Spandidos Publications Logo
  • About
    • About Spandidos
    • Aims and Scopes
    • Abstracting and Indexing
    • Editorial Policies
    • Reprints and Permissions
    • Job Opportunities
    • Terms and Conditions
    • Contact
  • Journals
    • All Journals
    • Oncology Letters
      • Oncology Letters
      • Information for Authors
      • Editorial Policies
      • Editorial Board
      • Aims and Scope
      • Abstracting and Indexing
      • Bibliographic Information
      • Archive
    • International Journal of Oncology
      • International Journal of Oncology
      • Information for Authors
      • Editorial Policies
      • Editorial Board
      • Aims and Scope
      • Abstracting and Indexing
      • Bibliographic Information
      • Archive
    • Molecular and Clinical Oncology
      • Molecular and Clinical Oncology
      • Information for Authors
      • Editorial Policies
      • Editorial Board
      • Aims and Scope
      • Abstracting and Indexing
      • Bibliographic Information
      • Archive
    • Experimental and Therapeutic Medicine
      • Experimental and Therapeutic Medicine
      • Information for Authors
      • Editorial Policies
      • Editorial Board
      • Aims and Scope
      • Abstracting and Indexing
      • Bibliographic Information
      • Archive
    • International Journal of Molecular Medicine
      • International Journal of Molecular Medicine
      • Information for Authors
      • Editorial Policies
      • Editorial Board
      • Aims and Scope
      • Abstracting and Indexing
      • Bibliographic Information
      • Archive
    • Biomedical Reports
      • Biomedical Reports
      • Information for Authors
      • Editorial Policies
      • Editorial Board
      • Aims and Scope
      • Abstracting and Indexing
      • Bibliographic Information
      • Archive
    • Oncology Reports
      • Oncology Reports
      • Information for Authors
      • Editorial Policies
      • Editorial Board
      • Aims and Scope
      • Abstracting and Indexing
      • Bibliographic Information
      • Archive
    • Molecular Medicine Reports
      • Molecular Medicine Reports
      • Information for Authors
      • Editorial Policies
      • Editorial Board
      • Aims and Scope
      • Abstracting and Indexing
      • Bibliographic Information
      • Archive
    • World Academy of Sciences Journal
      • World Academy of Sciences Journal
      • Information for Authors
      • Editorial Policies
      • Editorial Board
      • Aims and Scope
      • Abstracting and Indexing
      • Bibliographic Information
      • Archive
    • International Journal of Functional Nutrition
      • International Journal of Functional Nutrition
      • Information for Authors
      • Editorial Policies
      • Editorial Board
      • Aims and Scope
      • Abstracting and Indexing
      • Bibliographic Information
      • Archive
    • International Journal of Epigenetics
      • International Journal of Epigenetics
      • Information for Authors
      • Editorial Policies
      • Editorial Board
      • Aims and Scope
      • Abstracting and Indexing
      • Bibliographic Information
      • Archive
    • Medicine International
      • Medicine International
      • Information for Authors
      • Editorial Policies
      • Editorial Board
      • Aims and Scope
      • Abstracting and Indexing
      • Bibliographic Information
      • Archive
  • Articles
  • Information
    • Information for Authors
    • Information for Reviewers
    • Information for Librarians
    • Information for Advertisers
    • Conferences
  • Language Editing
Spandidos Publications Logo
  • About
    • About Spandidos
    • Aims and Scopes
    • Abstracting and Indexing
    • Editorial Policies
    • Reprints and Permissions
    • Job Opportunities
    • Terms and Conditions
    • Contact
  • Journals
    • All Journals
    • Biomedical Reports
      • Information for Authors
      • Editorial Policies
      • Editorial Board
      • Aims and Scope
      • Abstracting and Indexing
      • Bibliographic Information
      • Archive
    • Experimental and Therapeutic Medicine
      • Information for Authors
      • Editorial Policies
      • Editorial Board
      • Aims and Scope
      • Abstracting and Indexing
      • Bibliographic Information
      • Archive
    • International Journal of Epigenetics
      • Information for Authors
      • Editorial Policies
      • Editorial Board
      • Aims and Scope
      • Abstracting and Indexing
      • Bibliographic Information
      • Archive
    • International Journal of Functional Nutrition
      • Information for Authors
      • Editorial Policies
      • Editorial Board
      • Aims and Scope
      • Abstracting and Indexing
      • Bibliographic Information
      • Archive
    • International Journal of Molecular Medicine
      • Information for Authors
      • Editorial Policies
      • Editorial Board
      • Aims and Scope
      • Abstracting and Indexing
      • Bibliographic Information
      • Archive
    • International Journal of Oncology
      • Information for Authors
      • Editorial Policies
      • Editorial Board
      • Aims and Scope
      • Abstracting and Indexing
      • Bibliographic Information
      • Archive
    • Medicine International
      • Information for Authors
      • Editorial Policies
      • Editorial Board
      • Aims and Scope
      • Abstracting and Indexing
      • Bibliographic Information
      • Archive
    • Molecular and Clinical Oncology
      • Information for Authors
      • Editorial Policies
      • Editorial Board
      • Aims and Scope
      • Abstracting and Indexing
      • Bibliographic Information
      • Archive
    • Molecular Medicine Reports
      • Information for Authors
      • Editorial Policies
      • Editorial Board
      • Aims and Scope
      • Abstracting and Indexing
      • Bibliographic Information
      • Archive
    • Oncology Letters
      • Information for Authors
      • Editorial Policies
      • Editorial Board
      • Aims and Scope
      • Abstracting and Indexing
      • Bibliographic Information
      • Archive
    • Oncology Reports
      • Information for Authors
      • Editorial Policies
      • Editorial Board
      • Aims and Scope
      • Abstracting and Indexing
      • Bibliographic Information
      • Archive
    • World Academy of Sciences Journal
      • Information for Authors
      • Editorial Policies
      • Editorial Board
      • Aims and Scope
      • Abstracting and Indexing
      • Bibliographic Information
      • Archive
  • Articles
  • Information
    • For Authors
    • For Reviewers
    • For Librarians
    • For Advertisers
    • Conferences
  • Language Editing
Login Register Submit
  • This site uses cookies
  • You can change your cookie settings at any time by following the instructions in our Cookie Policy. To find out more, you may read our Privacy Policy.

    I agree
Search articles by DOI, keyword, author or affiliation
Search
Advanced Search
presentation
Experimental and Therapeutic Medicine
Join Editorial Board Propose a Special Issue
Print ISSN: 1792-0981 Online ISSN: 1792-1015
Journal Cover
March-2020 Volume 19 Issue 3

Full Size Image

Sign up for eToc alerts
Recommend to Library

Journals

International Journal of Molecular Medicine

International Journal of Molecular Medicine

International Journal of Molecular Medicine is an international journal devoted to molecular mechanisms of human disease.

International Journal of Oncology

International Journal of Oncology

International Journal of Oncology is an international journal devoted to oncology research and cancer treatment.

Molecular Medicine Reports

Molecular Medicine Reports

Covers molecular medicine topics such as pharmacology, pathology, genetics, neuroscience, infectious diseases, molecular cardiology, and molecular surgery.

Oncology Reports

Oncology Reports

Oncology Reports is an international journal devoted to fundamental and applied research in Oncology.

Experimental and Therapeutic Medicine

Experimental and Therapeutic Medicine

Experimental and Therapeutic Medicine is an international journal devoted to laboratory and clinical medicine.

Oncology Letters

Oncology Letters

Oncology Letters is an international journal devoted to Experimental and Clinical Oncology.

Biomedical Reports

Biomedical Reports

Explores a wide range of biological and medical fields, including pharmacology, genetics, microbiology, neuroscience, and molecular cardiology.

Molecular and Clinical Oncology

Molecular and Clinical Oncology

International journal addressing all aspects of oncology research, from tumorigenesis and oncogenes to chemotherapy and metastasis.

World Academy of Sciences Journal

World Academy of Sciences Journal

Multidisciplinary open-access journal spanning biochemistry, genetics, neuroscience, environmental health, and synthetic biology.

International Journal of Functional Nutrition

International Journal of Functional Nutrition

Open-access journal combining biochemistry, pharmacology, immunology, and genetics to advance health through functional nutrition.

International Journal of Epigenetics

International Journal of Epigenetics

Publishes open-access research on using epigenetics to advance understanding and treatment of human disease.

Medicine International

Medicine International

An International Open Access Journal Devoted to General Medicine.

Journal Cover
March-2020 Volume 19 Issue 3

Full Size Image

Sign up for eToc alerts
Recommend to Library

  • Article
  • Citations
    • Cite This Article
    • Download Citation
    • Create Citation Alert
    • Remove Citation Alert
    • Cited By
  • Similar Articles
    • Related Articles (in Spandidos Publications)
    • Similar Articles (Google Scholar)
    • Similar Articles (PubMed)
  • Download PDF
  • Download XML
  • View XML
Article Open Access

Identification of a novel three‑column classification for double‑column die‑punch fractures of the distal radius

  • Authors:
    • Dong Li
    • Yu Liu
    • Dongcheng Li
    • Wen Tang
    • Qudong Yin
  • View Affiliations / Copyright

    Affiliations: Department of Radiology, Liyang People's Hospital, Liyang, Jiangsu 213000, P.R. China, Department of Orthopaedics, Wuxi Ninth People's Hospital Affiliated to Soochow University, Wuxi, Jiangsu 214062, P.R. China, Department of Radiology, Wuxi Ninth People's Hospital Affiliated to Soochow University, Wuxi, Jiangsu 214062, P.R. China
    Copyright: © Li et al. This is an open access article distributed under the terms of Creative Commons Attribution License.
  • Pages: 1871-1877
    |
    Published online on: January 8, 2020
       https://doi.org/10.3892/etm.2020.8434
  • Expand metrics +
Metrics: Total Views: 0 (Spandidos Publications: | PMC Statistics: )
Metrics: Total PDF Downloads: 0 (Spandidos Publications: | PMC Statistics: )
Cited By (CrossRef): 0 citations Loading Articles...

This article is mentioned in:



Abstract

The present study aimed to classify double‑column die‑punch fractures of the distal radius according to imaging data, and to evaluate their clinical features. A retrospective analysis of imaging data derived from 498 patients diagnosed with a double‑column die‑punch fracture of the distal radius was performed. The fractures were divided into those with middle‑column avulsion with fracture of the radial‑column articular surface (type I), those with middle‑column collapse with fracture of the radial‑column articular surface (type II), those with middle‑column collapse with fracture of epiphysis of the radial column (type III) or mixed‑type fractures (type IV). The intra‑ and inter‑observer consistency between assessors was analyzed with kappa statistics. The patients with double‑column die‑punch fractures of the distal radius were followed up. There were 21 cases of type I fracture, 135 cases of type II fracture, 130 cases of type III fracture and 212 cases of type IV fracture. The intra‑observer kappa coefficient ranged from 0.810‑0.861, whereas the inter‑observer kappa coefficient range was 0.830‑0.876, with high consistency. Following 13 months of follow‑up, the patients were assessed for functional recovery of the wrist and hand using the Gartland‑Werley scoring system. The analysis indicated that in 95.78% of the patients, wrist function was rated as excellent or good (n=477), while in 4.22% of patients it was rated as fair (n=21), mainly due to the development of post‑traumatic arthritis of the wrist following inappropriate therapy. All of the cases were type IV and type III fractures. These data demonstrated the application of a novel classification system named the Three‑Column Classification, used to classify double‑column die‑punch fractures of the distal radius. This method reflected the mechanisms and severity of the fractures, conforming to the principle of AO fracture classification. Furthermore, it exhibited high consistency and may provide reference values for clinical diagnosis, treatment and prognostic evaluation.

Introduction

An avulsion fracture of the dorsal articular surface of the lunate fossa in the distal radius was initially described as a die-punch fracture in 1962 (1). Subsequently, fractures of the articular surface of the lunate fossa caused by an axial force and transferred via the lunar bone to the lunate fossa were collectively referred to as die-punch fractures of the distal radius. The most typical manifestation was that of a collapsing fracture of the articular surface (2,3). Die-punch fractures of the articular surface of the distal tibia, of the posterior articular surface of the calcaneus and of the articular surface of the patella have also been described (4–6). Therefore, a die-punch fracture refers only to the mechanism of the fracture and does not reflect either the fracture site or the affected area.

Due to differences in the extent and complexity of force at the time of injury, wrist position and bone condition, die-punch fractures may not only affect the ulnar demifacet of the distal radius but also the radial demifacet of the distal radius. These fractures include articular surface collapsed fractures and articular surface split fractures, as well as marginal fractures on the volar or dorsal side (2). According to the ‘three-column theory’ of distal radius fractures proposed by Rikli and Regazzoni (7) (Fig. 1), the die-punch fractures may be classified into the following two types: Single column and double column (Figs. 2 and 3A). A die-punch fracture is a rare occurrence. The Müller-AO classification of distal radius fractures includes die-punch fractures, although no specific system currently exists for the classification of die-punch fractures. Although certain studies have described a classification system for single-column die-punch fractures of the distal radius (2,8), the classification of double-column die-punch fractures remains to be established.

Figure 1.

Illustration of the three-column theory of distal radius fractures.

Figure 2.

Single-column die-punch fracture. (A) Sketch of a single column die-punch fracture (red area indicates fracture site). (B) Anteroposterior and (C) lateral radiographs. (D) CT image. Arrows indicate the fracture site.

Figure 3.

Double-column die-punch fractures. (A) Sketch of double-column die-punch fracture (red area indicates fracture site). (B) Anteroposterior and (C) lateral radiographs and (D) 3D CT image of type I die-punch fractures. (E) Anteroposterior and (F) lateral radiographs and CT images in (G) 3D and in (H) sagittal and (I) horizontal planes of type II die-punch fractures. (J) Anteroposterior and (K) lateral radiographs and CT images in (L) 3D and in (M) coronal and (N) sigittal planes of type III die-punch fractures. (O) Anteroposterior and (P) lateral radiographs and CT images in (Q) 3D and in (R) coronal and (S) sigittal planes of type IV die-punch fractures. Arrows indicate the fracture site.

Fracture classification may aid in the identification of fracture types and subsequent treatment, as well as determine the prognosis of this disorder. The aim of the present study was to classify double-column die-punch fractures of the distal radius according to imaging data. Furthermore, the current study presented and evaluated the application of a novel classification based on the review of imaging data from patients with double-column die-punch fractures of the distal radius admitted to Wuxi Ninth People's Hospital (Wuxi, China).

Materials and methods

Subjects

The present retrospective study was approved by the Ethics committee of Wuxi Ninth People's Hospital (Wuxi, China, No. LW2109003) and Liyang People's Hospital (Changzhou, China, No. LYCZ2019022).

A total of 10,596 patients who presented with distal radius fractures were initially screened, 498 of whom were included in the present study. These patients were diagnosed with a double-column die-punch fracture of the distal radius at the Wuxi Ninth People's Hospital (Wuxi, China) between June 2007 and June 2017. The patients included 223 females and 275 males with a mean age of 45.3 years (range, 13–90 years). Among these patients, there were 167 cases with falling injuries, 142 cases with bruising injuries, 114 cases with traffic traumas and 75 cases with impact injuries. In addition, the study included 45 cases of combined ulnar styloid fractures, 30 cases of combined relaxation and subluxation of the distal radioulnar joint fractures, and 86 cases of complicated fractures at other sites. All cases were diagnosed by X-ray examinations and 492 out of the 498 (98.79%) underwent CT examination.

Inclusion and exclusion criteria

The inclusion criteria were as follows: Patients with an intra-articular fracture of the middle column, accompanied by a mild fracture of the radial column of the distal radius caused by an axial force. The exclusion criteria were as follows: i) Patients with open intra-articular fractures of the middle column, accompanied by a fracture of the radial column of the distal radius caused by a direct impact; ii) patients with particularly severe fractures of the radial column or those with severe fractures in the radial column and middle column; and iii) patients with incomplete imaging data.

Instrument-associated parameters

An X-ray plain-film examination was performed using Siemens digital radiography (DR) equipment (Ysio 1,500 Ma 50 kW; Siemens Ag) or Philips DR equipment (Digital Diag 500 Ma kW; Philips Medical Systems). The CT examination was performed using a GE 64-slice spiral CT scanner (Optima 660; GE Healthcare) with a screw pitch of 1.2, tube voltage of 120 Kv, tube current of 250 mA, conventional reconstruction and spacing of 2.5 mm, thin layer reconstruction and spacing of 1.0 mm, convolution sum of the bone algorithm of 75 and field of view of 145×145 mm.

Fracture classification method

The patients with double-column die-punch fractures of the distal radius exhibited an apparent fracture of the middle column and the majority of the fractures were collapsed, with only a limited number of avulsion fractures noted at the volar or dorsal side. The fracture line was usually vertical. The fractures of the radial column were mild with a horizontal fracture line. The double-column die-punch fractures of the distal radius were divided into four classes based on the Müller-AO classification system and the three-column theory, which is named as the Three-Column Classification. This classification included the determination of area of the radial column area and was described as follows: Type I: Middle-column avulsion with fracture of the radial-column articular surface; type II: Middle-column collapse with fracture of the radial-column articular surface; type III: Middle-column collapse with fracture of epiphysis of the radial column; type IV: Mixed type, middle-column fracture with fractures of articular surface as well as epiphysis of the radial column.

The type I and II fractures affected the articular surface of the radial column, without affecting the metaphysis of the radial column. Of note, no fracture was noted in the cortical bone at the radial side of the metaphysis. These factures were classified as type I with avulsion in the volar or dorsal edge of the middle column (Fig. 3B-D), and as type II for collapsed or comminuted fracture at the center or at the volar and dorsal sides of the middle column (Fig. 3E-I).

The type III fractures of the patients affected the metaphysis of the radial column, particularly the cortical bone at the radial side of the metaphysis, without affecting the articular surface of the radial column (Fig. 3J-N).

The type IV fractures affected the articular surface and metaphysis of the radial column. In addition, the fracture line of the radial column was usually horizontal and comminuted. Fig. 3O-S displays images of mixed-type fractures with fracture collapse of the middle column, and a combination of epiphyseal and articular fractures of the radial column.

Intra- and inter-observer agreement on fracture classification

Three-Column Classification was taught to two senior radiology residents. In this system the double-column die-punch fractures (n=498) of the distal radius were classified as type I–IV. The radiologists independently classified 100 cases of double-column die-punch fractures as follows: i) Type I (n=10); ii) type II (n=30); iii) type III (n=30); and iv) type IV (n=30). The classification of the 100 cases of double-column die-punch fractures was performed independently once more, three months after study initiation. In cases of inconsistency between the fracture types assigned by the radiologists, the decision of the most senior radiologist was accepted. Cohen's kappa coefficients and quadratic weighted kappa coefficients were subsequently determined (2,3).

Gartland and Werley score

The Gartland and Werley scoring system was used to evaluate wrist and hand function (9). A score between 0 and 2 was regarded as ‘Excellent’; between 3 and 6 as ‘Good’; between 7 and 18 as ‘Fair’; and >19 as ‘Poor’.

Statistical analysis

The inter- and intra-observer consistency were analyzed using kappa statistics (SPSS software version 13.0; SPSS, Inc.). The kappa coefficient ranged between −1 and +1. A kappa coefficient of >0 was considered to indicate significant consistency and improved consistency was associated with a larger kappa value. Kappa coefficients that ranged between 0.00 and 0.20, 0.21 and 0.40, 0.41 and 0.60, 0.61 and 0.80, and 0.81 and 1.00 corresponded to low, fair, medium, relatively high and high consistency, respectively.

Results

Distribution of fracture types

The incidence of single-column die-punch fractures of the distal radius in 10,596 patients with distal radius fractures was 0.70% (74/10,596), whereas the incidence of double-column die-punch fractures of the distal radius was 4.70% (498/10,596). Among the 498 patients diagnosed with double-column die-punch fractures of the distal radius, 21 cases presented with middle-column avulsion with radial-column articular surface fracture (type I), whereas 135 cases exhibited middle-column collapse with radial-column articular surface fracture (type II). Furthermore, 130 cases revealed middle-column collapse with fracture of the epiphysis of the radial column (type III), whereas 212 cases presented with mixed-type fractures (type IV). Middle-column avulsion fractures involving the radial-column articular surface (type I) were classified as type B (21 cases, 4.22%) according to the Müller-AO classification, whereas most collapsed fractures of the middle column (type II and type III, n=265) and the mixed-type (type IV, n=212) were classified as type C (477 cases, 95.78%) according to the Müller-AO classification (Table I). The fractures of all the patients were able to be categorized using the aforementioned classification system.

Table I.

Distribution of fracture types and consistency of fracture classification.

Table I.

Distribution of fracture types and consistency of fracture classification.

Type IType IIType IIIType IVInter-observer agreementIntra-observer agreement
21 (4.22)135 (27.11)130 (26.10)212 (42.57)0.810–0.8610.830–0.876

[i] Values are expressed as n (%).

Inter- and intra-observer agreement on fracture classification

Inconsistency occurred in patients with minor fractures, including a type IV fracture that was easily misdiagnosed as type III fracture (Fig. 3J-S). In patients with obvious fractures, the inter-observer agreement was optimal. In general, the intra-observer kappa coefficient was between 0.810 and 0.861 and the inter-observer kappa coefficient was between 0.830 and 0.876, with high consistency (Table I).

Treatment outcomes vs. fracture type

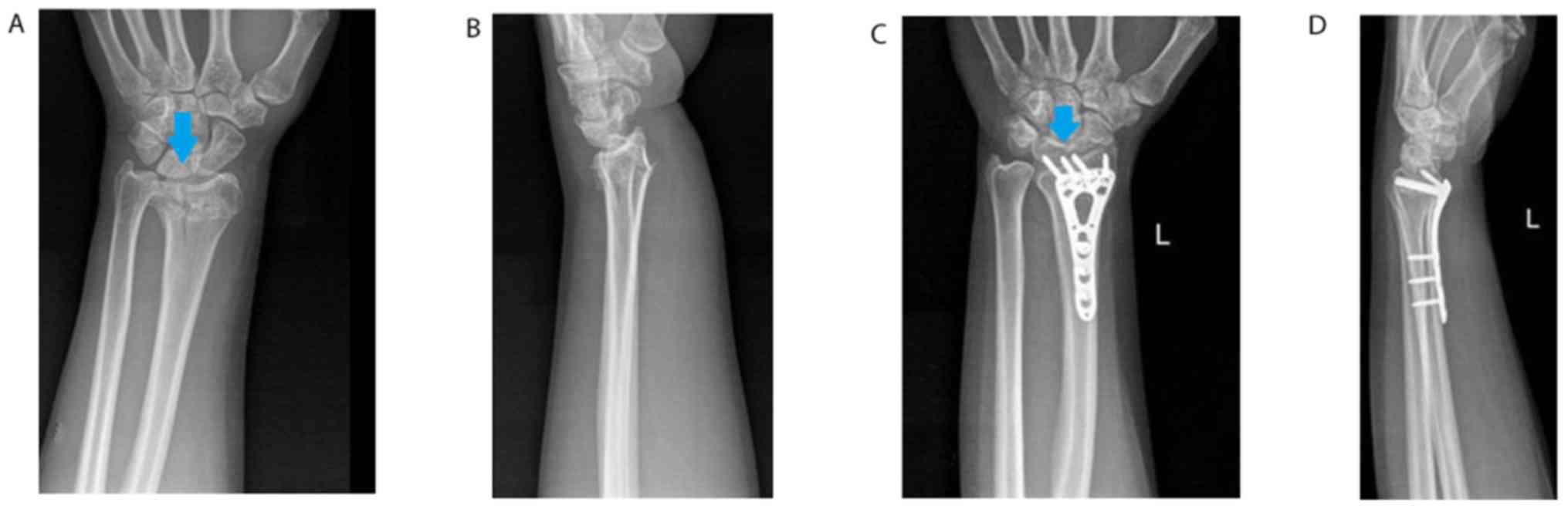
Among the 498 patients, 226 and 272 selected conservative treatment or surgical treatment, respectively. After clinical healing of the fractures, gradual rehabilitation exercise was taken. In the 13th month of the patients' follow-up, the wrist function of 95.78% of the patients was rated as excellent or good (n=477; Fig. 4), whereas that of 21 patients (4.22%) was rated as fair according to the Gartland-Werley scoring system. This was mainly due to the development of post-traumatic arthritis of the wrist as a result of inappropriate therapy (Fig. 5). All of these patients exhibited type IV and type III fractures. No patients with a poor score were noted in the present study.

Figure 4.

Successful surgical treatment of a type III fracture. (A) Anteroposterior and (B) lateral radiographs of the fracture prior to treatment. (C) Anteroposterior and (D) lateral radiographs of the fracture after the treatment. The arrow indicates the fracture site.

Figure 5.

Conservative treatment of a type III fracture resulted in traumatic arthritis of the wrist. (A) Anteroposterior and (B) lateral radiographs of the fracture prior to treatment. (C) Anteroposterior and (D) lateral radiographs of the fracture after the treatment. (E) The arrow indicates the fracture site.

Discussion

Previous biomechanical studies have indicated that the middle column of the distal radius is the hub and primary load-bearing surface, which transmits an axial load to the wrist and has a major role in mechanical conduction (10). The fracture line of the middle column of the distal radius is usually vertical. The radial column of the distal radius mainly stabilizes the wrist and controls rotation and its fracture line is usually horizontal (11–14). Different types of die-punch fractures may occur, depending on the type of impact and stress, the position of the wrist, and the effects of local anatomy and bone condition (2,5,11). A single-column die-punch fracture of the middle column frequently occurs when the radiocarpal joint is in a neutral position and the axial force is not severe. However, single-column die-punch fractures of the distal radius are rare and double-column die-punch fractures are commonly encountered in the clinic (2). In the present study, the incidence of single-column die-punch fractures of the distal radius was 0.70%, whereas the incidence of double-column die-punch fractures of the distal radius was 4.70%. According to the fracture sites of the radial column noted on the radiographs, the double-column die-punch fractures of the distal radius were divided into the four following classes based on the Three-Colum Classification system: Type I middle-column avulsion involving the radial column articular surface; type II middle-column collapse involving the radial column articular surface; type III middle-column collapse involving epiphysis of the radial column; and type IV mixed type. In the patients with type I fractures, the axial force resulted in volar or dorsal edge fracture of the middle column when the radiocarpal joint was in flexion or extension position leading to articular fracture of the radial column due to the associated rotational load. In patients with type II fractures, the axial force resulted in fracture collapse of the middle column when the radiocarpal joint was in a neutral position and the associated rotational load resulted in articular fracture of the radial column. Type III fractures occurred when the radiocarpal joint was in a neutral position and during the incidence of epiphysis fracture of the radial column as a result of ulnar deviation of the position of the radiocarpal joint. Type IV fractures were caused by a relatively large axial load or a combination of the aforementioned factors. Therefore, the fracture line in the radial column was usually horizontal and comminuted, suggesting that the mechanisms underlying the different types of die-punch fractures of the distal radius varied and depended on a range of factors, including the size and nature of the axial load, the associated rotational load and the position of the radiocarpal joint. The results indicated that the Three-Column Classification system reflected the mechanisms associated with the development of different types of fracture.

The Melone classification II and Fernandez classification III are established classifications of die-punch fractures, which were denoted as type III fractures in the present study (15,16). The Melone and Fernandez classification systems have been extensively cited by previous studies (17–21). Although this type of double-column die-punch fracture is widely known, the description of double-column die-punch fractures of the distal radius has not been previously reported (10,22). Therefore, a lack of studies is available regarding the mechanism of the occurrence and classification of double-column die-punch fractures. In the present study, 4 types of double-column die-punch fracture of the distal radius were included as follows: 130 type III fractures, 156 type I and II fractures and 212 type IV fractures. The incidence of the mixed-type fractures (42.57%) was more common than that of the other types (4.22, 27.11 and 26.10% for type I, II and III, respectively).

A comprehensive fracture classification system must include all fracture types and reflect the characteristics of the fractures. In addition, the system must exhibit an optimal performance (19,23,24). In the present study, all of the 498 patients were successfully grouped in the absence of missing data. The results indicated that the Three-Column Classification system reflected the underlying fracture mechanical mechanisms and the fracture sites. Furthermore, it accurately presented all of the types of double-column die-punch fracture, conforming to the principles of the AO fracture classification.

Another purpose of the Three-Column Classification is to provide a common language for the communication of fracture severity (23,24). In the present study, the classification of the fracture type was consistent in the vast majority of the patients, with the exception of the classification of several minor double column die-punch fractures. In general, the intra- and inter-observer kappa coefficients were >0.80, indicating that the consistency of the present classification system was optimal.

A third purpose of the Three-Column Classification system was to provide a reference for diagnosis, treatment selection and prognostic evaluation (19,25). According to the Müller-AO classification, a double-column die-punch fracture is more severe than a single-column fracture, as the majority of them are type C fractures, which usually have a worse outcome and poor prognosis compared with those of type B fractures (25–27). Therefore, type II, III and IV fractures (AO type C) with a collapsing fracture in the middle column are more severe and exhibit a poorer prognosis than type I fractures (AO type B). In the present study, 21 cases (4.22%) presented with a collapsing fracture in the middle column that resulted in poor rehabilitation of the wrist due to poor reduction of the displaced fracture. Optimal rehabilitation of the wrist was present in 91.57% (n=456) of the subjects due to optimal reduction and fixation of the displaced fracture, although all of these were type IV and type III. The principal fractures that require treatment are collapsing fractures of the middle-column radius that are particularly noted in type IV and type III fractures. These fragmented bone tissues are prone to inducing traumatic arthritis of the wrist with inappropriate therapy. According to previous studies, the surgical techniques used for die-punch fractures involve the following: Reduction followed by depressed fixation for avulsion fractures and reduction followed by bone graft support and subsequent internal fixation for collapsing fractures (5,12,14,22). This suggests that different types of fracture require different treatment methods. Therefore, the Three-Column Classification system applied in the present study reflects the characteristics and severity of the fracture and may provide a reference for the treatment and prognostic evaluation of patients.

The present study had certain limitations. First, it included a relatively small number of cases. In addition, a small number of misdiagnoses occurred. Furthermore, two types of DR equipment were used in our hospital. In the present retrospective study, DR images of 10,596 patients were included. Upon admission to the hospital, the patients were randomly assigned to the two different types of equipment. The difference noted between these instruments may be further investigated in future studies.

In conclusion, the double-column die-punch fractures of the distal radius were divided into four classes using the novel classification system, named the Three Colum Classification. The classification was mainly based on the different fracture sites of the radial column noted from the radiographs. The advantages of this novel classification are as follows: First, it comprises all subtypes, while previously, only type III was included. Furthermore, it reflects the mechanism of different types. In addition, different subtypes have different outcomes and prognosis. It also exhibited high consistency. Therefore, this classification may provide a common, consistent and easy-to-use system and reference values for clinical diagnosis, treatment and prognostic evaluation of this type of disorder.

Acknowledgements

The authors would like to thank Dr Ying Yang of Wuxi Ninth People's Hospital Affiliated to Soochow University for the contribution of his cases to the study and Professor Yongjun Rui of Wuxi Ninth People's Hospital Affiliated to Soochow University for his photography and graphics assistance.

Funding

No funding was received.

Availability of data and materials

The datasets used and/or analyzed during the current study are available from the corresponding author on reasonable request.

Authors' contributions

DL and QY conceived the study. WT and YL designed the study and drafted the manuscript. YL and DCL collected the data and analyzed the data. QY and WT reviewed the manuscript. All authors read and approved the final manuscript.

Ethics approval and consent to participate

This study was approved by the Ethics Committees of Liyang People's Hospital (Changzhou, China) and Wuxi Ninth People's Hospital (Wuxi, China).

Patient consent for publication

All patients provided consent for the publication of images.

Competing interests

The authors declare that they have no competing interests.

References

1 

Scheck M: Long-term follow-up of treatment of comminuted fractures of the distal end of the radius by transfixation with Kirschner wires and cast. J Bone Joint Surg Am. 44-A:337–351. 1962. View Article : Google Scholar : PubMed/NCBI

2 

Ma Y, Yin Q, Rui Y, Gu S and Yang Y: Image classification for Die-punch fracture of intermediate column of the distal radius. Radiol Med. 122:928–933. 2017. View Article : Google Scholar : PubMed/NCBI

3 

Zhang J, Ji XR, Peng Y, Li JT, Zhang LH and Tang PF: New classification of lunate fossa fractures of the distal radius. J Orthop Surg Res. 11:1242016. View Article : Google Scholar : PubMed/NCBI

4 

Falcochio DF, Crepaldi BE, Trindade CA, da Costa AC and Chakkour I: What is the best radiographic view for ‘Die Punch’ distal radius fractures? a cadaver model study. Rev Bras Ortop. 47:27–30. 2015. View Article : Google Scholar : PubMed/NCBI

5 

Sun YQ, Stephen M and Meinhard BP: Surgical treatment of comminuted die-punch patellar fracture. Orthopedics. 24:947–950. 2001.PubMed/NCBI

6 

Zhang X, Hu C, Yu K, Bai J, Tian D, Xu Y and Zhang B: Volar locking plate (VLP) versus non-locking plate (NLP) in the treatment of die-punch fractures of the distal radius, an observational study. Int J Surg. 34:142–147. 2016. View Article : Google Scholar : PubMed/NCBI

7 

Rikli DA and Regazzoni P: Fractures of the distal end of the radius treated by internal fixation and early function. A preliminary report of 20 cases. J Bone Joint Surg Br. 78:588–592. 1996. View Article : Google Scholar : PubMed/NCBI

8 

Inagaki K and Kawasaki K: Distal radius fractures-Design of locking mechanism in plate system and recent surgical procedures. J Orthop Sci. 21:258–262. 2016. View Article : Google Scholar : PubMed/NCBI

9 

Lucas GL and Sachtjen KM: An analysis of hand function in patients with colles' fracture treated by Rush rod fixation. Clin Orthop Relat Res. 172–179. 1981.PubMed/NCBI

10 

Almedghio S, Arshad MS, Almari F and Chakrabarti I: Effects of ulnar styloid fractures on unstable distal radius fracture outcomes: A systematic review of comparative studies. J Wrist Surg. 7:172–181. 2018. View Article : Google Scholar : PubMed/NCBI

11 

Anderson DD, Deshpande BR, Daniel TE and Baratz ME: A three-dimensional finite element model of the radiocarpal joint: Distal radius fracture step-off and stress transfer. Iowa Orthop J. 25:108–117. 2005.PubMed/NCBI

12 

Dwyer CL, Crosby NE, Cooney T, Seeds W and Lubahn JD: Treating unstable distal radius fractures with a nonspanning external fixation device: Comparison with volar locking plates in historical control group. Am J Orthop (Belle Mead NJ). 46:E344–E352. 2017.PubMed/NCBI

13 

Jose A, Suranigi SM, Deniese PN, Babu AT, Rengasamy K and Najimudeen S: Unstable distal radius fractures treated by volar locking anatomical plates. J Clin Diagn Res. 11:RC04–RC08. 2017.PubMed/NCBI

14 

Peng F, Liu YX and Wan ZY: Percutaneous pinning versus volar locking plate internal fixation for unstable distal radius fractures: A meta-analysis. J Hand Surg Eur Vol. 43:158–167. 2018. View Article : Google Scholar : PubMed/NCBI

15 

Melone CP Jr: Distal radius fractures: Patterns of articular fragmentation. Orthop Clin North Am. 24:239–253. 1993.PubMed/NCBI

16 

Fernandez DL: Fractures of the distal radius: Operative treatment. Instr Course Lect. 42:73–88. 1993.PubMed/NCBI

17 

Burnier M, Herzberg G and Izem Y: Patient-accident-fracture (PAF) classification of distal radius fractures. Hand Surg Rehabil. 35S:S34–S38. 2016.(In French). View Article : Google Scholar : PubMed/NCBI

18 

Chia B, Kozin SH, Herman MJ, Safier S and Abzug JM: Complications of pediatric distal radius and forearm fractures. Instr Course Lect. 64:499–507. 2015.PubMed/NCBI

19 

Mathews AL and Chung KC: Management of complications of distal radius fractures. Hand Clin. 31:205–215. 2015. View Article : Google Scholar : PubMed/NCBI

20 

Mulders MA, Rikli D, Goslings JC and Schep NW: Classification and treatment of distal radius fractures: A survey among orthopaedic trauma surgeons and residents. Eur J Trauma Emerg Surg. 43:239–248. 2017. View Article : Google Scholar : PubMed/NCBI

21 

Qiu WJ, Li YF, Ji YH, Xu W, Zhu XD, Tang XZ, Zhao HL, Wang GB, Jia YQ, Zhu SC, et al: The comparative risk of developing postoperative complications in patients with distal radius fractures following different treatment modalities. Sci Rep. 5:153182015. View Article : Google Scholar : PubMed/NCBI

22 

Yamamoto K, Masaoka T, Shishido T and Imakiire A: Clinical results of external fixation for unstable Colles' fractures. Hand Surg. 8:193–200. 2003. View Article : Google Scholar : PubMed/NCBI

23 

Kamphaus A, Rapp M, Wessel LM, Buchholz M, Massalme E, Schneidmuller D, Roeder C and Kaiser MM: LiLa classification for paediatric long bone fractures. Intraobserver and interobserver reliability. Unfallchirurg. 118:326–335. 2015.(In German). View Article : Google Scholar : PubMed/NCBI

24 

Randsborg PH and Sivertsen EA: Classification of distal radius fractures in children: Good inter- and intraobserver reliability, which improves with clinical experience. BMC Musculoskelet Disord. 13:62012. View Article : Google Scholar : PubMed/NCBI

25 

Sonderegger J, Schindele S, Rau M and Gruenert JG: Palmar multidirectional fixed-angle plate fixation in distal radius fractures: Do intraarticular fractures have a worse outcome than extraarticular fractures? Arch Orthop Trauma Surg. 130:1263–1268. 2010. View Article : Google Scholar : PubMed/NCBI

26 

Bartl C, Stengel D, Bruckner T and Gebhard F; ORCHID Study Group, : The treatment of displaced intra-articular distal radius fractures in elderly patients. Dtsch Arztebl Int. 111:779–787. 2014.PubMed/NCBI

27 

Chen C, Cai L, Zhang C, Wang J, Guo X and Zhou Y: Treatment of die-punch fractures with 3D printing technology. J Invest Surg. 31:385–392. 2018. View Article : Google Scholar : PubMed/NCBI

Related Articles

  • Abstract
  • View
  • Download
  • Twitter
Copy and paste a formatted citation
Spandidos Publications style
Li D, Liu Y, Li D, Tang W and Yin Q: Identification of a novel three‑column classification for double‑column die‑punch fractures of the distal radius. Exp Ther Med 19: 1871-1877, 2020.
APA
Li, D., Liu, Y., Li, D., Tang, W., & Yin, Q. (2020). Identification of a novel three‑column classification for double‑column die‑punch fractures of the distal radius. Experimental and Therapeutic Medicine, 19, 1871-1877. https://doi.org/10.3892/etm.2020.8434
MLA
Li, D., Liu, Y., Li, D., Tang, W., Yin, Q."Identification of a novel three‑column classification for double‑column die‑punch fractures of the distal radius". Experimental and Therapeutic Medicine 19.3 (2020): 1871-1877.
Chicago
Li, D., Liu, Y., Li, D., Tang, W., Yin, Q."Identification of a novel three‑column classification for double‑column die‑punch fractures of the distal radius". Experimental and Therapeutic Medicine 19, no. 3 (2020): 1871-1877. https://doi.org/10.3892/etm.2020.8434
Copy and paste a formatted citation
x
Spandidos Publications style
Li D, Liu Y, Li D, Tang W and Yin Q: Identification of a novel three‑column classification for double‑column die‑punch fractures of the distal radius. Exp Ther Med 19: 1871-1877, 2020.
APA
Li, D., Liu, Y., Li, D., Tang, W., & Yin, Q. (2020). Identification of a novel three‑column classification for double‑column die‑punch fractures of the distal radius. Experimental and Therapeutic Medicine, 19, 1871-1877. https://doi.org/10.3892/etm.2020.8434
MLA
Li, D., Liu, Y., Li, D., Tang, W., Yin, Q."Identification of a novel three‑column classification for double‑column die‑punch fractures of the distal radius". Experimental and Therapeutic Medicine 19.3 (2020): 1871-1877.
Chicago
Li, D., Liu, Y., Li, D., Tang, W., Yin, Q."Identification of a novel three‑column classification for double‑column die‑punch fractures of the distal radius". Experimental and Therapeutic Medicine 19, no. 3 (2020): 1871-1877. https://doi.org/10.3892/etm.2020.8434
Follow us
  • Twitter
  • LinkedIn
  • Facebook
About
  • Spandidos Publications
  • Careers
  • Cookie Policy
  • Privacy Policy
How can we help?
  • Help
  • Live Chat
  • Contact
  • Email to our Support Team