Spandidos Publications Logo
  • About
    • About Spandidos
    • Aims and Scopes
    • Abstracting and Indexing
    • Editorial Policies
    • Reprints and Permissions
    • Job Opportunities
    • Terms and Conditions
    • Contact
  • Journals
    • All Journals
    • Oncology Letters
      • Oncology Letters
      • Information for Authors
      • Editorial Policies
      • Editorial Board
      • Aims and Scope
      • Abstracting and Indexing
      • Bibliographic Information
      • Archive
    • International Journal of Oncology
      • International Journal of Oncology
      • Information for Authors
      • Editorial Policies
      • Editorial Board
      • Aims and Scope
      • Abstracting and Indexing
      • Bibliographic Information
      • Archive
    • Molecular and Clinical Oncology
      • Molecular and Clinical Oncology
      • Information for Authors
      • Editorial Policies
      • Editorial Board
      • Aims and Scope
      • Abstracting and Indexing
      • Bibliographic Information
      • Archive
    • Experimental and Therapeutic Medicine
      • Experimental and Therapeutic Medicine
      • Information for Authors
      • Editorial Policies
      • Editorial Board
      • Aims and Scope
      • Abstracting and Indexing
      • Bibliographic Information
      • Archive
    • International Journal of Molecular Medicine
      • International Journal of Molecular Medicine
      • Information for Authors
      • Editorial Policies
      • Editorial Board
      • Aims and Scope
      • Abstracting and Indexing
      • Bibliographic Information
      • Archive
    • Biomedical Reports
      • Biomedical Reports
      • Information for Authors
      • Editorial Policies
      • Editorial Board
      • Aims and Scope
      • Abstracting and Indexing
      • Bibliographic Information
      • Archive
    • Oncology Reports
      • Oncology Reports
      • Information for Authors
      • Editorial Policies
      • Editorial Board
      • Aims and Scope
      • Abstracting and Indexing
      • Bibliographic Information
      • Archive
    • Molecular Medicine Reports
      • Molecular Medicine Reports
      • Information for Authors
      • Editorial Policies
      • Editorial Board
      • Aims and Scope
      • Abstracting and Indexing
      • Bibliographic Information
      • Archive
    • World Academy of Sciences Journal
      • World Academy of Sciences Journal
      • Information for Authors
      • Editorial Policies
      • Editorial Board
      • Aims and Scope
      • Abstracting and Indexing
      • Bibliographic Information
      • Archive
    • International Journal of Functional Nutrition
      • International Journal of Functional Nutrition
      • Information for Authors
      • Editorial Policies
      • Editorial Board
      • Aims and Scope
      • Abstracting and Indexing
      • Bibliographic Information
      • Archive
    • International Journal of Epigenetics
      • International Journal of Epigenetics
      • Information for Authors
      • Editorial Policies
      • Editorial Board
      • Aims and Scope
      • Abstracting and Indexing
      • Bibliographic Information
      • Archive
    • Medicine International
      • Medicine International
      • Information for Authors
      • Editorial Policies
      • Editorial Board
      • Aims and Scope
      • Abstracting and Indexing
      • Bibliographic Information
      • Archive
  • Articles
  • Information
    • Information for Authors
    • Information for Reviewers
    • Information for Librarians
    • Information for Advertisers
    • Conferences
  • Language Editing
Spandidos Publications Logo
  • About
    • About Spandidos
    • Aims and Scopes
    • Abstracting and Indexing
    • Editorial Policies
    • Reprints and Permissions
    • Job Opportunities
    • Terms and Conditions
    • Contact
  • Journals
    • All Journals
    • Biomedical Reports
      • Information for Authors
      • Editorial Policies
      • Editorial Board
      • Aims and Scope
      • Abstracting and Indexing
      • Bibliographic Information
      • Archive
    • Experimental and Therapeutic Medicine
      • Information for Authors
      • Editorial Policies
      • Editorial Board
      • Aims and Scope
      • Abstracting and Indexing
      • Bibliographic Information
      • Archive
    • International Journal of Epigenetics
      • Information for Authors
      • Editorial Policies
      • Editorial Board
      • Aims and Scope
      • Abstracting and Indexing
      • Bibliographic Information
      • Archive
    • International Journal of Functional Nutrition
      • Information for Authors
      • Editorial Policies
      • Editorial Board
      • Aims and Scope
      • Abstracting and Indexing
      • Bibliographic Information
      • Archive
    • International Journal of Molecular Medicine
      • Information for Authors
      • Editorial Policies
      • Editorial Board
      • Aims and Scope
      • Abstracting and Indexing
      • Bibliographic Information
      • Archive
    • International Journal of Oncology
      • Information for Authors
      • Editorial Policies
      • Editorial Board
      • Aims and Scope
      • Abstracting and Indexing
      • Bibliographic Information
      • Archive
    • Medicine International
      • Information for Authors
      • Editorial Policies
      • Editorial Board
      • Aims and Scope
      • Abstracting and Indexing
      • Bibliographic Information
      • Archive
    • Molecular and Clinical Oncology
      • Information for Authors
      • Editorial Policies
      • Editorial Board
      • Aims and Scope
      • Abstracting and Indexing
      • Bibliographic Information
      • Archive
    • Molecular Medicine Reports
      • Information for Authors
      • Editorial Policies
      • Editorial Board
      • Aims and Scope
      • Abstracting and Indexing
      • Bibliographic Information
      • Archive
    • Oncology Letters
      • Information for Authors
      • Editorial Policies
      • Editorial Board
      • Aims and Scope
      • Abstracting and Indexing
      • Bibliographic Information
      • Archive
    • Oncology Reports
      • Information for Authors
      • Editorial Policies
      • Editorial Board
      • Aims and Scope
      • Abstracting and Indexing
      • Bibliographic Information
      • Archive
    • World Academy of Sciences Journal
      • Information for Authors
      • Editorial Policies
      • Editorial Board
      • Aims and Scope
      • Abstracting and Indexing
      • Bibliographic Information
      • Archive
  • Articles
  • Information
    • For Authors
    • For Reviewers
    • For Librarians
    • For Advertisers
    • Conferences
  • Language Editing
Login Register Submit
  • This site uses cookies
  • You can change your cookie settings at any time by following the instructions in our Cookie Policy. To find out more, you may read our Privacy Policy.

    I agree
Search articles by DOI, keyword, author or affiliation
Search
Advanced Search
presentation
Experimental and Therapeutic Medicine
Join Editorial Board Propose a Special Issue
Print ISSN: 1792-0981 Online ISSN: 1792-1015
Journal Cover
September-2022 Volume 24 Issue 3

Full Size Image

Sign up for eToc alerts
Recommend to Library

Journals

International Journal of Molecular Medicine

International Journal of Molecular Medicine

International Journal of Molecular Medicine is an international journal devoted to molecular mechanisms of human disease.

International Journal of Oncology

International Journal of Oncology

International Journal of Oncology is an international journal devoted to oncology research and cancer treatment.

Molecular Medicine Reports

Molecular Medicine Reports

Covers molecular medicine topics such as pharmacology, pathology, genetics, neuroscience, infectious diseases, molecular cardiology, and molecular surgery.

Oncology Reports

Oncology Reports

Oncology Reports is an international journal devoted to fundamental and applied research in Oncology.

Experimental and Therapeutic Medicine

Experimental and Therapeutic Medicine

Experimental and Therapeutic Medicine is an international journal devoted to laboratory and clinical medicine.

Oncology Letters

Oncology Letters

Oncology Letters is an international journal devoted to Experimental and Clinical Oncology.

Biomedical Reports

Biomedical Reports

Explores a wide range of biological and medical fields, including pharmacology, genetics, microbiology, neuroscience, and molecular cardiology.

Molecular and Clinical Oncology

Molecular and Clinical Oncology

International journal addressing all aspects of oncology research, from tumorigenesis and oncogenes to chemotherapy and metastasis.

World Academy of Sciences Journal

World Academy of Sciences Journal

Multidisciplinary open-access journal spanning biochemistry, genetics, neuroscience, environmental health, and synthetic biology.

International Journal of Functional Nutrition

International Journal of Functional Nutrition

Open-access journal combining biochemistry, pharmacology, immunology, and genetics to advance health through functional nutrition.

International Journal of Epigenetics

International Journal of Epigenetics

Publishes open-access research on using epigenetics to advance understanding and treatment of human disease.

Medicine International

Medicine International

An International Open Access Journal Devoted to General Medicine.

Journal Cover
September-2022 Volume 24 Issue 3

Full Size Image

Sign up for eToc alerts
Recommend to Library

  • Article
  • Citations
    • Cite This Article
    • Download Citation
    • Create Citation Alert
    • Remove Citation Alert
    • Cited By
  • Similar Articles
    • Related Articles (in Spandidos Publications)
    • Similar Articles (Google Scholar)
    • Similar Articles (PubMed)
  • Download PDF
  • Download XML
  • View XML
Case Report

Cardiac hydatid cysts in a young man: A case report and a literature review

  • Authors:
    • Mircea Bajdechi
    • Dalia Manolache
    • Adrian Tudor
    • Mihnea Orghidan
    • Adriana Gurghean
  • View Affiliations / Copyright

    Affiliations: Department 1, Medical Semiology, ‘Carol Davila’ University of Medicine and Pharmacy, 050474 Bucharest, Romania, Department of Pneumology and Thoracic Surgery, ‘Marius Nasta’ Institute of Pneumology, 050159 Bucharest, Romania
  • Article Number: 550
    |
    Published online on: July 1, 2022
       https://doi.org/10.3892/etm.2022.11487
  • Expand metrics +
Metrics: Total Views: 0 (Spandidos Publications: | PMC Statistics: )
Metrics: Total PDF Downloads: 0 (Spandidos Publications: | PMC Statistics: )
Cited By (CrossRef): 0 citations Loading Articles...

This article is mentioned in:



Abstract

Cystic hydatid disease commonly affects the liver and lungs. Cardiac hydatid cysts are a rare occurrence and can cause fatal complications, including anaphylactic shock, systemic or pulmonary embolism, dissemination, arrhythmias, valvular dysfunction or sudden death. The case of a 19‑year‑old male from a rural area who was admitted to the emergency room with anaphylactic shock is presented in the current study. The patient was subsequently referred to the Department of Pneumology due to a mild fever, a dry cough and thoracic pain. Pneumonia was suspected and antibiotics were administered. As the patient didn't respond to the antibiotics, a pulmonary CT‑scan was performed, which demonstrated a bilateral pulmonary embolism of the segmental arteries and the patient was referred to the Department of Cardiology. Transthoracic echocardiography (TTE) demonstrated the presence of a right ventricular mass of ~25x18 mm, attached to its free wall, adjacent to the tricuspid valve causing no tricuspid inflow obstruction. Blood tests were positive for echinococcal infection. Considering that previous reviews had included cases published up until 2018, the present study also included a short literature review of the studies published between 2018 and 2021. The review showed that cardiac hydatid cysts are diagnosed more often in underdeveloped countries, especially in men. Transthoracic echocardiography is the most useful non‑invasive imaging technique for diagnosis. Surgery is the treatment of choice, but consideration must be given to the risk‑benefit ratio and the shared decision‑making approach. The complete surgical removal of the cyst(s) is the major prognosis factor of the cardiac manifestation. This study emphasizes the importance of considering cardiac echinococcosis as a potential diagnosis in patients from endemic or farming areas.

Introduction

Human hydatid disease is caused by the larval stages of tapeworms of the genus Echinococcus. Cystic echinococcosis is a parasitic disease which infects humans when the ova, found in dog feces, are swallowed (1,2). In Europe, hydatid disease is a common health problem, especially in sheep-farming countries. Balkan countries, southern and insular Italy, and central Spain have reported high incidence rates of echinococcosis (1,2). When slowly growing cysts are found in the viscera, echinococcosis must be considered. ELISA is a test with a high sensitivity to detect antibodies against Echinococcus granulosus (3). The liver is the most frequent primary site of Echinococcus granulosus infection (60-70%), followed by the lungs (10-15%) and spleen (2). Cardiac echinococcosis is a rare occurrence and clinical manifestation depends on the location, size and integrity of the cyst (1,2). Among all infected patients, 0.5-2% exhibit cardiac involvement (4,5). The prevalence of right ventricular hydatid cysts is low (~10%) compared with the prevalence of left ventricular cysts (60%) (5). Cardiac hydatidosis can cause fatal complications, such as anaphylactic shock, systemic embolism when the cyst is located in the left ventricular outflow tract, or pulmonary embolism when it is located in the right ventricular outflow tract (6-8). Macroscopically, it has a uni- or multi-cystic cavity, filled with fluid, containing small daughter cysts and hydatid sand (9). Microscopic examinations are essential in order to establish the diagnosis. Surgery is the treatment of choice (10), but the risk-benefit ratio must be considered. The complete surgical removal of the cyst(s) is the major prognostic factor of the cardiac manifestation (3). Adjunctively, albendazole should be adimistrated several days before surgery and a few weeks after resection (11). The hydatid cyst occurrence rate is 10% after surgery, but if medical treatment is given, this rate can decrease (12). The present study emphasizes the importance of considering cardiac echinococcosis as a potential diagnosis in patients from endemic or farming areas.

Case report

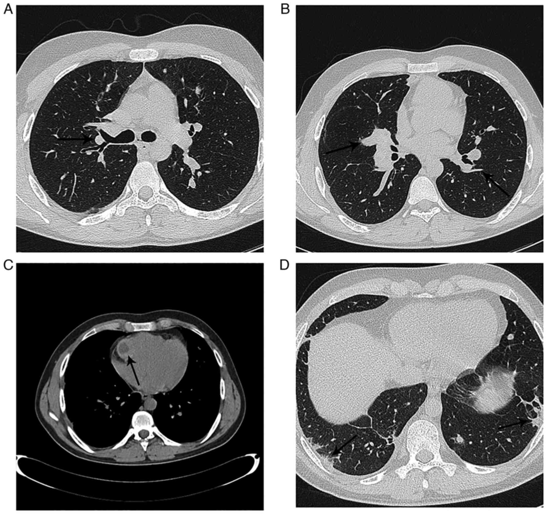
The case of a 19-year-old male from a rural area, who was admitted to a local Emergency Department (Hospital of Buzau, Buzau, Romania) in April 2016 with anaphylactic shock, is presented. Considering the patient's symptoms, including a mild fever (37.5˚C), sharp right-sided thoracic pain and a dry cough, he was referred to the Department of Pneumology. Chest radiography indicated left lower lobe pneumonia and as the patient's CURB-65 (scored based on confusion; BUN, >20 mg/dl; respiratory rate, ≥30 breaths/min; blood pressure: Systolic, <90 mmHg; diastolic, ≤60 mmHg; and age, ≥65 years) score was 0, the patient received amoxicillin and clavulanic acid (875/125 mg) twice-daily for 7 days and was discharged. Over the next 10 days the patient's symptoms worsened and he was admitted again to the same hospital and a pulmonary CT scan was performed. The pulmonary CT-scan demonstrated a bilateral pulmonary embolism of the segmental arteries (Fig. 1A and B), as well as a cystic mass on the right ventricular free wall (Fig. 1C). The patient was therefore referred to the Department of Cardiology of the ‘Coltea’ Clinical Hospital (Bucharest, Romania).

Figure 1

Pulmonary CT scan presenting (A) bilateral central pulmonary nodules, (B) a bilateral pulmonary embolism of the segmental arteries, (C) a mass on the right ventricle free wall and (D) subpleural pulmonary nodules.

Following admission to the Department of Cardiology, the patient had no fever, was hemodynamically stable, had a normal respiratory rate, had 94% oxygen saturation while breathing ambient air and exhibited barely audible respiratory sounds in his left lung basal segment, as well as fine rales. Routine laboratory tests demonstrated eosinophilia (12.2%; normal cut off, 5%), elevated D-dimer (464 ng/ml; normal cut off, 250 ng/ml) and elevated C-reactive protein (3.9 mg/dl; normal cut off, 0.3 mg/dl) levels. A standard electrocardiogram demonstrated an S1Q3T3 pattern and nonspecific intraventricular conduction delay in the inferior leads (Fig. 2). Furthermore, transthoracic echocardiography (TTE) revealed a slightly enlarged right ventricle (RV), with moderate RV systolic dysfunction, as well as a bi-lobular mass attached to the right ventricular free wall adjacent to the right ventricular inflow, without causing any inflow obstruction (Fig. 3A). Transesophageal echocardiography did not provide any additional information. Furthermore, at that time, the patient had no other organ involvement. During hospitalization, the patient received low molecular weight heparin (enoxaparin, 60 mg/0.6 ml twice-daily by subcutaneous injection) and a parasitology exam was requested. The ELISA assay (SERION ELISA Classic; SERION Diagnostics) was positive for E. granulosus IgG antibodies (10.18 U/ml; normal cut off, 1.1 U/ml) and therefore antiparasitic treatment using albendazole (400 mg, twice daily) was administered. During hospitalization, the clinical evolution improved and the patient became stable and asymptomatic. The patient was discharged with conservative treatment (albendazole, 400 mg twice-daily; levocetirizine, 5 mg twice-daily) and a recommendation for cardiac surgery evaluation, which the patient refused. In the first year of clinical evolution, the patient was assessed in the Department of Cardiology twice and was stable and asymptomatic. Serial transthoracic echocardiograms demonstrated a marked reduction in the dimensions of the RV cardiac cyst and an increase in its echogenicity (Fig. 3B).

Figure 2

Standard electrocardiogram presenting (on the initial presentation) normal sinus rhythm, normal QRS axis (at 50˚), QRSD 120 msec, ventricular rate 80/min, S1Q3T3 pattern (arrows) and nonspecific intraventricular conduction delay in DIII, and aVF, QTc 404 msec. QTc, corrected QT interval; QRSD, QRS duration; aVR, augmented right vector; aVL, augmented left vector; aVF, augmented vector foot.

Figure 3

Transthoracic echocardiography presenting (A) initial presentation a slightly enlarged RV, moderate RV systolic dysfunction and a bi-lobular mass attached to the free right ventricular wall adjacent to the tricuspid valve causing no obstruction (arrow), and a (B) marked reduction in dimensions of the RV cardiac cyst and an increase of its echogenicity (1-year follow-up). RV, right ventricle.

After the first year, the patient was lost to follow-up for 2 years, and during the subsequent year, the patient presented at the Department of Pneumology with hemoptysis after abandoning the antiparasitic treatment. A pulmonary CT-scan showed bilateral central pulmonary nodules and subpleural pulmonary nodules (Fig. 1D) and the patient was referred for thoracic surgery where four hydatid cysts were excised. Histological analysis confirmed the presence of pulmonary hydatid cysts (Fig. 4) and it was recommended that the patient resume antiparasitic treatment.

Figure 4

Histological analysis of excised hydatid cysts. (A) Anhydrous, lamellar, hyaline hydatid cyst membrane (magnification, x10). (B) Two hydatic cysts (magnification, x10). (C) Protoscolex (magnification, x40). (D) Granulation tissue rich in eosinophils (magnification, x40). All described features are highlighted using arrows.

Literature review

A short PubMed (https://pubmed.ncbi.nlm.nih.gov/) literature review on cardiac echinococcosis was performed. Search criteria included the following keywords: ‘cardiac hydatid cyst echinococcosis’. Considering that other reviews included cases that were published up until 2018 (11,13), it was determined that cases reported between 2018-2021 would be analyzed in the present study. The collected data are presented in Table I.

Table I

PubMed literature review of cases reported between 2018 and 2021.

Table I

PubMed literature review of cases reported between 2018 and 2021.

First author/s, yearAge, yearsSexCountrySymptom/sDiagnostic method/sLocalizationSize of cyst/s (mm)Medication/sSurgeryFollow-up(Refs.)
Firouzi et al, 201957MaleIranAtypical chest painTTELeft ventricle/ right AV groove107x75 27x25AlbendazoleYes-(44)
Yimamu et al, 202139MaleChinaAsymptomaticCT/TTEPericardium72x86 85x75AlbendazoleYes12 months no recurrence(49)
Singh et al, 201957MaleIndiaSyncopeTEE/CMRRight ventricle10x10Albendazole/ mebendazoleNo12 months no recurrence(50)
Separovic Hanzevacki et al, 201821MaleCroatiaPalpitations/ fatigueTTE/CMRInterventricular septum68x28x51 (by CMR)Albendazole/ praziquantelYes6 months no recurrence(51)
Emam Hadi et al, 201830FemaleIranShortness of breath, heaviness on the chest, sudden deathAutopsyInferior vena cava/right atrium/right ventricleMultiple cysts, 30 (average)---(52)
Mesrati et al, 202026MaleTunisiaMild chest pain, syncope, sudden deathAutopsyRight ventricle50x49---(53)
Kumar et al, 202032FemaleIndiaAtypical chest painTTE/CMRRight ventricle60x40 (by TTE) 35x59x45 (by CMR)AlbendazoleYesNo data(14)
Jamli et al, 202027 patients (mean age, 35 years)Male/ female, 1.7TunisiaAtypical chest pain (n=17), dyspnea (n=10), palpitations (n=16), otherTTE/TEE/ CMRRight ventricle (n=7) left ventricle (n=5) septal (n=5) otherNo dataAlbendazoleYes (all)19 patients follow-up (8.4±3.9 years) No recurrence(64)
Wadhawa et al, 201810 patients (mean age, 35.9+12.04 years)Male/ female, 1.4IndiaDyspnea (n=7), chest pain (n=7), fatigue (n=6), otherTTE/CT/ CMRLeft ventricle (n=7)/ interventricular septum (n=2)/ pericardial (n=2)40x20 (minimum) 120x110 (maximum)AlbendazoleYes (all)10 patients follow-up (2 months- 5 years) No recurrence(54)
Giri et al, 202079FemaleBhutanDyspneaTTE/CTInterventricular septum67x76x82AlbendazoleYesNo data(15)
Lu et al, 201944FemaleChinaPalpitationsCMRInterventricular septum and posterior apex of the left ventricle61x46No dataYes16 months No recurrence(65)
Kuemmerl et al, 202129MaleSouthern EuropeSyncopeCMRPericardium130AlbendazoleYes3 months No recurrence(16)
Çankaya et al, 202120FemaleTurkeyDyspnea, chest painTTE/CMRRight ventricle43x35x28AlbendazoleYesNo data(17)
Iriz et al, 202015FemaleTurkeyAtypical chest painTTE/ CT/CMRInterventricular septum57x44x42AlbendazoleYesNo data(18)
de Gregorio et al, 202150MaleItalyDyspnea, atypical chest painTTE/CT/ CMRInterventricular septum/ pericardium/ right ventricle outflow tractNo dataAlbendazoleYesNo data(8)
Singh et al, 201928MaleIndiaDyspneaTTE/CTLeft ventricle/ pericardiumNo dataAlbendazoleNoNo data(50)
Singh et al, 202125MaleIndiaDyspnea, chest painTTE/TEEInterventricular septum69x56Albendazole/ praziquatelYesDied on postoperative day zero(20)
Shakerian et al, 202134MaleIranDyspneaTTE/CTRight ventricle outflow tract40x40AlbendazoleYesNo data(21)
Alami et al, 201943MaleMoroccoDyspnea, chest painCT/MRIInterventricular septumNo dataAlbendazoleYes12 weeks No recurrence(22)
Cheng et al, 202148MaleChinaChest painTTE/CMRRight ventricle29x26AlbendazoleNoNo data(23)
De et al, 202050FemaleVietnamDyspnea, chest painChest MRILeft ventricle30x33AlbendazoleYes2 months No recurrence(24)
Rhissassi et al, 202123MaleMoroccoAsymptomaticTTE/CMRRight ventricle53x56AlbendazoleYesNo data(25)
Jain et al, 202146MaleTurkmenistanDyspneaTTE/ MRI/CTPericardiumNo dataAlbendazoleYes1 month No recurrence(26)
Madisson- Bernardo et al, 201949MaleBrazilDyspnea, atypical chest painChest MRI/ TTEPericardiumNo dataAlbendazoleNo1 year No recurrence(27)
Kaskar et al, 202014FemaleIndiaDyspneaCT/TTE/ TEERV29x12AlbendazoleYes3 months No recurrence(28)
Handran et al, 202047MaleSudanSyncopeCT/MRIInterventricular septum50x50No dataYesNo data(29)
Kohlmaier et al, 201816FemaleAustriaDyspneaTTE/CT/ MRIRV40x40Albendazole/ praziquantelYes7 months Pulmonary arterial hypertension (systolic arterial pressure, 50 mmHg)(30)
Vural et al, 201922MaleTurkeyAnginaTTE/ Cineangio- graphyLeft ventricle/ intracoronary20x20AlbendazoleYes1 year No recurrence(31)
Derbel et al, 201937MaleTunisiaAcute blurred visionCT/TTEInterventricular septum30x30AlbendazoleYesNo data(32)
Orhana et al, 201826MaleTurkeyDyspnea, hemoptysisTTERVNo dataAlbendazoleYesNo recurrence(6)
Stiru et al, 201924MaleRomaniaFacial paralysis, headachesTTE/CTInterventricular septum23x19AlbendazoleYes1 year No recurrence(33)
Sarr et al, 201965MaleSenegalLimb edemaTTE/CTPericardium86x61AlbendazoleNo2 months Fatal outcome(55)
Sonsoz and Gunes, 202032MaleTurkeyConstitutional symptomsTTE/CMRRV25x21AlbendazoleYesDied on postoperative day 2(34)
Al-Hakkak et al, 201918MaleIraqAcute right lower limb painTTE/CTLeft ventricle36x40AlbendazoleYesNo data(35)
Rossetti et al, 201815MaleArgentinaAcute right lower limb painTTELeft ventricle30x30Albendazole/ praziquantelYes2 years No recurrence(7)
Wedin et al, 202138MaleSwedenChest painTTE/TEE/ CMR/CTInterventricular septum35x65AlbendazoleYes1 year No recurrence(36)
Guha et al, 202118MaleIndiaChest pain, feverTTE/TEE/ CTInteratrial septum73x32AlbendazoleYes1 year No recurrence(37)
Verma et al, 202017MaleIndiaCough, feverCTRVNo dataAlbendazoleYesNo data(38)
Fennira et al, 201926MaleTunisiaChest pain, astheniaTTEInterventricular septum48x49AlbendazoleYes8 months No recurrence(13,39)
Zhang et al, 202031FemaleChinaCough, fever, hemoptysis, palpitationsTTE/MRIRight atrium/ pericardium25x50AlbendazoleYes1 year No recurrence(40)
Zghal et al, 202068MaleTunisiaStroke, sudden deathsTTELeft ventricle25x25-NoDied(41)
İyigün et al, 202018MaleTurkeyAsymptomaticTTE/TEE/ CMRInterventricular septum47x47x74AlbendazoleYesNo date(42)
Modani et al, 201857MaleIndiaChest painTTE/CMRInterventricular septum40x45AlbendazoleYes30 days No recurrence(43)
Berarducci et al, 202148MaleMexicoPalpitations, drowsinessTTE/CMR/ 3D CTRVNo dataNo dataYesNo recurrence(45)
Meimand et al, 202031MaleIranDyspnea, hemoptysisTTE/TEE/ CTRV48x20AlbendazoleYesDied on postoperative day 3(46)
Meimand et al, 202031MaleIranRight hemiparesisCT/MRI/ TTE/TEEInterventricular septum85x60AlbendazoleYes2 months No recurrence(46)
Vazhev et al, 201818FemaleBulgariaNo dataTTE/CTLeft ventricle63x53AlbendazoleYes1 year No recurrence(47)
Lyazidi et al, 202114FemaleMoroccoDyspnea, palpitationsTTERV47x33AlbendazoleYes6 months No recurrence(48)
Harmouchi et al, 202215N/AMoroccoCough, arthralgiaTTE/CMRRight atrium23x32AlbendazoleYesNo data(66)

[i] RV, right ventricle; TTE, transthoracic echocardiography; TEE, transesophageal echocardiography; CMR, cardiac magnetic resonance, AV, atrioventricular; PAH, pulmonary hypertension; sPAP, systolic pulmonary pressure; N/A, not available.

Cardiac hydatid cysts are more often diagnosed in men living in underdeveloped countries (1,11). Among 47 reported cases identified in the present literature review, >70% of patients were male (4-6,12-53). The median age of patients with cardiac echinococcosis was 36 years. Cardiac echinococcosis symptoms varied greatly, with chest pain and dyspnea being the most common (34%). The most common cardiac tissue involved was the RV (32%), followed by the interventricular septum (27%) and pericardium (13%) (12-50). Moreover, cardiac hydatid cysts were reported to vary in size. The largest cysts identified in the present review were >100 mm long (16,44,54), whereas the median cyst length was 47.5 mm. The most useful imaging technique was TTE. Furthermore, the review data indicated that >80% of patients underwent cardiac surgery. Most of the patients were followed-up for 12 months (surgical and non-surgical patients). A total of four patients died shortly after diagnosis; three deaths were caused by postoperative complications and one was caused by stroke (20,34,41,53).

From the present literature review it was concluded that cardiac echinococcosis is more common in men <40 years old and patients may present with various symptoms. Their size can vary greatly, reaching >100 mm in length (16,44,54). TTE is the most useful imaging technique due to its availability, reproducibility, accuracy and safety. To improve the characterization of the tumor, cardiac MRI can be performed. Surgery is the treatment of choice, but the risk-benefit ratio and shared decision making with the patient must be considered. The available data from non-surgical patients shows that three of them died shortly after diagnosis (<2 months) (19,41,55) and two of them had a good outcome (23,27). In the present case, the patient refused cardiac surgery and chose medical treatment. Albendazole is an active agent against Echinococcus and should be administrated adjunctively, pre- and post-surgery (11). No disease recurrence was observed in patients who underwent surgery and pharmaceutical treatment with albendazole.

Discussion

Human hydatid cysts are caused by the larval stages of tapeworms of the genus Echinococcus (56). In most cases, multiple organs are affected. Cardiac echinococcosis appears in 0.5-2% of patients, usually with multiple organ involvement, following the invasion of the myocardium via the coronary artery (57). Most commonly cardiac hydatid cysts involve the left ventricular cavity (60%), followed by the right ventricular cavity (10-15%), pericardium (7%), the atria and the interventricular septum (2). Moreover, clinical manifestations of benign cardiac tumors depend on the size and location of the mass and the infiltration of adjacent tissues (58). Most patients with cardiac hydatid cysts are asymptomatic. Signs and symptoms of cardiac echinococcosis are nonspecific and are directly related to the location and the size of the cysts. They may develop because of compression or rupture of the hydatid cyst, which is the most important and potentially fatal complication. Generally, nonspecific chest pain is the most common symptom, whereas dyspnea following exertion is often related to multiple hydatic cysts in the lungs (59). The major complications of cardiac hydatid cysts include anaphylactic shock, cardiac tamponade, systemic or pulmonary embolism, arrhythmias, valvular dysfunction and sudden death (11). Anaphylactic shock was the first symptom in the present case, which was treated with adrenaline, according to the available protocols (60). Shortly after anaphylactic shock, the patient developed a pulmonary embolism requiring low-molecular weight heparin (enoxaparin, 60 mg/0.6 ml twice daily).

The diagnosis of hydatid cysts is based on imaging results and specific serological tests (3). The method of choice to detect cardiac hydatic cysts and determine their number, size, location and relation to other anatomical structures is 2D TTE. Cardiac MRI may be useful for improved characterization of cardiac tumors, but it requires appropriate experience to be used effectively. ELISA is the most specific serologic test that can be used and a positive result for Echinococcus antibodies confirms the diagnosis (61). Surgery is the treatment of choice (10,11), but the risk-benefit ratio must be considered and shared decision making with the patient must be taken into account. Shared decision-making is not commonly used in Romania and it depends on numerous factors, including the level of education of the patient (62). In the present case report, the patient refused cardiac surgery. If complete removal of the cysts is possible the prognosis is good, with a low rate of recurrence (11). Medical treatment with albendazole has a role in reducing the size of cysts and stopping their development and represents the only therapeutic option in inoperable cases (63).

In the present study the echocardiographic assessments at serial evaluation (four times in 3 years) documented marked reductions in the dimensions and increases in echogenicity of the right ventricular hydatid cyst under antiparasitic treatment. These results suggested a low risk of rupture; however, symptoms of pulmonary embolism occurred in the evolution of the present case. Therefore, in the absence of cardiac surgery, the prognosis and further evolution are unpredictable and long-term antiparasitic treatment and frequent clinical, imagistic and biological evaluation are required.

Cardiac echinococcosis infection can clinically have a wide range of symptoms, from none at all to sudden death. Diagnosis must be suspected in patients who come from regions where tapeworms of the genus Echinococcus are endemic. The patient in the present study lived in a rural area of an endemic country and the symptomatology at the first hospital admission was anaphylactic shock. Moreover, blood tests showed eosinophilia, which led to the consideration of a parasitic infection in the differential diagnosis. The clinical history of the patient is important and echocardiography is a reliable, safe and effective imaging method for the initial diagnosis.

Acknowledgements

Not applicable.

Funding

Funding: No funding was received.

Availability of data and materials

All data generated or analyzed during this study are included in this published article.

Authors' contributions

MB wrote the initial draft, collected data by performing the experiments, performed the review, constantly revised the article according to reviewers and participated in the final design of the article. DM was involved in the acquisition of data and described the patient evolution and management. AT performed and described the microscopic examination. MO performed the thoracic surgery, revised the initial draft and analyzed data from the literature. AG was involved in the analysis and interpretation of data, performed the literature review and revised the final manuscript. MB and AG confirm the authenticity of all the raw data. All authors read and agreed to the final manuscript.

Ethics approval and consent to participate

Ethics approval was obtained from the Medical Ethics Commission for Clinical Studies in the ‘Coltea’ Clinical Hospital (Bucharest, Romania; approval number 24216/86; 2021/12/09).

Patient consent for publication

Written informed consent for publication was obtained from the patient prior to publication at the time of admission.

Competing interests

The authors declare that they have no competing interests.

References

1 

Tamarozzi F, Legnardi M, Fittipaldo A, Drigo M and Cassini R: Epidemiological distribution of Echinococcus granulosus s.l. infection in human and domestic animal hosts in European mediterranean and balkan countries: A systematic review. PLoS Negl Trop Dis. 14(e0008519)2020.PubMed/NCBI View Article : Google Scholar

2 

Eckert J and Deplazes P: Biological, epidemiological, and clinical aspects of echinococcosis, a zoonosis of increasing concern. Clin Microbiol Rev. 17:107–135. 2004.PubMed/NCBI View Article : Google Scholar

3 

Kahlfuß S, Flieger RR, Roepke TK and Yilmaz K: Diagnosis and treatment of cardiac echinococcosis. Heart. 102:1348–1353. 2016.PubMed/NCBI View Article : Google Scholar

4 

Gençpınar T, Guzeloglu M, Aykut K, Albayrak G and Hazan E: A rare localization of hydatid cyst: Right ventricular free wall cyst fistulized to the ventricular cavity. J Cardiovasc Surg. 1(13)2013.

5 

L'aarje A, Lyazidi S, Kitane Y, Alami A and Habbal R: Cardiac hydatid cyst of the right ventricle: Severe localization. J Cardiol Cases. 16:138–140. 2017.PubMed/NCBI View Article : Google Scholar

6 

Orhana G, Bastopcua M, Aydemirb B and Ersoz MS: Intracardiac and pulmonary artery hydatidosis causing thromboembolic pulmonary hypertension. Eur J Cardiothorac Surg. 53:689–690. 2018.PubMed/NCBI View Article : Google Scholar

7 

Rossetti E, Boto A, González Cambaceres C, Ruvinsky S and Sagray E: Colaboradores. Acute arterial embolism as the clinical presentation of a disseminated hydatidosis: Case report. Arch Argent Pediatr. 116:e616–e620. 2018.PubMed/NCBI View Article : Google Scholar : (In English, Spanish).

8 

de Gregorio C, Ferrazzo G, Ceresa F, De Donno BF and Patanè F: Dynamic right ventricular outflow tract obstruction by cardiac hydatic cysts: A multimodality imaging study. J Clin Ultrasound. 49:690–692. 2021.PubMed/NCBI View Article : Google Scholar

9 

Gurzu S, Beleaua MA, Egyed-Zsigmond E and Jung I: Unusual location of hydatid cysts: Report of two cases in the heart and hip joint of Romanian patients. Korean J Parasitol. 55:429–431. 2017.PubMed/NCBI View Article : Google Scholar

10 

Thameur H, Abdelmoula S, Chenik S, Bey M, Ziadi M, Mestiri T, Mechmeche R and Chaouch H: Cardiopericardial hydatid cysts. World J Surg. 25:58–67. 2001.PubMed/NCBI View Article : Google Scholar

11 

Yaman ND and Sirlak M: Cardiac hydatid cysts-review of recent literature. J Vet Med Res. 4(1102)2017.

12 

Wen H, Zou PF, Yang WG, Lu J, Wang YH, Zhang JH, New RR and Craig PS: Albendazole chemotherapy for human cystic and alveolar echinococcosis in north-western China. Trans R Soc Trop Med Hyg. 88:340–343. 1994.PubMed/NCBI View Article : Google Scholar

13 

Fennira S, Kamoun S, Besbes B, Ben Mrad I, Zairi I, Ben Moussa F, Mzoughi K and Kraiem S: Cardiac hydatid cyst in the interventricular septum: A literature review. Int J Infect Dis. 88:120–126. 2019.PubMed/NCBI View Article : Google Scholar

14 

Kumar A, Ballal P, Nagamani AC and Sheriff SA: Surgical excision of an epicardial ventricular hydatid cyst. Asian Cardiovasc Thorac Ann. 28:273–275. 2020.PubMed/NCBI View Article : Google Scholar

15 

Giri S, LeVine S and Watts MR: Ventricular tachycardia and the cystic heart: A case report. J Emerg Med. 58:e243–e246. 2020.PubMed/NCBI View Article : Google Scholar

16 

Kuemmerli C, Sánchez-Velázquez P, Tschuor C, Oberkofler C, Lachat M, Müllhaupt B, Clavien PA and Petrowsky H: When Echinococcus granulosus transmigrates from the liver into the pericardium: A case report. J Surg Case Rep. 2021(rjaa492)2021.PubMed/NCBI View Article : Google Scholar

17 

Çankaya BY and Çolak A: Cystic echinococcosis involving the cardiac interventricular septum. Rev Soc Bras Med Trop. 54:e0499–2020. 2021.PubMed/NCBI View Article : Google Scholar

18 

Iriz E, Yayll S and Kula S: Cystic echinococcosis of the interventricular septum: A rare clinical presentation. Cardiol Young. 30:1515–1516. 2020.PubMed/NCBI View Article : Google Scholar

19 

Singh S and Yadav MK: Extensive myocardial calcification mimicking giant honey-bee associated with cardiac hydatid cyst. Int J Cardiovasc Imaging. 37:163–164. 2021.PubMed/NCBI View Article : Google Scholar

20 

Singh A, Negi S, Kumar R, Toshkani D and Niyogi SG: Honeycomb in the heart: A rare case of hydatid cyst of the interventricular septum. J Clin Ultrasound. 49:803–804. 2021.PubMed/NCBI View Article : Google Scholar

21 

Shakerian B and Mandegar MH: Huge hydatid cyst of the right ventricular outflow tract. Sultan Qaboos Univ Med J. 21:485–487. 2021.PubMed/NCBI View Article : Google Scholar

22 

Alami B, Boujraf S, Alaoui-Lamrani Y, Boubbou M and Maaroufi M: Hydatid cyst in interventricular septum. Ann Card Anaesth. 22:343–344. 2019.PubMed/NCBI View Article : Google Scholar

23 

Cheng Z, Fang T and Guo Y: Typical MRI of cardiac hydatid involvement: A case report. Acta Cardiol. 76:324–325. 2021.PubMed/NCBI View Article : Google Scholar

24 

De NV, Minh PN, Duyet LV, Bich NN, Son TN, Jung BK and Chai JY: Two human cases of Echinococcus ortleppi infection in the lung and heart in vietnam. Korean J Parasitol. 58:451–456. 2020.PubMed/NCBI View Article : Google Scholar

25 

Rhissassi J, Bouhdadi H, Wazaren H, El aamadi W, Bouchikh M and Laaroussi M: Incidental finding of multiple pulmonary and cardiac hydatid cysts. Ann Cardiol Angeiol (Paris). 70:122–124. 2021.PubMed/NCBI View Article : Google Scholar

26 

Jain SK, Jha VK and Mani GK: Concurrent intrapericardial-pulmonary hydatidosis: An unusual multisystem echinococcosis. Indian J Thorac Cardiovasc Surg. 37:438–441. 2021.PubMed/NCBI View Article : Google Scholar

27 

Madisson-Bernardo M, Bernardo D, Trad HS, Meneghelli U, Villanova M and Schmidt A: Intense pericardial involvement in polycystic echinococcosis submitted to successful medical treatment. Circ Cardiovasc Imaging. 12(e009826)2019.PubMed/NCBI View Article : Google Scholar

28 

Kaskar A, Shetty V and Shetty D: Chronic pulmonary thromboembolism due to intracardiac and pulmonary hydatidosis. Asian Cardiovasc Thorac Ann. 28:610–612. 2020.PubMed/NCBI View Article : Google Scholar

29 

Handran CB, Hurwitz Koweek LM and Mammarappallil JG: Case 274: Cardiac Echinococcus. Radiology. 294:478–481. 2020.PubMed/NCBI View Article : Google Scholar

30 

Kohlmaier B, Trobisch A, Pfurtscheller K, Knez I, Klepetko W, Pilhatsch A, Schweintzger S and Zenz W: Cardiac and pulmonary cystic echinococcosis with massive obstruction of the pulmonary vessel system in a 16-year-old girl. Pediatr Infect Dis J. 37:e273–e275. 2018.PubMed/NCBI View Article : Google Scholar

31 

Vural U, Aglar AA and Kayacioglu İ: Intracoronary hydatid cyst resulted in coronary artery disease in a young patient. Braz J Cardiovasc Surg. 34:107–110. 2019.PubMed/NCBI View Article : Google Scholar

32 

Derbel B, Ziadi J, Besbes T, Dougaz W, Mleyhi S, Zairi I and Denguir R: Intracardiac echinococcosis cyst mimicking a septal cardiac tumor with neurological symptoms. Int J Infect Dis. 88:152–153. 2019.PubMed/NCBI View Article : Google Scholar

33 

Stiru O, Carmen Geana R, Antohi L, David L, Goicea M, Paunescu A, Chioncel O and Anton Iliescu V: Incidentally detected cardiac and hepatic hydatid cyst after sudden onset facial paralysis: A case report. Arch Clin Med Case Rep. 3:190–198. 2019.

34 

Sonsoz MR and Gunes SC: An intra-cardiac mass in a patient with Behçet's disease: Cardiac hydatid cyst. Echocardiography. 37:646–648. 2020.PubMed/NCBI View Article : Google Scholar

35 

Al-Hakkak SMM, Al-Faham FSM and Al-Awwady AN: Acute limb ischemia caused by ruptured cardiac hydatid cyst-a case report. Int J Surg Case Rep. 55:18–22. 2019.PubMed/NCBI View Article : Google Scholar

36 

Wedin JO, Astudillo RM, Kurland S, Grinnemo KH, Astudillo R, Vikholm P and Schiller P: A rare case of cardiac echinococcosis: The role of multimodality imaging. CASE (Phila). 5:230–234. 2021.PubMed/NCBI View Article : Google Scholar

37 

Guha A, Ranjan R, Saxena P and Mehta Y: A rare case of cardiac hydatid cyst. Ann Card Anaesth. 24:470–472. 2021.PubMed/NCBI View Article : Google Scholar

38 

Verma PK, Rohilla R, Natarajan V and Gupta PK: A rare case of coexisting tuberculosis with hydatid disease from North India with review of literature. BMJ Case Rep. 13(e235301)2020.PubMed/NCBI View Article : Google Scholar

39 

Fennira S, Sarray H, Kammoun S, Zoubli A, Kammoun Y, Kraiem S and Jerbi S: A large cardiac hydatid cyst in the interventricular septum: A case report. Int J Infect Dis. 78:31–33. 2019.PubMed/NCBI View Article : Google Scholar

40 

Zhang X, Wei X, Ran L and Tang H: A rare case of cardiac alveolar echinococcosis. Eur Heart J. 41(2698)2020.PubMed/NCBI View Article : Google Scholar

41 

Zghal FM, Boudiche S, Zongo T, Rekik B, Ouali S and Mourali MS: An unusual cause of stroke and sudden death: Intracavitary left ventricular echinococcosis. Int J Infect Dis. 90:26–27. 2020.PubMed/NCBI View Article : Google Scholar

42 

İyigün T, Kyaruzi MM, Kutay V and Karakurt ST: Asymptomatic huge cardiac hydatid cyst located in the interventricular septum. Braz J Cardiovasc Surg. 35:235–238. 2020.PubMed/NCBI View Article : Google Scholar

43 

Modani S, Karthik DK, Heda S and Deshpande A: Atypical chest pain in a patient with hydatid cyst of the interventricular septum. BMJ Case Rep. 2018(bcr2018224833)2018.PubMed/NCBI View Article : Google Scholar

44 

Firouzi A, Neshati Pir Borj M and Alizadeh Ghavidel A: Cardiac hydatid cyst: A rare presentation of echinococcal infection. J Cardiovasc Thorac Res. 11:75–77. 2019.PubMed/NCBI View Article : Google Scholar

45 

Berarducci J, Armenta-Moreno JI, Garcia-Cardenas AM, Armendáriz-Ferrari JC and Espinola-Zavaleta N: Cardiac echinococcosis: A multimodality approach. Eur Heart J Case Rep. 5(ytab475)2021.PubMed/NCBI View Article : Google Scholar

46 

Meimand SE, Sadeghpour A, Pakbaz M, Ghavidel AA, Pouraliakbar H, Kamali M and Safaei A: Cardiac echinococcosis associated with other organ involvement: Report of two challenging cases. CASE (Phila). 5:33–38. 2020.PubMed/NCBI View Article : Google Scholar

47 

Vazhev ZG and Stoev HA: Cardiac echinococcosis involving left ventricular myocardium in an 18-year-old patient. Folia Med (Plovdiv). 60:308–313. 2018.PubMed/NCBI View Article : Google Scholar

48 

Lyazidi S, Abetti A, Abdellaoui A, El Adaoui A, Habbal R and Ettaoumi Y: Cardiac hydatid cyst in the right ventricle-a rare case report of echinococcosis presentation. Ann Med Surg (Lond). 66(102427)2021.PubMed/NCBI View Article : Google Scholar

49 

Yimamu R, Qing-Qing L and Wei-Min Z: Primary pericardial hydatid cyst in an asymptomatic butcher. Cardiol Young. 31:479–481. 2021.PubMed/NCBI View Article : Google Scholar

50 

Singh SK, Singh V, Kumar S, Devenraj V, Bhandari M and Pandey AK: Right ventricular hydatid cyst presented as tachyarrhythmia. Asian Cardiovasc Thorac Ann. 27:489–491. 2019.PubMed/NCBI View Article : Google Scholar

51 

Separovic Hanzevacki J, Gasparovic H, Reskovic Luksic V, Ostojic Z and Biocina B: Staged management of a giant cardiac hydatid cyst: A case report. BMC Infect Dis. 18(694)2018.PubMed/NCBI View Article : Google Scholar

52 

Emam Hadi MA, Najari F and Soleimani L: Sudden death due to hydatid cyst emboli; a case report. Emerg (Tehran). 6(e20)2018.PubMed/NCBI

53 

Mesrati MA, Mahjoub Y, Ben Abdejlil N, Boussaid M, Belhaj M, Limem H, Chadly A, Zakhama A and Aissaoui A: Case report: Sudden death related to unrecognized cardiac hydatid cyst. F1000Res. 9(286)2020.PubMed/NCBI View Article : Google Scholar

54 

Wadhawa V, Shah J, Doshi C, Ramani J, Lakhia K, Rathod D, Tavar R and Kothari J: Surgical overview of cardiac echinococcosis: A rare entity. Interact Cardiovasc Thorac Surg. 27:191–197. 2018.PubMed/NCBI View Article : Google Scholar

55 

Sarr SA, Aw F, Ndiaye M, Mingou J, Bodian M, Dioum M, Ngaidé AA, Ndiaye MB, Kane A, Diao M and Ba SA: Chronic right ventricular failure revealing a large compressive hydatid cyst at the cardiology department of the aristide le dantec hospital (Dakar, Senegal). Bull Soc Pathol Exot. 112:202–205. 2019.PubMed/NCBI View Article : Google Scholar : (In French).

56 

Gessese AT: Review on epidemiology and public health significance of hydatidosis. Vet Med Int. 2020(8859116)2020.PubMed/NCBI View Article : Google Scholar

57 

Dighiero J, Canabal EJ, Aguirre CV, Hazan J and Horjales JO: Echinococcus disease of the heart. Circulation. 17:127–132. 1958.PubMed/NCBI View Article : Google Scholar

58 

Bussani R, Castrichini M, Restivo L, Fabris E, Porcari A, Ferro F, Pivetta A, Korcova R, Cappelletto C, Manca P, et al: Cardiac tumors: Diagnosis, prognosis, and treatment. Curr Cardiol Rep. 22(169)2020.PubMed/NCBI View Article : Google Scholar

59 

Ben-Hamda K, Maatouk F, Ben-Farhat M, Betbout F, Gamra H, Addad F, Fatima A, Abdellaoui M, Dridi Z and Hendiri T: Eighteen-year experience with echinococcosus of the heart: Clinical and echocardiographic features in 14 patients. Int J Cardiol. 91:145–151. 2003.PubMed/NCBI View Article : Google Scholar

60 

Bălan H and Gurghean A: Anaphylactic shock: Are we doing enough and with the right timing and order? Rom J Intern Med. 53:191–198. 2015.PubMed/NCBI View Article : Google Scholar

61 

Sağlıcan Y, Yalçın Ö and Kaygusuz E: Cystic echinococcosis: One entity, two unusual locations. Turkiye Parazitol Derg. 40:51–53. 2016.PubMed/NCBI View Article : Google Scholar

62 

Baicus C, Balanescu P, Zeh S, Oprisan E, Lapadatu R, Gurghean A, Padureanu V, Rezus C, Mitu F, Jurcut R, et al: Characteristics of shared decision making in Romania from the patient perspective: A cross-sectional multicentric study. J Eval Clin Pract. 25:1152–1159. 2019.PubMed/NCBI View Article : Google Scholar

63 

Dumitru IM: Medical treatment of cystic echinococcosis. In: Derbel F, Braiki M (eds). Overview on Echinococcosis, 2019.

64 

Jamli M, Cherif T, Ajmi N, Besbes T, Mgarrech I, Jerbi S, Kortas C and Tarmiz A: Surgical management and outcomes of cardiac and great vessels echinococcosis: A 16-year experience. Ann Thorac Surg. 110:1333–1338. 2020.PubMed/NCBI View Article : Google Scholar

65 

Lu YM, Zhang L, Xing Q, Zhou XH, Li YD, Zhang JH, Zukela T and Tang BP: Ventricular tachycardia as the initial symptom of cardiac hydatidosis. Chin Med J (Engl). 132:2765–2766. 2019.PubMed/NCBI View Article : Google Scholar

66 

Harmouchi H, Kouache ME, Lakranbi M, Ouadnouni Y and Smahi M: Cardiac hydatid cyst interposed between the right atrium and right ventricle on the tricuspid valve. Asian Cardiovasc Thorac Ann. 30:199–201. 2022.PubMed/NCBI View Article : Google Scholar

Related Articles

  • Abstract
  • View
  • Download
  • Twitter
Copy and paste a formatted citation
Spandidos Publications style
Bajdechi M, Manolache D, Tudor A, Orghidan M and Gurghean A: Cardiac hydatid cysts in a young man: A case report and a literature review. Exp Ther Med 24: 550, 2022.
APA
Bajdechi, M., Manolache, D., Tudor, A., Orghidan, M., & Gurghean, A. (2022). Cardiac hydatid cysts in a young man: A case report and a literature review. Experimental and Therapeutic Medicine, 24, 550. https://doi.org/10.3892/etm.2022.11487
MLA
Bajdechi, M., Manolache, D., Tudor, A., Orghidan, M., Gurghean, A."Cardiac hydatid cysts in a young man: A case report and a literature review". Experimental and Therapeutic Medicine 24.3 (2022): 550.
Chicago
Bajdechi, M., Manolache, D., Tudor, A., Orghidan, M., Gurghean, A."Cardiac hydatid cysts in a young man: A case report and a literature review". Experimental and Therapeutic Medicine 24, no. 3 (2022): 550. https://doi.org/10.3892/etm.2022.11487
Copy and paste a formatted citation
x
Spandidos Publications style
Bajdechi M, Manolache D, Tudor A, Orghidan M and Gurghean A: Cardiac hydatid cysts in a young man: A case report and a literature review. Exp Ther Med 24: 550, 2022.
APA
Bajdechi, M., Manolache, D., Tudor, A., Orghidan, M., & Gurghean, A. (2022). Cardiac hydatid cysts in a young man: A case report and a literature review. Experimental and Therapeutic Medicine, 24, 550. https://doi.org/10.3892/etm.2022.11487
MLA
Bajdechi, M., Manolache, D., Tudor, A., Orghidan, M., Gurghean, A."Cardiac hydatid cysts in a young man: A case report and a literature review". Experimental and Therapeutic Medicine 24.3 (2022): 550.
Chicago
Bajdechi, M., Manolache, D., Tudor, A., Orghidan, M., Gurghean, A."Cardiac hydatid cysts in a young man: A case report and a literature review". Experimental and Therapeutic Medicine 24, no. 3 (2022): 550. https://doi.org/10.3892/etm.2022.11487
Follow us
  • Twitter
  • LinkedIn
  • Facebook
About
  • Spandidos Publications
  • Careers
  • Cookie Policy
  • Privacy Policy
How can we help?
  • Help
  • Live Chat
  • Contact
  • Email to our Support Team