Spandidos Publications Logo
  • About
    • About Spandidos
    • Aims and Scopes
    • Abstracting and Indexing
    • Editorial Policies
    • Reprints and Permissions
    • Job Opportunities
    • Terms and Conditions
    • Contact
  • Journals
    • All Journals
    • Oncology Letters
      • Oncology Letters
      • Information for Authors
      • Editorial Policies
      • Editorial Board
      • Aims and Scope
      • Abstracting and Indexing
      • Bibliographic Information
      • Archive
    • International Journal of Oncology
      • International Journal of Oncology
      • Information for Authors
      • Editorial Policies
      • Editorial Board
      • Aims and Scope
      • Abstracting and Indexing
      • Bibliographic Information
      • Archive
    • Molecular and Clinical Oncology
      • Molecular and Clinical Oncology
      • Information for Authors
      • Editorial Policies
      • Editorial Board
      • Aims and Scope
      • Abstracting and Indexing
      • Bibliographic Information
      • Archive
    • Experimental and Therapeutic Medicine
      • Experimental and Therapeutic Medicine
      • Information for Authors
      • Editorial Policies
      • Editorial Board
      • Aims and Scope
      • Abstracting and Indexing
      • Bibliographic Information
      • Archive
    • International Journal of Molecular Medicine
      • International Journal of Molecular Medicine
      • Information for Authors
      • Editorial Policies
      • Editorial Board
      • Aims and Scope
      • Abstracting and Indexing
      • Bibliographic Information
      • Archive
    • Biomedical Reports
      • Biomedical Reports
      • Information for Authors
      • Editorial Policies
      • Editorial Board
      • Aims and Scope
      • Abstracting and Indexing
      • Bibliographic Information
      • Archive
    • Oncology Reports
      • Oncology Reports
      • Information for Authors
      • Editorial Policies
      • Editorial Board
      • Aims and Scope
      • Abstracting and Indexing
      • Bibliographic Information
      • Archive
    • Molecular Medicine Reports
      • Molecular Medicine Reports
      • Information for Authors
      • Editorial Policies
      • Editorial Board
      • Aims and Scope
      • Abstracting and Indexing
      • Bibliographic Information
      • Archive
    • World Academy of Sciences Journal
      • World Academy of Sciences Journal
      • Information for Authors
      • Editorial Policies
      • Editorial Board
      • Aims and Scope
      • Abstracting and Indexing
      • Bibliographic Information
      • Archive
    • International Journal of Functional Nutrition
      • International Journal of Functional Nutrition
      • Information for Authors
      • Editorial Policies
      • Editorial Board
      • Aims and Scope
      • Abstracting and Indexing
      • Bibliographic Information
      • Archive
    • International Journal of Epigenetics
      • International Journal of Epigenetics
      • Information for Authors
      • Editorial Policies
      • Editorial Board
      • Aims and Scope
      • Abstracting and Indexing
      • Bibliographic Information
      • Archive
    • Medicine International
      • Medicine International
      • Information for Authors
      • Editorial Policies
      • Editorial Board
      • Aims and Scope
      • Abstracting and Indexing
      • Bibliographic Information
      • Archive
  • Articles
  • Information
    • Information for Authors
    • Information for Reviewers
    • Information for Librarians
    • Information for Advertisers
    • Conferences
  • Language Editing
Spandidos Publications Logo
  • About
    • About Spandidos
    • Aims and Scopes
    • Abstracting and Indexing
    • Editorial Policies
    • Reprints and Permissions
    • Job Opportunities
    • Terms and Conditions
    • Contact
  • Journals
    • All Journals
    • Biomedical Reports
      • Information for Authors
      • Editorial Policies
      • Editorial Board
      • Aims and Scope
      • Abstracting and Indexing
      • Bibliographic Information
      • Archive
    • Experimental and Therapeutic Medicine
      • Information for Authors
      • Editorial Policies
      • Editorial Board
      • Aims and Scope
      • Abstracting and Indexing
      • Bibliographic Information
      • Archive
    • International Journal of Epigenetics
      • Information for Authors
      • Editorial Policies
      • Editorial Board
      • Aims and Scope
      • Abstracting and Indexing
      • Bibliographic Information
      • Archive
    • International Journal of Functional Nutrition
      • Information for Authors
      • Editorial Policies
      • Editorial Board
      • Aims and Scope
      • Abstracting and Indexing
      • Bibliographic Information
      • Archive
    • International Journal of Molecular Medicine
      • Information for Authors
      • Editorial Policies
      • Editorial Board
      • Aims and Scope
      • Abstracting and Indexing
      • Bibliographic Information
      • Archive
    • International Journal of Oncology
      • Information for Authors
      • Editorial Policies
      • Editorial Board
      • Aims and Scope
      • Abstracting and Indexing
      • Bibliographic Information
      • Archive
    • Medicine International
      • Information for Authors
      • Editorial Policies
      • Editorial Board
      • Aims and Scope
      • Abstracting and Indexing
      • Bibliographic Information
      • Archive
    • Molecular and Clinical Oncology
      • Information for Authors
      • Editorial Policies
      • Editorial Board
      • Aims and Scope
      • Abstracting and Indexing
      • Bibliographic Information
      • Archive
    • Molecular Medicine Reports
      • Information for Authors
      • Editorial Policies
      • Editorial Board
      • Aims and Scope
      • Abstracting and Indexing
      • Bibliographic Information
      • Archive
    • Oncology Letters
      • Information for Authors
      • Editorial Policies
      • Editorial Board
      • Aims and Scope
      • Abstracting and Indexing
      • Bibliographic Information
      • Archive
    • Oncology Reports
      • Information for Authors
      • Editorial Policies
      • Editorial Board
      • Aims and Scope
      • Abstracting and Indexing
      • Bibliographic Information
      • Archive
    • World Academy of Sciences Journal
      • Information for Authors
      • Editorial Policies
      • Editorial Board
      • Aims and Scope
      • Abstracting and Indexing
      • Bibliographic Information
      • Archive
  • Articles
  • Information
    • For Authors
    • For Reviewers
    • For Librarians
    • For Advertisers
    • Conferences
  • Language Editing
Login Register Submit
  • This site uses cookies
  • You can change your cookie settings at any time by following the instructions in our Cookie Policy. To find out more, you may read our Privacy Policy.

    I agree
Search articles by DOI, keyword, author or affiliation
Search
Advanced Search
presentation
Experimental and Therapeutic Medicine
Join Editorial Board Propose a Special Issue
Print ISSN: 1792-0981 Online ISSN: 1792-1015
Journal Cover
December-2020 Volume 20 Issue 6

Full Size Image

Sign up for eToc alerts
Recommend to Library

Journals

International Journal of Molecular Medicine

International Journal of Molecular Medicine

International Journal of Molecular Medicine is an international journal devoted to molecular mechanisms of human disease.

International Journal of Oncology

International Journal of Oncology

International Journal of Oncology is an international journal devoted to oncology research and cancer treatment.

Molecular Medicine Reports

Molecular Medicine Reports

Covers molecular medicine topics such as pharmacology, pathology, genetics, neuroscience, infectious diseases, molecular cardiology, and molecular surgery.

Oncology Reports

Oncology Reports

Oncology Reports is an international journal devoted to fundamental and applied research in Oncology.

Experimental and Therapeutic Medicine

Experimental and Therapeutic Medicine

Experimental and Therapeutic Medicine is an international journal devoted to laboratory and clinical medicine.

Oncology Letters

Oncology Letters

Oncology Letters is an international journal devoted to Experimental and Clinical Oncology.

Biomedical Reports

Biomedical Reports

Explores a wide range of biological and medical fields, including pharmacology, genetics, microbiology, neuroscience, and molecular cardiology.

Molecular and Clinical Oncology

Molecular and Clinical Oncology

International journal addressing all aspects of oncology research, from tumorigenesis and oncogenes to chemotherapy and metastasis.

World Academy of Sciences Journal

World Academy of Sciences Journal

Multidisciplinary open-access journal spanning biochemistry, genetics, neuroscience, environmental health, and synthetic biology.

International Journal of Functional Nutrition

International Journal of Functional Nutrition

Open-access journal combining biochemistry, pharmacology, immunology, and genetics to advance health through functional nutrition.

International Journal of Epigenetics

International Journal of Epigenetics

Publishes open-access research on using epigenetics to advance understanding and treatment of human disease.

Medicine International

Medicine International

An International Open Access Journal Devoted to General Medicine.

Journal Cover
December-2020 Volume 20 Issue 6

Full Size Image

Sign up for eToc alerts
Recommend to Library

  • Article
  • Citations
    • Cite This Article
    • Download Citation
    • Create Citation Alert
    • Remove Citation Alert
    • Cited By
  • Similar Articles
    • Related Articles (in Spandidos Publications)
    • Similar Articles (Google Scholar)
    • Similar Articles (PubMed)
  • Download PDF
  • Download XML
  • View XML
Article Open Access

Efficacy and safety of interferon on neonates with respiratory syncytial virus pneumonia

  • Authors:
    • Lingyun He
    • Lu Yang
    • Hua Zhang
    • Qian Luo
  • View Affiliations / Copyright

    Affiliations: Scientific Research and Education Section, Chongqing Health Center for Women and Children, Chongqing 401120, P.R. China, Department of Breast and Thyriod Surgery, Second Affiliated Hospital of Chongqing Medical University, Chongqing 400010, P.R. China
    Copyright: © He et al. This is an open access article distributed under the terms of Creative Commons Attribution License.
  • Article Number: 220
    |
    Published online on: October 15, 2020
       https://doi.org/10.3892/etm.2020.9350
  • Expand metrics +
Metrics: Total Views: 0 (Spandidos Publications: | PMC Statistics: )
Metrics: Total PDF Downloads: 0 (Spandidos Publications: | PMC Statistics: )
Cited By (CrossRef): 0 citations Loading Articles...

This article is mentioned in:



Abstract

Respiratory syncytial virus (RSV) pneumonia is a leading cause of hospitalization and mortality among neonates worldwide, and there are currently no specific clinical treatments for RSV infection. Interferons (IFNs) possess broad‑spectrum antiviral properties, and the present study aimed to evaluate the efficacy and safety of IFN‑α1b for the treatment of neonatal RSV pneumonia. Neonates with RSV pneumonia were divided into the treatment (126 neonates) and control (160 neonates) groups, the former of which were treated with IFN. Aside from IFN administration, both groups received the same routine treatments. There were no significant differences in patient characteristics between the two groups. All neonates in the two groups displayed symptoms such as a cough (93.0%), tachypnea (90.1%), perilabial cyanosis (67.8%), choking on milk (62.9%) and moist rales (58.4%), and no significant differences in the occurrence of these symptoms were observed between the groups (P>0.05). The percentage of cases with bacterial co‑infection was 66.8% (191/286), and the bacterial species in the spectrum primarily included Escherichia coli (21.5%), Klebsiella pneumonia (20.4%), Staphylococcus aureus (17.2%), Acihetobacter baumanii (13.1%) and Pseudomonas aeruginosa (9.9%). There were no significant differences in the co‑infection rate or bacterial spectrum between the two groups. The remission time of cough, tachypnea, choking on milk, perilabial cyanosis, moist rales and oxygen inhalation in the treatment group was significantly lower compared with the control group (P<0.05). Although the hospitalization time in the treatment group was shorter compared with the control group, the difference was not significant. There were two patients in the treatment group that developed fever within 2‑6 h after receiving IFN‑α1b, though no other adverse effects were observed. In conclusion, IFN‑α1b treatment improved the symptoms associated with neonatal RSV pneumonia with minimal adverse effects.

Introduction

Respiratory syncytial virus (RSV) is one of the most common causative pathogens of infant respiratory tract infection worldwide (1,2), and RSV pneumonia is a leading cause of hospitalization and mortality among neonates (3,4). RSV is a segmented, negative-sense, single-stranded RNA virus belonging to the family Paramyxoviridae (genus, Pneumovirus). The RSV genome encodes 11 proteins, among which the transmembrane proteins G and F are the primary determinants of pathogenicity (5,6). Protective antibodies and cellular immunity are induced against these two proteins, promoting T helper (Th)1/Th2 imbalance and the release of a series of cytokines, such as interferon (INF)-γ, interleukin (IL)-4, IL-5 and IL-13, which ultimately results in immunopathological injury of the lower respiratory tract (7-10). RSV can also stimulate the production of asthma-associated factors, enhance allergen sensitization and induce Th1 and Th2 reactions, which may result in the development of asthma (11,12). RSV is primarily transmitted via air-borne droplets, but also via indirect contact with contaminated respiratory secretions from children with RSV. RSV-associated pathological changes include congestion and edema of the nasal and pharyngeal mucosa, necrosis and exfoliation of the bronchial mucosa, degeneration of alveolar epithelial cells, and necrosis and atrophy of the alveoli (7). Infants and young children are susceptible to RSV, though neonates are susceptible to more severe infections (3,13). The neonatal airway is not fully developed, with a narrow internal diameter, poor elastic support and increased mucus secretion following inflammation, making it more easily blocked than that of older children (7,14,15). In addition, neonatal immune function, and especially that of the local airway, is also underdeveloped with lower levels of secretory IgA, which serve an anti-infectious role (16). Maternally transmitted antibodies can effectively protect neonates from RSV infection but the degree of protection is directly associated with the RSV antibody titer of the mother (17). Moreover, immune complexes formed with RSV and maternally transmitted antibodies deposit in the lungs causing airway inflammation and hyperresponsiveness (18), which may increase susceptible to RSV infection in the neonatal period.

Compared with older children, the neonatal symptoms of RSV pneumonia are more serious and often atypical, with prominent manifestations including a cough, choking on milk, spitting and tachypnea (19). Currently, there are no specific clinical treatments for RSV infection, and symptomatic supportive treatments are still the primary therapeutic methods for neonates with RSV pneumonia. These include oxygen inhalation, atomization and keeping the respiratory tract unobstructed. Moreover, the American Academy of Pediatrics and the National Institute for Health and Care Excellence guidelines agree on supportive management only, which consists of respiratory support and hydration (20-22). Ribavirin, which is a commonly used antiviral drug, selectively inhibits RSV, though its efficacy is controversial (23,24). A previous study used ribavirin and a placebo to conduct a prospective, double-blind controlled trial on 83 infants with RSV pneumonia (25). The clinical indicators of the treatment group, including hospitalization time, oxygen inhalation and mechanical ventilation time, were not significantly different compared with those of the control group (25). Therefore, ribavirin is not currently recommended for routine clinical use. Palivizumab is the only prophylactic treatment available for RSV, but is not used to treat acute infection (7,26). In 1957, Alick Isaacs discovered IFN, which was confirmed to exhibit broad-spectrum antiviral effects (27). Following viral infection in vivo, the levels of IFN tend to increase (28). IFN binds to specific receptors and activates antiviral protein genes, which results in the generation of antiviral proteins that inhibit viral replication and prevent the spread of inflammation (28). IFN can also promote the phagocytic and antigen-presenting functions of alveolar macrophages, and increase the secretion of inflammatory cytokines in the alveoli, enhancing the immune response and promoting viral inhibition and clearance (29). Previous studies have confirmed the role of IFN in RSV pneumonia (30,31), and some practitioners in China have used IFN to treat RSV pneumonia, though efficacy and safety data for its use remains limited. In order to provide a clinical basis for the use of IFN in infants with RSV pneumonia, the efficacy and safety of IFN were retrospectively analyzed in the present study.

Materials and methods

The present study is a retrospective analysis approved by the Ethics Committee of Children's Hospital of Chongqing Medical University. Neonates with RSV pneumonia were divided into two groups according to the use of IFN therapy, and all other routine treatments remained the same during hospitalization. Finally, the general clinicopathological characteristics, clinical signs and symptoms, auxiliary examination results, as well as the efficacy and adverse effects of IFN treatment were collected and analyzed.

Inclusion criteria

The neonates were hospitalized in the Neonatal Diagnosis and Treatment Center of the Children's Hospital of Chongqing Medical University (Chongqing, China) between February 2011 and March 2012, and were diagnosed with RSV pneumonia. The diagnostic criteria for neonatal RSV pneumonia were as follows: i) Clinical symptoms and signs, such as cough, rhinorrhea, tachypnea, spitting, wheezing and dry or moist rales; ii) chest X-ray manifestations, such as small patch shadows in both lungs, coarsening of the lung texture, irregular linear shadow and emphysema; iii) routine blood test results with normal or slightly reduced white blood cell counts, and a relatively elevated proportion of lymphocytes; and iv) on the day of admission, a disposable sterile sputum suction tube was used to absorb part of the laryngeal secretion for examination after tracheal intubation. The direct immunofluorescence method was used to detect RSV-Ag in the laryngeal secretion samples (32), and an RSV-Ag-positive sample was considered to be an affirmative diagnosis of RSV infection. Normal full-term neonates with complete medical history data were 37 to 42 weeks (260 to 293 days) of age, weighed >2.5 kg but ≤4.0 kg, and the age at admission was <28 days.

Exclusion criteria

Neonates with congenital heart disease, congenital immunodeficiencies, bronchial and pulmonary dysplasia and incomplete medical data were excluded. Premature neonates were also excluded. A number of studies have reported that these are risk factors for severe RSV pneumonia which may affect the accuracy of the current study (13,33,34).

Grouping method

Neonates eligible for enrollment were divided into the treatment and the control groups according to the use of IFN. In the treatment group, IFN-α1b (1 µg/kg; Beijing Tri-Prime Gene Pharmaceutical Co., Ltd.) was intramuscularly injected once a day for 3 days. The neonates in the control group were not administered IFN. During hospitalization, both groups received warmth preservation, sputum aspiration, atomization with 10% saline, hydration, oxygen support, antibiotics for bacterial co-infections (confirmed by sputum bacterial culture; Table IV) and other symptomatic supportive therapies (backslapping and posture changing).

Table IV

The comparison of bacterial spectrum between the treatment and control group.

Table IV

The comparison of bacterial spectrum between the treatment and control group.

Bacterial spectrumTotal, n=191Treatment group, n=81Control group, n=110 χ2P-value
Escherichia coli (%)41 (21.5)19 (23.4)22 (20.0)0.3310.565
Klebsiella pneumoniae (%)39 (20.4)18 (22.2)21 (19.1)0.2810.596
Staphylococcus aureus (%)33 (17.2)12 (14.8)21 (19.1)0.5970.440
Acinetobacter baumannii (%)25 (13.1)9 (11.1)16 (14.5)0.4840.487
Pseudomonas aeruginosa (%)19 (9.9)9 (11.1)10 (9.1)0.2130.645
Patients

All neonates were examined and treated at the Children's Hospital of Chongqing Medical University (Chongqing, China). A total of 2,381 neonates were diagnosed with neonatal pneumonia at the Neonatal Diagnosis and Treatment Center between February 2011 and March 2012, among which 1,196 cases received sputum examination, and a total of 428 cases (35.8%) were RSV-Ag-positive. According to the inclusion and exclusion criteria, 286 neonates with RSV pneumonia were included and 126 (69 male and 57 female neonates) received IFN-α1b treatment. By contrast, 160 neonates in the control group (87 male and 73 female patients) did not receive IFN treatment. Aside from IFN, all patients in both groups received the same routine treatments.

RSV-Ag examination and sputum bacterial culture

Laryngeal secretion specimens were tested using the D3 Ultra DFA Respiratory Virus Screening & ID Kits (Diagnostic Hybrids, Inc.) in the department of clinical laboratory of the Children's Hospital of Chongqing Medical University, and the specimens were prepared in strict accordance with the manufacturer's instructions. Sputum was oscillated and mixed with a oscillating mixer (NHWY-200F, Aipu Food Industry Co., Ltd.) for 10-15 sec and centrifuged (400-600 x g; Heraeus Labofuge 400R; Thermo Fisher Scientific, Inc.) for 5-10 min at room temperature. The supernatant was discarded and the precipitate was washed three times with 5% PBS and centrifuged (400-600 x g) for 5-10 min at room temperature. The supernatant and mucus layer were absorbed, and the washing and centrifugation steps repeated until all mucus was completely absorbed. Subsequently, 0.5-1 ml 5% PBS was added to the precipitate and a suspension was formed by repeated blowing and suction; the cell suspension was then added to an eight-well plate (25 µl per well). The specimens were completely air-dried, fixed with 100% acetone for 5-10 min at 20-25˚C, and then air-dried once more. Finally, the specimens were stained with the DFA reagent, which contains fluorescently-labeled monoclonal antibodies against RSV antigen and is part of the aforementioned kit, for 15 min at 37˚C. The results were observed by fluorescence microscopy (magnification, x200; Nikon TE2000-S, Nikon Corporation). The nucleus and/or cytoplasm of RSV-Ag-positive cells were distinguished by green fluorescence, while the cells without an antigen-antibody reaction were stained red (Fig. 1). For scoring, specimens with >10 cells were determined to be positive (+), 20-0 cells were considered as positive (++) and >50 cells were considered to be positive (+++), with the cells being counted manually. The specimens were also cultured on chocolate agar plates and (Autobio Diagnostics Co., Ltd.) and blood agar plates (Autobio Diagnostics Co., Ltd.) at 37˚C. After inoculation, the specimens were placed in an incubator containing 3-10% CO2 and cultured for 18-24 h at 37±2˚C. The results were analyzed using a bacterial identification instrument (VITEK® 2 COMPACT; bioMérieux).

Figure 1

Direct immunofluorescence detection of RSV. (A) RSV-Ag-negative cells without an antigen-antibody reaction are stained red. (B) RSV-Ag-positive cells, where parts of the nucleus or/and cytoplasm exhibit green fluorescence. Magnification, x200. RSV, Respiratory syncytial virus.

Data collection

Clinicopathological information including sex, age, gestational age, duration from onset to admission, birth weight, feeding methods and admission time were collected. Clinical symptoms and signs including fever, rhinorrhea, cough, tachypnea, perilabial cyanosis, choking on milk, spitting, three concave sign, wheezing, dry and moist rales were also assessed. Auxiliary examination results were collected, including those from RSV-Ag testing, sputum bacterial cultures and chest X-rays. Adverse effects after IFN-α1b administration were also recorded, including fever, chills, tachycardia, rash, infection at the injection site, scleredema and hemorrhage.

Statistical analysis

Statistical analysis was performed using SPSS (v23.0; IBM Corp.). The measurement data are presented as the mean ± standard deviation, and unpaired t-tests were used to compare the means between samples. The counting data are presented as percentages, and the χ2 test was used to compare the percentages between samples. P<0.05 was considered to indicate a statistically significant difference.

Results

Comparison of clinicopathological characteristics

There was no significant difference in the sex distribution between the two groups (χ2 =0.004; P=0.948). There were 51 (40.5%) breastfed neonates in the treatment group and 70 (43.8%) in the control group, and there was no significant difference in these results (χ2=0.310; P=0.578). There were also no significant differences in age, gestational age, weight and duration from onset to admission between the treatment and the control groups (Table I).

Table I

The comparison of general information between the treatment and control group.

Table I

The comparison of general information between the treatment and control group.

General informationTreatment group (n=126)Control group (n=160) χ2/(t)P-value
Age (day)15.7±5.216.8±4.91.8210.070
Gestational age (day)275.3±7.0274.8±7.70.6070.544
Birth weight (g)3,258.8±404.13,291.4±374.40.7050.481
Duration from onset to admission (day)3.7±2.13.9±2.30.6520.515
Breast feeding rate, %40.5 (51/126)43.8 (70/160)0.3100.578
Sex  0.0040.948
     Male6987  
     Female5773  
Comparison of signs and symptoms

From 286 total cases, there were 75 instances of fever, including 27 in the treatment group and 48 in the control group. Incidences of the primary respiratory symptoms in both groups [fever, cough, rhinorrhea, tachypnea, perilabial cyanosis, choking on milk, spitting, wheezing, three concave sign (the upper sternal fossa, the supraclavicular fossa, and the intercostal space appearing obviously depressed on inhalation), and dry and moist rales] are presented in Table II. There were no significant differences in the aforementioned clinical symptoms between the two groups.

Table II

The comparison of symptoms and signs between treatment and control group prior to treatment.

Table II

The comparison of symptoms and signs between treatment and control group prior to treatment.

Clinical dataTreatment group (%)Control group (%) χ2P-value
Fever27 (21.4)48 (30.0)2.6770.102
Cough120 (95.2)146 (91.3)1.7240.189
Rhinorrhea54 (42.9)77 (48.1)0.7880.375
Tachypnea119 (94.4)141 (88.1)3.4060.065
Perilabial cyanosis84 (66.7)110 (68.8)0.1400.708
Choking on milk72 (57.1)108 (67.5)3.2420.072
Spitting43 (34.1)58 (36.3)0.1390.709
Wheezing22 (17.5)35 (21.9)0.8610.353
Three concave sign24 (19.0)39 (24.4)1.1650.280
Moist rales81 (64.3)86 (53.8)3.2200.073
Dry rales11 (8.7)17 (10.6)0.2870.592
Comparison of auxiliary examination results

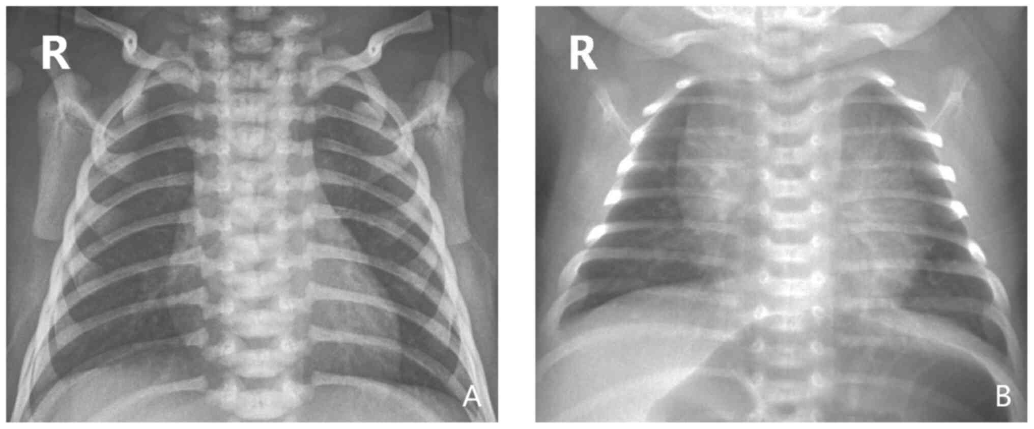
In total, 286 neonates were RSV-Ag-positive. Among them, 102 (35.7%) cases were positive (+), 138 (48.3%) were positive (++), and 46 (16%) cases were positive (+++). There were no significant differences in the degree of RSV-Ag positivity between the treatment and the control groups (Table II). Of the 286 cases, 191 (66.8%) were positive for bacterial co-infection (sputum bacterial culture), including those with Escherichia coli (21.5%, 41/191), Klebsiella pneumoniae (20.4%, 39/191), Staphylococcus aureus (17.2%, 33/191), Acinetobacter baumannii (13.1%, 25/191) and Pseudomonas aeruginosa (9.9%, 19/191). However, there were no significant differences in sputum bacterial culture-positive rate and bacterial spectrum between the two groups (P>0.05; Tables III and IV). There were 269 cases (94.1%) with abnormal chest X-ray findings, including blurred pulmonary texture, hyperinflation and visible flocculent shadow in the middle and inner side of the lung (Fig. 2). However, there was no significant difference in the positive rate of chest X-ray findings between the two groups (P>0.05; Table III).

Figure 2

(A) Representative chest X-ray of a normal, non-infected neonate. (B) Representative chest X-ray of a neonate with RSV pneumonia, the primary manifestations of which include blurred lung texture, hyperinflation and flocculation in the middle and inner lung. RSV, Respiratory syncytial virus.

Table III

The comparison of auxiliary examination between the treatment and control group.

Table III

The comparison of auxiliary examination between the treatment and control group.

Auxiliary examinationTotal (n=286) (%)Treatment group (n=126) (%)Control group (n=160) (%) χ2P-value
RSV-Ag     
     +102 (35.7)40 (31.7)62 (38.8)1.5070.220
     ++138 (48.3)64 (50.8)74 (46.3)0.5830.445
     +++46 (16.0)22 (17.5)24 (15.0)0.3160.574
Sputum bacterial culture (+)191 (66.8)81 (64.3)110 (68.8)0.6330.426
Chest X-ray exhibiting pneumonia or increased lung texture269 (94.1)115 (91.3)154 (96.3)3.1270.077

[i] RSV, respiratory syncytial virus.

Comparison of therapeutic effects

The relief time from primary symptoms (such as cough, tachypnea, choking on milk, perilabial cyanosis and moist rales) in the treatment group was significantly lower compared with the control group (P<0.05). The oxygen inhalation time of the treatment group was also decreased, compared with that of the control group, and the difference was statistically significant (P<0.05). Compared with the control group, the mean number of hospitalization days was marginally decreased in the treatment group, but there was no significant difference between the two groups (P=0.132; Table V). All patients in both groups were cured and discharged, and no mortalities occurred.

Table V

The comparison of therapeutic effect between the treatment and control group.

Table V

The comparison of therapeutic effect between the treatment and control group.

 Treatment groupControl group 
Clinical datanTime (day)nTime (day)t valueP-value
Cough1204.4±1.81467.8±3.79.763<0.001
Tachypnea1195.2±2.11416.2±3.12.9530.003
Choking on milk723.9±2.11085.3±3.43.4630.001
Perilabial cyanosis845.1±2.31106.3±3.92.5790.011
Moist rales816.5±2.1867.5±3.32.3860.018
Oxygen inhalation time1265.6±1.71606.1±1.82.1100.036
Hospitalization time1269.6±2.716010.3±4.71.5100.132
Adverse effects of IFN administration

Adverse effects such as shivering, tachycardia, rash, infection at the injection site, scleredema and hemorrhage were not observed in the treatment group following IFN-α1b administration. However, two cases experienced fever 2-6 h after treatment. The temperatures of the neonates were all <38˚C, and after physical cooling (a warm water sponge bath for ~5 min), decreased to within a normal range. No special drug treatment was required and there were no recurrences of fever.

Discussion

RSV is one of the most common pathogens associated with infant respiratory tract infection. In the present study, the RSV-Ag-positive rate was 35.8%, suggesting that RSV is one of the primary causative agents of neonatal pneumonia. Infantile RSV pneumonia is largely characterized by symptoms such as high fever, marked dyspnea and wheezing; however, the symptoms and signs of neonatal RSV pneumonia lack specificity (35). In the current study, the key clinical manifestations of RSV pneumonia in neonates were cough, tachypnea, choking on milk, perilabial cyanosis and moist rales, accounting for 93.0, 90.9, 62.9, 67.8 and 58.4% of the total cases, respectively. The majority of the patients exhibited a normal temperature or low fever, and wheezing was not prominent. Therefore, it is difficult to distinguish RSV from non-RSV pneumonia according to clinical manifestations only. In the present study, the RSV-positive rate according to chest X-ray examination was 94.1%, and the key manifestations were blurred lung texture, hyperinflation and flocculation in the middle and inner lung. There were no significant differences in chest X-ray findings between neonates with RSV pneumonia and non-RSV infection, and the specificity was poor (36). Therefore, in the epidemic season, neonates with cough, tachypnea, choking on milk (amongst other clinical manifestations) should be more vigilantly assessed, and a more definite diagnosis of RSV should aim to be achieved.

There are currently a number of methods that are used to diagnose RSV infection, such as virus isolation, electron microscopy and the detection of viral antigen, antibodies and nucleic acids (37-40). Antigen detection is reportedly more sensitive (41), especially immunolabeling technology (including direct or indirect immunofluorescence, immunoenzymatic and ELISA assays), which can be used to quickly and effectively detect viral antigens. In the current study, RSV was qualitatively detected in laryngeal secretion samples using fluorescein-labeled specific monoclonal antibodies. The method has been confirmed by three evaluation centers of the World Health Organization, with a sensitivity and specificity of 95 and 86%, respectively (42). Moreover, the method is rapid, simple and convenient for broad clinical application. In the present study, fluorescence (i.e. RSV infection) was categorized into three degrees (+, ++ and +++) according to the number of virus particles. To reduce bias, the proportions of neonates at each level were compared between the two groups, and no significant differences were observed.

A third of all cases of community acquired pneumonia are co-infections with viruses and bacteria; as such, RSV pneumonia is also often associated with bacterial infection (43). In the current study, 66.8% of neonatal RSV pneumonia was associated with bacterial infection, and the primary causative agents included Escherichia coli, Streptococcus pneumoniae and Staphylococcus aureus, accounting for 21.5, 20.4 and 17.2% of the sputum culture-positive cases, respectively. Similar studies have reported that gram-negative bacteria are the most common cause of co-infection in RSV pneumonia, followed by gram-positive organisms, and the bacterial spectrum was similar to that observed in the present study (44). However, a previous study reported that group B hemolytic streptococci are the predominant pathogens in neonates aged 0 to 21 days, and that Streptococcus pneumoniae is the predominant pathogen in neonates aged >3 weeks (45). Due to the high rate of bacterial co-infection in neonates with RSV pneumonia, the use of antibiotic treatment is receiving increased attention. Once the results of sputum culture are clear (before those of drug sensitivity testing are clear), appropriate antibiotics for common bacteria can be empirically selected. These are predominantly against gram-negative bacteria, though the treatment of gram-positive organisms is also frequently required. A reduction in interfering factors (such as bacterial infection) allows for a more accurate evaluation of the efficacy and safety of IFN treatment, which is more effective in the absence of bacterial co-infection. However, since ~2/3 of hospitalized neonates also present with bacterial infections, such cases were not excluded from the present study. To limit experimental bias, the bacterial spectrum and the proportion of neonates with bacterial infections were compared, and no significant differences were observed between the two groups. Moreover, studies have demonstrated that type I IFNs (IFN-α and -β) also serve an important role in antibacterial immunity (46,47). In the present study, 66.8% (191/286) of the neonates were infected with both bacteria and RSV, thus whether exogenous IFN has therapeutic effects in both types of infection requires further investigation. In addition, a variety of natural compounds have indicated antimicrobial potential in the treatment of pneumonia, both in clinical and research settings (48,49). Therefore, the combined use of IFN with other therapeutic strategies may hold considerable potential for the treatment of RSV-associated pneumonia.

Numerous studies have reported that the level of RSV-Igor is increased in children with RSV pneumonia, while the levels of IFN-α, IFN-γ and IL-2 are decreased or undetectable (50-52). It is speculated that the inhibition of cellular immune function in the early stages of RSV infection may be associated with the reduced efficacy of IFN in vivo (53,54). Therefore, the administration of exogenous IFN is particularly important. A further study has indicated that the use of IFN can alleviate clinical symptoms and reduce the duration of infantile RSV infection, and no associated complications were observed (47). In the present study, the remission time of primary RSV symptoms was significantly lower in the IFN treatment group compared with the control group (P<0.05), and the oxygen inhalation time was also significantly reduced (P<0.05). These results suggest that the use of IFN-α1b in the treatment of neonatal RSV pneumonia may promote the relief of symptoms, which is in line with the findings of a similar study (55).

No significant differences in hospitalization time were revealed between the two groups in the present study, which may be associated with the need for a more adequate observation time (and the detection of adverse effects of IFN) during hospitalization. However, it was also observed that the hospitalization times of neonates with simple RSV infection (without bacterial co-infection) were shorter than those for neonates with co-infections (RSV and bacteria). This may be associated with the bacteriological imbalance after antibiotic use, and may be the primary reason for the prolonged hospitalization time. Antibiotic-associated diarrhea is a recognized adverse reaction to antibiotics such as amoxicillin, which is more likely to occur in neonates (24). Additionally, only 2 neonates experienced low fever during the IFN treatment period. After physical cooling, the temperatures of these individuals returned to normal without any other adverse effects, suggesting that the short-term use of IFN in neonates is safe.

In conclusion, IFN effectively alleviates the signs and symptoms of neonatal RSV pneumonia with few short-term adverse effects. However, these findings were not all observed in the same time period, and the number of cases was limited, thus, the results do not completely represent the clinical conditions of RSV pneumonia in neonates. Therefore, it is necessary to design further multi-center prospective studies to accurately analyze the therapeutic, as well as the long-term adverse effects of IFN for the treatment of neonatal RSV pneumonia.

The format and content of the manuscript have been checked in accordance with STROBE guideline (56).

Acknowledgements

Not applicable.

Funding

The current study was supported by the National Natural Science Foundation of China (grant no. 81701709) and Chongqing Science and Technology Commission (grant no. cstc2016shmszx130026).

Availability of data and materials

All data generated or analyzed during this study are included in this article.

Authors' contributions

LH, QL and HZ designed the study. LH wrote the main manuscript text. LH and LY analyzed all data and prepared all figures. All authors read and approved the final manuscript.

Ethics approval and consent to participate

The current retrospective review study was approved by the Ethics Committee of Children's Hospital of Chongqing Medical University. The requirement for consent was waived due to the retrospective nature of the study.

Patient consent for publication

Not applicable.

Competing interests

The authors declare that they have no competing interests.

References

1 

Ralston SL, Lieberthal AS, Meissner HC, Alverson BK, Baley JE, Gadomski AM, Johnson DW, Light MJ, Maraqa NF, Mendonca EA, et al: Clinical practice guideline: The diagnosis, management, and prevention of bronchiolitis. Pediatrics. 134:e1474–e1502. 2014.PubMed/NCBI View Article : Google Scholar

2 

Bennett MV, Mclaurin K, Ambrose C and Lee HC: Population-based trends and underlying risk factors for infant respiratory syncytial virus and bronchiolitis hospitalizations. PLoS One. 13(e0205399)2018.PubMed/NCBI View Article : Google Scholar

3 

Oren E, Frere J and Yom-Tov E and Yom-Tov E: Respiratory syncytial virus tracking using internet search engine data. BMC Public Health. 18(445)2018.PubMed/NCBI View Article : Google Scholar

4 

Stein RT, Bont LJ, Zar H, Polack FP, Park C, Claxton A, Borok G, Butylkova Y and Wegzyn C: Respiratory syncytial virus hospitalization and mortality: Systematic review and meta-analysis: Incidence of RSV hospitalization and mortality. Pediatr Pulmonol. 52:556–569. 2017.PubMed/NCBI View Article : Google Scholar

5 

Goodwin E, Gilman MSA, Wrapp D, Chen M, Ngwuta JO, Moin SM, Bai P, Sivasubramanian A, Connor RI, Wright PF, et al: Infants infected with respiratory syncytial virus generate potent neutralizing antibodies that lack somatic hypermutation. Immunity. 48:339:–349.e5. 2018.PubMed/NCBI View Article : Google Scholar

6 

Taleb SA, Al Thani AA, Al Ansari K and Yassine HM: Human respiratory syncytial virus: Pathogenesis, immune responses, and current vaccine approaches. Eur J Clin Microbiol Infect Dis. 37:1817–1827. 2018.PubMed/NCBI View Article : Google Scholar

7 

Griffiths C, Drews SJ and Marchant DJ: Respiratory syncytial virus: Infection, detection, and new options for prevention and treatment. Clin Microbiol Rev. 30:277–319. 2017.PubMed/NCBI View Article : Google Scholar

8 

Meissner HC: Viral bronchiolitis in children. N Engl J Med. 374:1793–1794. 2016.PubMed/NCBI View Article : Google Scholar

9 

Wu X, Zhou X, Hu Y, Liu C and Wang J: Neutralization of nerve growth factor (NGF) inhibits the Th2 response and protects against the respiratory syncytial virus (RSV) infection. Immunol Res. 65:721–728. 2017.PubMed/NCBI View Article : Google Scholar

10 

Hijano DR, Siefker DT, Bishwas S, Jaligama S, Vu LD, Tillman H, Finkelstein D, Saravia J, You D and Cormier SA: Type I interferon potentiates IgA immunity to respiratory syncytial virus infection during infancy. Sci Rep. 8(11034)2018.PubMed/NCBI View Article : Google Scholar

11 

James KM, Gebretsadik T, Escobar GJ, Wu P, Carroll KN, Li SX, Walsh EM, Mitchel EF, Sloan C and Hartert TV: Risk of childhood asthma following infant bronchiolitis during the respiratory syncytial virus season. J Allergy Clin Immun. 132:227–229. 2013.PubMed/NCBI View Article : Google Scholar

12 

Zhang HL and Lü FF: Research advance of association between viral bronchiolitis and asthma in children. Chin J Pract Pediatr. 32:895–900. 2017.

13 

Hall CB, Weinberg GA, Blumkin AK, Edwards KM, Staat MA, Schultz AF, Poehling KA, Szilagyi PG, Griffin MR, Williams JV, et al: Respiratory syncytial virus-associated hospitalizations among children less than 24 months of age. Pediatrics. 132:e341–e348. 2013.PubMed/NCBI View Article : Google Scholar

14 

Hislop AA: Airway and blood vessel interaction during lung development. J Anat. 201:325–334. 2002.PubMed/NCBI View Article : Google Scholar

15 

Ostadabbas S, Bulach C, Ku DN, Anderson LJ and Ghovanloo M: A passive quantitative measurement of airway resistance using depth data. Conf Proc IEEE Eng Med Biol Soc. 2014:5743–5747. 2014.PubMed/NCBI View Article : Google Scholar

16 

Stensballe LG, Kofoed PE, Nante EJ, Sambo M, Jensen IP and Aaby P: Duration of secretory IgM and IgA antibodies to respiratory syncytial virus in a community study in Guinea-Bissau. Acta Paediatr. 89:421–426. 2000.PubMed/NCBI View Article : Google Scholar

17 

Chu HY, Steinhoff MC, Magaret A, Zaman K, Roy E, Longdon G, Formica MA, Walsh EE and Englund JA: Respiratory syncytial virus transplacental antibody transfer and kinetics in mother-infant pairs in Bangladesh. J Infect Dis. 210:1582–1589. 2014.PubMed/NCBI View Article : Google Scholar

18 

Johnson JE, Gonzales RA, Olson SJ, Wright PF and Graham BS: The histopathology of fatal untreated human respiratory syncytial virus infection. Mod Pathol. 20:108–119. 2007.PubMed/NCBI View Article : Google Scholar

19 

Wollmeister E, Alvarez AE, Bastos JCS, Marson FAL, Ribeiro JD, Baracat ECE, Arns CW and Riccetto AGL: Respiratory syncytial virus in Brazilian infants-Ten years, two cohorts. J Clin Virol. 98:33–36. 2018.PubMed/NCBI View Article : Google Scholar

20 

Gadomski AM and Scribani MB: Bronchodilators for bronchiolitis. Cochrane Database Syst Rev. 2014(CD001266)2014.PubMed/NCBI View Article : Google Scholar

21 

Mazur NI, Martinón-Torres F, Baraldi E, Fauroux B, Greenough A, Heikkinen T, Manzoni P, Mejias A, Nair H, Papadopoulos NG, et al: Lower respiratory tract infection caused by respiratory syncytial virus: Current management and new therapeutics. Lancet Respir Med. 3:888–900. 2015.PubMed/NCBI View Article : Google Scholar

22 

National Institute for Health and Care Excellence: Bronchiolitis in children: diagnosis and management|Guidance and guidelines NICE. Available from: urihttps://www. nice.org.uk/guidance/NG9simplehttps://www. nice.org.uk/guidance/NG9, 2015.

23 

Israel S, Rusch S, DeVincenzo J, Boyers A, Fok-Seang J, Huntjens D, Lounis N, Mariёn K, Stevens M and René Verloes R: Effect of oral JNJ-53718678 (JNJ-678) on disease severity in healthy adult volunteers experimentally inoculated with live respiratory syncytial virus (RSV): A placebo-controlled challenge study. Open Forum Infect Dis. 3 (Suppl 1)(S650)2016.

24 

Xing Y and Proesmans M: New therapies for acute RSV infections: Where are we? Eur J Pediatr. 178:131–138. 2019.PubMed/NCBI View Article : Google Scholar

25 

Guerguerian AM, Gauthier M, Lebel MH, Farrell CA and Lacroix J: Ribavirin in ventilated respiratory syncytial virus bronchiolitis. A randomized, placebo-controlled trial. Am J Respir Crit Care Med. 160:829–834. 1999.PubMed/NCBI View Article : Google Scholar

26 

Manzoni P, Paes B, Lanctôt KL, Dall'Agnola A, Mitchell I, Calabrese S, Maule M, Girardi E, Harimoto T and Li A: Outcomes of infants receiving palivizumab prophylaxis for respiratory syncytial virus in Canada and Italy: An international, prospective cohort study. Pediatr Infect Dis J. 36:2–8. 2017.PubMed/NCBI View Article : Google Scholar

27 

Isaacs A and Baron S: Antiviral action of interferon in embryonic cells. Lancet. 2:946–947. 1960.PubMed/NCBI View Article : Google Scholar

28 

Welliver RC Sr: The immune response to respiratory syncytial virus infection: Friend or foe? Clin Rev Allergy Immunol. 34:163–173. 2008.PubMed/NCBI View Article : Google Scholar

29 

Reassessment of the indications for ribavirin therapy in respiratory syncytial virus infections. American academy of pediatrics committee on infectious diseases. Pediatrics. 97:137–140. 1996.

30 

Bem RA, Domachowske JB and Rosenberg HF: Animal models of human respiratory syncytial virus disease. Am J Physiol Lung Cell Mol Physiol. 301:L148–L156. 2011.PubMed/NCBI View Article : Google Scholar

31 

Van-Schaik SM, Obot N, Enhorning G, Hintz K, Gross K, Hancock GE, Stack AM and Welliver RC: Role of interferon gamma in the pathogenesis of primary respiratory syncytial virus infection in BALB/c mice. J Med Virol. 62:257–266. 2000.PubMed/NCBI View Article : Google Scholar

32 

Wen S, Yu M, Zheng G, Lv F, Chen X, Lin L, Li C and Zhang H: Changes in the etiology of viral lower respiratory tract infections in hospitalized children in Wenzhou, China: 2008-2017. J Med Virol. 92:982–987. 2020.PubMed/NCBI View Article : Google Scholar

33 

Glezen WP, Greenberg SB, Atmar RL, Piedra PA and Couch RB: Impact of respiratory virus infections on persons with chronic underlying conditions. JAMA. 283:499–505. 2000.PubMed/NCBI View Article : Google Scholar

34 

Mori M, Morio T, Ito S, Morimoto A, Ota S, Mizuta K, Lwata T, Hara T and Saji T: Risks and prevention of severe RS virus infection among children with immunodeficiency and Down's syndrome. J Infect Chemother. 20:455–459. 2014.PubMed/NCBI View Article : Google Scholar

35 

Rostad CA: Respiratory syncytial virus: Spectrum of clinical manifestations and complications in children. Pediatr Ann. 48:e349–e353. 2019.PubMed/NCBI View Article : Google Scholar

36 

Rahmati MB, Ahmadi M, Malekmohamadi Hasanpur S, Zare SH and Jafari M: The significance of chest ultrasound and chest X-ray in the diagnosis of children clinically suspected of pneumonia. J Med Life. 8:50–53. 2015.PubMed/NCBI

37 

Tai CC, Tsai CH, Huang YH, Lee CL, Chen HP and Chan YJ: Detection of respiratory viruses in adults with respiratory tract infection using a multiplex PCR assay at a tertiary center. J Microbiol Immunol Infect, Aug 12, 2020 (Online ahead of print).

38 

Allen AJ, Gonzalez-Ciscar A, Lendrem C, Suklan J, Allen K, Bell A, Baxter F, Crulley S, Fairlie L, Hardy D, et al: Diagnostic and economic evaluation of a point-of-care test for respiratory syncytial virus. ERJ Open Res. 6:00018–2020. 2020.PubMed/NCBI View Article : Google Scholar

39 

Alidjinou EK, Lefebvre N, Dewilde A, Mäki M, Hober D and Engelmann I: Evaluation of the reverse transcription strand invasion based amplification (RT-SIBA) RSV assay, a rapid molecular assay for the detection of respiratory syncytial virus. Diagn Microbiol Infect Dis. 95:55–58. 2019.PubMed/NCBI View Article : Google Scholar

40 

Percze K, Szakács Z, Scholz É, András J, Szeitner Z, Kieboom CH, Ferwerda G, Jonge MI, Gyurcsányi RE and Mészáros T: Aptamers for respiratory syncytial virus detection. Sci Rep. 7(42794)2017.PubMed/NCBI View Article : Google Scholar

41 

Leonardi GP, Wilson AM, Dauz M and Zuretti AR: Evaluation of respiratory syncytial virus (RSV) direct antigen detection assays for use in point-of-care testing. J Virol Methods. 213:131–134. 2015.PubMed/NCBI View Article : Google Scholar

42 

McDonald JC and Quennec P: Utility of a respiratory virus panel containing a monoclonal antibody pool for screening of respiratory specimens in nonpeak respiratory syncytial virus season. J Clin Microbiol. 10:2809–2811. 1993.PubMed/NCBI View Article : Google Scholar

43 

Cilla G, Sarasua A, Montes M, Arostegui N, Vicente D, Pérez-Yarza E and Pérez-Trallero E: Risk factors for hospitalization due to respiratory syncytial virus infection among infants in the Basque Country, Spain. Epidemiol Infect. 134:506–513. 2006.PubMed/NCBI View Article : Google Scholar

44 

Shah BA, Singh G, Naik MA and Dhobi GN: Bacteriological and clinical profile of community acquired pneumonia in hospitalized patients. Lung India. 27:54–57. 2010.PubMed/NCBI View Article : Google Scholar

45 

McIntosh K: Community acquired pneumonia in children. New Engl J Med. 346:429–437. 2002.PubMed/NCBI View Article : Google Scholar

46 

Gottschalk RA, Dorrington MG, Dutta B, Krauss KS, Martins AJ, Uderhardt S, Chan WP, Tsang JS, Torabi-Parizi P, Fraser ID and Germain RN: IFN-mediated negative feedback supports bacteria class-specific macrophage inflammatory responses. Elife. 8(e46836)2019.PubMed/NCBI View Article : Google Scholar

47 

Liu SY, Sanchez DJ and Cheng G: New developments in the induction and antiviral effectors of type I interferon. Curr Opin Immunol. 23:57–64. 2011.PubMed/NCBI View Article : Google Scholar

48 

Rath S and Padhy RN: Antibacterial efficacy of five medicinal plants against multidrug-resistant enteropathogenic bacteria infecting under-5 hospitalized children. J Integr Med. 13:45–57. 2015.PubMed/NCBI View Article : Google Scholar

49 

Blonk B and Cock IE: Interactive antimicrobial and toxicity profiles of Pittosporum angustifolium Lodd. extracts with conventional antimicrobials. J Integr Med. 17:261–272. 2019.PubMed/NCBI View Article : Google Scholar

50 

Gut W, Pancer K, Abramczuk E, Cześcik A, Dunal-Szczepaniak M, Lipka B and Litwińska B: RSV respiratory infection in children under 5 y.o.-dynamics of the immune response Th1/Th2 and IgE. Przegl Epidemiol. 67:17–22, 105-109. 2013.PubMed/NCBI(In English, Polish).

51 

Cormier SA, Shrestha B, Saravia J, Lee GI, Shen L, DeVincenzo JP, Kim YI and You D: Limited type I interferons and plasmacytoid dendritic cells during neonatal respiratory syncytial virus infection permit immunopathogenesis upon reinfection. J Virol. 88:9350–9360. 2014.PubMed/NCBI View Article : Google Scholar

52 

Sedeyn K, Schepens B and Saelens X: Respiratory syncytial virus nonstructural proteins 1 and 2: Exceptional disrupters of innate immune responses. PLoS Pathog. 15(e1007984)2019.PubMed/NCBI View Article : Google Scholar

53 

Hijano DR, Vu LD, Kauvar LM, Tripp RA, Polack FP and Cormier SA: Role of type I interferon (IFN) in the respiratory syncytial virus (RSV) immune response and disease severity. Front Immunol. 10(566)2019.PubMed/NCBI View Article : Google Scholar

54 

Laura MS and Steven MV: Function and modulation of type I interferons during respiratory syncytial virus infection. Vaccines (Basel). 8(177)2020.PubMed/NCBI View Article : Google Scholar

55 

Greenberg SB: Viral pneumonia. Infect Dis Clin North Am. 5:603–621. 1991.PubMed/NCBI

56 

von Elm E, Altman DG, Egger M, Pocock SJ, Gøtzsche PC and Vandenbroucke JP: STROBE Initiative. The strengthening the reporting of observational studies in epidemiology (STROBE) statement: Guidelines for reporting observational studies. Lancet. 370:1453–1457. 2007.PubMed/NCBI View Article : Google Scholar

Related Articles

  • Abstract
  • View
  • Download
  • Twitter
Copy and paste a formatted citation
Spandidos Publications style
He L, Yang L, Zhang H and Luo Q: Efficacy and safety of interferon on neonates with respiratory syncytial virus pneumonia. Exp Ther Med 20: 220, 2020.
APA
He, L., Yang, L., Zhang, H., & Luo, Q. (2020). Efficacy and safety of interferon on neonates with respiratory syncytial virus pneumonia. Experimental and Therapeutic Medicine, 20, 220. https://doi.org/10.3892/etm.2020.9350
MLA
He, L., Yang, L., Zhang, H., Luo, Q."Efficacy and safety of interferon on neonates with respiratory syncytial virus pneumonia". Experimental and Therapeutic Medicine 20.6 (2020): 220.
Chicago
He, L., Yang, L., Zhang, H., Luo, Q."Efficacy and safety of interferon on neonates with respiratory syncytial virus pneumonia". Experimental and Therapeutic Medicine 20, no. 6 (2020): 220. https://doi.org/10.3892/etm.2020.9350
Copy and paste a formatted citation
x
Spandidos Publications style
He L, Yang L, Zhang H and Luo Q: Efficacy and safety of interferon on neonates with respiratory syncytial virus pneumonia. Exp Ther Med 20: 220, 2020.
APA
He, L., Yang, L., Zhang, H., & Luo, Q. (2020). Efficacy and safety of interferon on neonates with respiratory syncytial virus pneumonia. Experimental and Therapeutic Medicine, 20, 220. https://doi.org/10.3892/etm.2020.9350
MLA
He, L., Yang, L., Zhang, H., Luo, Q."Efficacy and safety of interferon on neonates with respiratory syncytial virus pneumonia". Experimental and Therapeutic Medicine 20.6 (2020): 220.
Chicago
He, L., Yang, L., Zhang, H., Luo, Q."Efficacy and safety of interferon on neonates with respiratory syncytial virus pneumonia". Experimental and Therapeutic Medicine 20, no. 6 (2020): 220. https://doi.org/10.3892/etm.2020.9350
Follow us
  • Twitter
  • LinkedIn
  • Facebook
About
  • Spandidos Publications
  • Careers
  • Cookie Policy
  • Privacy Policy
How can we help?
  • Help
  • Live Chat
  • Contact
  • Email to our Support Team