Spandidos Publications Logo
  • About
    • About Spandidos
    • Aims and Scopes
    • Abstracting and Indexing
    • Editorial Policies
    • Reprints and Permissions
    • Job Opportunities
    • Terms and Conditions
    • Contact
  • Journals
    • All Journals
    • Oncology Letters
      • Oncology Letters
      • Information for Authors
      • Editorial Policies
      • Editorial Board
      • Aims and Scope
      • Abstracting and Indexing
      • Bibliographic Information
      • Archive
    • International Journal of Oncology
      • International Journal of Oncology
      • Information for Authors
      • Editorial Policies
      • Editorial Board
      • Aims and Scope
      • Abstracting and Indexing
      • Bibliographic Information
      • Archive
    • Molecular and Clinical Oncology
      • Molecular and Clinical Oncology
      • Information for Authors
      • Editorial Policies
      • Editorial Board
      • Aims and Scope
      • Abstracting and Indexing
      • Bibliographic Information
      • Archive
    • Experimental and Therapeutic Medicine
      • Experimental and Therapeutic Medicine
      • Information for Authors
      • Editorial Policies
      • Editorial Board
      • Aims and Scope
      • Abstracting and Indexing
      • Bibliographic Information
      • Archive
    • International Journal of Molecular Medicine
      • International Journal of Molecular Medicine
      • Information for Authors
      • Editorial Policies
      • Editorial Board
      • Aims and Scope
      • Abstracting and Indexing
      • Bibliographic Information
      • Archive
    • Biomedical Reports
      • Biomedical Reports
      • Information for Authors
      • Editorial Policies
      • Editorial Board
      • Aims and Scope
      • Abstracting and Indexing
      • Bibliographic Information
      • Archive
    • Oncology Reports
      • Oncology Reports
      • Information for Authors
      • Editorial Policies
      • Editorial Board
      • Aims and Scope
      • Abstracting and Indexing
      • Bibliographic Information
      • Archive
    • Molecular Medicine Reports
      • Molecular Medicine Reports
      • Information for Authors
      • Editorial Policies
      • Editorial Board
      • Aims and Scope
      • Abstracting and Indexing
      • Bibliographic Information
      • Archive
    • World Academy of Sciences Journal
      • World Academy of Sciences Journal
      • Information for Authors
      • Editorial Policies
      • Editorial Board
      • Aims and Scope
      • Abstracting and Indexing
      • Bibliographic Information
      • Archive
    • International Journal of Functional Nutrition
      • International Journal of Functional Nutrition
      • Information for Authors
      • Editorial Policies
      • Editorial Board
      • Aims and Scope
      • Abstracting and Indexing
      • Bibliographic Information
      • Archive
    • International Journal of Epigenetics
      • International Journal of Epigenetics
      • Information for Authors
      • Editorial Policies
      • Editorial Board
      • Aims and Scope
      • Abstracting and Indexing
      • Bibliographic Information
      • Archive
    • Medicine International
      • Medicine International
      • Information for Authors
      • Editorial Policies
      • Editorial Board
      • Aims and Scope
      • Abstracting and Indexing
      • Bibliographic Information
      • Archive
  • Articles
  • Information
    • Information for Authors
    • Information for Reviewers
    • Information for Librarians
    • Information for Advertisers
    • Conferences
  • Language Editing
Spandidos Publications Logo
  • About
    • About Spandidos
    • Aims and Scopes
    • Abstracting and Indexing
    • Editorial Policies
    • Reprints and Permissions
    • Job Opportunities
    • Terms and Conditions
    • Contact
  • Journals
    • All Journals
    • Biomedical Reports
      • Information for Authors
      • Editorial Policies
      • Editorial Board
      • Aims and Scope
      • Abstracting and Indexing
      • Bibliographic Information
      • Archive
    • Experimental and Therapeutic Medicine
      • Information for Authors
      • Editorial Policies
      • Editorial Board
      • Aims and Scope
      • Abstracting and Indexing
      • Bibliographic Information
      • Archive
    • International Journal of Epigenetics
      • Information for Authors
      • Editorial Policies
      • Editorial Board
      • Aims and Scope
      • Abstracting and Indexing
      • Bibliographic Information
      • Archive
    • International Journal of Functional Nutrition
      • Information for Authors
      • Editorial Policies
      • Editorial Board
      • Aims and Scope
      • Abstracting and Indexing
      • Bibliographic Information
      • Archive
    • International Journal of Molecular Medicine
      • Information for Authors
      • Editorial Policies
      • Editorial Board
      • Aims and Scope
      • Abstracting and Indexing
      • Bibliographic Information
      • Archive
    • International Journal of Oncology
      • Information for Authors
      • Editorial Policies
      • Editorial Board
      • Aims and Scope
      • Abstracting and Indexing
      • Bibliographic Information
      • Archive
    • Medicine International
      • Information for Authors
      • Editorial Policies
      • Editorial Board
      • Aims and Scope
      • Abstracting and Indexing
      • Bibliographic Information
      • Archive
    • Molecular and Clinical Oncology
      • Information for Authors
      • Editorial Policies
      • Editorial Board
      • Aims and Scope
      • Abstracting and Indexing
      • Bibliographic Information
      • Archive
    • Molecular Medicine Reports
      • Information for Authors
      • Editorial Policies
      • Editorial Board
      • Aims and Scope
      • Abstracting and Indexing
      • Bibliographic Information
      • Archive
    • Oncology Letters
      • Information for Authors
      • Editorial Policies
      • Editorial Board
      • Aims and Scope
      • Abstracting and Indexing
      • Bibliographic Information
      • Archive
    • Oncology Reports
      • Information for Authors
      • Editorial Policies
      • Editorial Board
      • Aims and Scope
      • Abstracting and Indexing
      • Bibliographic Information
      • Archive
    • World Academy of Sciences Journal
      • Information for Authors
      • Editorial Policies
      • Editorial Board
      • Aims and Scope
      • Abstracting and Indexing
      • Bibliographic Information
      • Archive
  • Articles
  • Information
    • For Authors
    • For Reviewers
    • For Librarians
    • For Advertisers
    • Conferences
  • Language Editing
Login Register Submit
  • This site uses cookies
  • You can change your cookie settings at any time by following the instructions in our Cookie Policy. To find out more, you may read our Privacy Policy.

    I agree
Search articles by DOI, keyword, author or affiliation
Search
Advanced Search
presentation
Experimental and Therapeutic Medicine
Join Editorial Board Propose a Special Issue
Print ISSN: 1792-0981 Online ISSN: 1792-1015
Journal Cover
July-2022 Volume 24 Issue 1

Full Size Image

Sign up for eToc alerts
Recommend to Library

Journals

International Journal of Molecular Medicine

International Journal of Molecular Medicine

International Journal of Molecular Medicine is an international journal devoted to molecular mechanisms of human disease.

International Journal of Oncology

International Journal of Oncology

International Journal of Oncology is an international journal devoted to oncology research and cancer treatment.

Molecular Medicine Reports

Molecular Medicine Reports

Covers molecular medicine topics such as pharmacology, pathology, genetics, neuroscience, infectious diseases, molecular cardiology, and molecular surgery.

Oncology Reports

Oncology Reports

Oncology Reports is an international journal devoted to fundamental and applied research in Oncology.

Experimental and Therapeutic Medicine

Experimental and Therapeutic Medicine

Experimental and Therapeutic Medicine is an international journal devoted to laboratory and clinical medicine.

Oncology Letters

Oncology Letters

Oncology Letters is an international journal devoted to Experimental and Clinical Oncology.

Biomedical Reports

Biomedical Reports

Explores a wide range of biological and medical fields, including pharmacology, genetics, microbiology, neuroscience, and molecular cardiology.

Molecular and Clinical Oncology

Molecular and Clinical Oncology

International journal addressing all aspects of oncology research, from tumorigenesis and oncogenes to chemotherapy and metastasis.

World Academy of Sciences Journal

World Academy of Sciences Journal

Multidisciplinary open-access journal spanning biochemistry, genetics, neuroscience, environmental health, and synthetic biology.

International Journal of Functional Nutrition

International Journal of Functional Nutrition

Open-access journal combining biochemistry, pharmacology, immunology, and genetics to advance health through functional nutrition.

International Journal of Epigenetics

International Journal of Epigenetics

Publishes open-access research on using epigenetics to advance understanding and treatment of human disease.

Medicine International

Medicine International

An International Open Access Journal Devoted to General Medicine.

Journal Cover
July-2022 Volume 24 Issue 1

Full Size Image

Sign up for eToc alerts
Recommend to Library

  • Article
  • Citations
    • Cite This Article
    • Download Citation
    • Create Citation Alert
    • Remove Citation Alert
    • Cited By
  • Similar Articles
    • Related Articles (in Spandidos Publications)
    • Similar Articles (Google Scholar)
    • Similar Articles (PubMed)
  • Download PDF
  • Download XML
  • View XML
Case Report Open Access

Multidisciplinary collaboration for the successful treatment of a giant hepatic solitary fibrous tumor protruding into the thorax: A case report

  • Authors:
    • Jiajun Lin
    • Shenfeng Huang
    • Jinfei Wang
    • Zhifang Cai
  • View Affiliations / Copyright

    Affiliations: Department of Hepatobiliary Surgery, The Second Affiliated Hospital of Zunyi Medical University, Zunyi, Guizhou 563000, P.R. China
    Copyright: © Lin et al. This is an open access article distributed under the terms of Creative Commons Attribution License.
  • Article Number: 461
    |
    Published online on: May 20, 2022
       https://doi.org/10.3892/etm.2022.11388
  • Expand metrics +
Metrics: Total Views: 0 (Spandidos Publications: | PMC Statistics: )
Metrics: Total PDF Downloads: 0 (Spandidos Publications: | PMC Statistics: )
Cited By (CrossRef): 0 citations Loading Articles...

This article is mentioned in:



Abstract

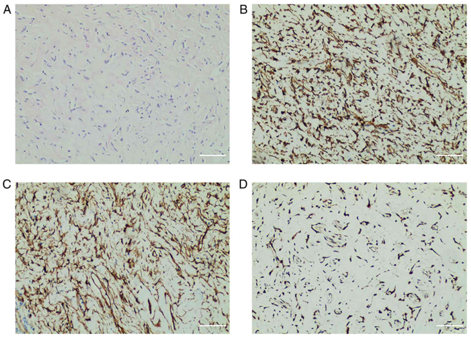
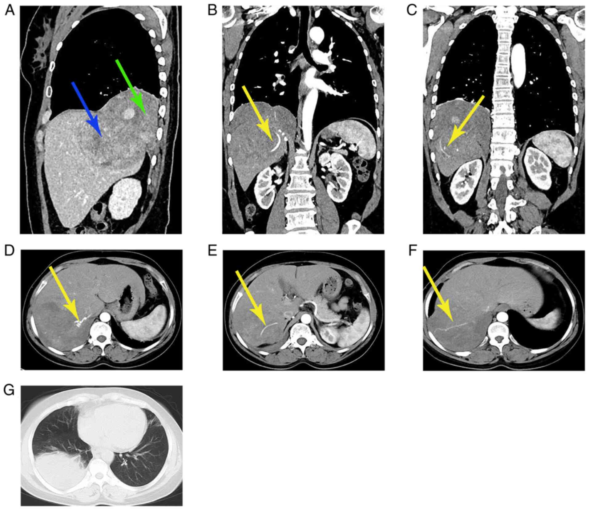
Solitary fibrous tumors (SFTs) are composed of spindle cells and collagen fibers, and these form rare mesenchymal tumors. SFTs are most frequently observed in intrathoracic sites; however, they may also occur in extrathoracic sites, such as the liver. Unlike the hepatic SFTs (HSFTs) reported in the literature, the SFT detailed in the present case report was a large tumor that originated from the liver, with a dumbbell‑shaped growth through the diaphragm into the right thoracic cavity. This posed substantial challenges in both diagnosis and treatment. Thus, the present report outlines the findings of a multidisciplinary team meeting that was used to discuss and develop an optimal and personalized treatment strategy for the patient. Transhepatic arterial embolization was performed to block the major arterial blood supply to the tumor in order to reduce its size. Subsequently, the tumor was fully resected, following the collaboration of the experienced hepatobiliary and thoracic surgeons. Following surgery, the abdominal distension experienced by the patient ceased, and no tumor recurrence was detected at the 1‑year follow‑up. In conclusion, due to limited previous reports of HSFT treatment using multidisciplinary collaboration, the present study outlined the treatment used for this specific tumor type, and the corresponding literature was reviewed.
View Figures

Figure 1

Figure 2

Figure 3

Figure 4

Figure 5

Figure 6

View References

1 

Zhang YR, Wang H, Zhou N, Zhang YD, Lin Y, Wu LY, Wei SF, Ma YY and Wang CX: A multidisciplinary team approach to the treatment of liver cirrhosis. J Inflamm Res. 14:5443–5450. 2021.PubMed/NCBI View Article : Google Scholar

2 

Feng LH, Dong H, Zhu YY and Cong WM: An update on primary hepatic solitary fibrous tumor: An examination of the clinical and pathological features of four case studies and a literature review. Pathol Res Pract. 211:911–917. 2015.PubMed/NCBI View Article : Google Scholar

3 

Buccauw K, Sciot R, Wolter P, Aerts R and Claus F: Delayed liver metastasis of a meningeal solitary fibrous tumor. Acta Gastroenterol Belg. 74:567–569. 2011.PubMed/NCBI

4 

Klemperer P and Coleman BR: Primary neoplasms of the pleura. A report of five cases. Am J Ind Med. 22:1–31. 1992.PubMed/NCBI View Article : Google Scholar

5 

Martin-Broto J, Mondaza-Hernandez JL, Moura DS and Hindi N: A comprehensive review on solitary fibrous tumor: New insights for new horizons. Cancers (Basel). 13(2913)2021.PubMed/NCBI View Article : Google Scholar

6 

Sun PP, Du XM, Gao Y, Zhao HY, Wang LL, Zhang Y and Li Y: Clinicopathologic features of retroperitoneal malignant solitary fibrous tumors. Crit Rev Eukaryot Gene Expr. 31:21–33. 2021.PubMed/NCBI View Article : Google Scholar

7 

Cheng L, Ni H and Dai Y: Intracranial solitary fibrous tumor mimicking meningioma: A case report. Medicine (Baltimore). 99(e23504)2020.PubMed/NCBI View Article : Google Scholar

8 

Jackson CH, Hunt BC and Harris GJ: Fate and management of incompletely excised solitary fibrous tumor of the orbit: A case series and literature review. Ophthalmic Plast Reconstr Surg. 37:108–117. 2021.PubMed/NCBI View Article : Google Scholar

9 

Nitta T, Kimura K, Tominaga T, Ikari A, Takashima Y, Hirata A, Takeshita A, Ishibashi T and Iwamoto M: Malignant solitary fibrous tumor of the breast. Breast J. 27:391–393. 2021.PubMed/NCBI View Article : Google Scholar

10 

Ghasemi-Rad M, Wang KY, Jain S and Lincoln CM: Solitary fibrous tumor of thyroid: A case report with review of literature. Clin Imaging. 53:105–107. 2019.PubMed/NCBI View Article : Google Scholar

11 

Sheikhy A, Fallahzadeh A, Ahmadi-Tafti SH, Hosseini K, Mohseni-Badalabadi R, Shahbazi N, Ghorashi SM and Tajdini M: Intrapericardial solitary fibrous tumor: A case report and review of literature. Echocardiography. 38:1052–1056. 2021.PubMed/NCBI View Article : Google Scholar

12 

Romano N, Ferrari A, Moroni M, Dessanti P, Bardine A, D'Amato M and Stefanini T: Solitary fibrous tumor of the deep parotid gland. Ear Nose Throat J: Oct 14, 2020 (Epub ahead of print).

13 

Su HY, Tsai TH, Yang SF and Lee JY: Dumbbell-shaped solitary fibrous tumor of thoracic spine. Kaohsiung J Med Sci. 35:517–518. 2019.PubMed/NCBI View Article : Google Scholar

14 

Qin J, Zhu Y, Kong M, Wang P, Xia D and Wang S: Robot-assisted laparoscopic resection of a pelvic solitary fibrous tumor. J Int Med Res: Feb 2, 2021 (Epub ahead of print).

15 

Guo YC, Yao LY, Tian ZS, Shi B, Liu Y and Wang YY: Malignant solitary fibrous tumor of the greater omentum: A case report and review of literature. World J Clin Cases. 9:445–456. 2021.PubMed/NCBI View Article : Google Scholar

16 

Tandon N: Solitary Fibrous tumor of the vulva: Case report of a rare entity and review of literature. Int J Gynecol Pathol. 40:234–239. 2021.PubMed/NCBI View Article : Google Scholar

17 

Krishnamurthy S, Menon M, Parameswaran A and Sivaraman A: A case of solitary fibrous tumor of urinary bladder. Indian J Pathol Microbiol. 64:847–849. 2021.PubMed/NCBI View Article : Google Scholar

18 

Takeuchi Y, Kato D, Nakane K, Kawase K, Takai M, Iinuma K, Saigo C, Miyazaki T and Koie T: Solitary fibrous tumor of the prostate: A case report and literature review. Medicina (Kaunas). 57(1152)2021.PubMed/NCBI View Article : Google Scholar

19 

Masmoudi M, Hasnaoui M, Dgani I, Thabet W, Ben Abdeljalil N, Ch C, Mighri K and Driss N: Solitary fibrous tumor of the external auditory canal. Ear Nose Throat J: Mar 8, 2021 (Epub ahead of print).

20 

Addeo P, Averous G and Bachellier P: Solitary fibrous tumor of the pancreas. J Gastrointest Surg. 25:569–570. 2021.PubMed/NCBI View Article : Google Scholar

21 

Sun Z, Ding Y, Jiang Y, Zhang Q, Li Z, Xiang J, Duan J, Yan S and Wang W: Ex situ hepatectomy and liver autotransplantation for a treating giant solitary fibrous tumor: A case report. Oncol Lett. 17:1042–1052. 2019.PubMed/NCBI View Article : Google Scholar

22 

Debs T, Kassir R, Amor IB, Martini F, Iannelli A and Gugenheim J: Solitary fibrous tumor of the liver: Report of two cases and review of the literature. Int J Surg. 12:1291–1294. 2014.PubMed/NCBI View Article : Google Scholar

23 

Andaluz Garcia I, Tavecchia M and Olveira Martin A: A solitary fibrous tumor: An entity to consider in the diagnosis of liver masses. Rev Esp Enferm Dig. 111(969)2019.PubMed/NCBI View Article : Google Scholar

24 

Sun K, Lu JJ, Teng XD, Ying LX and Wei JF: Solitary fibrous tumor of the liver: A case report. World J Surg Oncol. 9(37)2011.PubMed/NCBI View Article : Google Scholar

25 

Vennarecci G, Ettorre GM, Giovannelli L, Del Nonno F, Perracchio L, Visca P, Corazza V, Vidiri A, Visco G and Santoro E: Solitary fibrous tumor of the liver. J Hepatobiliary Pancreat Surg. 12:341–344. 2005.PubMed/NCBI View Article : Google Scholar

26 

Fuksbrumer MS, Klimstra D and Panicek DM: Solitary fibrous tumor of the liver: Imaging findings. AJR Am J Roentgenol. 175:1683–1687. 2000.PubMed/NCBI View Article : Google Scholar

27 

Mao M, Zhou L, Huang C, Yan X, Hu S, Yin H, Zhao Q and Song D: Case report: A malignant liver and thoracic solitary fibrous tumor: A 10-year journey from the brain to the liver and the spine. Front Surg. 7(570582)2020.PubMed/NCBI View Article : Google Scholar

28 

Korkolis DP, Apostolaki K, Aggeli C, Plataniotis G, Gontikakis E, Volanaki D, Sebastiadou M, Dimitroulopoulos D, Xinopoulos D, Zografos GN and Vassilopoulos PP: Solitary fibrous tumor of the liver expressing CD34 and vimentin: A case report. World J Gastroenterol. 14:6261–6264. 2008.PubMed/NCBI View Article : Google Scholar

29 

Changku J, Shaohua S, Zhicheng Z and Shusen Z: Solitary fibrous tumor of the liver: Retrospective study of reported cases. Cancer Invest. 24:132–135. 2006.PubMed/NCBI View Article : Google Scholar

30 

Rouy M, Guilbaud T and Birnbaum DJ: Liver solitary fibrous tumor: A rare incidentaloma. J Gastrointest Surg. 25:852–853. 2021.PubMed/NCBI View Article : Google Scholar

31 

Nam HC, Sung PS, Jung ES and Yoon SK: Solitary fibrous tumor of the liver mimicking malignancy. Korean J Intern Med. 35:734–735. 2020.PubMed/NCBI View Article : Google Scholar

32 

Alonso Batanero S, Garrosa Munoz S, Iglesias Iglesias MJ and Munoz-Bellvis L: A giant solitary fibrous tumor arising from the hepatic round ligament. Dig Liver Dis. 53:379–380. 2021.PubMed/NCBI View Article : Google Scholar

33 

El-Khouli RH, Geschwind JF, Bluemke DA and Kamel IR: Solitary fibrous tumor of the liver: Magnetic resonance imaging evaluation and treatment with transarterial chemoembolization. J Comput Assist Tomogr. 32:769–771. 2008.PubMed/NCBI View Article : Google Scholar

34 

Nishikawa H, Osaki Y, Iguchi E, Takeda H, Nakajima J, Matsuda F, Sakamoto A, Henmi S, Hatamaru K, Saito S, et al: Comparison of the efficacy of transcatheter arterial chemoembolization and sorafenib for advanced hepatocellular carcinoma. Exp Ther Med. 4:381–386. 2012.PubMed/NCBI View Article : Google Scholar

35 

Li X, Liu M, Zhang H, Liu H and Chen J: Clinical study of apatinib combined with EGFR-TKI in the treatment of chronic progression after EGFR-TKI treatment in non-small cell lung cancer (ChiCTR1800019185). Thorac Cancer. 11:819–826. 2020.PubMed/NCBI View Article : Google Scholar

36 

Nath DS, Rutzick AD and Sielaff TD: Solitary fibrous tumor of the liver. AJR Am J Roentgenol. 187:W187–W190. 2006.PubMed/NCBI View Article : Google Scholar

37 

Obuz F, Secil M, Sagol O, Karademir S and Topalak O: Ultrasonography and magnetic resonance imaging findings of solitary fibrous tumor of the liver. Tumori. 93:100–102. 2007.PubMed/NCBI

38 

Bokshan SL, Doyle M, Becker N, Nalbantoglu I and Chapman WC: Hepatic hemangiopericytoma/solitary fibrous tumor: A review of our current understanding and case study. J Gastrointest Surg. 16:2170–2176. 2012.PubMed/NCBI View Article : Google Scholar

39 

Silvanto A, Karanjia ND and Bagwan IN: Primary hepatic solitary fibrous tumor with histologically benign and malignant areas. Hepatobiliary Pancreat Dis Int. 14:665–668. 2015.PubMed/NCBI View Article : Google Scholar

40 

Jakob M, Schneider M, Hoeller I, Laffer U and Kaderli R: Malignant solitary fibrous tumor involving the liver. World J Gastroenterol. 19:3354–3357. 2013.PubMed/NCBI View Article : Google Scholar

41 

Perini MV, Herman P, D'Albuquerque LA and Saad WA: Solitary fibrous tumor of the liver: Report of a rare case and review of the literature. Int J Surg. 6:396–399. 2008.PubMed/NCBI View Article : Google Scholar

42 

Wang C, Song D, Xu Z and Wang J: Clinical application of multidisciplinary teams in tumor therapy. Chin J Cancer Res. 29:168–170. 2017.PubMed/NCBI View Article : Google Scholar

43 

Peng L, Liu Y, Ai Y, Liu Z, He Y and Liu Q: Skull base metastases from a malignant solitary fibrous tumor of the liver. A case report and literature review. Diagn Pathol. 6(127)2011.PubMed/NCBI View Article : Google Scholar

44 

Bejarano-Gonzalez N, Garcia-Borobia FJ, Romaguera-Monzonis A, García-Monforte N, Falcó-Fagés J, Bella-Cueto MR and Navarro-Soto S: Solitary fibrous tumor of the liver. Case report and review of the literature. Rev Esp Enferm Dig. 107:633–639. 2015.PubMed/NCBI View Article : Google Scholar

45 

Marelli L, Stigliano R, Triantos C, Senzolo M, Cholongitas E, Davies N, Tibballs J, Meyer T, Patch DW and Burroughs AK: Transarterial therapy for hepatocellular carcinoma: Which technique is more effective? A systematic review of cohort and randomized studies. Cardiovasc Intervent Radiol. 30:6–25. 2007.PubMed/NCBI View Article : Google Scholar

46 

Bae SI, Yeon JE, Lee JM, Kim JH, Lee HJ, Lee SJ, Suh SJ, Yoon EL, Kim HR, Byun KS and Seo TS: A case of necrotizing pancreatitis subsequent to transcatheter arterial chemoembolization in a patient with hepatocellular carcinoma. Clin Mol Hepatol. 18:321–325. 2012.PubMed/NCBI View Article : Google Scholar

47 

Nishida K, Lefor AK and Funabiki T: Rupture of hepatocellular carcinoma after transarterial chemoembolization followed by massive gastric bleeding. Case Reports Hepatol. 2018(4576276)2018.PubMed/NCBI View Article : Google Scholar

48 

Hickey R, Mouli S, Kulik L, Desai K, Thornburg B, Ganger D, Baker T, Abecassis M, Ralph Kallini J, Gabr A, et al: Independent analysis of albumin-bilirubin grade in a 765-patient cohort treated with transarterial locoregional therapy for hepatocellular carcinoma. J Vasc Interv Radiol. 27:795–802. 2016.PubMed/NCBI View Article : Google Scholar

49 

Szemitko M, Golubinska-Szemitko E, Wilk-Milczarek E and Falkowski A: Side effect/complication risk related to injection branch level of chemoembolization in treatment of metastatic liver lesions from colorectal cancer. J Clin Med. 10(121)2020.PubMed/NCBI View Article : Google Scholar

50 

Park MS, Ravi V, Conley A, Patel SR, Trent JC, Lev DC, Lazar AJ, Wang WL, Benjamin RS and Araujo DM: The role of chemotherapy in advanced solitary fibrous tumors: A retrospective analysis. Clin Sarcoma Res. 3(7)2013.PubMed/NCBI View Article : Google Scholar

51 

Outani H, Kobayashi E, Wasa J, Saito M, Takenaka S, Hayakawa K, Endo M, Takeuchi A, Kobayashi H, Kito M, et al: Clinical outcomes of patients with metastatic solitary fibrous tumors: A Japanese Musculoskeletal Oncology Group (JMOG) multiinstitutional study. Ann Surg Oncol. 28:3893–3901. 2021.PubMed/NCBI View Article : Google Scholar

52 

Haas RL, Walraven I, Lecointe-Artzner E, van Houdt WJ, Strauss D, Schrage Y, Hayes AJ, Raut CP, Fairweather M, Baldini EH, et al: Extrameningeal solitary fibrous tumors-surgery alone or surgery plus perioperative radiotherapy: A retrospective study from the global solitary fibrous tumor initiative in collaboration with the Sarcoma Patients EuroNet. Cancer. 126:3002–3012. 2020.PubMed/NCBI View Article : Google Scholar

53 

Spitz FR, Bouvet M, Pisters PW, Pollock RE and Feig BW: Hemangiopericytoma: A 20-year single-institution experience. Ann Surg Oncol. 5:350–355. 1998.PubMed/NCBI View Article : Google Scholar

54 

Espat NJ, Lewis JJ, Leung D, Woodruff JM, Antonescu CR, Shia J and Brennan MF: Conventional hemangiopericytoma: Modern analysis of outcome. Cancer. 95:1746–1751. 2002.PubMed/NCBI View Article : Google Scholar

Related Articles

  • Abstract
  • View
  • Download
  • Twitter
Copy and paste a formatted citation
Spandidos Publications style
Lin J, Huang S, Wang J and Cai Z: Multidisciplinary collaboration for the successful treatment of a giant hepatic solitary fibrous tumor protruding into the thorax: A case report. Exp Ther Med 24: 461, 2022.
APA
Lin, J., Huang, S., Wang, J., & Cai, Z. (2022). Multidisciplinary collaboration for the successful treatment of a giant hepatic solitary fibrous tumor protruding into the thorax: A case report. Experimental and Therapeutic Medicine, 24, 461. https://doi.org/10.3892/etm.2022.11388
MLA
Lin, J., Huang, S., Wang, J., Cai, Z."Multidisciplinary collaboration for the successful treatment of a giant hepatic solitary fibrous tumor protruding into the thorax: A case report". Experimental and Therapeutic Medicine 24.1 (2022): 461.
Chicago
Lin, J., Huang, S., Wang, J., Cai, Z."Multidisciplinary collaboration for the successful treatment of a giant hepatic solitary fibrous tumor protruding into the thorax: A case report". Experimental and Therapeutic Medicine 24, no. 1 (2022): 461. https://doi.org/10.3892/etm.2022.11388
Copy and paste a formatted citation
x
Spandidos Publications style
Lin J, Huang S, Wang J and Cai Z: Multidisciplinary collaboration for the successful treatment of a giant hepatic solitary fibrous tumor protruding into the thorax: A case report. Exp Ther Med 24: 461, 2022.
APA
Lin, J., Huang, S., Wang, J., & Cai, Z. (2022). Multidisciplinary collaboration for the successful treatment of a giant hepatic solitary fibrous tumor protruding into the thorax: A case report. Experimental and Therapeutic Medicine, 24, 461. https://doi.org/10.3892/etm.2022.11388
MLA
Lin, J., Huang, S., Wang, J., Cai, Z."Multidisciplinary collaboration for the successful treatment of a giant hepatic solitary fibrous tumor protruding into the thorax: A case report". Experimental and Therapeutic Medicine 24.1 (2022): 461.
Chicago
Lin, J., Huang, S., Wang, J., Cai, Z."Multidisciplinary collaboration for the successful treatment of a giant hepatic solitary fibrous tumor protruding into the thorax: A case report". Experimental and Therapeutic Medicine 24, no. 1 (2022): 461. https://doi.org/10.3892/etm.2022.11388
Follow us
  • Twitter
  • LinkedIn
  • Facebook
About
  • Spandidos Publications
  • Careers
  • Cookie Policy
  • Privacy Policy
How can we help?
  • Help
  • Live Chat
  • Contact
  • Email to our Support Team