Spandidos Publications Logo
  • About
    • About Spandidos
    • Aims and Scopes
    • Abstracting and Indexing
    • Editorial Policies
    • Reprints and Permissions
    • Job Opportunities
    • Terms and Conditions
    • Contact
  • Journals
    • All Journals
    • Oncology Letters
      • Oncology Letters
      • Information for Authors
      • Editorial Policies
      • Editorial Board
      • Aims and Scope
      • Abstracting and Indexing
      • Bibliographic Information
      • Archive
    • International Journal of Oncology
      • International Journal of Oncology
      • Information for Authors
      • Editorial Policies
      • Editorial Board
      • Aims and Scope
      • Abstracting and Indexing
      • Bibliographic Information
      • Archive
    • Molecular and Clinical Oncology
      • Molecular and Clinical Oncology
      • Information for Authors
      • Editorial Policies
      • Editorial Board
      • Aims and Scope
      • Abstracting and Indexing
      • Bibliographic Information
      • Archive
    • Experimental and Therapeutic Medicine
      • Experimental and Therapeutic Medicine
      • Information for Authors
      • Editorial Policies
      • Editorial Board
      • Aims and Scope
      • Abstracting and Indexing
      • Bibliographic Information
      • Archive
    • International Journal of Molecular Medicine
      • International Journal of Molecular Medicine
      • Information for Authors
      • Editorial Policies
      • Editorial Board
      • Aims and Scope
      • Abstracting and Indexing
      • Bibliographic Information
      • Archive
    • Biomedical Reports
      • Biomedical Reports
      • Information for Authors
      • Editorial Policies
      • Editorial Board
      • Aims and Scope
      • Abstracting and Indexing
      • Bibliographic Information
      • Archive
    • Oncology Reports
      • Oncology Reports
      • Information for Authors
      • Editorial Policies
      • Editorial Board
      • Aims and Scope
      • Abstracting and Indexing
      • Bibliographic Information
      • Archive
    • Molecular Medicine Reports
      • Molecular Medicine Reports
      • Information for Authors
      • Editorial Policies
      • Editorial Board
      • Aims and Scope
      • Abstracting and Indexing
      • Bibliographic Information
      • Archive
    • World Academy of Sciences Journal
      • World Academy of Sciences Journal
      • Information for Authors
      • Editorial Policies
      • Editorial Board
      • Aims and Scope
      • Abstracting and Indexing
      • Bibliographic Information
      • Archive
    • International Journal of Functional Nutrition
      • International Journal of Functional Nutrition
      • Information for Authors
      • Editorial Policies
      • Editorial Board
      • Aims and Scope
      • Abstracting and Indexing
      • Bibliographic Information
      • Archive
    • International Journal of Epigenetics
      • International Journal of Epigenetics
      • Information for Authors
      • Editorial Policies
      • Editorial Board
      • Aims and Scope
      • Abstracting and Indexing
      • Bibliographic Information
      • Archive
    • Medicine International
      • Medicine International
      • Information for Authors
      • Editorial Policies
      • Editorial Board
      • Aims and Scope
      • Abstracting and Indexing
      • Bibliographic Information
      • Archive
  • Articles
  • Information
    • Information for Authors
    • Information for Reviewers
    • Information for Librarians
    • Information for Advertisers
    • Conferences
  • Language Editing
Spandidos Publications Logo
  • About
    • About Spandidos
    • Aims and Scopes
    • Abstracting and Indexing
    • Editorial Policies
    • Reprints and Permissions
    • Job Opportunities
    • Terms and Conditions
    • Contact
  • Journals
    • All Journals
    • Biomedical Reports
      • Information for Authors
      • Editorial Policies
      • Editorial Board
      • Aims and Scope
      • Abstracting and Indexing
      • Bibliographic Information
      • Archive
    • Experimental and Therapeutic Medicine
      • Information for Authors
      • Editorial Policies
      • Editorial Board
      • Aims and Scope
      • Abstracting and Indexing
      • Bibliographic Information
      • Archive
    • International Journal of Epigenetics
      • Information for Authors
      • Editorial Policies
      • Editorial Board
      • Aims and Scope
      • Abstracting and Indexing
      • Bibliographic Information
      • Archive
    • International Journal of Functional Nutrition
      • Information for Authors
      • Editorial Policies
      • Editorial Board
      • Aims and Scope
      • Abstracting and Indexing
      • Bibliographic Information
      • Archive
    • International Journal of Molecular Medicine
      • Information for Authors
      • Editorial Policies
      • Editorial Board
      • Aims and Scope
      • Abstracting and Indexing
      • Bibliographic Information
      • Archive
    • International Journal of Oncology
      • Information for Authors
      • Editorial Policies
      • Editorial Board
      • Aims and Scope
      • Abstracting and Indexing
      • Bibliographic Information
      • Archive
    • Medicine International
      • Information for Authors
      • Editorial Policies
      • Editorial Board
      • Aims and Scope
      • Abstracting and Indexing
      • Bibliographic Information
      • Archive
    • Molecular and Clinical Oncology
      • Information for Authors
      • Editorial Policies
      • Editorial Board
      • Aims and Scope
      • Abstracting and Indexing
      • Bibliographic Information
      • Archive
    • Molecular Medicine Reports
      • Information for Authors
      • Editorial Policies
      • Editorial Board
      • Aims and Scope
      • Abstracting and Indexing
      • Bibliographic Information
      • Archive
    • Oncology Letters
      • Information for Authors
      • Editorial Policies
      • Editorial Board
      • Aims and Scope
      • Abstracting and Indexing
      • Bibliographic Information
      • Archive
    • Oncology Reports
      • Information for Authors
      • Editorial Policies
      • Editorial Board
      • Aims and Scope
      • Abstracting and Indexing
      • Bibliographic Information
      • Archive
    • World Academy of Sciences Journal
      • Information for Authors
      • Editorial Policies
      • Editorial Board
      • Aims and Scope
      • Abstracting and Indexing
      • Bibliographic Information
      • Archive
  • Articles
  • Information
    • For Authors
    • For Reviewers
    • For Librarians
    • For Advertisers
    • Conferences
  • Language Editing
Login Register Submit
  • This site uses cookies
  • You can change your cookie settings at any time by following the instructions in our Cookie Policy. To find out more, you may read our Privacy Policy.

    I agree
Search articles by DOI, keyword, author or affiliation
Search
Advanced Search
presentation
Experimental and Therapeutic Medicine
Join Editorial Board Propose a Special Issue
Print ISSN: 1792-0981 Online ISSN: 1792-1015
Journal Cover
April-2023 Volume 25 Issue 4

Full Size Image

Sign up for eToc alerts
Recommend to Library

Journals

International Journal of Molecular Medicine

International Journal of Molecular Medicine

International Journal of Molecular Medicine is an international journal devoted to molecular mechanisms of human disease.

International Journal of Oncology

International Journal of Oncology

International Journal of Oncology is an international journal devoted to oncology research and cancer treatment.

Molecular Medicine Reports

Molecular Medicine Reports

Covers molecular medicine topics such as pharmacology, pathology, genetics, neuroscience, infectious diseases, molecular cardiology, and molecular surgery.

Oncology Reports

Oncology Reports

Oncology Reports is an international journal devoted to fundamental and applied research in Oncology.

Experimental and Therapeutic Medicine

Experimental and Therapeutic Medicine

Experimental and Therapeutic Medicine is an international journal devoted to laboratory and clinical medicine.

Oncology Letters

Oncology Letters

Oncology Letters is an international journal devoted to Experimental and Clinical Oncology.

Biomedical Reports

Biomedical Reports

Explores a wide range of biological and medical fields, including pharmacology, genetics, microbiology, neuroscience, and molecular cardiology.

Molecular and Clinical Oncology

Molecular and Clinical Oncology

International journal addressing all aspects of oncology research, from tumorigenesis and oncogenes to chemotherapy and metastasis.

World Academy of Sciences Journal

World Academy of Sciences Journal

Multidisciplinary open-access journal spanning biochemistry, genetics, neuroscience, environmental health, and synthetic biology.

International Journal of Functional Nutrition

International Journal of Functional Nutrition

Open-access journal combining biochemistry, pharmacology, immunology, and genetics to advance health through functional nutrition.

International Journal of Epigenetics

International Journal of Epigenetics

Publishes open-access research on using epigenetics to advance understanding and treatment of human disease.

Medicine International

Medicine International

An International Open Access Journal Devoted to General Medicine.

Journal Cover
April-2023 Volume 25 Issue 4

Full Size Image

Sign up for eToc alerts
Recommend to Library

  • Article
  • Citations
    • Cite This Article
    • Download Citation
    • Create Citation Alert
    • Remove Citation Alert
    • Cited By
  • Similar Articles
    • Related Articles (in Spandidos Publications)
    • Similar Articles (Google Scholar)
    • Similar Articles (PubMed)
  • Download PDF
  • Download XML
  • View XML
Case Report Open Access

Diagnosis and treatment of diffuse pulmonary lymphangioma in children: A case report

  • Authors:
    • Xiaopu Sun
    • Chengyu Lu
    • Zhanhang Huang
    • Jiaxing Xu
    • Huiyi Zhu
    • Sen Yang
    • Deihui Chen
  • View Affiliations / Copyright

    Affiliations: Department of Pediatrics, The First Affiliated Hospital of Guangzhou Medical University, Guangzhou, Guangdong 510120, P.R. China
    Copyright: © Sun et al. This is an open access article distributed under the terms of Creative Commons Attribution License.
  • Article Number: 175
    |
    Published online on: March 7, 2023
       https://doi.org/10.3892/etm.2023.11874
  • Expand metrics +
Metrics: Total Views: 0 (Spandidos Publications: | PMC Statistics: )
Metrics: Total PDF Downloads: 0 (Spandidos Publications: | PMC Statistics: )
Cited By (CrossRef): 0 citations Loading Articles...

This article is mentioned in:


Abstract

The present study aimed to investigate the clinical characteristics of diffuse pulmonary lymphangioma (DPL) in children to improve the diagnosis and treatment of this disease. A case of pediatric DPL was observed for its clinical symptoms, imaging features, lung biopsy pathological characteristics and immunohistochemical phenotypes, and relevant literature was also reviewed. The main clinical manifestations of this pediatric patient were a cough, shortness of breath, hemoptysis, bloody chylothorax and pericardial effusion. Chest computed tomography showed a grid‑like shadow and markedly thickened interlobular septa. Pathological examination revealed lymphatic vessel hyperplasia and expansion. Immunohistochemistry showed positive staining of lymphatic endothelial cells CD31 and D2‑40. The patient's condition improved after combined treatment with methylprednisone, propranolol, sirolimus and somatostatin, whose bloody chylothorax also achieved good therapeutic effect after conservative treatment. Overall, the clinical and imaging appearances of DPL are lack of characterization, and its clinical manifestations include cough, shortness of breath and chylothorax. Computed tomography may show mesh‑like shadows of both lungs and thickened interlobular septa. The definite diagnosis of DPL depends on biopsy pathology. In addition to this case, B‑ultrasound‑guided puncture biopsy is effective and safe, and propranolol‑sirolimus treatment has a certain effect, but the clinical effect may be different. Conservative treatment of pleural effusion can result in better curative effect.

Introduction

Diffuse pulmonary lymphangiomatosis (DPL) is a rare disease which is insidious, and its pathogenesis is unknown. It usually occurs after birth or in childhood, and can also occur in adults. There is no significant gender difference (1). Diffuse pulmonary lymphangiomatosis (DPL) is a relatively rare congenital lymphoproliferative pulmonary disease characterized by abnormal lymphatic hyperplasia, dilation, and thickening of the soft tissues of the lungs, pleura, and mediastinum (2). The younger the age of onset, the worse the prognosis (3). The main clinical manifestations of DPL patients are cough, sputum, chest tightness, shortness of breath, and dyspnea, and some patients also show repeated intractable chylothorax (4). Lung CT scans may reveal diffuse interstitial changes, ground glass manifestations, multiple nodules and diffuse septal thickening, and diffuse mediastinal and paratracheal soft tissue infiltration (3), with mediastinal lymph node enlargement, perihilar soft tissue shadows, and pleural calcification (5). Bronchoscopy revealed diffuse translucent vesicular changes in the bronchial wall mucosa (3). Respiratory failure and chylous fluid accumulation secondary to infection are the major causes of death in DPL patients (6,7). We retrospectively analyzed the clinical data of a case of DPL in a child admitted to the First Affiliated Hospital of Guangzhou Medical University in order to improve clinicians' understanding of this disease and explore new therapeutic directions.

Case report

An 8-year-old boy with the chief complaint of cough for two weeks, anhelation for one week, and fever for two days was admitted to our hospital on March 24, 2020. The onset of the disease was mainly dry cough, and then cough phlegm appeared gradually, accompanied by blood phlegm once (15 ml). The chest computed tomography (CT) revealed ‘Interstitial pneumonia is present in both lungs; Bilateral pleural effusion with local consolidation.’ The patient received intravenous anti-infection therapy of cefmetazole, cefoperazone sodium and sulbactam sodium for two days and closed thoracic drainage in a local hospital, and the therapeutic effect was not satisfactory, then the patient went to our hospital for further treatment. The child initially developed a chylous pericardial effusion at age 1. He underwent partial pericardiectomy, pericardial drainage and thoracic catheter ligation at another hospital for chylous pericardial effusion at the age of 2, during which he also received anti-infection, nutritional support and somatostatin therapy (The exact course of treatment was not known). The patient was regularly followed up for three years after discharge, and reexamination of chest radiographs showed no abnormality.

Upon physical examination, the child looked dyspnoeic and could not keep horizontal. The three concave signs was positive. Respiratory sounds in both lungs were weakened, obvious in the left lung, and wet rales and wheezing were heard. Several lymph nodes with a diameter of 0.5-0.8 cm were found in the neck, armpit, and groin of both sides, which were mobile, without tenderness and adhesion.

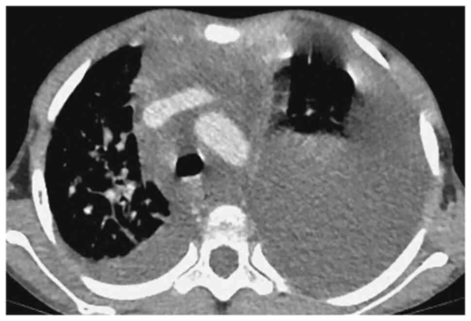
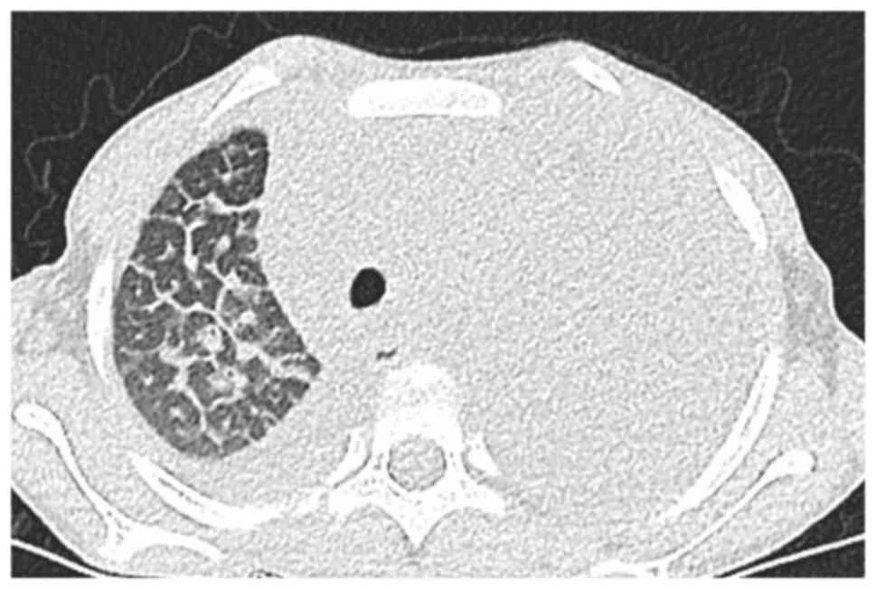
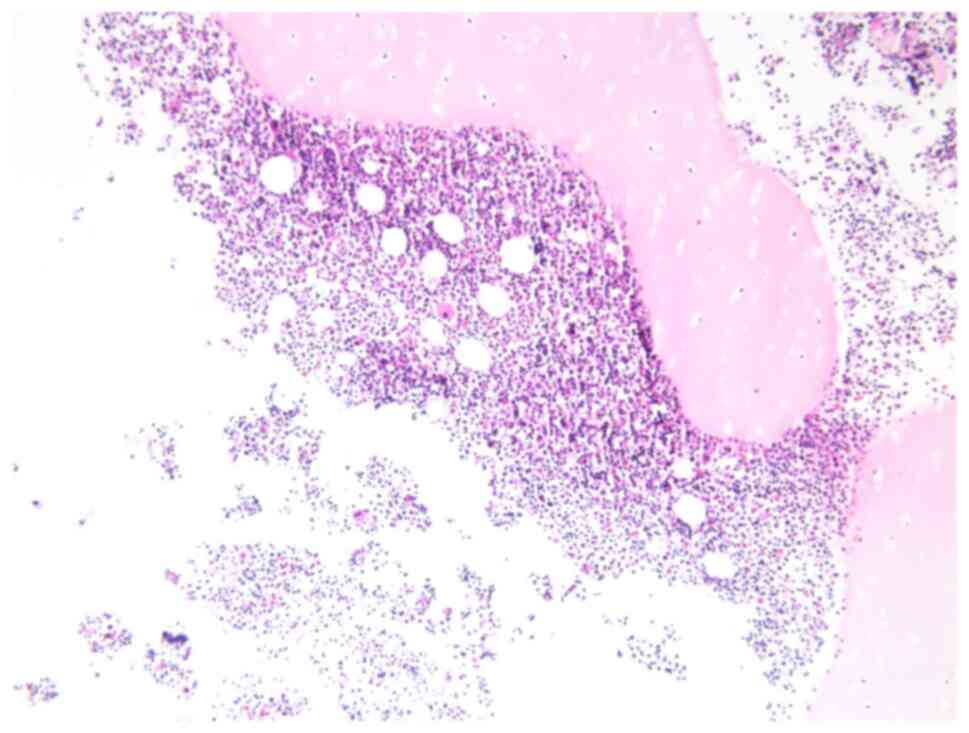
Laboratory examinations revealed severe microcytic hypochromic anemia, with hemoglobin value of 80 g/l. T-SPOT showed no abnormality. Blood and pleural effusion cultures were negative. The pleural fluid test suggested chylothorax. Contrast-enhanced chest CT (Figs. 1 and 2) showed multiple lymph nodes in bilateral cervical roots and mediastinum, which were fused into clusters, and the trachea and mediastinal great vessels were surrounded. Furthermore, there was multiple thickening of interlobular septa in the right lung, multiple inflammations in both lungs and atelectasis in the left lung, and massive pleural effusion on the left side. Positron emission tomography (PET)-CT showed soft tissue thickening around the trachea, blood vessels, and thyroid gland in the lower neck and the mediastinum, especially in the anterior and superior mediastinum. The pulmonary interlobular septum was significantly thickened, and the bronchial vascular bundle was thickened, accompanied by multiple patchy shadows of increased density and consolidation. The pleural effusion of the child was chylous (Fig. 3). Biopsy of the mediastinal mass revealed patchy, small lymphocytes with few thymus corpuscles. The tumor tissue was fissured and had a sparse reticular structure (Fig. 4). Immunohistochemistry results revealed the following: D2-40 (+), CD31 (+), Ki67 (1%+), SALL4 (-), SOX-10 (-), SMA (-), TDT (-), CD5 (-), CD117 (-), PLAP (-), AFP (-), HMB45 (-) and tissue changes consistent with the vascular origin of the tumor, inclined to lymphangioma.

Figure 1

Multiple thickening of interlobular septa in the right lung.

Figure 2

Multiple lymph nodes in bilateral cervical roots and mediastinum, which were fused into clusters, and the trachea and mediastinal great vessels were surrounded.

Figure 3

Pleural effusion of the child was chylous.

Figure 4

Biopsy of mediastinal mass revealed patchy small lymphocytes with a few thymus corpuscles, which were fissured and had a sparse reticular structure.

After the treatment with prednisone, propranolol, sirolimus and somatostatin, the clinical symptoms of the child were improved. At the same time, the patient underwent a thoracentesis and the drainage tube was removed after laboratory examination of the pleural effusion. In the treatment of pleural effusion, we chose conservative treatment instead of repeated drainage. Afterwards, the pleural fluid in B-mode chest ultrasound was not significantly increased, blood routine hemoglobin concentration was stable, and fibrinogen level was not progressively decreased. Thus, we can consider the treatment was effective. The child was discharged on June 4, 2020. After discharge, he did not have a fever or pale face. Regular blood routine examinations were performed, and hemoglobin level was maintained at 90-110 g/l. He did not have anhelation and could be supine. The child was admitted to the hospital for a second time on July 27, 2020, and planned to receive lymphangiography and occlusion. During hospitalization, the patient's condition worsened due to infection, and hemoptysis occurred. Bronchoscopy showed obvious congestion, erosion, and bleeding of the left bronchial mucosa (Fig. 5), which was considered as the cause of hemoptysis. During the second admission, the patient was treated with oral prednisone for anti-inflammation, propranolol for stabilizing endothelial cells, sirolimus for suppressing the immune response, piperacillin sodium and tazobactam sodium for anti-infection activity, along with somatostatin, and calcium and iron supplements, after which the patient's condition was stable. Lymphangiogram and occlusion were performed on August 20, 2020. The child's condition was continuously followed up and observed, and regular outpatient follow-ups were performed until April 2021. The child's condition is stable, and he has a normal diet, no cough, hemoptysis, anhelation, chest tightness, and other discomforts. Routine blood reexamination revealed a hemoglobin concentration of 110 g/l.

Figure 5

Bronchoscopy showed obvious congestion, erosion and bleeding of the left bronchial mucosa.

Discussion

Lymphangioma is when the original lymphatic sac is isolated from the lymphatic system during embryonic development, the remaining lymphoid tissue is hyperplastic, and the lymph fluid gradually accumulates causing the lymphatic vessels to expand like a capsule (3). About 10% of DPL occurs in the mediastinum, and only in the lungs is rare (8).

DPL needs to be differentiated from diffuse pulmonary lymphangiectasis, pulmonary lymphangiomatosis, pulmonary capillary angiomatosis, sarcoidosis and other diseases. Diffuse lymphangiectasia of lung includes primary and secondary 2 kinds. Primary lymphangiectasia occurs mostly in infants and young children. It is congenital abnormal development of interstitial connective tissue of the lung, manifested as lymphangiectasia of the pulmonary capillary. Secondary lymphangiectasia is mainly due to surgical operations, radiation, infection, tumors, trauma and other factors caused by lymphatic circulation disorders (9). Pulmonary capillary angiomatosis is a pulmonary capillary abnormal hyperplasia disease, its clinical symptoms are similar to pulmonary hypertension, common pleural effusion and hemoptysis, can be diagnosed by pulmonary angiography (10).

The case reported in this paper began to show clinical symptoms at the age of 1, and was diagnosed as DPL at the age of 8 according to pathological findings in our hospital. Among the DPL patients reported in China, this case has the youngest onset age and the longest diagnosis time span. The disease was not diagnosed at the beginning, and clinical symptoms appeared again six years after surgical treatment, indicating that the disease progressed relatively slowly. Finally, the diagnosis was confirmed by pathological examination. Because of the lack of clinical understanding of DPL, which is prone to misdiagnosis, the patient was not considered for the disease despite the surgical treatment of chylothorax and pericardial effusion. To define the diagnosis based on clinical and radiographic features alone is not enough; most patients need confirmation by bronchoscopy, lung biopsy, or open lung biopsy, but the risk is huge. Shen (11). reported a case of DPL in children through bronchoscopy biopsy of the lung hemorrhage and death after TBLB chylothorax. In our case, the mediastinal puncture was a safe and effective method under B-ultrasound localization, which can be confirmed by pathological manifestations and immunohistochemistry. D2-40 staining was positive, and it can specifically identify lymphatic endothelium.

There is no universally accepted specific drug for the treatment of DPL, and treatment is mostly supportive and aimed at alleviating clinical symptoms. Drug therapy included propranolol (12), glucocorticoids, and bevacizumab (13,14). Surgical treatment included thoracic duct ligation and heart and lung transplantation (15). There have been reports of no recurrence of the disease after 4 months to 3 years of follow-up following complete surgical resection of the pulmonary lymphangioma (16,17,18). Kandi et al. reported that radiotherapy was used in the treatment of lymphangioma, and no recurrence was observed during a follow-up period of 20 months to 8 years (19). In our case, the child was treated with oral propranolol, as reported by Ozeki et al (12), but there was no considerable improvement. A review of relevant literature (20). shows that sirolimus is currently considered to have a considerable effect in hemangioma, lymphangioma, and other diseases that respond poorly to propranolol. Gurskyte et al (21). studied the case of a 27-year-old male patient with DPL and found that sirolimus could effectively improve the condition and prevent disease progression. Combined treatment with propranolol and sirolimus showed clinical efficacy. Sirolimus combined with propranolol may be effective in improving the condition of children with DPL, which opens up new treatment options for such children. At present, the treatment of DPL pleural effusion is still controversial. In the case reported in this paper, conservative treatment has also achieved good results, which also provides a new idea for the treatment of pleural effusion.

In summary, children who have difficulty breathing, unexplained interlobular septal thickening, interstitial pneumonia combined with hemorrhagic chylothorax, or pericardial effusion, especially with the diagnosis of diffuse mediastinal soft tissue infiltration, should be considered for DPL. The diagnosis of DPL has certain difficulties, mainly based on the pathological examination, and diagnosis by ultrasound-guided biopsy is effective and safe. Sirolimus may be an alternative treatment option for pediatric DPL. Conservative treatment of pleural effusion can result in better curative effect.

Acknowledgements

Not applicable.

Funding

Funding: This work was supported by the General Project of National Natural Science Foundation of China (grant no. 81770063) and Guangzhou Science and Technology Plan Project in 2021, City School (College) Joint Funding Project (grant no. 202201020419).

Availability of data and materials

The datasets used and/or analyzed during the current study are available from the corresponding author on reasonable request.

Authors' contributions

XPS and CYL wrote the manuscript and contributed to the data analysis and interpretation. HYZ collected data. JXX, ZHH, SY and DHC contributed to the data interpretation and manuscript revision. DHC designed research and approved the final version of manuscript. All authors read and approved the final manuscript. XPS and CYL confirm the authenticity of all the raw data.

Ethics approval and consent to participate

Not applicable.

Patient consent for publication

Consent for publication was obtained from the patient's parents.

Competing interests

The authors declare they have no competing interests.

References

1 

Liu JR, Shen WB, Wen Z, An R, Zhou CJ and Zhao SY: Clinical analysis of two cases with diffuse pulmonary lymphatic disease. Zhonghua Er Ke Za Zhi. 54:360–364. 2016.PubMed/NCBI View Article : Google Scholar : (In Chinese).

2 

Minato H, Kaji S, Kinoshita E, Kurose N, Nojima T, Kohno M, Konuma K and Ikawa H: Solitary intrapulmonary cystic lymphangioma in an infant: A case report with literature review. Pathol Res Pract. 206:851–856. 2010.PubMed/NCBI View Article : Google Scholar

3 

Faul JL, Berry GJ, Colby TV, Ruoss SJ, Walter MB, Rosen GD and Raffin TA: Thoracic lymphangiomas, lymphangiectasis, lymphangiomatosis, and lymphatic dysplasia syndrome. Am J Respir Crit Care Med. 161 (3 Pt 1):1037–1046. 2000.PubMed/NCBI View Article : Google Scholar

4 

Alvarez OA, Kjellin I and Zuppan CW: Thoracic lymphangiomatosis in a child. J Pediatr Hematol Oncol. 26:136–141. 2004.PubMed/NCBI View Article : Google Scholar

5 

Swensen SJ, Hartman TE, Mayo JR, Colby TV, Tazelaar HD and Müller NL: Diffuse pulmonary lymphangiomatosis: CT findings. J Comput Assist Tomogr. 19:348–352. 1995.PubMed/NCBI View Article : Google Scholar

6 

de Lima AS, Martynychen MG, Florêncio RT, Rabello LM, de Barros JA and Escuissato DL: Pulmonary lymphangiomatosis: A report of two cases. J Bras Pneumol. 33:229–233. 2007.PubMed/NCBI View Article : Google Scholar : (In English, Portuguese).

7 

Sun X, Shen W, Xia S, Wen T and Wang R: Diffuse pulmonary lymphangiomatosis: MDCT findings after direct lymphangiography. AJR Am J Roentgenol. 208:300–305. 2017.PubMed/NCBI View Article : Google Scholar

8 

Tazelaar HD, Kerr D, Yousem SA, Saldana MJ, Langston C and Colby TV: Diffuse pulmonary lymphangiomatosis. Hum Pathol. 24:1313–1322. 1993.PubMed/NCBI View Article : Google Scholar

9 

Run LJ, Yi XH and Zhu XY: Diffuse pulmonary lymphangiomatosis: Clinical and pathologic analysis and review of literature. Journal of Diagnostics Concepts & Practice. 170–174. 2013.

10 

Aviv R and McHugh K: Mechanisms of chylous effusion in lymphangiomatosis. AJR Am J Roentgenol. 175(1191)2000.PubMed/NCBI View Article : Google Scholar

11 

Shen QY, Nong GM and Gu YY: diffuse pulmonary lymphangiomatosis: Two cases report. Zhonghua Er Ke Za Zhi. 54:781–782. 2016.PubMed/NCBI View Article : Google Scholar : (In Chinese).

12 

Ozeki M, Fukao T and Kondo N: Propranolol for intractable diffuse lymphangiomatosis. N Engl J Med. 364:1380–1382. 2011.PubMed/NCBI View Article : Google Scholar

13 

Onyeforo E, Barnett A, Zagami D, Deller D and Feather I: Diffuse pulmonary lymphangiomatosis treated with bevacizumab. Respirol Case Rep. 7(e00384)2018.PubMed/NCBI View Article : Google Scholar

14 

Aman J, Thunnissen E, Paul MA, van Nieuw Amerongen GP and Vonk-Noordegraaf A: Successful treatment of diffuse pulmonary lymphangiomatosis with bevacizumab. Ann Intern Med. 156:839–840. 2012.PubMed/NCBI View Article : Google Scholar

15 

Bermejo Casero EJ, Mongil Poce R, Arrabal Sánchez R, Fernández de Rota Avecilla A, Benítez Doménech A and Fernández Bermúdez JL: Diffuse thoracic lymphangiomatosis: Diagnosis and treatment. Arch Bronconeumol. 40:599–601. 2004.PubMed/NCBI(In Spanish).

16 

Nakajima J, Goto A, Takamoto S, Murakawa T, Fukami T and Kusakabe M: Invasive lymphangioma of the lung manifesting as a large pulmonary mass with hemoptysis: Report of a case. Surg Today. 37:418–422. 2007.PubMed/NCBI View Article : Google Scholar

17 

Lee CH, Kim YD, Kim KI, Lim YT, Lee KM, Choi KU, Lee JS and Sol MY: Intrapulmonary cystic lymphangioma in a 2-month-old infant. J Korean Med Sci. 19:458–461. 2004.PubMed/NCBI View Article : Google Scholar

18 

Nagayasu T, Hayashi T, Ashizawa K, Muraoka M, Tagawa T, Akamine S and Oka T: A case of solitary pulmonary lymphangioma. J Clin Pathol. 56:396–398. 2003.PubMed/NCBI View Article : Google Scholar

19 

Kandil A, Rostom AY, Mourad WA, Khafaga Y, Gershuny AR and el-Hosseiny G: Successful control of extensive thoracic lymphangiomatosis by irradiation. Clin Oncol (R Coll Radiol). 9:407–411. 1997.PubMed/NCBI View Article : Google Scholar

20 

Buhao Sun: Research progress of sirolimus in the treatment of vascular malformation. Journal of Tissue Engineering and Reconstructive Surgery. 15:263–265. 2019.

21 

Gurskytė V, Zeleckienė I, Maskoliūnaitė V, Mickys U and Šileikienė V: Successful treatment of diffuse pulmonary lymphangiomatosis with sirolimus. Respir Med Case Rep. 29(101014)2020.PubMed/NCBI View Article : Google Scholar

Related Articles

  • Abstract
  • View
  • Download
  • Twitter
Copy and paste a formatted citation
Spandidos Publications style
Sun X, Lu C, Huang Z, Xu J, Zhu H, Yang S and Chen D: Diagnosis and treatment of diffuse pulmonary lymphangioma in children: A case report. Exp Ther Med 25: 175, 2023.
APA
Sun, X., Lu, C., Huang, Z., Xu, J., Zhu, H., Yang, S., & Chen, D. (2023). Diagnosis and treatment of diffuse pulmonary lymphangioma in children: A case report. Experimental and Therapeutic Medicine, 25, 175. https://doi.org/10.3892/etm.2023.11874
MLA
Sun, X., Lu, C., Huang, Z., Xu, J., Zhu, H., Yang, S., Chen, D."Diagnosis and treatment of diffuse pulmonary lymphangioma in children: A case report". Experimental and Therapeutic Medicine 25.4 (2023): 175.
Chicago
Sun, X., Lu, C., Huang, Z., Xu, J., Zhu, H., Yang, S., Chen, D."Diagnosis and treatment of diffuse pulmonary lymphangioma in children: A case report". Experimental and Therapeutic Medicine 25, no. 4 (2023): 175. https://doi.org/10.3892/etm.2023.11874
Copy and paste a formatted citation
x
Spandidos Publications style
Sun X, Lu C, Huang Z, Xu J, Zhu H, Yang S and Chen D: Diagnosis and treatment of diffuse pulmonary lymphangioma in children: A case report. Exp Ther Med 25: 175, 2023.
APA
Sun, X., Lu, C., Huang, Z., Xu, J., Zhu, H., Yang, S., & Chen, D. (2023). Diagnosis and treatment of diffuse pulmonary lymphangioma in children: A case report. Experimental and Therapeutic Medicine, 25, 175. https://doi.org/10.3892/etm.2023.11874
MLA
Sun, X., Lu, C., Huang, Z., Xu, J., Zhu, H., Yang, S., Chen, D."Diagnosis and treatment of diffuse pulmonary lymphangioma in children: A case report". Experimental and Therapeutic Medicine 25.4 (2023): 175.
Chicago
Sun, X., Lu, C., Huang, Z., Xu, J., Zhu, H., Yang, S., Chen, D."Diagnosis and treatment of diffuse pulmonary lymphangioma in children: A case report". Experimental and Therapeutic Medicine 25, no. 4 (2023): 175. https://doi.org/10.3892/etm.2023.11874
Follow us
  • Twitter
  • LinkedIn
  • Facebook
About
  • Spandidos Publications
  • Careers
  • Cookie Policy
  • Privacy Policy
How can we help?
  • Help
  • Live Chat
  • Contact
  • Email to our Support Team