Spandidos Publications Logo
  • About
    • About Spandidos
    • Aims and Scopes
    • Abstracting and Indexing
    • Editorial Policies
    • Reprints and Permissions
    • Job Opportunities
    • Terms and Conditions
    • Contact
  • Journals
    • All Journals
    • Oncology Letters
      • Oncology Letters
      • Information for Authors
      • Editorial Policies
      • Editorial Board
      • Aims and Scope
      • Abstracting and Indexing
      • Bibliographic Information
      • Archive
    • International Journal of Oncology
      • International Journal of Oncology
      • Information for Authors
      • Editorial Policies
      • Editorial Board
      • Aims and Scope
      • Abstracting and Indexing
      • Bibliographic Information
      • Archive
    • Molecular and Clinical Oncology
      • Molecular and Clinical Oncology
      • Information for Authors
      • Editorial Policies
      • Editorial Board
      • Aims and Scope
      • Abstracting and Indexing
      • Bibliographic Information
      • Archive
    • Experimental and Therapeutic Medicine
      • Experimental and Therapeutic Medicine
      • Information for Authors
      • Editorial Policies
      • Editorial Board
      • Aims and Scope
      • Abstracting and Indexing
      • Bibliographic Information
      • Archive
    • International Journal of Molecular Medicine
      • International Journal of Molecular Medicine
      • Information for Authors
      • Editorial Policies
      • Editorial Board
      • Aims and Scope
      • Abstracting and Indexing
      • Bibliographic Information
      • Archive
    • Biomedical Reports
      • Biomedical Reports
      • Information for Authors
      • Editorial Policies
      • Editorial Board
      • Aims and Scope
      • Abstracting and Indexing
      • Bibliographic Information
      • Archive
    • Oncology Reports
      • Oncology Reports
      • Information for Authors
      • Editorial Policies
      • Editorial Board
      • Aims and Scope
      • Abstracting and Indexing
      • Bibliographic Information
      • Archive
    • Molecular Medicine Reports
      • Molecular Medicine Reports
      • Information for Authors
      • Editorial Policies
      • Editorial Board
      • Aims and Scope
      • Abstracting and Indexing
      • Bibliographic Information
      • Archive
    • World Academy of Sciences Journal
      • World Academy of Sciences Journal
      • Information for Authors
      • Editorial Policies
      • Editorial Board
      • Aims and Scope
      • Abstracting and Indexing
      • Bibliographic Information
      • Archive
    • International Journal of Functional Nutrition
      • International Journal of Functional Nutrition
      • Information for Authors
      • Editorial Policies
      • Editorial Board
      • Aims and Scope
      • Abstracting and Indexing
      • Bibliographic Information
      • Archive
    • International Journal of Epigenetics
      • International Journal of Epigenetics
      • Information for Authors
      • Editorial Policies
      • Editorial Board
      • Aims and Scope
      • Abstracting and Indexing
      • Bibliographic Information
      • Archive
    • Medicine International
      • Medicine International
      • Information for Authors
      • Editorial Policies
      • Editorial Board
      • Aims and Scope
      • Abstracting and Indexing
      • Bibliographic Information
      • Archive
  • Articles
  • Information
    • Information for Authors
    • Information for Reviewers
    • Information for Librarians
    • Information for Advertisers
    • Conferences
  • Language Editing
Spandidos Publications Logo
  • About
    • About Spandidos
    • Aims and Scopes
    • Abstracting and Indexing
    • Editorial Policies
    • Reprints and Permissions
    • Job Opportunities
    • Terms and Conditions
    • Contact
  • Journals
    • All Journals
    • Biomedical Reports
      • Information for Authors
      • Editorial Policies
      • Editorial Board
      • Aims and Scope
      • Abstracting and Indexing
      • Bibliographic Information
      • Archive
    • Experimental and Therapeutic Medicine
      • Information for Authors
      • Editorial Policies
      • Editorial Board
      • Aims and Scope
      • Abstracting and Indexing
      • Bibliographic Information
      • Archive
    • International Journal of Epigenetics
      • Information for Authors
      • Editorial Policies
      • Editorial Board
      • Aims and Scope
      • Abstracting and Indexing
      • Bibliographic Information
      • Archive
    • International Journal of Functional Nutrition
      • Information for Authors
      • Editorial Policies
      • Editorial Board
      • Aims and Scope
      • Abstracting and Indexing
      • Bibliographic Information
      • Archive
    • International Journal of Molecular Medicine
      • Information for Authors
      • Editorial Policies
      • Editorial Board
      • Aims and Scope
      • Abstracting and Indexing
      • Bibliographic Information
      • Archive
    • International Journal of Oncology
      • Information for Authors
      • Editorial Policies
      • Editorial Board
      • Aims and Scope
      • Abstracting and Indexing
      • Bibliographic Information
      • Archive
    • Medicine International
      • Information for Authors
      • Editorial Policies
      • Editorial Board
      • Aims and Scope
      • Abstracting and Indexing
      • Bibliographic Information
      • Archive
    • Molecular and Clinical Oncology
      • Information for Authors
      • Editorial Policies
      • Editorial Board
      • Aims and Scope
      • Abstracting and Indexing
      • Bibliographic Information
      • Archive
    • Molecular Medicine Reports
      • Information for Authors
      • Editorial Policies
      • Editorial Board
      • Aims and Scope
      • Abstracting and Indexing
      • Bibliographic Information
      • Archive
    • Oncology Letters
      • Information for Authors
      • Editorial Policies
      • Editorial Board
      • Aims and Scope
      • Abstracting and Indexing
      • Bibliographic Information
      • Archive
    • Oncology Reports
      • Information for Authors
      • Editorial Policies
      • Editorial Board
      • Aims and Scope
      • Abstracting and Indexing
      • Bibliographic Information
      • Archive
    • World Academy of Sciences Journal
      • Information for Authors
      • Editorial Policies
      • Editorial Board
      • Aims and Scope
      • Abstracting and Indexing
      • Bibliographic Information
      • Archive
  • Articles
  • Information
    • For Authors
    • For Reviewers
    • For Librarians
    • For Advertisers
    • Conferences
  • Language Editing
Login Register Submit
  • This site uses cookies
  • You can change your cookie settings at any time by following the instructions in our Cookie Policy. To find out more, you may read our Privacy Policy.

    I agree
Search articles by DOI, keyword, author or affiliation
Search
Advanced Search
presentation
Experimental and Therapeutic Medicine
Join Editorial Board Propose a Special Issue
Print ISSN: 1792-0981 Online ISSN: 1792-1015
Journal Cover
August-2021 Volume 22 Issue 2

Full Size Image

Sign up for eToc alerts
Recommend to Library

Journals

International Journal of Molecular Medicine

International Journal of Molecular Medicine

International Journal of Molecular Medicine is an international journal devoted to molecular mechanisms of human disease.

International Journal of Oncology

International Journal of Oncology

International Journal of Oncology is an international journal devoted to oncology research and cancer treatment.

Molecular Medicine Reports

Molecular Medicine Reports

Covers molecular medicine topics such as pharmacology, pathology, genetics, neuroscience, infectious diseases, molecular cardiology, and molecular surgery.

Oncology Reports

Oncology Reports

Oncology Reports is an international journal devoted to fundamental and applied research in Oncology.

Experimental and Therapeutic Medicine

Experimental and Therapeutic Medicine

Experimental and Therapeutic Medicine is an international journal devoted to laboratory and clinical medicine.

Oncology Letters

Oncology Letters

Oncology Letters is an international journal devoted to Experimental and Clinical Oncology.

Biomedical Reports

Biomedical Reports

Explores a wide range of biological and medical fields, including pharmacology, genetics, microbiology, neuroscience, and molecular cardiology.

Molecular and Clinical Oncology

Molecular and Clinical Oncology

International journal addressing all aspects of oncology research, from tumorigenesis and oncogenes to chemotherapy and metastasis.

World Academy of Sciences Journal

World Academy of Sciences Journal

Multidisciplinary open-access journal spanning biochemistry, genetics, neuroscience, environmental health, and synthetic biology.

International Journal of Functional Nutrition

International Journal of Functional Nutrition

Open-access journal combining biochemistry, pharmacology, immunology, and genetics to advance health through functional nutrition.

International Journal of Epigenetics

International Journal of Epigenetics

Publishes open-access research on using epigenetics to advance understanding and treatment of human disease.

Medicine International

Medicine International

An International Open Access Journal Devoted to General Medicine.

Journal Cover
August-2021 Volume 22 Issue 2

Full Size Image

Sign up for eToc alerts
Recommend to Library

  • Article
  • Citations
    • Cite This Article
    • Download Citation
    • Create Citation Alert
    • Remove Citation Alert
    • Cited By
  • Similar Articles
    • Related Articles (in Spandidos Publications)
    • Similar Articles (Google Scholar)
    • Similar Articles (PubMed)
  • Download PDF
  • Download XML
  • View XML
Case Report Open Access

First Chinese patient with mental retardation‑40 due to a de novo CHAMP1 frameshift mutation: Case report and literature review

  • Authors:
    • Yan Dong
    • Xiaoyi Shi
    • Kaixian Du
    • Ruijuan Xu
    • Tianming Jia
    • Jun Wang
    • Lijun Wang
    • Rui Han
  • View Affiliations / Copyright

    Affiliations: Neurology Department of Pediatrics, The Third Affiliated Hospital of Zhengzhou University, Zhengzhou, Henan 450000, P.R. China, Development and Behavior Department of Pediatrics, The Third Affiliated Hospital of Zhengzhou University, Zhengzhou, Henan 450000, P.R. China, Department of Children's Rehabilitation, The Third Affiliated Hospital of Zhengzhou University, Zhengzhou, Henan 450000, P.R. China
    Copyright: © Dong et al. This is an open access article distributed under the terms of Creative Commons Attribution License.
  • Article Number: 907
    |
    Published online on: June 25, 2021
       https://doi.org/10.3892/etm.2021.10339
  • Expand metrics +
Metrics: Total Views: 0 (Spandidos Publications: | PMC Statistics: )
Metrics: Total PDF Downloads: 0 (Spandidos Publications: | PMC Statistics: )
Cited By (CrossRef): 0 citations Loading Articles...

This article is mentioned in:



Abstract

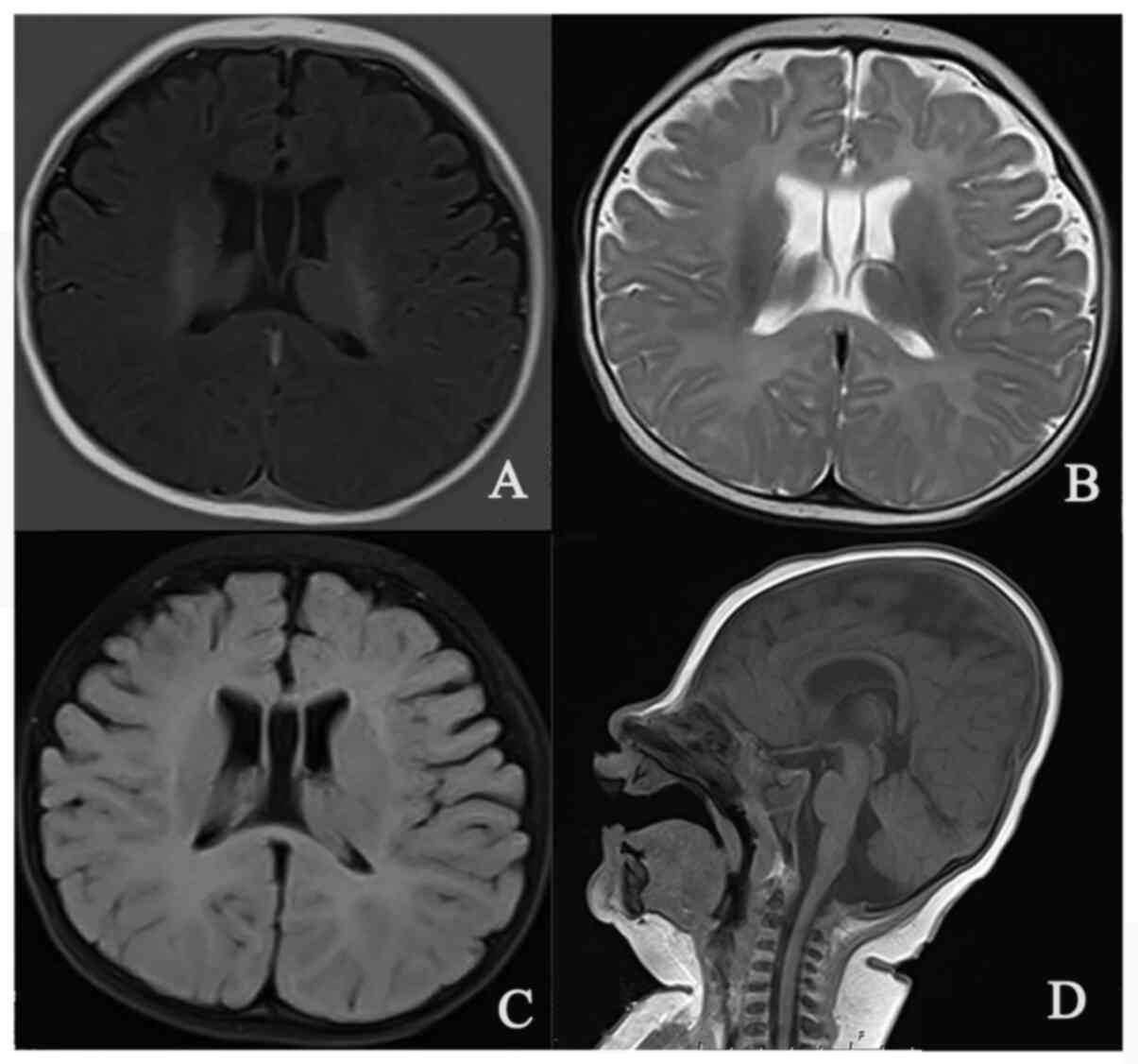
Mental retardation‑40 (MRD40) is a rare autosomal dominant neurodevelopmental disorder with a poor prognosis that is caused by a heterozygous mutation in chromosome alignment maintaining phosphoprotein 1 (CHAMP1). It was previously considered a non‑syndromic disease due to the lack of specific external features. Only limited international reports describing CHAMP1 mutations are currently available. The present case study was the first to report on a Chinese patient with MRD40. The patient presented with severe global development delay with significant craniofacial dysmorphia. Using trio whole‑exome sequencing, a novel de novo frameshift mutation in CHAMP1, NM_032436.2: c.530delCinsTTT, was identified, which expands the spectrum of the known pathogenic variants. The present case report helps to improve the syndromic profile of the rare MRD40 disorder and provides an example for the clinical diagnosis of MRD40.
View Figures

Figure 1

Figure 2

Figure 3

View References

1 

Wieczorek D: Autosomal dominant intellectual disability. Med Genet. 30:318–322. 2018.PubMed/NCBI View Article : Google Scholar

2 

Ferreira CR: The burden of rare diseases. Am J Med Genet A. 179:885–892. 2019.PubMed/NCBI View Article : Google Scholar

3 

Ilyas M, Mir A, Efthymiou S and Houlden H: The genetics of intellectual disability: Advancing technology and gene editing. F1000Res. 9(F1000 Faculty Rev-22)2020.PubMed/NCBI View Article : Google Scholar

4 

Vasudevan P and Suri M: A clinical approach to developmental delay and intellectual disability. Clin Med (Lond). 17:558–561. 2017.PubMed/NCBI View Article : Google Scholar

5 

Deciphering Developmental Disorders Study. Large-scale discovery of novel genetic causes of developmental disorders. Nature. 519:223–228. 2015.PubMed/NCBI View Article : Google Scholar

6 

Hempel M, Cremer K, Ockeloen CW, Lichtenbelt KD, Herkert JC, Denecke J, Haack TB, Zink AM, Becker J, Wohlleber E, et al: De novo mutations in CHAMP1 cause intellectual disability with severe speech impairment. Am J Hum Genet. 97:493–500. 2015.PubMed/NCBI View Article : Google Scholar

7 

WHO Multicentre Growth Reference Study Group. WHO Child Growth Standards based on length/height, weight and age. Acta Paediatr Suppl. 450:76–85. 2006.PubMed/NCBI View Article : Google Scholar

8 

Tso WWY, Wong VCN, Xia X, Faragher B, Li M, Xu X, Ao L, Zhang X, Jiao FY, Du K, et al: The Griffiths development Scales-Chinese (GDS-C): A cross-cultural comparison of developmental trajectories between Chinese and British children. Child Care Health Dev. 44:378–383. 2018.PubMed/NCBI View Article : Google Scholar

9 

Van der Auwera GA, Carneiro MO, Hartl C, Poplin R, Del Angel G, Levy-Moonshine A, Jordan T, Shakir K, Roazen D, Thibault J, et al: From FastQ data to high confidence variant calls: The Genome Analysis Toolkit best practices pipeline. Curr Protoc Bioinformatics. 43:11.10.1–11.10.33. 2013.PubMed/NCBI View Article : Google Scholar

10 

Wright CF, McRae JF, Clayton S, Gallone G, Aitken S, FitzGerald TW, Jones P, Prigmore E, Rajan D, Lord J, et al: Making new genetic diagnoses with old data: Iterative reanalysis and reporting from genome-wide data in 1,133 families with developmental disorders. Genet Med. 20:1216–1223. 2018.PubMed/NCBI View Article : Google Scholar

11 

Richards S, Aziz N, Bale S, Bick D, Das S, Gastier-Foster J, Grody WW, Hegde M, Lyon E, Spector E, et al: Standards and guidelines for the interpretation of sequence variants: A joint consensus recommendation of the American College of Medical Genetics and Genomics and the Association for Molecular Pathology. Genet Med. 17:405–424. 2015.PubMed/NCBI View Article : Google Scholar

12 

Tanaka AJ, Cho MT, Retterer K, Jones JR, Nowak C, Douglas J, Jiang YH, McConkie-Rosell A, Schaefer GB, Kaylor J, et al: De novo pathogenic variants in CHAMP1 are associated with global developmental delay, intellectual disability, and dysmorphic facial features. Cold Spring Harb Mol Case Stud. 2(a000661)2016.PubMed/NCBI View Article : Google Scholar

13 

Isidor B, Küry S, Rosenfeld JA, Besnard T, Schmitt S, Joss S, Davies SJ, Lebel RR, Henderson A, Schaaf CP, et al: De novo truncating mutations in the kinetochore-microtubules attachment Gene CHAMP1 cause syndromic intellectual disability. Hum Mutat. 37:354–358. 2016.PubMed/NCBI View Article : Google Scholar

14 

Okamoto N, Tsuchiya Y, Kuki I, Yamamoto T, Saitsu H, Kitagawa D and Matsumoto N: Disturbed chromosome segregation and multipolar spindle formation in a patient with CHAMP1 mutation. Mol Genet Genomic Med. 5:585–591. 2017.PubMed/NCBI View Article : Google Scholar

15 

Itoh G, Kanno S, Uchida KS, Chiba S, Sugino S, Watanabe K, Mizuno K, Yasui A, Hirota T and Tanaka K: CAMP (C13orf8, ZNF828) is a novel regulator of kinetochore-microtubule attachment. EMBO J. 30:130–144. 2011.PubMed/NCBI View Article : Google Scholar

16 

Zhu B, Wu J, Chen G, Chen L and Yao Y: Whole exome sequencing identifies a novel mutation of TPK1 in a Chinese Family with Recurrent ataxia. J Mol Neurosci. 70:1237–1243. 2020.PubMed/NCBI View Article : Google Scholar

Related Articles

  • Abstract
  • View
  • Download
  • Twitter
Copy and paste a formatted citation
Spandidos Publications style
Dong Y, Shi X, Du K, Xu R, Jia T, Wang J, Wang L and Han R: First Chinese patient with mental retardation‑40 due to a <em>de novo</em> CHAMP1 frameshift mutation: Case report and literature review. Exp Ther Med 22: 907, 2021.
APA
Dong, Y., Shi, X., Du, K., Xu, R., Jia, T., Wang, J. ... Han, R. (2021). First Chinese patient with mental retardation‑40 due to a <em>de novo</em> CHAMP1 frameshift mutation: Case report and literature review. Experimental and Therapeutic Medicine, 22, 907. https://doi.org/10.3892/etm.2021.10339
MLA
Dong, Y., Shi, X., Du, K., Xu, R., Jia, T., Wang, J., Wang, L., Han, R."First Chinese patient with mental retardation‑40 due to a <em>de novo</em> CHAMP1 frameshift mutation: Case report and literature review". Experimental and Therapeutic Medicine 22.2 (2021): 907.
Chicago
Dong, Y., Shi, X., Du, K., Xu, R., Jia, T., Wang, J., Wang, L., Han, R."First Chinese patient with mental retardation‑40 due to a <em>de novo</em> CHAMP1 frameshift mutation: Case report and literature review". Experimental and Therapeutic Medicine 22, no. 2 (2021): 907. https://doi.org/10.3892/etm.2021.10339
Copy and paste a formatted citation
x
Spandidos Publications style
Dong Y, Shi X, Du K, Xu R, Jia T, Wang J, Wang L and Han R: First Chinese patient with mental retardation‑40 due to a <em>de novo</em> CHAMP1 frameshift mutation: Case report and literature review. Exp Ther Med 22: 907, 2021.
APA
Dong, Y., Shi, X., Du, K., Xu, R., Jia, T., Wang, J. ... Han, R. (2021). First Chinese patient with mental retardation‑40 due to a <em>de novo</em> CHAMP1 frameshift mutation: Case report and literature review. Experimental and Therapeutic Medicine, 22, 907. https://doi.org/10.3892/etm.2021.10339
MLA
Dong, Y., Shi, X., Du, K., Xu, R., Jia, T., Wang, J., Wang, L., Han, R."First Chinese patient with mental retardation‑40 due to a <em>de novo</em> CHAMP1 frameshift mutation: Case report and literature review". Experimental and Therapeutic Medicine 22.2 (2021): 907.
Chicago
Dong, Y., Shi, X., Du, K., Xu, R., Jia, T., Wang, J., Wang, L., Han, R."First Chinese patient with mental retardation‑40 due to a <em>de novo</em> CHAMP1 frameshift mutation: Case report and literature review". Experimental and Therapeutic Medicine 22, no. 2 (2021): 907. https://doi.org/10.3892/etm.2021.10339
Follow us
  • Twitter
  • LinkedIn
  • Facebook
About
  • Spandidos Publications
  • Careers
  • Cookie Policy
  • Privacy Policy
How can we help?
  • Help
  • Live Chat
  • Contact
  • Email to our Support Team