Spandidos Publications Logo
  • About
    • About Spandidos
    • Aims and Scopes
    • Abstracting and Indexing
    • Editorial Policies
    • Reprints and Permissions
    • Job Opportunities
    • Terms and Conditions
    • Contact
  • Journals
    • All Journals
    • Oncology Letters
      • Oncology Letters
      • Information for Authors
      • Editorial Policies
      • Editorial Board
      • Aims and Scope
      • Abstracting and Indexing
      • Bibliographic Information
      • Archive
    • International Journal of Oncology
      • International Journal of Oncology
      • Information for Authors
      • Editorial Policies
      • Editorial Board
      • Aims and Scope
      • Abstracting and Indexing
      • Bibliographic Information
      • Archive
    • Molecular and Clinical Oncology
      • Molecular and Clinical Oncology
      • Information for Authors
      • Editorial Policies
      • Editorial Board
      • Aims and Scope
      • Abstracting and Indexing
      • Bibliographic Information
      • Archive
    • Experimental and Therapeutic Medicine
      • Experimental and Therapeutic Medicine
      • Information for Authors
      • Editorial Policies
      • Editorial Board
      • Aims and Scope
      • Abstracting and Indexing
      • Bibliographic Information
      • Archive
    • International Journal of Molecular Medicine
      • International Journal of Molecular Medicine
      • Information for Authors
      • Editorial Policies
      • Editorial Board
      • Aims and Scope
      • Abstracting and Indexing
      • Bibliographic Information
      • Archive
    • Biomedical Reports
      • Biomedical Reports
      • Information for Authors
      • Editorial Policies
      • Editorial Board
      • Aims and Scope
      • Abstracting and Indexing
      • Bibliographic Information
      • Archive
    • Oncology Reports
      • Oncology Reports
      • Information for Authors
      • Editorial Policies
      • Editorial Board
      • Aims and Scope
      • Abstracting and Indexing
      • Bibliographic Information
      • Archive
    • Molecular Medicine Reports
      • Molecular Medicine Reports
      • Information for Authors
      • Editorial Policies
      • Editorial Board
      • Aims and Scope
      • Abstracting and Indexing
      • Bibliographic Information
      • Archive
    • World Academy of Sciences Journal
      • World Academy of Sciences Journal
      • Information for Authors
      • Editorial Policies
      • Editorial Board
      • Aims and Scope
      • Abstracting and Indexing
      • Bibliographic Information
      • Archive
    • International Journal of Functional Nutrition
      • International Journal of Functional Nutrition
      • Information for Authors
      • Editorial Policies
      • Editorial Board
      • Aims and Scope
      • Abstracting and Indexing
      • Bibliographic Information
      • Archive
    • International Journal of Epigenetics
      • International Journal of Epigenetics
      • Information for Authors
      • Editorial Policies
      • Editorial Board
      • Aims and Scope
      • Abstracting and Indexing
      • Bibliographic Information
      • Archive
    • Medicine International
      • Medicine International
      • Information for Authors
      • Editorial Policies
      • Editorial Board
      • Aims and Scope
      • Abstracting and Indexing
      • Bibliographic Information
      • Archive
  • Articles
  • Information
    • Information for Authors
    • Information for Reviewers
    • Information for Librarians
    • Information for Advertisers
    • Conferences
  • Language Editing
Spandidos Publications Logo
  • About
    • About Spandidos
    • Aims and Scopes
    • Abstracting and Indexing
    • Editorial Policies
    • Reprints and Permissions
    • Job Opportunities
    • Terms and Conditions
    • Contact
  • Journals
    • All Journals
    • Biomedical Reports
      • Information for Authors
      • Editorial Policies
      • Editorial Board
      • Aims and Scope
      • Abstracting and Indexing
      • Bibliographic Information
      • Archive
    • Experimental and Therapeutic Medicine
      • Information for Authors
      • Editorial Policies
      • Editorial Board
      • Aims and Scope
      • Abstracting and Indexing
      • Bibliographic Information
      • Archive
    • International Journal of Epigenetics
      • Information for Authors
      • Editorial Policies
      • Editorial Board
      • Aims and Scope
      • Abstracting and Indexing
      • Bibliographic Information
      • Archive
    • International Journal of Functional Nutrition
      • Information for Authors
      • Editorial Policies
      • Editorial Board
      • Aims and Scope
      • Abstracting and Indexing
      • Bibliographic Information
      • Archive
    • International Journal of Molecular Medicine
      • Information for Authors
      • Editorial Policies
      • Editorial Board
      • Aims and Scope
      • Abstracting and Indexing
      • Bibliographic Information
      • Archive
    • International Journal of Oncology
      • Information for Authors
      • Editorial Policies
      • Editorial Board
      • Aims and Scope
      • Abstracting and Indexing
      • Bibliographic Information
      • Archive
    • Medicine International
      • Information for Authors
      • Editorial Policies
      • Editorial Board
      • Aims and Scope
      • Abstracting and Indexing
      • Bibliographic Information
      • Archive
    • Molecular and Clinical Oncology
      • Information for Authors
      • Editorial Policies
      • Editorial Board
      • Aims and Scope
      • Abstracting and Indexing
      • Bibliographic Information
      • Archive
    • Molecular Medicine Reports
      • Information for Authors
      • Editorial Policies
      • Editorial Board
      • Aims and Scope
      • Abstracting and Indexing
      • Bibliographic Information
      • Archive
    • Oncology Letters
      • Information for Authors
      • Editorial Policies
      • Editorial Board
      • Aims and Scope
      • Abstracting and Indexing
      • Bibliographic Information
      • Archive
    • Oncology Reports
      • Information for Authors
      • Editorial Policies
      • Editorial Board
      • Aims and Scope
      • Abstracting and Indexing
      • Bibliographic Information
      • Archive
    • World Academy of Sciences Journal
      • Information for Authors
      • Editorial Policies
      • Editorial Board
      • Aims and Scope
      • Abstracting and Indexing
      • Bibliographic Information
      • Archive
  • Articles
  • Information
    • For Authors
    • For Reviewers
    • For Librarians
    • For Advertisers
    • Conferences
  • Language Editing
Login Register Submit
  • This site uses cookies
  • You can change your cookie settings at any time by following the instructions in our Cookie Policy. To find out more, you may read our Privacy Policy.

    I agree
Search articles by DOI, keyword, author or affiliation
Search
Advanced Search
presentation
Experimental and Therapeutic Medicine
Join Editorial Board Propose a Special Issue
Print ISSN: 1792-0981 Online ISSN: 1792-1015
Journal Cover
January-2021 Volume 21 Issue 1

Full Size Image

Sign up for eToc alerts
Recommend to Library

Journals

International Journal of Molecular Medicine

International Journal of Molecular Medicine

International Journal of Molecular Medicine is an international journal devoted to molecular mechanisms of human disease.

International Journal of Oncology

International Journal of Oncology

International Journal of Oncology is an international journal devoted to oncology research and cancer treatment.

Molecular Medicine Reports

Molecular Medicine Reports

Covers molecular medicine topics such as pharmacology, pathology, genetics, neuroscience, infectious diseases, molecular cardiology, and molecular surgery.

Oncology Reports

Oncology Reports

Oncology Reports is an international journal devoted to fundamental and applied research in Oncology.

Experimental and Therapeutic Medicine

Experimental and Therapeutic Medicine

Experimental and Therapeutic Medicine is an international journal devoted to laboratory and clinical medicine.

Oncology Letters

Oncology Letters

Oncology Letters is an international journal devoted to Experimental and Clinical Oncology.

Biomedical Reports

Biomedical Reports

Explores a wide range of biological and medical fields, including pharmacology, genetics, microbiology, neuroscience, and molecular cardiology.

Molecular and Clinical Oncology

Molecular and Clinical Oncology

International journal addressing all aspects of oncology research, from tumorigenesis and oncogenes to chemotherapy and metastasis.

World Academy of Sciences Journal

World Academy of Sciences Journal

Multidisciplinary open-access journal spanning biochemistry, genetics, neuroscience, environmental health, and synthetic biology.

International Journal of Functional Nutrition

International Journal of Functional Nutrition

Open-access journal combining biochemistry, pharmacology, immunology, and genetics to advance health through functional nutrition.

International Journal of Epigenetics

International Journal of Epigenetics

Publishes open-access research on using epigenetics to advance understanding and treatment of human disease.

Medicine International

Medicine International

An International Open Access Journal Devoted to General Medicine.

Journal Cover
January-2021 Volume 21 Issue 1

Full Size Image

Sign up for eToc alerts
Recommend to Library

  • Article
  • Citations
    • Cite This Article
    • Download Citation
    • Create Citation Alert
    • Remove Citation Alert
    • Cited By
  • Similar Articles
    • Related Articles (in Spandidos Publications)
    • Similar Articles (Google Scholar)
    • Similar Articles (PubMed)
  • Download PDF
  • Download XML
  • View XML
Article

Camellioside A, isolated from Camellia japonica flowers, attenuates UVA‑induced production of MMP‑1 in HaCaT keratinocytes via suppression of MAPK activation

  • Authors:
    • Fatih Karadeniz
    • Jung Hwan Oh
    • Hye Ran Kim
    • Jaeyoung Ko
    • Chang-Suk Kong
  • View Affiliations / Copyright

    Affiliations: Marine Biotechnology Center for Pharmaceuticals and Foods, College of Medical and Life Sciences, Silla University, Busan 46958, Republic of Korea, Department of Food and Nutrition, College of Medical and Life Sciences, Silla University, Busan 46958, Republic of Korea, Amorepacific Corporation R&D Center, Yongin, Gyeonggi 17074, Republic of Korea
  • Article Number: 16
    |
    Published online on: November 5, 2020
       https://doi.org/10.3892/etm.2020.9448
  • Expand metrics +
Metrics: Total Views: 0 (Spandidos Publications: | PMC Statistics: )
Metrics: Total PDF Downloads: 0 (Spandidos Publications: | PMC Statistics: )
Cited By (CrossRef): 0 citations Loading Articles...

This article is mentioned in:



Abstract

Ultraviolet (UV) radiation is responsible for various damages to the skin, collectively referred to as photoaging. A key UV‑induced effect on the skin is excessive degradation of collagen and related structural abnormalities. Camellia japonica is a flowering plant with cosmeceutical properties. In the present study, Camellioside A (CMDA), a triterpene saponin, was investigated for its effects against UVA‑induced photoaging in HaCaT keratinocytes. CMDA was analyzed to determine its attenuating effects against UVA‑induced overproduction of the collagen degradation enzyme, matrix metalloproteinase‑1 (MMP‑1), in UVA‑irradiated immortalized human HaCaT keratinocytes. UVA irradiation significantly increased MMP‑1 release from keratinocytes in addition to suppressing type Iα1 pro‑collagen production. Treatment with CMDA reversed the effects of UVA irradiation on the production of MMP‑1 and type Iα1 pro‑collagen. UVA irradiation also stimulated the activation of p38, ERK and JNK mitogen‑activated protein kinases (MAPKs) and their downstream transcription factor activator protein 1 (a heterodimer of c‑Fos and c‑Jun). MAPK activation and consequent phosphorylation of c‑Fos and c‑Jun were also inhibited by CMDA treatment. In conclusion, the present study indicated that CMDA may have potential antiphotoaging properties due to suppression of UVA‑mediated MMP‑1 production.

Introduction

The skin serves as a barrier against extrinsic factors and is continuously in contact with potentially harmful elements, such as toxic substances, microbial organisms and solar radiation. Exposure to ultraviolet (UV) radiation has detrimental effects, which may manifest as sunburn, inflammation, tumorigenesis and aging (1). The latter is also referred to as photoaging and is characterized by connective tissue degradation. Solar UV radiation, the primary cause of extrinsic skin aging, is divided into three subgroups according to wavelength: UVA, 320-400 nm; UVB, 280-320 nm; and UVC, 200-280 nm. Of the two UV subgroups that can reach the human skin, UVA is responsible for ~95% of total radiation exposure compared with UVB (2). UVA-exposed skin begins to exhibit photoaging symptoms, including loss of elasticity and strength, inflammation and wrinkle formation. In addition to the DNA damage, the damage caused by UV irradiation is primarily due to rapid degradation of the extracellular matrix (ECM), which is the result of an increase in the production of ECM-degrading enzymes, namely matrix metalloproteinases (MMPs) (3). Among different types of MMPs that are expressed in various parts of the body, collagenase MMP-1 and gelatinase MMP-9 are predominantly found in skin cells. Degradation of the main components of the ECM is primarily carried out by MMP-1 and MMP-9. UVA irradiation induces the expression and activation of MMP-1 and MMP-9 in keratinocytes, subsequently increasing collagen degradation and decreasing collagen production (4). Therefore, ameliorating UVA-induced alterations in MMP expression and collagen production may serve to prevent photoaging. Medicinal plants are widely recognized for their various secondary metabolites with beneficial health effects. Apart from their medicinal uses for the treatment of diseases and complications, certain plants, such as Rosmarinus officinalis, Thymus vulgaris and Smallanthus sonchifolius, exert skin-protective effects, including inhibition of UV-mediated MMP-1 activity (5). Similar MMP-1 inhibitory effects were reported for natural plants of Asian origin, such as Typha orientalis Nymphaea tetragona and Filipendula glaberrima (6). Camellia japonica (C. japonica) is a plant native to Asia that is widely cultivated worldwide as a garden plant. Therefore, cultivars of C. japonica are widely available and its flowers may be easily found. Over the past decades, C. japonica has attracted attention as a cosmeceutical ingredient due to its beneficial moisturizing, antimicrobial, anti-inflammatory and antioxidant properties (7). Therefore, the aim of the present study was to investigate the effect of Camellioside A (CMDA), a triterpenoid saponin from C. japonica, against UVA-induced photoaging in HaCaT human keratinocytes with respect to MMP-1 expression and collagen production and degradation.

Materials and methods

Isolation and characterization of CMDA

C. japonica flowers were hand-collected in Namwon-eup (Jeju island, Republic of Korea) in January 2018. Samples were identified by Dr Gwanpil Song (Jeju Biological Resource Co.), and a voucher specimen (no. AP-0104) was deposited at the Plant Archive of Amorepacific Research and Development Center for future reference. The collected flowers were sun-dried and ground into a fine powder using an electric mill. Powdered samples were stored in a sealed container at 4˚C until further use.

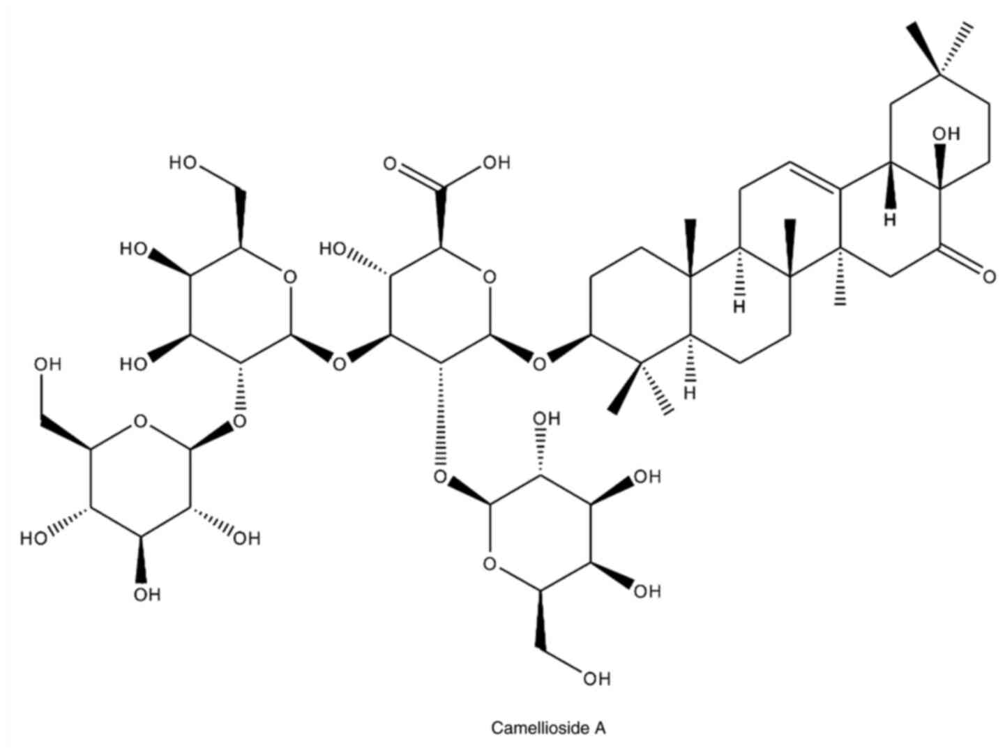
Dried C. japonica flowers (200 g) were extracted three times with 80% ethanol (1 l) over 3 days. Evaporation of the solvent under vacuum gave the crude extract (98 g). The crude extract was partitioned between ethyl acetate (2 l) and H2O (1 l) mixture to give an ethyl acetate soluble fraction (4.5 g) and aqueous phase, which was extracted with 1-butanol (1lx2) to give 1-butanol fraction (31 g). A part of the 1-butanol fraction (5.6 g) was subjected to reverse-phase silica gel column to give eight fractions. Fractions 6, 7 and 8 contained crude compound 1 (587 mg). Crude compound 1 fractions were purified by preparative high-performance liquid chromatography (HPLC; MeCN-H2O =35:65, v/v; both solvents were acidificed by 0.1% TFA, flow rate =15 ml/min, column temperature =30˚C) to give pure compound 1 (243 mg). A Gilson HPLC system (Gilson, Inc.) was used for preparative HPLC possessing a UV/Vis-155 detector, binary pumps, and a GX-271 liquid handler. The HPLC column for preparative HPLC was a Luna C18(2) column (21.2x250 mm I.D., 5 µm; Phenomenex). Compound 1 isolated from the flower of C. japonica was identified as Camellioside A (CMDA) by nuclear magnetic resonance spectroscopy (NMR) and mass spectroscopic analyses (Fig. 1). The spectroscopic data of CMDA matched published values (7).

Figure 1

Chemical structure of Camellioside A.

HaCaT human keratinocyte culture and maintenance

HaCaT cells (cat. no. 300493; CLS Cell Line Service GmbH) were cultured in 6-well plates with DMEM (Sigma-Aldrich; Merck KGaA) supplemented with 10% FBS (Sigma-Aldrich; Merck KGaA) at 37˚C with 5% CO2.

Cell viability assay

The viability of HaCaT keratinocytes was analyzed by conducting a colorimetric MTT assay. HaCaT cells (1x104 cells/well) were cultured in 96-well plates and incubated for 24 h at 37˚C prior to treatment with different concentrations (1, 5 and 10 µM) of CMDA that were introduced in serum-free fresh medium. After incubation for 24 h at 37˚C, the supernatant was removed and 100 µl MTT [1 mg/ml (m/v)] in PBS was added to the cells. Following incubation for 4 h at 37˚C, 50 µl DMSO was added to each well to stop the reaction and solubilize the formazan crystals. The optical density of each well was measured at a wavelength of 540 nm using a GENios® microplate reader (Tecan Group, Ltd.). Cell viability was plotted as a relative percentage against the untreated control group.

UVA irradiation

UVA irradiation was performed using a Bio-Sun UV Irradiation System (Vilber Lourmat) fitted with a UVA source designed for microplates. HaCaT cells grown in 6-well plates (1.5x106 cells/well) were placed in the UVA irradiation system and exposed to UVA (10 J/cm2). Cells were irradiated in PBS without the plastic lid. When the irradiation matched the desired programmed energy (10 J/cm2), the UVA irradiation automatically stopped, and the cells were then incubated in previously mentioned culture medium, with or without CMDA treatment, until analysis.

MMP-1 and pro-collagen Iα1 ELISA

The production of MMP-1 and type Iα1 pro-collagen was investigated by performing ELISA. HaCaT keratinocytes were pre-incubated in 6-well plates (1.5x106 cells/well) for 24 h at 37˚C and washed with PBS before UVA (10 J/cm2) exposure. After UVA irradiation, the cells were treated with or without different concentrations of CMDA for 24 h at 37˚C. The contents of MMP-1 and type Iα1 pro-collagen in the cell culture media was assessed using an ELISA kit (Human Total MMP-1 DuoSet ELISA, cat no. DY901B; Human Pro-Collagen I alpha 1 DuoSet ELISA, cat. no. DY6220; both from R&D Systems, Inc.) according to the manufacturer's protocol.

Reverse transcription-semi-quantitative PCR analysis

HaCaT keratinocytes were grown to confluence in 6-well plates (1.5x106 cells/well) and the control group was subjected to UVA irradiation (10 J/cm2) only. Following UVA irradiation, cells were treated with CMDA for 24 h at 37˚C. Total RNA was extracted from HaCaT keratinocytes using TRIzol® reagent (Invitrogen; Thermo Fisher Scientific, Inc.). Total RNA (2 µg) was reverse-transcribed into cDNA using CellScript All-in-One cDNA synthesis Master Mix (CellSafe Co., Ltd.) following manufacturer's protocol with T100 thermal cycler (Bio-Rad Laboratories, Inc.). The following temperature protocol was used for reverse transcription: 42˚C for 60 min and 72˚C for 5 min. Subsequently, qPCR was performed using the following primers: MMP-1 forward, 5'-GGAGCCAGCTCCCTCTATTT-3' and reverse, 5'-GGCTACATGGGAACAGCCTA-3'; type I pro-collagen forward, 5'-AGAAGGAAATGGCTGCAGAA-3' and reverse, 5'-GCTCGGCTTCCAGTATTGAG-3'; and β-actin forward, 5'-CCACAGCTGAGAGGGAAATC-3' and reverse, 5'-AAGGAAGGCTGGAAAAGAGC-3'. Amplification of cDNA was performed using the Thermal Cycler Dice Real-Time System TP800 (Takara Bio, Inc.) using Luna® Universal qPCR Mix (New England Biolabs, Inc.) according to manufacturer's protocol. The following thermocycling conditions were used for qPCR: 30 cycles at 95˚C for 45 sec, 60˚C for 1 min and 72˚C for 45 sec. The final PCR products were separated by electrophoresis for 30 min at 100 V on a 1.5% agarose gel. Following staining with 1 mg/ml ethidium bromide, gels were imaged under a UV light using a CAS-400SM Davinch-Chemi Imager™ (Davinch-K).

Western blotting

HaCaT cells (1.5x106 cells/well) cultured in 6-well plates were treated with or without CMDA for 24 h at 37˚C after UVA (10 J/cm2) irradiation. Protein levels in cells were investigated using standard western blotting techniques. Briefly, cell lysates were prepared by vigorous pipetting of each well with 1 ml RIPA buffer (Sigma-Aldrich; Merck KGaA) at 4˚C. The nuclear fraction extraction was carried out using a NE-PERTM Nuclear Extraction kit (cat. no. 78835; Thermo Fisher Scientific, Inc.) according to the manufacturer's instructions. Total protein was quantified using a bicinchoninic acid protein assay (Thermo Fisher Scientific, Inc.) according to the manufacturer's protocol. Proteins (20 µg) were separated via 12% SDS-PAGE at 100 V and transferred onto PVDF membranes (Amersham; Cytiva) using a wet system run at 100 V for 1 h at 4˚C. The membranes were then incubated for 1 h at room temperature in 5% skimmed milk for blocking. Following blocking, the membranes were washed with 1X TBST (0.1% Tween-20) and incubated with primary antibodies [1:1,000 in primary antibody dilution buffer containing 1X TBST with 5% bovine serum albumin (Sigma-Aldrich; Merck KGaA)] overnight at 4˚C. The following primary antibodies were used: MMP-1 (cat. no. sc-6837; Santa Cruz Biotechnology, Inc.), MMP-9 (cat. no. 393857; Cell Signaling Technology, Inc.), type I pro-collagen (cat. no. sc-8782; Santa Cruz Biotechnology, Inc.), p38 (cat. no. 8690; Cell Signaling Technology, Inc.), phosphorylated (p)-p38 (cat. no. 4511; Cell Signaling Technology, Inc.), JNK (cat. no. LF-PA0047; Thermo Fisher Scientific, Inc.), p-JNK (cat. no. sc-293136; Santa Cruz Biotechnology, Inc.), ERK (cat. no. 4695; Cell Signaling Technology, Inc.), p-ERK (cat. no. 4370; Cell Signaling Technology, Inc.), c-Jun (cat. no. sc-74543; Santa Cruz Biotechnology, Inc.), p-c-Jun (cat. no. sc-822; Santa Cruz Biotechnology, Inc.), c-Fos (cat. no. sc-7202; Santa Cruz Biotechnology, Inc.), p-c-Fos (cat. no. 5348s; Cell Signaling Technology, Inc.), β-actin (cat. no. sc-47778; Santa Cruz Biotechnology, Inc.) and lamin B1 (cat. no. sc-374015; Santa Cruz Biotechnology, Inc.). Subsequently, the membranes were incubated with horseradish peroxidase-conjugated secondary antibodies (1:1,000) for 1 h at room temperature. The following source specific secondary antibodies were used: anti-mouse (cat. no. 7076; Cell Signaling Technology, Inc.), anti-rabbit (cat. no. 7074; Cell Signaling Technology, Inc.) and anti-goat (cat. no. sc-2354; Santa Cruz Biotechnology, Inc.). Protein bands were visualized using an ECL Western blot detection kit (Amersham; Cytiva). Protein bands were imaged with CAS-400SM Davinch-Chemi imager™ (Davinch-K).

Statistical analysis

All experiments were performed in triplicate. Data are presented as the mean ± standard deviation. Comparisons among multiple groups were analyzed using one-way ANOVA followed by Tukey's post hoc test. Statistical analyses were conducted using SAS software (version 9.1; SAS Institute, Inc.).

Results

CMDA inhibits UVA-induced expression of MMP-1 and collagen

The cytotoxicity of CMDA in HaCaT keratinocytes was assessed by performing an MTT assay. The results suggested that CMDA treatment up to 10 µM did not exert any toxic effects on HaCaT keratinocytes (Fig. 2). Subsequently, to verify the effect of CMDA on UVA-induced changes in MMP-1 and collagen production, cellular MMP-1 and pro-collagen Iα1 release were investigated using ELISA. Exposure to UVA (10 J/cm2) increased MMP-1 release to 5,782.7 pg/ml from 2,536.3 pg/ml (non-irradiated control), whereas pro-collagen Iα1 release was decreased to 48.1 pg/ml from 91.0 pg/ml (Fig. 3A). CMDA treatment of HaCaT keratinocytes following UVA-irradiation dose-dependently inhibited MMP-1 release. At 10 µM, CMDA-treated keratinocyte culture medium contained 2,063.0 pg/ml MMP-1, which was a 64.3% decrease compared with the UVA treatment-only group. Parallel effects were observed for pro-collagen Iα1 release; however, dose dependency was not observed, as 1, 3 and 5 µM CMDA increased pro-collagen Iα1 levels to 65.9, 63.9 and 68.9 pg/ml, respectively, whereas keratinocytes treated with 10 µM CMDA produced 75.6 pg/ml pro-collagen Iα1, which was a 57.2% increase compared with the UVA treatment-only group.

Figure 2

Effect of CMDA on the viability of HaCaT keratinocytes. The cytotoxicity of CMDA against HaCaT cells was assessed by conducting an MTT assay. Cell viability following CMDA treatment was evaluated by examining the ability to form MTT-formazan crystals, which was measured by assessing absorbance values at a wavelength of 540 nm. Cell viability was quantified as a percentage of the untreated (0 µM) control group. Data are presented as the mean ± SD (n=3). CMDA, camellioside A.

Figure 3

Effect of CMDA on the release and expression of MMP-1 and type I pro-collagen. (A) Effect of CMDA on the cellular release of MMP-1 and type Iα1 pro-collagen in UVA-irradiated HaCaT keratinocytes was analyzed by conducting ELISA. *P<0.05, **P<0.01 vs. UVA-irradiated untreated control group. Effect of CMDA on the (B) mRNA and (C) protein expression levels of MMP-1, MMP-9, type I pro-collagen and collagen in UVA-irradiated HaCaT keratinocytes. The mRNA and protein expression levels were analyzed by conducting reverse transcription-semi-quantitative PCR and western blotting, respectively. β-actin was used as an internal loading control. CMDA, camellioside A; MMP, matrix metallopeptidase; UVA, ultraviolet A.

The results obtained from mRNA and protein expression analyses were in agreement with the ELISA results. CMDA treatment dose-dependently inhibited the mRNA (Fig. 3B) and protein (Fig. 3C) expression of MMP-1 in UVA-irradiated HaCaT keratinocytes. Type I pro-collagen mRNA expression was also upregulated following CMDA treatment. The protein levels of collagen and type I pro-collagen were similarly stimulated by CMDA treatment, which indicated that CMDA-treated keratinocytes exhibited an increase in their ability to produce collagen, which was inhibited by UVA irradiation. In addition, CMDA treatment also suppressed UVA-induced MMP-9 levels in keratinocytes.

CMDA suppresses UVA-stimulated activation of the mitogen-activated protein kinase (MAPK)/activator protein 1 (AP-1) signaling pathway

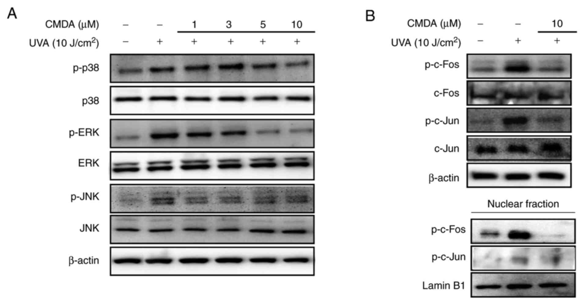
MAPK/AP-1 signaling regulation was investigated in order to determine the mechanism underlying CMDA-mediated MMP-1 suppression. UV irradiation stimulates the activation of p38, ERK and JNK MAPKs, leading to the phosphorylation of the c-Fos and c-Jun proteins. The cascade facilitates the formation of AP-1 transcription factor and its nuclear translocation (6). Keratinocytes irradiated by UVA displayed increased levels of phosphorylated p38, ERK and JNK MAPKs (Fig. 4A). Treatment with CMDA (1, 3, 5 and 10 µM) dose-dependently suppressed UVA-induced phosphorylation of MAPKs, whereas the total protein levels of MAPKs were not altered. Subsequently, the phosphorylation levels of MAPK downstream proteins for MMP-1 transcriptional expression (c-Fos and c-Jun) were investigated. UVA irradiation significantly increased phosphorylated c-Fos and c-Jun levels in total cell lysates and nuclear fractions (Fig. 4B), which was parallel to an increase in MAPK activation. The UVA-stimulated increase of AP-1-forming proteins was notably suppressed following treatment with 10 µM CMDA. These results suggested that CMDA suppresses UVA-mediated MMP-1 production via suppression of AP-1 regulated transcriptional activity.

Figure 4

Effect of CMDA on the phosphorylation of MAPK and AP-1. (A) Effect of CMDA on the total and phosphorylated protein levels of p38, ERK and JNK MAPKs was analyzed in UVA-irradiated (10 J/cm2) HaCaT keratinocytes after 24 h of incubation via western blotting. β-actin was used as an internal loading control. (B) Effect of CMDA on the total and phosphorylated protein levels of c-Fos and c-Jun was investigated in both total cell lysates and nuclear fractions of UVA-irradiated (10 J/cm2) HaCaT keratinocytes after 24 h of incubation via western blotting. β-actin and lamin B1 were used as internal loading controls. CMDA, camellioside A; MAPK, mitogen-activated protein kinase; AP-1, activator protein 1; UVA, ultraviolet A.

Discussion

C. japonica is a flowering plant endemic to East Asia with known cosmeceutical benefits. It was previously demonstrated that C. japonica oil promotes skin barrier function and type I pro-collagen production (8). Based on these properties, several bioactive compounds have been isolated from C. japonica, and their bioactivities have been reported (7,9). CMDA is one such compound, an oleanane triterpenoid saponin. In addition to the MMP-1 inhibitory and pro-collagen production stimulatory effects of C. japonica oil (9), the present study was conducted to investigate the possible effects of CMDA against UVA-induced skin aging using MMP-1 and type I pro-collagen production as markers.

UV irradiation disrupts the collagen formation of ECM, which is one of the leading causes of extrinsic skin aging, also referred to as photoaging (2). It was previously demonstrated that solar UVA radiation caused elevated MMP-1 production along with diminished collagen production, which in turn resulted in excessive degradation of skin collagen. Increased degradation of the collagen framework of the skin results in skin abnormalities, such as wrinkles (4). In the present study, HaCaT keratinocytes released increased amounts of MMP-1 and significantly decreased amounts of type Iα1 pro-collagen following UVA irradiation, whereas CMDA treatment attenuated MMP-1 release and increased type Iα1 pro-collagen release. The results suggested that CMDA may serve a role in reversing UVA-induced damage of the skin ECM.

Expression of the MMP-1 gene is transcriptionally regulated by the AP-1 transcription factor, which is a heterodimerized form of phosphorylated c-Fos and c-Jun proteins (10). UVA irradiation contributes to MMP-1 expression via activation of MAPK signaling pathways, which are responsible for c-Fos and c-Jun heterodimerization and subsequent nuclear translocation. Translocation of AP-1 initiates MMP-1 expression (8). The results of the present study further indicated that UVA irradiation caused increased phosphorylation of the p38, ERK and JNK MAPKs, which were responsible for the phosphorylation of the c-Fos and c-Jun proteins. In addition, the nuclear fractions of UVA-irradiated HaCaT keratinocytes exhibited significantly higher levels of phosphorylated c-Fos and c-Jun compared with the non-irradiated control group. The presence of CMDA in the culture medium after UVA irradiation exerted suppressive effects on the activation of MAPK signaling, resulting in decreased levels of phosphorylated p38, MAPK and ERK. This effect of CMDA was also observed in both total cell lysate and nuclear fraction levels of phosphorylated c-Fos and c-Jun. Overall, the results of the present study indicated that CMDA suppressed AP-1 transcription factor formation, thereby inhibiting UVA-induced MMP-1 production.

In conclusion, the present study suggested that CMDA may serve as a potential anti-photoaging agent by exerting protective effects against UVA-induced collagen degradation in keratinocytes. The results also indicated that CMDA exerted its effects via suppression of AP-1-regulated MMP-1 expression. Therefore, CMDA and its source, C. japonica extract, may be useful in the cosmeceutical industry for the development of products that protect against skin aging. However, further studies are required to elucidate the underlying mechanism and to verify the results of the present study in vivo.

Acknowledgements

Not applicable.

Funding

The present study was performed within the program of the AMOREPACIFIC Open Research (grant no. SRT-01-R19E80012) supported by a grant from AMOREPACIFIC.

Availability of data and materials

The datasets used and/or analyzed during the present study are available from the corresponding author on reasonable request.

Authors' contributions

FK, JHO and CSK conceived the study, designed the experiments and supplied the necessary materials. FK, JHO and HRK performed the experiments and collected the data. JK conducted the isolation and chemical elucidation analysis. FK interpreted and analyzed the data. All authors have read and approved the final manuscript.

Ethics approval and consent to participate

Not applicable.

Patient consent for publication

Not applicable.

Competing interests

The authors declare that they have no competing interests.

References

1 

Dupont E, Gomez J and Bilodeau D: Beyond UV radiation: A skin under challenge. Int J Cosmet Sci. 35:224–232. 2013.PubMed/NCBI View Article : Google Scholar

2 

Widel M, Krzywon A, Gajda K, Skonieczna M and Rzeszowska-Wolny J: Induction of bystander effects by UVA, UVB, and UVC radiation in human fibroblasts and the implication of reactive oxygen species. Free Radic Biol Med. 68:278–287. 2014.PubMed/NCBI View Article : Google Scholar

3 

Battie C, Jitsukawa S, Bernerd F, Del Bino S, Marionnet C and Verschoore M: New insights in photoaging, UVA induced damage and skin types. Exp Dermatol. 23 (Suppl 1):S7–S12. 2014.PubMed/NCBI View Article : Google Scholar

4 

Dong KK, Damaghi N, Picart SD, Markova NG, Obayashi K, Okano Y, Masaki H, Grether-Beck S, Krutmann J, Smiles KA and Yarosh DB: UV-induced DNA damage initiates release of MMP-1 in human skin. Exp Dermatol. 17:1037–1044. 2008.PubMed/NCBI View Article : Google Scholar

5 

Duque L, Bravo K and Osorio E: A holistic anti-aging approach applied in selected cultivated medicinal plants: A view of photoprotection of the skin by different mechanisms. Ind Crops Prod. 97:431–439. 2017.

6 

Kim YH, Kim KS, Han CS, Yang HC, Park SH, Ko KI, Lee SH, Kim KH, Lee NH, Kim JM and Son KH: Inhibitory effects of natural plants of Jeju Island on elastase and MMP-1 expression. Int J Cosmetic Sci. 29:487–488. 2007.PubMed/NCBI

7 

Nakamura S, Moriura T, Park S, Fujimoto K, Matsumoto T, Ohta T, Matsuda H and Yoshikawa M: Melanogenesis inhibitory and fibroblast proliferation accelerating effects of noroleanane- and oleanane-type triterpene oligoglycosides from the flower buds of Camellia japonica. J Nat Prod. 75:1425–1430. 2012.PubMed/NCBI View Article : Google Scholar

8 

Panich U, Chaiprasongsuk A, Lohakul J, Soontrapa K and Sampattavanich S: Photoprotective role of Nrf2 in UVA-mediated MMP-1 via MAPK/AP-1 signaling in keratinocyte HaCaT cells and mouse skin: The photoprotective effects of sulforaphane. Free Radic Biol Med. 100(S44)2016.

9 

Kim M, Son D, Shin S, Park D, Byun S and Jung E: Protective effects of Camellia japonica flower extract against urban air pollutants. BMC Complement Altern Med. 19(30)2019.PubMed/NCBI View Article : Google Scholar

10 

Wang X and Bi Z: UVB-irradiated human keratinocytes and interleukin-1alpha indirectly increase MAP kinase/AP-1 activation and MMP-1 production in UVA-irradiated dermal fibroblasts. Chin Med J (Engl). 119:827–831. 2006.PubMed/NCBI

Related Articles

  • Abstract
  • View
  • Download
  • Twitter
Copy and paste a formatted citation
Spandidos Publications style
Karadeniz F, Oh J, Kim H, Ko J and Kong C: Camellioside A, isolated from <em>Camellia&nbsp;japonica</em> flowers, attenuates UVA‑induced production of MMP‑1 in HaCaT keratinocytes via suppression of MAPK activation. Exp Ther Med 21: 16, 2021.
APA
Karadeniz, F., Oh, J., Kim, H., Ko, J., & Kong, C. (2021). Camellioside A, isolated from <em>Camellia&nbsp;japonica</em> flowers, attenuates UVA‑induced production of MMP‑1 in HaCaT keratinocytes via suppression of MAPK activation. Experimental and Therapeutic Medicine, 21, 16. https://doi.org/10.3892/etm.2020.9448
MLA
Karadeniz, F., Oh, J., Kim, H., Ko, J., Kong, C."Camellioside A, isolated from <em>Camellia&nbsp;japonica</em> flowers, attenuates UVA‑induced production of MMP‑1 in HaCaT keratinocytes via suppression of MAPK activation". Experimental and Therapeutic Medicine 21.1 (2021): 16.
Chicago
Karadeniz, F., Oh, J., Kim, H., Ko, J., Kong, C."Camellioside A, isolated from <em>Camellia&nbsp;japonica</em> flowers, attenuates UVA‑induced production of MMP‑1 in HaCaT keratinocytes via suppression of MAPK activation". Experimental and Therapeutic Medicine 21, no. 1 (2021): 16. https://doi.org/10.3892/etm.2020.9448
Copy and paste a formatted citation
x
Spandidos Publications style
Karadeniz F, Oh J, Kim H, Ko J and Kong C: Camellioside A, isolated from <em>Camellia&nbsp;japonica</em> flowers, attenuates UVA‑induced production of MMP‑1 in HaCaT keratinocytes via suppression of MAPK activation. Exp Ther Med 21: 16, 2021.
APA
Karadeniz, F., Oh, J., Kim, H., Ko, J., & Kong, C. (2021). Camellioside A, isolated from <em>Camellia&nbsp;japonica</em> flowers, attenuates UVA‑induced production of MMP‑1 in HaCaT keratinocytes via suppression of MAPK activation. Experimental and Therapeutic Medicine, 21, 16. https://doi.org/10.3892/etm.2020.9448
MLA
Karadeniz, F., Oh, J., Kim, H., Ko, J., Kong, C."Camellioside A, isolated from <em>Camellia&nbsp;japonica</em> flowers, attenuates UVA‑induced production of MMP‑1 in HaCaT keratinocytes via suppression of MAPK activation". Experimental and Therapeutic Medicine 21.1 (2021): 16.
Chicago
Karadeniz, F., Oh, J., Kim, H., Ko, J., Kong, C."Camellioside A, isolated from <em>Camellia&nbsp;japonica</em> flowers, attenuates UVA‑induced production of MMP‑1 in HaCaT keratinocytes via suppression of MAPK activation". Experimental and Therapeutic Medicine 21, no. 1 (2021): 16. https://doi.org/10.3892/etm.2020.9448
Follow us
  • Twitter
  • LinkedIn
  • Facebook
About
  • Spandidos Publications
  • Careers
  • Cookie Policy
  • Privacy Policy
How can we help?
  • Help
  • Live Chat
  • Contact
  • Email to our Support Team