Spandidos Publications Logo
  • About
    • About Spandidos
    • Aims and Scopes
    • Abstracting and Indexing
    • Editorial Policies
    • Reprints and Permissions
    • Job Opportunities
    • Terms and Conditions
    • Contact
  • Journals
    • All Journals
    • Oncology Letters
      • Oncology Letters
      • Information for Authors
      • Editorial Policies
      • Editorial Board
      • Aims and Scope
      • Abstracting and Indexing
      • Bibliographic Information
      • Archive
    • International Journal of Oncology
      • International Journal of Oncology
      • Information for Authors
      • Editorial Policies
      • Editorial Board
      • Aims and Scope
      • Abstracting and Indexing
      • Bibliographic Information
      • Archive
    • Molecular and Clinical Oncology
      • Molecular and Clinical Oncology
      • Information for Authors
      • Editorial Policies
      • Editorial Board
      • Aims and Scope
      • Abstracting and Indexing
      • Bibliographic Information
      • Archive
    • Experimental and Therapeutic Medicine
      • Experimental and Therapeutic Medicine
      • Information for Authors
      • Editorial Policies
      • Editorial Board
      • Aims and Scope
      • Abstracting and Indexing
      • Bibliographic Information
      • Archive
    • International Journal of Molecular Medicine
      • International Journal of Molecular Medicine
      • Information for Authors
      • Editorial Policies
      • Editorial Board
      • Aims and Scope
      • Abstracting and Indexing
      • Bibliographic Information
      • Archive
    • Biomedical Reports
      • Biomedical Reports
      • Information for Authors
      • Editorial Policies
      • Editorial Board
      • Aims and Scope
      • Abstracting and Indexing
      • Bibliographic Information
      • Archive
    • Oncology Reports
      • Oncology Reports
      • Information for Authors
      • Editorial Policies
      • Editorial Board
      • Aims and Scope
      • Abstracting and Indexing
      • Bibliographic Information
      • Archive
    • Molecular Medicine Reports
      • Molecular Medicine Reports
      • Information for Authors
      • Editorial Policies
      • Editorial Board
      • Aims and Scope
      • Abstracting and Indexing
      • Bibliographic Information
      • Archive
    • World Academy of Sciences Journal
      • World Academy of Sciences Journal
      • Information for Authors
      • Editorial Policies
      • Editorial Board
      • Aims and Scope
      • Abstracting and Indexing
      • Bibliographic Information
      • Archive
    • International Journal of Functional Nutrition
      • International Journal of Functional Nutrition
      • Information for Authors
      • Editorial Policies
      • Editorial Board
      • Aims and Scope
      • Abstracting and Indexing
      • Bibliographic Information
      • Archive
    • International Journal of Epigenetics
      • International Journal of Epigenetics
      • Information for Authors
      • Editorial Policies
      • Editorial Board
      • Aims and Scope
      • Abstracting and Indexing
      • Bibliographic Information
      • Archive
    • Medicine International
      • Medicine International
      • Information for Authors
      • Editorial Policies
      • Editorial Board
      • Aims and Scope
      • Abstracting and Indexing
      • Bibliographic Information
      • Archive
  • Articles
  • Information
    • Information for Authors
    • Information for Reviewers
    • Information for Librarians
    • Information for Advertisers
    • Conferences
  • Language Editing
Spandidos Publications Logo
  • About
    • About Spandidos
    • Aims and Scopes
    • Abstracting and Indexing
    • Editorial Policies
    • Reprints and Permissions
    • Job Opportunities
    • Terms and Conditions
    • Contact
  • Journals
    • All Journals
    • Biomedical Reports
      • Information for Authors
      • Editorial Policies
      • Editorial Board
      • Aims and Scope
      • Abstracting and Indexing
      • Bibliographic Information
      • Archive
    • Experimental and Therapeutic Medicine
      • Information for Authors
      • Editorial Policies
      • Editorial Board
      • Aims and Scope
      • Abstracting and Indexing
      • Bibliographic Information
      • Archive
    • International Journal of Epigenetics
      • Information for Authors
      • Editorial Policies
      • Editorial Board
      • Aims and Scope
      • Abstracting and Indexing
      • Bibliographic Information
      • Archive
    • International Journal of Functional Nutrition
      • Information for Authors
      • Editorial Policies
      • Editorial Board
      • Aims and Scope
      • Abstracting and Indexing
      • Bibliographic Information
      • Archive
    • International Journal of Molecular Medicine
      • Information for Authors
      • Editorial Policies
      • Editorial Board
      • Aims and Scope
      • Abstracting and Indexing
      • Bibliographic Information
      • Archive
    • International Journal of Oncology
      • Information for Authors
      • Editorial Policies
      • Editorial Board
      • Aims and Scope
      • Abstracting and Indexing
      • Bibliographic Information
      • Archive
    • Medicine International
      • Information for Authors
      • Editorial Policies
      • Editorial Board
      • Aims and Scope
      • Abstracting and Indexing
      • Bibliographic Information
      • Archive
    • Molecular and Clinical Oncology
      • Information for Authors
      • Editorial Policies
      • Editorial Board
      • Aims and Scope
      • Abstracting and Indexing
      • Bibliographic Information
      • Archive
    • Molecular Medicine Reports
      • Information for Authors
      • Editorial Policies
      • Editorial Board
      • Aims and Scope
      • Abstracting and Indexing
      • Bibliographic Information
      • Archive
    • Oncology Letters
      • Information for Authors
      • Editorial Policies
      • Editorial Board
      • Aims and Scope
      • Abstracting and Indexing
      • Bibliographic Information
      • Archive
    • Oncology Reports
      • Information for Authors
      • Editorial Policies
      • Editorial Board
      • Aims and Scope
      • Abstracting and Indexing
      • Bibliographic Information
      • Archive
    • World Academy of Sciences Journal
      • Information for Authors
      • Editorial Policies
      • Editorial Board
      • Aims and Scope
      • Abstracting and Indexing
      • Bibliographic Information
      • Archive
  • Articles
  • Information
    • For Authors
    • For Reviewers
    • For Librarians
    • For Advertisers
    • Conferences
  • Language Editing
Login Register Submit
  • This site uses cookies
  • You can change your cookie settings at any time by following the instructions in our Cookie Policy. To find out more, you may read our Privacy Policy.

    I agree
Search articles by DOI, keyword, author or affiliation
Search
Advanced Search
presentation
Experimental and Therapeutic Medicine
Join Editorial Board Propose a Special Issue
Print ISSN: 1792-0981 Online ISSN: 1792-1015
Journal Cover
January-2023 Volume 25 Issue 1

Full Size Image

Sign up for eToc alerts
Recommend to Library

Journals

International Journal of Molecular Medicine

International Journal of Molecular Medicine

International Journal of Molecular Medicine is an international journal devoted to molecular mechanisms of human disease.

International Journal of Oncology

International Journal of Oncology

International Journal of Oncology is an international journal devoted to oncology research and cancer treatment.

Molecular Medicine Reports

Molecular Medicine Reports

Covers molecular medicine topics such as pharmacology, pathology, genetics, neuroscience, infectious diseases, molecular cardiology, and molecular surgery.

Oncology Reports

Oncology Reports

Oncology Reports is an international journal devoted to fundamental and applied research in Oncology.

Experimental and Therapeutic Medicine

Experimental and Therapeutic Medicine

Experimental and Therapeutic Medicine is an international journal devoted to laboratory and clinical medicine.

Oncology Letters

Oncology Letters

Oncology Letters is an international journal devoted to Experimental and Clinical Oncology.

Biomedical Reports

Biomedical Reports

Explores a wide range of biological and medical fields, including pharmacology, genetics, microbiology, neuroscience, and molecular cardiology.

Molecular and Clinical Oncology

Molecular and Clinical Oncology

International journal addressing all aspects of oncology research, from tumorigenesis and oncogenes to chemotherapy and metastasis.

World Academy of Sciences Journal

World Academy of Sciences Journal

Multidisciplinary open-access journal spanning biochemistry, genetics, neuroscience, environmental health, and synthetic biology.

International Journal of Functional Nutrition

International Journal of Functional Nutrition

Open-access journal combining biochemistry, pharmacology, immunology, and genetics to advance health through functional nutrition.

International Journal of Epigenetics

International Journal of Epigenetics

Publishes open-access research on using epigenetics to advance understanding and treatment of human disease.

Medicine International

Medicine International

An International Open Access Journal Devoted to General Medicine.

Journal Cover
January-2023 Volume 25 Issue 1

Full Size Image

Sign up for eToc alerts
Recommend to Library

  • Article
  • Citations
    • Cite This Article
    • Download Citation
    • Create Citation Alert
    • Remove Citation Alert
    • Cited By
  • Similar Articles
    • Related Articles (in Spandidos Publications)
    • Similar Articles (Google Scholar)
    • Similar Articles (PubMed)
  • Download PDF
  • Download XML
  • View XML
Case Report Open Access

Intravascular leiomyoma‑A rare case in the context of Covid‑19 outbreak: A case report

  • Authors:
    • Carmina Mihaiela Schaas
    • Ludmila Lozneanu
    • Monica Titianu
    • Sabina Schaas
    • Bogdan Schaas
    • Iuliana Elena Bujor
    • Alexandra Ursache
    • Daniela Roxana Matasariu
  • View Affiliations / Copyright

    Affiliations: Department of Obstetrics and Gynecology, Cuza‑Voda Hospital of Obstetrics and Gynecology, 700398 Iași, Romania, Department of Morpho‑Functional Sciences I ‑ Histology, Pathology, 'Grigore T. Popa' University of Medicine and Pharmacy, 700115 Iași, Romania, Department of Mother and Child, 'Grigore T. Popa' University of Medicine and Pharmacy, 700115 Iași, Romania
    Copyright: © Schaas et al. This is an open access article distributed under the terms of Creative Commons Attribution License.
  • Article Number: 38
    |
    Published online on: November 29, 2022
       https://doi.org/10.3892/etm.2022.11737
  • Expand metrics +
Metrics: Total Views: 0 (Spandidos Publications: | PMC Statistics: )
Metrics: Total PDF Downloads: 0 (Spandidos Publications: | PMC Statistics: )
Cited By (CrossRef): 0 citations Loading Articles...

This article is mentioned in:



Abstract

The present study reported a case of a uterine leiomyoma with an unusual growth pattern featuring areas of intravascular leiomyomatosis, rarely described in the international literature available in English. It presented the case of a 44‑year‑old woman who, fearing the Covid‑19 outbreak, postponed the recommended surgical intervention to remove a uterine leiomyoma. The two‑year delay worsened the symptoms, doubled the size of the tumor, and facilitated the development of intravascular leiomyomatosis. It was possible to establish the correct diagnosis only after the histopathological examination of the excised uterine myoma, as it was not suspected prior to surgery. No other vascular tumors were identified via magnetic resonance imaging and computed tomography imaging investigations. The careful follow‑up of recovering patients is essential because of the high recurrence rate of such tumors and their potential to behave aggressively, possibly even fatally. Clinicians should be aware of this rare condition and its cardiovascular implications to improve the initial and long‑term management of such cases.

Introduction

Leiomyomas are benign tumors originating from smooth muscle cells (1). The prevalence of uterine leiomyomas in women varies between 4.5-68.6%, depending on racial and ethnic characteristics. However, because diagnosis is mainly sought in symptomatic patients, this condition is arguably more prevalent than clinical records and published data indicate. In fact, uterine leiomyomas are the most commonly occurring benign tumors in women of reproductive age. They tend to exert major negative impact on morbidity and quality of life and are the most frequent indication for hysterectomy (2).

Extrauterine leiomyomas tend to be extremely rare and challenging to diagnose. Cases of ovarian, bladder, or urethral leiomyomas have been reported in the literature. Other rare cases feature unusual growth patterns, including benign metastasizing leiomyoma, diffuse peritoneal leiomyomatosis, parasitic leiomyomas, retroperitoneal leiomyoma, cotyledonoid dissecting leiomyoma and intravenous leiomyomatosis (1).

Of these, intravenous leiomyomatosis is known to behave in a particularly noteworthy way. Although benign, tumors of this type have the potential to become clinically aggressive, with intraluminal development in the intrauterine veins, spreading also to the systemic veins. So far, ~300 cases have been described in the scientific literature available in English, and most were diagnosed by cardiologists even if cardiac involvement is extremely rare.

Such cases illustrate the clinical importance of improving the diagnosis of uterine myomas, especially since successful treatment requires complete excision and, also, the rate of recurrence seems high. The fact that these tumors tend to be hormone sensitive offers novel treatment options (3,4). In 0.25-0.41% of women with uterine leiomyomas, the condition can affect the venous system and advance into the inferior vena cava. Occasionally, the spread can reach the right chambers of the heart, causing heart failure or cardiogenic shock (5,6).

The patient's consent for publication and Cuza-Voda Clinical Hospital of Obstetrics and Gynecology ethical committee approval (no. 14183/25.10.2022) was obtained.

Case presentation

A 44-year-old woman was admitted to the gynecology department of the Cuza-Voda Clinical Hospital of Obstetrics and Gynecology complaining of aggravation of her symptoms over the previous six months. She had initially presented with menorrhagia two years before, when clinical and paraclinical evaluation had revealed a 5-cm intramural uterine leiomyoma. Due to the Covid-19 pandemic, the patient was too frightened to seek timely medical assistance. When she did present, she refused the recommended hospital admission and surgical intervention. She later returned for re-evaluation after completing her Covid-19 vaccination scheme. By then, she had already been experiencing menometrorrhagia for six months, during which time her treatment consisting of progestins failed to produce significant results in terms of controlling the bleeding. The patient had no relevant medical history besides two uneventful cesarean section deliveries and there was no family history of uterine fibroids.

Upon admission, the ultrasound examination revealed a 10-cm anterior intramural and subserosal uterine leiomyoma without unusual features, but there were other ultrasound findings suggestive of adenomyosis in the posterior uterine wall (Figs. 1 and 2). After counseling, the patient opted for a total abdominal hysterectomy with bilateral salpingectomy and conservation of both ovaries to prevent the effects of estrogenic privation. Due to the localization of the myoma towards the broad ligament, its dimensions, and the suspected adenomyosis, it was decided to proceed with open surgery. The intervention itself was undertaken without difficulties and complications. The patient made a favorable postsurgical recovery and was discharged after 4 days of hospitalization.

Figure 1

Gray scale ultrasound aspect of the 10 cm fibroid.

Figure 2

Doppler ultrasound evaluation of the 10 cm fibroid.

The gross pathological examination revealed a 10-cm uterine mass with intramural proliferation and fascicular architecture (Figs. 3 and 4).

Figure 3

Multiple 2-4 cm leiomioma nodules firm, tan-white, variable in size with foci of hemorrhage (macroscopic aspect).

Figure 4

Macroscopic aspect of the leiomyoma well circumscribed nodules (2-4 cm) with whorled pattern.

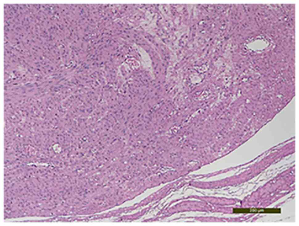
The histological examination with hematoxylin-eosin staining showed fusiform cells that had moderate nuclear atypia, rare mitosis, areas of sclerosis and hyalinosis, interstitial edema and degenerative modifications. The specimen was processed according to standard histological technique and the slides were stained with the conventional hematoxylin and eosin staining (HE) method (7). Briefly, the uterine mass tissues was fixed in formaldehyde (neutral buffered formalin 10%) for 24 h at room temperature (24˚C) and then the specimen was dehydrated in alcohol, cleared in xylene and embedded in paraffin. Clarification was achieved by passing the fragments through three xylene baths to remove alcohol from the tissues, for 4-6 h. The impregnation with paraffin was achieved by placing the tissue fragments in three paraffin baths for a minimum of 24 h at a temperature of 56˚C. The slides obtained were placed in a thermostat at 58˚C for 24 h and later stained using HE staining. The paraffin blocks were sectioned at 4 µm. The tumor with intravascular growth featured uniform spindle-shaped smooth muscle cells (Fig. 5, Fig. 6 and Fig. 7). Also, the presence of adenomyosis was confirmed. This diagnosis was not suspected prior to the surgery and it was an unusual histopathological finding.

Figure 5

Interlacing bundles of smooth muscle cells arranged in an anastomosing fascicular pattern (hematoxylin-eosin staining; magnification, x10).

Figure 6

Intraluminal growth of dense cellular proliferation with uniform spindle-shaped smooth muscle cells in the venous channels of the myometrium (hematoxylin-eosin staining; magnification, x10).

Figure 7

Anastomosing fascicular pattern of spindle-shaped smooth muscle cells with oval nuclei and eosinophilic cytoplasm (hematoxylin-eosin staining; magnification, x20).

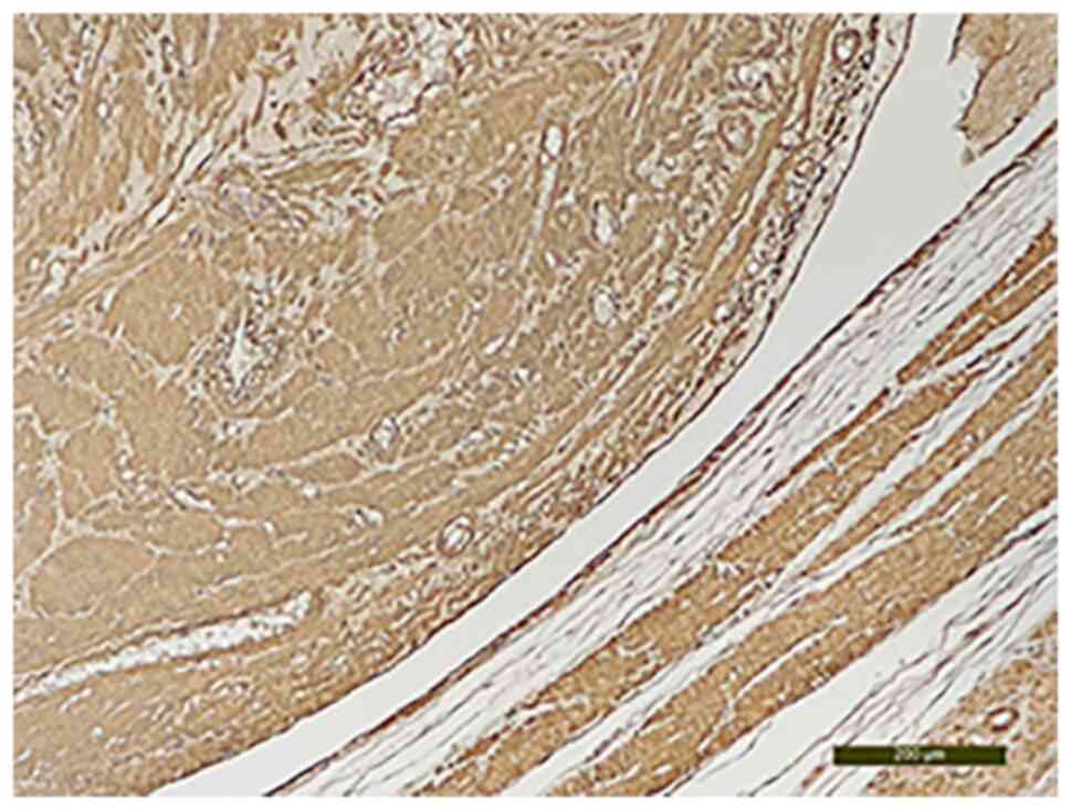
The CD34 analysis established its intravascular origin (Fig. 8). The immunohistochemical evaluation revealed that the area of the tumor that had intravascular development was positive for estrogen receptors (Fig. 9) and for the smooth muscle actin marker (Fig. 10). Intravascular origin was evaluated using a CD34 marker for endothelial cells. Incubation was with the primary antibody (anti-CD34) by applying the optimal dilution in a humid chamber at 4˚C, overnight. The anatomopathological diagnosis was confirmed by two experienced pathologists.

Figure 8

CD34 positive in endothelial vascular walls confirming intravascular origin (anti CD34; magnification, x10).

Figure 9

Estrogen receptors highly positive in intravascular leiomyomatous tumor (anti ER; magnification, x10).

Figure 10

Smooth muscle actin intense positive of the muscular wall of the vein as well as the intravascular leiomyoma (anti SMA; magnification, x10).

After this diagnosis was established, the patient underwent an abdominal-pelvic magnetic resonance imaging (MRI) and a pulmonary computed tomography (CT) scan to exclude the presence of other intravascular tumors. She had no other intravascular leiomyomatosis lesions, so she did not need to continue with any other treatment. However, due to the high risk of recurrence, follow-up evaluations were scheduled at 3-month intervals and pelvic MRIs at 6 months. At the date of the article submission no ultrasound or MRI signs of relapse were detected and the patient had no complaints.

An noteworthy aspect of this case is the concomitance of a uterine leiomyoma with areas of intravascular leiomyomatosis and adenomyosis.

Discussion

This is the fourth such case ever reported in Romania; the first two were described by teams from cardiology departments, one in 2010(8), another in 2018(9) and the third was published in 2019 by peers from a gynecology department (10). According to other studies in literature, the age of the patients with this pathology ranges from 21-80, and the mean age at onset is ~47, so the 44-year-old patient in the present study fits this general age profile (11).

‘Cuza-Voda’ Clinical Hospital of Obstetrics and Gynecology from Iasi s a tertiary referral center where numerous surgical interventions address uterine leiomyomatosis. Between 2013 and 2019, for instance, 2,196 patients were treated by means of open hysterectomy and 243 with open myomectomy, while another 188 patients underwent laparoscopic myomectomy and 159 had hysteroscopic myomectomy. The last 3 years were excluded from this analysis due to the impact of the Covid-19 pandemic on the typical schedule of gynecological surgical interventions. The case hereby described is the first uterine leiomyoma with intravascular leiomyomatosis that we encountered from 2013 until 2021(12).

Unusual leiomyoma localizations and growth patterns pose serious diagnostic difficulties and require different management approaches. Early stage disease has no particularities in which concerns the clinical manifestations or the ultrasound features. Occasionally, these tumors may resemble a malignancy but they are almost always benign, so their clinical and paraclinical features ought to be carefully investigated for accurate diagnosis and optimal management (13).

The etiopathogenesis of these less common leiomyomas remains unknown. There are two hypotheses that attempt to explain this interesting process. For one, intravascular tumors are thought to develop secondary to the penetration inside the vascular lumen of smooth muscle cells from the venous wall. Alternatively, it may be that the vascular lumen is penetrated by smooth muscle cells derived from uterine leiomyoma (14). The case described seems to favor the second hypothesis, as the 10-cm uterine fibroid presented features of intravascular invasion with intravascular leiomyomatosis.

Du et al (15) discovered that intravenous leiomyomatosis appears to be associated with uterine leiomyoma in ~40% of cases, with adenomyosis in 11% of cases and with both types of lesions in almost 28% of cases. The frequent association with adenomyosis lesions suggests that the second theory about intravenous leiomyomatosis origin is more likely. They appear to share some common etiopathogenic mechanisms.

By evaluating the progression of the tumors prior to surgery, Ma et al (16) proposed a classification of the disease into four stages. In the first stage the tumors invade the vascular lumen, but they are limited to the pelvic vessels. In the second stage of evolution the tumors reach the vessels form the abdominal cavity without affecting the renal vein. In the third stage of disease progression the tumors reach the renal vein, the inferior vena cava and the right atrium but without any lesions being detected in the pulmonary artery. A stage four patient has intravascular tumors in the pulmonary arteries and/or lungs with intravascular leiomyomatosis lesions.

Despite the benign nature of intravascular leiomyomatosis, its evolution may be aggressive and lead to serious complications. In particular, there are several cases with intracardiac development reported in the literature which posed substantial surgical difficulties, as well as cases in which the tumors determined cardiac insufficiency, cardiac arrest, and even secondary pulmonary complications, but the data are scarce about early-stage disease (5,6).

The present case report reflected the negative impact of the Covid-19 outbreak on patients with gynecological surgical pathologies in Romania. Not only did the official Covid-19 preventive measures limit access to health care to a certain degree, but also fear of infection compelled patients to postpone necessary surgical interventions. Given the potentially aggressive behavior of this type of smooth muscle tumor, the outcome for our patient could have been seriously affected by her decision to delay having the surgical intervention for as long as two years. In this time, the symptoms worsened, the uterine leiomyoma doubled in size and it possibly permitted the appearance of areas of intravascular leiomyomatosis.

The incidence of this pathology seems to be rising. In literature, this ascendant trend is justified either by more accurate means to detected it, due to diagnosis techniques evolution and improvement, or by the blooming of minimally invasive surgery with morcellation for uterine fibroids, that is assumed to be one of the potential causes for this rare and intriguing pathology (17).

The gold standard treatment for this pathology is considered by many to be hysterectomy with bilateral salpingoophorectomy (3,4). In literature, the recurrence rate of these tumors is estimated at ~30%, or even higher in cases with incomplete surgical resection of the tumors (1). This suggests that patients diagnosed with this disease need further postoperative follow-up using either MRI or CT imaging to detect recurrences. The optimal schedule for the postoperative follow-up has not yet been standardized mostly because cases are rare and there are a number of unique aspects to consider. For instance, it was concluded that our patient would need close follow-up due to her decision to preserve both ovaries. As such, a follow up plan was established including gynecological check-ups at 3-month intervals and additional abdominal-pelvic MRI investigations at every other 6 months check-up.

In conclusion, clinicians must know about these unusual types of fibroids because their diagnosis is easy to miss and patients require extensive imagistic exploration to accurately stage the disease and organize effective management. The high recurrence rates justify the need for continued imagistic monitoring of these patients after surgery. Also, the malignant-like behavior of such tumors further complicates their management. Last but not least, the incidence of this pathology appears to be rising, which may be due to more accurate diagnosis and investigative means, but also to increase risk factors for the occurrence of hormone-dependent tumors.

Acknowledgements

Not applicable.

Funding

Funding: No funding was received.

Availability of data and materials

The datasets used and/or analyzed during the current study are available from the corresponding author on reasonable request.

Authors' contributions

CS, AU, DM were involved in the conception of the study and revised the manuscript for important intellectual content. LL performed the anatomopathological and immunohistochemical examination. BS, SS, IB and MT performed the data collection and wrote the manuscript. BS, SS, IB and MT confirm the authenticity of all the raw data. The surgery was performed by CS with the help of BS and SS. All authors read and approved the final manuscript.

Ethics approval and consent to participate

Ethics approval was obtained from the Cuza-Voda Clinical Hospital of Obstetrics and Gynecology ethical committee approval (no. 14183/25.10.2022).

Patient consent for publication

Patient consent was obtained.

Competing interests

The authors declare that they have no competing interests.

References

1 

Fasih N, Prasad Shanbhogue AK, Macdonald DB, Fraser-Hill MA, Papadatos D, Kielar AZ, Doherty GP, Walsh C, McInnes M and Atri M: Leiomyomas beyond the uterus: Unusual locations, rare manifestations. Radiographics. 28:1931–1948. 2008.PubMed/NCBI View Article : Google Scholar

2 

Giuliani E, As-Sanie S and Marsh EE: Epidemiology and management of uterine fibroids. Int J Gynecol Obstet. 149:3–9. 2020.PubMed/NCBI View Article : Google Scholar

3 

Kocica MJ, Vranes MR, Kostic D, Kovacevic-Kostic N, Lackovic V, Bozic-Mihajlovic V, Velinovic MM, Mikic Adj and Dimitrijevic-Kalezic N: Intravenous leiomyomatosis with extension to the heart: Rare or underestimated? J Thorac Cardiovasc Surg. 130:1724–1726. 2005.PubMed/NCBI View Article : Google Scholar

4 

Low HY, Zhao Y, Huang KS, Shen HP, Wu PJ and Tseng CJ: Intravenous leiomyomatosis of the uterus: A clinicopathological analysis of nine cases and literature review. Taiwan J Obstet Gynecol. 56:362–365. 2017.PubMed/NCBI View Article : Google Scholar

5 

Nakai G, Maeda K, Yamamoto K, Yamada T, Hirose Y, Terai Y, Ohmichi M, Katsumata T and Narumi Y: Uterine intravenous leiomyomatosis with cardiac extension: Radiologic assessment with surgical and pathologic correlation. Case Rep Obstet Gynecol. 2015(576743)2015.PubMed/NCBI View Article : Google Scholar

6 

Xu J, Wei M, Miao Q, Zhu B, Yu C and Huang Y: Perioperative management of intracardiac leiomyomatosis: An observational cohort study. Medicine (Baltimore). 96(e7522)2017.PubMed/NCBI View Article : Google Scholar

7 

Feldman AT and Wolfe D: Tissue processing and hematoxylin and eosin staining. Methods Mol Biol. 1180:31–43. 2014.PubMed/NCBI View Article : Google Scholar

8 

Galajda Z, Copotoiu C, Suciu H, Tint D, Glasz T and Deac R: The diagnosis, morphological particularities, and surgical technique in a case of intravascular leiomyoma extended to the right heart chambers. J Vasc Surg. 51:1000–1002. 2010.PubMed/NCBI View Article : Google Scholar

9 

Brunei-Rusu A: Atypical uterine leiomyomatosis-case report. Ginecologia. 23(46)2019.

10 

Dregoesc IM, Bãlãnescu ŞM, Marc MC and Iancu AC: Intravascular leiomyoma with intracardiac extension associated with hepatorenal polycystic disease. Anatol J Cardiol. 20:246–248. 2018.PubMed/NCBI View Article : Google Scholar

11 

Carr RJ, Hui P and Buza N: Intravenous leiomyomatosis revisited: An experience of 14 cases at a single medical center. Int J Gynecol Pathol. 34:169–176. 2015.PubMed/NCBI View Article : Google Scholar

12 

Matasariu DR, Ursache A, Himiniuc L, Toma B, Boiculese VL, Grigore M and Dumitrascu I: Research on myoma in Northeastern Romania and socio-medical outcomes. Exp Ther Med. 23(30)2022.PubMed/NCBI View Article : Google Scholar

13 

Cho JH and Kim SS: Peritoneal carcinomatosis and its mimics: Review of CT findings for differential diagnosis. J Belg Soc Radiol. 104(8)2020.PubMed/NCBI View Article : Google Scholar

14 

Li B, Chen X, Chu YD, Li RY, Li WD and Ni YM: Intracardiac leiomyomatosis: A comprehensive analysis of 194 cases. Interact Cardiovasc Thorac Surg. 17:132–138. 2013.PubMed/NCBI View Article : Google Scholar

15 

Du J, Zhao X, Guo D, Li H and Sun B: Intravenous leiomyomatosis of the uterus: A clinicopathologic study of 18 cases, with emphasis on early diagnosis and appropriate treatment strategies. Hum Pathol. 42:1240–1246. 2011.PubMed/NCBI View Article : Google Scholar

16 

Ma G, Miao Q, Liu X, Zhang C, Liu J, Zheng Y, Shao J, Cheng N, Du S, Hu Z, et al: Different surgical strategies of patients with intravenous leiomyomatosis. Medicine (Baltimore). 95(e4902)2016.PubMed/NCBI View Article : Google Scholar

17 

Liu X, Hu Y, Chen L and Zhou Q: Disseminated peritoneal leiomyomatosis: A case report and review of the literature. J Int Med Res. 49(3000605211033194)2021.PubMed/NCBI View Article : Google Scholar

Related Articles

  • Abstract
  • View
  • Download
  • Twitter
Copy and paste a formatted citation
Spandidos Publications style
Schaas CM, Lozneanu L, Titianu M, Schaas S, Schaas B, Bujor IE, Ursache A and Matasariu DR: Intravascular leiomyoma‑A rare case in the context of Covid‑19 outbreak: A case report. Exp Ther Med 25: 38, 2023.
APA
Schaas, C.M., Lozneanu, L., Titianu, M., Schaas, S., Schaas, B., Bujor, I.E. ... Matasariu, D.R. (2023). Intravascular leiomyoma‑A rare case in the context of Covid‑19 outbreak: A case report. Experimental and Therapeutic Medicine, 25, 38. https://doi.org/10.3892/etm.2022.11737
MLA
Schaas, C. M., Lozneanu, L., Titianu, M., Schaas, S., Schaas, B., Bujor, I. E., Ursache, A., Matasariu, D. R."Intravascular leiomyoma‑A rare case in the context of Covid‑19 outbreak: A case report". Experimental and Therapeutic Medicine 25.1 (2023): 38.
Chicago
Schaas, C. M., Lozneanu, L., Titianu, M., Schaas, S., Schaas, B., Bujor, I. E., Ursache, A., Matasariu, D. R."Intravascular leiomyoma‑A rare case in the context of Covid‑19 outbreak: A case report". Experimental and Therapeutic Medicine 25, no. 1 (2023): 38. https://doi.org/10.3892/etm.2022.11737
Copy and paste a formatted citation
x
Spandidos Publications style
Schaas CM, Lozneanu L, Titianu M, Schaas S, Schaas B, Bujor IE, Ursache A and Matasariu DR: Intravascular leiomyoma‑A rare case in the context of Covid‑19 outbreak: A case report. Exp Ther Med 25: 38, 2023.
APA
Schaas, C.M., Lozneanu, L., Titianu, M., Schaas, S., Schaas, B., Bujor, I.E. ... Matasariu, D.R. (2023). Intravascular leiomyoma‑A rare case in the context of Covid‑19 outbreak: A case report. Experimental and Therapeutic Medicine, 25, 38. https://doi.org/10.3892/etm.2022.11737
MLA
Schaas, C. M., Lozneanu, L., Titianu, M., Schaas, S., Schaas, B., Bujor, I. E., Ursache, A., Matasariu, D. R."Intravascular leiomyoma‑A rare case in the context of Covid‑19 outbreak: A case report". Experimental and Therapeutic Medicine 25.1 (2023): 38.
Chicago
Schaas, C. M., Lozneanu, L., Titianu, M., Schaas, S., Schaas, B., Bujor, I. E., Ursache, A., Matasariu, D. R."Intravascular leiomyoma‑A rare case in the context of Covid‑19 outbreak: A case report". Experimental and Therapeutic Medicine 25, no. 1 (2023): 38. https://doi.org/10.3892/etm.2022.11737
Follow us
  • Twitter
  • LinkedIn
  • Facebook
About
  • Spandidos Publications
  • Careers
  • Cookie Policy
  • Privacy Policy
How can we help?
  • Help
  • Live Chat
  • Contact
  • Email to our Support Team