Spandidos Publications Logo
  • About
    • About Spandidos
    • Aims and Scopes
    • Abstracting and Indexing
    • Editorial Policies
    • Reprints and Permissions
    • Job Opportunities
    • Terms and Conditions
    • Contact
  • Journals
    • All Journals
    • Oncology Letters
      • Oncology Letters
      • Information for Authors
      • Editorial Policies
      • Editorial Board
      • Aims and Scope
      • Abstracting and Indexing
      • Bibliographic Information
      • Archive
    • International Journal of Oncology
      • International Journal of Oncology
      • Information for Authors
      • Editorial Policies
      • Editorial Board
      • Aims and Scope
      • Abstracting and Indexing
      • Bibliographic Information
      • Archive
    • Molecular and Clinical Oncology
      • Molecular and Clinical Oncology
      • Information for Authors
      • Editorial Policies
      • Editorial Board
      • Aims and Scope
      • Abstracting and Indexing
      • Bibliographic Information
      • Archive
    • Experimental and Therapeutic Medicine
      • Experimental and Therapeutic Medicine
      • Information for Authors
      • Editorial Policies
      • Editorial Board
      • Aims and Scope
      • Abstracting and Indexing
      • Bibliographic Information
      • Archive
    • International Journal of Molecular Medicine
      • International Journal of Molecular Medicine
      • Information for Authors
      • Editorial Policies
      • Editorial Board
      • Aims and Scope
      • Abstracting and Indexing
      • Bibliographic Information
      • Archive
    • Biomedical Reports
      • Biomedical Reports
      • Information for Authors
      • Editorial Policies
      • Editorial Board
      • Aims and Scope
      • Abstracting and Indexing
      • Bibliographic Information
      • Archive
    • Oncology Reports
      • Oncology Reports
      • Information for Authors
      • Editorial Policies
      • Editorial Board
      • Aims and Scope
      • Abstracting and Indexing
      • Bibliographic Information
      • Archive
    • Molecular Medicine Reports
      • Molecular Medicine Reports
      • Information for Authors
      • Editorial Policies
      • Editorial Board
      • Aims and Scope
      • Abstracting and Indexing
      • Bibliographic Information
      • Archive
    • World Academy of Sciences Journal
      • World Academy of Sciences Journal
      • Information for Authors
      • Editorial Policies
      • Editorial Board
      • Aims and Scope
      • Abstracting and Indexing
      • Bibliographic Information
      • Archive
    • International Journal of Functional Nutrition
      • International Journal of Functional Nutrition
      • Information for Authors
      • Editorial Policies
      • Editorial Board
      • Aims and Scope
      • Abstracting and Indexing
      • Bibliographic Information
      • Archive
    • International Journal of Epigenetics
      • International Journal of Epigenetics
      • Information for Authors
      • Editorial Policies
      • Editorial Board
      • Aims and Scope
      • Abstracting and Indexing
      • Bibliographic Information
      • Archive
    • Medicine International
      • Medicine International
      • Information for Authors
      • Editorial Policies
      • Editorial Board
      • Aims and Scope
      • Abstracting and Indexing
      • Bibliographic Information
      • Archive
  • Articles
  • Information
    • Information for Authors
    • Information for Reviewers
    • Information for Librarians
    • Information for Advertisers
    • Conferences
  • Language Editing
Spandidos Publications Logo
  • About
    • About Spandidos
    • Aims and Scopes
    • Abstracting and Indexing
    • Editorial Policies
    • Reprints and Permissions
    • Job Opportunities
    • Terms and Conditions
    • Contact
  • Journals
    • All Journals
    • Biomedical Reports
      • Information for Authors
      • Editorial Policies
      • Editorial Board
      • Aims and Scope
      • Abstracting and Indexing
      • Bibliographic Information
      • Archive
    • Experimental and Therapeutic Medicine
      • Information for Authors
      • Editorial Policies
      • Editorial Board
      • Aims and Scope
      • Abstracting and Indexing
      • Bibliographic Information
      • Archive
    • International Journal of Epigenetics
      • Information for Authors
      • Editorial Policies
      • Editorial Board
      • Aims and Scope
      • Abstracting and Indexing
      • Bibliographic Information
      • Archive
    • International Journal of Functional Nutrition
      • Information for Authors
      • Editorial Policies
      • Editorial Board
      • Aims and Scope
      • Abstracting and Indexing
      • Bibliographic Information
      • Archive
    • International Journal of Molecular Medicine
      • Information for Authors
      • Editorial Policies
      • Editorial Board
      • Aims and Scope
      • Abstracting and Indexing
      • Bibliographic Information
      • Archive
    • International Journal of Oncology
      • Information for Authors
      • Editorial Policies
      • Editorial Board
      • Aims and Scope
      • Abstracting and Indexing
      • Bibliographic Information
      • Archive
    • Medicine International
      • Information for Authors
      • Editorial Policies
      • Editorial Board
      • Aims and Scope
      • Abstracting and Indexing
      • Bibliographic Information
      • Archive
    • Molecular and Clinical Oncology
      • Information for Authors
      • Editorial Policies
      • Editorial Board
      • Aims and Scope
      • Abstracting and Indexing
      • Bibliographic Information
      • Archive
    • Molecular Medicine Reports
      • Information for Authors
      • Editorial Policies
      • Editorial Board
      • Aims and Scope
      • Abstracting and Indexing
      • Bibliographic Information
      • Archive
    • Oncology Letters
      • Information for Authors
      • Editorial Policies
      • Editorial Board
      • Aims and Scope
      • Abstracting and Indexing
      • Bibliographic Information
      • Archive
    • Oncology Reports
      • Information for Authors
      • Editorial Policies
      • Editorial Board
      • Aims and Scope
      • Abstracting and Indexing
      • Bibliographic Information
      • Archive
    • World Academy of Sciences Journal
      • Information for Authors
      • Editorial Policies
      • Editorial Board
      • Aims and Scope
      • Abstracting and Indexing
      • Bibliographic Information
      • Archive
  • Articles
  • Information
    • For Authors
    • For Reviewers
    • For Librarians
    • For Advertisers
    • Conferences
  • Language Editing
Login Register Submit
  • This site uses cookies
  • You can change your cookie settings at any time by following the instructions in our Cookie Policy. To find out more, you may read our Privacy Policy.

    I agree
Search articles by DOI, keyword, author or affiliation
Search
Advanced Search
presentation
Experimental and Therapeutic Medicine
Join Editorial Board Propose a Special Issue
Print ISSN: 1792-0981 Online ISSN: 1792-1015
Journal Cover
July-2022 Volume 24 Issue 1

Full Size Image

Sign up for eToc alerts
Recommend to Library

Journals

International Journal of Molecular Medicine

International Journal of Molecular Medicine

International Journal of Molecular Medicine is an international journal devoted to molecular mechanisms of human disease.

International Journal of Oncology

International Journal of Oncology

International Journal of Oncology is an international journal devoted to oncology research and cancer treatment.

Molecular Medicine Reports

Molecular Medicine Reports

Covers molecular medicine topics such as pharmacology, pathology, genetics, neuroscience, infectious diseases, molecular cardiology, and molecular surgery.

Oncology Reports

Oncology Reports

Oncology Reports is an international journal devoted to fundamental and applied research in Oncology.

Experimental and Therapeutic Medicine

Experimental and Therapeutic Medicine

Experimental and Therapeutic Medicine is an international journal devoted to laboratory and clinical medicine.

Oncology Letters

Oncology Letters

Oncology Letters is an international journal devoted to Experimental and Clinical Oncology.

Biomedical Reports

Biomedical Reports

Explores a wide range of biological and medical fields, including pharmacology, genetics, microbiology, neuroscience, and molecular cardiology.

Molecular and Clinical Oncology

Molecular and Clinical Oncology

International journal addressing all aspects of oncology research, from tumorigenesis and oncogenes to chemotherapy and metastasis.

World Academy of Sciences Journal

World Academy of Sciences Journal

Multidisciplinary open-access journal spanning biochemistry, genetics, neuroscience, environmental health, and synthetic biology.

International Journal of Functional Nutrition

International Journal of Functional Nutrition

Open-access journal combining biochemistry, pharmacology, immunology, and genetics to advance health through functional nutrition.

International Journal of Epigenetics

International Journal of Epigenetics

Publishes open-access research on using epigenetics to advance understanding and treatment of human disease.

Medicine International

Medicine International

An International Open Access Journal Devoted to General Medicine.

Journal Cover
July-2022 Volume 24 Issue 1

Full Size Image

Sign up for eToc alerts
Recommend to Library

  • Article
  • Citations
    • Cite This Article
    • Download Citation
    • Create Citation Alert
    • Remove Citation Alert
    • Cited By
  • Similar Articles
    • Related Articles (in Spandidos Publications)
    • Similar Articles (Google Scholar)
    • Similar Articles (PubMed)
  • Download PDF
  • Download XML
  • View XML
Case Report Open Access

COVID‑19‑associated acute appendicitis in adults. A report of five cases and a review of the literature

  • Authors:
    • Vasiliki Epameinondas Georgakopoulou
    • Aikaterini Gkoufa
    • Christos Damaskos
    • Petros Papalexis
    • Aikaterini Pierrakou
    • Sotiria Makrodimitri
    • Georgia Sypsa
    • Apostolos Apostolou
    • Stavroula Asimakopoulou
    • Serafeim Chlapoutakis
    • Pagona Sklapani
    • Nikolaos Trakas
    • Demetrios A. Spandidos
  • View Affiliations / Copyright

    Affiliations: Department of Infectious Diseases, Laiko General Hospital, 11527 Athens, Greece, Renal Transplantation Unit, Laiko General Hospital, 11527 Athens, Greece, Unit of Endocrinology, First Department of Internal Medicine, Laiko General Hospital, National and Kapodistrian University of Athens, 11527 Athens, Greece, Department of Pathology, Sismanogleio Hospital, 15126 Athens, Greece, Department of Radiology, Laiko General Hospital, 11527 Athens, Greece, Department of Thoracic Surgery, Agios Savvas Hospital, 11522 Athens, Greece, Department of Cytology, Mitera Hospital, 15123 Athens, Greece, Department of Biochemistry, Sismanogleio Hospital, 15126 Athens, Greece, Laboratory of Clinical Virology, School of Medicine, University of Crete, 71003 Heraklion, Greece
    Copyright: © Georgakopoulou et al. This is an open access article distributed under the terms of Creative Commons Attribution License.
  • Article Number: 482
    |
    Published online on: June 1, 2022
       https://doi.org/10.3892/etm.2022.11409
  • Expand metrics +
Metrics: Total Views: 0 (Spandidos Publications: | PMC Statistics: )
Metrics: Total PDF Downloads: 0 (Spandidos Publications: | PMC Statistics: )
Cited By (CrossRef): 0 citations Loading Articles...

This article is mentioned in:


Abstract

The novel coronavirus has negatively affected patients and healthcare systems globally. Individuals with coronavirus disease 2019 (COVID‑19) experience a wide range of respiratory symptoms, from mild flu‑like symptoms to severe and potentially fatal pneumonia. Some patients report gastrointestinal symptoms, such as nausea, vomiting and abdominal pain in addition to the respiratory symptoms or as a separate presentation. Even though abdominal pain syndrome indicates acute appendicitis, severe acute respiratory syndrome coronavirus 2 (SARS‑CoV‑2) infection should be considered as a possible diagnosis during this pandemic. However, there have been reports of a few cases of acute abdominal pain revealing acute appendicitis associated with SARS‑CoV‑2 infection. Appendectomy is challenging in COVID‑19‑infected patients with acute appendicitis as it includes high surgical risks for the patients, as well as hazards for healthcare professionals who are exposed to SARS‑CoV‑2. The present study reports five cases of adult patients with COVID‑19 with simultaneous acute appendicitis. In addition, the present study aims to provide the framework for the diagnosis and management of adult patients with COVID‑19 with acute appendicitis.

Introduction

With ~429 million confirmed cases of infection by the end of February, 2022, the novel coronavirus, which causes coronavirus disease 2019 (COVID-19), has negatively affected patients and healthcare systems worldwide (1). Patients with COVID-19 present with a wide spectrum of respiratory symptoms, ranging from mild flu-like symptoms to severe and potentially life-threatening pneumonia (2). Furthermore, some patients report gastrointestinal symptoms, such as nausea, vomiting, diarrhea and abdominal pain in addition to the aforementioned respiratory symptoms or, in rare cases, as a distinct presentation of illness (3).

In several studies, severe acute respiratory syndrome coronavirus 2 (SARS-CoV-2) RNA has been found in stool samples from infected individuals, and its viral receptor, angiotensin-converting enzyme 2 (ACE2), is known to be overexpressed all across the length of the gut mucosa, with an increased expression in the small bowel and colon (3). These data suggest that SARS-CoV-2 can infect and multiply effectively in the gastrointestinal system, which may have consequences for disease treatment, transmission and infection control (4).

Even though abdominal pain syndrome suggests acute appendicitis, it is crucial to consider SARS-CoV-2 infection as a potential diagnosis during this pandemic era. Prior to emergency surgery, screening for a co-infection may change the patient circuit and force a re-evaluation of the therapeutic strategy. In rare situations, it may even lead to a differential diagnosis that requires a markedly different medical therapy rather than surgery (5). However, there have been reports of a few cases of acute appendicitis associated with SARS-CoV-2 infection (6). Due to the high infectivity and potential for extensive lung damage, healthcare professionals have to react quickly to treat individuals who have been diagnosed with COVID-19, while they are concurrently suffering from other diseases, such as acute appendicitis (7).

The gold standard of treatment for acute appendicitis is appendectomy. Ηowever, research has indicated that conservative care with intravenous antibiotics can result in equivalent results and can be used as a substitute in some individuals (8). Appendectomy in patients with acute appendicitis who suffer from COVID-19 is challenging, since it entails significant surgical risks for the patients, as well as dangers for healthcare workers who are exposed to SARS-CoV-2. While medical treatment decreases the morbidity and mortality associated with surgery, it comes with a high possibility of treatment failures, which can lead to perforation, peritonitis and even death (9).

The present study describes five cases of adult patients with COVID-19 with simultaneous acute appendicitis in an aim to provide further insight into the diagnosis and management of adult patients with COVID-19 with acute appendicitis.

Case report

Case 1

A 19-year-old male, with no significant previous medical history, presented to the emergency department (ED) of Laiko General Hospital (Athens, Greece) with complaints of acute epigastric pain, nausea and multiple episodes of non-projectile, non-bilious vomiting and diarrhea 12 h prior. The pain was sharp, with radiation to his right lower abdominal quadrant (RLAQ) and was aggravated by movement. He reported no fever or respiratory symptoms, such as sore throat, dyspnea and cough.

Upon an examination, the patient appeared to be fatigued; however, he had normal vital signs. An abdominal examination revealed superficial and deep tenderness on the RLAQ with guarding and rebound tenderness. Laboratory investigations revealed an increased leukocyte count (16.11 k/µl; reference range, 4.5-11 k/µl) with neutrophilia (88.8%; reference range, 40-74%) and lymphopenia (0.9 k/µl; reference range, 1.2-3.4 k/µl), elevated C-reactive protein (CRP) levels (6.69 mg/l; reference range, 0-5 mg/l), elevated total bilirubin levels (1.27 mg/dl; reference range, 0.3-1.2 mg/dl), elevated creatine kinase (CK) levels (231 U/l; reference range, 38-190 U/l) and elevated ferritin levels (452 ng/ml; reference range, 30-400 ng/ml). Pancreatic enzyme, urine analysis, liver enzyme and renal function test results were within the normal range. In addition, his chest X-ray was normal (Fig. 1A).

Figure 1

Case 1. (A) Normal chest X-ray. (B) Ultrasonography revealing a hyperechoic shadowing lesion consistent with an appendicolith. (C) Ultrasonography revealing a dilated appendix, measured up to 0.8 cm in the transverse dimension with surrounding fluid. (D) Hematoxylin and eosin staining; original magnification, x100. The histological analysis revealed acute appendicitis with massive inflammatory infiltrate of the appendicular wall and mesenterium.

The patient underwent abdominal and pelvic ultrasonography (U/S), which revealed a hyperechoic shadowing lesion consistent with an appendicolith (Fig. 1B) and a dilated appendix, that was measured up to 0.8 cm in the transverse dimension with surrounding fluid (Fig. 1C). The Alvarado total score was 8 out of 10 based on the symptoms and laboratory tests that supported the diagnosis of acute appendicitis. A reverse transcription-PCR (RT-PCR) test for COVID-19 was conducted as per the hospital's protocol surgery, the result of which was positive. With all COVID-19 precautions taken, an open appendectomy was conducted under general anesthesia. The histopathological examination of the appendicular tissue revealed acute appendicitis with massive inflammatory infiltrate of the appendicular wall and mesenterium (Fig. 1D).

The patient received intravenous antibiotic therapy with cefoxitine at 1 g three times daily and metronidazole at 500 mg three times daily. His clinical condition gradually improved. A post-operative follow-up was uneventful and the patient was transferred to the COVID-19 unit of the hospital for further management. The patient had a good evolution. He never presented symptoms indicative of respiratory involvement, nor did he receive any specific therapy for COVID-19.

Case 2

A 62-year-old male patient with a previous medical history of cholecystectomy presented to the ED of Laiko General Hospital with complaints of fever, diffuse abdominal pain and nausea 2 days prior. The pain had migrated to the RLAQ. The patient had close contact with a patient with COVID-19 4 days prior; however, he reported no respiratory symptoms.

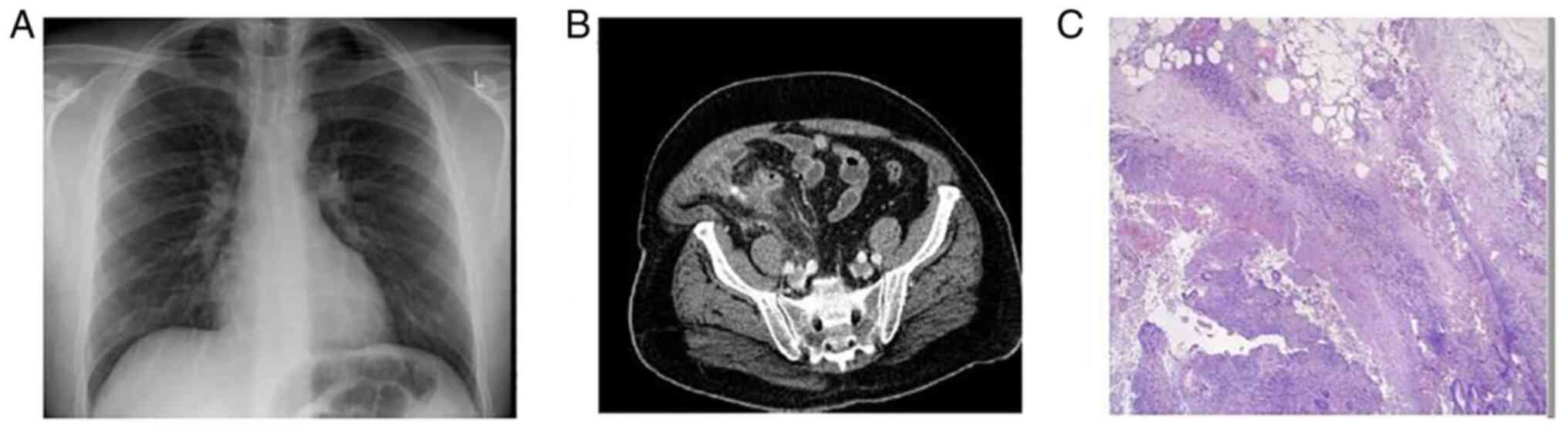
Upon an examination, the patient was found to be febrile, but the other vital signs were normal. The chest examination was unremarkable. An abdominal examination revealed superficial and deep tenderness on the RLAQ with guarding and rebound tenderness. Laboratory investigations revealed a normal leukocyte count (10.87 k/µl; reference range, 4.5-11 k/µl) with neutrophilia (87%; reference range, 40-74%) and lymphopenia (0.840 k/µl; reference range, 1.2-3.4 k/µl), significantly elevated CRP levels (229.75 mg/l; reference range, 0-5 mg/l), elevated alanine aminotranferase (ALT) levels (70 U/l; reference range, <41 U/l) and aspartate aminotransferase (AST) levels (55 U/l; reference, 15-40 U/l), increased gamma-glutamyl transferase (GGT) levels (349 U/l; reference range, 8-61 U/l), elevated CK levels (225 U/l; reference range, 38-190 U/l) and elevated ferritin levels (1,200 ng/ml; reference range, 30-400 ng/ml). Pancreatic enzyme, urine analysis and renal function test results were within the normal range. An arterial blood gases analysis revealed a partial pressure of oxygen (pO2) of 81 mmHg, a partial pressure of carbon dioxide (pCO2) of 34 mmHg, pH 7.50 and HCO3 26.5 mmol/l in room air.

A chest X-ray was performed, which revealed mild infiltrates in both lower lung lobes (Fig. 2A). The Alvarado total score was 9 out of 10 based on the symptoms and laboratory tests that supported the diagnosis of acute appendicitis. The patient underwent an abdominal computed tomography (CT) scan, which revealed the mild dilation of the appendix and wall thickening (Fig. 2B). An RT-PCR test for COVID-19 was conducted and the result was positive. With all COVID-19 precautions taken, an open appendectomy was conducted under general anesthesia. The histopathological examination of the appendicular tissue revealed acute appendicitis with peri-appendicitis (Fig. 2C).

Figure 2

Case 2. (A) A chest X-ray revealed mild infiltrates in both lower lung lobes. (B) Abdominal computed tomography revealed mild dilation of the appendix and wall thickening. (C) Hematoxylin and eosin staining; original magnification, x200. The histological analysis revealed acute appendicitis with peri-appendicitis, as well as torsion of an epiploic appendix, with fibrosis in its wall and peripheral deposition of calcium salts. (D) A chest X-ray revealed infiltrates in all lung fields.

The patient received intravenous antibiotic therapy with cefoxitine at 1 g three times daily and metronidazole at 500 mg three times daily. His clinical condition gradually improved. The post-operative follow-up was uneventful and the patient was transferred to the COVID-19 unit for further management. On the third post-operative day, the patient presented with dyspnea and respiratory deterioration with an oxygen saturation of 92% in room air. A new arterial bloοd gas analysis revealed a pO2 of 61 mmHg, a pCO2 of 33 mmHg, pH 7.49 and HCO3 25.1 mmol/l in room air. A new chest radiograph revealed worsening infiltrates (Fig. 2D). The patient received therapy with intravenous dexamethasone at 6 mg once daily and remdesivir at 200 mg on the first day, followed by 100 mg daily for the following 4 days. He also received oxygen therapy with a nasal cannula delivering oxygen at a rate of 3 l/min. His clinical condition and oxygen levels gradually improved. No other complications occurred, and the patient was discharged following a 9-day hospitalization.

Case 3

A 51-year-old female patient presented to the ED of Laiko General Hospital with complaints of diffuse abdominal pain for 8 h prior to admission. The pain had migrated to the RLAQ. The patient had experienced a mild COVID-19 infection, with fever and a sore throat, 15 days prior to her presentation at the hospital. Upon the visit to the ED, she did not report fever, respiratory or other gastrointestinal symptoms. She had a previous medical history of hypothyroidism and partial nephrectomy of the left kidney due to renal cancer. Her current medications included levothyroxine at 100 µg daily.

Upon an examination, the patient was afebrile and all her vital signs were normal. Chest examination was unremarkable. Abdominal examination revealed superficial and deep tenderness on the RLAQ with guarding and rebound tenderness. Laboratory investigations revealed an increased leukocyte count (14.86 k/µl; reference range, 4.5-11 k/µl) with an elevated neutrophil count (9.881 k/µl; reference range, 1.5-6.6 k/µl) and a normal lymphocyte count (28.5%; reference range, 19-48%), elevated CRP levels (53.48 mg/l; reference range, 0-5 mg/,), elevated total bilirubin levels (2.45 mg/dl; reference range, 0.3-1.2 mg/dl), elevated ALT levels (60 U/l; reference range, <33 U/l) and AST levels (70 U/l; reference range, 11-35 U/l), increased GGT levels (363 U/l; reference range, 5-36 U/l), elevated CK levels (178 U/l; reference range, 26-167 U/l) and elevated ferritin levels (678 ng/ml; reference range, 30-400 ng/ml). Pancreatic enzyme, urine analysis, and renal function test results were within the normal range.

A chest X-ray was performed, which was normal (Fig. 3A). The Alvarado total score was 6 out of 10 based on the symptoms and laboratory tests. The patient had possible appendicitis according to the Alvarado score. The patient underwent an abdominal CT scan, which revealed an enlarged appendix, with marked wall thickening and stranding of the surrounding fat (Fig. 3B). RT-PCR analysis for COVID-19 was conducted and the result was positive. With all COVID-19 precautions taken, a laparoscopic appendectomy was conducted under general anesthesia. The histopathological examination of appendicular tissue revealed acute appendicitis with heavily inflamed mucosa, with accompanying extensive ulceration and hemorrhage (Fig. 3C).

Figure 3

Case 3. (A) Normal chest X-ray. (B) An abdominal computed tomography revealed an enlarged appendix, ~12 mm in diameter, with significant wall thickening and stranding of the surrounding fat. (C) Hematoxylin and eosin staining; original magnification, x40. The histological analysis revealed acute appendicitis with a heavily inflamed mucosa with accompanying extensive ulceration and hemorrhage, covered by fibrinopurulent exudate.

The patient received intravenous antibiotic therapy with cefoxitine at 1 g three times daily and metronidazole at 500 mg three times daily. Her clinical condition gradually improved. The post-operative follow-up was uneventful and the patient was transferred to the COVID-19 unit for further management. No other complications occurred, and the patient was discharged following a 3-day hospitalization.

Case 4

A 23-year-old male patient with an insignificant previous medical history presented to the ED of Laiko General Hospital with complaints of diffuse abdominal pain for 12 h prior to admission. The pain had migrated to the RLAQ. The patient had close contact with a patient infected with COVID-19 3 days prior. Ηe did not report fever, respiratory or other gastrointestinal symptoms.

Upon an examination, the patient was afebrile and all his vital signs were normal. The chest examination was unremarkable. An abdominal examination revealed superficial and deep tenderness on the RLAQ with guarding and rebound tenderness. Laboratory investigations revealed an increased leukocyte count (13.17 k/µl; reference range, 4.5-11 k/µl) with neutrophilia (84.9%; reference range, 40-74%) and lymphopenia (1.17 k/µj; reference range, 1.2-3.4 k/µl), elevated CRP levels (6.23 mg/l; reference range, 0-5 mg/l) and elevated ferritin levels (434 ng/ml; reference range, 30-400 ng/ml). Pancreatic enzyme, liver enzyme, urine analysis and renal function test results were within the normal range.

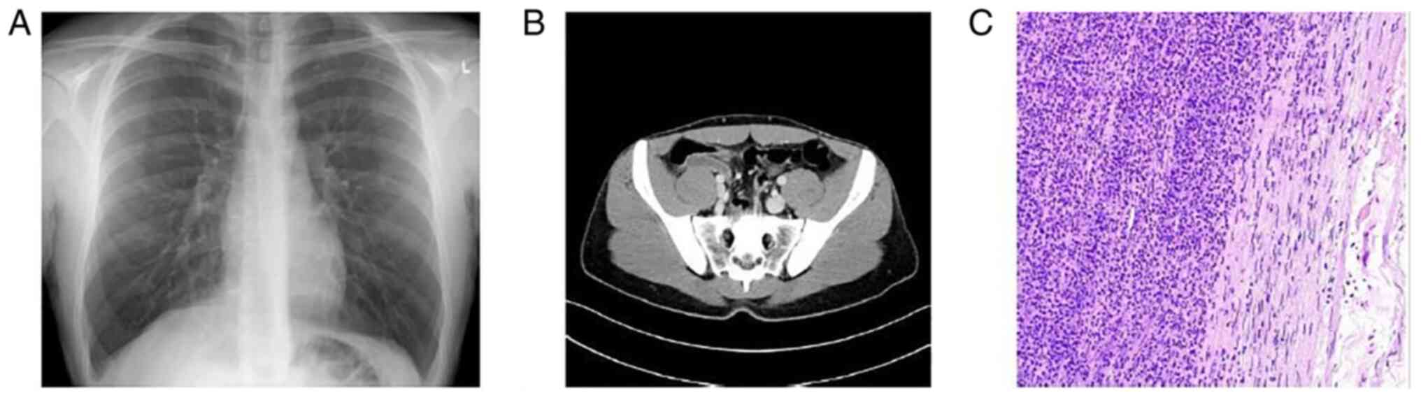
A chest X-ray was performed, which was normal (Fig. 4A). The Alvarado total score was 7 out of 10 based on the symptoms and laboratory tests. The patient had probable appendicitis according to the Alvarado score. He underwent an abdominal CT scan, which revealed an inflamed appendix originating from the cecum in deep pelvic position (Fig. 4B). An RT-PCR test for COVID-19 was conducted and the result was positive. With all COVID-19 precautions taken, an open appendectomy was conducted under general anesthesia. The histopathological examination of appendicular tissue revealed acute appendicitis with intense neutropilic infiltration of the appendix wall (Fig. 4C).

Figure 4

Case 4. (A) Normal chest X-ray. (B) An abdominal computed tomography revealed an inflamed appendix originating from the cecum in deep pelvic position. (C) Hematoxylin and eosin staining; original magnification, x400. The histological analysis revealed acute appendicitis with intense neutropilic infiltration of the appendix wall.

The patient received intravenous antibiotic therapy with cefoxitine at 1 g three times daily and metronidazole at 500 mg three times daily. His clinical condition gradually improved. The post-operative follow-up was uneventful and the patient was transferred to the COVID-19 unit for further management. No other complications occurred, and the patient was discharged following a 4-day hospitalization. He never presented with any symptoms indicative of respiratory involvement, nor did he receive any specific therapy for COVID-19.

Case 5

A 60-year-old male patient presented to the ED of Laiko General Hospital with complaints of fever and diffuse abdominal pain for 3 days prior to admission. The pain had migrated to the RLAQ. He did not report any respiratory or other gastrointestinal symptoms. He had a previous medical history of diabetes mellitus type 2, arterial hypertension, hyperlipidemia, depression and cholecystectomy. His current medications included metformin at 500 mg twice daily, ramipril at 2.5 mg once daily, pitavastatin at 1 mg once daily and escitalopram at 10 mg once daily.

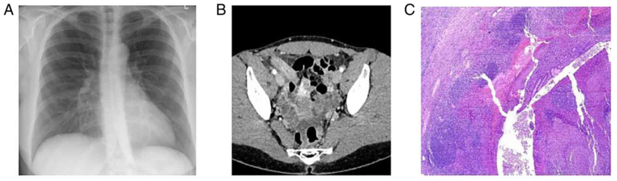
Upon an examination, the patient was febrile, but all the other vital signs were normal. The chest examination was unremarkable. An abdominal examination revealed superficial and deep tenderness on the RLAQ with guarding and rebound tenderness. Laboratory investigations revealed an increased leukocyte count (12.02 k/µl; reference range, 4.5-11 k/µl) with neutrophilia (85.9%; reference range, 40-74%) and lymphopenia (1.009 k/µl; reference range, 1.2-3.4 k/µl), elevated CRP levels (147.13 mg/l; reference range, 0-5 mg/l), elevated CK levels (316 U/l; reference range, 38-190 U/l) and elevated ferritin levels (850 ng/ml; reference range, 30-400 ng/ml). Pancreatic enzyme, liver enzyme, urine analysis and renal function test results were within the normal range.

A chest X-ray was performed, which was normal (Fig. 5A). The Alvarado total score was 8 out of 10 based on the symptoms and laboratory tests. The patient had probable appendicitis according to the Alvarado score. The patient underwent an abdominal CT scan, which revealed an appendiceal enlargement with intraluminal calcified fecalith and marked inflammatory changes in the surrounding mesenteric fat with possible microperforation (Fig. 5B). An RT-PCR test for COVID-19 was conducted and the result was positive. With all COVID-19 precautions taken, a laparoscopic appendectomy was conducted under general anesthesia. The histopathological examination of appendicular tissue revealed acute gangrenous appendicitis (Fig. 5C).

Figure 5

Case 5. (A) Normal chest X-ray. (B) An abdominal computed tomography revealed an appendiceal enlargement with intraluminal calcified fecalith and marked inflammatory changes in the surrounding mesenteric fat with possible microperforation. (C) Hematoxylin and eosin staining; original magnification, x200. The histological analysis revealed acute gangrenous appendicitis.

The patient received intravenous antibiotic therapy with cefoxitine at 1 g three times daily and metronidazole at 500 mg three times daily. His clinical condition gradually improved. The post-operative follow-up was uneventful and the patient was transferred to the COVID-19 unit for further management. No other complications occurred, and the patient was discharged following a 5-day hospitalization. He never presented with any symptoms indicative of respiratory involvement, and he did not receive any specific therapy for COVID-19.

Histopathological analysis

The tissue specimens from the patients were formalin-fixed and paraffin-embedded, as to standard histopathology laboratory routine (FFPE). The fixative used was 10% formalin solution, neutral buffered, 10%, for 24 h at room temperature. The thickness of the sections used was 4 µm. Histochemical staining with hematoxylin and eosin (supplied by Dako; Agilent Technologies, Inc.) was performed by using a DAKO Coverstainer for approximately 1 h and 15 min at room temperature. Finally, microscopic evaluation was carried out using a light microscope (Olympus BX51; Olympus Corporation).

Discussion

Patient characteristics and clinical presentation

COVID-19-associated acute appendicitis occurs in young adults, middle-aged individuals and the elderly. It can affect both males and females. Almost all the patients described herein presented with abdominal pain and complaints of various other typical symptoms, such as nausea and vomiting. As regards respiratory systems, some patients did not present with any respiratory symptoms, whereas others had more severe symptoms and suffered from COVID-19-related pneumonia. The diagnosis of acute appendicitis may precede the diagnosis of SARS-CoV-2 infection, may follow the diagnosis of SARS-CoV-2 infection or may be simultaneous to the diagnosis of SARS-CoV-2 infection (6,10-17). COVID-19-associated acute appendicitis has also been reported during pregnancy (17).

Diagnostic workup

The diagnosis of SARS-CoV-2 infection in the patients reported herein was confirmed by sending nasopharyngeal samples for the RT-PCR analysis of COVID-19 (6,10,11,13-17). In a previous study, SARS-CoV-2 infection was established by a positive RT-PCR test of an appendicular tissue sample (12). Laboratory test results have revealed increased white blood cell counts in the majority of cases (6,11,14,16), while lymphopenia, a hallmark of COVID-19 infection (18), has been observed in some cases (6,15,17), including the cases described in the present study. The diagnosis of COVID-19-associated acute appendicitis is established either by an abdominal U/S (6) or by an abdominal CT scan (10-16). In a previous study reporting a case of a pregnant woman, abdominal magnetic resonance imaging was performed to confirm the diagnosis (17). In all cases, resected appendicular tissues were sent for a histological examination, which revealed acute appendicitis (6,11-17).

Management of acute appendicitis

The majority of the cases in the present study were managed with appendectomy, either open or laparoscopic (6,11-17). Conservative successful treatment only with intravenous antibiotics has also been described in one case (10).

Outcomes

All patients with COVID-19-associated acute appendicitis reported in the literature have had an uneventful post-operative follow-up and favorable outcomes, even in cases of perforation (11,16-17) and sepsis (12). The cases of COVID-19-associated acute appendicitis found in the literature are summarized in Table I.

Table I

Cases of COVID-19-associated acute appendicitis identified in the literature.

Table I

Cases of COVID-19-associated acute appendicitis identified in the literature.

Case no.Author/(Refs.)Age/sexDiagnosis of appendicitisRespiratory symptomsTreatment of acute appendicitisOutcome
1Malbul et al (6)25/MAbdominal U/SCoughOpen appendectomyRecovery
2Suwanwongse and Shabarek (10)47/MAbdominal CTCough, dyspneaConservative managementRecovery
3Vudayagiri and Gusz al (11)27/MAbdominal CTNoneLaparoscopic appendectomyRecovery
4Ahmad et al (12)28/MAbdominal CTNoneOpen appendectomyRecovery
5Romero-Velez et al (13)23/MAbdominal CTNoneLaparoscopic appendectomyRecovery
6Elbakouri et al (14)37/FAbdominal CTNoneAppendectomyRecovery
7Ngaserin et al (15)21/MAbdominal CTNoneLaparoscopic appendectomyRecovery
8Kim et al (16)84/FAbdominal CTNoneLaparoscopic appendectomyRecovery
9Kim et al (16)69/MAbdominal CTDyspneaLaparoscopic appendectomyRecovery
10Sanders-Davis and Ritchie (17)35/FAbdominal MRIDyspneaOpen appendectomyRecovery
11The present study19/MAbdominal U/SNoneOpen appendectomyRecovery
12The present study62/MAbdominal CTDyspneaOpen appendectomyRecovery
13The present study51/FAbdominal CTNoneLaparoscopic appendectomyRecovery
14The present study23/MAbdominal CTNoneOpen appendectomyRecovery
15The present study60/MAbdominal CTNoneOpen appendectomyRecovery

[i] CT, computed tomography; F, female; M, male; MRI, magnetic resonance imaging; U/S, ultrasound.

Pathogenetic mechanisms

Due to high expression of the viral receptor, ACE2, in the gut wall, SARS-CoV-2 may infect the intestinal wall, compromising barrier function and facilitating microbial translocation (19). The discovery of the atypical histological appearance of appendicular tissue, particularly infrequent microthrombi, the fibrinoid necrosis of blood vessels and perivascular lymphocytic inflammatory infiltration, which are indicative of SARS-CoV-2 infection, support the association between SARS-CoV-2 infection and acute appendicitis (12). Lymphocytic infiltration and fibrinous microthrombi are notable characteristics in various reports of lung specimens in patients with COVID-19(20).

Another feature supporting the association between SARS-CoV-2 infection and acute appendicitis is the laboratory findings of lymphopenia, and elevated ferritin and increased CK levels, that have been reported in COVID-19(21). The transmission route to the appendix is unknown. The presence of SARS-CoV-2 RNA in stool samples from individuals with gastrointestinal symptoms suggests that fecal-oral transmission may be a possibility. Oropharyngeal contamination can potentially bring infection into the gastrointestinal tract, allowing for bacterial translocation and appendicitis (22). Moreover, it has been reported that viral infections can cause acute appendicitis via several mechanisms, including lymphoid hyperplasia, which induces appendix blockage, and mucosal ulcerations, leading to subsequent bacterial infection (23).

Safety and management concerns

During the COVID-19 pandemic, it has been reported that the abdominal CT scan has an efficacy of 87.5% in diagnosing acute appendicitis, compared to 69.8% before the pandemic (24). An abdominal CT scan is widely used for diagnosis during the pandemic, and the rate of uncomplicated appendicitis has increased from 54.05 to 69.64%. This may help to lower the risk of viral transmission during surgery in patients with COVID-19 and symptoms consistent with acute appendicitis (25). An abdominal CT scan should be used as a tool for early and accurate diagnosis and treatment, since the prevalence of delayed diagnosis and complicated appendicitis has increased during the pandemic, and may prevent unnecessary operations.

There is no available evidence to indicate that COVID-19 is transmitted by surgical smoke (26,27). However, it has been reported that as the novel coronavirus has a structure that is comparable to viruses that have been reported to be transmitted by surgical smoke, such as Corynebacterium, human papillomavirus, poliovirus, human immunodeficiency virus and hepatitis B virus, there is a potential danger of viral transmission. When operating on COVID-19-infected patients, it is thus suggested to perform laparoscopic surgery rather than open surgery using a negative pressure operating room set-up, patient mobility and operation theater equipment (28).

In patients infected with COVID-19, post-operative consequences need to be considered. It has been demonstrated that the 30-day post-operative mortality rate of emergency surgery was greater than that of elective surgery for patients infected with COVID-19 prior to surgery. Furthermore, the mortality rate for patients with pulmonary complications has been shown to be 39.6% greater than the rate for patients without respiratory complications, which was 4.6% (29). To date, to the best of our knowledge, there are no large studies available in patients with COVID-19 suffering from acute appendicitis to estimate the mortality rate and the rate of complications in these patients compared to those with acute appendicitis without COVID-19.

Furthermore, therapy with steroids, which is administered in cases of severe COVID-19 infection, inhibits collagen production and wound maturation, and also interferes with the normal wound healing process (30). As a result, it is important to take into account the likelihood of incomplete wound healing in steroid-treated individuals. When a patient is on ventilator support, the risk of wound complications is also increased (31). Post-operative pneumonia, reintubation and inability to wean are all risk factors for wound dehiscence (32). As a result, risk factors for wound complications in patients with COVID-19 need to be considered.

In conclusion, since SARS-CoV-2 infection and acute appendicitis share symptoms including fever, anorexia, nausea, vomiting and even severe abdominal pain, the clinical diagnosis for the surgical abdomen in patients with COVID-19 is of limited effectiveness. SARS-CoV-2 may possibly be one of the causes of acute abdominal cases, such as acute appendicitis. Signs and symptoms are typically non-specific, and they may hide life-threatening conditions. Although gastrointestinal symptoms are less common in COVID-19, this infection cannot be ruled out and should be explored in every case. In patients with SARS-CoV-2 infection, a high index of suspicion for surgical issues is necessary. Furthermore, postponing surgical abdomen treatment may result in major complications and an increased risk of mortality. On the contrary, in patients with COVID-19, unnecessary surgery leads to iatrogenic morbidity and mortality, an increased demand on healthcare resources and an increased risk for healthcare professionals working in operative areas. Therefore, a surveillance system and defined rules are required for handling suspected COVID-19 cases that require immediate surgery to prevent the spread of the virus.

Acknowledgements

Not applicable.

Funding

Funding: No funding was received.

Availability of data and materials

The datasets used and/or analyzed during the current study are available from the corresponding author on reasonable request.

Authors' contributions

VEG, CD and PP conceptualized the study. PS, SA, AA and GS obtained the medical images and prepared the table. VEG, SM, AP, AG and SC advised on patient care and medical treatment, and wrote and prepared the draft of the manuscript. NT and DAS analyzed the data and provided critical revisions. PS, SA and AA prepared the figures. VEG and SM confirm the authenticity of all the raw data. All authors contributed to manuscript revision and have read and approved the final version of the manuscript.

Ethics approval and consent to participate

Written informed consent was obtained from the patients described in the present case report.

Patient consent for publication

Written informed consent was obtained from the patients for the publication of the present case report and accompanying images. A copy of the written consent is available for review by the Editor-in-Chief of this journal on request.

Competing interests

DAS is the Editor-in-Chief for the journal, but had no personal involvement in the reviewing process, or any influence in terms of adjudicating on the final decision, for this article. The other authors declare that they have no competing interests.

References

1 

Mishra A, Basumallick S, Lu A, Chiu H, Shah MA, Shukla Y and Tiwari A: The healthier healthcare management models for COVID-19. J Infect Public Health. 14:927–937. 2021.PubMed/NCBI View Article : Google Scholar

2 

Guan WJ, Ni ZY, Hu Y, Liang WH, Ou CQ, He JX, Liu L, Shan H, Lei CL, Hui DSC, et al: Clinical characteristics of coronavirus disease 2019 in China. N Engl J Med. 382:1708–1720. 2020.PubMed/NCBI View Article : Google Scholar

3 

Caio G, Lungaro L, Cultrera R, De Giorgio R and Volta U: Coronaviruses and gastrointestinal symptoms: An old liaison for the new SARS-CoV-2. Gastroenterol Hepatol Bed Bench. 13:341–350. 2020.PubMed/NCBI

4 

Sultan S, Altayar O, Siddique SM, Davitkov P, Feuerstein JD, Lim JK, Falck-Ytter Y and El-Serag HB: AGA Institute. Electronic address: simpleewilson@gastro.org. AGA institute rapid review of the gastrointestinal and liver manifestations of COVID-19, meta-analysis of international data, and recommendations for the consultative management of patients with COVID-19. Gastroenterology. 159:320–334.e27. 2020.PubMed/NCBI View Article : Google Scholar

5 

Pautrat K and Chergui N: SARS-CoV-2 infection may result in appendicular syndrome: Chest CT scan before appendectomy. J Visc Surg. 157 (3S1):S63–S64. 2020.PubMed/NCBI View Article : Google Scholar

6 

Malbul K, Katwal S, Maharjan S, Shrestha S, Dhital R and Rajbhandari AP: Appendicitis as a presentation of COVID-19: A case report. Ann Med Surg (Lond). 69(102719)2021.PubMed/NCBI View Article : Google Scholar

7 

Iyengar K, Mabrouk A, Jain VK, Venkatesan A and Vaishya R: Learning opportunities from COVID-19 and future effects on health care system. Diabetes Metab Syndr. 14:943–946. 2020.PubMed/NCBI View Article : Google Scholar

8 

Hansson J, Körner U, Khorram-Manesh A, Solberg A and Lundholm K: Randomized clinical trial of antibiotic therapy versus appendicectomy as primary treatment of acute appendicitis in unselected patients. Br J Surg. 96:473–481. 2009.PubMed/NCBI View Article : Google Scholar

9 

Hansson J, Körner U, Ludwigs K, Johnsson E, Jönsson C and Lundholm K: Antibiotics as first-line therapy for acute appendicitis: Evidence for a change in clinical practice. World J Surg. 36:2028–2036. 2012.PubMed/NCBI View Article : Google Scholar

10 

Suwanwongse K and Shabarek N: Successful conservative management of acute appendicitis in a coronavirus disease 2019 (COVID-19) Patient. Cureus. 12(e7834)2020.PubMed/NCBI View Article : Google Scholar

11 

Vudayagiri L and Gusz J: COVID-19 positive in nasopharyngeal swab but negative in peritoneal fluid: Case report of perforated appendicitis. Cureus. 12(e9412)2020.PubMed/NCBI View Article : Google Scholar

12 

Ahmad S, Ahmed RN, Jani P, Ullah M and Aboulgheit H: SARS-CoV-2 isolation from an appendix. J Surg Case Rep. 2020(rjaa245)2020.PubMed/NCBI View Article : Google Scholar

13 

Romero-Velez G, Pereira X, Zenilman A and Camacho D: SARS-Cov-2 was not found in the peritoneal fluid of an asymptomatic patient undergoing laparoscopic appendectomy. Surg Laparosc Endosc Percutan Tech. 30:e43–e45. 2020.PubMed/NCBI View Article : Google Scholar

14 

Elbakouri A, El Azhary A, Bouali M, Bensardi F, Elhattabi K and Fadil A: Gastrointestinal manifestations related to infection with SARS-COV-2: Appendicular syndrome (A case report). Ann Med Surg (Lond). 65(102288)2021.PubMed/NCBI View Article : Google Scholar

15 

Ngaserin SH, Koh FH, Ong BC and Chew MH: COVID-19 not detected in peritoneal fluid: A case of laparoscopic appendicectomy for acute appendicitis in a COVID-19-infected patient. Langenbecks Arch Surg. 405:353–355. 2020.PubMed/NCBI View Article : Google Scholar

16 

Kim IK, Kwag SJ, Kim HG, Ju YT, Lee SJ, Park TJ, Jeong SH, Jung EJ and Lee JK: Perioperative considerations for acute appendicitis in patients with coronavirus infection: Two cases report. Ann Coloproctol: Dec 7, 2021 (Epub ahead of print).

17 

Sanders-Davis LJ and Ritchie J: Appendicitis with concurrent COVID-19 infection in a patient during the third trimester of pregnancy. BMJ Case Rep. 14(e242651)2021.PubMed/NCBI View Article : Google Scholar

18 

Terpos E, Ntanasis-Stathopoulos I, Elalamy I, Kastritis E, Sergentanis TN, Politou M, Psaltopoulou T, Gerotziafas G and Dimopoulos MA: Hematological findings and complications of COVID-19. Am J Hematol. 95:834–847. 2020.PubMed/NCBI View Article : Google Scholar

19 

Han C, Duan C, Zhang S, Spiegel B, Shi H, Wang W, Zhang L, Lin R, Liu J, Ding Z and Hou X: Digestive Symptoms in COVID-19 patients with mild disease severity: Clinical presentation, stool viral RNA testing, and outcomes. Am J Gastroenterol. 115:916–923. 2020.PubMed/NCBI View Article : Google Scholar

20 

Wichmann D, Sperhake JP, Lütgehetmann M, Steurer S, Edler C, Heinemann A, Heinrich F, Mushumba H, Kniep I, Schröder AS, et al: Autopsy findings and venous thromboembolism in patients with COVID-19: A prospective cohort study. Ann Intern Med. 173:268–277. 2020.PubMed/NCBI View Article : Google Scholar

21 

Alroomi M, Rajan R, Omar AA, Alsaber A, Pan J, Fatemi M, Zhanna KD, Aboelhassan W, Almutairi F, Alotaibi N, et al: Ferritin level: A predictor of severity and mortality in hospitalized COVID-19 patients. Immun Inflamm Dis. 9:1648–1655. 2021.PubMed/NCBI View Article : Google Scholar

22 

Hindson J: COVID-19: Faecal-oral transmission? Nat Rev Gastroenterol Hepatol. 17(259)2020.PubMed/NCBI View Article : Google Scholar

23 

Abdalhadi A, Alkhatib M, Mismar AY, Awouda W and Albarqouni L: Can COVID 19 present like appendicitis? IDCases. 21(e00860)2020.PubMed/NCBI View Article : Google Scholar

24 

Brown MA: Imaging acute appendicitis. Semin Ultrasound CT MR. 29:293–307. 2008.PubMed/NCBI View Article : Google Scholar

25 

Somers K, Abd Elwahab S, Raza MZ, O'Grady S, DeMarchi J, Butt A, Burke J, Robb W, Power C, McCawley N, et al: Impact of the COVID-19 pandemic on management and outcomes in acute appendicitis: Should these new practices be the norm? Surgeon. 19:e310–e317. 2021.PubMed/NCBI View Article : Google Scholar

26 

Vaghef Davari F and Sharifi A: Transmission possibility of COVID-19 via surgical smoke generated by the use of laparoscopic approaches: A subject of debate during the pandemic. J Laparoendosc Adv Surg Tech A. 31:1106–1113. 2021.PubMed/NCBI View Article : Google Scholar

27 

Cheruiyot I, Sehmi P, Ngure B, Misiani M, Karau P, Olabu B, Henry BM, Lippi G, Cirocchi R and Ogeng'o J: Laparoscopic surgery during the COVID-19 pandemic: Detection of SARS-COV-2 in abdominal tissues, fluids, and surgical smoke. Langenbecks Arch Surg. 406:1007–1014. 2021.PubMed/NCBI View Article : Google Scholar

28 

Mowbray NG, Ansell J, Horwood J, Cornish J, Rizkallah P, Parker A, Wall P, Spinelli A and Torkington J: Safe management of surgical smoke in the age of COVID-19. Br J Surg. 107:1406–1413. 2020.PubMed/NCBI View Article : Google Scholar

29 

COVIDSurg Collaborative: Mortality and pulmonary complications in patients undergoing surgery with perioperative SARS-CoV-2 infection: An international cohort study. Lancet. 396:27–38. 2020.PubMed/NCBI View Article : Google Scholar

30 

Liu D, Ahmet A, Ward L, Krishnamoorthy P, Mandelcorn ED, Leigh R, Brown JP, Cohen A and Kim H: A practical guide to the monitoring and management of the complications of systemic corticosteroid therapy. Allergy Asthma Clin Immunol. 9(30)2013.PubMed/NCBI View Article : Google Scholar

31 

Sandy-Hodgetts K, Carville K and Leslie GD: Determining risk factors for surgical wound dehiscence: A literature review. Int Wound J. 12:265–275. 2015.PubMed/NCBI View Article : Google Scholar

32 

Webster C, Neumayer L, Smout R, Horn S, Daley J, Henderson W and Khuri S: National Veterans Affairs Surgical Quality Improvement Program. Prognostic models of abdominal wound dehiscence after laparotomy. J Surg Res. 109:130–137. 2003.PubMed/NCBI View Article : Google Scholar

Related Articles

  • Abstract
  • View
  • Download
  • Twitter
Copy and paste a formatted citation
Spandidos Publications style
Georgakopoulou VE, Gkoufa A, Damaskos C, Papalexis P, Pierrakou A, Makrodimitri S, Sypsa G, Apostolou A, Asimakopoulou S, Chlapoutakis S, Chlapoutakis S, et al: COVID‑19‑associated acute appendicitis in adults. A report of five cases and a review of the literature. Exp Ther Med 24: 482, 2022.
APA
Georgakopoulou, V.E., Gkoufa, A., Damaskos, C., Papalexis, P., Pierrakou, A., Makrodimitri, S. ... Spandidos, D.A. (2022). COVID‑19‑associated acute appendicitis in adults. A report of five cases and a review of the literature. Experimental and Therapeutic Medicine, 24, 482. https://doi.org/10.3892/etm.2022.11409
MLA
Georgakopoulou, V. E., Gkoufa, A., Damaskos, C., Papalexis, P., Pierrakou, A., Makrodimitri, S., Sypsa, G., Apostolou, A., Asimakopoulou, S., Chlapoutakis, S., Sklapani, P., Trakas, N., Spandidos, D. A."COVID‑19‑associated acute appendicitis in adults. A report of five cases and a review of the literature". Experimental and Therapeutic Medicine 24.1 (2022): 482.
Chicago
Georgakopoulou, V. E., Gkoufa, A., Damaskos, C., Papalexis, P., Pierrakou, A., Makrodimitri, S., Sypsa, G., Apostolou, A., Asimakopoulou, S., Chlapoutakis, S., Sklapani, P., Trakas, N., Spandidos, D. A."COVID‑19‑associated acute appendicitis in adults. A report of five cases and a review of the literature". Experimental and Therapeutic Medicine 24, no. 1 (2022): 482. https://doi.org/10.3892/etm.2022.11409
Copy and paste a formatted citation
x
Spandidos Publications style
Georgakopoulou VE, Gkoufa A, Damaskos C, Papalexis P, Pierrakou A, Makrodimitri S, Sypsa G, Apostolou A, Asimakopoulou S, Chlapoutakis S, Chlapoutakis S, et al: COVID‑19‑associated acute appendicitis in adults. A report of five cases and a review of the literature. Exp Ther Med 24: 482, 2022.
APA
Georgakopoulou, V.E., Gkoufa, A., Damaskos, C., Papalexis, P., Pierrakou, A., Makrodimitri, S. ... Spandidos, D.A. (2022). COVID‑19‑associated acute appendicitis in adults. A report of five cases and a review of the literature. Experimental and Therapeutic Medicine, 24, 482. https://doi.org/10.3892/etm.2022.11409
MLA
Georgakopoulou, V. E., Gkoufa, A., Damaskos, C., Papalexis, P., Pierrakou, A., Makrodimitri, S., Sypsa, G., Apostolou, A., Asimakopoulou, S., Chlapoutakis, S., Sklapani, P., Trakas, N., Spandidos, D. A."COVID‑19‑associated acute appendicitis in adults. A report of five cases and a review of the literature". Experimental and Therapeutic Medicine 24.1 (2022): 482.
Chicago
Georgakopoulou, V. E., Gkoufa, A., Damaskos, C., Papalexis, P., Pierrakou, A., Makrodimitri, S., Sypsa, G., Apostolou, A., Asimakopoulou, S., Chlapoutakis, S., Sklapani, P., Trakas, N., Spandidos, D. A."COVID‑19‑associated acute appendicitis in adults. A report of five cases and a review of the literature". Experimental and Therapeutic Medicine 24, no. 1 (2022): 482. https://doi.org/10.3892/etm.2022.11409
Follow us
  • Twitter
  • LinkedIn
  • Facebook
About
  • Spandidos Publications
  • Careers
  • Cookie Policy
  • Privacy Policy
How can we help?
  • Help
  • Live Chat
  • Contact
  • Email to our Support Team