Spandidos Publications Logo
  • About
    • About Spandidos
    • Aims and Scopes
    • Abstracting and Indexing
    • Editorial Policies
    • Reprints and Permissions
    • Job Opportunities
    • Terms and Conditions
    • Contact
  • Journals
    • All Journals
    • Oncology Letters
      • Oncology Letters
      • Information for Authors
      • Editorial Policies
      • Editorial Board
      • Aims and Scope
      • Abstracting and Indexing
      • Bibliographic Information
      • Archive
    • International Journal of Oncology
      • International Journal of Oncology
      • Information for Authors
      • Editorial Policies
      • Editorial Board
      • Aims and Scope
      • Abstracting and Indexing
      • Bibliographic Information
      • Archive
    • Molecular and Clinical Oncology
      • Molecular and Clinical Oncology
      • Information for Authors
      • Editorial Policies
      • Editorial Board
      • Aims and Scope
      • Abstracting and Indexing
      • Bibliographic Information
      • Archive
    • Experimental and Therapeutic Medicine
      • Experimental and Therapeutic Medicine
      • Information for Authors
      • Editorial Policies
      • Editorial Board
      • Aims and Scope
      • Abstracting and Indexing
      • Bibliographic Information
      • Archive
    • International Journal of Molecular Medicine
      • International Journal of Molecular Medicine
      • Information for Authors
      • Editorial Policies
      • Editorial Board
      • Aims and Scope
      • Abstracting and Indexing
      • Bibliographic Information
      • Archive
    • Biomedical Reports
      • Biomedical Reports
      • Information for Authors
      • Editorial Policies
      • Editorial Board
      • Aims and Scope
      • Abstracting and Indexing
      • Bibliographic Information
      • Archive
    • Oncology Reports
      • Oncology Reports
      • Information for Authors
      • Editorial Policies
      • Editorial Board
      • Aims and Scope
      • Abstracting and Indexing
      • Bibliographic Information
      • Archive
    • Molecular Medicine Reports
      • Molecular Medicine Reports
      • Information for Authors
      • Editorial Policies
      • Editorial Board
      • Aims and Scope
      • Abstracting and Indexing
      • Bibliographic Information
      • Archive
    • World Academy of Sciences Journal
      • World Academy of Sciences Journal
      • Information for Authors
      • Editorial Policies
      • Editorial Board
      • Aims and Scope
      • Abstracting and Indexing
      • Bibliographic Information
      • Archive
    • International Journal of Functional Nutrition
      • International Journal of Functional Nutrition
      • Information for Authors
      • Editorial Policies
      • Editorial Board
      • Aims and Scope
      • Abstracting and Indexing
      • Bibliographic Information
      • Archive
    • International Journal of Epigenetics
      • International Journal of Epigenetics
      • Information for Authors
      • Editorial Policies
      • Editorial Board
      • Aims and Scope
      • Abstracting and Indexing
      • Bibliographic Information
      • Archive
    • Medicine International
      • Medicine International
      • Information for Authors
      • Editorial Policies
      • Editorial Board
      • Aims and Scope
      • Abstracting and Indexing
      • Bibliographic Information
      • Archive
  • Articles
  • Information
    • Information for Authors
    • Information for Reviewers
    • Information for Librarians
    • Information for Advertisers
    • Conferences
  • Language Editing
Spandidos Publications Logo
  • About
    • About Spandidos
    • Aims and Scopes
    • Abstracting and Indexing
    • Editorial Policies
    • Reprints and Permissions
    • Job Opportunities
    • Terms and Conditions
    • Contact
  • Journals
    • All Journals
    • Biomedical Reports
      • Information for Authors
      • Editorial Policies
      • Editorial Board
      • Aims and Scope
      • Abstracting and Indexing
      • Bibliographic Information
      • Archive
    • Experimental and Therapeutic Medicine
      • Information for Authors
      • Editorial Policies
      • Editorial Board
      • Aims and Scope
      • Abstracting and Indexing
      • Bibliographic Information
      • Archive
    • International Journal of Epigenetics
      • Information for Authors
      • Editorial Policies
      • Editorial Board
      • Aims and Scope
      • Abstracting and Indexing
      • Bibliographic Information
      • Archive
    • International Journal of Functional Nutrition
      • Information for Authors
      • Editorial Policies
      • Editorial Board
      • Aims and Scope
      • Abstracting and Indexing
      • Bibliographic Information
      • Archive
    • International Journal of Molecular Medicine
      • Information for Authors
      • Editorial Policies
      • Editorial Board
      • Aims and Scope
      • Abstracting and Indexing
      • Bibliographic Information
      • Archive
    • International Journal of Oncology
      • Information for Authors
      • Editorial Policies
      • Editorial Board
      • Aims and Scope
      • Abstracting and Indexing
      • Bibliographic Information
      • Archive
    • Medicine International
      • Information for Authors
      • Editorial Policies
      • Editorial Board
      • Aims and Scope
      • Abstracting and Indexing
      • Bibliographic Information
      • Archive
    • Molecular and Clinical Oncology
      • Information for Authors
      • Editorial Policies
      • Editorial Board
      • Aims and Scope
      • Abstracting and Indexing
      • Bibliographic Information
      • Archive
    • Molecular Medicine Reports
      • Information for Authors
      • Editorial Policies
      • Editorial Board
      • Aims and Scope
      • Abstracting and Indexing
      • Bibliographic Information
      • Archive
    • Oncology Letters
      • Information for Authors
      • Editorial Policies
      • Editorial Board
      • Aims and Scope
      • Abstracting and Indexing
      • Bibliographic Information
      • Archive
    • Oncology Reports
      • Information for Authors
      • Editorial Policies
      • Editorial Board
      • Aims and Scope
      • Abstracting and Indexing
      • Bibliographic Information
      • Archive
    • World Academy of Sciences Journal
      • Information for Authors
      • Editorial Policies
      • Editorial Board
      • Aims and Scope
      • Abstracting and Indexing
      • Bibliographic Information
      • Archive
  • Articles
  • Information
    • For Authors
    • For Reviewers
    • For Librarians
    • For Advertisers
    • Conferences
  • Language Editing
Login Register Submit
  • This site uses cookies
  • You can change your cookie settings at any time by following the instructions in our Cookie Policy. To find out more, you may read our Privacy Policy.

    I agree
Search articles by DOI, keyword, author or affiliation
Search
Advanced Search
presentation
Experimental and Therapeutic Medicine
Join Editorial Board Propose a Special Issue
Print ISSN: 1792-0981 Online ISSN: 1792-1015
Journal Cover
September-2019 Volume 18 Issue 3

Full Size Image

Sign up for eToc alerts
Recommend to Library

Journals

International Journal of Molecular Medicine

International Journal of Molecular Medicine

International Journal of Molecular Medicine is an international journal devoted to molecular mechanisms of human disease.

International Journal of Oncology

International Journal of Oncology

International Journal of Oncology is an international journal devoted to oncology research and cancer treatment.

Molecular Medicine Reports

Molecular Medicine Reports

Covers molecular medicine topics such as pharmacology, pathology, genetics, neuroscience, infectious diseases, molecular cardiology, and molecular surgery.

Oncology Reports

Oncology Reports

Oncology Reports is an international journal devoted to fundamental and applied research in Oncology.

Experimental and Therapeutic Medicine

Experimental and Therapeutic Medicine

Experimental and Therapeutic Medicine is an international journal devoted to laboratory and clinical medicine.

Oncology Letters

Oncology Letters

Oncology Letters is an international journal devoted to Experimental and Clinical Oncology.

Biomedical Reports

Biomedical Reports

Explores a wide range of biological and medical fields, including pharmacology, genetics, microbiology, neuroscience, and molecular cardiology.

Molecular and Clinical Oncology

Molecular and Clinical Oncology

International journal addressing all aspects of oncology research, from tumorigenesis and oncogenes to chemotherapy and metastasis.

World Academy of Sciences Journal

World Academy of Sciences Journal

Multidisciplinary open-access journal spanning biochemistry, genetics, neuroscience, environmental health, and synthetic biology.

International Journal of Functional Nutrition

International Journal of Functional Nutrition

Open-access journal combining biochemistry, pharmacology, immunology, and genetics to advance health through functional nutrition.

International Journal of Epigenetics

International Journal of Epigenetics

Publishes open-access research on using epigenetics to advance understanding and treatment of human disease.

Medicine International

Medicine International

An International Open Access Journal Devoted to General Medicine.

Journal Cover
September-2019 Volume 18 Issue 3

Full Size Image

Sign up for eToc alerts
Recommend to Library

  • Article
  • Citations
    • Cite This Article
    • Download Citation
    • Create Citation Alert
    • Remove Citation Alert
    • Cited By
  • Similar Articles
    • Related Articles (in Spandidos Publications)
    • Similar Articles (Google Scholar)
    • Similar Articles (PubMed)
  • Download PDF
  • Download XML
  • View XML
Case Report

Ventricular tachycardia and heart failure in a patient of mid‑ventricular obstructive hypertrophic cardiomyopathy with apical aneurysm: A case report

  • Authors:
    • Xin Zhang
    • Xingbin Liu
  • View Affiliations / Copyright

    Affiliations: Department of Cardiology, West China Hospital, Sichuan University, Chengdu, Sichuan 610041, P.R. China
  • Pages: 2238-2242
    |
    Published online on: July 19, 2019
       https://doi.org/10.3892/etm.2019.7796
  • Expand metrics +
Metrics: Total Views: 0 (Spandidos Publications: | PMC Statistics: )
Metrics: Total PDF Downloads: 0 (Spandidos Publications: | PMC Statistics: )
Cited By (CrossRef): 0 citations Loading Articles...

This article is mentioned in:



Abstract

Mid‑ventricular obstructive hypertrophic cardiomyopathy (MVOHC) with apical aneurysm is a rare type of cardiomyopathy. It is associated with an elevated risk of ventricular arrhythmias, thromboembolism, heart failure and sudden cardiac death. The present case study reports on a patient with MVOHC and apical aneurysm who developed ventricular arrhythmias and heart failure. The patient received an implantable cardioverter defibrillator for prevention of fatal arrhythmias. Ventricular tachycardia was terminated by increased doses of amiodarone and β‑blocker. Transthoracic echocardiography indicated a mid‑ventricular gradient of 64 mmHg. The patient refused surgical treatment and opted for alcohol septal ablation (ASA). At the 6‑month follow‑up, a rebound of the gradient following ASA was observed on echocardiography. In the present study, timely recognition of MVOHC with apical aneurysm led to prompt defibrillator implantation for prophylaxis regarding further malignant arrhythmias. Surgical management should be considered in symptomatic patients with MVOHC and apical aneurysm.

Introduction

Hypertrophic cardiomyopathy (HCM) is an inherited disorder of the cardiac muscle caused by a genetic defect and affects approximately one in 500 individuals (1). Patients with HCM present with multiple morphologic variants. Obstructive hypertrophic cardiomyopathy (OHC) is a classic pathophysiological feature of HCM, characterized by unexplained left ventricular (LV) hypertrophy in association with non-dilated ventricular chambers (1). OHC is associated with an increased risk of clinical deterioration and cardiovascular mortality (1). Obstruction can cause an increase in LV systolic pressure, which leads to prolonged ventricular relaxation, elevated LV diastolic pressure, mitral regurgitation, myocardial ischemia and decreased cardiac output (2–4). The presence of an aneurysmal apex in association with mid-ventricular obstruction is a rare morphological subgroup within the heterogeneous cardiomyopathy phenotypic spectrum (5). Mid-ventricular OHC (MVOHC) with apical aneurysm portends a wide spectrum of adverse outcomes, including ventricular arrhythmias, thromboembolism, heart failure and sudden cardiac death (6). The present study presents a rare case of MVOHC combined with apical aneurysm and its management.

Case presentation

A 61-year-old Chinese male was admitted to his local cardiology department in June 2016 due to episodes of syncope after palpitation at rest. The patient had no family history of heart disease and his electrocardiogram indicated monomorphic ventricular tachycardia (Fig. 1). The initial troponin I level was 42.96 ng/ml and the patient was diagnosed with ST-segment elevation myocardial infarction. The abnormal electrocardiogram prompted invasive coronary angiography, which provided no evidence of obstructive coronary artery disease. The electrocardiogram that was then performed exhibited sinus rhythm, ST elevation and T wave abnormality (Fig. 2). The sinus rhythm was quickly restored but could not be maintained.

Figure 1.

Twelve-lead electrocardiogram on 19th June 2016 indicating sustained monomorphic ventricular tachycardia.

Figure 2.

Twelve-lead electrocardiogram on 24th June 2016 displaying sinus rhythm, ST elevation and T wave abnormality.

After 10 days, the patient was transferred to the Department of Cardiology of West China Hospital (Chengdu, China). The electrocardiogram revealed sinus rhythm, ST elevation (≥1 mm) and T wave abnormality in V2 through V6 (negative T waves). Stabilization of the patient was obtained after electric cardioversion and concomitant use of β-blockers and amiodarone. Coronary angiograms indicated no narrowing of any major epicardial coronary arteries. Transthoracic echocardiography revealed normal dimensions of the LV (48 mm) with mid-cavity hypertrophy (maximal wall thickness in the interventricular septum, 25 mm), left atrial dilatation (39 mm), a measured ejection fraction of 62% and an aneurysmal apex (Fig. 3). A subsequent cardiac acoustic contrast demonstrated clear evidence of HCM with an hourglass shape of the LV and a 35×32 mm apical aneurysm (Fig. 4). The patient then underwent dual chamber implantable cardioverter defibrillator (ICD) implantation for prevention of fatal ventricular arrhythmias (Fig. 5). Subsequently, the patient remained clinically and hemodynamically stable.

Figure 3.

Transthoracic echocardiography with apical four-chamber view and color Doppler ultrasound on 8th July 2016: Severe hypertrophic cardiomyopathy with mid-cavity obstruction and apical aneurysm was indicated. LA, left atrium; IVS, intraventricular septum.

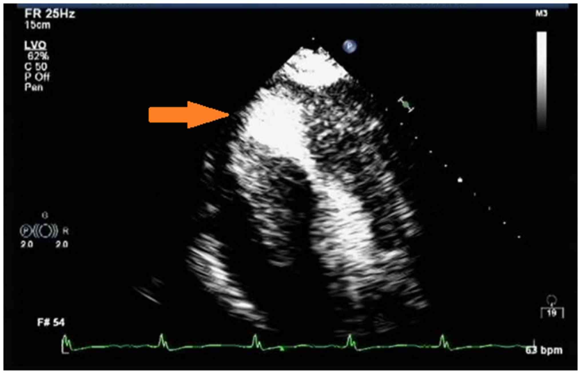
Figure 4.

Contrast transthoracic echocardiographic image taken on 13th July 2016 demonstrated mid-ventricular narrowing with aneurysmal apex (arrow).

Figure 5.

The X-ray performed on 20th July 2016 indicated that the patient already had a dual chamber cardioverter defibrillator implanted for prevention of fatal ventricular arrhythmias as a part of the treatment course at West China Hospital.

One year later, the patient experienced an electrical storm with 100 episodes of sustained ventricular tachycardia (VT) and multiple ICD shock (Fig. 6). Recurrent sustained monomorphic VT was terminated by increased doses of amiodarone and β-blocker. Furthermore, the patient experienced dyspnea on exertion. On transthoracic echocardiography, an apical aneurysm and a provoked mid-ventricular gradient of 64 mmHg were noted. The patient refused surgical treatment and but provided written informed consent to undergo alcohol septal ablation. Hemodynamic assessment revealed a significant intra-ventricular pressure gradient of 69 mmHg (LV apex, 169 mmHg; LV outflow, 100 mmHg; Fig. 7A). Repeated hemodynamic measurements after the procedure revealed a decrease of the post-extrasystolic gradient to 37 mmHg (LV apex, 135 mmHg; LV outflow, 98 mmHg) at the mid-ventricular level (Fig. 7B). The fourth and the fifth septal branches were dominant and echocontrast injection into target vessels resulted in the largest echocontrast view in the hypertrophic muscle segment. Therefore, the fourth and the fifth septal branches were assumed as target vessels and occlusion of these vessels resulted in a significant decrease in the intraventricular pressure gradient. The post-procedural echocardiographic examination indicated reductions in the left atrial dimension to 30 mm, intra-ventricular septum thickness to 20 mm and a mid-ventricular peak systolic gradient of 19 mmHg. There were no further VT episodes during treatment with amiodarone (200 mg, once a day) and metoprolol (47.5 mg, twice per day).

Figure 6.

Twelve-lead electrocardiogram on 20th July 2017 indicating short-burst anti-tachycardia pacing followed by ventricular tachycardia.

Figure 7.

Percutaneous septal myocardial ablation reveling the intra-ventricular pressure gradient. (A) Pre-procedural invasive pressure recordings; (B) post-procedural invasive pressure recordings. Recordings were taken on 25th July 2017.

At the 6-month follow-up, the patient had developed dyspnea on exertion (New York Heart Association functional class III (7). Echocardiography indicated marked intracavitary LV obstruction at the mid-ventricular level, with a peak gradient of 80 mmHg. The LV ejection fraction was 45% (Fig. 8).

Figure 8.

Echocardiographic follow-up imaging with four-chamber view on 20th January 2018. (A) The predominant thickening of the mid-ventricular and the formation of left ventricular apical aneurysm. (B) Flow turbulence caused by mid-ventricular obstruction was associated with a gradient of 80 mmHg (arrow). IVS, intraventricular septum.

Discussion

According to the 2011 American College of Cardiology Foundation (ACCF)/American Heart Association (AHA) guidelines, the clinical entity HCM is defined as a disease state characterized by unexplained LV hypertrophy associated with nondilated ventricular chambers in the absence of any other cardiac or systemic disease (8). Based on the electrocardiogram at the onset of the disease, indicating persistent ST-segment elevation associated with T-wave inversion in the left precordial leads, the absence of obstructive coronary artery disease and clear evidence of HCM with an apical aneurysm on Doppler echocardiography, the patient of the present study was diagnosed with MVOHC and apical aneurysm.

Development of an apical aneurysm from MVO was observed in a single-center patient cohort during the 4-year follow-up period (9). Maron et al (5) hypothesized that apical aneurysm formation and the decrease in cardiac output may be secondary to increased LV wall stress as a result of mid-cavity LV obstruction and elevated intracavitary systolic pressure. Increased wall stress imposes an increased pressure load on the apical myocardium, increasing the oxygen demand, while simultaneously reducing the coronary flow through extravascular compression of the coronary artery, leading to chronic myocardial ischemia and aneurysm formation (5). MVOHC with apical aneurysm was reported to have a poor long-term outcome, with a high risk of sudden death and potentially lethal arrhythmic events (6,10). The conventional primary prevention risk markers in individual HCM patients are the following (1): i) Family history of ≥1 HCM-associated sudden cardiac death; ii) ≥1 episode of unexplained, recent syncope; iii) massive LV hypertrophy (thickness, ≥30 mm); iv) unsustained VT on serial ambulatory 24-h (Holter) electrocardiograms; and v) hypotensive or attenuated blood pressure response to exercise. ICDs following cardiac arrest or sustained VT in HCM patients for secondary prevention have achieved widespread acceptance (8,11). A previous study also reported that the presence of an apical aneurysm may be a novel risk factor necessitating ICD implantation (5). Considering the clinical context associated with the patient's hemodynamic instability, the patient of the present study received an ICD for prevention of fatal ventricular arrhythmias.

One year later, the patient experienced an electrical storm with 100 episodes of sustained VT and multiple ICD shock. Recurrent sustained monomorphic VT was terminated by pharmacologic therapy with increased doses of amiodarone and β-blocker. Catheter ablation is a controversial method for patients with MVOHC and apical aneurysm. VT recurrence in patients with non-ischaemic cardiomyopathy attributed to the myocardial tissue scarring of pathogenetic processes (12). A previous study reported on monomorphic VT in a case of MVOHC with apical aneurysm, and VT recurred on the next day after ablation (13). In addition, acute ablation failure is frequently associated with inability to identify the VT focus and control VT by catheter ablation (14). In the patient of the present study, ICD was implanted to prevent sudden death due to ventricular arrhythmias. Furthermore, amiodarone and β-blocker were administered to prevent arrhythmic recurrences. Therefore, the VT ablation was not performed.

According to the 2011 ACCF/AHA Guidelines for the Diagnosis and Treatment of HC, patients with marked LV outflow tract obstruction (peak instantaneous gradient at rest or with exercise, ≥50 mmHg) whose severe symptoms are refractory to maximum tolerate medical therapy and invasive relief of outflow tract obstruction should be considered (8). For HCM with subaortic obstruction and severe drug-refractory symptoms, surgical septal myectomy should be the gold standard for septal reduction therapy in centers with comprehensive experience (15). Alcohol septal ablation (ASA) has been proposed as a less invasive alternative to surgical myectomy in patients with advanced age, those that had previously received a pacemaker or defibrillator, as well as those with significant comorbidities and a strong aversion to surgery (16,17). Seggewiss and Faber (18) have reported on a case of mid-ventricular obstruction, which responded favorably to alcohol ablation. However, another previous study compared the effectiveness of ASA and transaortic extended myectomy (TEM) in HCM with MVO. The results indicated that TEM may provide a more reliable reduction in gradients compared to ASA, while serious ventricular arrhythmias were uncommon after either of the two therapies (19). Furthermore, a recent clinical study reported that surgical myectomy appeared to be protective against further malignant arrhythmias (20). Considering the high risk of surgery, the patient refused surgical treatment and underwent ASA for relief of intracavitary obstruction.

At the 6-month follow-up, rebound of the gradient following alcohol ablation was observed with an LV ejection fraction of 45% determined by echocardiography. Previous studies have reported that deterioration in LV function may due to aneurysm formation, leading to primary regional systolic impairment and cavity dilatation as a compulsory remodeling mechanism (5,21). Therefore, surgical management may be a consideration in certain patients with advanced heart failure to enlarge the LV cavity.

In summary, timely recognition of MVOHC with apical aneurysm may prompt prophylactic defibrillator implantation in clinical practice for further malignant arrhythmias. Surgical management should be considered in symptomatic patients with MVOHC and apical aneurysm.

Acknowledgements

Not applicable.

Funding

No funding was received.

Availability of data and materials

The datasets used and/or analyzed during the current study are available from the corresponding author on reasonable request.

Authors' contributions

XL performed the operation and perioperative medical treatment. XL performed pre-operative examination and diagnosis. XZ collected the data and wrote the manuscript. All authors read and approved the final manuscript.

Ethics approval and consent to participate

Written informed consent was obtained from the participating patient.

Patient consent for publication

Written informed consent for publication was obtained from the patient.

Competing interests

The authors declare that they have no competing interests.

References

1 

Veselka J, Anavekar NS and Charron P: Hypertrophic obstructive cardiomyopathy. Lancet. 389:1253–1267. 2017. View Article : Google Scholar : PubMed/NCBI

2 

Criley JM and Siegel RJ: Has ‘obstruction’ hindered our understanding of hypertrophic cardiomyopathy? Circulation. 72:1148–1154. 1985. View Article : Google Scholar : PubMed/NCBI

3 

Maron BJ: Hypertrophic cardiomyopathy: A systematic review. JAMA. 287:1308–1320. 2002. View Article : Google Scholar : PubMed/NCBI

4 

Wigle ED, Sasson Z, Henderson MA, Ruddy TD, Fulop J, Rakowski H and Williams WG: Hypertrophic cardiomyopathy. The importance of the site and the extent of hypertrophy. A review. Prog Cardiovasc Dis. 28:1–83. 1985. View Article : Google Scholar : PubMed/NCBI

5 

Maron MS, Finley JJ, Bos JM, Hauser TH, Manning WJ, Haas TS, Lesser JR, Udelson JE, Ackerman MJ and Maron BJ: Prevalence, clinical significance, and natural history of left ventricular apical aneurysms in hypertrophic cardiomyopathy. Circulation. 118:1541–1549. 2008. View Article : Google Scholar : PubMed/NCBI

6 

Rowin EJ, Maron BJ, Haas TS, Garberich RF, Wang W, Link MS and Maron MS: Hypertrophic cardiomyopathy with left ventricular apical aneurysm: Implications for risk stratification and management. J Am Coll Cardiol. 69:761–773. 2017. View Article : Google Scholar : PubMed/NCBI

7 

Yancy CW, Jessup M, Bozkurt B, Butler J, Casey DE Jr, Drazner MH, Fonarow GC, Geraci SA, Horwich T, Januzzi JL, et al: 2013 ACCF/AHA guideline for the management of heart failure: A report of the American College of Cardiology Foundation/American Heart Association Task Force on Practice Guidelines. J Am Coll Cardiol. 62:e147–e239. 2013. View Article : Google Scholar : PubMed/NCBI

8 

Gersh BJ, Maron BJ, Bonow RO, Dearani JA, Fifer MA, Link MS, Naidu SS, Nishimura RA, Ommen SR, Rakowski H, et al: 2011 ACCF/AHA guideline for the diagnosis and treatment of hypertrophic cardiomyopathy: A report of the American College of Cardiology Foundation/American Heart Association Task Force on Practice Guidelines. Circulation. 124:e783–e831. 2011. View Article : Google Scholar : PubMed/NCBI

9 

Minami Y, Kajimoto K, Terajima Y, Yashiro B, Okayama D, Haruki S, Nakajima T, Kawashiro N, Kawana M and Hagiwara N: Clinical implications of midventricular obstruction in patients with hypertrophic cardiomyopathy. J Am Coll Cardiol. 57:2346–2355. 2011. View Article : Google Scholar : PubMed/NCBI

10 

Efthimiadis GK, Pagourelias ED, Parcharidou D, Gossios T, Kamperidis V, Theofilogiannakos EK, Pappa Z, Meditskou S, Hadjimiltiades S, Pliakos C, et al: Clinical characteristics and natural history of hypertrophic cardiomyopathy with midventricular obstruction. Circ J. 77:2366–2374. 2013. View Article : Google Scholar : PubMed/NCBI

11 

Authors/Task Force members, ; Elliott PM, Anastasakis A, Borger MA, Borggrefe M, Cecchi F, Charron P, Hagege AA, Lafont A, Limongelli G, et al: 2014 ESC Guidelines on diagnosis and management of hypertrophic cardiomyopathy: The task force for the diagnosis and management of hypertrophic cardiomyopathy of the European Society of Cardiology (ESC). Eur Heart J. 35:2733–2779. 2014. View Article : Google Scholar : PubMed/NCBI

12 

Liang JJ, Santangeli P and Callans DJ: Long-term outcomes of ventricular tachycardia ablation in different types of structural heart disease. Arrhythm Electrophysiol Rev. 4:177–183. 2015. View Article : Google Scholar : PubMed/NCBI

13 

Mantica M, Della Bella P and Arena V: Hypertrophic cardiomyopathy with apical aneurysm: A case of catheter and surgical therapy of sustained monomorphic ventricular tachycardia. Heart. 77:481–483. 1997. View Article : Google Scholar : PubMed/NCBI

14 

Tokuda M, Kojodjojo P, Tung S, Tedrow UB, Nof E, Inada K, Koplan BA, Michaud GF, John RM, Epstein LM and Stevenson WG: Acute failure of catheter ablation for ventricular tachycardia due to structural heart disease: Causes and significance. J Am Heart Assoc. 2:e0000722013. View Article : Google Scholar : PubMed/NCBI

15 

Maron BJ, Maron MS, Wigle ED and Braunwald E: The 50-year history, controversy, and clinical implications of left ventricular outflow tract obstruction in hypertrophic cardiomyopathy from idiopathic hypertrophic subaortic stenosis to hypertrophic cardiomyopathy: From idiopathic hypertrophic subaortic stenosis to hypertrophic cardiomyopathy. J Am Coll Cardiol. 54:191–200. 2009. View Article : Google Scholar : PubMed/NCBI

16 

Tengiz I, Ercan E, Alioglu E and Turk UO: Percutaneous septal ablation for left mid-ventricular obstructive hypertrophic cardiomyopathy: A case report. BMC Cardiovasc Disord. 6:152006. View Article : Google Scholar : PubMed/NCBI

17 

Spirito P, Rossi J and Maron BJ: Alcohol septal ablation: In which patients and why? Ann Cardiothorac Surg. 6:369–375. 2017. View Article : Google Scholar : PubMed/NCBI

18 

Seggewiss H and Faber L: Percutaneous septal ablation for hypertrophic cardiomyopathy and mid-ventricular obstruction. Eur J Echocardiogr. 1:277–280. 2000. View Article : Google Scholar : PubMed/NCBI

19 

Yang YJ, Fan CM, Yuan JQ, Wang SY, Song YH, Qiao SB, You SJ, Wang ZM, Duan FJ and Li YS: Effectiveness of alcohol septal ablation versus transaortic extended myectomy in hypertrophic cardiomyopathy with midventricular obstruction. J Interv Cardiol. 29:619–627. 2016. View Article : Google Scholar : PubMed/NCBI

20 

Nguyen A, Schaff HV, Nishimura RA, Dearani JA and Ommen SR: Early outcomes of repair of left ventricular apical aneurysms in patients with hypertrophic cardiomyopathy. Circulation. 136:1979–1981. 2017. View Article : Google Scholar : PubMed/NCBI

21 

Opie LH, Commerford PJ, Gersh BJ and Pfeffer MA: Controversies in ventricular remodelling. Lancet. 367:356–367. 2006. View Article : Google Scholar : PubMed/NCBI

Related Articles

  • Abstract
  • View
  • Download
  • Twitter
Copy and paste a formatted citation
Spandidos Publications style
Zhang X and Liu X: Ventricular tachycardia and heart failure in a patient of mid‑ventricular obstructive hypertrophic cardiomyopathy with apical aneurysm: A case report. Exp Ther Med 18: 2238-2242, 2019.
APA
Zhang, X., & Liu, X. (2019). Ventricular tachycardia and heart failure in a patient of mid‑ventricular obstructive hypertrophic cardiomyopathy with apical aneurysm: A case report. Experimental and Therapeutic Medicine, 18, 2238-2242. https://doi.org/10.3892/etm.2019.7796
MLA
Zhang, X., Liu, X."Ventricular tachycardia and heart failure in a patient of mid‑ventricular obstructive hypertrophic cardiomyopathy with apical aneurysm: A case report". Experimental and Therapeutic Medicine 18.3 (2019): 2238-2242.
Chicago
Zhang, X., Liu, X."Ventricular tachycardia and heart failure in a patient of mid‑ventricular obstructive hypertrophic cardiomyopathy with apical aneurysm: A case report". Experimental and Therapeutic Medicine 18, no. 3 (2019): 2238-2242. https://doi.org/10.3892/etm.2019.7796
Copy and paste a formatted citation
x
Spandidos Publications style
Zhang X and Liu X: Ventricular tachycardia and heart failure in a patient of mid‑ventricular obstructive hypertrophic cardiomyopathy with apical aneurysm: A case report. Exp Ther Med 18: 2238-2242, 2019.
APA
Zhang, X., & Liu, X. (2019). Ventricular tachycardia and heart failure in a patient of mid‑ventricular obstructive hypertrophic cardiomyopathy with apical aneurysm: A case report. Experimental and Therapeutic Medicine, 18, 2238-2242. https://doi.org/10.3892/etm.2019.7796
MLA
Zhang, X., Liu, X."Ventricular tachycardia and heart failure in a patient of mid‑ventricular obstructive hypertrophic cardiomyopathy with apical aneurysm: A case report". Experimental and Therapeutic Medicine 18.3 (2019): 2238-2242.
Chicago
Zhang, X., Liu, X."Ventricular tachycardia and heart failure in a patient of mid‑ventricular obstructive hypertrophic cardiomyopathy with apical aneurysm: A case report". Experimental and Therapeutic Medicine 18, no. 3 (2019): 2238-2242. https://doi.org/10.3892/etm.2019.7796
Follow us
  • Twitter
  • LinkedIn
  • Facebook
About
  • Spandidos Publications
  • Careers
  • Cookie Policy
  • Privacy Policy
How can we help?
  • Help
  • Live Chat
  • Contact
  • Email to our Support Team