Spandidos Publications Logo
  • About
    • About Spandidos
    • Aims and Scopes
    • Abstracting and Indexing
    • Editorial Policies
    • Reprints and Permissions
    • Job Opportunities
    • Terms and Conditions
    • Contact
  • Journals
    • All Journals
    • Oncology Letters
      • Oncology Letters
      • Information for Authors
      • Editorial Policies
      • Editorial Board
      • Aims and Scope
      • Abstracting and Indexing
      • Bibliographic Information
      • Archive
    • International Journal of Oncology
      • International Journal of Oncology
      • Information for Authors
      • Editorial Policies
      • Editorial Board
      • Aims and Scope
      • Abstracting and Indexing
      • Bibliographic Information
      • Archive
    • Molecular and Clinical Oncology
      • Molecular and Clinical Oncology
      • Information for Authors
      • Editorial Policies
      • Editorial Board
      • Aims and Scope
      • Abstracting and Indexing
      • Bibliographic Information
      • Archive
    • Experimental and Therapeutic Medicine
      • Experimental and Therapeutic Medicine
      • Information for Authors
      • Editorial Policies
      • Editorial Board
      • Aims and Scope
      • Abstracting and Indexing
      • Bibliographic Information
      • Archive
    • International Journal of Molecular Medicine
      • International Journal of Molecular Medicine
      • Information for Authors
      • Editorial Policies
      • Editorial Board
      • Aims and Scope
      • Abstracting and Indexing
      • Bibliographic Information
      • Archive
    • Biomedical Reports
      • Biomedical Reports
      • Information for Authors
      • Editorial Policies
      • Editorial Board
      • Aims and Scope
      • Abstracting and Indexing
      • Bibliographic Information
      • Archive
    • Oncology Reports
      • Oncology Reports
      • Information for Authors
      • Editorial Policies
      • Editorial Board
      • Aims and Scope
      • Abstracting and Indexing
      • Bibliographic Information
      • Archive
    • Molecular Medicine Reports
      • Molecular Medicine Reports
      • Information for Authors
      • Editorial Policies
      • Editorial Board
      • Aims and Scope
      • Abstracting and Indexing
      • Bibliographic Information
      • Archive
    • World Academy of Sciences Journal
      • World Academy of Sciences Journal
      • Information for Authors
      • Editorial Policies
      • Editorial Board
      • Aims and Scope
      • Abstracting and Indexing
      • Bibliographic Information
      • Archive
    • International Journal of Functional Nutrition
      • International Journal of Functional Nutrition
      • Information for Authors
      • Editorial Policies
      • Editorial Board
      • Aims and Scope
      • Abstracting and Indexing
      • Bibliographic Information
      • Archive
    • International Journal of Epigenetics
      • International Journal of Epigenetics
      • Information for Authors
      • Editorial Policies
      • Editorial Board
      • Aims and Scope
      • Abstracting and Indexing
      • Bibliographic Information
      • Archive
    • Medicine International
      • Medicine International
      • Information for Authors
      • Editorial Policies
      • Editorial Board
      • Aims and Scope
      • Abstracting and Indexing
      • Bibliographic Information
      • Archive
  • Articles
  • Information
    • Information for Authors
    • Information for Reviewers
    • Information for Librarians
    • Information for Advertisers
    • Conferences
  • Language Editing
Spandidos Publications Logo
  • About
    • About Spandidos
    • Aims and Scopes
    • Abstracting and Indexing
    • Editorial Policies
    • Reprints and Permissions
    • Job Opportunities
    • Terms and Conditions
    • Contact
  • Journals
    • All Journals
    • Biomedical Reports
      • Information for Authors
      • Editorial Policies
      • Editorial Board
      • Aims and Scope
      • Abstracting and Indexing
      • Bibliographic Information
      • Archive
    • Experimental and Therapeutic Medicine
      • Information for Authors
      • Editorial Policies
      • Editorial Board
      • Aims and Scope
      • Abstracting and Indexing
      • Bibliographic Information
      • Archive
    • International Journal of Epigenetics
      • Information for Authors
      • Editorial Policies
      • Editorial Board
      • Aims and Scope
      • Abstracting and Indexing
      • Bibliographic Information
      • Archive
    • International Journal of Functional Nutrition
      • Information for Authors
      • Editorial Policies
      • Editorial Board
      • Aims and Scope
      • Abstracting and Indexing
      • Bibliographic Information
      • Archive
    • International Journal of Molecular Medicine
      • Information for Authors
      • Editorial Policies
      • Editorial Board
      • Aims and Scope
      • Abstracting and Indexing
      • Bibliographic Information
      • Archive
    • International Journal of Oncology
      • Information for Authors
      • Editorial Policies
      • Editorial Board
      • Aims and Scope
      • Abstracting and Indexing
      • Bibliographic Information
      • Archive
    • Medicine International
      • Information for Authors
      • Editorial Policies
      • Editorial Board
      • Aims and Scope
      • Abstracting and Indexing
      • Bibliographic Information
      • Archive
    • Molecular and Clinical Oncology
      • Information for Authors
      • Editorial Policies
      • Editorial Board
      • Aims and Scope
      • Abstracting and Indexing
      • Bibliographic Information
      • Archive
    • Molecular Medicine Reports
      • Information for Authors
      • Editorial Policies
      • Editorial Board
      • Aims and Scope
      • Abstracting and Indexing
      • Bibliographic Information
      • Archive
    • Oncology Letters
      • Information for Authors
      • Editorial Policies
      • Editorial Board
      • Aims and Scope
      • Abstracting and Indexing
      • Bibliographic Information
      • Archive
    • Oncology Reports
      • Information for Authors
      • Editorial Policies
      • Editorial Board
      • Aims and Scope
      • Abstracting and Indexing
      • Bibliographic Information
      • Archive
    • World Academy of Sciences Journal
      • Information for Authors
      • Editorial Policies
      • Editorial Board
      • Aims and Scope
      • Abstracting and Indexing
      • Bibliographic Information
      • Archive
  • Articles
  • Information
    • For Authors
    • For Reviewers
    • For Librarians
    • For Advertisers
    • Conferences
  • Language Editing
Login Register Submit
  • This site uses cookies
  • You can change your cookie settings at any time by following the instructions in our Cookie Policy. To find out more, you may read our Privacy Policy.

    I agree
Search articles by DOI, keyword, author or affiliation
Search
Advanced Search
presentation
Experimental and Therapeutic Medicine
Join Editorial Board Propose a Special Issue
Print ISSN: 1792-0981 Online ISSN: 1792-1015
Journal Cover
May-2023 Volume 25 Issue 5

Full Size Image

Sign up for eToc alerts
Recommend to Library

Journals

International Journal of Molecular Medicine

International Journal of Molecular Medicine

International Journal of Molecular Medicine is an international journal devoted to molecular mechanisms of human disease.

International Journal of Oncology

International Journal of Oncology

International Journal of Oncology is an international journal devoted to oncology research and cancer treatment.

Molecular Medicine Reports

Molecular Medicine Reports

Covers molecular medicine topics such as pharmacology, pathology, genetics, neuroscience, infectious diseases, molecular cardiology, and molecular surgery.

Oncology Reports

Oncology Reports

Oncology Reports is an international journal devoted to fundamental and applied research in Oncology.

Experimental and Therapeutic Medicine

Experimental and Therapeutic Medicine

Experimental and Therapeutic Medicine is an international journal devoted to laboratory and clinical medicine.

Oncology Letters

Oncology Letters

Oncology Letters is an international journal devoted to Experimental and Clinical Oncology.

Biomedical Reports

Biomedical Reports

Explores a wide range of biological and medical fields, including pharmacology, genetics, microbiology, neuroscience, and molecular cardiology.

Molecular and Clinical Oncology

Molecular and Clinical Oncology

International journal addressing all aspects of oncology research, from tumorigenesis and oncogenes to chemotherapy and metastasis.

World Academy of Sciences Journal

World Academy of Sciences Journal

Multidisciplinary open-access journal spanning biochemistry, genetics, neuroscience, environmental health, and synthetic biology.

International Journal of Functional Nutrition

International Journal of Functional Nutrition

Open-access journal combining biochemistry, pharmacology, immunology, and genetics to advance health through functional nutrition.

International Journal of Epigenetics

International Journal of Epigenetics

Publishes open-access research on using epigenetics to advance understanding and treatment of human disease.

Medicine International

Medicine International

An International Open Access Journal Devoted to General Medicine.

Journal Cover
May-2023 Volume 25 Issue 5

Full Size Image

Sign up for eToc alerts
Recommend to Library

  • Article
  • Citations
    • Cite This Article
    • Download Citation
    • Create Citation Alert
    • Remove Citation Alert
    • Cited By
  • Similar Articles
    • Related Articles (in Spandidos Publications)
    • Similar Articles (Google Scholar)
    • Similar Articles (PubMed)
  • Download PDF
  • Download XML
  • View XML
Article Open Access

Comparison of supraorbital keyhole approach and extended transsphenoidal approach in endoscopic surgery for tuberculum sellae meningioma: A case series

  • Authors:
    • Haotian Jiang
    • Pan Wang
    • Junwei Wang
    • Jie Liu
    • Chao Tang
    • Gang Zhang
    • Xiaorong Tan
    • Nan Wu
  • View Affiliations / Copyright

    Affiliations: Department of Neurosurgery, Chongqing General Hospital, Chongqing 401147, P.R. China
    Copyright: © Jiang et al. This is an open access article distributed under the terms of Creative Commons Attribution License.
  • Article Number: 215
    |
    Published online on: March 28, 2023
       https://doi.org/10.3892/etm.2023.11914
  • Expand metrics +
Metrics: Total Views: 0 (Spandidos Publications: | PMC Statistics: )
Metrics: Total PDF Downloads: 0 (Spandidos Publications: | PMC Statistics: )
Cited By (CrossRef): 0 citations Loading Articles...

This article is mentioned in:



Abstract

The endoscope‑assisted supraorbital keyhole approach and extended transsphenoidal approach have been widely used in the treatment of tuberculum sellae meningiomas (TSMs). The purpose of the present study was to retrospectively analyze and compare the characteristics and efficacy of the two surgical approaches under the endoscope in the resection of TSMs. In the present study, 36 patients with TSMs who underwent surgical resection are presented, including one group of 17 cases with an endoscopic supraorbital keyhole approach and the other group of 19 cases with an endoscopic extended transsphenoidal approach. The clinical characteristics, diagnosis, treatment process and treatment effect of the two groups were analyzed retrospectively, and the two surgical approaches were also compared. The gross total resection rates of the two groups were similar, reaching 94.5 and 94.7%, respectively. The postoperative visual acuity recovery showed that in the endoscopic supraorbital keyhole approach group, 23 eyes were improved, 8 eyes were maintained and 3 eyes deteriorated, and the visual recovery was 67.6%. In the endoscopic extended transsphenoidal approach group, 32 eyes were improved, 4 eyes were maintained and 2 eyes deteriorated, and the visual recovery was 84.2%. In the supraorbital keyhole approach group, there was no cerebrospinal fluid leakage, while in the extended transsphenoidal approach group, cerebrospinal fluid leakage occurred in 3 cases (15.8%). In these two groups, no tumor recurrence was revealed during the follow‑up of ~5 years. Both the endoscope‑assisted supraorbital keyhole approach and the extended transsphenoidal approach were effective and safe. The endoscopic supraorbital keyhole approach treated TSMs with lateral extension, but it was not enough to protect the optic nerve. The endoscopic extended transsphenoidal approach protected the optic nerve, but the risk of cerebrospinal fluid leakage was increased. In conclusion, these two surgical methods have their own advantages and limitations.

Introduction

Tuberculum sellae meningioma (TSM) originates from tuberculum sellae, sphenoid plateau and optic chiasmatic sulcus (1), accounting for 4-10% of intracranial meningiomas (2,3). Generally, the incidence rate of TSM is relatively high in middle-aged people and women, meanwhile, it is rather rare in childhood patients (2,3). The growth and expansion of TSM will compress or surround the optic nerve and optic chiasmatic sulcus, resulting in the occurrence of corresponding clinical symptoms, such as varying degrees of vision and visual field disorders, headache, dizziness and endocrine dysfunction (4). Due to the location of TSM, it is located in the midline of the skull base and adjacent to numerous important structures, such as the optic nerve, carotid artery and anterior cerebral artery, pituitary and pituitary stalk and hypothalamus (5,6), it increases the risk and challenge of complete surgical resection of TSM (7,8).

In the past few decades, the traditional microscope-assisted craniotomy has been the standard method for surgical resection of TSM, but it requires significant frontal lobe retraction, removal of the frontal sinus and manipulation of the optic chiasm, which may cause frontal lobe injury, venous infarction, infection and even death (9-11). With the development of endoscope technology, endoscope-assisted surgery has also been widely used to resect TSM, which has the advantages of less damage to brain tissue, no obvious traction of surrounding tissue and can remove bone and dura mate invaded by the tumor (12,13). In addition, surgical approaches for resection of TMS include the pterional approach, eyelid approach, longitudinal fissure approach, supraorbital keyhole approach and extended transsphenoidal approach, among which supraorbital approach and extended transsphenoidal approach are the most recognized and are often compared in terms of characteristics, contraindications and effects (2,5,10). The present study retrospectively analyzed 17 cases that used the endoscopic supraorbital keyhole approach and 19 cases that used the endoscopic extended transsphenoidal approach for the treatment of TSM and compared the characteristics of the two surgical approaches to seek the standard of the preferred surgical approach.

Patients and methods

Patients

A total of 36 cases with TSM treated in Department of Neurosurgery, Chongqing General Hospital (Chongqing, China) between April 2014 and August 2020 were analyzed retrospectively, and the medical records, imaging examination, tumor characteristics, complications and surgical results were collected. Inclusion criteria were a complete medical records and follow-up; a complete set of preoperative and postoperative images; the diagnosis of a TSM; and detailed video of the surgical procedure. The exclusion criteria were inflammation in the nasal cavity and paranasal sinuses; coagulation dysfunction; malignant tumor; and poor physical condition. There were 4 males and 32 females, ranging in age from 32-68 years old, with an average mean of 48 years and a median of 45 years. The main clinical symptom of all patients was a decreased visual acuity to some extent. The course of the disease was from 3 months to 6 years. All patients were diagnosed with TSM by clinical imaging (brain MRI (MAGNETOM Skyra 3.0T) and computed tomography angiography) and pathological examination.

The resected tumor tissue was examined by routine pathological examination and H&E staining. The tumor samples were first fixed with 4% formaldehyde solution at room temperature for 24 h, then embedded and fixed in paraffin. Then cut the specimen into 4-µm sections and incubated at 60˚C in xylene for 2 h. Then, at room temperature, the sections were stained with 0.5% hematoxylin for 3 min and then with 0.5% eosin for 3 min. Then, the stained sections were observed with optical microscope to obtain histopathological micrographs.

Before the operation, according to the basic conditions of the patients and the conditions of the tumor, appropriate surgical approaches were selected by several surgeons after discussion, resulting in 17 cases utilizing the endoscopic supraorbital keyhole approach and 19 cases utilizing the endoscopic extended transsphenoidal approach.

The tumor diameter (d) was calculated using the formula d=ABC1/3, where A, B and C were the maximum diameter of the tumor in axial, sagittal and coronal positions on the preoperative head MRI enhanced scanning image respectively. The maximum diameter of the tumor in the endoscopic supraorbital keyhole approach group was 2.8-4.7 cm, with a mean diameter of 3.4 cm, while the maximum diameter of the tumor in the endoscopic extended transsphenoidal approach group was 2.4-3.7 cm, with a mean diameter of 2.8 cm. The resection degree of TSM was divided into gross total resection (GTR), near total resection (NTR) and subtotal resection (STR) (14,15). In GTR, the tumor was completely (100%) resected and the dura at the tumorous contact was resected under naked eye. In NTR, >90% of tumors were resected when comparing preoperative and postoperative imaging. In STR, <90% of tumors were resected when comparing preoperative and postoperative imaging. The endoscope used was a dedicated indocyanine green fluorescence integrated endoscope (Karl Storz) with a diameter of 4-mm and a length of 18-cm, which was coupled to an IMAGF1 Scamera system (Karl Storz).

Operational methods. Endoscopic supraorbital keyhole approach

Under general anesthesia, the patient was placed in a supine position with the head frame fixed, and the head was tilted back 10-15 and rotated 20 to the opposite side. Through neuronavigation, the tumor was located and an arc-shaped incision was made on the eyebrow along the eyebrow arch, with a length of ~4-cm. A milling cutter was used to mill the bone flap with a size of ~3.5x2.0 cm. The dura mater was incised in an arc along the base of the skull. Intracranial pressure was reduced by dehydration, hyperventilation via mechanical ventilation and release of cerebrospinal fluid. After the intracranial pressure was reduced, the frontal lobe was gently pulled by the brain pressing plate for the placement of the endoscope. During the observation, the endoscope was often held by the left hand (a one-handed operation) to facilitate the observation of tumors. When it was necessary to operate with both hands, the endoscope could be fixed on the endoscope holder, which is convenient for both hands to operate. Then, the dura mater at the bottom of the tumor was cauterized by bipolar electrocoagulation, and the tumor and its surrounding nerves and blood vessels were separated. After fully separating the tumor and the surrounding adherent tissue, the tumor was removed. During the operation, the surgeons were careful to avoid the important nerves and blood vessels surrounding the tumor, such as the optic nerve, optic chiasm, internal carotid artery and anterior cerebral artery. After complete hemostasis, hemostatic gauze was placed in the tumor cavity, and the tumor cavity and the surgical area were repeatedly washed with normal saline. The dura mater was closed and sutured, artificial dura mater was used to repair the dura mater, the bone flap was repositioned and fixed and the dura mater was sutured in layers.

Endoscopic extended transsphenoidal approach. After general anesthesia, the patient was placed in a supine position, with the head tilted back 10-15, the tumor was located under neuronavigation and the nasal cavity was disinfected. Subsequently, 0.01% hypertonic norepinephrine saline brain cotton was used to converge the nasal mucosa in two steps to expand the surgical channel. A binostril approach was used. Both nasal cavities were examined by using a 0, 18-cm long, 4-mm diameter rigid endoscope. The method of holding or fixing the endoscope during operation was the same as that in the supraorbital keyhole approach. The right middle turbinate was removed under endoscopy, then a pedicled nasal septum mucosal flap was prepared and placed in the posterior nasal canal to be used for skull base repair at the end of surgery. The endoscope was inserted along the right-side nasal cavity, the opening of the sphenoid sinus was found and the mucosa above the opening of the sphenoid sinus was cut. The sphenoid sinus, the bottom of the saddle and the base of the anterior skull were drilled with a burr, and a 1.5-2.5 cm2 bone window was opened to expose the dura and intercavernous sinus. After the dura mater and arachnoid were opened, the tumor was exposed. Then, the tumor was decompressed, removed with a curet and tumor forceps and then separated from the edge. During the operation, the bilateral optic nerve, optic chiasm, internal carotid artery, anterior communicating artery, pituitary stalk and pituitary gland needed protection. After thorough hemostasis, the tumor cavity was first filled with hemostatic gauze and a gelatin sponge, the double-layer artificial dura mater was used for repair, the absorbable hemostatic gauze and gelatin sponge were used for filling and then they are covered using a pedicled nasal septum mucosal flap. Finally, chlortetracycline gauze and a double chamber catheter were used to compress the nasal cavity.

Results

The tumor diameter in the endoscopic supraorbital keyhole approach group ranged from 2.8-4.7 cm (mean, 3.4 cm), while the tumor diameter in the endoscopic extended transsphenoidal approach group ranged from 2.4-3.7 cm (mean, 2.8 cm). According to the postoperative pathological results, all cases were diagnosed as TSM (representative staining in Fig. 1). According to preoperative and postoperative cranial MRI images (Fig. 2, Fig. 3, Fig. 4 and Fig. 5), in the endoscopic supraorbital keyhole approach group, there were 16 cases (94.1%) that achieved GTR and only 1 case (5.9%) that achieved NTR. In the endoscopic extended transsphenoidal approach group, there were 18 cases (94.7%) that achieved GTR and only 1 case (5.3%) that achieved NTR. The postoperative visual acuity recovery showed that in the endoscopic supraorbital keyhole approach group, 23 eyes were improved, 8 eyes were maintained, 3 eyes deteriorated and the visual recovery was ~67.6%. In the endoscopic extended transsphenoidal approach group, 32 eyes were improved, 4 eyes were maintained, 2 eyes deteriorated and the visual recovery was ~84.2%. In the supraorbital keyhole approach group, there was no cerebrospinal fluid leakage, while in the extended transsphenoidal approach group, cerebrospinal fluid leakage occurred in 3 cases (15.8%). However, anosmia occurred in 1 case (5.9%) via the endoscopic supraorbital keyhole approach. No vascular injury, frontal lobe contusion or intracranial infection occurred in all cases. In these two groups, no tumor recurrence was found during the follow-up of ~5 years.

Figure 1

Microphotographs of histopathology (H&E staining, x40 magnification). (A) All cells were meningioma cells, the boundary between tumor cells is unclear, presenting syncytial shape. (B) The cells surrounded by the blue circle are meningioma cells.

Figure 2

Case 1 of endoscopic transsphenoidal approach. Patient 1 was a 45-year-old female with decreased vision. (A) Sagittal image of the preoperative MRI, showing an intrasellar tumorous lesion with a maximum diameter of 31.03-mm. (B) Sagittal image of the postoperative MRI, showing no remnant tumor tissue. (C) Axial image of the preoperative MRI. (D) Axial image of the postoperative MRI. The yellow arrow indicates the tumor or the tumor cavity.

Figure 3

Case 2 of endoscopic transsphenoidal approach. Patient 2 was a 45-year-old female with decreased vision and headache. (A) Sagittal image of the preoperative MRI, showing an intrasellar tumorous lesion with a maximum diameter of 43.72 mm. (B) Sagittal image of the postoperative MRI, showing no remnant tumor tissue. (C) Axial image of the preoperative MRI. (D) Axial image of the postoperative MRI. The yellow arrow indicates the tumor or the tumor cavity. The red arrow indicates the fat-filled cavity after tumor removal.

Figure 4

Case 1 of endoscopic supraorbital keyhole approach. Patient 3 is a 32-year-old female with decreased vision and headache. (A) Sagittal image of the preoperative MRI, showing an intrasellar tumorous lesion with a maximum diameter of 35.17 mm. (B) Sagittal image of the postoperative MRI, showing no remnant tumor tissue. (C) Axial image of the preoperative MRI. (D) Axial image of the postoperative MRI. The yellow arrow indicates the tumor or the tumor cavity.

Figure 5

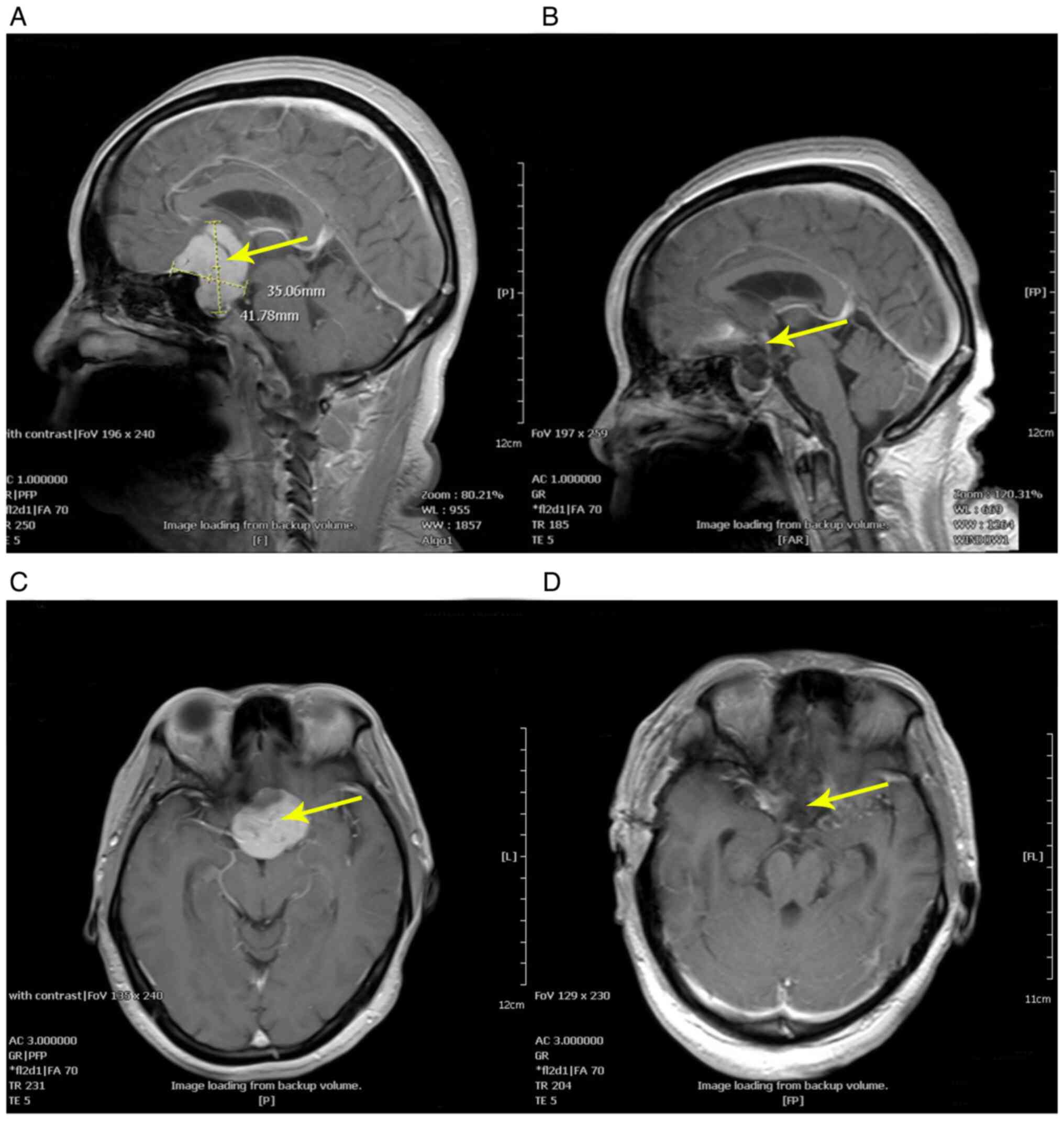
Case 2 of endoscopic supraorbital keyhole approach. Patient 4 is a 51-year-old female with decreased vision and headache. (A) Sagittal image of the preoperative MRI, showing an intrasellar tumorous lesion with a maximum diameter of 41.78 mm. (B) Sagittal image of the postoperative MRI, showing no remnant tumor tissue. (C) Axial image of the preoperative MRI. (D) Axial image of the postoperative MRI. The yellow arrow indicates the tumor or the tumor cavity.

Discussion

Surgical management of TSM. TSM was first described by James Stewart in the second half of the 19th century (16). Initially, for the removal of TSM, both the subfrontal approach and the pterional approach were favored by neurosurgeons (17,18), and they are two commonly used approaches at present. However, there are numerous hidden dangers with these two approaches; for example, the bilateral subfrontal approach may bring greater risks of cerebrospinal fluid leakage, olfactory nerve injury and postoperative brain edema (5,19), while the pterional approach cannot clearly display the underside and intersection of the ipsilateral optic nerve, resulting in a decrease in the postoperative visual acuity of 10-20% of patients (10,19,20). Subsequently, with the improvement of skull base technology, the supraorbital, orbitozygomatic and orbitotemporal approaches are recommended, because they can increase the surgical exposure area and minimize the degree of frontal lobe retraction (21).

However, all of the above approaches belong to the traditional craniotomy approach, which has the limitations of large trauma, increased postoperative complications and a long recovery period (17-21). Therefore, a minimally invasive approach is required. Perneczky (22) proposed the concepts of keyhole surgery through a brow skin incision with a small supraorbital incision, which is a minimally invasive approach also known as the supraorbital keyhole approach. The supraorbital keyhole approach not only overcomes the shortcomings of the traditional approach but also conforms to the current concept of minimally invasive neurosurgery and cosmetic requirements. Until now, the supraorbital keyhole approach has been a standard approach for the treatment of TSM (23-25).

In addition, with the development of endoscope technology, the extended transsphenoidal approach has also become another standard approach for the treatment of TSM. This can not only achieve a high total tumor resection rate, but also protects and improves the optic nerve/optic chiasma function (1). Compared with a microscope, an endoscope has the characteristics of a brighter light, a wider and deeper field of vision and a more unobstructed field of vision, which means endoscopes are widely used in skull base surgery (14). Therefore, the endoscopic supraorbital keyhole approach and endoscopic extended transsphenoidal approach are effective methods for the resection of TSM and have attracted attention. However, there are different opinions on the choice of these two surgical methods based on the following indications, tumor resection scope and postoperative complications.

Endoscopic supraorbital keyhole approach vs. extended transsphenoidal approach

Both the endoscopic supraorbital keyhole approach and the extended transsphenoidal approach have gradually become standard surgical methods for the treatment of TSM and have been recognized by surgeons. Linsler et al (14) has reported that 16 patients with TSM underwent endoscopic supraorbital keyhole approach surgery, where 14 patients (87.5%) achieved GTR and 2 patients achieved NTR. Among them, 5 cases (31.3%) had visual loss before the operation. After surgery, 6 eyes (60%) had improved, 4 eyes (40%) were maintained and no eyes had deteriorated. Notably, the extension lateral to the internal carotid artery was revealed in 81% (13 of the 16 patients) of these cases during surgery. Furthermore, previous literature has indicated that the endoscopic supraorbital keyhole approach can not only remove the lateral growth of TSM but also directly remove the crawling thin tumor vascular tissue surrounding TSM, which improves control of the lateral extension of the tumor to the sphenoid wing and cavernous sinus (26,27). Furthermore, after full exposure, the surgeon can reassess the extent of tumor invasion of the cavernous sinus and determine the appropriate resection range (14,28,29). In conclusion, the endoscopic supraorbital approach can remove laterally extended TSM, with a high GTR rate and fewer postoperative complications, but the visual protection effect needs to be improved.

Meanwhile, the endoscopic extended transsphenoidal approach for TSM has also been used by surgeons. Chowdhury et al (30) reported 6 patients who underwent an endoscopic extended transsphenoidal approach for the removal of a TSM tumor, including 5 cases (83.3%) of GTR and 1 case (16.7%) of NTR. In addition, 2 cases (33.3%) showed improved vision, 3 cases (50%) of maintained vision, 1 case (16.7%) of deteriorated vision and 1 case (16.7%) of cerebrospinal fluid leakage. Yu et al (1) demonstrated that 40 patients with TSM underwent an endoscopic extended transsphenoidal approach surgery, and their postoperative results are GTR in 38 cases (95%), NTR in 2 cases (5%), improvement of visual function in 38 cases (95%), cerebrospinal fluid leakage in 3 cases (7.5%), meningitis in 2 cases (5%) and anosmia in 8 cases (20%). Gardner et al (31) reported that 13 patients with TSM were treated with endoscopic extended transsphenoidal approach surgery, of which 12 cases achieved GTR (92.3%) and 1 case achieved NTR (7.7%), while vision was alleviated or improved in all cases, 5 cases (38.4%) had cerebrospinal fluid leakage. The above surgical results indicates that the endoscopic extended transsphenoidal approach has a good effect on GTR rate and vision in the treatment of TSM. This depends on the unique advantages of this approach, such as transforming deep skull base tumors into shallow eminence tumors, directly blocking the blood supply of the tumors, causing less interference to the optic nerve, and making it easier to decompress the optic canal without shrinking the frontal lobe and easy to remove the affected dura and bones (15,32).

Abhinav et al (33) describe the optic canal anatomy from an endonasal perspective and the necessity of distinguishing the preforaminal intracranial segment of the optic nerve from the intracanalicular segment of the optic nerve. The authors describe that through the maximal bony decompression of the optic canal, division of the falciform ligament and opening the dural sheath, a 270˚ decompression of the optic canal can be achieved. This suggests that the endoscopic endonasal approach is helpful for optic nerve decompression and suprasellar tumor resection. However, the endoscopic extended transsphenoidal approach will increase the risk of cerebrospinal fluid leakage, and cannot completely avoid symptoms such as anosmia, anterior pituitary or posterior pituitary dysfunction (1,34). In conclusion, these two approaches are not always perfect, and both have limitations and contraindications. The biggest limitation of the endoscopic supraorbital approach is that it is easy to confuse the bottom of the frontal lobe and increase the difficulty of removing the skull base dura, while the endoscopic extended transsphenoidal approach cannot reach and remove the transverse extension tumor behind the internal carotid artery.

Selection of surgical methods

From the comparison of the above two approaches, it can be seen that there is no marked difference in the surgical effect between the endoscopic supraorbital approach and the endoscopic extended transsphenoidal approach for the resection of TSM; however, they do have different advantages and limitations (details are presented in Table I). Combined with previous surgical experience and relevant literature, the present study suggested three main reasons for choosing the supraorbital keyhole approach or expanded transsphenoidal approach. First, according to the actual condition of the patient, the selection of surgical methods should be based on the specific characteristics of TSM and the physical condition of the patient, including tumor size, growth site, whether it is wrapped by blood vessels, distal extension, the relationship between tumor and bone and a physical examination of the patient. The endoscopic supraorbital keyhole approach is more suitable for patients with TSM who are older, have poor a general condition, have a close relationship between the tumor and the blood vessels of the skull base and has a tumor growing laterally to the internal carotid artery. The endoscopic extended transsphenoidal approach should be used to treat small TSM without lateral extension or vascular wrapping. The wishes of the patient are also important. Some patients are willing to accept the supraorbital keyhole approach, and some patients are more willing to accept the expanded transsphenoidal approach. Secondly, the proficiency of the surgeon in the two surgical methods is an important reason for surgery selection. Finally, the surgical conditions and related equipment also affect the selection of surgical methods. These two surgical methods are complementary, so neurosurgeons should master both of these methods, which is conducive to the correct selection of appropriate surgical methods for different patients to achieve the best surgical results.

Table I

Advantages and limitations of supraorbital keyhole approach and extended transsphenoidal approach.

Table I

Advantages and limitations of supraorbital keyhole approach and extended transsphenoidal approach.

A, Endoscopic supraorbital keyhole approach
AdvantagesLimitations
Low incidence of cerebrospinal fluid leakageIt was easy to cause contusion at the bottom of the frontal lobe
It was helpful for surgeons to remove the lateral extension of of the patient's tumorDifficulty in dural management of the skull base
It could directly handle the thin layer of tumor vascular tissue creeping surrounding the tumor. Under the condition of vascular wrapping, vascular control during tumor resection was easier 
It could completely avoid nasal symptoms, and the incidence of anosmia or anterior or posterior pituitary dysfunction was low 
The patient recovered quickly 
B, Endoscopic extended transsphenoidal approach
AdvantagesLimitations
It could transform deep skull base tumors into superficial convex tumors and directly block the tumor blood supplyA nasal approach had inherent anatomical limitations and could not reach the tumors extending outside the internal carotid artery. It was difficult to deal with tumors outside the internal carotid artery
No significant frontal lobe retraction was required, the interference to the optic nerve was minimal and the patient's vision recovered well after surgeryHigh incidence of cerebrospinal fluid leakage after the operation
Optic canal decompression was easierHigh incidence of olfactory impairment
Invasive skull and dura mater could be removedIt was difficult to remove tumors with a diameter >4 cm, or that have lateral extension and vascular wrapping
Endoscopic vision was wide and surgical vision is clear 
Neuroendoscopy and visual effect

Compared with the microscope, neuroendoscopy has the advantages of a wide field of vision, a bright light, no obstruction and no dead angle, which can improve the safety of surgery and avoid the occurrence of related complications, such as arterial injury, visual degradation, pseudobulbar palsy and dural injury in parasellar and suprasellar areas (35). In addition, an endoscope can provide a certain angle, which is more conducive to observing the parasellar and suprasellar areas, to improve removal of the tumor. It is worth emphasizing that visual impairment is the most common symptom of TSM, and the majority of patients with TSM have a preexisting visual impairment caused by TSM before treatment to varying degrees. The degree of visual acuity recovery is mainly associated with three factors: Simpson's grade (15), the degree of optic nerve involvement (36) and the timeframe of preoperative visual acuity decline (37,38). The latter two factors cannot be changed, but Simpson's grade can be controlled by the surgeon. That is, the more thoroughly the tumor is removed, the more conducive it is to the recovery of vision, so the auxiliary visualization tool is particularly important (39). Komotar et al (40) reported that there is no difference in vision recovery between endoscopic transsphenoidal surgery and microscopic transcranial surgery (69.1 and 58.7%, respectively). Hence, an endoscope is also a good auxiliary visualization tool. However, an endoscope also has various shortcomings. For example, the endoscope occupies the operational space during operation and the endoscope can only provide two-dimensional images. In addition, intraoperative bleeding may pollute the endoscope lens, affecting the image quality of the endoscope and the continuity of the operation.

Limitations

The present study has certain limitations. The present study was a descriptive study that focused on the preliminary results of the two surgical methods in Chongqing General Hospital. In addition, the follow-up time was relatively short and a small number of patients were included, so no statistical analysis was carried out. At the same time, it was designed as a non-randomized retrospective study and did not completely rule out potential selection biases.

The present study reviewed 36 cases with TSM treated by the endoscopic supraorbital keyhole approach or the endoscopic extended transsphenoidal approach, analyzed the postoperative effects of the two surgical methods, compared the two surgical methods and put forward the basic criteria for the selection of surgical methods. First of all, there was little difference between the two surgical methods in terms of the GTR rate (94.1 vs. 94.7%), but there were some differences in visual acuity recovery (67.6 vs. 84.2%) and postoperative complications. The visual acuity of the patients in the endoscopic extended transsphenoidal approach group recovered well, while the probability of cerebrospinal fluid leakage caused the by endoscopic supraorbital approach was small. Secondly, the endoscopic supraorbital keyhole approach was conducive to the lateral extension of TSM (especially when the tumor reached the lateral side of the internal carotid artery), while the endoscopic extended transsphenoidal approach first blocked the blood supply of the tumor, reduced the difficulty of tumor resection and had little interference with the optic nerve. Finally, the important basis for selecting an appropriate approach is the specific characteristics of TSM and the physical condition of patients, including tumor size, growth site, whether it is wrapped by blood vessels, distal extension, the relationship between tumor and bone and physical examination of patients. The endoscopic supraorbital keyhole approach is more suitable for patients with TSM who are older, have poor general conditions, have a close relationship between the tumor and the blood vessels of the skull base and the tumor grows laterally to the internal carotid artery. It is suggested that the endoscopic extended transsphenoidal approach should be used to treat small TSM without lateral extension or vascular wrapping. In fact, these two surgical methods complement each other, so neurosurgeons should master these two methods, which is conducive to the correct selection of surgical methods suitable for different patients to achieve the best surgical results.

Acknowledgements

Not applicable.

Funding

Funding: No funding was received.

Availability of data and materials

The datasets used and/or analyzed during the current study are available from the corresponding author on reasonable request.

Authors' contributions

NW, JW, PW, HJ, JL, CT, GZ and XT participated in the conception, design and data acquisition of the article. HJ participated in drafting and revising the manuscript. NW critically revised the article. NW ensured that questions related to the integrity of any part of the work were appropriately investigated and resolved. HJ, JL, CT, GZ and XT confirm the authenticity of all the raw data. All authors read and approved the final manuscript.

Ethics approval and consent to participate

The Ethics Committee of Chongqing General Hospital waived the requirement for additional ethical review as this report is retrospective and not based on any specific patient priorities, experiences or preferences. Informed consent for participation in the study or use of the medical data was obtained from the patients.

Patient consent for publication

Written informed consent was obtained from the patients for the publication of anonymized data and any accompanying images.

Competing interests

The authors declare that they have no competing interests.

References

1 

Yu P, Xu T, Wu X, Liu Z and Wang Y and Wang Y: The expanded endoscopic endonasal approach for treatment of tuberculum sellae meningiomas in a series of 40 consecutive cases. Sci Rep. 11(4993)2021.PubMed/NCBI View Article : Google Scholar

2 

Sankhla SK, Jayashankar N, Khan MA and Khan GM: Surgical management of tuberculum sellae meningioma: Our experience and review of the literature. Neurol India. 69:1592–1600. 2021.PubMed/NCBI View Article : Google Scholar

3 

Khan OH, Krischek B, Holliman D, Klironomos G, Kucharczyk W, Vescan A, Gentili F and Zadeh G: Pure endoscopic expanded endonasal approach for olfactory groove and tuberculum sellae meningiomas. J Clin Neurosci. 21:927–933. 2014.PubMed/NCBI View Article : Google Scholar

4 

Wang ZC: Neurosurgery. Hubei Science and Technology Publishing House, Wuhan, 1998 (In Chinese).

5 

Mahmoud M, Nader R and Al-Mefty O: Optic canal involvement in tuberculum sellae meningiomas: Influence on approach, recurrence, and visual recovery. Neurosurgery 67 (3 Suppl Operative): onsS108-S118. discussion ons118-9, 2010.

6 

Rubin G, Ben David U, Gornish M and Rappaport ZH: Meningiomas of the anterior cranial fossa floor. Review of 67 cases. Acta Neurochir (Wien). 129:26–30. 1994.PubMed/NCBI View Article : Google Scholar

7 

Zhang C, Ding J, Liu Y, Tuoheti M, Yang X, Wang J and Wu Y: Endoscopic endonasal approach for resection of tuberculum sellae meningioma: A promising surgical approach. J Craniofac Surg. 31:1815–1818. 2020.PubMed/NCBI View Article : Google Scholar

8 

Tang H, Sun H, Xie L, Tang Q, Gong Y, Mao Y, Xie Q, Zheng M, Wang D, Zhu H, et al: Intraoperative ultrasound assistance in resection of intracranial meningiomas. Chin J Cancer Res. 25:339–345. 2013.PubMed/NCBI View Article : Google Scholar

9 

Nakamura M, Roser F, Jacobs C, Vorkapic P and Samii M: Medial sphenoid wing meningiomas: Clinical outcome and recurrence rate. Neurosurgery. 58:626–639. 2006.PubMed/NCBI View Article : Google Scholar

10 

Nakamura M, Roser F, Struck M, Vorkapic P and Samii M: Tuberculum sellae meningiomas: Clinical outcome considering different surgical approaches. Neurosurgery. 59:1019–1028. 2006.PubMed/NCBI View Article : Google Scholar

11 

Nakamura M, Struck M, Roser F, Vorkapic P and Samii M: Olfactory groove meningiomas: Clinical outcome and recurrence rates after tumor removal through the frontolateral and bifrontal approach. Neurosurgery. 60:844–852. 2007.PubMed/NCBI View Article : Google Scholar

12 

Jho HD and Carrau RL: Endoscopy assisted transsphenoidal surgery for pituitary adenoma. Acta Neurochir (Wien). 138:1416–1425. 1996.PubMed/NCBI View Article : Google Scholar

13 

Adappa ND, Learned KO, Palmer JN, Newman JG and Lee JY: Radiographic enhancement of the nasoseptal flap does not predict postoperative cerebrospinal fluid leaks in endoscopic skull base reconstruction. Laryngoscope. 122:1226–1234. 2012.PubMed/NCBI View Article : Google Scholar

14 

Linsler S, Fischer G, Skliarenko V, Stadie A and Oertel J: Endoscopic assisted supraorbital keyhole approach or endoscopic endonasal approach in cases of tuberculum sellae meningioma: Which surgical route should be favored? World Neurosurg. 104:601–611. 2017.PubMed/NCBI View Article : Google Scholar

15 

Simpson D: The recurrence of intracranial meningiomas after surgical treatment. J Neurol Neurosurg Psychiatry. 20:22–39. 1957.PubMed/NCBI View Article : Google Scholar

16 

Cushing H and Eisenhardt L: Meningiomas arising from the tuberculum sellae: With the syndrome of primary optic atrophy and bitemporal field defects combined with a normal sella turcica in a middle-aged person. Arch Ophthalmol. 1:168–206. 1929.

17 

Shrivastava RK, Segal S, Camins MB, Sen C and Post KD: Harvey Cushing's Meningiomas text and the historical origin of resectability criteria for the anterior one third of the superior sagittal sinus. J Neurosurg. 99:787–791. 2003.PubMed/NCBI View Article : Google Scholar

18 

Hayhurst C and Teo C: Tuberculum sella meningioma. Otolaryngol Clin North Am. 44:953–963, viii-ix. 2011.PubMed/NCBI View Article : Google Scholar

19 

Chokyu I, Goto T, Ishibashi K, Nagata T and Ohata K: Bilateral subfrontal approach for tuberculum sellae meningiomas in long-term postoperative visual outcome. J Neurosurg. 115:802–810. 2011.PubMed/NCBI View Article : Google Scholar

20 

Fahlbusch R and Schott W: Pterional surgery of meningiomas of the tuberculum sellae and planum sphenoidale: Surgical results with special consideration of ophthalmological and endocrinological outcomes. J Neurosurg. 96:235–243. 2002.PubMed/NCBI View Article : Google Scholar

21 

Soni RS, Patel SK, Husain Q, Dahodwala MQ, Eloy JA and Liu JK: From above or below: The controversy and historical evolution of tuberculum sellae meningioma resection from open to endoscopic skull base approach. J Clin Neurosci. 21:559–568. 2014.

22 

Perneczky A: Keyhole concept in neurosurgery: With endoscope-assisted microsurgery and case studies. Thieme, Stuttgart, New York, 1999.

23 

Fischer G, Stadie A, Reisch R, Hopf NJ, Fries G, Böcher-Schwarz H, van Lindert E, Ungersböck K, Knosp E, Oertel J and Perneczky A: The keyhole concept in aneurysm surgery: Results of the past 20 years. Neurosurgery. 68 (1 Suppl Operative):S45–S51. 2011.PubMed/NCBI View Article : Google Scholar

24 

Reisch R and Perneczky A: Ten-year experience with the supraorbital subfrontal approach through an eyebrow skin incision. Neurosurgery. 57 (4 Suppl):S242–S255; discussion 242-55. 2005.PubMed/NCBI View Article : Google Scholar

25 

Reisch R, Perneczky A and Filippi R: Surgical technique of the supraorbital key-hole craniotomy. Surg Neurol. 59:223–227. 2003.PubMed/NCBI View Article : Google Scholar

26 

Hernesniemi J, Ishii K, Niemelä M, Smrcka M, Kivipelto L, Fujiki M and Shen H: Lateral supraorbital approach as an alternative to the classical pterional approach. Acta Neurochir Suppl. 94:17–21. 2005.PubMed/NCBI View Article : Google Scholar

27 

Kong DS, Hong CK, Hong SD, Nam DH, Lee JI, Seol HJ, Oh J, Kim DG and Kim YH: Selection of endoscopic or transcranial surgery for tuberculum sellae meningiomas according to specific anatomical features: A retrospective multicenter analysis (KOSEN-002). J Neurosurg. 130:838–847. 2018.PubMed/NCBI View Article : Google Scholar

28 

Marx S, Clemens S and Schroeder HWS: The value of endoscope assistance during transcranial surgery for tuberculum sellae meningiomas. J Neurosurg. 128:32–39. 2018.PubMed/NCBI View Article : Google Scholar

29 

Godano U: Transcranial approaches for tuberculum sellae meningiomas in the endoscopic era. J Neurosurg Sci. 65:457–459. 2021.PubMed/NCBI View Article : Google Scholar

30 

Chowdhury FH, Haque MR, Goel AH and Kawsar KA: Endoscopic endonasal extended transsphenoidal removal of tuberculum sellae meningioma (TSM): An experience of six cases. Br J Neurosurg. 26:692–699. 2012.PubMed/NCBI View Article : Google Scholar

31 

Gardner PA, Kassam AB, Thomas A, Snyderman CH, Carrau RL, Mintz AH and Prevedello DM: Endoscopic endonasal resection of anterior cranial base meningiomas. Neurosurgery. 63:36–52; discussion 52-4. 2008.PubMed/NCBI View Article : Google Scholar

32 

Koutourousiou M, Fernandez-Miranda JC, Stefko ST, Wang EW, Snyderman CH and Gardner PA: Endoscopic endonasal surgery for suprasellar meningiomas: Experience with 75 patients. J Neurosurg. 120:1326–1339. 2014.PubMed/NCBI View Article : Google Scholar

33 

Abhinav K, Acosta Y, Wang WH, Bonilla LR, Koutourousiou M, Wang E, Synderman C, Gardner P and Fernandez-Miranda JC: Endoscopic endonasal approach to the optic canal: Anatomic considerations and surgical relevance. Neurosurgery. 11 Suppl 3:431–445; discussion 445-6. 2015.PubMed/NCBI View Article : Google Scholar

34 

de Divitiis E, Cavallo LM, Esposito F, Stella L and Messina A: Extended endoscopic transsphenoidal approach for tuberculum sellae meningiomas. Neurosurgery. 61 (5 Suppl 2):S229–S237; discussion 237-8. 2007.PubMed/NCBI View Article : Google Scholar

35 

Black PM, Zervas NT and Candia GL: Incidence and management of complications of transsphenoidal operation for pituitary adenomas. Neurosurgery. 20:920–924. 1987.PubMed/NCBI View Article : Google Scholar

36 

Jallu A, Kanaan I, Rahm B and Siqueira E: Suprasellar meningioma and blindness: A unique experience in Saudi Arabia. Surg Neurol. 45:320–323. 1996.PubMed/NCBI View Article : Google Scholar

37 

Grisoli F, Diaz-Vasquez P, Riss M, Vincentelli F, Leclercq TA, Hassoun J and Salamon G: Microsurgical management of tuberculum sellae meningiomas. Results in 28 consecutive cases. Surg Neurol. 26:37–44. 1986.PubMed/NCBI View Article : Google Scholar

38 

Park CK, Jung HW, Yang SY, Seol HJ, Paek SH and Kim DG: Surgically treated tuberculum sellae and diaphragm sellae meningiomas: The importance of short-term visual outcome. Neurosurgery. 59:238–243. 2006.PubMed/NCBI View Article : Google Scholar

39 

Lee JH, Jeun SS, Evans J and Kosmorsky G: Surgical management of clinoidal meningiomas. Neurosurgery. 48:1012–1021. 2001.PubMed/NCBI View Article : Google Scholar

40 

Komotar RJ, Starke RM, Raper DM, Anand VK and Schwartz TH: Endoscopic endonasal versus open transcranial resection of anterior midline skull base meningiomas. World Neurosurg. 77:713–724. 2012.PubMed/NCBI View Article : Google Scholar

Related Articles

  • Abstract
  • View
  • Download
  • Twitter
Copy and paste a formatted citation
Spandidos Publications style
Jiang H, Wang P, Wang J, Liu J, Tang C, Zhang G, Tan X and Wu N: Comparison of supraorbital keyhole approach and extended transsphenoidal approach in endoscopic surgery for tuberculum sellae meningioma: A case series. Exp Ther Med 25: 215, 2023.
APA
Jiang, H., Wang, P., Wang, J., Liu, J., Tang, C., Zhang, G. ... Wu, N. (2023). Comparison of supraorbital keyhole approach and extended transsphenoidal approach in endoscopic surgery for tuberculum sellae meningioma: A case series. Experimental and Therapeutic Medicine, 25, 215. https://doi.org/10.3892/etm.2023.11914
MLA
Jiang, H., Wang, P., Wang, J., Liu, J., Tang, C., Zhang, G., Tan, X., Wu, N."Comparison of supraorbital keyhole approach and extended transsphenoidal approach in endoscopic surgery for tuberculum sellae meningioma: A case series". Experimental and Therapeutic Medicine 25.5 (2023): 215.
Chicago
Jiang, H., Wang, P., Wang, J., Liu, J., Tang, C., Zhang, G., Tan, X., Wu, N."Comparison of supraorbital keyhole approach and extended transsphenoidal approach in endoscopic surgery for tuberculum sellae meningioma: A case series". Experimental and Therapeutic Medicine 25, no. 5 (2023): 215. https://doi.org/10.3892/etm.2023.11914
Copy and paste a formatted citation
x
Spandidos Publications style
Jiang H, Wang P, Wang J, Liu J, Tang C, Zhang G, Tan X and Wu N: Comparison of supraorbital keyhole approach and extended transsphenoidal approach in endoscopic surgery for tuberculum sellae meningioma: A case series. Exp Ther Med 25: 215, 2023.
APA
Jiang, H., Wang, P., Wang, J., Liu, J., Tang, C., Zhang, G. ... Wu, N. (2023). Comparison of supraorbital keyhole approach and extended transsphenoidal approach in endoscopic surgery for tuberculum sellae meningioma: A case series. Experimental and Therapeutic Medicine, 25, 215. https://doi.org/10.3892/etm.2023.11914
MLA
Jiang, H., Wang, P., Wang, J., Liu, J., Tang, C., Zhang, G., Tan, X., Wu, N."Comparison of supraorbital keyhole approach and extended transsphenoidal approach in endoscopic surgery for tuberculum sellae meningioma: A case series". Experimental and Therapeutic Medicine 25.5 (2023): 215.
Chicago
Jiang, H., Wang, P., Wang, J., Liu, J., Tang, C., Zhang, G., Tan, X., Wu, N."Comparison of supraorbital keyhole approach and extended transsphenoidal approach in endoscopic surgery for tuberculum sellae meningioma: A case series". Experimental and Therapeutic Medicine 25, no. 5 (2023): 215. https://doi.org/10.3892/etm.2023.11914
Follow us
  • Twitter
  • LinkedIn
  • Facebook
About
  • Spandidos Publications
  • Careers
  • Cookie Policy
  • Privacy Policy
How can we help?
  • Help
  • Live Chat
  • Contact
  • Email to our Support Team