Spandidos Publications Logo
  • About
    • About Spandidos
    • Aims and Scopes
    • Abstracting and Indexing
    • Editorial Policies
    • Reprints and Permissions
    • Job Opportunities
    • Terms and Conditions
    • Contact
  • Journals
    • All Journals
    • Oncology Letters
      • Oncology Letters
      • Information for Authors
      • Editorial Policies
      • Editorial Board
      • Aims and Scope
      • Abstracting and Indexing
      • Bibliographic Information
      • Archive
    • International Journal of Oncology
      • International Journal of Oncology
      • Information for Authors
      • Editorial Policies
      • Editorial Board
      • Aims and Scope
      • Abstracting and Indexing
      • Bibliographic Information
      • Archive
    • Molecular and Clinical Oncology
      • Molecular and Clinical Oncology
      • Information for Authors
      • Editorial Policies
      • Editorial Board
      • Aims and Scope
      • Abstracting and Indexing
      • Bibliographic Information
      • Archive
    • Experimental and Therapeutic Medicine
      • Experimental and Therapeutic Medicine
      • Information for Authors
      • Editorial Policies
      • Editorial Board
      • Aims and Scope
      • Abstracting and Indexing
      • Bibliographic Information
      • Archive
    • International Journal of Molecular Medicine
      • International Journal of Molecular Medicine
      • Information for Authors
      • Editorial Policies
      • Editorial Board
      • Aims and Scope
      • Abstracting and Indexing
      • Bibliographic Information
      • Archive
    • Biomedical Reports
      • Biomedical Reports
      • Information for Authors
      • Editorial Policies
      • Editorial Board
      • Aims and Scope
      • Abstracting and Indexing
      • Bibliographic Information
      • Archive
    • Oncology Reports
      • Oncology Reports
      • Information for Authors
      • Editorial Policies
      • Editorial Board
      • Aims and Scope
      • Abstracting and Indexing
      • Bibliographic Information
      • Archive
    • Molecular Medicine Reports
      • Molecular Medicine Reports
      • Information for Authors
      • Editorial Policies
      • Editorial Board
      • Aims and Scope
      • Abstracting and Indexing
      • Bibliographic Information
      • Archive
    • World Academy of Sciences Journal
      • World Academy of Sciences Journal
      • Information for Authors
      • Editorial Policies
      • Editorial Board
      • Aims and Scope
      • Abstracting and Indexing
      • Bibliographic Information
      • Archive
    • International Journal of Functional Nutrition
      • International Journal of Functional Nutrition
      • Information for Authors
      • Editorial Policies
      • Editorial Board
      • Aims and Scope
      • Abstracting and Indexing
      • Bibliographic Information
      • Archive
    • International Journal of Epigenetics
      • International Journal of Epigenetics
      • Information for Authors
      • Editorial Policies
      • Editorial Board
      • Aims and Scope
      • Abstracting and Indexing
      • Bibliographic Information
      • Archive
    • Medicine International
      • Medicine International
      • Information for Authors
      • Editorial Policies
      • Editorial Board
      • Aims and Scope
      • Abstracting and Indexing
      • Bibliographic Information
      • Archive
  • Articles
  • Information
    • Information for Authors
    • Information for Reviewers
    • Information for Librarians
    • Information for Advertisers
    • Conferences
  • Language Editing
Spandidos Publications Logo
  • About
    • About Spandidos
    • Aims and Scopes
    • Abstracting and Indexing
    • Editorial Policies
    • Reprints and Permissions
    • Job Opportunities
    • Terms and Conditions
    • Contact
  • Journals
    • All Journals
    • Biomedical Reports
      • Information for Authors
      • Editorial Policies
      • Editorial Board
      • Aims and Scope
      • Abstracting and Indexing
      • Bibliographic Information
      • Archive
    • Experimental and Therapeutic Medicine
      • Information for Authors
      • Editorial Policies
      • Editorial Board
      • Aims and Scope
      • Abstracting and Indexing
      • Bibliographic Information
      • Archive
    • International Journal of Epigenetics
      • Information for Authors
      • Editorial Policies
      • Editorial Board
      • Aims and Scope
      • Abstracting and Indexing
      • Bibliographic Information
      • Archive
    • International Journal of Functional Nutrition
      • Information for Authors
      • Editorial Policies
      • Editorial Board
      • Aims and Scope
      • Abstracting and Indexing
      • Bibliographic Information
      • Archive
    • International Journal of Molecular Medicine
      • Information for Authors
      • Editorial Policies
      • Editorial Board
      • Aims and Scope
      • Abstracting and Indexing
      • Bibliographic Information
      • Archive
    • International Journal of Oncology
      • Information for Authors
      • Editorial Policies
      • Editorial Board
      • Aims and Scope
      • Abstracting and Indexing
      • Bibliographic Information
      • Archive
    • Medicine International
      • Information for Authors
      • Editorial Policies
      • Editorial Board
      • Aims and Scope
      • Abstracting and Indexing
      • Bibliographic Information
      • Archive
    • Molecular and Clinical Oncology
      • Information for Authors
      • Editorial Policies
      • Editorial Board
      • Aims and Scope
      • Abstracting and Indexing
      • Bibliographic Information
      • Archive
    • Molecular Medicine Reports
      • Information for Authors
      • Editorial Policies
      • Editorial Board
      • Aims and Scope
      • Abstracting and Indexing
      • Bibliographic Information
      • Archive
    • Oncology Letters
      • Information for Authors
      • Editorial Policies
      • Editorial Board
      • Aims and Scope
      • Abstracting and Indexing
      • Bibliographic Information
      • Archive
    • Oncology Reports
      • Information for Authors
      • Editorial Policies
      • Editorial Board
      • Aims and Scope
      • Abstracting and Indexing
      • Bibliographic Information
      • Archive
    • World Academy of Sciences Journal
      • Information for Authors
      • Editorial Policies
      • Editorial Board
      • Aims and Scope
      • Abstracting and Indexing
      • Bibliographic Information
      • Archive
  • Articles
  • Information
    • For Authors
    • For Reviewers
    • For Librarians
    • For Advertisers
    • Conferences
  • Language Editing
Login Register Submit
  • This site uses cookies
  • You can change your cookie settings at any time by following the instructions in our Cookie Policy. To find out more, you may read our Privacy Policy.

    I agree
Search articles by DOI, keyword, author or affiliation
Search
Advanced Search
presentation
Experimental and Therapeutic Medicine
Join Editorial Board Propose a Special Issue
Print ISSN: 1792-0981 Online ISSN: 1792-1015
Journal Cover
June-2022 Volume 23 Issue 6

Full Size Image

Sign up for eToc alerts
Recommend to Library

Journals

International Journal of Molecular Medicine

International Journal of Molecular Medicine

International Journal of Molecular Medicine is an international journal devoted to molecular mechanisms of human disease.

International Journal of Oncology

International Journal of Oncology

International Journal of Oncology is an international journal devoted to oncology research and cancer treatment.

Molecular Medicine Reports

Molecular Medicine Reports

Covers molecular medicine topics such as pharmacology, pathology, genetics, neuroscience, infectious diseases, molecular cardiology, and molecular surgery.

Oncology Reports

Oncology Reports

Oncology Reports is an international journal devoted to fundamental and applied research in Oncology.

Experimental and Therapeutic Medicine

Experimental and Therapeutic Medicine

Experimental and Therapeutic Medicine is an international journal devoted to laboratory and clinical medicine.

Oncology Letters

Oncology Letters

Oncology Letters is an international journal devoted to Experimental and Clinical Oncology.

Biomedical Reports

Biomedical Reports

Explores a wide range of biological and medical fields, including pharmacology, genetics, microbiology, neuroscience, and molecular cardiology.

Molecular and Clinical Oncology

Molecular and Clinical Oncology

International journal addressing all aspects of oncology research, from tumorigenesis and oncogenes to chemotherapy and metastasis.

World Academy of Sciences Journal

World Academy of Sciences Journal

Multidisciplinary open-access journal spanning biochemistry, genetics, neuroscience, environmental health, and synthetic biology.

International Journal of Functional Nutrition

International Journal of Functional Nutrition

Open-access journal combining biochemistry, pharmacology, immunology, and genetics to advance health through functional nutrition.

International Journal of Epigenetics

International Journal of Epigenetics

Publishes open-access research on using epigenetics to advance understanding and treatment of human disease.

Medicine International

Medicine International

An International Open Access Journal Devoted to General Medicine.

Journal Cover
June-2022 Volume 23 Issue 6

Full Size Image

Sign up for eToc alerts
Recommend to Library

  • Article
  • Citations
    • Cite This Article
    • Download Citation
    • Create Citation Alert
    • Remove Citation Alert
    • Cited By
  • Similar Articles
    • Related Articles (in Spandidos Publications)
    • Similar Articles (Google Scholar)
    • Similar Articles (PubMed)
  • Download PDF
  • Download XML
  • View XML
Case Report Open Access

Middle cranial fossa trigeminal schwannoma resection through endoscopic transnasal maxillary sinus approach: A case report and literature review

  • Authors:
    • Chao Xu
    • Pan Wang
    • Jun-Wei Wang
    • Wu-Jun Feng
    • Nan Wu
  • View Affiliations / Copyright

    Affiliations: Department of Neurosurgery, Chongqing General Hospital, University of Chinese Academy of Sciences, Chongqing 401147, P.R. China
    Copyright: © Xu et al. This is an open access article distributed under the terms of Creative Commons Attribution License.
  • Article Number: 405
    |
    Published online on: April 21, 2022
       https://doi.org/10.3892/etm.2022.11332
  • Expand metrics +
Metrics: Total Views: 0 (Spandidos Publications: | PMC Statistics: )
Metrics: Total PDF Downloads: 0 (Spandidos Publications: | PMC Statistics: )
Cited By (CrossRef): 0 citations Loading Articles...

This article is mentioned in:



Abstract

The endoscopic transnasal maxillary sinus approach is usually performed in resecting tumors located in the pterygopalatine fossa and infratemporal fossa, but is rarely used in the resection of lesions in the middle cranial fossa. Because of the complicated anatomical structure of the middle cranial fossa, trigeminal schwannomas (TSs) located in this region are usually dissected through conventional craniotomy surgical approaches; however, the endoscopic transnasal maxillary sinus approach can be used in resection of middle cranial fossa TSs. The current study presented the case of a 59‑year‑old man who suffered intermittent headaches for 2 years without other notable medical history and neurological abnormalities. The patient was diagnosed with a middle cranial fossa TS. After imaging and assessment of anatomical features, the tumor was totally resected through the transnasal maxillary sinus approach. Following surgery, the symptoms were relieved and the patient returned to a normal life. Light numbness was complained of in the distribution area of the maxillary nerve of the right side of the face, but this was gradually relieved. Combined with a literature review, the present case indicated that the endoscopic transnasal maxillary sinus approach may provide a safer and more direct option for resecting middle cranial fossa lesions, which is worthy of increased clinical application.

Introduction

Schwannomas are rare intracranial tumors that originate from Schwann cells and are rarely malignant. Trigeminal schwannomas (TSs) are the second most common type of intracranial tumor, comprising 0.2-1.0% of intracranial primary tumors and 0.8-8.0% of intracranial schwannomas (1-3). Intracranial TSs often lead to facial numbness caused by trigeminal nerve dysfunction, trigeminal neuralgia and paralysis of other cranial nerves that follows tumor compression. Notably, symptoms of TS are often related to high intracranial pressure, which can be measured by cranial radiological imaging, such as magnetic resonance imaging (MRI) and computed tomography (CT); however, pathological diagnosis is the gold standard. Histologically, schwannomas are characterized by broad interlacing ribbons of extended spindle cells that produce a palisading pattern of nuclei around a central mass of cytoplasm. Detection of S100 is required to establish the neural origin of the tumor (4). Anatomically, the majority of TSs arise from the Gasserian ganglion and spread to the intradural and epidural cavities (5). Because of the complicated anatomical structure, TSs located in the middle cranial fossa are usually dissected through conventional craniotomy surgical approaches (6). Due to the rapid development and wide application of endoscopic technology, minimally invasive endoscopic surgeries (2) and endoscopic-assisted surgeries (7) have received more attention regarding the treatment of TSs. The endoscopic transnasal maxillary sinus approach is an operation that has been used to resect tumors located in the pterygopalatine fossa (PPF) (8). Although rarely reported, this approach can also be used to resect TSs located in the middle cranial fossa (9). The present report focused on the transnasal maxillary sinus approach in dealing with lesions located in the middle cranial fossa, which is worthy of more clinical application.

Case report

Case

A 59-year-old man with a 2-year history of progressive intermittent headaches without other noteworthy medical or family history was admitted to the Department of Neurosurgery, Chongqing General Hospital (Chongqing, China) in May 2019. A neurological test showed no abnormalities. Radiography indicated that there was a spherical lesion located in the right middle fossa of the cranium with eggshell calcification (Fig. 1) that was diagnosed as a TS located in Meckel's cave. The right cavernous sinus and internal carotid artery (ICA) that were adjacent to the lesion were compressed and displaced. CT angiography (CTA) excluded vascular abnormalities.

Figure 1

Pre-operative imaging of a TS located in the right middle cranial fossa. (A) Transverse section of the T2-weighted image indicated the position of the TS and the red arrow indicates the flow void in the ICA, which was suppressed by TS. (B) Enhanced transverse section of magnetic resonance imaging showed the direct relationship between the TS and ICA (red arrow indicates the ICA enhanced by contrast agent). (C) Transverse section of the CT scan showed the relationship among the TS, the posterior wall of the maxillary sinus and the lateral wall of the sphenoid sinus (red dotted line represents the lateral wall of the sphenoid sinus; red arrow indicates the eggshell calcification). (D) Coronal section of the CT scan showed that the TS was closely adjacent to the lateral wall of the sphenoid sinus (red dotted line represents the lateral wall of the sphenoid sinus and the red arrow indicates eggshell calcification). (E) Sagittal section of the CT scan showed that the TS was closely adjacent to the posterior wall of the maxillary sinus (red dotted line represents the posterior wall of the maxillary sinus). (F) Cerebral angiography showed that cerebral vessels were in a normal state excluding vascular abnormalities. (white dotted zone indicates the position of the tumor). CT, computed tomography; ICA, intracranial carotid artery; TS, trigeminal schwannoma.

Given that the lesion was next to the lateral wall of the sphenoid sinus and posterior wall of the maxillary sinus, the endoscopic transnasal maxillary sinus approach was chosen to mitigate operative injury as much as possible. After induction of anesthesia, the patient's head was placed in a supine position, tilted 15˚ to the right and unilateral endonasal surgery was performed. Epinephrine (1:100,000) gauzes were plugged into the right nasal cavity, thus decongesting the branches of the sphenopalatine artery. The right middle turbinate was slightly lifted and suspended. A 0˚ neuroendoscope was inserted into the middle nasal meatus and the opening of the maxillary sinus was visualized. To improve endoscopic vision, the openings of the sphenoid sinus and maxillary sinus were enlarged, and the endoscope was allowed to enter the maxillary sinus. By removing the posterior wall of the maxillary sinus and the perpendicular plate of the palatine bone, the PPF and pterygopalatine ganglion were exposed. The position of the Vidian canal opening following the Vidian nerve was determined. The Vidian nerve and artery were cut off to extend the operative space, and the foramen rotundum was exposed supra-laterally. By removing the bone of the skull base that was centered with the foramen rotundum, the TS was rapidly exposed. After being decompressed intratumorally, the tumor was completely peeled from the surrounding tissues and a piece of calcified bone slice was removed. A vertical segment of the petrous ICA was observed after the tumor was totally resected (Fig. 2). The residual cavity was compressed using a gelatin sponge to meticulously prevent hemostasis, after which, the endoscope was removed. The area covering the expanded maxillary sinus opening was resettled and the anatomical structure of the nasal cavity was reconstructed. Then, the right nostril was packed tightly.

Figure 2

Endoscopic resection of the TS in the right middle cranial fossa through the transnasal maxillary sinus approach. (A) Endoscopic 0˚ lens entered the right meatus nasi medius and enlarged the opening of the MS (yellow dotted line indicates the edge of MS). (B) Removal of the posterior wall of MS and exposure of the PPF (yellow dotted line indicates the PPF zone). (C) Disposal of the nerves and vessels in PPF and further exposure of the opening of the Vidian canal. The yellow dotted line indicates the opening of the Vidian canal. (D) Position of the foramen rotundum was determined (yellow dotted line indicates the opening of the foramen rotundum. (E) Enlarged foramen rotundum and removal of bone from the skull base; the TS was located in the middle cranial fossa. (F) The dura was incised and the body of the tumor was exposed. (G) TS was peeled from surrounding tissues. (H) Intratumoral decompression and piecemeal resection of the tumor. (I) After the TS was totally resected, a vertical segment of the ICA was displayed. CR, clival recess; ICA, internal carotid artery; MS, maxillary sinus; PPF, pterygopalatine fossa; TS, trigeminal schwannoma.

The patient who underwent TS resection via the transnasal maxillary sinus approach experienced headache relief without cerebrospinal fluid (CSF) leakage and ocular movement function disorder. The patient complained of light numbness in the distribution area of the maxillary nerve of the right side of their face, which was gradually relieved during the follow-up. An MRI conducted 1 week after the operation showed that the TS was totally resected without destruction of the sphenoid sinus and intracranial hemorrhage. The residual cavity of the TS was covered by a layer of edema tissue that displayed a higher T2 signal caused by inflammatory responses. The anatomical structure of the brain returned to normal 3 months after the operation (Fig. 3). At the last follow-up, the TS had not relapsed. Self-healing trigeminal neuralgia and paresthesia occasionally occurred in the patient during the follow-up; however, the patient returned to normal life without other symptoms. Postoperative histological analysis illustrated that the tumor was spindle-shaped and arranged in a fence-like manner without karyomitosis, and immunohistochemical staining showed that the TS was positive for SOX-10 and S100, and negative for progesterone receptor (PR). Few cells exhibited CD34 positivity. The Ki-67 labeling index of TS was 1% (data not shown). These findings confirmed that the lesion was a cellular schwannoma that arose around the cavernous sinus (Fig. 4A-D). Written informed consent was obtained from the patient to publish this case report and the accompanying images.

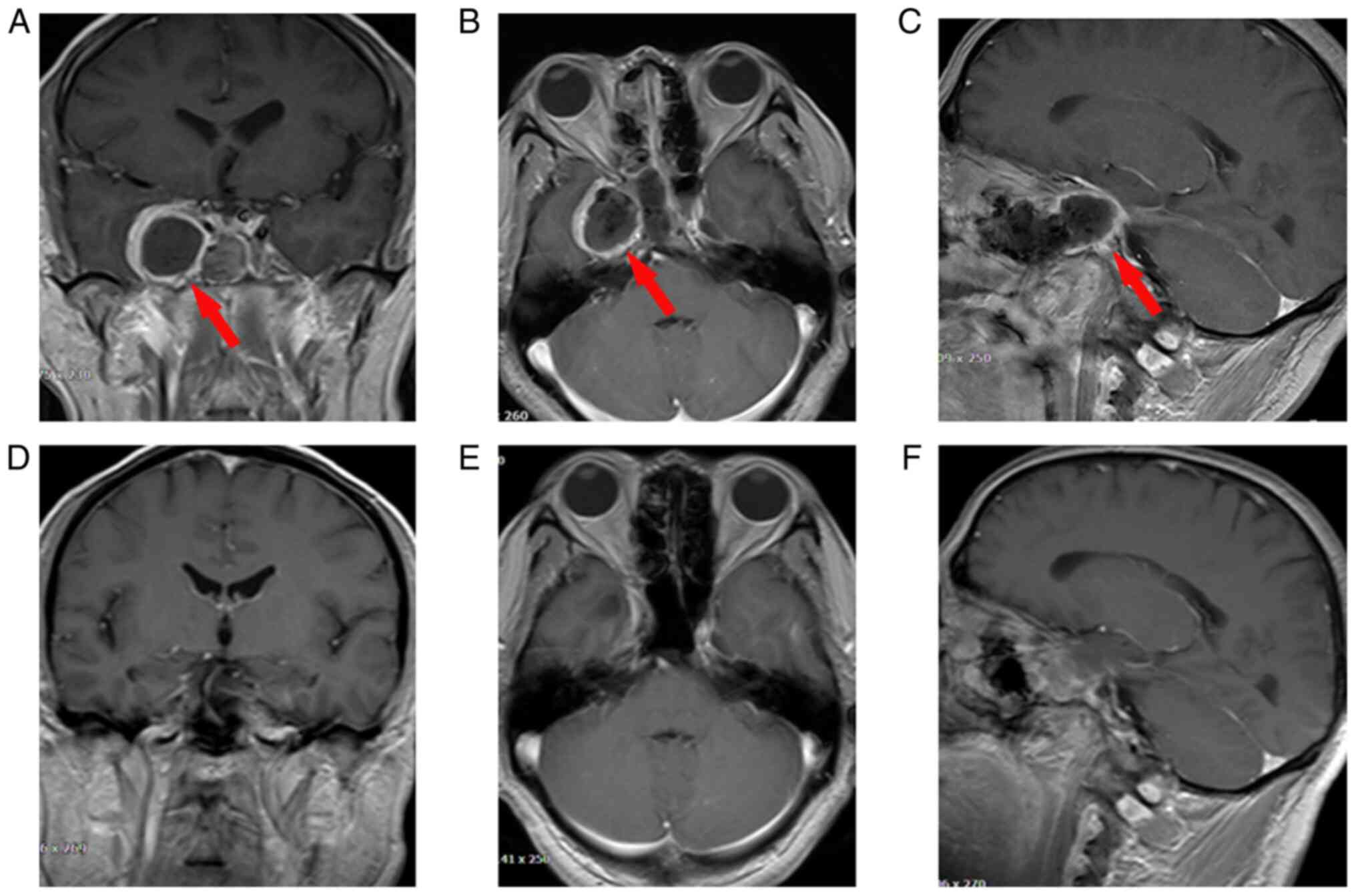
Figure 3

Post-operative imaging. A and D coronal sections, B and E transverse sections and C and F sagittal sections. (A-C) MRI scans taken 1 week after the operation, which indicated that the TS was totally resected without destruction of the sphenoid sinus and intracranial hemorrhage. The posterior wall of the maxillary sinus was removed and the residual cavity of the tumor was covered with a circle of T2 high signal intensity (red arrows indicate the T2 high signal intensity). (D-F) MRI scans taken 3 months after operation, which indicated that the TS residual cavity and the T2 high signal circle had disappeared. The anatomical structure of the brain returned to normal. MRI, magnetic resonance imaging; TS, trigeminal schwannoma.

Figure 4

Pathological appearance of the TS and schematic diagram of the surgical range of the endoscopic transnasal maxillary sinus approach. (A and B) H&E staining of the TS illustrated that the nuclei of the tumor were spindle-shaped and arranged in a fence-like manner without karyomitosis. Individual lymphocytes could be seen in the background (white arrows indicate the lymphocytes). Scale bars, (A) 100 µm and (B) 50 µm. (C) IHC staining illustrated that the TS was positive for SOX-10. Scale bar, 100 µm. (D) IHC staining illustrated that the TS was positive for S100. Scale bar, 100 µm. (E) Schematic diagram of the surgical range of the endoscopic transnasal maxillary sinus approach. The red triangle shows the maximum extension of single-nostril surgery and the yellow triangle shows the maximum extension of two nostril surgery through 0˚ endoscopes. IHC, immunohistochemistry; TS, trigeminal schwannoma.

Pathological examination

The pathological examinations were performed by the Department of Pathology, Chongqing General Hospital. The tumor samples were fixed in room temperature with 4% formaldehyde solution for 24 h and embedded in paraffin, and were then cut into 4-µm sections for H&E staining and immunohistochemical staining. For H&E staining, the sections were deparaffinized by xylene in 60˚C for 2 h, and were stained with 0.5% hematoxylin for 3 min and 0.5% eosin for 3 min in room temperature. Subsequently, the stained sections were dehydrated and observed with a BX51 inverted fluorescence microscope (Olympus Corporation). Immunohistochemical staining of these sections was performed on a BenchMark XT (Roche Diagnostics, Inc.), which is an automatic immunohistochemical staining device. Briefly, the sections were deparaffinization in EZ prep solution (cat. no. 950-102; Ventana Medical Systems, Inc.) at 75˚C for 8 min and the antigen retrieval was performed using Cell Conditioner 1 (cat. no. 950-124; Ventana Medical Systems, Inc.) at 95˚C for 44 min. Then, the endogenous peroxides and protein were blocked by Endogenous Biotin Blocking kit (cat. no. 760-050; Ventana Medical Systems, Inc.) at 37˚C for 4 min. Following primary antibodies were used: Anti-S100 (cat. no. 760-2523; Ventana Medical Systems, Inc.), anti-SOX-10 (cat. no. 383A-78; Cell Marque, Millipore Sigma), anti-Ki-67 (cat. no. 790-4286; Ventana Medical Systems, Inc.), anti-PR (cat. no. 790-4296; Ventana Medical Systems, Inc.) and anti-CD34 (cat. no. 790-2927; Ventana Medical Systems, Inc.). All primary antibodies were prediluted by the suppliers. Primary antibodies were added and incubated for 16 min at 37˚C. Antigen-antibody reactions were visualized using OptiView Amplification kit (cat. no. 760-080; Ventana Medical Systems, Inc.) and OptiView Universal DAB Detection kit (cat. no. 860-099; Ventana Medical Systems, Inc.). All was performed in accordance with the manufacturer's protocols. Post counterstain was incubated with Bluing Reagent (cat. no. 760-2037; Ventana Medical Systems, Inc.) for 8 min at room temperature. The stained sections were observed with BX51 inverted fluorescence microscope (Olympus Corporation).

Radiological examination

The CT plain scans of coronal, sagittal, and transverse images were gathered by Siemens Emotion 16 (Siemens, Germany) with 100 kV. The CTA was gathered with 120 kV, and the data were processed and analyzed via the Siemens syngo.via software (Siemens, Germany). MRI images were obtained using a Siemens Magnetom Trio, A Tim System 3T MRI System (Siemens, Germany). T2-weighted images were obtained from a turbo spin echo sequence with a repetition time (TR) of 5,000 msec, an effective echo time (TE) of 95 msec, a field of view (FOV) of 175x230 cm, an in-plane resolution of 256x224 and a flip angle (FA) of 150. Fluid attenuated inversion recovery images were obtained from a turbo inversion recovery sequence with a TR of 8,460 msec, a TE of 134 msec, a FOV of 134x250 cm, an in-plane resolution of 250x160, and a FA of 150. The enhanced scan images were obtained from a gradient echo sequence with a TR of 204 msec, a TE of 5 msec, a FOV of 141x250 cm, an in-plane resolution of 256x154, and a FA of 150.

Literature review

To review the cases of endoscopic endonasal resection of middle cranial fossa TSs (including TS extended to adjacent fossae, such as Meckel's cave, cavernous sinus, PPF, ITF), the PubMed database (https://pubmed.ncbi.nlm.nih.gov/) was searched and available English literature that met the set requirements was screened. The following terms were searched: [‘cranial fossa, middle (MeSH)’ OR ‘meckel cave’ OR ‘cavernous sinus’] AND [‘neurilemmoma (MeSH)’ OR ‘trigeminal schwannoma’] AND (‘endoscopic’ OR ‘transnasal’ OR ‘endonasal’) and reviews, irrelevant studies (which did not report endoscopic endonasal resection of middle cranial fossa TS) and papers published in other languages (two Chinese and one Russian) were excluded.

Based on the literature review (Table I), 15 articles reporting 106 cases of middle cranial fossa schwannoma resection through endoscopic endonasal approaches were identified between 2008 and 2022 (2,9-22). Most of these cases totally dissected tumors without severe complications. The endoscopic transnasal maxillary sinus approach was used in five cases (9) and obtained great efficacy.

Table I

Previously reported cases of endonasal endoscopic resection of middle cranial fossa TSs.

Table I

Previously reported cases of endonasal endoscopic resection of middle cranial fossa TSs.

First author, yearDiagnosisNumber of casesLocationTreatment approachOutcomeComplications(Refs.)
Kassam, 2009TS6MCFExpanded endoscopic endonasnal approachTotal/subtotalV1 transient deficit/V3 numbness(10)
Prevedello, 2010TS1Meckel's caveEndonasal endoscopic approach with Vidian transpositionTotalNone(11)
Qiuhang, 2014TS4Cavernous sinusNATotalNone(12)
Battaglia, 2014Schwannoma2ITFEndoscopic endonasal transpterygoid transmaxillary approachTotalNone(13)
Raza, 2014TS5Meckel's cave and PCFEndoscopic transpterygoid approachTotal/subtotalCN VI palsy, V1 numbness(14)
Jacquesson, 2015TS1Cavernous sinusEndoscopic transsphenoidal approachTotalHypoesthesia of the maxillary nerve territory(15)
Plzák, 2017Schwannoma2PPF/ITF/MCFEndonasal endoscopic approachTotalV2 hypesthesia, transient trismus(16)
Yang, 2018TS39ITF/PPF/MCF/PPS/ cavernous sinus/ Meckel's caveEndoscopic medial maxillectomy approach/ endoscopic endonasal-assisted sublabial transmaxillary approach/endoscopic endonasal-assisted sublabial transmaxillary combined with septectomyTotalFacial numbness/facial pain/dry eyes/weakness in mastication(17)
Jeon, 2018TS4MCF/Meckel' s caveEndoscopic transorbital approachTotalNone(18)
Zoli, 2018Neuroma5MCF/MCF and PCFEndoscopic transmaxillary-pterygoid approachTotal/subtotalNone(9)
Hardesty, 2018TS2Meckel's caveTranspterygoid approachTotalNone(19)
Park, 2019TS25MCF/MCF and PCFEndoscopic endonasnal approach/endoscopic transorbital approachTotal/subtotalNone(2)
Almomen, 2020TS1ITFEndoscopic medial and posterior walls maxillectomiesTotalNone(20)
Di Somma, 2020TS1Meckel's caveEndoscopic endonasal and transorbital surgeryTotalNone(21)
Wu, 2021TS8MCF and PCFTrans-Meckel's cave approach and transclival approach/trans-Meckel's cave approachTotalV1-2 numbness/VI palsy/ dry eye/mastication weakness(22)

[i] ITF, infratemporal fossa; MCF, middle cranial fossa; PCF, posterior cranial fossa; PPF, pterygopalatine fossa; PPS, parapharyngeal space; TS, trigeminal schwannoma.

Discussion

Operations in the middle cranial fossa are challenging due to the complicated anatomical structure and vital contents. Conventional skull base surgical approaches, such as the lateral approach of the middle cranial fossa or anterior transpetrosal approach, are usually used to resect middle cranial fossa lesions but are often too invasive. Notably, these approaches could result in significant surgical complications with narrow operative corridors (23), including occlusion obstacles, temporalis muscle atrophy, facial lesions, peripheral facial paralysis and temporal lobe retraction (8), whereas endoscopic surgery has an advantage over these approaches in this regard (24). Endonasal endoscopic procedures were first used for pituitary surgery and their use has been gradually extended to other regions; in particular, these procedures are now the major approach for operating on lesions located in the skull base, including the orbit (25), parasellar space (26) and Meckel's cave (27). These surgeries provide access to a wide range of lesions by using the natural surgical corridor of the nasal cavities (28), and surgeons have more space for tumor resection and the fact that they are minimally invasive mean they are considered beneficial for surgeons and patients.

According to the present literature review, endoscopic surgery for dissecting middle cranial fossa TSs can be performed through various approaches. Notably, exploiting the optimal approach for specific lesions is important for surgeons. In the present case report, imaging demonstrated that the tumor was located in Meckel's cave, which is closely adjacent to the posterior wall of the PPF and the lateral wall sphenoid sinus. The single nostril transnasal maxillary sinus approach by two-handed surgery, which is usually used to address lesions located in the PPF (5,8), was adopted in tumor resection. It has been reported that lesions in Meckel's cave could be totally dissected through the endonasal endoscopic transpterygoid or transsphenoidal approach (19,27); however, this may damage the parasellar structures. In the present case, the specific position of the TS increased the probability of reaching the lesion through the nasal-maxillary-PPF-middle fossa corridor. The anatomical studies illustrated the advantages of the middle meatal transantral approach in dealing with lesions located in the PPF and infratemporal fossa (ITF) (29,30), revealing a new line of approach for the lateral part of the skull base (5,8). Exploiting the maxillary sinus and PPF provides a particularly short, direct surgical route to the cavernous sinus and Meckel's cave. The transnasal maxillary sinus approach is centered with PPF and reaches the anterior-lateral part of the middle cranial based on middle meatal transantral approach. Compared with conventional approaches, the transnasal maxillary sinus approach is considered safer and easier to perform due to its full exposure of the tumor at the center of the operative field and direct visualization of the ICA during tumor removal, which extends the application of the transpterygoid approach and transnasal perpendicular plate palatine bone. Compared with two-nostril surgery (operated by three or four hands), single nostril surgery can reach deeper positions and remain closer to the midline without injuring the contralateral nostril and nasal septum, even though it has to sacrifice more operative space (Fig. 4E).

The recommended application of the transnasal maxillary sinus approach is dealing with localized lesions lying on the nasal-maxillary-PPF-middle fossa axis [e.g., meningoencephalocele, schwannoma and meningioma (31)] and its adjacent area, such as the ITF and parapharyngeal space (PPS), according to our experience. As illustrated in the present case, although benign TSs are usually covered by membranes and separated from normal tissue, exposing the tumor located in the middle cranial fossa through the expanded foramen rotundum epidurally could be a reliable selection. Despite studies suggesting that endoscopic methods maximize the chances of complete resection and provide good postoperative surveillance of malignancy (32,33), the prognosis is still uncertain. For low-grade lesions, such as nasopharyngeal adenoid cystic carcinoma (34), cribriform cystadenocarcinomas (35) and smooth muscle neoplasm (36), endonasal endoscopic surgeries have been shown to acquire satisfactory efficacy due to their slow growth and weak invasiveness. Unfortunately, high-grade tumors always infiltrate the surrounding tissues, such as the brain parenchyma and vasculature, and extend to other fossae, which makes their boundaries difficult to recognize and resect completely (37). Moreover, copiously vascularized tumor tissues pose challenges. When the transnasal maxillary sinus approach is performed in the dissection of tumors located in the middle fossa, there is inadequate operative space for controlling unpredictable bleeding that may prove fatal (37). Combined approaches might be a better treatment option for malignancy, which warrants the highest chances of achieving satisfactory tumor resection with a reduced risk of complications (38). Surgeons have adopted combined endoscopic transnasal and anterior transmaxillary approaches in the dissection of nasopharyngeal carcinoma that has extended to the upper PPS (39), and have used the transmaxillary approach in combination with the endonasal endoscopic approach for giant nasoangiofibromas and chondrosarcoma (40). The absolute contraindication of such an approach has rarely been reported although there are still severe complications, including skull base reconstruction failure and intraoperative vascular lesions (38). Variations in the anatomical structure of the maxillary sinus cannot be ignored (41), because doing so would significantly influence surgical decision and complication risk.

Plans to perform an endonasal endoscopic surgery are based on complete and comprehensive evaluations, including the position, anatomical features, and pathological properties, in order to avoid making inappropriate surgical decisions. In the present case, the postoperative histological examination was in accordance with the preoperative diagnosis. It has been reported that the cells of cellular TSs are arranged predominantly in short interlacing fascicles and the nuclei are elongated with a mixture of plump and wavy nuclear morphologies (42,43), which was verified in the present case. However, atypical morphological appearance of schwannomas, such as epithelioid schwannoma, a rare variant of nerve sheath tumor, is also reported (44). Furthermore, immunohistochemical examination of S100 and SOX-10 is an effective tool for schwannoma diagnosis. It has been reported that Ki-67 labeling indices <20%, and S100, SOX-10 and neurofibromin (NF) positivity highly indicate the diagnosis of schwannoma and can exclude peripheral malignant nerve sheath tumors (45). Diffuse S100 positivity is the hallmark of all schwannomas. SOX-10 is a marker of neural crest differentiation that has also been implicated as a neural crest stem cell marker. It has previously been reported that SOX-10 has 99% specificity and S100 has 91% specificity in schwannoma (4,46,47). In the present case, common markers, such as CD34 and PR, were also tested and exhibited negativity, excluding melanoma and endothelial tumors. Some studies have also tested p16, NF (45), glial fibrillary acidic protein, epithelial membrane antigen and HMB45(43). These markers have been regarded as supplementary indices for diagnosis, which have not been widely accepted.

During the operation described in the present study, determining the position of the foramen rotundum and Vidian canal was necessary for the transnasal maxillary sinus approach to reach the middle cranial fossa. Anatomically, the maxillary nerve (CN V2) exits from the foramen rotundum traveling in the upper aspect of the PPF and joining the pterygopalatine ganglion, and then enters the infraorbital fissure. The Vidian nerve is inferomedial to V2, which is made up of greater and deep petrosal nerves (48). Identification of the Vidian nerve from the PPF can guide the surgeon to the anterior genu of the petrous ICA and can prevent the impairment of important neurovascular structures. Clinically, in the present case report, the position of the foramen rotundum was determined by locating the Vidian canal. After the opening of the Vidian canal was exposed, the Vidian nerve and artery were cut off, as the Vidian neurovascular bundle blocked the operative space for positioning and exposing the foramen rotundum. Studies have reported that when the transpterygoid approach is performed to reach the lesions in the petrous apex, Meckel's cave or cavernous sinus, Vidian nerves are usually dissected and the base of the pterygoid plates removed to reveal the petrous ICA (9,14,49).

Vidian nerves are made up of sympathetic and parasympathetic fibers, and are important for the maintenance of lacrimal function (50). However, a clinical study revealed that sacrificing the Vidian nerve during endoscopic endonasal approaches would not result in severe dry eye, although the tear volume has been shown to be reduced 1 month post-operation (51). In the present case, when the opening of the Vidian canal was identified, nerves and arteries were cut off. When the Vidian neurovascular bundle blocked the operative space for positioning and exposing the foramen rotundum, the Vidian canal remained closed intraoperatively; by cutting off the Vidian nerve, there was enough space for exposure of the foramen rotundum and to enable operating in the middle cranial fossa. The present patient did not complain of symptoms related to lacrimal function, such as a reduction in lacrimation or rhinitis, after the operation, which was in accordance with the literature. However, although such symptoms were not observed after the Vidian nerve was sacrificed, keeping it intact is important for a better long-term prognosis. An anatomical study reported that removing the bone of the Vidian canal and retracting the Vidian nerve superiorly was a method to preserve the Vidian nerve (11). Such a technique was considered more suitable for removing lesions located in a deeper position where surgeons need more operative space; however, doing so can increase surgical damage and the risk of CSF leakage.

Following tumor removal, an effective exit strategy is essential to avoid a postoperative CSF leak and its related complications (52,53). A vascularized nasoseptal flap and preoperative lumbar drainage is recommended to prevent CSF leakage (54,55). However, in the present case, preoperative lumbar drainage or an intraoperative nasoseptal flap were not prepared. The right middle turbinate was suspended during the operation, and the area covering the expanded maxillary sinus opening was resettled and the anatomical structure of the nasal cavity was reconstructed. Benefiting from the complicated dural structures, dissection of TS originating from the Gasserian ganglion and their roots would not increase the risk of CSF leakage. It has been reported that Meckel's cave is an evaginated diverticulum of the extension of the posterior fossa dura, with intricate relationships with the surrounding dural layers; however, the architectural relationship among the wall of Meckel's cave, Gasserian ganglion and roots of trigeminal nerves is still uncertain (56). It was inferred that resection of lesions limited to Meckel's cave through endonasal approaches would not lead to CSF leakage because the reflexed dura remained undamaged and the split would be covered by multiple layers of membrane structure; however, this requires further studies for verification. Notably, for tumors in a complex and deep position, cooperation with the ear-nose-throat surgical team is necessary when endonasal endoscopic surgery is performed (38). Although endonasal endoscopic surgeries are a mature technology, widely accepted and used, and have a series of operative standard in neurosurgery, otorhinolaryngologists are more familiar with the anatomical features, have proficient operative skills and rich experience in dealing with extracranial lesions and reconstruction of nasal cavities, which may improve the prognosis and self-perception of patients (57,58).

In conclusion, in the present report, a rare application of the transnasal maxillary sinus approach in the exposure and excision of TSs located in the middle cranial fossa was promoted. Compared with the conventional approach, the transnasal maxillary sinus approach is minimally invasive, provides a more intuitive and shorter route, and has excellent surgical vision and a safe operative space, which is worthy of further exploration and clinical application.

Acknowledgements

Not applicable.

Funding

Funding: No funding was received.

Availability of data and materials

The datasets used and/or analyzed during the current study are available from the corresponding author on reasonable request.

Authors' contributions

CX designed the study and drafted the manuscript. PW, JWW and WJF collected and analyzed the clinical data. NW performed the surgery, designed the study, critically revised the manuscript and contributed to the important intellectual content. All authors confirm the authenticity of all the raw data. All authors read and approved the final manuscript.

Ethics approval and consent to participate

All procedures were performed in in accordance with the 1964 Helsinki declaration and its later amendments or comparable ethical standards. The patient provided written informed consent to publish these features of his case, and the identity of the patient has been protected.

Patient consent for publication

Written informed consent was obtained from the patient for publication of this manuscript and any accompanying images.

Competing interests

The authors declare that they have no competing interests.

References

1 

Gering K, Marx J, Lennartz K, Fischer C, Rajewsky M and Kindler-Röhrborn A: The interaction mode of premalignant schwann and immune effector cells during chemically induced carcinogenesis in the rat peripheral nervous system is strongly influenced by genetic background. Cancer Res. 66:4708–4714. 2006.PubMed/NCBI View Article : Google Scholar

2 

Park H, Hong SD, Kim YH, Hong CK, Woo KI, Yun IS and Kong DS: Endoscopic transorbital and endonasal approach for trigeminal schwannomas: A retrospective multicenter analysis (KOSEN-005). J Neurosurg. 133:467–476. 2020.PubMed/NCBI View Article : Google Scholar

3 

Li M, Wang X, Chen G, Liang J, Guo H, Song G and Bao Y: Trigeminal schwannoma: A single-center experience with 43 cases and review of literature. Br J Neurosurg. 35:49–56. 2021.PubMed/NCBI View Article : Google Scholar

4 

Serhrouchni KI, Chbani L, Hammas N, Kamal D, Fatemi HE, Harmouch T, Alami NEE and Amarti A: Two rare schwannomas of head and neck. Diagn Pathol. 9(27)2014.PubMed/NCBI View Article : Google Scholar

5 

Oberman D, de Almeida GC, Guasti AA and Correa JLA: Endoscopic endonasal resection of schwannoma of pterygopalatine fossa. World Neurosurg. 141(251)2020.PubMed/NCBI View Article : Google Scholar

6 

Wang X, Bao Y, Chen G, Guo H, Li M, Liang J, Bai X and Ling F: Trigeminal schwannomas in middle fossa could breach into subdural space: Report of 4 cases and review of literature. World Neurosurg. 127:e534–e541. 2019.PubMed/NCBI View Article : Google Scholar

7 

Samii M, Alimohamadi M and Gerganov V: Endoscope-assisted retrosigmoid intradural suprameatal approach for surgical treatment of trigeminal schwannomas. Neurosurgery. 10:565–575; discussion 575. 2014.PubMed/NCBI View Article : Google Scholar

8 

Shi J, Chen J, Chen T, Xu X, Jia Z, Ni L, Zhang Y and Shi W: Neuroendoscopic resection of trigeminal schwannoma in the pterygopalatine/infratemporal fossa via the transnasal perpendicular plate palatine bone or transnasal maxillary sinus approach. World Neurosurg. 120:e1011–e1016. 2018.PubMed/NCBI View Article : Google Scholar

9 

Zoli M, Ratti S, Guaraldi F, Milanese L, Pasquini E, Frank G, Billi AM, Manzoli L, Cocco L and Mazzatenta D: Endoscopic endonasal approach to primitive Meckel's cave tumors: A clinical series. Acta Neurochir (Wien). 160:2349–2361. 2018.PubMed/NCBI View Article : Google Scholar

10 

Kassam AB, Prevedello DM, Carrau RL, Snyderman Ch, Gardner P, Osawa S, Seker A and Rhoton AL Jr: The front door to meckel's cave: An anteromedial corridor via expanded endoscopic endonasal approach- technical considerations and clinical series. Neurosurgery. 64 (Suppl 3):ons71–82. 2009.PubMed/NCBI View Article : Google Scholar

11 

Prevedello D, Pinheiro-Neto C, Fernandez-Miranda J, Carrau RL, Snyderman CH, Gardner PA and Kassam AB: Vidian nerve transposition for endoscopic endonasal middle fossa approaches. Neurosurgery. 67:478–484. 2010.PubMed/NCBI View Article : Google Scholar

12 

Qiuhang Z, Hongchuan G, Feng K, Ge CG, Jiantao L, Mingchu L, Yuhai B and Feng L: Resection of the intracavernous sinus tumors using a purely endoscopic endonasal approach. J Craniofac Surg. 25:295–302. 2014.PubMed/NCBI View Article : Google Scholar

13 

Battaglia P, Turri-Zanoni M, Dallan I, Gallo S, Sica E, Padoan G and Castelnuovo P: Endoscopic endonasal transpterygoid transmaxillary approach to the infratemporal and upper parapharyngeal tumors. Otolaryngol Head Neck Surg. 150:696–702. 2014.PubMed/NCBI View Article : Google Scholar

14 

Raza SM, Donaldson AM, Mehta A, Tsiouris AJ, Anand VK and Schwartz TH: Surgical management of trigeminal schwannomas: Defining the role for endoscopic endonasal approaches. Neurosurg Focus. 37(E17)2014.PubMed/NCBI View Article : Google Scholar

15 

Jacquesson T, Berhouma M, Picart T and Jouanneau E: Total removal of a trigeminal schwannoma via the expanded endoscopic endonasal approach. Technical note. Acta Neurochir (Wien). 57:935–938; discussion 938. 2015.PubMed/NCBI View Article : Google Scholar

16 

Plzák J, Kratochvil V, Kešner A, Šurda P, Vlasák A and Zvěřina E: Endoscopic endonasal approach for mass resection of the pterygopalatine fossa. Clinics (Sao Paulo). 72:554–561. 2017.PubMed/NCBI View Article : Google Scholar

17 

Yang L, Hu L, Zhao W, Zhang H, Liu Q and Wang D: Endoscopic endonasal approach for trigeminal schwannomas: Our experience of 39 patients in 10 years. Eur Arch Otorhinolaryngol. 275:735–741. 2018.PubMed/NCBI View Article : Google Scholar

18 

Jeon C, Hong SD, Woo KI, Seol HJ, Nam DH, Lee JII and Kong DS: Use of endoscopic transorbital and endonasal approaches for 360˚ circumferential access to orbital tumors. J Neurosurg. 25:1–10. 2020.PubMed/NCBI View Article : Google Scholar

19 

Hardesty DA, Montaser AS, Carrau RL and Prevedello DM: Limits of endoscopic endonasal transpterygoid approach to cavernous sinus and Meckel's cave. J Neurosurg Sci. 62:332–338. 2018.PubMed/NCBI View Article : Google Scholar

20 

Almomen A, Alyousif A, Ali Z, Yaeesh IA, AlOmirin A, Yahya AA, AlSuqair H and Almolani F: Image-guided endonasal endoscopic excision of Meckel's cave trigeminal schwannoma from cavernous and petrous carotid artery. J Surg Case Rep. 30(rjaa374)2020.PubMed/NCBI View Article : Google Scholar

21 

Di Somma A, Langdon C, de Notaris M, Reyes L, Ortiz-Perez S, Alobid I and Enseñat J: Combined and simultaneous endoscopic endonasal and transorbital surgery for a Meckel's cave schwannoma: Technical nuances of a mini-invasive, multiportal approach. J Neurosurg. 134:1836–1845. 2020.PubMed/NCBI View Article : Google Scholar

22 

Wu X, Xie SH, Tang B, Yang L, Xiao LM, Ding H, Bao YY, Tong ZG and Hong T: Single-stage endoscopic endonasal approach for the complete removal of trigeminal schwannomas occupying both the middle and posterior fossae. Neurosurg Rev. 44:607–616. 2021.PubMed/NCBI View Article : Google Scholar

23 

Amin SM, Fathy H, Hussein A, Kamel M, Hegazy A and Fathy M: Endoscopic endonasal approach to the lateral wall of the cavernous sinus: A cadaveric feasibility study. Ann Otol Rhinol Laryngol. 127:903–911. 2018.PubMed/NCBI View Article : Google Scholar

24 

Hofstetter CP, Singh A, Anand VK, Kacker A and Schwartz TH: The endoscopic, endonasal, transmaxillary transpterygoid approach to the pterygopalatine fossa, infratemporal fossa, petrous apex, and the Meckel cave. J Neurosurg. 113:967–974. 2010.PubMed/NCBI View Article : Google Scholar

25 

Reshef ER, Bleier BS and Freitag SK: The endoscopic transnasal approach to orbital tumors: A review. Semin Ophthalmol. 36:232–240. 2021.PubMed/NCBI View Article : Google Scholar

26 

Lobo B, Zhang X, Barkhoudarian G, Griffiths CF and Kelly DF: Endonasal endoscopic management of parasellar and cavernous sinus meningiomas. Neurosurg Clin N Am. 26:389–401. 2015.PubMed/NCBI View Article : Google Scholar

27 

Jouanneau E, Simon E, Jacquesson T, Sindou M, Tringali S, Messerer M and Berhouma M: The endoscopic endonasal approach to the meckel's cave tumors: Surgical technique and indications. World Neurosurg. 82 (Suppl 6):S155–S161. 2014.PubMed/NCBI View Article : Google Scholar

28 

Verillaud B, Bresson D, Sauvaget E, Mandonnet E, Georges B, Kania R and Herman P: Endoscopic endonasal skull base surgery. Eur Ann Otorhinolaryngol Head Neck Dis. 129:190–196. 2012.PubMed/NCBI View Article : Google Scholar

29 

Cavallo LM, Messina A, Gardner P, Esposito F, Kassam AB, Cappabianca P, de Divitiis E and Tschabitscher M: Extended endoscopic endonasal approach to the pterygopalatine fossa: Anatomical study and clinical considerations. Neurosurg Focus. 19(E5)2005.PubMed/NCBI

30 

Alfieri A, Jho HD, Schettino R and Tschabitscher M: Endoscopic endonasal approach to the pterygopalatine fossa: Anatomic study. Neurosurgery. 52:374–378; discussion 378-380. 2003.PubMed/NCBI View Article : Google Scholar

31 

Kasemsiri P, Carrau RL, Filho LF, Prevedello DM, Otto BA, Old M, de Lara D and Kassam AB: Advantages and limitations of endoscopic endonasal approaches to the skull base. World Neurosurg. 82 (Suppl 6):S12–S21. 2014.PubMed/NCBI View Article : Google Scholar

32 

Oakley GM and Harvey RJ: Endoscopic resection of pterygopalatine fossa and infratemporal fossa malignancies. Otolaryngol Clin North Am. 50:301–313. 2017.PubMed/NCBI View Article : Google Scholar

33 

Kashiwazaki R, Turner MT, Geltzeiler M, Fernandez-Miranda JC, Gardner PA, Snyderman CH and Wang EW: The endoscopic endonasal approach for sinonasal and nasopharyngeal adenoid cystic carcinoma. Laryngoscope. 130:1414–1421. 2020.PubMed/NCBI View Article : Google Scholar

34 

Ramjee VG, Massoth LJ, Richards JP II and McKinney KA: Endoscopic trans-pterygoid resection of a low-grade cribriform cystadenocarcinoma of the infratemporal fossa. World J Otorhinolaryngol Head Neck Surg. 6:115–117. 2020.PubMed/NCBI View Article : Google Scholar

35 

Salmasi V, Reh DD, Blitz AM, Argani P, Ishii M and Gallia GL: Expanded endonasal endoscopic approach for resection of a skull base low-grade smooth muscle neoplasm. Childs Nerv Syst. 28:151–158. 2012.PubMed/NCBI View Article : Google Scholar

36 

Battaglia P, Lambertoni A and Castelnuovo P: Transnasal endoscopic surgery: Surgical techniques and complications. Adv Otorhinolaryngol. 84:46–55. 2020.PubMed/NCBI View Article : Google Scholar

37 

Castelnuovo P, Turri-Zanoni M, Battaglia P, Antognoni P, Bossi P and Locatelli D: Sinonasal malignancies of anterior skull base: Histology-driven treatment strategies. Otolaryngol Clin North Am. 49:183–200. 2016.PubMed/NCBI View Article : Google Scholar

38 

Martinez-Perez R, Requena LC, Carrau RL and Prevedello DM: Modern endoscopic skull base neurosurgery. J Neurooncol. 151:461–475. 2021.PubMed/NCBI View Article : Google Scholar

39 

Liu Q, Wang H, Zhao W, Song X, Sun X, Yu H, Wang D, Fernandez-Miranda JC and Snyderman CH: Endoscopic transnasal transmaxillary approach to the upper parapharyngeal space and the skull base. Eur Arch Otorhinolaryngol. 277:801–807. 2020.PubMed/NCBI View Article : Google Scholar

40 

Loyo-Varela M, del Valle Robles R, Herrada T and Coll JB: Endoscopic endonasal transmaxillary approach. World Neurosurg. 80:502–504. 2013.PubMed/NCBI View Article : Google Scholar

41 

Selcuk A, Ozcan KM, Akdogan O, Bilal N and Dere H: Variations of maxillary sinus and accompanying anatomical and pathological structures. J Craniofac Surg. 19:159–164. 2008.PubMed/NCBI View Article : Google Scholar

42 

Costa FD, Dias TM, Lombardo KA, Raghunathan A, Giannini C, Kenyon L, Saad AG, Gokden M, Burger PC, Montgomery EA and Rodriguez FJ: Intracranial cellular schwannomas: A clinicopathological study of 20 cases. Histopathology. 76:275–282. 2020.PubMed/NCBI View Article : Google Scholar

43 

Perez MT, Farkas J, Padron S, Changus JE and Webster EL: Intrasellar and parasellar cellular schwannoma. Ann Diagn Pathol. 8:142–150. 2004.PubMed/NCBI View Article : Google Scholar

44 

Hart J, Gardner JM, Edgar M and Weiss SW: Epithelioid schwannomas: An analysis of 58 cases including Atypical variants. Am J Surg Pathol. 40:704–713. 2016.PubMed/NCBI View Article : Google Scholar

45 

Pekmezci M, Reuss DE, Hirbe AC, Dahiya S, Gutmann DH, von Deimling A, Horvai AE and Perry A: Morphologic and immunohistochemical features of malignant peripheral nerve sheath tumors and cellular schwannomas. Mod Pathol. 28:187–200. 2015.PubMed/NCBI View Article : Google Scholar

46 

Campero A, Baldoncini M, Román G and Villalonga JF: Double-stage complete removal of dumbbell-shaped trigeminal schwannoma: 3-dimensional operative video. Oper Neurosurg (Hagerstown). 21(E51)2021.PubMed/NCBI View Article : Google Scholar

47 

Karamchandani JR, Nielsen TO, van de Rijn M and West RB: Sox10 and S100 in the diagnosis of soft-tissue neoplasms. Appl Immunohistochem Mol Morphol. 20:445–450. 2012.PubMed/NCBI View Article : Google Scholar

48 

Daniels DL, Rauschning W, Lovas J, Williams AL and Haughton VM: Pterygopalatine fossa: Computed tomographic studies. Radiology. 149:511–516. 1983.PubMed/NCBI View Article : Google Scholar

49 

Kasemsiri P, Solares C, Carrau R, Prosser JD, Prevedello DM, Otto BA, Old M and Kassam AB: Endoscopic endonasal transpterygoid approaches: Anatomical landmarks for planning the surgical corridor. Laryngoscope. 123:811–815. 2013.PubMed/NCBI View Article : Google Scholar

50 

Osawa S, Rhoton AL Jr, Seker A, Shimizu S, Fujii K and Kassam AB: Microsurgical and endoscopic anatomy of the vidian canal. Neurosurgery. 64 (5 Suppl 2):S385–S411; discussion 411-382. 2009.PubMed/NCBI View Article : Google Scholar

51 

Wang EW, Gardner PA, Fraser S, Stefko ST, Fernandez-Miranda JC and Snyderman CH: Reduced tearing with stable quality of life after vidian neurectomy: A prospective controlled trial. Laryngoscope. 131:1487–1491. 2021.PubMed/NCBI View Article : Google Scholar

52 

Hardesty D, Montaser A, Kreatsoulas D, Shah VS, VanKoevering KK, Otto BA, Carrau RL and Prevedello DM: Complications after 1002 endoscopic endonasal approach procedures at a single center: Lessons learned, 2010-2018. J Neurosurg. 136:393–404. 2021.PubMed/NCBI View Article : Google Scholar

53 

Fraser S, Gardner P, Koutourousiou M, Kubik M, Fernandez-Miranda JC, Snyderman CH and Wang EW: Risk factors associated with postoperative cerebrospinal fluid leak after endoscopic endonasal skull base surgery. J Neurosurg. 128:1066–1071. 2018.PubMed/NCBI View Article : Google Scholar

54 

Deconde A, Vira D, Thompson C, Wang M, Bergsneider M and Suh J: Radiologic assessment of the paranasal sinuses after endoscopic skull base surgery. J Neurol Surg Part B Skull Base. 74:351–357. 2013.PubMed/NCBI View Article : Google Scholar

55 

Zwagerman N, Wang E, Shin S, Chang YF, Fernandez-Miranda JC, Snyderman CH and Gardner PA: Does lumbar drainage reduce postoperative cerebrospinal fluid leak after endoscopic endonasal skull base surgery? A prospective, randomized controlled trial. J Neurosurg. 1:1–7. 2018.PubMed/NCBI View Article : Google Scholar

56 

Bond J, Xu Z, Zhang H and Zhang M: Meckel's cave and somatotopy of the trigeminal ganglion. World Neurosurg. 148:178–187. 2021.PubMed/NCBI View Article : Google Scholar

57 

Lofrese G, Vigo V, Rigante M, Grieco DL, Maresca M, Anile C, Mangiola A and De Bonis P: Learning curve of endoscopic pituitary surgery: Experience of a neurosurgery/ENT collaboration. J Clin Neurosci. 47:299–303. 2018.PubMed/NCBI View Article : Google Scholar

58 

Noh Y, Choi JE, Lee KE, Kong DS, Nam DH, Jung YG, Kim HY, Chung SK and Hong SD: A comparison of olfactory and sinonasal outcomes in endoscopic pituitary surgery performed by a single neurosurgeon or a collaborative team of surgeons. Clin Exp Otorhinolaryngol. 13:261–267. 2020.PubMed/NCBI View Article : Google Scholar

Related Articles

  • Abstract
  • View
  • Download
  • Twitter
Copy and paste a formatted citation
Spandidos Publications style
Xu C, Wang P, Wang J, Feng W and Wu N: Middle cranial fossa trigeminal schwannoma resection through endoscopic transnasal maxillary sinus approach: A case report and literature review. Exp Ther Med 23: 405, 2022.
APA
Xu, C., Wang, P., Wang, J., Feng, W., & Wu, N. (2022). Middle cranial fossa trigeminal schwannoma resection through endoscopic transnasal maxillary sinus approach: A case report and literature review. Experimental and Therapeutic Medicine, 23, 405. https://doi.org/10.3892/etm.2022.11332
MLA
Xu, C., Wang, P., Wang, J., Feng, W., Wu, N."Middle cranial fossa trigeminal schwannoma resection through endoscopic transnasal maxillary sinus approach: A case report and literature review". Experimental and Therapeutic Medicine 23.6 (2022): 405.
Chicago
Xu, C., Wang, P., Wang, J., Feng, W., Wu, N."Middle cranial fossa trigeminal schwannoma resection through endoscopic transnasal maxillary sinus approach: A case report and literature review". Experimental and Therapeutic Medicine 23, no. 6 (2022): 405. https://doi.org/10.3892/etm.2022.11332
Copy and paste a formatted citation
x
Spandidos Publications style
Xu C, Wang P, Wang J, Feng W and Wu N: Middle cranial fossa trigeminal schwannoma resection through endoscopic transnasal maxillary sinus approach: A case report and literature review. Exp Ther Med 23: 405, 2022.
APA
Xu, C., Wang, P., Wang, J., Feng, W., & Wu, N. (2022). Middle cranial fossa trigeminal schwannoma resection through endoscopic transnasal maxillary sinus approach: A case report and literature review. Experimental and Therapeutic Medicine, 23, 405. https://doi.org/10.3892/etm.2022.11332
MLA
Xu, C., Wang, P., Wang, J., Feng, W., Wu, N."Middle cranial fossa trigeminal schwannoma resection through endoscopic transnasal maxillary sinus approach: A case report and literature review". Experimental and Therapeutic Medicine 23.6 (2022): 405.
Chicago
Xu, C., Wang, P., Wang, J., Feng, W., Wu, N."Middle cranial fossa trigeminal schwannoma resection through endoscopic transnasal maxillary sinus approach: A case report and literature review". Experimental and Therapeutic Medicine 23, no. 6 (2022): 405. https://doi.org/10.3892/etm.2022.11332
Follow us
  • Twitter
  • LinkedIn
  • Facebook
About
  • Spandidos Publications
  • Careers
  • Cookie Policy
  • Privacy Policy
How can we help?
  • Help
  • Live Chat
  • Contact
  • Email to our Support Team