Spandidos Publications Logo
  • About
    • About Spandidos
    • Aims and Scopes
    • Abstracting and Indexing
    • Editorial Policies
    • Reprints and Permissions
    • Job Opportunities
    • Terms and Conditions
    • Contact
  • Journals
    • All Journals
    • Oncology Letters
      • Oncology Letters
      • Information for Authors
      • Editorial Policies
      • Editorial Board
      • Aims and Scope
      • Abstracting and Indexing
      • Bibliographic Information
      • Archive
    • International Journal of Oncology
      • International Journal of Oncology
      • Information for Authors
      • Editorial Policies
      • Editorial Board
      • Aims and Scope
      • Abstracting and Indexing
      • Bibliographic Information
      • Archive
    • Molecular and Clinical Oncology
      • Molecular and Clinical Oncology
      • Information for Authors
      • Editorial Policies
      • Editorial Board
      • Aims and Scope
      • Abstracting and Indexing
      • Bibliographic Information
      • Archive
    • Experimental and Therapeutic Medicine
      • Experimental and Therapeutic Medicine
      • Information for Authors
      • Editorial Policies
      • Editorial Board
      • Aims and Scope
      • Abstracting and Indexing
      • Bibliographic Information
      • Archive
    • International Journal of Molecular Medicine
      • International Journal of Molecular Medicine
      • Information for Authors
      • Editorial Policies
      • Editorial Board
      • Aims and Scope
      • Abstracting and Indexing
      • Bibliographic Information
      • Archive
    • Biomedical Reports
      • Biomedical Reports
      • Information for Authors
      • Editorial Policies
      • Editorial Board
      • Aims and Scope
      • Abstracting and Indexing
      • Bibliographic Information
      • Archive
    • Oncology Reports
      • Oncology Reports
      • Information for Authors
      • Editorial Policies
      • Editorial Board
      • Aims and Scope
      • Abstracting and Indexing
      • Bibliographic Information
      • Archive
    • Molecular Medicine Reports
      • Molecular Medicine Reports
      • Information for Authors
      • Editorial Policies
      • Editorial Board
      • Aims and Scope
      • Abstracting and Indexing
      • Bibliographic Information
      • Archive
    • World Academy of Sciences Journal
      • World Academy of Sciences Journal
      • Information for Authors
      • Editorial Policies
      • Editorial Board
      • Aims and Scope
      • Abstracting and Indexing
      • Bibliographic Information
      • Archive
    • International Journal of Functional Nutrition
      • International Journal of Functional Nutrition
      • Information for Authors
      • Editorial Policies
      • Editorial Board
      • Aims and Scope
      • Abstracting and Indexing
      • Bibliographic Information
      • Archive
    • International Journal of Epigenetics
      • International Journal of Epigenetics
      • Information for Authors
      • Editorial Policies
      • Editorial Board
      • Aims and Scope
      • Abstracting and Indexing
      • Bibliographic Information
      • Archive
    • Medicine International
      • Medicine International
      • Information for Authors
      • Editorial Policies
      • Editorial Board
      • Aims and Scope
      • Abstracting and Indexing
      • Bibliographic Information
      • Archive
  • Articles
  • Information
    • Information for Authors
    • Information for Reviewers
    • Information for Librarians
    • Information for Advertisers
    • Conferences
  • Language Editing
Spandidos Publications Logo
  • About
    • About Spandidos
    • Aims and Scopes
    • Abstracting and Indexing
    • Editorial Policies
    • Reprints and Permissions
    • Job Opportunities
    • Terms and Conditions
    • Contact
  • Journals
    • All Journals
    • Biomedical Reports
      • Information for Authors
      • Editorial Policies
      • Editorial Board
      • Aims and Scope
      • Abstracting and Indexing
      • Bibliographic Information
      • Archive
    • Experimental and Therapeutic Medicine
      • Information for Authors
      • Editorial Policies
      • Editorial Board
      • Aims and Scope
      • Abstracting and Indexing
      • Bibliographic Information
      • Archive
    • International Journal of Epigenetics
      • Information for Authors
      • Editorial Policies
      • Editorial Board
      • Aims and Scope
      • Abstracting and Indexing
      • Bibliographic Information
      • Archive
    • International Journal of Functional Nutrition
      • Information for Authors
      • Editorial Policies
      • Editorial Board
      • Aims and Scope
      • Abstracting and Indexing
      • Bibliographic Information
      • Archive
    • International Journal of Molecular Medicine
      • Information for Authors
      • Editorial Policies
      • Editorial Board
      • Aims and Scope
      • Abstracting and Indexing
      • Bibliographic Information
      • Archive
    • International Journal of Oncology
      • Information for Authors
      • Editorial Policies
      • Editorial Board
      • Aims and Scope
      • Abstracting and Indexing
      • Bibliographic Information
      • Archive
    • Medicine International
      • Information for Authors
      • Editorial Policies
      • Editorial Board
      • Aims and Scope
      • Abstracting and Indexing
      • Bibliographic Information
      • Archive
    • Molecular and Clinical Oncology
      • Information for Authors
      • Editorial Policies
      • Editorial Board
      • Aims and Scope
      • Abstracting and Indexing
      • Bibliographic Information
      • Archive
    • Molecular Medicine Reports
      • Information for Authors
      • Editorial Policies
      • Editorial Board
      • Aims and Scope
      • Abstracting and Indexing
      • Bibliographic Information
      • Archive
    • Oncology Letters
      • Information for Authors
      • Editorial Policies
      • Editorial Board
      • Aims and Scope
      • Abstracting and Indexing
      • Bibliographic Information
      • Archive
    • Oncology Reports
      • Information for Authors
      • Editorial Policies
      • Editorial Board
      • Aims and Scope
      • Abstracting and Indexing
      • Bibliographic Information
      • Archive
    • World Academy of Sciences Journal
      • Information for Authors
      • Editorial Policies
      • Editorial Board
      • Aims and Scope
      • Abstracting and Indexing
      • Bibliographic Information
      • Archive
  • Articles
  • Information
    • For Authors
    • For Reviewers
    • For Librarians
    • For Advertisers
    • Conferences
  • Language Editing
Login Register Submit
  • This site uses cookies
  • You can change your cookie settings at any time by following the instructions in our Cookie Policy. To find out more, you may read our Privacy Policy.

    I agree
Search articles by DOI, keyword, author or affiliation
Search
Advanced Search
presentation
Experimental and Therapeutic Medicine
Join Editorial Board Propose a Special Issue
Print ISSN: 1792-0981 Online ISSN: 1792-1015
Journal Cover
February-2020 Volume 19 Issue 2

Full Size Image

Sign up for eToc alerts
Recommend to Library

Journals

International Journal of Molecular Medicine

International Journal of Molecular Medicine

International Journal of Molecular Medicine is an international journal devoted to molecular mechanisms of human disease.

International Journal of Oncology

International Journal of Oncology

International Journal of Oncology is an international journal devoted to oncology research and cancer treatment.

Molecular Medicine Reports

Molecular Medicine Reports

Covers molecular medicine topics such as pharmacology, pathology, genetics, neuroscience, infectious diseases, molecular cardiology, and molecular surgery.

Oncology Reports

Oncology Reports

Oncology Reports is an international journal devoted to fundamental and applied research in Oncology.

Experimental and Therapeutic Medicine

Experimental and Therapeutic Medicine

Experimental and Therapeutic Medicine is an international journal devoted to laboratory and clinical medicine.

Oncology Letters

Oncology Letters

Oncology Letters is an international journal devoted to Experimental and Clinical Oncology.

Biomedical Reports

Biomedical Reports

Explores a wide range of biological and medical fields, including pharmacology, genetics, microbiology, neuroscience, and molecular cardiology.

Molecular and Clinical Oncology

Molecular and Clinical Oncology

International journal addressing all aspects of oncology research, from tumorigenesis and oncogenes to chemotherapy and metastasis.

World Academy of Sciences Journal

World Academy of Sciences Journal

Multidisciplinary open-access journal spanning biochemistry, genetics, neuroscience, environmental health, and synthetic biology.

International Journal of Functional Nutrition

International Journal of Functional Nutrition

Open-access journal combining biochemistry, pharmacology, immunology, and genetics to advance health through functional nutrition.

International Journal of Epigenetics

International Journal of Epigenetics

Publishes open-access research on using epigenetics to advance understanding and treatment of human disease.

Medicine International

Medicine International

An International Open Access Journal Devoted to General Medicine.

Journal Cover
February-2020 Volume 19 Issue 2

Full Size Image

Sign up for eToc alerts
Recommend to Library

  • Article
  • Citations
    • Cite This Article
    • Download Citation
    • Create Citation Alert
    • Remove Citation Alert
    • Cited By
  • Similar Articles
    • Related Articles (in Spandidos Publications)
    • Similar Articles (Google Scholar)
    • Similar Articles (PubMed)
  • Download PDF
  • Download XML
  • View XML
Article

Involvement of neurotrophic signaling in doxorubicin‑induced cardiotoxicity

  • Authors:
    • Dehua Liao
    • Chen Zhang
    • Ni Liu
    • Lizhi Cao
    • Changshui Wang
    • Qingyan Feng
    • Dunwu Yao
    • Minghui Long
    • Pei Jiang
  • View Affiliations / Copyright

    Affiliations: Department of Pharmacy, Hunan Cancer Hospital, Changsha, Hunan 410013, P.R. China, Department of Cardiology, Jining First People's Hospital, Jining Medical University, Jining, Shandong 272000, P.R. China, Institute of Clinical Pharmacy and Pharmacology, Jining First People's Hospital, Jining Medical University, Jining, Shandong 272000, P.R. China, Department of Neurology, Jining First People's Hospital, Jining Medical University, Jining, Shandong 272000, P.R. China
  • Pages: 1129-1135
    |
    Published online on: December 4, 2019
       https://doi.org/10.3892/etm.2019.8276
  • Expand metrics +
Metrics: Total Views: 0 (Spandidos Publications: | PMC Statistics: )
Metrics: Total PDF Downloads: 0 (Spandidos Publications: | PMC Statistics: )
Cited By (CrossRef): 0 citations Loading Articles...

This article is mentioned in:



Abstract

Dose dependent cardiotoxicity is the primary side effect of doxorubicin (DOX), but the underlying molecular mechanisms remain unclear. An increasing amount of evidence has demonstrated that neurotrophic signaling plays a pivotal role in both neurons and the heart, but the biological association between neurotrophic signaling and DOX‑induced cardiotoxicity remains unknown. The present study determined the level of neurotrophins and their receptors in the heart of rats following DOX administration. DOX was administered 7 times at a dose of 2.5 mg/kg once every 2 days via intraperitoneal injection. The present study revealed that cardiac injury parameters, such as creatine kinase (CK), creatine kinase‑myocardial bound, lactate dehydrogenase, troponin T and aspartate transaminase in serum were significantly increased in the DOX group. Both the gene and protein expression of brain‑derived neurotrophic factor (BDNF) and nerve growth factor (NGF) in the heart were markedly decreased following DOX treatment. Notably, the protein level of BDNF in the serum was inhibited in DOX‑treated rats, whereas DOX induced a significant increase in the protein level of NGF in the serum. DOX induced a significant decrease in the level of tropomyosin‑associated kinase A (TrkA) and the ratio of pTrkA/TrkA and pTrkB/TrkB. Furthermore, the administration of DOX suppressed downstream protein kinase B and extracellular signal regulated kinase phosphorylation. The present study first demonstrated that BDNF/TrkB signaling and NGF/TrkA signaling were altered by DOX, which indicated that neurotrophic signaling was involved in DOX‑induced cardiotoxicity.

Introduction

Doxorubicin (DOX) is effective in the treatment of hematological malignancies, solid tumors, soft tissue sarcomas and breast cancer (1,2). However, adverse reactions such as neutropenia, heart arrhythmias, irreversible cardiomyopathy, congestive heart failure and neurotoxicity significantly limit its clinical use (3). Cardiotoxicity is the typical dose dependent adverse effect of DOX (4,5), but the molecular mechanism underlying DOX-induced cardiotoxicity remains unclear.

Brain derived neurotrophic factor (BDNF) and nerve growth factor (NGF) are the typical neurotrophic factors (6), which play a pivotal role in neuronal function, development, survival and differentiation of neurons (7). It is well known that the tropomyosin-associated kinase (Trk) family include high-affinity receptors for these two neurotrophins. NGF and BDNF bind to TrkA and TrkB, respectively (6,8). The activation of these receptors will always be accompanied by the stimulation of several intracellular signaling pathways, leading to different cellular responses and promoting survival, growth, differentiation and maintenance of both neuronal and non-neuronal cells. Although neurotrophins are necessary factors for neurons, neurotrophins and their receptors also play a pivotal role in non-neuronal cells. Skaper (9) has reported that the state of vascular smooth muscle cells and cardiomyocytes is regulated by NGF/TrkA signaling. Govoni et al (10) has reported that NGF is important in protecting against cardiac physiopathology. In addition, BDNF also exhibited a cardioprotective effect in the heart. Hang et al (11) reported that BDNF could effectively attenuate DOX-induced cardiac dysfunction through activating protein kinase B (Akt) signaling in rats. Zhao et al (12) also reported that 7,8-dihydroxyflavone (7,8-DHF) attenuated DOX-induced cardiotoxicity by regulating the BDNF/TrkB signaling pathway both in vivo and in vitro. Feng et al (13) reported that BDNF/TrkB signaling is necessary for normal heart function. The aforementioned evidence suggested that neurotrophins exert their nutritional effect in both the brain and heart (11,14,15). A previous study demonstrated that a DOX-induced chemobrain was always accompanied by decreasing levels of neurogenesis, BDNF and TrkB (16). However, it is not yet known whether the neurotrophic signaling pathway in the heart is associated with DOX-induced cardiotoxicity. Although the role of the BDNF/TrkB/Akt pathway in DOX-induced cardiotoxicity have been reported in a previous study, none of these studies have reported the BDNF/TrkB and NGF/TrkA pathway in DOX-induced cardiotoxicity in the same time. Therefore, the present study aimed to investigate the roles of the BDNF/TrkB and NGF/TrkA signaling pathways in DOX-induced cardiotoxicity.

Materials and methods

Animals

Male Sprague-Dawley rats (n=18; age, 8 weeks; weight, 200–230 g) were provided by the Experimental Animal Center of Hunan Cancer Hospital. All animals were kept under standard conditions with water and food readily available. All methods and experimental protocols in the present program were approved by the Animal Care and Use Committee of Hunan Cancer Hospital (protocol no. 016/2017). The present study conformed to the Guide for the Care and Use of Laboratory Animals (Chinese Council).

Experimental design

Animals were randomized and allotted to two groups (9 per group). Normal saline was administered to rats in the control group (2 ml). By means of intraperitoneal injection, DOX was administered every 2 days at a dose of 2.5 mg/kg and a total of 7 injections were given to each rat in the DOX group. The dose and treatment duration was chosen based on previous research (17).

The rats were anesthetized with sodium pentobarbital (50 mg/kg) via intraperitoneal injection at day 14 of the experiment. Blood samples (1.5 ml) were then collected directly from the left ventricle of the heart. Following the blood collection, the rats were sacrificed with an overdose sodium pentobarbital (220 mg/kg) and cardiac tissues dissected from the left ventricle were immediately removed from each rat. Physiological saline was used to wash the cardiac tissues. Western blotting and PCR were performed following cardiac tissue dissection. Histopathological examination was performed with the remaining cardiac tissues, which were fixed in 10% neutral-buffered formalin.

Serum biochemical analysis

The plasma was centrifuged at 2,000 × g for 10 min at 4°C and the supernatant was used for determination of cardiac injury parameters. Cardiac injury parameters, such as creatine kinase (CK) activity, creatine kinase-myocardial bound (CK-MB) activity, troponin T activity and lactate dehydrogenase (LDH) activity in the serum, were determined using an automatic biochemical analyzer (ADVIA® 2400, Siemens Ltd.). Furthermore, the clinical toxicity marker aspartate aminotransferase (AST) was also measured.

Histopathological examination

For the histological analysis, 10% neutral-buffered formalin was used to fix the hearts for 10 min at room temperature. The hearts were then embedded in paraffin and sliced into 5-µm sections.

For hematoxylin and eosin (H&E) staining, sections were deparaffinized using dimethyl benzene, dehydrated using alcohol for 5 min at room temperature, washed with distilled water and stained with hematoxylin at room temperature for 30 min. After the removal of excess stain, the sections were incubated with 1% acid alcohol for 30 sec at room temperature and dehydrated using an alcohol gradient (70, 85, 95 and 100%; 5 min per condition) at room temperature. Sections were stained with 0.5% eosin at room temperature for 5 min, incubated with 95% alcohol at room temperature for 2 min and with xylene at room temperature for 10 min and finally sealed with a neutral balsam. Sections were examined under the light microscope and photographs were taken.

For masson's trichrome staining, sections were stained with Weigert solution (Sigma-Aldrich; Merck KGaA) for 5–10 min. After that, sections were treated with Ponceau fuchsin acid solution for 5–10 min, immersed in 2% acetic acid aqueous solution for 1 min and then differentiated in 1% phosphomolybdic acid aqueous solution for 3–5 min. Without washing with water, the sections were treated with aniline blue for 5 min then immersed in 0.2% acetic acid aqueous solution for 1 min. Slices were permeabilized with xylene and mounted with neutral resin. Sections were examined under the light microscope and photographs were taken. For each rat five visual fields were randomly selected and used to calculate the average myocardial collagen volume. Assessments of the histology results were performed by a pathologist who was blinded to the treatment groups.

Reverse transcription-quantitative PCR (RT-qPCR) analysis

RT-qPCR analysis was performed in the present study in order to assess the expression levels of BDNF and NGF using the 2−ΔΔCq method of quantification, as previously reported (18). According to the manufacturer's protocol for the use of TRIzol® (Thermo Fisher Scientific, Inc.), total RNA was extracted from the isolated cardiomyocytes. cDNA was synthesized using The RevertAid RT reverse transcriptase kit (Thermo Fisher Scientific, Inc.) was used for RT at the conditions of 42°C for 15 min and 95°C for 3 min. A SYBR-Green PCR kit (Thermo Fisher Scientific, Inc.) and gene-specific primers were used to perform qPCR with a Bio-Rad Cx96 Detection System (Bio-Rad Laboratories, Inc.). cDNAs were amplified during 40 cycles with the primers presented in Table I. Thermocycling conditions were as follows: 50°C for 2 min, 95°C for 10 min and 40 cycles of 15 sec at 95°C, followed by an annealing/extension step for 1 min at 60°C. Each reaction was repeated in triplicate and β-actin was used as an endogenous control.

Table I.

List of primer sequences used in the PCR analysis.

Table I.

List of primer sequences used in the PCR analysis.

GeneSense primer (5–3′)Antisense primer (5–3′)Amplicon length (bp)
BDNF ATCCCATGGGTTACACGAAGGAAG AGTAAGGGCCCGAACATACGATTG  97
NGF ACATCAAGGGCAAGGAGG GTGAGTCGTGGTGCAGTATG164
β-actin CATCCTGCGTCTGGACCTGG TAATGTCACGCACGATTTCC116

[i] NGF, nerve growth factor; BDNF, brain derived neurotrophic factor.

Western blot analysis

Total protein was extracted from the cardiomyocytes using RIPA lysis buffer (200 mg tissue/1 ml buffer; cat. no. R0010; Beijing Solarbio Science & Technology Co., Ltd.) and quantified using the Bradford method. Proteins were separated via electrophoresis and transferred to a polyvinylidene fluoride membrane. Samples were loaded on precast 12% SDS-PAGE gels with ~50 µg protein in each lane. The membranes were blocked for 1 h in TBST (25 mM Tris, pH 7.5, 150 mM NaCl, 0.05% Tween-20) and 5% non-fat dry milk. Blots were incubated at 4°C overnight with antibodies against BDNF (Abcam; cat. no. ab1083191; 1:2,000); NGF (Abcam; cat. no. ab6199; 1:1,000); TrkA (Abcam; cat. no. ab76291; 1:3,000); p-TrkA (Tyr49; Cell Signaling Technology, Inc.; cat. no. 9141; 1:1,000); TrkB (Santa Cruz Biotechnology, Inc.; cat. no. sc377218; 1:200); p-TrkB (Tyr705; Thermo Fisher Scientific, Inc.; cat. no. PA538077; 1:500); p75NTR (ProteinTech Group, Inc.; cat. no. 55014-1-AP; 1:1,000); Akt (ProteinTech Group, Inc.; cat. no. 10176-2-AP; 1:500); pAkt (Ser473; Cell Signaling Technology, Inc.; cat. no. 4060; 1:3,000); Erk (Santa Cruz Biotechnology, Inc.; cat. no. sc514302; 1:200); pErk (Thr202/Tyr204; Cell Signaling Technology, Inc.; cat. no. 4695; 1:2,000) and β-actin (ProteinTech Group, Inc.; cat. no. 66009-1-Ig; 1:4,000). Following several washes, the membranes were then incubated with the corresponding horseradish peroxidase-conjugated secondary antibodies, including goat anti-rabbit (1:2,000, cat. no. 7074P2) and horse anti-mouse (1:2,000, cat. no. 7076P2; both obtained from Cell Signaling Technology, Inc.). The bands were then detected using a chemiluminescence detecting system (ECL Western Blotting Substrate; cat. no. PE0010-B; Beijing Solarbio Science & Technology Co., Ltd.). β-actin was used as an internal standard for all gels. The intensity of protein signals was quantified with Image Lab™ software (version 5.2.1; Bio-Rad Laboratories, Inc.).

Determination of serum BDNF and NGF levels

ELISA kits were purchased from Wuhan USCN Business Co., Ltd. and were used to determine plasma levels of BDNF (cat. no. SEA011Ra) and NGF (cat.no. SEA105Ra) levels, following the manufacturer's recommendations All experiments were performed in duplicate.

Statistical analysis

In the present study, all values are presented as the mean ± standard deviation. Data analysis was performed using SPSS software (version 13.0; SPSS Inc.). A Student's t-test was used to make comparisons between two groups. Each experiment was repeated three times. A two-tailed P<0.05 was considered to indicate a statistically significant difference.

Results

Effects of DOX on cardiotoxicity

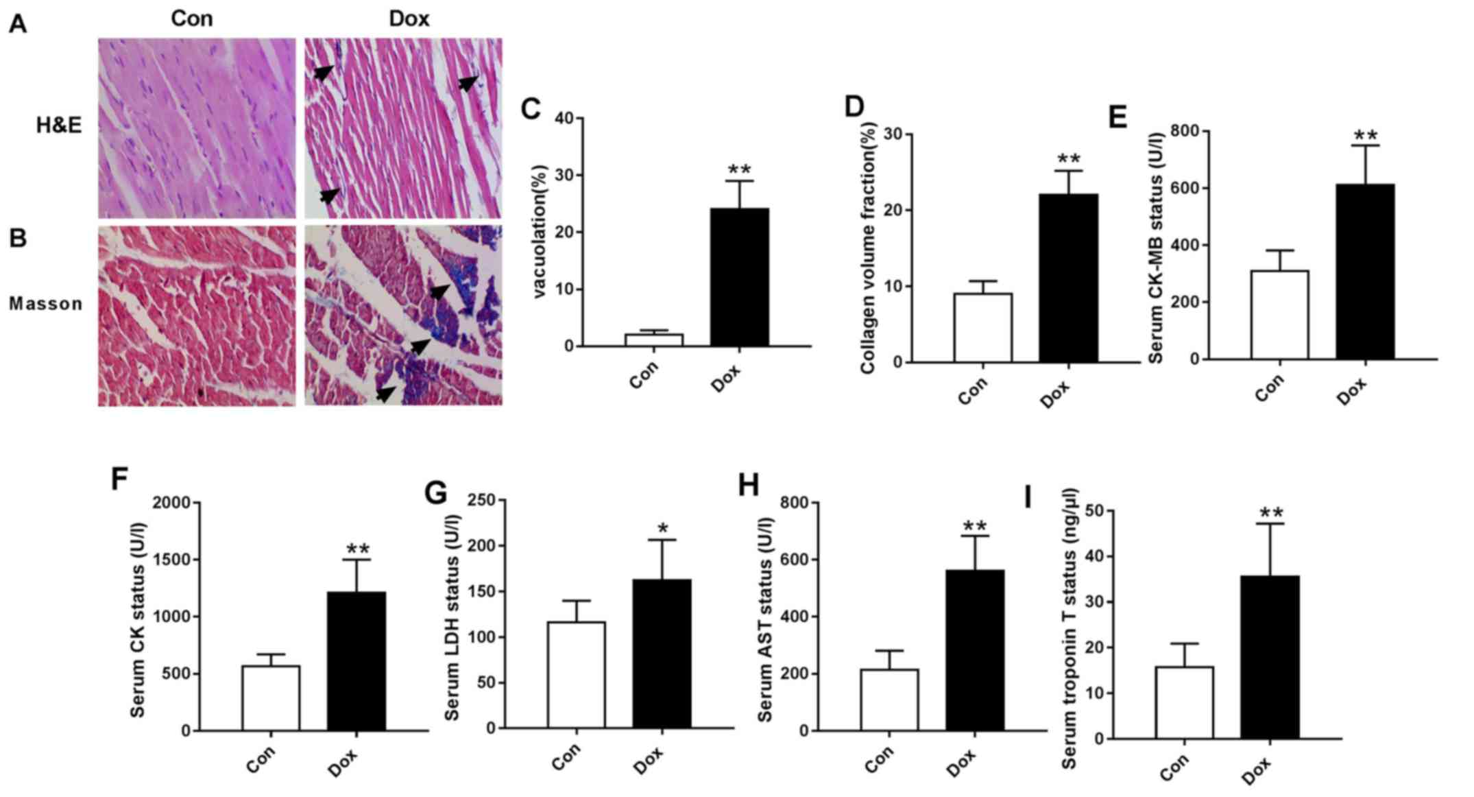
The dosage of DOX chosen in the present study was equal or higher than a previously reported toxic dose (17). Therefore, it is enough to cause cardiotoxicity with the current dosage. In addition, the biochemical analysis results in the present study also showed that the DOX-induced cardiotoxicity model was successfully produced. The HE staining assay and Masson's trichrome staining were performed for the histopathological examination of heart tissues. As presented in Fig. 1A, the structure and order of the myocardial fibers was normal in the control group. On the contrary, disorganization of myofibrillar arrays and cytoplasmic vacuolization, as indicated by the arrows, were observed in DOX-treated rats, which indicated severe cardiac damage. Compared with the control group, a large number of blue collagen fibers were observed in the areas surrounding the myocardial fibers in DOX treated rats and extended to the myocardial interstitium in Masson's trichrome staining (Fig. 1B). In the H&E staining, the percentage of vacuolated areas in the total myocardium tissue was significantly increased in DOX treated rats compared with the control (P<0.01; Fig. 1C). In addition, the result of the Masson's trichrome staining revealed that the collagen volume fraction was significantly increased in DOX treated rats (P<0.01; Fig. 1D).

Figure 1.

Effects of DOX on histopathological changes and myocardial damage biochemical markers. Magnification, ×400. (A) H&E staining of different groups. Arrows indicate disorganization of myofibrillar arrays and cytoplasmic vacuolization. (B) Masson staining of different groups. Arrows indicate a large number of blue collagen fibers. (C) The percentage vacuolated area of the total myocardium tissue from normal treated rats or DOX treated rats. (D) The collagen volume fraction was the proportion of the total area containing collagen. Serum level of (E) CK-MB, (F) CK, (G) LDH, (H) AST and (I) troponin T. Data are expressed as the mean ± standard deviation (n=8–9). *P<0.05 and **P<0.01 compared with Con. DOX, doxorubicin; LDH, lactate dehydrogenase; AST, aspartate transaminase; H&E, hematoxylin and eosin; CK-MB, creatine kinase-myocardial bound; Con, control.

As the main serum biochemical marker of myocardial damage, the levels of cardiac enzymes (LDH, CK, CK-MB, AST and troponin T) in serum were evaluated following DOX treatment in the present study. As presented in Fig. 1E, when compared with the control group, the serum level of CK-MB was significantly increased in DOX treated rats (P<0.01). As presented in Fig. 1F, the serum CK level was significantly elevated following the administration of DOX CK (P<0.01). In comparison with the rats in the control group, DOX induced a significant increase in serum levels of LDH in the DOX group (P<0.05; Fig. 1G). In addition, serum levels of AST (P<0.01; Fig. 1H) and troponin T (P<0.01; Fig. 1I) were also significantly elevated following the administration of DOX. Based on the aforementioned results, it can be concluded that DOX successfully induced myocardial injury.

Effects of DOX on the expression of BDNF and NGF

In the present study, the expression of BDNF and NGF in the serum and heart were evaluated. Compared with the control group, the level of BDNF in the serum was significantly decreased in DOX treated rats (P<0.01; Fig. 2A), while the serum NGF concentration was significantly increased in the DOX group (P<0.05; Fig. 2D). As presented in Fig. 2B and E, in comparison with the control group, significant decreases in the gene expression levels of BDNF (P<0.01) and NGF (P<0.01) were observed in the DOX group. Consistent with the gene expression, the protein levels of BDNF and NGF were also significantly decreased in the DOX group (P<0.01; Fig. 2C, and P<0.05; Fig. 2F, respectively).

Figure 2.

Effects of DOX on the expression of BDNF and NGF in the serum and heart. (A) BDNF concentration in the serum. (B) BDNF mRNA levels in the heart. (C) BDNF protein expression levels in the heart. (D) NGF concentration in the serum. (E) NGF mRNA levels in the heart. (F) NGF protein levels in the heart. Data are expressed as the mean ± standard deviation (n=8–9). *P<0.05 and **P<0.01 compared with Con. NGF, nerve growth factor; BDNF, brain derived neurotrophic factor; DOX, doxorubicin; Con, control.

Effects of DOX on the expression of neurotrophic receptors

The expression level of neurotrophic receptors was determined using western blot analyses in the present study. The results revealed that the expression of the TrkB protein was not markedly decreased in the DOX group when compared with the control rats (Fig. 3B), whereas the pTrkB/TrkB ratio was significantly decreased in the DOX treated group (P<0.01; Fig. 3C). The level of the TrkA protein (P<0.05; Fig. 3D) and the pTrkA/TrkA ratio (P<0.01; Fig. 3E) were all significantly decreased in the DOX-treated rats. p75NTR is another class of cell surface receptor, the expression of which was also evaluated in the present study. As presented in Fig. 3F, the expression level of p75NTR in the heart was not significantly changed following the administration of DOX.

Figure 3.

Effects of DOX on the protein levels of neurotrophic receptors in the heart. (A) Representative western blots. (B) TrkB expression levels. (C) p-TrkB/TrkB ratio. (D) TrkA expression levels. (E) p-TrkA/TrkA levels (F) p75NTR. Data are expressed as the mean ± standard deviation (n=8–9). *P<0.05 and **P<0.01 compared with Con. Trk, tropomyosin-associated kinase; Dox, doxorubicin; Con, control; p, phosphorylated.

Effects of DOX on the activation of Akt and Erk

It is well known that Akt and Erk play a pivotal role in the downstream signaling of various neurotropic factors, including BDNF (19). The phosphorylation of Akt and Erk indicated that these signaling proteins were activated. In the present study, the ratio of pAkt/Akt (P<0.01; Fig. 4B) and pErk/Erk (P<0.05; Fig. 4C) were all significantly decreased following administration of DOX.

Figure 4.

Effects of DOX on the activation of Akt and Erk. (A) Representative western blots. (B) pAkt/Akt ratio. (C) pErk/Erk ratio. Data are expressed as the mean ± standard deviation (n=8–9). *P<0.05 and **P<0.01 compared with Con. ERK, extracellular signal regulated kinase; Akt, protein kinase B; p, phosphorylated; DOX, doxorubicin; Con, control.

Discussion

DOX-induced cardiotoxicity triggers the development of cardiac dysfunction and congestive heart failure (20,21), which limits its clinical application. The investigations in the present study demonstrated the potential role of neurotrophins in DOX-induced cardiotoxicity and the potential underlying molecular mechanisms have been elucidated. The major findings of the present study highlight several new and notable points: i) Protein and gene expression levels of BDNF and NGF in the heart were all decreased in DOX treated rats; ii) the ratio of pTrkB/TrkB and pTrkA/TrkA were all decreased in the DOX group; iii) activation of downstream Akt and Erk signaling was compromised by DOX treatment.

The target organ for DOX is the heart and DOX-induced oxidative stress seems to be a leading cause of cardiomyopathy (22). As serum cardiac injury markers, the expression of LDH, CK and CK-MB were all increased in DOX-overdosed mice (3). Kobayashi et al (21) previously demonstrated that these biochemical parameters are important indicators of cardiac injury in DOX-induced cardiotoxicity. The results of the present study demonstrated that the level of CK, CK-MB, LDH and AST were all increased in the DOX-induced cardiac injury model, which indicated that DOX induced severe cardiotoxicity. The leakage of AST, CK, troponin T and LDH in the blood stream was always caused by damage to the myocardial cell membrane (23). The HE staining of disorganization of myofibrillar arrays, cytoplasmic vacuolization, myofibrillar degeneration, myocyte disruption and fibrosis revealed DOX-induced cardiotoxicity. With the Masson's staining, a typical pathological manifestation of myocardial remodeling was also observed following administration of DOX, that is, a large number of blue collagen fibers were observed in the areas surrounding the myocardial fibers (24).

As classical neurotrophins, more evidence has suggested that BDNF and NGF play a significant role in cardiovascular development and pathophysiology (10,15). Previous studies have indicated that tissue NGF level has been recognized as a biomarker of heart disease and that the protective effects of NGF in the heart were based on pleiotropic action and the development of angiogenesis (10,25). BDNF is expressed in tissues such as the heart, atherosclerotic vessels and vascular smooth muscle cells (26). In addition, patients with heart failure always exhibited a significant decrease in plasma BDNF levels (27). In agreement with the previous finding, the protein level of serum BDNF was suppressed in the DOX treated group in the present study. However, serum NGF protein levels were increased in the DOX-induced injury model. It was speculated that a compensatory mechanism was the foremost reason for the enhancement of NGF. DOX induced a decrease in the protein and mRNA expression of BDNF and NGF in the present study. The protein expression levels of BDNF and NGF were consistent with the gene expression levels in the heart of DOX treated rats. However, the protein expression of NGF in the serum was not positively associated with gene expression of NGF in the present study. The results were in accordance with those of previous studies. Hang et al (11) reported that the protein level of BDNF was decreased in DOX-treated rat ventricles and the administration of BDNF could effectively upregulate BDNF and its receptor TrkB. The study results of Zhao et al (12) revealed that small-molecule TrkB agonist 7,8-DHF could attenuate DOX-induced cardiotoxicity by activating Akt. Kaye et al (28) have also reported that the expression and release of NGF from the heart were modified following pathological examination.

The ‘shared’ p75NTR and high-affinity Trk are two different classes of cell surface receptors, which mediate the biological activity of BDNF, NGF and p75NTR (29,30). Previous studies have demonstrated that intact BDNF/TrkB and NGF/TrkA signaling play an important role in enhancing normal cardiac calcium cycling and normal cardiovascular system function (13,31). After the association between NGF and the TrkA receptor was demonstrated, it was revealed that this triggers TrkA receptor autophosphorylation, which is also true for BDNF/TrkB signaling. Therefore, the protein level of TrkA, TrkB, p75NTR and phosphorylation of Trk were all investigated in the present study. The TrkA protein level was decreased in DOX treated rats. Both the ratio of p-TrkA/TrkA and p-TrkB/TrkB were decreased in the DOX group. The results from the present study also indicated that DOX suppressed activation of the downstream Akt and Erk pathway, which was detected by the phosphorylation of its mediators Erk and Akt, respectively. This result was in accordance with previous findings (32). Hang et al (11) also demonstrated that BDNF/TrkB signaling is necessary in preventing cardiotoxicity following administration of DOX. In addition, the beneficial effect of BDNF was abolished by BDNF scavenger Fc-fused TrkB (TrkB-Fc) or Akt inhibitor, which revealed the potent protective role of BDNF against Dox-induced cardiotoxicity by activating Akt signaling (11). Thus, as BDNF/TrkB and NGF/TrkA signaling was necessary for the function of neurotrophins in both neurons and heart, it was speculated that neurotrophic signaling may be a key factor of DOX-induced cardiotoxicity.

It is a limitation of the present study that direct evidence was not provided to verify the functions of these two pathways in attenuating or deteriorating the toxicity of DOX to the heart. To provide the direct evidence supporting BDNF/TrkB and NGF/TrkA signaling pathways in attenuating DOX induced cardiotoxicity a cell line-based assay to show that upregulation of BDNF and NGF can protect the cells from DOX-induced cardiotoxicity in heart cells is warranted in future studies.

To the best of our knowledge, the present study is the first to demonstrate that the signaling pathway of BDNF/TrkB and NGF/TrkA, and the downstream Akt and Erk pathway in the heart could be altered following administration of DOX in rats, which raises the possibility for the involvement of neurotrophic signaling in DOX-induced cardiotoxicity. Taken together, the results from the present study lead to an improved understanding of the role of neurotrophic signaling in DOX-induced cardiotoxicity and provided evidence for new strategies to prevent and decrease chemotherapy-induced cardiotoxicity.

Acknowledgements

Not applicable.

Funding

The present study was supported by the National Natural Science Foundation of China (grant no. NSFC:81603206), the Project of Hunan Provincial Science & Technology Department (grant no. 2019JJ80093) and Health and Family Planning Commission Foundation of Hunan Province (grant no. C2019064).

Availability of data and materials

The datasets used and/or analyzed during the present study are available from the corresponding author upon reasonable request.

Authors' contributions

PJ, QF and DL designed the study and wrote the protocol. DL, CZ, NL and LC performed the experiments and analyzed the data. DY, ML and CW established the animal models and collected the data. DL and CZ drafted the manuscript. PJ and DL revised the manuscript content. All authors read and approved the final manuscript.

Ethics approval and consent to participate

All methods and experimental protocols in the present program were approved by the Animal Care and Use Committee of Hunan Cancer Hospital (protocol no. 016/2017).

Patient consent for publication

Not applicable.

Competing interests

The authors declare that they have no competing interests.

References

1 

Injac R, Perse M, Obermajer N, Djordjevic-Milic V, Prijatelj M, Djordjevic A, Cerar A and Strukelj B: Potential hepatoprotective effects of fullerenol C60(OH)24 in doxorubicin-induced hepatotoxicity in rats with mammary carcinomas. Biomaterials. 29:3451–3460. 2008. View Article : Google Scholar : PubMed/NCBI

2 

Hajra S, Patra AR, Basu A and Bhattacharya S: Prevention of doxorubicin (DOX)-induced genotoxicity and cardiotoxicity: Effect of plant derived small molecule indole-3-carbinol (I3C) on oxidative stress and inflammation. Biomed Pharmacother. 101:228–243. 2018. View Article : Google Scholar : PubMed/NCBI

3 

Abdel-Daim MM, Kilany OE, Khalifa HA and Ahmed AAM: Allicin ameliorates doxorubicin-induced cardiotoxicity in rats via suppression of oxidative stress, inflammation and apoptosis. Cancer Chemother Pharmacol. 80:745–753. 2017. View Article : Google Scholar : PubMed/NCBI

4 

Singal PK, Li T, Kumar D, Danelisen I and Iliskovic N: Adriamycin-induced heart failure: Mechanism and modulation. Mol Cell Biochem. 207:77–86. 2000. View Article : Google Scholar : PubMed/NCBI

5 

Wang XY, Yang CT, Zheng DD, Mo LQ, Lan AP, Yang ZL, Hu F, Chen PX, Liao XX and Feng JQ: Hydrogen sulfide protects H9c2 cells against doxorubicin-induced cardiotoxicity through inhibition of endoplasmic reticulum stress. Mol Cell Biochem. 363:419–426. 2011. View Article : Google Scholar : PubMed/NCBI

6 

Carito V, Ceccanti M, Ferraguti G, Coccurello R, Ciafrè S, Tirassa P and Fiore M: NGF and BDNF alterations by prenatal alcohol exposure. Curr Neuropharmacol. 17:308–317. 2019. View Article : Google Scholar : PubMed/NCBI

7 

Martinez-Cengotitabengoa M, MacDowell KS, Alberich S, Diaz FJ, Garcia-Bueno B, Rodriguez-Jimenez R, Bioque M, Berrocoso E, Parellada M, Lobo A, et al: BDNF and NGF signalling in early phases of psychosis: Relationship with inflammation and response to antipsychotics after 1 year. Schizophr Bull. 42:142–151. 2016.PubMed/NCBI

8 

Snider WD: Functions of the neurotrophins during nervous system development: What the knockouts are teaching us. Cell. 77:627–638. 1994. View Article : Google Scholar : PubMed/NCBI

9 

Skaper SD: Nerve growth factor: A neuroimmune crosstalk mediator for all seasons. Immunology. 151:1–15. 2017. View Article : Google Scholar : PubMed/NCBI

10 

Govoni S, Pascale A, Amadio M, Calvillo L, D'Elia E, Cereda C, Fantucci P, Ceroni M and Vanoli E: NGF and heart: Is there a role in heart disease? Pharmacol Res. 63:266–277. 2011. View Article : Google Scholar : PubMed/NCBI

11 

Hang P, Zhao J, Sun L, Li M, Han Y, Du Z and Li Y: Brain-derived neurotrophic factor attenuates doxorubicin-induced cardiac dysfunction through activating Akt signalling in rats. J Cell Mol Med. 21:685–696. 2017. View Article : Google Scholar : PubMed/NCBI

12 

Zhao J, Du J, Pan Y, Chen T, Zhao L, Zhu Y, Chen Y, Zheng Y, Liu Y, Sun L, et al: Activation of cardiac TrkB receptor by its small molecular agonist 7,8-dihydroxyflavone inhibits doxorubicin-induced cardiotoxicity via enhancing mitochondrial oxidative phosphorylation. Free Radic Biol Med. 130:557–567. 2019. View Article : Google Scholar : PubMed/NCBI

13 

Feng N, Huke S, Zhu G, Tocchetti CG, Shi S, Aiba T, Kaludercic N, Hoover DB, Beck SE, Mankowski JL, et al: Constitutive BDNF/TrkB signaling is required for normal cardiac contraction and relaxation. Proc Natl Acad Sci USA. 112:1880–1885. 2015. View Article : Google Scholar : PubMed/NCBI

14 

Zeng N, Xu J, Yao W, Li S, Ruan W and Xiao F: Brain-derived neurotrophic factor attenuates septic myocardial dysfunction via eNOS/NO pathway in rats. Oxid Med Cell Longev. 2017:17214342017. View Article : Google Scholar : PubMed/NCBI

15 

Pius-Sadowska E and Machalinski B: BDNF-A key player in cardiovascular system. J Mol Cell Cardiol. 110:54–60. 2017. View Article : Google Scholar : PubMed/NCBI

16 

Park HS, Kim CJ, Kwak HB, No MH, Heo JW and Kim TW: Physical exercise prevents cognitive impairment by enhancing hippocampal neuroplasticity and mitochondrial function in doxorubicin-induced chemobrain. Neuropharmacology. 133:451–461. 2018. View Article : Google Scholar : PubMed/NCBI

17 

Liao D, Xiang D, Dang R, Xu P, Wang J, Han W, Fu Y, Yao D, Cao L and Jiang P: Neuroprotective effects of dl-3-n-Butylphthalide against doxorubicin-induced neuroinflammation, oxidative stress, endoplasmic reticulum stress, and behavioral changes. Oxid Med Cell Longev. 2018:91256012018. View Article : Google Scholar : PubMed/NCBI

18 

Livak KJ and Schmittgen TD: Analysis of relative gene expression data using real-time quantitative PCR and the 2(-Delta Delta C(T)) method. Methods. 25:402–408. 2001. View Article : Google Scholar : PubMed/NCBI

19 

Alboni S, Tascedda F, Corsini D, Benatti C, Caggia F, Capone G, Barden N, Blom JM and Brunello N: Stress induces altered CRE/CREB pathway activity and BDNF expression in the hippocampus of glucocorticoid receptor-impaired mice. Neuropharmacology. 60:1337–1346. 2011. View Article : Google Scholar : PubMed/NCBI

20 

Li K, Sung RY, Huang WZ, Yang M, Pong NH, Lee SM, Chan WY, Zhao H, To MY, Fok TF, et al: Thrombopoietin protects against in vitro and in vivo cardiotoxicity induced by doxorubicin. Circulation. 113:2211–2220. 2006. View Article : Google Scholar : PubMed/NCBI

21 

Kobayashi M, Usui F, Karasawa T, Kawashima A, Kimura H, Mizushina Y, Shirasuna K, Mizukami H, Kasahara T, Hasebe N and Takahashi M: NLRP3 deficiency reduces macrophage interleukin-10 production and enhances the susceptibility to doxorubicin-induced cardiotoxicity. Sci Rep. 6:264892016. View Article : Google Scholar : PubMed/NCBI

22 

Berthiaume JM and Wallace KB: Adriamycin-induced oxidative mitochondrial cardiotoxicity. Cell Biol Toxicol. 23:15–25. 2006. View Article : Google Scholar : PubMed/NCBI

23 

Khan G, Haque SE, Anwer T, Ahsan MN, Safhi MM and Alam MF: Cardioprotective effect of green tea extract on doxorubicin-induced cardiotoxicity in rats. Acta Pol Pharm. 71:861–868. 2014.PubMed/NCBI

24 

Wu X, Qi X, Lu Y, Lin C, Yuan Y, Zhu Q, Yin Q, Li W, Li Y and Bian H: Liguzinediol protects against cardiac fibrosis in rats in vivo and in vitro. Biomed Pharmacother. 80:260–267. 2016. View Article : Google Scholar : PubMed/NCBI

25 

Meloni M, Caporali A, Graiani G, Lagrasta C, Katare R, Van Linthout S, Spillmann F, Campesi I, Madeddu P, Quaini F and Emanueli C: Nerve growth factor promotes cardiac repair following myocardial infarction. Circ Res. 106:1275–1284. 2010. View Article : Google Scholar : PubMed/NCBI

26 

Ejiri J, Inoue N, Kobayashi S, Shiraki R, Otsui K, Honjo T, Takahashi M, Ohashi Y, Ichikawa S, Terashima M, et al: Possible role of brain-derived neurotrophic factor in the pathogenesis of coronary artery disease. Circulation. 112:2114–2120. 2005. View Article : Google Scholar : PubMed/NCBI

27 

Takashio S, Sugiyama S, Yamamuro M, Takahama H, Hayashi T, Sugano Y, Izumiya Y, Hokimoto S, Minamino N, Yasuda S, et al: Significance of low plasma levels of brain-derived neurotrophic factor in patients with heart failure. Am J Cardiol. 116:243–249. 2015. View Article : Google Scholar : PubMed/NCBI

28 

Kaye DM, Vaddadi G, Gruskin SL, Du XJ and Esler MD: Reduced myocardial nerve growth factor expression in human and experimental heart failure. Circ Res. 86:E80–E84. 2000. View Article : Google Scholar : PubMed/NCBI

29 

Bassili M, Birman E, Schor NF and Saragovi HU: Differential roles of Trk and p75 neurotrophin receptors in tumorigenesis and chemoresistance ex vivo and in vivo. Cancer Chemother Pharmacol. 65:1047–1056. 2010. View Article : Google Scholar : PubMed/NCBI

30 

Carito V, Venditti A, Bianco A, Ceccanti M, Serrilli AM, Chaldakov G, Tarani L, De Nicolò S and Fiore M: Effects of olive leaf polyphenols on male mouse brain NGF, BDNF and their receptors TrkA, TrkB and p75. Nat Prod Res. 28:1970–1984. 2014. View Article : Google Scholar : PubMed/NCBI

31 

Hou Y, Jia L, Zhang Y, Ji W and Li H: Activation of the NGF/TrkA signaling pathway attenuates diabetic erectile dysfunction. Oncotarget. 8:105692–105702. 2017. View Article : Google Scholar : PubMed/NCBI

32 

Liao D, Guo Y, Xiang D, Dang R, Xu P, Cai H, Cao L and Jiang P: Dysregulation of Neuregulin-1/ErbB signaling in the hippocampus of rats after administration of doxorubicin. Drug Des Devel Ther. 12:231–239. 2018. View Article : Google Scholar : PubMed/NCBI

Related Articles

  • Abstract
  • View
  • Download
  • Twitter
Copy and paste a formatted citation
Spandidos Publications style
Liao D, Zhang C, Liu N, Cao L, Wang C, Feng Q, Yao D, Long M and Jiang P: Involvement of neurotrophic signaling in doxorubicin‑induced cardiotoxicity. Exp Ther Med 19: 1129-1135, 2020.
APA
Liao, D., Zhang, C., Liu, N., Cao, L., Wang, C., Feng, Q. ... Jiang, P. (2020). Involvement of neurotrophic signaling in doxorubicin‑induced cardiotoxicity. Experimental and Therapeutic Medicine, 19, 1129-1135. https://doi.org/10.3892/etm.2019.8276
MLA
Liao, D., Zhang, C., Liu, N., Cao, L., Wang, C., Feng, Q., Yao, D., Long, M., Jiang, P."Involvement of neurotrophic signaling in doxorubicin‑induced cardiotoxicity". Experimental and Therapeutic Medicine 19.2 (2020): 1129-1135.
Chicago
Liao, D., Zhang, C., Liu, N., Cao, L., Wang, C., Feng, Q., Yao, D., Long, M., Jiang, P."Involvement of neurotrophic signaling in doxorubicin‑induced cardiotoxicity". Experimental and Therapeutic Medicine 19, no. 2 (2020): 1129-1135. https://doi.org/10.3892/etm.2019.8276
Copy and paste a formatted citation
x
Spandidos Publications style
Liao D, Zhang C, Liu N, Cao L, Wang C, Feng Q, Yao D, Long M and Jiang P: Involvement of neurotrophic signaling in doxorubicin‑induced cardiotoxicity. Exp Ther Med 19: 1129-1135, 2020.
APA
Liao, D., Zhang, C., Liu, N., Cao, L., Wang, C., Feng, Q. ... Jiang, P. (2020). Involvement of neurotrophic signaling in doxorubicin‑induced cardiotoxicity. Experimental and Therapeutic Medicine, 19, 1129-1135. https://doi.org/10.3892/etm.2019.8276
MLA
Liao, D., Zhang, C., Liu, N., Cao, L., Wang, C., Feng, Q., Yao, D., Long, M., Jiang, P."Involvement of neurotrophic signaling in doxorubicin‑induced cardiotoxicity". Experimental and Therapeutic Medicine 19.2 (2020): 1129-1135.
Chicago
Liao, D., Zhang, C., Liu, N., Cao, L., Wang, C., Feng, Q., Yao, D., Long, M., Jiang, P."Involvement of neurotrophic signaling in doxorubicin‑induced cardiotoxicity". Experimental and Therapeutic Medicine 19, no. 2 (2020): 1129-1135. https://doi.org/10.3892/etm.2019.8276
Follow us
  • Twitter
  • LinkedIn
  • Facebook
About
  • Spandidos Publications
  • Careers
  • Cookie Policy
  • Privacy Policy
How can we help?
  • Help
  • Live Chat
  • Contact
  • Email to our Support Team