Spandidos Publications Logo
  • About
    • About Spandidos
    • Aims and Scopes
    • Abstracting and Indexing
    • Editorial Policies
    • Reprints and Permissions
    • Job Opportunities
    • Terms and Conditions
    • Contact
  • Journals
    • All Journals
    • Oncology Letters
      • Oncology Letters
      • Information for Authors
      • Editorial Policies
      • Editorial Board
      • Aims and Scope
      • Abstracting and Indexing
      • Bibliographic Information
      • Archive
    • International Journal of Oncology
      • International Journal of Oncology
      • Information for Authors
      • Editorial Policies
      • Editorial Board
      • Aims and Scope
      • Abstracting and Indexing
      • Bibliographic Information
      • Archive
    • Molecular and Clinical Oncology
      • Molecular and Clinical Oncology
      • Information for Authors
      • Editorial Policies
      • Editorial Board
      • Aims and Scope
      • Abstracting and Indexing
      • Bibliographic Information
      • Archive
    • Experimental and Therapeutic Medicine
      • Experimental and Therapeutic Medicine
      • Information for Authors
      • Editorial Policies
      • Editorial Board
      • Aims and Scope
      • Abstracting and Indexing
      • Bibliographic Information
      • Archive
    • International Journal of Molecular Medicine
      • International Journal of Molecular Medicine
      • Information for Authors
      • Editorial Policies
      • Editorial Board
      • Aims and Scope
      • Abstracting and Indexing
      • Bibliographic Information
      • Archive
    • Biomedical Reports
      • Biomedical Reports
      • Information for Authors
      • Editorial Policies
      • Editorial Board
      • Aims and Scope
      • Abstracting and Indexing
      • Bibliographic Information
      • Archive
    • Oncology Reports
      • Oncology Reports
      • Information for Authors
      • Editorial Policies
      • Editorial Board
      • Aims and Scope
      • Abstracting and Indexing
      • Bibliographic Information
      • Archive
    • Molecular Medicine Reports
      • Molecular Medicine Reports
      • Information for Authors
      • Editorial Policies
      • Editorial Board
      • Aims and Scope
      • Abstracting and Indexing
      • Bibliographic Information
      • Archive
    • World Academy of Sciences Journal
      • World Academy of Sciences Journal
      • Information for Authors
      • Editorial Policies
      • Editorial Board
      • Aims and Scope
      • Abstracting and Indexing
      • Bibliographic Information
      • Archive
    • International Journal of Functional Nutrition
      • International Journal of Functional Nutrition
      • Information for Authors
      • Editorial Policies
      • Editorial Board
      • Aims and Scope
      • Abstracting and Indexing
      • Bibliographic Information
      • Archive
    • International Journal of Epigenetics
      • International Journal of Epigenetics
      • Information for Authors
      • Editorial Policies
      • Editorial Board
      • Aims and Scope
      • Abstracting and Indexing
      • Bibliographic Information
      • Archive
    • Medicine International
      • Medicine International
      • Information for Authors
      • Editorial Policies
      • Editorial Board
      • Aims and Scope
      • Abstracting and Indexing
      • Bibliographic Information
      • Archive
  • Articles
  • Information
    • Information for Authors
    • Information for Reviewers
    • Information for Librarians
    • Information for Advertisers
    • Conferences
  • Language Editing
Spandidos Publications Logo
  • About
    • About Spandidos
    • Aims and Scopes
    • Abstracting and Indexing
    • Editorial Policies
    • Reprints and Permissions
    • Job Opportunities
    • Terms and Conditions
    • Contact
  • Journals
    • All Journals
    • Biomedical Reports
      • Information for Authors
      • Editorial Policies
      • Editorial Board
      • Aims and Scope
      • Abstracting and Indexing
      • Bibliographic Information
      • Archive
    • Experimental and Therapeutic Medicine
      • Information for Authors
      • Editorial Policies
      • Editorial Board
      • Aims and Scope
      • Abstracting and Indexing
      • Bibliographic Information
      • Archive
    • International Journal of Epigenetics
      • Information for Authors
      • Editorial Policies
      • Editorial Board
      • Aims and Scope
      • Abstracting and Indexing
      • Bibliographic Information
      • Archive
    • International Journal of Functional Nutrition
      • Information for Authors
      • Editorial Policies
      • Editorial Board
      • Aims and Scope
      • Abstracting and Indexing
      • Bibliographic Information
      • Archive
    • International Journal of Molecular Medicine
      • Information for Authors
      • Editorial Policies
      • Editorial Board
      • Aims and Scope
      • Abstracting and Indexing
      • Bibliographic Information
      • Archive
    • International Journal of Oncology
      • Information for Authors
      • Editorial Policies
      • Editorial Board
      • Aims and Scope
      • Abstracting and Indexing
      • Bibliographic Information
      • Archive
    • Medicine International
      • Information for Authors
      • Editorial Policies
      • Editorial Board
      • Aims and Scope
      • Abstracting and Indexing
      • Bibliographic Information
      • Archive
    • Molecular and Clinical Oncology
      • Information for Authors
      • Editorial Policies
      • Editorial Board
      • Aims and Scope
      • Abstracting and Indexing
      • Bibliographic Information
      • Archive
    • Molecular Medicine Reports
      • Information for Authors
      • Editorial Policies
      • Editorial Board
      • Aims and Scope
      • Abstracting and Indexing
      • Bibliographic Information
      • Archive
    • Oncology Letters
      • Information for Authors
      • Editorial Policies
      • Editorial Board
      • Aims and Scope
      • Abstracting and Indexing
      • Bibliographic Information
      • Archive
    • Oncology Reports
      • Information for Authors
      • Editorial Policies
      • Editorial Board
      • Aims and Scope
      • Abstracting and Indexing
      • Bibliographic Information
      • Archive
    • World Academy of Sciences Journal
      • Information for Authors
      • Editorial Policies
      • Editorial Board
      • Aims and Scope
      • Abstracting and Indexing
      • Bibliographic Information
      • Archive
  • Articles
  • Information
    • For Authors
    • For Reviewers
    • For Librarians
    • For Advertisers
    • Conferences
  • Language Editing
Login Register Submit
  • This site uses cookies
  • You can change your cookie settings at any time by following the instructions in our Cookie Policy. To find out more, you may read our Privacy Policy.

    I agree
Search articles by DOI, keyword, author or affiliation
Search
Advanced Search
presentation
Experimental and Therapeutic Medicine
Join Editorial Board Propose a Special Issue
Print ISSN: 1792-0981 Online ISSN: 1792-1015
Journal Cover
February-2023 Volume 25 Issue 2

Full Size Image

Sign up for eToc alerts
Recommend to Library

Journals

International Journal of Molecular Medicine

International Journal of Molecular Medicine

International Journal of Molecular Medicine is an international journal devoted to molecular mechanisms of human disease.

International Journal of Oncology

International Journal of Oncology

International Journal of Oncology is an international journal devoted to oncology research and cancer treatment.

Molecular Medicine Reports

Molecular Medicine Reports

Covers molecular medicine topics such as pharmacology, pathology, genetics, neuroscience, infectious diseases, molecular cardiology, and molecular surgery.

Oncology Reports

Oncology Reports

Oncology Reports is an international journal devoted to fundamental and applied research in Oncology.

Experimental and Therapeutic Medicine

Experimental and Therapeutic Medicine

Experimental and Therapeutic Medicine is an international journal devoted to laboratory and clinical medicine.

Oncology Letters

Oncology Letters

Oncology Letters is an international journal devoted to Experimental and Clinical Oncology.

Biomedical Reports

Biomedical Reports

Explores a wide range of biological and medical fields, including pharmacology, genetics, microbiology, neuroscience, and molecular cardiology.

Molecular and Clinical Oncology

Molecular and Clinical Oncology

International journal addressing all aspects of oncology research, from tumorigenesis and oncogenes to chemotherapy and metastasis.

World Academy of Sciences Journal

World Academy of Sciences Journal

Multidisciplinary open-access journal spanning biochemistry, genetics, neuroscience, environmental health, and synthetic biology.

International Journal of Functional Nutrition

International Journal of Functional Nutrition

Open-access journal combining biochemistry, pharmacology, immunology, and genetics to advance health through functional nutrition.

International Journal of Epigenetics

International Journal of Epigenetics

Publishes open-access research on using epigenetics to advance understanding and treatment of human disease.

Medicine International

Medicine International

An International Open Access Journal Devoted to General Medicine.

Journal Cover
February-2023 Volume 25 Issue 2

Full Size Image

Sign up for eToc alerts
Recommend to Library

  • Article
  • Citations
    • Cite This Article
    • Download Citation
    • Create Citation Alert
    • Remove Citation Alert
    • Cited By
  • Similar Articles
    • Related Articles (in Spandidos Publications)
    • Similar Articles (Google Scholar)
    • Similar Articles (PubMed)
  • Download PDF
  • Download XML
  • View XML
Case Report

Late‑onset immune checkpoint inhibitor‑related pneumonitis after cessation of sintilimab: A case report and literature review

  • Authors:
    • Yupei Wu
    • Yuesong Yin
    • Xiaolu Yan
    • Lingzhi Fang
    • Jiewei Sun
  • View Affiliations / Copyright

    Affiliations: Department of Pharmacy, Hebei General Hospital, Shijiazhuang, Hebei 050051, P.R. China, Department of Oncology, Hebei General Hospital, Shijiazhuang, Hebei 050051, P.R. China, Department of Pharmacy, Hebei Hospital of Traditional Chinese Medicine, Shijiazhuang, Hebei 050051, P.R. China
  • Article Number: 83
    |
    Published online on: January 3, 2023
       https://doi.org/10.3892/etm.2023.11782
  • Expand metrics +
Metrics: Total Views: 0 (Spandidos Publications: | PMC Statistics: )
Metrics: Total PDF Downloads: 0 (Spandidos Publications: | PMC Statistics: )
Cited By (CrossRef): 0 citations Loading Articles...

This article is mentioned in:



Abstract

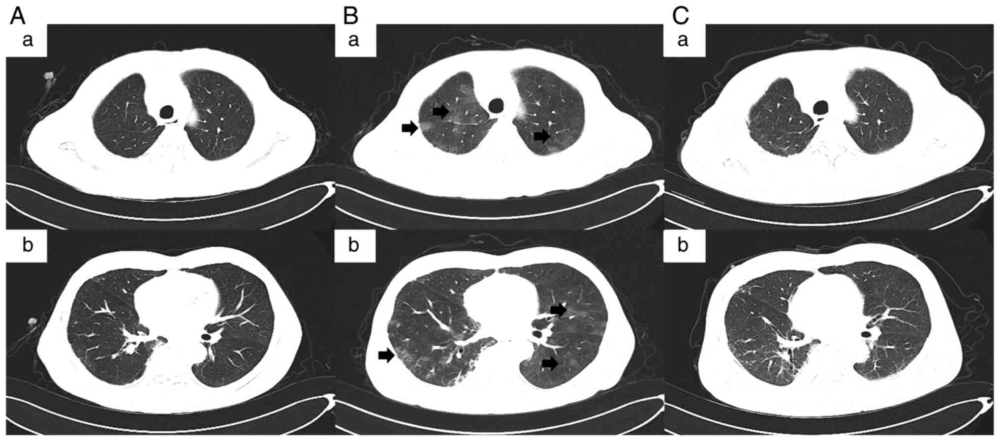
Immune‑related adverse events following treatment with immune checkpoint inhibitors (ICIs) can occur at any time during therapy, with onset occurring most frequently during the first 3 months of treatment. However, they rarely occur after treatment cessation. An awareness of delayed immune‑related events following the termination of immunotherapy is paramount for optimal tumour management. The present study reports a case of a 69‑year‑old male patient with right lung adenocarcinoma. He suffered from psoriasis for ~40 years and was suspected of developing immune checkpoint inhibitor‑related pneumonitis (CIP) 6 months after the cessation of treatment with the anti‑programmed cell death‑1 receptor antibody sintilimab. The present case study is, to the best of our knowledge, the first case of late‑onset CIP after the cessation of sintilimab. Subsequently, the report also reviews previously reported cases of late‑onset CIP after the cessation of ICI treatment. The present report highlights the finding that CIP can develop, although rarely reported, months or even years after the termination of immunotherapy. Therefore, CIP should always be considered as one of the possibilities and addressed accordingly once the pulmonary infection is ruled out. Careful monitoring, timely diagnosis and administration of corticosteroids are essential in controlling this condition, particularly for patients with pre‑existing autoimmune diseases.
View Figures

Figure 1

Figure 2

Figure 3

View References

1 

Bai J, Li D, Yang P, Xu K, Wang Y, Li Q, Liu J, Du W, Zhang F and Feng R: Camrelizumab-Related myocarditis and myositis with myasthenia gravis: A case report and literature review. Front Oncol. 11(778185)2022.PubMed/NCBI View Article : Google Scholar

2 

Yin B, Xiao J, Li J, Liu X and Wang J: Immune-related organizing pneumonitis in non-small cell lung cancer receiving PD-1 inhibitor treatment: A case report and literature review. J Cancer Res Ther. 16:1555–1559. 2020.PubMed/NCBI View Article : Google Scholar

3 

Weinmann SC and Pisetsky DS: Mechanisms of immune-related adverse events during the treatment of cancer with immune checkpoint inhibitors. Rheumatology (Oxford). 58 (Suppl 7):vii59–vii67. 2019.PubMed/NCBI View Article : Google Scholar

4 

Huang Y, Liang D, Liu J, Zeng J and Zeng Y: The breakthroughs in cancer immune checkpoint based therapy: A review of development in immune checkpoint study and its application. Comb Chem High Throughput Screen. 20:430–439. 2017.PubMed/NCBI View Article : Google Scholar

5 

Yang H, Zhou C, Yuan F, Guo L, Yang L, Shi Y and Zhang J: Case report: Severe immune-related cholestatic hepatitis and subsequent pneumonia after pembrolizumab therapy in a geriatic patient with metastic gastric cancer. Front Med (Lausanne). 8(719236)2021.PubMed/NCBI View Article : Google Scholar

6 

Naidoo J, Page DB, Li BT, Connell LC, Schindler K, Lacouture ME, Postow MA and Wolchok JD: Toxicities of the anti-PD-1 and anti-PD-L1 immune checkpoint antibodies. Ann Oncol. 26:2375–2391. 2015.PubMed/NCBI View Article : Google Scholar

7 

Safa H, Bhosale P, Weissferdt A and Oliva ICG: Difficulties in differentiating between checkpoint inhibitor pneumonitis and lung metastasis in a patient with melanoma. Immunotherapy. 12:293–298. 2020.PubMed/NCBI View Article : Google Scholar

8 

Couey MA, Bell RB, Patel AA, Romba MC, Crittenden MR, Curti BD, Urba WJ and Leidner RS: Delayed immune-related events (DIRE) after discontinuation of immunotherapy: Diagnostic hazard of autoimmunity at a distance. J Immunother Cancer. 7(165)2019.PubMed/NCBI View Article : Google Scholar

9 

Takeno A, Yamamoto M, Morita M, Tanaka S, Kanazawa I, Yamauchi M, Kaneko S and Sugimoto T: Late-onset isolated adrenocorticotropic hormone deficiency caused by nivolumab: A case report. BMC Endocr Disord. 19(25)2019.PubMed/NCBI View Article : Google Scholar

10 

Antoniou S, Bazazo G, Rockl L, Papadakis M and Berg C: Late-onset hypophysitis after discontinuation of nivolumab treatment for advanced skin melanoma: A case report. BMC Endocr Disord. 21(191)2021.PubMed/NCBI View Article : Google Scholar

11 

Mae S, Kuriyama A and Tachibana H: Diabetic ketoacidosis as a delayed immune-related event after discontinuation of nivolumab. J Emerg Med. 60:342–344. 2021.PubMed/NCBI View Article : Google Scholar

12 

Yaura K, Sakurai K, Niitsuma S, Sato R, Takahashi K and Arihara Z: Fulminant type 1 diabetes mellitus developed about half a year after discontinuation of immune checkpoint inhibitor combination therapy with nivolumab and ipilimumab: A case report. Tohoku J Exp Med. 254:253–256. 2021.PubMed/NCBI View Article : Google Scholar

13 

Kanaoka K, Moriizumi K, Okada H, Iwahashi K, Tsuji H, Yasuoka H and Minami S: Pembrolizumab-Induced delayed-onset hepatitis. Case Rep Gastroenterol. 14:586–592. 2020.PubMed/NCBI View Article : Google Scholar

14 

Fu S, Wang T and Xu F: Delayed immune thrombocytopenia after discontinuation of nivolumab therapy: A case report and literature review. J Oncol Pharm Pract. 27:1548–1552. 2021.PubMed/NCBI View Article : Google Scholar

15 

Kucukarda A, Gokmen I, Ozcan E, Peker P, Akgul F and Cicin I: Recurrent delayed immune-related pneumonitis after immune-checkpoint inhibitor therapy for advanced osteosarcoma. Immunotherapy. 14:395–399. 2022.PubMed/NCBI View Article : Google Scholar

16 

Wang DY, Salem JE, Cohen JV, Chandra S, Menzer C, Ye F, Zhao S, Das S, Beckermann KE, Ha L, et al: Fatal toxic effects associated with immune checkpoint inhibitors: A systematic review and meta-analysis. JAMA Oncol. 4:1721–1728. 2018.PubMed/NCBI View Article : Google Scholar

17 

Friedman CF, Proverbs-Singh TA and Postow MA: Treatment of the immune-related adverse effects of immune checkpoint inhibitors: A review. JAMA Oncol. 2:1346–1353. 2016.PubMed/NCBI View Article : Google Scholar

18 

Naidoo J, Wang X, Woo KM, Iyriboz T, Halpenny D, Cunningham J, Chaft JE, Segal NH, Callahan MK, Lesokhin AM, et al: Pneumonitis in patients treated with anti-programmed death-1/programmed death ligand 1 therapy. J Clin Oncol. 35:709–717. 2017.PubMed/NCBI View Article : Google Scholar

19 

Diamantopoulos PT, Gaggadi M, Kassi E, Benopoulou O, Anastasopoulou A and Gogas H: Late-onset nivolumab-mediated pneumonitis in a patient with melanoma and multiple immune-related adverse events. Melanoma Res. 27:391–395. 2017.PubMed/NCBI View Article : Google Scholar

20 

Kimura H, Sone T, Araya T, Murata A, Yamamura K, Ohkura N, Hara J, Abo M and Kasahara K: Late-onset programmed cell death protein-1 inhibitor-induced pneumonitis after cessation of nivolumab or pembrolizumab in patients with advanced non-small cell lung cancer: A case series. Transl Lung Cancer Res. 10:1576–1581. 2021.PubMed/NCBI View Article : Google Scholar

21 

Nakai Y, Otsuka T, Inoue T, Nawa T, Hatano K, Yamamoto Y, Nagahara A, Nakayama M, Kakimoto KI and Nishimura K: Two cases of delayed onset of immune-related adverse events after discontinuation of nivolumab in patients with metastatic renal cell cancer. IJU Case Rep. 4:326–329. 2021.PubMed/NCBI View Article : Google Scholar

22 

Mandala M, Merelli B, Indriolo A and Tondini C: Late-occurring toxicity induced by an immune checkpoint blockade in adjuvant treatment of a stage III melanoma patient. Eur J Cancer. 95:130–132. 2018.PubMed/NCBI View Article : Google Scholar

23 

Eisenhauer EA, Therasse P, Bogaerts J, Schwartz LH, Sargent D, Ford R, Dancey J, Arbuck S, Gwyther S, Mooney M, et al: New response evaluation criteria in solid tumours: Revised RECIST guideline (version 1.1). Eur J Cancer. 45:228–247. 2009.PubMed/NCBI View Article : Google Scholar

24 

Yi Y, Liu Z, Fang L, Li J, Liu W, Wang F, Fu P, Xie C, Liu J and Song B: Comparison between single-agent and combination chemotherapy as second-line treatment for advanced non-small cell lung cancer: A multi-institutional retrospective analysis. Cancer Chemother Pharmacol. 86:65–74. 2020.PubMed/NCBI View Article : Google Scholar

25 

Brahmer JR, Lacchetti C, Schneider BJ, Atkins MB, Brassil KJ, Caterino JM, Chau I, Ernstoff MS, Gardner JM, Ginex P, et al: Management of immune-related adverse events in patients treated with immune checkpoint inhibitor therapy: American Society of clinical oncology clinical practice guideline. J Clin Oncol. 36:1714–1768. 2018.PubMed/NCBI View Article : Google Scholar

26 

Naranjo CA, Busto U, Sellers EM, Sandor P, Ruiz I, Roberts EA, Janecek E, Domecq C and Greenblatt DJ: A method for estimating the probability of adverse drug reactions. Clin Pharmacol Ther. 30:239–245. 1981.PubMed/NCBI View Article : Google Scholar

27 

Johnson DB, Nebhan CA, Moslehi JJ and Balko JM: Immune-checkpoint inhibitors: Long-term implications of toxicity. Nat Rev Clin Oncol. 19:254–267. 2022.PubMed/NCBI View Article : Google Scholar

28 

Qu Y, Wang Z, Feng J, Wang L, Liu H, Liu D, Zhao Y, Yu R, Li W, Sun D and Yu H: Pneumonitis, appendicitis, and biliary obstruction during toripalimab treatment in a patient with extensive-stage small-cell lung cancer: A case report. Ann Palliat Med. 10:9267–9275. 2021.PubMed/NCBI View Article : Google Scholar

29 

Khunger M, Rakshit S, Pasupuleti V, Hernandez AV, Mazzone P, Stevenson J, Pennell NA and Velcheti V: Incidence of pneumonitis with use of programmed death 1 and programmed death-ligand 1 inhibitors in non-small cell lung cancer: A systematic review and meta-analysis of trials. Chest. 152:271–281. 2017.PubMed/NCBI View Article : Google Scholar

30 

Sullivan RJ, Johnson DB, Rini BI, Neilan TG, Lovly CM, Moslehi JJ and Reynolds KL: COVID-19 and immune checkpoint inhibitors: Initial considerations. J Immunother Cancer. 8(e000933)2020.PubMed/NCBI View Article : Google Scholar

31 

Li L, Lou A and Yu J: Immune checkpoint inhibitor-related pneumonitis induced by camrelizumab: A case report and review of literature. Ann Palliat Med. 10:8460–8466. 2021.PubMed/NCBI View Article : Google Scholar

32 

Wang H, Guo X, Zhou J, Li Y, Duan L, Si X and Zhang L, Liu X, Wang M, Shi J and Zhang L: Clinical diagnosis and treatment of immune checkpoint inhibitor-associated pneumonitis. Thorac Cancer. 11:191–197. 2020.PubMed/NCBI View Article : Google Scholar

33 

Skeoch S, Weatherley N, Swift AJ, Oldroyd A, Johns C, Hayton C, Giollo A, Wild JM, Waterton JC, Buch M, et al: Drug-Induced interstitial lung disease: A systematic review. J Clin Med. 7(356)2018.PubMed/NCBI View Article : Google Scholar

34 

Spagnolo P, Bonniaud P, Rossi G, Sverzellati N and Cottin V: Drug-induced interstitial lung disease. Eur Respir J. 60(2102776)2022.PubMed/NCBI View Article : Google Scholar

35 

Min BD, Kang HW, Kim WT, Kim YJ, Yun SJ, Lee SC and Kim WJ: Docetaxel-induced fatal interstitial pneumonitis in a patient with castration-resistant prostate cancer. Korean J Urol. 53:371–374. 2012.PubMed/NCBI View Article : Google Scholar

36 

Wang CJ, Chang HT and Chang CY: Docetaxel-related interstitial pneumonitis. Ther Clin Risk Manag. 11:1813–1816. 2015.PubMed/NCBI View Article : Google Scholar

37 

Hoy SM: Sintilimab: First global approval. Drugs. 79:341–346. 2019.PubMed/NCBI View Article : Google Scholar

38 

Shi Y, Su H, Song Y, Jiang W, Sun X, Qian W, Zhang W, Gao Y, Jin Z, Zhou J, et al: Safety and activity of sintilimab in patients with relapsed or refractory classical Hodgkin lymphoma (ORIENT-1): A multicentre, single-arm, phase 2 trial. Lancet Haematol. 6:e12–e19. 2019.PubMed/NCBI View Article : Google Scholar

39 

Shibata Y, Murakami S and Kato T: Overview of checkpoint inhibitor pneumonitis: Incidence and associated risk factors. Expert Opin Drug Saf. 20:537–547. 2021.PubMed/NCBI View Article : Google Scholar

40 

Leroy V, Templier C, Faivre JB, Scherpereel A, Fournier C, Mortier L and Wemeau-Stervinou L: Pembrolizumab-induced pneumonitis. ERJ Open Res. 3:00081–2016. 2017.PubMed/NCBI View Article : Google Scholar

41 

Delaunay M, Cadranel J, Lusque A, Meyer N, Gounant V, Moro-Sibilot D, Michot JM, Raimbourg J, Girard N, Guisier F, et al: Immune-checkpoint inhibitors associated with interstitial lung disease in cancer patients. Eur Respir J. 50(1700050)2017.PubMed/NCBI View Article : Google Scholar

42 

Pozzessere C, Bouchaab H, Jumeau R, Letovanec I, Daccord C, Bourhis J, Prior JO, Peters S, Lazor R and Beigelman-Aubry C: Relationship between pneumonitis induced by immune checkpoint inhibitors and the underlying parenchymal status: A retrospective study. ERJ Open Res. 6:00165–2019. 2020.PubMed/NCBI View Article : Google Scholar

43 

Danlos FX, Voisin AL, Dyevre V, Michot JM, Routier E, Taillade L, Champiat S, Aspeslagh S, Haroche J, Albiges L, et al: Safety and efficacy of anti-programmed death 1 antibodies in patients with cancer and pre-existing autoimmune or inflammatory disease. Eur J Cancer. 91:21–29. 2018.PubMed/NCBI View Article : Google Scholar

44 

Cortellini A, Buti S, Santini D, Perrone F, Giusti R, Tiseo M, Bersanelli M, Michiara M, Grassadonia A, Brocco D, et al: Clinical outcomes of patients with advanced cancer and pre-existing autoimmune diseases treated with anti-programmed death-1 immunotherapy: A real-world transverse study. Oncologist. 24:e327–e337. 2019.PubMed/NCBI View Article : Google Scholar

45 

Griffiths CE and Barker JN: Pathogenesis and clinical features of psoriasis. Lancet. 370:263–271. 2007.PubMed/NCBI View Article : Google Scholar

46 

Halle BR, Betof Warner A, Zaman FY, Haydon A, Bhave P, Dewan AK, Ye F, Irlmeier R, Mehta P, Kurtansky NR, et al: Immune checkpoint inhibitors in patients with pre-existing psoriasis: Safety and efficacy. J Immunother Cancer. 9(e003066)2021.PubMed/NCBI View Article : Google Scholar

47 

Kimura H, Sone T, Murata A, Koba H, Tambo Y, Hara J, Abo M and Kasahara K: Long-lasting shrinkage in tumour mass after discontinuation of nivolumab treatment. Lung Cancer. 108:7–8. 2017.PubMed/NCBI View Article : Google Scholar

48 

Pesola G, Murianni V, Rebuzzi SE, Banna GL, Cerbone L, Catalano F, Borea R, Gandini A, Cremante M, Puglisi S, et al: Durable response after immunotherapy discontinuation for delayed and severe immune-related adverse events: A case report. Immunotherapy. 13:1379–1386. 2021.PubMed/NCBI View Article : Google Scholar

49 

Umihira S, Koyanagi T, Tamura K, Takahashi Y, Yoshiba T, Takahashi S, Taneichi A, Saga Y, Takei Y and Fujiwara H: Durable response after the discontinuation of pembrolizumab treatment due to an adverse event in a patient with advanced endometrial cancer: A case report. Exp Ther Med. 23(409)2022.PubMed/NCBI View Article : Google Scholar

50 

Eguchi S, Shinkawa H, Sato Y, Nakai K, Takemura S, Tanaka S, Amano R, Kimura K, Ohira G, Nishio K, et al: Durable response after discontinuation of pembrolizumab therapy for intrahepatic cholangiocarcinoma: A case report. Clin J Gastroenterol. 14:858–865. 2021.PubMed/NCBI View Article : Google Scholar

51 

Brahmer JR, Drake CG, Wollner I, Powderly JD, Picus J, Sharfman WH, Stankevich E, Pons A, Salay TM, McMiller TL, et al: Phase I study of single-agent anti-programmed death-1 (MDX-1106) in refractory solid tumours: Safety, clinical activity, pharmacodynamics, and immunologic correlates. J Clin Oncol. 28:3167–3175. 2010.PubMed/NCBI View Article : Google Scholar

52 

Zhang L, Lin W, Tan F, Li N, Xue Q, Gao S, Gao Y and He J: Sintilimab for the treatment of non-small cell lung cancer. Biomark Res. 10(23)2022.PubMed/NCBI View Article : Google Scholar

53 

Wang J, Fei K, Jing H, Wu Z, Wu W, Zhou S, Ni H, Chen B, Xiong Y, Liu Y, et al: Durable blockade of PD-1 signaling links preclinical efficacy of sintilimab to its clinical benefit. MAbs. 11:1443–1451. 2019.PubMed/NCBI View Article : Google Scholar

54 

Haanen JBAG, Carbonnel F, Robert C, Kerr KM, Peters S, Larkin J and Jordan K: ESMO Guidelines Committee. Management of toxicities from immunotherapy: ESMO Clinical Practice Guidelines for diagnosis, treatment and follow-up. Ann Oncol. 28 (suppl_4):iv119–iv142. 2017.PubMed/NCBI View Article : Google Scholar

55 

Phan T, Patwala K, Lipton L, Knight V, Aga A and Pianko S: Very delayed acute hepatitis after pembrolizumab therapy for advanced malignancy: How long should we watch? Curr Oncol. 28:898–902. 2021.PubMed/NCBI View Article : Google Scholar

Related Articles

  • Abstract
  • View
  • Download
  • Twitter
Copy and paste a formatted citation
Spandidos Publications style
Wu Y, Yin Y, Yan X, Fang L and Sun J: Late‑onset immune checkpoint inhibitor‑related pneumonitis after cessation of sintilimab: A case report and literature review. Exp Ther Med 25: 83, 2023.
APA
Wu, Y., Yin, Y., Yan, X., Fang, L., & Sun, J. (2023). Late‑onset immune checkpoint inhibitor‑related pneumonitis after cessation of sintilimab: A case report and literature review. Experimental and Therapeutic Medicine, 25, 83. https://doi.org/10.3892/etm.2023.11782
MLA
Wu, Y., Yin, Y., Yan, X., Fang, L., Sun, J."Late‑onset immune checkpoint inhibitor‑related pneumonitis after cessation of sintilimab: A case report and literature review". Experimental and Therapeutic Medicine 25.2 (2023): 83.
Chicago
Wu, Y., Yin, Y., Yan, X., Fang, L., Sun, J."Late‑onset immune checkpoint inhibitor‑related pneumonitis after cessation of sintilimab: A case report and literature review". Experimental and Therapeutic Medicine 25, no. 2 (2023): 83. https://doi.org/10.3892/etm.2023.11782
Copy and paste a formatted citation
x
Spandidos Publications style
Wu Y, Yin Y, Yan X, Fang L and Sun J: Late‑onset immune checkpoint inhibitor‑related pneumonitis after cessation of sintilimab: A case report and literature review. Exp Ther Med 25: 83, 2023.
APA
Wu, Y., Yin, Y., Yan, X., Fang, L., & Sun, J. (2023). Late‑onset immune checkpoint inhibitor‑related pneumonitis after cessation of sintilimab: A case report and literature review. Experimental and Therapeutic Medicine, 25, 83. https://doi.org/10.3892/etm.2023.11782
MLA
Wu, Y., Yin, Y., Yan, X., Fang, L., Sun, J."Late‑onset immune checkpoint inhibitor‑related pneumonitis after cessation of sintilimab: A case report and literature review". Experimental and Therapeutic Medicine 25.2 (2023): 83.
Chicago
Wu, Y., Yin, Y., Yan, X., Fang, L., Sun, J."Late‑onset immune checkpoint inhibitor‑related pneumonitis after cessation of sintilimab: A case report and literature review". Experimental and Therapeutic Medicine 25, no. 2 (2023): 83. https://doi.org/10.3892/etm.2023.11782
Follow us
  • Twitter
  • LinkedIn
  • Facebook
About
  • Spandidos Publications
  • Careers
  • Cookie Policy
  • Privacy Policy
How can we help?
  • Help
  • Live Chat
  • Contact
  • Email to our Support Team