Spandidos Publications Logo
  • About
    • About Spandidos
    • Aims and Scopes
    • Abstracting and Indexing
    • Editorial Policies
    • Reprints and Permissions
    • Job Opportunities
    • Terms and Conditions
    • Contact
  • Journals
    • All Journals
    • Oncology Letters
      • Oncology Letters
      • Information for Authors
      • Editorial Policies
      • Editorial Board
      • Aims and Scope
      • Abstracting and Indexing
      • Bibliographic Information
      • Archive
    • International Journal of Oncology
      • International Journal of Oncology
      • Information for Authors
      • Editorial Policies
      • Editorial Board
      • Aims and Scope
      • Abstracting and Indexing
      • Bibliographic Information
      • Archive
    • Molecular and Clinical Oncology
      • Molecular and Clinical Oncology
      • Information for Authors
      • Editorial Policies
      • Editorial Board
      • Aims and Scope
      • Abstracting and Indexing
      • Bibliographic Information
      • Archive
    • Experimental and Therapeutic Medicine
      • Experimental and Therapeutic Medicine
      • Information for Authors
      • Editorial Policies
      • Editorial Board
      • Aims and Scope
      • Abstracting and Indexing
      • Bibliographic Information
      • Archive
    • International Journal of Molecular Medicine
      • International Journal of Molecular Medicine
      • Information for Authors
      • Editorial Policies
      • Editorial Board
      • Aims and Scope
      • Abstracting and Indexing
      • Bibliographic Information
      • Archive
    • Biomedical Reports
      • Biomedical Reports
      • Information for Authors
      • Editorial Policies
      • Editorial Board
      • Aims and Scope
      • Abstracting and Indexing
      • Bibliographic Information
      • Archive
    • Oncology Reports
      • Oncology Reports
      • Information for Authors
      • Editorial Policies
      • Editorial Board
      • Aims and Scope
      • Abstracting and Indexing
      • Bibliographic Information
      • Archive
    • Molecular Medicine Reports
      • Molecular Medicine Reports
      • Information for Authors
      • Editorial Policies
      • Editorial Board
      • Aims and Scope
      • Abstracting and Indexing
      • Bibliographic Information
      • Archive
    • World Academy of Sciences Journal
      • World Academy of Sciences Journal
      • Information for Authors
      • Editorial Policies
      • Editorial Board
      • Aims and Scope
      • Abstracting and Indexing
      • Bibliographic Information
      • Archive
    • International Journal of Functional Nutrition
      • International Journal of Functional Nutrition
      • Information for Authors
      • Editorial Policies
      • Editorial Board
      • Aims and Scope
      • Abstracting and Indexing
      • Bibliographic Information
      • Archive
    • International Journal of Epigenetics
      • International Journal of Epigenetics
      • Information for Authors
      • Editorial Policies
      • Editorial Board
      • Aims and Scope
      • Abstracting and Indexing
      • Bibliographic Information
      • Archive
    • Medicine International
      • Medicine International
      • Information for Authors
      • Editorial Policies
      • Editorial Board
      • Aims and Scope
      • Abstracting and Indexing
      • Bibliographic Information
      • Archive
  • Articles
  • Information
    • Information for Authors
    • Information for Reviewers
    • Information for Librarians
    • Information for Advertisers
    • Conferences
  • Language Editing
Spandidos Publications Logo
  • About
    • About Spandidos
    • Aims and Scopes
    • Abstracting and Indexing
    • Editorial Policies
    • Reprints and Permissions
    • Job Opportunities
    • Terms and Conditions
    • Contact
  • Journals
    • All Journals
    • Biomedical Reports
      • Information for Authors
      • Editorial Policies
      • Editorial Board
      • Aims and Scope
      • Abstracting and Indexing
      • Bibliographic Information
      • Archive
    • Experimental and Therapeutic Medicine
      • Information for Authors
      • Editorial Policies
      • Editorial Board
      • Aims and Scope
      • Abstracting and Indexing
      • Bibliographic Information
      • Archive
    • International Journal of Epigenetics
      • Information for Authors
      • Editorial Policies
      • Editorial Board
      • Aims and Scope
      • Abstracting and Indexing
      • Bibliographic Information
      • Archive
    • International Journal of Functional Nutrition
      • Information for Authors
      • Editorial Policies
      • Editorial Board
      • Aims and Scope
      • Abstracting and Indexing
      • Bibliographic Information
      • Archive
    • International Journal of Molecular Medicine
      • Information for Authors
      • Editorial Policies
      • Editorial Board
      • Aims and Scope
      • Abstracting and Indexing
      • Bibliographic Information
      • Archive
    • International Journal of Oncology
      • Information for Authors
      • Editorial Policies
      • Editorial Board
      • Aims and Scope
      • Abstracting and Indexing
      • Bibliographic Information
      • Archive
    • Medicine International
      • Information for Authors
      • Editorial Policies
      • Editorial Board
      • Aims and Scope
      • Abstracting and Indexing
      • Bibliographic Information
      • Archive
    • Molecular and Clinical Oncology
      • Information for Authors
      • Editorial Policies
      • Editorial Board
      • Aims and Scope
      • Abstracting and Indexing
      • Bibliographic Information
      • Archive
    • Molecular Medicine Reports
      • Information for Authors
      • Editorial Policies
      • Editorial Board
      • Aims and Scope
      • Abstracting and Indexing
      • Bibliographic Information
      • Archive
    • Oncology Letters
      • Information for Authors
      • Editorial Policies
      • Editorial Board
      • Aims and Scope
      • Abstracting and Indexing
      • Bibliographic Information
      • Archive
    • Oncology Reports
      • Information for Authors
      • Editorial Policies
      • Editorial Board
      • Aims and Scope
      • Abstracting and Indexing
      • Bibliographic Information
      • Archive
    • World Academy of Sciences Journal
      • Information for Authors
      • Editorial Policies
      • Editorial Board
      • Aims and Scope
      • Abstracting and Indexing
      • Bibliographic Information
      • Archive
  • Articles
  • Information
    • For Authors
    • For Reviewers
    • For Librarians
    • For Advertisers
    • Conferences
  • Language Editing
Login Register Submit
  • This site uses cookies
  • You can change your cookie settings at any time by following the instructions in our Cookie Policy. To find out more, you may read our Privacy Policy.

    I agree
Search articles by DOI, keyword, author or affiliation
Search
Advanced Search
presentation
Experimental and Therapeutic Medicine
Join Editorial Board Propose a Special Issue
Print ISSN: 1792-0981 Online ISSN: 1792-1015
Journal Cover
February-2023 Volume 25 Issue 2

Full Size Image

Sign up for eToc alerts
Recommend to Library

Journals

International Journal of Molecular Medicine

International Journal of Molecular Medicine

International Journal of Molecular Medicine is an international journal devoted to molecular mechanisms of human disease.

International Journal of Oncology

International Journal of Oncology

International Journal of Oncology is an international journal devoted to oncology research and cancer treatment.

Molecular Medicine Reports

Molecular Medicine Reports

Covers molecular medicine topics such as pharmacology, pathology, genetics, neuroscience, infectious diseases, molecular cardiology, and molecular surgery.

Oncology Reports

Oncology Reports

Oncology Reports is an international journal devoted to fundamental and applied research in Oncology.

Experimental and Therapeutic Medicine

Experimental and Therapeutic Medicine

Experimental and Therapeutic Medicine is an international journal devoted to laboratory and clinical medicine.

Oncology Letters

Oncology Letters

Oncology Letters is an international journal devoted to Experimental and Clinical Oncology.

Biomedical Reports

Biomedical Reports

Explores a wide range of biological and medical fields, including pharmacology, genetics, microbiology, neuroscience, and molecular cardiology.

Molecular and Clinical Oncology

Molecular and Clinical Oncology

International journal addressing all aspects of oncology research, from tumorigenesis and oncogenes to chemotherapy and metastasis.

World Academy of Sciences Journal

World Academy of Sciences Journal

Multidisciplinary open-access journal spanning biochemistry, genetics, neuroscience, environmental health, and synthetic biology.

International Journal of Functional Nutrition

International Journal of Functional Nutrition

Open-access journal combining biochemistry, pharmacology, immunology, and genetics to advance health through functional nutrition.

International Journal of Epigenetics

International Journal of Epigenetics

Publishes open-access research on using epigenetics to advance understanding and treatment of human disease.

Medicine International

Medicine International

An International Open Access Journal Devoted to General Medicine.

Journal Cover
February-2023 Volume 25 Issue 2

Full Size Image

Sign up for eToc alerts
Recommend to Library

  • Article
  • Citations
    • Cite This Article
    • Download Citation
    • Create Citation Alert
    • Remove Citation Alert
    • Cited By
  • Similar Articles
    • Related Articles (in Spandidos Publications)
    • Similar Articles (Google Scholar)
    • Similar Articles (PubMed)
  • Download PDF
  • Download XML
  • View XML
Article Open Access

Comparison of the anti‑inflammatory effects of vitamin E and vitamin D on a rat model of dextran sulfate sodium‑induced ulcerative colitis

  • Authors:
    • Xing Fan
    • Jie Yin
    • Jiye Yin
    • Xiechuan Weng
    • Rigao Ding
  • View Affiliations / Copyright

    Affiliations: National Beijing Center for Drug Safety Evaluation and Research, State Key Laboratory for Toxicology and Medical Countermeasures, Beijing Institute of Pharmacology and Toxicology, Beijing 100850, P.R. China, Department of Neuroscience, Beijing Institute of Basic Medical Sciences, Beijing 100850, P.R. China, National Beijing Center for Drug Safety Evaluation and Research, State Key Laboratory for Toxicology and Medical Countermeasures, Beijing Institute of Pharmacology and Toxicology, Beijing 100850, P.R. China
    Copyright: © Fan et al. This is an open access article distributed under the terms of Creative Commons Attribution License.
  • Article Number: 98
    |
    Published online on: January 13, 2023
       https://doi.org/10.3892/etm.2023.11797
  • Expand metrics +
Metrics: Total Views: 0 (Spandidos Publications: | PMC Statistics: )
Metrics: Total PDF Downloads: 0 (Spandidos Publications: | PMC Statistics: )
Cited By (CrossRef): 0 citations Loading Articles...

This article is mentioned in:



Abstract

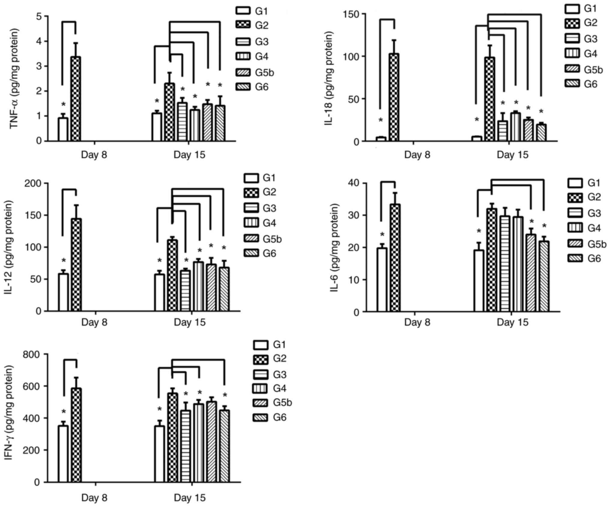
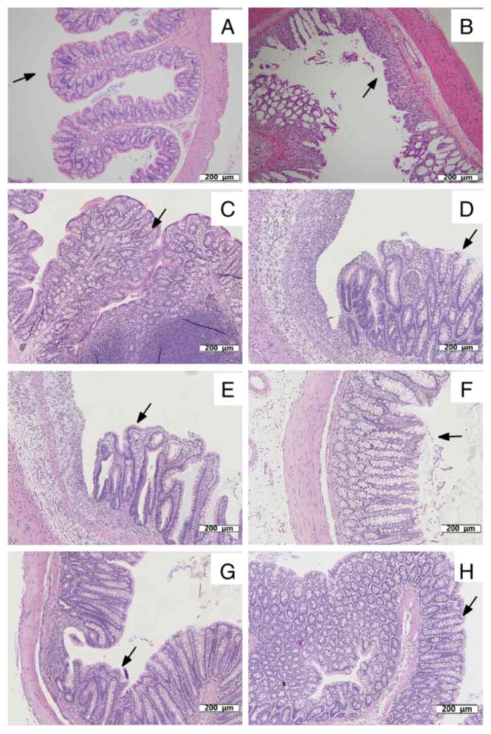
The present study aimed to compare the clinical effects of vitamin E and vitamin D on a rat model of dextran sulfate sodium (DSS)‑induced ulcerative colitis (UC), and to elucidate the underlying mechanisms associated with changes in the levels of cytokines. After successful establishment of the rat model of DSS‑induced UC, prednisolone (1 mg/kg), vitamin D (50 ng) and vitamin E (6, 30 and 150 IU/kg) were orally administered for 1 week. The pharmacodynamics were evaluated by a daily combination of clinical observation (CO) scores, histopathological evaluations and assessment of molecular markers of inflammation. Administration of vitamin D, vitamin E (30 and 150 IU/kg), prednisolone, and the combination of vitamin D and vitamin E resulted in a decrease in CO scores. The severity of inflammation of the colon was markedly alleviated in the treatment groups compared with that in the untreated DSS group according to the results of histopathological examination; however, they showed different inhibitory effects on the levels of some cytokines. In conclusion, the present results indicated that oral administration of vitamin E could promote recovery of DSS‑induced UC by the inhibition of proinflammatory cytokines, and that its underlying mechanism may differ from that of vitamin D and glucocorticoid drugs.
View Figures

Figure 1

Figure 2

Figure 3

Figure 4

Figure 5

Figure 6

View References

1 

Rufo PA, Denson LA, Sylvester FA, Szigethy E, Sathya P, Lu Y, Wahbeh GT, Sena LM and Faubion WA: Health supervision in the management of children and adolescents with IBD: NASPGHAN recommendations. J Pediatr Gastroenterol Nutr. 55:93–108. 2012.PubMed/NCBI View Article : Google Scholar

2 

Lucendo AJ, Hervías D, Roncero Ó, Lorente R, Bouhmidi A, Angueira T, Verdejo C, Salueña I, González-Castillo S and Arias Á: Epidemiology and temporal trends (2000-2012) of inflammatory bowel disease in adult patients in a central region of Spain. Eur J Gastroenterol Hepatol. 26:1399–1407. 2014.PubMed/NCBI View Article : Google Scholar

3 

Rescigno M: The pathogenic role of intestinal flora in IBD and colon cancer. Curr Drug Targets. 9:395–403. 2008.PubMed/NCBI View Article : Google Scholar

4 

Ng SC, Tang W, Ching JY, Wong M, Chow CM, Hui AJ, Wong TC, Leung VK, Tsang SW, Yu HH, et al: Incidence and phenotype of inflammatory bowel disease based on results from the Asia-pacific Crohn's and colitis epidemiology study. Gastroenterology. 145:158–165.e2. 2013.PubMed/NCBI View Article : Google Scholar

5 

Kuenzig ME, Fung SG, Marderfeld L, Mak JWY, Kaplan GG, Ng SC, Wilson DC, Cameron F, Henderson P, Kotze PG, et al: Twenty-first century trends in the global epidemiology of pediatric-onset inflammatory bowel disease: Systematic review. Gastroenterology. 162:1147–1159.e4. 2022.PubMed/NCBI View Article : Google Scholar

6 

Bauer C, Duewell P, Mayer C, Lehr HA, Fitzgerald KA, Dauer M, Tschopp J, Endres S, Latz E and Schnurr M: Colitis induced in mice with dextran sulfate sodium (DSS) is mediated by the NLRP3 inflammasome. Gut. 59:1192–1199. 2010.PubMed/NCBI View Article : Google Scholar

7 

Kojouharoff G, Hans W, Obermeier F, Männel DN, Andus T, Schölmerich J, Gross V and Falk W: Neutralization of tumour necrosis factor (TNF) but not of IL-1 reduces inflammation in chronic dextran sulphate sodium-induced colitis in mice. Clin Exp Immunol. 107:353–358. 1997.PubMed/NCBI View Article : Google Scholar

8 

Matsunaga H, Hokari R, Ueda T, Kurihara C, Hozumi H, Higashiyama M, Okada Y, Watanabe C, Komoto S, Nakamura M, et al: Physiological stress exacerbates murine colitis by enhancing proinflammatory cytokine expression that is dependent on IL-18. Am J Physiol Gastrointest Liver Physiol. 301:G555–G564. 2011.PubMed/NCBI View Article : Google Scholar

9 

Takagi H, Kanai T, Okazawa A, Kishi Y, Sato T, Takaishi H, Inoue N, Ogata H, Iwao Y, Hoshino K, et al: Contrasting action of IL-12 and IL-18 in the development of dextran sodium sulphate colitis in mice. Scand J Gastroenterol. 38:837–844. 2003.PubMed/NCBI View Article : Google Scholar

10 

Hans W, Schölmerich J, Gross V and Falk W: Interleukin-12 induced interferon-gamma increases inflammation in acute dextran sulfate sodium induced colitis in mice. Eur Cytokine Netw. 11:67–74. 2000.PubMed/NCBI

11 

Wang Y, Tong J, Chang B, Wang BF, Zhang D and Wang BY: Genetic polymorphisms in the IL-18 gene and ulcerative colitis risk: A meta-analysis. DNA Cell Biol. 33:438–447. 2014.PubMed/NCBI View Article : Google Scholar

12 

Zhu Y, Mahon BD, Froicu M and Cantorna MT: Calcium and 1 alpha,25-dihydroxyvitamin D3 target the TNF-alpha pathway to suppress experimental inflammatory bowel disease. Eur J Immunol. 35:217–224. 2005.PubMed/NCBI View Article : Google Scholar

13 

Stio M, Martinesi M, Bruni S, Treves C, d'Albasio G, Bagnoli S and Bonanomi AG: Interaction among vitamin D(3) analogue KH 1060, TNF-alpha, and vitamin D receptor protein in peripheral blood mononuclear cells of inflammatory bowel disease patients. Int Immunopharmacol. 6:1083–1092. 2006.PubMed/NCBI View Article : Google Scholar

14 

Magro F, Cordeiro G, Dias AM and Estevinho MM: Inflammatory bowel disease-non-biological treatment. Pharmacol Res. 160(105075)2020.PubMed/NCBI View Article : Google Scholar

15 

Jeong DY, Kim S, Son MJ, Son CY, Kim JY, Kronbichler A, Lee KH and Shin JI: Induction and maintenance treatment of inflammatory bowel disease: A comprehensive review. Autoimmun Rev. 18:439–454. 2019.PubMed/NCBI View Article : Google Scholar

16 

Jiang Y, Xia X, Wang W, Lin L, Xu C, Cai Z, Zheng B, Pei J, Shen S and Xia B: Hyperhomocysteinemia and related genetic polymorphisms correlate with ulcerative colitis in Chinese Han population in Central China [corrected]. Cell Biochem Biophys. 62:203–210. 2012.PubMed/NCBI View Article : Google Scholar

17 

Hart AL: Vitamin D and inflammatory bowel disease: Chicken or egg? Inflamm Bowel Dis. 19:459–460. 2013.PubMed/NCBI View Article : Google Scholar

18 

Levin AD, Wadhera V, Leach ST, Woodhead HJ, Lemberg DA, Mendoza-Cruz AC and Day AS: Vitamin D deficiency in children with inflammatory bowel disease. Dig Dis Sci. 56:830–836. 2011.PubMed/NCBI View Article : Google Scholar

19 

Blanck S and Aberra F: Vitamin d deficiency is associated with ulcerative colitis disease activity. Dig Dis Sci. 58:1698–1702. 2013.PubMed/NCBI View Article : Google Scholar

20 

Hassan V, Hassan S, Seyed-Javad P, Ahmad K, Asieh H, Maryam S, Farid F and Siavash A: Association between serum 25 (OH) vitamin D concentrations and inflammatory bowel diseases (IBDs) activity. Med J Malaysia. 68:34–38. 2013.PubMed/NCBI

21 

Selhub J, Byun A, Liu Z, Mason JB, Bronson RT and Crott JW: Dietary vitamin B6 intake modulates colonic inflammation in the IL10-/- model of inflammatory bowel disease. J Nutr Biochem. 24:2138–2143. 2013.PubMed/NCBI View Article : Google Scholar

22 

Li YC: Investigating the role of vitamin D in IBD pathophysiology and treatment. Gastroenterol Hepatol (N Y). 4:20–21. 2008.PubMed/NCBI

23 

Jankowska M, Trzonkowski P, Dębska-Ślizień A, Marszałł M and Rutkowski B: Vitamin B6 status, immune response and inflammation markers in kidney transplant recipients treated with polyclonal anti-thymocyte globulin. Transplant Proc. 46:2631–2635. 2014.PubMed/NCBI View Article : Google Scholar

24 

De Silva P and Ananthakrishnan AN: Vitamin D and IBD: More pieces to the puzzle, still no complete picture. Inflamm Bowel Dis. 18:1391–1393. 2012.PubMed/NCBI View Article : Google Scholar

25 

Xue LN, Xu KQ, Zhang W, Wang Q, Wu J and Wang XY: Associations between vitamin D receptor polymorphisms and susceptibility to ulcerative colitis and Crohn's disease: A meta-analysis. Inflamm Bowel Dis. 19:54–60. 2013.PubMed/NCBI View Article : Google Scholar

26 

Zator ZA, Cantu SM, Konijeti GG, Nguyen DD, Sauk J, Yajnik V and Ananthakrishnan AN: Pretreatment 25-hydroxyvitamin D levels and durability of anti-tumor necrosis factor-α therapy in inflammatory bowel diseases. JPEN J Parenter Enteral Nutr. 38:385–391. 2014.PubMed/NCBI View Article : Google Scholar

27 

Ooi JH, Li Y, Rogers CJ and Cantorna MT: Vitamin D regulates the gut microbiome and protects mice from dextran sodium sulfate-induced colitis. J Nutr. 143:1679–1686. 2013.PubMed/NCBI View Article : Google Scholar

28 

Mackawy AMH and Badawi MEH: Association of vitamin D and vitamin D receptor gene polymorphisms with chronic inflammation, insulin resistance and metabolic syndrome components in type 2 diabetic Egyptian patients. Meta Gene. 2:540–556. 2014.PubMed/NCBI View Article : Google Scholar

29 

Li YC, Chen Y and Du J: Critical roles of intestinal epithelial vitamin D receptor signaling in controlling gut mucosal inflammation. J Steroid Biochem Mol Biol. 148:179–183. 2015.PubMed/NCBI View Article : Google Scholar

30 

Leslie WD, Miller N, Rogala L and Bernstein CN: Vitamin D status and bone density in recently diagnosed inflammatory bowel disease: The manitoba IBD cohort study. Am J Gastroenterol. 103:1451–1459. 2008.PubMed/NCBI View Article : Google Scholar

31 

Ghaly S and Lawrance I: The role of vitamin D in gastrointestinal inflammation. Expert Rev Gastroenterol Hepatol. 8:909–923. 2014.PubMed/NCBI View Article : Google Scholar

32 

Phillips EA, Hendricks N, Bucher M and Maloyan A: Vitamin D supplementation improves mitochondrial function and reduces inflammation in placentae of obese women. Front Endocrinol (Lausanne). 13(893848)2022.PubMed/NCBI View Article : Google Scholar

33 

Hahn J, Cook NR, Alexander EK, Friedman S, Walter J, Bubes V, Kotler G, Lee IM, Manson JE and Costenbader KH: Vitamin D and marine omega 3 fatty acid supplementation and incident autoimmune disease: VITAL randomized controlled trial. BMJ. 376(e066452)2022.PubMed/NCBI View Article : Google Scholar

34 

Bui L, Zhu Z, Hawkins S, Cortez-Resendiz A and Bellon A: Vitamin D regulation of the immune system and its implications for COVID-19: A mini review. SAGE Open Med. 9(20503121211014073)2021.PubMed/NCBI View Article : Google Scholar

35 

Hribar CA, Cobbold PH and Church FC: Potential role of vitamin D in the elderly to resist COVID-19 and to slow progression of Parkinson's disease. Brain Sci. 10(284)2020.PubMed/NCBI View Article : Google Scholar

36 

Charoenngam N and Holick MF: Immunologic effects of vitamin D on human health and disease. Nutrients. 12(2097)2020.PubMed/NCBI View Article : Google Scholar

37 

Mailhot G and White JH: Vitamin D and immunity in infants and children. Nutrients. 12(1233)2020.PubMed/NCBI View Article : Google Scholar

38 

Zhao H, Zhang H, Wu H, Li H, Liu L, Guo J, Li C, Shih DQ and Zhang X: Protective role of 1,25(OH)2 vitamin D3 in the mucosal injury and epithelial barrier disruption in DSS-induced acute colitis in mice. BMC Gastroenterol. 12(57)2012.PubMed/NCBI View Article : Google Scholar

39 

Vaghari-Tabari M, Mohammadzadeh I, Qujeq D, Majidinia M, Alemi F, Younesi S, Mahmoodpoor A, Maleki M, Yousefi B and Asemi Z: Vitamin D in respiratory viral infections: A key immune modulator? Crit Rev Food Sci Nutr. 1–16. 2021.PubMed/NCBI View Article : Google Scholar : (Epub ahead of print).

40 

Colón AL, Madrigal JL, Menchén LA, Moro MA, Lizasoain I, Lorenzo P and Leza JC: Stress increases susceptibility to oxidative/nitrosative mucosal damage in an experimental model of colitis in rats. Dig Dis Sci. 49:1713–1721. 2004.PubMed/NCBI View Article : Google Scholar

41 

Narushima S, Spitz DR, Oberley LW, Toyokuni S, Miyata T, Gunnett CA, Buettner GR, Zhang J, Ismail H, Lynch RG and Berg DJ: Evidence for oxidative stress in NSAID-induced colitis in IL10-/- mice. Free Radic Biol Med. 34:1153–1166. 2003.PubMed/NCBI View Article : Google Scholar

42 

Seven A, Seymen O, Inci F, Oz B, Yiğit G and Burçak G: Evaluation of oxidative stress in experimental colitis: Effects of L-arginine-nitric oxide pathway manipulation. J Toxicol Environ Health A. 61:167–176. 2000.PubMed/NCBI View Article : Google Scholar

43 

Rana SV, Sharma S, Kaur J, Prasad KK, Sinha SK, Kochhar R, Malik A and Morya RK: Relationship of cytokines, oxidative stress and GI motility with bacterial overgrowth in ulcerative colitis patients. J Crohns Colitis. 8:859–865. 2014.PubMed/NCBI View Article : Google Scholar

44 

Rana SV, Sharma S, Prasad KK, Sinha SK and Singh K: Role of oxidative stress & antioxidant defence in ulcerative colitis patients from north India. Indian J Med Res. 139:568–571. 2014.PubMed/NCBI

45 

Korkina L, Suprun M, Petrova A, Mikhal'chik E, Luci A and De Luca C: The protective and healing effects of a natural antioxidant formulation based on ubiquinol and Aloe vera against dextran sulfate-induced ulcerative colitis in rats. Biofactors. 18:255–264. 2003.PubMed/NCBI View Article : Google Scholar

46 

Abdala-Valencia H, Berdnikovs S and Cook-Mills JM: Vitamin E isoforms as modulators of lung inflammation. Nutrients. 5:4347–4363. 2013.PubMed/NCBI View Article : Google Scholar

47 

Almohanna HM, Ahmed AA, Tsatalis JP and Tosti A: The role of vitamins and minerals in hair loss: A review. Dermatol Ther (Heidelb). 9:51–70. 2019.PubMed/NCBI View Article : Google Scholar

48 

Carrier J, Aghdassi E, Cullen J and Allard JP: Iron supplementation increases disease activity and vitamin E ameliorates the effect in rats with dextran sulfate sodium-induced colitis. J Nutr. 132:3146–3150. 2002.PubMed/NCBI View Article : Google Scholar

49 

Tahan G, Aytac E, Aytekin H, Gunduz F, Dogusoy G, Aydin S, Tahan V and Uzun H: Vitamin E has a dual effect of anti-inflammatory and antioxidant activities in acetic acid-induced ulcerative colitis in rats. Can J Surg. 54:333–338. 2011.PubMed/NCBI View Article : Google Scholar

50 

Parmar AR, Trivedi PP and Jena GB: Dextran sulfate sodium-induced ulcerative colitis leads to testicular toxicity in mice: Role of inflammation, oxidative stress and DNA damage. Reprod Toxicol. 49:171–184. 2014.PubMed/NCBI View Article : Google Scholar

51 

Hu D, Wu CQ, Li ZJ, Liu Y, Fan X, Wang QJ and Ding RG: Characterizing the mechanism of thiazolidinedione-induced hepatotoxicity: An in vitro model in mitochondria. Toxicol Appl Pharmacol. 284:134–141. 2015.PubMed/NCBI View Article : Google Scholar

52 

Meng G, Zhao J, Wang HM, Ding RG, Zhang XC, Huang CQ and Ruan JX: Injury of cell tight junctions and changes of actin level in acute lung injury caused by the perfluoroisobutylene exposure and the role of Myosin light chain kinase. J Occup Health. 53:250–257. 2011.PubMed/NCBI View Article : Google Scholar

53 

Weng XC, Fan X, Wang QX, Shi C, Li LN, Ouyang ZH, Kong Q, Wang QJ, Guan YB and Ding RG: Research on the methods of active systemic anaphylaxis on guinea pig in drug safety evaluation. Chin J Comp Med. 22:51–55. 2012.

54 

Cooper HS, Murthy SN, Shah RS and Sedergran DJ: Clinicopathologic study of dextran sulfate sodium experimental murine colitis. Lab Invest. 69:238–249. 1993.PubMed/NCBI

55 

Ten Hove T, Corbaz A, Amitai H, Aloni S, Belzer I, Graber P, Drillenburg P, van Deventer SJ, Chvatchko Y and Te Velde AA: Blockade of endogenous IL-18 ameliorates TNBS-induced colitis by decreasing local TNF-alpha production in mice. Gastroenterology. 121:1372–1379. 2001.PubMed/NCBI View Article : Google Scholar

56 

Wang L, Feng Y and Wang J, Luo T, Wang X, Wu M, Wang R, Chen D, Li J and Wang J: Arbutin ameliorates murine colitis by inhibiting JAK2 signaling pathway. Front Pharmacol. 12(683818)2021.PubMed/NCBI View Article : Google Scholar

57 

Chassaing B, Aitken JD, Malleshappa M and Vijay-Kumar M: Dextran sulfate sodium (DSS)-induced colitis in mice. Curr Protoc Immunol. 104:15.25.1–15.25.14. 2014.PubMed/NCBI View Article : Google Scholar

58 

Sun M, Yan Z, Sun R, Tian W, Yi W and Zhang J: Dynamic monitoring and a clinical correlation analysis of the serum vitamin A, D, and E levels in children with recurrent respiratory tract infections. Am J Transl Res. 14:3533–3538. 2022.PubMed/NCBI

59 

Lewis ED, Meydani SN and Wu D: Regulatory role of vitamin E in the immune system and inflammation. IUBMB Life. 71:487–494. 2019.PubMed/NCBI View Article : Google Scholar

60 

Perše M and Cerar A: Dextran sodium sulphate colitis mouse model: Traps and tricks. J Biomed Biotechnol. 2012(718617)2012.PubMed/NCBI View Article : Google Scholar

61 

Schwager J, Seifert N, Bompard A, Raederstorff D and Bendik I: Resveratrol, EGCG and vitamins modulate activated T lymphocytes. Molecules. 26(5600)2021.PubMed/NCBI View Article : Google Scholar

62 

National Research Council (US) Committee for the Update of the Guide for the Care and Use of Laboratory Animals: The national academies collection: Reports funded by national institutes of health. In: Guide for the care and use of laboratory animals. National Academies Press (US) Copyright ©. 2011, National Academy of Sciences, Washington (DC), 2011.

Related Articles

  • Abstract
  • View
  • Download
  • Twitter
Copy and paste a formatted citation
Spandidos Publications style
Fan X, Yin J, Yin J, Weng X and Ding R: Comparison of the anti‑inflammatory effects of vitamin E and vitamin D on a rat model of dextran sulfate sodium‑induced ulcerative colitis. Exp Ther Med 25: 98, 2023.
APA
Fan, X., Yin, J., Yin, J., Weng, X., & Ding, R. (2023). Comparison of the anti‑inflammatory effects of vitamin E and vitamin D on a rat model of dextran sulfate sodium‑induced ulcerative colitis. Experimental and Therapeutic Medicine, 25, 98. https://doi.org/10.3892/etm.2023.11797
MLA
Fan, X., Yin, J., Yin, J., Weng, X., Ding, R."Comparison of the anti‑inflammatory effects of vitamin E and vitamin D on a rat model of dextran sulfate sodium‑induced ulcerative colitis". Experimental and Therapeutic Medicine 25.2 (2023): 98.
Chicago
Fan, X., Yin, J., Yin, J., Weng, X., Ding, R."Comparison of the anti‑inflammatory effects of vitamin E and vitamin D on a rat model of dextran sulfate sodium‑induced ulcerative colitis". Experimental and Therapeutic Medicine 25, no. 2 (2023): 98. https://doi.org/10.3892/etm.2023.11797
Copy and paste a formatted citation
x
Spandidos Publications style
Fan X, Yin J, Yin J, Weng X and Ding R: Comparison of the anti‑inflammatory effects of vitamin E and vitamin D on a rat model of dextran sulfate sodium‑induced ulcerative colitis. Exp Ther Med 25: 98, 2023.
APA
Fan, X., Yin, J., Yin, J., Weng, X., & Ding, R. (2023). Comparison of the anti‑inflammatory effects of vitamin E and vitamin D on a rat model of dextran sulfate sodium‑induced ulcerative colitis. Experimental and Therapeutic Medicine, 25, 98. https://doi.org/10.3892/etm.2023.11797
MLA
Fan, X., Yin, J., Yin, J., Weng, X., Ding, R."Comparison of the anti‑inflammatory effects of vitamin E and vitamin D on a rat model of dextran sulfate sodium‑induced ulcerative colitis". Experimental and Therapeutic Medicine 25.2 (2023): 98.
Chicago
Fan, X., Yin, J., Yin, J., Weng, X., Ding, R."Comparison of the anti‑inflammatory effects of vitamin E and vitamin D on a rat model of dextran sulfate sodium‑induced ulcerative colitis". Experimental and Therapeutic Medicine 25, no. 2 (2023): 98. https://doi.org/10.3892/etm.2023.11797
Follow us
  • Twitter
  • LinkedIn
  • Facebook
About
  • Spandidos Publications
  • Careers
  • Cookie Policy
  • Privacy Policy
How can we help?
  • Help
  • Live Chat
  • Contact
  • Email to our Support Team