacturer's protocol, and stored at −20°C. A total of 1 µg RNA from each sample was reverse transcribed to cDNA using a PrimeScript™ RT Master Mix (Takara Biotechnology Co., Ltd.) with a T100TM Thermal Cycler according to the manufacturer's protocol (Bio-Rad Laboratories, Inc.). Using specific primers for IL-31 (forward, 5′-TGTGCCAACAGACACCCATG-3′ and reverse, 3′-TGTTGGGCTCCAGAGGTCAA-5′) and GADPH (forward, 5′-CACTCCTCCACCTTTGACGC-3′ and reverse, 3′-TCCACCACCCTGTTGCTGTA-5′) as a loading control, qPCR was performed using SYBR Premix Ex Taq™ (Takara Bio Inc.). The thermocycling conditions for RT-qPCR were as follows: 95°C for 3 min followed by 45 cycles of 95°C for 30 sec, 60°C for 30 sec and 72°C for 3 sec. The final extension performed at 72°C for 5 min. Fluorescence data was analyzed using the 2−ΔΔCq method for relative quantification with GAPDH as a control (25).

Western blot analysis

HMC-1 cells (5×105 cells/ml) were cultured in sterile six-well dishes, pre-treated with or without myrrh at 25 and 50 µg/ml for 1 h and stimulated with 50 nM PMA with the addition of 1 µM A23189 for 6 h. Whole cell proteins were extracted using radioimmunoprecipitation assay lysis buffer purchased from Thermo Fisher Scientific, Inc. The proteins were quantified using Quick Start™ Bradford 1× dye reagent (Bio-Rad Laboratories, Inc.). Whole cell protein lysate (20 µg) was separated via electrophoresis on 12% Tris-glycine gels and transferred to polyvinylidene difluoride membranes (Immobilon; EMD Millipore). Membranes were blocked with 5% non-fat dry milk in TBST (0.05% Tween-20 in TBS; pH 7.4) for 1 h at room temperature and incubated with IL-31 (1:100), ERK1/2 (1:100), phospho-ERK1/2 (1:100), p38 (1:100), phospho-p38 (1:100), JNK (1:100), phospho-JNK (1:100), NF-κB/p65 (1:100), or phospho-NF-κB/p65 (1:100) overnight at 4°C. Blots were washed with TBST and incubated with mouse IgGκ light chain binding protein (m-IgGκ BP) conjugated to horseradish peroxidase secondary antibodies (1:10,000; cat. no. sc-516102; Santa Cruz Biotechnology, Inc.) for 2 h at room temperature. Antibody-specific proteins were then visualized using an enhanced chemiluminescence detection kit (GE Healthcare). To ensure equal protein loading, the membranes were stripped and reprobed with anti-β-actin antibodies (1:5,000). The density of each immunoblot band was analyzed using ImageJ (v64-bit Java 1.8.0_112) gel analysis software (National Institutes of Health).

Measurement of cytokine and histamine production

HMC-1 cells (5×105 cells) were cultured in sterile 24-well plates and pre-treated with or without at 25 and 50 µg/ml myrrh for 1 h at 37°C. After stimulating cells with PMA+A23187 for 12 h, the cells were centrifuged at 142 × g for 2 min at 4°C to obtain the supernatants. The concentration of IL-31 and histamine were subsequently determined using ELISA kits. For the standard curve, recombinant IL-31 and histamine standards were run alongside the samples to calculate the concentration of IL-31 and histamine. All steps were performed at room temperature and all standards and samples were assayed in triplicate.

Statistical analysis

All data from the current study was analyzed using one-way analysis of variacnce with a Duncan's multiple range test, which were performed using SPSS version 20.0 statistical software (IBM Corp). P<0.05 was considered to indicate a statistically significant result.

Results

Myrrh extract exhibits no cytotoxicity to pre-treated HMC-1

A WST cell viability assay was performed to evaluate the cytotoxic effects of myrrh extract in HMC-1 cells. As presented in Fig. 1, the viability of cells were assessed 4 h after stimulation with the WST cytotoxic reagent in the absence or presence of myrrh (0, 3.125, 6.25, 12.5, 25, 50 and 100 µg/ml). The results demonstrated that HMC-1 cell pre-treatment with myrrh extract did not significantly affect cell viability. Based on preliminary RT-qPCR results for IL-31 mRNA expression the concentrations of 25 and 50 µg/ml were chosen for subsequent experimentation.

Figure 1.

Effect of myrrh extract concentration on cell viability in calcium ionophore A23187-stimulated human mast cell-1 cells. Data are presented as the mean ± standard deviation of three measurements. ME, myrrh extract.

Myrrh extract suppresses IL-31 mRNA expression

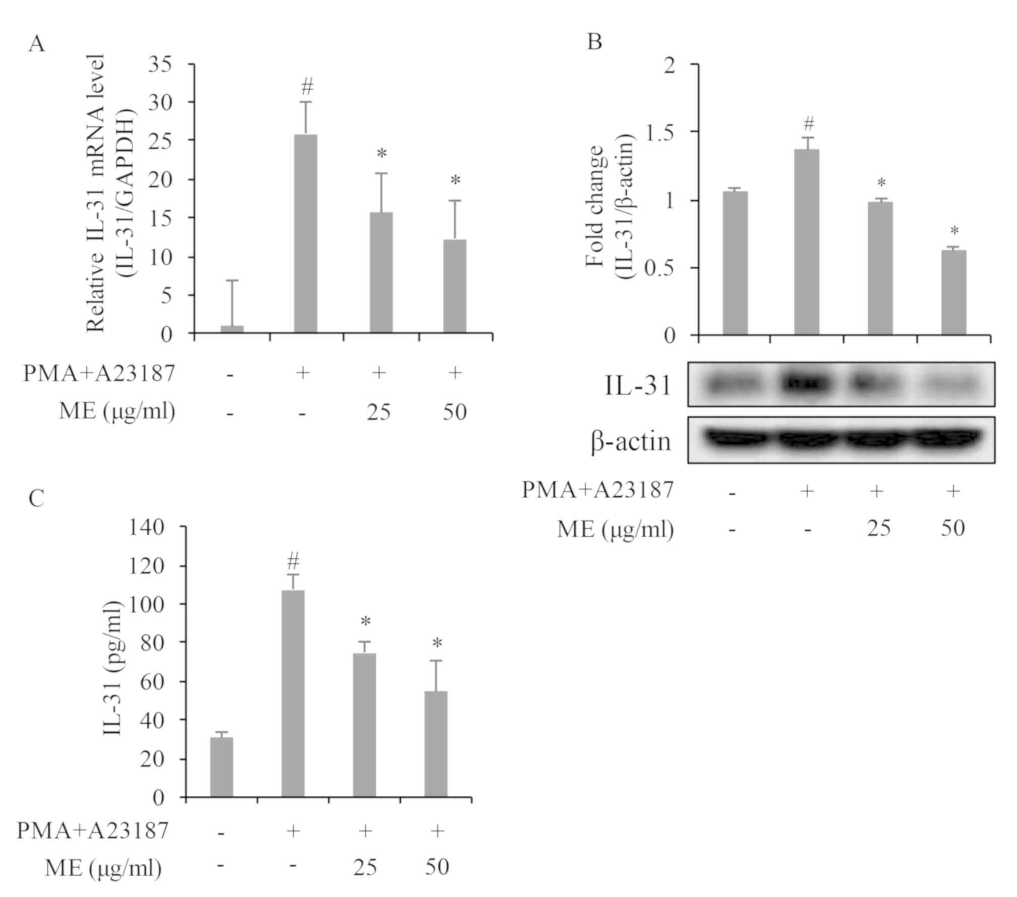
To investigate if Myrrh extract regulates IL-31 gene expression in PMA+A23187-stimulated HMC-1, cells were pre-treated with myrrh extract at 25 and 50 µg/ml for 1 h and subsequently stimulated with 50 nM PMA and 1 µM A23187 for 3 h. As presented in Fig. 2A, PMA+A23187 significantly stimulated IL-31 mRNA expression in HMC-1 cells, while pre-treatment with myrrh extract dose-dependently and significantly inhibited PMA+A23187-induced IL-31 gene expression.

Figure 2.

Effect of myrrh extract on IL-31 mRNA and protein expression in calcium ionophore A23187-stimulated human mast cell-1 cells. (A) IL-31 mRNA expression was determined by reverse transcription-quantitative PCR and (B) IL-31 cytokine protein expression was analyzed using western blot analysis. Band intensity for protein expression was normalized against β-actin. (C) ELISA analysis of IL-31 cytokine production. Data are presented as the mean ± standard deviation of three measurements. #P<0.05 vs. untreated cells; *P<0.05 vs. PMA+A23187 treated cells. IL, interleukin; ME, myrrh extract; PMA, phorbol-12-myristate 13-acetate.

Myrrh extract suppresses IL-31 protein expression

IL-31 protein expression was investigated following treatment of PMA+A23187-stimulated HMC-1 cell samples with myrrh extract at 25 and 50 µg/ml. Protein expression was detected 6 h after stimulation. As presented in Fig. 2B, PMA+A23187 significantly stimulated IL-31 protein expression in HMC-1 cells while pre-treatment with myrrh extract significantly and dose-dependently inhibited IL-31 protein expression.

Myrrh extract suppresses the production of IL-31 cytokine

The release of IL-31 in cell culture media was investigated to confirm the effect of myrrh extract on IL-31 gene and protein expression. As presented in Fig. 2C, treatment with PMA+A23187 significantly (at 12 h) stimulated IL-31 release from HMC-1 cells into the cell culture media. However, pre-treatment with myrrh at 25 and 50 µg/ml inhibited PMA+A23187-induced IL-31 release.

Myrrh extract inhibits histamine production

As histamine has been widely implicated in AD itch, the effect of myrrh extract on histamine release was also investigated in the current study. As presented in Fig. 3, treatment with PMA+A23187 significantly stimulated histamine release in HMC-1 cells. However, cells treated with myrrh extract (25 and 50 µg/ml) exhibited a dose-dependent and significant decrease in histamine release.

Figure 3.

Effect of myrrh extract on histamine release in calcium ionophore A23187-stimulated human mast cell-1 cells. ELISA analysis of the production of histamine. Data are presented as the mean ± standard deviation of three measurements. #P<0.05 vs. untreated cells; *P<0.05 vs. PMA+A23187 treated cells. PMA, phorbol-12-myristate 13-acetate; ME, myrrh extract.

Myrrh extract suppresses mitogen-activated protein kinases (MAPK) and NF-κB activation

To assess the mechanism of action of myrrh extract in the suppression of IL-31 gene expression and cytokine release, the activation of MAP kinases (p38, ERK and JNK) and NF-κB/p65 was determined. The results revealed that PMA+A23187 significantly stimulated the phosphorylation of p38, ERK and JNK in HMC-1 cells within 30 min of stimulation (Fig. 4). However, pre-treatment with myrrh extract significantly and dose-dependently suppressed the phosphorylation of p38, ERK, JNK and NF-κB (Figs. 4 and 5).

Figure 4.

Effect of myrrh extract on the activation of mitogen-activated protein kinases. Western blotting was performed to analyze the phosphorylation of ERK, p38 and JNK. ERK results were quantified using ImageJ software and the band intensity for each protein expression was normalized against β-actin. Data are presented as the mean ± standard deviation of three measurements. #P<0.05 vs. untreated cells; *P<0.05 vs. PMA+A23187 treated cells. p, phosphorylated; PMA, phorbol-12-myristate 13-acetate; ME, myrrh extract.

Figure 5.

Effect of myrrh extract on the activation of NF-κB. The phosphorylation of NF-κB was analyzed using western blot analysis. The results were quantified using ImageJ software. Band intensity for each protein expression was normalized against β-actin. Data are presented as the mean ± standard deviation of three measurements. #P<0.05 vs. untreated cells; *P<0.05 vs. PMA+A23187 treated cells. p, phosphorylated; PMA, phorbol-12-myristate 13-acetate; ME, myrrh extract.

Discussion

The majority of drugs used for the treatment of itch, particularly in AD, have been demonstrated to be ineffective. This is due to the sole targeting of the histamine pathways for which histamine is not the only mediator of itch (15). As such, there is an urgent requirement to develop drugs that will target histamine-dependent and histamine-independent itch in AD. Drugs that are used to treat histamine-dependent itch also are typically associated with long-term side effects such as stretch marks, dilated blood vessels on the surface of the skin, skin thinning and atrophy (14). Natural extracts and compounds are known for their significant contribution to the treatment and prevention of certain diseases (26,27). The current study investigated if myrrh, known for its anti-inflammatory and antibacterial activity, can inhibit itch-associated IL-31 expression and histamine release in human mast cell lines stimulated with PMA+A23187.

The results of the current study demonstrated that myrrh extract exhibited no evidence of cytotoxicity to HMC-1 in treatments up to 100 µg/ml. As a result, myrrh extract <100 µg/ml (25 and 50 µg/ml) were used to demonstrate the effects on stimulated-HMC-1 cells. The results of the present study indicated that myrrh extract significantly inhibited the expression of IL-31 mRNA in comparison with the control group. The effect of myrrh on IL-31 protein expression and release in HMC-1 cells was also investigated. Myrrh was demonstrated to inhibit the expression and release of IL-31 in HMC-1 cells. The results also demonstrated that the inhibitory effects of myrrh in IL-31 production start at the level of gene expression. Myrrh and myrrh oils have been previously demonstrated to exhibit anti-inflammatory effects by inhibiting the production of prostaglandin E2, nitrous oxide and proinflammatory cytokines including tumor necrosis factor (TNF)-α, IL-6 and IL-8, in other cell lines including peripheral macrophages, human gingival fibroblasts and epithelial cells within in vivo studies (28–30). To understand the mechanisms of action used by myrrh extract in inhibiting itch-associated IL-31 further, the effects of myrrh extract on NF-κB and MAPK activation was assessed. The MAPK cascade is a signaling pathway of the immune response and serves an essential role in the intracellular signal network, while also regulating cytokine expression (31). NF-κB serves a role in the regulation of cell survival genes and the coordination of proinflammatory cytokine expression including in TNF-α and IL-6 (32). MAPK has also been implicated in NF-κB activation (33). It has been previously demonstrated that MAPK and NF-κB/p65 activation drive IL-31 production and secretion, as potent inhibitors of MAPK and NF-κB block IL-31 release in HMC-1 cells (34). A novel NF-κB-binding element within the IL-31 promoter has also been revealed to mediate IL-31 expression in human T helper 2 cells (35). Major compounds found in myrrh, which include flavonoids, sesquiterpene, terpenoids and eugenol, have been revealed to inhibit the activation of the MAPK and NF-κB pathways (36–39). In the current study, the results indicated that myrrh extract inhibited the PMA+A23187-induced phosphorylation of JNK, ERK and p38. Myrrh extract also inhibited the phosphorylation of NF-κB, indicating that the action of myrrh extract in the inhibition of PMA+A23187-induced production of IL-31 is mediated by its inhibition of the MAPK and NF-κB signaling pathways.

Since histamine is released from mast cells when tissues are inflamed or stimulated by AD allergens, serving to mediate the histamine-induced itch response, the current study also assessed the effect of myrrh extract on histamine release from mast cells stimulated with PMA+A23187. PMA+A23187 has been previously demonstrated to stimulate the release of histamine in HMC-1 cells (40). In the present study, the PMA+A23187 stimulation of mast cell histamine release was revealed and myrrh extract was demonstrated to inhibit this release. The results of the current study may raise the awareness of myrrh and the ability of its active compounds to target histamine-dependent and histamine-independent itch, particularly in cases where histamine receptor blockers alone are ineffective in alleviating itch.

In the present study, it was demonstrated that an anti-inflammatory effect of myrrh is the regulation of the itch-associated IL-31 cytokine release. It was also demonstrated that myrrh may be associated with the reduction of intracellular MAPK and NF-κB/p65 activation in PMA+A23187-activated HMC-1 cells. The results also revealed that myrrh inhibits histamine release in activated HMC-1 cells. The current study provides new evidence as to the anti-itch mechanism of myrrh, which has been previously used as a treatment for other skin infections, inflammatory conditions, periodontal, diarrhea and allergic diseases (41). Conclusively, it can be expected that myrrh and its active compounds may be considered a viable candidate in AD itch treatment due to its action on mast cells. However, the current study was performed on a single cell line (HMC-1). Further studies involving other associated cell lines, including primary mast cells and in vivo experiments mimicking symptoms like itch in AD, are therefore required to ascertain these claims.

Acknowledgements

Not applicable.

Funding

The present study was supported by project for Cooperative R&D between Industry, Academy and Research Institute funded Korea Ministry of SMEs and Startups in 2017 (grant no. C0506751).

Availability of data and materials

The analyzed data sets generated during the present study are available from the corresponding author on reasonable request.

Authors' contributions

BC and SJ designed the current study and analyzed the data. JS, DC, HK and JK performed the experiments. JS, DC and BC wrote the manuscript. SJ managed the research project.

Ethics approval and consent to participate

Not applicable.

Patient consent for publication

Not applicable.

Competing interests

The authors declare that they have no competing interests.

References

1 

Yosipovitch G and Papoiu AD: What causes itch in atopic dermatitis? Curr Allergy Asthma Rep. 8:306–311. 2008. View Article : Google Scholar : PubMed/NCBI

2 

Sanders KM, Nattkemper LA and Yosipovitch G: Advances in understanding itching and scratching: A new era of targeted treatments. F1000Res. 5:F1000 Faculty Rev-2042. 2016. View Article : Google Scholar : PubMed/NCBI

3 

Mollanazar NK, Smith PK and Yosipovitch G: Mediators of chronic pruritus in atopic dermatitis: Getting the itch out? Clin Rev Allergy Immunol. 51:263–292. 2016. View Article : Google Scholar : PubMed/NCBI

4 

Tani E, Shiosaka S, Sato M, Ishikawa T and Tohyama M: Histamine acts directly on calcitonin gene-related peptide- and substance P-containing trigeminal ganglion neurons as assessed by calcium influx and immunocytochemistry. Neurosci Lett. 115:171–176. 1990. View Article : Google Scholar : PubMed/NCBI

5 

Dunford PJ, Williams KN, Desai PJ, Karlsson L, McQueen D and Thurmond RL: Histamine H4 receptor antagonists are superior to traditional antihistamines in the attenuation of experimental pruritus. J Allergy Clin Immunol. 119:176–183. 2007. View Article : Google Scholar : PubMed/NCBI

6 

Simons FE, Simons KJ, Becker AB and Haydey RP: Pharmacokinetics and antipruritic effects of hydroxyzine in children with atopic dermatitis. J Pediatr. 104:123–127. 1984. View Article : Google Scholar : PubMed/NCBI

7 

Stempelj M and Ferjan I: Signaling pathway in nerve growth factor induced histamine release from rat mast cells. Inflamm Res. 54:344–349. 2005. View Article : Google Scholar : PubMed/NCBI

8 

Metcalfe DD, Peavy RD and Gilfillan AM: Mechanisms of mast cell signaling in anaphylaxis. J Allergy Clin Immunol. 124:639–646; quiz 647–648. 2009. View Article : Google Scholar : PubMed/NCBI

9 

Nemeth K, Wilson T, Rada B, Parmelee A, Mayer B, Buzas E, Falus A, Key S, Masszi T, Karpati S and Mezey E: Characterization and function of histamine receptors in human bone marrow stromal cells. Stem Cells. 30:222–231. 2012. View Article : Google Scholar : PubMed/NCBI

10 

Nordlind K, Chin LB, Ahmed AA, Brakenhoff J, Theodorsson E and Liden S: Immunohistochemical localization of interleukin-6-like immunoreactivity to peripheral nerve-like structures in normal and inflamed human skin. Arch Dermatol Res. 288:431–435. 1996. View Article : Google Scholar : PubMed/NCBI

11 

Stevens SR, Hanifin JM, Hamilton T, Tofte SJ and Cooper KD: Long-term effectiveness and safety of recombinant human interferon gamma therapy for atopic dermatitis despite unchanged serum IgE levels. Arch Dermatol. 134:799–804. 1998. View Article : Google Scholar : PubMed/NCBI

12 

Zhang Q, Putheti P, Zhou Q, Liu Q and Gao W: Structures and biological functions of IL-31 and IL-31 receptors. Cytokine Growth Factor Rev. 19:347–356. 2008. View Article : Google Scholar : PubMed/NCBI

13 

Takaoka A, Arai I, Sugimoto M, Yamaguchi A, Tanaka M and Nakaike S: Expression of IL-31 gene transcripts in NC/Nga mice with atopic dermatitis. Eur J Pharmacol. 516:180–181. 2005. View Article : Google Scholar : PubMed/NCBI

14 

Weidinger S, Beck LA, Bieber T, Kabashima K and Irvine AD: Atopic dermatitis. Nat Rev Dis Primers. 4:12018. View Article : Google Scholar : PubMed/NCBI

15 

Lee CH: Progress of pruritus research in atopic dermatitis. Biomol Ther. 18:246–256. 2010. View Article : Google Scholar

16 

Rukwied R, Lischetzki G, McGlone F, Heyer G and Schmelz M: Mast cell mediators other than histamine induce pruritus in atopic dermatitis patients: A dermal microdialysis study. Br J Dermatol. 142:1114–1120. 2000. View Article : Google Scholar : PubMed/NCBI

17 

Başer KHC, Demirci B, Dekebo A and Dagne E: Essential oils of some Boswellia spp., Myrrh and Opopanax. Flavour Fragr J. 18:153–156. 2003. View Article : Google Scholar

18 

Ljaljević Grbić M, Unković N, Dimkić I, Janaćković P, Gavrilović M, Stanojević O, Stupar M, Vujisić L, Jelikić A, Stanković S and Vukojević J: Frankincense and myrrh essential oils and burn incense fume against micro-inhabitants of sacral ambients. Wisdom of the ancients? J Ethnopharmacol. 219:1–14. 2018. View Article : Google Scholar : PubMed/NCBI

19 

Mohamed AA, Ali SI, El-Baz FK, Hegazy AK and Kord MA: Chemical composition of essential oil and in vitro antioxidant and antimicrobial activities of crude extracts of Commiphora myrrha resin. Industr Crops Prod. 57:10–16. 2014. View Article : Google Scholar

20 

Albrecht U, Muller V, Schneider B and Stange R: Efficacy and safety of a herbal medicinal product containing myrrh, chamomile and coffee charcoal for the treatment of gastrointestinal disorders: A non-interventional study. BMJ Open Gastroenterol. 1:e0000152015. View Article : Google Scholar : PubMed/NCBI

21 

Langhorst J, Varnhagen I, Schneider SB, Albrecht U, Rueffer A, Stange R, Michalsen A and Dobos GJ: Randomised clinical trial: A herbal preparation of myrrh, chamomile and coffee charcoal compared with mesalazine in maintaining remission in ulcerative colitis-a double-blind, double-dummy study. Aliment Pharmacol Ther. 38:490–500. 2013. View Article : Google Scholar : PubMed/NCBI

22 

Shameem I: Phytochemical & therapeutic potentials of Murr Makki (Commiphora myrrha): A review. Indian J Appl Res. 8:102–104. 2018.

23 

Hanus LO, Rezanka T, Dembitsky VM and Moussaieff A: Myrrh-Commiphora chemistry. Biomed Papers Med Faculty Univ Palacky, Olomouc, Czechoslovakia. 149:3–27. 2005. View Article : Google Scholar

24 

Baek SJ and Kim DH: The Study on anti-obesity of Myrrh ethanol extract. Korea J Herbol. 31:11–18. 2016. View Article : Google Scholar

25 

Livak KJ and Schmittgen TD: Analysis of relative gene expression data using real time quantitative PCR and the 2(-Delta Delta C(T)) method. Methods. 25:402–408. 2001. View Article : Google Scholar : PubMed/NCBI

26 

Jamshidi-Kia F, Lorigooini Z and Amini-Khoei H: Medicinal plants: Past history and future perspective. J Herbmed Pharmacol. 7:1–7. 2018. View Article : Google Scholar

27 

Panche AN, Diwan AD and Chandra SR: Flavonoids: An overview. J Nutr Sci. 5:e472016. View Article : Google Scholar : PubMed/NCBI

28 

Kim MS, Bae GS, Park KC, Koo BS, Kim BJ, Lee HJ, Seo SW, Shin YK, Jung WS, Cho JH, et al: Myrrh inhibits LPS-induced inflammatory response and protects from cecal ligation and puncture-induced sepsis. Evid Based Complement Alternat Med. 2012:2787182012.PubMed/NCBI

29 

Tipton DA, Lyle B, Babich H and Dabbous MKh: In vitro cytotoxic and anti-inflammatory effects of myrrh oil on human gingival fibroblasts and epithelial cells. Toxicol In Vitro. 17:301–310. 2003. View Article : Google Scholar : PubMed/NCBI

30 

Fatani AJ, Alrojayee FS, Parmar MY, Abuohashish HM, Ahmed MM and Al-Rejaie SS: Myrrh attenuates oxidative and inflammatory processes in acetic acid-induced ulcerative colitis. Exp Ther Med. 12:730–738. 2016. View Article : Google Scholar : PubMed/NCBI

31 

Kawakami Y, Hartman SE, Holland PM, Cooper JA and Kawakami T: Multiple signaling pathways for the activation of JNK in mast cells: Involvement of Bruton's tyrosine kinase, protein kinase C and JNK kinases, SEK1 and MKK7. J Immunol. 161:1795–1802. 1998.PubMed/NCBI

32 

Park HJ, Lee HJ, Choi MS, Son DJ, Song HS, Song MJ, Lee JM, Han SB, Kim Y and Hong JT: JNK pathway is involved in the inhibition of inflammatory target gene expression and NF-kappaB activation by melittin. J Inflamm (Lond). 5:72008. View Article : Google Scholar : PubMed/NCBI

33 

Craig R, Larkin A, Mingo AM, Thuerauf DJ, Andrews C, McDonough PM and Glembotski CC: p38 MAPK and NF-kappa B collaborate to induce interleukin-6 gene expression and release. Evidence for a cytoprotective autocrine signaling pathway in a cardiac myocyte model system. J Biol Chem. 275:23814–23824. 2000. View Article : Google Scholar : PubMed/NCBI

34 

Che DN, Cho BO, Shin JY, Kang HJ, Kim YS and Jang SI: Fisetin inhibits IL-31 production in stimulated human mast cells: Possibilities of fisetin being exploited to treat histamine-independent pruritus. Life Sci. 201:121–129. 2018. View Article : Google Scholar : PubMed/NCBI

35 

Maier E, Werner D, Duschl A, Bohle B and Horejs-Hoeck J: Human Th2 but not Th9 cells release IL-31 in a STAT6/NF-κB-dependent way. J Immunol. 193:645–654. 2014. View Article : Google Scholar : PubMed/NCBI

36 

Wang Y, Zhou B, Lu J, Chen Q, Ti H, Huang W, Li J, Yang Z, Jiang Z and Wang X: Inhibition of influenza virus via a sesquiterpene fraction isolated from Laggera pterodonta by targeting the NF-κB and p38 pathways. BMC Complement Altern Med. 17:252017. View Article : Google Scholar : PubMed/NCBI

37 

Salminen A, Lehtonen M, Suuronen T, Kaarniranta K and Huuskonen J: Terpenoids: Natural inhibitors of NF-kappaB signaling with anti-inflammatory and anticancer potential. Cell Mol Life Sci. 65:2979–2999. 2008. View Article : Google Scholar : PubMed/NCBI

38 

Deepak V, Kasonga A, Kruger MC and Coetzee M: Inhibitory effects of eugenol on RANKL-induced osteoclast formation via attenuation of NF-κB and MAPK pathways. Connect Tissue Res. 56:195–203. 2015. View Article : Google Scholar : PubMed/NCBI

39 

Karunaweera N, Raju R, Gyengesi E and Münch G: Plant polyphenols as inhibitors of NF-κB induced cytokine production-a potential anti-inflammatory treatment for Alzheimer's disease? Front Mol Neurosci. 8:242015. View Article : Google Scholar : PubMed/NCBI

40 

Je IG, Kim HH, Park PH, Kwon TK, Seo SY, Shin TY and Kim SH: SG-HQ2 inhibits mast cell-mediated allergic inflammation through suppression of histamine release and pro-inflammatory cytokines. Exp Biol Med (Maywood). 240:631–638. 2015. View Article : Google Scholar : PubMed/NCBI

41 

Nomicos EY: Myrrh: Medical marvel or myth of the Magi? Holist Nurs Pract. 21:308–323. 2007. View Article : Google Scholar : PubMed/NCBI

Related Articles

  • Abstract
  • View
  • Download
  • Twitter
Copy and paste a formatted citation
Spandidos Publications style
Shin JY, Che DN, Cho BO, Kang HJ, Kim J and Jang SI: Commiphora myrrha inhibits itch‑associated histamine and IL‑31 production in stimulated mast cells. Exp Ther Med 18: 1914-1920, 2019.
APA
Shin, J.Y., Che, D.N., Cho, B.O., Kang, H.J., Kim, J., & Jang, S.I. (2019). Commiphora myrrha inhibits itch‑associated histamine and IL‑31 production in stimulated mast cells. Experimental and Therapeutic Medicine, 18, 1914-1920. https://doi.org/10.3892/etm.2019.7721
MLA
Shin, J. Y., Che, D. N., Cho, B. O., Kang, H. J., Kim, J., Jang, S. I."Commiphora myrrha inhibits itch‑associated histamine and IL‑31 production in stimulated mast cells". Experimental and Therapeutic Medicine 18.3 (2019): 1914-1920.
Chicago
Shin, J. Y., Che, D. N., Cho, B. O., Kang, H. J., Kim, J., Jang, S. I."Commiphora myrrha inhibits itch‑associated histamine and IL‑31 production in stimulated mast cells". Experimental and Therapeutic Medicine 18, no. 3 (2019): 1914-1920. https://doi.org/10.3892/etm.2019.7721
Copy and paste a formatted citation
x
Spandidos Publications style
Shin JY, Che DN, Cho BO, Kang HJ, Kim J and Jang SI: Commiphora myrrha inhibits itch‑associated histamine and IL‑31 production in stimulated mast cells. Exp Ther Med 18: 1914-1920, 2019.
APA
Shin, J.Y., Che, D.N., Cho, B.O., Kang, H.J., Kim, J., & Jang, S.I. (2019). Commiphora myrrha inhibits itch‑associated histamine and IL‑31 production in stimulated mast cells. Experimental and Therapeutic Medicine, 18, 1914-1920. https://doi.org/10.3892/etm.2019.7721
MLA
Shin, J. Y., Che, D. N., Cho, B. O., Kang, H. J., Kim, J., Jang, S. I."Commiphora myrrha inhibits itch‑associated histamine and IL‑31 production in stimulated mast cells". Experimental and Therapeutic Medicine 18.3 (2019): 1914-1920.
Chicago
Shin, J. Y., Che, D. N., Cho, B. O., Kang, H. J., Kim, J., Jang, S. I."Commiphora myrrha inhibits itch‑associated histamine and IL‑31 production in stimulated mast cells". Experimental and Therapeutic Medicine 18, no. 3 (2019): 1914-1920. https://doi.org/10.3892/etm.2019.7721
Follow us
  • Twitter
  • LinkedIn
  • Facebook
About
  • Spandidos Publications
  • Careers
  • Cookie Policy
  • Privacy Policy
How can we help?
  • Help
  • Live Chat
  • Contact
  • Email to our Support Team