Spandidos Publications Logo
  • About
    • About Spandidos
    • Aims and Scopes
    • Abstracting and Indexing
    • Editorial Policies
    • Reprints and Permissions
    • Job Opportunities
    • Terms and Conditions
    • Contact
  • Journals
    • All Journals
    • Oncology Letters
      • Oncology Letters
      • Information for Authors
      • Editorial Policies
      • Editorial Board
      • Aims and Scope
      • Abstracting and Indexing
      • Bibliographic Information
      • Archive
    • International Journal of Oncology
      • International Journal of Oncology
      • Information for Authors
      • Editorial Policies
      • Editorial Board
      • Aims and Scope
      • Abstracting and Indexing
      • Bibliographic Information
      • Archive
    • Molecular and Clinical Oncology
      • Molecular and Clinical Oncology
      • Information for Authors
      • Editorial Policies
      • Editorial Board
      • Aims and Scope
      • Abstracting and Indexing
      • Bibliographic Information
      • Archive
    • Experimental and Therapeutic Medicine
      • Experimental and Therapeutic Medicine
      • Information for Authors
      • Editorial Policies
      • Editorial Board
      • Aims and Scope
      • Abstracting and Indexing
      • Bibliographic Information
      • Archive
    • International Journal of Molecular Medicine
      • International Journal of Molecular Medicine
      • Information for Authors
      • Editorial Policies
      • Editorial Board
      • Aims and Scope
      • Abstracting and Indexing
      • Bibliographic Information
      • Archive
    • Biomedical Reports
      • Biomedical Reports
      • Information for Authors
      • Editorial Policies
      • Editorial Board
      • Aims and Scope
      • Abstracting and Indexing
      • Bibliographic Information
      • Archive
    • Oncology Reports
      • Oncology Reports
      • Information for Authors
      • Editorial Policies
      • Editorial Board
      • Aims and Scope
      • Abstracting and Indexing
      • Bibliographic Information
      • Archive
    • Molecular Medicine Reports
      • Molecular Medicine Reports
      • Information for Authors
      • Editorial Policies
      • Editorial Board
      • Aims and Scope
      • Abstracting and Indexing
      • Bibliographic Information
      • Archive
    • World Academy of Sciences Journal
      • World Academy of Sciences Journal
      • Information for Authors
      • Editorial Policies
      • Editorial Board
      • Aims and Scope
      • Abstracting and Indexing
      • Bibliographic Information
      • Archive
    • International Journal of Functional Nutrition
      • International Journal of Functional Nutrition
      • Information for Authors
      • Editorial Policies
      • Editorial Board
      • Aims and Scope
      • Abstracting and Indexing
      • Bibliographic Information
      • Archive
    • International Journal of Epigenetics
      • International Journal of Epigenetics
      • Information for Authors
      • Editorial Policies
      • Editorial Board
      • Aims and Scope
      • Abstracting and Indexing
      • Bibliographic Information
      • Archive
    • Medicine International
      • Medicine International
      • Information for Authors
      • Editorial Policies
      • Editorial Board
      • Aims and Scope
      • Abstracting and Indexing
      • Bibliographic Information
      • Archive
  • Articles
  • Information
    • Information for Authors
    • Information for Reviewers
    • Information for Librarians
    • Information for Advertisers
    • Conferences
  • Language Editing
Spandidos Publications Logo
  • About
    • About Spandidos
    • Aims and Scopes
    • Abstracting and Indexing
    • Editorial Policies
    • Reprints and Permissions
    • Job Opportunities
    • Terms and Conditions
    • Contact
  • Journals
    • All Journals
    • Biomedical Reports
      • Information for Authors
      • Editorial Policies
      • Editorial Board
      • Aims and Scope
      • Abstracting and Indexing
      • Bibliographic Information
      • Archive
    • Experimental and Therapeutic Medicine
      • Information for Authors
      • Editorial Policies
      • Editorial Board
      • Aims and Scope
      • Abstracting and Indexing
      • Bibliographic Information
      • Archive
    • International Journal of Epigenetics
      • Information for Authors
      • Editorial Policies
      • Editorial Board
      • Aims and Scope
      • Abstracting and Indexing
      • Bibliographic Information
      • Archive
    • International Journal of Functional Nutrition
      • Information for Authors
      • Editorial Policies
      • Editorial Board
      • Aims and Scope
      • Abstracting and Indexing
      • Bibliographic Information
      • Archive
    • International Journal of Molecular Medicine
      • Information for Authors
      • Editorial Policies
      • Editorial Board
      • Aims and Scope
      • Abstracting and Indexing
      • Bibliographic Information
      • Archive
    • International Journal of Oncology
      • Information for Authors
      • Editorial Policies
      • Editorial Board
      • Aims and Scope
      • Abstracting and Indexing
      • Bibliographic Information
      • Archive
    • Medicine International
      • Information for Authors
      • Editorial Policies
      • Editorial Board
      • Aims and Scope
      • Abstracting and Indexing
      • Bibliographic Information
      • Archive
    • Molecular and Clinical Oncology
      • Information for Authors
      • Editorial Policies
      • Editorial Board
      • Aims and Scope
      • Abstracting and Indexing
      • Bibliographic Information
      • Archive
    • Molecular Medicine Reports
      • Information for Authors
      • Editorial Policies
      • Editorial Board
      • Aims and Scope
      • Abstracting and Indexing
      • Bibliographic Information
      • Archive
    • Oncology Letters
      • Information for Authors
      • Editorial Policies
      • Editorial Board
      • Aims and Scope
      • Abstracting and Indexing
      • Bibliographic Information
      • Archive
    • Oncology Reports
      • Information for Authors
      • Editorial Policies
      • Editorial Board
      • Aims and Scope
      • Abstracting and Indexing
      • Bibliographic Information
      • Archive
    • World Academy of Sciences Journal
      • Information for Authors
      • Editorial Policies
      • Editorial Board
      • Aims and Scope
      • Abstracting and Indexing
      • Bibliographic Information
      • Archive
  • Articles
  • Information
    • For Authors
    • For Reviewers
    • For Librarians
    • For Advertisers
    • Conferences
  • Language Editing
Login Register Submit
  • This site uses cookies
  • You can change your cookie settings at any time by following the instructions in our Cookie Policy. To find out more, you may read our Privacy Policy.

    I agree
Search articles by DOI, keyword, author or affiliation
Search
Advanced Search
presentation
Experimental and Therapeutic Medicine
Join Editorial Board Propose a Special Issue
Print ISSN: 1792-0981 Online ISSN: 1792-1015
Journal Cover
August-2023 Volume 26 Issue 2

Full Size Image

Sign up for eToc alerts
Recommend to Library

Journals

International Journal of Molecular Medicine

International Journal of Molecular Medicine

International Journal of Molecular Medicine is an international journal devoted to molecular mechanisms of human disease.

International Journal of Oncology

International Journal of Oncology

International Journal of Oncology is an international journal devoted to oncology research and cancer treatment.

Molecular Medicine Reports

Molecular Medicine Reports

Covers molecular medicine topics such as pharmacology, pathology, genetics, neuroscience, infectious diseases, molecular cardiology, and molecular surgery.

Oncology Reports

Oncology Reports

Oncology Reports is an international journal devoted to fundamental and applied research in Oncology.

Experimental and Therapeutic Medicine

Experimental and Therapeutic Medicine

Experimental and Therapeutic Medicine is an international journal devoted to laboratory and clinical medicine.

Oncology Letters

Oncology Letters

Oncology Letters is an international journal devoted to Experimental and Clinical Oncology.

Biomedical Reports

Biomedical Reports

Explores a wide range of biological and medical fields, including pharmacology, genetics, microbiology, neuroscience, and molecular cardiology.

Molecular and Clinical Oncology

Molecular and Clinical Oncology

International journal addressing all aspects of oncology research, from tumorigenesis and oncogenes to chemotherapy and metastasis.

World Academy of Sciences Journal

World Academy of Sciences Journal

Multidisciplinary open-access journal spanning biochemistry, genetics, neuroscience, environmental health, and synthetic biology.

International Journal of Functional Nutrition

International Journal of Functional Nutrition

Open-access journal combining biochemistry, pharmacology, immunology, and genetics to advance health through functional nutrition.

International Journal of Epigenetics

International Journal of Epigenetics

Publishes open-access research on using epigenetics to advance understanding and treatment of human disease.

Medicine International

Medicine International

An International Open Access Journal Devoted to General Medicine.

Journal Cover
August-2023 Volume 26 Issue 2

Full Size Image

Sign up for eToc alerts
Recommend to Library

  • Article
  • Citations
    • Cite This Article
    • Download Citation
    • Create Citation Alert
    • Remove Citation Alert
    • Cited By
  • Similar Articles
    • Related Articles (in Spandidos Publications)
    • Similar Articles (Google Scholar)
    • Similar Articles (PubMed)
  • Download PDF
  • Download XML
  • View XML
Case Report Open Access

Malignant transformation of an aneurysmal bone cyst of the femoral neck: A case report

  • Authors:
    • Xiaoyang Song
    • Yongjie Qiao
    • Haoqiang Zhang
    • Lirong Sha
    • Jinpeng Lou
    • Xinyuan Yu
    • Hao Liu
    • Langfeng Zhu
    • Shenghu Zhou
  • View Affiliations / Copyright

    Affiliations: Department of Joint Surgery, The 940th Hospital of Joint Logistics Support Force of The Chinese People's Liberation Army, Lanzhou, Gansu 730050, P.R. China, Department of Joint Surgery, The 940th Hospital of Joint Logistics Support Force of The Chinese People's Liberation Army, Lanzhou, Gansu 730050, P.R. China, Department of Basic Medicine, Inner Mongolia Medical University, Hohhot, Inner Mongolia Autonomous Region 010000, P.R. China
    Copyright: © Song et al. This is an open access article distributed under the terms of Creative Commons Attribution License.
  • Article Number: 362
    |
    Published online on: June 9, 2023
       https://doi.org/10.3892/etm.2023.12061
  • Expand metrics +
Metrics: Total Views: 0 (Spandidos Publications: | PMC Statistics: )
Metrics: Total PDF Downloads: 0 (Spandidos Publications: | PMC Statistics: )
Cited By (CrossRef): 0 citations Loading Articles...

This article is mentioned in:



Abstract

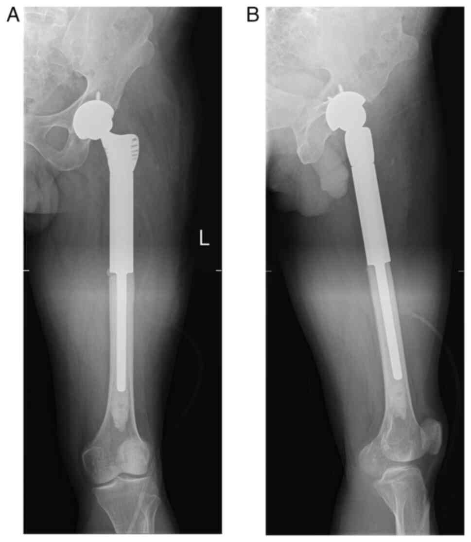
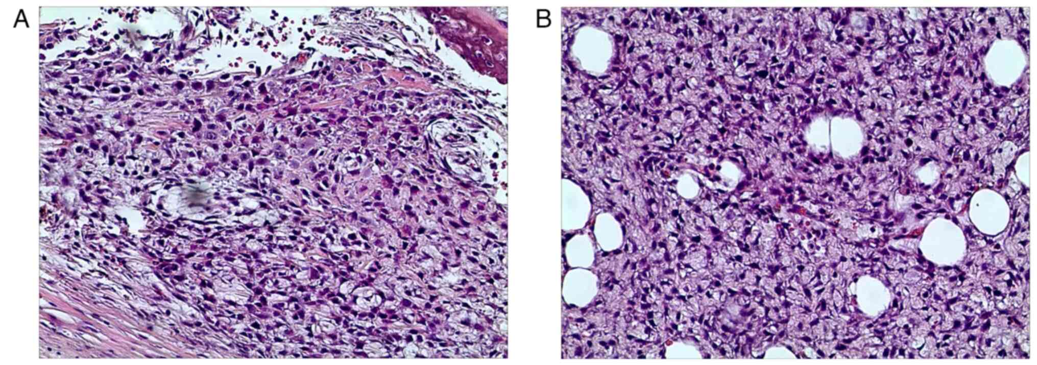
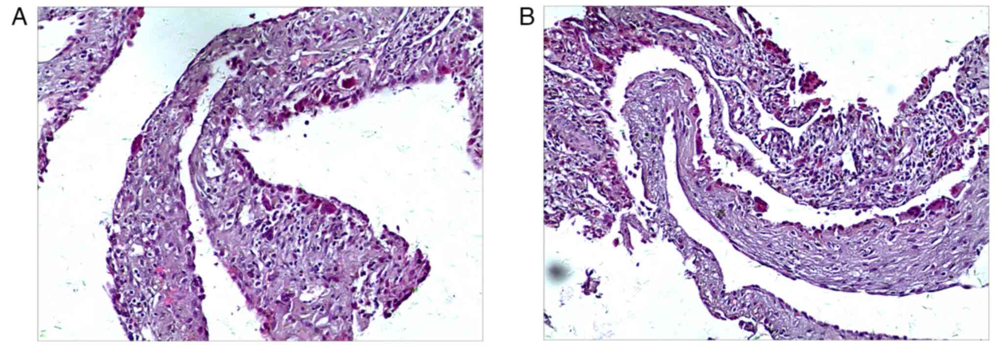
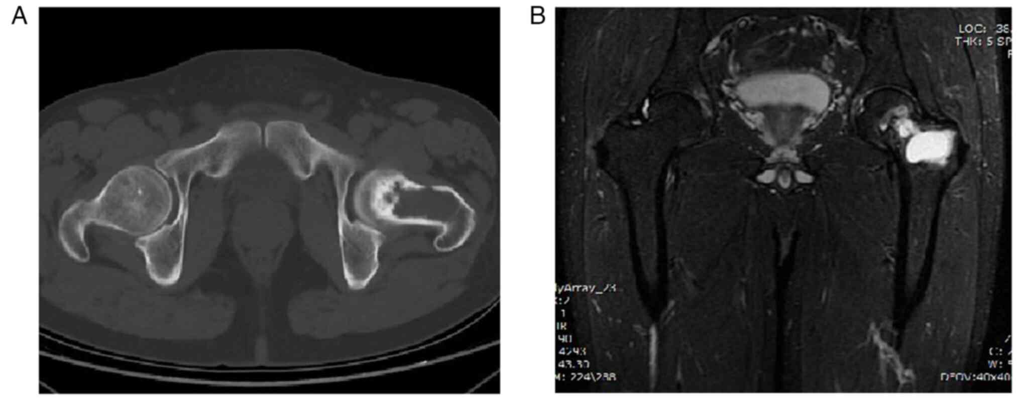
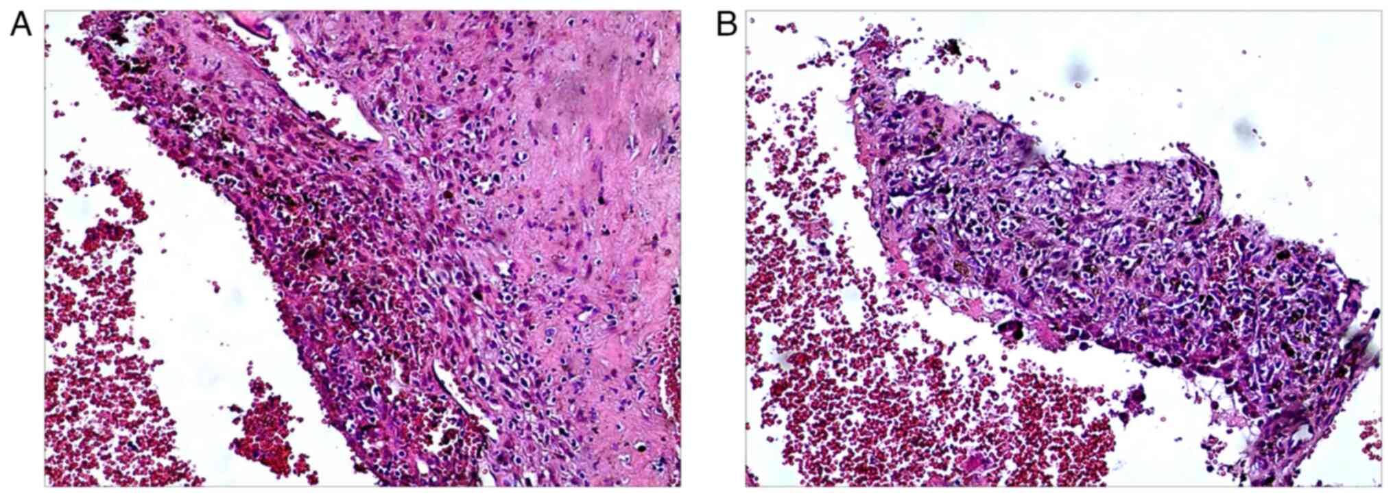
Aneurysmal bone cyst (ABC) is a benign, distending, osteolytic and locally aggressive bone tumor that is mostly associated with trauma. Approximately 1% of bone tumors are ABCs, which are most prevalent in adolescents and are usually detected in the spine and long tubular bones. The diagnosis of ABC mainly relies on histopathology, malignant transformation is rare, and the chance of malignancy increases if there are multiple recurrences. Due to the rarity of reports of malignant transformation of ABCs into osteosarcoma, there is still considerable debate on the appropriate treatment strategy. The current paper presents a case of aneurysmal bone cyst malignant to osteosarcoma and the therapeutic measures to provide expertise for the diagnosis and treatment of ABCs that are malignant to osteosarcoma.
View Figures

Figure 1

Figure 2

Figure 3

Figure 4

Figure 5

Figure 6

Figure 7

Figure 8

View References

1 

Rapp TB, Ward JP and Alaia MJ: Aneurysmal bone cyst. J Am Acad Orthop Surg. 20:233–241. 2012.PubMed/NCBI View Article : Google Scholar

2 

Burch S, Hu S and Berven S: Aneurysmal bone cysts of the spine. Neurosurg Clin N Am. 19:41–47. 2008.PubMed/NCBI View Article : Google Scholar

3 

Kransdorf MJ and Sweet DE: Aneurysmal bone cyst: Concept, controversy, clinical presentation, and imaging. AJR Am J Roentgenol. 164:573–580. 1995.PubMed/NCBI View Article : Google Scholar

4 

Nasri E and Reith JD: Aneurysmal bone cyst: A review. J Pathol Transl Med. 57:81–87. 2023.PubMed/NCBI View Article : Google Scholar

5 

Hermann A, Polivka M, Loit MP, Guichard JP and Bousson V: Aneurysmal bone cyst of the frontal bone-A radiologic-pathologic correlation. J Radiol Case Rep. 12:16–24. 2018.PubMed/NCBI View Article : Google Scholar

6 

Cottalorda J and Bourelle S: Current treatments of primary aneurysmal bone cysts. J Pediatr Orthop B. 15:155–167. 2006.PubMed/NCBI View Article : Google Scholar

7 

Cruz GS, Cuevas-Suárez CE, Saavedra JPA, Giorgis R, Teixeira MRK and Muniz FWMG: Percutaneous treatments of primary aneurysmal bone cysts: Systematic review and meta-analysis. Eur J Orthop Surg Traumatol. 31:1287–1295. 2021.PubMed/NCBI View Article : Google Scholar

8 

Kyriakos M and Hardy D: Malignant transformation of aneurysmal bone cyst, with an analysis of the literature. Cancer. 68:1770–1780. 1991.PubMed/NCBI View Article : Google Scholar

9 

Aho HJ, Aho AJ and Einola S: Aneurysmal bone cyst, a study of ultrastructure and malignant transformation. Virchows Archiv A Pathol Anat Histol. 395:169–179. 1982.PubMed/NCBI View Article : Google Scholar

10 

Mei J, Gao Y, Wang S and Cai X: Malignant transformation of aneurysmal bone cysts: A case report. Chin Med J (Engl). 122:110–112. 2009.PubMed/NCBI

11 

Zhu W, Zhu L, Bao Y, Zhong X, Chen Y and Wu Q: Clinical evaluation of neoadjuvant chemotherapy for osteosarcoma. J BUON. 24:1181–1185. 2019.PubMed/NCBI

12 

Murphey MD and Kransdorf MJ: Staging and classification of primary musculoskeletal bone and soft-tissue tumors according to the 2020 WHO update, from the AJR special series on cancer staging. AJR Am J Roentgenol. 217:1038–1052. 2021.PubMed/NCBI View Article : Google Scholar

13 

Cottalorda J and Bourelle S: Modern concepts of primary aneurysmal bone cyst. Arch Orthop Trauma Surg. 127:105–114. 2007.PubMed/NCBI View Article : Google Scholar

14 

Purdue E: Aneurysmal bone cysts: Denosumab extends its reach. Transl Res. 164:135–138. 2014.PubMed/NCBI View Article : Google Scholar

15 

Mendenhall WM, Zlotecki RA, Gibbs CP, Reith JD, Scarborough MT and Mendenhall NP: Aneurysmal bone cyst. Am J Clin Oncol. 29:311–315. 2006.PubMed/NCBI View Article : Google Scholar

16 

Kansagra AP, Wan JJ, Devulapalli KK, Horvai AE, O'Donnell RJ and Link TM: Malignant transformation of an aneurysmal bone cyst to fibroblastic osteosarcoma. Am J Orthop (Belle Mead NJ). 45:E367–E372. 2016.PubMed/NCBI

17 

Wuisman P, Roessner A, Blasius S, Grunert J, Vestering T and Winkelmann W: High malignant surface osteosarcoma arising at the site of a previously treated aneurysmal bone cyst. J Cancer Res Clin Oncol. 119:375–378. 1993.PubMed/NCBI View Article : Google Scholar

18 

Hsu CC, Wang JW, Huang CH and Chen WJ: Osteosarcoma at the site of a previously treated aneurysmal bone cyst. A case report. J Bone Joint Surg Am. 87:395–398. 2005.PubMed/NCBI View Article : Google Scholar

19 

Uhl M and Herget GW: Tumor-like bony lesions of the skeleton. Orthopäde. 49:825–838. 2020.PubMed/NCBI View Article : Google Scholar : (In German).

20 

Sullivan RJ, Meyer JS, Dormans JP and Davidson RS: Diagnosing aneurysmal and unicameral bone cysts with magnetic resonance imaging. Clin Orthop Relat Res. 366:186–190. 1999.PubMed/NCBI View Article : Google Scholar

21 

Janevska V, Spasevska L, Samardziski M, Nikodinovska V, Zhivadinovik J and Trajkovska E: From aneurysmal bone cyst to telangiectatic osteosarcoma with metastasis in inguinal lymph nodes-case report. Med Pregl. 68:127–132. 2015.PubMed/NCBI View Article : Google Scholar

22 

Mascard E, Gomez-Brouchet A and Lambot K: Bone cysts: Unicameral and aneurysmal bone cyst. Orthop Traumatol Surg Res. 101(Suppl 1):S119–S127. 2015.PubMed/NCBI View Article : Google Scholar

23 

Bello Báez A, López Pino MÁ, Azorín Cuadrillero D and Sirvent Cerdá S: Aneurysmatic bone cyst coexisting with osteosarcoma. Radiopathologic discussion. Discusión radiopatológica. Radiología. 52:247–250. 2010.PubMed/NCBI View Article : Google Scholar : (In Spanish).

24 

Hong KT, Park HJ, Kim BK, An HY, Choi JY, Cheon J, Park S, Kim H and Kang HJ: Favorable outcome of high-dose chemotherapy and autologous hematopoietic stem cell transplantation in patients with nonmetastatic osteosarcoma and low-degree necrosis. Front Oncol. 12(978949)2022.PubMed/NCBI View Article : Google Scholar

25 

Adamczyk-Grochala J, Bloniarz D, Zielinska K, Lewinska A and Wnuk M: DNMT2/TRDMT1 gene knockout compromises doxorubicin-induced unfolded protein response and sensitizes cancer cells to ER stress-induced apoptosis. Apoptosis. 28:166–185. 2023.PubMed/NCBI View Article : Google Scholar

26 

Armstrong J and Dass CR: Doxorubicin action on mitochondria: Relevance to osteosarcoma therapy? Curr Drug Targets. 19:432–438. 2018.PubMed/NCBI View Article : Google Scholar

27 

Haghiralsadat F, Amoabediny G, Sheikhha MH, Forouzanfar T, Helder MN and Zandieh-Doulabi B: A novel approach on drug delivery: Investigation of a new nano-formulation of liposomal doxorubicin and biological evaluation of entrapped doxorubicin on various osteosarcoma cell lines. Cell J. 19:55–65. 2017.PubMed/NCBI View Article : Google Scholar

28 

Skubitz KM: Phase II trial of pegylated-liposomal doxorubicin (Doxil) in sarcoma*. Cancer Invest. 21:167–176. 2003.PubMed/NCBI View Article : Google Scholar

29 

Wen XZ, Pan QZ, Xu BS, Xiao W, Weng DS, Zhao JJ, Xu HR, Huang Z, Niu XH and Zhang X: Phase I study of pegylated liposomal doxorubicin and cisplatin in patients with advanced osteosarcoma. Cancer Chemother Pharmacol. 89:209–215. 2022.PubMed/NCBI View Article : Google Scholar

30 

Liu Z, Gao S, Zhu L, Wang J, Zhang P, Li P, Zhang F and Yao W: Efficacy and safety of anlotinib in patients with unresectable or metastatic bone sarcoma: A retrospective multiple institution study. Cancer Med. 10:7593–7600. 2021.PubMed/NCBI View Article : Google Scholar

31 

Cai M, Zhu J and Zhou G: Efficacy and safety of treating refractory bone and soft tissue sarcoma with anlotinib in different treatment patterns. Comput Math Methods Med. 2022(3287961)2022.PubMed/NCBI View Article : Google Scholar

Related Articles

  • Abstract
  • View
  • Download
  • Twitter
Copy and paste a formatted citation
Spandidos Publications style
Song X, Qiao Y, Zhang H, Sha L, Lou J, Yu X, Liu H, Zhu L and Zhou S: Malignant transformation of an aneurysmal bone cyst of the femoral neck: A case report. Exp Ther Med 26: 362, 2023.
APA
Song, X., Qiao, Y., Zhang, H., Sha, L., Lou, J., Yu, X. ... Zhou, S. (2023). Malignant transformation of an aneurysmal bone cyst of the femoral neck: A case report. Experimental and Therapeutic Medicine, 26, 362. https://doi.org/10.3892/etm.2023.12061
MLA
Song, X., Qiao, Y., Zhang, H., Sha, L., Lou, J., Yu, X., Liu, H., Zhu, L., Zhou, S."Malignant transformation of an aneurysmal bone cyst of the femoral neck: A case report". Experimental and Therapeutic Medicine 26.2 (2023): 362.
Chicago
Song, X., Qiao, Y., Zhang, H., Sha, L., Lou, J., Yu, X., Liu, H., Zhu, L., Zhou, S."Malignant transformation of an aneurysmal bone cyst of the femoral neck: A case report". Experimental and Therapeutic Medicine 26, no. 2 (2023): 362. https://doi.org/10.3892/etm.2023.12061
Copy and paste a formatted citation
x
Spandidos Publications style
Song X, Qiao Y, Zhang H, Sha L, Lou J, Yu X, Liu H, Zhu L and Zhou S: Malignant transformation of an aneurysmal bone cyst of the femoral neck: A case report. Exp Ther Med 26: 362, 2023.
APA
Song, X., Qiao, Y., Zhang, H., Sha, L., Lou, J., Yu, X. ... Zhou, S. (2023). Malignant transformation of an aneurysmal bone cyst of the femoral neck: A case report. Experimental and Therapeutic Medicine, 26, 362. https://doi.org/10.3892/etm.2023.12061
MLA
Song, X., Qiao, Y., Zhang, H., Sha, L., Lou, J., Yu, X., Liu, H., Zhu, L., Zhou, S."Malignant transformation of an aneurysmal bone cyst of the femoral neck: A case report". Experimental and Therapeutic Medicine 26.2 (2023): 362.
Chicago
Song, X., Qiao, Y., Zhang, H., Sha, L., Lou, J., Yu, X., Liu, H., Zhu, L., Zhou, S."Malignant transformation of an aneurysmal bone cyst of the femoral neck: A case report". Experimental and Therapeutic Medicine 26, no. 2 (2023): 362. https://doi.org/10.3892/etm.2023.12061
Follow us
  • Twitter
  • LinkedIn
  • Facebook
About
  • Spandidos Publications
  • Careers
  • Cookie Policy
  • Privacy Policy
How can we help?
  • Help
  • Live Chat
  • Contact
  • Email to our Support Team