Spandidos Publications Logo
  • About
    • About Spandidos
    • Aims and Scopes
    • Abstracting and Indexing
    • Editorial Policies
    • Reprints and Permissions
    • Job Opportunities
    • Terms and Conditions
    • Contact
  • Journals
    • All Journals
    • Oncology Letters
      • Oncology Letters
      • Information for Authors
      • Editorial Policies
      • Editorial Board
      • Aims and Scope
      • Abstracting and Indexing
      • Bibliographic Information
      • Archive
    • International Journal of Oncology
      • International Journal of Oncology
      • Information for Authors
      • Editorial Policies
      • Editorial Board
      • Aims and Scope
      • Abstracting and Indexing
      • Bibliographic Information
      • Archive
    • Molecular and Clinical Oncology
      • Molecular and Clinical Oncology
      • Information for Authors
      • Editorial Policies
      • Editorial Board
      • Aims and Scope
      • Abstracting and Indexing
      • Bibliographic Information
      • Archive
    • Experimental and Therapeutic Medicine
      • Experimental and Therapeutic Medicine
      • Information for Authors
      • Editorial Policies
      • Editorial Board
      • Aims and Scope
      • Abstracting and Indexing
      • Bibliographic Information
      • Archive
    • International Journal of Molecular Medicine
      • International Journal of Molecular Medicine
      • Information for Authors
      • Editorial Policies
      • Editorial Board
      • Aims and Scope
      • Abstracting and Indexing
      • Bibliographic Information
      • Archive
    • Biomedical Reports
      • Biomedical Reports
      • Information for Authors
      • Editorial Policies
      • Editorial Board
      • Aims and Scope
      • Abstracting and Indexing
      • Bibliographic Information
      • Archive
    • Oncology Reports
      • Oncology Reports
      • Information for Authors
      • Editorial Policies
      • Editorial Board
      • Aims and Scope
      • Abstracting and Indexing
      • Bibliographic Information
      • Archive
    • Molecular Medicine Reports
      • Molecular Medicine Reports
      • Information for Authors
      • Editorial Policies
      • Editorial Board
      • Aims and Scope
      • Abstracting and Indexing
      • Bibliographic Information
      • Archive
    • World Academy of Sciences Journal
      • World Academy of Sciences Journal
      • Information for Authors
      • Editorial Policies
      • Editorial Board
      • Aims and Scope
      • Abstracting and Indexing
      • Bibliographic Information
      • Archive
    • International Journal of Functional Nutrition
      • International Journal of Functional Nutrition
      • Information for Authors
      • Editorial Policies
      • Editorial Board
      • Aims and Scope
      • Abstracting and Indexing
      • Bibliographic Information
      • Archive
    • International Journal of Epigenetics
      • International Journal of Epigenetics
      • Information for Authors
      • Editorial Policies
      • Editorial Board
      • Aims and Scope
      • Abstracting and Indexing
      • Bibliographic Information
      • Archive
    • Medicine International
      • Medicine International
      • Information for Authors
      • Editorial Policies
      • Editorial Board
      • Aims and Scope
      • Abstracting and Indexing
      • Bibliographic Information
      • Archive
  • Articles
  • Information
    • Information for Authors
    • Information for Reviewers
    • Information for Librarians
    • Information for Advertisers
    • Conferences
  • Language Editing
Spandidos Publications Logo
  • About
    • About Spandidos
    • Aims and Scopes
    • Abstracting and Indexing
    • Editorial Policies
    • Reprints and Permissions
    • Job Opportunities
    • Terms and Conditions
    • Contact
  • Journals
    • All Journals
    • Biomedical Reports
      • Information for Authors
      • Editorial Policies
      • Editorial Board
      • Aims and Scope
      • Abstracting and Indexing
      • Bibliographic Information
      • Archive
    • Experimental and Therapeutic Medicine
      • Information for Authors
      • Editorial Policies
      • Editorial Board
      • Aims and Scope
      • Abstracting and Indexing
      • Bibliographic Information
      • Archive
    • International Journal of Epigenetics
      • Information for Authors
      • Editorial Policies
      • Editorial Board
      • Aims and Scope
      • Abstracting and Indexing
      • Bibliographic Information
      • Archive
    • International Journal of Functional Nutrition
      • Information for Authors
      • Editorial Policies
      • Editorial Board
      • Aims and Scope
      • Abstracting and Indexing
      • Bibliographic Information
      • Archive
    • International Journal of Molecular Medicine
      • Information for Authors
      • Editorial Policies
      • Editorial Board
      • Aims and Scope
      • Abstracting and Indexing
      • Bibliographic Information
      • Archive
    • International Journal of Oncology
      • Information for Authors
      • Editorial Policies
      • Editorial Board
      • Aims and Scope
      • Abstracting and Indexing
      • Bibliographic Information
      • Archive
    • Medicine International
      • Information for Authors
      • Editorial Policies
      • Editorial Board
      • Aims and Scope
      • Abstracting and Indexing
      • Bibliographic Information
      • Archive
    • Molecular and Clinical Oncology
      • Information for Authors
      • Editorial Policies
      • Editorial Board
      • Aims and Scope
      • Abstracting and Indexing
      • Bibliographic Information
      • Archive
    • Molecular Medicine Reports
      • Information for Authors
      • Editorial Policies
      • Editorial Board
      • Aims and Scope
      • Abstracting and Indexing
      • Bibliographic Information
      • Archive
    • Oncology Letters
      • Information for Authors
      • Editorial Policies
      • Editorial Board
      • Aims and Scope
      • Abstracting and Indexing
      • Bibliographic Information
      • Archive
    • Oncology Reports
      • Information for Authors
      • Editorial Policies
      • Editorial Board
      • Aims and Scope
      • Abstracting and Indexing
      • Bibliographic Information
      • Archive
    • World Academy of Sciences Journal
      • Information for Authors
      • Editorial Policies
      • Editorial Board
      • Aims and Scope
      • Abstracting and Indexing
      • Bibliographic Information
      • Archive
  • Articles
  • Information
    • For Authors
    • For Reviewers
    • For Librarians
    • For Advertisers
    • Conferences
  • Language Editing
Login Register Submit
  • This site uses cookies
  • You can change your cookie settings at any time by following the instructions in our Cookie Policy. To find out more, you may read our Privacy Policy.

    I agree
Search articles by DOI, keyword, author or affiliation
Search
Advanced Search
presentation
Experimental and Therapeutic Medicine
Join Editorial Board Propose a Special Issue
Print ISSN: 1792-0981 Online ISSN: 1792-1015
Journal Cover
November-2021 Volume 22 Issue 5

Full Size Image

Sign up for eToc alerts
Recommend to Library

Journals

International Journal of Molecular Medicine

International Journal of Molecular Medicine

International Journal of Molecular Medicine is an international journal devoted to molecular mechanisms of human disease.

International Journal of Oncology

International Journal of Oncology

International Journal of Oncology is an international journal devoted to oncology research and cancer treatment.

Molecular Medicine Reports

Molecular Medicine Reports

Covers molecular medicine topics such as pharmacology, pathology, genetics, neuroscience, infectious diseases, molecular cardiology, and molecular surgery.

Oncology Reports

Oncology Reports

Oncology Reports is an international journal devoted to fundamental and applied research in Oncology.

Experimental and Therapeutic Medicine

Experimental and Therapeutic Medicine

Experimental and Therapeutic Medicine is an international journal devoted to laboratory and clinical medicine.

Oncology Letters

Oncology Letters

Oncology Letters is an international journal devoted to Experimental and Clinical Oncology.

Biomedical Reports

Biomedical Reports

Explores a wide range of biological and medical fields, including pharmacology, genetics, microbiology, neuroscience, and molecular cardiology.

Molecular and Clinical Oncology

Molecular and Clinical Oncology

International journal addressing all aspects of oncology research, from tumorigenesis and oncogenes to chemotherapy and metastasis.

World Academy of Sciences Journal

World Academy of Sciences Journal

Multidisciplinary open-access journal spanning biochemistry, genetics, neuroscience, environmental health, and synthetic biology.

International Journal of Functional Nutrition

International Journal of Functional Nutrition

Open-access journal combining biochemistry, pharmacology, immunology, and genetics to advance health through functional nutrition.

International Journal of Epigenetics

International Journal of Epigenetics

Publishes open-access research on using epigenetics to advance understanding and treatment of human disease.

Medicine International

Medicine International

An International Open Access Journal Devoted to General Medicine.

Journal Cover
November-2021 Volume 22 Issue 5

Full Size Image

Sign up for eToc alerts
Recommend to Library

  • Article
  • Citations
    • Cite This Article
    • Download Citation
    • Create Citation Alert
    • Remove Citation Alert
    • Cited By
  • Similar Articles
    • Related Articles (in Spandidos Publications)
    • Similar Articles (Google Scholar)
    • Similar Articles (PubMed)
  • Download PDF
  • Download XML
  • View XML
Article Open Access

Moxibustion improves ovarian function based on the regulation of the androgen balance

Corrigendum in: /10.3892/etm.2022.11113
  • Authors:
    • Xun Jin
    • Jie Cheng
    • Jie Shen
    • Xing Lv
    • Qian Li
    • Yanyun Mu
    • Hua Bai
    • Yan Liu
    • Youbing Xia
  • View Affiliations / Copyright

    Affiliations: College of Acupuncture and Massage, Nanjing University of Chinese Medicine, Nanjing, Jiangsu 210023, P.R. China, Central Research Institute of Shanghai Pharmaceuticals Holding Co., Ltd., Shanghai 200020, P.R. China, Traditional Chinese Medicine Department, The Affiliated Hospital of Xuzhou Medical University, Xuzhou Medical University, Xuzhou, Jiangsu 221006, P.R. China
    Copyright: © Jin et al. This is an open access article distributed under the terms of Creative Commons Attribution License.
  • Article Number: 1230
    |
    Published online on: August 30, 2021
       https://doi.org/10.3892/etm.2021.10664
  • Expand metrics +
Metrics: Total Views: 0 (Spandidos Publications: | PMC Statistics: )
Metrics: Total PDF Downloads: 0 (Spandidos Publications: | PMC Statistics: )
Cited By (CrossRef): 0 citations Loading Articles...

This article is mentioned in:



Abstract

The effect of androgens on follicular development and female reproduction has become an active research topic. Moxibustion is a Traditional Chinese Medicine therapy that has been reported to be able to prevent and treat numerous ovary‑related problems. However, studies on the effect of moxibustion for diminished ovarian reserve (DOR) on androgen balance are still lacking. The present study aimed to assess the efficacy of moxibustion intervention prior to disease onset and at the early stage of disease in a rat model of DOR and explore the mechanisms of its effect on ovarian function. A total of 32 rats were randomly divided into four groups: Blank group, Model group (a drug‑induced model of DOR), Moxibustion group 1 and Moxibustion group 2. Moxibustion was performed on the BL23 and RN4 acupoints of female rats daily for a total of 20 days (once a day, five times a week for a total of 4 weeks). The two moxibustion groups were established with different intervention times: One group was subjected to pre‑disease intervention and the other group to early‑disease intervention. The ovarian function was evaluated by detecting anti‑Mullerian hormone (AMH), follicle‑stimulating hormone (FSH), estradiol (E2), testosterone (T), dehydroepiandrosterone (DHEA), dihydrotestosterone (DHT) and androgen receptor (AR) levels in the serum or the ovary samples. To further investigate the downstream regulatory factors for AR after moxibustion treatment for pre‑disease or early‑disease intervention, FSH receptor (FSHR) and microRNA (miR)‑125b expression in ovaries were also analyzed. The results indicated that AMH and DHT levels were reduced in the model group compared with those in the blank group, while FSH, T and DHEA levels were increased. AMH and DHT levels were increased in Moxibustion group 1 compared with those in the model group, while FSH, T and DHEA levels were reduced. There was no difference in E2 levels between Moxibustion group 1 and the model group. Compared with that in the model group, the AR content in the ovary was increased in Moxibustion group 1. There was no difference in FSHR mRNA in the ovaries between Moxibustion group 1 and the model group. miR‑125b levels were significantly increased in Moxibustion group 1 as compared with those in the model group. Furthermore, AMH and DHT levels were increased in Moxibustion group 2 compared with those in the model group, while FSH, T and DHEA levels were reduced. E2 levels were significantly decreased in Moxibustion group 2 compared with those in the model group. The relative mRNA expression of AR, FSHR and miR‑125b was decreased following establishment of the model. Compared with that in the model group, the AR content in the ovary was increased in Moxibustion group 2. In comparison with the blank and model groups, the FSHR content in the ovary of Moxibustion group 2 was significantly increased. miR‑125b levels were not obviously altered in Moxibustion group 2 as compared with those in the model group. In addition, there was no significant difference in AMH, FSH, T and DHEA levels between the two moxibustion groups. E2 and DHT levels were higher in Moxibustion group 1 than in Moxibustion group 2. There was no difference in AR mRNA expression between the two moxibustion groups. FSHR mRNA levels were lower in Moxibustion group 1 than in Moxibustion group 2, while miR‑125b mRNA levels were higher in Moxibustion group 1 than in Moxibustion group 2. In conclusion, the present study suggested that moxibustion intervention prior to disease onset and at the early disease stage was able to improve ovarian function via modulation of the AR‑mediated stable equilibrium of androgens. However, the effects and mechanisms of moxibustion intervention for pre‑disease and early‑disease intervention of DOR appear to be different. The appropriate duration of treatment and the time‑effect relationship require to be further studied.

Introduction

Diminished ovarian reserve (DOR) refers to abnormal ovarian function caused by various factors prior to the age of 40 years and results in associated symptoms, which is the occult abnormal ovarian function period prior to ovarian failure amenorrhea (1,2). Without any timely and effective intervention, the ovaries of patients with DOR may gradually shrink within 1 to 6 years, leading to premature ovarian failure (POF) (3).

At present, the effect of androgens on follicular development and female reproduction is under active investigation. Androgens, including dehydroepiandrosterone (DHEA), DHEA-sulfate (DHEA-S), androstenedione (A4), testosterone (T) and dihydrotestosterone (DHT), are important hormones in the female endocrine and reproductive systems. DHEA, DHEA-S and A4 must be bioconverted to T or DHT to have a physiological role (4,5). It has been suggested that the androgen effect is generated when androgens are converted to estradiols under the action of aromatase in granulosa cells; the produced estradiols then act on estradiols receptors. Further studies indicated that androgen itself positively affects follicular development and T or DHT will eventually bind to the androgen receptor (AR) to activate downstream signaling pathways, such as follicle-stimulating hormone receptor (FSHR) and microRNA (miRNA/miR)-125b to induce the corresponding biological effect (6,7).

Moxibustion is a Traditional Chinese Medicine (TCM) therapy. It uses Folium Artemisiae argyi to produce moxibustion materials, generating heat upon combustion to stimulate acupoints or specific body surface sites, thereby achieving disease prevention and treatment. Increasing evidence has demonstrated that moxibustion is able to improve ovarian function (8-12). It has been reported that the early use of moxibustion is able to generate a favorable stress response to resist or reduce the subsequent disease and delay the degradation of normal tissues (13). To date, studies on the mechanisms underlying the improvement in ovarian function by moxibustion have mainly focused on the hypothalamic-pituitary-ovarian axis (HPOA) (14,15). There is a lack of studies focusing on androgen balance and AR-mediated signaling pathways. It remains elusive whether the protective roles and mechanisms underlying moxibustion intervention on ovarian function prior to the onset or at early stages of DOR are different.

In the present study, moxibustion was performed on the BL23 and RN4 acupoints of female rats daily for a total of 20 times. For this, two moxibustion groups were established with different intervention times: One group was subjected to pre-disease intervention and the other group to early-disease intervention. The ovarian function was evaluated based on the levels of several hormones related to ovarian function, particularly androgens. To further investigate the downstream regulatory factors of AR after moxibustion intervention prior to the onset or at early stages of POF, FSHR and miR-125b expression in ovaries were also analyzed. The present study focused on rat physiology, providing a strong foundation and a complementary understanding of moxibustion application as both physiological and pathological research.

Materials and methods

Animal experiment

A total of 32 female Sprague-Dawley rats weighing 220-280 g and aged 8-12 weeks were provided by Shanghai Super-B&K Laboratory (Animal production license no. SYXK, Shanghai 2017-0002). The rats were maintained under a normal 12-h light/dark cycle at 22±2˚C with 50-70% relative humidity. The rats were allowed to adapt to the surrounding environment for two weeks. Animals with a regular estrus cycle and the same estrus stage were detected through vaginal smears. Rats were housed with four animals per cage and food pellets and water provided ad libitum.

A total of 32 rats were randomly divided into four groups (Fig. 1): Blank group (normal saline was administered), Model group (rat model was established via intragastric administration of tripterygium glycosides), Moxibustion group 1 (rat model was established after 4 weeks of moxibustion treatment, making this the pre-disease intervention group) and Moxibustion group 2 (rats were treated with tripterygium glycosides and moxibustion for 2 weeks, followed by another 2 weeks of moxibustion treatment, making this the early-disease intervention group). The day of grouping was recorded as day 1. All experimental procedures were approved by the Animal Care and Use Committee of Nanjing University of Chinese Medicine (Nanjing, China; no. ACU170709).

Figure 1

Flow diagram of the study. TG, tripterygium glycosides.

Observation of estrus stages

A thin cotton swab dipped in saline was gently inserted into the vagina of the rats and used to scrape around the cervix of the rats. The vaginal secretions were evenly smeared onto slides. After 15 min of fixation, the vaginal secretions were subjected to Pap staining and cytological examination was performed under the microscope. The observation of estrus stages began on the 43rd day of the experiment and was continually performed once a day for 14 consecutive days and ended on the 56th day. A summary of the regularity of the estrus stages in the rats was generated at the end of the study. The estrus stages of normal female rats lasted for 4-5 days, including the proestrus, estrus, metestrus and diestrus stages (16). ‘Extension of estrus stages’ is defined as estrus stages that lasted >5 days and ‘disorder of estrous stages’ was defined as estrous cycles that could not be observed or continued to be diestrus.

Model construction methods

The DOR model was established by referring to the methods reported in the literature (17,18) and began on the 29th day of the experiment (Fig. 1). Normal saline (2 ml) was administered once a day by gavage in the blank group, while 2 ml of tripterygium glycosides (Shanghai Fudan Fuhua Pharmaceutical Co., Ltd.; no. Z31020415) was administered at 75 mg/kg/day once a day IG for 14 consecutive days in the other groups. The whole modeling process was uneventful and no death occurred. If the vaginal smear of the rats exhibited no change of the sexual cycle in >2 sexual cycles or prolonged estrus stage of >6 days, the model was considered to be successfully established.

Moxibustion application

The acupoint location was determined referring to ‘Experimental Acupuncture’ (19). Moxibustion was applied to the bilateral ‘Shenshu’ acupoint (BL 23, 7 mm lateral to the spinous process of the second lumbar spine) in the prone position and the ‘Guanyuan’ acupoint (RN 4, 25 mm below the navel) in the supine position daily. The specific moxibustion methods were performed as follows: Two assistants performed the procedure. One researcher was responsible for holding the animals with its hand, and the other researcher performed the moxibustion. The rat was blindfolded. The neck of the rats were first touched to quieten them and then the rats gently held in the hand without anesthetization (20,21). Hair on the treatment area was shaved and Vaseline was applied. A grain-sized moxa cone (5 mg of pure moxa cone with a base of 3.0-3.5 mm and a height of 4-5 mm) was placed on the acupoints using tweezers and ignited with a match (the burning time of each cone was 8-10 sec, with a temperature of 48-52˚C at the acupoints). A new moxa cone was applied when the prior one was completely burned. Seven grain-sized moxa cones were applied at each acupoint per treatment for a total of 20 days (once a day, five times a week for a total of 4 weeks). The duration of one treatment session for each rat was ~3 min. The moxibustion in moxibustion group 1 and moxibustion group 2 began on the 1st day and the 29th day of the experiment, respectively (Fig. 1). The rats in the non-moxibustion group were also fixed with the assistant's hand and blindfolded synchronously. During and after the procedure, the wellbeing of the rats was assessed by observing their behavior and attempting to detect any moxibustion ulcer formation. It was observed that the rats were quiet when treated with moxibustion: No foot lifting and licking, no back arching, no tremor or spasm and regular breathing. Following moxibustion, there were no moxibustion ulcers in any of the rats with regular food and water consumption (22).

Hormone assays

Hormones were detected at the end of the experiment to ensure that the blood samples were collected at the same stage of the menstrual cycle. Whole blood samples (2 ml) were harvested by a retro-orbital puncture after animals were anesthetized with a single intraperitoneal injection of 7% chloral hydrate (350 mg/kg) from eight rats in each group. The animals were sacrificed 10 min after injection of chloral hydrate by cervical dislocation. Then, the animals were sacrificed by cervical dislocation. The samples were centrifuged at 1,500 x g for 20 min at room temperature and the supernatants were collected. Serum anti-mullerian hormone (AMH), FSH, estradiol (E2), T, DHEA and DHT were detected using the rat AMH ELISA kit (cat. no. ml060605), FSH ELISA kit (cat. no. ml002872), E2 ELISA kit (cat. no. ml002871), T ELISA kit (cat. no. ml003368), DHEA ELISA kit (cat. no. ml003097) and DHT ELISA kit (cat. no. ml002998), respectively (Shanghai Mlbio Co., Ltd.). The optical density of the ELISA plates was measured at 450 nm by a microplate reader.

Reverse transcription-quantitative (q)PCR

The fresh ovarian tissue was separated from six sacrificed rats in each group and they were used for RNA analysis. Total RNA was extracted using TRIzol® reagent (Invitrogen; Thermo Fisher Scientific, Inc.) and was reverse transcribed using a First-strand cDNA Synthesis kit (Invitrogen; Thermo Fisher Scientific, Inc.). miRNA was harvested using the miRcute miRNA isolation kit (Tiangen Biotech Co., Ltd.) and was reverse transcribed using stem-loop primers and the Thermo First-strand cDNA Synthesis kit (Thermo Fisher Scientific, Inc.). The following primers were used: AR forward, 5'-GAGACGACACGATGGACAATT-3' and reverse, 5'-GCGGAAGGGAAACAGAAGTAT-3'; FSHR forward, 5'-TGAATGATTAAGAGGGACAAGC-3' and reverse, 5'-AAGCCCAGATTTACAGGACAG-3'; Rat 18S rRNA forward, 5'-GAATTCCCAGTAAGTGCGGGTCATA-3' and reverse, 5'-CGAGGGCCTCACTAAACCATC-3'. miR-125b forward, 5'-CGGGCTCCCTGAGACCCTAA-3' and reverse, 5'-CAGCCACAAAAGAGCACAAT-3', miRNA/U6 forward, 5'-CCTGCTTCGGCAGCACA-3' and reverse, 5'-AACGCTTCACGAATTTGCGT-3'. The qPCR Fluorescence Quantitation kit (Applied Biosystems; Thermo Fisher Scientific, Inc.) and the CFX384 Touch™ Real-Time PCR Detection System (Bio-Rad Laboratories, Inc.) were used for detecting AR and FSHR expression. The TaqMan® Fast Advanced Master Mix (Thermo Fisher Scientific, Inc.) and the CFX384 Touch™ Real-Time PCR Detection System (Bio-Rad Laboratories, Inc.) were used for detecting miRNA-125b expression. The reaction for detecting AR and FSHR expression was performed in a 10-µl system (5, 0.2, 0.2, 1, 0.2 and 3.4 µl of 2X ChamQ SYBR qPCR Master Mix (Applied Biosystems; Thermo Fisher Scientific, Inc.), forward primer 10 µM, reverse primer 10 µM, template DNA, 50X ROX Reference Dye 1, nuclease-free H2O, respectively). The program was set to two steps for real-time quantitation: Initial denaturation was performed at 95˚C for 10 min. Subsequently, each denaturation was 95˚C for 15 sec, followed by an annealing elongation at 63˚C for 30 sec. The above steps comprised one cycle and there were 40 cycles in total. The reaction for detecting miR-125b expression was performed in a 20-µl system [SDW 7.5 µl, TaqMan® Fast Advanced Master Mix (2X) 10.0 µl, miRNA-125b forward 0.5 µl, universal miRNA-125b reverse 0.5 µl, universal TaqMan probe 0.5 µl and template DNA 1.0 µl]. The program was set to two steps for real-time quantitation: Initial denaturation was performed at 50˚C for 2 min. Subsequently, each denaturation was 95˚C for 5 sec, followed by an annealing elongation at 60˚C for 25 sec. The above steps comprised one cycle and there were 40 cycles in total. The fluorescence value was read during each extension stage and the dissolution curve was prepared after the end of the cycle. Each sample was analyzed in triplicate and ultimately, the relative expression levels of each gene were calculated with the 2-∆∆Cq method (23).

Histopathology

The right ovaries from eight sacrificed rats in each group were fixed in 4% paraformaldehyde for histopathological examination. After fixation, each tissue sample was routinely processed and embedded in paraffin. Subsequently, they were sectioned at 4 µm thickness and stained with H&E for observation. Ovarian follicles were classified into the primordial follicle (an oocyte surrounded by one layer of flattened graunlosa cells), the primary follicle (an oocyte surrounded by one layer of cuboidal graunlosa cells), the secondary follicle (two or three layers of cuboidal granulose cells with no antral space) and antral follicle (more than four layers of granulosa cells with one or more independent antral spaces) (16). Atretic follicles contained ≥20 apoptotic granulosa cells, disorganized granulosa cells, fragmentation of the oocyte nucleus or a degenerating oocyte. The number of primary follicles, secondary follicles, antral follicles and atretic follicles was calculated according to the morphological characteristics of follicles in the different groups.

Statistical analysis

Values are expressed as the mean ± standard deviation. The statistical analysis was performed by SPSS 22.0 statistical software (IBM Corporation). Statistical significance was determined by one-way ANOVA with Tukey's post-hoc test. The difference in estrus stages among the different groups was analyzed by using the χ2 test. P<0.05 was considered to indicate statistical significance.

Results

Moxibustion stimulation improves tripterygium glycoside-induced histopathological changes in rats

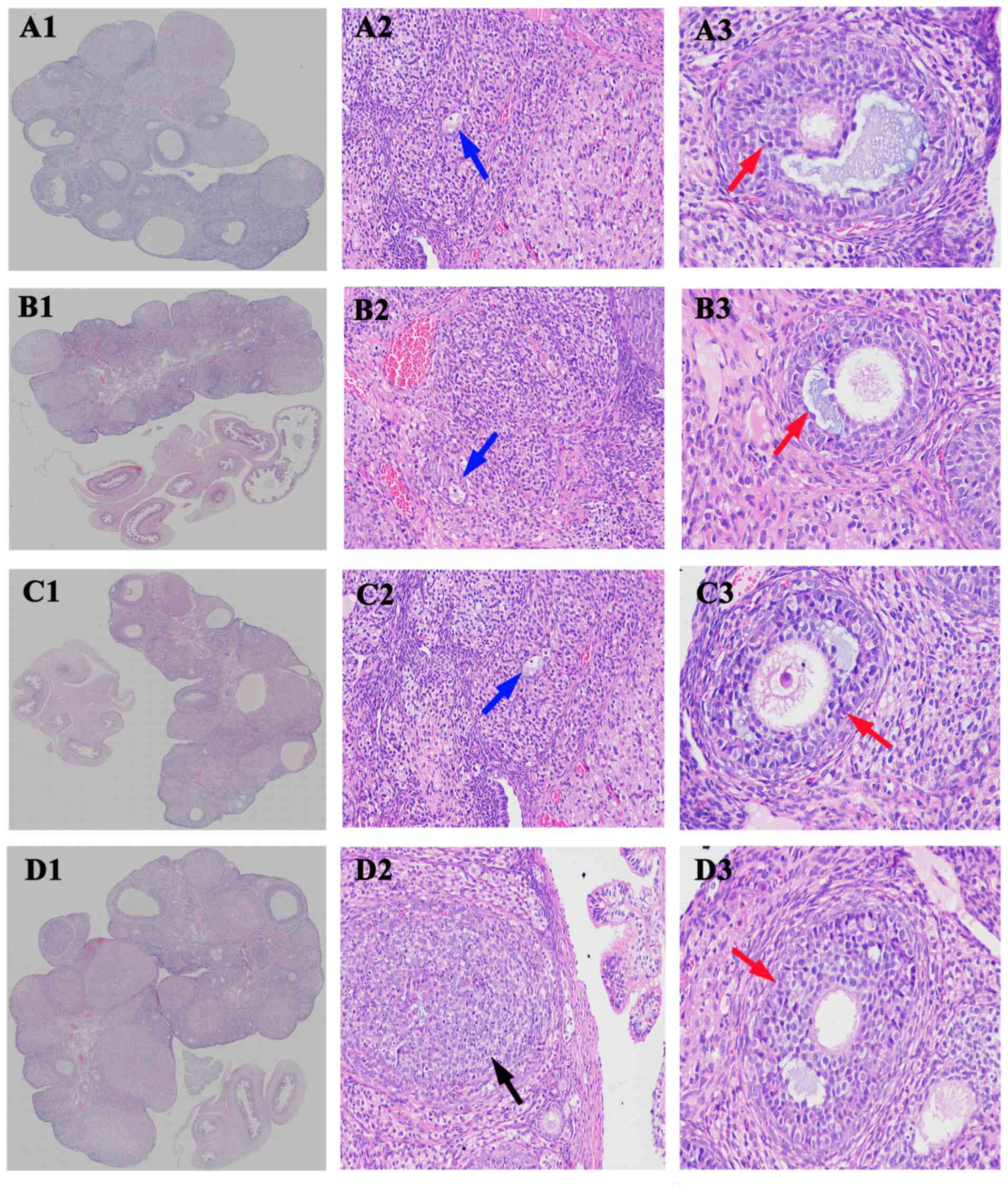
As presented in Fig. 2 and Table I, compared with the blank group, the number of atretic follicles was significant increased in the model group (5.00±1.15 vs. 9.12±2.45, P<0.001), while the number of mature follicular cells was decreased and the ovarian granuloma cells were observed to be undergoing significant apoptosis, with rare corpus luteum. Compared with the model group, the number of atretic follicles in both moxibustion group 1 and moxibustion group 2 were significantly reduced (9.12±2.45 vs. 7.00±3.15, P<0.05 and 9.12±2.45 vs. 5.44±1.69, P<0.05, respectively). The number of mature follicular cells was increased with enhanced corpus luteum and decreased apoptotic ovarian granuloma cells as compared with the model group.

Figure 2

Moxibustion stimulation improves tripterygium glycoside-induced histopathological changes in rats. Histopathology images of ovaries from (A) the blank group, (B) model group, (C) moxibustion group 1 and (D) moxibustion group 2 (H&E staining; original magnification, x20, x200 and x400, in column 1, 2 and 3, respectively). The blue, red and black arrows indicate atretic follicles, mature follicular cells and the ovarian granuloma cells, respectively.

Table I

Number of various types of follicle per ovary in the different groups.

Table I

Number of various types of follicle per ovary in the different groups.

GroupPrimary folliclesSecondary folliclesAntral folliclesAtretic follicles
Blank7.00±3.095.38±2.063.37±0.895.00±1.15
Model4.50±2.97 3.50±1.26a2.71±1.44 9.12±2.45b
Moxibustion 14.90±2.02 5.57±1.91c3.50±1.96 7.00±3.15c
Moxibustion 2 7.33±3.25c,d4.67±1.944.89±5.14 5.44±1.69c
χ24.3704.0991.57710.813
P-value0.0070.0100.2040.000

[i] Values are expressed as the mean ± standard deviation.

[ii] aP<0.05,

[iii] bP<0.001 vs. blank group;

[iv] cP<0.05 vs. model group;

[v] dP<0.05 vs. moxibustion group 1.

Changes in the estrus stages in rats

As presented in Table II, the estrus stage of rats in the blank group was regular, while the stages were expanded to different degrees in the model group, moxibustion group 1 and moxibustion group 2 in comparison to the blank group, particularly in the model group (P<0.05). A portion of the rats in the model group continued to exhibit diestrus. No significant difference was observed between the moxibustion group and the blank group. No significant difference was observed between the moxibustion group and the model group.

Table II

Changes in estrus stages in the rats.

Table II

Changes in estrus stages in the rats.

GroupTotal numberNormalExtensionDisorder
Blank8710
Modela8143
Moxibustion 18341
Moxibustion 28440

[i] aP<0.05 vs. blank group. Extension is defined as estrus stages that lasted >5 days. Disorder is defined as estrus cycles that could not be observed or continued to be diestrus.

Moxibustion attenuates DOR-associated changes in AMH, FSH and E2 in serum

The serum concentrations of AMH, FSH and E2 were analyzed to evaluate ovarian function. As presented in Fig. 3A, AMH levels were significantly reduced after modeling compared with the blank group (2.24±0.18 vs. 2.94±0.30 pmol/l, P<0.01), while they were increased in Moxibustion group 1 and Moxibustion group 2 compared with the model group (2.59±0.35 vs. 2.24±0.18 pmol/l, P=0.153 and 2.74±0.30 vs. 2.24±0.18 pmol/l, P<0.05, respectively). There was no difference in AMH levels between the 2 moxibustion groups.

Figure 3

Effects of pre-disease or early-disease moxibustion intervention on serum levels of AMH, FSH and E2 in the different groups. Serum levels of (A) AMH, (B) FSH and (C) E2. Values are expressed as the mean ± standard deviation. *P<0.05, **P<0.01, ***P<0.001. AMH, anti-mullerian hormone; FSH, follicle-stimulating hormone; E2, estradiol.

As presented in Fig. 3B, FSH levels significantly increased after establishing the model (1,725.32±138.96 vs. 3,616.87±262.46 pg/ml, P<0.001). FSH levels were reduced in Moxibustion group 1 and Moxibustion group 2 compared with the model group (3,142.52±290.95 vs. 3,616.87±262.46 pg/ml, P<0.05 and 3,109.37±317.38 vs. 3,616.87±262.46 pg/ml, P<0.01, respectively). There was no difference in FSH levels between the 2 moxibustion groups. As indicated in Fig. 3C, serum E2 levels were significantly increased in the model group compared with the blank group (41.45±3.88 vs. 22.14±3.24 pmol/l, P<0.001); they decreased significantly in Moxibustion group 2 compared with the model group (30.53±3.64 vs. 41.45±3.88 pmol/l, P<0.01). Significant differences in E2 levels were observed between Moxibustion group 1 and Moxibustion group 2 (40.30±6.16 vs. 30.53±3.64 pmol/l, P<0.01).

Moxibustion stimulation attenuates DOR-associated changes in T, DHEA and DHT levels in serum

As T, DHEA and DHT are the three major androgens and changes in their levels affect ovarian function, their serum levels were analyzed to investigate whether there is an association between androgen balance and ovarian function after moxibustion treatment. As illustrated in Fig. 4A and B, T and DHEA levels significantly increased after establishing the model (101.24±9.76 vs. 230.80±21.03 pg/l, P<0.001 and 19.98±1.63 vs. 28.49±2.63 ng/l, P<0.001, respectively). T levels were lower in Moxibustion group 1 and Moxibustion group 2 compared with the model group (209.10±16.22 vs. 230.80±21.03 pg/l, P=0.078 and 207.75±16.77 vs. 230.80±21.03 pg/l, P=0.064, respectively). No significant difference in T levels was observed between moxibustion group and model group. No difference in T levels was observed between the 2 moxibustion groups. Serum DHEA levels decreased in Moxibustion group 1 as compared with the model group (24.77±3.11 vs. 28.49±2.63 ng/ml, P<0.05), but no significant difference was observed in Moxibustion group 2 compared with the model group (26.10±2.36 vs. 28.49±2.63 ng/ml, P=0.324).

Figure 4

Effects of pre-disease or early-disease moxibustion intervention on serum levels of T, DHEA, and DHT in the different groups. Serum levels of (A) T, (B) DHEA and (C) DHT. Values are expressed as the mean ± standard deviation. *P<0.05, **P<0.01, ***P<0.001. T, testosterone; DHEA, dehydroepiandrosterone; DHT, dihydrotestosterone.

As presented in Fig. 4C, DHT levels significantly decreased after establishing the model (34.20±3.60 vs. 18.41±1.81 nmol/l, P<0.001), while they increased in Moxibustion group 1 and Moxibustion group 2 compared with the model group (27.28±2.83 vs. 18.41±1.81 nmol/l, P<0.001 and 23.19±3.77 vs. 18.41±1.81 nmol/l, P<0.05, respectively). DHT levels were higher in Moxibustion group 1 than in Moxibustion group 2 (27.28±2.83 vs. 23.19±3.77 nmol/l, P=0.058). No significant difference in DHT levels was observed between Moxibustion group 1 and Moxibustion group 2.

Effects of moxibustion stimulation on AR expression in the ovary with DOR

AR is an essential factor required for the androgen during follicular development. Thus, AR expression in the ovary was determined to assess whether there was any change after moxibustion treatment. As presented in Fig. 5, the relative mRNA expression of AR was decreased after establishing the model (0.54±0.22 vs. 0.40±0.23, P=0.193). Compared to the model group, the AR content of the ovary was increased in Moxibustion group 1 and Moxibustion group 2 (0.40±0.23 vs. 0.55±0.24, P=0.130 and 0.40±0.23 vs. 0.58±0.13, P=0.062, respectively). There was no significant difference in AR mRNA expression between each group.

Figure 5

Effects of pre-disease or early-disease moxibustion intervention on the relative expression of AR in the ovary. Rat 18S rRNA was used as reference gene. The relative mRNA expression of AR is shown in the y-axis. Values are expressed as the mean ± standard deviation. AR, androgen receptor.

Moxibustion stimulation induces different changes in FSHR and miR-125b expression in the ovary

Since FSHR and miRNA-125b are two different regulators of the AR-mediated signaling pathway, their expression in the ovary was analyzed to investigate whether their expression is affected by DOR and different methods of moxibustion treatment. As presented in Fig. 6A and B, the relative expression of FSHR mRNA and miR-125b decreased after establishing the model (1.16±0.56 vs. 0.79±0.55, P=0.109 and 2.22±1.72 vs. 0.01±0.01, P<0.001, respectively). There was no significant difference in FSHR mRNA expression between blank group and model group. Compared to the blank and model groups, the FSHR content in the rat ovary of Moxibustion group 2 was significantly increased (1.16±0.56 vs. 2.55±0.47, P<0.001 and 0.79±0.55 vs. 2.55±0.47, P<0.001, respectively). However, there was no difference in FSHR mRNA in the ovaries between Moxibustion group 1 and the model group (1.03±0.28 vs. 0.79±0.55, P=0.457). miR-125b was not changed in Moxibustion group 2 compared with the model group (0.19±0.12 vs. 0.01±0.01, P=0.934), but a significant increase was observed in Moxibustion group 1 (1.18±0.53 vs. 0.01±0.01, P<0.01). Significant differences in FSHR and miR-125b mRNA expression were observed between Moxibustion group 1 and Moxibustion group 2 (1.03±0.28 vs. 2.55±0.47, P<0.001 and 1.18±0.53 vs. 0.19±0.12, P<0.01, respectively).

Figure 6

Pre-disease or early-disease moxibustion intervention increases FSHR and miR-125b expression in the ovary. (A) FSHR levels; rat 18S rRNA was used as reference gene. The relative mRNA expression of FSHR is shown in the y-axis and (B) miR-125b levels in the ovary of different groups, miRNA/U6 was used as reference gene. The relative miRNA expression of miR-125b is shown in the y-axis. Values are expressed as the mean ± standard deviation. **P<0.01, ***P<0.001. FSHR, follicle-stimulating hormone receptor; miRNA/miR, microRNA.

Discussion

Previous studies have indicated that moxibustion is effective in improving ovarian function, but most of them focused on treatments of disease states and there is a lack of studies on ‘prevention’. Wang et al (24) found that moxibustion could reduce the rate of estrus cycle disorder, improve the level of serum sex hormones and antioxidant stress in DOR rats, and the mechanism may be related to the regulation of Nrf2/HO-1 signaling pathway. Yang et al (13) found that moxibustion could improve ovary function by suppressing apoptosis events and upregulating antioxidant defenses in the natural aging ovary.

Combined with the variation rule of reproductive aging, the average fertility of females reaches a peak at the age of 25 and then begins to decrease, declining rapidly after 35 years of age (25). The reduced fertility is manifested as a reduction in the number and quality of follicles in the ovary. In addition to the natural aging of the ovary, genetic, iatrogenic, environmental and psychological factors may also cause a premature decline in ovarian function and eventually DOR in certain females (26,27). DOR is a precursor of POF. The transition from DOR to POF is a gradual dynamic evolution process. If DOR cannot be treated in a timely manner and prevented from progressing, POF will develop (28-30). Therefore, certain scholars have proposed a ‘peri-premature ovarian failure stage’ (31) and the gradual physiological decline in the ovary and DOR occur at this stage. According to the TCM theories of ‘preventing disease in healthy states’ and ‘preventing progression in disease states’ (32), if prevention measures are applied prior to or early in the ‘peri-premature ovarian failure stage’, they may effectively protect and improve ovarian function. The experiments of the present study aimed to verify this hypothesis.

The present study indicated that moxibustion prior to establishing DOR in a rat model or during the early stage of model establishment may protect ovarian function and alleviate ovarian injury caused by Tripterygium wilfordii. The present experiments demonstrated that after 2 weeks of tripterygium glycosides administration, the serum levels of AMH, FSH and E2 in rats were significantly different from those in the blank group. The rats' estrus cycle in the model group was disordered, indicating that the model was established successfully and stable. Both pre-disease and early intervention with moxibustion rescued the increase in FSH levels and the decrease in AMH levels induced by tripterygium glycosides. The E2 level in moxibustion group 1 was not different from that in the model group, while the E2 level in moxibustion group 2 was significantly lower than that in the model group. AMH, FSH and E2 are common indicators to evaluate ovarian reserve and are frequently used jointly (33,34). An increase in FSH levels is related to a decrease in ovarian reserve. Elevated FSH levels promote the early recruitment and growth of follicles and thus produce higher E2 levels. However, the increase in FSH in the early stage of DOR is not stable. Due to the negative feedback regulation of E2 on the secretion of FSH, the change in E2 is earlier than that of FSH (35). Previous studies indicated that the sensitivity and specificity of AMH in predicting ovarian response are better than those of FSH and E2 (36,37). The present results suggested that moxibustion intervention prior to disease onset and during the early disease stage may improve ovarian function. Of note, the effect of moxibustion treatment at the early disease stage was better than that prior to disease onset under the same treatment conditions.

The present study focused on the effect of moxibustion on the androgen balance in a rat model of DOR. The experimental results indicated that the T levels were reduced in both moxibustion groups. T and E2 are positively correlated. When T increases in vivo, the level of estradiol converted from T by aromatase increases, thus causing a positive correlation between the two, and the present results are consistent with those of a previously published study (38). However, the increase in serum T and E2 levels in rats with DOR were compensatory. If ovarian function was to be further reduced and decompensated, the levels of T and E2 may decrease (38). After model establishment, the serum DHT levels in rats of the model group were lower than those in the blank group, the DHT levels in the two moxibustion groups were significantly higher than those in the model group and the serum DHT levels in moxibustion group 1 were higher than those in moxibustion group 2. A total of 20% of DHT is converted from T, which is an indicator of androgen levels in peripheral tissues. DHT does not convert to E2 without aromatase and T is a major indicator reflecting the secretion of ovarian androgen (39,40). Therefore, DHT and T may have different trends. The present study also indicated that compared with the serum DHEA level in the blank group, the serum DHEA level in the model group was higher. The serum DHEA level in moxibustion group 1 was significantly lower but the serum DHEA level in moxibustion group 2 was the same as that in the model group. DHEA cannot directly exert its role and its conversion depends on its own production and the expression levels of metabolic enzymes in tissue. Furthermore, DHEA secretion has no negative feedback regulatory mechanism; it is an unstable androgen that acts as a ‘hormone buffer’ (41-44). Therefore, after model establishment, higher DHEA levels may be associated with inhibition of DHEA conversion by T. wilfordii. However, prior to model establishment, moxibustion treatment may significantly reduce DHEA, indicating that DHEA may be one of the targets, revealing a mechanism underlying the prevention of POF by moxibustion.

The present study also indicated that AR expression in the model group rats was lower than that prior to model establishment, while AR expression in the two moxibustion groups was higher than that in the model group. AR is an important essential in androgen-mediated signaling pathways. Studies have indicated that the female model of overall AR knockout exhibited reproductive defects, follicular development disorders and POF (45,46). AR may promote follicular development through two pathways (6). First, it induces miR-125b expression, which inhibits granulose cell apoptosis, avoiding follicular atresia. Furthermore, it enhances FSHR expression, increases FSH sensitivity and promotes granulosa cell proliferation and FSH-mediated follicular growth and development. The present study also investigated the effect of moxibustion on the expression levels of FSHR and miR-125b. It was observed that the expression levels of FSHR and miR-125b in the model group were lower than those prior to model establishment, but the results for the two moxibustion groups were different. The content of miR-125b in moxibustion group 1 was significantly higher than that in the model group, while the miR-125b level in moxibustion group 2 was the same as that in the model group. However, the changes in the FSHR content were the opposite. In brief, the FSHR levels in moxibustion group 1 were the same as those in the model group, while the FSHR levels in moxibustion group 2 were significantly higher than those in the model group and even significantly higher than those in the blank group. Therefore, it may be speculated that moxibustion intervention prior to model establishment and at the early stage of model establishment may improve ovarian function via modulating different AR signaling pathways. Moxibustion treatment prior to model establishment is a preventive measure before disease onset and its function may be related to the delayed follicular atresia; moxibustion treatment at the early stage of model establishment is a treatment method for the early disease stage and its function may be related to an increase of FSH sensitivity. Therefore, it may explain why the outcomes of moxibustion group 1 and moxibustion group 2 were different even though the moxibustion regimens, sites and degree of stimulation were the same for the two moxibustion groups. Changes occurred in the acupoints' functional status after disease onset and action pathways change accordingly, which manifested as ‘enhanced’ acupoint functions, resulting in ‘large responses to small stimulations’ (47,48). Studies have indicated that acupuncture also has a regulatory function on the rat HPOA under physiological conditions (49), which may explain why the FSHR levels in the moxibustion group 2 were significantly higher than those in the blank group of the present study.

A limitation of the study was that no placebo moxibustion was performed in a designated sham group. This problem will be addressed in in future studies. A higher concentration of chloral hydrate was more likely to cause abdominal inflammation, which could affect the ovaries that were harvested. Therefore, chloral hydrate with concentration of <5% may be used for anesthesia in future studies.

In summary, the present study suggested that moxibustion intervention both prior to disease onset and at the early disease stage improved ovarian function and their protective roles are associated with AR-mediated androgen balance. However, the effects and mechanisms of the two moxibustion interventions are different. It may be speculated that to achieve the same ovarian protection effect, the treatment course of moxibustion prior to disease onset should be longer than that of moxibustion at the early disease stage; however, the appropriate duration of treatment and the time-effect relationship require to be studied further.

Acknowledgements

Not applicable.

Funding

Funding: The present study was supported by the National Natural Science Foundation of China (grant nos. 81603674, 81873371 and 81804179), the Natural Science Foundation of Jiangsu Province of China (grant no. BK20161049), and Nanjing University of Chinese Medicine ‘Construction Project of Superior Nursing Discipline in Jiangsu Universities’ (grant no. 2019YSHL057).

Availability of data and materials

The datasets used and/or analyzed during the current study are available from the corresponding author upon reasonable request.

Authors' contributions

XJ was responsible for experimental design, and was a major contributor in writing the manuscript. JC, JS and YM were responsible for collecting and analyzing data. XL, QL, HB and YL were responsible for moxibustion and index detection. YX was responsible for experimental design and paper revision. XJ and JS confirm the authenticity of all the raw data. All authors have read and approved the final manuscript.

Ethics approval and consent to participate

All experimental procedures were approved by the Animal Care and Use Committee of Nanjing University of Chinese Medicine (Nanjing, China; no. ACU170709).

Patient consent for publication

Not applicable.

Competing interests

The authors declare that they have no competing interests.

References

1 

Devine K, Mumford SL, Wu M, DeCherney AH, Hill MJ and Propst A: Diminished ovarian reserve in the United States assisted reproductive technology population: Diagnostic trends among 181,536 cycles from the Society for assisted reproductive technology clinic outcomes reporting system. Fertil Steril. 104:612–619.e3. 2015.PubMed/NCBI View Article : Google Scholar

2 

Greene AD, Patounakis G and Segars JH: Genetic associations with diminished ovarian reserve: A systematic review of the literature. J Assist Reprod Genet. 31:935–946. 2014.PubMed/NCBI View Article : Google Scholar

3 

Zhao M, Feng F, Chu C, Yue W and Li L: A novel EIF4ENIF1 mutation associated with a diminished ovarian reserve and premature ovarian insufficiency identified by whole-exome sequencing. J Ovarian Res. 12(119)2019.PubMed/NCBI View Article : Google Scholar

4 

Gleicher N, Kim A, Weghofer A, Kushnir VA, Shohat-Tal A, Lazzaroni E, Lee HJ and Barad DH: Hypoandrogenism in association with diminished functional ovarian reserve. Hum Reprod. 28:1084–1091. 2013.PubMed/NCBI View Article : Google Scholar

5 

Vodo S, Bechi N, Petroni A, Muscoli C and Aloisi AM: Testosterone-induced effects on lipids and inflammation. Mediators Inflamm. 2013(183041)2013.PubMed/NCBI View Article : Google Scholar

6 

Sen A, Prizant H, Light A, Biswas A, Hayes E, Lee HJ, Barad D, Gleicher N and Hammes SR: Androgens regulate ovarian follicular development by increasing follicle stimulating hormone receptor and microRNA-125b expression. Proc Natl Acad Sci USA. 111:3008–3013. 2014.PubMed/NCBI View Article : Google Scholar

7 

Prizant H, Gleicher N and Sen A: Androgen actions in the ovary: Balance is key. J Endocrinol. 222:R141–R151. 2014.PubMed/NCBI View Article : Google Scholar

8 

Shi XL, Zhao C, Yang S, Hu XY and Liu SM: Moxibustion reduces ovarian granulosa cell apoptosis associated with perimenopause in a natural aging rat model. Evid Based Complement Alternat Med. 2015(742914)2015.PubMed/NCBI View Article : Google Scholar

9 

Zhang CR, Deng JL, Zhu WN, Miao MX, Shen WW, Cao SJ and Tang Y: Involvement of PI 3 K/Akt/mTOR signaling in protective effects of moxibustion for premature ovarian failure in rats. Zhen Ci Yan Jiu. 43:75–79. 2018.PubMed/NCBI View Article : Google Scholar : (In Chinese).

10 

Wu S and Yan J: Clinical observation on premature ovarian failure by warming acupuncture at Zusanli (ST 36) and Guanyuan (CV 4) combined with ginger moxibustion at Baliao points. Zhongguo Zhen Jiu. 38:1267–1271. 2018.PubMed/NCBI View Article : Google Scholar : (In Chinese).

11 

Zhu S, Wang Y, Chang X, Chen H and Jin X: The protective effect of pre-moxibustion on reproductive hormones profile of rats with tripterygium glycosides-induced ovarian damage. Complement Med Res. 27:401–409. 2020.PubMed/NCBI View Article : Google Scholar

12 

Shen J, Shen M, Li Z, Zhang R, Li X and Ai B: Effects of moxibustion at Shenshu (BL 23) on level of sex hormones and AMH in sub-health peri-menopausal women. Zhongguo Zhen Jiu. 37:381–385. 2017.PubMed/NCBI View Article : Google Scholar : (In Chinese).

13 

Yang X, Wang W, Zhang Y, Wang J and Huang F: Moxibustion improves ovary function by suppressing apoptosis events and upregulating antioxidant defenses in natural aging ovary. Life Sci. 229:166–172. 2019.PubMed/NCBI View Article : Google Scholar

14 

Zhang Y, Yu B, Chen J, Zhao Z, Wang Jiali, Huang F, Lin Y, Wang M, Zhang Y and Wei B: Effects of acupuncture on PI3K/Akt/mTOR signaling pathway in rats with premature ovarian failure. Zhongguo Zhen Jiu. 35:53–58. 2015.PubMed/NCBI(In Chinese).

15 

Xia L and Xia Y: Clinical research and the effect mechanism on premature ovarian failure treated with acupuncture in recent 20 years. Zhongguo Zhen Jiu. 38:5653–5670. 2018.PubMed/NCBI View Article : Google Scholar : (In Chinese).

16 

Zhou XL, Xu JJ, Ni YH, Chen XC, Zhang HX, Zhang XM, Liu WJ, Luo LL and Fu YC: SIRT1 activator (SRT1720) improves the follicle reserve and prolongs the ovarian lifespan of diet-induced obesity in female mice via activating SIRT1 and suppressing mTOR signaling. J Ovarian Res. 7(97)2014.PubMed/NCBI View Article : Google Scholar

17 

Ma M, Chen XY, Gu C, Xiao XR, Guo T and Li B: Biochemical changes of oxidative stress in premature ovarian insufficiency induced by tripterygium glycosides. Int J Clin Exp Pathol. 7:8855–8861. 2014.PubMed/NCBI

18 

Zhang T, Yan D, Yang Y, Ma A, Li L, Wang Z, Pan Q and Sun Z: The comparison of animal models for premature ovarian failure established by several different source of inducers. Regul Toxicol Pharmacol. 81:223–232. 2016.PubMed/NCBI View Article : Google Scholar

19 

Guo Y and Fang JQ: Experimental acupuncture. Beijing: China Traditional Medicine Press, pp402-407, 2012.

20 

Machholz E, Mulder G, Ruiz C, Corning BF and Pritchett-Corning KR: Manual restraint and common compound administration routes in mice and rats. J Vis Exp. (2771)2012.PubMed/NCBI View Article : Google Scholar

21 

Buerge T and Weiss T: The laboratory mouse: Handling and restraint. Elsevier, pp517-526, 2004.

22 

Morton DB and Griffiths PH: Guidelines on the recognition of pain, distress and discomfort in experimental animals and an hypothesis for assessment. Vet Rec. 116:431–436. 1985.PubMed/NCBI View Article : Google Scholar

23 

Livak KJ and Schmittgen TD: Analysis of relative gene expression data using real-time quantitative PCR and the 2(-Delta Delta C(T)) method. Methods. 25:402–408. 2001.PubMed/NCBI View Article : Google Scholar

24 

Wang Q, Lu G, Xie Z, Xie ZJ, Li HX and Shen MH: Effect of moxibustion on Nrf2/HO-1 signaling pathway in rats with diminished ovarian reserve. Zhongguo Zhen Jiu. 41:53–58. 2021.PubMed/NCBI View Article : Google Scholar : (In Chinese).

25 

Li X and Xu CJ: Diseases of the female reproductive system 1nd edition. Beijing: People's Medical Publishing House, pp1-4, 2015.

26 

Galey-Fontaine J, Cédrin-Durnerin I, Chaïbi R, Massin N and Hugues JN: Age and ovarian reserve are distinct predictive factors of cycle outcome in low responders. Reprod Biomed Online. 10:94–99. 2005.PubMed/NCBI View Article : Google Scholar

27 

Shatavi SV, Llanes B and Luborsky JL: Association of unexplained infertility with gonadotropin and ovarian antibodies. Am J Reprod Immunol. 56:286–291. 2006.PubMed/NCBI View Article : Google Scholar

28 

Cohen J, Chabbert-Buffet N and Darai E: Diminished ovarian reserve, premature ovarian failure, poor ovarian responder-a plea for universal definitions. J Assist Reprod Genet. 32:1709–1712. 2015.PubMed/NCBI View Article : Google Scholar

29 

Li HF and Tan Y: Discussion on the prevention and treatment of ovarian reserve function decline from the idea of treating pre-disease. J Tradit Chin Med. 31:155–157. 2016.

30 

Huang XC, Cao XC and Wang XY: Evaluation and revision of TCM guidelines on premature ovarian failure. Henan Tradit Chin Med. 39:82–86. 2019.

31 

Liao HH, Zhao Y and Shi Y: ZHANG Yu-zhen's ideas and approaches concerning treatment of premature ovarian failure. Glob Tradit Chin Med. 8:780–782. 2015.

32 

Meng JC and Wang XH: Internal classic. Plain questions 1nd edition. Shanghai: Shanghai Science and Technology Press, pp12-20, 2019.

33 

Xu H, Zeng L, Yang R, Feng Y, Li R and Qiao J: Retrospective cohort study: AMH is the best ovarian reserve markers in predicting ovarian response but has unfavorable value in predicting clinical pregnancy in GnRH antagonist protocol. Arch Gynecol Obstet. 295:763–770. 2017.PubMed/NCBI View Article : Google Scholar

34 

Zebitay AG, Cetin O, Verit FF, Keskin S, Sakar MN, Karahuseyinoglu S, Ilhan G and Sahmay S: The role of ovarian reserve markers in prediction of clinical pregnancy. J Obstet Gynaecol. 37:492–497. 2017.PubMed/NCBI View Article : Google Scholar

35 

Du EQ, Gao X and Shang L: Assessments of anti-mullerian hormone combining with FSH and FSH/LH in the advanced maternal women during the reproductive year with ovarian reserve. Med J West China. 30:701–703. 2018.

36 

Zhang H, Luo Q, Lu X, Yin N, Zhou D, Zhang L, Zhao W, Wang D, Du P, Hou Y, et al: Effects of hPMSCs on granulosa cell apoptosis and AMH expression and their role in the restoration of ovary function in premature ovarian failure mice. Stem Cell Res Ther. 9(20)2018.PubMed/NCBI View Article : Google Scholar

37 

Lunding SA, Aksglaede L, Anderson RA, Main KM, Juul A, Hagen CP and Pedersen AT: AMH as predictor of premature ovarian insufficiency: A longitudinal study of 120 turner syndrome patients. J Clin Endocrinol Metab. 100:E1030–E1038. 2015.PubMed/NCBI View Article : Google Scholar

38 

Song JM: Women testosterone levels and ovarian reserve evaluation index and the correlation of IVF outcome studies. Kunming: Kunming Medical University, pp26-27, 2016.

39 

Walters KA and Handelsman DJ: Role of androgens in the ovary. Mol Cell Endocrinol. 465:36–47. 2018.PubMed/NCBI View Article : Google Scholar

40 

Gleicher N, Weghofer A, Lee IH and Barad DH: FMR1 genotype with autoimmunity-associated polycystic ovary-like phenotype and decreased pregnancy chance. PLoS One. 5(e15303)2010.PubMed/NCBI View Article : Google Scholar

41 

Qin JC, Fan L and Qin AP: The effect of dehydroepiandrosterone (DHEA) supplementation on women with diminished ovarian reserve (DOR) in IVF cycle: Evidence from a meta-analysis. J Gynecol Obstet Hum Reprod. 46:1–7. 2017.PubMed/NCBI View Article : Google Scholar

42 

Burger HG: Androgen production in women. Fertil Steril. 77 (Suppl 4):S3–S5. 2002.PubMed/NCBI View Article : Google Scholar

43 

Labrie F and Labrie C: DHEA and intracrinology at menopause, a positive choice for evolution of the human species. Climacteric. 16:205–213. 2013.PubMed/NCBI View Article : Google Scholar

44 

Gleicher N and Barad DH: Dehydroepiandrosterone (DHEA) supplementation in diminished ovarian reserve (DOR). Reprod Biol Endocrinol. 9(67)2011.PubMed/NCBI View Article : Google Scholar

45 

Walters KA, Allan CM, Jimenez M, Lim PR, Davey RA, Zajac JD, Illingworth P and Handelsman DJ: Female mice haploinsufficient for an inactivated androgen receptor (AR) exhibit age-dependent defects that resemble the AR null phenotype of dysfunctional late follicle development, ovulation, and fertility. Endocrinology. 148:3674–3684. 2007.PubMed/NCBI View Article : Google Scholar

46 

Walters KA, Middleton LJ, Joseph SR, Hazra R, Jimenez M, Simanainen U, Allan CM and Handelsman DJ: Targeted loss of androgen receptor signaling in murine granulosa cells of preantral and antral follicles causes female subfertility. Biol Reprod. 87(151)2012.PubMed/NCBI View Article : Google Scholar

47 

Zhu B: The plasticity of acupoint. Zhongguo Zhen Jiu. 35:1203–1208. 2015.PubMed/NCBI(In Chinese).

48 

Xu B and Han X: Discussion on primordial and sensitized states of acupuncture points. Zhen Ci Yan Jiu. 43:273–276. 2018.PubMed/NCBI View Article : Google Scholar : (In Chinese).

49 

Zhu H, Nan S, Suo C, Zhang Q, Hu M, Chen R, Wan J, Li M, Chen J and Ding M: Electro-acupuncture affects the activity of the hypothalamic-pituitary-ovary axis in female rats. Front Physiol. 10(466)2019.PubMed/NCBI View Article : Google Scholar

Related Articles

  • Abstract
  • View
  • Download
  • Twitter
Copy and paste a formatted citation
Spandidos Publications style
Jin X, Cheng J, Shen J, Lv X, Li Q, Mu Y, Bai H, Liu Y and Xia Y: Moxibustion improves ovarian function based on the regulation of the androgen balance Corrigendum in /10.3892/etm.2022.11113. Exp Ther Med 22: 1230, 2021.
APA
Jin, X., Cheng, J., Shen, J., Lv, X., Li, Q., Mu, Y. ... Xia, Y. (2021). Moxibustion improves ovarian function based on the regulation of the androgen balance Corrigendum in /10.3892/etm.2022.11113. Experimental and Therapeutic Medicine, 22, 1230. https://doi.org/10.3892/etm.2021.10664
MLA
Jin, X., Cheng, J., Shen, J., Lv, X., Li, Q., Mu, Y., Bai, H., Liu, Y., Xia, Y."Moxibustion improves ovarian function based on the regulation of the androgen balance Corrigendum in /10.3892/etm.2022.11113". Experimental and Therapeutic Medicine 22.5 (2021): 1230.
Chicago
Jin, X., Cheng, J., Shen, J., Lv, X., Li, Q., Mu, Y., Bai, H., Liu, Y., Xia, Y."Moxibustion improves ovarian function based on the regulation of the androgen balance Corrigendum in /10.3892/etm.2022.11113". Experimental and Therapeutic Medicine 22, no. 5 (2021): 1230. https://doi.org/10.3892/etm.2021.10664
Copy and paste a formatted citation
x
Spandidos Publications style
Jin X, Cheng J, Shen J, Lv X, Li Q, Mu Y, Bai H, Liu Y and Xia Y: Moxibustion improves ovarian function based on the regulation of the androgen balance Corrigendum in /10.3892/etm.2022.11113. Exp Ther Med 22: 1230, 2021.
APA
Jin, X., Cheng, J., Shen, J., Lv, X., Li, Q., Mu, Y. ... Xia, Y. (2021). Moxibustion improves ovarian function based on the regulation of the androgen balance Corrigendum in /10.3892/etm.2022.11113. Experimental and Therapeutic Medicine, 22, 1230. https://doi.org/10.3892/etm.2021.10664
MLA
Jin, X., Cheng, J., Shen, J., Lv, X., Li, Q., Mu, Y., Bai, H., Liu, Y., Xia, Y."Moxibustion improves ovarian function based on the regulation of the androgen balance Corrigendum in /10.3892/etm.2022.11113". Experimental and Therapeutic Medicine 22.5 (2021): 1230.
Chicago
Jin, X., Cheng, J., Shen, J., Lv, X., Li, Q., Mu, Y., Bai, H., Liu, Y., Xia, Y."Moxibustion improves ovarian function based on the regulation of the androgen balance Corrigendum in /10.3892/etm.2022.11113". Experimental and Therapeutic Medicine 22, no. 5 (2021): 1230. https://doi.org/10.3892/etm.2021.10664
Follow us
  • Twitter
  • LinkedIn
  • Facebook
About
  • Spandidos Publications
  • Careers
  • Cookie Policy
  • Privacy Policy
How can we help?
  • Help
  • Live Chat
  • Contact
  • Email to our Support Team